Identification of a Monoclonal Antibody against Porcine Deltacoronavirus Membrane Protein
Abstract
:1. Introduction
2. Results
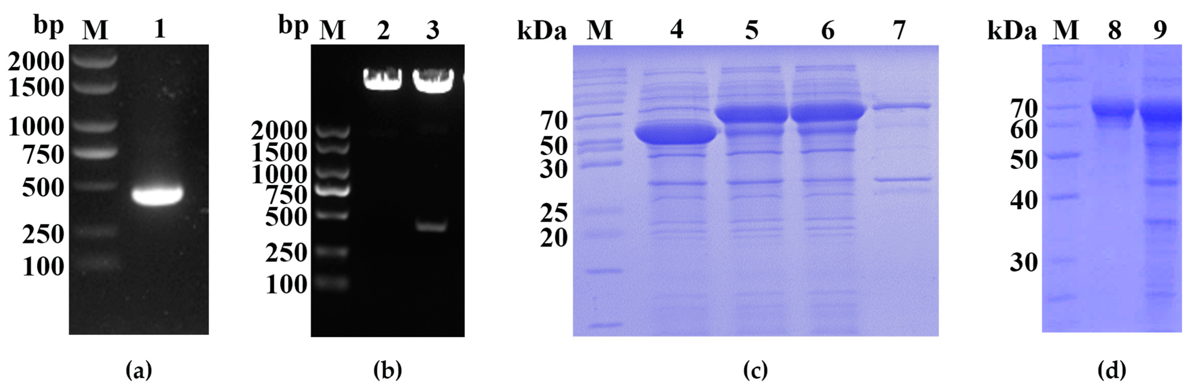
2.1. Expression and Purification of the Recombinant Protein
2.2. Preparation, Production, and Characterization of mAbs
2.3. M protein Expression in PDCoV-Infected Cells at Different Time Points
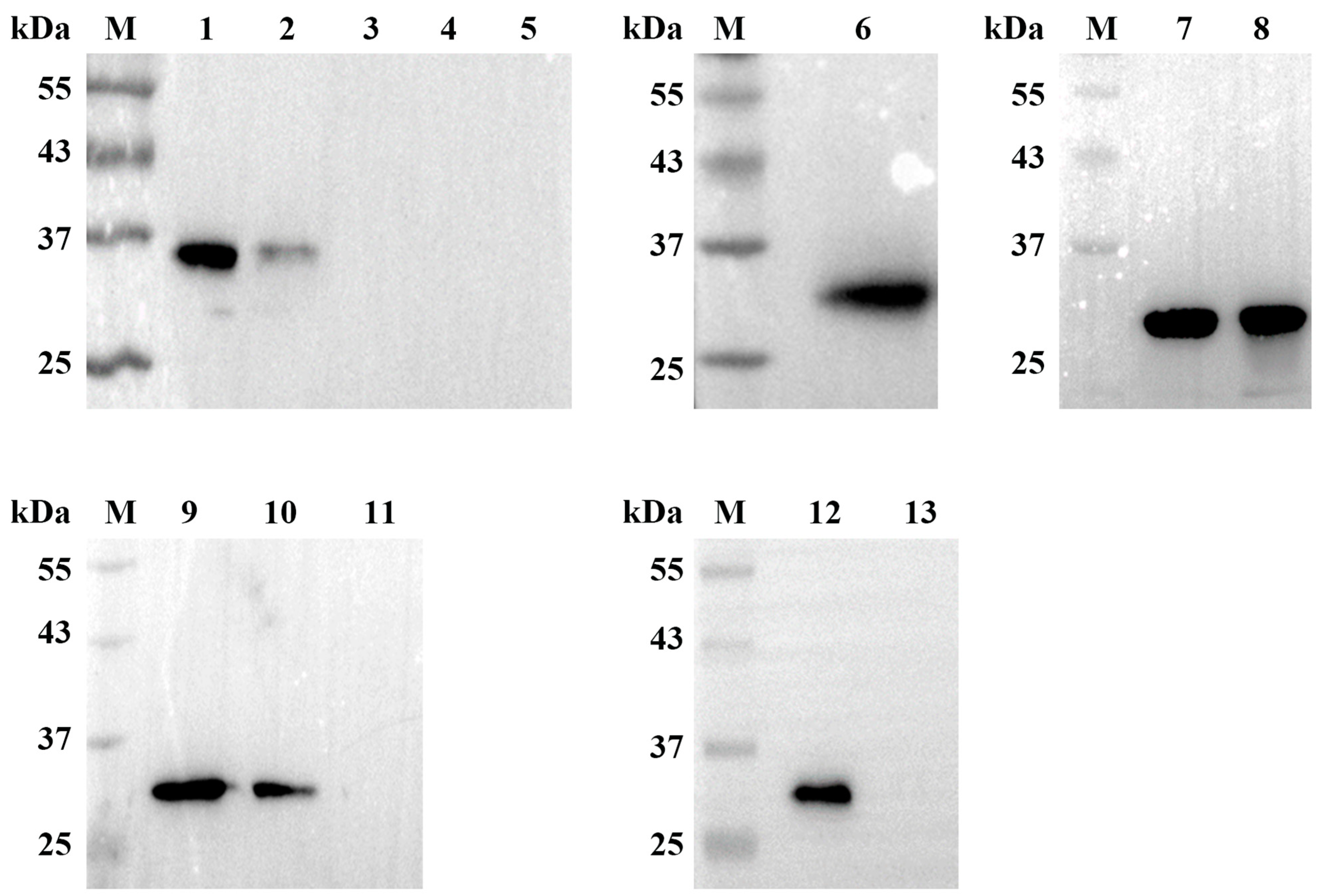
2.4. Epitope Identification
2.5. Spatial Localization and Conservation of Epitope
2.6. Analysis of mAb 24-A6 Light and Heavy Chain Sequences
3. Discussion
4. Materials and Methods
4.1. Viruses, Cells, and Animals
4.2. Expression and Purification of the PDCoV M Protein
4.3. Generation and Screening of mAbs against PDCoV M Protein
4.4. Indirect Immunofluorescence Assay
4.5. Western Blot Identification of mAbs
4.6. Identification of mAbs by Immunoprecipitation
4.7. Investigating M Protein Expression Using mAb
4.8. Precise Epitope Mapping of the PDCoV M Protein
4.9. M Protein Structure and Epitope Distribution
4.10. Epitope Sequence Similarity Analysis
4.11. Cloning of the Variable Regions of the mAb 24-A6 Heavy and Light Chains
Supplementary Materials
Author Contributions
Funding
Institutional Review Board Statement
Informed Consent Statement
Data Availability Statement
Acknowledgments
Conflicts of Interest
References
- Woo, P.C.; Lau, S.K.; Lam, C.S.; Lau, C.C.; Tsang, A.K.; Lau, J.H.; Bai, R.; Teng, J.L.; Tsang, C.C.; Wang, M. Discovery of Seven Novel Mammalian and Avian Coronaviruses in the Genus Deltacoronavirus Supports Bat Coronaviruses as the Gene Source of Alphacoronavirus and Betacoronavirus and Avian Coronaviruses as the Gene Source of Gammacoronavirus and Deltacoronavirus. J. Virol. 2012, 86, 3995–4008. [Google Scholar]
- Wang, L.; Byrum, B.; Zhang, Y. Detection and Genetic Characterization of Deltacoronavirus in Pigs, Ohio, USA, 2014. Emerg. Infect. Dis. 2014, 20, 1227. [Google Scholar] [CrossRef]
