Antioxidant, Cytotoxic, Genotoxic, and DNA-Protective Potential of 2,3-Substituted Quinazolinones: Structure—Activity Relationship Study
Abstract
1. Introduction
2. Results
2.1. Antioxidant Activity Determination (DPPH and FRAP Assays)
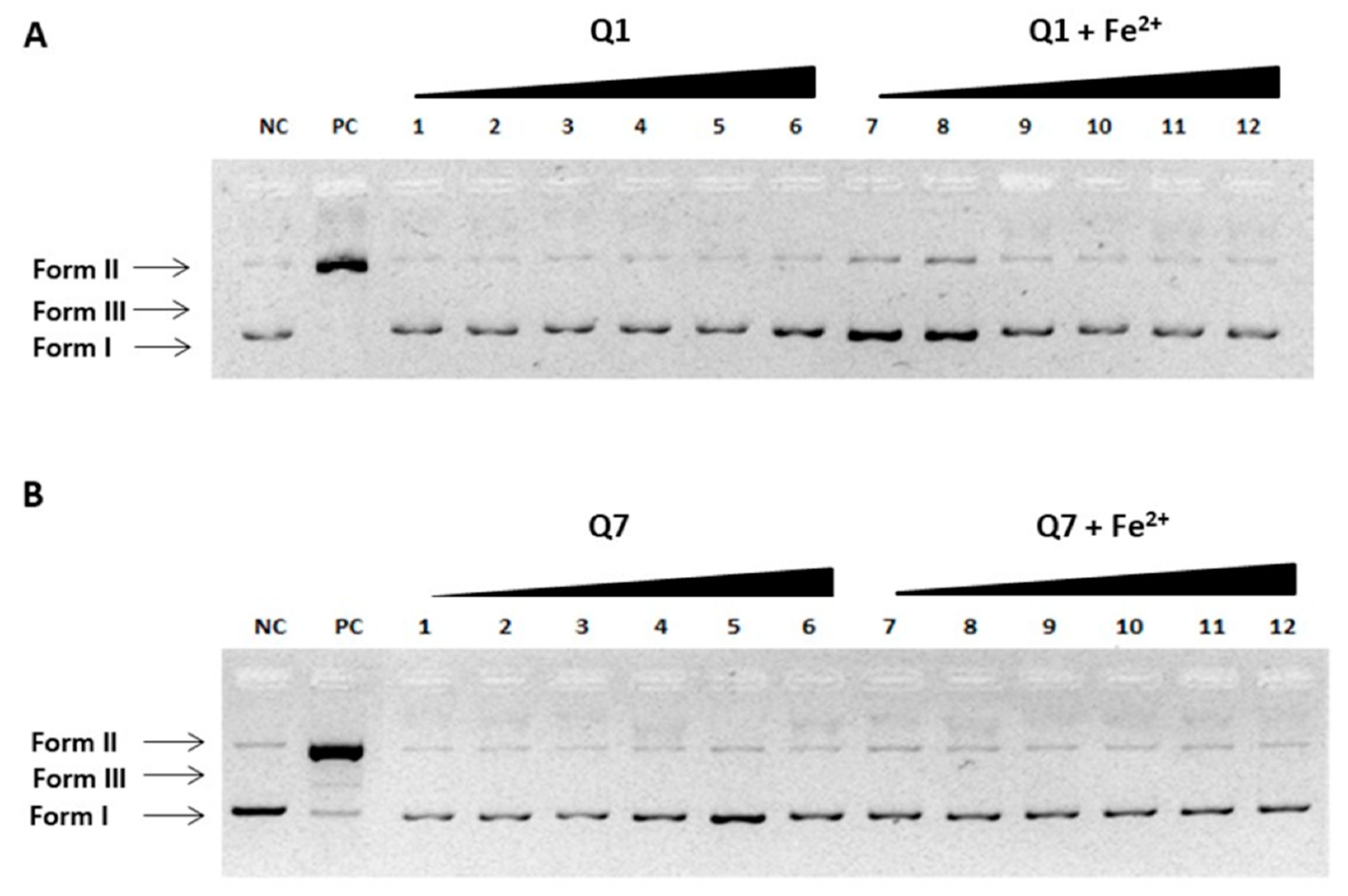
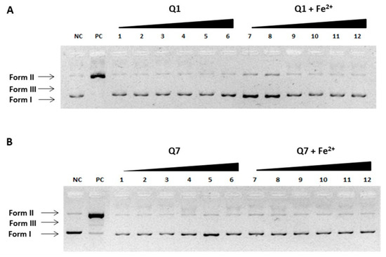
2.2. DNA Damage Protective Effect
2.3. Cytotoxicity of Quinazolinone Derivatives (MTT Assay)
2.4. Comet Assay
2.5. Effect of QDs on the Antioxidant Status and Activity of SOD, GPx, and CAT
3. Discussion
4. Material and Methods
4.1. Chemicals, Materials, and Equipment
4.2. Studied Compounds
4.3. Methods for the Determination of Biological Activity of Quinazolinone Derivatives
4.3.1. 1,1-Diphenyl-2-Picrylhydrazyl (DPPH) Assay
4.3.2. Iron (III)-Reducing Power (FRAP Assay)
4.3.3. DNA Topology Assay
4.4. Cell Cultures
4.4.1. Cytotoxic Activity (MTT Assay)
4.4.2. Single-Cell Gel Electrophoresis (SCGE; the Comet Assay)
4.4.3. Total Antioxidant Status (TAS) and Antioxidant Enzymes Activity Assays
4.5. Statistical Analysis
5. Conclusions
Author Contributions
Funding
Institutional Review Board Statement
Informed Consent Statement
Data Availability Statement
Conflicts of Interest
References
- Rakesh, K.P.; Darshini, N.; Shubhavathi, T.; Mallesha, N. Biological applications of quinazolinone analogues: A Review. Org. Med. Chem. Int. J. 2017, 2, 1–5. [Google Scholar] [CrossRef]
- Selvam, T.P.; Kumar, P.V. Quinazoline Marketed drugs—A Review. Res. Pharm. 2011, 1, 1–21. [Google Scholar]
- Jatav, V.; Kashaw, S.; Mishra, P. Synthesis, antibacterial and antifungal activity of some novel 3-[5-(4-substituted phenyl) 1,3,4-thiadiazole-2-yl]-2-styryl quinazoline-4(3H)-ones. Med. Chem. Res. 2008, 17, 169–181. [Google Scholar] [CrossRef]
- Jafari, E.; Khajouei, M.R.; Hassanzadeh, F.; Hakimelahi, G.H.; Khodarahmi, G. Quinazolinone and quinazoline derivatives: Recent structures with potent antimicrobial and cytotoxic activities. Res. Pharm. Sci. 2016, 11, 1–14. [Google Scholar] [PubMed]
- Hussein, M.A. Synthesis, anti-inflammatory, and structure antioxidant activity relationship of novel 4-quinazoline. Med. Chem. Res. 2013, 22, 4641–4653. [Google Scholar] [CrossRef]
- Rakesh, K.P.; Manukumar, H.M.; Gowda, D.C. Schiff’s bases of quinazolinone derivatives: Synthesis and SAR studies of a novel series of potential anti-inflammatory and antioxidants. Bioorg. Med. Chem. Lett. 2015, 25, 1072–1077. [Google Scholar] [CrossRef]
