Erdheim–Chester Disease Due to a Novel Internal Duplication of NRAS: Response to Targeted Therapy with Cobimetinib
Abstract
:1. Introduction
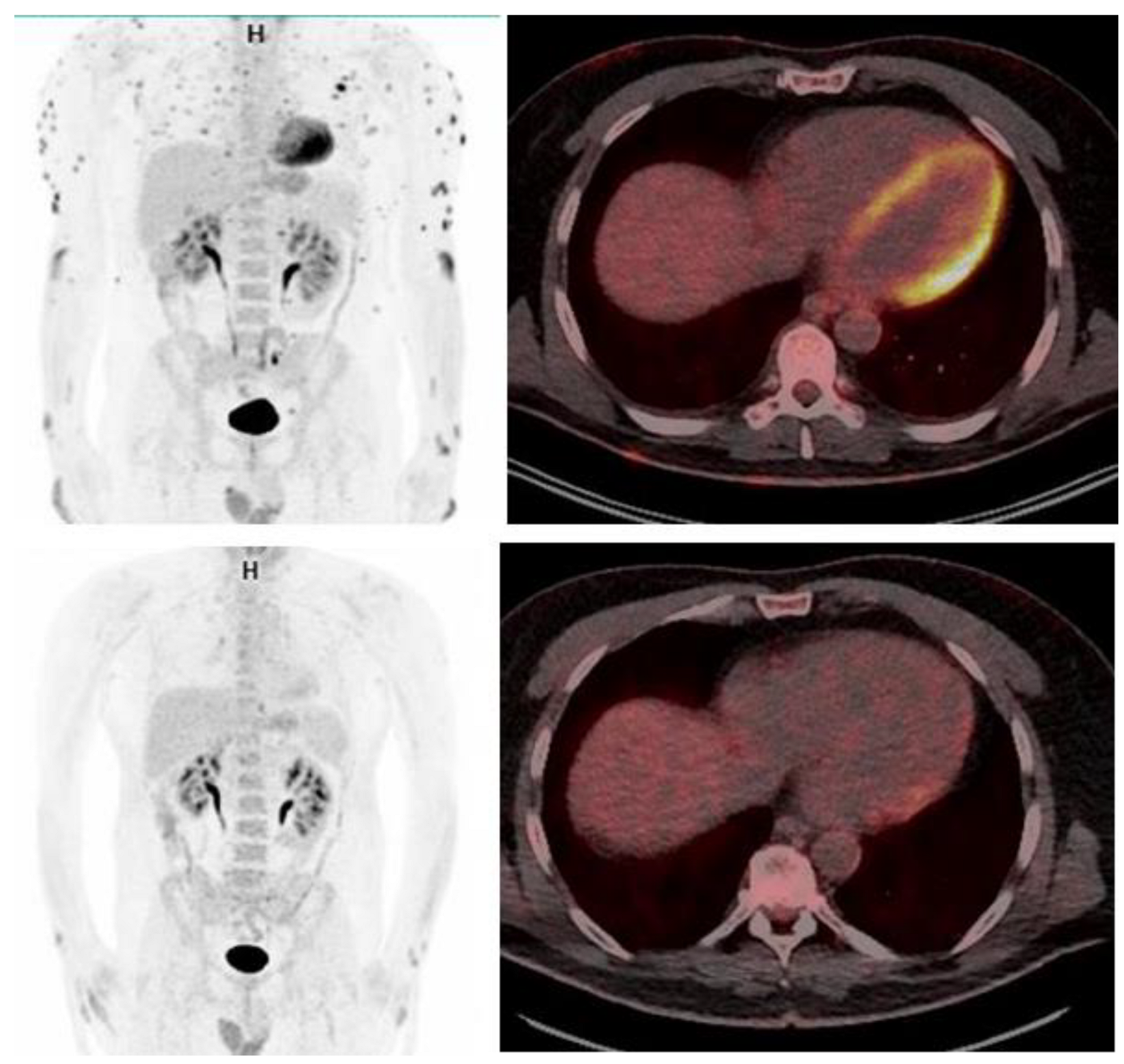
2. Case Report
3. Discussion
Author Contributions
Funding
Institutional Review Board Statement
Informed Consent Statement
Data Availability Statement
Acknowledgments
Conflicts of Interest
References
- Emile, J.F.; Abla, O.; Fraitag, S.; Horne, A.; Haroche, J.; Donadieu, J.; Requena-Caballero, L.; Jordan, M.B.; Abdel-Wahab, O.; Allen, C.E.; et al. Revised Classification of Histiocytoses and Neoplasms of the Macrophage-Dendritic Cell Lineages. Blood 2016, 127, 2672–2681. [Google Scholar] [CrossRef]
- McClain, K.L.; Bigenwald, C.; Collin, M.; Haroche, J.; Marsh, R.A.; Merad, M.; Picarsic, J.; Ribeiro, K.B.; Allen, C.E. Histiocytic Disorders. Nat. Rev. Dis. Prim. 2021, 7, 73. [Google Scholar] [CrossRef]
- Emile, J.F.; Cohen-Aubart, F.; Collin, M.; Fraitag, S.; Idbaih, A.; Abdel-Wahab, O.; Rollins, B.J.; Donadieu, J.; Haroche, J. Histiocytosis. Lancet 2021, 398, 157–170. [Google Scholar] [CrossRef]
- Goyal, G.; Young, J.R.; Koster, M.J.; Tobin, W.O.; Vassallo, R.; Ryu, J.H.; Davidge-Pitts, C.J.; Hurtado, M.D.; Ravindran, A.; Sartori Valinotti, J.C.; et al. The Mayo Clinic Histiocytosis Working Group Consensus Statement for the Diagnosis and Evaluation of Adult Patients With Histiocytic Neoplasms: Erdheim-Chester Disease, Langerhans Cell Histiocytosis, and Rosai-Dorfman Disease. Mayo Clin. Proc. 2019, 94, 2054–2071. [Google Scholar] [CrossRef] [PubMed]
- Goyal, G.; Heaney, M.L.; Collin, M.; Cohen-Aubart, F.; Vaglio, A.; Durham, B.H.; Hershkovitz-Rokah, O.; Girschikofsky, M.; Jacobsen, E.D.; Toyama, K.; et al. Erdheim-Chester Disease: Consensus Recommendations for Evaluation, Diagnosis, and Treatment in the Molecular Era. Blood 2020, 135, 1929–1945. [Google Scholar] [CrossRef]
- Cohen Aubart, F.; Emile, J.F.; Carrat, F.; Charlotte, F.; Benameur, N.; Donadieu, J.; Maksud, P.; Idbaih, A.; Barete, S.; Hoang-Xuan, K.; et al. Targeted Therapies in 54 Patients with Erdheim-Chester Disease, Including Follow-up after Interruption (the LOVE Study). Blood 2017, 130, 1377–1380. [Google Scholar] [CrossRef] [PubMed]
- Haroche, J.; Cohen-Aubart, F.; Amoura, Z. Erdheim-Chester Disease. Blood 2020, 135, 1311–1318. [Google Scholar] [CrossRef] [PubMed]
- Goyal, G.; Ravindran, A.; Young, J.R.; Shah, M.V.; Bennani, N.N.; Patnaik, M.M.; Nowakowski, G.S.; Thanarajasingam, G.; Habermann, T.M.; Vassallo, R.; et al. Clinicopathological Features, Treatment Approaches, and Outcomes in Rosai-Dorfman Disease. Haematologica 2020, 105, 348–357. [Google Scholar] [CrossRef] [PubMed]
