Xylose Isomerase Depletion Enhances Virulence of Xanthomonas citri subsp. citri in Citrus aurantifolia
Abstract
1. Introduction
2. Results
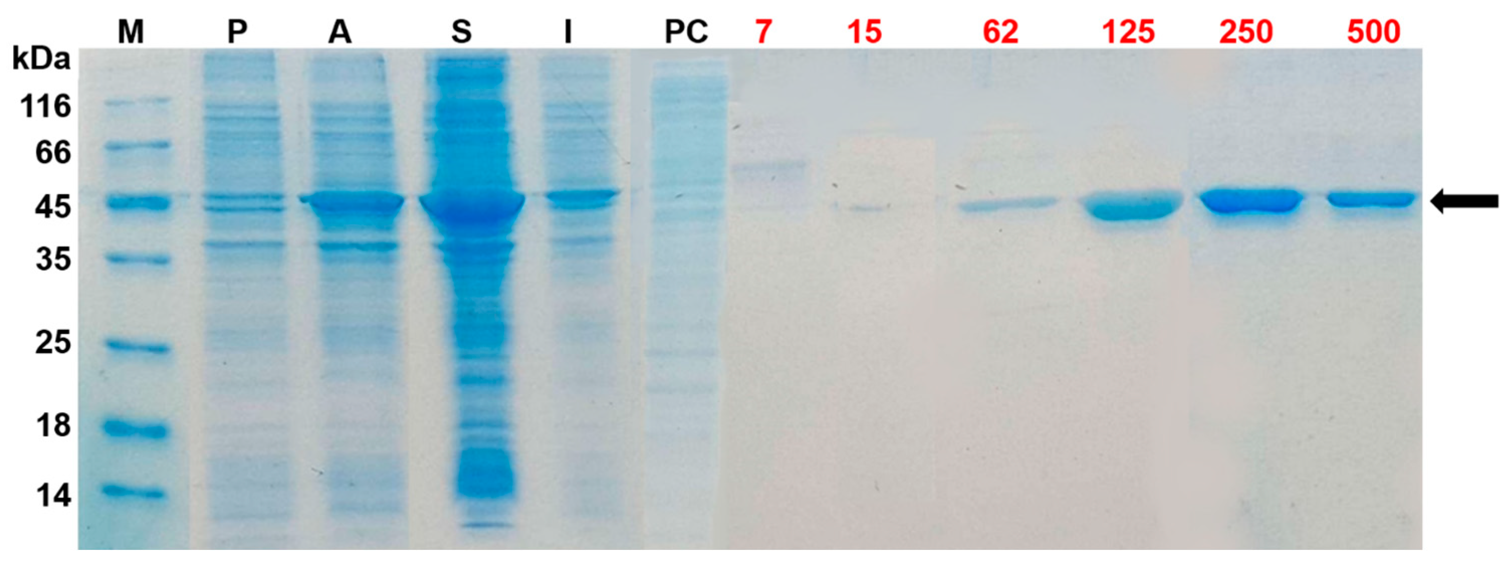
2.1. XylA2 Has Isomerase Activity for Glucose and Xylose
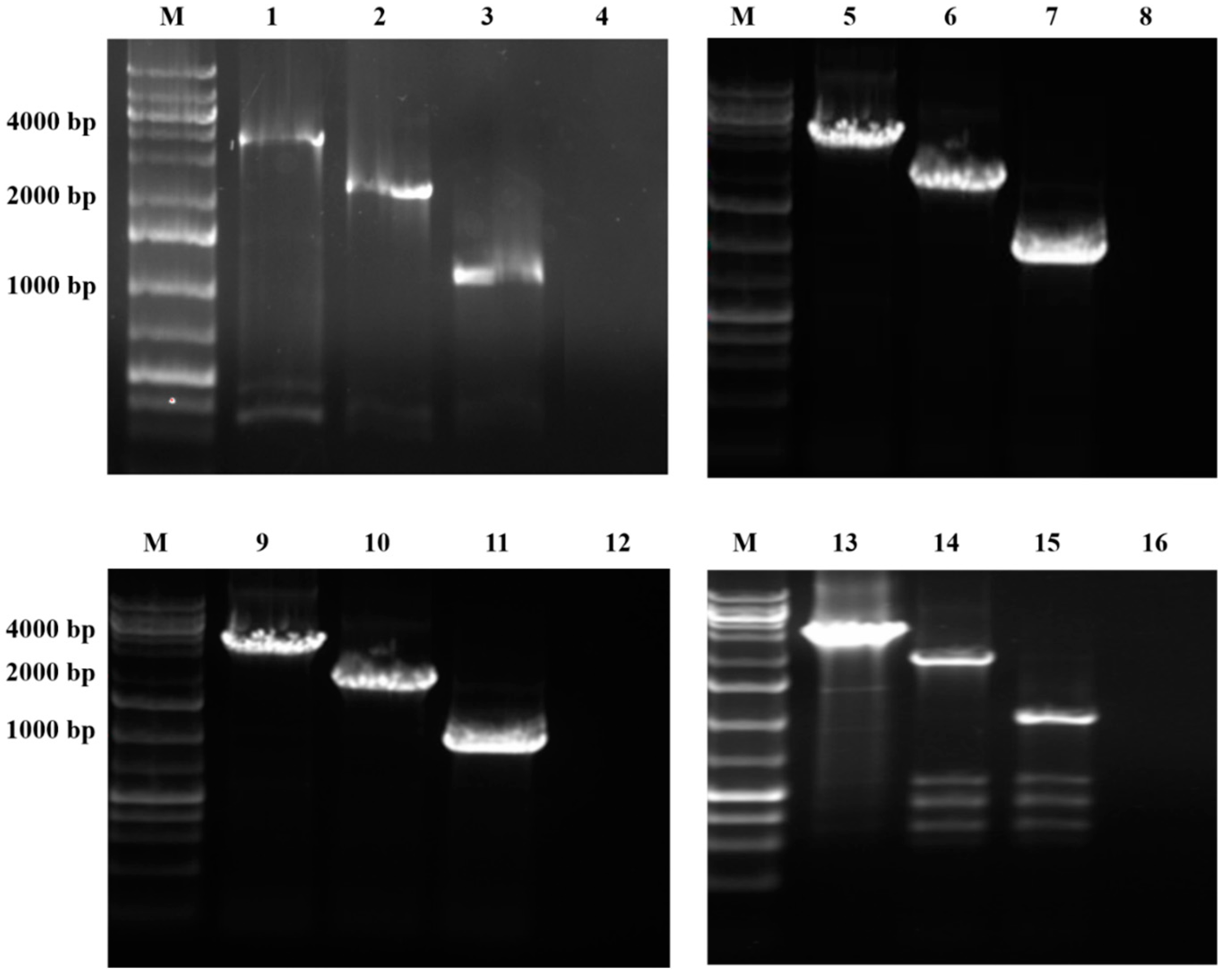
2.2. Confirmation of xylA Deletion in the Mutants
2.3. Xcc and Deletion Mutants Grow Differentially in the Presence and Absence of Xylose
2.4. xylA Deletion Increases Virulence of Xcc in C. aurantifolia
2.5. xylA Deletion Affects the Expression of xylR and hrp Regulators Mainly in the Double Mutant
3. Discussion
4. Materials and Methods
4.1. Bacterial Strains, Culture Media, Conditions, and General Procedures
4.2. XI Heterologous Expression for Confirmation of the Two Predicted Enzymatic Activities
4.3. Plasmid Construction for Deletion of xylA1 or/and xylA2 Genes from Xcc
4.4. Construction of Deletion Mutants Lacking One or Both Xcc xylA Genes
4.5. Growth Curves for Xcc and xylA Deletion Mutants in the Presence and Absence of Xylose
4.6. In vivo Pathogenicity Assays of Xcc and xylA Deletion Mutants
4.7. RT-qPCR Analysis for xylR and hrp Regulator Gene Expression in Xcc and Deletion Mutants
5. Conclusions
Supplementary Materials
Author Contributions
Funding
Institutional Review Board Statement
Informed Consent Statement
Data Availability Statement
Acknowledgments
Conflicts of Interest
References
- Gottwald, T.R.; Graham, J.H.; Schubert, T.S. Citrus Canker: The Pathogen and Its Impact. Plant Health Prog. 2002, 3, 15. [Google Scholar] [CrossRef]
- Bock, C.H.; Graham, J.H.; Gottwald, T.R.; Cook, A.Z.; Parker, P.E. Wind Speed Effects on the Quantity of Xanthomonas citri subsp. citri Dispersed Downwind from Canopies of Grapefruit Trees Infected with Citrus Canker. Plant Dis. 2010, 94, 725–736. [Google Scholar] [CrossRef]
- Ference, C.M.; Gochez, A.M.; Behlau, F.; Wang, N.; Graham, J.H.; Jones, J.B. Recent Advances in the Understanding of Xanthomonas citri ssp. citri Pathogenesis and Citrus Canker Disease Management. Mol. Plant Pathol. 2018, 19, 1302–1318. [Google Scholar] [CrossRef]
- Behlau, F. An Overview of Citrus Canker in Brazil. Trop. Plant Pathol. 2021, 46, 1–12. [Google Scholar] [CrossRef]
- Lanza, F.E.; Marti, W.; Silva, G.J., Jr.; Behlau, F. Characteristics of Citrus Canker Lesions Associated with Premature Drop of Sweet Orange Fruit. Phytopathology 2018, 109, 44–51. [Google Scholar] [CrossRef]
