Hyperbaric Oxygen Preconditioning Upregulates Heme OxyGenase-1 and Anti-Apoptotic Bcl-2 Protein Expression in Spontaneously Hypertensive Rats with Induced Postischemic Acute Kidney Injury
Abstract
1. Introduction
2. Results
2.1. Hemodynamic Parameters
2.2. Glomerular Filtration Rate
2.3. Plasma KIM-1 Levels
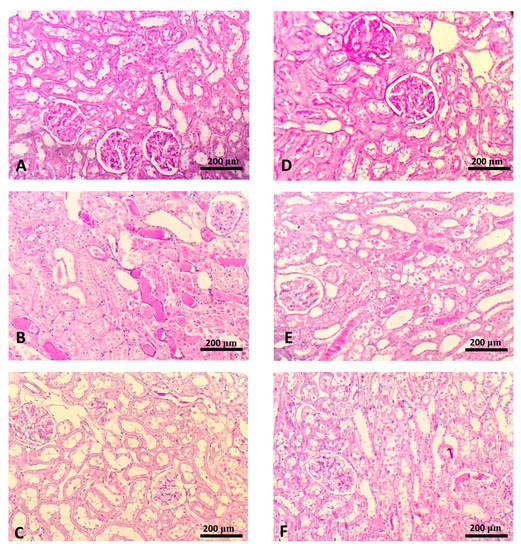
2.4. Histological Findings
2.5. Bax, Bcl-2 and HO-1 Expression in Kidney Tissue
3. Discussion
4. Materials and Methods
4.1. Ethics Statement
4.2. Animals
4.3. Experimental Design
4.4. Hemodynamic Measurements
4.5. Sample Collection
4.6. Glomerular Filtration Rate
4.7. Determination of Plasma Kidney Injury Molecule-1 Levels
4.8. Western Blot Analyses
4.9. Histological Examination
4.10. Statistical Analysis
5. Conclusions
Author Contributions
Funding
Institutional Review Board Statement
Informed Consent Statement
Data Availability Statement
Acknowledgments
Conflicts of Interest
References
- Yang, S.; Chou, W.P.; Pei, L. Effects of propofol on renal ischemia/reperfusion injury in rats. Exp. Ther. Med. 2013, 6, 1177–1183. [Google Scholar] [CrossRef] [PubMed]
- Pavkov, M.E.; Harding, J.L.; Burrows, N.R. Trends in Hospitalization for Acute Kidney Injury–United States, 2000–2014. MMWR Morb. Mortal. Wkly. Rep. 2018, 67, 289–293. [Google Scholar] [CrossRef] [PubMed]
- Moore, B.J.; Torio, C.M. Acute Renal Failure Hospitalizations, 2005-HCUP Statistical Brief #231; Agency for Healthcare Research and Quality: Rockville, MD, USA, 2017.
- Wang, L.; Liu, X.; Chen, Z.; Weng, X.; Qui, T.; Liu, L. Effect of picroside II on apoptosis induced by renal ischemia/reperfusion injury in rats. Exp. Ther. Med. 2015, 9, 817–822. [Google Scholar] [CrossRef] [PubMed]
- Havasi, A.; Borkan, S. Apoptosis and acute kidney injury. Kidney Int. 2011, 80, 29–40. [Google Scholar] [CrossRef] [PubMed]
- Mas-Font, S.; Ros-Martinez, J.; Perez-Calvo, C.; Villa-Diaz, P.; Aldunate-Calvo, S.; Moreno-Clari, E. Prevention of acute kidney injury in Intensive care units. Med. Intensiva 2017, 41, 116–126. [Google Scholar] [CrossRef]
- Choudhury, R. Hypoxia and hyperbaric oxygen therapy: A review. Int. J. Gen. Med. 2018, 11, 431–442. [Google Scholar] [CrossRef]
- Gurer, A.; Ozdogan, M.; Gomceli, I.; Atasoyu, E.M.; Aydinoz, S.; Yildiz, S. Hyperbaric oxygenation attenuates renal ischemia-reperfusion injury in rats. Transpl. Proc. 2006, 38, 3337–3340. [Google Scholar] [CrossRef]
- Camporesi, E.M.; Bosco, G. Hyperbaric oxygen pretreatment and preconditioning. Undersea Hyperb. Med. 2014, 41, 259–263. [Google Scholar]
- Francis, A.; Baynosa, R. Ischaemia-reperfusion injury and hyperbaric oxygen pathways: A review of cellular mechanisms. Diving Hyperb. Med. 2017, 47, 110–117. [Google Scholar] [CrossRef]
- Yogaratnam, J.Z.; Laden, G.; Madden, L.A.; Seymour, A.M.; Guvendik, L.; Cowen, M.; Greenman, J.; Cale, A.; Griffin, S. Hyperbaric oxygen: A new drug in myocardial revascularization and protection? Cardiovasc. Revasc. Med. 2006, 7, 146–154. [Google Scholar] [CrossRef]
