Reversal Activity and Toxicity of Heparin-Binding Copolymer after Subcutaneous Administration of Enoxaparin in Mice
Abstract
1. Introduction
2. Results
2.1. Reversing Antifactors Xa and IIa Activities
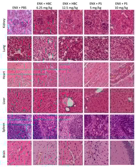
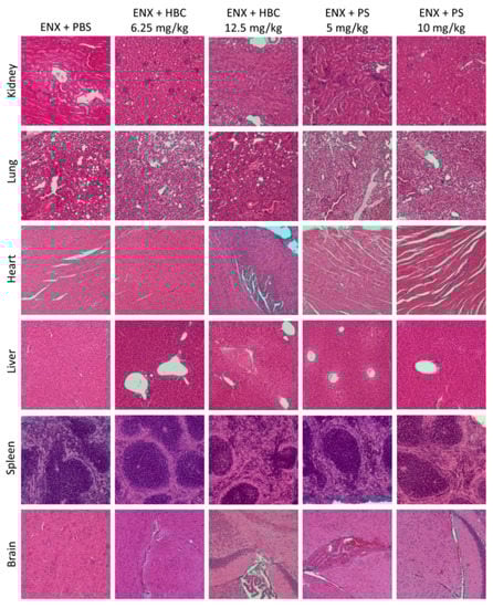
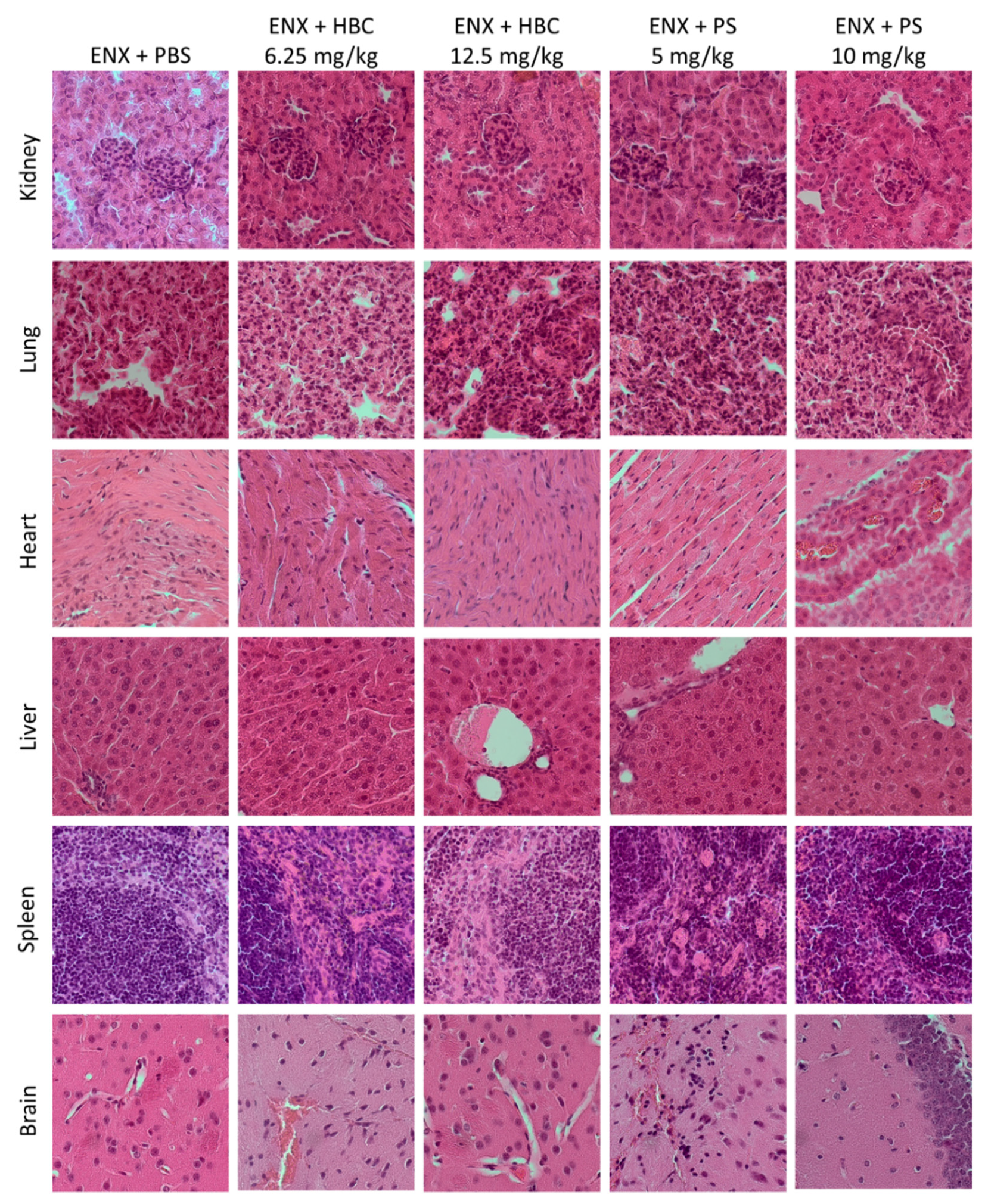
2.2. Organs Morphology
2.3. Biochemical Parameters
3. Discussion
4. Materials and Methods
4.1. Materials
4.2. Animals
4.3. Reversing Antifactors Xa and IIa Activities
4.4. Analysis of Biochemical Parameters and Organs Morphology
4.5. Statistical Analysis
Author Contributions
Funding
Institutional Review Board Statement
Informed Consent Statement
Data Availability Statement
Conflicts of Interest
References
- Fareed, J.; Hoppensteadt, D.; Walenga, J.; Iqbal, O.; Ma, Q.; Jeske, W.; Sheikh, T. Pharmacodynamic and pharmacokinetic properties of enoxaparin: Implications for clinical practice. Clin. Pharmacokinet. 2003, 42, 1043–1057. [Google Scholar] [CrossRef]
- Atiq, F.; van den Bemt, P.M.; Leebeek, F.W.; van Gelder, T.; Versmissen, J. A systematic review on the accumulation of prophylactic dosages of low-molecular-weight heparins (LMWHs) in patients with renal insufficiency. Eur. J. Clin. Pharm. 2015, 71, 921–929. [Google Scholar] [CrossRef] [PubMed]
- Handeland, G.F.; Abildgaard, U.; Holm, H.A.; Arnesen, K.E. Dose adjusted heparin treatment of deep venous thrombosis: A comparison of unfractionated and low molecular weight heparin. Eur. J. Clin. Pharmacol. 1990, 39, 107–112. [Google Scholar] [CrossRef] [PubMed]
- Abbate, R.; Gori, A.M.; Farsi, A.; Attanasio, M.; Pepe, G. Monitoring of low-molecular-weight heparins in cardiovascular disease. Am. J. Cardiol 1998, 82, 33–36. [Google Scholar] [CrossRef]
- Sokolowska, E.; Kalaska, B.; Miklosz, J.; Mogielnicki, A. The toxicology of heparin reversal with protamine: Past, present and future. Expert Opin. Drug Metab. Toxicol. 2016, 12, 897–909. [Google Scholar] [CrossRef] [PubMed]
