Impact of Uniaxial Stretching on Both Gliding and Traction Areas of Tendon Explants in a Novel Bioreactor
Abstract
1. Introduction
1.1. Tendon and Clinical Problem
1.2. The Impact of Mechanical Loading
2. Results
2.1. Effect of Uniaxial Treatment on sGAG Levels in Traction and Gliding Areas of Tendons
2.2. Effect of Uniaxial Treatment on Scleraxis and Type-1 Collagen Protein Expression in Traction and Gliding Areas of Tendons
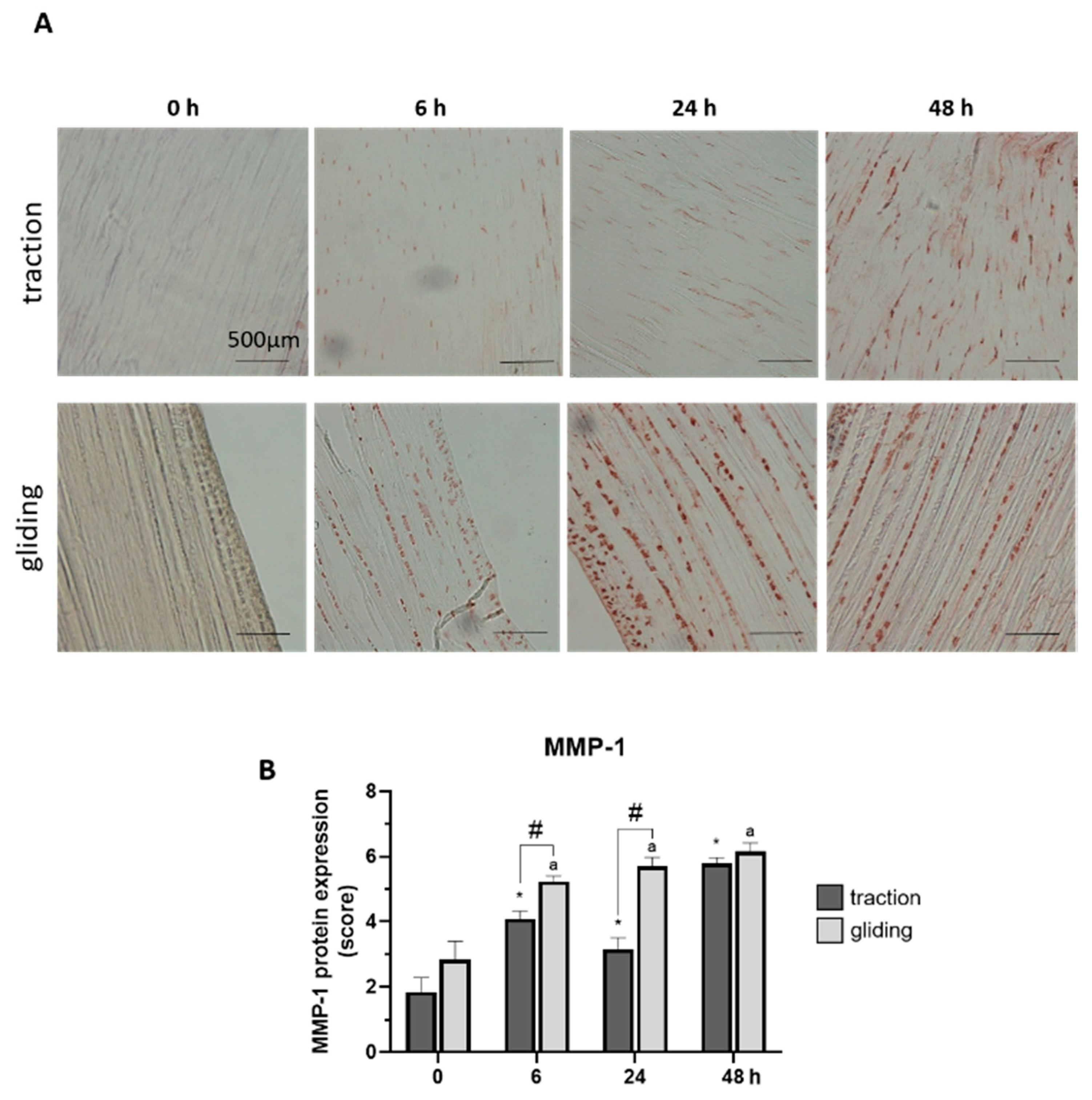
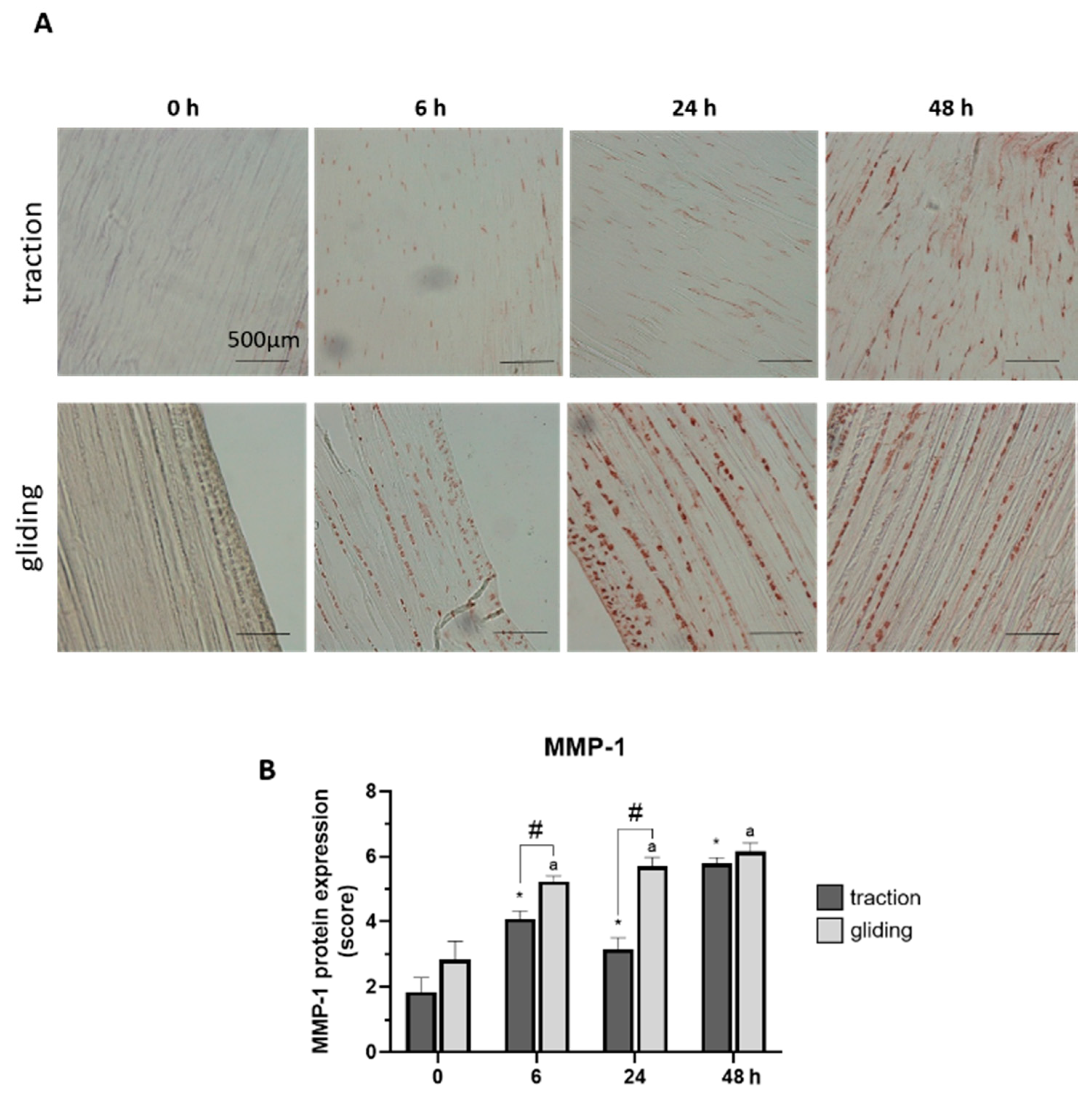
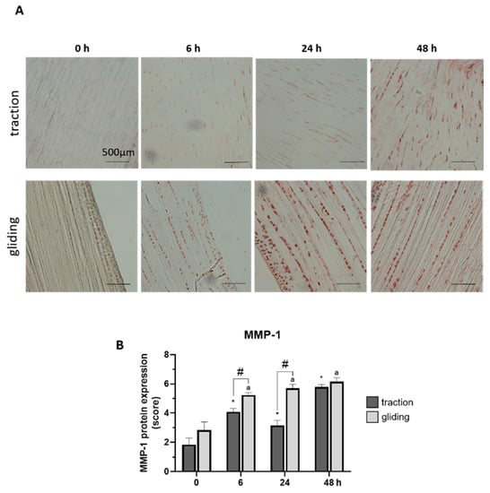
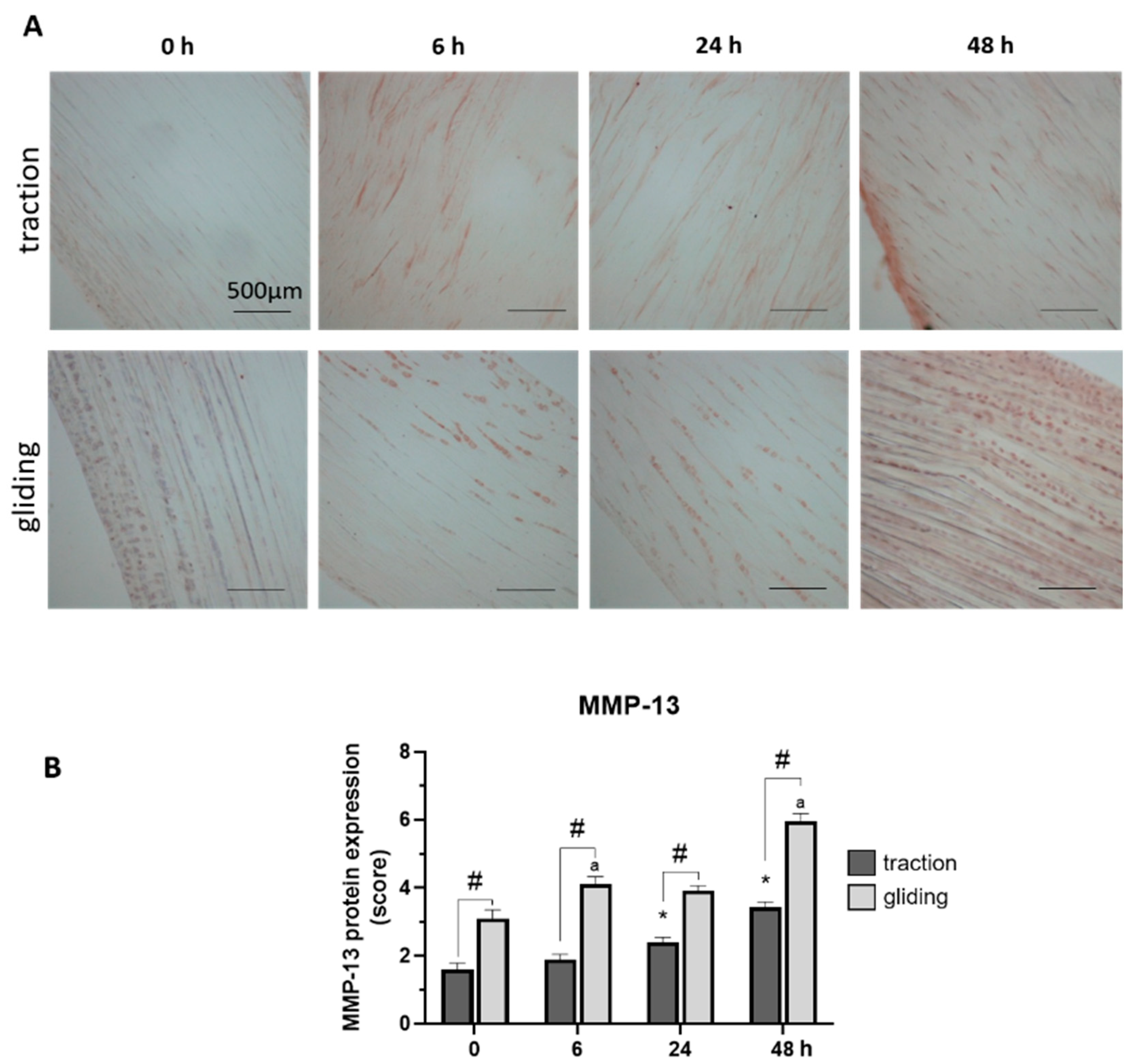
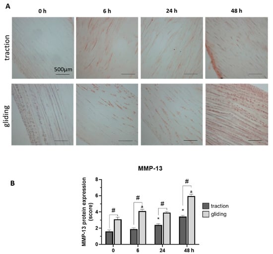
2.3. Effect on Uniaxial Treatment on the Expression of Matrix Metalloproteinases
2.4. Real-Time Tendon Stiffness During Cultivation in the Bioreactor
3. Discussion
3.1. Mechanical Loading of Flexor Tendon
3.2. Tissue Cultivation
3.3. Limitations
4. Materials and Methods
4.1. Tendon Preparation
4.2. Cultivation of the Tendon Explants in a Bioreactor
4.3. Histological Analysis
4.4. Alcian Blue Staining
4.5. Immunohistological Staining Analysis
4.6. Immunofluoresence Analysis
4.7. On-Time Stiffness
4.8. Viability Assay
4.9. Statistics
5. Conclusions
Supplementary Materials
Author Contributions
Funding
Acknowledgments
Conflicts of Interest
Abbreviations
| BAS | Bovine serum albumin |
| °C | Celsius |
| CO2 | Carbon dioxide |
| COL1 | Typ 1 collagen |
| DMEM | Dulbeccos modified eagles medium |
| ECM | Extracellular matrix |
| FCS | Fetal calf serum |
| h | hours |
| H2O2 | Hydrogen peroxide |
| min | Minutes |
| MMP | Matrix metalloproteinases |
| PBS | Phosphate buffered saline |
| SCX | Scleraxis |
| sGAG | Sulfuted glycosaminoglycans |
| TBS | Tris-bufferd saline |
| TIMP | Tissue inhibitors of metalloproteinases |
| TNMD | Tenomodulin |
| Tris | Tris (hydroxymethyl) aminomethane |
