Optic Nerve Structural and Functional Changes in LHON-Affected and Asymptomatic Maternal Relatives: Association with H and HV Mitochondrial Haplogroups
Abstract
1. Introduction
2. Results
2.1. Demographics and Genetic Analysis
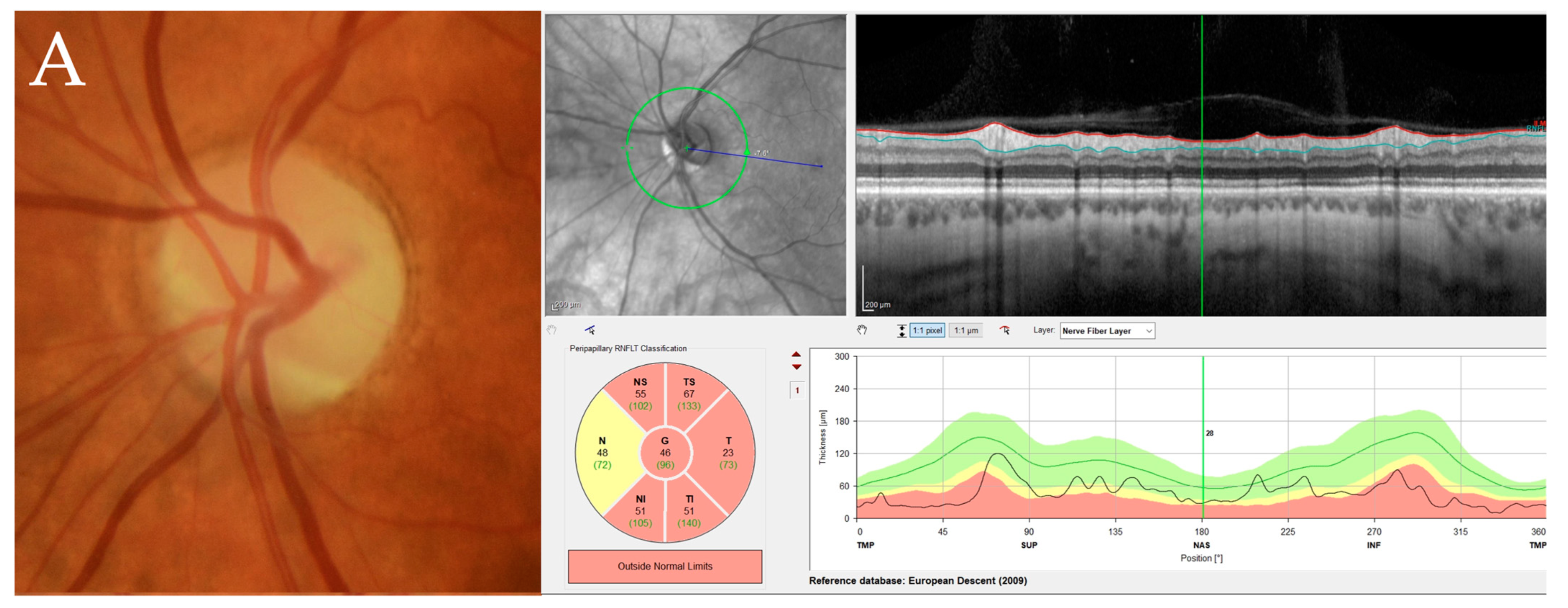
2.2. Visual Acuity Data and Optic Nerve Head Structural Findings
2.3. Optic Nerve Function, Mitochondrial Variants, Heteroplasmy, and Haplogroup
2.4. Idebenone Treatment
3. Discussion
4. Materials and Methods
5. Conclusions
Author Contributions
Funding
Institutional Review Board Statement
Informed Consent Statement
Data Availability Statement
Acknowledgments
Conflicts of Interest
References
- Leber, T. On hereditary and congenital optic nerve disorders. Graefes Arh. Ophthalmol. 1871, 17, 249–291. [Google Scholar] [CrossRef]
- Mackey, D.A.; Oostra, R.J.; Rosenberg, T.; Nikoskelainen, E.; Bronte-Stewart, J.; Poulton, J.; Harding, A.E.; Govan, G.; Bolhuis, P.A.; Norby, S. Primary pathogenic mtDNA mutations in multigeneration pedigrees with Leber hereditary optic neuropathy. Am. J. Hum. Genet. 1996, 59, 481–485. [Google Scholar] [PubMed]
- Fraser, J.A.; Biousse, V.; Newman, N.J. The neuro-ophthalmology of mitochondrial disease. Surv. Ophthalmol. 2010, 55, 299–334. [Google Scholar] [CrossRef] [PubMed]
- Kim, J.Y.; Hwang, J.M.; Park, S.S. Mitochondrial DNA C4171A/ND1 is a novel primary causative mutation of Leber’s hereditary optic neuropathy with a good prognosis. Ann. Neurol. 2002, 51, 630–634. [Google Scholar] [CrossRef] [PubMed]
- Valentino, M.L.; Barboni, P.; Ghelli, A.; Bucchi, L.; Rengo, C.; Achilli, A.; Torroni, A.; Lugaresi, A.; Lodi, R.; Barbiroli, B.; et al. The ND1 gene of complex I is a mutational hot spot for Leber’s hereditary optic neuropathy. Ann. Neurol. 2004, 56, 631–641. [Google Scholar] [CrossRef]
- Brown, M.D.; Starikovskaya, E.; Derbeneva, O.; Hosseini, S.; Allen, J.C.; Mikhailovskaya, I.E.; Sukernik, R.I.; Wallace, D.C. The role of mtDNA background in disease expression: A new primary LHON mutation associated with Western Eurasian haplogroup J. Hum. Genet. 2002, 110, 130–138. [Google Scholar] [CrossRef]
- Gropman, A.; Chen, T.J.; Perng, C.L.; Krasnewich, D.; Chernoff, E.; Tifft, C.; Wong, L.J. Variable clinical manifestation of homoplasmic G14459A mitochondrial DNA mutation. Am. J. Med. Genet. A 2004, 124A, 377–382. [Google Scholar] [CrossRef]