- Fonseca, N.P.; Felestrino, É.B.; Caneschi, W.L.; Sanchez, A.B.; Cordeiro, I.F.; Lemes, C.G.C.; Assis, R.A.B.; Carvalho, F.M.S.; Ferro, J.A.; Varani, A.M. Detection and Identification of Xanthomonas Pathotypes Associated with Citrus Diseases Using Comparative Genomics and Multiplex PCR. PeerJ 2019, 7, e7676. [Google Scholar] [CrossRef]
- Carnielli, C.M.; Artier, J.; de Oliveira, J.C.F.; Novo-Mansur, M.T.M. Xanthomonas citri subsp. citri Surface Proteome by 2D-DIGE: Ferric Enterobactin Receptor and Other Outer Membrane Proteins Potentially Involved in Citric Host Interaction. J. Proteom. 2017, 151, 251–263. [Google Scholar] [CrossRef]
- Artier, J.; da Silva Zandonadi, F.; de Souza Carvalho, F.M.; Pauletti, B.A.; Leme, A.F.P.; Carnielli, C.M.; Selistre-de-Araujo, H.S.; Bertolini, M.C.; Ferro, J.A.; Belasque Junior, J. Comparative Proteomic Analysis of Xanthomonas citri ssp. citri Periplasmic Proteins Reveals Changes in Cellular Envelope Metabolism during in Vitro Pathogenicity Induction. Mol. Plant Pathol. 2018, 19, 143–157. [Google Scholar] [CrossRef]
- Moreira, L.M.; Soares, M.R.; Facincani, A.P.; Ferreira, C.B.; Ferreira, R.M.; Ferro, M.I.T.; Gozzo, F.C.; Felestrino, É.B.; Assis, R.A.B.; Garcia, C.C.M. Proteomics-Based Identification of Differentially Abundant Proteins Reveals Adaptation Mechanisms of Xanthomonas citri subsp. citri during Citrus sinensis Infection. BMC Microbiol. 2017, 17, 155. [Google Scholar] [CrossRef]
- Zandonadi, F.S.; Ferreira, S.P.; Alexandrino, A.V.; Carnielli, C.M.; Artier, J.; Barcelos, M.P.; Nicolela, N.C.S.; Prieto, E.L.; Goto, L.S.; Belasque Jr, J. Periplasm-Enriched Fractions from Xanthomonas citri subsp. citri Type A and X. fuscans subsp. aurantifolii Type B Present Distinct Proteomic Profiles under In Vitro Pathogenicity Induction. PLoS ONE 2020, 15, e0243867. [Google Scholar] [CrossRef]
- Astua-Monge, G.; Freitas-Astua, J.; Bacocina, G.; Roncoletta, J.; Carvalho, S.A.; Machado, M.A. Expression Profiling of Virulence and Pathogenicity Genes of Xanthomonas axonopodis pv. citri. J. Bacteriol. 2005, 187, 1201–1205. [Google Scholar] [CrossRef]
- Alexandrino, A.V.; Goto, L.S.; Novo-Mansur, M.T.M. TreA Codifies for a Trehalase with Involvement in Xanthomonas citri subsp. citri Pathogenicity. PLoS ONE 2016, 11, e0162886. [Google Scholar] [CrossRef]