| VEGF | Vascular endothelial growth factor |
References
- Magnusson, S.P.; Langberg, H.; Kjaer, M. The pathogenesis of tendinopathy: Balancing the response to loading. Nat. Rev. Rheumatol. 2010, 6, 262–268. [Google Scholar] [CrossRef]
- Riley, G. The pathogenesis of tendinopathy. A molecular perspective. Rheumatology 2004, 43, 131–142. [Google Scholar] [CrossRef]
- Kaeding, C.; Best, T.M. Tendinosis: Pathophysiology and nonoperative treatment. Sports Health 2009, 1, 284–292. [Google Scholar] [CrossRef]
- Murphy, B.A.; Mass, D.P. Zone I flexor tendon injuries. Hand Clin. 2005, 21, 167–171. [Google Scholar] [CrossRef] [PubMed]
- Kaeding, C.C.; Aros, B.; Pedroza, A.; Pifel, E.; Amendola, A.; Andrish, J.T.; Dunn, W.R.; Marx, R.G.; McCarty, E.C.; Parker, R.D.; et al. Allograft Versus Autograft Anterior Cruciate Ligament Reconstruction: Predictors of Failure From a MOON Prospective Longitudinal Cohort. Sports Health 2011, 3, 73–81. [Google Scholar] [CrossRef] [PubMed]
- Lui, P.; Zhang, P.; Chan, K.; Qin, L. Biology and augmentation of tendon-bone insertion repair. J. Orthop. Surg. Res. 2010, 5, 59. [Google Scholar] [CrossRef] [PubMed]
- Lundborg, G.; Myrhage, R. The vascularization and structure of the human digital tendon sheath as related to flexor tendon function. An angiographic and histological study. Scand. J. Plast. Reconstr. Surg. 1977, 11, 195–203. [Google Scholar] [CrossRef]
- Koch, S.; Tillmann, B. The distal tendon of the biceps brachii. Structure and clinical correlations. Ann. Anat. Anat. Anz. Off. Organ Anat. Ges. 1995, 177, 467–474. [Google Scholar] [CrossRef]
- Han, W.M.; Heo, S.J.; Driscoll, T.P.; Delucca, J.F.; McLeod, C.M.; Smith, L.J.; Duncan, R.L.; Mauck, R.L.; Elliott, D.M. Microstructural heterogeneity directs micromechanics and mechanobiology in native and engineered fibrocartilage. Nat. Mater. 2016, 15, 477–484. [Google Scholar] [CrossRef]