- Tarnopolsky, M.A.; Baker, S.K.; Myint, T.; Maxner, C.E.; Robitaille, J.; Robinson, B.H. Clinical variability in maternally inherited leber hereditary optic neuropathy with the G14459A mutation. Am. J. Med. Genet. A 2004, 124A, 372–376. [Google Scholar] [CrossRef]
- Howell, N.; Mackey, D.A. Low-penetrance branches in matrilineal pedigrees with Leber hereditary optic neuropathy. Am. J. Hum. Genet. 1998, 63, 1220–1224. [Google Scholar] [CrossRef]
- Stenton, S.L.; Sheremet, N.L.; Catarino, C.B.; Andreeva, N.A.; Assouline, Z.; Barboni, P.; Barel, O.; Berutti, R.; Bychkov, I.; Caporali, L.; et al. Impaired complex I repair causes recessive Leber’s hereditary optic neuropathy. J. Clin. Investig. 2021, 131, 1–12. [Google Scholar] [CrossRef]
- Puomila, A.; Hamalainen, P.; Kivioja, S.; Savontaus, M.L.; Koivumaki, S.; Huoponen, K.; Nikoskelainen, E. Epidemiology and penetrance of Leber hereditary optic neuropathy in Finland. Eur. J. Hum. Genet. 2007, 15, 1079–1089. [Google Scholar] [CrossRef]
- Yu-Wai-Man, P.; Griffiths, P.G.; Hudson, G.; Chinnery, P.F. Inherited mitochondrial optic neuropathies. J. Med. Genet. 2009, 46, 145–158. [Google Scholar] [CrossRef]
- Giordano, C.; Montopoli, M.; Perli, E.; Orlandi, M.; Fantin, M.; Ross-Cisneros, F.N.; Caparrotta, L.; Martinuzzi, A.; Ragazzi, E.; Ghelli, A.; et al. Oestrogens ameliorate mitochondrial dysfunction in Leber’s hereditary optic neuropathy. Brain 2011, 134, 220–234. [Google Scholar] [CrossRef]
- Kirkman, M.A.; Yu-Wai-Man, P.; Korsten, A.; Leonhardt, M.; Dimitriadis, K.; De Coo, I.F.; Klopstock, T.; Chinnery, P.F. Gene-environment interactions in Leber hereditary optic neuropathy. Brain 2009, 132, 2317–2326. [Google Scholar] [CrossRef]
- Sadun, A.A.; Salomao, S.R.; Berezovsky, A.; Sadun, F.; Denegri, A.M.; Quiros, P.A.; Chicani, F.; Ventura, D.; Barboni, P.; Sherman, J.; et al. Subclinical carriers and conversions in Leber hereditary optic neuropathy: A prospective psychophysical study. Trans. Am. Ophthalmol. Soc. 2006, 104, 51–61. [Google Scholar]
- Guy, J.; Feuer, W.J.; Porciatti, V.; Schiffman, J.; Abukhalil, F.; Vandenbroucke, R.; Rosa, P.R.; Lam, B.L. Retinal ganglion cell dysfunction in asymptomatic G11778A: Leber hereditary optic neuropathy. Investig. Ophthalmol. Vis. Sci. 2014, 55, 841–848. [Google Scholar] [CrossRef]
- Brown, M.D.; Sun, F.; Wallace, D.C. Clustering of Caucasian Leber hereditary optic neuropathy patients containing the 11778 or 14484 mutations on an mtDNA lineage. Am. J. Hum. Genet. 1997, 60, 381–387. [Google Scholar]
