Insight into the Characteristics of Novel Desmin-Immunopositive Perivascular Cells of the Anterior Pituitary Gland Using Transmission and Focused Ion Beam Scanning Electron Microscopy
Abstract
:1. Introduction
2. Results
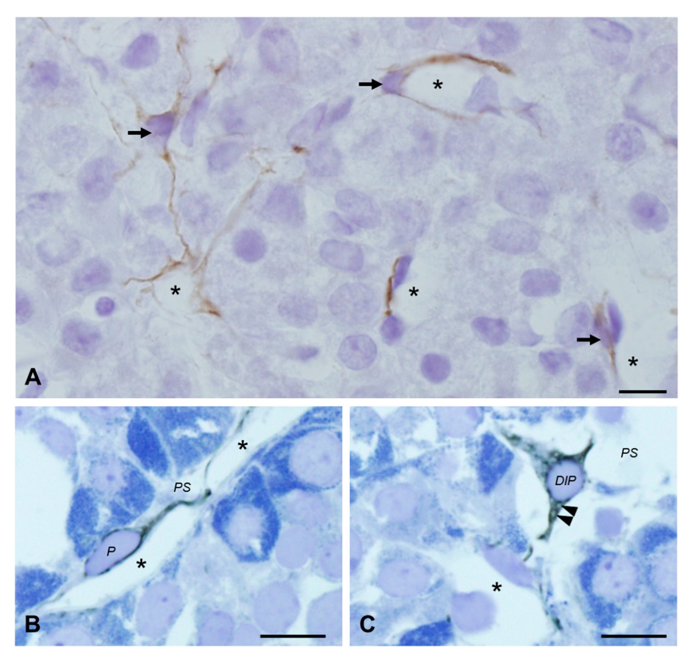
2.1. Light Microscopy
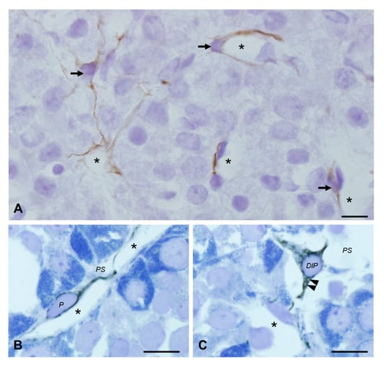
2.2. Immunoelectron Microscopy
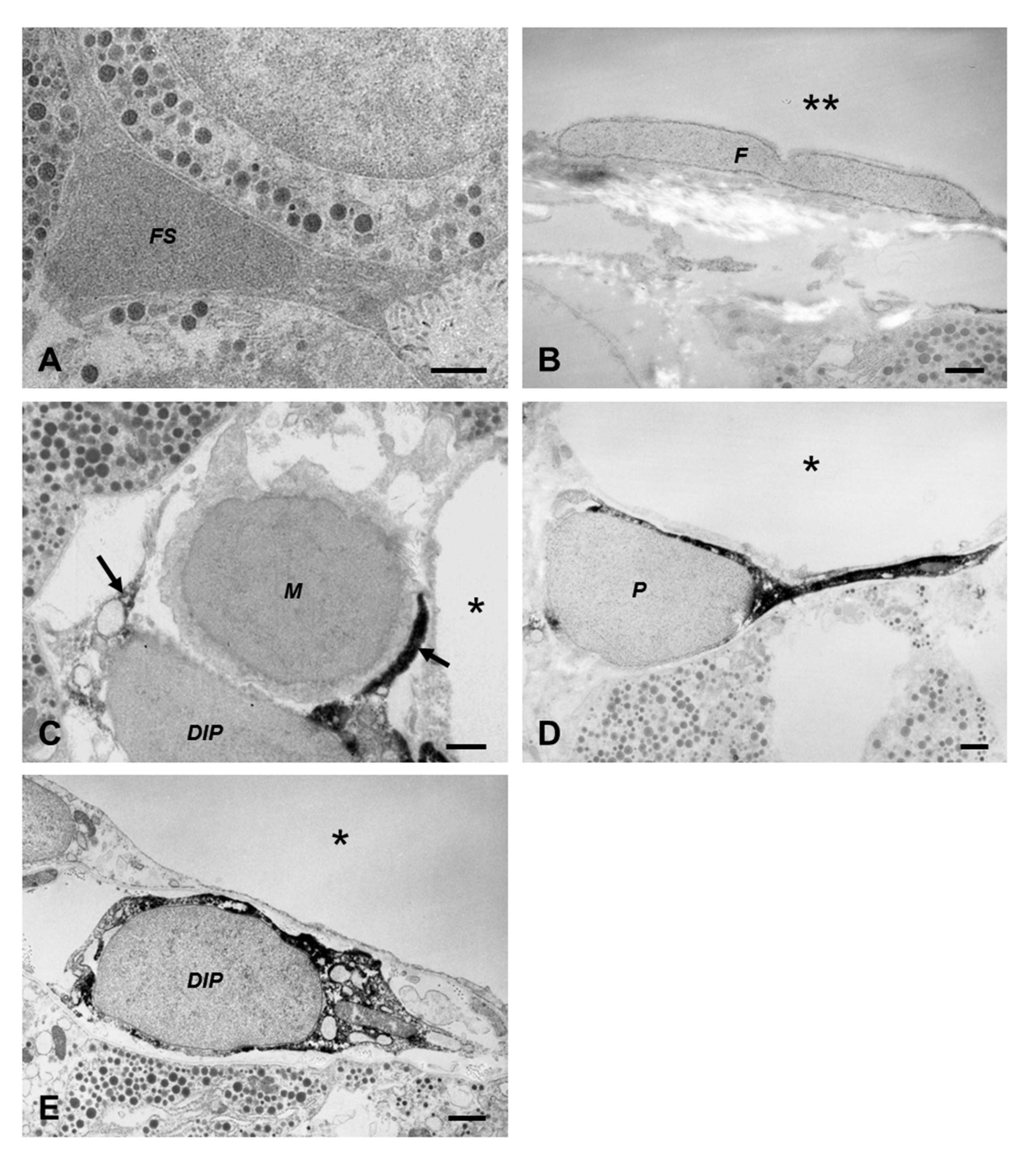
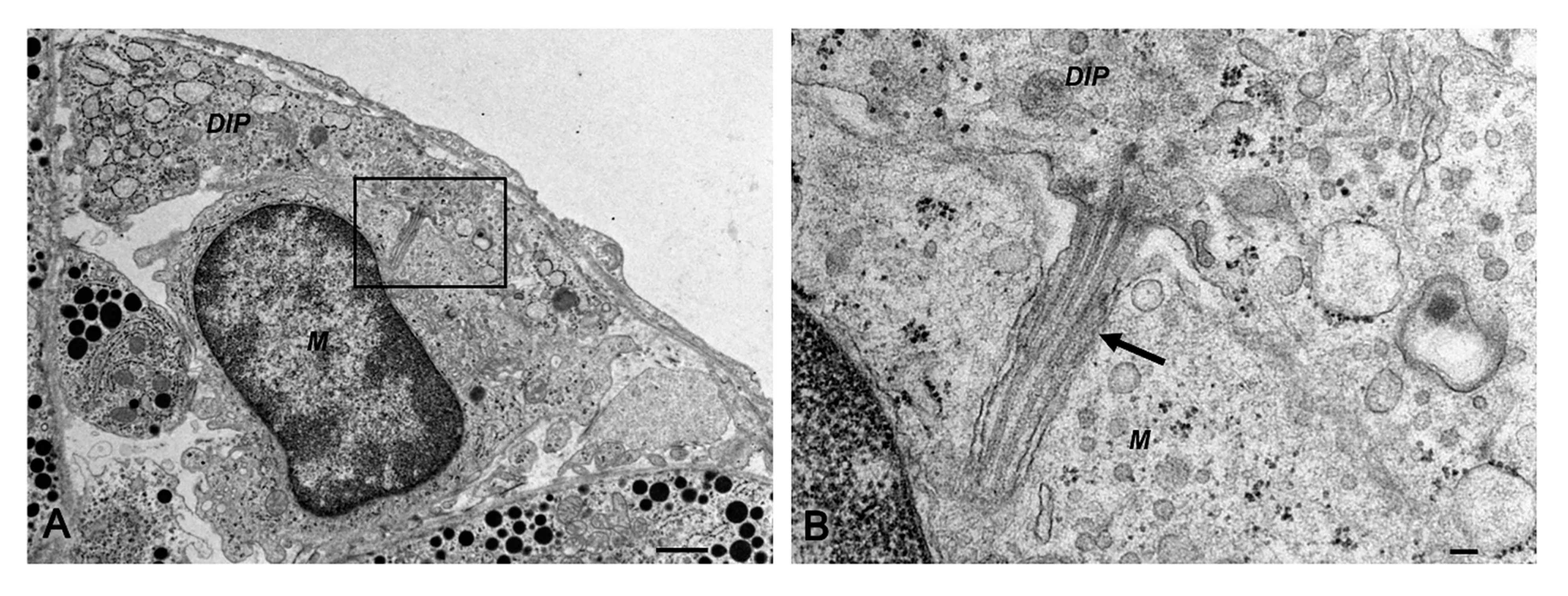
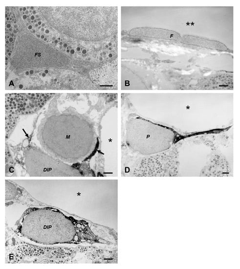
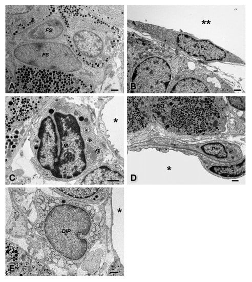
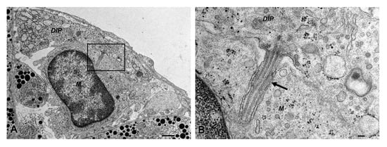
2.3. Conventional Transmission Electron Microscopy
2.4. FIB-SEM and 3D Reconstruction of the Novel Desmin-Immunopositive Perivascular Cell
3. Discussion
4. Materials and Methods
4.1. Animals
4.2. Light Microscopy
4.3. Immunoelectron and Conventional Transmission Electron Microscopy
4.4. Focused Ion Beam Scanning Electron Microscopy
5. Conclusions
Supplementary Materials
Author Contributions
Funding
Institutional Review Board Statement
Informed Consent Statement
Data Availability Statement
Acknowledgments
Conflicts of Interest
References
- Gon, G.; Shirasawa, N.; Ishikawa, H. Appearance of the cyst- or ductule-like structures and their role in the restoration of the rat pituitary autograft. Anat. Rec. 1987, 217, 371–378. [Google Scholar] [CrossRef]
- Soji, T.; Herbert, D.C. Intercellular communication between rat anterior pituitary cells. Anat. Rec. 1989, 224, 523–533. [Google Scholar] [CrossRef]
- Jindatip, D.; Fujiwara, K.; Kouki, T.; Yashiro, T. Transmission and scanning electron microscopy study of the characteristics and morphology of pericytes and novel desmin-immunopositive perivascular cells before and after castration in rat anterior pituitary gland. Anat. Sci. Int. 2012, 87, 165–173. [Google Scholar] [CrossRef]
- Narayan, K.; Subramaniam, S. Focused ion beams in biology. Nat. Methods 2015, 12, 1021–1031. [Google Scholar] [CrossRef]