- Bonometti, A.; Berti, E. Reticulohistiocytoses: A Revision of the Full Spectrum. J. Eur. Acad. Dermatol. Venereol. 2020, 34, 1684–1694. [Google Scholar] [CrossRef]
- Abeykoon, J.P.; Ravindran, A.; Rech, K.L.; Young, J.R.; Oliver Tobin, W.; Shah, M.V.; Nora Bennani, N.; Vassallo, R.; Ryu, J.H.; Koster, M.J.; et al. Mimics of Erdheim-Chester Disease. Br. J. Haematol. 2022, 196, 984–994. [Google Scholar] [CrossRef]
- Chasset, F.; Haroche, J. Cutaneous Manifestations of Paediatric Erdheim-Chester Disease, a Histiocytosis of the “L” Group. Br. J. Dermatol. 2018, 178, 31–32. [Google Scholar] [CrossRef]
- Martínez-López, J.; Márquez, A.; Pegoraro, F.; Ortiz-Fernández, L.; Acosta-Herrera, M.; Kerick, M.; Gelain, E.; Diamond, E.L.; Durham, B.H.; Abdel-Wahab, O.; et al. Genome-Wide Association Study Identifies the First Germline Genetic Variant Associated with Erdheim Chester Disease. Arthritis Rheumatol. 2023. [Google Scholar] [CrossRef]
- Abla, O.; Jacobsen, E.; Picarsic, J.; Krenova, Z.; Jaffe, R.; Emile, J.F.; Durham, B.H.; Braier, J.; Charlotte, F.; Donadieu, J.; et al. Consensus Recommendations for the Diagnosis and Clinical Management of Rosai-Dorfman-Destombes Disease. Blood 2018, 131, 2877–2890. [Google Scholar] [CrossRef] [PubMed]
- Ozkaya, N.; Rosenblum, M.K.; Durham, B.H.; Pichardo, J.D.; Abdel-Wahab, O.; Hameed, M.R.; Busam, K.J.; Travis, W.D.; Diamond, E.L.; Dogan, A. The Histopathology of Erdheim-Chester Disease: A Comprehensive Review of a Molecularly Characterized Cohort. Mod. Pathol. 2018, 31, 581–597. [Google Scholar] [CrossRef] [PubMed]
- Hazim, A.Z.; Acosta-Medina, A.A.; Young, J.R.; Ruan, G.J.; Abeykoon, J.P.; Ravindran, A.; Vassallo, R.; Ryu, J.H.; Tobin, W.O.; Koster, M.J.; et al. Classical and Non-Classical Phenotypes of Erdheim-Chester Disease: Correlating Clinical, Radiographic and Genotypic Findings. Br. J. Haematol. 2022, 199, 454–457. [Google Scholar] [CrossRef]
- Nelson, A.C.; Turbyville, T.J.; Dharmaiah, S.; Rigby, M.; Yang, R.; Wang, T.Y.; Columbus, J.; Stephens, R.; Taylor, T.; Sciacca, D.; et al. RAS Internal Tandem Duplication Disrupts GTPase-Activating Protein (GAP) Binding to Activate Oncogenic Signaling. J. Biol. Chem. 2020, 295, 9335–9348. [Google Scholar] [CrossRef]
- Diamond, E.L.; Durham, B.H.; Ulaner, G.A.; Drill, E.; Buthorn, J.; Ki, M.; Bitner, L.; Cho, H.; Young, R.J.; Francis, J.H.; et al. Efficacy of MEK Inhibition in Patients with Histiocytic Neoplasms. Nature 2019, 567, 521–524. [Google Scholar] [CrossRef] [PubMed]
