Elaboration of the Effective Multi-Target Therapeutic Platform for the Treatment of Alzheimer’s Disease Based on Novel Monoterpene-Derived Hydroxamic Acids
Abstract
1. Introduction
2. Results
2.1. Chemistry
2.2. Inhibition of HDAC6 Activity: In Vitro and Molecular Docking
2.3. Determination of Antioxidant Activity through Radical Measurement
2.4. Inhibition of Aβ1-42 Aggregates: In Vitro and Molecular Docking

2.5. Influence on Cell Viability
2.6. Selection of the Leader Compound
2.7. Protective Effect of 35a against Cognitive Deficits of 13-Month Old 5xFAD Mice
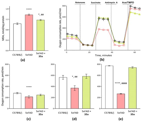
2.8. Oxidative Damage Decreasing and Mitochondrial Function Improving in the 5xFAD Mice Brain by 35a
2.9. Reduce Number of β-Amyloid Deposits in the 5xFAD Mice Brain by Protective Effect of 35a
3. Discussion
4. Materials and Methods
4.1. Chemistry
- Synthesis of methyl 7-hydroxy-3,7-dimethyloctanoate 4
- Synthesis of N,7-dihydroxy-3,7-dimethyloctanamide 5
- Synthesis of 3,7-dimethyloctanoic acid 7
- Synthesis of campholenic acid 12
- Synthesis of (-)-perillic acid 15
- Synthesis of (+)-myrtenal (+)-17
- Synthesis of myrtenic acid 18
- Synthesis of 8, 10, 13, 16 and 19
- N-Hydroxy-3,7-dimethyloctanamide 8
- N-Hydroxy-3,7-dimethyloct-6-enamide 10
- (S)-N-Hydroxy-2-(2,2,3-trimethylcyclopent-3-en-1-yl)acetamide (+)-13
- (R)-N-Hydroxy-2-(2,2,3-trimethylcyclopent-3-en-1-yl)acetamide (-)-13
- (S)-N-Hydroxy-4-(prop-1-en-2-yl)cyclohex-1-enecarboxamide 16
- (1R,5S)-N-Hydroxy-6,6-dimethylbicyclo [3.1.1]hept-2-ene-2-carboxamide (-)-19
- (1S,5R)-N-Hydroxy-6,6-dimethylbicyclo [3.1.1]hept-2-ene-2-carboxamide (+)-19
- Synthesis of (S)-2-((4-(prop-1-en-2-yl)cyclohex-1-en-1-yl)methyl)isoindoline-1,3-dione 21
- Synthesis of 1-(bromomethyl)-4-isopropylbenzene 24
- Synthesis of 2-(4-isopropylbenzyl)isoindoline-1,3-dione 25
- Synthesis of amines 22 and 26
- Synthesis of myrtanylamine 27
- Synthesis of oxonane-2,9-dione 28
- Synthesis of oxocane-2,8-dione 29
- Synthesis of (S)-N1-Hydroxy-N8-((4-(prop-1-en-2-yl)cyclohex-1-en-1-yl)methyl)octanediamide 30
- Synthesis of (S)-N1-hydroxy-N9-((4-(prop-1-en-2-yl)cyclohex-1-en-1-yl)methyl)nonanediamide 31
- Synthesis of methyl 4-formylbenzoate 32
- Synthesis of (E)-3-(4-methoxycarbonylphenyl)prop-2-enoic acid 33
- Synthesis of (E)-4-(3-methoxy-3-oxoprop-1-en-1-yl)benzoic acid 36
- Synthesis of esters 34a—c and 37a—c
- Methyl (S,E)-4-(3-oxo-3-(((4-(prop-1-en-2-yl)cyclohex-1-en-1-yl)methyl)amino)prop-1-en-1-yl)benzoate 34a
- Methyl (E)-4-(3-((4-isopropylbenzyl)amino)-3-oxoprop-1-en-1-yl)benzoate 34b
- Methyl 4-((E)-3-((((1S,2R,5S)-6,6-dimethylbicyclo[3.1.1]heptan-2-yl)methyl)amino)-3-oxoprop-1-en-1-yl)benzoate 34c
- Methyl (S,E)-3-(4-(((4-(prop-1-en-2-yl)cyclohex-1-en-1-yl)methyl)carbamoyl)phenyl)acrylate 37a
- Methyl (E)-3-(4-((4-isopropylbenzyl)carbamoyl)phenyl)acrylate 37b
- Methyl (E)-3-(4-((((1S,2R,5S)-6,6-dimethylbicyclo[3.1.1]heptan-2-yl)methyl)carbamoyl)phenyl)acrylate 37c
- Synthesis of hydroxamic acids 35a–c and 38a–c
- (S,E)-N-hydroxy-4-(3-oxo-3-(((4-(prop-1-en-2-yl)cyclohex-1-en-1-yl)methyl)amino)prop-1-en-1-yl)benzamide 35a
- (E)-N-hydroxy-4-(3-((4-isopropylbenzyl)amino)-3-oxoprop-1-en-1-yl)benzamide 35b
- 4-((E)-3-((((1S,2R,5S)-6,6-dimethylbicyclo[3.1.1]heptan-2-yl)methyl)amino)-3-oxoprop-1-en-1-yl)-N-hydroxybenzamide 35c
- (S,E)-4-(3-(hydroxyamino)-3-oxoprop-1-en-1-yl)-N-((4-(prop-1-en-2-yl)cyclohex-1-en-1-yl)methyl)benzamide 38a
- (E)-4-(3-(hydroxyamino)-3-oxoprop-1-en-1-yl)-N-(4-isopropylbenzyl)benzamide 38b
- N-(((1S,2R,5S)-6,6-dimethylbicyclo[3.1.1]heptan-2-yl)methyl)-4-((E)-3-(hydroxyamino)-3-oxoprop-1-en-1-yl)benzamide 38c
4.2. Fluorimetric Measurement of HDAC6 Activity
4.3. In Vitro Antiradical Activities
4.4. Fluorimetric Measurement of Thioflavin T
4.5. Molecular Docking and ADME/Tox Evaluation
4.6. Cell Culture and Cell Viability Assay
4.7. Animals Grouping and Treatment
4.8. Spatial Learning and Memory Assessment of the Mice
4.9. Extraction of Brain Samples
4.10. Assay of MDA Level in Brain Samples
4.11. Measurement of Mitochondrial Oxygen Consumption Rate
4.12. Histology of β-Amyloid Deposits in Brain Samples
4.13. Statistics
5. Conclusions
Supplementary Materials
Author Contributions
Funding
Institutional Review Board Statement
Informed Consent Statement
Data Availability Statement
Acknowledgments
Conflicts of Interest
References
- Bondi, M.W.; Edmonds, E.C.; Salmon, D.P. Alzheimer’s Disease: Past, Present, and Future. J. Int. Neuropsychol. Soc. 2017, 23, 818–831. [Google Scholar] [CrossRef] [PubMed]
- Khan, S.; Barve, K.H.; Kumar, M.S. Recent Advancements in Pathogenesis, Diagnostics and Treatment of Alzheimer’s Disease. Curr. Neuropharmacol. 2020, 18, 1106–1125. [Google Scholar] [CrossRef] [PubMed]
- Ferrari, C.; Sorbi, S. The complexity of Alzheimer’s disease: An evolving puzzle. Physiol. Rev. 2021, 101, 1047–1081. [Google Scholar] [CrossRef] [PubMed]
- Graff-Radford, J.; Yong, K.X.X.; Apostolova, L.G.; Bouwman, F.H.; Carrillo, M.; Dickerson, B.C.; Rabinovici, G.D.; Schott, J.M.; Jones, D.T.; Murray, M.E. New insights into atypical Alzheimer’s disease in the era of biomarkers. Lancet Neurol. 2021, 20, 222–234. [Google Scholar] [CrossRef] [PubMed]
- Rostagno, A.A. Pathogenesis of Alzheimer’s Disease. Int. J. Mol. Sci. 2022, 24, 107. [Google Scholar] [CrossRef]
- 2021 Alzheimer’s disease facts and figures. Alzheimers Dement 2021, 17, 327–406. Available online: https://alz-journals.onlinelibrary.wiley.com/doi/10.1002/alz.12328 (accessed on 1 June 2023). [CrossRef]
- Cato, S.; Ramer, S.; Hajjar, I.; Kulshreshtha, A. Alzheimer’s Disease Mortality as a Function of Urbanization Level: 1999–2019. J. Alzheimers Dis. 2022, 87, 1461–1466. [Google Scholar] [CrossRef]
- 2023 Alzheimer’s disease facts and figures. Alzheimers Dement 2023, 19, 1598–1695. Available online: https://alz-journals.onlinelibrary.wiley.com/doi/10.1002/alz.13016 (accessed on 1 June 2023). [CrossRef]
- Wong, W. Economic burden of Alzheimer disease and managed care considerations. Am. J. Manag. Care 2020, 26 (Suppl. S8), S177–S183. [Google Scholar]
- Colucci, L.; Bosco, M.; Fasanaro, A.M.; Gaeta, G.L.; Ricci, G.; Amenta, F. Alzheimer’s disease costs: What we know and what we should take into account. J. Alzheimers Dis. 2014, 42, 1311–1324. [Google Scholar] [CrossRef]