- Villinger, C.; Schauflinger, M.; Gregorius, H.; Kranz, C.; Höhn, K.; Nafeey, S.; Walther, P. Three-dimensional imaging of adherent cells using FIB/SEM and STEM. Methods Mol. Biol. 2013, 1117, 617–638. [Google Scholar] [CrossRef]
- Bosch, C.; Martínez, A.; Masachs, N.; Teixeira, C.M.; Fernaud, I.; Ulloa, F.; Pérez-Martínez, E.; Lois, C.; Comella, J.X.; DeFelipe, J.; et al. FIB/SEM technology and high-throughput 3D reconstruction of dendritic spines and synapses in GFP-labeled adult-generated neurons. Front. Neuroanat. 2015, 9, 60. [Google Scholar] [CrossRef] [PubMed] [Green Version]
- Santuy, A.; Rodriguez, J.R.; DeFelipe, J.; Merchan-Perez, A. Volume electron microscopy of the distribution of synapses in the neuropil of the juvenile rat somatosensory cortex. Brain Struct. Funct. 2018, 223, 77–90. [Google Scholar] [CrossRef] [Green Version]
- Tamada, H.; Kiryu-Seo, S.; Hosokawa, H.; Ohta, K.; Ishihara, N.; Nomura, M.; Mihara, K.; Nakamura, K.I.; Kiyama, H. Three-dimensional analysis of somatic mitochondrial dynamics in fission-deficient injured motor neurons using FIB/SEM. J. Comp. Neurol. 2017, 525, 2535–2548. [Google Scholar] [CrossRef] [PubMed]
- Di Giulio, A.; Muzzi, M. Two novel approaches to study arthropod anatomy by using dualbeam FIB/SEM. Micron 2017, 106, 21–26. [Google Scholar] [CrossRef]
- Yoshitomi, M.; Ohta, K.; Kanazawa, T.; Togo, A.; Hirashima, S.; Uemura, K.I.; Okayama, S.; Morioka, M.; Nakamura, K.I. Three-dimensional ultrastructural analyses of anterior pituitary gland expose spatial relationships between endocrine cell secretory granule localization and capillary distribution. Sci. Rep. 2016, 6, 36019. [Google Scholar] [CrossRef] [PubMed] [Green Version]