- Ucci, A.P.; Martins, P.M.M.; Lau, I.F.; Bacci Jr, M.; Belasque Junior, J.; Ferreira, H. Asymmetric Chromosome Segregation in Xanthomonas citri ssp. citri. Microbiologyopen 2014, 3, 29–41. [Google Scholar] [CrossRef]
- Goto, L.S.; Vessoni Alexandrino, A.; Malvessi Pereira, C.; Silva Martins, C.; D’Muniz Pereira, H.; Brandão-Neto, J.; Marques Novo-Mansur, M.T. Structural and Functional Characterization of the Phosphoglucomutase from Xanthomonas citri subsp. citri. Biochim. Biophys. Acta—Proteins Proteom. 2016, 1864, 1658–1666. [Google Scholar] [CrossRef]
- Cabrejos, D.A.L.; Alexandrino, A.V.; Pereira, C.M.; Mendonça, D.C.; Pereira, H.D.; Novo-Mansur, M.T.M.; Garratt, R.C.; Goto, L.S. Structural Characterization of a Pathogenicity-Related Superoxide Dismutase Codified by a Probably Essential Gene in Xanthomonas citri subsp. citri. PLoS ONE 2019, 14, e0209988. [Google Scholar] [CrossRef]
- Teixeira, R.D.; Guzzo, C.R.; Arévalo, S.J.; Andrade, M.O.; Abrahão, J.; de Souza, R.F.; Farah, C.S. A Bipartite Periplasmic Receptor–Diguanylate Cyclase Pair (XAC2383–XAC2382) in the Bacterium Xanthomonas citri. J. Biol. Chem. 2018, 293, 10767–10781. [Google Scholar] [CrossRef]
- Chow, V.; Shantharaj, D.; Guo, Y.; Nong, G.; Minsavage, G.V.; Jones, J.B.; Preston, J.F. Xylan Utilization Regulon in Xanthomonas citri pv. citri Strain 306: Gene Expression and Utilization of Oligoxylosides. Appl. Environ. Microbiol. 2015, 81, 2163–2172. [Google Scholar] [CrossRef]
- Sievert, C.; Nieves, L.M.; Panyon, L.A.; Loeffler, T.; Morris, C.; Cartwright, R.A.; Wang, X. Experimental Evolution Reveals an Effective Avenue to Release Catabolite Repression via Mutations in xylR. Proc. Natl. Acad. Sci. USA 2017, 114, 7349–7354. [Google Scholar] [CrossRef]
- Zhang, Z.; Chen, H. Fermentation Performance and Structure Characteristics of Xanthan Produced by Xanthomonas campestris with a Glucose/Xylose Mixture. Appl. Biochem. Biotechnol. 2010, 160, 1653–1663. [Google Scholar] [CrossRef]
- Amanullah, A.; Satti, S.; Nienow, A.W. Enhancing Xanthan Fermentations by Different Modes of Glucose Feeding. Biotechnol. Prog. 1998, 14, 265–269. [Google Scholar] [CrossRef]
- Gumus, T.; Demirci, A.S.; Mirik, M.; Arici, M.; Aysan, Y. Xanthan Gum Production of Xanthomonas spp. Isolated from Different Plants. Food Sci. Biotechnol. 2010, 19, 201–206. [Google Scholar] [CrossRef]