- Marthaler, D.; Raymond, L.; Jiang, Y.; Collins, J.; Rossow, K.; Rovira, A. Rapid Detection, Complete Genome Sequencing, and Phylogenetic Analysis of Porcine Deltacoronavirus. Emerg. Infect. Dis. 2014, 20, 1347. [Google Scholar] [CrossRef] [PubMed]
- Lee, S.; Lee, C. Complete Genome Characterization of Korean Porcine Deltacoronavirus Strain KOR/KNU14-04/2014. Genome Announc. 2014, 2, e01191-14. [Google Scholar] [CrossRef]
- Song, D.; Zhou, X.; Peng, Q.; Chen, Y.; Zhang, F.; Huang, T.; Zhang, T.; Li, A.; Huang, D.; Wu, Q. Newly Emerged Porcine Deltacoronavirus Associated with Diarrhoea in Swine in China: Identification, Prevalence and Full-length Genome Sequence Analysis. Transbound. Emerg. Dis. 2015, 62, 575–580. [Google Scholar] [CrossRef]
- Janetanakit, T.; Lumyai, M.; Bunpapong, N.; Boonyapisitsopa, S.; Chaiyawong, S.; Nonthabenjawan, N.; Kesdaengsakonwut, S.; Amonsin, A. Porcine Deltacoronavirus, Thailand, 2015. Emerg. Infect. Dis. 2016, 22, 757. [Google Scholar] [CrossRef] [PubMed]
- Lorsirigool, A.; Saeng-Chuto, K.; Temeeyasen, G.; Madapong, A.; Tripipat, T.; Wegner, M.; Tuntituvanont, A.; Intrakamhaeng, M.; Nilubol, D. The First Detection and Full-Length Genome Sequence of Porcine Deltacoronavirus Isolated in Lao PDR. Arch. Virol. 2016, 161, 2909–2911. [Google Scholar] [CrossRef]
- Saeng-Chuto, K.; Lorsirigool, A.; Temeeyasen, G.; Vui, D.; Stott, C.; Madapong, A.; Tripipat, T.; Wegner, M.; Intrakamhaeng, M.; Chongcharoen, W. Different Lineage of Porcine Deltacoronavirus in Thailand, Vietnam and Lao PDR in 2015. Transbound. Emerg. Dis. 2017, 64, 3–10. [Google Scholar] [CrossRef] [PubMed]
- Suzuki, T.; Shibahara, T.; Imai, N.; Yamamoto, T.; Ohashi, S. Genetic Characterization and Pathogenicity of Japanese Porcine Deltacoronavirus. Infect. Genet. Evol. 2018, 61, 176–182. [Google Scholar] [CrossRef]
- Pérez-Rivera, C.; Ramírez-Mendoza, H.; Mendoza-Elvira, S.; Segura-Velázquez, R.; Sánchez-Betancourt, J.I. First Report and Phylogenetic Analysis of Porcine Deltacoronavirus in Mexico. Transbound. Emerg. Dis. 2019, 66, 1436–1441. [Google Scholar] [CrossRef]
