Granulomatous Inflammation in ANCA-Associated Vasculitis
Abstract
1. Introduction
ANCA-Associated Vasculitis and Granulomatosis with Polyangiitis and Granulomatous Inflammation
2. Affected Tissues in GPA and AAV Indicate Involvement of Local Migratory Patterns and Endothelial Activation
3. Affected Tissues in GPA and AAV Display Cellular and Molecular Patterns Linked to Microbial Infections and Sterile Inflammation
4. Cells, Molecules, and Mechanisms of the Innate Immune Response Fuel the Granulomatous Inflammation in GPA
5. In GPA or PR3-AAV, Granulomatous Inflammation Is a Prerequisite for the Development of Local Autoimmune Responses
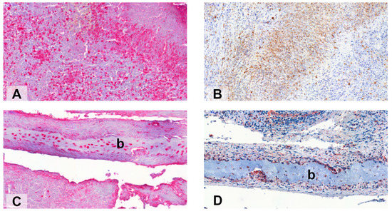
6. Granulomatous Inflammation and Tissue Destruction in GPA
7. Therapeutic Measures and Tissue Damage in AAV
8. Concluding Remarks
Author Contributions
Funding
Institutional Review Board Statement
Informed Consent Statement
Data Availability Statement
Conflicts of Interest
References
- Jennette, J.C.; Falk, R.J.; Bacon, P.A.; Basu, N.; Cid, M.C.; Ferrario, F.; Flores-Suarez, L.F.; Gross, W.L.; Guillevin, L.; Hagen, E.C.; et al. 2012 Revised International Chapel Hill Consensus Conference Nomenclature of Vasculitides. Arthritis Rheum. 2012, 20, 5–15. [Google Scholar] [CrossRef]
- Kitching, A.R.; Anders, H.J.; Basu, N.; Brouwer, E.; Gordon, J.; Jayne, D.R.; Kullman, J.; Lyons, P.A.; Merkel, P.A.; Savage, C.O.S.; et al. ANCA-Associated Vasculitis. Nat. Rev. Dis. Prim. 2020, 6. [Google Scholar] [CrossRef] [PubMed]
- Mahr, A.; Specks, U.; Jayne, D. Subclassifying ANCA-Associated Vasculitis: A Unifying View of Disease Spectrum. Rheumatology 2019, 58, 1707–1709. [Google Scholar] [CrossRef] [PubMed]
- Kronbichler, A.; Lee, K.H.; Denicolò, S.; Choi, D.; Lee, H.; Ahn, D.; Kim, K.H.; Lee, J.H.; Kim, H.; Hwang, M.; et al. Immunopathogenesis of ANCA-Associated Vasculitis. Int. J. Mol. Sci. 2020, 21, 7319. [Google Scholar] [CrossRef]
- Pearce, F.A.; Craven, A.; Merkel, P.A.; Luqmani, R.A.; Watts, R.A. Global Ethnic and Geographic Differences in the Clinical Presentations of Anti-Neutrophil Cytoplasm Antibody–Associated Vasculitis. Rheumatology 2017, 1–8. [Google Scholar] [CrossRef]
- Lamprecht, P.; Kerstein, A.; Klapa, S.; Schinke, S.; Karsten, C.M.; Yu, X.; Ehlers, M.; Epplen, J.T.; Holl-Ulrich, K.; Wiech, T.; et al. Pathogenetic and Clinical Aspects of Anti-Neutrophil Cytoplasmic Autoantibody-Associated Vasculitides. Front. Immunol. 2018, 9, 1–10. [Google Scholar] [CrossRef]
- Schirmer, J.H.; Wright, M.N.; Herrmann, K.; Laudien, M.; Nölle, B.; Reinhold-Keller, E.; Bremer, J.P.; Moosig, F.; Holle, J.U. Myeloperoxidase-Antineutrophil Cytoplasmic Antibody (ANCA)-Positive Granulomatosis With Polyangiitis (Wegener’s) Is a Clinically Distinct Subset of ANCA-Associated Vasculitis: A Retrospective Analysis of 315 Patients From a German Vasculitis Referral Cent. Arthritis Rheumatol. 2016, 68, 2953–2963. [Google Scholar] [CrossRef]
- Holl-Ulrich, K. Histopathology of Systemic Vasculitis. Pathologe 2010, 31, 67–76. [Google Scholar] [CrossRef]
- Mueller, A.; Holl-Ulrich, K.; Gross, W.L. Granuloma in ANCA-Associated Vasculitides: Another Reason to Distinguish between Syndromes? Curr. Rheumatol. Rep. 2013, 15, 376. [Google Scholar] [CrossRef]
- Mahr, A.; Moosig, F.; Neumann, T.; Szczeklik, W.; Taillé, C.; Vaglio, A.; Zwerina, J. Eosinophilic Granulomatosis with Polyangiitis (Churg-Strauss): Evolutions in Classification, Etiopathogenesis, Assessment and Management. Curr. Opin. Rheumatol. 2014, 26, 16–23. [Google Scholar] [CrossRef]
- Lyons, P.A.; Peters, J.E.; Alberici, F.; Liley, J.; Coulson, R.M.R.; Astle, W.; Baldini, C.; Bonatti, F.; Cid, M.C.; Elding, H.; et al. Genome-Wide Association Study of Eosinophilic Granulomatosis with Polyangiitis Reveals Genomic Loci Stratified by ANCA Status. Nat. Commun. 2019, 10, 1–13. [Google Scholar] [CrossRef] [PubMed]
- Furuta, S.; Iwamoto, T.; Nakajima, H. Update on Eosinophilic Granulomatosis with Polyangiitis. Allergol. Int. 2019, 68, 430–436. [Google Scholar] [CrossRef] [PubMed]
- Mukhtyar, C.; Mills, J.; Scott, D.G.I. The Nose Is an Organ Too. Rheumatology 2020, 1–2. [Google Scholar] [CrossRef] [PubMed]
- Travis, W.D.; Hoffman, G.S.; Leavitt, R.Y.; Pass, H.I.; Fauci, A.S. Surgical Pathology of the Lung in Wegener’s Granulomatosis: Review of 87 Open Lung Biopsies from 67 Patients. Am. J. Surg. Pathol. 1991, 15, 315–333. [Google Scholar] [CrossRef]
- Furman, D.; Campisi, J.; Verdin, E.; Carrera-Bastos, P.; Targ, S.; Franceschi, C.; Ferrucci, L.; Gilroy, D.W.; Fasano, A.; Miller, G.W.; et al. Chronic Inflammation in the Etiology of Disease across the Life Span. Nat. Med. 2019, 25, 1822–1832. [Google Scholar] [CrossRef]
- Jennette, J.C.; Falk, R.J.; Hu, P.; Xiao, H. Pathogenesis of Antineutrophil Cytoplasmic Autoantibody-Associated Small-Vessel Vasculitis. Annu. Rev. Pathol. 2013, 8, 139–160. [Google Scholar] [CrossRef]
- Jennette, J.C.; Falk, R.J. Pathogenesis of Antineutrophil Cytoplasmic Autoantibody-Mediated Disease. Nat. Rev. Rheumatol. 2014, 10, 463–473. [Google Scholar] [CrossRef]
- Kerstein, A.; Holl-Ulrich, K.; Müller, A.; Riemekasten, G.; Lamprecht, P. Granulomatose Mit Polyangiitis. Dtsch. Med. Wochenschr. 2017, 142, 24–31. [Google Scholar] [CrossRef]
- Nakazawa, D.; Masuda, S.; Tomaru, U.; Ishizu, A. Pathogenesis and Therapeutic Interventions for ANCA-Associated Vasculitis. Nat. Rev. Rheumatol. 2019, 15, 91–101. [Google Scholar] [CrossRef]
- Mackiewicz, Z.; Rimkevicius, A.; Petersen, J.; Andersen, C.B.; Dudek, E.; Vytrasova, M.; Konttinen, Y.T. Macrophages Overloaded with Tissue Debris in Wegener’s Granulomatosis. Ann. Rheum. Dis. 2005, 64, 1229–1232. [Google Scholar] [CrossRef]
- Park, J.K.; Askin, F. Osteoclast-like Multinucleated Giant Cells in Sinonasal Inflammation of Granulomatosis with Polyangiitis (Wegener’s Granulomatosis). Clin. Exp. Rheumatol. 1990, 31, S28–S31. [Google Scholar]
- Mueller, A.; Brieske, C.; Schinke, S.; Csernok, E.; Gross, W.L.; Hasselbacher, K.; Voswinkel, J.; Holl-Ulrich, K. Plasma Cells within Granulomatous Inflammation Display Signs Pointing towards Autoreactivity and Destruction in Granulomatosis with Polyangiitis. Arthritis Res. Ther. 2014, 16, R55. [Google Scholar] [CrossRef]
- Aubry, M.C. Necrotizing Granulomatous Inflammation: What Does It Mean If Your Special Stains Are Negative? Mod. Pathol. 2012, 25, 31–38. [Google Scholar] [CrossRef]
- Petersen, H.J.; Smith, A.M. The Role of the Innate Immune System in Granulomatous Disorders. Front. Immunol. 2013, 4, 120. [Google Scholar] [CrossRef]
- Broos, C.E.; van Nimwegen, M.; Hoogsteden, H.C.; Hendriks, R.W.; Kool, M.; van den Blink, B. Granuloma Formation in Pulmonary Sarcoidosis. Front. Immunol. 2013, 4, 437. [Google Scholar] [CrossRef] [PubMed]
