Upregulated Expression of Activation-Induced Cytidine Deaminase in Ocular Adnexal Marginal Zone Lymphoma with IgG4-Positive Cells
Abstract
1. Introduction
2. Results
2.1. Clinicohistological Characteristics of the Patients
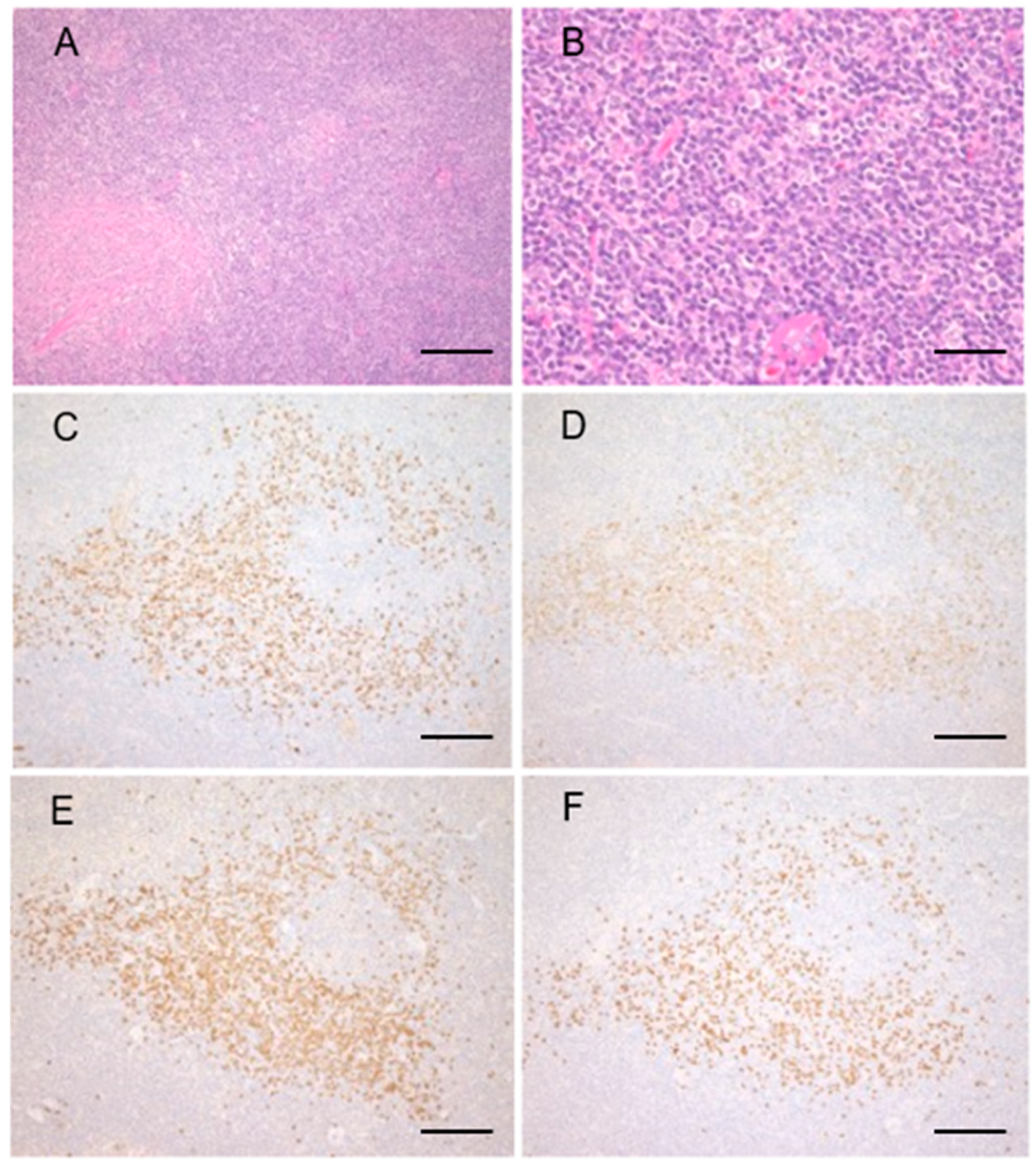
2.2. Immunohistochemical Analysis of AID Expression
3. Discussion
4. Materials and Methods
4.1. Samples
4.2. Histological Examination and Immunohistochemistry
4.3. Diagnosis of IgG4-ROD and IgG4+ MZL
4.4. Analysis of the Extent of AID Expression
4.5. Statistical Analysis
Supplementary Materials
Author Contributions
Funding
Institutional Review Board Statement
Informed Consent Statement
Data Availability Statement
Conflicts of Interest
References
- Hamano, H.; Kawa, S.; Horiuchi, A.; Unno, H.; Furuya, N.; Akamatsu, T.; Fukushima, M.; Nikaido, T.; Nakayama, K.; Usuda, N.; et al. High serum IgG4 concentrations in patients with sclerosing pancreatitis. N. Engl. J. Med. 2001, 344, 732–738. [Google Scholar] [CrossRef]
- Umehara, H.; Okazaki, K.; Masaki, Y.; Kawano, M.; Yamamoto, M.; Saeki, T.; Matsui, S.; Yoshino, T.; Nakamura, S.; Kawa, S.; et al. Comprehensive diagnostic criteria for IgG4-related disease (IgG4-RD), 2011. Mod. Rheumatol. 2012, 22, 21–30. [Google Scholar] [CrossRef] [PubMed]
- Umehara, H.; Okazaki, K.; Kawa, S.; Takahashi, H.; Goto, H.; Matsui, S.; Ishizaka, N.; Akamizu, T.; Sato, Y.; Kawano, M.; et al. The 2020 revised comprehensive diagnostic (RCD) criteria for IgG4-RD. Mod. Rheumatol. 2021, 1–10. [Google Scholar] [CrossRef] [PubMed]
- Sato, Y.; Notohara, K.; Kojima, M.; Takata, K.; Masaki, Y.; Yoshino, T. IgG4-related disease: Historical overview and pathology of hematological disorders. Pathol. Int. 2010, 60, 247–258. [Google Scholar] [CrossRef]
- Stone, J.H.; Zen, Y.; Deshpande, V. IgG4-related disease. N. Engl. J. Med. 2012, 366, 539–551. [Google Scholar] [CrossRef] [PubMed]
- Umehara, H.; Okazaki, K.; Nakamura, T.; Satoh-Nakamura, T.; Nakajima, A.; Kawano, M.; Mimori, T.; Chiba, T. Current approach to the diagnosis of IgG4-related disease—Combination of comprehensive diagnostic and organ-specific criteria. Mod. Rheumatol. 2017, 27, 381–391. [Google Scholar] [CrossRef] [PubMed]
- Igawa, T.; Hayashi, T.; Ishiguro, K.; Maruyama, Y.; Takeuchi, M.; Takata, K.; Yoshino, T.; Sato, Y. IgG4-producing lymphoma arising in a patient with IgG4-related disease. Med. Mol. Morphol. 2016, 49, 243–249. [Google Scholar] [CrossRef]
- Nishimura, Y.; Iwamuro, M.; Ocho, K.; Hasegawa, K.; Kimura, K.; Hanayama, Y.; Kondo, E.; Tanaka, T.; Otsuka, F. A Rare Case of Diffuse Large B-cell Lymphoma in a Patient with IgG4-Related Autoimmune Pancreatitis. Acta Med. Okayama 2016, 70, 279–283. [Google Scholar] [CrossRef]