- Ivanov, M.; Brkic, P.; Vajic, U.J.; Mihailovic-Stanojevic, N.; Milacic, D.; Jovovic, D.; Karanovic, D.; Djelic, M.; Jeremic, R.; Miloradovic, Z. Hyperbaric oxygenation protects the kidney against ischemia-reperfusion injury. Undersea Hyperb. Med. 2020, 47, 21–30. [Google Scholar] [CrossRef] [PubMed]
- Yasar, M.; Yildiz, S.; Mas, R.; Dundar, K.; Yildirim, A.; Korkmaz, A.; Akay, C.; Kaymakcioglu, N.; Ozisik, T.; Sen, D. The effects of hyperbaric oxygen treatment on oxidtive stress in experimental acute necrotizing pancreatitis. Physiol. Res. 2003, 52, 111–116. [Google Scholar] [PubMed]
- Song, J.; Yu, J.; Prayogo, G.; Cao, W.; Wu, Y.; Jia, Z.; Zhang, A. Understanding kidney injury molecule 1: A novel immune factor in kidney pathophysiology. Am. J. Transl. Res. 2019, 11, 1219–1229. [Google Scholar] [PubMed]
- Kushlinskii, N.E.; Gershtein, E.S.; Naberezhnov, D.S.; Taipov, M.A.; Bezhanova, S.D.; Pushkar, D.Y.; Matveev, V.B.; Stilidi, I.S. Kidney Injury Molecule-1 (KIM-1) in Blood Plasma of Patients with Clear-Cell Carcinoma. Bull. Exp. Biol. Med. 2019, 167, 388–392. [Google Scholar] [CrossRef] [PubMed]
- Schulz, C.A.; Engström, G.; Nilsson, J.; Almgren, P.; Petkovic, M.; Christensson, A.; Nilsson, P.M.; Melander, O.; Orho-Melander, M. Plasma kidney injury molecule-1 (p-KIM-1) levels and deterioration of kidney function over 16 years. Nephrol. Dial. Transplant. 2020, 35, 265–273. [Google Scholar] [CrossRef]
- Goodman, A.I.; Olszanecki, R.; Yang, L.M.; Quan, S.; Li, M.; Omura, S.; Stec, D.E.; Abraham, N.G. Heme oxygenase-1 protects against radiocontrast-induced acute kidney injury by regulating anti-apoptotic proteins. Kidney Int. 2007, 72, 945–953. [Google Scholar] [CrossRef]
- Abraham, N.G.; Kappas, A. Heme oxygenase and the cardiovascular-renal system. Free Radic. Biol. Med. 2005, 39, 1–25. [Google Scholar] [CrossRef]
- Abraham, N.G.; Drummond, G.S.; Lutton, J.D.; Kapas, A. The biological significance and physiological role of heme oxygenase. Cell Physiol. Biochem. 1996, 6, 129–168. [Google Scholar] [CrossRef]
- Goncalves, G.M.; Cenedeze, M.A.; Feitoza, C.Q.; Wang, P.M.H.; Bertocchi, A.P.F.; Damiao, M.J.; Pinheiro, H.S.; Teixeira, V.A.; Dos Reis, M.A.; Pacheco-Silva, A.; et al. The role of heme oxygenase 1 in rapamycin-induced renal dysfunction after ischemia and reperfusion injury. Kidney Int. 2006, 70, 1742–1749. [Google Scholar] [CrossRef]
- Agarwal, A.; Balla, J.; Alam, J.; Croatt, A.J.; Nath, K.A. Induction of heme oxygenase in toxic renal injury: A protective role in cisplatin nephrotoxicity in the rat. Kidney. Int. 1995, 48, 1298–1307. [Google Scholar] [CrossRef]
- Nath, K.A.; Haggard, J.J.; Croatt, A.J.; Grande, J.P.; Poss, K.D.; Alam, J. The indispensability of heme oxygenase-1 in protecting against acute heme protein-induced toxicity in vivo. Am. J. Pathol. 2000, 156, 1527–1535. [Google Scholar] [CrossRef]