- Thurner, L.; Müller, A.; Cérutti, M.; Martin, T.; Pasquali, J.-L.; Gross, W.L.; Preuss, K.-D.; Pfreundschuh, M.; Voswinkel, J. Wegener’s Granuloma Harbors B Lymphocytes with Specificities against a Proinflammatory Transmembrane Protein and a Tetraspanin. J. Autoimmun. 2011, 36, 87–90. [Google Scholar] [CrossRef] [PubMed]
- Alba, M.A.; Jennette, J.C.; Falk, R.J. Pathogenesis of ANCA-Associated Pulmonary Vasculitis. Semin. Respir. Crit. Care Med. 2018, 39, 413–424. [Google Scholar] [CrossRef] [PubMed]
- Weppner, G.; Ohlei, O.; Hammers, C.M.; Holl-Ulrich, K.; Voswinkel, J.; Bischof, J.; Hasselbacher, K.; Riemekasten, G.; Lamprecht, P.; Ibrahim, S.; et al. In Situ Detection of PR3-ANCA+B Cells and Alterations in the Variable Region of Immunoglobulin Genes Support a Role of Inflamed Tissue in the Emergence of Auto-Reactivity in Granulomatosis with Polyangiitis. J. Autoimmun. 2018, 93, 89–103. [Google Scholar] [CrossRef] [PubMed]
- Brunini, F.; Page, T.H.; Gallieni, M.; Pusey, C.D. The Role of Monocytes in ANCA-Associated Vasculitides. Autoimmun. Rev. 2016, 15, 1046–1053. [Google Scholar] [CrossRef] [PubMed]
- Nourshargh, S.; Alon, R. Leukocyte Migration into Inflamed Tissues. Immunity 2014, 41, 694–707. [Google Scholar] [CrossRef] [PubMed]
- Weninger, W.; Biro, M.; Jain, R. Leukocyte Migration in the Interstitial Space of Non-Lymphoid Organs. Nat. Rev. Immunol. 2014, 14, 232–246. [Google Scholar] [CrossRef]
- Zindel, J.; Kubes, P. DAMPs, PAMPs, and LAMPs in Immunity and Sterile Inflammation. Annu. Rev. Pathol. Mech. Dis. 2020, 15, 493–518. [Google Scholar] [CrossRef]
- Miyabe, Y.; Lian, J.; Miyabe, C.; Luster, A.D. Chemokines in Rheumatic Diseases: Pathogenic Role and Therapeutic Implications. Nat. Rev. Rheumatol. 2019, 15, 731–746. [Google Scholar] [CrossRef]
- Müller, A.; Trabandt, A.; Gloeckner-Hofmann, K.; Seitzer, U.; Csernok, E.; Schönermarck, U.; Feller, A.C.; Gross, W.L. Localized Wegener’s Granulomatosis: Predominance of CD26 and IFN-Gamma Expression. J. Pathol. 2000, 192, 113–120. [Google Scholar] [CrossRef]
- Coulomb-L’Hermine, A.; Capron, F.; Zou, W.; Piard, F.; Galateau, F.; Laurent, P.; Crevon, M.C.; Galanaud, P.; Emilie, D. Expression of the Chemokine RANTES in Pulmonary Wegener’s Granulomatosis. Hum. Pathol. 2001, 32, 320–326. [Google Scholar] [CrossRef] [PubMed]
- Lamprecht, P.; Bruhl, H.; Erdmann, A.; Holl-Ulrich, K.; Csernok, E.; Seitzer, U.; Mack, M.; Feller, A.C.; Reinhold-Keller, E.; Gross, W.L.; et al. Differences in CCR5 Expression on Peripheral Blood CD4+CD28− T-Cells and in Granulomatous Lesions between Localized and Generalized Wegener’s Granulomatosis. Clin. Immunol. 2003, 108, 1–7. [Google Scholar] [CrossRef]
- Zhou, Y.; Huang, D.; Farver, C.; Hoffman, G.S. Relative Importance of CCR5 and Antineutrophil Cytoplasmic Antibodies in Patients with Wegener’s Granulomatosis. J. Rheumatol. 2003, 30, 1541–1547. [Google Scholar]
- Steinmetz, O.M.; Velden, J.; Kneissler, U.; Marx, M.; Klein, A.; Helmchen, U.; Stahl, R.A.K.; Panzer, U. Analysis and Classification of B-Cell Infiltrates in Lupus and ANCA-Associated Nephritis. Kidney Int. 2008, 74, 448–457. [Google Scholar] [CrossRef]
- Paust, H.-J.; Riedel, J.-H.; Krebs, C.F.; Turner, J.-E.; Brix, S.R.; Krohn, S.; Velden, J.; Wiech, T.; Kaffke, A.; Peters, A.; et al. CXCR3+ Regulatory T Cells Control TH1 Responses in Crescentic GN. J. Am. Soc. Nephrol. 2016, 27, 1933–1942. [Google Scholar] [CrossRef]
- Disteldorf, E.M.; Krebs, C.F.; Paust, H.J.; Turner, J.E.; Nouailles, G.; Tittel, A.; Meyer-Schwesinger, C.; Stege, G.; Brix, S.; Velden, J.; et al. CXCL5 Drives Neutrophil Recruitment in TH17-Mediated GN. J. Am. Soc. Nephrol. 2015, 26, 55–66. [Google Scholar] [CrossRef]
- Wada, T.; Furuichi, K.; Segawa-Takaeda, C.; Shimizu, M.; Sakai, N.; Takeda, S.I.; Takasawa, K.; Kida, H.; Kobayashi, K.I.; Mukaida, N.; et al. MIP-1α and MCP-1 Contribute to Crescents and Interstitial Lesions in Human Crescentic Glomerulonephritis. Kidney Int. 1999, 56, 995–1003. [Google Scholar] [CrossRef]
- Ohlsson, S.; Bakoush, O.; Tencer, J.; Torffvit, O.; Segelmark, M. Monocyte Chemoattractant Protein 1 Is a Prognostic Marker in ANCA-Associated Small Vessel Vasculitis. Mediat. Inflamm. 2009, 2009. [Google Scholar] [CrossRef]
- Moran, S.M.; Monach, P.A.; Zgaga, L.; Cuthbertson, D.; Carette, S.; Khalidi, N.A.; Koening, C.L.; Langford, C.A.; McAlear, C.A.; Moreland, L.; et al. Urinary Soluble CD163 and Monocyte Chemoattractant Protein-1 in the Identification of Subtle Renal Flare in Anti-Neutrophil Cytoplasmic Antibody-Associated Vasculitis. Nephrol. Dial. Transplant. 2020, 35, 283–291. [Google Scholar] [CrossRef]
- Wang, H.; Gou, S.J.; Zhao, M.H.; Chen, M. The Expression of Toll-like Receptors 2, 4 and 9 in Kidneys of Patients with Anti-Neutrophil Cytoplasmic Antibody (ANCA)-Associated Vasculitis. Clin. Exp. Immunol. 2014, 177, 603–610. [Google Scholar] [CrossRef]
- Choi, M.; Schreiber, A.; Eulenberg-Gustavus, C.; Scheidereit, C.; Kamps, J.; Kettritz, R. Endothelial NF- ΚB Blockade Abrogates ANCA-Induced GN. J. Am. Soc. Nephrol. 2017, 28, 3191–3204. [Google Scholar] [CrossRef]
- Hu, N.; Westra, J.; Rutgers, A.; Doornbos-Van der Meer, B.; Huitema, M.G.; Stegeman, C.A.; Abdulahad, W.H.; Satchell, S.C.; Mathieson, P.W.; Heeringa, P.; et al. Decreased CXCR1 and CXCR2 Expression on Neutrophils in Anti-Neutrophil Cytoplasmic Autoantibody-Associated Vasculitides Potentially Increases Neutrophil Adhesion and Impairs Migration. Arthritis Res. Ther. 2011, 13, R201. [Google Scholar] [CrossRef]
- Stegeman, C.A.; Tervaert, J.W.; Sluiter, W.J.; Manson, W.L.; de Jong, P.E.; Kallenberg, C.G. Association of Chronic Nasal Carriage of Staphylococcus Aureus and Higher Relapse Rates in Wegener Granulomatosis. Ann. Intern. Med. 1994, 120, 12–17. [Google Scholar] [CrossRef]
- Laudien, M.; Gadola, S.D.; Podschun, R.; Hedderich, J.; Paulsen, J.; Reinhold-Keller, E.; Csernok, E.; Ambrosch, P.; Hellmich, B.; Moosig, F.; et al. Nasal Carriage of Staphylococcus Aureus and Endonasal Activity in Wegener s Granulomatosis as Compared to Rheumatoid Arthritis and Chronic Rhinosinusitis with Nasal Polyps. Clin. Exp. Rheumatol. 2010, 28, 51–55. [Google Scholar] [PubMed]
- Kerstein, A.; Schüler, S.; Cabral-Marques, O.; Fazio, J.; Häsler, R.; Müller, A.; Pitann, S.; Moosig, F.; Klapa, S.; Haas, C.; et al. Environmental Factor and Inflammation-Driven Alteration of the Total Peripheral T-Cell Compartment in Granulomatosis with Polyangiitis. J. Autoimmun. 2017, 78, 79–91. [Google Scholar] [CrossRef] [PubMed]
- Lamprecht, P.; Moosig, F.; Csernok, E.; Seitzer, U.; Schnabel, A.; Mueller, A.; Gross, W.L. CD28 Negative T Cells Are Enriched in Granulomatous Lesions of the Respiratory Tract in Wegener’s Granulomatosis. Thorax 2001, 56, 751–757. [Google Scholar] [CrossRef] [PubMed][Green Version]