- Kumar, A.; Sharma, S.; Bajaj, A.K.; Sharma, S.; Panwar, H.; Singh, T.; Srivastava, V.K. Some new 2,3,6-trisubstituted quinazolinones as potent anti-inflammatory, analgesic and COX-II inhibitors. Bioorg. Med. Chem. 2003, 11, 5293–5299. [Google Scholar] [CrossRef]
- Zhu, S.; Wang, J.; Chandrashekar, G.; Smith, E.; Liu, X.; Zhang, Y. Synthesis and evaluation of 4-quinazolinone compounds as potential antimalarial agents. Eur. J. Med. Chem. 2010, 45, 3864–3869. [Google Scholar] [CrossRef]
- Birhan, Y.S.; Bekhit, A.A.; Hymete, A. In Vivo antimalarial evaluation of some 2,3-disubstituted-4(3H)-quinazolinone derivatives. BMC Res. Notes 2015, 8, 4–9. [Google Scholar] [CrossRef][Green Version]
- Amir, M.; Ali, I.; Hassan, M.Z. Design and synthesis of some new quinazolin-4-(3H)-ones as anticonvulsant and antidepressant agents. Arch. Pharm. Res. 2013, 36, 61–68. [Google Scholar] [CrossRef]
- Frishman, W.H.; Kotob, F. Alpha-adrenergic blocking drugs in clinical medicine. J. Clin. Pharmacol. 1999, 39, 7–16. [Google Scholar] [CrossRef] [PubMed]
- Sica, D.A. Alpha1-adrenergic blockers: Current usage considerations. J. Clin. Hypertens. (Greenwich Conn.) 2005, 7, 757–762. [Google Scholar] [CrossRef] [PubMed]
- Gawad, N.M.A.; Georgey, H.H.; Youssef, R.M.; El-Sayed, N.A. Synthesis and antitumor activity of some 2,3-disubstituted quinazolin-4(3H)-ones and 4,6-disubstituted-1,2,3,4-tetrahydroquinazolin-2H-ones. Eur. J. Med. Chem. 2010, 45, 6058–6067. [Google Scholar] [CrossRef] [PubMed]
- Shagufta, S.; Ahmad, I. An insight into the therapeutic potential of quinazoline derivatives as anticancer agents. Med. Chem. Commun. 2017, 8, 871–885. [Google Scholar] [CrossRef] [PubMed]
- Asif, M. Chemical characteristics, synthetic methods, and biological potential of quinazoline and quinazolinone derivatives. Int. J. Med. Chem. 2014, 1–27. [Google Scholar] [CrossRef]
- Khan, I.; Ibrar, A.; Ahmed, W.; Saeed, A. Synthetic approaches, functionalization and therapeutic potential of quinazoline and quinazolinone skeletons: The advances continue. Eur. J. Med. Chem. 2015, 90, 124–169. [Google Scholar] [CrossRef]
- Wang, C.; Sun, Y.; Zhu, X.; Wu, B.; Wang, Q.; Zhen, Y.; Shu, X.; Liu, K.; Zhou, Y.; Ma, X. Novel quinazoline derivatives bearing various 4-aniline moieties as potent EGFR inhibitors with enhanced activity against NSCLC cell lines. Chem. Biol. Drug. Des. 2016, 87, 635–643. [Google Scholar] [CrossRef]
