T-Cadherin Deficiency Is Associated with Increased Blood Pressure after Physical Activity
Abstract
1. Introduction
2. Results
2.1. T-Cadherin-Deficient Mice Genotyping Using PCR
2.2. T-Cadherin Expression Analysis in WT and T-Cadherin-Deficient Mice Using Western Blot
2.3. Phenotypic Analysis and Resting Blood Pressure Evaluation in T-Cadherin-Deficient Mice
2.4. T-Cadherin Deficiency Is Associated with Increased Blood Pressure
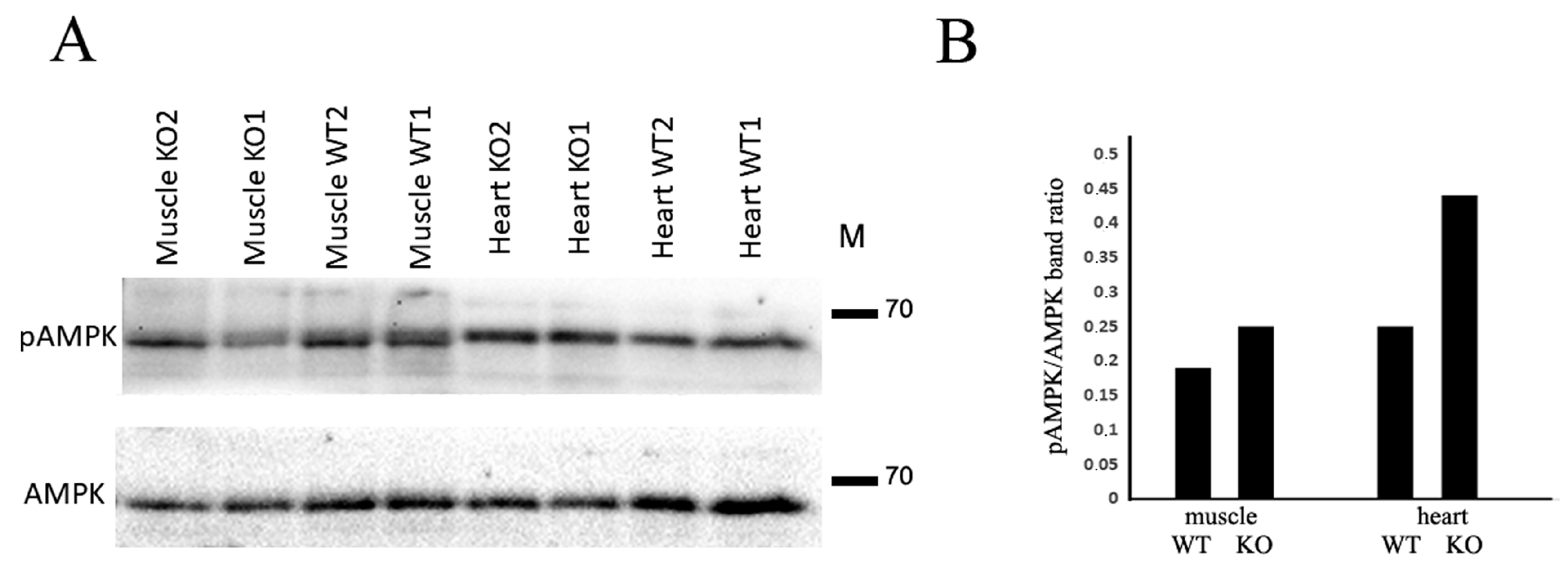
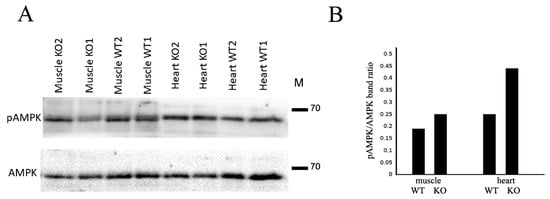
2.5. T-Cadherin Deficiency Affects Adiponectin Level and AMPK-Dependent Signaling
3. Discussion
4. Materials and Methods
4.1. Animals
4.2. Treadmill Test
4.3. PCR-Based Genotyping of Mice
4.4. cDNA Sequencing
4.5. Quantitative PCR (qPCR) Genotyping of Mice
4.6. RT-PCR for Genotyping of Mice
4.7. Western Blotting
4.8. ELISA of Adiponectin
4.9. Statistical Analysis
Supplementary Materials
Author Contributions
Funding
Institutional Review Board Statement
Data Availability Statement
Acknowledgments
Conflicts of Interest
References
- Rubina, K.A.; Semina, E.V.; Kalinina, N.I.; Sysoeva, V.Y.; Balatskiy, A.V.; Tkachuk, V.A. Revisiting the Multiple Roles of T-Cadherin in Health and Disease. Eur. J. Cell Biol. 2021, 100, 151183. [Google Scholar] [CrossRef] [PubMed]
- Hug, C.; Wang, J.; Ahmad, N.S.; Bogan, J.S.; Tsao, T.-S.; Lodish, H.F. T-Cadherin Is a Receptor for Hexameric and High-Molecular-Weight Forms of Acrp30/Adiponectin. Proc. Natl. Acad. Sci. USA 2004, 101, 10308–10313. [Google Scholar] [CrossRef] [PubMed]
- Tkachuk, V.A.; Bochkov, V.N.; Philippova, M.P.; Stambolsky, D.V.; Kuzmenko, E.S.; Sidorova, M.V.; Molokoedov, A.S.; Spirov, V.G.; Resink, T.J. Identification of an Atypical Lipoprotein-Binding Protein from Human Aortic Smooth Muscle as T-Cadherin. FEBS Lett. 1998, 421, 208–212. [Google Scholar] [CrossRef]
