Modulation of Plasmatic Matrix Metalloprotease 9: A Promising New Tool for Understanding the Variable Clinical Responses of Patients with Cystic Fibrosis to Cystic Fibrosis Transmembrane Conductance Regulator Modulators
Abstract
:1. Introduction
2. Results
2.1. MMP9 Expression in CMCs of PwCF during Trikafta® Therapy
2.2. Identification of Intracellular Pathways Related to MMP9 Expression in the CMCs of the Non-Responder and the Responders
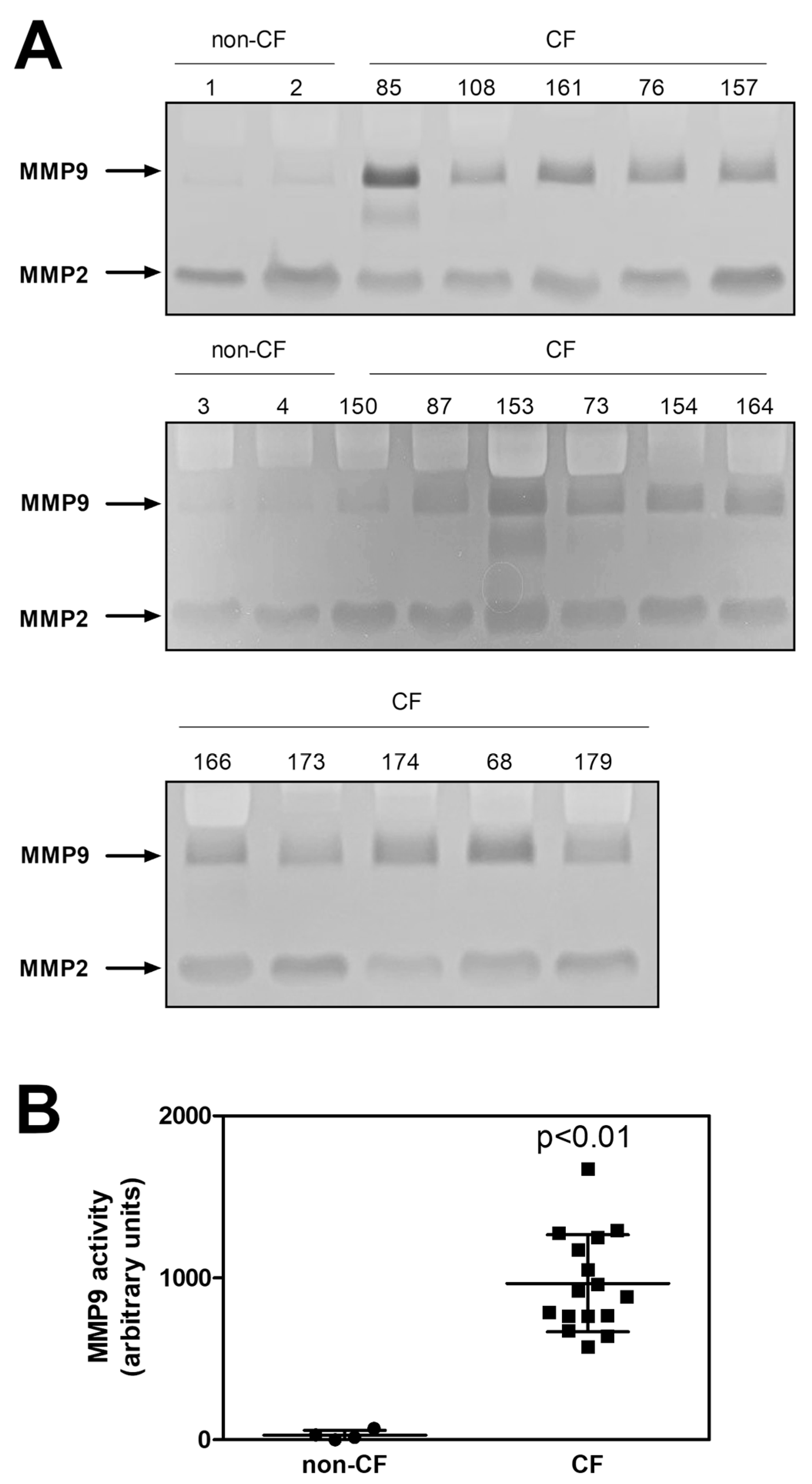
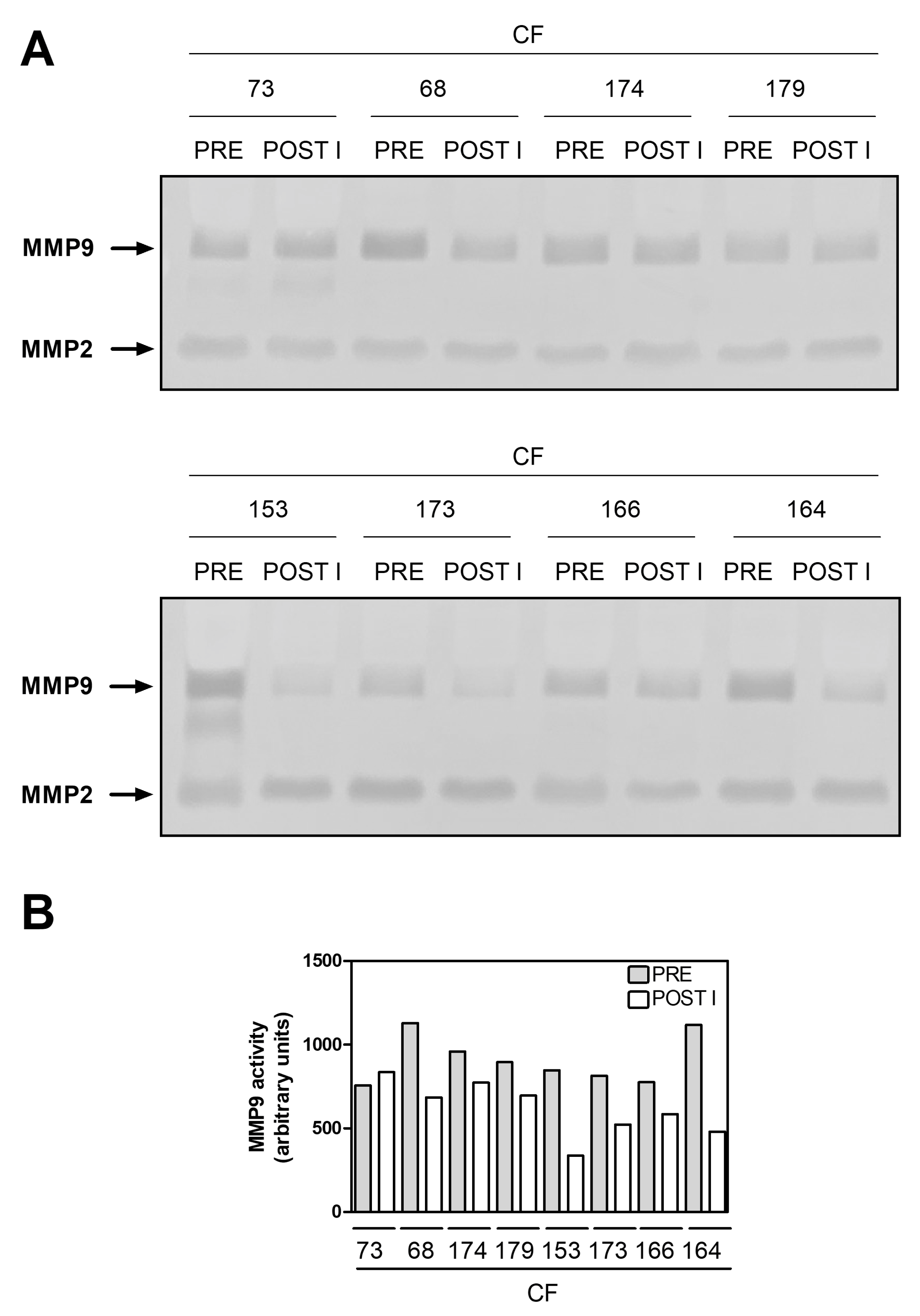
2.3. Levels of MMP9 in the Plasma Samples of the Non-Responder and the Responders
3. Discussion
4. Materials and Methods
4.1. Materials
4.2. Ethics Statement
4.3. Donor Subjects and Sample Collection
4.4. CMC Isolation and Plasma Collection
4.5. CFTR Assay
4.6. Western Blot Analysis
4.7. Zimography Analysis
4.8. Statistical Analysis
Author Contributions
Funding
Institutional Review Board Statement
Informed Consent Statement
Data Availability Statement
Acknowledgments
Conflicts of Interest
References
- John, R.; Riordan, J.R.; Rommens, J.M.; Kerem, B.; Alon, N.; Rozmahel, R.; Grzelczak, Z.; Zielenski, J.; Lok, S.; Plavsic, N.; et al. Identification of the Cystic Fibrosis Gene: Cloning and Characterization of Complementary DNA. Science 1989, 245, 1066–1073. [Google Scholar]
- Wilschanski, M.; Dupuis, A.; Ellis, L.; Jarvi, K.; Zielenski, J.; Tullis, E.; Martin, S.; Corey, M.; Tsui, L.; Durie, P. Mutations in the Cystic Fibrosis Transmembrane Regulator Gene and In Vivo Transepithelial Potentials. Am. J. Respir. Crit. Care Med. 2006, 174, 787–794. [Google Scholar] [CrossRef]
- Gonska, T.; Choi, P.; Stephenson, A.; Ellis, L.; Martin, S.; Solomon, M.; Dupuis, A.; Dorfman, R.; Zielenski, J.; Ooi, C.Y.; et al. Role of cystic fibrosis transmembrane conductance regulator in patients with chronic sinopulmonary disease. Chest 2012, 142, 996–1004. [Google Scholar] [CrossRef]
- Stoltz, D.A.; Meyerholz, D.K.; Welsh, M.J. Origins of cystic fibrosis lung disease. N. Engl. J. Med. 2015, 372, 351–362. [Google Scholar] [CrossRef] [PubMed]
