TGFβ-1 Induced Cross-Linking of the Extracellular Matrix of Primary Human Dermal Fibroblasts
Abstract
1. Introduction
2. Results
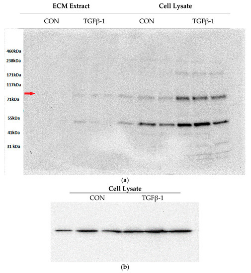
2.1. Upregulation of LOXL and TG2 Enzymes by TGFβ-1
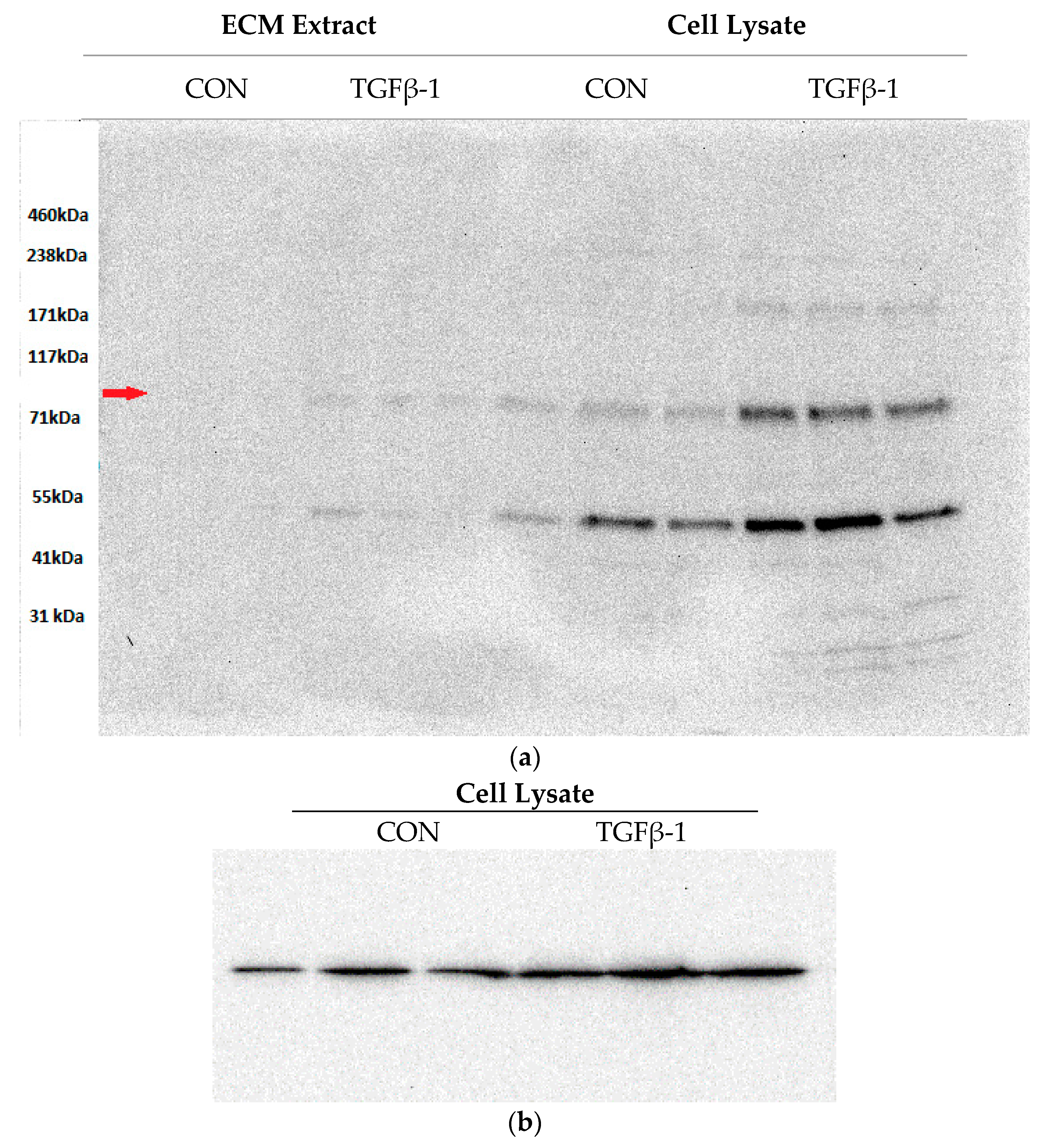
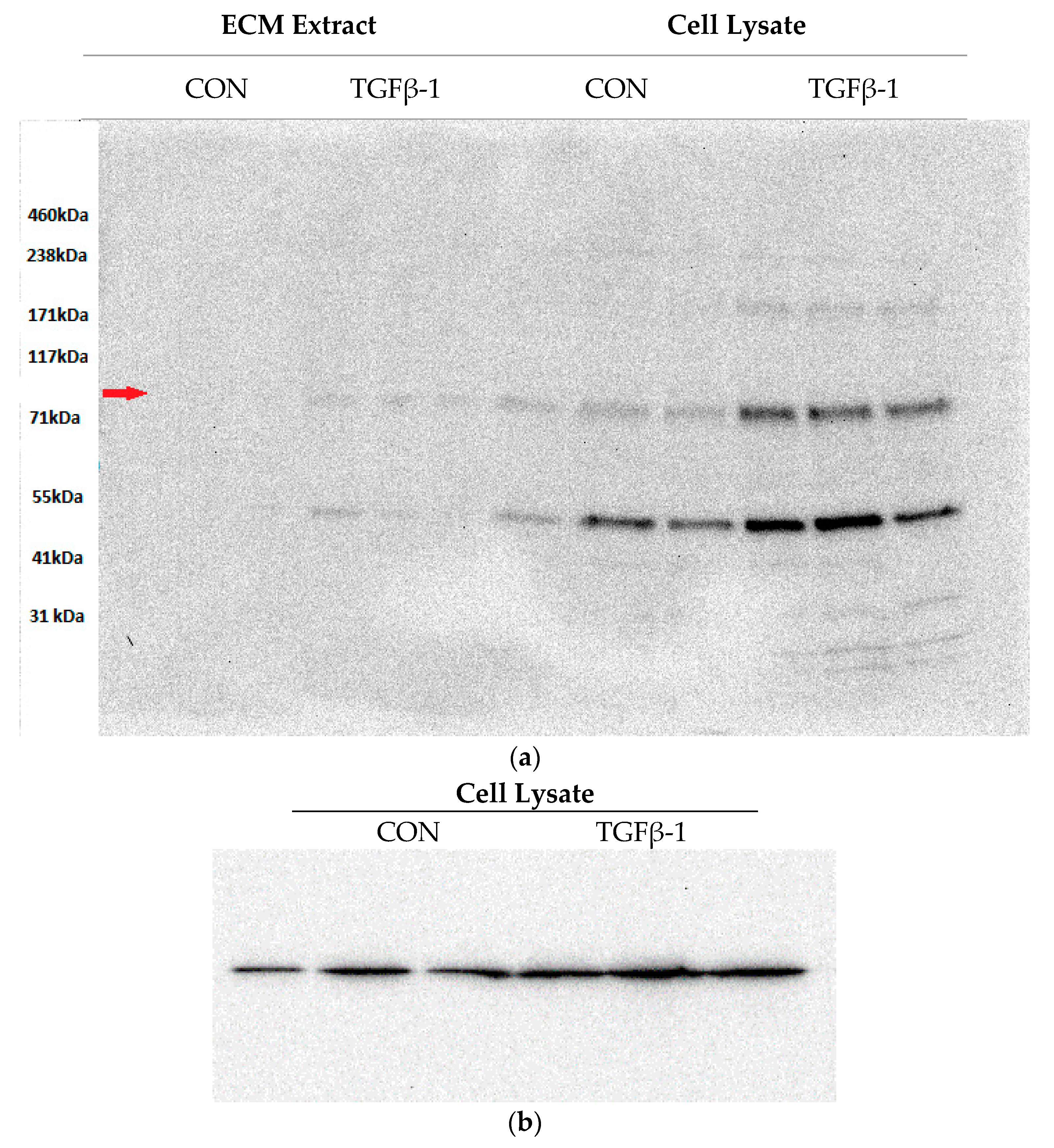
2.2. Upregulation of LH2 in the ECM of Dermal Fibroblasts
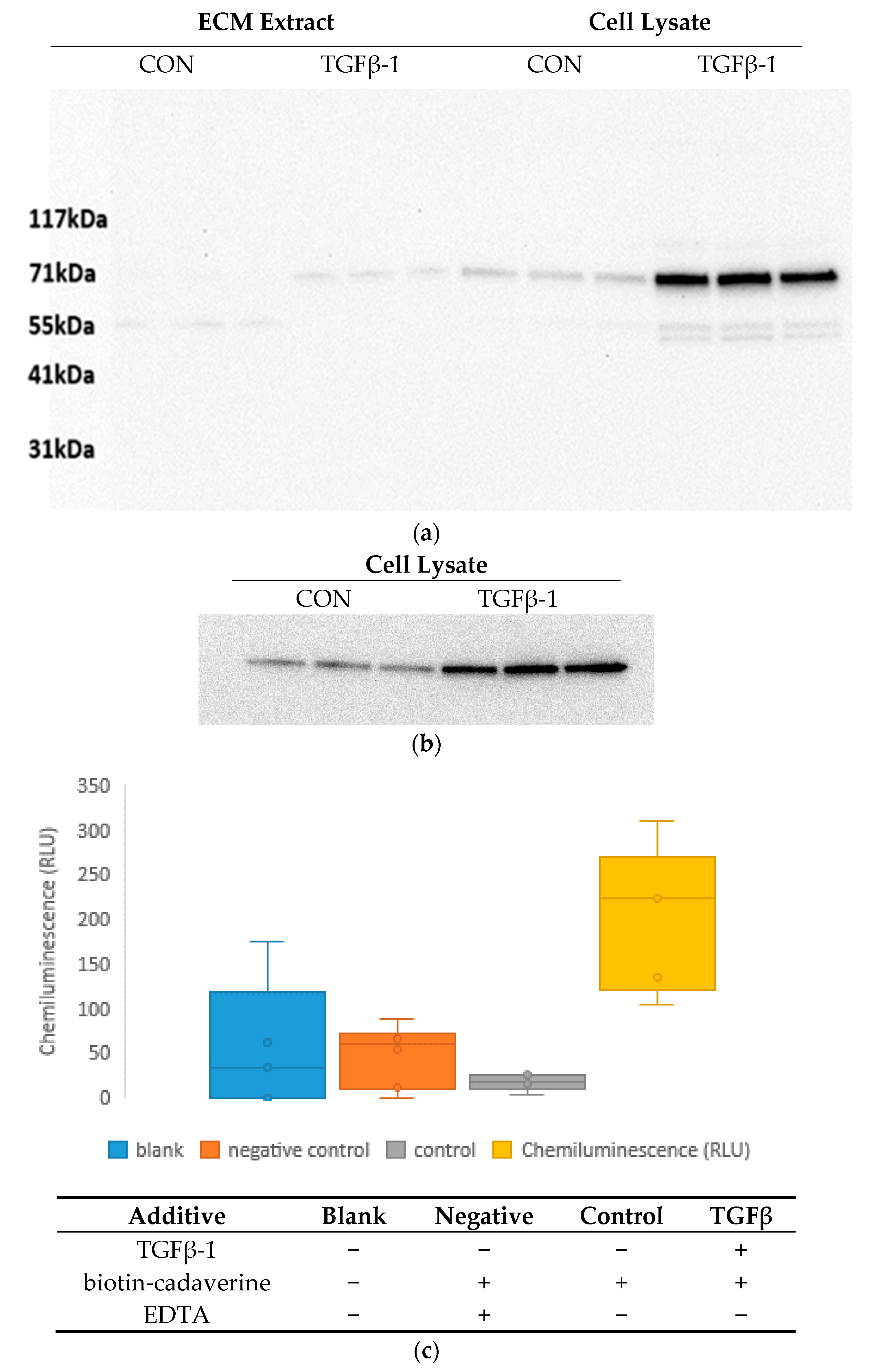
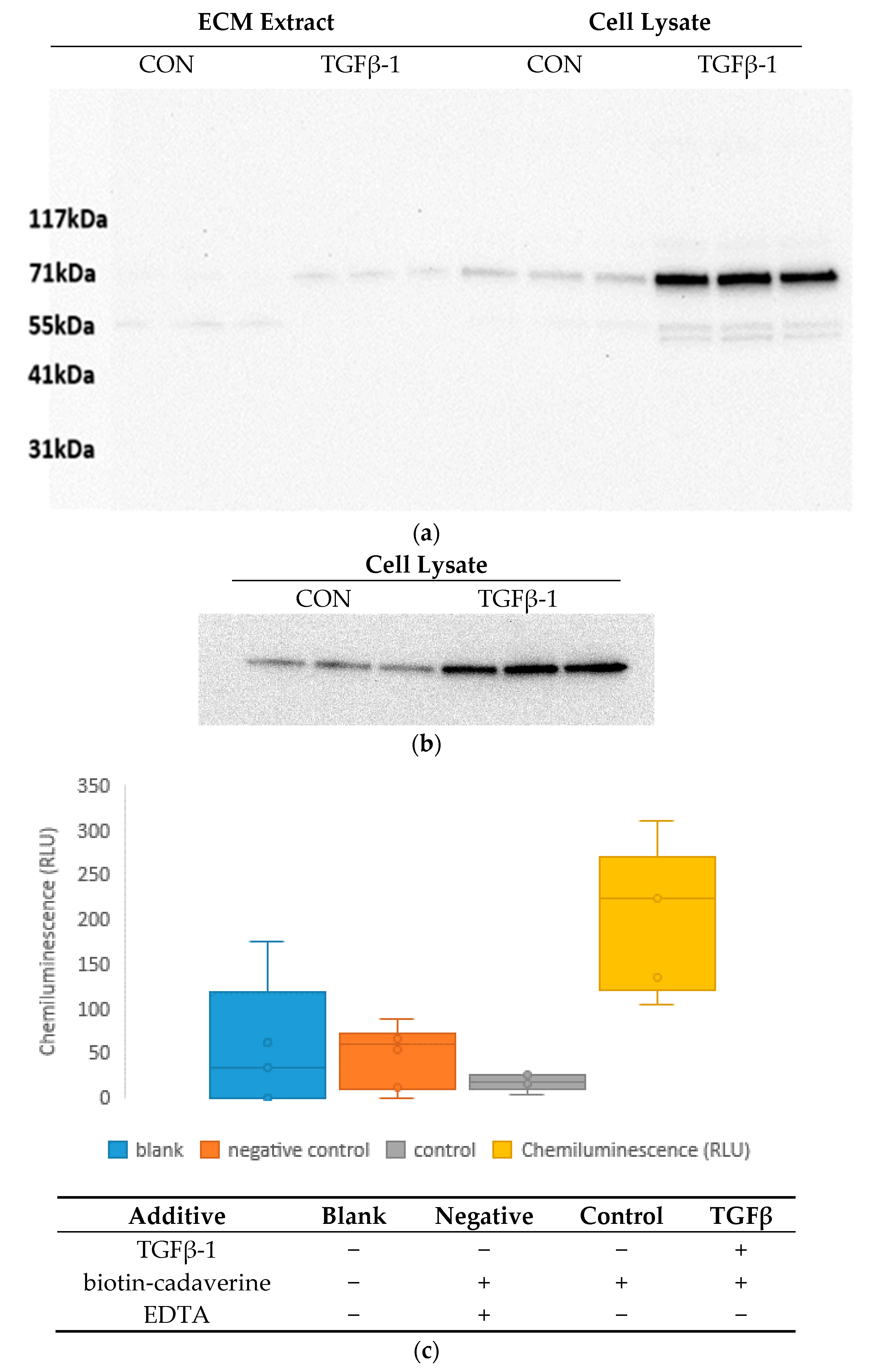
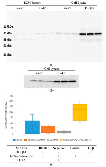
2.3. Increased Transglutaminase Activity in the ECM upon TGFβ-1 Stimulation
2.4. Identification of Transglutaminase Cross-Linking Sites in TGFβ-1 Stimulated Dermal Fibroblast ECM
3. Discussion
4. Materials and Methods
4.1. Cell Culture
4.2. ECM Preparation, Digestion and Fractionation
4.3. Mass Spectrometry
4.4. Western Blotting
4.5. Transglutaminase Activity Assay
4.6. Statistical Analysis
4.7. Identification of Transglutaminase Cross-Linked Peptides
5. Conclusions
Author Contributions
Funding
Institutional Review Board Statement
Informed Consent Statement
Acknowledgments
Conflicts of Interest
Abbreviations
| ACN | Acetonitrile |
| BCA | Bicinchoninic acid |
| CTGF | Connective-tissue growth factor |
| EDTA | Ethylenediaminetetraacetic acid |
| ECM | Extracellular matrix |
| FBS | Fetal bovine serum |
| GAPDH | Glyceraldehyde 3-phosphate dehydrogenase |
| HRP | Horseradish peroxidase |
| iBAQ | Intensity-based absolute quantification |
| LH | Lysyl hydroxylase |
| LH2b | Lysyl hydroxylase 2b |
| LOX | Lysyl oxidase |
| LOXL | Lysyl oxidase like enzyme |
| LTBP-2 | Latent transforming growth factor beta binding protein 2 |
| LTQ | Linear Trap Quadrupole |
| MMPs | Matrix metalloproteinases |
| MS | Mass spectrometry |
| SCUBE3 | CUB and EGF-like domain-containing protein 3 |
| SDS-PAGE | Sodium dodecyl sulphate–polyacrylamide gel electrophoresis |
| SSc | Systemic Sclerosis |
| TG2 | Transglutaminase 2 |
| TGFβ | Transforming growth factor β |
| TIMPs | Tissue inhibitors of matalloproteinases |
Appendix A
| Protein Name | iBAQ CON1 | iBAQ CON2 | iBAQ CON3 | iBAQ TGF1 | iBAQ TGF2 | iBAQ TGF3 | SC CON1 [%] | SC CON2 [%] | SC CON3 [%] | SC TGF1 [%] | SC TGF2 [%] | SC TGF3 [%] |
|---|---|---|---|---|---|---|---|---|---|---|---|---|
| Adipocyte enhancer-binding protein 1 | 1 | NaN | NaN | NaN | NaN | 0 | 1.5 | 0 | 1.5 | 0 | 0 | 1.5 |
| Agrin | 0 | 0.849247 | 1 | NaN | NaN | NaN | 0.8 | 1.9 | 0.8 | 0 | 0 | 0 |
| EGF-containing fibulin-like extracellular matrix protein 2 | NaN | NaN | NaN | 0 | 1 | 0.810311 | 0 | 0 | 0 | 3.4 | 6.3 | 6.1 |
| Elastin;Elastin | NaN | NaN | NaN | 0.286799 | 1 | 0 | 0 | 0 | 0 | 19.65 | 19.65 | 19.65 |
| EMILIN-1 | 0.115654 | 0.152129 | 0 | 0.734356 | 0.850363 | 1 | 43.7 | 45.4 | 32.5 | 48.8 | 55.3 | 53.8 |
| EMILIN-2 | 0.860327 | 0.892166 | 0.377583 | 0 | 0.465499 | 1 | 10.8 | 11.5 | 8.1 | 10.4 | 9.9 | 13.3 |
| Fibulin-1 | 0.253635 | 0 | 0.580116 | 0.644558 | 0.754007 | 1 | 1.4 | 1.4 | 4 | 3 | 11.1 | 13.5 |
| Fibulin-2 | 0 | 0.116275 | 0.172669 | 0.900709 | 0.971836 | 1 | 17.1 | 15.4 | 13.3 | 31.1 | 31.1 | 31.7 |
| Fibulin-5 | NaN | NaN | NaN | 0 | 0.352224 | 1 | 0 | 0 | 0 | 13.6 | 13.6 | 15.4 |
| Fibrillin-1 | 0.0154067 | 0.0429166 | 0 | 0.902653 | 0.940008 | 1 | 28 | 23.5 | 19.7 | 46.2 | 50.1 | 49.9 |
| Fibrillin-2 | NaN | 0.317021 | 0 | 0.643773 | 0.583496 | 1 | 1.1 | 1.7 | 1.3 | 2.5 | 5.1 | 6.5 |
| Fibronectin | 0.40146 | 0.439422 | 0.432182 | 0.137668 | 0 | 1 | 32.4 | 32.3 | 27.4 | 41.75 | 48.7 | 46.85 |
| Fibronectin type III domain-containing protein 1 | NaN | NaN | NaN | NaN | NaN | NaN | 0 | 0 | 0 | 0 | 0 | 1.6 |
| Growth arrest-specific protein 6 | 1 | 0 | 0.916071 | NaN | NaN | NaN | 3.2 | 3.2 | 5.5 | 0 | 0 | 0 |
| Hemicentin-1 | 0 | NaN | NaN | 0.905493 | 0.954514 | 1 | 0.2 | 0 | 0 | 21.1 | 22.6 | 23.7 |
| Insulin-like growth factor-binding protein 3 | 0.459578 | 0.656975 | 0 | 0.505392 | 0.562787 | 1 | 9.6 | 12.7 | 3.8 | 14.8 | 17.9 | 21.6 |
| Insulin-like growth factor-binding protein 5 | 1 | 0.883961 | 0.724625 | NaN | NaN | 0 | 9.6 | 9.6 | 5.9 | 0 | 0 | 3.7 |
| Latent-transforming growth factor beta-binding protein 1 | 0.202136 | 0.359605 | 0 | 0.790978 | 0.892035 | 1 | 8.1 | 8 | 3.4 | 24.3 | 29.1 | 30.1 |