- Ikawa, Y.; Tsuge, S. The Quantitative Regulation of the Hrp Regulator HrpX Is Involved in Sugar-Source-Dependent hrp Gene Expression in Xanthomonas oryzae pv. oryzae. FEMS Microbiol. Lett. 2016, 363. [Google Scholar] [CrossRef]
- Dahl, M.K.; Schmiedel, D.; Hillen, W. Glucose and Glucose-6-Phosphate Interaction with Xyl Repressor Proteins from Bacillus spp. May Contribute to Regulation of Xylose Utilization. J. Bacteriol. 1995, 177, 5467–5472. [Google Scholar] [CrossRef]
- Lokman, B.C.; Heerikhuisen, M.; Leer, R.J.; Van Den Broek, A.; Borsboom, Y.; Chaillou, S.; Postma, P.W.; Pouwels, P.H. Regulation of Expression of the Lactobacillus pentosus XylAB Operon. J. Bacteriol. 1997, 179, 5391–5397. [Google Scholar] [CrossRef][Green Version]
- Stephens, C.; Christen, B.; Watanabe, K.; Fuchs, T.; Jenal, U. Regulation of D-Xylose Metabolism in Caulobacter crescentus by a LacI-Type Repressor. J. Bacteriol. 2007, 189, 8828–8834. [Google Scholar] [CrossRef]
- Ikawa, Y.; Ohnishi, S.; Shoji, A.; Furutani, A.; Tsuge, S. Concomitant Regulation by a LacI-Type Transcriptional Repressor XylR on Genes Involved in Xylan and Xylose Metabolism and the Type III Secretion System in Rice Pathogen Xanthomonas Oryzae Pv. Oryzae. Mol. Plant-Microbe Interact. 2018, 31, 605–613. [Google Scholar] [CrossRef]
- Heo, G.-Y.; Kim, W.-C.; Joo, G.-J.; Kwak, Y.-Y.; Shin, J.-H.; Roh, D.-H.; Park, H.-D.; Rhee, I.-K. Deletion of XylR Gene Enhances Expression of Xylose Isomerase in Streptomyces lividans TK24. J. Microbiol. Biotechnol 2008, 18, 837–844. [Google Scholar]
- Stevis, P.E.; Ho, N.W.Y. Overproduction of D-Xylose Isomerase in Escherichia Coli by Cloning the D-Xylose Isomerase Gene. Enzym. Microb. Technol. 1985, 7, 592–596. [Google Scholar] [CrossRef]
- Bhosale, S.H.; Rao, M.B.; Deshpande, V. V Molecular and Industrial Aspects of Glucose Isomerase. Microbiol. Mol. Biol. Rev. 1996, 60, 280–300. [Google Scholar] [CrossRef]
- Dunger, G.; Guzzo, C.R.; Andrade, M.O.; Jones, J.B.; Farah, C.S. Xanthomonas citri subsp. citri Type IV Pilus Is Required for Twitching Motility, Biofilm Development, and Adherence. Mol. Plant-Microbe Interact. 2014, 27, 1132–1147. [Google Scholar] [CrossRef]
- Darsonval, A.; Darrasse, A.; Meyer, D.; Demarty, M.; Durand, K.; Bureau, C.; Manceau, C.; Jacques, M.-A. The Type III Secretion System of Xanthomonas fuscans subsp. fuscans Is Involved in the Phyllosphere Colonization Process and in Transmission to Seeds of Susceptible Beans. Appl. Environ. Microbiol. 2008, 74, 2669–2678. [Google Scholar] [CrossRef]