- Andrlová, H.; Zeiser, R.; Meiss, F. Cobimetinib (GDC-0973, XL518). Recent Results Cancer Res. 2018, 211, 177–186. [Google Scholar] [CrossRef] [PubMed]
- Rees, M.J.; Dickinson, M.; Paterson, J.; Ng, T.F.; Grigg, A.; Moore, J.; Blombery, P.; Seymour, J.F. Targeting the BRAF Pathway in Haematological Diseases. Intern. Med. J. 2023, 53, 845–849. [Google Scholar] [CrossRef] [PubMed]
- Geerlinks, A.V.; Abla, O. Treatment of Langerhans Cell Histiocytosis and Histiocytic Disorders: A Focus on MAPK Pathway Inhibitors. Paediatr. Drugs 2023, 25, 399–409. [Google Scholar] [CrossRef]
- Wada, F.; Hiramoto, N.; Yamashita, D.; Hara, S.; Furukawa, Y.; Ishii, J.; Nagata, K.; Nannya, Y.; Ogawa, S.; Ishikawa, T. Dramatic Response to Encorafenib in a Patient with Erdheim-Chester Disease Harboring the BRAFV600E Mutation. Am. J. Hematol. 2021, 96, E295–E298. [Google Scholar] [CrossRef] [PubMed]
- Salama, H.A.; Jazieh, A.R.; Alhejazi, A.Y.; Absi, A.; Alshieban, S.; Alzahrani, M.; Alaskar, A.; Gmati, G.; Damlaj, M.; Abuelgasim, K.A.; et al. Highlights of the Management of Adult Histiocytic Disorders: Langerhans Cell Histiocytosis, Erdheim-Chester Disease, Rosai-Dorfman Disease, and Hemophagocytic Lymphohistiocytosis. Clin. Lymphoma. Myeloma Leuk. 2021, 21, e66–e75. [Google Scholar] [CrossRef]
- Pegoraro, F.; Maniscalco, V.; Peyronel, F.; Westenend, P.J.; Hendriksz, T.R.; Roperto, R.M.; Palumbo, A.A.; Sieni, E.; Romagnani, P.; Van Bommel, E.F.H.; et al. Long-Term Follow-up of MTOR Inhibition for Erdheim-Chester Disease. Blood 2020, 135, 1994–1997. [Google Scholar] [CrossRef] [PubMed]
- Cohen-Aubart, F.; Emile, J.F.; Carrat, F.; Helias-Rodzewicz, Z.; Taly, V.; Charlotte, F.; Cluzel, P.; Donadieu, J.; Idbaih, A.; Barete, S.; et al. Phenotypes and Survival in Erdheim-Chester Disease: Results from a 165-Patient Cohort. Am. J. Hematol. 2018, 93, E114–E117. [Google Scholar] [CrossRef] [PubMed]
- Reiner, A.S.; Durham, B.H.; Yabe, M.; Petrova-Drus, K.; Francis, J.H.; Rampal, R.K.; Lacouture, M.E.; Rotemberg, V.; Abdel-Wahab, O.; Panageas, K.S.; et al. Outcomes after Interruption of Targeted Therapy in Patients with Histiocytic Neoplasms. Br. J. Haematol. 2023. [Google Scholar] [CrossRef]
- Go, R.S.; Jacobsen, E.; Baiocchi, R.; Buhtoiarov, I.; Butler, E.B.; Campbell, P.K.; Coulter, D.W.; Diamond, E.; Flagg, A.; Goodman, A.M.; et al. Histiocytic Neoplasms, Version 2.2021, NCCN Clinical Practice Guidelines in Oncology. J. Natl. Compr. Canc. Netw. 2021, 19, 1277–1303. [Google Scholar] [CrossRef]
