Assessment of Epinephrine and Norepinephrine in Gastric Carcinoma
Abstract
1. Introduction
2. Results
2.1. Assessment of the Heart Rates of the Patients Included in the Study
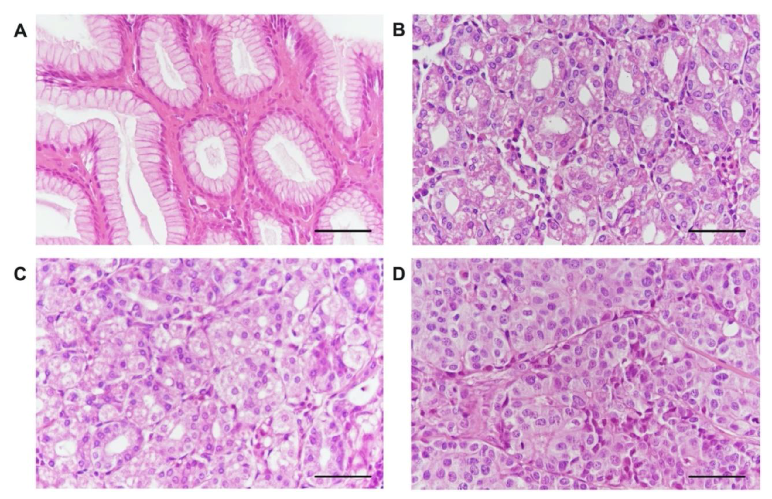
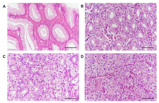
2.2. Relationship between Norepinephrine Transporter Expression and Clinicopathological Features
2.3. Relationship between Plasma Free Metanephrine (Meta) and Normetanephrine and Clinicopathological Features
2.4. Correlation between Norepinephrine Transporter Expression and Plasma Free Metanephrine and Normetanephrine
2.5. Univariate Analysis of Prognostic Factors
3. Discussion
4. Materials and Methods
4.1. Patients
4.2. Assessment of Heart Rate
4.3. Histopathological Examination
4.4. Immunohistochemistry
4.5. Acquisition and Image Processing
4.6. Dosage of Plasma Free Metanephrine and Normetanephrine
4.7. Statistical Analysis
5. Conclusions
Supplementary Materials
Author Contributions
Funding
Institutional Review Board Statement
Informed Consent Statement
Acknowledgments
Conflicts of Interest
Abbreviations
| bpm | Beats per minute |
| DAB | 3,3′-diaminobenzidine |
| EDTA | Ethylenediaminetetraacetic acid |
| ELISA | Enzyme-linked immunosorbent assay |
| HRV | Heart rate variability |
| IOD | Integrated optical density |
| Meta | Metanephrine |
| N-meta | Normetanephrine |
| NET | Norepinephrine transporter |
| STAT3 | Signal transducer and activator of transcription 3 |
| VEGF | Vascular endothelial growth factor |
| VEGFR | Vascular endothelial growth factor receptor |
References
- Global Cancer Observatory. Available online: https://gco.iarc.fr/today/online-analysis-pie?v=2018&mode=cancer&mode_population=continents&population=900&populations=900&key=total&sex=0&cancer=39&type=0&statistic=5&prevalence=0&population_group=0&ages_group%5B%5D=0&ages_group%5B%5D=17&nb_items=7&group_cancer=1&include_nmsc=1&include_nmsc_other=1&half_pie=0&donut=0&population_group_globocan_id= (accessed on 15 September 2020).