- Carpenter, E.; Singh, D.; Dietrich, E.; Gums, J. Andexanet alfa for reversal of factor Xa inhibitor-associated anticoagulation. Adv. Drug Saf. 2019, 10, 1–12. [Google Scholar] [CrossRef] [PubMed]
- Ansell, J.E.; Laulicht, B.E.; Bakhru, S.H.; Hoffman, M.; Steiner, S.S.; Costin, J.C. Ciraparantag safely and completely reverses the anticoagulant effects of low molecular weight heparin. Thromb. Res. 2016, 146, 113–118. [Google Scholar] [CrossRef]
- Shenoi, R.A.; Kalathottukaren, M.T.; Travers, R.J.; Lai, B.F.; Creagh, A.L.; Lange, D.; Yu, K.; Weinhart, M.; Chew, B.H.; Du, C.; et al. Affinity-based design of a synthetic universal reversal agent for heparin anticoagulants. Sci. Transl. Med. 2014, 6, 260ra150. [Google Scholar] [CrossRef]
- Montalescot, G.; Zapol, W.M.; Carvalho, A.; Robinson, D.R.; Torres, A.; Lowenstein, E. Neutralization of low molecular weight heparin by polybrene prevents thromboxane release and severe pulmonary hypertension in awake sheep. Circulation 1990, 82, 1754–1764. [Google Scholar] [CrossRef]
- He, H.; Ye, J.; Liu, E.; Liang, Q.; Liu, Q.; Yang, V.C. Low molecular weight protamine (LMWP): A nontoxic protamine substitute and an effective cell-penetrating peptide. J. Control. Release 2014, 193, 63–73. [Google Scholar] [CrossRef]
- Fazavana, J.; Bianchini, E.P.; Saller, F.; Smadja, C.; Picard, V.; Taverna, M.; Borgel, D. A chemically-modified inactive antithrombin as a potent antagonist of fondaparinux and heparin anticoagulant activity. J. Thromb. Haemost. 2013, 11, 1128–1136. [Google Scholar] [CrossRef]
- Kuziej, J.; Litinas, E.; Hoppensteadt, D.A.; Liu, D.; Walenga, J.M.; Fareed, J.; Jeske, W. In vivo neutralization of unfractionated heparin and low-molecular-weight heparin by a novel salicylamide derivative. Clin. Appl. Thromb. Hemost. 2010, 16, 377–386. [Google Scholar] [CrossRef]