- Jindatip, D.; Fujiwara, K.; Horiguchi, K.; Tsukada, T.; Kouki, T.; Yashiro, T. Changes in fine structure of pericytes and novel desmin-immunopositive perivascular cells during postnatal development in rat anterior pituitary gland. Anat. Sci. Int. 2013, 88, 196–203. [Google Scholar] [CrossRef] [PubMed]
- Agley, C.C.; Rowlerson, A.M.; Velloso, C.P.; Lazarus, N.R.; Harridge, S.D. Human skeletal muscle fibroblasts, but not myogenic cells, readily undergo adipogenic differentiation. J. Cell Sci. 2013, 126, 5610–5625. [Google Scholar] [CrossRef] [Green Version]
- Santiago, J.J.; Dangerfield, A.L.; Rattan, S.G.; Bathe, K.L.; Cunnington, R.H.; Raizman, J.E.; Bedosky, K.M.; Freed, D.H.; Kardami, E.; Dixon, I.M. Cardiac fibroblast to myofibroblast differentiation in vivo and in vitro: Expression of focal adhesion components in neonatal and adult rat ventricular myofibroblasts. Dev. Dyn. 2010, 239, 1573–1584. [Google Scholar] [CrossRef] [PubMed]
- Takase, S.; Leo, M.A.; Nouchi, T.; Lieber, C.S. Desmin distinguishes cultured fat-storing cells from myofibroblasts, smooth muscle cells and fibroblasts in the rat. J. Hepatol. 1988, 6, 267–276. [Google Scholar] [CrossRef]
- Diaz-Flores, L., Jr.; Gutierrez, R.; Madrid, J.F.; Varela, H.; Valladares, F.; Diaz-Flores, L. Adult stem cells and repair through granulation tissue. Front. Biosci. 2009, 14, 1433–1470. [Google Scholar] [CrossRef] [Green Version]
- Van der Schueren, B.; Cassiman, J.J.; Van den Berghe, H. Morphological characteristics of epithelial and fibroblastic cells growing out from biopsies of human skin. J. Investig. Dermatol. 1980, 74, 29–35. [Google Scholar] [CrossRef] [PubMed] [Green Version]
- Fujiwara, K.; Jindatip, D.; Kikuchi, M.; Yashiro, T. In situ hybridization reveals that type I and III collagens are produced by pericytes in the anterior pituitary gland of rats. Cell Tissue Res. 2010, 342, 491–495. [Google Scholar] [CrossRef]