- Goldman, D.P.; Fillit, H.; Neumann, P. Accelerating Alzheimer’s disease drug innovations from the research pipeline to patients. Alzheimers Dement 2018, 14, 833–836. [Google Scholar] [CrossRef]
- Budd Haeberlein, S.; Aisen, P.S.; Barkhof, F.; Chalkias, S.; Chen, T.; Cohen, S.; Dent, G.; Hansson, O.; Harrison, K.; von Hehn, C.; et al. Two Randomized Phase 3 Studies of Aducanumab in Early Alzheimer’s Disease. J. Prev. Alzheimers Dis. 2022, 9, 197–210. [Google Scholar] [CrossRef] [PubMed]
- Salloway, S.; Chalkias, S.; Barkhof, F.; Burkett, P.; Barakos, J.; Purcell, D.; Suhy, J.; Forrestal, F.; Tian, Y.; Umans, K.; et al. Amyloid-Related Imaging Abnormalities in 2 Phase 3 Studies Evaluating Aducanumab in Patients with Early Alzheimer Disease. JAMA Neurol. 2022, 79, 13–21. [Google Scholar] [CrossRef] [PubMed]
- Walsh, S.; Merrick, R.; Milne, R.; Brayne, C. Aducanumab for Alzheimer’s disease? BMJ 2021, 374, n1682. [Google Scholar] [CrossRef] [PubMed]
- Tolar, M.; Abushakra, S.; Hey, J.A.; Porsteinsson, A.; Sabbagh, M. Aducanumab, gantenerumab, BAN2401, and ALZ-801-the first wave of amyloid-targeting drugs for Alzheimer’s disease with potential for near term approval. Alzheimers Res. Ther. 2020, 12, 95. [Google Scholar] [CrossRef] [PubMed]
- Vaz, M.; Silva, V.; Monteiro, C.; Silvestre, S. Role of Aducanumab in the Treatment of Alzheimer’s Disease: Challenges and Opportunities. Clin. Interv. Aging 2022, 17, 797–810. [Google Scholar] [CrossRef]
- Wojtunik-Kulesza, K.; Rudkowska, M.; Orzel-Sajdlowska, A. Aducanumab-Hope or Disappointment for Alzheimer’s Disease. Int. J. Mol. Sci. 2023, 24, 4367. [Google Scholar] [CrossRef] [PubMed]
- Rahman, A.; Hossen, M.A.; Chowdhury, M.F.I.; Bari, S.; Tamanna, N.; Sultana, S.S.; Haque, S.N.; Al Masud, A.; Saif-Ur-Rahman, K.M. Aducanumab for the treatment of Alzheimer’s disease: A systematic review. Psychogeriatrics 2023, 23, 512–522. [Google Scholar] [CrossRef]
- 2020 Alzheimer’s disease facts and figures. Alzheimers Dement 2020, 16, 391–460. Available online: https://alz-journals.onlinelibrary.wiley.com/doi/full/10.1002/alz.12068 (accessed on 1 June 2023). [CrossRef]
- Ballard, C.; Aarsland, D.; Cummings, J.; O’Brien, J.; Mills, R.; Molinuevo, J.L.; Fladby, T.; Williams, G.; Doherty, P.; Corbett, A.; et al. Drug repositioning and repurposing for Alzheimer disease. Nat. Rev. Neurol. 2020, 16, 661–673. [Google Scholar] [CrossRef]
- Pushpakom, S.; Iorio, F.; Eyers, P.A.; Escott, K.J.; Hopper, S.; Wells, A.; Doig, A.; Guilliams, T.; Latimer, J.; McNamee, C.; et al. Drug repurposing: Progress, challenges and recommendations. Nat. Rev. Drug Discov. 2019, 18, 41–58. [Google Scholar] [CrossRef] [PubMed]
- Parvathaneni, V.; Kulkarni, N.S.; Muth, A.; Gupta, V. Drug repurposing: A promising tool to accelerate the drug discovery process. Drug Discov. Today 2019, 24, 2076–2085. [Google Scholar] [CrossRef] [PubMed]
- Gonzalez-Fierro, A.; Duenas-Gonzalez, A. Drug repurposing for cancer therapy, easier said than done. Semin. Cancer Biol. 2021, 68, 123–131. [Google Scholar] [CrossRef] [PubMed]
- Rodriguez, S.; Hug, C.; Todorov, P.; Moret, N.; Boswell, S.A.; Evans, K.; Zhou, G.; Johnson, N.T.; Hyman, B.T.; Sorger, P.K.; et al. Machine learning identifies candidates for drug repurposing in Alzheimer’s disease. Nat. Commun. 2021, 12, 1033. [Google Scholar] [CrossRef] [PubMed]
- Cha, Y.; Erez, T.; Reynolds, I.J.; Kumar, D.; Ross, J.; Koytiger, G.; Kusko, R.; Zeskind, B.; Risso, S.; Kagan, E.; et al. Drug repurposing from the perspective of pharmaceutical companies. Br. J. Pharmacol. 2018, 175, 168–180. [Google Scholar] [CrossRef]
- Li, L.H.; Peng, W.N.; Deng, Y.; Li, J.J.; Tian, X.R. Action of trichostatin A on Alzheimer’s disease-like pathological changes in SH-SY5Y neuroblastoma cells. Neural Regen. Res. 2020, 15, 293–301. [Google Scholar] [CrossRef]
- Yang, W.; Chauhan, A.; Mehta, S.; Mehta, P.; Gu, F.; Chauhan, V. Trichostatin A increases the levels of plasma gelsolin and amyloid beta-protein in a transgenic mouse model of Alzheimer’s disease. Life Sci. 2014, 99, 31–36. [Google Scholar] [CrossRef]
- Yang, W.; Chauhan, A.; Wegiel, J.; Kuchna, I.; Gu, F.; Chauhan, V. Effect of trichostatin A on gelsolin levels, proteolysis of amyloid precursor protein, and amyloid beta-protein load in the brain of transgenic mouse model of Alzheimer’s disease. Curr. Alzheimer Res. 2014, 11, 1002–1011. [Google Scholar] [CrossRef]
- Su, Q.; Li, T.; He, P.F.; Lu, X.C.; Yu, Q.; Gao, Q.C.; Wang, Z.J.; Wu, M.N.; Yang, D.; Qi, J.S. Trichostatin A ameliorates Alzheimer’s disease-related pathology and cognitive deficits by increasing albumin expression and Abeta clearance in APP/PS1 mice. Alzheimers Res. Ther. 2021, 13, 7. [Google Scholar] [CrossRef]
- Athira, K.V.; Sadanandan, P.; Chakravarty, S. Repurposing Vorinostat for the Treatment of Disorders Affecting Brain. Neuromolecular Med. 2021, 23, 449–465. [Google Scholar] [CrossRef]
- KC, S.; Kakoty, V.; Krishna, K.V.; Dubey, S.K.; Chitkara, D.; Taliyan, R. Neuroprotective Efficacy of Co-Encapsulated Rosiglitazone and Vorinostat Nanoparticle on Streptozotocin Induced Mice Model of Alzheimer Disease. ACS Chem. Neurosci. 2021, 12, 1528–1541. [Google Scholar]
- Meng, J.; Li, Y.; Zhang, M.; Li, W.; Zhou, L.; Wang, Q.; Lin, L.; Jiang, L.; Zhu, W. A combination of curcumin, vorinostat and silibinin reverses Abeta-induced nerve cell toxicity via activation of AKT-MDM2-p53 pathway. PeerJ 2019, 7, e6716. [Google Scholar] [CrossRef] [PubMed]
- Kidd, S.K.; Schneider, J.S. Protection of dopaminergic cells from MPP+-mediated toxicity by histone deacetylase inhibition. Brain Res. 2010, 1354, 172–178. [Google Scholar] [CrossRef] [PubMed]
- Mielcarek, M.; Benn, C.L.; Franklin, S.A.; Smith, D.L.; Woodman, B.; Marks, P.A.; Bates, G.P. SAHA decreases HDAC 2 and 4 levels in vivo and improves molecular phenotypes in the R6/2 mouse model of Huntington’s disease. PLoS ONE 2011, 6, e27746. [Google Scholar] [CrossRef] [PubMed]
- Yeh, H.H.; Young, D.; Gelovani, J.G.; Robinson, A.; Davidson, Y.; Herholz, K.; Mann, D.M. Histone deacetylase class II and acetylated core histone immunohistochemistry in human brains with Huntington’s disease. Brain Res. 2013, 1504, 16–24. [Google Scholar] [CrossRef] [PubMed]
