Antioxidant and Hepatoprotective Potential of Echinops ritro L. Extracts on Induced Oxidative Stress In Vitro/In Vivo
Abstract
1. Introduction
2. Results
2.1. Spectrophotometric Determination of Antioxidant Activity of ERFE and ERLE
2.2. In Vitro Studies on Antioxidant Activity of ERFE and ERLE in Rat Liver Microsomes and Hepatocytes
2.3. In Vivo Assessment of the Effects of ERFE
2.3.1. Acute Toxicity Test in Rats
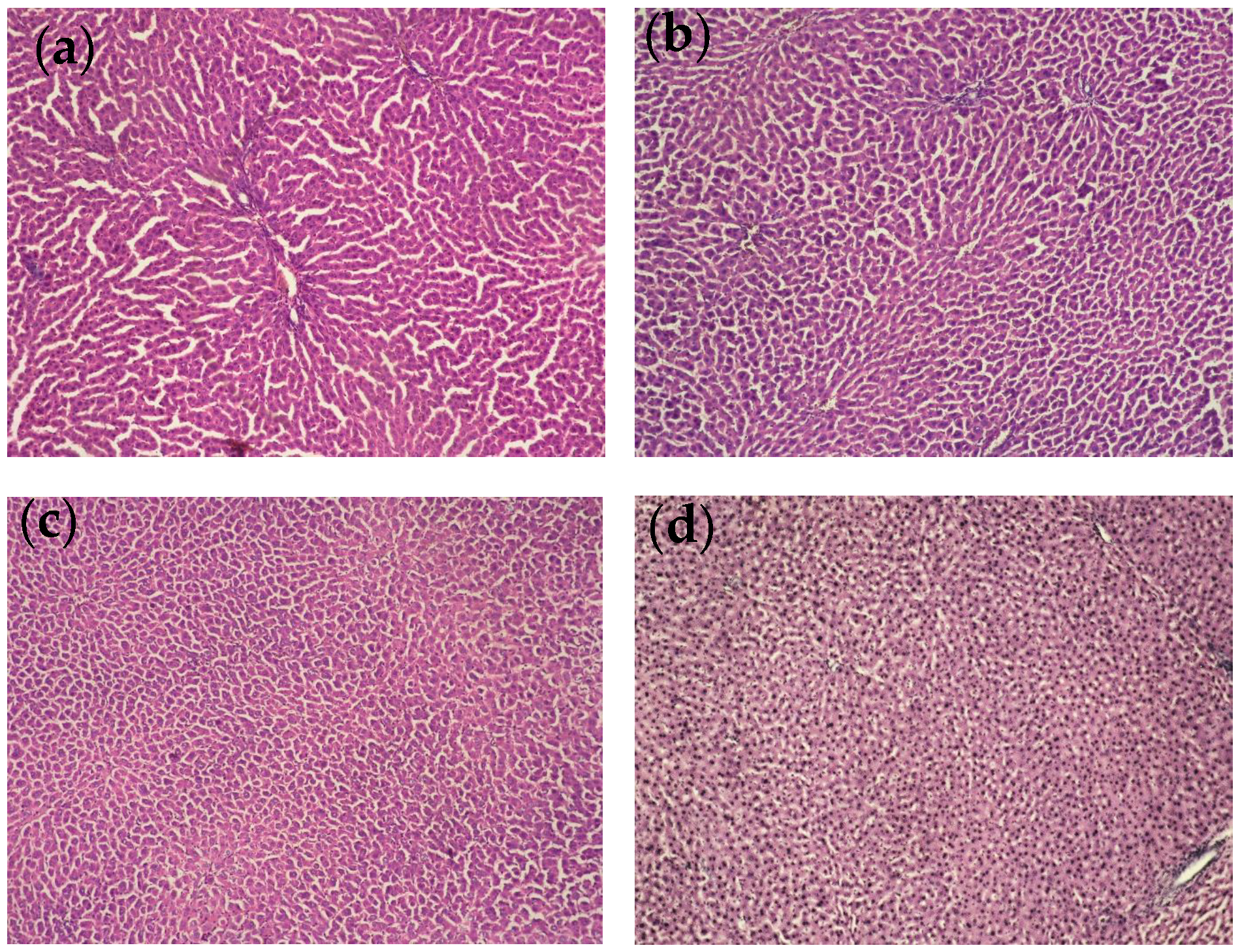
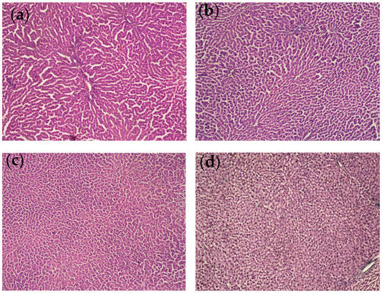
2.3.2. Effects of ERFE on Diclofenac-Induced Liver Oxidative Stress in Rats
Assessment of Biochemical Markers in Rat Serum
Lipid Peroxidation, Reduced Glutathione and Antioxidant Enzymes Activity
Effects on Ethylmorphine-N-demetylase (EMND) and Aniline Hydroxylase (AH) Activity
2.4. UHPLC-HRMS Profiling of Specialized Metabolites in E. ritro Extracts
- Hydroxybenzoic acids, hydroxycinnamic acids, phenylethanoid glycosides, coumarins and acylquinic acids
- Flavonoids
| No. | Identified/Tentatively Annotated Compound | Molecular Formula | Exact Mass [M-H]− | tR (min) | Δ ppm | Distribution |
|---|---|---|---|---|---|---|
| Hydroxybenzoic acids, hydroxycinnamic acids, phenylethanoid glycosides and coumarins | ||||||
| 1 | protocatechuic acid-O-hexoside | C13H16O9 | 315.0727 | 1.67 | 1.316 | A, B |
| 2 | vanillic acid-O-hexoside b | C14H18O9 | 329.0875 | 1.76 | −0.381 | A, B |
| 3 | protocatechuic acid a | C7H6O4 | 153.0181 | 2.01 | −8.247 | A, B |
| 4 | vanillyl alcohol-hexoside b | C14H20O8 | 315.1085 | 2.12 | 1.299 | A, B |
| 5 | p-hydroxyphenylacetic acid O-hexoside b | C14H18O8 | 313.0929 | 2.13 | 3.926 | A, B |
| 6 | syringic acid-O-hexoside b | C15H20O10 | 359.0985 | 2.29 | 0.473 | A, B |
| 7 | hydroxybenzoic acid-O-hexoside b | C13H16O8 | 299.0778 | 2.43 | 0.800 | A, B |
| 8 | p-hydroxyphenylacetic acid b | C8H8O3 | 151.0401 | 2.50 | −8.789 | A, B |
| 9 | gentisic acid-O-hexoside b | C13H16O9 | 315.0727 | 2.55 | 1.316 | A, B |
| 10 | syringic acid-O-pentoside b | C14H18O9 | 329.0878 | 2.69 | 1.199 | A, B |
| 11 | aesculetin-O-hexoside b | C15H15O9 | 339.0724 | 2.71 | 0.515 | A, B |
| 12 | syringyl-O-hexose b | C15H20O10 | 359.0984 | 2.76 | 2.952 | A, B |
| 13 | 4-hydroxybenzoic acid a,b | C7H6O3 | 137.0230 | 2.84 | −10.928 | A, B |
| 14 | hydroxybenzoic acid-O-hexoside isomer b | C13H16O8 | 299.0778 | 3.00 | −2.443 | A, B |
| 15 | p-hydroxyphenylacetic acid O-hexoside isomer b | C14H18O8 | 313.0929 | 3.01 | 0.030 | A, B |
| 16 | O-caffeoyl hexose b | C15H18O9 | 341.0871 | 3.08 | −2.068 | A, B |
| 17 | quinic acid b | C7H12O6 | 191.0549 | 3.15 | −6.079 | A, B |
| 18 | p-hydroxyphenylacetic acid O-hexoside isomer b | C14H18O8 | 313.0929 | 3.30 | 0.030 | B |
| 19 | coumaric acid-O-hexoside b | C15H18O8 | 325.0930 | 3.33 | −1.386 | A, B |
| 20 | p-coumaric acid a,b | C9H8O3 | 163.0389 | 3.35 | −6.547 | A, B |
| 21 | shikimic acid b | C7H10O5 | 173.0455 | 3.37 | −5.875 | A, B |
| 22 | aesculetin b | C9H6O4 | 177.0193 | 3.46 | −6.225 | A, B |
| 23 | vanillyl alcohol- (acetyl)-hexoside b | C16H22O9 | 357.1191 | 3.47 | 3.681 | A, B |
| 24 | caffeic acid a,b | C9H8O4 | 179.0339 | 3.55 | −6.211 | A, B |
| 25 | hydroxybenzoic acid-dihexoside b | C19H26O13 | 461.1301 | 3.63 | −0.399 | A, B |
| 26 | ferulic acid a,b | C10H10O4 | 193.0494 | 3.79 | −6.330 | A, B |
| 27 | gentisic acid a,b | C7H6O4 | 153.0180 | 3.86 | −8.443 | A, B |
| 28 | o-coumaric acid a,b | C9H8O3 | 163.0389 | 4.56 | −7.160 | A |
| 29 | vanillic acid a | C8H8O4 | 167.0338 | 4.78 | −7.376 | A |
| 30 | caffeic acid-(salicyl)-dihexoside b | C28H32O16 | 623.1618 | 5.78 | 1.833 | A, B |
| 31 | gentisic acid-(caffeoyl)-hexoside b | C22H22O12 | 477.1038 | 6.53 | −2.996 | A, B |
| 32 | protocatechuic acid-(salicyl)-hexoside b | C20H20O11 | 435.0933 | 7.65 | 1.208 | A, B |
| Mono-, diacyl- and triacylquinic acids and their hexosides | ||||||
| 33 | 1-caffeoylquinic acid b | C16H18O9 | 353.0876 | 1.89 | −0.893 | A, B |
| 34 | neochlorogenic (3-caffeoylquinic) acid a | C16H18O9 | 353.0867 | 2.36 | −0.100 | A, B |
| 35 | caffeoylquinic acid-hexoside b | C22H27O14 | 515.1395 | 2.86 | 1.420 | A, B |
