Deglycosylation Increases the Aggregation and Angiogenic Properties of Mutant Tissue Inhibitor of Metalloproteinase 3 Protein: Implications for Sorsby Fundus Dystrophy
Abstract
1. Introduction
2. Results
2.1. Increase in the Multimerized TIMP3 and Glycosylated Monomeric TIMP3 in the ECM of ECs Expressing SFD-Associated TIMP3 Mutations
2.2. Increase in Aggregated TIMP3 in the ECM and CM of ECs Expressing SFD TIMP3 Protein with N184Q Mutation at the Glycosylation Site
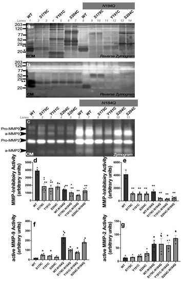
2.3. Reduced MMP Inhibitory Activity in the ECM and CM of Cells Expressing SFD TIMP3 Protein
2.4. Decrease in MMP Inhibitory Activity in the ECM and CM of ECs Expressing SFD TIMP3 Protein with N184Q Mutation at the Glycosylation Site
2.5. N184Q Mutation in the TIMP3 Gene Results in Increased Secreted MMP 2 and MMP9 Activity in ECs
2.6. SFD-Associated TIMP3 Mutations Induce An Upregulation of VEGFR-2 in ECs That is Modulated by the Glycosylation of TIMP3
2.7. SFD-Associated TIMP3 Mutations Result in Enhanced VEGFR2 Autophosphorylation in Response to VEGF That Is Modulated by the Glycosylation of Mutant TIMP3
2.8. SFD-Associated TIMP3 Mutations Result in Increased VEGF-Stimulated Migration of ECs That Is Modulated by Glycosylation of TIMP3
3. Discussion
4. Materials and Methods
4.1. Materials
4.2. Construction of TIMP3 Mutants and Cellular Transfection
4.3. Preparation of ECM and Conditioned Media
4.4. Immunoblotting
4.5. Zymography and Reverse Zymography
4.6. Migration Assay
4.7. Statistical Analysis
Author Contributions
Funding
Institutional Review Board Statement
Informed Consent Statement
Data Availability Statement
Acknowledgments
Conflicts of Interest
References
- Sorsby, A.; Joll Mason, M.E. A fundus dystrophy with unusual features. Br. J. Ophthalmol. 1949, 33, 67–97. [Google Scholar] [CrossRef] [PubMed]
- Raming, K.; Gliem, M.; Charbel Issa, P.; Birtel, J.; Herrmann, P.; Holz, F.G.; Pfau, M.; Hess, K. Visual Dysfunction and Structural Correlates in Sorsby Fundus Dystrophy. Am. J. Ophthalmol. 2022, 234, 274–284. [Google Scholar] [CrossRef] [PubMed]
- Spanò, D.P.; Scilabra, S.D. Tissue Inhibitor of Metalloproteases 3 (TIMP-3): In Vivo Analysis Underpins Its Role as a Master Regulator of Ectodomain Shedding. Membranes 2022, 12, 211. [Google Scholar] [CrossRef]
- Tsokolas, G. Sorsby fundus dystrophy (SFD): A narrative review. Medicine 2022, 101, e30595. [Google Scholar] [CrossRef] [PubMed]
- Anand-Apte, B.; Chao, J.R.; Singh, R.; Stohr, H. Sorsby fundus dystrophy: Insights from the past and looking to the future. J. Neurosci. Res. 2019, 97, 88–97. [Google Scholar] [CrossRef]
- Barbazetto, I.A.; Hayashi, M.; Klais, C.M.; Yannuzzi, L.A.; Allikmets, R. A novel TIMP3 mutation associated with Sorsby fundus dystrophy. Arch. Ophthalmol. 2005, 123, 542–543. [Google Scholar] [CrossRef] [PubMed]
