Abstract
The hydrazones 3a–c, were synthesized from the reaction of indole-3-carbaldehyde and nicotinic acid hydrazide, isonicotinic acid hydrazide, and benzoic acid hydrazide, respectively. Their structures were confirmed using FTIR, 1HNMR, and 13CNMR spectroscopic techniques. Exclusively, hydrazones 3b and 3c were confirmed using single crystal X-ray crystallography to exist in the Eanti form. With the aid of DFT calculations, the most stable configuration of the hydrazones 3a–c in gas phase and in nonpolar solvents (CCl4 and cyclohexane) is the ESyn form. Interestingly, the DFT calculations indicated the extrastability of the EAnti in polar aprotic (DMSO) and polar protic (ethanol) solvents. Hirshfeld topology analysis revealed the importance of the N…H, O…H, H…C, and π…π intermolecular interactions in the molecular packing of the studied systems. Distribution of the atomic charges for the hydrazones 3a–c was presented. The hydrazones 3a–c showed a polar character where 3b has the highest polarity of 5.7234 Debye compared to the 3a (4.0533 Debye) and 3c (5.3099 Debye). Regarding the anti-toxoplasma activity, all the detected results verified that 3c had a powerful activity against chronic toxoplasma infection. Compound 3c showed a considerable significant reduction percent of cyst burden in brain homogenates of toxoplasma infected mice representing 49%.
1. Introduction
Hydrazones are a class of compounds present in many of the bioactive heterocyclic compounds that are very important because of their biological and clinical applications. For example, hydrazone-based coupling methods are used in medical biotechnology to couple drugs to target antibodies, e.g., antibodies against a certain type of tumor cell. The hydrazones are stable at neutral pH but are rapidly destroyed in the acidic environment around the tumor, and hence designing a pH-sensitive drug delivery system is an advantage. These characteristics have allowed hydrazones to be linked to many drugs for many applications [1,2,3,4,5,6,7,8,9]. Additionally, hydrazones are good chelating agents due to their ability to form stable complexes with many transition metals. These metal complexes have potential applications as catalysts, luminescent probes, and molecular sensors [1,7]. The tridentate coordination mode of the hydrazone ligands make them suitable for bis-chelating mono-nucleating agents for metal ions.
Moreover, many reports showed an activity of hydrazones as antiprotozoal agents. Siddiqui et al. [10] synthesized aryl hydrazone derivatives and tested them for anti-amoebic activity against the HM1: IMSS strain of Entamoebica histolytica and they were found to have an IC50 of 0.13. M. Gerpe et al. [11] reported that 5-nitrofuran hydrazones show anti-Trypanosomal action. Caputto et al. [12] synthesized hydrazine derivatives and reported anti-Trypanosoma cruzi (T. cruzi) activity. Cinnamic N-acyl hydrazones with anti-Trypanosomal action were synthesized by Carvalho et al. [13]. Dos Santos Filho et al. [14] prepared hydrazone derivatives to combat T. Trypanosomicidal activity of hydrazones [15]. The reported inhibitory activity of fused aromatic hydrazones against cruzipain-a major cysteine protease of T. cruzi was reported [16].
A variety of hydrazone derivatives have been prepared to alleviate gastrointestinal discomfort and toxicity. Mohamed Eissa et al. [17] synthesized anthranilic acid compounds that were shown to have strong anti-inflammatory action. Hydrazones comprising 5-methyl-2-benzoxazolinones designed by Salgin-Gökşen et al. [18] have been shown to have a good analgesic and anti-inflammatory effect. Khan et al. [19] described the anti-inflammatory action of quinoxalinone hydrazone derivatives.
Specifically, Toxoplasmosis is a global neglected tropical parasitic disease, caused by the obligate intracellular apicomplexan protozoan, Toxoplasma gondii. The most important risk factors associated with T. gondii infection are handling cats, ingestion of undercooked meat, and also blood transfusion [20]. T. gondii infection can encyst chronically in the brain leading to a broad spectrum of neurological complications. The majority of toxoplasmosis cases are due to reactivation of existing chronic infections. All therapeutic drugs currently available are effective only against tachyzoites and have limited efficacy against tissue cysts so it is necessary to investigate a new appropriate drug that can effectively reduce brain cyst burden [21].
Density functional theory (DFT) calculations are a low-cost computational method to predict molecular structure and predict the relative stability of different isomers of organic compounds [22,23,24,25,26,27]. In this regard, the aim of the present work is to synthesize a new set of hydrazones derived from indole. Their molecular structure aspects were investigated using different experimental and theoretical tools. In addition, their biological activity as an anti-parasitic agent was assessed.
2. Results and Discussion
2.1. Synthesis of the Acid Hydrazides and Characterization
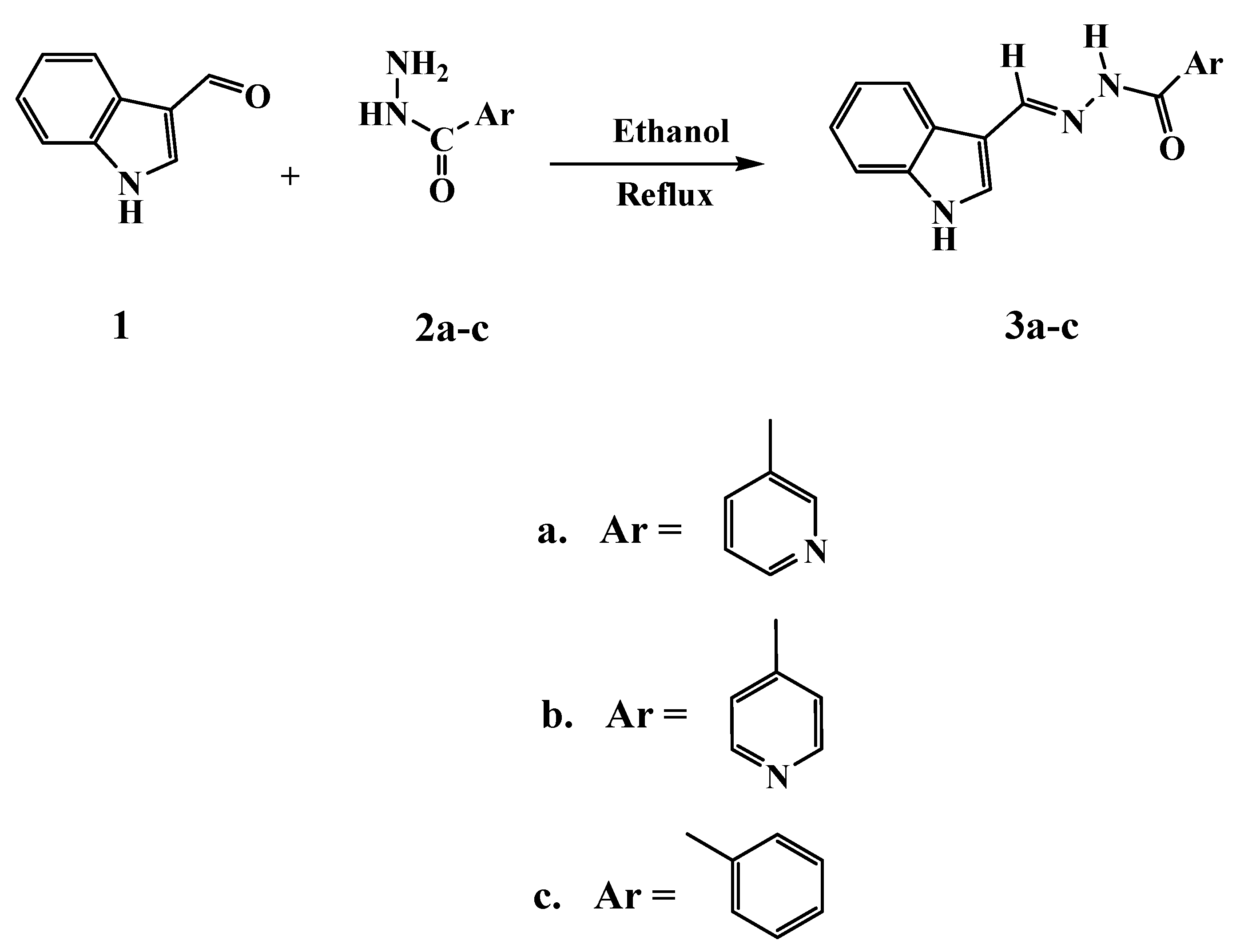
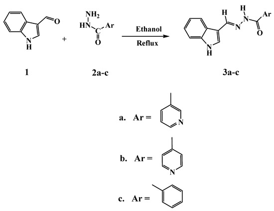
The investigated acid hydrazides were synthesized according to Scheme 1. The condensation reaction of the indole-3-carbaldehyde (1) and the molar equivalent appropriate acid hydrazide (2a–c) (nicotinic acid hydrazide, isonicotinic acid hydrazide, and benzoic acid hydrazide) afforded the corresponding hydrazones (3a–c) in good yields (61−81%). The structure of the investigated compounds was confirmed by the spectral data. The 1H NMR showed the presence of NH groups as four singles at the chemical shift of 11.5 ppm. Moreover, the carbonyl groups were approved in terms of the stretching vibration at 1640−1648 cm−1.
