Identification of Novel Artemisinin Hybrids Induce Apoptosis and Ferroptosis in MCF-7 Cells
Abstract
:1. Introduction
2. Results and Discussion
2.1. Chemistry
2.2. In Vitro Anti-Cancer Activity Evaluation
2.3. Cell Colony Formation Assay
2.4. A8 Induces Apoptosis in MCF-7 Cell Lines
2.4.1. Analysis of Apoptosis by Annexin V-FITC/PI and TUNEL Staining
2.4.2. Analysis of Mitochondrial Membrane Potential (MMP) by JC-1 Staining
2.4.3. Analysis of the Expression of Related Proteins by Western Blotting
2.5. A8 Induces Ferroptosis in MCF-7 Cells
2.5.1. A8 Induces ROS Generation and Accumulation
2.5.2. A8 Induces the Downregulation of GSH Expression and Lipid Peroxide Accumulation
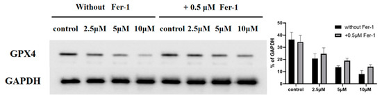
2.5.3. A8 Induces the Downregulation of GPX4 Expression
2.6. CYPs Inhibition Assay
3. Materials and Methods
3.1. Chemistry
3.2. Pharmacology
3.2.1. Cell Cytotoxicity Assay
3.2.2. Cell Colony Formation Assay
3.2.3. Annexin V/PI Staining Assay
3.2.4. TUNEL Staining
3.2.5. JC-1 Mitochondrial Membrane Potential Assay
3.2.6. Intracellular ROS Generation
3.2.7. Lipid Peroxidation and GSH Level Detection
3.2.8. Western Blotting Assay
3.2.9. CYPs Inhibition Assay
3.2.10. Statistical Analysis
4. Conclusions
Supplementary Materials
Author Contributions
Funding
Institutional Review Board Statement
Informed Consent Statement
Data Availability Statement
Acknowledgments
Conflicts of Interest
References
- Vogelstein, B.; Kinzler, K.W. Cancer genes and the pathways they control. Nat. Med. 2004, 10, 789–799. [Google Scholar] [CrossRef] [PubMed]
- Lechner, M.; Liu, J.; Masterson, L.; Fenton, T.R. HPV-associated oropharyngeal cancer: Epidemiology, molecular biology and clinical management. Nat. Rev. Clin. Oncol. 2022, 19, 306–327. [Google Scholar] [CrossRef]
- Siegel, R.L.; Miller, K.D.; Fuchs, H.E.; Jemal, A. Cancer statistics, 2021. CA Cancer J. Clin. 2021, 71, 7–33. [Google Scholar] [CrossRef] [PubMed]
- Najmi, A.; Javed, S.A.; Al Bratty, M.; Alhazmi, H.A. Modern approaches in the discovery and development of plant-based natural products and their analogues as potential therapeutic agents. Molecules 2022, 27, 349. [Google Scholar] [CrossRef] [PubMed]
- Hetzler, B.E.; Trauner, D.; Lawrence, A.L. Natural product anticipation through synthesis. Nat. Rev. Chem. 2022, 6, 170–181. [Google Scholar] [CrossRef]
- Carroll, A.R.; Copp, B.R.; Davis, R.A.; Keyzers, R.A.; Prinsep, M.R. Marine natural products. Nat. Prod. Rep. 2022, 39, 1122–1171. [Google Scholar] [CrossRef]
- Ali, S.; Alam, M.; Khatoon, F.; Fatima, U.; Elasbali, A.M.; Adnan, M.; Islam, A.; Hassan, M.I.; Snoussi, M.; De Feo, V. Natural products can be used in therapeutic management of COVID-19: Probable mechanistic insights. Biomed. Pharmacother. 2022, 147, 112658. [Google Scholar] [CrossRef]