| Latent-transforming growth factor beta-binding protein 2 | 0.208461 | 0.140977 | 0 | 0.972301 | 0.992045 | 1 | 5.7 | 3.4 | 2.6 | 28.4 | 33.5 | 32.7 |
| Latent-transforming growth factor beta-binding protein 3 | NaN | NaN | NaN | 0 | 0.449629 | 1 | 0 | 0 | 0 | 11.1 | 15 | 17.3 |
| Latent-transforming growth factor beta-binding protein 4 | NaN | 0 | NaN | 0.641584 | 0.851347 | 1 | 0 | 0.8 | 0 | 13.5 | 17 | 18.3 |
| Microfibrillar-associated protein 1 | 0 | NaN | NaN | NaN | NaN | 1 | 3.2 | 0 | 0 | 0 | 0 | 1.8 |
| Microfibrillar-associated protein 2 | 0 | 0.292269 | 0.293736 | 1 | 0.971713 | 0.994121 | 6.5 | 6.5 | 6.5 | 26.8 | 32.7 | 26.8 |
| Microfibril-associated glycoprotein 4 | 0 | 0.0284112 | NaN | 0.869865 | 0.865148 | 1 | 3.5 | 3.5 | 0 | 11.8 | 11.8 | 11.8 |
| Microfibrillar-associated protein 5 | NaN | NaN | NaN | 0 | 0.123682 | 1 | 0 | 0 | 0 | 12.7 | 22.5 | 17.9 |
| Lactadherin;Lactadherin short form;Medin | NaN | NaN | NaN | NaN | 0 | 1 | 0 | 0 | 0 | 0 | 3 | 6.9 |
| Matrix-remodeling-associated protein 5 | 0.265231 | 0.237657 | 0 | 0.951634 | 0.983351 | 1 | 5.5 | 6.5 | 3.7 | 19.4 | 24.2 | 24 |
| Peroxidasin homolog | NaN | NaN | NaN | NaN | 0 | 1 | 0 | 0 | 0 | 0 | 0.7 | 1.6 |
| Slit homolog 3 protein | 1 | 0 | NaN | NaN | 0.262486 | 0.565335 | 3.4 | 2.6 | 0 | 0 | 1.9 | 4.4 |
| Sushi repeat-containing protein SRPX | 1 | 0.580604 | 0 | NaN | NaN | NaN | 12.7 | 8.4 | 5.8 | 0 | 0 | 0 |
| Transforming growth factor-beta-induced protein ig-h3 | 0.277653 | 0.251036 | 0 | 0.736813 | 1 | 0.836761 | 11.1 | 14.2 | 7.2 | 17.7 | 18.6 | 22.1 |
| Thrombospondin-2 | 0.20701 | 0.160562 | 0.997099 | NaN | 0 | 1 | 3.6 | 3 | 4.4 | 1.2 | 2.8 | 7.3 |
| Thrombospondin type-1 domain-containing protein 4 | 0.925152 | 1 | 0.748005 | 0 | 0.192278 | 0.560158 | 7 | 6.2 | 6.2 | 0.8 | 1.9 | 3.3 |
| Tenascin | 0.359682 | 0.0710852 | 0 | 0.134537 | 0.630745 | 1 | 28.2 | 27.4 | 20.7 | 26 | 32.6 | 31.6 |
| WNT1-inducible-signaling pathway protein 2 | 0.328324 | 0 | NaN | 0.644353 | 0.715237 | 1 | 11.2 | 11.2 | 0 | 28.4 | 28.4 | 35.6 |
| Collagen alpha-1(X) chain | NaN | NaN | NaN | 0.922067 | 0 | 1 | 0 | 0 | 0 | 4.1 | 4.1 | 7.2 |
| Collagen alpha-1(XII) chain | 0 | 0.0099652 | 0.349142 | 0.409522 | 0.915152 | 1 | 9.2 | 10.7 | 8.1 | 14.3 | 16.5 | 21.1 |
| Collagen alpha-1(XVI) chain | 0.310458 | 0.560303 | 0 | 0.782662 | 0.904317 | 1 | 3.8 | 3 | 2.5 | 7.1 | 12.4 | 11.2 |
| Collagen alpha-1(I) chain | 0.115595 | 0.10037 | 0 | 0.933093 | 0.939866 | 1 | 21 | 22.4 | 14 | 52.8 | 56.7 | 63.3 |
| Collagen alpha-2(I) chain | 0.0285143 | 0.188383 | 0 | 0.920196 | 0.928148 | 1 | 13.3 | 23.4 | 12.2 | 51.2 | 53.3 | 53.9 |
| Collagen alpha-1(XXVI) chain | NaN | NaN | NaN | NaN | NaN | NaN | 0 | 0 | 0 | 0 | 5.5 | 0 |
| Collagen alpha-1(II) chain;Collagen alpha-1(II) chain;Chondrocalcin | 0 | 0.160143 | NaN | 0.92121 | 0.809417 | 1 | 2.2 | 1.8 | 0.6 | 2.8 | 2.8 | 2.8 |
| Collagen alpha-1(III) chain | 0.16931 | 0.36796 | 0 | 0.782915 | 0.856186 | 1 | 5.7 | 12.1 | 4.2 | 26.2 | 31.1 | 32.1 |
| Collagen alpha-5(IV) chain;Collagen alpha-1(IV) chain;Arresten | 0.604016 | 0.258302 | 0.0358365 | 1 | 0.738402 | 0 | 1.5 | 1.5 | 1.5 | 1.5 | 2.4 | 0.8 |
| Collagen alpha-5(IV) chain;Collagen alpha-1(IV) chain;Arresten | 0.604016 | 0.258302 | 0.0358365 | 1 | 0.738402 | 0 | 1.5 | 1.5 | 1.5 | 1.5 | 2.4 | 0.8 |
| Collagen alpha-1(VI) chain | 0 | 1 | 0.184443 | 0.35573 | 0.341195 | 0.822912 | 24.5 | 22.1 | 18.9 | 21.2 | 22.6 | 25.8 |
| Collagen alpha-2(VI) chain;Collagen alpha-2(VI) chain | 0.5444 | 0.493064 | 0.408584 | 0 | 0.988366 | 1 | 17.95 | 18.35 | 15 | 19.3 | 18 | 23.25 |
| Collagen alpha-3(VI) chain | 0.750767 | 0.93077 | 0.0585566 | 0 | 0.262145 | 1 | 29.6 | 31.5 | 26.4 | 28.6 | 31.7 | 32.9 |
| Collagen alpha-1(VIII) chain;Vastatin | NaN | NaN | NaN | 0.0646571 | 0 | 1 | 0 | 0 | 0 | 1.6 | 3.6 | 4.7 |
| Decorin | 0.992316 | 0.909385 | 1 | NaN | NaN | 0 | 20.6 | 20.6 | 17 | 0 | 0 | 3.1 |
| Hyaluronan and proteoglycan link protein 1 | NaN | NaN | NaN | 0 | 0.491223 | 1 | 0 | 0 | 0 | 6.8 | 12.4 | 12.1 |
| Hyaluronan and proteoglycan link protein 3 | NaN | NaN | NaN | 0 | 0.720248 | 1 | 0 | 0 | 0 | 14.4 | 17.8 | 17.8 |
| Basement membrane-specific heparan sulfate proteoglycan core protein | 0.11765 | 0.0904432 | 0 | 0.950786 | 0.975319 | 1 | 16.8 | 16.5 | 12.4 | 35 | 39.3 | 36.1 |