- Felbor, U.; Schilling, H.; Weber, B.H. Adult vitelliform macular dystrophy is frequently associated with mutations in the peripherin/RDS gene. Hum. Mutat. 1997, 10, 301–309. [Google Scholar] [CrossRef]
- Felbor, U.; Stohr, H.; Amann, T.; Schonherr, U.; Apfelstedt-Sylla, E.; Weber, B.H. A second independent Tyr168Cys mutation in the tissue inhibitor of metalloproteinases-3 (TIMP3) in Sorsby’s fundus dystrophy. J. Med. Genet. 1996, 33, 233–236. [Google Scholar] [CrossRef]
- Felbor, U.; Stohr, H.; Amann, T.; Schonherr, U.; Weber, B.H. A novel Ser156Cys mutation in the tissue inhibitor of metalloproteinases-3 (TIMP3) in Sorsby’s fundus dystrophy with unusual clinical features. Hum. Mol. Genet. 1995, 4, 2415–2416. [Google Scholar] [CrossRef]
- Gliem, M.; Muller, P.L.; Mangold, E.; Holz, F.G.; Bolz, H.J.; Stohr, H.; Weber, B.H.; Charbel Issa, P. Sorsby Fundus Dystrophy: Novel Mutations, Novel Phenotypic Characteristics, and Treatment Outcomes. Investig. Ophthalmol. Vis. Sci. 2015, 56, 2664–2676. [Google Scholar] [CrossRef]
- Jacobson, S.G.; Cideciyan, A.V.; Bennett, J.; Kingsley, R.M.; Sheffield, V.C.; Stone, E.M. Novel mutation in the TIMP3 gene causes Sorsby fundus dystrophy. Arch. Ophthalmol. 2002, 120, 376–379. [Google Scholar] [CrossRef] [PubMed]
- Langton, K.P.; McKie, N.; Curtis, A.; Goodship, J.A.; Bond, P.M.; Barker, M.D.; Clarke, M. A novel tissue inhibitor of metalloproteinases-3 mutation reveals a common molecular phenotype in Sorsby’s fundus dystrophy. J. Biol. Chem. 2000, 275, 27027–27031. [Google Scholar] [CrossRef]
- Li, Z.; Clarke, M.P.; Barker, M.D.; McKie, N. TIMP3 mutation in Sorsby’s fundus dystrophy: Molecular insights. Expert Rev. Mol. Med. 2005, 7, 1–15. [Google Scholar] [CrossRef] [PubMed]
- Riera, M.; Navarro, R.; Ruiz-Nogales, S.; Mendez, P.; Bures-Jelstrup, A.; Corcostegui, B.; Pomares, E. Whole exome sequencing using Ion Proton system enables reliable genetic diagnosis of inherited retinal dystrophies. Sci. Rep. 2017, 7, 42078. [Google Scholar] [CrossRef]
- Saihan, Z.; Li, Z.; Rice, J.; Rana, N.A.; Ramsden, S.; Schlottmann, P.G.; Jenkins, S.A.; Blyth, C.; Black, G.C.; McKie, N.; et al. Clinical and biochemical effects of the E139K missense mutation in the TIMP3 gene, associated with Sorsby fundus dystrophy. Mol. Vis. 2009, 15, 1218–1230. [Google Scholar] [PubMed]
- Schoenberger, S.D.; Agarwal, A. A novel mutation at the N-terminal domain of the TIMP3 gene in Sorsby fundus dystrophy. Retina 2013, 33, 429–435. [Google Scholar] [CrossRef]
- Tabata, Y.; Isashiki, Y.; Kamimura, K.; Nakao, K.; Ohba, N. A novel splice site mutation in the tissue inhibitor of the metalloproteinases-3 gene in Sorsby’s fundus dystrophy with unusual clinical features. Hum. Genet. 1998, 103, 179–182. [Google Scholar]