- Kawaji, Y.; Nagata, H.; Muramatsu, A.; Kuriyama, K.; Ohshiro, M.; Hirakawa, Y.; Iwai, T.; Kobayashi, T.; Uchiyama, H.; Urata, Y.; et al. Diffuse large B cell lymphoma with chromosomal translocation t(14;19)(q32;q13) occurring in IgG4-related disease. Ann. Hematol. 2019, 98, 1785–1787. [Google Scholar] [CrossRef] [PubMed]
- Harada, K.; Otsuka, F. Cardiac mucosa-associated lymphoid tissue lymphoma involved in IgG4-related disease. Eur. Heart J. 2020, 41, 1519. [Google Scholar] [CrossRef]
- Lymphoma Study Group of Japanese Pathologists. The world health organization classification of malignant lymphomas in japan: Incidence of recently recognized entities. Lymphoma Study Group of Japanese Pathologists. Pathol. Int. 2000, 50, 696–702. [Google Scholar] [CrossRef] [PubMed]
- Kubota, T.; Moritani, S.; Yoshino, T.; Nagai, H.; Terasaki, H. Ocular adnexal marginal zone B cell lymphoma infiltrated by IgG4-positive plasma cells. J. Clin. Pathol 2010, 63, 1059–1065. [Google Scholar] [CrossRef] [PubMed]
- Matsuo, T.; Ichimura, K.; Yoshino, T. Local recurrence as immunoglobulin G4 (IgG4)-related disease 10 years after radiotherapy to ocular adnexal extranodal marginal zone B-cell lymphoma of mucosa-associated lymphoid tissue. J. Clin. Exp. Hematop. 2011, 51, 125–133. [Google Scholar] [CrossRef]
- Mulay, K.; Aggarwal, E. IgG4-related dacryoadenitis evolving into an extra-nodal, marginal zone B-cell lymphoma (EMZL): A tale of two lacrimal glands. Pathology 2014, 46, 464–466. [Google Scholar] [CrossRef] [PubMed]
- Nishida, K.; Sogabe, Y.; Makihara, A.; Senoo, A.; Morimoto, H.; Takeuchi, M.; Gion, Y.; Yoshino, T.; Sato, Y. Ocular adnexal marginal zone lymphoma arising in a patient with IgG4-related ophthalmic disease. Mod. Rheumatol 2019, 29, 383–387. [Google Scholar] [CrossRef]
- Sato, Y.; Ohshima, K.; Ichimura, K.; Sato, M.; Yamadori, I.; Tanaka, T.; Takata, K.; Morito, T.; Kondo, E.; Yoshino, T. Ocular adnexal IgG4-related disease has uniform clinicopathology. Pathol. Int. 2008, 58, 465–470. [Google Scholar] [CrossRef]
- Ohno, K.; Sato, Y.; Ohshima, K.; Takata, K.; Miyata-Takata, T.; Takeuchi, M.; Gion, Y.; Tachibana, T.; Orita, Y.; Ito, T.; et al. A subset of ocular adnexal marginal zone lymphomas may arise in association with IgG4-related disease. Sci. Rep. 2015, 5, 13539. [Google Scholar] [CrossRef] [PubMed]
- Lee, M.J.; Kim, N.; Choe, J.Y.; Khwarg, S.I.; Jeon, Y.K.; Choung, H.K.; Kim, J.E. Clinicopathological Analysis of Ocular Adnexal Extranodal Marginal Zone B-Cell Lymphoma with IgG4-Positive Cells. PLoS ONE 2015, 10, e0131458. [Google Scholar] [CrossRef] [PubMed]
