Novel Pyridine Bioisostere of Cabozantinib as a Potent c-Met Kinase Inhibitor: Synthesis and Anti-Tumor Activity against Hepatocellular Carcinoma
Abstract
:1. Introduction
2. Results
2.1. Synthesis of Cabozantinib Bioisosteres 3 and 4
2.2. Comparison of c-Met Kinase Activity and Ligand-Based Docking
2.3. Anti-Proliferative Activities of Compounds 3 and 4
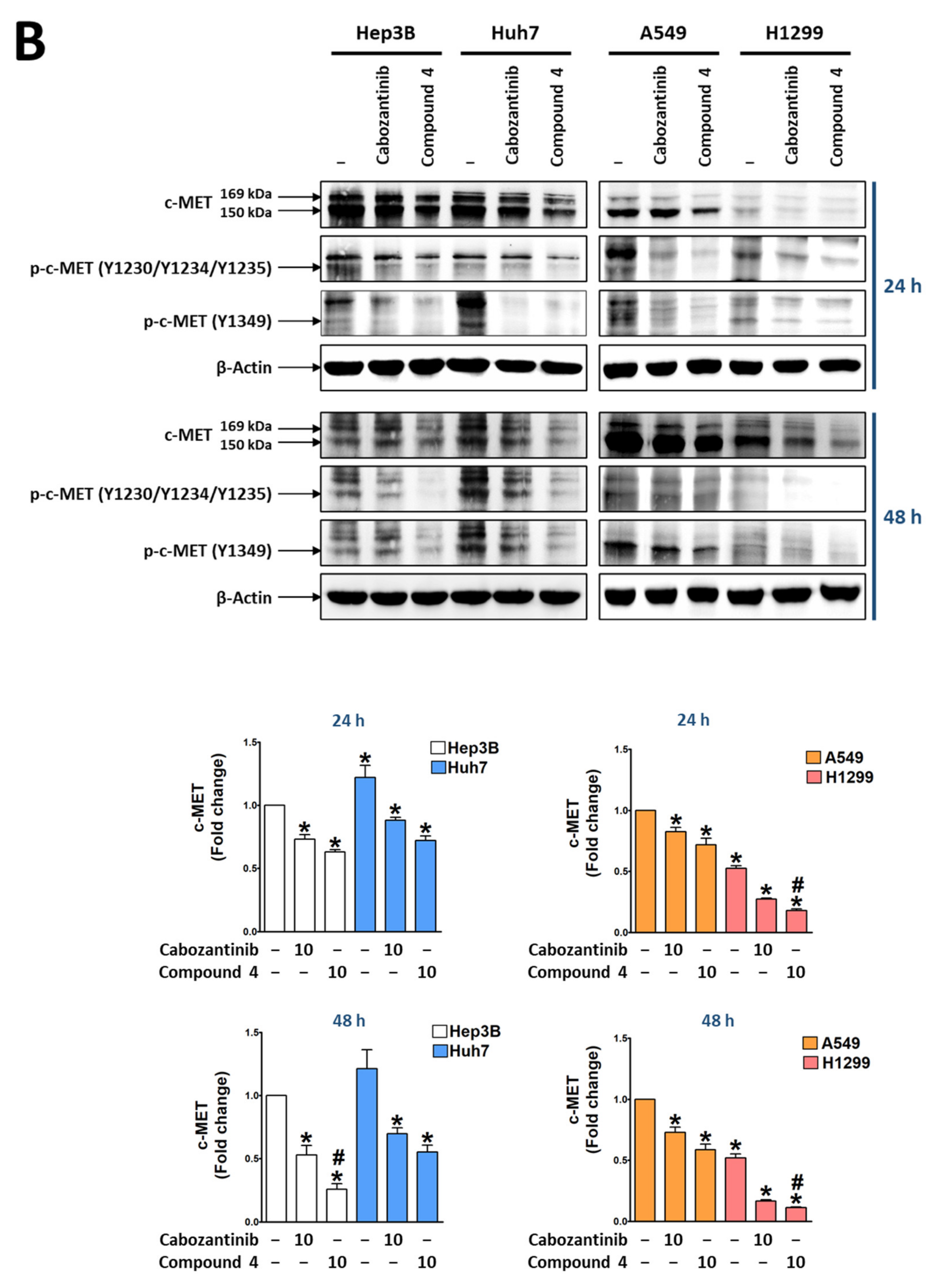
2.4. Suppression of c-MET Expression in HCC and NSCLC by Compound 4
2.5. Comparison of Apoptosis-Inducing Activity of Cabozantinib and Compound 4
2.6. Anti-Tumor Activity of Compound 4 on a Chick Chorioallantoic Membrane (CAM) Tumor Model Implanted with Hep3B Cells
3. Discussion and Conclusions
4. Materials and Methods
4.1. Synthesis
4.1.1. General
6-[2-(4-Nitrophenyl)diazenyl)]-3-pyridinol (11) [CAS RN 35771-41-6]
6-Aminopyridin-3-ol (12) [CAS RN 55717-46-9]
5-((2,3-Dimethoxypyridin-4-yl)oxy)-3,4,6-trimethylpyridin-2-amine (16)
5-((6,7-Dimethoxyquinolin-4-yl)oxy)pyridin-2-amine (17)
N-(5-((6,7-Dimethoxyquinolin-4-yl)oxy)-3,4,6-trimethylpyridin-2-yl)-N-(4-fluorophenyl)cyclopropane-1,1-dicarboxamide (3)
N-(5-((6,7-Dimethoxyquinolin-4-yl)oxy)pyridin-2-yl)-N-(4-fluorophenyl)cyclopropane-1,1-dicarboxamide (4)
4.2. Biological Evaluation
4.2.1. Cell Lines and Culture
4.2.2. Proliferation Assay
4.2.3. Cytotoxicity Assay
4.2.4. c-Met Kinase Assay
4.2.5. Protein Extraction and Immunoblotting
4.2.6. Measurement of Apoptosis
4.2.7. Anti-Tumor Activity Measurement in Hep3B Xenografted CAM Tumor Model
4.2.8. Statistics
4.3. Molecular Docking
Supplementary Materials
Author Contributions
Funding
Institutional Review Board Statement
Conflicts of Interest
Abbreviations
| c-MET | Mesenchymal-epithelial transition factor | 
| HGFR | Hepatocyte growth factor receptor | 
| HCC NSCLC  | Hepatocellular carcinoma Non-small-cell lung cancer  | 
| TS | Tumor selectivity | 
References
- Bottaro, D.P.; Rubin, J.S.; Faletto, D.L.; Chan, A.M.; Kmiecik, T.E.; Vande Woude, G.F.; Aaronson, S.A. Identification of the hepatocyte growth factor receptor as the c-met proto-oncogene product. Science 1991, 251, 802–804. [Google Scholar] [CrossRef]
 - Lv, P.C.; Wang, Z.C.; Zhu, H.L. Recent Advances in the Design and Synthesis of c-Met Inhibitors as Anticancer Agents (2014–Present). Curr. Med. Chem. 2017, 24, 57–64. [Google Scholar] [CrossRef] [PubMed]
 - D’Angelo, N.D.; Bellon, S.F.; Booker, S.K.; Cheng, Y.; Coxon, A.; Dominguez, C.; Fellows, I.; Hoffman, D.; Hungate, R.; Kaplan-Lefko, P.; et al. Design, synthesis, and biological evaluation of potent c-Met inhibitors. J. Med. Chem. 2008, 51, 5766–5779. [Google Scholar] [CrossRef]
