Exploring the Therapeutic Potential of Ectoine in Duchenne Muscular Dystrophy: Comparison with Taurine, a Supplement with Known Beneficial Effects in the mdx Mouse
Abstract
:1. Introduction
2. Results
2.1. Low Dose Treatment of Taurine and Ectoine Protects against Cell Death in CCL-136 Cells Exposed to Cytokines
2.2. Osmolyte Treatment Does Not Diminish Gene Expression of Inflammatory Disease Biomarkers in CCL-136 Cells
2.3. 100 mM Taurine Alleviates MHC-I Protein Expression in Cytokine Exposed CCL-136 Cells
2.4. Ectoine-Treated Mice Exhibit Reduced Body Weight
2.5. Ectoine Treatment Attenuates Histopathological Features in the mdx Mouse
2.6. Osmolyte Treatment Did Not Improve Functional Performance of mdx Mice
2.7. Osmolyte-Treated Mice Exhibit Reduced Expression of Inflammatory Myopathy Markers
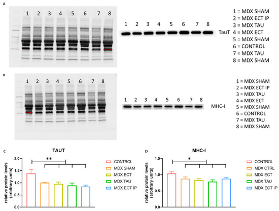
2.8. Osmolyte Treatment Did Not Alter Protein Levels of TauT or MHC-I
3. Discussion
4. Materials and Methods
4.1. Cell Culture
4.2. Animals and Drug Regimens
4.3. Four Limb Hanging Wire Test
4.4. Open Field Test
4.5. Histology
4.6. Immunofluorescence Staining
4.7. Cell Death Assessment
4.8. RNA Isolation
4.9. Reverse Transcriptase Quantitative Polymerase Chain Reaction
4.10. Protein Extraction
4.11. Western Blot
4.12. Statistics
Supplementary Materials
Author Contributions
Funding
Institutional Review Board Statement
Informed Consent Statement
Data Availability Statement
Acknowledgments
Conflicts of Interest
References
- Hoffman, E.P. The discovery of dystrophin, the protein product of the Duchenne muscular dystrophy gene. FEBS J. 2020, 287, 3879–3887. [Google Scholar] [CrossRef] [PubMed]
- Salari, N.; Fatahi, B.; Valipour, E.; Kazeminia, M.; Fatahian, R.; Kiaei, A.; Mohammadi, M. Global prevalence of Duchenne and Becker muscular dystrophy: A systematic review and meta-analysis. J. Orthop. Surg. Res. 2022, 17, 96. [Google Scholar] [CrossRef] [PubMed]
- De Paepe, B.; De Bleecker, J.L. Cytokines and chemokines as regulators of skeletal muscle inflammation: Presenting the case of Duchenne muscular dystrophy. Mediat. Inflamm. 2013, 2013, 540370. [Google Scholar] [CrossRef] [PubMed] [Green Version]
- Duan, D.; Goemans, N.; Takeda, S.I.; Mercuri, E.; Aartsma-Rus, A. Duchenne muscular dystrophy. Nat. Rev. Dis. Primers 2021, 7, 13. [Google Scholar] [CrossRef]
- Kieny, P.; Chollet, S.; Delalande, P.; Le Fort, M.; Magot, A.; Pereon, Y.; Verbe, B.P. Evolution of life expectancy of patients with Duchenne muscular dystrophy at AFM Yolaine de Kepper centre between 1981 and 2011. Ann. Phys. Rehabil. Med. 2013, 56, 443–454. [Google Scholar] [CrossRef]
- Landfeldt, E.; Thompson, R.; Sejersen, T.; McMillan, H.J.; Kirschner, J.; Lochmüller, H. Life expectancy at birth in Duchenne muscular dystrophy: A systematic review and meta-analysis. Eur. J. Epidemiol. 2020, 35, 643–653. [Google Scholar] [CrossRef] [Green Version]
- Gloss, D.; Moxley, R.T.; Ashwal, S.; Oskoui, M. Practice guideline update summary: Corticosteroid treatment of Duchenne muscular dystrophy: Report of the Guideline Development Subcommittee of the American Academy of Neurology. Neurology 2016, 86, 465–472. [Google Scholar] [CrossRef] [Green Version]