- Faraj, F.L.; Zahedifard, M.; Paydar, M.; Looi, C.Y.; Abdul Majid, N.; Ali, H.M.; Ahmad, N.; Gwaram, N.S.; Abdulla, M.A. Synthesis, characterization, and anticancer activity of new quinazoline derivatives against MCF-7 cells. Sci. World J. 2014, 212096. [Google Scholar] [CrossRef]
- Cao, S.L.; Guo, Y.W.; Wang, X.B.; Zhang, M.; Feng, Y.P.; Jiang, Y.Y.; Wang, X.B.; Gao, Q.; Ren, J. Synthesis and cytotoxicity screening of piperazine-1-carbodithioate derivatives of 2-substituted quinazolin-4(3H)-ones. Arch. Pharm. 2009, 342, 182–189. [Google Scholar] [CrossRef]
- Marzaro, G.; Guiotto, A.; Chilin, A. Quinazoline derivatives as potential anticancer agents: A patent review (2007–2010). Expert Opin. Ther. Pat. 2012, 22, 223–252. [Google Scholar] [CrossRef]
- Tiwary, K.B.; Pradhan, K.; Nanda, A.K.; Chakraborty, R. Implication of quinazoline-4(3H)-ones in medicinal chemistry: A Brief Review. J. Chem. Biol. Ther. 2015, 1, 104. [Google Scholar] [CrossRef]
- Hameed, A.; Al-Rashida, M.; Uroos, M.; Ali, S.A.; Arshia, I.M.; Khan, K.M. Quinazoline and quinazolinone as important medicinal scaffolds: A comparative patent review (2011–2016). Expert Opin. Ther. Pat. 2018, 28, 281–297. [Google Scholar] [CrossRef] [PubMed]
- Cadenas, E.; Davies, K.J.A. Mitochondrial free radical generation, oxidative stress, and aging. Free Radic. Biol. Med. 2000, 29, 222–230. [Google Scholar] [CrossRef]
- Halliwell, B.; Gutteridge, J.M.C. Free Radicals in Biology and Medicine, 4th ed.; Oxford University Press: New York, NY, USA, 2007. [Google Scholar]
- Sharma, N. Free radicals, antioxidants and disease. Biol. Med. 2014, 6, 1–6. [Google Scholar] [CrossRef]
- Thomas, C.; Mackey, M.M.; Diaz, A.A.; Cox, D.P.C. Hydroxyl radical is produced via the Fenton reaction in submitochondrial particles under oxidative stress: Implications for diseases associated with iron accumulation. Redox Rep. 2009, 14, 102–108. [Google Scholar] [CrossRef]
- Koppenol, W.H. The Haber-Weiss cycle-70 years later. Redox Rep. 2001, 6, 229–234. [Google Scholar] [CrossRef]
- Klaunig, J.; Kamendulis, L. The role of oxidative stres in carcinogenesis. Ann. Rev. Pharmacol. Toxicol. 2004, 44, 239–267. [Google Scholar] [CrossRef]
- Fang, J.; Seki, T.; Maeda, H.J. Therapeutic strategies by modulating oxygen stress in cancer and inflammation. Adv. Drug Deliv. Rev. 2009, 61, 290–302. [Google Scholar] [CrossRef]
- Ighodaro, O.M.; Akinloye, O.A. First line defence antioxidants-superoxide dismutase (SOD), catalase (CAT) and glutathione peroxidase (GPX): Their fundamental role in the entire antioxidant defence grid. Alex. J. Med. 2018, 54, 287–293. [Google Scholar] [CrossRef]