- Fatima, U.; Senthil-Kumar, M. Plant and Pathogen Nutrient Acquisition Strategies. Front. Plant Sci. 2015, 6, 750. [Google Scholar] [CrossRef]
- Büttner, D.; Bonas, U. Regulation and Secretion of Xanthomonas Virulence Factors. FEMS Microbiol. Rev. 2010, 34, 107–133. [Google Scholar] [CrossRef]
- Déjean, G.; Blanvillain-Baufumé, S.; Boulanger, A.; Darrasse, A.; de Bernonville, T.D.; Girard, A.; Carrére, S.; Jamet, S.; Zischek, C.; Lautier, M. The Xylan Utilization System of the Plant Pathogen Xanthomonas campestris pv. campestris Controls Epiphytic Life and Reveals Common Features with Oligotrophic Bacteria and Animal Gut Symbionts. New Phytol. 2013, 198, 899–915. [Google Scholar] [CrossRef]
- Santos, C.R.; Hoffmam, Z.B.; de Matos Martins, V.P.; Zanphorlin, L.M.; de Paula Assis, L.H.; Honorato, R.V.; de Oliveira, P.S.L.; Ruller, R.; Murakami, M.T. Molecular Mechanisms Associated with Xylan Degradation by Xanthomonas Plant Pathogens. J. Biol. Chem. 2014, 289, 32186–32200. [Google Scholar] [CrossRef]
- Vieira, P.S.; Bonfim, I.M.; Araujo, E.A.; Melo, R.R.; Lima, A.R.; Fessel, M.R.; Paixão, D.A.A.; Persinoti, G.F.; Rocco, S.A.; Lima, T.B. Xyloglucan Processing Machinery in Xanthomonas Pathogens and Its Role in the Transcriptional Activation of Virulence Factors. Nat. Commun. 2021, 12, 4049. [Google Scholar] [CrossRef]
- Hottes, A.K.; Meewan, M.; Yang, D.; Arana, N.; Romero, P.; McAdams, H.H.; Stephens, C. Transcriptional Profiling of Caulobacter crescentus during Growth on Complex and Minimal Media. J. Bacteriol. 2004, 186, 1448–1461. [Google Scholar] [CrossRef]
- Ausubel, F.M. Short Protocols in Molecular Biology: A Compendium of Methods from Current Protocols in Molecular Biology, 5th ed.; Wiley: New York, NY, USA, 2002. [Google Scholar]
- Sanger, F.; Nicklen, S.; Coulson, A.R. DNA Sequencing with Chain-Terminating Inhibitors. Proc. Natl. Acad. Sci. USA 1977, 74, 5463–5467. [Google Scholar] [CrossRef]
- Laemmli, U.K. Cleavage of Structural Proteins during the Assembly of the Head of Bacteriophage T4. Nature 1970, 227, 680. [Google Scholar] [CrossRef]
- Roe, J.H. A Colorimetric Method for the Determination of Fructose in Blood and Urine. J. Biol. Chem. 1934, 107, 15–22. [Google Scholar] [CrossRef]
- Trinder, P. Determination of Glucose in Blood Using Glucose Oxidase with an Alternative Oxygen Acceptor. Ann. Clin. Biochem. 1969, 6, 24–27. [Google Scholar] [CrossRef]