- Horiguchi, K.; Syaidah, R.; Fujiwara, K.; Tsukada, T.; Ramadhani, D.; Jindatip, D.; Kikuchi, M.; Yashiro, T. Expression of small leucine-rich proteoglycans in rat anterior pituitary gland. Cell Tissue Res. 2013, 351, 207–212. [Google Scholar] [CrossRef] [PubMed]
- Tsukada, T.; Azuma, M.; Horiguchi, K.; Fujiwara, K.; Kouki, T.; Kikuchi, M.; Yashiro, T. Folliculostellate cell interacts with pericyte via TGFβ2 in rat anterior pituitary. J. Endocrinol. 2016, 229, 159–170. [Google Scholar] [CrossRef] [PubMed] [Green Version]
- Mahjoub, M.R. The importance of a single primary cilium. Organogenesis 2013, 9, 61–69. [Google Scholar] [CrossRef] [PubMed] [Green Version]
- Drobne, D.; Milani, M.; Leser, V.; Tatti, F.; Zrimec, A.; Znidarsic, N.; Kostanjsek, R.; Strus, J. Imaging of intracellular spherical lamellar structures and tissue gross morphology by a focused ion beam/scanning electron microscope (FIB/SEM). Ultramicroscopy 2008, 108, 663–670. [Google Scholar] [CrossRef] [PubMed]
- Koga, D.; Kusumi, S.; Ushiki, T. Three-dimensional shape of the Golgi apparatus in different cell types: Serial section scanning electron microscopy of the osmium-impregnated Golgi apparatus. Microscopy 2016, 65, 145–157. [Google Scholar] [CrossRef] [PubMed]
- Narayan, K.; Danielson, C.M.; Lagarec, K.; Lowekamp, B.C.; Coffman, P.; Laquerre, A.; Phaneuf, M.W.; Hope, T.J.; Subramaniam, S. Multi-resolution correlative focused ion beam scanning electron microscopy: Applications to cell biology. J. Struct. Biol. 2014, 185, 278–284. [Google Scholar] [CrossRef] [Green Version]
- Ohta, K.; Okayama, S.; Togo, A.; Nakamura, K. Three-dimensional organization of the endoplasmic reticulum membrane around the mitochondrial constriction site in mammalian cells revealed by using focused-ion beam tomography. Microscopy 2014, 63, i34. [Google Scholar] [CrossRef]