- Thorpe, C.T.; Chaudhry, S.; Lei, I.I.; Varone, A.; Riley, G.P.; Birch, H.L.; Clegg, P.D.; Screen, H.R. Tendon overload results in alterations in cell shape and increased markers of inflammation and matrix degradation. Scand. J. Med. Sci. Sports 2015, 25, e381–e391. [Google Scholar] [CrossRef]
- Petersen, W.; Pufe, T.; Pfrommer, S.; Tillmann, B. Overload damage to the Achilles tendon: The importance of vascularization and angiogenesis. Der Orthop. 2005, 34, 533–542. [Google Scholar]
- Spiesz, E.M.; Thorpe, C.T.; Chaudhry, S.; Riley, G.P.; Birch, H.L.; Clegg, P.D.; Screen, H.R. Tendon extracellular matrix damage, degradation and inflammation in response to in vitro overload exercise. J. Orthop. Res. Off. Publ. Orthop. Res. Soc. 2015, 33, 889–897. [Google Scholar]
- Baldwin, S.J.; Kreplak, L.; Lee, J.M. MMP-9 selectively cleaves non-D-banded material on collagen fibrils with discrete plasticity damage in mechanically-overloaded tendon. J. Mech. Behav. Biomed. Mater. 2019, 95, 67–75. [Google Scholar] [PubMed]
- Bertelli, J.A.; Santos, M.A.; Kechele, P.R.; Rost, J.R.; Tacca, C.P. Flexor tendon grafting using a plantaris tendon with a fragment of attached bone for fixation to the distal phalanx: A preliminary cohort study. J. Hand Surg. 2007, 32, 1543–1548. [Google Scholar]
- Ozasa, Y.; Amadio, P.C.; Thoreson, A.R.; An, K.N.; Zhao, C. The effect of surface modification on gliding ability of decellularized flexor tendon in a canine model in vitro. J. Hand Surg. 2013, 38, 1698–1704. [Google Scholar]
- Sun, S.; Ding, Y.; Ma, B.; Zhou, Y. Two-stage flexor tendon reconstruction in zone II using Hunter’s technique. Orthopedics 2010, 33, 880. [Google Scholar]
- Thomopoulos, S.; Parks, W.C.; Rifkin, D.B.; Derwin, K.A. Mechanisms of tendon injury and repair. J. Orthop. Res. Off. Publ. Orthop. Res. Soc. 2015, 33, 832–839. [Google Scholar]