| 36 | 3-p-coumaroylquinic acid b | C16H18O8 | 337.0928 | 3.02 | −2.524 | A, B |
| 37 | chlorogenic (5-caffeoylquinic) acid a | C16H18O9 | 353.0874 | 3.19 | −1.233 | A, B |
| 38 | 4-caffeoylquinic acid b | C16H18O9 | 353.0878 | 3.37 | −0.100 | A, B |
| 39 | 3-feruloylquinic acid b | C17H20O9 | 367.1040 | 3.44 | 1.402 | A |
| 40 | caffeoylquinic acid-hexoside b | C22H27O14 | 515.1395 | 3.74 | 1.420 | A, B |
| 41 | 5-caffeoylquinic acid isomer | C16H18O9 | 353.0874 | 3.89 | 1.543 | A, B |
| 42 | 5-p-coumaroylquinic acid b | C16H18O8 | 337.0928 | 3.95 | −0.180 | A, B |
| 43 | 3-caffeoyl-5-hydroxy-dihydrocaffeoylquinic acid b | C25H26O13 | 533.1288 | 4.02 | 1.043 | A, B |
| 44 | 4-hydroxy-dihydrocaffeoyl-5-caffeoylquinic acid b | C25H26O13 | 533.1288 | 4.24 | 4.232 | A, B |
| 45 | 5-feruloylquinic acid b | C17H20O9 | 367.1034 | 4.41 | −0.096 | A, B |
| 46 | 1-caffeoyl-3-hydroxy-dihydrocaffeoylquinic acid b | C25H26O13 | 533.1288 | 4.43 | 1.043 | A, B |
| 47 | 4-feruloylquinic acid b | C17H20O9 | 367.1034 | 4.66 | 1.157 | A, B |
| 48 | dicaffeoylquinic acid-hexoside | C31H34O17 | 677.1723 | 5.17 | 2.492 | A, B |
| 49 | dicaffeoylquinic acid-hexoside isomer | C31H34O17 | 677.1723 | 5.25 | 2.580 | A, B |
| 50 | 1-hydroxy-dihydrocaffeoyl-3-caffeoylquinic acid b | C25H26O13 | 533.1288 | 5.06 | 1.831 | A, B |
| 51 | dicaffeoylquinic acid-hexoside isomer b | C31H34O17 | 677.1723 | 5.66 | 2.403 | B |
| 52 | 3,4-dicaffeoylquinic acid a,b | C25H24O12 | 515.1190 | 5.69 | 1.321 | A, B |
| 53 | 3,5-dicaffeoylquinic acid a,b | C25H24O12 | 515.1189 | 5.85 | 2.020 | A, B |
| 54 | 3-caffeoyl-5-dehydrocaffeoylquinic acid b | C25H22O12 | 513.1018 | 5.87 | −3.974 | A, B |
| 55 | 1,5-dicaffeoylquinic acid a,b | C25H24O12 | 515.1190 | 6.03 | 0.720 | A, B |
| 56 | 4,5-dicaffeoylquinic acid a,b | C25H24O12 | 515.1190 | 6.22 | −1.163 | A, B |
| 57 | 3-caffeoyl-5-p-coumaroylquinic acid b | C25H24O11 | 499.1251 | 6.53 | 1.513 | A, B |
| 58 | 4-p-coumaroyl-5-caffeoylquinic acid b | C25H24O11 | 499.1252 | 6.92 | −0.630 | A, B |
| 59 | 4-feruloyl-5-caffeoylquinic acid b | C26H26O12 | 529.1356 | 7.09 | −0.490 | A, B |
| 60 | 3,4,5-tricaffeoylquinic acid a,b | C34H30O15 | 677.1528 | 7.78 | 2.417 | A, B |
| Flavonoids | ||||||
| 61 | kaempferol O-dihexoside b | C27H30O16 | 609.1464 | 4.45 | −1.629 | A, B |
| 62 | eriodyctiol O-dihexoside b | C27H32O16 | 611.1618 | 4.65 | −0.324 | A, B |
| 63 | rutin a,b | C27H30O16 | 609.1464 | 5.09 | 2.121 | A, B |
| 64 | isoquercitrin a | C21H20O12 | 463.0885 | 5.15 | 0.585 | A, B |
| 65 | luteolin 7-O-rutinoside a,b | C27H30O15 | 593.1512 | 5.22 | 1.832 | A, B |
| 66 | patuletin O-rutinoside b | C28H32O17 | 639.1567 | 5.22 | 2.484 | B |
| 67 | hyperoside a | C21H20O12 | 463.0885 | 5.29 | 0.585 | A, B |
| 68 | luteolin-O-hexuronide b | C21H18O12 | 461.0736 | 5.37 | 0.718 | A, B |
| 69 | luteolin-7-O-glucoside a,b | C21H19O11 | 447.0934 | 5.39 | 0.348 | A, B |
| 70 | patuletin O-hexoside b | C22H22O13 | 493.0987 | 5.45 | 1.655 | A, B |
| 71 | quercetin O-acetylhexoside b | C23H22O13 | 505.0988 | 5.60 | 2.210 | A, B |
| 72 | kaempferol 3-O-rutinoside a,b | C27H30O15 | 593.1512 | 5.64 | 1.630 | A, B |
| 73 | isorhamnetin 3-O-rutinoside a,b | C28H32O17 | 623.1618 | 5.78 | 2.025 | A, B |
| 74 | apigenin O-rutinoside b | C27H30O14 | 577.1563 | 5.81 | 1.960 | A, B |
| 75 | kaempferol-3-O-glucoside a,b | C21H19O11 | 447.0934 | 5.86 | 0.348 | A, B |
| 76 | isorhamnetin 3-O-glucoside a,b | C22H21O12 | 477.1044 | 6.01 | 1.092 | A, B |
| 77 | apigenin 7-O-glucoside a,b | C21H19O10 | 431.0980 | 6.07 | −0.881 | A, B |
| 78 | apigenin O-hexuronide | C21H18O11 | 445.0774 | 6.12 | −0.617 | A, B |
| 79 | kaempferol O-acetylhexoside b | C23H22O12 | 489.1038 | 6.29 | 1.433 | A, B |
| 80 | chrysoeriol O-hexoside b | C22H22O11 | 461.1093 | 6.31 | 0.684 | A, B |
| 81 | chrysoeriol O-hexuronide b | C22H20O12 | 475.0885 | 6.33 | 0.381 | A, B |
| 82 | isorhamnetin O-acetylhexoside b | C24H24O13 | 519.1144 | 6.47 | 1.707 | B |
| 83 | jaceosidine O-hexoside b | C23H24O12 | 491.1195 | 6.50 | 1.875 | A, B |