- Weber, B.H.; Vogt, G.; Pruett, R.C.; Stohr, H.; Felbor, U. Mutations in the tissue inhibitor of metalloproteinase-3 (TIMP-3) in patients with Sorsby’s fundus dystrophy. Nat. Genet. 1994, 8, 352–356. [Google Scholar] [CrossRef]
- Atan, D.; Gregory Evans, C.Y.; Louis, D.; Downes, S.M. Sorsby fundus dystrophy presenting with choroidal neovascularisation showing good response to steroid treatment. Br. J. Ophthalmol. 2004, 88, 440–441. [Google Scholar] [CrossRef]
- Christensen, D.R.G.; Brown, F.E.; Cree, A.J.; Ratnayaka, J.A.; Lotery, A.J. Sorsby fundus dystrophy—A review of pathology and disease mechanisms. Exp. Eye Res. 2017, 165, 35–46. [Google Scholar] [CrossRef]
- Felbor, U.; Suvanto, E.A.; Forsius, H.R.; Eriksson, A.W.; Weber, B.H. Autosomal recessive Sorsby fundus dystrophy revisited: Molecular evidence for dominant inheritance. Am. J. Hum. Genet. 1997, 60, 57–62. [Google Scholar]
- Hamilton, W.K.; Ewing, C.C.; Ives, E.J.; Carruthers, J.D. Sorsby’s fundus dystrophy. Ophthalmology 1989, 96, 1755–1762. [Google Scholar] [CrossRef]
- Hoskin, A.; Sehmi, K.; Bird, A.C. Sorsby’s pseudoinflammatory macular dystrophy. Br. J. Ophthalmol. 1981, 65, 859–865. [Google Scholar] [CrossRef] [PubMed]
- Sivaprasad, S.; Webster, A.R.; Egan, C.A.; Bird, A.C.; Tufail, A. Clinical course and treatment outcomes of Sorsby fundus dystrophy. Am. J. Ophthalmol. 2008, 146, 228–234. [Google Scholar] [CrossRef] [PubMed]
- Fogarasi, M.; Janssen, A.; Weber, B.H.; Stohr, H. Molecular dissection of TIMP3 mutation S156C associated with Sorsby fundus dystrophy. Matrix Biol. 2008, 27, 381–392. [Google Scholar] [CrossRef]
- Fariss, R.N.; Apte, S.S.; Luthert, P.J.; Bird, A.C.; Milam, A.H. Accumulation of tissue inhibitor of metalloproteinases-3 in human eyes with Sorsby’s fundus dystrophy or retinitis pigmentosa. Br. J. Ophthalmol. 1998, 82, 1329–1334. [Google Scholar] [CrossRef]
- Kamei, M.; Apte, S.S.; Rayborn, M.E.; Lewis, H.; Hollyfield, J.G. TIMP-3 accumulation in drusen and Bruch’s membrane in eyes from donors with age-related macular degeneration. In Degenerative Diseases of the Retina; Luvail, M.M., Anderson, R.E., Hollyfield, J.G., Eds.; Plenum Press: New York, NY, USA, 1997; pp. 11–15. [Google Scholar]
- Kamei, M.; Hollyfield, J. TIMP-3 in Bruch’s membrane: Changes during aging and in age-related macular degeneration. Invest. Ophthalmol. Vis. Sci. 1999, 40, 2367–2375. [Google Scholar]
- Qi, J.H.; Ebrahem, Q.; Yeow, K.; Edwards, D.R.; Fox, P.L.; Anand-Apte, B. Expression of Sorsby’s fundus dystrophy mutations in human retinal pigment Epithelial cells reduces matrix metalloproteinase inhibition and may promote angiogenesis. J. Biol. Chem. 2002, 30, 30. [Google Scholar] [CrossRef]
- Della, N.G.; Campochiaro, P.A.; Zack, D.J. Localization of TIMP-3 mRNA expression to the retinal pigment epithelium. Investig. Ophthalmol. Vis. Sci. 1996, 37, 1921–1924. [Google Scholar]