- Rhee, R.L.; Sreih, A.G.; Najem, C.E.; Grayson, P.C.; Zhao, C.; Bittinger, K.; Collman, R.G.; Merkel, P.A. Characterisation of the Nasal Microbiota in Granulomatosis with Polyangiitis. Ann. Rheum. Dis. 2018, 1–6. [Google Scholar] [CrossRef]
- Lamprecht, P.; Fischer, N.; Huang, J.; Burkhardt, L.; Lütgehetmann, M.; Arndt, F.; Rolfs, I.; Kerstein, A.; Iking-Konert, C.; Laudien, M. Changes in the Composition of the Upper Respiratory Tract Microbial Community in Granulomatosis with Polyangiitis. J. Autoimmun. 2019, 97, 29–39. [Google Scholar] [CrossRef]
- Wagner, J.; Harrison, E.M.; Martinez Del Pero, M.; Blane, B.; Mayer, G.; Leierer, J.; Gopaluni, S.; Holmes, M.A.; Parkhill, J.; Peacock, S.J.; et al. The Composition and Functional Protein Subsystems of the Human Nasal Microbiome in Granulomatosis with Polyangiitis: A Pilot Study. Microbiome 2019, 7, 1–17. [Google Scholar] [CrossRef] [PubMed]
- Glasner, C.; Van Timmeren, M.M.; Stobernack, T.; Omansen, T.F.; Raangs, E.C.; Rossen, J.W.; De Goffau, M.C.; Arends, J.P.; Kampinga, G.A.; Koedijk, D.G.A.M.; et al. Low Anti-Staphylococcal IgG Responses in Granulomatosis with Polyangiitis Patients despite Long-Term Staphylococcus Aureus Exposure. Sci. Rep. 2015, 5, 1–9. [Google Scholar] [CrossRef] [PubMed]
- Glasner, C.; De Goffau, M.C.; Van Timmeren, M.M.; Schulze, M.L.; Jansen, B.; Tavakol, M.; Van Wamel, W.J.B.; Stegeman, C.A.; Kallenberg, C.G.M.; Arends, J.P.; et al. Genetic Loci of Staphylococcus Aureus Associated with Anti-Neutrophil Cytoplasmic Autoantibody (ANCA)-Associated Vasculitides. Sci. Rep. 2017, 7, 1–9. [Google Scholar] [CrossRef]
- Ooi, J.D.; Jiang, J.H.; Eggenhuizen, P.J.; Chua, L.L.; van Timmeren, M.; Loh, K.L.; O’Sullivan, K.M.; Gan, P.Y.; Zhong, Y.; Tsyganov, K.; et al. A Plasmid-Encoded Peptide from Staphylococcus Aureus Induces Anti-Myeloperoxidase Nephritogenic Autoimmunity. Nat. Commun. 2019, 10. [Google Scholar] [CrossRef]
- Laudien, M.; Häsler, R.; Wohlers, J.; Böck, J.; Lipinski, S.; Bremer, L.; Podschun, R.; Ambrosch, P.; Lamprecht, P.; Rosenstiel, P.; et al. Molecular Signatures of a Disturbed Nasal Barrier Function in the Primary Tissue of Wegener’s Granulomatosis. Mucosal Immunol. 2011, 4, 564–573. [Google Scholar] [CrossRef] [PubMed]
- Henes, F.O.; Chen, Y.; Bley, T.A.; Fabel, M.; Both, M.; Herrmann, K.; Csernok, E.; Gross, W.L.; Moosig, F. Correlation of Serum Level of High Mobility Group Box 1 with the Burden of Granulomatous Inflammation in Granulomatosis with Polyangiitis (Wegener’s). Ann. Rheum. Dis. 2011, 70, 1926–1929. [Google Scholar] [CrossRef] [PubMed]
- Grayson, P.C.; Steiling, K.; Platt, M.; Berman, J.S.; Zhang, X.; Xiao, J.; Alekseyev, Y.O.; Liu, G.; Monach, P.A.; Kaplan, M.J.; et al. Brief Report: Defining the Nasal Transcriptome in Granulomatosis with Polyangiitis (Wegener’s). Arthritis Rheumatol. 2015, 67, 2233–2239. [Google Scholar] [CrossRef] [PubMed]
- Wang, C.; Wang, H.; Chang, D.-Y.; Hao, J.; Zhao, M.-H.; Chen, M. High Mobility Group Box 1 Contributes to Anti-Neutrophil Cytoplasmic Antibody-Induced Neutrophils Activation through Receptor for Advanced Glycation End Products (RAGE) and Toll-like Receptor 4. Arthritis Res. Ther. 2015, 17, 1–13. [Google Scholar] [CrossRef]
- de Souza, A.; Westra, J.; Bijzet, J.; Limburg, P.C.; Stegeman, C.A.; Bijl, M.; Kallenberg, C.G.M. Is Serum HMGB1 a Biomarker in ANCA-Associated Vasculitis? Arthritis Res. Ther. 2013, 15, R104. [Google Scholar] [CrossRef]
- Huebener, P.; Pradere, J.; Hernandez, C.; Gwak, G.; Caviglia, J.M.; Mu, X.; Loike, J.D.; Jenkins, R.E.; Antoine, D.J.; Schwabe, R.F. The HMGB1 / RAGE Axis Triggers Neutrophil-Mediated Injury Amplification Following Necrosis. J. Clin. Investig. 2015, 125, 539–550. [Google Scholar] [CrossRef] [PubMed]
- Yang, D.; de la Rosa, G.; Tewary, P.; Oppenheim, J.J. Alarmins Link Neutrophils and Dendritic Cells. Trends Immunol. 2009, 30, 531–537. [Google Scholar] [CrossRef] [PubMed]
- De Souza, A.W.S.; Abdulahad, W.H.; Sosicka, P.; Bijzet, J.; Limburg, P.C.; Stegeman, C.A.; Bijl, M.; Westra, J.; Kallenberg, C.G.M. Are Urinary Levels of High Mobility Group Box 1 Markers of Active Nephritis in Anti-Neutrophil Cytoplasmic Antibody-Associated Vasculitis? Clin. Exp. Immunol. 2014, 178, 270–278. [Google Scholar] [CrossRef]
- Wang, C.; Deng, H.; Gong, Y.; You, R.; Chen, M.; Zhao, M.H. Effect of High Mobility Group Box 1 on Toll-like Receptor 9 in B Cells in Myeloperoxidase-ANCA-Associated Vasculitis. Autoimmunity 2020, 53, 28–34. [Google Scholar] [CrossRef]
- Capraru, D.; Müller, A.; Csernok, E.; Gross, W.L.; Holl-Ulrich, K.; Northfield, J.; Klenerman, P.; Herlyn, K.; Holle, J.; Gottschlich, S.; et al. Expansion of Circulating NKG2D+ Effector Memory T-Cells and Expression of NKG2D-Ligand MIC in Granulomaous Lesions in Wegener’s Granulomatosis. Clin. Immunol. 2008, 127, 144–150. [Google Scholar] [CrossRef]
- Millet, A.; Martin, K.R.; Bonnefoy, F.; Saas, P.; Mocek, J.; Alkan, M.; Terrier, B.; Kerstein, A.; Tamassia, N.; Satyanarayanan, S.K.; et al. Proteinase 3 on Apoptotic Cells Disrupts Immune Silencing in Autoimmune Vasculitis. J. Clin. Investig. 2015, 125, 4107–4121. [Google Scholar] [CrossRef]
- de Souza, A.W.S.; van Timmeren, M.; Sanders, J.-S.; Stegeman, C.; Heeringa, P.; Kallenberg, C.G.M.; Westra, J. M2 Macrophage Is the Predominant Phenotype in Airways Inflammatory Lesions in Patients with Granulomatosis with Polyangiitis. Arthritis Res. Ther. 2017, 19, 100. [Google Scholar] [CrossRef] [PubMed]
- Komocsi, A.; Lamprecht, P.; Csernok, E.; Mueller, A.; Holl-Ulrich, K.; Seitzer, U.; Moosig, F.; Schnabel, A.; Gross, W.L. Peripheral Blood and Granuloma CD4(+)CD28(-) T Cells Are a Major Source of Interferon-Gamma and Tumor Necrosis Factor-Alpha in Wegener’s Granulomatosis. Am. J. Pathol. 2002, 160, 1717–1724. [Google Scholar] [CrossRef]
- Balding, C.E.J.; Howie, A.J.; Drake-Lee, A.B.; Savage, C.O.S. Th2 Dominance in Nasal Mucosa in Patients with Wegener’s Granulomatosis. Clin. Exp. Immunol. 2001, 125, 332–339. [Google Scholar] [CrossRef] [PubMed]
- Wilde, B.; Dolff, S.; Cai, X.; Specker, C.; Becker, J.; Tötsch, M.; Costabel, U.; Dürig, J.; Kribben, A.; Tervaert, J.W.C.; et al. CD4+CD25+ T-Cell Populations Expressing CD134 and GITR Are Associated with Disease Activity in Patients with Wegener’s Granulomatosis. Nephrol. Dial. Transplant 2009, 24, 161–171. [Google Scholar] [CrossRef]
- Klapa, S.; Mueller, A.; Csernok, E.; Fagin, U.; Klenerman, P.; Holl-Ulrich, K.; Gross, W.L.; Lamprecht, P. Lower Numbers of FoxP3 and CCR4 Co-Expressing Cells in an Elevated Subpopulation of CD4+CD25highregulatory T Cells from Wegener’s Granulomatosis. Clin. Exp. Rheumatol. 2010, 28, 5–7. [Google Scholar]
- Voswinkel, J.; Mueller, A.; Kraemer, J.A.; Lamprecht, P.; Herlyn, K.; Holl-Ulrich, K.; Feller, A.C.; Pitann, S.; Gause, A.; Gross, W.L. B Lymphocyte Maturation in Wegener’s Granulomatosis: A Comparative Analysis of VH Genes from Endonasal Lesions. Ann. Rheum. Dis. 2006, 65, 859–864. [Google Scholar] [CrossRef]