- Kurutas, E.B. The importance of antioxidants which play the role in cellular response against oxidative/nitrosative stress: Current state. Nutr. J. 2016, 15, 1–22. [Google Scholar] [CrossRef]
- Hricovíniová, Z.; Hricovíni, M.; Kozics, K. New series of quinazolinone derived Schiff’s bases: Synthesis, spectroscopic properties and evaluation of their antioxidant and cytotoxic activity. Chem. Pap. 2018, 72, 1041–1053. [Google Scholar] [CrossRef]
- Kuntikana, S.; Bhat, C.; Kongot, M.; Bhat, I.; Kumar, A. An expeditious green cascade synthesis of 3-arylideneaminoquinazolin-4(1H)-one derivatives via ‘solvent drop grinding’ and their antioxidant and DNA protective studies. ChemistrySelect 2016, 1, 1723–1728. [Google Scholar] [CrossRef]
- Refaie, F.M.; Esmat, A.Y.; Gawad, S.M.A.; Ibrahim, A.M.; Mohamed, M.A. The antihyperlipidemic activities of 4(3H) quinazolinone and two halogenated derivatives in rats. Lipids Health Dis. 2005, 4, 1–11. [Google Scholar] [CrossRef] [PubMed]
- Zhang, J.; Liu, J.; Ma, Y.; Ren, D.; Cheng, P.; Zhao, J.; Zhang, F.; Yao, Y. One-pot synthesis and antifungal activity against plant pathogens of quinazolinone derivatives containing an amide moiety. Bioorg. Med. Chem. Lett. 2016, 26, 2273–2277. [Google Scholar] [CrossRef]
- He, D.; Wang, M.; Zhao, S.; Shu, Y.; Zeng, H.; Xiao, C.; Lu, C.; Liu, Y. Pharmaceutical prospects of naturally occurring quinazolinone and its derivatives. Fitoterapia 2017, 119, 136–149. [Google Scholar] [CrossRef]
- Yang, L.; Gong, J.; Wang, F.; Zhang, Y.; Wang, Y.; Hao, X.; Wu, X.; Bai, H.; Stöckigt, J.; Zhao, Y. Synthesis and antioxidant evaluation of novel silybin analogues. J. Enzym. Inhib. Med. Chem. 2006, 21, 399–404. [Google Scholar] [CrossRef]
- Hricovíniová, J.; Ševčovičová, A.; Hricovíniová, Z. Evaluation of the genotoxic, DNA-protective and antioxidant profile of synthetic alkyl gallates and gallotannins using in vitro assays. Toxicol. Vitr. 2020, 65, 104789. [Google Scholar] [CrossRef]
- Kozics, K.; Srančíková, A.; Sedláčková, E.; Horváthová, E.; Melušová, M.; Meluš, V.; Krajcovičová, Z.; Šramková, M. Antioxidant potential of essential oil from Lavandula angustifolia in in vitro and ex vivo cultured liver cells. Neoplasma 2017, 64, 485–493. [Google Scholar] [CrossRef]