- Fariss, R.N.; Apte, S.S.; Olsen, B.R.; Iwata, K.; Milam, A.H. Tissue inhibitor of metalloproteinases-3 is a component of Bruch’s membrane of the eye. Am. J. Pathol. 1997, 150, 323–328. [Google Scholar]
- Troeberg, L.; Lazenbatt, C.; Anower, E.K.M.F.; Freeman, C.; Federov, O.; Habuchi, H.; Habuchi, O.; Kimata, K.; Nagase, H. Sulfated glycosaminoglycans control the extracellular trafficking and the activity of the metalloprotease inhibitor TIMP-3. Chem. Biol. 2014, 21, 1300–1309. [Google Scholar] [CrossRef] [PubMed]
- Yu, W.H.; Yu, S.; Meng, Q.; Brew, K.; Woessner, J.F., Jr. TIMP-3 binds to sulfated glycosaminoglycans of the extracellular matrix. J. Biol. Chem. 2000, 275, 31226–31232. [Google Scholar] [CrossRef]
- Apte, S.S.; Olsen, B.; Murphy, G. The gene structure of tissue inhibitor of metalloproteinases (TIMP)-3 and its inhibitory activities define the distinct TIMP gene family. J. Biol. Chem. 1995, 270, 14313–14318. [Google Scholar] [CrossRef] [PubMed]
- Pavloff, N.; Staskus, P.W.; Kishnani, N.S.; Hawkes, S.P. A new inhibitor of metalloproteinases from chicken: ChIMP-3. A third member of the TIMP family. J. Biol. Chem. 1992, 267, 17321–17326. [Google Scholar] [CrossRef]
- Anand-Apte, B.; Bao, L.; Smith, R.; Iwata, K.; Olsen, B.; Zetter, B.; Apte, S. A Review of Tissue Inhibitor of Metalloproteinases-3 (TIMP-3) and Experimentsl Analysis of its Effect on Primary Tumor Growth. Biochem. Cell. Biol. 1996, 74, 853–862. [Google Scholar] [CrossRef]
- Anand-Apte, B.; Pepper, M.S.; Voest, E.; Montesano, R.; Olsen, B.; Murphy, G.; Apte, S.S.; Zetter, B. Inhibition of Angiogenesis by Tissue Inhibitor of Metalloproteinase-3. Investig. Ophthal. Vis. Sci. 1997, 38, 817–823. [Google Scholar]
- Qi, J.H.; Ebrahem, Q.; Moore, N.; Murphy, G.; Claesson-Welsh, L.; Bond, M.; Baker, A.; Anand-Apte, B. A novel function for tissue inhibitor of metalloproteinases-3 (TIMP3): Inhibition of angiogenesis by blockage of VEGF binding to VEGF receptor-2. Nat. Med. 2003, 9, 407–415. [Google Scholar] [CrossRef]
- Qi, J.H.; Dai, G.; Luthert, P.; Chaurasia, S.; Hollyfield, J.; Weber, B.H.; Stohr, H.; Anand-Apte, B. S156C mutation in tissue inhibitor of metalloproteinases-3 induces increased angiogenesis. J. Biol. Chem. 2009, 284, 19927–19936. [Google Scholar] [CrossRef]
- Qi, J.H.; Bell, B.; Singh, R.; Batoki, J.; Wolk, A.; Cutler, A.; Prayson, N.; Ali, M.; Stoehr, H.; Anand-Apte, B. Sorsby Fundus Dystrophy Mutation in Tissue Inhibitor of Metalloproteinase 3 (TIMP3) promotes Choroidal Neovascularization via a Fibroblast Growth Factor-dependent Mechanism. Sci. Rep. 2019, 9, 17429. [Google Scholar] [CrossRef]
- Apte, S.S.; Mattei, M.-G.; Olsen, B.R. Cloning of the cDNA encoding human tissue inhibitor of metalloproteinase-3 (TIMP-3) and mapping of the TIMP-3 gene to chromosome 22. Genomics 1994, 19, 86–90. [Google Scholar] [CrossRef]