- More-Bayona, J.A.; Ramirez-Velasquez, M.; Hause, B.; Nelson, E.; Rivera-Geronimo, H. First Isolation and Whole Genome Characterization of Porcine Deltacoronavirus from Pigs in Peru. Transbound. Emerg. Dis. 2022, 69, e1561–e1573. [Google Scholar] [CrossRef]
- Jung, K.; Hu, H.; Saif, L.J. Calves Are Susceptible to Infection with the Newly Emerged Porcine Deltacoronavirus, but Not with the Swine Enteric Alphacoronavirus, Porcine Epidemic Diarrhea Virus. Arch. Virol. 2017, 162, 2357–2362. [Google Scholar] [CrossRef]
- Liang, Q.; Zhang, H.; Li, B.; Ding, Q.; Wang, Y.; Gao, W.; Guo, D.; Wei, Z.; Hu, H. Susceptibility of Chickens to Porcine Deltacoronavirus Infection. Viruses 2019, 11, 573. [Google Scholar] [CrossRef]
- Zhang, H.; Ding, Q.; Yuan, J.; Han, F.; Wei, Z.; Hu, H. Susceptibility to Mice and Potential Evolutionary Characteristics of Porcine Deltacoronavirus. J. Med. Virol. 2022, 94, 5723–5738. [Google Scholar] [CrossRef]
- Cruz-Pulido, D.; Boley, P.A.; Ouma, W.Z.; Alhamo, M.A.; Saif, L.J.; Kenney, S.P. Comparative Transcriptome Profiling of Human and Pig Intestinal Epithelial Cells after Porcine Deltacoronavirus Infection. Viruses 2021, 13, 292. [Google Scholar] [CrossRef] [PubMed]
- Lednicky, J.A.; Tagliamonte, M.S.; White, S.K.; Elbadry, M.A.; Alam, M.M.; Stephenson, C.J.; Bonny, T.S.; Loeb, J.C.; Telisma, T.; Chavannes, S. Independent Infections of Porcine Deltacoronavirus among Haitian Children. Nature 2021, 600, 133–137. [Google Scholar] [CrossRef] [PubMed]
- Jung, K.; Hu, H.; Saif, L.J. Porcine Deltacoronavirus Infection: Etiology, Cell Culture for Virus Isolation and Propagation, Molecular Epidemiology and Pathogenesis. Virus Res. 2016, 226, 50–59. [Google Scholar] [PubMed]
- Li, G.; Chen, Q.; Harmon, K.M.; Yoon, K.-J.; Schwartz, K.J.; Hoogland, M.J.; Gauger, P.C.; Main, R.G.; Zhang, J. Full-Length Genome Sequence of Porcine Deltacoronavirus Strain USA/IA/2014/8734. Genome Announc. 2014, 2, e00278-14. [Google Scholar] [CrossRef] [PubMed]
- Fang, P.; Fang, L.; Hong, Y.; Liu, X.; Dong, N.; Ma, P.; Bi, J.; Wang, D.; Xiao, S. Discovery of a Novel Accessory Protein NS7a Encoded by Porcine Deltacoronavirus. J. Gen. Virol. 2017, 98, 173. [Google Scholar] [CrossRef]