- Kase, S.; Ishijima, K.; Uraki, T.; Suimon, Y.; Suzuki, Y.; Kase, M.; Ishida, S. Usefulness of Flow Cytometry in Diagnosis of IgG4-Related Ophthalmic Disease and Extranodal Marginal Zone B-Cell Lymphoma of the Ocular Adnexa. Anticancer Res. 2017, 37, 5001–5004. [Google Scholar] [CrossRef]
- Li, K.M.; Xu, M.H.; Wu, X.; He, W.M. The Expression of IgG and IgG4 in Orbital MALT Lymphoma: The Similarities and Differences of IgG4-Related Diseases. Onco Targets Ther. 2020, 13, 5755–5761. [Google Scholar] [CrossRef]
- Nezu, N.; Usui, Y.; Asakage, M.; Shimizu, H.; Tsubota, K.; Narimatsu, A.; Umazume, K.; Yamakawa, N.; Ohno, S.I.; Takanashi, M.; et al. Distinctive Tissue and Serum MicroRNA Profile of IgG4-Related Ophthalmic Disease and MALT Lymphoma. J. Clin. Med. 2020, 9, 2530. [Google Scholar] [CrossRef] [PubMed]
- Shimizu, H.; Usui, Y.; Wakita, R.; Aita, Y.; Tomita, A.; Tsubota, K.; Asakage, M.; Nezu, N.; Komatsu, H.; Umazume, K.; et al. Differential Tissue Metabolic Signatures in IgG4-Related Ophthalmic Disease and Orbital Mucosa-Associated Lymphoid Tissue Lymphoma. Investig. Ophthalmol. Vis. Sci. 2021, 62, 15. [Google Scholar] [CrossRef]
- Kumar, R.; DiMenna, L.J.; Chaudhuri, J.; Evans, T. Biological function of activation-induced cytidine deaminase (AID). Biomed. J. 2014, 37, 269–283. [Google Scholar] [CrossRef] [PubMed]
- Matsumoto, Y.; Marusawa, H.; Kinoshita, K.; Niwa, Y.; Sakai, Y.; Chiba, T. Up-regulation of activation-induced cytidine deaminase causes genetic aberrations at the CDKN2b-CDKN2a in gastric cancer. Gastroenterology 2010, 139, 1984–1994. [Google Scholar] [CrossRef] [PubMed]
- Gion, Y.; Takeuchi, M.; Shibata, R.; Takata, K.; Miyata-Takata, T.; Orita, Y.; Tachibana, T.; Yoshino, T.; Sato, Y. Up-regulation of activation-induced cytidine deaminase and its strong expression in extra-germinal centres in IgG4-related disease. Sci. Rep. 2019, 9, 761. [Google Scholar] [CrossRef]
- Bertoni, F.; Rossi, D.; Zucca, E. Recent advances in understanding the biology of marginal zone lymphoma. F1000Res 2018, 7, 406. [Google Scholar] [CrossRef]
- Zucca, E.; Arcaini, L.; Buske, C.; Johnson, P.W.; Ponzoni, M.; Raderer, M.; Ricardi, U.; Salar, A.; Stamatopoulos, K.; Thieblemont, C.; et al. Marginal zone lymphomas: ESMO Clinical Practice Guidelines for diagnosis, treatment and follow-up. Ann. Oncol. 2020, 31, 17–29. [Google Scholar] [CrossRef] [PubMed]
- Bianchini, R.; Karagiannis, S.N.; Jordakieva, G.; Jensen-Jarolim, E. The Role of IgG4 in the Fine Tuning of Tolerance in IgE-Mediated Allergy and Cancer. Int. J. Mol. Sci. 2020, 21, 5017. [Google Scholar] [CrossRef]
- Lenz, G.; Staudt, L.M. Aggressive lymphomas. N. Engl. J. Med. 2010, 362, 1417–1429. [Google Scholar] [CrossRef]