- Zhao, Y.; Odell, E.; Choong, L.M.; Barone, F.; Fields, P.; Wilkins, B.; Tungekar, F.M.; Patel, P.; Sanderson, J.D.; Sangle, S.; et al. Granulomatosis with Polyangiitis Involves Sustained Mucosal Inflammation That Is Rich in B-Cell Survival Factors and Autoantigen. Rheumatology 2012, 51, 1580–1586. [Google Scholar] [CrossRef]
- Chang, S.Y.; Keogh, K.A.; Lewis, J.E.; Ryu, J.H.; Cornell, L.D.; Garrity, J.A.; Yi, E.S. IgG4-Positive Plasma Cells in Granulomatosis with Polyangiitis (Wegener’s): A Clinicopathologic and Immunohistochemical Study on 43 Granulomatosis with Polyangiitis and 20 Control Cases. Hum. Pathol. 2013, 44, 2432–2437. [Google Scholar] [CrossRef]
- Kesel, N.; Köhler, D.; Herich, L.; Laudien, M.; Holl-Ulrich, K.; Jüngel, A.; Neidhart, M.; Gay, S.; Gay, R.E.; Csernok, E.; et al. Cartilage Destruction in Granulomatosis with Polyangiitis (Wegener’s Granulomatosis) Is Mediated by Human Fibroblasts after Transplantation into Immunodeficient Mice. Am. J. Pathol. 2012, 180, 2144–2155. [Google Scholar] [CrossRef] [PubMed]
- Chen, M.; Jayne, D.R.W.; Zhao, M.-H. Complement in ANCA-Associated Vasculitis: Mechanisms and Implications for Management. Nat. Rev. Nephrol. 2017, 13, 359–367. [Google Scholar] [CrossRef] [PubMed]
- Hilhorst, M.; Van Paassen, P.; Van Rie, H.; Bijnens, N.; Heerings-Rewinkel, P.; Van Breda Vriesman, P.; Cohen Tervaert, J.W. Complement in ANCA-Associated Glomerulonephritis. Nephrol. Dial. Transplant. 2017, 32, 1302–1313. [Google Scholar] [CrossRef]
- Sethi, S.; Zand, L.; De Vriese, A.S.; Specks, U.; Vrana, J.A.; Kanwar, S.; Kurtin, P.; Theis, J.D.; Angioi, A.; Cornell, L.; et al. Complement Activation in Pauci-Immune Necrotizing and Crescentic Glomerulonephritis: Results of a Proteomic Analysis. Nephrol. Dial. Transplant. 2017, 32, i139–i145. [Google Scholar] [CrossRef] [PubMed]
- Freeley, S.J.; Popat, R.J.; Parmar, K.; Kolev, M.; Hunt, B.J.; Stover, C.M.; Schwaeble, W.; Kemper, C.; Robson, M.G. Experimentally-Induced Anti-Myeloperoxidase Vasculitis Does Not Require Properdin, MASP-2 or Bone Marrow-Derived C5. J. Pathol. 2016, 240, 61–71. [Google Scholar] [CrossRef]
- Mark, E.J.; Matsubara, O.; Tan-Liu, N.S.; Fienberg, R. The Pulmonary Biopsy in the Early Diagnosis of Wegener’s (Pathergic) Granulomatosis: A Study Based on 35 Open Lung Biopsies. Hum. Pathol. 1988, 19, 1065–1071. [Google Scholar] [CrossRef]
- O’brien, E.C.; Abdulahad, W.H.; Rutgers, A.; Huitema, M.G.; O’reilly, V.P.; Coughlan, A.M.; Harrington, M.; Heeringa, P.; Little, M.A.; Hickey, F.B. Intermediate Monocytes in ANCA Vasculitis: Increased Surface Expression of ANCA Autoantigens and IL-1β Secretion in Response to Anti-MPO Antibodies. Sci. Rep. 2015, 1–12. [Google Scholar] [CrossRef] [PubMed]
- Uchida, T.; Nagai, K.; Sato, T.; Iizuka, N.; Arito, M.; Takakuwa, Y.; Nakano, H.; Ooka, S.; Kurokawa, M.S.; Suematsu, N.; et al. Comparative Proteomic Analysis of Neutrophils from Patients with Microscopic Polyangiitis and Granulomatosis with Polyangiitis. J. Proteom. 2013, 91, 259–269. [Google Scholar] [CrossRef] [PubMed]
- Halbwachs-Mecarelli, L.; Bessou, G.; Lesavre, P.; Lopez, S.; Witko-Sarsat, V. Bimodal Distribution of Proteinase 3 (PR3) Surface Expression Reflects a Constitutive Heterogeneity in the Polymorphonuclear Neutrophil Pool. FEBS Lett. 1995, 374, 29–33. [Google Scholar] [CrossRef]
- Witko-Sarsat, V.; Lesavre, P.; Lopez, S.; Bessou, G.; Hieblot, C.; Prum, B.; Noël, L.H.; Guillevin, L.; Ravaud, P.; Sermet-Gaudelus, I.; et al. A Large Subset of Neutrophils Expressing Membrane Proteinase 3 Is a Risk Factor for Vasculitis and Rheumatoid Arthritis. J. Am. Soc. Nephrol. 1999, 10, 1224–1233. [Google Scholar] [CrossRef]
- Schreiber, A.; Busjahn, A.; Luft, F.C.; Kettritz, R. Membrane Expression of Proteinase 3 Is Genetically Determined. J. Am. Soc. Nephrol. 2003, 14, 68–75. [Google Scholar] [CrossRef]
- Granel, J.; Korkmaz, B.; Nouar, D.; Weiss, S.A.I.; Jenne, D.E.; Lemoine, R.; Hoarau, C. Pathogenicity of Proteinase 3-Anti-Neutrophil Cytoplasmic Antibody in Granulomatosis With Polyangiitis: Implications as Biomarker and Future Therapies. Front. Immunol. 2021, 12, 1–14. [Google Scholar] [CrossRef] [PubMed]
- Csernok, E.; Ernst, M.; Schmitt, W.; Bainton, D.F.; Gross, W.L. Activated Neutrophils Express Proteinase 3 on Their Plasma Membrane in Vitro and in Vivo. Clin. Exp. Immunol. 1994, 95, 244–250. [Google Scholar] [CrossRef]
- Thieblemont, N.; Wright, H.L.; Edwards, S.W.; Witko-Sarsat, V. Human Neutrophils in Auto-Immunity. Semin. Immunol. 2016, 28, 159–173. [Google Scholar] [CrossRef]
- Kantari, C.; Pederzoli-Ribeil, M.; Amir-Moazami, O.; Gausson-Dorey, V.; Moura, I.C.; Lecomte, M.C.; Benhamou, M.; Witko-Sarsat, V. Proteinase 3, the Wegener Autoantigen, Is Externalized during Neutrophil Apoptosis: Evidence for a Functional Association with Phospholipid Scramblase 1 and Interference with Macrophage Phagocytosis. Blood 2007, 110, 4086–4095. [Google Scholar] [CrossRef]
- Gabillet, J.; Millet, A.; Pederzoli-Ribeil, M.; Tacnet-Delorme, P.; Guillevin, L.; Mouthon, L.; Frachet, P.; Witko-Sarsat, V. Proteinase 3, the Autoantigen in Granulomatosis with Polyangiitis, Associates with Calreticulin on Apoptotic Neutrophils, Impairs Macrophage Phagocytosis, and Promotes Inflammation. J. Immunol. 2012, 189, 2574–2583. [Google Scholar] [CrossRef] [PubMed]
- Everts-Graber, J.; Martin, K.R.; Thieblemont, N.; Mocek, J.; Roccabianca, A.; Chafey, P.; Le Gall, M.; Tacnet-Delorme, P.; Reutelingsperger, C.P.; Naccache, J.-M.; et al. Proteomic Analysis of Neutrophils in ANCA-Associated Vasculitis Reveals a Dysregulation in Proteinase 3-Associated Proteins Such as Annexin-A1 Involved in Apoptotic Cell Clearance. Kidney Int. 2019, 3, 1–12. [Google Scholar] [CrossRef] [PubMed]
- Abdgawad, M.; Pettersson, Å.; Gunnarsson, L.; Bengtsson, A.A.; Geborek, P.; Nilsson, L.; Segelmark, M.; Hellmark, T. Decreased Neutrophil Apoptosis in Quiescent ANCA-Associated Systemic Vasculitis. PLoS ONE 2012, 7, e32439. [Google Scholar] [CrossRef] [PubMed]
- Thieblemont, N.; Witko-Sarsat, V.; Ariel, A. Regulation of Macrophage Activation by Proteins Expressed on Apoptotic Neutrophils: Subversion towards Autoimmunity by Proteinase 3. Eur. J. Clin. Investig. 2018, 48, 1–10. [Google Scholar] [CrossRef] [PubMed]
- Pepper, R.J.; Draibe, J.B.; Caplin, B.; Fervenza, F.C.; Hoffman, G.S.; Kallenberg, C.G.M.; Langford, C.A.; Monach, P.A.; Seo, P.; Spiera, R.; et al. Association of Serum Calprotectin (S100A8/A9) Level With Disease Relapse in Proteinase 3-Antineutrophil Cytoplasmic Antibody-Associated Vasculitis. Arthritis Rheumatol. 2017, 69, 185–193. [Google Scholar] [CrossRef] [PubMed]