- Modolell, I.; Guarner, L.; Malagelada, J.R. Digestive system involvement in cystic fibrosis. Pancreatology 2002, 2, 12–16. [Google Scholar] [CrossRef] [PubMed]
- Elborn, J.S. Cystic fibrosis. Lancet 2016, 388, 2519–2531. [Google Scholar] [CrossRef] [PubMed]
- Bonfield, T.; Chmiel, J.F. Impaired innate immune cells in cystic fibrosis: Is it really a surprise? J. Cyst. Fibros. 2017, 16, 433–435. [Google Scholar] [CrossRef] [PubMed]
- Lara-Reyna, S.; Holbrook, J.; Jarosz-Griffiths, H.H.; Peckham, D.; McDermott, M.F. Dysregulated signalling pathways in innate immune cells with cystic fibrosis mutations. Cell. Mol. Life Sci. 2020, 77, 4485–4503. [Google Scholar] [CrossRef]
- Hamilton, K.; Krause, K.; Badr, A.; Daily, K.; Estfanous, S.; Eltobgy, M.; Khweek, A.A.; Anne, M.N.K.; Carafice, C.; Baetzhold, D.; et al. Defective immunometabolism pathways in cystic fibrosis macrophages. J. Cyst. Fibros. 2021, 20, 64–672. [Google Scholar] [CrossRef]
- Mulcahy, E.M.; Cooley, M.A.; McGuire, H.; Asad, S.; Fazekas de St Groth, B.; Beggs, S.A.; Roddam, L.F. Widespread alterations in the peripheral blood innate immune cell profile in cystic fibrosis reflect lung pathology. Immunol. Cell Biol. 2019, 97, 416–426. [Google Scholar] [CrossRef]
- Averna, M.; Melotti, P.; Sorio, C. Revisiting the Role of Leukocytes in Cystic Fibrosis. Cells 2021, 10, 3380. [Google Scholar] [CrossRef]
- Koeppen, K.; Nymon, A.; Barnaby, R.; Li, Z.; Hampton, T.H.; Ashare, A.; Stanton, B.A. CF monocyte-derived macrophages have an attenuated response to extracellular vesicles secreted by airway epithelial cells. Am. J. Physiol. Lung Cell. Mol. Physiol. 2021, 320, L530–L544. [Google Scholar] [CrossRef] [PubMed]
- Bruscia, E.M.; Zhang, P.; Ferreira, E.; Caputo, C.; Emerson, J.W.; Tuck, D.; Krause, D.S.; Egan, M.E. Macrophages directly contribute to the exaggerated inflammatory response in cystic fibrosis transmembrane conductance regulator-/- mice. Am. J. Respir. Cell Mol. Biol. 2009, 40, 295–304. [Google Scholar] [CrossRef]
- Tarique, A.A.; Sly, P.D.; Holt, P.G.; Bosco, A.; Ware, R.S.; Logan, J.; Bell, S.C.; Wainwright, C.E.; Fantino, E. CFTR-dependent defect in alternatively-activated macrophages in cystic fibrosis. J. Cyst. Fibros. 2017, 16, 475–482. [Google Scholar] [CrossRef]