- Kourakis, S.; Timpani, C.A.; Campelj, D.G.; Hafner, P.; Gueven, N.; Fischer, D.; Rybalka, E. Standard of care versus new-wave corticosteroids in the treatment of Duchenne muscular dystrophy: Can we do better? Orphanet J. Rare Dis. 2021, 16, 117. [Google Scholar] [CrossRef]
- Terrill, J.R.; Pinniger, G.J.; Graves, J.A.; Grounds, M.D.; Arthur, P.G. Increasing taurine intake and taurine synthesis improves skeletal muscle function in the mdx mouse model for Duchenne muscular dystrophy. J. Physiol. 2016, 594, 3095–3110. [Google Scholar] [CrossRef] [Green Version]
- Merckx, C.; De Paepe, B. The Role of Taurine in Skeletal Muscle Functioning and Its Potential as a Supportive Treatment for Duchenne Muscular Dystrophy. Metabolites 2022, 12, 193. [Google Scholar] [CrossRef]
- Merckx, C.; Cosemans, G.; Zschüntzsch, J.; Raedt, R.; Schmidt, J.; De Paepe, B.; De Bleecker, J.L. Description of Osmolyte Pathways in Maturing Mdx Mice Reveals Altered Levels of Taurine and Sodium/Myo-Inositol Co-Transporters. Int. J. Mol. Sci. 2022, 23, 3251. [Google Scholar] [CrossRef] [PubMed]
- Capogrosso, R.F.; Cozzoli, A.; Mantuano, P.; Camerino, G.M.; Massari, A.M.; Sblendorio, V.T.; De Luca, A. Assessment of resveratrol, apocynin and taurine on mechanical-metabolic uncoupling and oxidative stress in a mouse model of duchenne muscular dystrophy: A comparison with the gold standard, α-methyl prednisolone. Pharmacol. Res. 2016, 106, 101–113. [Google Scholar] [CrossRef]
- Terrill, J.R.; Grounds, M.D.; Arthur, P.G. Increased taurine in pre-weaned juvenile mdx mice greatly reduces the acute onset of myofibre necrosis and dystropathology and prevents inflammation. PLoS Curr. 2016, 8. [Google Scholar] [CrossRef] [PubMed]
- Terrill, J.R.; Webb, S.M.; Arthur, P.G.; Hackett, M.J. Investigation of the effect of taurine supplementation on muscle taurine content in the mdx mouse model of Duchenne muscular dystrophy using chemically specific synchrotron imaging. Analyst 2020, 145, 7242–7251. [Google Scholar] [CrossRef] [PubMed]
- Ahmad, F.; Sharma, N.K.; Hadley, M. Taurine in Congestive Heart Failure. Int. J. Clin. Cardiol. 2021, 8, 246. [Google Scholar]
- Terrill, J.R.; Pinniger, G.J.; Nair, K.V.; Grounds, M.D.; Arthur, P.G. Beneficial effects of high dose taurine treatment in juvenile dystrophic mdx mice are offset by growth restriction. PLoS ONE 2017, 12, e0187317. [Google Scholar] [CrossRef]
- Horvath, D.M.; Murphy, R.M.; Mollica, J.P.; Hayes, A.; Goodman, C.A. The effect of taurine and β-alanine supplementation on taurine transporter protein and fatigue resistance in skeletal muscle from mdx mice. Amino Acids 2016, 48, 2635–2645. [Google Scholar] [CrossRef]
- Baliou, S.; Kyriakopoulos, A.M.; Goulielmaki, M.; Panayiotidis, M.I.; Spandidos, D.A.; Zoumpourlis, V. Significance of taurine transporter (TauT) in homeostasis and its layers of regulation. Mol. Med. Rep. 2020, 22, 2163–2173. [Google Scholar] [CrossRef]
- Tappaz, M.L. Taurine biosynthetic enzymes and taurine transporter: Molecular identification and regulations. Neurochem. Res. 2004, 29, 83–96. [Google Scholar] [CrossRef]