- Pepper, R.J.; Hamour, S.; Chavele, K.-M.; Todd, S.K.; Rasmussen, N.; Flint, S.; Lyons, P.A.; Smith, K.G.C.; Pusey, C.D.; Cook, H.T.; et al. Leukocyte and Serum S100A8/S100A9 Expression Reflects Disease Activity in ANCA-Associated Vasculitis and Glomerulonephritis. Kidney Int. 2013, 83, 1150–1158. [Google Scholar] [CrossRef]
- Yang, J.J.; Pendergraft, W.F.; Alcorta, D.A.; Nachman, P.H.; Hogan, S.L.; Thomas, R.P.; Sullivan, P.; Jennette, J.C.; Falk, R.J.; Preston, G. a Circumvention of Normal Constraints on Granule Protein Gene Expression in Peripheral Blood Neutrophils and Monocytes of Patients with Antineutrophil Cytoplasmic Autoantibody-Associated Glomerulonephritis. J. Am. Soc. Nephrol. 2004, 15, 2103–2114. [Google Scholar] [CrossRef]
- Ohlsson, S.; Hellmark, T.; Pieters, K.; Sturfelt, G.; Wieslander, J.; Segelmark, M. Increased Monocyte Transcription of the Proteinase 3 Gene in Small Vessel Vasculitis. Clin. Exp. Immunol. 2005, 141, 174–182. [Google Scholar] [CrossRef] [PubMed]
- Ciavatta, D.J.; Yang, J.J.; Preston, G.A.; Badhwar, A.K.; Xiao, H.; Hewins, P.; Nester, C.M.; Pendergraft, W.F.; Magnuson, T.R.; Jennette, J.C.; et al. Epigenetic Basis for Aberrant Upregulation of Autoantigen Genes in Humans with ANCA Vasculitis. J. Clin. Investig. 2010, 120, 3209–3219. [Google Scholar] [CrossRef] [PubMed]
- Chatfield, S.M.; Thieblemont, N.; Witko-Sarsat, V. Expanding Neutrophil Horizons: New Concepts in Inflammation. J. Innate Immun. 2018, 10, 422–431. [Google Scholar] [CrossRef]
- Kienle, K.; Lämmermann, T. Neutrophil Swarming: An Essential Process of the Neutrophil Tissue Response. Immunol. Rev. 2016, 273, 76–93. [Google Scholar] [CrossRef]
- Poplimont, H.; Georgantzoglou, A.; Boulch, M.; Walker, H.A.; Coombs, C.; Papaleonidopoulou, F.; Sarris, M. Neutrophil Swarming in Damaged Tissue Is Orchestrated by Connexins and Cooperative Calcium Alarm Signals. Curr. Biol. 2020, 30, 2761–2776.e7. [Google Scholar] [CrossRef]
- Uderhardt, S.; Martins, A.J.; Tsang, J.S.; Lämmermann, T.; Germain, R.N. Resident Macrophages Cloak Tissue Microlesions to Prevent Neutrophil-Driven Inflammatory Damage. Cell 2019, 177, 541–555. [Google Scholar] [CrossRef] [PubMed]
- Darrah, E.; Andrade, F. NETs: The Missing Link between Cell Death and Systemic Autoimmune Diseases? Front. Immunol. 2012, 3, 428. [Google Scholar] [CrossRef] [PubMed]
- Delgado-Rizo, V.; Martínez-Guzmán, M.A.; Iñiguez-Gutierrez, L.; García-Orozco, A.; Alvarado-Navarro, A.; Fafutis-Morris, M. Neutrophil Extracellular Traps and Its Implications in Inflammation: An Overview. Front. Immunol. 2017, 8, 1–20. [Google Scholar] [CrossRef]
- Leppkes, M.; Schick, M.; Hohberger, B.; Mahajan, A.; Knopf, J.; Schett, G.; Muñoz, L.E.; Herrmann, M. Updates on NET Formation in Health and Disease. Semin. Arthritis Rheum. 2019, 49, S43–S48. [Google Scholar] [CrossRef] [PubMed]
- Panda, R.; Krieger, T.; Hopf, L.; Renné, T.; Haag, F.; Röber, N.; Conrad, K.; Csernok, E.; Fuchs, T.A. Neutrophil Extracellular Traps Contain Selected Antigens of Anti-Neutrophil Cytoplasmic Antibodies. Front. Immunol. 2017, 8, 1–10. [Google Scholar] [CrossRef] [PubMed]
- Kraaij, T.; Kamerling, S.W.A.; van Dam, L.S.; Bakker, J.A.; Bajema, I.M.; Page, T.; Brunini, F.; Pusey, C.D.; Toes, R.E.M.; Scherer, H.U.; et al. Excessive Neutrophil Extracellular Trap Formation in ANCA-Associated Vasculitis Is Independent of ANCA. Kidney Int. 2018, 1–11. [Google Scholar] [CrossRef]
- Schreiber, A.; Rousselle, A.; Becker, J.U.; von Mässenhausen, A.; Linkermann, A.; Kettritz, R. Necroptosis Controls NET Generation and Mediates Complement Activation, Endothelial Damage, and Autoimmune Vasculitis. Proc. Natl. Acad. Sci. USA 2017, 201708247. [Google Scholar] [CrossRef] [PubMed]
- Barnado, A.; Crofford, L.J.; Oates, J.C. At the Bedside: Neutrophil Extracellular Traps (NETs) as Targets for Biomarkers and Therapies in Autoimmune Diseases. J. Leukoc. Biol. 2016, 99, 265–278. [Google Scholar] [CrossRef]
- Zhang, Y.; Shi, W.; Tang, S.; Li, J.; Yin, S.; Gao, X.; Wang, L.; Zou, L.; Zhao, J.; Huang, Y.; et al. The Influence of Cathelicidin LL37 in Human Anti-Neutrophils Cytoplasmic Antibody (ANCA)-Associated Vasculitis. Arthritis Res. Ther. 2013, 15, R161. [Google Scholar] [CrossRef] [PubMed]
- Kessenbrock, K.; Krumbholz, M.; Schönermarck, U.; Back, W.; Gross, W.L.; Werb, Z.; Gröne, H.-J.; Brinkmann, V.; Jenne, D.E. Netting Neutrophils in Autoimmune Small-Vessel Vasculitis. Nat. Med. 2009, 15, 623–625. [Google Scholar] [CrossRef] [PubMed]
- Ohlsson, S.M.; Pettersson, Å.; Ohlsson, S.; Selga, D.; Bengtsson, A.A.; Segelmark, M.; Hellmark, T. Phagocytosis of Apoptotic Cells by Macrophages in Anti-Neutrophil Cytoplasmic Antibody-Associated Systemic Vasculitis. Clin. Exp. Immunol. 2012, 170, 47–56. [Google Scholar] [CrossRef] [PubMed]
- Wilde, B.; van Paassen, P.; Damoiseaux, J.; Heerings-Rewinkel, P.; van Rie, H.; Witzke, O.; Tervaert, J.W.C. Dendritic Cells in Renal Biopsies of Patients with ANCA-Associated Vasculitis. Nephrol. Dial. Transplant 2009, 24, 2151–2156. [Google Scholar] [CrossRef] [PubMed]
- Sorensen, O.E. Human Cathelicidin, HCAP-18, Is Processed to the Antimicrobial Peptide LL-37 by Extracellular Cleavage with Proteinase 3. Blood 2001, 97, 3951–3959. [Google Scholar] [CrossRef]
- Roth, S.; Agthe, M.; Eickhoff, S.; Möller, S.; Karsten, C.M.; Borregaard, N.; Solbach, W.; Laskay, T. Secondary Necrotic Neutrophils Release Interleukin-16C and Macrophage Migration Inhibitory Factor from Stores in the Cytosol. Cell Death Discov. 2015, 1, 15056. [Google Scholar] [CrossRef]
- Roth, S.; Solbach, W.; Laskay, T. IL-16 and MIF: Messengers beyond Neutrophil Cell Death. Cell Death Dis. 2016, 7, e2049. [Google Scholar] [CrossRef][Green Version]
- Sreih, A.G.; Ezzedine, R.; Leng, L.; Fan, J.; Yao, J.; Reid, D.; Piecychna, M.; Carette, S.; Cuthbertson, D.; Dellaripa, P.; et al. Role of Macrophage Migration Inhibitory Factor in Granulomatosis With Polyangiitis. Arthritis Rheumatol. 2018, 70, 2077–2086. [Google Scholar] [CrossRef]
- Irmscher, S.; Brix, S.R.; Zipfel, S.L.H.; Halder, L.D.; Mutlutürk, S.; Wulf, S.; Girdauskas, E.; Reichenspurner, H.; Stahl, R.A.K.; Jungnickel, B.; et al. Serum FHR1 Binding to Necrotic-Type Cells Activates Monocytic Inflammasome and Marks Necrotic Sites in Vasculopathies. Nat. Commun. 2019, 10, 1–14. [Google Scholar] [CrossRef]
- Noronha, I.L.; Krüger, C.; Andrassy, K.; Ritz, E.; Waldherr, R. In Situ Production of TNF-α, IL-1β and IL-2R in ANCA-Positive Glomerulonephritis. Kidney Int. 1993, 43, 682–692. [Google Scholar] [CrossRef]
- Tourneur, L.; Witko-Sarsat, V. Inflammasome Activation: Neutrophils Go Their Own Way. J. Leukoc. Biol. 2019, 433–436. [Google Scholar] [CrossRef] [PubMed]
- Park, J.K.; Askin, F.; Giles, J.T.; Halushka, M.K.; Rosen, A.; Levine, S.M. Increased Generation of TRAP Expressing Multinucleated Giant Cells in Patients with Granulomatosis with Polyangiitis. PLoS ONE 2012, 7, e42659. [Google Scholar] [CrossRef] [PubMed]