- Torroni, A.; Petrozzi, M.; D’Urbano, L.; Sellitto, D.; Zeviani, M.; Carrara, F.; Carducci, C.; Leuzzi, V.; Carelli, V.; Barboni, P.; et al. Haplotype and phylogenetic analyses suggest that one European-specific mtDNA background plays a role in the expression of Leber hereditary optic neuropathy by increasing the penetrance of the primary mutations 11778 and 14484. Am. J. Hum. Genet. 1997, 60, 1107–1121. [Google Scholar]
- Hudson, G.; Carelli, V.; Spruijt, L.; Gerards, M.; Mowbray, C.; Achilli, A.; Pyle, A.; Elson, J.; Howell, N.; La Morgia, C.; et al. Clinical expression of Leber hereditary optic neuropathy is affected by the mitochondrial DNA-haplogroup background. Am. J. Hum. Genet. 2007, 81, 228–233. [Google Scholar] [CrossRef]
- Howell, N.; Herrnstadt, C.; Shults, C.; Mackey, D.A. Low penetrance of the 14484 LHON mutation when it arises in a non-haplogroup J mtDNA background. Am. J. Med. Genet. A 2003, 119A, 147–151. [Google Scholar] [CrossRef]
- Ghabaee, M.; Omranisikaroudi, M.; Amrisaroukolaei, S.; Meysamie, A.; Sahraian, M.A.; Bayati, A.; Sanati, M.H.; Houshman, M.; Sadeghian, H.; Vajihazaman, K. Mitochondrial mutation in Iranian patients with multiple sclerosis, correlation between haplogroups H, A and clinical manifestations. Cell Mol. Neurobiol. 2009, 29, 341–346. [Google Scholar] [CrossRef] [PubMed]
- Ding, Y.; Ye, Y.F.; Li, M.Y.; Xia, B.H.; Leng, J.H. Mitochondrial tRNAAla 5601C>T variant may affect the clinical expression of the LHONrelated ND4 11778G>A mutation in a family. Mol. Med. Rep. 2020, 21, 201–208. [Google Scholar] [CrossRef] [PubMed]
- Zhang, A.M.; Jia, X.; Bi, R.; Salas, A.; Li, S.; Xiao, X.; Wang, P.; Guo, X.; Kong, Q.P.; Zhang, Q.; et al. Mitochondrial DNA haplogroup background affects LHON, but not suspected LHON, in Chinese patients. PLoS ONE 2011, 6, e27750. [Google Scholar] [CrossRef] [PubMed]
- Piotrowska-Nowak, A.; Krawczynski, M.R.; Kosior-Jarecka, E.; Ambroziak, A.M.; Korwin, M.; Oldak, M.; Tonska, K.; Bartnik, E. Mitochondrial genome variation in male LHON patients with the m.11778G > A mutation. Metab. Brain Dis. 2020, 35, 1317–1327. [Google Scholar] [CrossRef] [PubMed]
- Gleeson, M. What Are the Most Common mtDNA Subclades in Ireland? Available online: https://dnaandfamilytreeresearch.blogspot.com/2020/03/what-are-most-common-mtdna-subclades-in.html#:~:text=Here%20are%20the%20analyses%20for,with%20various%20hotspots%20(including%20Ireland) (accessed on 4 October 2021).