- Kumar, A.; Sharma, P.; Kumari, P.; Lal, L.; Kalal, B. Exploration of antimicrobial and antioxidant potential of newly synthesized 2,3-disubstituted quinazoline-4(3H)-ones. Bioorg. Med. Chem. Lett. 2011, 21, 4353–4357. [Google Scholar] [CrossRef]
- Glube, N.; Giessl, A.; Wolfrum, U.; Langguth, P. Caki-1 cells represent an in vitro model system for studying the human proximal tubule epithelium. Nephron Exp. Nephrol. 2007, 107, 47–56. [Google Scholar] [CrossRef]
- Zahedifard, M.; Faraj, F.L.; Paydar, M.; Looi, C.Y.; Hajrezaei, M.; Hasanpourghadi, M.; Kamalidehghan, B.; Majid, N.A.; Ali, H.M.; Abdulla, M.A. Synthesis, characterization and apoptotic activity of quinazolinone Schiff base derivatives toward MCF-7 cells via intrinsic and extrinsic apoptosis pathways. Sci. Rep. 2015, 5, 1–17. [Google Scholar] [CrossRef] [PubMed]
- Hassanzadeh, F.; Sadeghi-Aliabadi, H.; Jafari, E.; Sharifzadeh, A.; Dana, N. Synthesis and cytotoxic evaluation of some quinazolinone- 5-(4-chlorophenyl) 1, 3, 4-oxadiazole conjugates. Pharm. Sci. 2019, 14, 408–413. [Google Scholar] [CrossRef]
- Nallathamby, N.; Phan, C.W.; Sovan, M.; Saso, L.; Sabaratnam, V. Synthesized 2-trifluoromethylquinazolines and quinazolinones protect BV2 and N2a cells against LPS- and H2O2-induced cytotoxicity. Med. Chem. 2019, 16, 1. [Google Scholar] [CrossRef] [PubMed]
- Rakesh, K.P.; Kumara, H.K.; Manukumar, H.M.; Gowda, D.C. Anticancer and DNA binding studies of potential amino acids based quinazolinone analogs: Synthesis, SAR and molecular docking. Bioorg. Chem. 2019, 87, 252–264. [Google Scholar] [CrossRef] [PubMed]
- El-Sayed, N.N.E.; Alamneai, N.M.; Ben Bacha, A.; Al Obeed, O.; Ahmad, R. Synthesis and evaluation of anticancer, antiphospholipases, antiproteases, and antimetabolic syndrome activities of some 3H-quinazolin-4-one derivatives. J. Enzym. Inhib. Med. Chem. 2019, 34, 672–683. [Google Scholar] [CrossRef]
- Weidinger, A.; Kozlov, A.V. Biological activities of reactive oxygen and nitrogen species: Oxidative stress versus signal transduction. Biomolecules 2015, 5, 72–484. [Google Scholar] [CrossRef]
- Suzuki, K. Anti-oxidants for therapeutic use: Why are only a few drugs in clinical use? Adv. Drug Deliv. Rev. 2009, 61, 287–289. [Google Scholar] [CrossRef]
- Zhao, F.; Liu, Z.Q. The protective effect of hydroxyl-Substituted Schiff bases on the radical-Induced oxidation of DNA. J. Phys. Org. Chem. 2009, 22, 791–798. [Google Scholar] [CrossRef]