 - Nakamura, T.; Mizuno, S. The discovery of hepatocyte growth factor (HGF) and its significance for cell biology, life sciences and clinical medicine. Proc. Jpn. Acad. Ser. B Phys. Biol. Sci. 2010, 86, 588–610. [Google Scholar] [CrossRef] [Green Version]
 - Mo, H.N.; Liu, P. Targeting MET in cancer therapy. Chronic Dis. Transl. Med. 2017, 3, 148–153. [Google Scholar] [CrossRef]
 - Lalani, E.N.; Poulsom, R.; Stamp, G.; Fogt, F.; Thomas, P.; Nanji, A.A. Expression of hepatocyte growth factor and its receptor c-met, correlates with severity of pathological injury in experimental alcoholic liver disease. Int. J. Mol. Med. 2005, 15, 811–817. [Google Scholar] [CrossRef]
 - Giordano, S.; Columbano, A. Met as a therapeutic target in HCC: Facts and hopes. J. Hepatol. 2014, 60, 442–452. [Google Scholar] [CrossRef]
 - Sun, Z.G.; Yang, Y.A.; Zhang, Z.G.; Zhu, H.L. Optimization techniques for novel c-Met kinase inhibitors. Expert Opin. Drug Discov. 2019, 14, 59–69. [Google Scholar] [CrossRef] [PubMed]
 - Liang, H.; Wang, M. MET Oncogene in Non-Small Cell Lung Cancer: Mechanism of MET Dysregulation and Agents Targeting the HGF/c-Met Axis. Onco Targets Ther. 2020, 13, 2491–2510. [Google Scholar] [CrossRef] [PubMed] [Green Version]
 - Noonan, S.A.; Berry, L.; Lu, X.; Gao, D.; Baron, A.E.; Chesnut, P.; Sheren, J.; Aisner, D.L.; Merrick, D.; Doebele, R.C.; et al. Identifying the Appropriate FISH Criteria for Defining MET Copy Number-Driven Lung Adenocarcinoma through Oncogene Overlap Analysis. J. Thorac. Oncol. 2016, 11, 1293–1304. [Google Scholar] [CrossRef] [Green Version]
 - Ma, P.C.; Jagadeeswaran, R.; Jagadeesh, S.; Tretiakova, M.S.; Nallasura, V.; Fox, E.A.; Hansen, M.; Schaefer, E.; Naoki, K.; Lader, A.; et al. Functional expression and mutations of c-Met and its therapeutic inhibition with SU11274 and small interfering RNA in non-small cell lung cancer. Cancer Res. 2005, 65, 1479–1488. [Google Scholar] [CrossRef] [PubMed] [Green Version]
 - Wang, H.; Rao, B.; Lou, J.; Li, J.; Liu, Z.; Li, A.; Cui, G.; Ren, Z.; Yu, Z. The Function of the HGF/c-Met Axis in Hepatocellular Carcinoma. Front. Cell Dev. Biol. 2020, 8, 55. [Google Scholar] [CrossRef] [Green Version]
 - Maroun, C.R.; Rowlands, T. The Met receptor tyrosine kinase: A key player in oncogenesis and drug resistance. Pharmacol. Ther. 2014, 142, 316–338. [Google Scholar] [CrossRef]
 - Garcia-Vilas, J.A.; Medina, M.A. Updates on the hepatocyte growth factor/c-Met axis in hepatocellular carcinoma and its therapeutic implications. World J. Gastroenterol. 2018, 24, 3695–3708. [Google Scholar] [CrossRef]