- Shin, M.; Liu, Q.F.; Choi, B.; Shin, C.; Lee, B.; Yuan, C.; Song, Y.J.; Yun, H.S.; Lee, I.S.; Koo, B.S.; et al. Neuroprotective Effects of Limonene (+) against Abeta42-Induced Neurotoxicity in a Drosophila Model of Alzheimer’s Disease. Biol. Pharm. Bull. 2020, 43, 409–417. [Google Scholar] [CrossRef] [PubMed]
- Piccialli, I.; Tedeschi, V.; Caputo, L.; Amato, G.; De Martino, L.; De Feo, V.; Secondo, A.; Pannaccione, A. The Antioxidant Activity of Limonene Counteracts Neurotoxicity Triggered byAbeta(1-42) Oligomers in Primary Cortical Neurons. Antioxidants 2021, 10, 937. [Google Scholar] [CrossRef]
- Sadiki, F.Z.; Idrissi, M.E.; Cioanca, O.; Trifan, A.; Hancianu, M.; Hritcu, L.; Postu, P.A. Tetraclinis articulata essential oil mitigates cognitive deficits and brain oxidative stress in an Alzheimer’s disease amyloidosis model. Phytomedicine 2019, 56, 57–63. [Google Scholar] [CrossRef]
- Conforti, F.; Statti, G.A.; Tundis, R.; Loizzo, M.R.; Menichini, F. In vitro activities of Citrus medica L. cv. Diamante (Diamante citron) relevant to treatment of diabetes and Alzheimer’s disease. Phytother. Res. 2007, 21, 427–433. [Google Scholar] [CrossRef]
- Boiangiu, R.S.; Brinza, I.; Hancianu, M.; Erdogan Orhan, I.; Eren, G.; Gunduz, E.; Ertas, H.; Hritcu, L.; Cioanca, O. Cognitive Facilitation and Antioxidant Effects of an Essential Oil Mix on Scopolamine-Induced Amnesia in Rats: Molecular Modeling of In Vitro and In Vivo Approaches. Molecules 2020, 25, 1519. [Google Scholar] [CrossRef]
- Munkuev, A.A.; Dyrkheeva, N.S.; Kornienko, T.E.; Ilina, E.S.; Ivankin, D.I.; Suslov, E.V.; Korchagina, D.V.; Gatilov, Y.V.; Zakharenko, A.L.; Malakhova, A.A.; et al. Adamantane-Monoterpenoid Conjugates Linked via Heterocyclic Linkers Enhance the Cytotoxic Effect of Topotecan. Molecules 2022, 27, 3374. [Google Scholar] [CrossRef] [PubMed]
- Munkuev, A.A.; Mozhaitsev, E.S.; Chepanova, A.A.; Suslov, E.V.; Korchagina, D.V.; Zakharova, O.D.; Ilina, E.S.; Dyrkheeva, N.S.; Zakharenko, A.L.; Reynisson, J.; et al. Novel Tdp1 Inhibitors Based on Adamantane Connected with Monoterpene Moieties via Heterocyclic Fragments. Molecules 2021, 26, 3128. [Google Scholar] [CrossRef] [PubMed]
- Simoes-Pires, C.A.; Zwick, V.; Cretton, S.; Cuendet, M. Simultaneous Measurement of HDAC1 and HDAC6 Activity in HeLa Cells Using UHPLC-MS. J. Vis. Exp. 2017, 126, e55878. [Google Scholar]
- Furumai, R.; Komatsu, Y.; Nishino, N.; Khochbin, S.; Yoshida, M.; Horinouchi, S. Potent histone deacetylase inhibitors built from trichostatin A and cyclic tetrapeptide antibiotics including trapoxin. Proc. Natl. Acad. Sci. USA 2001, 98, 87–92. [Google Scholar] [CrossRef]
- Singh, D.B.; Gupta, M.K.; Kesharwani, R.K.; Misra, K. Comparative docking and ADMET study of some curcumin derivatives and herbal congeners targeting β-amyloid. Netw. Model. Anal. Health Inform. Bioinform. 2013, 2, 13–27. [Google Scholar] [CrossRef]
- Azam, F.; Alabdullah, N.H.; Ehmedat, H.M.; Abulifa, A.R.; Taban, I.; Upadhyayula, S. NSAIDs as potential treatment option for preventing amyloid beta toxicity in Alzheimer’s disease: An investigation by docking, molecular dynamics, and DFT studies. J. Biomol. Struct. Dyn. 2018, 36, 2099–2117. [Google Scholar] [CrossRef]
- Hai, Y.; Christianson, D.W. Histone deacetylase 6 structure and molecular basis of catalysis and inhibition. Nat. Chem. Biol. 2016, 12, 741–747. [Google Scholar] [CrossRef]
- Berman, H.M.; Westbrook, J.; Feng, Z.; Gilliland, G.; Bhat, T.N.; Weissig, H.; Shindyalov, I.N.; Bourne, P.E. The Protein Data Bank. Nucleic Acids Res. 2000, 28, 235–242. [Google Scholar] [CrossRef]
- Foti, M.C. Use and Abuse of the DPPH(*) Radical. J. Agric. Food Chem. 2015, 63, 8765–8776. [Google Scholar] [CrossRef]
- Ionita, P. The Chemistry of DPPH(.) Free Radical and Congeners. Int. J. Mol. Sci. 2021, 22, 1545. [Google Scholar] [CrossRef]
- Sebastiao, M.; Quittot, N.; Bourgault, S. Thioflavin T fluorescence to analyse amyloid formation kinetics: Measurement frequency as a factor explaining irreproducibility. Anal. Biochem. 2017, 532, 83–86. [Google Scholar] [CrossRef] [PubMed]
- Xue, C.; Lin, T.Y.; Chang, D.; Guo, Z. Thioflavin T as an amyloid dye: Fibril quantification, optimal concentration and effect on aggregation. R. Soc. Open Sci. 2017, 4, 160696. [Google Scholar] [CrossRef] [PubMed]
- Horowitz, S.; Koepnick, B.; Martin, R.; Tymieniecki, A.; Winburn, A.A.; Cooper, S.; Flatten, J.; Rogawski, D.S.; Koropatkin, N.M.; Hailu, T.T.; et al. Determining crystal structures through crowdsourcing and coursework. Nat. Commun. 2016, 7, 12549. [Google Scholar] [CrossRef]
- Bansode, S.B.; Jana, A.K.; Batkulwar, K.B.; Warkad, S.D.; Joshi, R.S.; Sengupta, N.; Kulkarni, M.J. Molecular investigations of protriptyline as a multi-target directed ligand in Alzheimer’s disease. PLoS ONE 2014, 9, e105196. [Google Scholar] [CrossRef] [PubMed]
- Rostagno, A.; Calero, M.; Holton, J.L.; Revesz, T.; Lashley, T.; Ghiso, J. Association of clusterin with the BRI2-derived amyloid molecules ABri and ADan. Neurobiol. Dis. 2021, 158, 105452. [Google Scholar] [CrossRef]
- Schrödinger, LLC. Schrödinger Release 2023-1: Prime; Schrödinger, LLC: New York, NY, USA, 2023. [Google Scholar]
- Zou, H.; Wu, Y.; Navre, M.; Sang, B.C. Characterization of the two catalytic domains in histone deacetylase 6. Biochem. Biophys. Res. Commun. 2006, 341, 45–50. [Google Scholar] [CrossRef]
- Neganova, M.; Aleksandrova, Y.; Suslov, E.; Mozhaitsev, E.; Munkuev, A.; Tsypyshev, D.; Chicheva, M.; Rogachev, A.; Sukocheva, O.; Volcho, K.; et al. Novel Multitarget Hydroxamic Acids with a Natural Origin CAP Group against Alzheimer’s Disease: Synthesis, Docking and Biological Evaluation. Pharmaceutics 2021, 13, 1893. [Google Scholar] [CrossRef]
- Schrödinger, LLC. Schrödinger Release 2023-1: QikProp; Schrödinger, LLC: New York, NY, USA, 2021. [Google Scholar]
- Kasus-Jacobi, A.; Washburn, J.L.; Laurence, R.B.; Pereira, H.A. Selecting Multitarget Peptides for Alzheimer’s Disease. Biomolecules 2022, 12, 1386. [Google Scholar] [CrossRef]