- Doe-Tetteh, S.A.; Camp, S.Y.; Reales, D.; Crowdis, J.; Noronha, A.M.; Wolff, B.; Alano, T.; Galle, J.; Selcuklu, S.D.; Viale, A.; et al. Overcoming Barriers to Tumor Genomic Profiling through Direct-to-Patient Outreach. Clin. Cancer Res. 2023, 29, OF1–OF11. [Google Scholar] [CrossRef]




| L Group |
|
|
|
|
| C Group |
|
|
| R Group |
|
|
| M Group |
|
|
| H Group |
|
|
|
Disclaimer/Publisher’s Note: The statements, opinions and data contained in all publications are solely those of the individual author(s) and contributor(s) and not of MDPI and/or the editor(s). MDPI and/or the editor(s) disclaim responsibility for any injury to people or property resulting from any ideas, methods, instructions or products referred to in the content. |
© 2023 by the authors. Licensee MDPI, Basel, Switzerland. This article is an open access article distributed under the terms and conditions of the Creative Commons Attribution (CC BY) license (https://creativecommons.org/licenses/by/4.0/).
Share and Cite
Riancho, J.A.; Hernández, J.L.; González-Vela, C.; López-Sundh, A.E.; González-Lopez, M.A.; Gomez de la Fuente, F.; Quirce, R.; Diamond, E.L. Erdheim–Chester Disease Due to a Novel Internal Duplication of NRAS: Response to Targeted Therapy with Cobimetinib. Int. J. Mol. Sci. 2023, 24, 15467. https://doi.org/10.3390/ijms242015467
Riancho JA, Hernández JL, González-Vela C, López-Sundh AE, González-Lopez MA, Gomez de la Fuente F, Quirce R, Diamond EL. Erdheim–Chester Disease Due to a Novel Internal Duplication of NRAS: Response to Targeted Therapy with Cobimetinib. International Journal of Molecular Sciences. 2023; 24(20):15467. https://doi.org/10.3390/ijms242015467
Chicago/Turabian StyleRiancho, José A., José L. Hernández, Carmen González-Vela, Ana E. López-Sundh, Marcos A. González-Lopez, Francisco Gomez de la Fuente, Remedios Quirce, and Eli L. Diamond. 2023. "Erdheim–Chester Disease Due to a Novel Internal Duplication of NRAS: Response to Targeted Therapy with Cobimetinib" International Journal of Molecular Sciences 24, no. 20: 15467. https://doi.org/10.3390/ijms242015467
APA StyleRiancho, J. A., Hernández, J. L., González-Vela, C., López-Sundh, A. E., González-Lopez, M. A., Gomez de la Fuente, F., Quirce, R., & Diamond, E. L. (2023). Erdheim–Chester Disease Due to a Novel Internal Duplication of NRAS: Response to Targeted Therapy with Cobimetinib. International Journal of Molecular Sciences, 24(20), 15467. https://doi.org/10.3390/ijms242015467