- Hossain, S.U.; Bhattacharya, S. Synthesis of O-prenylated and O-geranylated derivatives of 5-benzylidene2,4-thiazolidinediones and evaluation of their free radical scavenging activity as well as effect on some phase II antioxidant/detoxifying enzymes. Bioorg. Med. Chem. Lett. 2007, 17, 1149–1154. [Google Scholar] [CrossRef]
- Gudasi, K.B.; Patil, S.A.; Vadavi, R.S.; Shenoy, R.V.; Nethaji, M. Crystal structure of 2-[2-hydroxy-3-methoxyphenyl]-3-[2-hydroxy-3-methoxybenzylamino]-1,2-dihydroquinazolin-4(3H)-one and the synthesis, spectral and thermal investigation of its transition metal complexes. Trans. Metal Chem. 2006, 31, 586–592. [Google Scholar] [CrossRef]
- Locatelli, M.; Gindro, R.; Travaglia, F.; Coïsson, J.D.; Rinaldi, M.; Arlorio, M. Study of the DPPH•-scavenging activity: Development of a free software for the correct interpretation of data. Food Chem. 2009, 114, 889–897. [Google Scholar] [CrossRef]
- Gupta, D. Methods for determination of antioxidant capacity: A review. Int. J. Pharm. Sci. Res. 2015, 6, 546–566. [Google Scholar] [CrossRef]
- Čipák, L.; Miadoková, E.; Dingová, H.; Kogan, G.; Novotný, L.; Rauko, P. Comparative DNA protectivity and antimutagenicity studies using DNA-topology and Ames assays. Toxicol. Vitro 2001, 15, S0887–S2333. [Google Scholar] [CrossRef]
- Mosmann, T. Rapid colorimetric assay for cellular growth and survival: Application to proliferation and cytotoxicity assays. J. Immunol. Methods 1983, 65, 55–63. [Google Scholar] [CrossRef]
- Singh, N.P.; McCoy, M.T.; Tice, R.R.; Schneider, E.L. A simple technique for quantitation of low levels of DNA damage in individual cells. Exp. Cell Res. 1988, 175, 184–191. [Google Scholar] [CrossRef]
- Gupta, R.; Sharma, M.; Lakshmy, R.; Prabhakaran, D.; Reddy, K.S. Improved method of total antioxidant assay. Indian J. Biochem. Biophys. 2009, 46, 126–129. [Google Scholar]
- Paglia, D.E.; Valentine, W.N. Studies on the quantitative and qualitative characterization of erythrocyte glutathione peroxidase. J. Lab. Clin. Med. 1967, 70, 158–169. [Google Scholar]
- Góth, L. A simple method for determination of serum catalase activity and revision of reference range. Clin. Chim. Acta 1991, 196, 143–151. [Google Scholar] [CrossRef]
- Bradford, M.M. A rapid and sensitive method for the quantitation of microgram quantities of protein utilizing the principle of protein-dye binding. Anal. Biochem. 1976, 72, 248–254. [Google Scholar] [CrossRef]





| Compound | Concentration (µM) | DPPH-Radical-Scavenging Activity (%) | Fe3+/Fe2+-Reducing Power (Absorbance) | |