| Prolargin | 1 | 0.660654 | NaN | NaN | 0.062651 | 0 | 3.1 | 7.1 | 0 | 0 | 7.1 | 9.7 |
| Versican core protein | 0.267768 | 0.257144 | 0 | 0.899795 | 0.937324 | 1 | 5.1 | 3.7 | 3.9 | 6.9 | 6.7 | 7.4 |
| Annexin A1 | 0.70613 | 1 | 0.49788 | 0 | 0.568718 | 0.556051 | 20.8 | 22.3 | 20.5 | 9.2 | 22.3 | 24.3 |
| Annexin A11 | 0.767247 | 1 | 0.223398 | NaN | 0.426464 | 0 | 5.1 | 7.2 | 2.8 | 0 | 5.1 | 2.3 |
| Annexin A2;Putative annexin A2-like protein | 1 | 0.946846 | 0.927107 | 0 | 0.244919 | 0.322865 | 40.4 | 44.8 | 32.7 | 32.7 | 51.3 | 47.8 |
| Annexin A4 | 0.995732 | 0.827506 | 1 | NaN | NaN | 0 | 8 | 9.3 | 4.6 | 0 | 0 | 4.6 |
| Annexin A5 | 1 | 0.749356 | 0.0625602 | 0 | 0.613195 | 0.606328 | 15.3 | 15.3 | 11.9 | 11.9 | 14.1 | 17.8 |
| Annexin A6 | 1 | 0.765789 | 0.39174 | 0 | 0.382075 | 0.613858 | 11.9 | 10.5 | 8.7 | 3.9 | 5.9 | 12.2 |
| Gremlin-1 | NaN | NaN | NaN | 0.783996 | 0 | 1 | 0 | 0 | 0 | 20.1 | 20.1 | 31 |
| Galectin-1 | 0 | 0.36431 | 0.299705 | 0.774156 | 0.832971 | 1 | 64.4 | 64.4 | 48.1 | 64.4 | 64.4 | 64.4 |
| Galectin-3 | 0.237048 | 0.174598 | 0 | 0.917139 | 0.942787 | 1 | 4.4 | 4.4 | 4.4 | 12.8 | 20 | 20 |
| Galectin-9; Galectin-9B; Galectin-9C | 1 | 0 | NaN | NaN | NaN | NaN | 4.5 | 7.1 | 0 | 0 | 0 | 0 |
| Galectin-9; Galectin-9B; Galectin-9C | 1 | 0 | NaN | NaN | NaN | NaN | 4.5 | 7.1 | 0 | 0 | 0 | 0 |
| Galectin-9; Galectin-9B; Galectin-9C | 1 | 0 | NaN | NaN | NaN | NaN | 4.5 | 7.1 | 0 | 0 | 0 | 0 |
| Protein ERGIC-53 | 1 | 0.512287 | NaN | NaN | NaN | 0 | 3.7 | 3.7 | 0 | 0 | 0 | 2.2 |
| Mucin-19 | NaN | NaN | NaN | NaN | NaN | NaN | 0 | 0 | 0 | 0 | 0 | 0.2 |
| Plexin-B2 | 1 | NaN | NaN | NaN | NaN | 0 | 2.1 | 0 | 0 | 0 | 0 | 0.6 |
| ADAMTS-like protein 1 | 0.766302 | 0.55558 | 0 | 0.116392 | 0.66495 | 1 | 11.5 | 11.7 | 6.4 | 8 | 10.2 | 12.3 |
| ADAMTS-like protein 4 | 0.676056 | 1 | NaN | NaN | NaN | 0 | 8 | 6.8 | 0 | 0 | 0 | 1.2 |
| Bone morphogenetic protein 1 | 1 | 0.826869 | NaN | 0 | 0.543237 | NaN | 1.1 | 2.6 | 0 | 1.1 | 1.1 | 0 |
| CD109 antigen | 1 | 0 | NaN | NaN | NaN | NaN | 2.6 | 4.5 | 0 | 0 | 0 | 0 |
| Cystatin-B | 0 | 1 | NaN | NaN | NaN | NaN | 12.2 | 12.2 | 0 | 0 | 0 | 0 |
| Cathepsin B; Cathepsin B light chain; Cathepsin B heavy chain | 0.148728 | 0.245001 | 0 | 0.285292 | 0.858847 | 1 | 17.7 | 18 | 12.7 | 17.7 | 17.7 | 17.7 |
| Cathepsin D; Cathepsin D light chain; Cathepsin D heavy chain | 0.363876 | 1 | 0.231608 | 0 | 0.299292 | 0.368465 | 2.4 | 7.3 | 2.4 | 2.4 | 4.4 | 2.4 |
| Cathepsin K | 0.772021 | 0.939017 | 0.8059 | 0 | 0.690235 | 1 | 13.7 | 9.7 | 9.7 | 10.6 | 10.6 | 13.7 |
| Cathepsin L1; Cathepsin L1 heavy chain; Cathepsin L1 light chain | 1 | 0.909934 | 0.334742 | NaN | 0 | 0.951483 | 8.4 | 4.2 | 4.2 | 0 | 4.2 | 4.2 |
| Cathepsin Z | 0 | NaN | NaN | NaN | NaN | 1 | 3.6 | 0 | 0 | 0 | 0 | 7.6 |
| Serine protease HTRA1 | 1 | 0.248257 | 0.409394 | 0 | 0.186891 | 0.453529 | 10.8 | 10.8 | 10.8 | 10.8 | 10.8 | 10.8 |
| Prolyl 3-hydroxylase 1 | 0.683384 | 1 | 0.0888374 | NaN | 0 | 0.847978 | 1.7 | 3.6 | 1.7 | 0 | 1.9 | 5.5 |
| Lysyl oxidase homolog 1 | 0.0453346 | 0 | NaN | 0.903068 | 0.882868 | 1 | 2.1 | 2.1 | 0 | 8.4 | 12.4 | 14.3 |
| Lysyl oxidase homolog 2 | NaN | NaN | NaN | 0 | 0.639446 | 1 | 0 | 0 | 0 | 5.8 | 14.2 | 12.7 |
| Lysyl oxidase homolog 4 | NaN | NaN | NaN | NaN | 0 | 1 | 0 | 0 | 0 | 0 | 3.6 | 6.6 |
| Prolyl 4-hydroxylase subunit alpha-1 | 0.971071 | 0.667432 | 0.0592428 | 0 | 0.682343 | 1 | 7.4 | 8.1 | 5.4 | 2.7 | 5.4 | 12 |
| Prolyl 4-hydroxylase subunit alpha-2 | 0.699376 | 0.419752 | 0 | 0.405582 | 0.975961 | 1 | 7.9 | 4.1 | 2.3 | 6 | 11.8 | 8.1 |
| Plasminogen activator inhibitor 1 | 0 | 0.247373 | NaN | 0.277359 | 0.466168 | 1 | 2.5 | 2.5 | 0 | 2.5 | 2.5 | 4.5 |
| Glia-derived nexin | 1 | 0.870394 | 0.835954 | 0 | 0.068513 | 0.355583 | 35.3 | 38.3 | 26.2 | 14.1 | 23.2 | 13.1 |
| Serpin H1 | 0.892049 | 0.484085 | 0.314938 | 0 | 0.770553 | 1 | 17.5 | 20.1 | 10.8 | 14.4 | 20.1 | 20.1 |
| Protein-glutamine gamma-glutamyltransferase 2 | 0.411128 | 0.333155 | 0 | 0.907844 | 0.91668 | 1 | 5.5 | 9 | 4.4 | 25.6 | 24.2 | 28.2 |
| Metalloproteinase inhibitor 3 | 0.5414 | 0.284992 | 0 | 1 | 0.929214 | 0.985722 | 22.7 | 7.6 | 15.2 | 28.4 | 28.4 | 28.4 |