- Kiani, B.H.; Kayani, W.K.; Khayam, A.U.; Dilshad, E.; Ismail, H.; Mirza, B. Artemisinin and its derivatives: A promising cancer therapy. Mol. Biol. Rep. 2020, 47, 6321–6336. [Google Scholar] [CrossRef]
- Moses, B.S.; McCullough, S.; Fox, J.M.; Mott, B.T.; Bentzen, S.M.; Kim, M.; Tyner, J.W.; Lapidus, R.G.; Emadi, A.; Rudek, M.A.; et al. Antileukemic efficacy of a potent artemisinin combined with sorafenib and venetoclax. Blood Adv. 2021, 5, 711–724. [Google Scholar] [CrossRef]
- Hu, Y.Y.; Guo, N.; Yang, T.; Yan, J.H.; Wang, W.J.; Li, X. The potential mechanisms by which artemisinin and its derivatives induce ferroptosis in the treatment of cancer. Oxid. Med. Cell. Longev. 2022, 2022, 1458143. [Google Scholar] [CrossRef]
- Xu, C.C.; Xiao, L.F.; Zhang, X.; Zhuang, T.; Mu, L.L.; Yang, X.P. Synthesis and biological activities of novel mitochondria-targeted artemisinin ester derivatives. Bioorg. Med. Chem. Lett. 2021, 39, 127912. [Google Scholar] [CrossRef]
- Lin, L.; Lu, W.Y.; Dai, T.Z.; Chen, H.; Wang, T.; Yang, L.; Yang, X.L.; Liu, Y.; Sun, D.Q. Novel artemisinin derivatives with potent anticancer activities and the anti-colorectal cancer effect by the mitochondria-mediated pathway. Bioorg. Chem. 2021, 106, 104496. [Google Scholar] [CrossRef]
- Hu, Y.P.; Wang, Y.J.; Li, N.; Chen, L.; Sun, J.B. Discovery of novel dihydroartemisinin-cinnamic hybrids inducing lung cancer cells apoptosis via inhibition of Akt/Bad signal pathway. Bioorg. Chem. 2021, 111, 104903. [Google Scholar] [CrossRef]
- Zhou, Y.; Li, X.G.; Chen, K.R.; Ba, Q.; Zhang, X.; Li, J.Q.; Wang, J.F.; Wang, H.; Liu, H. Structural optimization and biological evaluation for novel artemisinin derivatives against liver and ovarian cancers. Eur. J. Med. Chem. 2021, 211, 113000. [Google Scholar] [CrossRef]
- Wei, M.X.; Yu, J.Y.; Liu, X.X.; Li, X.Q.; Zhang, M.W.; Yang, P.W.; Yang, J.H. Synthesis of artemisinin-piperazine-furan ether hybrids and evaluation of in vitro cytotoxic activity. Eur. J. Med. Chem. 2021, 215, 113295. [Google Scholar] [CrossRef]
- Zou, X.S.; Liu, C.; Li, C.C.; Fu, R.; Xu, W.; Bian, H.Z.; Dong, X.; Zhao, X.Z.; Xu, Z.Y.; Zhang, J.H.; et al. Study on the structure-activity relationship of dihydroartemisinin derivatives: Discovery, synthesis, and biological evaluation of dihydroartemisinin-bile acid conjugates as potential anticancer agents. Eur. J. Med. Chem. 2021, 225, 113754. [Google Scholar] [CrossRef]
- Shaveta; Mishra, S.; Singh, P. Hybrid molecules: The privileged scaffolds for various pharmaceuticals. Eur. J. Med. Chem. 2016, 124, 500–536. [Google Scholar] [CrossRef]