- Kim, J.H.; Kim, W.S.; Park, C. Epstein-Barr virus latent membrane protein 1 increases genomic instability through Egr-1-mediated up-regulation of activation-induced cytidine deaminase in B-cell lymphoma. Leuk. Lymphoma 2013, 54, 2035–2040. [Google Scholar] [CrossRef]
- Brenner, I.; Roth, S.; Puppe, B.; Wobser, M.; Rosenwald, A.; Geissinger, E. Primary cutaneous marginal zone lymphomas with plasmacytic differentiation show frequent IgG4 expression. Mod. Pathol. 2013, 26, 1568–1576. [Google Scholar] [CrossRef] [PubMed]
- Kasar, S.; Kim, J.; Improgo, R.; Tiao, G.; Polak, P.; Haradhvala, N.; Lawrence, M.S.; Kiezun, A.; Fernandes, S.M.; Bahl, S.; et al. Whole-genome sequencing reveals activation-induced cytidine deaminase signatures during indolent chronic lymphocytic leukaemia evolution. Nat. Commun. 2015, 6, 8866. [Google Scholar] [CrossRef] [PubMed]
- Tsai, C.T.; Yang, P.M.; Chern, T.R.; Chuang, S.H.; Lin, J.H.; Klemm, L.; Müschen, M.; Chen, C.C. AID downregulation is a novel function of the DNMT inhibitor 5-aza-deoxycytidine. Oncotarget 2014, 5, 211–223. [Google Scholar] [CrossRef] [PubMed][Green Version]
- Zhang, J.; Shi, Y.; Zhao, M.; Hu, H.; Huang, H. Activation-induced cytidine deaminase overexpression in double-hit lymphoma: Potential target for novel anticancer therapy. Sci. Rep. 2020, 10, 14164. [Google Scholar] [CrossRef]
- Sumii, Y.; Asada, N.; Sato, Y.; Ohshima, K.I.; Makita, M.; Yoshimoto, Y.; Sogabe, Y.; Imajo, K.; Meguri, Y.; Ennishi, D.; et al. Treatment outcomes of IgG4-producing marginal zone B-cell lymphoma: A retrospective case series. Int. J. Hematol. 2020, 112, 780–786. [Google Scholar] [CrossRef]
- Akiyama, M.; Suzuki, K.; Yasuoka, H.; Kaneko, Y.; Yamaoka, K.; Takeuchi, T. Follicular helper T cells in the pathogenesis of IgG4-related disease. Rheumatology 2017, 57, 236–245. [Google Scholar] [CrossRef]
- Bledsoe, J.R.; Wallace, Z.S.; Deshpande, V.; Richter, J.R.; Klapman, J.; Cowan, A.; Stone, J.H.; Ferry, J.A. Atypical IgG4+ Plasmacytic Proliferations and Lymphomas: Characterization of 11 Cases. Am. J. Clin. Pathol. 2017, 148, 215–235. [Google Scholar] [CrossRef]
- Goto, H.; Takahira, M.; Azumi, A.; Japanese Study Group for IgG4-Related Ophthalmic Disease. Diagnostic criteria for IgG4-related ophthalmic disease. Jpn. J. Ophthalmol. 2015, 59, 1–7. [Google Scholar] [CrossRef]




| IgG4-ROD (Group 1: n = 16) | IgG4+ MZL (Group 2: n = 11) | IgG4−MZL (Group 3: n = 12) | p-Value | ||||||
|---|---|---|---|---|---|---|---|---|---|
| Prevalence (%) | Mean (SD) | Prevalence (%) | Mean (SD) | Prevalence (%) | Mean (SD) | Group 1 vs. 2 | Group 1 vs. 3 | Group 2 vs. 3 | |
| Age (years) | 61.3 (3.1) | 60.6 (3.7) | 64.3 (3.5) | 0.989 | 0.795 | 0.750 | |||
| Sex | |||||||||
| Male | 9/16 (56.2) | 5/11 (45.4) | 7/12 (58.3) | ||||||
| Female | 7/16 (43.8) | 6/11 (54.6) | 5/12 (41.7) | ||||||
