A New Human Platelet Lysate for Mesenchymal Stem Cell Production Compliant with Good Manufacturing Practice Conditions
Abstract
:1. Introduction
2. Results and Discussions
2.1. HPL Production and Analysis
2.1.1. Biochemical Analysis
- (1)
- The HPL-S was more limpid, and no debris was present.
- (2)
- No heparin was added to avoid the coagulation of the medium through the clumping of the fibrinogen in the HPL.
- (3)
- No filtration was needed for the culture media, and therefore no additional manipulation occurred under GMP conditions.
2.1.2. Growth Factor Analysis
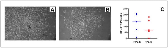
2.2. Sample Collection and Colony-Forming Unit Fibloblastoids
2.3. Cellular Growth
2.4. Immunophenoipic Analysis
2.5. Differentiation Capacity
2.6. Stem Cell Marker Expression
3. Materials and Methods
3.1. HPL Production and Analysis
3.1.1. HPL Production
3.1.2. Biochemical Analysis
3.1.3. Growth Factor Analysis
3.2. Sample Collection and Cell Cultures
3.3. Colony-Forming Unit Fibloblasts
3.4. Count and Cell Viability
3.5. Immunophenotype Analysis
3.6. Differentiation Induction
3.6.1. Osteoblastic Differentiation
3.6.2. Adipogenic Differentiation
3.6.3. Chondrogenic Differentiation
3.7. Rna Extraction, Reverse Transcription and Real-Time PCR
- –
- 5 μL of Taqman fast advanced mastermix (4444556, Thermo Fisher Scientific, Waltham, MA, USA),
- –
- 0.5 μL of Taqman Gene ex assays (4453320, Thermo Fisher Scientific, Waltham, MA, USA),
- –
- 4.5 μL of cDNA,
3.8. Statistical Analysis
4. Conclusions
Author Contributions
Funding
Institutional Review Board Statement
Informed Consent Statement
Data Availability Statement
Acknowledgments
Conflicts of Interest
References
- Trohatou, O.; Roubelakis, M.G. Mesenchymal Stem/Stromal Cells in Regenerative Medicine: Past, Present, and Future. Cell Reprogram. 2017, 19, 217–224. [Google Scholar] [CrossRef] [PubMed]
- Koç, O.N.; Day, J.; Nieder, M.; Gerson, S.L.; Lazarus, H.M.; Krivit, W. Allogeneic Mesenchymal Stem Cell Infusion for Treatment of Metachromatic Leukodystrophy (MLD) and Hurler Syndrome (MPS-IH). Bone Marrow Transplant. 2002, 30, 215–222. [Google Scholar] [CrossRef] [PubMed] [Green Version]
- Le Blanc, K.; Rasmusson, I.; Sundberg, B.; Götherström, C.; Hassan, M.; Uzunel, M.; Ringdén, O. Treatment of Severe Acute Graft-versus-Host Disease with Third Party Haploidentical Mesenchymal Stem Cells. Lancet 2004, 363, 1439–1441. [Google Scholar] [CrossRef]
- Vizoso, F.J.; Eiro, N.; Cid, S.; Schneider, J.; Perez-Fernandez, R. Mesenchymal Stem Cell Secretome: Toward Cell-Free Therapeutic Strategies in Regenerative Medicine. Int. J. Mol. Sci. 2017, 18, 1852. [Google Scholar] [CrossRef] [PubMed] [Green Version]
- Minguell, J.J.; Erices, A.; Conget, P. Mesenchymal Stem Cells. Exp. Biol. Med. 2001, 226, 507–520. [Google Scholar] [CrossRef] [PubMed]
- Mareschi, K.; Rustichelli, D.; Calabrese, R.; Gunetti, M.; Sanavio, F.; Castiglia, S.; Risso, A.; Ferrero, I.; Tarella, C.; Fagioli, F. Multipotent Mesenchymal Stromal Stem Cell Expansion by Plating Whole Bone Marrow at a Low Cellular Density: A More Advantageous Method for Clinical Use. Stem Cells Int. 2012, 2012, 920581. [Google Scholar] [CrossRef] [PubMed]
- Dominici, M.; Le Blanc, K.; Mueller, I.; Slaper-Cortenbach, I.; Marini, F.; Krause, D.; Deans, R.; Keating, A.; Prockop, D.; Horwitz, E. Minimal Criteria for Defining Multipotent Mesenchymal Stromal Cells. The International Society for Cellular Therapy Position Statement. Cytotherapy 2006, 8, 315–317. [Google Scholar] [CrossRef] [PubMed]
- Chang, Y.-H.; Wu, K.-C.; Harn, H.-J.; Lin, S.-Z.; Ding, D.-C. Exosomes and Stem Cells in Degenerative Disease Diagnosis and Therapy. Cell Transplant. 2018, 27, 349–363. [Google Scholar] [CrossRef] [PubMed] [Green Version]
- Pascucci, L.; Coccè, V.; Bonomi, A.; Ami, D.; Ceccarelli, P.; Ciusani, E.; Viganò, L.; Locatelli, A.; Sisto, F.; Doglia, S.M.; et al. Paclitaxel Is Incorporated by Mesenchymal Stromal Cells and Released in Exosomes That Inhibit in Vitro Tumor Growth: A New Approach for Drug Delivery. J. Control Release 2014, 192, 262–270. [Google Scholar] [CrossRef] [PubMed]
- DAUE, R. EudraLex-Volume 4-Good Manufacturing Practice (GMP) Guidelines. Available online: https://ec.europa.eu/health/documents/eudralex/vol-4_en (accessed on 13 July 2021).