- Kim, J.; Cho, Y.A.; Choi, W.J.; Jeong, S.H. Gene-diet interactions in gastric cancer risk: A systematic review. World J. Gastroenterol. 2014, 20, 9600–9610. [Google Scholar] [CrossRef] [PubMed]
- Entschladen, F.; Palm, D.; Lang, K.; Drell IV, T.L.; Zaenker, K.S. Neoneurogenesis: Tumors may initiate their own innervation by the release of neurotrophic factors in analogy to lymphangiogenesis and neoangiogenesis. Med. Hypotheses 2006, 67, 33–35. [Google Scholar] [CrossRef] [PubMed]
- Gao, J.P.; Xu, W.; Liu, W.T.; Yan, M.; Zhu, Z.G. Tumor heterogeneity of gastric cancer: From the perspective of tumor-initiating cell. World J. Gastroenterol. 2018, 24, 2567–2581. [Google Scholar] [CrossRef]
- Entschladen, F.; Palm, D.; Niggemann, B.; Zaenker, K.S. The cancer’s nervous tooth: Considering the neruronal crosstalk within tumors. Semin. Cancer Biol. 2008, 18, 171–175. [Google Scholar] [CrossRef]
- Schuller, H.M.; Al-Wadei, H.A.; Majidi, M. GABA B receptor is a novel drug target for pancreatic cancer. Cancer 2008, 112, 767–778. [Google Scholar] [CrossRef]
- Batsakis, J.G. Nerves and neurotropic carcinomas. Ann. Otol. Rhinol. Laryngol. 1985, 94, 426–427. [Google Scholar]
- Rodin, A.E.; Larson, D.L.; Roberts, D.K. Nature of the perineural space invaded by prostatic carcinoma. Cancer 1967, 20, 1772–1779. [Google Scholar] [CrossRef]
- Anderson, P.R.; Hanlon, A.L.; Patchefsky, A.; Al-Saleem, T.; Hanks, G.E. Perineural invasion and Gleason 7–10 tumors predict increased failure in prostate cancer patients with pretreatment PSA. Int. J. Radiat. Oncol. Biol. Phys. 1998, 41, 1087–1092. [Google Scholar] [CrossRef]
- Schroeter, S.; Apparsundaram, S.; Wiley, R.G.; Miner, L.H.; Sesack, S.R.; Blakely, R.D. Immunolocalization of the cocaine- and antidepressant-sensitive l-norepinephrine transporter. J. Comp. Neurol. 2000, 420, 211–232. [Google Scholar] [CrossRef]
- Tellioglu, T.; Robertson, D. Genetic or acquired deficits in the norepinephrine transporter: Current understanding of clinical implications. Expert Rev. Mol. Med. 2001, 3, 1–10. [Google Scholar] [CrossRef] [PubMed]
- Kristensen, A.S.; Andersen, J.; Jørgensen, T.N.; Sørensen, L.; Eriksen, J.; Loland, C.J.; Strømgaard, K.; Gether, U. SLC6 neurotransmitter transporters. Structure, function and regulation. Pharmacol. Rev. 2011, 63, 585–640. [Google Scholar] [CrossRef]
- Torres, G.E.; Gainetdinov, R.R.; Caron, M.G. Plasma membrane monoamine transporters: Structure, regulation and function. Nat. Rev. Neurosci. 2003, 4, 13–25. [Google Scholar] [CrossRef]
- Browning, K.N.; Travagli, R.A. Central nervous system control of gastrointestinal motility and secretion and modulation of gastrointestinal functions. Compr. Physiol. 2014, 4, 1339–1368. [Google Scholar] [CrossRef]
- Wang, K.; Zhao, X.H.; Liu, J.; Zhang, R.; Li, J.P. Nervous system and gastric cancer. Biochim. Biophys. Acta (BBA) Rev. Cancer 2020, 1873, 188313. [Google Scholar] [CrossRef]