- Meoli, A.; Eickmeier, O.; Pisi, G.; Fainardi, V.; Zielen, S.; Esposito, S. Impact of CFTR Modulators on the Impaired Function of Phagocytes in Cystic Fibrosis Lung Disease. Int. J. Mol. Sci. 2022, 23, 12421. [Google Scholar] [CrossRef]
- Averna, M.; Bavestrello, M.; Cresta, F.; Pedrazzi, M.; De Tullio, R.; Minicucci, L.; Sparatore, B.; Salamino, F.; Pontremoli, S.; Melloni, E. Abnormal activation of calpain and protein kinase Cα promotes a constitutive release of matrix metalloproteinase 9 in peripheral blood mononuclear cells from cystic fibrosis patients. Arch. Biochem. Biophys. 2016, 604, 103–112. [Google Scholar] [CrossRef] [PubMed]
- Ratjen, F.; Hartog, C.; Paul, K.; Wermelt, J. Braun Matrix metalloproteases in BAL fluid of patients with cystic fibrosis and their modulation by treatment with dornase alpha. Thorax 2002, 57, 930–934. [Google Scholar] [CrossRef]
- Sagel, S.D.; Kapsner, R.K.; Osberg, I. Induced sputum matrix metalloproteinase-9 correlates with lung function and airway inflammation in children with cystic fibrosis. Pediatr. Pulmonol. 2005, 39, 224–232. [Google Scholar] [CrossRef] [PubMed]
- Roderfeld, M.; Rath, T.; Schulz, R.; Seeger, W.; Tschuschner, A.; Graf, J.; Roeb, E. Serum matrix metalloproteinases in adult CF patients: Relation to pulmonary exacerbation. J. Cyst. Fibros. 2009, 8, 338–347. [Google Scholar] [CrossRef]
- Gaggar, A.; Li, Y.; Weathington, N.; Winkler, M.; Kong, M.; Jackson, P.; Blalock, J.E.; Clancy, J.P. Matrix metalloprotease-9 dysregulation in lower airway secretions of cystic fibrosis patients. Am. J. Physiol. Lung Cell. Mol. Physiol. 2007, 293, L96–L104. [Google Scholar] [CrossRef]
- Gaggar, A.; Hector, A.; Bratcher, P.E.; Mall, M.A.; Griese, M.; Hartl, D. The Role of Matrix Metalloproteases in Cystic Fibrosis Lung Disease. Eur. Respir. J. 2011, 38, 721–727. [Google Scholar] [CrossRef] [PubMed]
- Atkinson, J.J.; Senior, R.M. Matrix Metalloproteinase-9 in Lung Remodeling. Am. J. Respir. Cell Mol. Biol. 2003, 28, 12–24. [Google Scholar] [CrossRef]