- Gu, W.; Li, Y.; Liu, B.; Wang, J.; Yuan, G.; Chen, S.; Zuo, Y.-Z.; Fan, J.-H. Short Hairpin RNAs Targeting M and N Genes Reduce Replication of Porcine Deltacoronavirus in ST Cells. Virus Genes 2019, 55, 795–801. [Google Scholar] [CrossRef]
- Neuman, B.W.; Kiss, G.; Kunding, A.H.; Bhella, D.; Baksh, M.F.; Connelly, S.; Droese, B.; Klaus, J.P.; Makino, S.; Sawicki, S.G. A Structural Analysis of M Protein in Coronavirus Assembly and Morphology. J. Struct. Biol. 2011, 174, 11–22. [Google Scholar] [CrossRef] [PubMed]
- Luo, S.; Fan, J.-H.; Opriessnig, T.; Di, J.-M.; Liu, B.; Zuo, Y.-Z. Development and Application of a Recombinant M Protein-Based Indirect ELISA for the Detection of Porcine Deltacoronavirus IgG Antibodies. J. Virol. Methods 2017, 249, 76–78. [Google Scholar] [CrossRef]
- Wang, W.; Li, J.; Fan, B.; Zhang, X.; Guo, R.; Zhao, Y.; Zhou, J.; Zhou, J.; Sun, D.; Li, B. Development of a Novel Double Antibody Sandwich ELISA for Quantitative Detection of Porcine Deltacoronavirus Antigen. Viruses 2021, 13, 2403. [Google Scholar] [CrossRef]
- Zhou, X.; Zhou, L.; Zhang, P.; Ge, X.; Guo, X.; Han, J.; Zhang, Y.; Yang, H. A Strain of Porcine Deltacoronavirus: Genomic Characterization, Pathogenicity and Its Full-length CDNA Infectious Clone. Transbound. Emerg. Dis. 2021, 68, 2130–2146. [Google Scholar] [CrossRef]
- Okda, F.; Lawson, S.; Liu, X.; Singrey, A.; Clement, T.; Hain, K.; Nelson, J.; Christopher-Hennings, J.; Nelson, E.A. Development of Monoclonal Antibodies and Serological Assays Including Indirect ELISA and Fluorescent Microsphere Immunoassays for Diagnosis of Porcine Deltacoronavirus. BMC Vet. Res. 2016, 12, 95. [Google Scholar] [CrossRef]
- Wei, S.; Shi, D.; Wu, H.; Sun, H.; Chen, J.; Feng, L.; Su, M.; Sun, D. Identification of a Novel B Cell Epitope on the Nucleocapsid Protein of Porcine Deltacoronavirus. Virus Res. 2021, 302, 198497. [Google Scholar] [CrossRef]