 - Masuya, D.; Huang, C.; Liu, D.; Nakashima, T.; Kameyama, K.; Haba, R.; Ueno, M.; Yokomise, H. The tumour-stromal interaction between intratumoral c-Met and stromal hepatocyte growth factor associated with tumour growth and prognosis in non-small-cell lung cancer patients. Br. J. Cancer 2004, 90, 1555–1562. [Google Scholar] [CrossRef] [PubMed] [Green Version]
 - Dimou, A.; Non, L.; Chae, Y.K.; Tester, W.J.; Syrigos, K.N. MET gene copy number predicts worse overall survival in patients with non-small cell lung cancer (NSCLC); a systematic review and meta-analysis. PLoS ONE 2014, 9, e107677. [Google Scholar] [CrossRef]
 - Organ, S.L.; Tsao, M.S. An overview of the c-MET signaling pathway. Ther. Adv. Med. Oncol. 2011, 3, S7–S19. [Google Scholar] [CrossRef] [Green Version]
 - Miyata, Y.; Kanetake, H.; Kanda, S. Presence of phosphorylated hepatocyte growth factor receptor/c-Met is associated with tumor progression and survival in patients with conventional renal cell carcinoma. Clin. Cancer Res. 2006, 12, 4876–4881. [Google Scholar] [CrossRef] [Green Version]
 - Pasquini, G.; Giaccone, G. C-MET inhibitors for advanced non-small cell lung cancer. Expert Opin. Investig. Drugs 2018, 27, 363–375. [Google Scholar] [CrossRef]
 - Qi, X.S.; Guo, X.Z.; Han, G.H.; Li, H.Y.; Chen, J. MET inhibitors for treatment of advanced hepatocellular carcinoma: A review. World J. Gastroenterol. 2015, 21, 5445–5453. [Google Scholar] [CrossRef] [PubMed]
 - Cui, J.J.; Tran-Dube, M.; Shen, H.; Nambu, M.; Kung, P.P.; Pairish, M.; Jia, L.; Meng, J.; Funk, L.; Botrous, I.; et al. Structure based drug design of crizotinib (PF-02341066), a potent and selective dual inhibitor of mesenchymal-epithelial transition factor (c-MET) kinase and anaplastic lymphoma kinase (ALK). J. Med. Chem. 2011, 54, 6342–6363. [Google Scholar] [CrossRef]
 - Elisei, R.; Schlumberger, M.J.; Muller, S.P.; Schoffski, P.; Brose, M.S.; Shah, M.H.; Licitra, L.; Jarzab, B.; Medvedev, V.; Kreissl, M.C.; et al. Cabozantinib in progressive medullary thyroid cancer. Am. J. Clin. Oncol. 2013, 31, 3639–3646. [Google Scholar] [CrossRef] [Green Version]
 - Abdelaziz, A.; Vaishampayan, U. Cabozantinib for the treatment of kidney cancer. Expert Rev. Anticancer Ther. 2017, 17, 577–584. [Google Scholar] [CrossRef]
 - Underiner, T.L.; Herbertz, T.; Miknyoczki, S.J. Discovery of small molecule c-Met inhibitors: Evolution and profiles of clinical candidates. Anti-Cancer Agents Med. Chem. 2010, 10, 7–27. [Google Scholar] [CrossRef] [PubMed]
 - Cui, J.J. Targeting receptor tyrosine kinase MET in cancer: Small molecule inhibitors and clinical progress. J. Med. Chem. 2014, 57, 4427–4453. [Google Scholar] [CrossRef]