- Snedeker, J.G.; Foolen, J. Tendon injury and repair—A perspective on the basic mechanisms of tendon disease and future clinical therapy. Acta Biomater. 2017, 63, 18–36. [Google Scholar]
- Silver, F.H.; Freeman, J.W.; Seehra, G.P. Collagen self-assembly and the development of tendon mechanical properties. J. Biomech. 2003, 36, 1529–1553. [Google Scholar]
- Biro, T.; Bihari-Varga, M. Thermoanalytic studies in connective tissue research. II. Changes in the structure of cartilage and tendon tissues under pathologic conditions. Magy. Traumatol. Orthop. Helyreall. Seb. 1974, 17, 282–286. [Google Scholar]
- Kannus, P. Structure of the tendon connective tissue. Scand. J. Med. Sci. Sports 2000, 10, 312–320. [Google Scholar] [CrossRef] [PubMed]
- Pollock, C.M.; Shadwick, R.E. Relationship between body mass and biomechanical properties of limb tendons in adult mammals. Am. J. Physiol. 1994, 266 Pt 2, R1016–R1021. [Google Scholar] [CrossRef]
- Rigby, B.J.; Hirai, N.; Spikes, J.D.; Eyring, H. The Mechanical Properties of Rat Tail Tendon. J. Gen. Physiol. 1959, 43, 265–283. [Google Scholar] [CrossRef] [PubMed]
- Zuskov, A.; Freedman, B.R.; Gordon, J.A.; Sarver, J.J.; Buckley, M.R.; Soslowsky, L.J. Tendon Biomechanics and Crimp Properties Following Fatigue Loading Are Influenced by Tendon Type and Age in Mice. J. Orthop. Res. Off. Publ. Orthop. Res. Soc. 2020, 38, 36–42. [Google Scholar] [CrossRef] [PubMed]
- Hast, M.W.; Zuskov, A.; Soslowsky, L.J. The role of animal models in tendon research. Bone Joint Res. 2014, 3, 193–202. [Google Scholar] [CrossRef] [PubMed]
- Deniz, P.; Guler, S.; Celik, E.; Hosseinian, P.; Aydin, H.M. Use of cyclic strain bioreactor for the upregulation of key tenocyte gene expression on Poly(glycerol-sebacate) (PGS) sheets. Mater. Sci. Eng. C Mater. Biol. Appl. 2020, 106, 110293. [Google Scholar] [CrossRef] [PubMed]