- Oh, Y.; Oh, I.; Morimoto, J.; Uede, T.; Morimoto, A. Osteopontin Has a Crucial Role in Osteoclast-like Multinucleated Giant Cell Formation. J. Cell. Biochem. 2014, 115, 585–595. [Google Scholar] [CrossRef] [PubMed]
- Zhao, L.; David, M.Z.; Hyjek, E.; Chang, A.; Meehan, S.M. M2 Macrophage Infiltrates in the Early Stages of ANCA-Associated Pauci-Immune Necrotizing GN. Clin. J. Am. Soc. Nephrol. 2015, 10, 54–62. [Google Scholar] [CrossRef] [PubMed]
- Zizzo, G.; Cohen, P.L. IL-17 Stimulates Differentiation of Human Anti-Inflammatory Macrophages and Phagocytosis of Apoptotic Neutrophils in Response to IL-10 and Glucocorticoids. J. Immunol. 2013, 190, 5237–5246. [Google Scholar] [CrossRef] [PubMed]
- Weidner, S.; Carl, M.; Riess, R.; Rupprecht, H.D. Histologic Analysis of Renal Leukocyte Infiltration in Antineutrophil Cytoplasmic Antibody-Associated Vasculitis: Importance of Monocyte and Neutrophil Infiltration in Tissue Damage. Arthritis Rheum. 2004, 50, 3651–3657. [Google Scholar] [CrossRef]
- Brix, S.R.; Stege, G.; Disteldorf, E.; Hoxha, E.; Krebs, C.; Krohn, S.; Otto, B.; Klätschke, K.; Herden, E.; Heymann, F.; et al. CC Chemokine Ligand 18 in ANCA-Associated Crescentic GN. J. Am. Soc. Nephrol. 2015, 26, 2105–2117. [Google Scholar] [CrossRef] [PubMed]
- Price, J.V.; Vance, R.E. The Macrophage Paradox. Immunity 2014, 41, 685–693. [Google Scholar] [CrossRef]
- Hu, G.; Christman, J.W. Editorial: Alveolar Macrophages in Lung Inflammation and Resolution. Front. Immunol. 2019, 10, 2275. [Google Scholar] [CrossRef]
- Vogel, D.Y.S.; Glim, J.E.; Stavenuiter, A.W.D.; Breur, M.; Heijnen, P.; Amor, S.; Dijkstra, C.D.; Beelen, R.H.J. Human Macrophage Polarization in Vitro: Maturation and Activation Methods Compared. Immunobiology 2014, 219, 695–703. [Google Scholar] [CrossRef]
- Hume, D.A. The Many Alternative Faces of Macrophage Activation. Front. Immunol. 2015, 6, 1–10. [Google Scholar] [CrossRef] [PubMed]
- Xue, J.; Schmidt, S.V.; Sander, J.; Draffehn, A.; Krebs, W.; Quester, I.; DeNardo, D.; Gohel, T.D.; Emde, M.; Schmidleithner, L.; et al. Transcriptome-Based Network Analysis Reveals a Spectrum Model of Human Macrophage Activation. Immunity 2014, 40, 274–288. [Google Scholar] [CrossRef] [PubMed]
- Gundra, U.M.; Girgis, N.M.; Ruckerl, D.; Jenkins, S.; Ward, L.N.; Kurtz, Z.D.; Wiens, K.E.; Tang, M.S.; Basu-Roy, U.; Mansukhani, A.; et al. Alternatively Activated Macrophages Derived from Monocytes and Tissue Macrophages Are Phenotypically and Functionally Distinct. Blood 2014, 123, 110–122. [Google Scholar] [CrossRef] [PubMed]
- González-Domínguez, É.; Samaniego, R.; Flores-Sevilla, J.L.; Campos-Campos, S.F.; Gómez-Campos, G.; Salas, A.; Campos-Peña, V.; Corbí, Á.L.; Sánchez-Mateos, P.; Sánchez-Torres, C.; et al. CD163L1 and CLEC5A Discriminate Subsets of Human Resident and Inflammatory Macrophages in Vivo. J. Leukoc. Biol. 2015, 98, 453–466. [Google Scholar] [CrossRef] [PubMed]
- Wieczorek, S.; Holle, J.U.; Müller, S.; Fricke, H.; Gross, W.L.; Epplen, J.T. A Functionally Relevant IRF5 Haplotype Is Associated with Reduced Risk to Wegener’s Granulomatosis. J. Mol. Med. 2010, 88, 413–421. [Google Scholar] [CrossRef]
- Krausgruber, T.; Blazek, K.; Smallie, T.; Alzabin, S.; Lockstone, H.; Sahgal, N.; Hussell, T.; Feldmann, M.; Udalova, I.A. IRF5 Promotes Inflammatory Macrophage Polarization and T H1-TH17 Responses. Nat. Immunol. 2011, 12, 231–238. [Google Scholar] [CrossRef]
- Wilde, B.; Thewissen, M.; Damoiseaux, J.; van Paassen, P.; Witzke, O.; Tervaert, J.W.C. T Cells in ANCA-Associated Vasculitis: What Can We Learn from Lesional versus Circulating T Cells? Arthritis Res. Ther. 2010, 12, 204. [Google Scholar] [CrossRef]
- Wilde, B.; Hua, F.; Dolff, S.; Jun, C.; Cai, X.; Specker, C.; Feldkamp, T.; Kribben, A.; Cohen Tervaert, J.W.; Witzke, O. Aberrant Expression of the Negative Costimulator PD-1 on T Cells in Granulomatosis with Polyangiitis. Rheumatology 2012, 51, 1188–1197. [Google Scholar] [CrossRef][Green Version]
- de Menthon, M.; Lambert, M.; Guiard, E.; Tognarelli, S.; Bienvenu, B.; Karras, A.; Guillevin, L.; Caillat-Zucman, S. Excessive Interleukin-15 Transpresentation Endows NKG2D+CD4+ T Cells with Innate-like Capacity to Lyse Vascular Endothelium in Granulomatosis with Polyangiitis (Wegener’s). Arthritis Rheum. 2011, 63, 2116–2126. [Google Scholar] [CrossRef]
- Krebs, C.F.; Paust, H.-J.; Krohn, S.; Koyro, T.; Brix, S.R.; Riedel, J.-H.; Bartsch, P.; Wiech, T.; Meyer-Schwesinger, C.; Huang, J.; et al. Autoimmune Renal Disease Is Exacerbated by S1P-Receptor-1-Dependent Intestinal Th17 Cell Migration to the Kidney. Immunity 2016, 45, 1078–1092. [Google Scholar] [CrossRef]
- Wilde, B.; Thewissen, M.; Damoiseaux, J.; Knippenberg, S.; Hilhorst, M.; van Paassen, P.; Witzke, O.; Cohen Tervaert, J.W. Regulatory B Cells in ANCA-Associated Vasculitis. Ann. Rheum. Dis. 2013, 72, 1416–1419. [Google Scholar] [CrossRef]
- Todd, S.K.; Pepper, R.J.; Draibe, J.; Tanna, A.; Pusey, C.D.; Mauri, C.; Salama, A.D. Regulatory B Cells Are Numerically but Not Functionally Deficient in Anti-Neutrophil Cytoplasm Antibody-Associated Vasculitis. Rheumatology 2014, 1–11. [Google Scholar] [CrossRef]
- Aybar, L.T.; Mcgregor, J.G.; Hogan, S.L.; Hu, Y.; Mendoza, C.E.; Brant, E.J.; Poulton, C.J.; Henderson, C.D.; Falk, R.J.; Bunch, D.O. Reduced CD5+CD24HiCD38Hi and Interleukin-10+ Regulatory B Cells in Active Anti-Neutrophil Cytoplasmic Autoantibody-Associated Vasculitis Permit Increased Circulating Autoantibodies. Clin. Exp. Immunol. 2015, 180, 178–188. [Google Scholar] [CrossRef]
- London, J.; Dumoitier, N.; Lofek, S.; Dion, J.; Chaigne, B.; Mocek, J.; Thieblemont, N.; Cohen, P.; Le Jeunne, C.; Guillevin, L.; et al. Skewed Peripheral B- and T-Cell Compartments in Patients with ANCA-Associated Vasculitis. Rheumatology 2020, 1–12. [Google Scholar] [CrossRef] [PubMed]
- Goya, S.; Matsuoka, H.; Mori, M.; Morishita, H.; Kida, H.; Kobashi, Y.; Kato, T.; Taguchi, Y.; Osaki, T.; Tachibana, I.; et al. Sustained Interleukin-6 Signalling Leads to the Development of Lymphoid Organ-like Structures in the Lung. J. Pathol. 2003, 200, 82–87. [Google Scholar] [CrossRef] [PubMed]
- Brix, S.R.; Noriega, M.; Herden, E.M.; Goldmann, B.; Langbehn, U.; Busch, M.; Jabs, W.J.; Steinmetz, O.M.; Panzer, U.; Huber, T.B.; et al. Organisation of Lymphocytic Infiltrates in ANCA-Associated Glomerulonephritis. Histopathology 2018, 72, 1093–1101. [Google Scholar] [CrossRef] [PubMed]
- Humby, F.; Bombardieri, M.; Manzo, A.; Kelly, S.; Blades, M.C.; Kirkham, B.; Spencer, J.; Pitzalis, C. Ectopic Lymphoid Structures Support Ongoing Production of Class-Switched Autoantibodies in Rheumatoid Synovium. PLoS Med. 2009, 6, e1. [Google Scholar] [CrossRef]