- Matos, M.J. Multitarget therapeutic approaches for Alzheimer’s and Parkinson’s diseases: An opportunity or an illusion? Future Med. Chem. 2021, 13, 1301–1309. [Google Scholar] [CrossRef]
- Ramalakshmi, N.; Remya, R.S.; Nalini, C.N. Multitarget Directed Ligand Approaches for Alzheimer’s Disease: A Comprehensive Review. Mini Rev. Med. Chem. 2021, 21, 2361–2388. [Google Scholar] [CrossRef]
- Rosini, M.; Simoni, E.; Caporaso, R.; Minarini, A. Multitarget strategies in Alzheimer’s disease: Benefits and challenges on the road to therapeutics. Future Med. Chem. 2016, 8, 697–711. [Google Scholar] [CrossRef] [PubMed]
- Marco-Contelles, J.; Fall, Y. Editorial: Multitarget Molecules for Alzheimer’s Disease Therapy. Curr. Top. Med. Chem. 2017, 17, 3318. [Google Scholar] [CrossRef] [PubMed]
- Tago, T.; Toyohara, J. Advances in the Development of PET Ligands Targeting Histone Deacetylases for the Assessment of Neurodegenerative Diseases. Molecules 2018, 23, 300. [Google Scholar] [CrossRef] [PubMed]
- Wang, C.; Schroeder, F.A.; Wey, H.Y.; Borra, R.; Wagner, F.F.; Reis, S.; Kim, S.W.; Holson, E.B.; Haggarty, S.J.; Hooker, J.M. In vivo imaging of histone deacetylases (HDACs) in the central nervous system and major peripheral organs. J. Med. Chem. 2014, 57, 7999–8009. [Google Scholar] [CrossRef]
- Wey, H.Y.; Wang, C.; Schroeder, F.A.; Logan, J.; Price, J.C.; Hooker, J.M. Kinetic Analysis and Quantification of [(1)(1)C]Martinostat for in Vivo HDAC Imaging of the Brain. ACS Chem. Neurosci. 2015, 6, 708–715. [Google Scholar] [CrossRef]
- Strebl, M.G.; Campbell, A.J.; Zhao, W.N.; Schroeder, F.A.; Riley, M.M.; Chindavong, P.S.; Morin, T.M.; Haggarty, S.J.; Wagner, F.F.; Ritter, T.; et al. HDAC6 Brain Mapping with [(18)F]Bavarostat Enabled by a Ru-Mediated Deoxyfluorination. ACS Cent. Sci. 2017, 3, 1006–1014. [Google Scholar] [CrossRef]
- Celen, S.; Rokka, J.; Gilbert, T.M.; Koole, M.; Vermeulen, I.; Serdons, K.; Schroeder, F.A.; Wagner, F.F.; Bleeser, T.; Hightower, B.G.; et al. Translation of HDAC6 PET Imaging Using [(18)F]EKZ-001-cGMP Production and Measurement of HDAC6 Target Occupancy in Nonhuman Primates. ACS Chem. Neurosci. 2020, 11, 1093–1101. [Google Scholar] [CrossRef]
- Koole, M.; Van Weehaeghe, D.; Serdons, K.; Herbots, M.; Cawthorne, C.; Celen, S.; Schroeder, F.A.; Hooker, J.M.; Bormans, G.; de Hoon, J.; et al. Clinical validation of the novel HDAC6 radiotracer [(18)F]EKZ-001 in the human brain. Eur. J. Nucl. Med. Mol. Imaging 2021, 48, 596–611. [Google Scholar] [CrossRef]
- Bai, P.; Mondal, P.; Bagdasarian, F.A.; Rani, N.; Liu, Y.; Gomm, A.; Tocci, D.R.; Choi, S.H.; Wey, H.Y.; Tanzi, R.E.; et al. Development of a potential PET probe for HDAC6 imaging in Alzheimer’s disease. Acta Pharm. Sin. B 2022, 12, 3891–3904. [Google Scholar] [CrossRef]
- Sreenivasmurthy, S.G.; Iyaswamy, A.; Krishnamoorthi, S.; Senapati, S.; Malampati, S.; Zhu, Z.; Su, C.F.; Liu, J.; Guan, X.J.; Tong, B.C.; et al. Protopine promotes the proteasomal degradation of pathological tau in Alzheimer’s disease models via HDAC6 inhibition. Phytomedicine 2022, 96, 153887. [Google Scholar] [CrossRef]
- Choi, H.; Kim, H.J.; Yang, J.; Chae, S.; Lee, W.; Chung, S.; Kim, J.; Choi, H.; Song, H.; Lee, C.K.; et al. Acetylation changes tau interactome to degrade tau in Alzheimer’s disease animal and organoid models. Aging Cell 2020, 19, e13081. [Google Scholar] [CrossRef] [PubMed]
- Trzeciakiewicz, H.; Ajit, D.; Tseng, J.H.; Chen, Y.; Ajit, A.; Tabassum, Z.; Lobrovich, R.; Peterson, C.; Riddick, N.V.; Itano, M.S.; et al. An HDAC6-dependent surveillance mechanism suppresses tau-mediated neurodegeneration and cognitive decline. Nat. Commun. 2020, 11, 5522. [Google Scholar] [CrossRef] [PubMed]
- Zeb, A.; Park, C.; Rampogu, S.; Son, M.; Lee, G.; Lee, K.W. Structure-Based Drug Designing Recommends HDAC6 Inhibitors To Attenuate Microtubule-Associated Tau-Pathogenesis. ACS Chem. Neurosci. 2019, 10, 1326–1335. [Google Scholar] [CrossRef] [PubMed]
- Li, G.; Jiang, H.; Chang, M.; Xie, H.; Hu, L. HDAC6 alpha-tubulin deacetylase: A potential therapeutic target in neurodegenerative diseases. J. Neurol. Sci. 2011, 304, 1–8. [Google Scholar] [CrossRef]
- Kim, C.; Choi, H.; Jung, E.S.; Lee, W.; Oh, S.; Jeon, N.L.; Mook-Jung, I. HDAC6 inhibitor blocks amyloid beta-induced impairment of mitochondrial transport in hippocampal neurons. PLoS ONE 2012, 7, e42983. [Google Scholar] [CrossRef]
- Selenica, M.L.; Benner, L.; Housley, S.B.; Manchec, B.; Lee, D.C.; Nash, K.R.; Kalin, J.; Bergman, J.A.; Kozikowski, A.; Gordon, M.N.; et al. Histone deacetylase 6 inhibition improves memory and reduces total tau levels in a mouse model of tau deposition. Alzheimers Res. Ther. 2014, 6, 12. [Google Scholar] [CrossRef]
- Lee, H.Y.; Fan, S.J.; Huang, F.I.; Chao, H.Y.; Hsu, K.C.; Lin, T.E.; Yeh, T.K.; Lai, M.J.; Li, Y.H.; Huang, H.L.; et al. 5-Aroylindoles Act as Selective Histone Deacetylase 6 Inhibitors Ameliorating Alzheimer’s Disease Phenotypes. J. Med. Chem. 2018, 61, 7087–7102. [Google Scholar] [CrossRef]
- Cook, C.; Gendron, T.F.; Scheffel, K.; Carlomagno, Y.; Dunmore, J.; DeTure, M.; Petrucelli, L. Loss of HDAC6, a novel CHIP substrate, alleviates abnormal tau accumulation. Hum. Mol. Genet. 2012, 21, 2936–2945. [Google Scholar] [CrossRef]
- Dompierre, J.P.; Godin, J.D.; Charrin, B.C.; Cordelieres, F.P.; King, S.J.; Humbert, S.; Saudou, F. Histone deacetylase 6 inhibition compensates for the transport deficit in Huntington’s disease by increasing tubulin acetylation. J. Neurosci. 2007, 27, 3571–3583. [Google Scholar] [CrossRef]
- Fukada, M.; Hanai, A.; Nakayama, A.; Suzuki, T.; Miyata, N.; Rodriguiz, R.M.; Wetsel, W.C.; Yao, T.P.; Kawaguchi, Y. Loss of deacetylation activity of Hdac6 affects emotional behavior in mice. PLoS ONE 2012, 7, e30924. [Google Scholar] [CrossRef]
- Odagiri, S.; Tanji, K.; Mori, F.; Miki, Y.; Kakita, A.; Takahashi, H.; Wakabayashi, K. Brain expression level and activity of HDAC6 protein in neurodegenerative dementia. Biochem. Biophys. Res. Commun. 2013, 430, 394–399. [Google Scholar] [CrossRef] [PubMed]
- Govindarajan, N.; Rao, P.; Burkhardt, S.; Sananbenesi, F.; Schluter, O.M.; Bradke, F.; Lu, J.; Fischer, A. Reducing HDAC6 ameliorates cognitive deficits in a mouse model for Alzheimer’s disease. EMBO Mol. Med. 2013, 5, 52–63. [Google Scholar] [CrossRef] [PubMed]