- Scott, A.; Danielson, P.; Abraham, T.; Fong, G.; Sampaio, A.V.; Underhill, T.M. Mechanical force modulates scleraxis expression in bioartificial tendons. J. Musculoskelet. Neuronal Interact. 2011, 11, 124–132. [Google Scholar]
- Sun, H.B.; Andarawis-Puri, N.; Li, Y.; Fung, D.T.; Lee, J.Y.; Wang, V.M.; Basta-Pljakic, J.; Leong, D.J.; Sereysky, J.B.; Ros, S.J.; et al. Cycle-dependent matrix remodeling gene expression response in fatigue-loaded rat patellar tendons. J. Orthop. Res. Off. Publ. Orthop. Res. Soc. 2010, 28, 1380–1386. [Google Scholar] [CrossRef]
- Saber, S.; Zhang, A.Y.; Ki, S.H.; Lindsey, D.P.; Smith, R.L.; Riboh, J.; Pham, H.; Chang, J. Flexor tendon tissue engineering: Bioreactor cyclic strain increases construct strength. Tissue Eng. Part A 2010, 16, 2085–2090. [Google Scholar] [CrossRef]
- Kubo, Y.; Hoffmann, B.; Goltz, K.; Schnakenberg, U.; Jahr, H.; Merkel, R.; Schulze-Tanzil, G.; Pufe, T.; Tohidnezhad, M. Different Frequency of Cyclic Tensile Strain Relates to Anabolic/Catabolic Conditions Consistent with Immunohistochemical Staining Intensity in Tenocytes. Int. J. Mol. Sci. 2020, 21, 1082. [Google Scholar] [CrossRef]
- Sawadkar, P.; Player, D.; Bozec, L.; Mudera, V. The mechanobiology of tendon fibroblasts under static and uniaxial cyclic load in a 3D tissue engineered model mimicking native extracellular matrix. J. Tissue Eng. Regen. Med. 2019. [Google Scholar] [CrossRef] [PubMed]
- Subramanian, G.; Stasuk, A.; Elsaadany, M.; Yildirim-Ayan, E. Effect of Uniaxial Tensile Cyclic Loading Regimes on Matrix Organization and Tenogenic Differentiation of Adipose-Derived Stem Cells Encapsulated within 3D Collagen Scaffolds. Stem Cells Int. 2017, 2017, 6072406. [Google Scholar] [CrossRef] [PubMed]