- Achari, A.E.; Jain, S.K. Adiponectin, a Therapeutic Target for Obesity, Diabetes, and Endothelial Dysfunction. Int. J. Mol. Sci. 2017, 18, E1321. [Google Scholar] [CrossRef]
- Zhu, D.; Zhang, Z.; Zhao, J.; Liu, D.; Gan, L.; Lau, W.B.; Xie, D.; Meng, Z.; Yao, P.; Tsukuda, J.; et al. Targeting Adiponectin Receptor 1 Phosphorylation Against Ischemic Heart Failure. Circ. Res. 2022, 131, e34–e50. [Google Scholar] [CrossRef] [PubMed]
- Balatskaya, M.N.; Sharonov, G.V.; Baglay, A.I.; Rubtsov, Y.P.; Tkachuk, V.A. Different Spatiotemporal Organization of GPI-Anchored T-Cadherin in Response to Low-Density Lipoprotein and Adiponectin. Biochim. Biophys. Acta Gen. Subj. 2019, 1863, 129414. [Google Scholar] [CrossRef]
- Denzel, M.S.; Scimia, M.-C.; Zumstein, P.M.; Walsh, K.; Ruiz-Lozano, P.; Ranscht, B. T-Cadherin Is Critical for Adiponectin-Mediated Cardioprotection in Mice. J. Clin. Investig. 2010, 120, 4342–4352. [Google Scholar] [CrossRef]
- Parker-Duffen, J.L.; Nakamura, K.; Silver, M.; Kikuchi, R.; Tigges, U.; Yoshida, S.; Denzel, M.S.; Ranscht, B.; Walsh, K. T-Cadherin Is Essential for Adiponectin-Mediated Revascularization. J. Biol. Chem. 2013, 288, 24886–24897. [Google Scholar] [CrossRef]
- Tsugawa-Shimizu, Y.; Fujishima, Y.; Kita, S.; Minami, S.; Sakaue, T.-A.; Nakamura, Y.; Okita, T.; Kawachi, Y.; Fukada, S.; Namba-Hamano, T.; et al. Increased Vascular Permeability and Severe Renal Tubular Damage after Ischemia-Reperfusion Injury in Mice Lacking Adiponectin or T-Cadherin. Am. J. Physiol. Endocrinol. Metab. 2021, 320, E179–E190. [Google Scholar] [CrossRef]
- Obata, Y.; Kita, S.; Koyama, Y.; Fukuda, S.; Takeda, H.; Takahashi, M.; Fujishima, Y.; Nagao, H.; Masuda, S.; Tanaka, Y.; et al. Adiponectin/T-Cadherin System Enhances Exosome Biogenesis and Decreases Cellular Ceramides by Exosomal Release. JCI Insight 2018, 3, e99680. [Google Scholar] [CrossRef]