 - Ertl, P. In silico identification of bioisosteric functional groups. Curr. Opin. Drug Discov. Devel. 2007, 10, 281–288. [Google Scholar]
 - Langdon, S.R.; Ertl, P.; Brown, N. Bioisosteric Replacement and Scaffold Hopping in Lead Generation and Optimization. Mol. Inform. 2010, 29, 366–385. [Google Scholar] [CrossRef] [PubMed]
 - Dick, A.; Cocklin, S. Bioisosteric Replacement as a Tool in Anti-HIV Drug Design. Pharmaceuticals 2020, 13, 36. [Google Scholar] [CrossRef] [PubMed] [Green Version]
 - Gaikwad, P.L.; Gandhi, P.S.; Jagdale, D.M.; Kadam, V.J. The use of bioisosterism in drug design and molecular modification. Am. J. PharmTech Res. 2012, 2, 1–24. [Google Scholar]
 - Shah, S.; Lee, C.; Choi, H.; Gautam, J.; Jang, H.; Kim, G.J.; Lee, Y.J.; Chaudhary, C.L.; Park, S.W.; Nam, T.G.; et al. 5-Hydroxy-7-azaindolin-2-one, a novel hybrid of pyridinol and sunitinib: Design, synthesis and cytotoxicity against cancer cells. Org. Biomol. Chem. 2016, 14, 4829–4841. [Google Scholar] [CrossRef]
 - Kim, D.G.; Kang, Y.; Lee, H.; Lee, E.K.; Nam, T.G.; Kim, J.A.; Jeong, B.S. 6-Amino-2,4,5-trimethylpyridin-3-ols: A new general synthetic route and antiangiogenic activity. Eur. J. Med. Chem. 2014, 78, 126–139. [Google Scholar] [CrossRef]
 - Chaudhary, C.L.; Chaudhary, P.; Dahal, S.; Bae, D.; Nam, T.G.; Kim, J.A.; Jeong, B.S. Inhibition of colitis by ring-modified analogues of 6-acetamido-2,4,5-trimethylpyridin-3-ol. Bioorg. Med. Chem. 2020, 103, 104130. [Google Scholar]
 - Rai, B.K.; Sresht, V.; Yang, Q.; Unwalla, R.; Tu, M.; Mathiowetz, A.M.; Bakken, G.A. Comprehensive Assessment of Torsional Strain in Crystal Structures of Small Molecules and Protein-Ligand Complexes using ab Initio Calculations. J. Chem. Inf. Model. 2019, 59, 4195–4208. [Google Scholar] [CrossRef]
 - Hawkins, P.C.; Skillman, A.G.; Warren, G.L.; Ellingson, B.A.; Stahl, M.T. Conformer generation with OMEGA: Algorithm and validation using high quality structures from the Protein Databank and Cambridge Structural Database. J. Chem. Inf. Model. 2010, 50, 572–584. [Google Scholar] [CrossRef] [PubMed]
 - Hawkins, P.C.; Skillman, A.G.; Nicholls, A. Comparison of shape-matching and docking as virtual screening tools. J. Med. Chem. 2007, 50, 74–82. [Google Scholar] [CrossRef]
 - Yang, S.; Zhang, X.; Qu, H.; Qu, B.; Yin, X.; Zhao, H. Cabozantinib induces PUMA-dependent apoptosis in colon cancer cells via AKT/GSK-3β/NF-κB signaling pathway. Cancer Gene. Ther. 2020, 27, 368–377. [Google Scholar] [CrossRef] [PubMed] [Green Version]