- Pipi, E.; Nayar, S.; Gardner, D.H.; Colafrancesco, S.; Smith, C.; Barone, F. Tertiary Lymphoid Structures: Autoimmunity Goes Local. Front. Immunol. 2018, 9, 1–21. [Google Scholar] [CrossRef]
- Voswinkel, J.; Müller, A.; Lamprecht, P. Is PR3-ANCA Formation Initiated in Wegener’s Granulomatosis Lesions? Granulomas as Potential Lymphoid Tissue Maintaining Autoantibody Production. Ann. N. Y. Acad. Sci. 2005, 1051, 12–19. [Google Scholar] [CrossRef]
- Khodadadi, L.; Cheng, Q.; Radbruch, A.; Hiepe, F. The Maintenance of Memory Plasma Cells. Front. Immunol. 2019, 10, 721. [Google Scholar] [CrossRef]
- Barone, F.; Gardner, D.H.; Nayar, S.; Steinthal, N.; Buckley, C.D.; Luther, S.A. Stromal Fibroblasts in Tertiary Lymphoid Structures: A Novel Target in Chronic Inflammation. Front. Immunol. 2016, 7, 1–19. [Google Scholar] [CrossRef]
- von Borstel, A.; Abdulahad, W.H.; Sanders, J.S.; Heeringa, P.; Lintermans, L.L.; Stegeman, C.A.; Rutgers, A. Circulating CD24hiCD38hi Regulatory B Cells Correlate Inversely with the ThEM17 Cell Frequency in Granulomatosis with Polyangiitis Patients. Rheumatology 2018, 1–6. [Google Scholar] [CrossRef] [PubMed]
- Strunz, H.P.; Csernok, E.; Gross, W.L. Incidence and Disease Associations of a Proteinase 3-Antineutrophil Cytoplasmic Antibody Idiotype (5/7 Id) Whose Antiidiotype Inhibits Proteinase 3-Antineutrophil Cytoplasmic Antibody Antigen Binding Activity. Arthritis Rheum. 1997, 40, 135–142. [Google Scholar] [CrossRef] [PubMed]
- Cornec, D.; Berti, A.; Hummel, A.; Peikert, T.; Pers, J.-O.; Specks, U. Identification and Phenotyping of Circulating Autoreactive Proteinase 3-Specific B Cells in Patients with PR3-ANCA Associated Vasculitis and Healthy Controls. J. Autoimmun. 2017. [Google Scholar] [CrossRef] [PubMed]
- Silva, F.; Hummel, A.M.; Jenne, D.E.; Specks, U. Discrimination and Variable Impact of ANCA Binding to Different Surface Epitopes on Proteinase 3, the Wegener’s Autoantigen. J. Autoimmun. 2010, 35, 299–308. [Google Scholar] [CrossRef][Green Version]
- Granel, J.; Lemoine, R.; Morello, E.; Gallais, Y.; Mariot, J.; Drapeau, M.; Musnier, A.; Poupon, A.; Pugnière, M.; Seren, S.; et al. 4C3 Human Monoclonal Antibody: A Proof of Concept for Non-Pathogenic Proteinase 3 Anti-Neutrophil Cytoplasmic Antibodies in Granulomatosis With Polyangiitis. Front. Immunol. 2020, 11, 1–17. [Google Scholar] [CrossRef]
- Pang, Y.P.; Moura, M.C.; Thompson, G.E.; Nelson, D.R.; Hummel, A.M.; Jenne, D.E.; Emerling, D.; Volkmuth, W.; Robinson, W.H.; Specks, U. Remote Activation of a Latent Epitope in an Autoantigen Decoded with Simulated B-Factors. Front. Immunol. 2019, 10, 1–9. [Google Scholar] [CrossRef] [PubMed]
- Free, M.E.; Stember, K.G.; Hess, J.J.; McInnis, E.A.; Lardinois, O.; Hogan, S.L.; Hu, Y.; Mendoza, C.; Le, A.K.; Guseman, A.J.; et al. Restricted Myeloperoxidase Epitopes Drive the Adaptive Immune Response in MPO-ANCA Vasculitis. J. Autoimmun. 2020, 106, 102306. [Google Scholar] [CrossRef]
- Nayar, S.; Campos, J.; Smith, C.G.; Iannizzotto, V.; Gardner, D.H.; Mourcin, F.; Roulois, D.; Turner, J.; Sylvestre, M.; Asam, S.; et al. Immunofibroblasts Are Pivotal Drivers of Tertiary Lymphoid Structure Formation and Local Pathology. Proc. Natl. Acad. Sci. USA 2019, 116, 13490–13497. [Google Scholar] [CrossRef]
- Senolt, L.; Grigorian, M.; Lukanidin, E.; Simmen, B.; Michel, B.A.; Pavelka, K.; Gay, R.E.; Gay, S.; Neidhart, M. S100A4 Is Expressed at Site of Invasion in Rheumatoid Arthritis Synovium and Modulates Production of Matrix Metalloproteinases. Ann. Rheum. Dis. 2006, 65, 1645–1648. [Google Scholar] [CrossRef]
- Zhang, W.; Ohno, S.; Steer, B.; Klee, S.; Staab-Weijnitz, C.A.; Wagner, D.; Lehmann, M.; Stoeger, T.; Königshoff, M.; Adler, H. S100a4 Is Secreted by Alternatively Activated Alveolar Macrophages and Promotes Activation of Lung Fibroblasts in Pulmonary Fibrosis. Front. Immunol. 2018, 9, 1–14. [Google Scholar] [CrossRef]
- Li, Y.; Bao, J.; Bian, Y.; Erben, U.; Wang, P.; Song, K.; Liu, S.; Li, Z.; Gao, Z.; Qin, Z. S100A4+ Macrophages Are Necessary for Pulmonary Fibrosis by Activating Lung Fibroblasts. Front. Immunol. 2018, 9, 1–15. [Google Scholar] [CrossRef]
- Bian, L.; Strzyz, P.; Jonsson, I.M.; Erlandsson, M.; Hellvard, A.; Brisslert, M.; Ohlsson, C.; Ambartsumian, N.; Grigorian, M.; Bokarewa, M. S100a4 Deficiency Is Associated with Efficient Bacterial Clearance and Protects against Joint Destruction during Staphylococcal Infection. J. Infect. Dis. 2011, 204, 722–730. [Google Scholar] [CrossRef] [PubMed]
- Guihaire, J.; Itagaki, R.; Stubbendorff, M.; Hua, X.; Deuse, T.; Ullrich, S.; Fadel, E.; Dorfmüller, P.; Robbins, R.C.; Reichenspurner, H.; et al. Orthotopic Tracheal Transplantation Using Human Bronchus: An Original Xenotransplant Model of Obliterative Airway Disorder. Transpl. Int. 2016, 29, 1337–1348. [Google Scholar] [CrossRef] [PubMed]
- Popat, R.J.; Hakki, S.; Thakker, A.; Coughlan, A.M.; Watson, J.; Little, M.A.; Spickett, C.M.; Lavender, P.; Afzali, B.; Kemper, C.; et al. Anti-Myeloperoxidase Antibodies Attenuate the Monocyte Response to LPS and Shape Macrophage Development. JCI Insight 2017, 2, 1–16. [Google Scholar] [CrossRef]
- Walsh, M.; Merkel, P.A.; Peh, C.-A.; Szpirt, W.M.; Puéchal, X.; Fujimoto, S.; Hawley, C.M.; Khalidi, N.; Floßmann, O.; Wald, R.; et al. Plasma Exchange and Glucocorticoids in Severe ANCA-Associated Vasculitis. N. Engl. J. Med. 2020, 382, 622–631. [Google Scholar] [CrossRef] [PubMed]
- Jayne, D.R.W.; Merkel, P.A.; Schall, T.J.; Bekker, P.; Advocate Study Group. Avacopan for the Treatment of ANCA-Associated Vasculitis. N. Engl. J. Med. 2021, 384, 599–609. [Google Scholar] [CrossRef]
- Ferraro, A.J.; Smith, S.W.; Neil, D.; Savage, C.O.S. Relapsed Wegener’s Granulomatosis after Rituximab Therapy--B Cells Are Present in New Pathological Lesions despite Persistent “depletion” of Peripheral Blood. Nephrol. Dial. Transplant. 2008, 23, 3030–3032. [Google Scholar] [CrossRef] [PubMed]
- Javaud, N.; Belenfant, X.; Stirnemann, J.; Laederich, J.; Ziol, M.; Callard, P.; Ronco, P.; Rondeau, E.; Fain, O. Renal Granulomatoses: A Retrospective Study of 40 Cases and Review of the Literature. Medicine 2007, 86, 170–180. [Google Scholar] [CrossRef] [PubMed]



| Molecular or Cellular Biomarker | Presence and/or Role in Respiratory Tract | Reference |
|---|---|---|
| Anti-microbial peptides, innate immune receptors, cytokines | 10 differentially expressed transcripts in the nasal mucosa of GPA patients (n = 29) | [57] |
| gene expression signatures | 339 differentially regulated genes in nasal transcriptome of GPA patients (n = 32) | [59] |
| HMGB1 | released into the cytoplasm and the extracellular space in endonasal tissue of GPA patients (n = 5), marker of granulomatous burden in GPA | [58] |
| RANTES+ cells | RANTES production by macrophages in lung tissue of GPA patients (n = 6) | [35] |
| CCR5+ cells | higher CCR5 expression in nasal tissue of localized GPA patients (n = 10) | [36] |