- Reily, C.; Stewart, T.J.; Renfrow, M.B.; Novak, J. Glycosylation in health and disease. Nat. Rev. Nephrol. 2019, 15, 346–366. [Google Scholar] [CrossRef]
- Boon, L.; Ugarte-Berzal, E.; Vandooren, J.; Opdenakker, G. Glycosylation of matrix metalloproteases and tissue inhibitors: Present state, challenges and opportunities. Biochem. J. 2016, 473, 1471–1482. [Google Scholar] [CrossRef]
- Steentoft, C.; Vakhrushev, S.Y.; Joshi, H.J.; Kong, Y.; Vester-Christensen, M.B.; Schjoldager, K.T.; Lavrsen, K.; Dabelsteen, S.; Pedersen, N.B.; Marcos-Silva, L.; et al. Precision mapping of the human O-GalNAc glycoproteome through SimpleCell technology. Embo J. 2013, 32, 1478–1488. [Google Scholar] [CrossRef]
- Hongisto, H.; Dewing, J.M.; Christensen, D.R.; Scott, J.; Cree, A.J.; Nättinen, J.; Määttä, J.; Jylhä, A.; Aapola, U.; Uusitalo, H.; et al. In vitro stem cell modelling demonstrates a proof-of-concept for excess functional mutant TIMP3 as the cause of Sorsby fundus dystrophy. J. Pathol. 2020, 252, 138–150. [Google Scholar] [CrossRef]
- Manian, K.V.; Galloway, C.A.; Dalvi, S.; Emanuel, A.A.; Mereness, J.A.; Black, W.; Winschel, L.; Soto, C.; Li, Y.; Song, Y.; et al. 3D iPSC modeling of the retinal pigment epithelium-choriocapillaris complex identifies factors involved in the pathology of macular degeneration. Cell Stem Cell 2021, 28, 846–862. [Google Scholar] [CrossRef]
- Qi, J.H.; Anand-Apte, B. Tissue inhibitor of metalloproteinase-3 (TIMP3) promotes endothelial apoptosis via a caspase-independent mechanism. Apoptosis 2015, 20, 523–534. [Google Scholar] [CrossRef]
- Suzuki, T.; Kitajima, K.; Inoue, S.; Inoue, Y. Occurrence and biological roles of ‘proximal glycanases’ in animal cells. Glycobiology 1994, 4, 777–789. [Google Scholar] [CrossRef]
- Suzuki, T.; Kitajima, K.; Inoue, S.; Inoue, Y. N-glycosylation/deglycosylation as a mechanism for the post-translational modification/remodification of proteins. Glycoconj. J. 1995, 12, 183–193. [Google Scholar] [CrossRef]
- Zhong, C.; Li, P.; Argade, S.; Liu, L.; Chilla, A.; Liang, W.; Xin, H.; Eliceiri, B.; Choudhury, B.; Ferrara, N. Inhibition of protein glycosylation is a novel pro-angiogenic strategy that acts via activation of stress pathways. Nat. Commun. 2020, 11, 6330. [Google Scholar] [CrossRef]
- Bousseau, S.; Vergori, L.; Soleti, R.; Lenaers, G.; Martinez, M.C.; Andriantsitohaina, R. Glycosylation as new pharmacological strategies for diseases associated with excessive angiogenesis. Pharmacol. Ther. 2018, 191, 92–122. [Google Scholar] [CrossRef]
- Capon, M.R.; Marshall, J.; Krafft, J.I.; Alexander, R.A.; Hiscott, P.S.; Bird, A.C. Sorsby’s fundus dystrophy. A light and electron microscopic study. Ophthalmology 1989, 96, 1769–1777. [Google Scholar] [CrossRef]
- Fan, D.; Kassiri, Z. Biology of Tissue Inhibitor of Metalloproteinase 3 (TIMP3), and Its Therapeutic Implications in Cardiovascular Pathology. Front. Physiol. 2020, 11, 661. [Google Scholar] [CrossRef]