- Bethlehem, L.; van Echten-Deckert, G. Ectoines as novel anti-inflammatory and tissue protective lead compounds with special focus on inflammatory bowel disease and lung inflammation. Pharmacol. Res. 2021, 164, 105389. [Google Scholar] [CrossRef]
- Abdel-Aziz, H.; Wadie, W.; Abdallah, D.M.; Lentzen, G.; Khayyal, M.T. Novel effects of ectoine, a bacteria-derived natural tetrahydropyrimidine, in experimental colitis. Phytomedicine 2013, 20, 585–591. [Google Scholar] [CrossRef] [PubMed]
- Castro-Ochoa, K.F.; Vargas-Robles, H.; Chánez-Paredes, S.; Felipe-López, A.; Cabrera-Silva, R.I.; Shibayama, M.; Schnoor, M. Homoectoine protects against colitis by preventing a claudin switch in epithelial tight junctions. Dig. Dis. Sci. 2019, 64, 409–420. [Google Scholar] [CrossRef] [PubMed]
- Unfried, K.; Krämer, U.; Sydlik, U.; Autengruber, A.; Bilstein, A.; Stolz, S.; Krutmann, J. Reduction of neutrophilic lung inflammation by inhalation of the compatible solute ectoine: A randomized trial with elderly individuals. Int. J. Chronic Obstr. Pulm. Dis. 2016, 11, 2573. [Google Scholar] [CrossRef] [Green Version]
- Kanapathipillai, M.; Lentzen, G.; Sierks, M.; Park, C.B. Ectoine and hydroxyectoine inhibit aggregation and neurotoxicity of Alzheimer’s β-amyloid. FEBS Lett. 2005, 579, 4775–4780. [Google Scholar] [CrossRef] [PubMed] [Green Version]
- Rieckmann, T.; Gatzemeier, F.; Christiansen, S.; Rothkamm, K.; Münscher, A. The inflammation-reducing compatible solute ectoine does not impair the cytotoxic effect of ionizing radiation on head and neck cancer cells. Sci. Rep. 2019, 9, 6594. [Google Scholar] [CrossRef]
- Pastor, J.M.; Salvador, M.; Argandoña, M.; Bernal, V.; Reina-Bueno, M.; Csonka, L.N.; Cánovas, M. Ectoines in cell stress protection: Uses and biotechnological production. Biotechnol. Adv. 2010, 28, 782–801. [Google Scholar] [CrossRef]
- Bownik, A.; Stępniewska, Z. Ectoine as a promising protective agent in humans and animals. Arh. Za Hig. Rada I Toksikol. 2016, 67, 260–264. [Google Scholar] [CrossRef] [Green Version]
- Bilstein, A.; Heinrich, A.; Rybachuk, A.; Mösges, R. Ectoine in the treatment of irritations and inflammations of the eye surface. BioMed Res. Int. 2021, 2021, 8885032. [Google Scholar] [CrossRef]
- Barragán-Ceballos, N.G.; Iglesias-Santos, J.C.; Perea-Ruiz, D.; Guzman-Ambriz, A.M.; Liñan-Rico, A.; Zatarain-Palacios, R.; Dagnino-Acosta, A. A chronic low dosage of taurine induces muscle weakness in castrated-aged mice. Transl. Med. Aging 2021, 5, 54–61. [Google Scholar] [CrossRef]
- Solon, C.S.; Franci, D.; Ignacio-Souza, L.M.; Romanatto, T.; Roman, E.A.; Arruda, A.P.; Velloso, L.A. Taurine enhances the anorexigenic effects of insulin in the hypothalamus of rats. Amino Acids 2012, 42, 2403–2410. [Google Scholar] [CrossRef]
- Mele, A.; Mantuano, P.; De Bellis, M.; Rana, F.; Sanarica, F.; Conte, E.; De Luca, A. A long-term treatment with taurine prevents cardiac dysfunction in mdx mice. Transl. Res. 2019, 204, 82–99. [Google Scholar] [CrossRef] [PubMed]
- Cozzoli, A.; Rolland, J.F.; Capogrosso, R.F.; Sblendorio, V.T.; Longo, V.; Simonetti, S.; De Luca, A. Evaluation of potential synergistic action of a combined treatment with alpha-methyl-prednisolone and taurine on the mdx mouse model of Duchenne muscular dystrophy. Neuropathol. Appl. Neurobiol. 2011, 37, 243–256. [Google Scholar] [CrossRef] [PubMed]