| Cytokine receptor-like factor 1 | NaN | NaN | NaN | 0 | 0.789145 | 1 | 0 | 0 | 0 | 2.8 | 2.8 | 6.2 |
| Stromal cell-derived factor 1; SDF-1-beta(3-72); SDF-1-alpha(3-67) | 0.895899 | 1 | 0.853639 | NaN | 0 | NaN | 15.7 | 24.7 | 15.7 | 0 | 15.7 | 0 |
| Fibroblast growth factor 2 | 0.701135 | 0.992271 | 1 | 0 | NaN | 0.406645 | 3.5 | 9 | 8.7 | 3.5 | 0 | 5.9 |
| Midkine | 1 | 0.784082 | 0.704327 | NaN | 0 | NaN | 11.5 | 11.5 | 11.5 | 0 | 11.5 | 0 |
| Multiple epidermal growth factor-like domains protein 6 | NaN | NaN | NaN | 0 | 0.210579 | 1 | 0 | 0 | 0 | 24.55 | 25.75 | 28.8 |
| Protein S100-A10 | NaN | 0.490581 | 1 | 0 | NaN | NaN | 0 | 10.3 | 10.3 | 10.3 | 0 | 0 |
| Protein S100-A11; Protein S100-A11, N-terminally processed | 0.641105 | 0.109244 | 0 | NaN | NaN | 1 | 8.6 | 17.1 | 8.6 | 0 | 0 | 17.1 |
| Protein S100-A4 | 1 | 0.857707 | 0.172154 | NaN | 0 | NaN | 7.9 | 18.8 | 7.9 | 0 | 7.9 | 0 |
| Protein S100-A6 | 1 | 0.849022 | 0.648654 | NaN | 0 | 0.350636 | 16.7 | 16.7 | 16.7 | 0 | 8.9 | 8.9 |
| Transforming growth factor beta-1; Latency-associated peptide | NaN | NaN | NaN | 0 | 1 | 0.537694 | 0 | 0 | 0 | 5.9 | 5.9 | 5.9 |
| Protein Wnt-5a; Protein Wnt-5b | 0.62955 | 0.202226 | 0 | 0.626353 | 0.712664 | 1 | 3.3 | 3.3 | 3 | 6.3 | 6.3 | 6 |
| Protein Wnt-5a; Protein Wnt-5b | 0.62955 | 0.202226 | 0 | 0.626353 | 0.712664 | 1 | 3.3 | 3.3 | 3 | 6.3 | 6.3 | 6 |


References
- Mehal, W.Z.; Iredale, J.; Friedman, S.L. Scraping fibrosis: Expressway to the core of fibrosis. Nat. Med. 2011, 17, 552–553. [Google Scholar] [CrossRef] [PubMed]
- Rosenbloom, J.; Macarak, E.; Piera-Velazquez, S.; Jimenez, S.A. Human Fibrotic Diseases: Current Challenges in Fibrosis Research. Methods Mol. Biol. 2017, 1627, 1–23. [Google Scholar] [PubMed]
- Wynn, T.A. Cellular and molecular mechanisms of fibrosis. J. Pathol. 2008, 214, 199–210. [Google Scholar] [CrossRef] [PubMed]
- Rockey, D.C.; Bell, P.D.; Hill, J.A. Fibrosis—A common pathway to organ injury and failure. N. Engl. J. Med. 2015, 372, 1138–1149. [Google Scholar] [CrossRef]
- Zeisberg, M.; Kalluri, R. Cellular Mechanisms of Tissue Fibrosis. 1. Common and organ-specific mechanisms associated with tissue fibrosis. Am. J. Physiol. Cell Physiol. 2013, 304, C216–C225. [Google Scholar] [CrossRef]
- Wynn, A.T.; Ramalingam, T.R. Mechanisms of fibrosis: Therapeutic translation for fibrotic disease. Nat. Med. 2012, 18, 1028–1040. [Google Scholar] [CrossRef]
- Schuppan, D.; Ruehl, M.; Somasundaram, R.; Hahn, E.G. Matrix as a modulator of hepatic fibrogenesis. Semin. Liver Dis. 2001, 21, 351–372. [Google Scholar] [CrossRef]
- Perlish, S.J.; Lemlich, G.; Fleischmajer, R. Identification of Collagen Fibrils in Scleroderma Skin. J. Investig. Dermatol. 1988, 90, 48–54. [Google Scholar] [CrossRef]
- Eckes, B.; Moinzadeh, P.; Sengle, G.; Hunzelmann, N.; Krieg, T. Molecular and cellular basis of scleroderma. J. Mol. Med. 2014, 92, 913–924. [Google Scholar] [CrossRef]
- LeRoy, E.C. Increased collagen synthesis by scleroderma skin fibroblasts in vitro: A possible defect in the regulation or activation of the scleroderma fibroblast. J. Clin Investig. 1974, 54, 880–889. [Google Scholar] [CrossRef]
- Gabbiani, G. The myofibroblast in wound healing and fibrocontractive diseases. J. Pathol. 2003, 200, 500–503. [Google Scholar] [CrossRef] [PubMed]
- Gabrielli, A.; Avvedimento, E.V.; Krieg, T. Scleroderma. N. Engl. J. Med. 2009, 360, 1989–2003. [Google Scholar] [CrossRef] [PubMed]
- Mattila, L.; Airola, K.; Ahonen, M.; Hietarinta, M.; Black, C.; Saarialho-Kere, U.; Kahari, V.M. Activation of tissue inhibitor of metalloproteinases-3 (TIMP-3) mRNA expression in scleroderma skin fibroblasts. J. Investig. Derm. 1998, 110, 416–421. [Google Scholar] [CrossRef] [PubMed]
- Santos, A.; Lagares, D. Matrix Stiffness: The Conductor of Organ Fibrosis. Curr. Rheumatol. Rep. 2018, 20, 2. [Google Scholar] [CrossRef] [PubMed]
- Brinckmann, J.; Kim, S.; Wu, J.; Reinhardt, D.P.; Batmunkh, C.; Metzen, E.; Notbohm, H.; Bank, R.A.; Krieg, T.; Hunzelmann, N. Interleukin 4 and prolonged hypoxia induce a higher gene expression of lysyl hydroxylase 2 and an altered cross-link pattern: Important pathogenetic steps in early and late stage of systemic scleroderma? Matrix Biol. 2005, 24, 459–468. [Google Scholar] [CrossRef]