- Sokol, S. Abnormal evoked potential latencies in amblyopia. Br. J. Ophthalmol. 1983, 67, 310–314. [Google Scholar] [CrossRef] [PubMed]
- Guagliano, R.; Barilla, D.; Bertone, C.; Montescani, S.; Verticchio Vercellin, A.C.; Arpa, C.; Tinelli, C.; De Angelis, G.; Quaranta, L. Evaluation of macular and optic nerve head parameters in amblyopic eyes: An optical coherence tomography study. Eur. J. Ophthalmol. 2022, 32, 1991–1996. [Google Scholar] [CrossRef]
- Robaei, D.; Rose, K.A.; Ojaimi, E.; Kifley, A.; Martin, F.J.; Mitchell, P. Causes and associations of amblyopia in a population-based sample of 6-year-old Australian children. Arch Ophthalmol. 2006, 124, 878–884. [Google Scholar] [CrossRef]
- Cumberland, P.M.; Pathai, S.; Rahi, J.S.; Millennium Cohort Study Child Health Group. Prevalence of eye disease in early childhood and associated factors: Findings from the millennium cohort study. Ophthalmology 2010, 117, 2184–2190.e3. [Google Scholar] [CrossRef]
- Friedman, D.S.; Repka, M.X.; Katz, J.; Giordano, L.; Ibironke, J.; Hawse, P.; Tielsch, J.M. Prevalence of amblyopia and strabismus in white and African American children aged 6 through 71 months the Baltimore Pediatric Eye Disease Study. Ophthalmology 2009, 116, 2128–2134.e2. [Google Scholar] [CrossRef]
- Chia, A.; Dirani, M.; Chan, Y.H.; Gazzard, G.; Au Eong, K.G.; Selvaraj, P.; Ling, Y.; Quah, B.L.; Young, T.L.; Mitchell, P.; et al. Prevalence of amblyopia and strabismus in young singaporean chinese children. Investig. Ophthalmol. Vis. Sci. 2010, 51, 3411–3417. [Google Scholar] [CrossRef]
- Ohden, K.L.; Tang, P.H.; Lilley, C.C.; Lee, M.S. Atypical Leber Hereditary Optic Neuropathy: 18 Year Interval Between Eyes. J. Neuroophthalmol. 2016, 36, 304. [Google Scholar] [CrossRef]
- Yu-Wai-Man, P. Therapeutic Approaches to Inherited Optic Neuropathies. Semin. Neurol. 2015, 35, 578–586. [Google Scholar] [CrossRef]
- Moura-Coelho, N.; Pinto Proenca, R.; Tavares Ferreira, J.; Cunha, J.P. Late-onset Leber’s hereditary optic neuropathy: The role of environmental factors in hereditary diseases. BMJ Case Rep. 2019, 12, e227977. [Google Scholar] [CrossRef]
- Catarino, C.B.; von Livonius, B.; Priglinger, C.; Banik, R.; Matloob, S.; Tamhankar, M.A.; Castillo, L.; Friedburg, C.; Halfpenny, C.A.; Lincoln, J.A.; et al. Real-World Clinical Experience with Idebenone in the Treatment of Leber Hereditary Optic Neuropathy. J. Neuroophthalmol. 2020, 40, 558–565. [Google Scholar] [CrossRef]
- van Everdingen, J.A.M.; Pott, J.W.R.; Bauer, N.J.C.; Krijnen, A.M.; Lushchyk, T.; Wubbels, R.J. Clinical outcomes of treatment with idebenone in Leber’s hereditary optic neuropathy in the Netherlands: A national cohort study. Acta Ophthalmol. 2022, 100, 700–706. [Google Scholar] [CrossRef]
- Stephenson, K.A.J.; McAndrew, J.; Kenna, P.F.; Cassidy, L. The Natural History of Leber’s Hereditary Optic Neuropathy in an Irish Population and Assessment for Prognostic Biomarkers. Neuroophthalmology 2022, 46, 159–170. [Google Scholar] [CrossRef]