Scheme 1.
Preparation of the investigated hydrazones 3a–c.
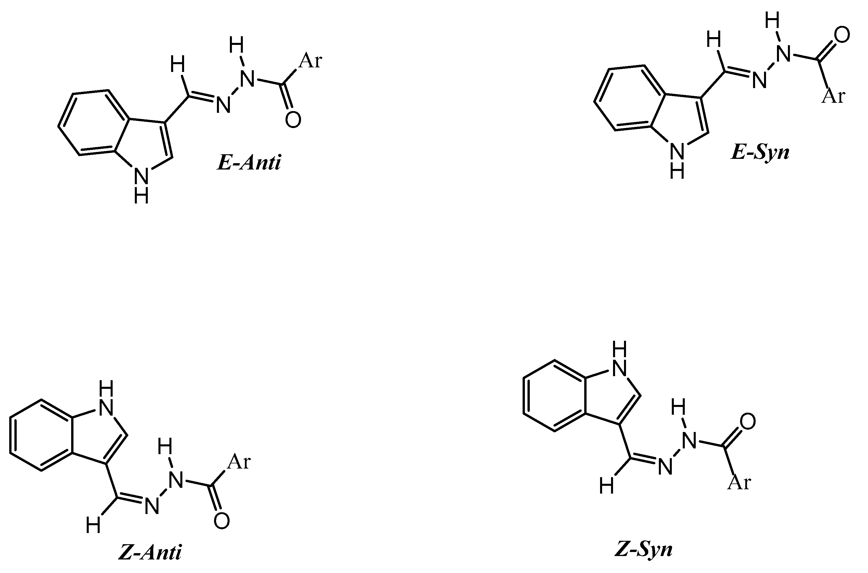
According to Scheme 2, acylhydrazones could exist in equilibrium mixture of the various isomeric forms, Zanti, Eanti, Zsyn, and Esyn.
Scheme 2.
The isomeric forms of the investigated hydrazones 3b and 3c.
On the other hand, to deeply study the effect of orientation of the pyridyl group on the stability of the studied hydrazones, more isomers have been studied in terms of the orientation of the pyridyl group of compound 3a, as clearly shown in Scheme 3.
Scheme 3.
The isomeric forms of the investigated hydrazone 3a.
2.2. X-ray Structure Description
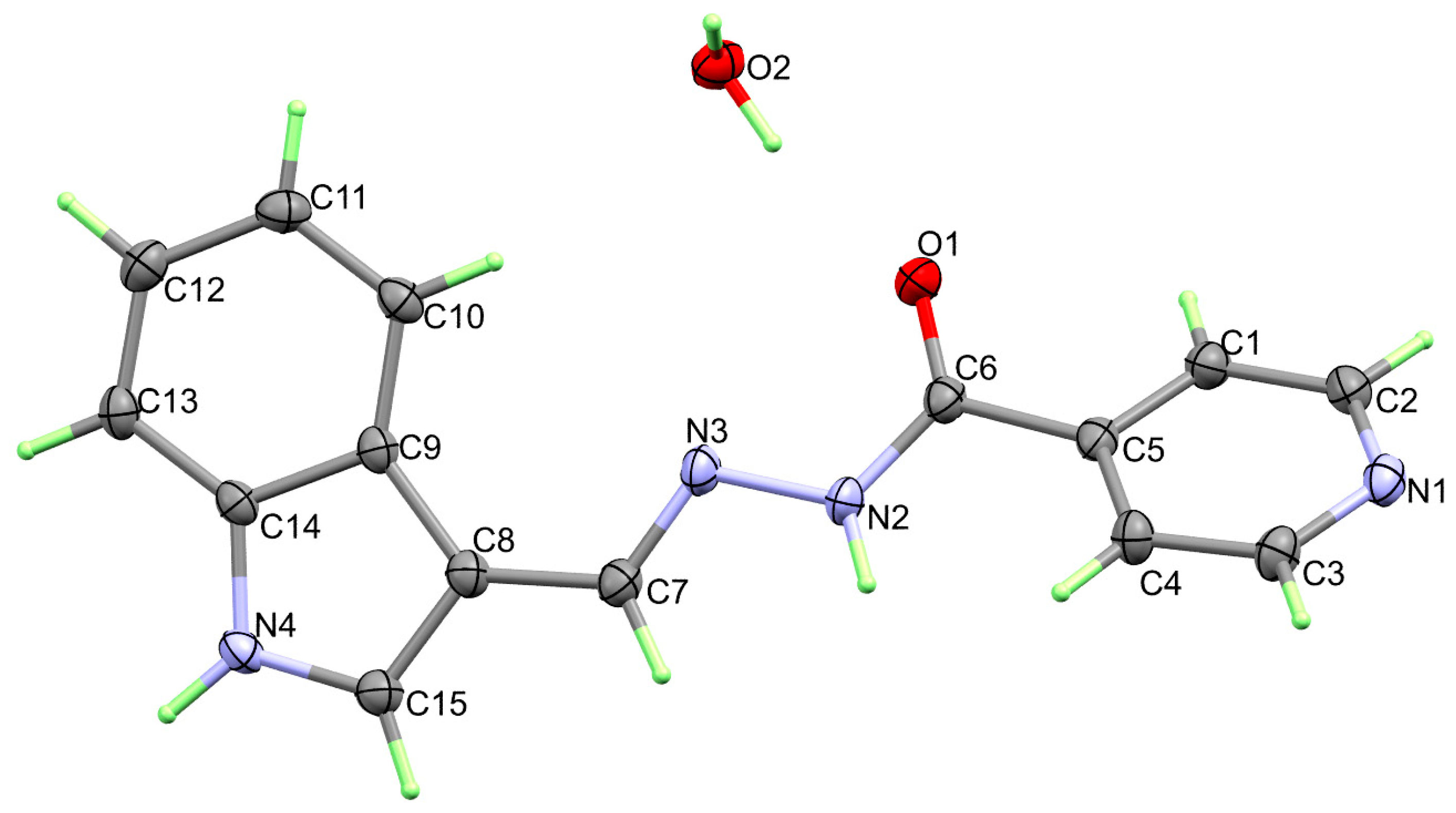
The X-ray structure of 3b indicated with no doubt the presence of this compound in the EAnti configuration in the solid state and no evidence for other conformers was detected (Figure 1). A list of bond distances and angles is given in Table 1. The 3b is found to be crystallized in the monoclinic crystal system and space group of P21/c. The unit cell parameters are a = 7.04998(8), b = 25.0269(3), c = 7.88162(9), and β = 104.165(11)°. In this case, the asymmetric formula comprised one molecule of the organic target compound and one crystal water molecule. Moreover, there are four molecules of this asymmetric formula per unit cell where its volume is 2672.31(3) Å3. The two aromatic ring systems are found twisted from one another, where the twist angle between the two ring systems is 45.68°.
Figure 1.
Thermal ellipsoids at 30% probability level showing atom numbering of 3b.
Table 1.
Selected bond lengths [Å] and angles [°] for 3b.