- Kalaska, B.; Kaminski, K.; Miklosz, J.; Yusa, S.I.; Sokolowska, E.; Blazejczyk, A.; Wietrzyk, J.; Kasacka, I.; Szczubialka, K.; Pawlak, D.; et al. Heparin-binding copolymer reverses effects of unfractionated heparin, enoxaparin, and fondaparinux in rats and mice. Transl. Res. 2016, 177, 98–112. [Google Scholar] [CrossRef] [PubMed]
- Kalaska, B.; Miklosz, J.; Kamiński, K.; Swieton, J.; Jakimczuk, A.; Yusa, S.I.; Pawlak, D.; Nowakowska, M.; Szczubiałka, K.; Mogielnicki, A. Heparin-Binding Copolymer as a Complete Antidote for Low-Molecular-Weight Heparins in Rats. J. Pharmacol. Exp. Ther. 2020, 373, 51–61. [Google Scholar] [CrossRef] [PubMed]
- Jones, H.U.; Muhlestein, J.B.; Jones, K.W.; Bair, T.L.; Lavasani, F.; Sohrevardi, M.; Horne, B.D.; Doty, D.; Lappe, D.L. Preoperative use of enoxaparin compared with unfractionated heparin increases the incidence of re-exploration for postoperative bleeding after open-heart surgery in patients who present with an acute coronary syndrome. Clin. Investig. Reports. Circ. 2002, 106, 19–22. [Google Scholar] [CrossRef]
- Lassen, M.R.; Raskob, G.E.; Gallus, A.; Pineo, G.; Chen, D.; Hornick, P. ADVANCE-2 investigators. Apixaban versus enoxaparin for thromboprophylaxis after knee replacement (ADVANCE-2): A randomised double-blind trial. Lancet 2010, 375, 807–815. [Google Scholar] [CrossRef]
- Adams, H.P., Jr. Is enoxaparin superior to unfractionated heparin for the prevention of thromboembolism after ischemic stroke? Nat. Clin. Pract. Cardiovasc. Med. 2007, 10, 528–529. [Google Scholar] [CrossRef]
- Lassen, M.R.; Gallus, A.; Raskob, G.E.; Pineo, G.; Chen, D.; Ramirez, L.M. ADVANCE-3 Investigators. Apixaban versus enoxaparin for thromboprophylaxis after hip replacement. N. Engl. J. Med. 2010, 363, 2487–2498. [Google Scholar] [CrossRef]
- Enoxaparin:, U.S. Food and Drug Administration-Approved Indications, Dosages, and Treatment Durations. Available online: https://www.cms.gov/Medicare-Medicaid-Coordination/Fraud-Prevention/Medicaid-Integrity-Education/Pharmacy-Education-Materials/Downloads/enox-dosingchart11-14.pdf (accessed on 17 June 2021).