- Datta, P.K.; Koukouritaki, S.B.; Hopp, K.A.; Lianos, E.A. Heme oxygenase-1 induction attenuates inducible nitric oxide synthase expression and proteinuria in glomerulonephritis. J. Am. Soc. Nephrol. 1999, 12, 2540–2550. [Google Scholar]
- Kim, J.H.; Yang, J.I.; Jung, M.H.; Hwa, J.S.; Kang, K.R.; Park, D.J.; Roh, G.S.; Cho, G.J.; Choi, W.S.; Chang, S. Heme oxygenase-1 protects rat kidney from ureteral obstruction via an antiapoptotic pathway. J. Am. Soc. Nephrol. 2006, 17, 1373–1381. [Google Scholar] [CrossRef] [PubMed]
- Cao, J.; Inoue, K.; Li, X.; Drummond, G.; Abraham, N.G. Physiological significance of heme oxygenase in hypertension. Int. J. Biochem. Cell Biol. 2009, 41, 1025–1033. [Google Scholar] [CrossRef] [PubMed]
- Grochot-Przeczek, A.; Dulak, J.; Jozkowicz, A. Haem oxygenase-1: Non-canonical roles in physiology and pathology. Clin. Sci. 2012, 122, 93–103. [Google Scholar] [CrossRef] [PubMed]
- Hentia, C.; Rizzato, A.; Camporesi, E.; Yang, Z.; Muntean, D.M.; Săndesc, D.; Bosco, G. An overview of protective strategies against ischemia/reperfusion injury: The role of hyperbaric oxygen preconditioning. Brain Behav. 2018, 8, e00959. [Google Scholar] [CrossRef]
- Kovacevic, S.; Ivanov, M.; Miloradovic, Z.; Brkic, P.; Vajic, U.J.; Zivotic, M.; Mihailovic-Stanojevic, N.; Jovovic, D.; Karanovic, D.; Jeremic, R.; et al. Hyperbaric oxygen preconditioning and the role of NADPH oxidase inhibition in postischemic acute kidney injury induced in spontaneously hypertensive rats. PLoS ONE 2020, 15, e0226974. [Google Scholar] [CrossRef]
- Bowmer, C.J.; Nichols, A.J.; Warren, M.; Yates, M.S. Cardiovascular response in rats with glycerol-induced acute renal failure. Br. J. Pharmacol. 1983, 79, 471–476. [Google Scholar] [CrossRef]
- Rubinstein, I.; Abassi, Z.; Milman, F.; Ovcharenko, E.; Coleman, R.; Winaver, J.; Better, O.S. Hyperbaric oxygen treatment improves gfr in rats with ischemia/reperfusion renal injury: A possible role for the antioxidant/oxidant balance in the ischemic kidney. Nephrol. Dial. Transplant. 2009, 24, 428–436. [Google Scholar] [CrossRef]
- Ivanov, M.; Mihailovic-Stanojevic, N.; Grujic Milanovic, J.; Jovovic, D.; Markovic-Lipkovski, J.; Cirovic, S.; Miloradovic, Z. Losartan improved antioxidant defense, renal function and structure of postischemic hypertensive kidney. PLoS ONE 2014, 9, e96353. [Google Scholar] [CrossRef]
- Statius van Eps, R.G.; Nemeth, B.; Mairuhu, R.T.A.; Wever, J.J.; Veger, H.T.C.; Van Overhagen, H.; Van Dijk, L.C.; Knippenberg, B. Determinants of acute kidney injury and renal function decline after endovascular abdominal aortic aneurysm repair. Eur. J. Vasc. Endovasc. Surg. 2017, 54, 712–720. [Google Scholar] [CrossRef] [PubMed]
- Burlacu, A.; Siriopol, D.; Voroneanu, L.; Nistor, I.; Hogas, S.; Nicolae, A.; Nedelciuc, J.; Tinica, G.; Covic, A. Atherosclerotic renal artery stenosis prevalence and correlations in acute myocardial infarction patients undergoing primary percutaneous coronary interventions: Data from nonrandomized single-center study (REN-ACS)—A single center, prospective, observational study. J. Am. Heart Assoc. 2015, 4, e002379. [Google Scholar] [CrossRef] [PubMed]