 - Li, B.; Torossian, A.; Sun, Y.; Du, R.; Dicker, A.P.; Lu, B. Higher levels of c-Met expression and phosphorylation identify cell lines with increased sensitivity to AMG-458, a novel selective c-Met inhibitor with radiosensitizing effects. Int. J. Radiat. Oncol. Biol. Phys. 2012, 84, e525–e531. [Google Scholar] [CrossRef] [PubMed]
 - Liu, W.T.; Jing, Y.Y.; Yu, G.F.; Chen, H.; Han, Z.P.; Yu, D.D.; Fan, Q.M.; Ye, F.; Li, R.; Gao, L.; et al. Hepatic stellate cell promoted hepatoma cell invasion via the HGF/c-Met signaling pathway regulated by p53. Cell Cycle 2016, 15, 886–894. [Google Scholar] [CrossRef] [Green Version]
 - Ponzetto, C.; Bardelli, A.; Zhen, Z.; Maina, F.; dalla Zonca, P.; Giordano, S.; Graziani, A.; Panayotou, G.; Comoglio, P.M. A multifunctional docking site mediates signaling and transformation by the hepatocyte growth factor/scatter factor receptor family. Cell 1994, 77, 261–271. [Google Scholar] [CrossRef]
 - Puri, N.; Salgia, R. Synergism of EGFR and c-Met pathways, cross-talk and inhibition, in non-small cell lung cancer. J. Carcinog. 2008, 7, 1–8. [Google Scholar] [CrossRef]
 - Bethune, G.; Bethune, D.; Ridgway, N.; Xu, Z. Epidermal growth factor receptor (EGFR) in lung cancer: An overview and update. J. Thorac. Dis. 2010, 2, 48–51. [Google Scholar] [PubMed]
 - Rodriguez-Hernandez, M.A.; Chapresto-Garzon, R.; Cadenas, M.; Navarro-Villaran, E.; Negrete, M.; Gomez-Bravo, M.A.; Victor, V.M.; Padillo, F.J.; Muntane, J. Differential effectiveness of tyrosine kinase inhibitors in 2D/3D culture according to cell differentiation, p53 status and mitochondrial respiration in liver cancer cells. Cell Death Dis. 2020, 11, 339. [Google Scholar] [CrossRef]
 - Peschard, P.; Ishiyama, N.; Lin, T.; Lipkowitz, S.; Park, M. A conserved DpYR motif in the juxtamembrane domain of the Met receptor family forms an atypical c-Cbl/Cbl-b tyrosine kinase binding domain binding site required for suppression of oncogenic activation. J. Biol. Chem. 2004, 279, 29565–29571. [Google Scholar] [CrossRef] [Green Version]
 - Ancot, F.; Foveau, B.; Lefebvre, J.; Leroy, C.; Tulasne, D. Proteolytic cleavages give receptor tyrosine kinases the gift of ubiquity. Oncogene 2009, 28, 2185–2195. [Google Scholar] [CrossRef] [PubMed] [Green Version]
 - Zhang, J.; Babic, A. Regulation of the MET oncogene: Molecular mechanisms. Carcinogenesis 2016, 37, 345–355. [Google Scholar] [CrossRef] [PubMed] [Green Version]
 - Firtina Karagonlar, Z.; Koc, D.; Iscan, E.; Erdal, E.; Atabey, N. Elevated hepatocyte growth factor expression as an autocrine c-Met activation mechanism in acquired resistance to sorafenib in hepatocellular carcinoma cells. Cancer Sci. 2016, 107, 407–416. [Google Scholar] [CrossRef] [PubMed]
 