The supramolecular structure of 3b is controlled by strong N2-H2…O2, O2-H2C…O1 and N4-H4…N1 hydrogen bond contacts in addition to weak O2-H2B…N3 and C4-H4A…O2 interactions (Figure 2A). The hydrogen bond parameters of these non-covalent interactions are listed in Table 2 while the corresponding packing scheme is shown in Figure 2B. The donor to acceptor distances are 2.8903(12), 2.7705(11), 2.9120(11), 3.0927(12), and 3.4231(13) Å, respectively while the hydrogen-acceptor distances are 2.057(15), 1.886(15), 2.014(15), 2.283(17), and 2.52Å, respectively. In addition, the packing is further controlled by some π−π stacking interactions shown in Figure 2C. The C13…N4 (3.229(1) Å), C3…C9 (3.374(1) Å), C13…C14 (3.390(1) Å), and C11…C15 (3.257(1) Å) contacts are the shortest π−π contacts.
Figure 2.
The different contacts and the supramolecular structure of 3b.
Table 2.
Hydrogen bonds for 3b [Å] and [°].
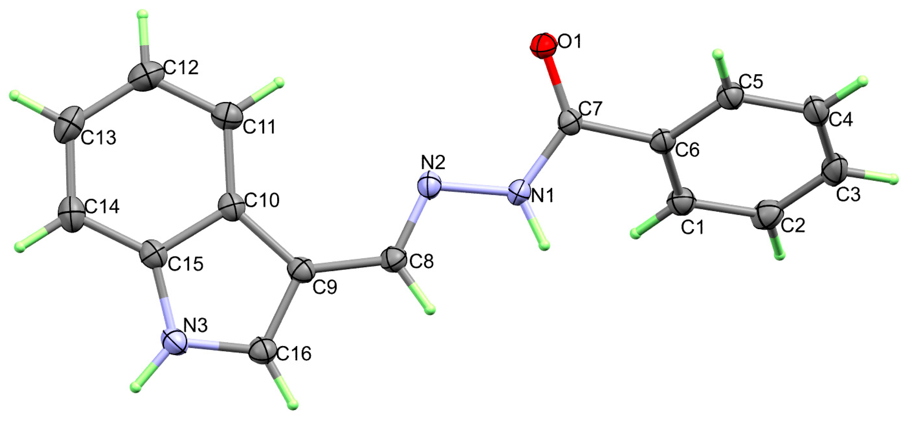
The structure of 3c and atom numbering are presented in Figure 3 while a list of bond distances and angles is given in Table 3. It crystallized in the more symmetric orthorhombic crystal system and the Pbca space group with z = 8 and one molecule as asymmetric formula. The unit cell parameters are a = 17.42273(12) Å, b = 7.69675(5) Å, c = 19.92797(14) Å, and 2672.31(3) Å3. There are two ring systems which are indole and phenyl moieties. It is clear that both ring systems are perfectly planar but are not coplanar to one another. The twist angle between the two ring systems is 52.19° which is relatively smaller than that in 3c. It is clear from the X-ray structure that the compound 3c is found in the EAnti configuration in the solid state and no evidence for other conformers was detected.
Figure 3.
Thermal ellipsoids at 30% probability level showing atom numbering of 3c.
Table 3.
Selected bond lengths [Å] and angles [°] for 3c.
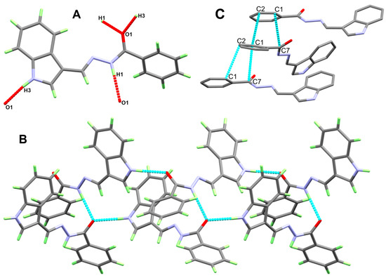
The supramolecular structure of 3c is controlled by strong N-H…O hydrogen bond contacts, as presented in Figure 4A. The hydrogen bond parameters are listed in Table 4 while the packing scheme via N1-H1…O3 and N3-H3…O3 is shown in Figure 4B. The donor (N1 and N3) to acceptor (O3) distances are 2.8827(11) and 2.8304(11) Å, respectively while the O3…H1 and O3…H3 distances are 1.981(15) and 1.936(16) Å, respectively. In addition, the packing is further controlled by some π−π stacking interactions shown in Figure 4C. The C1…C7 (3.353(1) Å) and C1…C2 (3.323(1) Å) contacts are the shortest π−π contacts.
Figure 4.
The different contacts and the supramolecular structure of 3c.
Table 4.
Hydrogen bonds for 3c [Å and °].
2.3. Hirshfeld Analysis
The molecular packing of 3c is further investigated by using Hirshfeld calculations in order to shed light on all possible intermolecular contacts in its crystal structure. All possible contacts between molecular units along with their percentages are presented in Figure 5. The most common contacts are H…H (41.5%), H…C (33.3%), and O…H (12.0%) interactions. Other minor contact such as N…H (8.0%) and C…C (2.5%) interactions are also significant in the molecular packing of 3c. The red spots in the dnorm are related to short intermolecular interactions, which are considered the most significant and also shorter than the van der Waals radius sum of the two atoms. The corresponding fingerprint plots shown in Figure 5 have the characteristic sharp spikes which are considered as another evidence for the short contacts. These contacts and their corresponding distances are listed in Table 5.
Figure 5.
Hirshfeld analysis of 3c; A: N…H, B: O…H, C: H…C, and D: C…C.
Table 5.
All short distance contacts in 3c.
Hirshfeld analysis of 3b is presented in Figure 6. It is clear that the most dominant contacts are the H…H (33.7%), H…C (35.0%), N…H (15.8%), and O…H (11.1%) interactions. Other contacts shown in Figure 6 are contributing little and have less importance in the molecular packing of 3b. In this crystal structure, the H…C, N…H and O…H interactions are the most important as all these contacts appeared as red spots in the dnorm map and also as sharp spikes in the corresponding fingerprint plots (Figure 6). The interaction distances of all possible short contacts in 3b are collected in Table 6. In this case, the H…C interactions are weaker and have longer interaction distances (2.689–2.761 Å) compared to 3c (2.557–2.785 Å). In contrast, the O…H and N…H interactions in 3b occur at shorter distances compared to 3c. The O1…H2C (1.802 Å) and N1…H4 (1.921 Å) in 3b are shorter than those found in 3c (O3…H1: 1.850 Å and N2…H11: 2.541 Å, respectively). In the case of 3b, no short C…C contacts were detected, which indicates the low importance of the π−π stacking interactions.
Figure 6.
Hirshfeld analysis of 3b; A: N…H, B: O…H, and C: H…C, and D: C…C.
Table 6.
All short distance contacts in 3b.
2.4. Conformational Analysis
2.4.1. Energetic and Relative Stability
The structures of the different possible isomers of the studied compounds were calculated using a DFT/B3LYP method employing 6-31G(d,p) basis sets. The results of the energetic and thermodynamic parameters were used to investigate the relative stability of these isomers (Table 7). The detailed thermodynamic parameters are presented in Tables S1–S15 (Supplementary data).
Table 7.
Energetics (A.U.) of the studied conformers for 3b and 3c in different solvents.
The optimized structures of the four possible isomers of compounds 3b and 3c in gas phase are shown in Figure 7. It is clear that the ESyn conformer is the most stable compared to the others. The second most stable form is EAnti, which is energetically higher by 1.4964 and 1.2179 kcal/mol for 3b and 3c, respectively. Hence, the order of their stabilities is ESyn > EAnti > ZSyn > ZAnti. Since the Enthalpy and Gibbs free energy of the ESyn form is the most negative, this isomer is the most stable form thermodynamically. The percentages of the most stable isomers ESyn and EAnti are calculated to be 90.8 and 7.2% for 3b while the corresponding values for 3c are 87.9 and 10.1%, respectively.
Figure 7.
The optimized structures of the four possible conformers of 3b and 3c.