- Tanaka, Y.; Kita, S.; Nishizawa, H.; Fukuda, S.; Fujishima, Y.; Obata, Y.; Nagao, H.; Masuda, S.; Nakamura, Y.; Shimizu, Y.; et al. Adiponectin Promotes Muscle Regeneration through Binding to T-Cadherin. Sci. Rep. 2019, 9, 16. [Google Scholar] [CrossRef] [PubMed]
- Nakamura, Y.; Kita, S.; Tanaka, Y.; Fukuda, S.; Obata, Y.; Okita, T.; Nishida, H.; Takahashi, Y.; Kawachi, Y.; Tsugawa-Shimizu, Y.; et al. Adiponectin Stimulates Exosome Release to Enhance Mesenchymal Stem-Cell-Driven Therapy of Heart Failure in Mice. Mol. Ther. J. Am. Soc. Gene Ther. 2020, 28, 2203–2219. [Google Scholar] [CrossRef] [PubMed]
- Spijkers, L.J.A.; van den Akker, R.F.P.; Janssen, B.J.A.; Debets, J.J.; De Mey, J.G.R.; Stroes, E.S.G.; van den Born, B.-J.H.; Wijesinghe, D.S.; Chalfant, C.E.; MacAleese, L.; et al. Hypertension Is Associated with Marked Alterations in Sphingolipid Biology: A Potential Role for Ceramide. PLoS ONE 2011, 6, e21817. [Google Scholar] [CrossRef] [PubMed]
- Org, E.; Eyheramendy, S.; Juhanson, P.; Gieger, C.; Lichtner, P.; Klopp, N.; Veldre, G.; Döring, A.; Viigimaa, M.; Sõber, S.; et al. Genome-Wide Scan Identifies CDH13 as a Novel Susceptibility Locus Contributing to Blood Pressure Determination in Two European Populations. Hum. Mol. Genet. 2009, 18, 2288–2296. [Google Scholar] [CrossRef]
- Ivanov, D.; Philippova, M.; Antropova, J.; Gubaeva, F.; Iljinskaya, O.; Tararak, E.; Bochkov, V.; Erne, P.; Resink, T.; Tkachuk, V. Expression of Cell Adhesion Molecule T-Cadherin in the Human Vasculature. Histochem. Cell Biol. 2001, 115, 231–242. [Google Scholar] [CrossRef]
- The Human Protein Atlas. Available online: https://www.proteinatlas.org/ (accessed on 16 July 2023).
