Tyro3 Targeting as a Radiosensitizing Strategy in Bladder Cancer through Cell Cycle Dysregulation
Abstract
1. Introduction
2. Results
2.1. TYRO3 Modulation Influences Radiosensitivity of Bladder Cancer Cell Lines
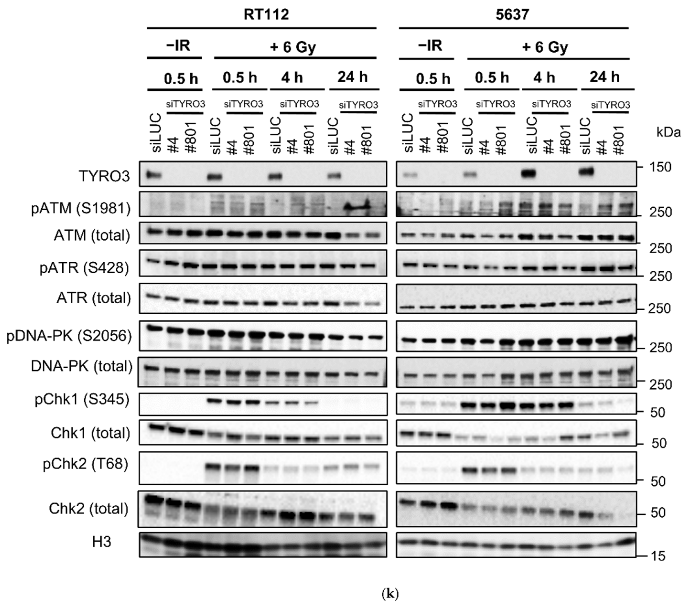
2.2. TYRO3 Modulation Impacts Long-Term Persistence of Ionising Radiation-Induced Foci That Is Not Correlated with an Accumulation of Unrepaired DNA Damage
2.3. Comparative Gene Expression Analysis of RT112 and 5637 Irradiated Cells after TYRO3 Downregulation
2.4. TYRO3 Downregulation Affects Cell Cycle, Causes More Cell Accumulation in G2/M Phase Following Irradiation and Disrupts Mitosis Regulation
3. Discussion
4. Materials and Methods
4.1. Cell Lines
4.2. siRNA Transfection
4.3. Clonogenic Cell Survival or Cell Proliferation Assay Following siRNA Transfection and Irradiation
4.4. Comet Assay
4.5. Immunoprecipitation
4.6. Immunofluorescence Microscopy
4.7. Flow Cytometry
4.8. NanoString nCounter System Processing and Gene Expression Analysis
4.9. Western Blot
4.10. Statistical Analysis
5. Conclusions
Supplementary Materials
Author Contributions
Funding
Informed Consent Statement
Acknowledgments
Conflicts of Interest
References
- Sung, H.; Ferlay, J.; Siegel, R.L.; Laversanne, M.; Soerjomataram, I.; Jemal, A.; Bray, F. Global Cancer Statistics 2020: GLOBOCAN Estimates of Incidence and Mortality Worldwide for 36 Cancers in 185 Countries. CA Cancer J. Clin. 2021, 71, 209–249. [Google Scholar] [CrossRef]
 - Aly, A.; Johnson, C.; Doleh, Y.; Chirikov, V.; Botteman, M.; Shenolikar, R.; Hussain, A. The Real-World Lifetime Economic Burden of Urothelial Carcinoma by Stage at Diagnosis. J. Clin. Pathw. Found. Value-Based Care 2020, 6, 51. [Google Scholar] [CrossRef]
 - Powles, T.; Durán, I.; van der Heijden, M.S.; Loriot, Y.; Vogelzang, N.J.; De Giorgi, U.; Oudard, S.; Retz, M.M.; Castellano, D.; Bamias, A.; et al. Atezolizumab versus Chemotherapy in Patients with Platinum-Treated Locally Advanced or Metastatic Urothelial Carcinoma (IMvigor211): A Multicentre, Open-Label, Phase 3 Randomised Controlled Trial. Lancet 2018, 391, 748–757. [Google Scholar] [CrossRef]
 - Loriot, Y.; Necchi, A.; Park, S.H.; Garcia-Donas, J.; Huddart, R.; Burgess, E.; Fleming, M.; Rezazadeh, A.; Mellado, B.; Varlamov, S.; et al. Erdafitinib in Locally Advanced or Metastatic Urothelial Carcinoma. N. Engl. J. Med. 2019, 381, 338–348. [Google Scholar] [CrossRef]
 - Porter, M.P.; Penson, D.F. Health Related Quality of Life after Radical Cystectomy and Urinary Diversion for Bladder Cancer: A Systematic Review and Critical Analysis of the Literature. J. Urol. 2005, 173, 1318–1322. [Google Scholar] [CrossRef]
 - Ghosh, A.; Somani, B.K. Recent Trends in Postcystectomy Health-Related Quality of Life (QoL) Favors Neobladder Diversion: Systematic Review of the Literature. Urology 2016, 93, 22–26. [Google Scholar] [CrossRef]