- Pandey, K.C.; De, S.; Mishra, P.K. Role of Proteases in Chronic Obstructive Pulmonary Disease. Front. Pharmacol. 2017, 8, 512. [Google Scholar] [CrossRef] [PubMed]
- Öz, H.H.; Ee-Chun Cheng, E.; Di Pietro, C.; Tebaldi, T.; Giulia Biancon, G.; Zeiss, C.; Zhang, P.; Huang, P.H.; Esquibies, S.S.; Britto, C.J.; et al. Recruited monocytes/macrophages drive pulmonary neutrophilic inflammation and irreversible lung tissue remodeling in cystic fibrosis. Cell Rep. 2022, 41, 111797. [Google Scholar] [CrossRef]
- Wells, J.M.; Gaggar, A.; Blalock, J.E. MMP Generated Matrikines. Matrix Biol. 2015, 44–46, 122–129. [Google Scholar] [CrossRef] [PubMed]
- Pedrazzi, M.; Vercellone, S.; Barberis, E.; Capraro, M.; De Tullio, R.; Cresta, F.; Casciaro, R.; Castellani, C.; Patrone, M.; Marengo, E.; et al. Identification of Potential Leukocyte Biomarkers Related to Drug Recovery of CFTR: Clinical Applications in Cystic Fibrosis. Int. J. Mol. Sci. 2021, 22, 3928. [Google Scholar] [CrossRef] [PubMed]
- Kopp, B.T.; Fitch, J.; Jaramillo, L.; Shrestha, C.L.; Robledo-Avila, F.; Zhang, S.; Palacios, S.; Woodley, F.; Hayes, D., Jr.; Partida-Sanchez, S.; et al. Whole-blood transcriptomic responses to lumacaftor/ivacaftor therapy in cystic fibrosis. J. Cyst. Fibros. 2020, 19, 245–254. [Google Scholar] [CrossRef]
- Hisert, K.B.; Birkland, T.P.; Schoenfelt, K.Q.; Long, M.E.; Grogan, B.; Carter, S.; Liles, W.C.; McKone, E.F.; Becker, L.; Manicone, A.M.; et al. CFTR Modulator Therapy Enhances Peripheral Blood Monocyte Contributions to Immune Responses in People with Cystic Fibrosis. Front. Pharmacol. 2020, 11, 1219. [Google Scholar] [CrossRef]
- Barry, P.J.; Mall, M.A.; Álvarez, A.; Colombo, C.; de Winter-de Groot, K.M.; Fajac, I.; McBennett, K.A.; McKone, E.F.; Ramsey, B.W.; Sutharsan, S.; et al. Triple Therapy for Cystic Fibrosis Phe508del-Gating and -Residual Function Genotypes. N. Engl. J. Med. 2021, 385, 815–825. [Google Scholar] [CrossRef]
- Hubert, D.; Chiron, R.; Camara, B.; Grenet, D.; Prévotat, A.; Bassinet, L.; Dominique, S.; Rault, G.; Macey, J.; Honoré, I.; et al. Real-life initiation of lumacaftor/ivacaftor combination in adults with cystic fibrosis homozygous for the Phe508del CFTR mutation and severe lung disease. J. Cyst. Fibros. 2017, 16, 388–391. [Google Scholar] [CrossRef]