| Compound | IC50 (nM) | 
|---|---|
| cabozantinib | 5.4 ± 0.6 | 
| compound 3 | >1000 | 
| compound 4 | 4.9 ± 2.3 | 
| Cell Line | IC50 (μM) | ||
|---|---|---|---|
| Cabozantinib | Compound 3 | Compound 4 | |
| Hep3B | 15.2 ± 2.8 | > 100 | 2.1 ± 0.5 | 
| Huh7 | 9.1 ± 1.1 | > 100 | 6.2 ± 1.8 | 
| A549 | 37.3 ± 10.0 | > 100 | 12.4 ± 6.9 | 
| H1299 | 16.1 ± 2.8 | > 100 | 8.9 ± 1.2 | 
| H6c7 | 39.4 ± 4.3 | > 100 | 19.9 ± 1.8 | 
| Tumor Selectivity (IC50 Cancer Cells/IC50 H6c7)  | |||
|---|---|---|---|
| Cancer Cell Line | Cabozantinib | Compound 4 | |
| /H6c7 | /H6c7 | ||
| HCC | Hep3B | 0.39 | 0.05 | 
| Huh7 | 0.23 | 0.16 | |
| NSCLC | A549 | 0.95 | 0.31 | 
| H1299 | 0.41 | 0.23 | |
Publisher’s Note: MDPI stays neutral with regard to jurisdictional claims in published maps and institutional affiliations.  | 
© 2021 by the authors. Licensee MDPI, Basel, Switzerland. This article is an open access article distributed under the terms and conditions of the Creative Commons Attribution (CC BY) license (https://creativecommons.org/licenses/by/4.0/).
Share and Cite
Karmacharya, U.; Guragain, D.; Chaudhary, P.; Jee, J.-G.; Kim, J.-A.; Jeong, B.-S. Novel Pyridine Bioisostere of Cabozantinib as a Potent c-Met Kinase Inhibitor: Synthesis and Anti-Tumor Activity against Hepatocellular Carcinoma. Int. J. Mol. Sci. 2021, 22, 9685. https://doi.org/10.3390/ijms22189685
Karmacharya U, Guragain D, Chaudhary P, Jee J-G, Kim J-A, Jeong B-S. Novel Pyridine Bioisostere of Cabozantinib as a Potent c-Met Kinase Inhibitor: Synthesis and Anti-Tumor Activity against Hepatocellular Carcinoma. International Journal of Molecular Sciences. 2021; 22(18):9685. https://doi.org/10.3390/ijms22189685
Chicago/Turabian StyleKarmacharya, Ujjwala, Diwakar Guragain, Prakash Chaudhary, Jun-Goo Jee, Jung-Ae Kim, and Byeong-Seon Jeong. 2021. "Novel Pyridine Bioisostere of Cabozantinib as a Potent c-Met Kinase Inhibitor: Synthesis and Anti-Tumor Activity against Hepatocellular Carcinoma" International Journal of Molecular Sciences 22, no. 18: 9685. https://doi.org/10.3390/ijms22189685
APA StyleKarmacharya, U., Guragain, D., Chaudhary, P., Jee, J.-G., Kim, J.-A., & Jeong, B.-S. (2021). Novel Pyridine Bioisostere of Cabozantinib as a Potent c-Met Kinase Inhibitor: Synthesis and Anti-Tumor Activity against Hepatocellular Carcinoma. International Journal of Molecular Sciences, 22(18), 9685. https://doi.org/10.3390/ijms22189685
        
                                                