 - Leow, J.J.; Bedke, J.; Chamie, K.; Collins, J.W.; Daneshmand, S.; Grivas, P.; Heidenreich, A.; Messing, E.M.; Royce, T.J.; Sankin, A.I.; et al. SIU–ICUD Consultation on Bladder Cancer: Treatment of Muscle-Invasive Bladder Cancer. World J. Urol. 2019, 37, 61–83. [Google Scholar] [CrossRef]
 - Ding, H.; Fan, N.; Ning, Z.; Ma, D. Trimodal Therapy vs. Radical Cystectomy for Muscle-Invasive Bladder Cancer: A Meta-Analysis. Front. Oncol. 2020, 10, 564779. [Google Scholar] [CrossRef] [PubMed]
 - Silina, L.; Maksut, F.; Bernard-Pierrot, I.; Radvanyi, F.; Créhange, G.; Mégnin-Chanet, F.; Verrelle, P. Review of Experimental Studies to Improve Radiotherapy Response in Bladder Cancer: Comments and Perspectives. Cancers 2020, 13, 87. [Google Scholar] [CrossRef]
 - Lemmon, M.A.; Schlessinger, J. Cell Signaling by Receptor Tyrosine Kinases. Cell 2010, 141, 1117–1134. [Google Scholar] [CrossRef]
 - Davra, V.; Kimani, S.; Calianese, D.; Birge, R. Ligand Activation of TAM Family Receptors-Implications for Tumor Biology and Therapeutic Response. Cancers 2016, 8, 107. [Google Scholar] [CrossRef] [PubMed]
 - Smart, S.; Vasileiadi, E.; Wang, X.; DeRyckere, D.; Graham, D. The Emerging Role of TYRO3 as a Therapeutic Target in Cancer. Cancers 2018, 10, 474. [Google Scholar] [CrossRef] [PubMed]
 - Lemke, G. Biology of the TAM Receptors. Cold Spring Harb. Perspect. Biol. 2013, 5, a009076. [Google Scholar] [CrossRef] [PubMed]
 - Akalu, Y.T.; Rothlin, C.V.; Ghosh, S. TAM Receptor Tyrosine Kinases as Emerging Targets of Innate Immune Checkpoint Blockade for Cancer Therapy. Immunol. Rev. 2017, 276, 165–177. [Google Scholar] [CrossRef]
 - Meyn, R.E.; Munshi, A.; Haymach, J.V.; Milas, L.; Ang, K.K. Receptor Signaling as a Regulatory Mechanism of DNA Repair. Radiother. Oncol. 2009, 92, 316–322. [Google Scholar] [CrossRef]
 - Brand, T.M.; Iida, M.; Stein, A.P.; Corrigan, K.L.; Braverman, C.M.; Coan, J.P.; Pearson, H.E.; Bahrar, H.; Fowler, T.L.; Bednarz, B.P.; et al. AXLIs a Logical Molecular Target in Headand Neck Squamous Cell Carcinoma. Clin. Cancer Res. 2015, 21, 2601–2612. [Google Scholar] [CrossRef]
 - Skinner, H.D.; Giri, U.; Yang, L.P.; Kumar, M.; Liu, Y.; Story, M.D.; Pickering, C.R.; Byers, L.A.; Williams, M.D.; Wang, J.; et al. Integrative Analysis Identifies a Novel AXL-PI3 Kinase-PD-L1 Signaling Axis Associated with Radiation Resistance in Head and Neck Cancer. Clin. Cancer Res. 2017, 23, 2713–2722. [Google Scholar] [CrossRef]
 - Scherschinski, L.; Prem, M.; Kremenetskaia, I.; Tinhofer, I.; Vajkoczy, P.; Karbe, A.-G.; Onken, J.S. Regulation of the Receptor Tyrosine Kinase AXL in Response to Therapy and Its Role in Therapy Resistance in Glioblastoma. Int. J. Mol. Sci. 2022, 23, 982. [Google Scholar] [CrossRef]