In order to inspect the relative stability of these isomers in different media, we calculated the four possible isomers in the presence of different solvents. In general, all isomers are stabilized by solvent effects as noticed from the lowering in their energies in solution compared to gas phase. It is clear that the polar solvents (ethanol and DMSO) stabilized these isomers to a higher extent compared to the nonpolar solvents (CCl4 and cyclohexane). As a result, there was no change in the order of the isomers’ stability in the case of nonpolar solvents where the ESyn is the most stable and the EAnti is the second most stable one. The energy differences between these isomers in the case of CCl4 as solvent are 0.7085 and 0.3803 Kcal/mol for 3b and 3c, respectively. The corresponding values in cyclohexane are 0.8066 and 0.4839 Kcal/mol, respectively. Hence, the order of the isomers’ stability is ESyn > EAnti > ZSyn > ZAnti. The percentages of the most stable isomers ESyn and EAnti are calculated to be 72.79 and 26.14% for 3b in CCl4. In cyclohexane, the corresponding values are 75.39 and 23.45%, respectively. Similar results were obtained for 3c (Table 7). It is noticed that the %ESyn isomer are decreased while %EAnti are increased in presence of these solvents compared to those in gas phase.
Interestingly, the situation is completely revered in the case of polar solvents (DMSO and ethanol). In these solvents, the order of the stabilities is predicted to be EAnti > ESyn > ZAnti > ZSyn. Hence, the EAnti isomer is predicted to be the most stable while ESyn is the second most stable form. In DMSO as polar aprotic solvent, the relative energies between the two isomers are calculated to be 0.8522 and 1.1399 Kcal/mol for 3b and 3c, respectively. For 3b, the percentages of EAnti and ESyn are calculated to be 80.04 and 19.6%, respectively while the corresponding values for 3c are 86.41 and 13.18%, respectively. The results are almost the same in ethanol as polar protic solvent (Table 7).
In case of 3a, eight possible conformers were suggested. Their optimized structures are shown in Figure 8. Similar to 3b and 3c, ESyn1 is the most stable while ESyn2 is energetically marginally higher by 0.5733 kcal/mol. Hence, the ESyn isomers are considered the most stable in gas phase and the order of the isomers’ stabilities is ESyn1 > ESyn2 > EAnti2 > ZSyn1 > ZSyn2 > EAnti1 > ZAnti1 > ZAnti2. These results are found in accord with the calculated thermodynamic parameters presented in Tables S11–S15 (Supplementary data). The net percentage of the most stable isomers ESyn is calculated to be 93.9%. Additionally, the stability order is predicted to be ESyn1 > ESyn2 > EAnti2 > EAnti1 > ZSyn1 > ZSyn2 > ZAnti2 > ZAnti1 in the presence of nonpolar solvents. It is clear that the ESyn is omers are the most stable forms and the energy difference between the two ESyn isomers is marginally different (Table 8). The net percentages of the ESyn isomers are 81.42 and 83.79% in CCl4 and cyclohexane, respectively. It is worth noting that the %EAnti isomers are significantly increased compared to those in gas phase. In contrast, the polar solvents further stabilized the EAnti isomers compared to the ESyn ones. The EAnti2 and EAnti1 are the most stable forms where the former is energetically lower than the latter. The next two most stable isomers are ESyn1 and ESyn2 forms. In the case of DMSO as solvent, the percentages of these isomers are calculated to be 37.90, 29.33, 17.42, and 14.92%, respectively. The corresponding values for these isomers in ethanol are 35.87, 27.09, 19.69, and 16.81%, respectively.
Figure 8.
The optimized structures of the eight possible conformers of 3a.
Table 8.
Energetics (A.U.) of the studied conformers for 3a in different solvents.
2.4.2. Natural Charge Analysis
The charges at the different atomic sites of the most stable isomer (ESyn) were calculated based on natural population analysis and the results are presented in Table 9. For 3b, the O22 (−0.603), N21 (−0.550), N20 (−0.446), and N32 (−0.440) atoms have the most negative charge, in agreement with the highly electronegative nature of the N and O-atoms. In contrast, the C3 (0.678), H17 (0.442), and H4 (0.403) atoms have the most positive charge, as these sites are directly attached to atomic sites with high electronegativity. Similarly for compound 3c, the natural charge analysis indicated the high electronegative character of the carbonyl oxygen and amine nitrogen atoms. The highest negative charges are related to O22, N21, N20, and N32 which have natural charges of −0.611, −0.550, −0.446, and −0.446, respectively. As a result, the C3, H17, and H4 atoms have the highest positive charges of 0.677, 0.442, and 0.403, respectively. The corresponding charges of the electronegative atoms in the case of 3a are −0.611 (O22), −0.550 (N21), −0.446 (N20), and −0.446 (N32) while the charges of the electropositive atoms C3, H17, and H4 are 0.677, 0.442, and 0.403, respectively. On the other hand, presentation of the different charged regions is shown in Figure 9. The molecular electrostatic potential (MEP) maps revealed with no doubt the high negative electron density related to the carbonyl oxygen atom, as indicated by the dark intense red color close to it. The dark blue areas related to the NH protons indicate the high positive charge density related to these sites. As a result of the different charged regions in the studied systems, the compounds 3a, 3b, and 3c showed high polarity, as indicated from the high dipole moment values of 4.0533, 5.7234, and 5.3099 Debye, respectively.
Table 9.
Natural charges at different atomic sites of the studied systems.
Figure 9.
MEP maps for the studied systems; pink arrow for the direction of the dipole moment vector.
2.5. Biology
2.5.1. Cytotoxic Effects of the Studied Compounds
The in vitro cytotoxic effects of 3a, 3b, and 3c were tested using a human lung fibroblast cell line (WI-38). The results are presented graphically in Figure 10. It was found that the fibroblast cell viability percentages were 41.0, 15.0, and 3.2% at 125 μg/mL for compounds 3c, 3a, and 3b, respectively. Their IC50 values were 164, 48.25, and 11.03, respectively.
Figure 10.
The percentage of normal fibroblast cells viability of 3a–c at different levels of concentrations.
2.5.2. Cyst Counts in Brain Homogenates
The mean cyst count in group II (infected non-treated) was 22.9 ± 1.7. The percentage of reduction in the 3c treated group was the highest, representing 49%, and the mean cyst count was 11.6 ± 1.3, while reduction percentages in the 3a and 3b treated groups were 37% and 32%, respectively (Table 10).
Table 10.
The effect of 3a–c and spiramycin on mean cyst count (/10HPFs) and R% in brain homogenate T. gondii infected groups.
2.5.3. Morphological Changes
The ultrastructural morphological features of T. gondii cysts in the mice brain homogenate for each studied group were evaluated using SEM. T. gondii cysts from the control group II seemed as regular spherical-shaped cysts with a regular cyst surface while cysts recovered from treated mice revealed variable degrees of morphological changes (Figure 11).
Figure 11.
(1) SEM of T. gondii cysts of the infected control group (II) showed spherical shape with totally regular smooth surface. (2) Cysts from spiramycin treated group (III) showed total roughness and surface irregularities with retained spherical outlines and deep dimples (arrows). (3) Cysts from 3a treated group (IV) showed an irregular outer surface. (4) Cyst from 3b treated group (V) showed slight swelling and surface irregularities. (5) Cysts from 3c treated group (VI) showed irregular spherical shape and cyst surface irregularities with a focal blebs formation (arrows).
2.5.4. Histopathological Examination
Cerebral Cortex of Brain
The control group revealed a normal neural architecture with the cell density characteristics of healthy tissue. In tissue sections, pink cells with purple cytoplasm and nuclei were seen, with no evident chromatin organization changes. Moreover, vascularization is also observed. The positive control group had localized gliosis cells, smaller neurons, and a higher eosinophilic density. Additionally, the infected mice’s brain tissues had inflammatory lesions primarily distinguished by lymphocyte infiltration into the meninges of the brain. Numerous necrotic spaces clearly disrupt the fibrosis of the neural tissue. Spiramycin, as an antibiotic drug, can overcome inflammatory changes in the brain that were observed during the early stages of infection. In summary, normal neurons are preserved while the damage stated above is minimized and gliosis is eliminated. The number of normal neurons present in the cerebral cortex and the small blood vessel dilating effects demonstrate the importance of therapy against toxoplasmosis infection, which was supported by the earlier findings. Depending on the product used (3a-3b-3c), the amount of tissue damage caused by the infection varied. Even though the necrotic gaps in 3a and 3c were less noticeable compared to 3b or the positive control, the necrosis effect was still clearly seen in 3a by the substantial difference in neuron density. The case of 3b had the worst treatment outcomes, which are almost identical to the necrosis and apoptosis symptoms seen in the positive control group. A dilated blood vessel with hemorrhaging and fibrosis was also seen in this group. Additionally, compared to 3a, 3c had a more notable recovery in the neural tissue, but it still exhibited inflammation. The more normal neurons that are dispersed across the sectors, the more 3c can be selective while having a few necrotic consequences (Figure 12).