- He, W.; Shi, X.; Guan, H.; Zou, Y.; Zhang, S.; Jiang, Z.; Su, S. Identification of a Novel Linear B-Cell Epitope in Porcine Deltacoronavirus Nucleocapsid Protein. Appl. Microbiol. Biotechnol. 2023, 107, 651–661. [Google Scholar] [CrossRef]
- Fu, J.; Chen, R.; Hu, J.; Qu, H.; Zhao, Y.; Cao, S.; Wen, X.; Wen, Y.; Wu, R.; Zhao, Q. Identification of a Novel Linear B-Cell Epitope on the Nucleocapsid Protein of Porcine Deltacoronavirus. Int. J. Mol. Sci. 2020, 21, 648. [Google Scholar] [CrossRef] [PubMed]
- Ren, H.; Yan, X.; Liu, L.; Zhang, Y.; Li, Q.; Li, X.; Hu, H. Identification of Two Novel B-Cell Epitopes on the Nucleocapsid Protein of Porcine Deltacoronavirus. Virol. Sin. 2022, 37, 303. [Google Scholar] [CrossRef] [PubMed]
- Ding, Z.; Luo, S.; Gong, W.; Wang, L.; Ding, N.; Chen, J.; Chen, J.; Wang, T.; Ye, Y.; Song, D. Subcellular Localization of the Porcine Deltacoronavirus Nucleocapsid Protein. Virus Genes. 2020, 56, 687–695. [Google Scholar] [CrossRef]
- Chen, R.; Wen, Y.; Yu, E.; Yang, J.; Liang, Y.; Song, D.; Wen, Y.; Wu, R.; Zhao, Q.; Du, S. Identification of an Immunodominant Neutralizing Epitope of Porcine Deltacoronavirus Spike Protein. Int. J. Biol. Macromol. 2023, 242, 125190. [Google Scholar] [CrossRef] [PubMed]
- Fang, P.; Fang, L.; Liu, X.; Hong, Y.; Wang, Y.; Dong, N.; Ma, P.; Bi, J.; Wang, D.; Xiao, S. Identification and Subcellular Localization of Porcine Deltacoronavirus Accessory Protein NS6. Virology 2016, 499, 170–177. [Google Scholar] [CrossRef]
- Turlewicz-Podbielska, H.; Pomorska-Mól, M. Porcine Coronaviruses: Overview of the State of the Art. Virol. Sin. 2021, 36, 833–851. [Google Scholar] [CrossRef] [PubMed]
- Shen, L.; Bard, J.D.; Triche, T.J.; Judkins, A.R.; Biegel, J.A.; Gai, X. Emerging Variants of Concern in SARS-CoV-2 Membrane Protein: A Highly Conserved Target with Potential Pathological and Therapeutic Implications. Emerg. Microbes Infect. 2021, 10, 885–893. [Google Scholar] [CrossRef] [PubMed]
- Masters, P.S. The Molecular Biology of Coronaviruses. Adv. Virus Res. 2006, 66, 193–292. [Google Scholar] [PubMed]