- Hassan, N.; El-Bassossy, H.M.; Zakaria, M.N.M. Heme oxygenase-1 induction protects against hypertension associated with diabetes: Effect on exaggerated vascular contractility. Naunyn Schmiedeberg Arch. Pharmcol. 2013, 386, 217–226. [Google Scholar] [CrossRef] [PubMed]
- Bolisetty, S.; Traylor, A.M.; Kim, J.; Joseph, R.; Ricart, K.; Landar, A.; Agarwal, A. Heme oxygenase-1 inhibits renal tubular macroautophagy in acute kidney injury. J. Am. Soc. Nephrol. 2010, 21, 1702–1712. [Google Scholar] [CrossRef] [PubMed]
- Agarwal, A.; Nick, H.S. Renal response to tissue injury: Lessons from heme-oxygenase-1 gene ablation and expression. J. Am. Soc. Nephrol. 2000, 11, 965–973. [Google Scholar]
- Zager, R.A.; Johson, A.C.M.; Becker, K. Plasma and urinary heme-oxygenase-1 in AKI. J. Am. Soc. Nephrol. 2012, 23, 1048–1057. [Google Scholar] [CrossRef] [PubMed]
- Abraham, N.G.; Kappas, A. Pharmacological and clinical aspects of heme-oxygenase. Pharmacol. Rev. 2008, 60, 79–127. [Google Scholar] [CrossRef]
- He, X.; Xu, X.; Fan, M.; Chen, X.; Sun, X.; Luo, G.; Chen, L.; Mu, Q.; Feng, Y.; Mao, Q.; et al. Preconditioning with hyperbaric oxygen induces tolerance against renal ischemia-reperfusion injury via increased expression of heme oxygenase. J. Surg. Res. 2011, 170, e271–e277. [Google Scholar] [CrossRef]
- Simsek, K.; Sadir, K.; Oter, S. The relation of hyperbaric oxygen with oxidative stress–reactive molecules in action. Oxid. Antioxid. Med. Sci. 2015, 4, 17–22. [Google Scholar] [CrossRef]
- Rothfuss, A.; Radermacher, P.; Speit, G. Involvement of heme oxygenase-1 (HO-1) in the adaptive protection of human lymphocytes after hyperbaric oxygen (HBO) treatment. Carcinogenesis 2001, 22, 1979–1985. [Google Scholar] [CrossRef]
- Tiwari, S.; Ndisang, J.F. Heme-oxygenase system and hypertension: A comprehensive insight. Curr. Pharm. Des. 2014, 20, 1354–1369. [Google Scholar] [CrossRef] [PubMed]
- Sheng, W.; Yang, H.; Niu, Z.; Yin, H. Anti-apoptosis effect of heme oxygenase-1 on lung injury after cardiopulmonary bypass. J. Thorac. Dis. 2020, 12, 1393–1403. [Google Scholar] [CrossRef] [PubMed]
- Gobe, G.; Zhang, X.; Willgoss, D.A.; Schoch, E.; Hogg, N.A.; Endre, Z.H. Relationship between expression of bcl-2 genes and growth factors in ischemic acure renal failure in the rat. J. Am. Soc. Nephrol. 2000, 11, 454–467. [Google Scholar] [PubMed]
- Basile, D.P.; Liapis, H.; Hammerman, M.R. Expression of bcl-2 and bax in regenerating rat renal tubules following ischemic injury. Am. J. Physiol. Renal Physiol. 1997, 272, F640–F647. [Google Scholar] [CrossRef] [PubMed]
- Supavekin, S.; Zhang, W.; Moore, L.; Kaskel, F.; Devarajan, P. Microarray analysis of apoptotic gene expression in a mouse model of ischemic acute renal injury. J. Am. Soc. Nephrol. 2002, 13, 142A. [Google Scholar]