- McKenzie, J.A.; Buettmann, E.; Abraham, A.C.; Gardner, M.J.; Silva, M.J.; Killian, M.L. Loss of scleraxis in mice leads to geometric and structural changes in cortical bone, as well as asymmetry in fracture healing. FASEB J. Off. Publ. Fed. Am. Soc. Exp. Biol. 2017, 31, 882–892. [Google Scholar] [CrossRef]
- Killian, M.L.; Thomopoulos, S. Scleraxis is required for the development of a functional tendon enthesis. FASEB J. Off. Publ. Fed. Am. Soc. Exp. Biol. 2016, 30, 301–311. [Google Scholar] [CrossRef] [PubMed]
- Lejard, V.; Brideau, G.; Blais, F.; Salingcarnboriboon, R.; Wagner, G.; Roehrl, M.H.; Noda, M.; Duprez, D.; Houillier, P.; Rossert, J. Scleraxis and NFATc regulate the expression of the pro-alpha1(I) collagen gene in tendon fibroblasts. J. Biol. Chem. 2007, 282, 17665–17675. [Google Scholar] [CrossRef]
- Shukunami, C.; Takimoto, A.; Nishizaki, Y.; Yoshimoto, Y.; Tanaka, S.; Miura, S.; Watanabe, H.; Sakuma, T.; Yamamoto, T.; Kondoh, G.; et al. Scleraxis is a transcriptional activator that regulates the expression of Tenomodulin, a marker of mature tenocytes and ligamentocytes. Sci. Rep. 2018, 8, 3155. [Google Scholar] [CrossRef]
- Blitz, E.; Viukov, S.; Sharir, A.; Shwartz, Y.; Galloway, J.L.; Pryce, B.A.; Johnson, R.L.; Tabin, C.J.; Schweitzer, R.; Zelzer, E. Bone ridge patterning during musculoskeletal assembly is mediated through SCX regulation of Bmp4 at the tendon-skeleton junction. Dev. Cell 2009, 17, 861–873. [Google Scholar] [CrossRef]
- Delgado Caceres, M.; Pfeifer, C.G.; Docheva, D. Understanding Tendons: Lessons from Transgenic Mouse Models. Stem Cells Dev. 2018, 27, 1161–1174. [Google Scholar] [CrossRef]
- Tse, C.T.F.; Keir, P.J. External Compression and Partial Ischemia Decrease Human Finger Flexor Tendon and Subsynovial Connective Tissue Relative Motion. J. Orthop. Res. Off. Publ. Orthop. Res. Soc. 2019, 38, 1038–1044. [Google Scholar] [CrossRef]