- van der Slot, A.J.; van Dura, E.A.; de Wit, E.C.; De Groot, J.; Huizinga, T.W.; Bank, R.A.; Zuurmond, A.M. Elevated formation of pyridinoline cross-links by profibrotic cytokines is associated with enhanced lysyl hydroxylase 2b levels. Biochim. Biophys. Acta 2005, 1741, 95–102. [Google Scholar] [CrossRef]
- Rimar, D.; Rosner, I.; Nov, Y.; Slobodin, G.; Rozenbaum, M.; Halasz, K.; Haj, T.; Jiries, N.; Kaly, L.; Boulman, N.; et al. Brief report: Lysyl oxidase is a potential biomarker of fibrosis in systemic sclerosis. Arthritis Rheumatol. 2014, 66, 726–730. [Google Scholar] [CrossRef]
- Vadasz, Z.; Balbir Gurman, A.; Meroni, P.; Farge, D.; Levi, Y.; Ingegnoli, F.; Braun-Moscovici, Y.; Rosner, I.; Slobodin, G.; Rozenbaum, M.; et al. Lysyl oxidase-a possible role in systemic sclerosis-associated pulmonary hypertension: A multicentre study. Rheumatology 2019, 58, 1547–1555. [Google Scholar] [CrossRef]
- Grenard, P.; Bresson-Hadni, S.; El Alaoui, S.; Chevallier, M.; Vuitton, D.A.; Ricard-Blum, S. Transglutaminase-mediated cross-linking is involved in the stabilization of extracellular matrix in human liver fibrosis. J. Hepatol. 2001, 35, 367–375. [Google Scholar] [CrossRef]
- Philp, C.J.; Siebeke, I.; Clements, D.; Miller, S.; Habgood, A.; John, A.E.; Navaratnam, V.; Hubbard, R.B.; Jenkins, G.; Johnson, S.R. Extracellular Matrix Cross-Linking Enhances Fibroblast Growth and Protects against Matrix Proteolysis in Lung Fibrosis. Am. J. Respir. Cell Mol. Biol. 2018, 58, 594–603. [Google Scholar] [CrossRef]
- Rosenbloom, J.; Mendoza, F.A.; Jimenez, S.A. Strategies for anti-fibrotic therapies. Biochim. Biophys. Acta 2013, 1832, 1088–1103. [Google Scholar] [CrossRef] [PubMed]
- Sonnylal, S.; Denton, C.P.; Zheng, B.; Keene, D.R.; He, R.; Adams, H.P.; Vanpelt, C.S.; Geng, Y.J.; Deng, J.M.; Behringer, R.R.; et al. Postnatal induction of transforming growth factor beta signaling in fibroblasts of mice recapitulates clinical, histologic, and biochemical features of scleroderma. Arthritis Rheum. 2007, 56, 334–344. [Google Scholar] [CrossRef] [PubMed]
- Abraham, D.J.; Krieg, T.; Distler, J.; Distler, O. Overview of pathogenesis of systemic sclerosis. Rheumatology 2009, 48 (Suppl. 3), iii3–iii7. [Google Scholar] [CrossRef]
- Denton, C.P.; Black, C.M.; Abraham, D.J. Mechanisms and consequences of fibrosis in systemic sclerosis. Nat. Clin. Pract. Rheumatol. 2006, 2, 134–144. [Google Scholar] [CrossRef] [PubMed]
- Hinz, B.; Phan, S.H.; Thannickal, V.J.; Galli, A.; Bochaton-Piallat, M.L.; Gabbiani, G. The myofibroblast: One function, multiple origins. Am. J. Pathol. 2007, 170, 1807–1816. [Google Scholar] [CrossRef]
- Leask, A.; Abraham, D.J. The role of connective tissue growth factor, a multifunctional matricellular protein, in fibroblast biology. Biochem Cell Biol. 2003, 81, 355–363. [Google Scholar] [CrossRef]
- Kawakami, T.; Ihn, H.; Xu, W.; Smith, E.; LeRoy, C.; Trojanowska, M. Increased expression of TGF-beta receptors by scleroderma fibroblasts: Evidence for contribution of autocrine TGF-beta signaling to scleroderma phenotype. J. Investig. Derm. 1998, 110, 47–51. [Google Scholar] [CrossRef]
- Yamakage, A.; Kikuchi, K.; Smith, E.A.; LeRoy, E.C.; Trojanowska, M. Selective upregulation of platelet-derived growth factor alpha receptors by transforming growth factor beta in scleroderma fibroblasts. J. Exp. Med. 1992, 175, 1227–1234. [Google Scholar] [CrossRef]
- Quan, G.; Choi, J.Y.; Lee, D.S.; Lee, S.C. TGF-beta1 up-regulates transglutaminase two and fibronectin in dermal fibroblasts: A possible mechanism for the stabilization of tissue inflammation. Arch. Derm. Res. 2005, 297, 84–90. [Google Scholar] [CrossRef]
- Lilla, S.; Mamone, G. Structural Characterization of Transglutaminase-Catalyzed Casein Cross- Linking. J. Chromatogr. Sep. Tech. 2012, 3, 1–9. [Google Scholar] [CrossRef]
- Huang, M.; Liu, Z.; Baugh, L.; DeFuria, J.; Maione, A.; Smith, A.; Kashpur, O.; Black Iii, L.D.; Georgakoudi, I.; Whitfield, M.L.; et al. Lysyl oxidase enzymes mediate TGF-beta1-induced fibrotic phenotypes in human skin-like tissues. Lab Investig. 2019, 99, 514–527. [Google Scholar] [CrossRef] [PubMed]