- Jennings, M.T.; Dezube, R.; Paranjape, S.; West, N.E.; Hong, G.; Braun, A.; Grant, J.; Merlo, C.A.; Lechtzin, N. An Observational Study of Outcomes and Tolerances in Patients with Cystic Fibrosis Initiated on Lumacaftor/Ivacaftor. Ann. Am. Thorac. Soc. 2017, 14, 1662–1666. [Google Scholar] [CrossRef]
- Sondo, E.; Cresta, F.; Cristina Pastorino, C.; Tomati, V.; Valeria Capurro, V.; Pesce, E.; Lena, M.; Iacomino, M.; Baffico, A.M.; Domenico Coviello, D.; et al. The L467F-F508del Complex Allele Hampers Pharmacological Rescue of Mutant CFTR by Elexacaftor/Tezacaftor/Ivacaftor in Cystic Fibrosis Patients: The Value of the Ex Vivo Nasal Epithelial Model to Address Non-Responders to CFTR-Modulating Drugs. Int. J. Mol. Sci. 2022, 23, 3175. [Google Scholar] [CrossRef] [PubMed]
- Wang, H.; Cebotaru, L.; Lee, H.W.; Yang, Q.F.; Pollard, B.S.; Pollard, H.B.; Guggino, W.B. CFTR Controls the Activity of NF-κB by Enhancing the Degradation of TRADD. Cell. Physiol. Biochem. 2016, 40, 1063–1078. [Google Scholar] [CrossRef]
- Verhaeghe, C.; Remouchamps, C.; Hennuy, B.; Vanderplasschen, A.; Chariot, A.; Tabruyn, S.P.; Oury, C.; Bours, V. Role of IKK and ERK pathways in intrinsic inflammation of cystic fibrosis airways. Biochem. Pharmacol. 2007, 73, 1982–1994. [Google Scholar] [CrossRef]
- Napoli, S.; Scuderi, C.; Gattuso, G.; Bella, V.D.; Candido, S.; Basile, M.S.; Libra, M.; Falzone, L. Functional Roles of Matrix Metalloproteinases and Their Inhibitors in Melanoma. Cells 2020, 9, 1151. [Google Scholar] [CrossRef]
- DiDonato, J.A.; Hayakawa, M.; Rothwarf, D.M.; Zandi, E.; Karin, M. A cytokine-responsive IkappaB kinase that activates the transcription factor NF-kappaB. Nature 1997, 388, 548–554. [Google Scholar] [CrossRef]
- Venkatakrishnan, A.; Stecenko, A.A.; King, G.; Blackwell, T.R.; Brigham, K.L.; Christman, J.W.; Blackwell, T.S. Exaggerated activation of nuclear factor-kappaB and altered IkappaB-beta processing in cystic fibrosis bronchial epithelial cells. Am. J. Respir. Cell. Mol. Biol. 2000, 23, 396–403. [Google Scholar] [CrossRef]