Figure 12.
Light microscopic examination of H&E cerebral cortex-stained tissues of mice. Control group showed normal blood vessel (green arrow); normal neuron (red arrow). Positive control group showed necrotic gaps (black stars); lymphocytes (black arrow); fibrosis (bent black arrow); small neurons (red arrow). Spiramycin treated group showed normal neurons (red arrow); dilated blood vessel (green arrow). Treated group 3a showed necrotic gap (black star); decrease neurons number (red circle). Treated group 3b showed hemorrhagic blood vessel (H); fibrosis (black bent arrow); many necrotic gaps (black stars). Treated group 3c showed normal neuron (green arrow) some signs of inflammation (Inf). Magnification ×(200, 100).
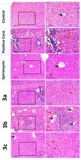
Liver Tissue
The normal cells in the control group had rounded vesicular nuclei, polyhedral forms, vacuolated acidophilic cytoplasm, and cords extending from the central vein. Severe portal trabecular inflammation and many apoptotic signals were seen in the positive control group. The hepatic portal vein was enlarged and congested, with edema symptoms indicating an increase in hydrostatic pressure. Additionally, hepatocyte degeneration was also visible between the congested sinusoids.
In contrast to the preceding features, spiramycin produced the best effects in hepatic tissue. The central vein and hepatocytes in the liver tissue were both normal, with the exception of a small number of ballooned cells. Group 3a of the three treatment modalities showed significantly more normal hepatocytes than the other groups. The blood sinusoids became clogged over time. Group 3b demonstrated precisely the same attributes as the positive control, demonstrating its placebo effect. The inflamed hepatic tissue appeared with strong symptoms of edema, along with dilated, congested central veins. Fewer normal hepatocytes are located within congested blood sinusoids.
Although the 3c group had a more normal central vein than 3b had, as well as numerous hepatocytes that were distributed normally with a normal nucleus, it nevertheless had little tissue deterioration and little swelling of the blood sinusoids (Figure 13).
Figure 13.
Light microscopic examination of H&E liver stained tissues of mice. Control group showed normal central vein (black arrow) with surrounding normal hepatocytes. Positive control group showed congested blood sinusoids (red arrows); degenerated hepatocytes (red stars); inflammation and congestion of portal triad (red circle). Spiramycin treated group showed normal central vein (black arrow) with few ballooned hepatocytes (black head arrow). Treated group 3a showed congested blood sinusoids (red arrow); inflammation (red circle). Treated group 3b showed many congested and dilated central veins (black arrows); congested blood sinusoids (red arrow); edema (green circle). Treated group 3c showed normal central vein (black arrow); degeneration (red circle) showed congested blood sinusoids (red arrow). Magnification ×(200, 100).
Lung Tissue
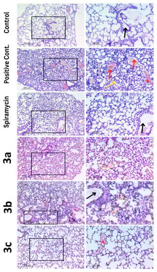
In the context of the lung’s functional component (the alveolus), the results would be discussed. In the control group, the alveolar epithelium is composed of cuboidal type-2 pneumocytes and flattened squamous pulmonary type-1 cells, leaving dilated normal alveoli. The typical structures were also shown by the terminal bronchioles. The abundance of non-functional alveoli is reflected in the prominence of the bronchus-associated lymphoid tissue (BALT) in this group. Additionally, the thickness of the epithelial lung cells increased, contributing to a reduction in the efficiency of breathing by raising the physiological dead space. Spiramycin, in contrast to the preceding description, has effective alveoli and thin epithelial tissue, allowing it to effectively treat the toxoplasmosis damage symptoms. Additionally, the design of terminal bronchioles is normal, supporting the respiratory process as it applies to gas exchange. Except for a small amount of congestion, these characteristics matched the way 3c was processed. Alveoli shrink in size in direct proportion to pulmonary epithelial thickness. Those characteristics were clearly present in 3a; however, 3b had the same characteristics with a different ratio, as 3b was conjugated with the more problematic qualities, as the terminal bronchioles had a thicker wall with internal congestion (Figure 14).
Figure 14.
Light microscopic examination of H&E lung stained tissues of mice. Control group showed normal terminal bronchiole (black arrow) with surrounding normal Alveoli. Positive control group showed BALT (red arrows); congestion (red hard arrow); thickened epithelium (yellow arrow). Spiramycin treated group showed terminal bronchiole (black arrow) surrounded by many functional alveoli. Treated group 3a showed thickened inflamed epithelium (yellow arrow). Treated group 3b showed many thickened inflamed epithelia (yellow arrow); thickened wall terminal bronchiole (black arrow). Treated group 3c showed normal alveoli diffused with some congestion (red head arrow). Magnification ×(200, 100).
3. Materials and Methods
3.1. General
Melting points were determined on a MEL-TEMP II apparatus, USA, New York and were uncorrected. 1H NMR spectra were determined in DMSO-d6 with a Joel spectrometer, Japan, Tokyo at 500 MHz. The 13C NMR spectra were recorded with a Joel spectrometer at 125.7 MHz. The chemical shifts are expressed in the δ scale (Figures S1–S9; Supplementary data). FTIR spectra were recorded with a Perkin Elmer infrared spectrophotometer, USA, New York, and potassium bromide pellets and frequencies were reported in cm−1 (Figures S10–S12; Supplementary data). CHN analyses were carried out using a PerkinElmer 2400 Elemental Analyzer, USA, New York. All chemicals were purchased from Aldrich and used as is without further purifications.
3.2. General Method for the Preparation of the Hydrazones
A mixture of the indole-3-carbaldehyde (1) (1 g, 6.89 mmol) and the molar equivalent appropriate acid hydrazide (2a–c) (6.93 mmol) (nicotinic acid hydrazide, isonicotinic acid hydrazide, and benzoic acid hydrazide) was refluxed for 4 h in an absolute ethanol (15 mL). The formed precipitate was filtered while hot and washed with hot ethanol. The condensation reaction afforded the corresponding hydrazones (3a–c) in good yields. The products were recrystallized from DMF to give yellowish white crystals of the target compounds.
- N’-((1H-indol-3-yl)methylene)nicotinohydrazide 3a:
Yield: 61%; mp 250 °C (Decomposition). Anal. Calc. C15H14N4O2: C, 63.82; H, 5.00; N, 19.85%. Found: C, 63.65; H, 4.94; N, 19.74%. FTIR (KBr, in cm−1): 3249 (NH), 3042 (CH alkane), 1642 (CONH), 1574 (C=N), 1548 (C=C). 1HNMR (500 MHz, DMSO-d6): δ = 6.90–6.93 (m, 0.3H(H6, H5)), 7.11–7.23 (m, 1.7H (H6, H5)), 7.36 (d, 0.15H(H11), J = 8.1 Hz), 7.42 (d, 0.85H (H11), J = 8.0 Hz), 7.54–7.51 (m, 1H (H12)), 7.62 (d, 0.15H (H13), J = 7.9 Hz), 7.76 (d, 0.15H (H2), J = 2.7 Hz), 7.83 (d, 0.85H (H2), J = 2.7 Hz), 8.16–8.25 (m, 2H(H4, H7)), 8.58 (s, 1H(H8)), 8.71–8.75 (m, 1H (H13)), 8.97 (d, 0.15H (H10), J = 2.1 Hz), 9.05 (d, 0.85H (H10), J = 2.1 Hz), 11.53 (s, 0.15H, NH), 11.61 (s, 0.85H, NH), 11.63 (s, 0.15H, NH). 13C NMR: δ = 112.08, 112.40, 121.02, 122.54, 123.22, 124.10, 124.58, 130.27, 131.27, 135.83, 137.58, 146.09, 149.02, 152.45, 161.03.