- Ferreira, H.; Barrientos, F.J.A.; Baldini, R.L.; Rosato, Y.B. Electrotransformation of Three Pathovars of Xanthomonas campestris. Appl. Microbiol. Biotechnol. 1995, 43, 651–655. [Google Scholar] [CrossRef]
- Bramucci, M.G.; Nagarajan, V. Direct Selection of Cloned DNA in Bacillus Subtilis Based on Sucrose-Induced Lethality. Appl. Environ. Microbiol. 1996, 62, 3948–3953. [Google Scholar] [CrossRef]
- Jacob, T.R.; Laia, M.L.; Ferro, J.A.; Ferro, M.I.T. Selection and Validation of Reference Genes for Gene Expression Studies by Reverse Transcription Quantitative PCR in Xanthomonas citri subsp. citri during Infection of Citrus Sinensis. Biotechnol. Lett. 2011, 33, 1177–1184. [Google Scholar]
- Livak, K.J.; Schmittgen, T.D. Analysis of Relative Gene Expression Data Using Real-Time Quantitative PCR and the 2−ΔΔCT Method. Methods 2001, 25, 402–408. [Google Scholar] [CrossRef]







| Gene or Region/Utilization | Primer Nucleotide Sequence | Product Size (bp) | Restriction Enzymes for Sites in Respective F and R Primers |
|---|---|---|---|
| ORF XAC4225 (xylA2 gene)/heterologous expression | F:TATATACATATGAGCAACACCGTGTACAT R: CTCGAGTCAACGCGTCAGATACTG | 1338 | NdeI/XhoI |
| xylA1 up/ deletion vector | F: TATATAAAGCTTGGCTGGACGTGCGC R: TATTAGGATCCGGGGTGTGAAGTCCTTG | 1000 | HindIII/BamHI |
| xylA1 down/ deletion vector | F: TATATAGGATCCTGTCCCGTGGCCGG R: TATATAGCTAGCCTGCTCGGAGAAGCCC | 1000 | BamHI/NheI |
| xylA2 up/ deletion vector | F: TATAAAGCTTGGTCACGCCATGCGTC R: TTAATAGGATCCGGGGTGAAGCTCCTG | 1000 | HindIII/BamHI |
| xylA2 down/ deletion vector | F: TATATATAGGATCCGCCTTGCCACTGCAC R: TATATAGTCGACGGTGGCATCGCGTAC | 1000 | BamHI/SalI |
| up + down of XccΔxylA1/ deletion confirmation | F: GCTCACCGGCGAGCGCTT R: AGGCACCGATGCTGAGGCC | 2000 (mutant) ~3300 (wild) | - |
| up + down of XccΔxylA2/ deletion confirmation | F: GATGGTGGCCGAGCGCGAT R: GCTGCTGGGCGTGTTGCG | 2000 (mutant) ~3300 (wild) | - |
| Gene Name | Primer Nucleotide Sequence (RT-qPCR) | Size (bp) | Efficiency (%) | Concentration (mM) |
|---|---|---|---|---|
| atpD (control, XAC3649) | F: CGGCGCACCGTCGTAT R: CCGGTTTCCAGCAATTCG | 53 | 106.096 | 100/100 |
| gyrB (control, XAC3896) | F: CGTCCCGGCATGTATATCG R: ACCACCTCGAACACCATGTGA | 67 | 102.371 | 100/100 |
| hrpG (XAC1265) | F: CAGCACATCTACAAGTTGCG R: CCTTGCTCATTGTCGTTGC | 100 | 100.868 | 100/100 |