- Maines, M.D.; Mayer, R.D.; Ewing, J.F.; McCoubrey, W.K. Induction of kidney heme-oxygenase-1 (HSP32) mRNA and protein by ischemia/reperfusion: Possible role of heme as both promotor of tissue damage and regulator of HSP. J. Pharmacol. Exp. Ther. 1993, 264, 457–462. [Google Scholar]
- Saikumar, P.; Dong, Z.; Patel, Y.; Hall, K.; Hopfer, U.; Weinberg, J.M.; Venkatachalam, M.A. Role of hypoxia-induced Bax translocation and cytochrome c release in reoxygenation injury. Oncogene 1998, 17, 3401–3415. [Google Scholar] [CrossRef]
- Bonventre, J.V.; Weinberg, J.M. Recent Advances in the Ischemic Acute Renal Failure. J. Am. Soc. Nephrol. 2003, 14, 2199–2210. [Google Scholar] [CrossRef]
- Guder, W.G.; Ross, B.D. Enzyme distribution along the nephron. Kidney Int. 1984, 26, 101–111. [Google Scholar] [CrossRef]
- Schumer, M.; Colombel, M.C.; Sawczuk, T.S.; Globe, G.; Connor, J.; O’Toole, K.M.; Olsson, C.A.; Wise, G.J.; Buttyan, R. Morphologic, biochemical and molecular evidence of apoptosis during the reperfusion phase after brief periods of renal ischemia. Am. J. Pathol. 1992, 140, 831–838. [Google Scholar]
- Oberbauer, R.; Rohrmoser, M.; Regele, H.; Muhlbacher, F.; Mayer, G. Apoptosis of tubular epithelial cells in donor kidney biopsies predicts early renal allograft function. J. Am. Soc. Nehprol. 1999, 10, 2006–2013. [Google Scholar]
- Krajewski, S.; Krajewska, M.; Reed, J.C. Immunohistochemical analysis of in vivo patterns of Bak expression, a proapoptotic member of the Bcl-2 protein family. Cancer Res. 1996, 56, 2849–2855. [Google Scholar] [PubMed]
- Zhang, G.; Oldroyd, S.D.; Huang, L.H.; Yang, B.; Li, Y.; Ye, R.; El Nahas, A.M. Role of apoptosis and Bcl-2/Bax in the development of tubulointerstitial fibrosis during experimental obstructive nephropathy. Exp. Nephrol. 2001, 9, 71–80. [Google Scholar] [CrossRef] [PubMed]
- Priante, G.; Gianesello, L.; Ceol, M.; Del Prete, D.; Anglani, F. Cell death in the kidney. Int. J. Mol. Sci. 2019, 20, 3598. [Google Scholar] [CrossRef] [PubMed]
- Ueda, N.; Kaushal, G.P.; Shah, S.V. Apoptotic mechanisms in acute renal failure. Am. J. Med. 2000, 108, 403–415. [Google Scholar] [CrossRef]
- Brkic, P.; Mitrovic, A.; Rakic, M.; Grajic, M.; Jovanovic, T. Hyperbaric oxygen therapy of angiopathic changes in patients with inherited gene imbalance. Srp. Arh. Celok. Lek. 2007, 135, 669–671. [Google Scholar] [CrossRef]
- Weaver, L.K. Hyperbaric Oxygen Therapy Indications: The Hyperbaric Oxygen Therapy Committee Report, 13th ed.; Best Publishing Company: North Palm Beach, FL, USA, 2014. [Google Scholar]
- Karanovic, D.; Mihailovic-Stanojevic, N.; Miloradovic, Z.; Ivanov, M.; Vajic, U.J.; Grujic-Milovanovic, J.; Markovic-Lipkovski, J.; Dekanski, D.; Jovovic, D. Olive leaf extract attenuates adriamycin-induced focal segmental glomerulosclerosis in spontaneously hypertensive rats via suppression of oxidative stress, hyperlipidemia, and fibrosis. Phytother. Res. 2020, 1–12. [Google Scholar] [CrossRef]



| SAP (mmHg) | DAP (mmHg) | |
|---|---|---|