- N’-((1H-indol-3-yl)methylene)isonicotinohydrazide 3b:
Yield: 66%; mp 240–244 °C, Rf 0.53 (1:2.5 EtOAc–petroleum ether). Anal. Calc. C15H14N4O2: C, 63.82; H, 5.00; N, 19.85%. Found: C, 63.67; H, 4.95; N, 19.76%. FTIR (KBr, in cm−1): 3165 (NH), 3047 (CH alkane), 1648 (CONH), 1590 (C=N), 1550 (C=C). 1HNMR (500 MHz, DMSO-d6): δ = 6.90–7.13 (m, 0.3H(H6, H5)), 7.17–7.20 (m, 1.7H(H6, H5)), 7.36 (d, 0.15H(H7), J = 8.0 Hz), 7.42 (d, 0.85H (H7), J = 8.0 Hz), 7.55 (d, 0.15H (H4), J = 7.9 Hz), 7.67 (d, 0.30H (H11, H12), J = 7.9 Hz), 7.76 (s, 0.15H(H2)), 7.81–7.83 (m, 1.70H (H11, H12)), 7.86 (s, 0.85H (H2)), 8.26 (s, 0.15H (H8)), 8.31–8.27 (m, 0.85H(H4)), 8.62 (s, 0.85H (H8)), 8.77–8.73 (m, 2H(H10, H13)), 11.54 (s, 0.15H, NH), 11.64 (s, 0.85H, NH), 11.76 (s, 1H, NH). 13C NMR: d = 112.04, 112.43, 121.10, 129.27, 124.85, 122.55, 122.06, 122.05, 131.51, 137.61, 141.61, 146.71, 150.78, 150.78, 161.44.
- N’-((1H-indol-3-yl)methylene)benzohydrazide 3c:
Yield: 81%; mp 234–236 °C, Rf 0.53 (1:2.5 EtOAc–petroleum ether). Anal. Calc. C16H13N3O: C, 72.99; H, 4.98; N, 15.96%. Found: C, 72.78; H, 4.93; N, 15.87%. FTIR (KBr, in cm−1): 3364 (NH), 1640 (CON), 1578 (C=N), 1549 (C=C). 1HNMR (500 MHz, DMSO-d6): δ = 7.11–7.20 (m, 2.5H), 7.59- 7.36 (m, 3.5H), 7.79 (s, 0.9H (H2)), 7.89 (d, 1.80H(H10, H14)) J = 7.2 Hz), 8.31–8.27 (m, 1H), 8.58 (s, 0.75H(H8)), 8.87 (s, 0.25H(H8)), 11.39 (s, 0.1H, NH), 11.51 (s, 0.9H, NH), 11.57 (s, 0.8H, NH), 11.66 (s, 0.2H, NH). 13C NMR: d = 112.25, 112.34, 120.91, 122.57, 123.16, 130.87, 128.00, 128.93, 128.93, 134.59, 137.56, 145.47, 155.64, 163.04.
3.3. X-ray Structure Determinations
Crystals 3b and 3c were immersed in cryo-oil, mounted in a loop, and measured at a temperature of 120 K. The X-ray diffraction data were collected on a Rigaku Oxford Diffraction XtaLAB Synergy R diffractometer using Cu Kα radiation. The CrysAlisPro [28] software package was used for cell refinement and data reduction. A multi-scan absorption correction (CrysAlisPro [28]) was applied to the intensities before the structure solution. The structures were solved by the intrinsic phasing (SHELXT [29]) method. Structural refinements were carried out using SHELXL [30] software with SHELXLE [31] graphical user interface. The NH and H2O hydrogen atoms were located from the difference Fourier map and refined isotropically. All other hydrogen atoms were positioned geometrically and constrained to ride on their parent atoms, with C-H = 0.95 Å and Uiso = 1.2·Ueq (parent atom). The crystallographic details are summarized in Table 11.
Table 11.
Crystal data of 3b and 3c.
3.4. Hirshfeld Surface Analysis
Hirshfeld calculations were performed using the Crystal Explorer 17.5 program [32,33,34].
3.5. DFT Calculations
All DFT calculations for the indole-hydrazones were performed using Gaussian 09 software [35,36]. All calculations were performed with the B3LYP method and 6-31G(d,p) basis sets. The geometries were optimized and vibrational spectrum calculations revealed no imaginary frequencies.
3.6. Biology
3.6.1. Cytotoxic Effects of Studied Compounds (MTT Assay)
A total of 200 µL of Human lung fibroblast (W-I38) normal cell line (ATCC: CCL-25) suspension that contained 3000 cell/well were plated in a 96-well plate for 24 h. A total of 100 µL of different concentrations of extract in RPMI medium without fetal bovine serum was added after incubation, the plate was re-incubated for additional 24 h in CO2 incubator. After incubation, a volume of 20 μL of MTT solution was added to each well and plates were incubated for 3 h in a CO2 incubator to allow the MTT to be reacted. After incubation, the plates were centrifuged at 1650 rpm for 10 min and the medium was discarded. The formazan crystals (MTT byproduct) were re-suspended in 100 μL DMSO and reading was measured at a wavelength of 570 nm using an optima spectrophotometer for detecting the safe dose, which causes 100% cell viability.
The cytotoxicity assay of the compounds (3a, 3b, and 3c) was expressed as IC50 and was calculated by the GraphPad Instat software (https://www.graphpad.com/scientific-software/instat/) using the % viability calculated from the serial dilutions of each plant extract.
3.6.2. Mice
The study included sixty male Swiss albino mice, 6–8 weeks of age and weighing 20–25 g. Mice were maintained in the animal house, Pharos University in Alexandria. They were housed in wired cages under controlled temperature and light conditions and provided with water and regular mouse feed ad libitum.
3.6.3. Parasites
Toxoplasma gondii avirulent strain (ME49) was obtained from the Theodor Bilharz Research Institute is located in Giza, Egypt. It was maintained by serial oral inoculation of mice every 8 weeks with 0.1 mL of brain suspension containing 20 cysts of previously infected mice [37].
3.6.4. Drugs
Spiramycin was purchased from Sigma-Aldrich, Germany. Preparation, dose, and methods of administration were as previously described [38].
3.6.5. Mice Infection
The brain of a previously infected mouse was homogenized in 1 mL saline (0.85% NaCl). A total of 0.1mL of brain suspension was placed on a glass slide and microscopically tissue homogenizer counted under a high-power lens (×40) [39].
3.6.6. Mice Grouping
The study included six groups of mice, see Table 12. All mice were sacrificed at the end of the 10th week post infection (PI) for assessment of parasite burden in brain homogenates, morphological changes, and histopathological examination.
Table 12.
Mice grouping details.
3.6.7. Cyst Counts in Brain Homogenates
Smears were prepared from a half mL saline homogenate of one half of the brain of each mouse [41]. Air dried smears were stained with Giemsa stain and examined under an oil immersion lens [42]. Parasite burden was evaluated microscopically by counting the cysts in 10 HPFs of the brain homogenate smear of each mouse. Reduction percentage (R%) in cyst count was calculated according to the following equation:
where C = mean cyst count or size in the control group (GI), and E = mean cyst count or size in each treated group [43].
R% = [(C − E)/C] × 100
3.6.8. Morphological Changes
Brain cysts from each studied group were harvested in a 2.5% glutaraldehyde solution, they were examined by scanning electron microscope (SEM) to detect morphological changes [44].
3.6.9. Histopathological Examination
For the detection of pathological changes in the brains of mice infected with the Me49 Toxoplasma strain, a part of the brain tissues from all studied groups was fixed in 10 % formalin using hematoxylin and eosin stain (H&E) [45].