- Repasky, E.A.; Eng, J.; Hylander, B.L. Stress, metabolism and cancer: Integrated pathways contributing to immune suppression. Cancer J. (Sudbury Mass.) 2015, 21, 97–103. [Google Scholar] [CrossRef]
- Peters, L.J.; Kelly, H. The influence of stress and stress hormones on the transplantability of a non-immunogenic syngeneic murine tumor. Cancer 1977, 39, 1482–1488. [Google Scholar] [CrossRef] [PubMed]
- Lin, X.; Luo, K.; Lv, Z.; Huang, J. Beta-adrenoceptor action on pancreatic cancer cell proliferation and tumor growth in mice. Hepato Gastroenterol. 2012, 59, 584–588. [Google Scholar] [CrossRef]
- Ciurea, R.N.; Rogoveanu, I.; Pirici, D.; Târtea, G.C.; Streba, C.T.; Florescu, C.; Cătălin, B.; Puiu, I.; Târtea, E.A.; Vere, C.C. B2 adrenergic receptors and morphological changes of the enteric nervous system in colorectal adenocarcinoma. World J. Gastroenterol. 2017, 23, 1250–1261. [Google Scholar] [CrossRef]
- Yang, E.V.; Sood, A.K.; Chen, M.; Li, Y.; Eubank, T.D.; Marsh, C.B.; Jewell, S.; Flavahan, N.A.; Morrison, C.; Yeh, P.E.; et al. Norepinephrine up-regulates the expression of vascular endothelial growth factor, matrix metalloproteinase (MMP)-2, and MMP-9 in nasopharyngeal carcinoma tumor cells. Cancer Res. 2006, 66, 10357–10364. [Google Scholar] [CrossRef]
- Shan, T.; Cui, X.; Li, W.; Lin, W.; Li, Y.; Chen, X.; Wu, T. Novel regulatory program for norepinephrine-induced epithelial-mesenchymal transition in gastric adenocarcinoma cell lines. Cancer Sci. 2014, 105, 847–856. [Google Scholar] [CrossRef]
- Hu, H.T.; Ma, Q.Y.; Zhang, D.; Shen, S.G.; Han, L.; Ma, Y.D.; Li, R.F.; Xie, K.P. HIF-1alpha links beta-adrenoceptor agonists and pancreatic cancer cells under normoxic condition. Acta Pharmacol. Sin. 2010, 31, 102–110. [Google Scholar] [CrossRef][Green Version]
- Shi, M.; Liu, D.; Duan, H.; Han, C.; Wei, B.; Qian, L.; Chen, C.; Guo, L.; Hu, M.; Yu, M.; et al. Catecholamine up-regulates MMP-7 expression by activating AP-1 and STAT3 in gastric cancer. Mol. Cancer 2010, 9, 269. [Google Scholar] [CrossRef] [PubMed]
- Lu, Y.J.; Geng, Z.J.; Sun, X.Y.; Li, Y.H.; Fu, X.B.; Zhao, X.Y.; Wei, B. Isoprenaline induces epithelial-mesenchymal transition in gastric cancer cells. Mol. Cell. Biochem. 2015, 408, 1–13. [Google Scholar] [CrossRef]
- Liu, G.X.; Xi, H.Q.; Sun, X.Y.; Geng, Z.J.; Yang, S.W.; Lu, Y.J.; Wei, B.; Chen, L. Isoprenaline Induces Periostin Expression in Gastric Cancer. Yonsei Med. J. 2016, 57, 557–564. [Google Scholar] [CrossRef]
- Lu, Y.; Xu, Q.; Zuo, Y.; Liu, L.; Liu, S.; Chen, L.; Wang, K.; Lei, Y.; Zhao, X.; Li, Y. Isoprenaline/β2-AR activates Plexin-A1/VEGFR2 signals via VEGF secretion in gastric cancer cells to promote tumor angiogenesis. BMC Cancer 2017, 17, 875. [Google Scholar] [CrossRef]
- Lutgendorf, S.K.; Lamkin, D.M.; Jennings, N.B.; Arevalo, J.M.; Penedo, F.; DeGeest, K.; Langley, R.R.; Lucci, J.A.; Cole, S.W.; Lubaroff, D.M.; et al. Biobehavioral influences on matrix metalloproteinase expression in ovarian carcinoma. Clin. Cancer Res. 2008, 14, 6839–6846. [Google Scholar] [CrossRef] [PubMed]