- Jindatip, D.; Fujiwara, K.; Sarachana, T.; Mutirangura, A.; Yashiro, T. Characteristics of pericytes in diethylstilbestrol (DES)-induced pituitary prolactinoma in rats. Med. Mol. Morphol. 2018, 51, 147–155. [Google Scholar] [CrossRef] [PubMed]






Publisher’s Note: MDPI stays neutral with regard to jurisdictional claims in published maps and institutional affiliations. |
© 2021 by the authors. Licensee MDPI, Basel, Switzerland. This article is an open access article distributed under the terms and conditions of the Creative Commons Attribution (CC BY) license (https://creativecommons.org/licenses/by/4.0/).
Share and Cite
Jindatip, D.; Poh, R.W.-Y.; Fujiwara, K. Insight into the Characteristics of Novel Desmin-Immunopositive Perivascular Cells of the Anterior Pituitary Gland Using Transmission and Focused Ion Beam Scanning Electron Microscopy. Int. J. Mol. Sci. 2021, 22, 8630. https://doi.org/10.3390/ijms22168630
Jindatip D, Poh RW-Y, Fujiwara K. Insight into the Characteristics of Novel Desmin-Immunopositive Perivascular Cells of the Anterior Pituitary Gland Using Transmission and Focused Ion Beam Scanning Electron Microscopy. International Journal of Molecular Sciences. 2021; 22(16):8630. https://doi.org/10.3390/ijms22168630
Chicago/Turabian StyleJindatip, Depicha, Rebecca Wan-Yan Poh, and Ken Fujiwara. 2021. "Insight into the Characteristics of Novel Desmin-Immunopositive Perivascular Cells of the Anterior Pituitary Gland Using Transmission and Focused Ion Beam Scanning Electron Microscopy" International Journal of Molecular Sciences 22, no. 16: 8630. https://doi.org/10.3390/ijms22168630
APA StyleJindatip, D., Poh, R. W.-Y., & Fujiwara, K. (2021). Insight into the Characteristics of Novel Desmin-Immunopositive Perivascular Cells of the Anterior Pituitary Gland Using Transmission and Focused Ion Beam Scanning Electron Microscopy. International Journal of Molecular Sciences, 22(16), 8630. https://doi.org/10.3390/ijms22168630