- Neganova, M.E.; Klochkov, S.G.; Aleksandrova, Y.R.; Aliev, G. The Hydroxamic Acids as Potential Anticancer and Neuroprotective Agents. Curr. Med. Chem. 2021, 28, 8139–8162. [Google Scholar] [CrossRef] [PubMed]
- Olson, D.E.; Sleiman, S.F.; Bourassa, M.W.; Wagner, F.F.; Gale, J.P.; Zhang, Y.L.; Ratan, R.R.; Holson, E.B. Hydroxamate-based histone deacetylase inhibitors can protect neurons from oxidative stress via a histone deacetylase-independent catalase-like mechanism. Chem. Biol. 2015, 22, 439–445. [Google Scholar] [CrossRef] [PubMed]
- Sleiman, S.F.; Olson, D.E.; Bourassa, M.W.; Karuppagounder, S.S.; Zhang, Y.L.; Gale, J.; Wagner, F.F.; Basso, M.; Coppola, G.; Pinto, J.T.; et al. Hydroxamic acid-based histone deacetylase (HDAC) inhibitors can mediate neuroprotection independent of HDAC inhibition. J. Neurosci. 2014, 34, 14328–14337. [Google Scholar] [CrossRef]
- Ionescu-Tucker, A.; Cotman, C.W. Emerging roles of oxidative stress in brain aging and Alzheimer’s disease. Neurobiol. Aging 2021, 107, 86–95. [Google Scholar] [CrossRef]
- Simunkova, M.; Alwasel, S.H.; Alhazza, I.M.; Jomova, K.; Kollar, V.; Rusko, M.; Valko, M. Management of oxidative stress and other pathologies in Alzheimer’s disease. Arch. Toxicol. 2019, 93, 2491–2513. [Google Scholar] [CrossRef]
- Ton, A.M.M.; Campagnaro, B.P.; Alves, G.A.; Aires, R.; Coco, L.Z.; Arpini, C.M.; Guerra, E.O.T.; Campos-Toimil, M.; Meyrelles, S.S.; Pereira, T.M.C.; et al. Oxidative Stress and Dementia in Alzheimer’s Patients: Effects of Synbiotic Supplementation. Oxid. Med. Cell. Longev. 2020, 2020, 2638703. [Google Scholar] [CrossRef]
- Martinez Leo, E.E.; Segura Campos, M.R. Systemic Oxidative Stress: A key Point in Neurodegeneration-A Review. J. Nutr. Health Aging 2019, 23, 694–699. [Google Scholar] [CrossRef]
- Khan, H.; Ullah, H.; Aschner, M.; Cheang, W.S.; Akkol, E.K. Neuroprotective Effects of Quercetin in Alzheimer’s Disease. Biomolecules 2019, 10, 59. [Google Scholar] [CrossRef]
- Feng, Y.; Wang, X. Antioxidant therapies for Alzheimer’s disease. Oxid. Med. Cell. Longev. 2012, 2012, 472932. [Google Scholar] [CrossRef]
- Hardy, J.A.; Higgins, G.A. Alzheimer’s disease: The amyloid cascade hypothesis. Science 1992, 256, 184–185. [Google Scholar] [CrossRef]
- Zhang, H.; Zheng, Y. [beta Amyloid Hypothesis in Alzheimer’s Disease: Pathogenesis, Prevention, and Management]. Zhongguo Yi Xue Ke Xue Yuan Xue Bao 2019, 41, 702–708. [Google Scholar] [PubMed]
- Selkoe, D.J.; Hardy, J. The amyloid hypothesis of Alzheimer’s disease at 25 years. EMBO Mol. Med. 2016, 8, 595–608. [Google Scholar] [CrossRef] [PubMed]
- Wang, Q.; Yu, X.; Li, L.; Zheng, J. Inhibition of amyloid-beta aggregation in Alzheimer’s disease. Curr. Pharm. Des. 2014, 20, 1223–1243. [Google Scholar] [CrossRef]
- Liu, Y.; Cong, L.; Han, C.; Li, B.; Dai, R. Recent Progress in the Drug Development for the Treatment of Alzheimer’s Disease Especially on Inhibition of Amyloid-peptide Aggregation. Mini Rev. Med. Chem. 2021, 21, 969–990. [Google Scholar] [CrossRef] [PubMed]
- Hosoi, T.; Yazawa, K.; Imada, M.; Tawara, A.; Tohda, C.; Nomura, Y.; Ozawa, K. Alkannin Attenuates Amyloid beta Aggregation and Alzheimer’s Disease Pathology. Mol. Pharmacol. 2023, 103, 266–273. [Google Scholar] [CrossRef] [PubMed]
- Ashrafian, H.; Zadeh, E.H.; Khan, R.H. Review on Alzheimer’s disease: Inhibition of amyloid beta and tau tangle formation. Int. J. Biol. Macromol. 2021, 167, 382–394. [Google Scholar] [CrossRef] [PubMed]
- Athaide Rocha, K.M.; Machado, F.R.; Poetini, M.; Giacomeli, R.; Boeira, S.P.; Jesse, C.R.; Gomes de Gomes, M. Assessment of suberoylanilide hydroxamic acid on a Alzheimer’s disease model induced by beta-amyloid((1-42)) in aged female mice: Neuromodulatory and epigenetic effect. Chem. Biol. Interact. 2023, 375, 110429. [Google Scholar] [CrossRef] [PubMed]
- Yadav, R.; Murthy, R.V.; Kikkeri, R. Sialic Acid Hydroxamate: A Potential Antioxidant and Inhibitor of Metal-Induced beta-Amyloid Aggregates. Chembiochem 2015, 16, 1448–1453. [Google Scholar] [CrossRef]
- Zhaba, W.D.; Deji, Q.Z.; Gao, S.Q.; Han, Y.L.; Gao, C.C.; Deng, H.J.; Liu, X.L.; Li, T.; Zhou, M.L. Deferoxamine reduces amyloid-beta peptides genesis and alleviates neural apoptosis after traumatic brain injury. Neuroreport 2021, 32, 472–478. [Google Scholar] [CrossRef] [PubMed]
- Guo, C.; Wang, T.; Zheng, W.; Shan, Z.Y.; Teng, W.P.; Wang, Z.Y. Intranasal deferoxamine reverses iron-induced memory deficits and inhibits amyloidogenic APP processing in a transgenic mouse model of Alzheimer’s disease. Neurobiol. Aging 2013, 34, 562–575. [Google Scholar] [CrossRef] [PubMed]
- Fine, J.M.; Renner, D.B.; Forsberg, A.C.; Cameron, R.A.; Galick, B.T.; Le, C.; Conway, P.M.; Stroebel, B.M.; Frey, W.H., 2nd; Hanson, L.R. Intranasal deferoxamine engages multiple pathways to decrease memory loss in the APP/PS1 model of amyloid accumulation. Neurosci. Lett. 2015, 584, 362–367. [Google Scholar] [CrossRef] [PubMed]
- Nuutinen, T.; Suuronen, T.; Kauppinen, A.; Salminen, A. Valproic acid stimulates clusterin expression in human astrocytes: Implications for Alzheimer’s disease. Neurosci. Lett. 2010, 475, 64–68. [Google Scholar] [CrossRef]
- Di Carlo, M.G.; Minicozzi, V.; Fodera, V.; Militello, V.; Vetri, V.; Morante, S.; Leone, M. Thioflavin T templates amyloid beta(1-40) conformation and aggregation pathway. Biophys. Chem. 2015, 206, 1–11. [Google Scholar] [CrossRef]
- Peccati, F.; Pantaleone, S.; Riffet, V.; Solans-Monfort, X.; Contreras-Garcia, J.; Guallar, V.; Sodupe, M. Binding of Thioflavin T and Related Probes to Polymorphic Models of Amyloid-beta Fibrils. J. Phys. Chem. B 2017, 121, 8926–8934. [Google Scholar] [CrossRef]
- Frieg, B.; Gremer, L.; Heise, H.; Willbold, D.; Gohlke, H. Binding modes of thioflavin T and Congo red to the fibril structure of amyloid-beta(1-42). Chem. Commun. 2020, 56, 7589–7592. [Google Scholar] [CrossRef]
- Festing, M.F.; Altman, D.G. Guidelines for the design and statistical analysis of experiments using laboratory animals. ILAR J. 2002, 43, 244–258. [Google Scholar] [CrossRef]