- Wu, Y.T.; Williams, J.; Calder, E.D.D.; Walport, L.J. Strategies to expand peptide functionality through hybridisation with a small molecule component. RSC Chem. Biol. 2021, 2, 151–165. [Google Scholar] [CrossRef]
- Chen, Y.; Zhao, T.Y.; Luo, C. Emerging small molecule-engineered hybrid nanomedicines for cancer therapy. Chem. Eng. J. 2022, 435, 135160. [Google Scholar] [CrossRef]
- Wang, Z.X.; Wang, Y.F.; Qi, W.; Su, R.X.; He, Z.M. Design, self-assembly and application of DNA-peptide hybrid molecules. Prog. Chem. 2020, 32, 687–697. [Google Scholar]
- Hassan, A.; Khan, A.H.; Saleem, F.; Ahmad, H.; Khan, K.M. A patent review of pharmaceutical and therapeutic applications of oxadiazole derivatives for the treatment of chronic diseases (2013–2021). Expert Opin. Ther. Pat. 2022, 32, 969–1001. [Google Scholar] [CrossRef] [PubMed]
- Ruan, B.F.; Guo, Q.L.; Li, Q.S.; Li, L.Z.; Deora, G.S.; Zhou, B.G. A review of the biological activities of heterocyclic compounds comprising oxadiazole moieties. Curr. Top. Med. Chem. 2022, 22, 578–599. [Google Scholar] [CrossRef] [PubMed]
- Desai, N.; Monapara, J.; Jethawa, A.; Khedkar, V.; Shingate, B. Oxadiazole: A highly versatile scaffold in drug discovery. Arch. Pharm. 2022, 355, e2200123. [Google Scholar] [CrossRef] [PubMed]
- Nayak, S.; Gaonkar, S.L.; Musad, E.A.; Al Dawsar, A.M. 1,3,4-Oxadiazole-containing hybrids as potential anticancer agents: Recent developments, mechanism of action and structure-activity relationships. J. Saudi Chem. Soc. 2021, 25, 101284. [Google Scholar] [CrossRef]
- Wang, J.J.; Sun, W.; Jia, W.D.; Bian, M.; Yu, L.J. Research progress on the synthesis and pharmacology of 1,3,4-oxadiazole and 1,2,4-oxadiazole derivatives: A mini review. J. Enzyme Inhib. Med. Chem. 2022, 37, 2304–2319. [Google Scholar] [CrossRef]
- Yang, S.J.; Lee, S.H.; Kwak, H.J.; Gong, Y.D. Regioselective synthesis of 2-amino-substituted 1,3,4-oxadiazole and 1,3,4-thiadiazole derivatives via reagent-based cyclization of thiosemicarbazide intermediate. J. Org. Chem. 2013, 78, 438–444. [Google Scholar] [CrossRef]
- Tang, D.L.; Chen, X.; Kang, R.; Kroemer, G. Ferroptosis: Molecular mechanisms and health implications. Cell Res. 2021, 31, 107–125. [Google Scholar] [CrossRef]
- Jiang, X.J.; Stockwell, B.R.; Conrad, M. Ferroptosis: Mechanisms, biology and role in disease. Nat. Rev. Mol. Cell Biol. 2021, 22, 266–282. [Google Scholar] [CrossRef]
- Gunjan, S.; Sharma, T.; Yadav, K.; Chauhan, B.S.; Singh, S.K.; Siddiqi, M.I.; Tripathi, R. Artemisinin Derivatives and Synthetic Trioxane Trigger Apoptotic Cell Death in Asexual Stages of Plasmodium. Front. Cell. Infect. Microbiol. 2018, 8, 256. [Google Scholar] [CrossRef]









| Com. | R | X | A549 | MCF-7 | HCT116 | SK-OV-3 | MDA-MB-231 |
|---|---|---|---|---|---|---|---|