- Shibata, R.; Ouchi, N.; Ito, M.; Kihara, S.; Shiojima, I.; Pimentel, D.R.; Kumada, M.; Sato, K.; Schiekofer, S.; Ohashi, K.; et al. Adiponectin-Mediated Modulation of Hypertrophic Signals in the Heart. Nat. Med. 2004, 10, 1384–1389. [Google Scholar] [CrossRef]
- Liu, Y.; Sweeney, G. Adiponectin Action in Skeletal Muscle. Best Pract. Res. Clin. Endocrinol. Metab. 2014, 28, 33–41. [Google Scholar] [CrossRef]
- Fukuda, S.; Kita, S.; Obata, Y.; Fujishima, Y.; Nagao, H.; Masuda, S.; Tanaka, Y.; Nishizawa, H.; Funahashi, T.; Takagi, J.; et al. The Unique Prodomain of T-Cadherin Plays a Key Role in Adiponectin Binding with the Essential Extracellular Cadherin Repeats 1 and 2. J. Biol. Chem. 2017, 292, 7840–7849. [Google Scholar] [CrossRef]
- Kita, S.; Fukuda, S.; Maeda, N.; Shimomura, I. Native Adiponectin in Serum Binds to Mammalian Cells Expressing T-Cadherin, but Not AdipoRs or Calreticulin. eLife 2019, 8, e48675. [Google Scholar] [CrossRef]
- Fujishima, Y.; Maeda, N.; Matsuda, K.; Masuda, S.; Mori, T.; Fukuda, S.; Sekimoto, R.; Yamaoka, M.; Obata, Y.; Kita, S.; et al. Adiponectin Association with T-Cadherin Protects against Neointima Proliferation and Atherosclerosis. FASEB J. 2017, 31, 1571–1583. [Google Scholar] [CrossRef]
- Okamoto, Y.; Kihara, S.; Ouchi, N.; Nishida, M.; Arita, Y.; Kumada, M.; Ohashi, K.; Sakai, N.; Shimomura, I.; Kobayashi, H.; et al. Adiponectin Reduces Atherosclerosis in Apolipoprotein E-Deficient Mice. Circulation 2002, 106, 2767–2770. [Google Scholar] [CrossRef]
- Wang, H.; Tao, L.; Ambrosio, A.; Yan, W.; Summer, R.; Lau, W.B.; Wang, Y.; Ma, X. T-Cadherin Deficiency Increases Vascular Vulnerability in T2DM through Impaired NO Bioactivity. Cardiovasc. Diabetol. 2017, 16, 12. [Google Scholar] [CrossRef] [PubMed][Green Version]
- Kim, D.H.; Kim, C.; Ding, E.L.; Townsend, M.K.; Lipsitz, L.A. Adiponectin Levels and the Risk of Hypertension: A Systematic Review and Meta-Analysis. Hypertens. Dallas Tex 2013, 62, 27–32. [Google Scholar] [CrossRef] [PubMed]
- Philippova, M.; Joshi, M.B.; Kyriakakis, E.; Pfaff, D.; Erne, P.; Resink, T.J. A Guide and Guard: The Many Faces of T-Cadherin. Cell. Signal 2009, 21, 1035–1044. [Google Scholar] [CrossRef] [PubMed]
- Jee, S.H.; Sull, J.W.; Lee, J.-E.; Shin, C.; Park, J.; Kimm, H.; Cho, E.-Y.; Shin, E.-S.; Yun, J.E.; Park, J.W.; et al. Adiponectin Concentrations: A Genome-Wide Association Study. Am. J. Hum. Genet. 2010, 87, 545–552. [Google Scholar] [CrossRef] [PubMed][Green Version]
- Putku, M.; Kals, M.; Inno, R.; Kasela, S.; Org, E.; Kožich, V.; Milani, L.; Laan, M. CDH13 Promoter SNPs with Pleiotropic Effect on Cardiometabolic Parameters Represent Methylation QTLs. Hum. Genet. 2015, 134, 291–303. [Google Scholar] [CrossRef]
- Matsuda, K.; Fujishima, Y.; Maeda, N.; Mori, T.; Hirata, A.; Sekimoto, R.; Tsushima, Y.; Masuda, S.; Yamaoka, M.; Inoue, K.; et al. Positive Feedback Regulation between Adiponectin and T-Cadherin Impacts Adiponectin Levels in Tissue and Plasma of Male Mice. Endocrinology 2015, 156, 934–946. [Google Scholar] [CrossRef]
- Nguyen, T.M.D. Adiponectin: Role in Physiology and Pathophysiology. Int. J. Prev. Med. 2020, 11, 136. [Google Scholar] [CrossRef]