- Anishchenko, M.A.; Aleksieiev, O.G.; Hamburh, I.A. International legal standards for conducting biomedical experiments on animals: Status and prospects of development. Wiad. Lek. 2019, 72, 1582–1585. [Google Scholar] [CrossRef]
- Drummond, E.; Wisniewski, T. Alzheimer’s disease: Experimental models and reality. Acta Neuropathol. 2017, 133, 155–175. [Google Scholar] [CrossRef]
- Delgado-Garcia, J.M.; Gruart, A. Learning as a Functional State of the Brain: Studies in Wild-Type and Transgenic Animals. Adv. Exp. Med. Biol. 2017, 1015, 75–93. [Google Scholar] [PubMed]
- Puzzo, D.; Gulisano, W.; Palmeri, A.; Arancio, O. Rodent models for Alzheimer’s disease drug discovery. Expert Opin. Drug Discov. 2015, 10, 703–711. [Google Scholar] [CrossRef]
- Crnic, L.S. Transgenic and null mutant animals for psychosomatic research. Psychosom. Med. 1996, 58, 622–632. [Google Scholar] [CrossRef] [PubMed]
- Balestrieri, J.V.L.; Nonato, M.B.; Gheler, L.; Prandini, M.N. Structural Volume of Hippocampus and Alzheimer’s Disease. Rev. Assoc. Med. Bras. 2020, 66, 512–515. [Google Scholar] [CrossRef] [PubMed]
- Jaroudi, W.; Garami, J.; Garrido, S.; Hornberger, M.; Keri, S.; Moustafa, A.A. Factors underlying cognitive decline in old age and Alzheimer’s disease: The role of the hippocampus. Rev. Neurosci. 2017, 28, 705–714. [Google Scholar] [CrossRef] [PubMed]
- Pluta, R.; Ouyang, L.; Januszewski, S.; Li, Y.; Czuczwar, S.J. Participation of Amyloid and Tau Protein in Post-Ischemic Neurodegeneration of the Hippocampus of a Nature Identical to Alzheimer’s Disease. Int. J. Mol. Sci. 2021, 22, 2460. [Google Scholar] [CrossRef]
- Liu, G.; Liu, C.; Qiu, A.; Alzheimer’s Disease Neuroimaging Initiative. Spatial correlation maps of the hippocampus with cerebrospinal fluid biomarkers and cognition in Alzheimer’s disease: A longitudinal study. Hum. Brain Mapp. 2021, 42, 2931–2940. [Google Scholar] [CrossRef]
- Katabathula, S.; Wang, Q.; Xu, R. Predict Alzheimer’s disease using hippocampus MRI data: A lightweight 3D deep convolutional network model with visual and global shape representations. Alzheimers Res. Ther. 2021, 13, 104. [Google Scholar] [CrossRef]
- Lissner, L.J.; Wartchow, K.M.; Toniazzo, A.P.; Goncalves, C.A.; Rodrigues, L. Object recognition and Morris water maze to detect cognitive impairment from mild hippocampal damage in rats: A reflection based on the literature and experience. Pharmacol. Biochem. Behav. 2021, 210, 173273. [Google Scholar] [CrossRef]
- Topuz, R.D.; Gunduz, O.; Tastekin, E.; Karadag, C.H. Effects of hippocampal histone acetylation and HDAC inhibition on spatial learning and memory in the Morris water maze in rats. Fundam. Clin. Pharmacol. 2020, 34, 222–228. [Google Scholar] [CrossRef]
- Tian, J.; Wang, T.; Wang, Q.; Guo, L.; Du, H. MK0677, a Ghrelin Mimetic, Improves Neurogenesis but Fails to Prevent Hippocampal Lesions in a Mouse Model of Alzheimer’s Disease Pathology. J. Alzheimers Dis. 2019, 72, 467–478. [Google Scholar] [CrossRef]
- Ju, I.G.; Kim, N.; Choi, J.G.; Lee, J.K.; Oh, M.S. Cuscutae Japonicae Semen Ameliorates Memory Dysfunction by Rescuing Synaptic Damage in Alzheimer’s Disease Models. Nutrients 2019, 11, 2591. [Google Scholar] [CrossRef] [PubMed]
- Frijhoff, J.; Winyard, P.G.; Zarkovic, N.; Davies, S.S.; Stocker, R.; Cheng, D.; Knight, A.R.; Taylor, E.L.; Oettrich, J.; Ruskovska, T.; et al. Clinical Relevance of Biomarkers of Oxidative Stress. Antioxid. Redox Signal. 2015, 23, 1144–1170. [Google Scholar] [CrossRef] [PubMed]
- Tsikas, D. Assessment of lipid peroxidation by measuring malondialdehyde (MDA) and relatives in biological samples: Analytical and biological challenges. Anal. Biochem. 2017, 524, 13–30. [Google Scholar] [CrossRef] [PubMed]
- Peng, A.; Gao, Y.; Zhuang, X.; Lin, Y.; He, W.; Wang, Y.; Chen, W.; Chen, T.; Huang, X.; Yang, R.; et al. Bazhu Decoction, a Traditional Chinese Medical Formula, Ameliorates Cognitive Deficits in the 5xFAD Mouse Model of Alzheimer’s Disease. Front. Pharmacol. 2019, 10, 1391. [Google Scholar] [CrossRef] [PubMed]
- Hu, H.; Deng, X.; Song, Q.; Yang, W.; Zhang, Y.; Liu, W.; Wang, S.; Liang, Z.; Xing, X.; Zhu, J.; et al. Mitochondria-targeted accumulation of oxygen-irrelevant free radicals for enhanced synergistic low-temperature photothermal and thermodynamic therapy. J. Nanobiotechnol. 2021, 19, 390. [Google Scholar] [CrossRef]
- Oyewole, A.O.; Birch-Machin, M.A. Mitochondria-targeted antioxidants. FASEB J. 2015, 29, 4766–4771. [Google Scholar] [CrossRef]
- Du, H.; Guo, L.; Wu, X.; Sosunov, A.A.; McKhann, G.M.; Chen, J.X.; Yan, S.S. Cyclophilin D deficiency rescues Abeta-impaired PKA/CREB signaling and alleviates synaptic degeneration. Biochim. Biophys. Acta 2014, 1842 Pt A, 2517–2527. [Google Scholar] [CrossRef]
- Calkins, M.J.; Reddy, P.H. Amyloid beta impairs mitochondrial anterograde transport and degenerates synapses in Alzheimer’s disease neurons. Biochim. Biophys. Acta 2011, 1812, 507–513. [Google Scholar] [CrossRef]
- Sharma, C.; Kim, S.; Nam, Y.; Jung, U.J.; Kim, S.R. Mitochondrial Dysfunction as a Driver of Cognitive Impairment in Alzheimer’s Disease. Int. J. Mol. Sci. 2021, 22, 4850. [Google Scholar] [CrossRef]
- Knopman, D.S.; Amieva, H.; Petersen, R.C.; Chetelat, G.; Holtzman, D.M.; Hyman, B.T.; Nixon, R.A.; Jones, D.T. Alzheimer disease. Nat. Rev. Dis. Prim. 2021, 7, 33. [Google Scholar] [CrossRef] [PubMed]
- Bowers, Z.; Maiti, P.; Bourcier, A.; Morse, J.; Jenrow, K.; Rossignol, J.; Dunbar, G.L. Tart Cherry Extract and Omega Fatty Acids Reduce Behavioral Deficits, Gliosis, and Amyloid-Beta Deposition in the 5xFAD Mouse Model of Alzheimer’s Disease. Brain Sci. 2021, 11, 1423. [Google Scholar] [CrossRef] [PubMed]
- Binyamin, O.; Nitzan, K.; Frid, K.; Ungar, Y.; Rosenmann, H.; Gabizon, R. Brain targeting of 9c,11t-Conjugated Linoleic Acid, a natural calpain inhibitor, preserves memory and reduces Abeta and P25 accumulation in 5XFAD mice. Sci. Rep. 2019, 9, 18437. [Google Scholar] [CrossRef] [PubMed]
- Li, G.X.; Morales-Rivera, C.A.; Gao, F.; Wang, Y.; He, G.; Liu, P.; Chen, G. A unified photoredox-catalysis strategy for C(sp(3))-H hydroxylation and amidation using hypervalent iodine. Chem. Sci. 2017, 8, 7180–7185. [Google Scholar] [CrossRef]