- Knorre, A.; Wagner, M.; Schaefer, H.E.; Colledge, W.H.; Pahl, H.L. DeltaF508-CFTR causes constitutive NF-kappaB activation through an ER-overload response in cystic fibrosis lungs. Biol. Chem. 2002, 383, 271–282. [Google Scholar] [CrossRef] [PubMed]
- Bhattacharyya, S.; Feferman, L.; Sharma, G.; Tobacman, J.K. Increased GPNMB, phospho-ERK1/2, and MMP-9 in cystic fibrosis in association with reduced arylsulfatase B. Mol. Genet. Metab. 2018, 124, 168–175. [Google Scholar] [CrossRef]
- Stamenkovic, I. Extracellular matrix remodelling: The role of matrix metalloproteinases. J. Pathol. 2003, 200, 448–464. [Google Scholar] [CrossRef] [PubMed]
- Esposito, R.; Mirra, D.; Spaziano, G.; Panico, F.; Gallelli, L.; D’Agostino, B. The Role of MMPs in the Era of CFTR Modulators: An Additional Target for Cystic Fibrosis Patients? Biomolecules 2023, 13, 350. [Google Scholar] [CrossRef] [PubMed]
- Bergin, D.A.; Hurley, K.; Mehta, A.; Cox, S.; Ryan, D.; O’Neill, S.J.; Reeves, E.P.; McElvaney, N.G. Airway inflammatory markers in individuals with cystic fibrosis and non-cystic fibrosis bronchiectasis. J. Inflamm. Res. 2013, 6, 1–11. [Google Scholar]
- Xu, X.; Abdalla, T.; Bratcher, P.E.; Jackson, P.L.; Sabbatini, G.; Wells, J.M.; Lou, X.; Quinn, R.; Blalock, J.E.; Clancy, J.P.; et al. Doxycycline improves clinical outcomes during cystic fibrosis exacerbations. Eur. Respir. J. 2017, 49, 1601102. [Google Scholar] [CrossRef]
- Devereux, G.; Steele, S.; Jagelman, T.; Fielding, S.; Muirhead, R.; Brady, J.; Grierson, C.; Brooker, R.; Winter, J.; Fardon, T.; et al. An observational study of matrix metalloproteinase (MMP)-9 in cystic fibrosis. J. Cyst. Fibros. 2014, 13, 557–563. [Google Scholar] [CrossRef] [PubMed]
- Wagner, C.; Balázs, A.; Schatterny, J.; Zhou-Suckow, Z.; Duerr, J.; Schultz, C.; Mall, M.A. Genetic Deletion of Mmp9 Does Not Reduce Airway Inflammation and Structural Lung Damage in Mice with Cystic Fibrosis-like Lung Disease. Int. J. Mol. Sci. 2022, 23, 13405. [Google Scholar] [CrossRef]
- Fridman, R.; Toth, M.; Peña, D.; Mobashery, S. Activation of progelatinase B (MMP-9) by gelatinase A (MMP-2). Cancer Res. 1995, 55, 2548–2555. [Google Scholar] [PubMed]