| W-SHAM | 133.50 ± 5.80 | 79.25 ± 3.40 |
| W-AKI | 113.86 ± 3.99 ** | 70.14 ± 2.32 * |
| W-AKI + HBO | 119.37 ± 6.48 | 69.62 ± 3.48 |
| SHR-SHAM | 167.62 ± 5.22 | 113.00 ± 6.54 |
| SHR-AKI | 138.25 ± 6.46 ** | 81.75 ± 10.49 * |
| SHR-AKI + HBO | 131.50 ± 8.10 | 71.75 ± 4.83 |
| CCr (mL/min/kg) | Cu (mL/min/kg) | CPhos (mL/min/kg) | |
|---|---|---|---|
| W-SHAM | 8.19 ± 0.35 | 3.94 ± 0.15 | 0.77 ± 0.09 |
| W-AKI | 0.51 ± 0.14 *** | 0.21 ± 0.07 *** | 0.35 ± 0.10 ** |
| W-AKI + HBO | 1.69 ± 0.54 # | 0.67 ± 0.22 # | 0.84 ± 0.21 # |
| SHR-SHAM | 4.03 ± 0.60 | 1.88 ± 0.32 | 0.71 ± 0.14 |
| SHR-AKI | 0.24 ± 0.02 *** | 0.09 ± 0.01 *** | 0.20 ± 0.03 ** |
| SHR-AKI + HBO | 1.22 ± 0.22 ### | 0.21 ± 0.04 ## | 0.43 ± 0.11 # |
Publisher’s Note: MDPI stays neutral with regard to jurisdictional claims in published maps and institutional affiliations. |
© 2021 by the authors. Licensee MDPI, Basel, Switzerland. This article is an open access article distributed under the terms and conditions of the Creative Commons Attribution (CC BY) license (http://creativecommons.org/licenses/by/4.0/).
Share and Cite
Nesovic Ostojic, J.; Ivanov, M.; Mihailovic-Stanojevic, N.; Karanovic, D.; Kovacevic, S.; Brkic, P.; Zivotic, M.; Vajic, U.J.; Jovovic, D.; Jeremic, R.; et al. Hyperbaric Oxygen Preconditioning Upregulates Heme OxyGenase-1 and Anti-Apoptotic Bcl-2 Protein Expression in Spontaneously Hypertensive Rats with Induced Postischemic Acute Kidney Injury. Int. J. Mol. Sci. 2021, 22, 1382. https://doi.org/10.3390/ijms22031382
Nesovic Ostojic J, Ivanov M, Mihailovic-Stanojevic N, Karanovic D, Kovacevic S, Brkic P, Zivotic M, Vajic UJ, Jovovic D, Jeremic R, et al. Hyperbaric Oxygen Preconditioning Upregulates Heme OxyGenase-1 and Anti-Apoptotic Bcl-2 Protein Expression in Spontaneously Hypertensive Rats with Induced Postischemic Acute Kidney Injury. International Journal of Molecular Sciences. 2021; 22(3):1382. https://doi.org/10.3390/ijms22031382
Chicago/Turabian StyleNesovic Ostojic, Jelena, Milan Ivanov, Nevena Mihailovic-Stanojevic, Danijela Karanovic, Sanjin Kovacevic, Predrag Brkic, Maja Zivotic, Una Jovana Vajic, Djurdjica Jovovic, Rada Jeremic, and et al. 2021. "Hyperbaric Oxygen Preconditioning Upregulates Heme OxyGenase-1 and Anti-Apoptotic Bcl-2 Protein Expression in Spontaneously Hypertensive Rats with Induced Postischemic Acute Kidney Injury" International Journal of Molecular Sciences 22, no. 3: 1382. https://doi.org/10.3390/ijms22031382
APA StyleNesovic Ostojic, J., Ivanov, M., Mihailovic-Stanojevic, N., Karanovic, D., Kovacevic, S., Brkic, P., Zivotic, M., Vajic, U. J., Jovovic, D., Jeremic, R., Ljubojevic-Holzer, S., & Miloradovic, Z. (2021). Hyperbaric Oxygen Preconditioning Upregulates Heme OxyGenase-1 and Anti-Apoptotic Bcl-2 Protein Expression in Spontaneously Hypertensive Rats with Induced Postischemic Acute Kidney Injury. International Journal of Molecular Sciences, 22(3), 1382. https://doi.org/10.3390/ijms22031382