| hrpX (XAC1266) | F: CGATGATGAGGTCAGTTTGT R: ACTGCGCAAAGCAATTCAAC | 100 | 99.297 | 100/100 |
| xylR (XAC4226) | F546: AGCCAAAGAGATCACCGAAC R730: GGCCGGATTTGTAGGTGTAA | 166 | 91.96 | 100/100 |
Disclaimer/Publisher’s Note: The statements, opinions and data contained in all publications are solely those of the individual author(s) and contributor(s) and not of MDPI and/or the editor(s). MDPI and/or the editor(s) disclaim responsibility for any injury to people or property resulting from any ideas, methods, instructions or products referred to in the content. |
© 2023 by the authors. Licensee MDPI, Basel, Switzerland. This article is an open access article distributed under the terms and conditions of the Creative Commons Attribution (CC BY) license (https://creativecommons.org/licenses/by/4.0/).
Share and Cite
Alexandrino, A.V.; Prieto, E.L.; Nicolela, N.C.S.; da Silva Marin, T.G.; dos Santos, T.A.; de Oliveira da Silva, J.P.M.; da Cunha, A.F.; Behlau, F.; Novo-Mansur, M.T.M. Xylose Isomerase Depletion Enhances Virulence of Xanthomonas citri subsp. citri in Citrus aurantifolia. Int. J. Mol. Sci. 2023, 24, 11491. https://doi.org/10.3390/ijms241411491
Alexandrino AV, Prieto EL, Nicolela NCS, da Silva Marin TG, dos Santos TA, de Oliveira da Silva JPM, da Cunha AF, Behlau F, Novo-Mansur MTM. Xylose Isomerase Depletion Enhances Virulence of Xanthomonas citri subsp. citri in Citrus aurantifolia. International Journal of Molecular Sciences. 2023; 24(14):11491. https://doi.org/10.3390/ijms241411491
Chicago/Turabian StyleAlexandrino, André Vessoni, Evandro Luis Prieto, Nicole Castro Silva Nicolela, Tamiris Garcia da Silva Marin, Talita Alves dos Santos, João Pedro Maia de Oliveira da Silva, Anderson Ferreira da Cunha, Franklin Behlau, and Maria Teresa Marques Novo-Mansur. 2023. "Xylose Isomerase Depletion Enhances Virulence of Xanthomonas citri subsp. citri in Citrus aurantifolia" International Journal of Molecular Sciences 24, no. 14: 11491. https://doi.org/10.3390/ijms241411491
APA StyleAlexandrino, A. V., Prieto, E. L., Nicolela, N. C. S., da Silva Marin, T. G., dos Santos, T. A., de Oliveira da Silva, J. P. M., da Cunha, A. F., Behlau, F., & Novo-Mansur, M. T. M. (2023). Xylose Isomerase Depletion Enhances Virulence of Xanthomonas citri subsp. citri in Citrus aurantifolia. International Journal of Molecular Sciences, 24(14), 11491. https://doi.org/10.3390/ijms241411491