- Siu, K.-L.; Kok, K.-H.; Ng, M.-H.J.; Poon, V.K.; Yuen, K.-Y.; Zheng, B.-J.; Jin, D.-Y. Severe Acute Respiratory Syndrome Coronavirus M Protein Inhibits Type I Interferon Production by Impeding the Formation of TRAF3· TANK· TBK1/IKKϵ Complex. J. Biol. Chem. 2009, 284, 16202–16209. [Google Scholar] [CrossRef]
- Arndt, A.L.; Larson, B.J.; Hogue, B.G. A Conserved Domain in the Coronavirus Membrane Protein Tail Is Important for Virus Assembly. J. Virol. 2010, 84, 11418–11428. [Google Scholar] [CrossRef]
- Jumper, J.; Evans, R.; Pritzel, A.; Green, T.; Figurnov, M.; Ronneberger, O.; Tunyasuvunakool, K.; Bates, R.; Žídek, A.; Potapenko, A. Highly Accurate Protein Structure Prediction with AlphaFold. Nature 2021, 596, 583–589. [Google Scholar] [CrossRef]
- Mirdita, M.; Schütze, K.; Moriwaki, Y.; Heo, L.; Ovchinnikov, S.; Steinegger, M. ColabFold: Making Protein Folding Accessible to All. Nat. Methods 2022, 19, 679–682. [Google Scholar] [CrossRef]
- Schrödinger, LLC. The PyMOL Molecular Graphics System; Open Source Version 2.5.0; Schrödinger, LLC: New York, NY, USA, 2021; Available online: https://github.com/schrodinger/pymol-open-source (accessed on 10 May 2021).
- Käll, L.; Krogh, A.; Sonnhammer, E.L. Advantages of Combined Transmembrane Topology and Signal Peptide Prediction—The Phobius Web Server. Nucleic Acids Res. 2007, 35, W429–W432. [Google Scholar] [CrossRef]
- Omasits, U.; Ahrens, C.H.; Müller, S.; Wollscheid, B. Protter: Interactive Protein Feature Visualization and Integration with Experimental Proteomic Data. Bioinformatics 2014, 30, 884–886. [Google Scholar] [CrossRef] [PubMed]
- Zhou, L.; Feng, T.; Xu, S.; Gao, F.; Lam, T.T.; Wang, Q.; Wu, T.; Huang, H.; Zhan, L.; Li, L. Ggmsa: A Visual Exploration Tool for Multiple Sequence Alignment and Associated Data. Brief. Bioinform. 2022, 23, bbac222. [Google Scholar] [CrossRef] [PubMed]
- R Core Team. R: A Language and Environment for Statistical Computing; Version 4.2.3; R Foundation for Statistical Computing: Vienna, Austria, 2023; Available online: https://www.r-project.org/ (accessed on 15 March 2023).