 - DeRyckere, D.; Lee-Sherick, A.B.; Huey, M.G.; Hill, A.A.; Tyner, J.W.; Jacobsen, K.M.; Page, L.S.; Kirkpatrick, G.G.; Eryildiz, F.; Montgomery, S.A.; et al. UNC2025, a MERTK Small-Molecule Inhibitor, Is Therapeutically Effective Alone and in Combination with Methotrexate in Leukemia Models. Clin. Cancer Res. 2017, 23, 1481–1492. [Google Scholar] [CrossRef]
 - Dufour, F.; Silina, L.; Neyret-Kahn, H.; Moreno-Vega, A.; Krucker, C.; Karboul, N.; Dorland-Galliot, M.; Maillé, P.; Chapeaublanc, E.; Allory, Y.; et al. TYRO3 as a Molecular Target for Growth Inhibition and Apoptosis Induction in Bladder Cancer. Br. J. Cancer 2019, 120, 555–564. [Google Scholar] [CrossRef]
 - Mao, S.; Wu, Y.; Wang, R.; Guo, Y.; Bi, D.; Ma, W.; Zhang, W.; Zhang, J.; Yan, Y.; Yao, X. Overexpression of GAS6 Promotes Cell Proliferation and Invasion in Bladder Cancer by Activation of the PI3K/AKT Pathway. OncoTargets Ther. 2020, 13, 4813–4824. [Google Scholar] [CrossRef] [PubMed]
 - Schmidt-Ullrich, R.K.; Contessa, J.N.; Lammering, G.; Amorino, G.; Lin, P.-S. ERBB Receptor Tyrosine Kinases and Cellular Radiation Responses. Oncogene 2003, 22, 5855–5865. [Google Scholar] [CrossRef] [PubMed][Green Version]
 - Goytain, A.; Ng, T. NanoString NCounter Technology: High-Throughput RNA Validation. In Chimeric RNA.; Li, H., Elfman, J., Eds.; Methods in Molecular Biology; Springer US: New York, NY, USA, 2020; Volume 2079, pp. 125–139. ISBN 978-1-4939-9903-3. [Google Scholar]
 - Lew, E.D.; Oh, J.; Burrola, P.G.; Lax, I.; Zagórska, A.; Través, P.G.; Schlessinger, J.; Lemke, G. Differential TAM Receptor-Ligand-Phospholipid Interactions Delimit Differential TAM Bioactivities. eLife 2014, 3, e03385. [Google Scholar] [CrossRef]
 - Varnum, B.C.; Young, C.; Elliott, G.; Garcia, A.; Bartley, T.D.; Fridell, Y.W.; Hunt, R.W.; Trail, G.; Clogston, C.; Toso, R.J. Axl Receptor Tyrosine Kinase Stimulated by the Vitamin K-Dependent Protein Encoded by Growth-Arrest-Specific Gene 6. Nature 1995, 373, 623–626. [Google Scholar] [CrossRef] [PubMed]
 - Al Kafri, N.; Hafizi, S. Tumour-Secreted Protein s (Pros1) Activates a Tyro3-Erk Signalling Axis and Protects Cancer Cells from Apoptosis. Cancers 2019, 11, 1843. [Google Scholar] [CrossRef] [PubMed]
 - Al Kafri, N.; Hafizi, S. Galectin-3 Stimulates Tyro3 Receptor Tyrosine Kinase and Erk Signalling, Cell Survival and Migration in Human Cancer Cells. Biomolecules 2020, 10, 1035. [Google Scholar] [CrossRef]
 - Caberoy, N.B.; Zhou, Y.; Li, W. Tubby and Tubby-like Protein 1 Are New MerTK Ligands for Phagocytosis. EMBO J. 2010, 29, 3898–3910. [Google Scholar] [CrossRef]
 - Kohoutek, J.; Blazek, D. Cyclin K Goes with Cdk12 and Cdk13. Cell Div. 2012, 7, 12. [Google Scholar] [CrossRef]
 - Bösken, C.A.; Farnung, L.; Hintermair, C.; Merzel Schachter, M.; Vogel-Bachmayr, K.; Blazek, D.; Anand, K.; Fisher, R.P.; Eick, D.; Geyer, M. The Structure and Substrate Specificity of Human Cdk12/Cyclin K. Nat. Commun. 2014, 5, 3505. [Google Scholar] [CrossRef]