4. Conclusions
Three indole-hydrazones of nicotinic, isonicotinic, and benzoic acid hydrazides were synthesized and characterized with the aid of different experimental and theoretical methods. Structural analyses revealed the extrastability of the EAnti form in polar aprotic (DMSO) and polar protic (ethanol) solvents, as well as in solid phase. On the other hand, the ESyn form is the most stable in gas phase and in the nonpolar solvents (CCl4 and cyclohexane). The molecular and supramolecular structures of hydrazones 3b and 3c were investigated based on the X-ray crystal structural and Hirshfeld analyses. The intermolecular interactions N…H, O…H, H…C, and π…π have great importance for the crystal stability. The hydrazone 3b (5.7234 Debye) has the highest polar character compared to the others. Moreover, the 3a–c were used in the treatment of T. gondii infected mice and the results of our current study showed that the all 3a–c significantly reduced the parasite load in brains of treated mice, particularly, 3c had a promising therapeutic role against chronic toxoplasmosis.
Supplementary Materials
The following supporting information can be downloaded at: https://www.mdpi.com/article/10.3390/ijms241713251/s1.
Author Contributions
Conceptualization, M.H. (Mohamed Hagar) and S.M.S.; Formal analysis, E.M.H., H.R., M.H. (Matti Haukka), E.A.M. and M.H. (Mohamed Hagar); Investigation, E.M.H. and H.R.; Methodology, E.M.H., E.A.M. and H.R.; Software, M.H. (Matti Haukka), S.M.S., M.H. (Mohamed Hagar) and E.M.H.; Supervision, M.H. (Mohamed Hagar) and S.M.S.; Validation, E.A.M. and E.M.H.; Visualization, M.H. (Matti Haukka); Funding Acquisition: Assem Barakat; Writing—original draft, E.M.H., M.H. (Mohamed Hagar), E.A.M., H.R., M.H. (Matti Haukka), A.B. and S.M.S.; Writing—review and editing, E.M.H., M.H. (Mohamed Hagar), E.A.M., H.R., M.H. (Matti Haukka), A.B. and S.M.S. All authors have read and agreed to the published version of the manuscript.
Funding
The authors would like to extend their sincere appreciation to the Researchers Supporting Project (RSP2023R64), King Saud University, Riyadh, Saudi Arabia.
Institutional Review Board Statement
Not applicable.
Informed Consent Statement
Not applicable.
Data Availability Statement
Data are contained within the article or supplementary material.
Acknowledgments
The authors would like to extend their sincere appreciation to the Researchers Supporting Project (RSP2023R64), King Saud University, Riyadh, Saudi Arabia.
Conflicts of Interest
The authors declare no conflict of interest.
References
- Ritu, N.; Kumari, R.M.; Kumar, B. A review on biological activities of hydrazone derivatives. Int. J. Pharm. Clin. Res. 2016, 8, 162–166. [Google Scholar]
- Ali, M.R.; Marella, A.; Alam, M.T.; Naz, R.; Akhter, M.; Shaquiquzzaman, M.; Saha, R.; Tanwar, O.; Alam, M.M.; Hooda, J. Review of biological activities of hydrazones. Indonesian J. Pharm. 2012, 4, 193–202. [Google Scholar]
- Kamal, R.; Kumar, V.; Bhardwaj, V.; Kumar, V.; Aneja, K.R. Synthesis, characterization and in vitro antimicrobial evaluation of some novel hydrazone derivatives bearing pyrimidinyl and pyrazolyl moieties as a promising heterocycles. Med. Chem. Res. 2015, 24, 2551–2560. [Google Scholar] [CrossRef]
- Can, N.Ö.; Osmaniye, D.; Levent, S.; Sağlık, B.N.; Inci, B.; Ilgın, S.; Özkay, Y.; Kaplancıklı, Z.A. Synthesis of new hydrazone derivatives for MAO enzymes inhibitory activity. Molecules 2017, 22, 1381. [Google Scholar] [CrossRef]
- Ul Ain, N.; Ansari, T.M.; Shah Gilani, M.R.H.; Xu, G.; Liang, G.; Luque, R.; Alsaiari, M.; Jalalah, M. Facile and straightforward synthesis of Hydrazone derivatives. J. Nanomater. 2022, 2022, 3945810. [Google Scholar]
- Belskaya, N.P.; Dehaen, W.; Bakulev, V.A. Synthesis and properties of hydrazones bearing amide, thioamide and amidine functions. Arkivoc 2010, 2010, 275–332. [Google Scholar] [CrossRef]
- Kumar, V. Hydrazone: A promising pharmacophore in medicinal chemistry. J. Pharmacogn. Phytochem. 2018, 7, 40–43. [Google Scholar]
- Wahbeh, J.; Milkowski, S. The use of hydrazones for biomedical applications. SLAS Technol. 2019, 24, 161–168. [Google Scholar] [CrossRef]
- Jabeen, M. A comprehensive review on analytical applications of hydrazone derivatives. J. Turk. Chem. Soc. A Chem. 2022, 9, 663–698. [Google Scholar] [CrossRef]
- Uppal, G.; Bala, S.; Kamboj, S.; Saini, M. Therapeutic review exploring antimicrobial potential of hydrazones as promising lead. Der Pharma Chem. 2011, 3, 250–268. [Google Scholar]
- Siddiqui, S.M.; Salahuddin, A.; Azam, A. Synthesis, characterization and antiamoebic activity of some hydrazone and azole derivatives bearing pyridyl moiety as a promising heterocyclic scaffold. Eur. J. Med. Chem. 2012, 49, 411–416. [Google Scholar] [CrossRef]
- Gerpe, A.; Álvarez, G.; Benítez, D.; Boiani, L.; Quiroga, M.; Hernández, P.; Sortino, M.; Zacchino, S.; González, M.; Cerecetto, H. 5-Nitrofuranes and 5-nitrothiophenes with anti-Trypanosoma cruzi activity and ability to accumulate squalene. Bioorg. Med. Chem. 2009, 17, 7500–7509. [Google Scholar] [CrossRef]
- Caputto, M.E.; Fabian, L.E.; Benítez, D.; Merlino, A.; Ríos, N.; Cerecetto, H.; Moltrasio, G.Y.; Moglioni, A.G.; González, M.; Finkielsztein, L.M. Thiosemicarbazones derived from 1-indanones as new anti-Trypanosoma cruzi agents. Bioorg. Med. Chem. 2011, 19, 6818–6826. [Google Scholar] [CrossRef]
- Carvalho, S.A.; Feitosa, L.O.; Soares, M.; Costa, T.E.; Henriques, M.G.; Salomão., K.; de Castro, S.L.; Kaiser, M.; Brun, R.; Wardell, J.L.; et al. Design and synthesis of new (E)-cinnamic N-acylhydrazones as potent antitrypanosomal agents. Eur. J. Med. Chem. 2012, 54, 512–521. [Google Scholar] [CrossRef]
- dos Santos Filho, J.M.; Leite, A.C.; de Oliveira, B.G.; Moreira, D.R.; Lima, M.S.; Soares, M.B.; Leite, L.F. Design, synthesis and cruzain docking of 3-(4-substituted-aryl)-1,2,4-oxadiazole-N-acylhydrazones as anti-Trypanosoma cruzi agents. Bioorg. Med. Chem. 2009, 17, 6682–6691. [Google Scholar] [CrossRef]
- Porcal, W.; Hernández, P.; Boiani, L.; Boiani, M.; Ferreira, A.; Chidichimo, A.; Cazzulo, J.J.; Olea-Azar, C.; González, M.; Cerecetto, H. New trypanocidal hybrid compounds from the association of hydrazone moieties and benzofuroxan heterocycle. Bioorg. Med. Chem. 2008, 16, 6995–7004. [Google Scholar] [CrossRef]
- Eissa, A.A.M.; Soliman, G.A.; Khataibeh, M.H. Design, synthesis and anti-inflammatory activity of structurally simple anthranilic acid congeners devoid of ulcerogenic side effects. Chem. Pharm. Bull. 2012, 60, 1290–1300. [Google Scholar] [CrossRef]