- Ogata, Y.; Enghild, J.J.; Nagase, H. Matrix metalloproteinase 3 (stromelysin) activates the precursor for the human matrix metalloproteinase 9. J. Biol. Chem. 1992, 267, 3581–3584. [Google Scholar] [CrossRef]







| CF Patient Sample Timing | Age | Gender | CFTR Mutation | FEV1 (%) | Sweat Chloride Test * | CFTR Activity § |
|---|---|---|---|---|---|---|
| 76-PRE | 48 | M | F508del/F508del | 86 | 113 | ND |
| 76-POST I | 83 | 67 | 106 | |||
| 76-POST II | 78 | NA | 36 | |||
| 85-PRE | 23 | F | F508del/E585X | 34 | 104 | 85 |
| 85-POST I | 35 | 96 | 24 | |||
| 85-POST II | 35 | 97 | NA | |||
| 108-PRE | 29 | F | F508del/L1065P | 69 | NA | ND |
| 108-POST I | 72 | 13 | 189 | |||
| 108-POST II | 72 | NA | 166 | |||
| 157-PRE | 14 | F | F508del/I1005R | 89 | NA | 13 |
| 157-POST I | 135 | NA | 229 | |||
| 157-POST II | 122 | 70 | 157 | |||
| 161-PRE | 16 | F | F508del/F508del | 67 | 132 | 32 |
| 161-POST I | 113 | 35 | 109 | |||
| 161-POST II | 113 | NA | 136 |
| CF Patient | Age | Gender | CFTR Mutation | FEV1 (%) | Sweat Chloride Test * | ||
|---|---|---|---|---|---|---|---|
| 68 | 34 | M | F508del/N1303K | PRE: 62 | POST I: 83 | PRE: 120 | POST I: 94 |
| 73 | 35 | M | F508del/G542X | PRE: 32 | POST I: 44 | PRE: 109 | POST I: 109 |
| 87 | 55 | F | F508del/R334W | PRE: 77 | PRE: 115 | ||
| 150 | 31 | M | F508del/2184insA | PRE: 83 | PRE: 70 | ||
| 153 | 17 | F | F508del/R553X | PRE:43 | POST I: 75 | PRE: NA | POST I: 47 |
| 154 | 25 | F | F508del/W1282X | PRE: 106 | PRE: NA | ||
| 164 | 17 | F | F508del/W1282X | PRE: 113 | POST I: 152 | PRE: 110 | POST I: 50 |
| 166 | 22 | F | F508del/F508del | PRE: 77 | POST I: 99 | PRE: 107 | POST I: NA |
| 173 | 14 | M | F508del/S13R | PRE: 111 | POST I: 101 | PRE: NA | POST I: NA |
| 174 | 14 | M | F508del/2183AA>G | PRE: 81 | POST I: 89 | PRE: NA | POST I: 52 |
| 179 | 31 | M | F508del/D110H | PRE: 92 | POST I: 107 | PRE: NA | POST I: NA |
Disclaimer/Publisher’s Note: The statements, opinions and data contained in all publications are solely those of the individual author(s) and contributor(s) and not of MDPI and/or the editor(s). MDPI and/or the editor(s) disclaim responsibility for any injury to people or property resulting from any ideas, methods, instructions or products referred to in the content. |