- Commission Directive 2003/94/EC of 8 October 2003 Laying Down the Principles and Guidelines of Good Manufacturing Practice in Respect of Medicinal Products for Human Use and Investigational Medicinal Products for Human Use (Text with EEA Relevance). 2003, Vol. OJ L. Available online: https://eur-lex.europa.eu/legal-content/EN/TXT/PDF/?uri=CELEX:32003L0094&from=EN (accessed on 14 July 2021).
- Attuazione Della Direttiva 2001/83/CE (e Successive Direttive Di Modifica) Relativa Ad Un Codice Comunitario Concernente i Medicinali per Uso Umano, Nonche’ Della Direttiva 2003/94/CE. Available online: https://www.camera.it/parlam/leggi/deleghe/06219dl.htm (accessed on 14 July 2021).
- Regulation (EC) No 1394/2007 of European Parliament and of the Council of 13 November 2013. Available online: https://eur-lex.europa.eu/legal-content/EN/LSU/?uri=CELEX:32007R1394 (accessed on 14 July 2021).
- Castiglia, S.; Mareschi, K.; Labanca, L.; Lucania, G.; Leone, M.; Sanavio, F.; Castello, L.; Rustichelli, D.; Signorino, E.; Gunetti, M.; et al. Inactivated Human Platelet Lysate with Psoralen: A New Perspective for Mesenchymal Stromal Cell Production in Good Manufacturing Practice Conditions. Cytotherapy 2014, 16, 750–763. [Google Scholar] [CrossRef] [PubMed]
- Mareschi, K.; Castiglia, S.; Adamini, A.; Rustichelli, D.; Marini, E.; Niclot, A.G.S.B.; Bergallo, M.; Labanca, L.; Ferrero, I.; Fagioli, F. Inactivated Platelet Lysate Supports the Proliferation and Immunomodulant Characteristics of Mesenchymal Stromal Cells in GMP Culture Conditions. Biomedicines 2020, 8, 220. [Google Scholar] [CrossRef] [PubMed]
- Burnouf, T.; Strunk, D.; Koh, M.B.C.; Schallmoser, K. Human Platelet Lysate: Replacing Fetal Bovine Serum as a Gold Standard for Human Cell Propagation? Biomaterials 2016, 76, 371–387. [Google Scholar] [CrossRef] [PubMed]
- Mohamed, H.E.; Asker, M.E.; Kotb, N.S.; El Habab, A.M. Human Platelet Lysate Efficiency, Stability, and Optimal Heparin Concentration Required in Culture of Mammalian Cells. Blood Res. 2020, 55, 35–43. [Google Scholar] [CrossRef] [PubMed]
- Torre, M.L.; Lucarelli, E.; Guidi, S.; Ferrari, M.; Alessandri, G.; De Girolamo, L.; Pessina, A.; Ferrero, I.; Gruppo Italiano Staminali Mesenchimali (GISM). Ex Vivo Expanded Mesenchymal Stromal Cell Minimal Quality Requirements for Clinical Application. Stem Cells Dev. 2015, 24, 677–685. [Google Scholar] [CrossRef] [PubMed] [Green Version]
- Grau-Vorster, M.; Laitinen, A.; Nystedt, J.; Vives, J. HLA-DR Expression in Clinical-Grade Bone Marrow-Derived Multipotent Mesenchymal Stromal Cells: A Two-Site Study. Stem Cell Res. Ther. 2019, 10, 164. [Google Scholar] [CrossRef] [PubMed] [Green Version]
- Bowles, A.C.; Kouroupis, D.; Willman, M.A.; Perucca Orfei, C.; Agarwal, A.; Correa, D. Signature Quality Attributes of CD146+ Mesenchymal Stem/Stromal Cells Correlate with High Therapeutic and Secretory Potency. Stem Cells 2020, 38, 1034–1049. [Google Scholar] [CrossRef] [PubMed]
- Schallmoser, K.; Henschler, R.; Gabriel, C.; Koh, M.B.C.; Burnouf, T. Production and Quality Requirements of Human Platelet Lysate: A Position Statement from the Working Party on Cellular Therapies of the International Society of Blood Transfusion. Trends Biotechnol. 2020, 38, 13–23. [Google Scholar] [CrossRef]