|---|---|---|---|---|
| Q1 | ![]() | 5 | 1.860 ± 0.954 | 0.022 ± 0.009 |
| 10 | 2.380 ± 1.490 | 0.039 ± 0.033 | ||
| 50 | 2.560 ± 1.702 | 0.056 ± 0.052 | ||
| 100 | 3.680 ± 2.607 | 0.068 ± 0.075 | ||
| 500 | 7.990 ± 2.115 | 0.075 ± 0.047 | ||
| Q2 | ![]() | 5 | 2.700 ± 0.799 | 0.013 ± 0.039 |
| 10 | 3.403 ± 1.716 | 0.025 ± 0.014 | ||
| 50 | 4.043 ± 0.978 | 0.029 ± 0.005 | ||
| 100 | 4.941 ± 1.122 | 0.048 ± 0.093 | ||
| 500 | 5.895 ± 0.981 | 0.057 ± 0.076 | ||
| Q3 | ![]() | 5 | 3.903 ± 1.721 | 0.058 ± 0.036 |
| 10 | 5.514 ± 2.522 | 0.109 ± 0.083 | ||
| 50 | 6.331 ± 2.035 | 0.145 ± 0.014 | ||
| 100 | 16.300 ± 1.862 | 0.432 ± 0.037 | ||
| 500 | 30.077 ± 1.991 | 0.817 ± 0.056 | ||
| Q4 | ![]() | 5 | 13.760 ± 2.175 | 0.055 ± 0.029 |
| 10 | 23.217 ± 1.602 | 0.098 ± 0.071 | ||
| 50 | 29.190 ± 2.505 | 0.221 ± 0.052 | ||
| 100 | 31.980 ± 2.801 | 0.530 ± 0.014 | ||
| 500 | 35.812 ± 1.734 | 0.899 ± 0.059 | ||
| Q5 | ![]() | 5 | 20.234 ± 0.094 | 0.071 ± 0.036 |
| 10 | 25.481 ± 1.287 | 0.193 ± 0.051 | ||
| 50 | 36.297 ± 0.981 | 0.282 ± 0.025 | ||
| 100 | 42.642 ± 1.092 | 0.430 ± 0.072 | ||
| 500 | 66.454 ± 1.185 | 1.174 ± 0.019 | ||
| Q6 | ![]() | 5 | 17.326 ± 1.667 | 0.061 ± 0.021 |
| 10 | 20.781 ± 2.852 | 0.070 ± 0.006 | ||
| 50 | 32.016 ± 0.975 | 0.197 ± 0.042 | ||
| 100 | 41.546 ± 2.093 | 0.411 ± 0.062 | ||
| 500 | 65.967 ± 1.881 | 1.017 ± 0.027 | ||
| Q7 | ![]() | 5 | 24.001 ± 1.813 | 0.087 ± 0.052 |
| 10 | 29.717 ± 1.617 | 0.105 ± 0.048 | ||
| 50 | 35.202 ± 1.922 | 0.315 ± 0.033 | ||
| 100 | 43.342 ± 1.754 | 0.654 ± 0.044 | ||
| 500 | 69.998 ± 1.079 | 1.386 ± 0.109 | ||
| Q8 | ![]() | 5 | 19.561 ± 2.002 | 0.078 ± 0.048 |
| 10 | 21.497 ± 1.808 | 0.081 ± 0.072 | ||
| 50 | 23.525 ± 1.682 | 0.237 ± 0.033 | ||
| 100 | 25.726 ± 2.219 | 0.369 ± 0.081 | ||
| 500 | 33.847 ± 1.762 | 1.027 ± 0.514 | ||
| AA | ![]() | 5 | 20.071 ± 0.993 | 0.125 ± 0.026 |
| 10 | 25.006 ± 1.274 | 0.269 ± 0.007 | ||
| 50 | 42.121 ± 2.186 | 0.523 ± 0.085 | ||
| 100 | 77.820 ± 1.053 | 0.685 ± 0.015 | ||
| 500 | 88.752 ± 1.743 | 1.259 ± 0.076 | ||
| TAS | SOD (U/mg Prot) | GPx (U/mg Prot) | CAT (U/mg Prot) | |
|---|---|---|---|---|
| Control (−) | 0.795 ± 0.120 | 0.957 ± 0.070 | 0.0104 ± 0.0008 | 142.109 ± 2.290 |
| Control (+) | 3.320 ± 0.080 | 2.520 ± 0.520 | 0.039 ± 0.002 | 585 ± 54 |
| Q5 | ||||
| 10 µM | 0.828 ± 0.040 | 0.804 ± 0.210 | 0.0161 ± 0.0008 ** | 217.756 ± 16.280 * |
| 20 µM | 0.992 ± 0.025 | 1.471 ± 0.130 | 0.0187 ± 0.0028 * | 237.274 ± 1.948 *** |