| 84 | eupatorin O-hexoside b | C24H26O12 | 505.1351 | 6.67 | 2.139 | A, B |
| 85 | cirsimaritin O-hexoside b | C23H24O11 | 475.1246 | 6.76 | 1.379 | A, B |
| 86 | luteolin O-acetylhexoside b | C23H22O12 | 489.1038 | 6.85 | 2.312 | B |
| 87 | luteolin a,b | C15H9O7 | 285.0406 | 7.58 | 0.346 | A, B |
| 88 | patuletin b | C16H12O8 | 331.0464 | 7.70 | 1.388 | B |
| 89 | apigenin O-acetylhexoside b | C23H22O11 | 473.1089 | 7.82 | 1.406 | A, B |
| 90 | apigenin a,b | C15H9O5 | 269.0455 | 8.61 | −0.285 | A, B |
| 91 | hispidulin b | C16H12O6 | 299.0561 | 8.84 | 0.430 | A, B |
| 92 | cirsiliol b | C17H14O7 | 329.0677 | 8.87 | 1.045 | A, B |
| 93 | chrysoeriol a,b | C16H12O6 | 299.0561 | 8.92 | 0.330 | A, B |
| 94 | spinacetin b | C17H14O8 | 345.0616 | 8.99 | 0.897 | A, B |
| 95 | apigenin-O-(p-coumaroyl)hexoside | C30H26O12 | 577.1341 | 9.02 | 1.665 | A, B |
| 96 | apigenin-O-(p-coumaroylhexoside) isomer | C30H26O12 | 577.1341 | 9.07 | 1.872 | A, B |
| 97 | quercetagetin-3,6,3′(4′)-trimethyl ether b | C18H16O8 | 359.0772 | 9.07 | 1.196 | B |
| 98 | isorhamnetin a,b | C16H12O7 | 315.0512 | 9.11 | 0.870 | A, B |
| 99 | jaceosidin (6-hydroxyluteolin-6,3′-dimethyl ether) a,b | C17H14O7 | 329.0677 | 9.14 | 1.319 | A, B |
| 100 | naringenin O-(p-coumaroyl)hexoside | C30H28O12 | 579.1497 | 9.15 | 1.241 | A, B |
| 101 | naringenin O-(p-coumaroylhexoside) isomer | C30H28O12 | 579.1497 | 9.25 | 0.871 | A, B |
| 102 | axillarin b | C17H14O8 | 345.0616 | 9.25 | 1.042 | A, B |
| 103 | quercetin-7,3′(4′)-dimethyl ether b | C17H14O7 | 329.0677 | 9.44 | 1.319 | A, B |
| 104 | cirsimaritin b | C17H14O6 | 313.0719 | 10.38 | 1.401 | A, B |
| 105 | eupatilin a,b | C18H16O7 | 343.0812 | 10.67 | 0.653 | A, B |
| 106 | ayanin b | C18H16O7 | 343.0812 | 11.03 | 0.390 | A, B |
| 107 | genkwanin a,b | C16H12O5 | 283.0612 | 11.59 | −0.103 | A, B |
| 108 | ayanin isobar b | C18H16O7 | 343.0812 | 11.76 | 0.653 | A, B |
3. Discussion
4. Materials and Methods
4.1. Plant Material
4.2. Chemicals
4.3. Sample Extraction
4.4. Determination of Antioxidant Effects
4.5. In Vitro Studies on Antioxidant Activity and Hepatotoxicity
4.5.1. Isolation of Rat Liver Microsomes
4.5.2. Isolation and Incubation of Primary Rat Hepatocytes
4.6. In Vivo Experiments
4.6.1. Animals
4.6.2. Acute Toxicity Test in Rats
4.6.3. Experimental Design for Evaluation of Protective Effects of ERFE on Diclofenac-Induced Oxidative Liver Damage
Assessment of Serum Biochemical Parameters
Measurement of Lipid Peroxidation (LPO) in Liver Homogenate
Measurement of Reduced Glutathione (GSH) in Liver Homogenate
Preparation of Liver Homogenates for Antioxidant Enzyme Activity Measurement
Aniline 4-Hydroxilase Activity (AHA)
Ethylmorphine-N-demethylase Activity (EMNDA)
4.6.4. UHPLC-HRMS
4.6.5. Statistical Analysis
5. Conclusions
Supplementary Materials
Author Contributions
Funding
Institutional Review Board Statement
Informed Consent Statement
Data Availability Statement
Acknowledgments
Conflicts of Interest
References
- Conde de la Rosa, L.; Goicoechea, L.; Torres, S.; Garcia-Ruiz, C.; Fernandez-Checa, J.C. Role of Oxidative Stress in Liver Disorders. Livers 2022, 2, 283–314. [Google Scholar] [CrossRef]
- Ramachandran, A.; Jaeschke, H. Oxidative stress and acute hepatic injury. Curr. Opin. Toxicol. 2018, 7, 17–21. [Google Scholar] [CrossRef] [PubMed]
- den Braver, M.W.; den Braver-Sewradj, S.P.; Vermeulen, N.P.; Commandeur, J.N. Characterization of cytochrome P450 isoforms involved in sequential two-step bioactivation of diclofenac to reactive p-benzoquinone imines. Toxicol. Lett. 2016, 253, 46–54. [Google Scholar] [CrossRef]
- Tolosa, L.; Gómez-Lechón, M.J.; Pérez-Cataldo, G.; Castell, J.V.; Donato, M.T. HepG2 cells simultaneously expressing five P450 enzymes for the screening of hepatotoxicity: Identification of bioactivable drugs and the potential mechanism of toxicity involved. Arch. Toxicol. 2013, 87, 1115–1127. [Google Scholar] [CrossRef] [PubMed]