| Primer Names | Primer Sequence 1 (5′–3′) | Size (bp) | |
|---|---|---|---|
| Sense | Negative Sense | ||
| M protein | ATCCGAATTCATATCCTGGGCCAAGTAC | TCGACAAGCTTTTACATATACTTATACAGGC | 414 |
| M1 | TCAAGCTTATATCCTGGGCCAAGTACTGG | GAATTCCATAATCCCTGCAAGGAGTCTACTCTC | 102 |
| M2 | CAAGCTTATGAAAACCAGATCTGCATGGGC | GAATTCCTTGAGCTTGCCATGCTTAACGACTG | 144 |
| M3 | AAGCTTATTCCCATCGACCACATGGCTCCA | GAATTCGTCACTTGGTGACACTATCACCATATCC | 138 |
| M4 | AAGCTTGCCAATGGCATATCAGTCAGAAAT | GAATTCTGAAGCGCGGTCACCCTGGTATAT | 141 |
| M5 | GAATTCTGAAGCGCGGTCACCCTGGTATAT | CAGAATTCTTACATATACTTATACAGGCGAGCG | 123 |
| M6 | CAAGCTTATGAAAACCAGATCTGCATGGGC | GAATTCCATAATCCCTGCAAGGAGTCTACTCTC | 60 |
| M7 | CCCAAGCTTTCTGCATGGGCACTCTCACCTGAG | GAATTCCATAATCCCTGCAAGGAGTCTACTCTC | 45 |
| M8 | CGGGATCCGAGTCTACTCTCAGGTGAGAGT | CGGGATCCGAGTCTACTCTCAGGTGAGAGT | 45 |
| M9 | CCCAAGCTTTCTGCATGGGCACTCTCACCTGAG | CGGGATCCGAGTCTACTCTCAGGTGAGAGT | 30 |
| M10 | CCCAAGCTTTGGGCACTCTCACCTGAGAGTAGA | CGGGATCCGAGTCTACTCTCAGGTGAGAGT | 24 |
| M11 | CCCAAGCTTTCTGCATGGGCACTCTCACCTGAG | CGGGATCCTCTACTCTCAGGTGAGAGTGCCCA | 27 |
| M12 | CCCAAGCTTTCACCTGAGAGTAGACTCGGATCCAC | CGGGATCCGAGTCTACTCTCAGGTGAGAGT | 18 |
| M13 | CCCAAGCTTCCTGAGAGTAGACTCGGATCCACC | CGGGATCCGAGTCTACTCTCAGGTGAGAGT | 15 |
| pEGFP | ATCCGCTAGCGCTACCGGTCGCCA | CAATTTACGCGTTAAGATACATTGATG | |
| VL | ATGGAGACAGACACACTCCTGCTAT | GGATACAGTTGGTGCAGCATCAGCCCGTTT | 384 |
| VH | ATGGRATGSAGCTGKGTMATSCTCT | TGGGGSTGTYGTTTTGGCTGMRGAGACRGTGA | 477 |
Disclaimer/Publisher’s Note: The statements, opinions and data contained in all publications are solely those of the individual author(s) and contributor(s) and not of MDPI and/or the editor(s). MDPI and/or the editor(s) disclaim responsibility for any injury to people or property resulting from any ideas, methods, instructions or products referred to in the content. |
© 2023 by the authors. Licensee MDPI, Basel, Switzerland. This article is an open access article distributed under the terms and conditions of the Creative Commons Attribution (CC BY) license (https://creativecommons.org/licenses/by/4.0/).
Share and Cite
Wu, H.; Li, C.; Sun, X.; Cheng, Y.; Chen, Z. Identification of a Monoclonal Antibody against Porcine Deltacoronavirus Membrane Protein. Int. J. Mol. Sci. 2023, 24, 13934. https://doi.org/10.3390/ijms241813934
Wu H, Li C, Sun X, Cheng Y, Chen Z. Identification of a Monoclonal Antibody against Porcine Deltacoronavirus Membrane Protein. International Journal of Molecular Sciences. 2023; 24(18):13934. https://doi.org/10.3390/ijms241813934
Chicago/Turabian StyleWu, Huiguang, Chen Li, Xian Sun, Yue Cheng, and Zhenhai Chen. 2023. "Identification of a Monoclonal Antibody against Porcine Deltacoronavirus Membrane Protein" International Journal of Molecular Sciences 24, no. 18: 13934. https://doi.org/10.3390/ijms241813934
APA StyleWu, H., Li, C., Sun, X., Cheng, Y., & Chen, Z. (2023). Identification of a Monoclonal Antibody against Porcine Deltacoronavirus Membrane Protein. International Journal of Molecular Sciences, 24(18), 13934. https://doi.org/10.3390/ijms241813934