- Guess, A.J.; Daneault, B.; Wang, R.; Bradbury, H.; La Perle, K.M.D.; Fitch, J.; Hedrick, S.L.; Hamelberg, E.; Astbury, C.; White, P.; et al. Safety Profile of Good Manufacturing Practice Manufactured Interferon γ-Primed Mesenchymal Stem/Stromal Cells for Clinical Trials. Stem Cells Transl. Med. 2017, 6, 1868–1879. [Google Scholar] [CrossRef]
- Bari, E.; Perteghella, S.; Catenacci, L.; Sorlini, M.; Croce, S.; Mantelli, M.; Avanzini, M.A.; Sorrenti, M.; Torre, M.L. Freeze-Dried and GMP-Compliant Pharmaceuticals Containing Exosomes for Acellular Mesenchymal Stromal Cell Immunomodulant Therapy. Nanomedicine 2019, 14, 753–765. [Google Scholar] [CrossRef] [PubMed]
- Mareschi, K.; Banche Niclot, A.G.S.; Marini, E.; Bari, E.; Labanca, L.; Lucania, G.; Ferrero, I.; Perteghella, S.; Fagioli, F. A New Human Platelet Lysate for Mesenchymal Stem Cell Production Compliant with Good Manufacturing Practice Conditions Preserve Chemical Characteristics and Biological Activity of Lyo-Secretome Isolated by Ultrafiltration. Int. J. Mol. Sci. 2022. submitted manuscript. [Google Scholar]








| ID BM-MSC | Age | Sex |
|---|---|---|
| BM-MSC-01 | 20 | Male |
| BM-MSC-02 | 23 | Male |
| BM-MSC-03 | 48 | Male |
| BM-MSC-04 | 22 | Male |
| BM-MSC-05 | 40 | Male |
| HPL-E_p2 | HPL-S_p2 | HPL-E_p3 | HPL-S_p3 | HPL-E_p4 | HPL-S_p4 | HPL-E_p5 | HPL-S_p5 | |
|---|---|---|---|---|---|---|---|---|
| Mean | 3.66 | 1.84 | 6.1 | 5.35 | 8.49 | 6.89 | 8.59 | 10.27 |
| Std. Error of Mean | 1.08 | 1.68 | 1.38 | 1.87 | 1.53 | 0.67 | 2.48 | 0.90 |
Publisher’s Note: MDPI stays neutral with regard to jurisdictional claims in published maps and institutional affiliations. |
© 2022 by the authors. Licensee MDPI, Basel, Switzerland. This article is an open access article distributed under the terms and conditions of the Creative Commons Attribution (CC BY) license (https://creativecommons.org/licenses/by/4.0/).
Share and Cite
Mareschi, K.; Marini, E.; Niclot, A.G.S.B.; Barone, M.; Pinnetta, G.; Adamini, A.; Spadea, M.; Labanca, L.; Lucania, G.; Ferrero, I.; et al. A New Human Platelet Lysate for Mesenchymal Stem Cell Production Compliant with Good Manufacturing Practice Conditions. Int. J. Mol. Sci. 2022, 23, 3234. https://doi.org/10.3390/ijms23063234
Mareschi K, Marini E, Niclot AGSB, Barone M, Pinnetta G, Adamini A, Spadea M, Labanca L, Lucania G, Ferrero I, et al. A New Human Platelet Lysate for Mesenchymal Stem Cell Production Compliant with Good Manufacturing Practice Conditions. International Journal of Molecular Sciences. 2022; 23(6):3234. https://doi.org/10.3390/ijms23063234
Chicago/Turabian StyleMareschi, Katia, Elena Marini, Alessia Giovanna Santa Banche Niclot, Marta Barone, Giuseppe Pinnetta, Aloe Adamini, Manuela Spadea, Luciana Labanca, Graziella Lucania, Ivana Ferrero, and et al. 2022. "A New Human Platelet Lysate for Mesenchymal Stem Cell Production Compliant with Good Manufacturing Practice Conditions" International Journal of Molecular Sciences 23, no. 6: 3234. https://doi.org/10.3390/ijms23063234
APA StyleMareschi, K., Marini, E., Niclot, A. G. S. B., Barone, M., Pinnetta, G., Adamini, A., Spadea, M., Labanca, L., Lucania, G., Ferrero, I., & Fagioli, F. (2022). A New Human Platelet Lysate for Mesenchymal Stem Cell Production Compliant with Good Manufacturing Practice Conditions. International Journal of Molecular Sciences, 23(6), 3234. https://doi.org/10.3390/ijms23063234