- Ezzoukhry, Z.; Henriet, E.; Piquet, L.; Boye, K.; Bioulac-Sage, P.; Balabaud, C.; Couchy, G.; Zucman-Rossi, J.; Moreau, V.; Saltel, F. TGF-beta1 promotes linear invadosome formation in hepatocellular carcinoma cells, through DDR1 up-regulation and collagen I cross-linking. Eur. J. Cell Biol. 2016, 95, 503–512. [Google Scholar] [CrossRef] [PubMed]
- Remst, D.F.; Blaney Davidson, E.N.; Vitters, E.L.; Bank, R.A.; van den Berg, W.B.; van der Kraan, P.M. TGF-β induces Lysyl hydroxylase 2b in human synovial osteoarthritic fibroblasts through ALK5 signaling. Cell Tissue Res. 2014, 355, 163–171. [Google Scholar] [CrossRef] [PubMed]
- van den Hoogen, F.; Khanna, D.; Fransen, J.; Johnson, S.R.; Baron, M.; Tyndall, A.; Matucci-Cerinic, M.; Naden, R.P.; Medsger, T.A., Jr.; Carreira, P.E.; et al. 2013 classification criteria for systemic sclerosis: An American College of Rheumatology/European League against Rheumatism collaborative initiative. Arthritis Rheum 2013, 65, 2737–2747. [Google Scholar] [CrossRef]
- van der Slot, A.J.; Zuurmond, A.M.; van den Bogaerdt, A.J.; Ulrich, M.M.; Middelkoop, E.; Boers, W.; Karel Ronday, H.; DeGroot, J.; Huizinga, T.W.; Bank, R.A. Increased formation of pyridinoline cross-links due to higher telopeptide lysyl hydroxylase levels is a general fibrotic phenomenon. Matrix Biol. 2004, 23, 251–257. [Google Scholar] [CrossRef]
- van der Slot, A.J.; Zuurmond, A.M.; Bardoel, A.F.; Wijmenga, C.; Pruijs, H.E.; Sillence, D.O.; Brinckmann, J.; Abraham, D.J.; Black, C.M.; Verzijl, N.; et al. Identification of PLOD2 as telopeptide lysyl hydroxylase, an important enzyme in fibrosis. J. Biol. Chem 2003, 278, 40967–40972. [Google Scholar] [CrossRef]
- Istok, R.; Bély, M.; Stancíková, M.; Rovenský, J. Evidence for increased pyridinoline concentration in fibrotic tissues in diffuse systemic sclerosis. Clin. Exp. Dermatol. 2001, 26, 545–547. [Google Scholar] [CrossRef]
- van der Slot-Verhoeven, A.J.; van Dura, E.A.; Attema, J.; Blauw, B.; Degroot, J.; Huizinga, T.W.; Zuurmond, A.M.; Bank, R.A. The type of collagen cross-link determines the reversibility of experimental skin fibrosis. Biochim Biophys Acta 2005, 1740, 60–67. [Google Scholar] [CrossRef]
- Chen, Y.; Guo, H.; Terajima, M.; Banerjee, P.; Liu, X.; Yu, J.; Momin, A.A.; Katayama, H.; Hanash, S.M.; Burns, A.R.; et al. Lysyl Hydroxylase 2 Is Secreted by Tumor Cells and Can Modify Collagen in the Extracellular Space. J. Biol. Chem 2016, 291, 25799–25808. [Google Scholar] [CrossRef]
- Wang, Z.; Perez, M.; Caja, S.; Melino, G.; Johnson, T.S.; Lindfors, K.; Griffin, M. Extracellular transglutaminase 2 is catalytically inactive, but is transiently activated upon tissue injury. PLoS ONE 2008, 3, e1861. [Google Scholar]
- Siegel, M.; Strnad, P.; Watts, R.E.; Choi, K.; Jabri, B.; Omary, M.B.; Khosla, C. A novel extracellular role for tissue transglutaminase in matrix-bound VEGF-mediated angiogenesis. Cell Death Dis. 2013, 4, e808. [Google Scholar]
- Xu, H.; Hsu, P.; Zhang, L.; Tsai, M.; Freitas, M.A. Database Search Algorithm for Identification of Intact Cross-Links in Proteins and Peptides Using Tandem Mass Spectrometry. J. Proteome Res. 2010, 9, 3384–3393. [Google Scholar] [CrossRef]
- Barysz, H.M.; Malmstrom, J. Development of Large-scale Cross-linking Mass Spectrometry. Mol. Cell Proteom. 2018, 17, 1055–1066. [Google Scholar] [CrossRef] [PubMed]
- Fortunati, D.; Chau, D.Y.; Wang, Z.; Collighan, R.J.; Griffin, M. Cross-linking of collagen I by tissue transglutaminase provides a promising biomaterial for promoting bone healing. Amino Acids 2014, 46, 1751–1761. [Google Scholar] [CrossRef]
- Kleman, J.-P.; Aeschlimann, D.; Paulsson, M.; van der Rest, M. Transglutaminase-Catalyzed Cross-Linking of Fibrils of Collagen V/XI in A204 Rhabdomyosarcoma Cells. Biochemistry 1995, 34, 13768–13775. [Google Scholar] [CrossRef] [PubMed]
- Bowness, J.M.; Folk, J.E.; Timpl, R. Identification of a Substrate Site for Liver Transglutaminase on the Aminopropeptide of Type III Collagen. J. Biol. Chem. 1987, 262, 1022–1024. [Google Scholar] [CrossRef]
- Lai, T.S.; Greenberg, C.S. Histaminylation of fibrinogen by tissue transglutaminase-2 (TGM-2): Potential role in modulating inflammation. Amino Acids 2013, 45, 857–864. [Google Scholar] [CrossRef]