- Salgin-Gökşen, U.; Gökhan-Kelekçi, N.; Göktaş, O.; Köysal, Y.; Kiliç, E.; Işik, S.; Aktay, G.; Özalp, M. 1-Acylthiosemicarbazides, 1,2,4-triazole-5 (4H)-thiones, 1,3,4-thiadiazoles and hydrazones containing 5-methyl-2- benzoxazolinones: Synthesis, analgesic-anti-inflammatory and antimicrobial activities. Bioorg. Med. Chem. 2007, 15, 5738–5751. [Google Scholar] [CrossRef]
- Khan, K.M.; Khan, M.; Ali, M.; Taha, M.; Rasheed, S.; Perveen, S.; Choudhary, M.I. Synthesis of bis-Schiff bases of isatins and their antiglycation activity. Bioorg. Med. Chem. 2009, 17, 7795–7801. [Google Scholar] [CrossRef]
- Yang, W.B.; Wang, J.L.; Gui, Q.; Zou, Y.; Chen, K.; Liu, Q.; Liang, Q.L.; Zhu, X.Q.; Zhou, D.H. Immunization with a Live-Attenuated RH:ΔNPT1 Strain of Toxoplasma gondii Induces Strong Protective Immunity Against Toxoplasmosis in Mice. Front. Microbiol. 2019, 10, 1875. [Google Scholar] [CrossRef]
- Boog, C.J. Principles of vaccination and possible development strategies for rational design. Immunol. Lett. 2009, 122, 104–107. [Google Scholar] [CrossRef]
- Nemykin, V.N.; Olsen, J.G.; Perera, E.; Basu, P. Synthesis, Molecular and Electronic Structure, and TDDFT and TDDFT-PCM Study of the Solvatochromic Properties of (Me2Pipdt)Mo(CO)4 Complex (Me2Pipdt=N,N’-Dimethylpiperazine-2,3-dithione). Inorg. Chem. 2006, 45, 3557–3568. [Google Scholar] [CrossRef]
- Menconi, G.; Kaltsoyannis, N. Time dependent DFT study of the electronic transition energies of RuO4 and OsO4. Chem. Phys. Lett. 2005, 415, 64–68. [Google Scholar] [CrossRef]
- De, S.P.; Ash, S.; Dalai, S.; Misra, A. A DFT-based comparative study on the excited states intramolecular proton transfer in 1-hydroxy-2-naphthaldehyde and 2-hydroxy-3-naphthaldehyde. J. Mol. Struct. Theochem. 2007, 807, 33–41. [Google Scholar]
- Zborowski, K.; Korenova, A.; Uher, M.; Proniewicz, L.M. Quantum chemical studies on tautomeric equilibria in chlorokojic and azidokojic acids. J. Mol. Struct. Theochem. 2004, 683, 15–22. [Google Scholar] [CrossRef]
- Oziminski, W.P.; Dobrovolski, J.C.; Mazurek, A.P. DFT studies on tautomerism of C5-substituted 1,2,4-triazoles. J. Mol. Struct. Theochem. 2004, 680, 107–115. [Google Scholar] [CrossRef]
- Dines, T.J.; Onoh, H. An infrared and resonance Raman spectroscopic study of phenylazonaphthol pigments. Spectrochim. Acta. A 2006, 64, 891–900. [Google Scholar] [CrossRef] [PubMed]
- Rikagu Oxford Diffraction. CrysAlisPro; Rikagu Oxford Diffraction Inc.: Yarnton, UK, 2020. [Google Scholar]
- Sheldrick, G.M. Shelxt–Integrated space-group and crystal-structure determination. Acta Cryst. 2015, A71, 3–8. [Google Scholar] [CrossRef]
- Sheldrick, G.M. Crystal structure refinement with SHELXL. Acta Cryst. 2015, 71, 3–8. [Google Scholar] [CrossRef]
- Hübschle, C.B.; Sheldrick, G.M.; Dittrich, B. A Qt Graphical User Interface for SHELXL. J. Appl. Cryst. 2011, 44, 1281–1284. [Google Scholar] [CrossRef]
- Hirshfeld, F.L. Bonded-atom fragments for describing molecular charge densities. Theor. Chim. Acta 1977, 44, 129–138. [Google Scholar] [CrossRef]
- Turner, M.J.; McKinnon, J.J.; Wolff, S.K.; Grimwood, D.J.; Spackman, P.R.; Jayatilaka, D.; Spackman, M.A. Crystal Explorer17; University of Western Australia: Perth, Australia, 2017. [Google Scholar]
- Spackman, M.A.; Jayatilaka, D. Hirshfeld Surface Analysis. CrystEngComm 2009, 11, 19–32. [Google Scholar] [CrossRef]
- Frisch, M.J.; Trucks, G.W.; Schlegel, H.B.; Scuseria, G.E.; Robb, M.A.; Cheeseman, J.R.; Scalmani, G.; Barone, V.; Mennucci, B.; Petersson, G.A.; et al. GAUSSIAN 09; Revision A02; Gaussian Inc.: Wallingford, CT, USA, 2009. [Google Scholar]
- Dennington, R., II; Keith, T.; Millam, J. (Eds.) GaussView; Version 4.1; Semichem Inc.: Shawnee Mission, KS, USA, 2007. [Google Scholar]
- El-Shafey, A.A.M.; Hegab, M.H.A.; Seliem, M.M.E.; Barakat, A.M.A.; Mostafa, N.E.; Abdel-Maksoud, H.A.; Abdelhameed, R.M. Curcumin@metal organic frameworks nanocomposite for treatment of chronic toxoplasmosis. J. Mater. Sci. Mater. Med. 2020, 31, 90. [Google Scholar] [CrossRef]
- Rageh, E.A.; El-Gayar, E.K.; Abaza, S.M.; Alabbassy, M.M. Assessment of the prophylactic and therapeutic effects of curcumin nanoemulsion in comparison with Spiramycin in mice experimentally infected with T. gondii (RH strain). PUJ 2022, 15, 154–161. [Google Scholar]
- Djurkovi-Djakovi, O.; Milenkovic, V. Murine model of drug-induced reactivation of Toxoplasma gondii. Acta Protozool. 2001, 40, 99–106. [Google Scholar]
- Etewa, S.E.; El-Maaty, D.A.A.; Hamza, R.S.; Metwaly, A.S.; Sarhan, M.H.; Abdel-Rahman, S.A.; Fathy, G.M.; El-Shafey, M. Assessment of Spiramycinloaded chitosan nanoparticles treatment on acute and chronic toxoplasmosis in mice. J. Parasit. Dis. 2018, 42, 102–113. [Google Scholar] [CrossRef] [PubMed]
- Azami, S.J.; Teimouri, A.; Keshavarz, H.; Amani, A.; Esmaeili, F.; Hasanpour, H.; Elikaee, S.; Salehiniya, H.; Shojaee, S. Curcumin nanoemulsion as a novel chemical for the treatment of acute and chronic toxoplasmosis in mice. Int. J. Nanomed. 2018, 13, 7363–7374. [Google Scholar] [CrossRef]
- Ayele, L.; Mohammed, C.; Yimer, L. Review on diagnostic cytology: Techniques and applications in veterinary medicine. J. Vet. Sci. Technol. 2017, 8, 408. [Google Scholar] [CrossRef]
- Barakat, A.M.A. Some diagnostic studies on male New Zealand rabbit experimentally infected with Toxoplasma gondii strain. Glob. Vet. 2007, 1, 17–23. [Google Scholar]
- Eissa, M.M.; Barakat, A.M.; Amer, E.I.; Younis, L.K. Could miltefosine be used as a therapy for toxoplasmosis? Exp. Parasitol. 2015, 157, 12–22. [Google Scholar] [CrossRef] [PubMed]
- Musumeci, G. Past, present and future: Overview on histology and histopathology. J. Histol. Histopathol. 2014, 1, 5. [Google Scholar] [CrossRef]
Disclaimer/Publisher’s Note: The statements, opinions and data contained in all publications are solely those of the individual author(s) and contributor(s) and not of MDPI and/or the editor(s). MDPI and/or the editor(s) disclaim responsibility for any injury to people or property resulting from any ideas, methods, instructions or products referred to in the content. |
© 2023 by the authors. Licensee MDPI, Basel, Switzerland. This article is an open access article distributed under the terms and conditions of the Creative Commons Attribution (CC BY) license (https://creativecommons.org/licenses/by/4.0/).
