- Simon, J.P.; Evan Prince, S. Aqueous leaves extract of Madhuca longifolia attenuate diclofenac-induced hepatotoxicity: Impact on oxidative stress, inflammation, and cytokines. J. Cell. Biochem. 2018, 119, 6125–6135. [Google Scholar] [CrossRef]
- Elshopakey, G.E.; Elazab, S.T. Cinnamon aqueous extract attenuates diclofenac sodium and oxytetracycline mediated hepato-renal toxicity and modulates oxidative stress, cell apoptosis, and inflammation in male albino rats. Vet. Sci. 2021, 8, 9. [Google Scholar] [CrossRef] [PubMed]
- Gupta, A.; Kumar, R.; Ganguly, R.; Singh, A.K.; Rana, H.K.; Pandey, A.K. Antioxidant, anti-inflammatory and hepatoprotective activities of Terminalia bellirica and its bioactive component ellagic acid against diclofenac induced oxidative stress and hepatotoxicity. Toxicol. Rep. 2021, 8, 44–52. [Google Scholar] [CrossRef]
- Villa-Jaimes, G.S.; Moshage, H.; Avelar-González, F.J.; González-Ponce, H.A.; Buist-Homan, M.; Guevara-Lara, F.; Sánchez-Alemán, E.; Martínez-Hernández, S.L.; Ventura-Juárez, J.; Muñoz-Ortega, M.H. Molecular and antioxidant characterization of Opuntia robusta fruit extract and its protective effect against diclofenac-induced acute liver injury in an in vivo rat model. Antioxidants 2023, 12, 113. [Google Scholar] [CrossRef]
- Susanna, A.; Garcia-Jacas, N. The tribe Cardueae. In Compositae. The Families and Genera of Vascular Plants; Kadereit, J., Kubitzki, K., Eds.; Springer: Berlin/Heidelberg, Germany, 2007. [Google Scholar]
- Garnatje, T.; Vallès, J.; Garcia, S.; Hidalgo, O.; Sanz, M.; Canela, M.Á.; Siljak-Yakovlev, S. Genome size in Echinops L. and related genera (Asteraceae, Cardueae): Karyological, ecological and phylogenetic implications. Biol. Cell 2004, 96, 117–124. [Google Scholar] [CrossRef]
- Bitew, H.; Hymete, A. The genus Echinops: Phytochemistry and biological activities: A review. Front. Pharmacol. 2019, 10, 1234. [Google Scholar] [CrossRef]
- Sánchez-Jiménez, I.; Lazkov, G.A.; Hidalgo, O.; Garnatje, T. Molecular systematics of Echinops L.(Asteraceae, Cynareae): A phylogeny based on ITS and trnL-trnF sequences with emphasis on sectional delimitation. Taxon 2010, 59, 698–708. [Google Scholar] [CrossRef]
- Wang, M.; Sun, J.; Jiang, Z.; Xie, W.; Zhang, X. Hepatoprotective effect of kaempferol against alcoholic liver injury in mice. Am. J. Chinese Med. 2015, 43, 241–254. [Google Scholar] [CrossRef]
- Abdulmohsin, H.; Raghif, A.; Manna, M.J. The protective effects of Echinops heterophyllus extract against methotrexate-induced hepatotoxicity in rabbits. Asian J. Pharm. Clin. Res. 2019, 12, 384–390. [Google Scholar] [CrossRef]
- Bouba, A.A.; Njintang, Y.; Scher, J.; Mbofung, C. Phenolic compounds and radical scavenging potential of twenty Cameroonian spices. ABJNA 2010, 1, 213–224. [Google Scholar] [CrossRef]
- Anvari, D.; Jamei, R. Evaluation of antioxidant capacity and phenolic content in ethanolic extracts of leaves and flowers of some asteraceae species. Recent Pat. food, Nutr. Agric. 2018, 9, 42–49. [Google Scholar] [CrossRef]
- Aydin, Ç.; Özcan, G.T.; Turan, M.; Mammadov, R. Phenolic contents and antioxidant properties of Echinops ritro L. and E. tournefortii Jaup. Et. Spach extract. Int. J. Second. Metab. 2016, 3, 74–81. [Google Scholar]
- Mohseni, S.; Sani, A.M.; Tavakoli, M.; Raoufi, A.M. Effect of extraction conditions on antioxidant activities of Echinops persicus. J. Essent. Oil Bear. Pl. 2017, 20, 1633–1644. [Google Scholar] [CrossRef]
- Sytar, O.; Zivcak, M.; Konate, K.; Brestic, M. Phenolic Acid Patterns in Different Plant Species of Families Asteraceae and Lamiaceae: Possible Phylogenetic Relationships and Potential Molecular Markers. J. Chem. 2022, 2022, 9632979. [Google Scholar] [CrossRef]
- Falah, F.; Shirani, K.; Vasiee, A.; Yazdi, F.T.; Behbahani, B.A. In vitro screening of phytochemicals, antioxidant, antimicrobial, and cytotoxic activity of Echinops setifer extract. Biocatal. Agric. Biotechnol. 2021, 35, 102102. [Google Scholar] [CrossRef]
- Erenler, R.; Yilmaz, S.; Aksit, H.; Sen, O.; Genc, N.; Elmastas, M.; Demirtas, I. Antioxidant activities of chemical constituents isolated from Echinops orientalis Trauv. Rec. Nat. Prod. 2014, 8, 32. [Google Scholar]