- Forsprecher, J.; Wang, Z.; Nelea, V.; Kaartinen, M.T. Enhanced osteoblast adhesion on transglutaminase 2-crosslinked fibronectin. Amino Acids 2009, 36, 747–753. [Google Scholar] [CrossRef]
- Griffin, M.; Casadio, R.; Bergamini, C.M. Transglutaminases: Nature’s biological glues. Biochem. J. 2002, 368, 377–396. [Google Scholar] [CrossRef]
- Lorand, L.; Graham, R.M. Transglutaminases: Crosslinking enzymes with pleiotropic functions. Nat. Rev Mol. Cell Biol. 2003, 4, 140–156. [Google Scholar] [CrossRef]
- Zhao, W.; Yang, A.; Chen, W.; Wang, P.; Liu, T.; Cong, M.; Xu, A.; Yan, X.; Jia, J.; You, H. Inhibition of lysyl oxidase-like 1 (LOXL1) expression arrests liver fibrosis progression in cirrhosis by reducing elastin crosslinking. Biochim. Biophys. Acta Mol. Basis Dis. 2018, 1864, 1129–1137. [Google Scholar] [CrossRef] [PubMed]
- Barry-Hamilton, V.; Spangler, R.; Marshall, D.; McCauley, S.; Rodriguez, H.M.; Oyasu, M.; Mikels, A.; Vaysberg, M.; Ghermazien, H.; Wai, C.; et al. Allosteric inhibition of lysyl oxidase-like-2 impedes the development of a pathologic microenvironment. Nat. Med. 2010, 16, 1009–1017. [Google Scholar] [CrossRef] [PubMed]
- Huang, M.; Cai, G.; Baugh, L.M.; Liu, Z.; Smith, A.; Watson, M.; Popovich, D.; Zhang, T.; Stawski, L.S.; Trojanowska, M.; et al. Systemic Sclerosis Dermal Fibroblasts Induce Cutaneous Fibrosis Through Lysyl Oxidase-like 4: New Evidence From Three-Dimensional Skin-like Tissues. Arthritis Rheumatol. 2020, 72, 791–801. [Google Scholar] [CrossRef] [PubMed]
- Olsen, K.C.; Sapinoro, R.E.; Kottmann, R.M.; Kulkarni, A.A.; Iismaa, S.E.; Johnson, G.V.; Thatcher, T.H.; Phipps, R.P.; Sime, P.J. Transglutaminase 2 and its role in pulmonary fibrosis. Am. J. Respir. Crit. Care Med. 2011, 184, 699–707. [Google Scholar] [CrossRef] [PubMed]
- Wang, Z.; Stuckey, D.J.; Murdoch, C.E.; Camelliti, P.; Lip, G.Y.H.; Griffin, M. Cardiac fibrosis can be attenuated by blocking the activity of transglutaminase 2 using a selective small-molecule inhibitor. Cell Death Dis. 2018, 9, 613. [Google Scholar] [CrossRef]
- Johnson, T.S.; Skill, N.J.; El Nahas, A.M.; Oldroyd, S.D.; Thomas, G.L.; Douthwaite, J.A.; Haylor, J.L.; Griffin, M. Transglutaminase transcription and antigen translocation in experimental renal scarring. J. Am. Soc. Nephrol. 1999, 10, 2146–2157. [Google Scholar]
- Bains, W. Transglutaminse 2 and EGGL, the Protein Cross-Link Formed by Transglutaminse 2, As Therapeutic Targets for Disabilities of Old Age. Rejuvenation Res. 2013, 16, 495–517. [Google Scholar] [CrossRef]
- Tatsukawa, H.; Otsu, R.; Tani, Y.; Wakita, R.; Hitomi, K. Isozyme-specific comprehensive characterization of transglutaminase-crosslinked substrates in kidney fibrosis. Sci. Rep. 2018, 8, 7306. [Google Scholar] [CrossRef]
- Stachel, I.; Schwarzenbolz, U.; Henle, T.; Meyer, M. Cross-Linking of Type I Collagen with Microbial Transglutaminase: Identification of Cross-Linking Sites. Biomacromolecules 2010, 11, 698–705. [Google Scholar] [CrossRef]
- Malesevic, M.; Migge, A.; Hertel, T.C.; Pietzsch, M. A fluorescence-based array screen for transglutaminase substrates. Chembiochem 2015, 16, 1169–1174. [Google Scholar] [CrossRef]
- Nunes, I.; Gleizes, P.E.; Metz, C.N.; Rifkin, D.B. Latent transforming growth factor-beta binding protein domains involved in activation and transglutaminase-dependent cross-linking of latent transforming growth factor-beta. J. Cell Biol. 1997, 136, 1151–1163. [Google Scholar] [CrossRef] [PubMed]
- Koli, K.; Hyytiainen, M.; Ryynanen, M.J.; Keski-Oja, J. Sequential deposition of latent TGF-beta binding proteins (LTBPs) during formation of the extracellular matrix in human lung fibroblasts. Exp. Cell Res. 2005, 310, 370–382. [Google Scholar] [CrossRef] [PubMed]
- Dallas, S.L.; Keene, D.R.; Bruder, S.P.; Saharinen, J.; Sakai, L.Y.; Mundy, G.R.; Bonewald, L.F. Role of the Latent Transforming Growth Factor β-Binding Protein 1 in Fibrillin-Containing Microfibrils in Bone Cells In Vitro and In Vivo. J. Bone Miner Res. 2000, 15, 68–81. [Google Scholar] [CrossRef] [PubMed]