| 50 µM | 1.016 ± 0.060 | 1.537 ± 0.290 | 0.0229 ± 0.0023 ** | 285.640 ± 0.956 *** |
| Q6 | ||||
| 10 µM | 0.755 ± 0.090 | 1.041 ± 0.180 | 0.0158 ± 0.0015 ** | 232.940 ± 7.437 ** |
| 20 µM | 1.091 ± 0.240 | 1.415 ± 0.440 | 0.0312 ± 0.0029 ** | 489.357 ± 27.782 ** |
| 50 µM | 2.678 ± 0.110 ** | 2.084 ± 0.001 * | 0.0349 ± 0.0006 ** | 544.981 ± 29.630 ** |
| Q7 | ||||
| 10 µM | 1.033 ± 0.410 | 0.980 ± 0.070 | 0.0121 ± 0.0007 | 240.114 ± 3.354 *** |
| 20 µM | 1.247 ± 0.420 | 1.023 ± 0.180 | 0.0140 ± 0.0007 * | 243.603 ± 16.312 ** |
| 50 µM | 1.615 ± 0.110 * | 1.031 ± 0.150 | 0.0197 ± 0.0018 ** | 261.402 ± 2.166 *** |
| Q8 | ||||
| 10 µM | 0.841 ± 0.350 | 0.792 ± 0.140 | 0.0149 ± 0.0007 * | 232.392 ± 6.750 *** |
| 20 µM | 1.040 ± 0.040 | 0.869 ± 0.010 | 0.0162 ± 0.0012 ** | 244.104 ± 1.994 *** |
| 50 µM | 1.636 ± 0.110 * | 1.077 ± 0.030 | 0.0202 ± 0.0021 ** | 323.904 ± 8.911 *** |
Publisher’s Note: MDPI stays neutral with regard to jurisdictional claims in published maps and institutional affiliations. |
© 2021 by the authors. Licensee MDPI, Basel, Switzerland. This article is an open access article distributed under the terms and conditions of the Creative Commons Attribution (CC BY) license (http://creativecommons.org/licenses/by/4.0/).
Share and Cite
Hricovíniová, J.; Hricovíniová, Z.; Kozics, K. Antioxidant, Cytotoxic, Genotoxic, and DNA-Protective Potential of 2,3-Substituted Quinazolinones: Structure—Activity Relationship Study. Int. J. Mol. Sci. 2021, 22, 610. https://doi.org/10.3390/ijms22020610
Hricovíniová J, Hricovíniová Z, Kozics K. Antioxidant, Cytotoxic, Genotoxic, and DNA-Protective Potential of 2,3-Substituted Quinazolinones: Structure—Activity Relationship Study. International Journal of Molecular Sciences. 2021; 22(2):610. https://doi.org/10.3390/ijms22020610
Chicago/Turabian StyleHricovíniová, Jana, Zuzana Hricovíniová, and Katarína Kozics. 2021. "Antioxidant, Cytotoxic, Genotoxic, and DNA-Protective Potential of 2,3-Substituted Quinazolinones: Structure—Activity Relationship Study" International Journal of Molecular Sciences 22, no. 2: 610. https://doi.org/10.3390/ijms22020610
APA StyleHricovíniová, J., Hricovíniová, Z., & Kozics, K. (2021). Antioxidant, Cytotoxic, Genotoxic, and DNA-Protective Potential of 2,3-Substituted Quinazolinones: Structure—Activity Relationship Study. International Journal of Molecular Sciences, 22(2), 610. https://doi.org/10.3390/ijms22020610