- Boer, C.; Meesters, M.I.; Veerhoek, D.; Vonk, A.B.A. Anticoagulant and side-effects of protamine in cardiac surgery: A narrative review. Br. J. Anaesth. 2018, 120, 914–927. [Google Scholar] [CrossRef]
- Chang, S.W.; Voelkel, N.F. Charge-related lung microvascular injury. Am. Rev. Respir. Dis. 1989, 139, 534–545. [Google Scholar] [CrossRef]
- Fairman, R.P.; Sessler, C.N.; Bierman, M.; Glauser, F.L. Protamine sulfate causes pulmonary hypertension and edema in isolated rat lungs. J. Appl. Physiol. 1987, 62, 1363–1367. [Google Scholar] [CrossRef]
- Miklosz, J.; Kalaska, B.; Kaminski, K.; Rusak, M.; Szczubiałka, K.; Nowakowska, M.; Pawlak, D.; Mogielnicki, A. The inhibitory effect of protamine on platelets is attenuated by heparin without inducing thrombocytopenia in rodents. Mar. Drugs 2019, 17, 539. [Google Scholar] [CrossRef]
- Makris, M.; Hough, R.E.; Kitchen, S. Poor reversal of low molecular weight heparin by protaminę. Br. J. Haematol. 2000, 108, 884–885. [Google Scholar] [CrossRef]
- Santibanez, M.; Lesch, C.A.; Lin, L.; Berger, K. Tolerability and effectiveness of 4-factor prothrombin complex concentrate (4F-PCC) for warfarin and non-warfarin reversals. J. Crit. Care 2018, 48, 183–190. [Google Scholar] [CrossRef]
- Berger, K.; Santibañez, M.; Lin, L.; Lesch, C.A. A Low-Dose 4F-PCC Protocol for DOAC-Associated Intracranial Hemorrhage. J. Intensive Care Med. 2020, 35, 1203–1208. [Google Scholar] [CrossRef]
- Majeed, A.; Ågren, A.; Holmström, M.; Bruzelius, M.; Chaireti, R.; Odeberg, J.; Hempel, E.L.; Magnusson, M.; Frisk, T.; Schulman, S. Management of rivaroxaban- or apixaban-associated major bleeding with prothrombin complex concentrates: A cohort study. Blood 2017, 130, 1706–1712. [Google Scholar] [CrossRef]
- Tao, J.; Bukanova, E.N.; Akhtar, S. Safety of 4-factor prothrombin complex concentrate (4F-PCC) for emergent reversal of factor Xa inhibitors. J. Intensive Care 2018, 6, 34. [Google Scholar] [CrossRef]
- Kalaska, B.; Kaminski, K.; Sokolowska, E.; Czaplicki, D.; Kujdowicz, M.; Stalinska, K.; Bereta, J.; Szczubialka, K.; Pawlak, D.; Nowakowska, M.; et al. Nonclinical evaluation of novel cationically modified polysaccharide antidotes for unfractionated heparin. PLoS ONE 2015, 10, e0119486. [Google Scholar] [CrossRef] [PubMed]
- Cuker, A.; Cines, D.B. Protamine-induced thrombocytopenia. Blood 2013, 121, 2818–2819. [Google Scholar] [CrossRef] [PubMed][Green Version]
- Lieske, J.C.; Norris, R.; Toback, F.G. Adhesion of hydroxyapatite crystals to anionic sites on the surface of renal epithelial cells. Am. J. Physiol. 1997, 273, F224–F233. [Google Scholar] [CrossRef] [PubMed]
- Wesson, J.A.; Ward, M.D. Role of crystal surface adhesion in kidney stone disease. Curr. Opin. Nephrol. Hypertens. 2006, 15, 386–393. [Google Scholar] [CrossRef] [PubMed]
- Oh, R.C.; Hustead, T.R.; Ali, S.M.; Pantsari, M.W. Mildly elevated liver transaminase levels: Causes and evaluation. Am. Fam. Physician. 2017, 96, 709–715. [Google Scholar] [PubMed]
- Rent, R.; Ertel, N.; Eisenstein, R.; Gewurz, H. Complement activation by interaction of polyanions and polycations. I. Hepa-rin-protamine induced consumption of complement. J. Immunol. 1975, 114, 120–124. [Google Scholar] [PubMed]