- Barnils, N.; Mesa, E.; Munoz, S.; Ferrer-Artola, A.; Arruga, J. Response to idebenone and multivitamin therapy in Leber’s hereditary optic neuropathy. Arch. Soc. Esp. Oftalmol. 2007, 82, 377–380. [Google Scholar] [CrossRef]
- Kieninger, S.; Xiao, T.; Weisschuh, N.; Kohl, S.; Ruther, K.; Kroisel, P.M.; Brockmann, T.; Knappe, S.; Kellner, U.; Lagreze, W.; et al. DNAJC30 disease-causing gene variants in a large Central European cohort of patients with suspected Leber’s hereditary optic neuropathy and optic atrophy. J. Med. Genet. 2022, 59, 1027–1034. [Google Scholar] [CrossRef]
- Stenton, S.L.; Tesarova, M.; Sheremet, N.L.; Catarino, C.B.; Carelli, V.; Ciara, E.; Curry, K.; Engvall, M.; Fleming, L.R.; Freisinger, P.; et al. DNAJC30 defect: A frequent cause of recessive Leber hereditary optic neuropathy and Leigh syndrome. Brain 2022, 145, 1624–1631. [Google Scholar] [CrossRef]
- Wiggs, J.L. DNAJC30 biallelic mutations extend mitochondrial complex I-deficient phenotypes to include recessive Leber’s hereditary optic neuropathy. J. Clin. Investig. 2021, 131, e147734. [Google Scholar] [CrossRef]
- Tonagel, F.; Wilhelm, H.; Kelbsch, C.; Richter, P. Characteristics of peripapillary retinal nerve fiber layer atrophy in glaucoma, optic nerve sheath meningioma, and sphenoid wing meningioma. Graefes Arch. Clin. Exp. Ophthalmol. 2022, 260, 577–581. [Google Scholar] [CrossRef] [PubMed]
- Carbonelli, M.; La Morgia, C.; Romagnoli, M.; Amore, G.; D’Agati, P.; Valentino, M.L.; Caporali, L.; Cascavilla, M.L.; Battista, M.; Borrelli, E.; et al. Capturing the Pattern of Transition from Carrier to Affected in Leber Hereditary Optic Neuropathy. Am. J. Ophthalmol. 2022, 241, 71–79. [Google Scholar] [CrossRef] [PubMed]
- Yu-Wai-Man, P.; Griffiths, P.G.; Chinnery, P.F. Mitochondrial optic neuropathies—Disease mechanisms and therapeutic strategies. Prog. Retin. Eye Res. 2011, 30, 81–114. [Google Scholar] [CrossRef] [PubMed]
- Savini, G.; Barboni, P.; Valentino, M.L.; Montagna, P.; Cortelli, P.; De Negri, A.M.; Sadun, F.; Bianchi, S.; Longanesi, L.; Zanini, M.; et al. Retinal nerve fiber layer evaluation by optical coherence tomography in unaffected carriers with Leber’s hereditary optic neuropathy mutations. Ophthalmology 2005, 112, 127–131. [Google Scholar] [CrossRef]
- Sadun, A.A.; Carelli, V.; Salomao, S.R.; Berezovsky, A.; Quiros, P.A.; Sadun, F.; DeNegri, A.M.; Andrade, R.; Moraes, M.; Passos, A.; et al. Extensive investigation of a large Brazilian pedigree of 11778/haplogroup J Leber hereditary optic neuropathy. Am. J. Ophthalmol. 2003, 136, 231–238. [Google Scholar] [CrossRef]
- Day, A.C.; Donachie, P.H.; Sparrow, J.M.; Johnston, R.L.; Royal College of Ophthalmologists’ National Ophthalmology Database. The Royal College of Ophthalmologists’ National Ophthalmology Database study of cataract surgery: Report 1, visual outcomes and complications. Eye 2015, 29, 552–560. [Google Scholar] [CrossRef]