- Sood, A.K.; Armaiz-Pena, G.N.; Halder, J.; Nick, A.M.; Stone, R.L.; Hu, W.; Carroll, A.R.; Spannuth, W.A.; Deavers, M.T.; Allen, J.K.; et al. Adrenergic modulation of focal adhesion kinase protects human ovarian cancer cells from anoikis. J. Clin. Investig. 2010, 120, 1515–1523. [Google Scholar] [CrossRef]
- Shi, M.; Yang, Z.; Hu, M.; Liu, D.; Hu, Y.; Qian, L.; Zhang, W.; Chen, H.; Guo, L.; Yu, M.; et al. Catecholamine-Induced β2-adrenergic receptor activation mediates desensitization of gastric cancer cells to trastuzumab by upregulating MUC4 expression. J. Immunol. 2013, 190, 5600–5608. [Google Scholar] [CrossRef] [PubMed]
- Liao, X.; Che, X.; Zhao, W.; Zhang, D.; Bi, T.; Wang, G. The β-adrenoceptor antagonist, propranolol, induces human gastric cancer cell apoptosis and cell cycle arrest via inhibiting nuclear factor κB signaling. Oncol. rep. 2010, 24, 1669–1676. [Google Scholar] [CrossRef]
- Takahashi, K.; Kaira, K.; Shimizu, A.; Sato, T.; Takahashi, N.; Ogawa, H.; Yoshinari, D.; Yokobori, T.; Asao, T.; Takeyoshi, I.; et al. Clinical significance of β2-adrenergic receptor expression in patients with surgically resected gastric adenocarcinoma. Tumour Biol. J. Int. Soc. Oncodev. Biol. Med. 2016, 37, 13885–13892. [Google Scholar] [CrossRef]
- Shi, B.; Wang, L.; Yan, C.; Chen, D.; Liu, M.; Li, P. Nonlinear heart rate variability biomarkers for gastric cancer severity: A pilot study. Sci. Rep. 2019, 9, 13833. [Google Scholar] [CrossRef]
- Bastos, D.B.; Sarafim-Silva, B.; Sundefeld, M.; Ribeiro, A.A.; Brandão, J.; Biasoli, É.R.; Miyahara, G.I.; Casarini, D.E.; Bernabé, D.G. Circulating catecholamines are associated with biobehavioral factors and anxiety symptoms in head and neck cancer patients. PLoS ONE 2018, 13, e0202515. [Google Scholar] [CrossRef]
- Lamboy-Caraballo, R.; Ortiz-Sanchez, C.; Acevedo-Santiago, A.; Matta, J.; NA Monteiro, A.; N Armaiz-Pena, G. Norepinephrine-Induced DNA Damage in Ovarian Cancer Cells. Int. J. Mol. Sci. 2020, 21, 2250. [Google Scholar] [CrossRef] [PubMed]
- Ouyang, X.; Zhu, Z.; Yang, C.; Wang, L.; Ding, G.; Jiang, F. Epinephrine increases malignancy of breast cancer through p38 MAPK signaling pathway in depressive disorders. Int. J. Clin. Exp. Pathol. 2019, 12, 1932–1946. [Google Scholar]
- Lackovicova, L.; Banovska, L.; Bundzikova, J.; Janega, P.; Bizik, J.; Kiss, A.; Mravec, B. Chemical sympathectomy suppresses fibrosarcoma development and improves survival of tumor-bearing rats. Neoplasma 2011, 58, 424–429. [Google Scholar] [CrossRef] [PubMed]
- Renz, B.W.; Takahashi, R.; Tanaka, T.; Macchini, M.; Hayakawa, Y.; Dantes, Z.; Maurer, H.C.; Chen, X.; Jiang, Z.; Westphalen, C.B.; et al. β2 Adrenergic-Neurotrophin Feedforward Loop Promotes Pancreatic Cancer. Cancer Cell 2018, 33, 75–90.e7. [Google Scholar] [CrossRef]