- Chintalgattu, V.; Greenberg, J.; Singh, S.; Chiueh, V.; Gilbert, A.; O’Neill, J.W.; Smith, S.; Jackson, S.; Khakoo, A.Y.; Lee, T. Utility of Glycosylated TIMP3 molecules: Inhibition of MMPs and TACE to improve cardiac function in rat myocardial infarct model. Pharmacol. Res. Perspect. 2018, 6, e00442. [Google Scholar] [CrossRef]
- Cantrelle, F.X.; Loyens, A.; Trivelli, X.; Reimann, O.; Despres, C.; Gandhi, N.S.; Hackenberger, C.P.R.; Landrieu, I.; Smet-Nocca, C. Phosphorylation and O-GlcNAcylation of the PHF-1 Epitope of Tau Protein Induce Local Conformational Changes of the C-Terminus and Modulate Tau Self-Assembly Into Fibrillar Aggregates. Front. Mol. Neurosci 2021, 14, 661368. [Google Scholar] [CrossRef]
- Singh, Y.; Regmi, D.; Ormaza, D.; Ayyalasomayajula, R.; Vela, N.; Mundim, G.; Du, D.; Minond, D.; Cudic, M. Mucin-Type O-Glycosylation Proximal to β-Secretase Cleavage Site Affects APP Processing and Aggregation Fate. Front. Chem. 2022, 10, 859822. [Google Scholar] [CrossRef]
- Yi, C.W.; Wang, L.Q.; Huang, J.J.; Pan, K.; Chen, J.; Liang, Y. Glycosylation Significantly Inhibits the Aggregation of Human Prion Protein and Decreases Its Cytotoxicity. Sci. Rep. 2018, 8, 12603. [Google Scholar] [CrossRef]





Publisher’s Note: MDPI stays neutral with regard to jurisdictional claims in published maps and institutional affiliations. |
© 2022 by the authors. Licensee MDPI, Basel, Switzerland. This article is an open access article distributed under the terms and conditions of the Creative Commons Attribution (CC BY) license (https://creativecommons.org/licenses/by/4.0/).
Share and Cite
Qi, J.H.; Anand-Apte, B. Deglycosylation Increases the Aggregation and Angiogenic Properties of Mutant Tissue Inhibitor of Metalloproteinase 3 Protein: Implications for Sorsby Fundus Dystrophy. Int. J. Mol. Sci. 2022, 23, 14231. https://doi.org/10.3390/ijms232214231
Qi JH, Anand-Apte B. Deglycosylation Increases the Aggregation and Angiogenic Properties of Mutant Tissue Inhibitor of Metalloproteinase 3 Protein: Implications for Sorsby Fundus Dystrophy. International Journal of Molecular Sciences. 2022; 23(22):14231. https://doi.org/10.3390/ijms232214231
Chicago/Turabian StyleQi, Jian Hua, and Bela Anand-Apte. 2022. "Deglycosylation Increases the Aggregation and Angiogenic Properties of Mutant Tissue Inhibitor of Metalloproteinase 3 Protein: Implications for Sorsby Fundus Dystrophy" International Journal of Molecular Sciences 23, no. 22: 14231. https://doi.org/10.3390/ijms232214231
APA StyleQi, J. H., & Anand-Apte, B. (2022). Deglycosylation Increases the Aggregation and Angiogenic Properties of Mutant Tissue Inhibitor of Metalloproteinase 3 Protein: Implications for Sorsby Fundus Dystrophy. International Journal of Molecular Sciences, 23(22), 14231. https://doi.org/10.3390/ijms232214231