- Mitchell, S.L.; Goodloe, R.; Brown-Gentry, K.; Pendergrass, S.A.; Murdock, D.G.; Crawford, D.C. Characterization of mitochondrial haplogroups in a large population-based sample from the United States. Hum. Genet. 2014, 133, 861–868. [Google Scholar] [CrossRef]
- Robinson, J.T.; Thorvaldsdottir, H.; Winckler, W.; Guttman, M.; Lander, E.S.; Getz, G.; Mesirov, J.P. Integrative genomics viewer. Nat. Biotechnol. 2011, 29, 24–26. [Google Scholar] [CrossRef]




| Characteristics | LHON-Affected | Asymptomatic Carriers | |
|---|---|---|---|
| Genetic mutation | 11778G>A | N = 9 | N = 13 |
| 3460G>A | N = 1 | N = 1 | |
| 14484T>C | N = 1 | N = 1 | |
| DNAJC30 c.152A>G | N = 1 | ||
| Parent country of birth: Ireland : Ukraine | N = 11 N = 1 | N = 15 N = 1 | |
| Sex | Female/Male | 3/9 | 15/1 |
| Age (years) | Median (IQR) | 27 (19–33) | 56 (42–61) |
| Age onset | 19 (16–23.5) | ||
| 6 (2–14) |
| Characteristics | LHON-Affected | Asymptomatic Carriers | ||
|---|---|---|---|---|
| Female (n) | 25% (3) | 94% (15) | ||
| Age (years) | 27 (19, 33) | 56 (42, 61) | ||
| Median (1st quartile, 3rd quartile) | ||||
| Visual Acuity Median (1st quartile, 3rd quartile) | RE 1.8 (1.25, 2.25) | LE 1.8 (1.4, 2.1) | RE 0 (0, 0.1) | LE 0.05 (0, 0.2) |
| Optic nerve fibre layer (RNFL) | ||||
| Overall RNFL | −54 (−62, −23) | −50 (−62, −32) | 0.5 (−9, 13) | −2 (−16, 13) |
| Temporal-RNFL | −48 (−38, −48) | −46 (−50, −45) | −2 (−9, 6) | −4 (−19, 4) |
| TS-RNFL | −83 (−97, −25) | −77 (−91, −51) | −1 (−16, 14) | −11 (−24, 23) |
| NS-RNFL | −44 (−54, −23) | −47 (−56, −18) | 6 (−19, 21) | 8 (−12, 19) |
| Nasal-RNFL | −25 (−40, −10) | −24 (−39, −17) | 9 (−5, 18) | 3 (−18, 10) |
| NI-RNFL | −48 (−73, −22) | −54 (−64, 2) | 4 (−19, 27) | 5 (−21, 17) |
| TI-RNFL | −96 (−107, −41) | −89 (−111, −40) | 9 (−11, 20) | −15 (−45, 15) |
| ID | Eye | VA | Global Nerve | ON-T | ON-TS | ON-NS | ON-N | ON-NI | ON-TI | |
|---|---|---|---|---|---|---|---|---|---|---|
| LHON | C1 | RE | 1.8 | −59 | −48 | −96 | −54 | −30 | −61 | −118 |
| LE | 1.5 | −63 | −45 | −90 | −66 | −40 | −68 | −114 | ||
| C2 | RE | 2.4 | −48 | −47 | −98 | −35 | −20 | −22 | −93 | |
| LE | 2.1 | −45 | −57 | −91 | −35 | −17 | 2 | −88 | ||
| C4 | RE | 2.7 | −74 | −56 | −99 | −77 | −53 | −70 | −131 | |
| LE | 2.4 | −71 | −57 | −110 | −70 | −51 | −56 | −115 | ||
| C6 | LE | 1 | −50 | −50 | −66 | −47 | −24 | −54 | −89 | |
| C7 | RE | 1.8 | −64 | −48 | −69 | −52 | −56 | −94 | −99 | |
| LE | 1.8 | −58 | −46 | −77 | −52 | −39 | −64 | −108 | ||
| E1 | RE | 1 | 6 | 13 | −6 | −28 | −2 | 5 | 50 | |
| LE | 1 | 11 | −2 | 15 | −18 | 10 | 34 | 40 | ||
| C9 | RE | 1.6 | −61 | −44 | −97 | −54 | −35 | −80 | −103 | |
| LE | 1.9 | −62 | −47 | −95 | −56 | −36 | −78 | −111 | ||
| C10 | RE | 1.4 | −32 | −49 | −31 | −9 | −13 | −34 | −59 | |
| LE | 1.3 | −32 | −46 | −51 | 2 | −24 | −30 | −40 | ||
| E2 | RE | 1.5 | 9 | −21 | 36 | 63 | 9 | −21 | 12 | |
| LE | 1.5 | 8 | −33 | 34 | 53 | −1 | 8 | 33 | ||
| Asymptomatic | U1 | RE | 0 | 2 | 5 | −13 | −21 | 12 | 3 | 20 |
| LE | 0.2 | 0 | −3 | −19 | −32 | 11 | 12 | 23 | ||
| U2 | RE | 0 | −39 | −47 | −61 | −12 | −12 | −38 | −90 | |
| LE | 0.2 | −42 | −47 | −67 | −17 | −21 | −35 | −87 | ||