- Li, J.; Yang, X.M.; Wang, Y.H.; Feng, M.X.; Liu, X.J.; Zhang, Y.L.; Huang, S.; Wu, Z.; Xue, F.; Qin, W.X.; et al. Monoamine oxidase A suppresses hepatocellular carcinoma metastasis by inhibiting the adrenergic system and its transactivation of EGFR signaling. J. Hepatol. 2014, 60, 1225–1234. [Google Scholar] [CrossRef] [PubMed]
- Liu, X.; Wu, W.K.; Yu, L.; Sung, J.J.; Srivastava, G.; Zhang, S.T.; Cho, C.H. Epinephrine stimulates esophageal squamous-cell carcinoma cell proliferation via beta-adrenoceptor-dependent transactivation of extracellular signal-regulated kinase/cyclooxygenase-2 pathway. J. Cell. Biochem. 2008, 105, 53–60. [Google Scholar] [CrossRef]
- Jiang, S.H.; Hu, L.P.; Wang, X.; Li, J.; Zhang, Z.G. Neurotransmitters: Emerging targets in cancer. Oncogene 2020, 39, 503–515. [Google Scholar] [CrossRef]
- Crawford, M.H.; Bernstein, S.J.; Deedwania, P.C.; DiMarco, J.P.; Ferrick, K.J.; Garson, A., Jr.; Green., L.A.; Greene, H.L.; Silka, M.J.; Stone, P.H.; et al. ACC/AHA guidelines for ambulatory electrocardiography: Executive summary and recommendations. A report of the American College of Cardiology/American Heart Association task force on practice guidelines (committee to revise the guidelines for ambulatory electrocardiography). Circulation 1999, 100, 886–893. [Google Scholar] [CrossRef]
- Eisenhofer, G.; Peitzsch, M. Laboratory evaluation of pheochromocytoma and paraganglioma. Clin. Chem. 2014, 60, 1486–1499. [Google Scholar] [CrossRef] [PubMed]






Publisher’s Note: MDPI stays neutral with regard to jurisdictional claims in published maps and institutional affiliations. |
© 2021 by the authors. Licensee MDPI, Basel, Switzerland. This article is an open access article distributed under the terms and conditions of the Creative Commons Attribution (CC BY) license (http://creativecommons.org/licenses/by/4.0/).
Share and Cite
Mehedințeanu, A.M.; Sfredel, V.; Stovicek, P.O.; Schenker, M.; Târtea, G.C.; Istrătoaie, O.; Ciurea, A.-M.; Vere, C.C. Assessment of Epinephrine and Norepinephrine in Gastric Carcinoma. Int. J. Mol. Sci. 2021, 22, 2042. https://doi.org/10.3390/ijms22042042
Mehedințeanu AM, Sfredel V, Stovicek PO, Schenker M, Târtea GC, Istrătoaie O, Ciurea A-M, Vere CC. Assessment of Epinephrine and Norepinephrine in Gastric Carcinoma. International Journal of Molecular Sciences. 2021; 22(4):2042. https://doi.org/10.3390/ijms22042042
Chicago/Turabian StyleMehedințeanu, Alina Maria, Veronica Sfredel, Puiu Olivian Stovicek, Michael Schenker, Georgică Costinel Târtea, Octavian Istrătoaie, Ana-Maria Ciurea, and Cristin Constantin Vere. 2021. "Assessment of Epinephrine and Norepinephrine in Gastric Carcinoma" International Journal of Molecular Sciences 22, no. 4: 2042. https://doi.org/10.3390/ijms22042042
APA StyleMehedințeanu, A. M., Sfredel, V., Stovicek, P. O., Schenker, M., Târtea, G. C., Istrătoaie, O., Ciurea, A.-M., & Vere, C. C. (2021). Assessment of Epinephrine and Norepinephrine in Gastric Carcinoma. International Journal of Molecular Sciences, 22(4), 2042. https://doi.org/10.3390/ijms22042042