- Wong, M.K.; Chung, N.W.; He, L.; Yang, D. Substituent effects on regioselective intramolecular oxidation of unactivated C-H bonds: Stereoselective synthesis of substituted tetrahydropyrans. J. Am. Chem. Soc. 2003, 125, 158–162. [Google Scholar] [CrossRef]
- Hu, H.; Faraldos, J.A.; Coates, R.M. Scope and mechanism of intramolecular aziridination of cyclopent-3-enyl-methylamines to 1-azatricyclo[2.2.1.0(2,6)]heptanes with lead tetraacetate. J. Am. Chem. Soc. 2009, 131, 11998–12006. [Google Scholar] [CrossRef]
- Khojasteh, S.C.; Oishi, S.; Nelson, S.D. Metabolism and toxicity of menthofuran in rat liver slices and in rats. Chem. Res. Toxicol. 2010, 23, 1824–1832. [Google Scholar] [CrossRef]
- Kiesgen de Richter, R.; Bonato, M.; Follet, M.; Kamenka, J.M. The (+)-and (-)-[2-(1, 3-dithianyl)] myrtanylborane. Solid and stable monoalkylboranes for asymmetric hydroboration. J. Org. Chem. 1990, 55, 2855–2860. [Google Scholar] [CrossRef]
- Lin, G.S.; Duan, W.G.; Yang, L.X.; Huang, M.; Lei, F.H. Synthesis and Antifungal Activity of Novel Myrtenal-Based 4-Methyl-1,2,4-triazole-thioethers. Molecules 2017, 22, 193. [Google Scholar] [CrossRef]
- Sen, S.E.; Roach, S.L. A Convenient Two-Step Procedure for the Synthesis of Substituted Allylic Amines from Allylic Alcohols. Synthesis 1995, 1995, 756–758. [Google Scholar] [CrossRef]
- Zhang, G.; Luo, Z.; Wang, H.; Deng, L.; Ding, C. SO2F2 Promoted Deoxygenhalogenation from Alcohols: A Practical Method for Preparing Halides. ChemistrySelect 2022, 7, e202202853. [Google Scholar] [CrossRef]
- Chen, J.; Yao, J.; Li, X.-X.; Wang, Y.; Song, W.; Cho, K.-B.; Lee, Y.-M.; Nam, W.; Wang, B. Bromoacetic Acid-Promoted Nonheme Manganese-Catalyzed Alkane Hydroxylation Inspired by α-Ketoglutarate-Dependent Oxygenases. ACS Catal. 2022, 12, 6756–6769. [Google Scholar] [CrossRef]
- Jv, X.; Wang, W.; Sun, J.; Ma, L.; Zhao, P.; Liu, J.; Wang, X.; Zhang, X.; Wang, B. Deracemization of Racemic Amine Using ω-Transaminase and a Nickel-Based Nanocatalyst. ACS Catal. 2022, 12, 15600–15608. [Google Scholar] [CrossRef]
- Brown, H.C.; Kim, K.-W.; Srebnik, M.; Bakthan, S. Organoboranes for synthesis. 7. An improved general synthesis of primary amines from alkenes via hydroboration-organoborane chemistry. Tetrahedron 1987, 43, 4071–4078. [Google Scholar] [CrossRef]
- Morera, L.; Roatsch, M.; Fürst, M.C.D.; Hoffmann, I.; Senger, J.; Hau, M.; Franz, H.; Schule, R.; Heinrich, M.R.; Jung, M. 4-Biphenylalanine- and 3-Phenyltyrosine-Derived Hydroxamic Acids as Inhibitors of the JumonjiC-Domain-Containing Histone Demethylase KDM4A. ChemMedChem 2016, 11, 2063–2083. [Google Scholar] [CrossRef] [PubMed]
- Karaj, E.; Dlamini, S.; Koranne, R.; Sindi, S.H.; Perera, L.; Taylor, W.R.; Viranga Tillekeratne, L.M. Pharmacophore optimization of imidazole chalcones to modulate microtubule dynamics. Bioorganic Chem. 2022, 122, 105700. [Google Scholar] [CrossRef] [PubMed]
- Fang, K.; Dong, G.; Li, Y.; He, S.; Wu, Y.; Wu, S.; Wang, W.; Sheng, C. Discovery of Novel Indoleamine 2,3-Dioxygenase 1 (IDO1) and Histone Deacetylase (HDAC) Dual Inhibitors. ACS Med. Chem. Lett. 2018, 9, 312–317. [Google Scholar] [CrossRef]
- Kim, M.A.; Kim, M.J. Isoflavone profiles and antioxidant properties in different parts of soybean sprout. J. Food Sci. 2020, 85, 689–695. [Google Scholar] [CrossRef]
- Huang, D.; Ou, B.; Hampsch-Woodill, M.; Flanagan, J.A.; Prior, R.L. High-throughput assay of oxygen radical absorbance capacity (ORAC) using a multichannel liquid handling system coupled with a microplate fluorescence reader in 96-well format. J. Agric. Food Chem. 2002, 50, 4437–4444. [Google Scholar] [CrossRef]
- Jacobson, M.P.; Pincus, D.L.; Rapp, C.S.; Day, T.J.; Honig, B.; Shaw, D.E.; Friesner, R.A. A hierarchical approach to all-atom protein loop prediction. Proteins 2004, 55, 351–367. [Google Scholar] [CrossRef]
- Jacobson, M.P.; Friesner, R.A.; Xiang, Z.; Honig, B. On the role of the crystal environment in determining protein side-chain conformations. J. Mol. Biol 2002, 320, 597–608. [Google Scholar] [CrossRef] [PubMed]
- Sastry, G.M.; Adzhigirey, M.; Day, T.; Annabhimoju, R.; Sherman, W. Protein and ligand preparation: Parameters, protocols, and influence on virtual screening enrichments. J. Comput. Aided Mol. Des. 2013, 27, 221–234. [Google Scholar] [CrossRef] [PubMed]
- Schrödinger, LLC. Schrödinger Release 2023-1: Maestro; Schrödinger, LLC: New York, NY, USA, 2023. [Google Scholar]
- Schrödinger, LLC. Schrödinger Release 2023-1: Protein Preparation Wizard; Epik; Impact; Schrödinger, LLC: New York, NY, USA, 2021. [Google Scholar]
- Harder, E.; Damm, W.; Maple, J.; Wu, C.; Reboul, M.; Xiang, J.Y.; Wang, L.; Lupyan, D.; Dahlgren, M.K.; Knight, J.L.; et al. OPLS3: A Force Field Providing Broad Coverage of Drug-like Small Molecules and Proteins. J. Chem. Theory Comput. 2016, 12, 281–296. [Google Scholar] [CrossRef] [PubMed]
- Schrödinger, LLC. Schrödinger Release 2023-1: LigPrep; Schrödinger, LLC: New York, NY, USA, 2021. [Google Scholar]
- Farid, R.; Day, T.; Friesner, R.A.; Pearlstein, R.A. New insights about HERG blockade obtained from protein modeling, potential energy mapping, and docking studies. Bioorganic Med. Chem. 2006, 14, 3160–3173. [Google Scholar] [CrossRef]
- Sherman, W.; Day, T.; Jacobson, M.P.; Friesner, R.A.; Farid, R. Novel procedure for modeling ligand/receptor induced fit effects. J. Med. Chem. 2006, 49, 534–553. [Google Scholar] [CrossRef]
- Sherman, W.; Beard, H.S.; Farid, R. Use of an induced fit receptor structure in virtual screening. Chem. Biol. Drug Des. 2006, 67, 83–84. [Google Scholar] [CrossRef]
- Schrödinger, LLC. Schrödinger Release 2023-1: Induced Fit Docking Protocol; Schrödinger, LLC: New York, NY, USA, 2023. [Google Scholar]
- Schrödinger, LLC. Schrödinger, LLC. Schrödinger Release 2023-1: Glide; Schrödinger, LLC: New York, NY, USA, 2021. [Google Scholar]
- Friesner, R.A.; Murphy, R.B.; Repasky, M.P.; Frye, L.L.; Greenwood, J.R.; Halgren, T.A.; Sanschagrin, P.C.; Mainz, D.T. Extra precision glide: Docking and scoring incorporating a model of hydrophobic enclosure for protein-ligand complexes. J. Med. Chem. 2006, 49, 6177–6196. [Google Scholar] [CrossRef]