- Moriya, T.; Thoreson, A.R.; Zhao, C.; An, K.N.; Amadio, P.C. The effects of oblique or transverse partial excision of the A2 pulley on gliding resistance during cyclic motion following zone II flexor digitorum profundus repair in a cadaveric model. J. Hand Surg. 2012, 37, 1634–1638. [Google Scholar] [CrossRef][Green Version]
- Cao, Y.; Tang, J.B. Investigation of resistance of digital subcutaneous edema to gliding of the flexor tendon: An in vitro study. J. Hand Surg. 2005, 30, 1248–1254. [Google Scholar] [CrossRef] [PubMed]
- Pufe, T.; Kurz, B.; Petersen, W.; Varoga, D.; Mentlein, R.; Kulow, S.; Lemke, A.; Tillmann, B. The influence of biomechanical parameters on the expression of VEGF and endostatin in the bone and joint system. Ann. Anat. Anat. Anz. Off. Organ Anat. Ges. 2005, 187, 461–472. [Google Scholar] [CrossRef]
- Sussmilch-Leitch, S.P.; Collins, N.J.; Bialocerkowski, A.E.; Warden, S.J.; Crossley, K.M. Physical therapies for Achilles tendinopathy: Systematic review and meta-analysis. J. Foot Ankle Res. 2012, 5, 15. [Google Scholar] [CrossRef] [PubMed]
- Ozasa, Y.; Amadio, P.C.; Thoreson, A.R.; An, K.N.; Zhao, C. Repopulation of intrasynovial flexor tendon allograft with bone marrow stromal cells: An ex vivo model. Tissue Eng. Part A 2014, 20, 566–574. [Google Scholar] [PubMed]
- Joshi, S.D.; Webb, K. Variation of cyclic strain parameters regulates development of elastic modulus in fibroblast/substrate constructs. J. Orthop. Res. Off. Publ. Orthop. Res. Soc. 2008, 26, 1105–1113. [Google Scholar] [CrossRef] [PubMed]
- Stich, S.; Ibold, Y.; Abbas, A.; Ullah, M.; Sittinger, M.; Ringe, J.; Schulze-Tanzil, G.; Muller, C.; Kohl, B.; John, T. Continuous cultivation of human hamstring tenocytes on microcarriers in a spinner flask bioreactor system. Biotechnol. Prog. 2014, 30, 142–151. [Google Scholar] [CrossRef]