 - Muñoz, M.J.; de la Mata, M.; Kornblihtt, A.R. The Carboxy Terminal Domain of RNA Polymerase II and Alternative Splicing. Trends Biochem. Sci. 2010, 35, 497–504. [Google Scholar] [CrossRef]
 - Ostapenko, D.; Solomon, M.J. Budding Yeast CTDK-I Is Required for DNA Damage-Induced Transcription. Eukaryot Cell 2003, 2, 274–283. [Google Scholar] [CrossRef]
 - Maier, P.; Hartmann, L.; Wenz, F.; Herskind, C. Cellular Pathways in Response to Ionizing Radiation and Their Targetability for Tumor Radiosensitization. Int. J. Mol. Sci. 2016, 17, 102. [Google Scholar] [CrossRef] [PubMed]
 - Wang, F.; Tang, J.; Li, P.; Si, S.; Yu, H.; Yang, X.; Tao, J.; Lv, Q.; Gu, M.; Yang, H.; et al. Chloroquine Enhances the Radiosensitivity of Bladder Cancer Cells by Inhibiting Autophagy and Activating Apoptosis. Cell. Physiol. Biochem. 2018, 45, 54–66. [Google Scholar] [CrossRef]
 - Choi, E.K.; Lim, J.A.; Kim, J.K.; Jang, M.S.; Kim, S.E.; Baek, H.J.; Park, E.J.; Kim, T.H.; Deng, C.X.; Wang, R.H.; et al. Cyclin B1 Stability Is Increased by Interaction with BRCA1, and Its Overexpression Suppresses the Progression of BRCA1-Associated Mammary Tumors. Exp. Mol. Med. 2018, 50, 1–16. [Google Scholar] [CrossRef]
 - Smart, D.J.; Halicka, H.D.; Schmuck, G.; Traganos, F.; Darzynkiewicz, Z.; Williams, G.M. Assessment of DNA Double-Strand Breaks and ΓH2AX Induced by the Topoisomerase II Poisons Etoposide and Mitoxantrone. Mutat. Res./Fundam. Mol. Mech. Mutagen. 2008, 641, 43–47. [Google Scholar] [CrossRef] [PubMed]
 - Ando, M.; Yoshikawa, K.; Iwase, Y.; Ishiura, S. Usefulness of Monitoring γ-H2AX and Cell Cycle Arrest in HepG2 Cells for Estimating Genotoxicity Using a High-Content Analysis System. SLAS Discov. 2014, 19, 1246–1254. [Google Scholar] [CrossRef] [PubMed]
 - Dillon, M.T.; Good, J.S.; Harrington, K.J. Selective Targeting of the G2/M Cell Cycle Checkpoint to Improve the Therapeutic Index of Radiotherapy. Clin. Oncol. 2014, 26, 257–265. [Google Scholar] [CrossRef] [PubMed]
 - Ramkumar, K.; Stewart, C.A.; Cargill, K.R.; Della Corte, C.M.; Wang, Q.; Shen, L.; Diao, L.; Cardnell, R.J.; Peng, D.H.; Rodriguez, B.L.; et al. AXL Inhibition Induces DNA Damage and Replication Stress in Non–Small Cell Lung Cancer Cells and Promotes Sensitivity to ATR Inhibitors. Mol. Cancer Res. 2021, 19, 485–497. [Google Scholar] [CrossRef] [PubMed]
 - Lu, Q.; Lemke, G. Homeostatic Regulation of the Immune System by Receptor Tyrosine Kinases of the Tyro 3 Family. Science 2001, 293, 306–311. [Google Scholar] [CrossRef]
 - Sharif, M.N.; Sosic, D.; Rothlin, C.V.; Kelly, E.; Lemke, G.; Olson, E.N.; Ivashkiv, L.B. Twist Mediates Suppression of Inflammation by Type I IFNs and Axl. J. Exp. Med. 2006, 203, 1891–1901. [Google Scholar] [CrossRef]