| U3 | RE | 0.1 | −7 | 10 | 1 | −13 | −16 | −27 | −2 | |
| LE | 0.2 | −12 | 0 | −13 | 3 | −19 | −21 | −21 | ||
| U4 | RE | 0.1 | 12 | −6 | −8 | 24 | 16 | 60 | −1 | |
| LE | 0.2 | 13 | −10 | 22 | 54 | 1 | 50 | −8 | ||
| U5 | RE | 0 | 23 | 13 | 1 | 38 | 26 | 42 | 22 | |
| LE | 0 | 23 | 8 | 42 | 53 | 15 | 37 | 7 | ||
| U6 | RE | 0.1 | −9 | −12 | −23 | −22 | 11 | 4 | −24 | |
| LE | 0.1 | −11 | −4 | −23 | −1 | 1 | −21 | −36 | ||
| U7 | RE | 0.1 | 4 | 2 | 13 | 9 | 5 | −20 | 14 | |
| LE | 0 | 7 | −1 | 15 | 12 | 10 | 3 | 8 | ||
| U8 | RE | 0.1 | 8 | −5 | 12 | 3 | 7 | 30 | 17 | |
| LE | 2.4 | −26 | −52 | −45 | −11 | 5 | 15 | −70 | ||
| U9 | RE | 0 | −1 | 8 | −3 | −29 | −3 | −19 | 32 | |
| LE | 0 | 2 | −5 | −1 | −14 | 4 | 4 | 32 | ||
| U10 | RE | 0 | 24 | 11 | 30 | 10 | 20 | 62 | 35 | |
| LE | 0 | 24 | 5 | 34 | 12 | 22 | 61 | 34 | ||
| U11 | RE | 0 | −9 | −12 | −10 | 20 | −10 | −16 | −30 | |
| LE | 0 | −10 | −9 | −14 | 17 | −17 | 1 | −36 | ||
| U12 | RE | 0 | 17 | 0 | 17 | 14 | 36 | 22 | 8 | |
| LE | 0.5 | 14 | 3 | 34 | 25 | 16 | −30 | 13 | ||
| U13 | RE | 0 | 20 | −2 | 38 | 31 | 24 | 26 | 20 | |
| LE | 0 | −32 | 11 | 25 | 44 | 2 | 23 | 19 | ||
| U14 | RE | 1.8 | −24 | −57 | −70 | 24 | 17 | 9 | −78 | |
| LE | 0 | −31 | −52 | −9 | 15 | −24 | −36 | −70 | ||
| U15 | RE | 0 | −5 | −2 | 18 | −28 | −13 | −22 | 9 | |
| LE | 2.1 | −40 | −48 | −36 | −27 | −23 | −37 | −80 | ||
| U16 | RE | 0.4 | −11 | −8 | −30 | −27 | −3 | −2 | −7 | |
| LE | 0 | −3 | 4 | −27 | −3 | 7 | 11 | −24 |
| ID | Eye | VA | P100 Latency (Deviation) | Visual Field Loss | Amblyopia | Mitochochondrial Mutation Heteroplasmy | Mt Haplogroup | Pedgiree | |||
|---|---|---|---|---|---|---|---|---|---|---|---|
| 3460 G>A | 11778 G>A | 14484 T>C | |||||||||
| LHON | C1 | RE | 1.8 | NR | 3 | - | 100 | H | 2 | ||
| LE | 1.5 | NR | 3 | ||||||||
| C2 | RE | 2.4 | NR | 3 | - | 100 | J | 3 | |||
| LE | 2.1 | NR | 3 | ||||||||
| C3 | RE | 0.9 | 137 (25) | 2 | - | 100 | J | 4 | |||
| LE | 0.8 | 149 (37) | 2 | ||||||||
| C4 | RE | 2.7 | NR | 4 | - | 100 | HV | 5 | |||
| LE | 2.4 | NR | 4 | ||||||||
| C5 | RE | 2.7 | 193 (81) | 4 | - | 100 | HV | 5 | |||
| LE | 2.4 | NR | 4 | ||||||||
| C6 | RE | 1 | NR | 3 | - | 80 | J | 6 | |||
| LE | 1 | NR | 3 | ||||||||
| C7 | RE | 1.8 | NR | 3 | - | 100 | HV | 7 | |||
| LE | 1.8 | NR | 3 | ||||||||
| E1 | RE | 1 | NR | 1 | + | 100 | U | 8 | |||
| LE | 1 | NR | 1 | ||||||||
| C8 | RE | 2.1 | NR | 4 | - | 100 | HV | 7 | |||
| LE | 2.1 | NR | 4 | ||||||||
| C9 | RE | 1.6 | NR | 3 | - | 100 | I | 10 | |||
| LE | 1.9 | NR | 3 | ||||||||
| C10 | RE | 1.4 | NR | 2 | - | HV | 11 | ||||
| LE | 1.3 | NR | 2 | ||||||||
| E2 | RE | 1.5 | NR | 3 | - | 100 | J | 13 | |||
| LE | 1.5 | NR | 2 | ||||||||
| Unaffected | U1 | RE | 0 | 118 (6) | 2 | + | 65 | U | 1 | ||
| LE | 0.2 | 120 (8) | 2 | ||||||||
| U2 | RE | 0 | 126 (14) | 2 | - | 98 | U | 1 | |||
| LE | 0.2 | 130 (18) | 2 | ||||||||
| U3 | RE | 0.1 | 112 (0) | 2 | - | 100 | H | 2 | |||
| LE | 0.2 | 111 (−1) | 2 | ||||||||