- Grounds, M.D.; Radley, H.G.; Lynch, G.S.; Nagaraju, K.; De Luca, A. Towards developing standard operating procedures for pre-clinical testing in the mdx mouse model of Duchenne muscular dystrophy. Neurobiol. Dis. 2008, 31, 1–19. [Google Scholar] [CrossRef] [PubMed] [Green Version]
- Barker, R.G.; Horvath, D.; van der Poel, C.; Murphy, R.M. Benefits of prenatal taurine supplementation in preventing the onset of acute damage in the Mdx mouse. PLoS Curr. 2017, 9. [Google Scholar] [CrossRef]
- Ogundele, M.; Zhang, J.S.; Goswami, M.V.; Barbieri, M.L.; Dang, U.J.; Novak, J.S.; Hathout, Y. Validation of Chemokine Biomarkers in Duchenne Muscular Dystrophy. Life 2021, 11, 827. [Google Scholar] [CrossRef]
- Zschüntzsch, J.; Zhang, Y.; Klinker, F.; Makosch, G.; Klinge, L.; Malzahn, D.; Schmidt, J. Treatment with human immunoglobulin G improves the early disease course in a mouse model of Duchenne muscular dystrophy. J. Neurochem. 2016, 136, 351–362. [Google Scholar] [CrossRef] [Green Version]
- Porter, J.D.; Khanna, S.; Kaminski, H.J.; Rao, J.S.; Merriam, A.P.; Richmonds, C.R.; Andrade, F.H. A chronic inflammatory response dominates the skeletal muscle molecular signature in dystrophin-deficient mdx mice. Hum. Mol. Genet. 2002, 11, 263–272. [Google Scholar]
- Kramerova, I.; Kumagai-Cresse, C.; Ermolova, N.; Mokhonova, E.; Marinov, M.; Capote, J.; Spencer, M.J. Spp1 (osteopontin) promotes TGFβ processing in fibroblasts of dystrophin-deficient muscles through matrix metalloproteinases. Hum. Mol. Genet. 2019, 28, 3431–3442. [Google Scholar] [CrossRef]
- Goodman, C.A.; Horvath, D.; Stathis, C.; Mori, T.; Croft, K.; Murphy, R.M.; Hayes, A. Taurine supplementation increases skeletal muscle force production and protects muscle function during and after high-frequency in vitro stimulation. J. Appl. Physiol. 2009, 107, 144–154. [Google Scholar] [CrossRef] [Green Version]
- Gattazzo, F.; Laurent, B.; Relaix, F.; Rouard, H.; Didier, N. Distinct phases of postnatal skeletal muscle growth govern the progressive establishment of muscle stem cell quiescence. Stem Cell Rep. 2020, 15, 597–611. [Google Scholar] [CrossRef]
- Pavlath, G.K. Regulation of class I MHC expression in skeletal muscle: Deleterious effect of aberrant expression on myogenesis. J. Neuroimmunol. 2002, 125, 42–50. [Google Scholar] [CrossRef]
- Butchart, L.C.; Terrill, J.R.; Rossetti, G.; White, R.; Filipovska, A.; Grounds, M.D. Expression patterns of regulatory RNAs, including lncRNAs and tRNAs, during postnatal growth of normal and dystrophic (mdx) mouse muscles, and their response to taurine treatment. Int. J. Biochem. Cell Biol. 2018, 99, 52–63. [Google Scholar] [CrossRef] [PubMed]
- Lazzarin, M.C.; Quintana, H.T.; Baptista, V.I.A.; Oliveira, F.D. Lack of dystrophin influences muscle inflammation but not myogenic regulatory factors after eccentric exercise in mdx mice. Mot. Rev. Educ. Física 2020, 26. [Google Scholar] [CrossRef]
- Abdel-Aziz, H.; Wadie, W.; Scherner, O.; Efferth, T.; Khayyal, M.T. Bacteria-derived compatible solutes ectoine and 5α-hydroxyectoine act as intestinal barrier stabilizers to ameliorate experimental inflammatory bowel disease. J. Nat. Prod. 2015, 78, 1309–1315. [Google Scholar] [CrossRef] [PubMed]