 - Yokoyama, Y.; Lew, E.D.; Seelige, R.; Tindall, E.A.; Walsh, C.; Fagan, P.C.; Lee, J.Y.; Nevarez, R.; Oh, J.; Tucker, K.D.; et al. Immuno-Oncological Efficacy of RXDX-106, a Novel Small Molecule Inhibitor of the TAM (TYRO3, AXL, MER) Family of Kinases Equal Contribution # Corresponding Author Running Title: Immuno-Oncological Effect of RXDX-106, a TAM RTK Inhibitor. Cancer Res. 2019, 79, 1996–2008. [Google Scholar] [CrossRef] [PubMed]
 - Mahe, M.; Dufour, F.; Neyret-Kahn, H.; Moreno-Vega, A.; Beraud, C.; Shi, M.; Hamaidi, I.; Sanchez-Quiles, V.; Krucker, C.; Dorland-Galliot, M.; et al. An FGFR 3/ MYC Positive Feedback Loop Provides New Opportunities for Targeted Therapies in Bladder Cancers. EMBO Mol. Med. 2018, 10, e8163. [Google Scholar] [CrossRef] [PubMed]
 - Duez, P.; Dehon, G.; Kumps, A.; Dubois, J. Statistics of the Comet Assay: A Key to Discriminate between Genotoxic Effects. Mutagenesis 2003, 18, 159–166. [Google Scholar] [CrossRef] [PubMed]
 






Publisher’s Note: MDPI stays neutral with regard to jurisdictional claims in published maps and institutional affiliations.  | 
© 2022 by the authors. Licensee MDPI, Basel, Switzerland. This article is an open access article distributed under the terms and conditions of the Creative Commons Attribution (CC BY) license (https://creativecommons.org/licenses/by/4.0/).
Share and Cite
Silina, L.; Dufour, F.; Rapinat, A.; Reyes, C.; Gentien, D.; Maksut, F.; Radvanyi, F.; Verrelle, P.; Bernard-Pierrot, I.; Mégnin-Chanet, F. Tyro3 Targeting as a Radiosensitizing Strategy in Bladder Cancer through Cell Cycle Dysregulation. Int. J. Mol. Sci. 2022, 23, 8671. https://doi.org/10.3390/ijms23158671
Silina L, Dufour F, Rapinat A, Reyes C, Gentien D, Maksut F, Radvanyi F, Verrelle P, Bernard-Pierrot I, Mégnin-Chanet F. Tyro3 Targeting as a Radiosensitizing Strategy in Bladder Cancer through Cell Cycle Dysregulation. International Journal of Molecular Sciences. 2022; 23(15):8671. https://doi.org/10.3390/ijms23158671
Chicago/Turabian StyleSilina, Linda, Florent Dufour, Audrey Rapinat, Cécile Reyes, David Gentien, Fatlinda Maksut, François Radvanyi, Pierre Verrelle, Isabelle Bernard-Pierrot, and Frédérique Mégnin-Chanet. 2022. "Tyro3 Targeting as a Radiosensitizing Strategy in Bladder Cancer through Cell Cycle Dysregulation" International Journal of Molecular Sciences 23, no. 15: 8671. https://doi.org/10.3390/ijms23158671
APA StyleSilina, L., Dufour, F., Rapinat, A., Reyes, C., Gentien, D., Maksut, F., Radvanyi, F., Verrelle, P., Bernard-Pierrot, I., & Mégnin-Chanet, F. (2022). Tyro3 Targeting as a Radiosensitizing Strategy in Bladder Cancer through Cell Cycle Dysregulation. International Journal of Molecular Sciences, 23(15), 8671. https://doi.org/10.3390/ijms23158671
        
                                                