- Claus, D.R.; Siegel, J.; Petras, K.; Skor, D.; Osmand, A.P.; Gewurz, H. Complement activation by interaction of polyanions and polycations. III. Complement activation by interaction of multiple polyanious and polycations is the presence of C-reactive protein. J. Immunol. 1977, 118, 83–87. [Google Scholar] [PubMed]
- Li, Y.; Zeng, X.; Wang, S.; Sun, Y.; Wang, Z.; Fan, J.; Song, P.; Ju, D. Inhibition of autophagy protects against PAMAM dendrimers-induced hepatotoxicity. Nanotoxicology 2015, 9, 344–355. [Google Scholar] [CrossRef] [PubMed]
- Nakane, S.; Matsumoto, S.; Takakura, Y.; Hashida, M.; Sezaki, H. The accumulation mechanism of cationic mitomycin C-dextran conjugates in the liver: In-vivo cellular localization and in-vitro interaction with hepatocytes. J. Pharm. Pharmacol. 1988, 40, 1–6. [Google Scholar] [CrossRef]
- Nishida, K.; Mihara, K.; Takino, T.; Nakane, S.; Takakura, Y.; Hashida, M.; Sezaki, H. Hepatic disposition characteristics of electrically charged macromolecules in rat in vivo and in the perfused liver. Pharm. Res. 1991, 84, 437–444. [Google Scholar] [CrossRef]
- Pethica, B.A.; Schulman, J.H. The physical chemistry of haemolysis by surface-active agents. Biochem. J. 1953, 53, 177–185. [Google Scholar] [CrossRef]
- Kopec, W.; Żak, A.; Jamróz, D.; Nakahata, R.; Yusa, S.I.; Gapsys, V.; Kepczynski, M. Polycation-Anionic Lipid Membrane Interactions. Langmuir 2020, 36, 12435–12450. [Google Scholar] [CrossRef]
- Zhong, D.; Jiao, Y.; Zhang, Y.; Zhang, W.; Li, N.; Zuo, Q.; Wang, Q.; Xue, W.; Liu, Z. Effects of the gene carrier polyethyleneimines on structure and function of blood components. Biomaterials 2013, 34, 294–305. [Google Scholar] [CrossRef]
- Nielsen, V.G. Protamine enhances fibrinolysis by decreasing clot strength: Role of tissue factor-initiated thrombin generation. Ann. Thorac. Surg. 2006, 81, 1720–1727. [Google Scholar] [CrossRef]
- Dekie, L.; Toncheva, V.; Dubruel, P.; Schacht, E.H.; Barrett, L.; Seymour, L.W. Poly-L-glutamic acid derivatives as vectors for gene therapy. J. Control. Release 2000, 65, 187–202. [Google Scholar] [CrossRef]
- Choksakulnimitr, S.; Masuda, S.; Tokuda, H.; Takakura, Y.; Hashida, M. In vitro cytotoxicity of macromolecules in different cell culture systems. J. Control. Release 1995, 34, 233–241. [Google Scholar] [CrossRef]
- Jain, K.; Kesharwani, P.; Gupta, U.; Jain, N.K. Dendrimer toxicity: Let’s meet the challenge. Int. J. Pharm. 2010, 394, 122–142. [Google Scholar] [CrossRef]
- Jones, C.F.; Campbell, R.A.; Brooks, A.E.; Assemi, S.; Tadjiki, S.; Thiagarajan, G.; Mulcock, C.; Weyrich, A.S.; Brooks, B.D.; Ghandehari, H.; et al. Cationic PAMAM dendrimers aggressively initiate blood clot formation. ACS Nano 2012, 6, 9900–9910. [Google Scholar] [CrossRef] [PubMed]
- Abate, O.; Bollo, E.; Lotti, D.; Bo, S. Cytological, immunocytochemical and biochemical cerebrospinal fluid investigations in selected central nervous system disorders of dogs. Zent. Vet. B 1998, 45, 73–85. [Google Scholar] [CrossRef]