- Stojanov, N.; Stefanov, B.; Kitanov, B. Echinops L. In Flora Republicae Bulgaricae. Part II; Nauka I Izkustvo: Sofia, Bulgaria, 1967; p. 1112. [Google Scholar]
- World Flora. Available online: www.worldfloraonline.org (accessed on 9 June 2023).
- Zengin, G.; Fahmy, N.M.; Sinan, K.I.; Uba, A.I.; Bouyahya, A.; Lorenzo, J.M.; Yildiztugay, E.; Eldahshan, O.A.; Fayez, S. Differential Metabolomic Fingerprinting of the Crude Extracts of Three Asteraceae Species with Assessment of Their In Vitro Antioxidant and Enzyme-Inhibitory Activities Supported by In Silico Investigations. Processes 2022, 10, 1911. [Google Scholar] [CrossRef]
- Boehm, O.; Zur, B.; Koch, A.; Tran, N.; Freyenhagen, R.; Hartmann, M.; Zacharowski, K. Clinical chemistry reference database for Wistar rats and C57/BL6 mice. Biol. Chem. 2007, 388, 547–554, Erratum in Biol. Chem. 2007, 388, 1255–1256. [Google Scholar] [CrossRef] [PubMed]
- Gevrenova, R.; Zheleva-Dimitrova, D.; Balabanova, V.; Voynikov, Y.; Sinan, K.I.; Mahomoodally, M.F.; Zengin, G. Integrated phytochemistry, bio-functional potential and multivariate analysis of Tanacetum macrophyllum (Waldst. & Kit.) Sch. Bip. and Telekia speciosa (Schreb.) Baumg.(Asteraceae). Ind. Crop. Prod. 2020, 155, 112817. [Google Scholar]
- Ak, G.; Gevrenova, R.; Sinan, K.I.; Zengin, G.; Zheleva, D.; Mahomoodally, M.F.; Senkardes, I.; Brunetti, L.; Leone, S.; Di Simone, S.C. Tanacetum vulgare L. (Tansy) as an effective bioresource with promising pharmacological effects from natural arsenal. Food Chem. Toxicol. 2021, 153, 112268. [Google Scholar] [CrossRef] [PubMed]
- Wang, B.; Liu, X.; Zhou, A.; Meng, M.; Li, Q. Simultaneous analysis of coumarin derivatives in extracts of Radix Angelicae pubescentis (Duhuo) by HPLC-DAD-ESI-MS n technique. Anal. Methods 2014, 6, 7996–8002. [Google Scholar] [CrossRef]
- Clifford, M.N.; Knight, S.; Kuhnert, N. Discriminating between the six isomers of dicaffeoylquinic acid by LC-MS n. J. Agric. Food Chem. 2005, 53, 3821–3832. [Google Scholar] [CrossRef]
- Gevrenova, R.; Zengin, G.; Sinan, K.I.; Yıldıztugay, E.; Zheleva-Dimitrova, D.; Picot-Allain, C.; Mahomoodally, M.F.; Imran, M.; Dall’Acqua, S. UHPLC-MS Characterization and biological insights of different solvent extracts of two Achillea species (A. aleppica and A. santolinoides) from Turkey. Antioxidants 2021, 10, 1180. [Google Scholar] [CrossRef]
- Gevrenova, R.; Zengin, G.; Sinan, K.I.; Zheleva-Dimitrova, D.; Balabanova, V.; Kolmayer, M.; Voynikov, Y.; Joubert, O. An In-Depth Study of Metabolite Profile and Biological Potential of Tanacetum balsamita L. (Costmary). Plants 2023, 12, 22. [Google Scholar] [CrossRef]
- Bouzabata, A.; Montoro, P.; Gil, K.A.; Piacente, S.; Youssef, F.S.; Al Musayeib, N.M.; Cordell, G.A.; Ashour, M.L.; Tuberoso, C.I.G. HR-LC-ESI-Orbitrap-MS-based metabolic profiling coupled with chemometrics for the discrimination of different Echinops spinosus organs and evaluation of their antioxidant activity. Antioxidants 2022, 11, 453. [Google Scholar] [CrossRef]
- Videla, L.A. Oxidative stress signaling underlying liver disease and hepatoprotective mechanisms. World J. Hepatol. 2009, 1, 72. [Google Scholar] [CrossRef]
- Li, S.; Tan, H.-Y.; Wang, N.; Zhang, Z.-J.; Lao, L.; Wong, C.-W.; Feng, Y. The role of oxidative stress and antioxidants in liver diseases. Int. J. Mol. Sci. 2015, 16, 26087–26124. [Google Scholar] [CrossRef]
- Brunetti, C.; Di Ferdinando, M.; Fini, A.; Pollastri, S.; Tattini, M. Flavonoids as antioxidants and developmental regulators: Relative significance in plants and humans. Int. J. Mol. Sci. 2013, 14, 3540–3555. [Google Scholar] [CrossRef] [PubMed]
- Muriel, P.; Garciapiña, T.; Perez-Alvarez, V.; Mourelle, M. Silymarin protects against paracetamol-induced lipid peroxidation and liver damage. J. Appl. Toxicol. 1992, 12, 439–442. [Google Scholar] [CrossRef] [PubMed]
- Dragovic, S.; Boerma, J.S.; Vermeulen, N.P.; Commandeur, J.N. Effect of human glutathione S-transferases on glutathione-dependent inactivation of cytochrome P450-dependent reactive intermediates of diclofenac. Chem. Res. Toxicol. 2013, 26, 1632–1641. [Google Scholar] [PubMed]