- Kajimura, D.; Lee, H.W.; Riley, K.J.; Arteaga-Solis, E.; Ferron, M.; Zhou, B.; Clarke, C.J.; Hannun, Y.A.; DePinho, R.A.; Guo, X.E.; et al. Adiponectin Regulates Bone Mass via Opposite Central and Peripheral Mechanisms through FoxO1. Cell Metab. 2013, 17, 901–915. [Google Scholar] [CrossRef]
- Dougherty, J.P.; Springer, D.A.; Gershengorn, M.C. The Treadmill Fatigue Test: A Simple, High-Throughput Assay of Fatigue-like Behavior for the Mouse. J. Vis. Exp. JoVE 2016, 111, 54052. [Google Scholar]




| Primers | Sequence | Gene | Polymerization Direction |
|---|---|---|---|
| Prd-s1 | -CTGGATTCCAGCGGAAAGTGT- | Cdh13 | → |
| Ptd1 | (BHQ1)-CATCCACCAGCCTGCCGAATTCA-(FAM) | Cdh13 | TaqMan Probes |
| Prd-a1 | -AGTTTAGGACAGGCTGGTCCT- | Cdh13 | ← |
| Pri-s1 | -ACAGCGACGGCACCTTAGTGG | Cdh13 | → |
| Pti1 | (BHQ1)-TGCGGTGGGCAGGACCCTGTTTGT-(SIMA) | Cdh13 | TaqMan Probes |
| Pri-a1 | -TGGATGTCTTTGCCCCCGACA- | Cdh13 | ← |
| Plr1fs | -GACCCACCTCAACGTCTCTGT- | Plaur | → |
| Plrfq1n | (BHQ1)-CTCCCTCCCCCCTGCTCCATCT-(FAM) | Plaur | TaqMan Probes |
| Plrf1a | -CCCGCAGCCCTTGTTCCAAT- | Plaur | ← |
Disclaimer/Publisher’s Note: The statements, opinions and data contained in all publications are solely those of the individual author(s) and contributor(s) and not of MDPI and/or the editor(s). MDPI and/or the editor(s) disclaim responsibility for any injury to people or property resulting from any ideas, methods, instructions or products referred to in the content. |
© 2023 by the authors. Licensee MDPI, Basel, Switzerland. This article is an open access article distributed under the terms and conditions of the Creative Commons Attribution (CC BY) license (https://creativecommons.org/licenses/by/4.0/).
Share and Cite
Popov, V.S.; Brodsky, I.B.; Balatskaya, M.N.; Balatskiy, A.V.; Ozhimalov, I.D.; Kulebyakina, M.A.; Semina, E.V.; Arbatskiy, M.S.; Isakova, V.S.; Klimovich, P.S.; et al. T-Cadherin Deficiency Is Associated with Increased Blood Pressure after Physical Activity. Int. J. Mol. Sci. 2023, 24, 14204. https://doi.org/10.3390/ijms241814204
Popov VS, Brodsky IB, Balatskaya MN, Balatskiy AV, Ozhimalov ID, Kulebyakina MA, Semina EV, Arbatskiy MS, Isakova VS, Klimovich PS, et al. T-Cadherin Deficiency Is Associated with Increased Blood Pressure after Physical Activity. International Journal of Molecular Sciences. 2023; 24(18):14204. https://doi.org/10.3390/ijms241814204
Chicago/Turabian StylePopov, Vladimir S., Ilya B. Brodsky, Maria N. Balatskaya, Alexander V. Balatskiy, Ilia D. Ozhimalov, Maria A. Kulebyakina, Ekaterina V. Semina, Mikhail S. Arbatskiy, Viktoria S. Isakova, Polina S. Klimovich, and et al. 2023. "T-Cadherin Deficiency Is Associated with Increased Blood Pressure after Physical Activity" International Journal of Molecular Sciences 24, no. 18: 14204. https://doi.org/10.3390/ijms241814204
APA StylePopov, V. S., Brodsky, I. B., Balatskaya, M. N., Balatskiy, A. V., Ozhimalov, I. D., Kulebyakina, M. A., Semina, E. V., Arbatskiy, M. S., Isakova, V. S., Klimovich, P. S., Sysoeva, V. Y., Kalinina, N. I., Tkachuk, V. A., & Rubina, K. A. (2023). T-Cadherin Deficiency Is Associated with Increased Blood Pressure after Physical Activity. International Journal of Molecular Sciences, 24(18), 14204. https://doi.org/10.3390/ijms241814204