- Friesner, R.A.; Banks, J.L.; Murphy, R.B.; Halgren, T.A.; Klicic, J.J.; Mainz, D.T.; Repasky, M.P.; Knoll, E.H.; Shelley, M.; Perry, J.K.; et al. Glide: A new approach for rapid, accurate docking and scoring. 1. Method and assessment of docking accuracy. J. Med. Chem. 2004, 47, 1739–1749. [Google Scholar] [CrossRef]
- Halgren, T.A.; Murphy, R.B.; Friesner, R.A.; Beard, H.S.; Frye, L.L.; Pollard, W.T.; Banks, J.L. Glide: A new approach for rapid, accurate docking and scoring. 2. Enrichment factors in database screening. J. Med. Chem. 2004, 47, 1750–1759. [Google Scholar] [CrossRef]
- Oakley, H.; Cole, S.L.; Logan, S.; Maus, E.; Shao, P.; Craft, J.; Guillozet-Bongaarts, A.; Ohno, M.; Disterhoft, J.; Van Eldik, L.; et al. Intraneuronal beta-amyloid aggregates, neurodegeneration, and neuron loss in transgenic mice with five familial Alzheimer’s disease mutations: Potential factors in amyloid plaque formation. J. Neurosci. 2006, 26, 10129–10140. [Google Scholar] [CrossRef]
- Liu, Z.; Pan, J. A practical method for extending the biuret assay to protein determination of corn-based products. Food Chem. 2017, 224, 289–293. [Google Scholar] [CrossRef] [PubMed]
- Aleksandrova, Y.; Chaprov, K.; Podturkina, A.; Ardashov, O.; Yandulova, E.; Volcho, K.; Salakhutdinov, N.; Neganova, M. Monoterpenoid Epoxidiol Ameliorates the Pathological Phenotypes of the Rotenone-Induced Parkinson’s Disease Model by Alleviating Mitochondrial Dysfunction. Int. J. Mol. Sci. 2023, 24, 5842. [Google Scholar] [CrossRef] [PubMed]
- Vorobyov, V.; Deev, A.; Sukhanova, I.; Morozova, O.; Oganesyan, Z.; Chaprov, K.; Buchman, V.L. Loss of the Synuclein Family Members Differentially Affects Baseline- and Apomorphine-Associated EEG Determinants in Single-, Double- and Triple-Knockout Mice. Biomedicines 2022, 10, 3128. [Google Scholar] [CrossRef]
- Lysikova, E.A.; Kuzubova, E.V.; Radchenko, A.I.; Patrakhanov, E.A.; Chaprov, K.D.; Korokin, M.V.; Deykin, A.V.; Gudyrev, O.S.; Pokrovskii, M.V. [APPswe/PS1dE9/Blg Transgenic Mouse Line for Modeling Cerebral Amyloid Angiopathy Associated with Alzheimer’s Disease]. Mol. Biol. 2023, 57, 85–94. [Google Scholar] [CrossRef]











| Compound | HDAC6-Inhibitory Effect | Compound | HDAC6-Inhibitory Effect |
|---|---|---|---|
| 5 | >100 | 30 | 0.56 ± 0.01 |
| (-)-19 | >100 | 31 | 0.74 ± 0.02 |
| 10 | >100 | 35a | 3.85 ± 0.24 |
| 16 | 87.38 ± 2.33 | 35c | 6.90 ± 0.43 |
| (+)-19 | >100 | 35b | 8.23 ± 0.40 |
| 8 | >100 | 38b | 4.78 ± 0.04 |
| (+)-13 | >100 | 38a | 7.74 ± 0.11 |
| (-)-13 | >100 |
| Compound | H-Bonds | Other Interactions |
|---|---|---|
| Trichostatin A | HIS610 | Pi-Pi: HIE500 |
| 31 | SER568 HIS610 TYR782 | --- |
| 30 | SER568 GLY619 TYR782 | --- |
| 35a | HIE500 SER568 TYR782 | Pi-Pi: PHE620 HIE651 |
| 38b | SER568 | Pi-Pi: PHE680 |
| 38a | GLY619 | Pi-Pi: PHE680 |
| 35b | HIE500 SER568 TYR782 | Pi-Pi: HIE500 PHE680 |
| 35c | SER568 GLY619 | Pi-Pi: PHE620 HIE651 PHE680 |
| 38c | TYR782 | --- |
| Compound | IC50 | Compound | IC50 |
|---|---|---|---|
| 5 | >100 | 30 | >100 |
| (-)-19 | >100 | 31 | 89.36 ± 3.92 |
| 10 | >100 | 35a | 89.23 ± 2.09 |
| 16 | >100 | 35c | 86.67 ± 1.45 |
| (+)-19 | >100 | 38c | 90.45 ± 2.90 |
| 8 | >100 | 35b | >100 |
| (+)-13 | >100 | 38b | >100 |
| (-)-13 | >100 | 38a | >100 |
| ID | * | logPo/w | logS | PCaco | logBB | PMDCK | #M | %HOA | RO5 | RO3 |
|---|---|---|---|---|---|---|---|---|---|---|
| 30 | 0 | 1.454 | −2.742 | 107.287 | −1.829 | 134.863 | 7 | 71.801 | 0 | 1 |
| 35a | 0 | 2.665 | −4.918 | 209.505 | −1.809 | 91.336 | 5 | 84.092 | 0 | 0 |
| 31 | 0 | 1.773 | −3.192 | 72.881 | −2.137 | 96.298 | 7 | 70.664 | 0 | 1 |
| 38c | 1 | 2.11 | −4.166 | 120.574 | −1.793 | 50.268 | 0 | 76.551 | 0 | 0 |
| 35c | 1 | 2.477 | −4.663 | 218.955 | −1.642 | 95.797 | 0 | 83.336 | 0 | 0 |
| 35b | 0 | 2.633 | −4.905 | 210.157 | −1.836 | 91.643 | 2 | 83.934 | 0 | 0 |
| 38b | 0 | 2.61 | −4.872 | 198.621 | −1.853 | 86.218 | 2 | 83.356 | 0 | 0 |
| 38a | 0 | 2.642 | −4.934 | 198.46 | −1.846 | 86.143 | 5 | 83.542 | 0 | 0 |
Disclaimer/Publisher’s Note: The statements, opinions and data contained in all publications are solely those of the individual author(s) and contributor(s) and not of MDPI and/or the editor(s). MDPI and/or the editor(s) disclaim responsibility for any injury to people or property resulting from any ideas, methods, instructions or products referred to in the content. |
© 2023 by the authors. Licensee MDPI, Basel, Switzerland. This article is an open access article distributed under the terms and conditions of the Creative Commons Attribution (CC BY) license (https://creativecommons.org/licenses/by/4.0/).
Share and Cite
Aleksandrova, Y.; Munkuev, A.; Mozhaitsev, E.; Suslov, E.; Tsypyshev, D.; Chaprov, K.; Begunov, R.; Volcho, K.; Salakhutdinov, N.; Neganova, M. Elaboration of the Effective Multi-Target Therapeutic Platform for the Treatment of Alzheimer’s Disease Based on Novel Monoterpene-Derived Hydroxamic Acids. Int. J. Mol. Sci. 2023, 24, 9743. https://doi.org/10.3390/ijms24119743
Aleksandrova Y, Munkuev A, Mozhaitsev E, Suslov E, Tsypyshev D, Chaprov K, Begunov R, Volcho K, Salakhutdinov N, Neganova M. Elaboration of the Effective Multi-Target Therapeutic Platform for the Treatment of Alzheimer’s Disease Based on Novel Monoterpene-Derived Hydroxamic Acids. International Journal of Molecular Sciences. 2023; 24(11):9743. https://doi.org/10.3390/ijms24119743
Chicago/Turabian StyleAleksandrova, Yulia, Aldar Munkuev, Evgenii Mozhaitsev, Evgenii Suslov, Dmitry Tsypyshev, Kirill Chaprov, Roman Begunov, Konstantin Volcho, Nariman Salakhutdinov, and Margarita Neganova. 2023. "Elaboration of the Effective Multi-Target Therapeutic Platform for the Treatment of Alzheimer’s Disease Based on Novel Monoterpene-Derived Hydroxamic Acids" International Journal of Molecular Sciences 24, no. 11: 9743. https://doi.org/10.3390/ijms24119743
APA StyleAleksandrova, Y., Munkuev, A., Mozhaitsev, E., Suslov, E., Tsypyshev, D., Chaprov, K., Begunov, R., Volcho, K., Salakhutdinov, N., & Neganova, M. (2023). Elaboration of the Effective Multi-Target Therapeutic Platform for the Treatment of Alzheimer’s Disease Based on Novel Monoterpene-Derived Hydroxamic Acids. International Journal of Molecular Sciences, 24(11), 9743. https://doi.org/10.3390/ijms24119743