- Hyytiäinen, M.; Taipale, J.; Heldin, C.H.; Keski-Oja, J. Recombinant Latent Transforming Growth Factor Beta-Binding Protein 2 Assembles to Fibroblast Extracellular Matrix and Is Susceptible to Proteolytic Processing and Release. J. Biol. Chem. 1998, 273, 20669–20676. [Google Scholar] [CrossRef] [PubMed]
- Mosher, D.F.; Schad, P.E. Cross-linking of fibronectin to collagen by blood coagulation Factor XIIIa. J. Clin. Investig. 1979, 64, 781–787. [Google Scholar] [CrossRef] [PubMed]
- Symoens, S.; Renard, M.; Bonod-Bidaud, C.; Syx, D.; Vaganay, E.; Malfait, F.; Ricard-Blum, S.; Kessler, E.; Van Laer, L.; Coucke, P.; et al. Identification of binding partners interacting with the alpha1-N-propeptide of type V collagen. Biochem J. 2011, 433, 371–381. [Google Scholar] [CrossRef]
- Bowness, J.M.; Tarr, A.H.; Wiebe, R.I. Transglutaminase-catalysed cross-linking: A potential mechanism for the interaction of fibrinogen, low density lipoprotein and arterial type III procollagen. Thromb. Res. 1989, 54, 357–367. [Google Scholar] [CrossRef]
- Rappsilber, J.; Ishihama, Y.; Mann, M. Stop and Go Extraction Tips for Matrix-Assisted Laser Desorption/Ionization, Nanoelectrospray, and LC/MS Sample Pretreatment in Proteomics. Anal. Chem. 2003, 75, 663–670. [Google Scholar] [CrossRef]
- Fang, J.; Rand, K.D.; Beuning, P.J.; Engen, J.R. False EX1 signatures caused by sample carryover during HX MS analyses. Int. J. Mass Spectrom. 2011, 302, 19–25. [Google Scholar] [CrossRef]
- Cox, J.; Mann, M. MaxQuant enables high peptide identification rates, individualized p.p.b.-range mass accuracies and proteome-wide protein quantification. Nat. Biotechnol. 2008, 26, 1367–1372. [Google Scholar] [CrossRef]
- Schwanhausser, B.; Busse, D.; Li, N.; Dittmar, G.; Schuchhardt, J.; Wolf, J.; Chen, W.; Selbach, M. Global quantification of mammalian gene expression control. Nature 2011, 473, 337–342. [Google Scholar] [CrossRef] [PubMed]
- Naba, A.; Clauser, K.R.; Ding, H.; Whittaker, C.A.; Carr, S.A.; Hynes, R.O. The extracellular matrix: Tools and insights for the “omics” era. Matrix Biol. 2016, 49, 10–24. [Google Scholar] [CrossRef] [PubMed]
- Tyanova, S.; Temu, T.; Sinitcyn, P.; Carlson, A.; Hein, M.Y.; Geiger, T.; Mann, M.; Cox, J. The Perseus computational platform for comprehensive analysis of (prote)omics data. Nat. Methods 2016, 13, 731–740. [Google Scholar] [CrossRef] [PubMed]
- Abramoff, M.D.; Magalhaes, P.J.; Ram, S.J. Image Processing with ImageJ. Biophotonics Int. 2004, 11, 36–42. [Google Scholar]







| Sequence + Modifications | Number of Positive Control vs. TGF Replicates | Cross-Linked Proteins |
|---|---|---|
| LGPQGAPGdaQR KGR | 2/3 vs. 3/3 | Collagen alpha-2(V) (347–366) + multiple candidates |
| SdaQLQK GKGR | 0/3 vs. 2/3 | Fibrinogen alpha (239–243) + three candidates |
| QGoxPSGASGER VTPKEK | 2/3 vs. 3/3 | Collagen alpha-1(I) (985–994) + Fibronectin (1847–1852) |
| NNQK GKGR | 1/3 vs. 2/3 | Fibronectin (2069–2072) + multiple candidates |
| GVQGoxPPGPAGPR KK | 1/3 vs. 3/3 | Collagen alpha-1(I) (686–697) + multiple candidates |
Publisher’s Note: MDPI stays neutral with regard to jurisdictional claims in published maps and institutional affiliations. |
© 2021 by the authors. Licensee MDPI, Basel, Switzerland. This article is an open access article distributed under the terms and conditions of the Creative Commons Attribution (CC BY) license (http://creativecommons.org/licenses/by/4.0/).
Share and Cite
Semkova, M.E.; Hsuan, J.J. TGFβ-1 Induced Cross-Linking of the Extracellular Matrix of Primary Human Dermal Fibroblasts. Int. J. Mol. Sci. 2021, 22, 984. https://doi.org/10.3390/ijms22030984
Semkova ME, Hsuan JJ. TGFβ-1 Induced Cross-Linking of the Extracellular Matrix of Primary Human Dermal Fibroblasts. International Journal of Molecular Sciences. 2021; 22(3):984. https://doi.org/10.3390/ijms22030984
Chicago/Turabian StyleSemkova, Mariya E., and J. Justin Hsuan. 2021. "TGFβ-1 Induced Cross-Linking of the Extracellular Matrix of Primary Human Dermal Fibroblasts" International Journal of Molecular Sciences 22, no. 3: 984. https://doi.org/10.3390/ijms22030984
APA StyleSemkova, M. E., & Hsuan, J. J. (2021). TGFβ-1 Induced Cross-Linking of the Extracellular Matrix of Primary Human Dermal Fibroblasts. International Journal of Molecular Sciences, 22(3), 984. https://doi.org/10.3390/ijms22030984