- Costa, S.; Bevilacqua, D.; Cassatella, M.A.; Scapini, P. Recent advances on the crosstalk between neutrophils and B or T lym-phocytes. Immunology 2019, 6, 23–32. [Google Scholar] [CrossRef]
- Sokolowska, E.; Kalaska, B.; Kaminski, K.; Lewandowska, A.; Blazejczyk, A.; Wietrzyk, J.; Kasacka, I.; Szczubialka, K.; Pawlak, D.; Nowakowska, M.; et al. The Toxicokinetic Profile of Dex40-GTMAC3-a Novel Polysaccharide Candidate for Reversal of Unfractionated Heparin. Front. Pharmacol. 2016, 7, 60. [Google Scholar] [CrossRef] [PubMed]
- Uduehi, A.N.; Stammberger, U.; Kubisa, B.; Gugger, M.; Buehler, T.A.; Schmid, R.A. Effects of linear polyethylenimine and polyethylenimine/DNA on lung function after airway instillation to rat lungs. Mol. Ther. 2001, 4, 52–57. [Google Scholar] [CrossRef]
- Miklosz, J.; Kalaska, B.; Podlasz, P.; Chmielewska-Krzesińska, M.; Zajączkowski, M.; Kosiński, A.; Pawlak, D.; Mogielnicki, A. Cardiovascular and Respiratory Toxicity of Protamine Sulfate in Zebrafish and Rodent Models. Pharmaceutics 2021, 13, 359. [Google Scholar] [CrossRef]
- Hird, R.B.; Crawford, F.A., Jr.; Mukherjee, R.; Zile, M.R.; Spinale, F.G. Effects of protamine on myocyte contractile function and beta-adrenergic responsiveness. Ann. Thorac. Surg. 1994, 57, 1066–1074. [Google Scholar] [CrossRef]
- Pugsley, M.K.; Kalra, V.; Froebel-Wilson, S. Protamine is a low molecular weight polycationic amine that produces actions on cardiac muscle. Life Sci. 2002, 72, 293–305. [Google Scholar] [CrossRef]





| ENX + PBS | ENX + HBC 6.25 mg/kg | ENX + HBC 12.5 mg/kg | ENX + PS 5 mg/kg | ENX + PS 10 mg/kg | |
|---|---|---|---|---|---|
| Kidney | |||||
| Vacuolation of tunica media myocytes in kidney arteries | ![]() | ![]() | ![]() | ![]() | ![]() |
| Cortical vacuolation | ![]() | ![]() | ![]() | ![]() | ![]() |
| Lung | |||||
| Perivascular mononuclear cell infiltrate | ![]() | ![]() | ![]() | ![]() | ![]() |
| Alveolar edema | ![]() | ![]() | ![]() | ![]() | ![]() |
| Congested bronchioles | ![]() | ![]() | ![]() | ![]() | ![]() |
| Heart | |||||
| Myofiber waviness | ![]() | ![]() | ![]() | ![]() | ![]() |
| Cardiomyocyte necrosis | ![]() | ![]() | ![]() | ![]() | ![]() |
| Multifocal necrosis | ![]() | ![]() | ![]() | ![]() | ![]() |
| Liver | |||||
| Hepatocellular hypertrophy | ![]() | ![]() | ![]() | ![]() | ![]() |
| Necrosis of hepatocytes | ![]() | ![]() | ![]() | ![]() | ![]() |
| Neutrophilic infiltration | ![]() | ![]() | ![]() | ![]() | ![]() |
| Congestion | ![]() | ![]() | ![]() | ![]() | ![]() |
| Spleen | |||||
| Decreased cellularity in the red pulp | ![]() | ![]() | ![]() | ![]() | ![]() |
| Decreased cellularity in the white pulp, increased apoptosis of lymphocytes in mantel zone | ![]() | ![]() | ![]() | ![]() | ![]() |
| Increased cellularity of FRCsand macrophages in red pulp/stroma | ![]() | ![]() | ![]() | ![]() | ![]() |
| Connective tissue hyperplasia, deposition of collagen fibers in red pulp/stroma | ![]() | ![]() | ![]() | ![]() | ![]() |
| Increase in megakaryocytes in red pulp | ![]() | ![]() | ![]() | ![]() | ![]() |