- Udem, S.; Madubunyi, I.; Okoye, J.A.; Anika, S. Anti-hepatotoxic effects of the ethanolic extracts of Combretum dolichopetalum root bark and Morinda lucida leaf. Fitoterapia 1997, 68, 21–25. [Google Scholar]
- Amacher, D.E.; Schomaker, S.J. Ethylmorphine N-demethylase activity as a marker for cytochrome P450 CYP3A activity in rat hepatic microsomes. Toxicol. Lett. 1998, 94, 115–125. [Google Scholar] [CrossRef]
- Roberts, B.J.; Shoaf, S.E.; Song, B.J. Rapid changes in cytochrome P4502E1 (CYP2E1) activity and other P450 isozymes following ethanol withdrawal in rats. Biochem. Pharmacol. 1995, 49, 1665–1673. [Google Scholar] [CrossRef]
- Kumarappan, C.; Vijayakumar, M.; Thilagam, E.; Balamurugan, M.; Thiagarajan, M.; Senthil, S.; Das, S.C.; Mandal, S.C. Protective and curative effects of polyphenolic extracts from Ichnocarpus frutescense leaves on experimental hepatotoxicity by carbon tretrachloride and tamoxifen. Ann. Hepatol. 2016, 10, 63–72. [Google Scholar] [CrossRef]
- Raucy, J.L. Regulation of CYP3A4 expression in human hepatocytes by pharmaceuticals and natural products. Drug Metab. Dispos. 2003, 31, 533–539. [Google Scholar] [CrossRef]
- Semaming, Y.; Pannengpetch, P.; Chattipakorn, S.C.; Chattipakorn, N. Pharmacological properties of protocatechuic acid and its potential roles as complementary medicine. Evid. Based Complement. Altern. Med. 2015, 2015, 593902. [Google Scholar] [CrossRef]
- Kwon, Y.K.; Choi, S.J.; Kim, C.R.; Kim, J.K.; Kim, Y.-J.; Choi, J.H.; Song, S.-W.; Kim, C.-J.; Park, G.G.; Park, C.-S. Antioxidant and cognitive-enhancing activities of Arctium lappa L. roots in Aβ1-42-induced mouse model. Appl. Biol. Chem. 2016, 59, 553–565. [Google Scholar] [CrossRef]
- Rojas-González, A.; Figueroa-Hernández, C.Y.; González-Rios, O.; Suárez-Quiroz, M.L.; González-Amaro, R.M.; Hernández-Estrada, Z.J.; Rayas-Duarte, P. Coffee chlorogenic acids incorporation for bioactivity enhancement of foods: A review. Molecules 2022, 27, 3400. [Google Scholar] [CrossRef] [PubMed]
- Simeonova, R.; Vitcheva, V.; Zheleva-Dimitrova, D.; Balabanova, V.; Savov, I.; Yagi, S.; Dimitrova, B.; Voynikov, Y.; Gevrenova, R. Trans-3, 5-dicaffeoylquinic acid from Geigeria alata Benth. & Hook. f. ex Oliv. & Hiern with beneficial effects on experimental diabetes in animal model of essential hypertension. Food Chem. Toxicol. 2019, 132, 110678. [Google Scholar]
- Bi, C.; Han, W.; Yu, J.; Zhang, H.; Xing, G.; Liu, Z. Insights into the pharmacological and therapeutic effects of apigenin in liver injuries and diseases. Heliyon 2023, 9, 593902. [Google Scholar] [CrossRef]
- Wang, W.; Yue, R.-F.; Jin, Z.; He, L.-M.; Shen, R.; Du, D.; Tang, Y.-Z. Efficiency comparison of apigenin-7-O-glucoside and trolox in antioxidative stress and anti-inflammatory properties. J. Pharm. Pharmacol. 2020, 72, 1645–1656. [Google Scholar] [CrossRef]
- Hu, W.; Wang, X.; Wu, L.; Shen, T.; Ji, L.; Zhao, X.; Si, C.-L.; Jiang, Y.; Wang, G. Apigenin-7-O-β-D-glucuronide inhibits LPS-induced inflammation through the inactivation of AP-1 and MAPK signaling pathways in RAW 264.7 macrophages and protects mice against endotoxin shock. Food Funct. 2016, 7, 1002–1013. [Google Scholar] [CrossRef]
- Wang, J.; Fang, X.; Ge, L.; Cao, F.; Zhao, L.; Wang, Z.; Xiao, W. Antitumor, antioxidant and anti-inflammatory activities of kaempferol and its corresponding glycosides and the enzymatic preparation of kaempferol. PLoS ONE 2018, 13, e0197563. [Google Scholar] [CrossRef] [PubMed]
- Babiaka, S.B.; Nia, R.; Abuga, K.O.; Mbah, J.A.; Vincent de Paul, N.N.; Paper, D.H.; Ntie-Kang, F. Antioxidant potential of flavonoid glycosides from Manniophyton fulvum Müll.(Euphorbiaceae): Identification and molecular modeling. Sci. Afr. 2020, 8, e00423. [Google Scholar] [CrossRef]
- Aboulaghras, S.; Sahib, N.; Bakrim, S.; Benali, T.; Charfi, S.; Guaouguaou, F.-E.; Omari, N.E.; Gallo, M.; Montesano, D.; Zengin, G. Health benefits and pharmacological aspects of chrysoeriol. Pharmaceuticals 2022, 15, 973. [Google Scholar] [CrossRef]