- Parra-Vargas, M.; Ramon-Krauel, M.; Lerin, C.; Jimenez-Chillaron, J.C. Size does matter: Litter size strongly determines adult metabolism in rodents. Cell Metab. 2020, 32, 334–340. [Google Scholar] [CrossRef]
- De Paepe, B.; Zschüntzsch, J.; Šokčević, T.; Weis, J.; Schmidt, J.; De Bleecker, J.L. Induction of osmolyte pathways in skeletal muscle inflammation: Novel biomarkers for myositis. Front. Neurol. 2018, 9, 846. [Google Scholar] [CrossRef] [PubMed] [Green Version]







| N | Body Weight (g) ± SEM | Body Length (cm) ± SEM | CK (U/L) ± SEM | ||||||
|---|---|---|---|---|---|---|---|---|---|
| ♂ | ♀ | Total | ♂ | ♀ | ♂ | ♀ | ♂ | ♀ | |
| CTRL | 4 | 3 | 7 | 22.3 ± 0.5 | 20.0 ± 0.0 | 9.6 ± 0.1 | 9.2 ± 0.2 | 2633 ± 523 | 1668 ± 364 |
| MDX SHAM | 4 | 4 | 8 | 22.8 ± 0.9 | 19.8 ± 0.6 | 9.3 ± 0.1 | 8.8 ± 0.1 | 16,000 ± 3230 | 12,136 ± 1765 |
| MDX ECT | 4 | 7 | 11 | 20.5 ± 0.6 | 17.7 ± 0.4 | 9.2 ± 0.1 | 8.7 ± 0.1 | 15,700 ± 5194 | 9263 ± 890 |
| MDX TAU | 7 | 4 | 11 | 23.3 ± 0.6 | 18.3 ± 0.5 | 9.3 ± 0.1 | 8.8 ± 0.1 | 14,313 ± 1690 | 9976 ± 2199 |
| MDX ECT IP | 5 | 4 | 9 | 21.6 ± 0.6 | 17.3 ± 0.9 | 8.8 ± 0.1 | 8.6 ± 0.2 | 19,035 ± 4806 | 9862 ± 2254 |
Publisher’s Note: MDPI stays neutral with regard to jurisdictional claims in published maps and institutional affiliations. |
© 2022 by the authors. Licensee MDPI, Basel, Switzerland. This article is an open access article distributed under the terms and conditions of the Creative Commons Attribution (CC BY) license (https://creativecommons.org/licenses/by/4.0/).
Share and Cite
Merckx, C.; Zschüntzsch, J.; Meyer, S.; Raedt, R.; Verschuere, H.; Schmidt, J.; De Paepe, B.; De Bleecker, J.L. Exploring the Therapeutic Potential of Ectoine in Duchenne Muscular Dystrophy: Comparison with Taurine, a Supplement with Known Beneficial Effects in the mdx Mouse. Int. J. Mol. Sci. 2022, 23, 9567. https://doi.org/10.3390/ijms23179567
Merckx C, Zschüntzsch J, Meyer S, Raedt R, Verschuere H, Schmidt J, De Paepe B, De Bleecker JL. Exploring the Therapeutic Potential of Ectoine in Duchenne Muscular Dystrophy: Comparison with Taurine, a Supplement with Known Beneficial Effects in the mdx Mouse. International Journal of Molecular Sciences. 2022; 23(17):9567. https://doi.org/10.3390/ijms23179567
Chicago/Turabian StyleMerckx, Caroline, Jana Zschüntzsch, Stefanie Meyer, Robrecht Raedt, Hanne Verschuere, Jens Schmidt, Boel De Paepe, and Jan L. De Bleecker. 2022. "Exploring the Therapeutic Potential of Ectoine in Duchenne Muscular Dystrophy: Comparison with Taurine, a Supplement with Known Beneficial Effects in the mdx Mouse" International Journal of Molecular Sciences 23, no. 17: 9567. https://doi.org/10.3390/ijms23179567
APA StyleMerckx, C., Zschüntzsch, J., Meyer, S., Raedt, R., Verschuere, H., Schmidt, J., De Paepe, B., & De Bleecker, J. L. (2022). Exploring the Therapeutic Potential of Ectoine in Duchenne Muscular Dystrophy: Comparison with Taurine, a Supplement with Known Beneficial Effects in the mdx Mouse. International Journal of Molecular Sciences, 23(17), 9567. https://doi.org/10.3390/ijms23179567