| CCR5, RANTES | increased number of CCR5+ cells in lower respiratory tract tissue of GPA patients (n = 4) | [37] |
| MICA/MICB, IL-15 | MICA/MICB-expressing cells and IL-15-expressing cells in nasal tissue of GPA patients (n = 5) | [66] |
| MARCO+ Meltrin+ macrophages and multinucleated giant cells | necrotic and damaged self-drives granuloma formation in respiratory tract tissue of GPA patients (n = 7) | [20] |
| multinucleated giant cells (MNG) | more MNG in lung compared to nasal tissue of GPA patients (n = 23) | [21] |
| LL37, IFNα, pDC | co-expression of PR3, LL37, and IFNα in respiratory tract tissue of GPA patients (n = 6) | [67] |
| CD163+ macrophages | M2 as predominant macrophage type in respiratory tract tissue of GPA patients (n = 35) | [68] |
| IFNγ+ cells, TNFα+ cells | more IFNγ+ CD4+ T cells in respiratory tract tissue of localized GPA (n = 9 and n = 3, respectively) | [34,69] |
| CD3+ T cells, eosinophils, IL-4 | more IL-4 expression in nasal tissue of GPA patients (n = 10) | [70] |
| CD28- T cells | accumulation of CD3+ CD28- cells in upper respiratory tract tissue of GPA patients (n = 5) | [50] |
| CD3, CD134 | CD134+ T cells in inflammatory lesions of GPA patients (n = 6, respiratory tract) | [71] |
| CD3, FoxP3 | accumulation of Treg cells in upper respiratory tract tissue of GPA patients (n = 10) | [72] |
| CD20, PR3, CD38 | follicle-like structures of B cells, plasma cells, and PR3+ cells in upper respiratory tract tissue of GPA patients (n = 6) | [73] |
| APRIL, B and plasma cells | mucosal inflammation of GPA is rich in B cell survival factor and autoantigen (n = 8) | [74] |
| IgG4+ plasma cells | increased number of IgG4+ cells in the head and neck region of GPA patients (n = 43) | [75] |
| Plasma cells, APRIL, ectopic/tertiary lymphoid structures | neutrophils, macrophages, and giant cells contribute to granulomatous inflammation in respiratory tract tissue of GPA patients (n = 22) | [22] |
| PR3-ANCA+ B cell | few 5/7 Id+/IgG+ B cells in inflamed tissue of GPA patients (n = 6) | [28] |
| Fibroblasts, MMP | GPA-related destruction in the upper respiratory tract is mediated by fibroblasts (n = 10) | [76] |
| Molecular or Cellular Biomarker | Presence and/or Role in Kidney | Reference |
|---|---|---|
| MICA/MICB, IL-15 | MICA/MICB-expressing cells and IL-15-expressing cells in renal tissue of GPA patients with active glomerulonephritis (n = 4) | [139] |
| LL37, IFNα | co-localization of LL37 and IFNα in renal tissue of AAV with crescentic glomerulonephritis (n = 40) | [110] |
| CCL18+ and CCR8+ cells | CCL18+ myeloid dendritic cells, CCR8+ macrophages in ANCA-associated crescentic glomerulonephritis (n = 31) | [126] |
| CXCL5 mRNA | highly upregulated CXCL5 expression in renal tissue of ANCA-associated glomerulonephritis (n = 8) | [40] |
| MCP-1 | MCP-1+ cells in renal tissue of ANCA-associated glomerulonephritis (n = 11) | [41] |
| Monocytes, neutrophils, T cells | CD68+ monocytes/macrophages infiltrating the kidney are linked with tissue damage in AAV (n = 65) | [125] |
| CD163+ macrophages | CD163+ M2 macrophages are present in glomerular capillaries of ANCA-associated glomerulonephritis (n = 17) | [123] |
| p-MLKL+ neutrophils | necroptosis and NET formation contribute to MPO-ANCA-associated glomerulonephritis (n = 12) | [108] |
| NET, LL37 | NET deposition found in about half of renal tissue samples of GPA (n = 9) and MPA (n = 6) | [111] |
| FHR1 | FHR1 marks necrotic-type cells and induces monocytic inflammation in renal tissue of AAV patients (n = 79) | [118] |
| C3d, C4d, C5b-9, properdin | C3d and properdin are associated with cellular crescents in renal tissue of ANCA-associated glomerulonephritis (n = 187) | [78] |
| C3, C4, no properdin | moderate complement activation in kidney tissue of AAV with glomerulonephritis (n = 13) | [79] |
| TNFα+ cells, IL-1β+ cells, IL-2R+ cells | TNFα+ cells, IL-1β+ cells, and IL-2R+ cells are present in renal tissue of AAV patients (n = 22) | [119] |
| IL-2, IL-4 | cells expressing IL-2 and cells expressing IL-4 are found in renal tissue of GPA patients (n = 10) | [70] |
| CD208, CD209, CD3 | immature dendritic cells cluster with T cells are present in interstitial infiltrates in renal biopsies of AAV patients (n = 25) | [113] |
| PD-1 | most lesional T cells lack PD-1 in renal tissue of GPA patients (n = 8) | [138] |
| CXCR3+ Tregs | CXCR3+ Tregs are enriched in the kidney of AAV with crescentic glomerulonephritis (n = 8) | [39] |
| CXCL13, CXCR5 | CXCL13+ dendritic cells, CXCR5+ B cells, and intrarenal lymphoid tissue are found in ANCA nephritis (n = 16) | [38] |
| Th17 cells, RORγt | increased number of Th17 cells in the kidney of patients with ANCA-associated glomerulonephritis (n = 8) | [140] |
| Lymphocytic infiltrates | four different levels of lymphocytic organization can be distinguished in renal tissue of ANCA-associated glomerulonephritis (n = 122) | [146] |
| IRF4+ cells | plasma cells are present in renal tissue of GPA patients (n = 4) | [147] |
| TLR2+ and TLR4+ cells | endothelial cells in glomeruli of AAV patients express TLR2 and TLR4 (n = 24) | [44] |
| NFκB p50/p65-expressing endothelial cells | endothelial NFκB is activated in renal tissue of ANCA-associated glomerulonephritis (n = 5) | [45] |
Publisher’s Note: MDPI stays neutral with regard to jurisdictional claims in published maps and institutional affiliations. |
© 2021 by the authors. Licensee MDPI, Basel, Switzerland. This article is an open access article distributed under the terms and conditions of the Creative Commons Attribution (CC BY) license (https://creativecommons.org/licenses/by/4.0/).
Share and Cite
Müller, A.; Krause, B.; Kerstein-Stähle, A.; Comdühr, S.; Klapa, S.; Ullrich, S.; Holl-Ulrich, K.; Lamprecht, P. Granulomatous Inflammation in ANCA-Associated Vasculitis. Int. J. Mol. Sci. 2021, 22, 6474. https://doi.org/10.3390/ijms22126474
Müller A, Krause B, Kerstein-Stähle A, Comdühr S, Klapa S, Ullrich S, Holl-Ulrich K, Lamprecht P. Granulomatous Inflammation in ANCA-Associated Vasculitis. International Journal of Molecular Sciences. 2021; 22(12):6474. https://doi.org/10.3390/ijms22126474
Chicago/Turabian StyleMüller, Antje, Bettina Krause, Anja Kerstein-Stähle, Sara Comdühr, Sebastian Klapa, Sebastian Ullrich, Konstanze Holl-Ulrich, and Peter Lamprecht. 2021. "Granulomatous Inflammation in ANCA-Associated Vasculitis" International Journal of Molecular Sciences 22, no. 12: 6474. https://doi.org/10.3390/ijms22126474
APA StyleMüller, A., Krause, B., Kerstein-Stähle, A., Comdühr, S., Klapa, S., Ullrich, S., Holl-Ulrich, K., & Lamprecht, P. (2021). Granulomatous Inflammation in ANCA-Associated Vasculitis. International Journal of Molecular Sciences, 22(12), 6474. https://doi.org/10.3390/ijms22126474