| U4 | RE | 0.1 | 107 (−5) | 2 | - | 100 | J | 3 | |||
| LE | 0.2 | 107 (−5) | 1 | ||||||||
| U5 | RE | 0 | NA | 2 | - | 100 | HV | 4 | |||
| LE | 0 | NA | 1 | ||||||||
| U6 | RE | 0.1 | 114 (2) | 1 | - | 100 | J | 5 | |||
| LE | 0.1 | 117 (5) | 1 | ||||||||
| U7 | RE | 0.1 | 110 (−2) | 1 | - | 88 | J | 6 | |||
| LE | 0 | 108 (−4) | 1 | ||||||||
| U8 | RE | 0.1 | 94 (−18) | 3 | + | 100 | HV | 7 | |||
| LE | 2.4 | 121 (9) | 1 | ||||||||
| U9 | RE | 0 | 107 (−5) | 1 | - | 100 | U | 8 | |||
| LE | 0 | 114 (2) | 1 | ||||||||
| U10 | RE | 0 | 102 (−10) | 1 | - | 100 | HV | 7 | |||
| LE | 0 | 106 (−6) | 1 | ||||||||
| U11 | RE | 0 | 100 (−12) | 1 | - | 100 | H | 9 | |||
| LE | 0 | 106 (−6) | 1 | ||||||||
| U12 | RE | 0 | 98 (−14) | 1 | - | 10 | I | 10 | |||
| LE | 0.5 | 97 (−15) | 1 | ||||||||
| U13 | RE | 0 | 103 (−9) | 1 | - | HV | 11 | ||||
| LE | 0 | 106 (−6) | 11 | ||||||||
| U14 | RE | 1.8 | 112 (0) | 3 | + | 100 | H | 12 | |||
| LE | 0 | 120 (+8) | 2 | ||||||||
| U15 | RE | 0 | 106 (−6) | 2 | + | 100 | H | 12 | |||
| LE | 2.1 | 125 (13) | 3 | ||||||||
| U16 | RE | 0.4 | 117 (5) | 2 | + | 100 | J | 13 | |||
| LE | 0 | 111 (−1) | 2 | ||||||||
Disclaimer/Publisher’s Note: The statements, opinions and data contained in all publications are solely those of the individual author(s) and contributor(s) and not of MDPI and/or the editor(s). MDPI and/or the editor(s) disclaim responsibility for any injury to people or property resulting from any ideas, methods, instructions or products referred to in the content. |
© 2023 by the authors. Licensee MDPI, Basel, Switzerland. This article is an open access article distributed under the terms and conditions of the Creative Commons Attribution (CC BY) license (https://creativecommons.org/licenses/by/4.0/).
Share and Cite
Quigley, C.; Stephenson, K.A.J.; Kenna, P.; Cassidy, L. Optic Nerve Structural and Functional Changes in LHON-Affected and Asymptomatic Maternal Relatives: Association with H and HV Mitochondrial Haplogroups. Int. J. Mol. Sci. 2023, 24, 1068. https://doi.org/10.3390/ijms24021068
Quigley C, Stephenson KAJ, Kenna P, Cassidy L. Optic Nerve Structural and Functional Changes in LHON-Affected and Asymptomatic Maternal Relatives: Association with H and HV Mitochondrial Haplogroups. International Journal of Molecular Sciences. 2023; 24(2):1068. https://doi.org/10.3390/ijms24021068
Chicago/Turabian StyleQuigley, Clare, Kirk A. J. Stephenson, Paul Kenna, and Lorraine Cassidy. 2023. "Optic Nerve Structural and Functional Changes in LHON-Affected and Asymptomatic Maternal Relatives: Association with H and HV Mitochondrial Haplogroups" International Journal of Molecular Sciences 24, no. 2: 1068. https://doi.org/10.3390/ijms24021068
APA StyleQuigley, C., Stephenson, K. A. J., Kenna, P., & Cassidy, L. (2023). Optic Nerve Structural and Functional Changes in LHON-Affected and Asymptomatic Maternal Relatives: Association with H and HV Mitochondrial Haplogroups. International Journal of Molecular Sciences, 24(2), 1068. https://doi.org/10.3390/ijms24021068