- Carlini, L.; Tancreda, G.; Iobbi, V.; Caicci, F.; Bruno, S.; Esposito, A.; Calzia, D.; Benini, S.; Bisio, A.; Manni, L. The Flavone Cirsiliol from Salvia x jamensis Binds the F1 Moiety of ATP Synthase, Modulating Free Radical Production. Cells 2022, 11, 3169. [Google Scholar] [CrossRef]
- Guengerich, F.P.; Dannan, G.A.; Wright, S.T.; Martin, M.V.; Kaminsky, L.S. Purification and characterization of liver microsomal cytochromes P-450: Electrophoretic, spectral, catalytic, and immunochemical properties and inducibility of eight isozymes isolated from rats treated with phenobarbital or. beta.-naphthoflavone. Biochemistry 1982, 21, 6019–6030. [Google Scholar] [CrossRef] [PubMed]
- Lowry, O.H.; Rosebrough, N.J.; Farr, A.L.; Randall, R.J. Protein measurement with the Folin phenol reagent. J. Biol. Chem. 1951, 193, 265–275. [Google Scholar] [CrossRef] [PubMed]
- Mansuy, D.; Sassi, A.; Dansette, P.M.; Plat, M. A new potent inhibitor of lipid peroxidation in vitro and in vivo, the hepatoprotective drug anisyldithiolthione. Biochem. Biophys. Res. Commun. 1986, 135, 1015–1021. [Google Scholar] [CrossRef]
- Fau, D.; Berson, A.; Eugene, D.; Fromenty, B.; Fisch, C.; Pessayre, D. Mechanism for the hepatotoxicity of the antiandrogen, nilutamide. Evidence suggesting that redox cycling of this nitroaromatic drug leads to oxidative stress in isolated hepatocytes. J. Pharmacol. Exp. Ther. 1992, 263, 69–77. [Google Scholar]
- Mitcheva, M.; Kondeva, M.; Vitcheva, V.; Nedialkov, P.; Kitanov, G. Effect of benzophenones from Hypericum annulatum on carbon tetrachloride-induced toxicity in freshly isolated rat hepatocytes. Redox Rrep. Commun. Free Rad. Res. 2006, 11, 3–8. [Google Scholar] [CrossRef]
- Takayama, F.; Egashira, T.; Yamanaka, Y. Protective effect of Ninjin-yoei-to on damage to isolated hepatocytes following transient exposure to tert-butyl hydroperoxide. Jpn. J. Pharmacol. 2001, 85, 227–233. [Google Scholar] [CrossRef] [PubMed]
- Lorke, D. A new approach to practical acute toxicity testing. Arch. Toxicol. 1983, 54, 275–287. [Google Scholar] [CrossRef]
- Bancroft, J.D.; Gamble, M. Theory and Practice of Histological Techniques; Elsevier Health Sciences: Amsterdam, The Netherlands, 2008. [Google Scholar]
- Polizio, A.H.; Peña, C. Effects of angiotensin II type 1 receptor blockade on the oxidative stress in spontaneously hypertensive rat tissues. Regul. Pept. 2005, 128, 1–5. [Google Scholar] [CrossRef]
- Bump, E.A.; Taylor, Y.C.; Brown, J.M. Role of glutathione in the hypoxic cell cytotoxicity of misonidazole. Cancer Res. 1983, 43, 997–1002. [Google Scholar] [PubMed]
- Tappel, A. [53] Glutathione peroxidase and hydroperoxides. In Methods in Enzymology; Elsevier: Amsterdam, The Netherlands, 1978; Volume 52, pp. 506–513. [Google Scholar]
- Pinto, M.C.; Mata, A.M.; Lopez-barea, J. Reversible inactivation of Saccharomyces cerevisiae glutathione reductase under reducing conditions. Arch. Biochem. Biophys. 1984, 228, 1–12. [Google Scholar] [CrossRef]
- Habig, W.H.; Pabst, M.J.; Jakoby, W.B. Glutathione S-transferases: The first enzymatic step in mercapturic acid formation. J. Biol. Chem. 1974, 249, 7130–7139. [Google Scholar] [CrossRef] [PubMed]
- Cohen, L.; Van Leeuwen, R.; Van Thiel, G.; Van Pelt, J.; Yap, S.H. Equally potent inhibitors of cholesterol synthesis in human hepatocytes have distinguishable effects on different cytochrome P450 enzymes. Biopharm. Drug Dispos. 2000, 21, 353–364. [Google Scholar] [CrossRef] [PubMed]





| Samples | Total Phenolic Content (mg GAE/g) | Total Flavonoid Content (mg QE) | DPPH (mg TE/g) | ABTS (mg TE/g) | CUPRAC (mg TE/g) | FRAP (mg TE/g) | Chelating (mg EDTAE/g) | Phospho-Molybdenum (mmol TE/g) |
|---|---|---|---|---|---|---|---|---|
| ERLE | 73.83 ± 0.05 | 14.52 ± 0.20 | 120.13 ± 0.38 | 136.48 ± 1.26 | 251.67 ± 9.28 | 153.54 ± 8.27 | 29.22 ± 0.22 | 1.52 ± 0.03 |
| ERFE | 27.56 ± 0.16 | 6.37 ± 0.16 | 44.92 ± 0.07 | 58.40 ± 0.24 | 94.89 ± 1.12 | 54.81 ± 1.76 | 26.51 ± 0.55 | 1.24 ± 0.01 |
| Biochemical Parameters | Control | ERFE 300 mg/ kg | Diclofenac 50 mg/kg | ERFE + Diclo | Reference Values [25] |