| IgG4+ cells (/HPF) | 192.8 (90.2) | 144.9 (88.0) | 15.5 (20.3) | 0.250 | <0.001 | <0.001 | |||
| IgG+ cells (/HPF) | 272.0 (124.4) | 170.8 (73.3) | 164.4 (234.1) | 0.241 | 0.186 | 0.995 | |||
| IgG4+/IgG+ cell ratio (%) | 72.2 (5.6) | 89.7 (6.8) | 7.9 (6.5) | 0.129 | <0.001 | <0.001 | |||
| Serum IgG4 (mg/dL) | 586.9 (192.0) | 413.0 (221.7) | 99.8 (332.5) | 0.825 | 0.427 | 0.717 | |||
| Serum IgG (mg/dL) | 1704.0 (172.5) | 1632.8 (215.2) | 1377.6 (244.0) | 0.964 | 0.527 | 0.716 | |||
| Serum IgG4/IgG ratio (%) | 24.7 (5.4) | 24.7 (6.3) | 6.8 (9.4) | 1.000 | 0.247 | 0.272 | |||
| IgG4-ROD (Group 1: n = 16) | IgG4+ MZL (Group 2: n = 11) | IgG4- MZL (Group 3: n = 12) | p-Value | |||
|---|---|---|---|---|---|---|
| Mean (SD) | Mean (SD) | Mean (SD) | Group 1 vs. 2 | Group 1 vs. 3 | Group 2 vs. 3 | |
| AID-intensity index (0–3) | 2.1 (0.20) | 2.5 (0.24) | 0.92 (0.23) | 0.387 | 0.001 | <0.001 |
Publisher’s Note: MDPI stays neutral with regard to jurisdictional claims in published maps and institutional affiliations. |
© 2021 by the authors. Licensee MDPI, Basel, Switzerland. This article is an open access article distributed under the terms and conditions of the Creative Commons Attribution (CC BY) license (https://creativecommons.org/licenses/by/4.0/).
Share and Cite
Nishikori, A.; Nishimura, Y.; Shibata, R.; Ohshima, K.-i.; Gion, Y.; Ikeda, T.; Nishimura, M.F.; Yoshino, T.; Sato, Y. Upregulated Expression of Activation-Induced Cytidine Deaminase in Ocular Adnexal Marginal Zone Lymphoma with IgG4-Positive Cells. Int. J. Mol. Sci. 2021, 22, 4083. https://doi.org/10.3390/ijms22084083
Nishikori A, Nishimura Y, Shibata R, Ohshima K-i, Gion Y, Ikeda T, Nishimura MF, Yoshino T, Sato Y. Upregulated Expression of Activation-Induced Cytidine Deaminase in Ocular Adnexal Marginal Zone Lymphoma with IgG4-Positive Cells. International Journal of Molecular Sciences. 2021; 22(8):4083. https://doi.org/10.3390/ijms22084083
Chicago/Turabian StyleNishikori, Asami, Yoshito Nishimura, Rei Shibata, Koh-ichi Ohshima, Yuka Gion, Tomoka Ikeda, Midori Filiz Nishimura, Tadashi Yoshino, and Yasuharu Sato. 2021. "Upregulated Expression of Activation-Induced Cytidine Deaminase in Ocular Adnexal Marginal Zone Lymphoma with IgG4-Positive Cells" International Journal of Molecular Sciences 22, no. 8: 4083. https://doi.org/10.3390/ijms22084083
APA StyleNishikori, A., Nishimura, Y., Shibata, R., Ohshima, K.-i., Gion, Y., Ikeda, T., Nishimura, M. F., Yoshino, T., & Sato, Y. (2021). Upregulated Expression of Activation-Induced Cytidine Deaminase in Ocular Adnexal Marginal Zone Lymphoma with IgG4-Positive Cells. International Journal of Molecular Sciences, 22(8), 4083. https://doi.org/10.3390/ijms22084083