| Parameters (Unit) | ENX + PBS | ENX + HBC 6.25 mg/kg | ENX + HBC 12.5 mg/kg | ENX + PS 5 mg/kg | ENX + PS 10 mg/kg |
|---|---|---|---|---|---|
| ALT (U/I) | 25 (20–28) | 40 (25–179) * | 192 (40–4715) ** | 25 (19–46) | 35 (25–83) * |
| AST (U/I) | 142 (131–151) | 207 (127–353) | 1311 (220–2516) * | 126 (114–920) | 235 (131–375) |
| Urea (mg/dL) | 58 (37–133) | 89 (55–91) | 102 (59–120) | 52 (36–109) | 46 (36–120) |
| Creatinine (mg/dL) | <0.46 | <0.46 | <0.46 | <0.46 | <0.46 |
| Albumin (g/dL) | 3.4 (3.3–3.8) | 4.0 (3.5–4.6) * | 3.9 (3.8–4.1) * | 3.7 (2.9–3.8) | 3.7 (3.3–4.0) |
| Globulin (g/dL) | 1.0 (0.8–1.3) | 1.2 (0.9–1.4) | 1.4 (1.3–1.7) * | 1.1 (1–1.4) | 1.1 (0.7–1.3) |
| Sodium (mmol/L) | 151 (148–157) | 152 (150–157) | 155 (153–160) | 153 (147–156) | 152 (150–159) |
| Potassium (mmol/L) | 4.5 (4.2–5.5) | 4.2 (3.8–5.7) | 3.9 (3.8–5.1) * | 5.1 (4.6–5.7) | 4.8 (4.2–6.4) |
| Total bilirubin (mg/dL) | <0.15 | 0.15 (<0.15–0.21) | 0.15 (<0.15–0.26) | 0.15 (<0.15–0.18) | <0.15 |
| Cholesterol (mg/dL) | 59 (54–70) | 68 (63–86) | 81 (68–125) * | 65 (38–87) | 63 (53–77) |
| LDH (U/I) | 386 (280–470) | 510 (395–579) | 1415 (757–5183) * | 404 (217–1150) | 436 (414–652) |
| Triglycerides (mg/dL) | 45 (35–53) | 55 (49–59) | 57 (42–68) | 49 (15–73) | 56 (40–67) |
| CK (U/I) | 157 (128–323) | 190 (97–533) | 503 (159–6786) * | 177 (120–2677) | 225 (151–342) |
Publisher’s Note: MDPI stays neutral with regard to jurisdictional claims in published maps and institutional affiliations. |
© 2021 by the authors. Licensee MDPI, Basel, Switzerland. This article is an open access article distributed under the terms and conditions of the Creative Commons Attribution (CC BY) license (https://creativecommons.org/licenses/by/4.0/).
Share and Cite
Swieton, J.; Miklosz, J.; Yusa, S.-I.; Szczubialka, K.; Pawlak, D.; Mogielnicki, A.; Kalaska, B. Reversal Activity and Toxicity of Heparin-Binding Copolymer after Subcutaneous Administration of Enoxaparin in Mice. Int. J. Mol. Sci. 2021, 22, 11149. https://doi.org/10.3390/ijms222011149
Swieton J, Miklosz J, Yusa S-I, Szczubialka K, Pawlak D, Mogielnicki A, Kalaska B. Reversal Activity and Toxicity of Heparin-Binding Copolymer after Subcutaneous Administration of Enoxaparin in Mice. International Journal of Molecular Sciences. 2021; 22(20):11149. https://doi.org/10.3390/ijms222011149
Chicago/Turabian StyleSwieton, Justyna, Joanna Miklosz, Shin-Ichi Yusa, Krzysztof Szczubialka, Dariusz Pawlak, Andrzej Mogielnicki, and Bartlomiej Kalaska. 2021. "Reversal Activity and Toxicity of Heparin-Binding Copolymer after Subcutaneous Administration of Enoxaparin in Mice" International Journal of Molecular Sciences 22, no. 20: 11149. https://doi.org/10.3390/ijms222011149
APA StyleSwieton, J., Miklosz, J., Yusa, S.-I., Szczubialka, K., Pawlak, D., Mogielnicki, A., & Kalaska, B. (2021). Reversal Activity and Toxicity of Heparin-Binding Copolymer after Subcutaneous Administration of Enoxaparin in Mice. International Journal of Molecular Sciences, 22(20), 11149. https://doi.org/10.3390/ijms222011149






















































