© 2023 by the authors. Licensee MDPI, Basel, Switzerland. This article is an open access article distributed under the terms and conditions of the Creative Commons Attribution (CC BY) license (https://creativecommons.org/licenses/by/4.0/).
Share and Cite
Capraro, M.; Pedrazzi, M.; De Tullio, R.; Manfredi, M.; Cresta, F.; Castellani, C.; Averna, M. Modulation of Plasmatic Matrix Metalloprotease 9: A Promising New Tool for Understanding the Variable Clinical Responses of Patients with Cystic Fibrosis to Cystic Fibrosis Transmembrane Conductance Regulator Modulators. Int. J. Mol. Sci. 2023, 24, 13384. https://doi.org/10.3390/ijms241713384
Capraro M, Pedrazzi M, De Tullio R, Manfredi M, Cresta F, Castellani C, Averna M. Modulation of Plasmatic Matrix Metalloprotease 9: A Promising New Tool for Understanding the Variable Clinical Responses of Patients with Cystic Fibrosis to Cystic Fibrosis Transmembrane Conductance Regulator Modulators. International Journal of Molecular Sciences. 2023; 24(17):13384. https://doi.org/10.3390/ijms241713384
Chicago/Turabian StyleCapraro, Michela, Marco Pedrazzi, Roberta De Tullio, Marcello Manfredi, Federico Cresta, Carlo Castellani, and Monica Averna. 2023. "Modulation of Plasmatic Matrix Metalloprotease 9: A Promising New Tool for Understanding the Variable Clinical Responses of Patients with Cystic Fibrosis to Cystic Fibrosis Transmembrane Conductance Regulator Modulators" International Journal of Molecular Sciences 24, no. 17: 13384. https://doi.org/10.3390/ijms241713384
APA StyleCapraro, M., Pedrazzi, M., De Tullio, R., Manfredi, M., Cresta, F., Castellani, C., & Averna, M. (2023). Modulation of Plasmatic Matrix Metalloprotease 9: A Promising New Tool for Understanding the Variable Clinical Responses of Patients with Cystic Fibrosis to Cystic Fibrosis Transmembrane Conductance Regulator Modulators. International Journal of Molecular Sciences, 24(17), 13384. https://doi.org/10.3390/ijms241713384