|---|---|---|---|---|---|
| GLU mmol/L | 6.39 ± 0.12 | 7.1 ± 0.42 | 6.5 ± 0.41 | 7.8 ± 0.29 | 6.9–11.3 |
| Urea mmol/L | 3.68 ± 0.32 | 3.8 ± 0.36 | 4.8 ± 0.22 * | 4.6 ± 0.22 | 3.3–6.8 |
| Creat µmol/L | 34.1 ± 12.3 | 32.3 ± 12.8 | 35.1 ± 16.2 | 39.2 ± 12.6 | 29–81 |
| TP g/L | 63.7 ± 3.2 | 62.2 ± 4.6 | 62.5 ± 5.3 | 59.2 ± 3.3 | 53–63 |
| ALB g/L | 28 ± 1.3 | 28.2 ± 1.2 | 26.1 ± 2.2 | 27.4 ± 3.1 | 26–29 |
| ASAT U/L | 86.6 ± 4.1 | 86.1 ± 5.4 | 121.3 ± 3.8 * | 98.2 ± 4.8 | 70–155 |
| ALAT U/L | 35.2 ± 4.2 | 37.6 ± 6.1 | 42.2 ± 4.3 | 38.4 ± 3.6 | 35–39 |
| AP U/L | 198.3 ± 9.2 | 162.4 ± 5.3 | 189.8 ± 6.3 | 162.4 ± 9.2 | 62–230 |
| GGT U/L | 2.2 ± 0.2 | 3.2 ± 0.6 | 5.6 ± 0.3 * | 5.8 ± 0.6 * | 0.3–6.9 |
| AMYL U/L | 599.7 ± 18.2 | 632.2 ± 26.6 | 568 ± 12.3 | 492.3 ± 22.6 | 485–1942 |
| T-Bil µmol/L | 4.4 ± 0.48 | 4.0 ± 0.28 | 7.4 ± 0.42 *+ | 4.3 ± 0.38 | 1.7–6.8 |
| D-Bil µmol/L | 3.6 ± 0.86 | 3.5 ± 0.84 | 6.4 ± 0.56 * | 3.9 ± 0.24 | 0–6.8 |
| Chol mmol/L | 1.1 ± 0.06 | 2.0 ± 0.09 | 1.6 ± 0.06 | 1.7 ± 0.04 | 1.5–2.1 |
| TRIG mmol/L | 0.38 ± 0.001 | 0.42 ± 0.003 | 0.66 ± 0.006 * | 0.65 ± 0.004 * | 1.1–1.2 |
| UA mmol/L | 42.6 ± 1.4 | 38.5 ± 2.3 | 43.3 ± 3.3 | 41.9 ± 2.3 | 30–262 |
| Group | MDA nmol/g Tissue | GSH nmol/g Tissue | GPx nmol/min/mg Protein | GR nmol/min/mg Protein | GST nmol/min/mg Protein |
|---|---|---|---|---|---|
| Control | 0.385 ± 0.021 | 6.34 ± 0.38 | 0.132 ± 0.008 | 0.220 ± 0.017 | 0.291 ± 0.014 |
| ERFE | 0.369 ± 0.018 * | 7.30 ± 0.36 * | 0.152 ± 0.006 * | 0.258 ± 0.015 * | 0.325 ± 0.017 * |
| Diclofenac | 0.486 ± 0.024 * | 4.96 ± 0.19 * | 0.119 ± 0.005 * | 0.173 ± 0.016 * | 0.242 ± 0.026 * |
| ERFE + DF | 0.399 ± 0.026 + | 6.12 ± 0.25 *+ | 0.138 ± 0.005 + | 0.220 ± 0.015 + | 0.294 ± 0.023 + |
| Group | EMND Activity nmol/min/mg | AH Activity nmol/min/mg |
|---|---|---|
| Control | 0.566 ± 0.018 | 0.492 ± 0.028 |
| ERFE | 0.439 ± 0.034 * | 0.422 ± 0.009 * |
| DF sodium | 0.646 ± 0.012 * | 0.549 ± 0.019 * |
| ERFE + DF | 0.462 ± 0.009 *+ | 0.448 ± 0.024 *+ |
Disclaimer/Publisher’s Note: The statements, opinions and data contained in all publications are solely those of the individual author(s) and contributor(s) and not of MDPI and/or the editor(s). MDPI and/or the editor(s) disclaim responsibility for any injury to people or property resulting from any ideas, methods, instructions or products referred to in the content. |
© 2023 by the authors. Licensee MDPI, Basel, Switzerland. This article is an open access article distributed under the terms and conditions of the Creative Commons Attribution (CC BY) license (https://creativecommons.org/licenses/by/4.0/).
Share and Cite
Zheleva-Dimitrova, D.; Simeonova, R.; Kondeva-Burdina, M.; Savov, Y.; Balabanova, V.; Zengin, G.; Petrova, A.; Gevrenova, R. Antioxidant and Hepatoprotective Potential of Echinops ritro L. Extracts on Induced Oxidative Stress In Vitro/In Vivo. Int. J. Mol. Sci. 2023, 24, 9999. https://doi.org/10.3390/ijms24129999
Zheleva-Dimitrova D, Simeonova R, Kondeva-Burdina M, Savov Y, Balabanova V, Zengin G, Petrova A, Gevrenova R. Antioxidant and Hepatoprotective Potential of Echinops ritro L. Extracts on Induced Oxidative Stress In Vitro/In Vivo. International Journal of Molecular Sciences. 2023; 24(12):9999. https://doi.org/10.3390/ijms24129999
Chicago/Turabian StyleZheleva-Dimitrova, Dimitrina, Rumyana Simeonova, Magdalena Kondeva-Burdina, Yonko Savov, Vessela Balabanova, Gokhan Zengin, Alexandra Petrova, and Reneta Gevrenova. 2023. "Antioxidant and Hepatoprotective Potential of Echinops ritro L. Extracts on Induced Oxidative Stress In Vitro/In Vivo" International Journal of Molecular Sciences 24, no. 12: 9999. https://doi.org/10.3390/ijms24129999
APA StyleZheleva-Dimitrova, D., Simeonova, R., Kondeva-Burdina, M., Savov, Y., Balabanova, V., Zengin, G., Petrova, A., & Gevrenova, R. (2023). Antioxidant and Hepatoprotective Potential of Echinops ritro L. Extracts on Induced Oxidative Stress In Vitro/In Vivo. International Journal of Molecular Sciences, 24(12), 9999. https://doi.org/10.3390/ijms24129999