| A1 | 4-OCF3 | C | >30 | 5.20 ± 1.38 | >30 | >30 | >30 |
| A2 | 4-CH3 | C | >30 | 4.26 ± 0.17 | 14.85 ± 1.77 | >30 | 4.89 ± 1.58 |
| A3 | 2-OEt | C | >30 | 6.82 ± 0.25 | >30 | >30 | >30 |
| A4 | 2,6-di-F | C | >30 | >30 | >30 | >30 | >30 |
| A5 | 4-CF3 | C | >30 | >30 | >30 | >30 | >30 |
| A6 | 4-Cl | C | >30 | >30 | >30 | >30 | >30 |
| A7 | 2,5-di-Br | C | >30 | >30 | >30 | >30 | >30 |
| A8 | 2,4-di-F | C | 7.7 ± 0.36 | 4.07 ± 0.05 | 9.71 ± 0.37 | 7.15 ± 0.95 | 5.27 ± 0.02 |
| A9 | 2-F | C | >30 | 8.89 ± 0.39 | >30 | >30 | >30 |
| A10 | 4-t-Bu | C | >30 | 11.14 ± 1.28 | >30 | >30 | >30 |
| A11 | 4-Br | C | >30 | >30 | >30 | >30 | >30 |
| A12 | H | N | >30 | 6.49 ± 0.79 | >30 | 6.22 ± 0.72 | >30 |
| A13 | 3,5-di-CH3 | C | >30 | 9.72 ± 0.11 | >30 | >30 | >30 |
| A14 | 4-OCH3 | C | >30 | 6.86 ± 0.73 | >30 | >30 | 19.36 ± 0.91 |
| A15 | 2,4-di-CH3 | C | >30 | >30 | >30 | >30 | >30 |
| ART | / | / | 27.25 ± 0.67 | >30 | >30 | >30 | >30 |
| 5FU b | / | / | >30 | 26.14 ± 0.87 | 18.38 ± 1.14 | >30 | 27.67 ± 1.23 |
| Isozyme | CYP1A2 | CYP2C9 | CYP2C19 | CYP2D6 | CYP3A4 |
|---|---|---|---|---|---|
| Inhibition at 10 μM (%) | 57.1 | 6.4 | 12.3 | 0.1 | 55.8 |
Publisher’s Note: MDPI stays neutral with regard to jurisdictional claims in published maps and institutional affiliations. |
© 2022 by the authors. Licensee MDPI, Basel, Switzerland. This article is an open access article distributed under the terms and conditions of the Creative Commons Attribution (CC BY) license (https://creativecommons.org/licenses/by/4.0/).
Share and Cite
Zhong, Y.; Li, Z.-N.; Jiang, X.-Y.; Tian, X.; Deng, M.-H.; Cheng, M.-S.; Yang, H.-L.; Liu, Y. Identification of Novel Artemisinin Hybrids Induce Apoptosis and Ferroptosis in MCF-7 Cells. Int. J. Mol. Sci. 2022, 23, 15768. https://doi.org/10.3390/ijms232415768
Zhong Y, Li Z-N, Jiang X-Y, Tian X, Deng M-H, Cheng M-S, Yang H-L, Liu Y. Identification of Novel Artemisinin Hybrids Induce Apoptosis and Ferroptosis in MCF-7 Cells. International Journal of Molecular Sciences. 2022; 23(24):15768. https://doi.org/10.3390/ijms232415768
Chicago/Turabian StyleZhong, Ye, Zhi-Ning Li, Xin-Yue Jiang, Xing Tian, Ming-Hui Deng, Mao-Sheng Cheng, Hua-Li Yang, and Yang Liu. 2022. "Identification of Novel Artemisinin Hybrids Induce Apoptosis and Ferroptosis in MCF-7 Cells" International Journal of Molecular Sciences 23, no. 24: 15768. https://doi.org/10.3390/ijms232415768
APA StyleZhong, Y., Li, Z.-N., Jiang, X.-Y., Tian, X., Deng, M.-H., Cheng, M.-S., Yang, H.-L., & Liu, Y. (2022). Identification of Novel Artemisinin Hybrids Induce Apoptosis and Ferroptosis in MCF-7 Cells. International Journal of Molecular Sciences, 23(24), 15768. https://doi.org/10.3390/ijms232415768