- Morita, Y.; Watanabe, S.; Ju, Y.; Xu, B. Determination of optimal cyclic uniaxial stretches for stem cell-to-tenocyte differentiation under a wide range of mechanical stretch conditions by evaluating gene expression and protein synthesis levels. Acta Bioeng. Biomech. 2013, 15, 71–79. [Google Scholar]
- Xu, Y.; Wang, Q.; Li, Y.; Gan, Y.; Li, P.; Li, S.; Zhou, Y.; Zhou, Q. Cyclic Tensile Strain Induces Tenogenic Differentiation of Tendon-Derived Stem Cells in Bioreactor Culture. BioMed Res. Int. 2015, 2015, 790804. [Google Scholar] [CrossRef]
- Herod, T.W.; Veres, S.P. Development of overuse tendinopathy: A new descriptive model for the initiation of tendon damage during cyclic loading. J. Orthop. Res. Off. Publ. Orthop. Res. Soc. 2018, 36, 467–476. [Google Scholar] [CrossRef]
- Tang, Y.; Ballarini, R.; Buehler, M.J.; Eppell, S.J. Deformation micromechanisms of collagen fibrils under uniaxial tension. J. R. Soc. Interface 2010, 7, 839–850. [Google Scholar] [CrossRef]
- Hayes, A.; Easton, K.; Devanaboyina, P.T.; Wu, J.P.; Kirk, T.B.; Lloyd, D. A review of methods to measure tendon dimensions. J. Orthop. Surg. Res. 2019, 14, 18. [Google Scholar] [CrossRef] [PubMed]
- Flick, J.; Devkota, A.; Tsuzaki, M.; Almekinders, L.; Weinhold, P. Cyclic loading alters biomechanical properties and secretion of PGE2 and NO from tendon explants. Clin. Biomech. 2006, 21, 99–106. [Google Scholar] [CrossRef] [PubMed]
- Wren, T.A.; Lindsey, D.P.; Beaupre, G.S.; Carter, D.R. Effects of creep and cyclic loading on the mechanical properties and failure of human Achilles tendons. Ann. Biomed. Eng. 2003, 31, 710–717. [Google Scholar] [CrossRef] [PubMed]
- Freedman, B.R.; Rodriguez, A.B.; Leiphart, R.J.; Newton, J.B.; Ban, E.; Sarver, J.J.; Mauck, R.L.; Shenoy, V.B.; Soslowsky, L.J. Dynamic Loading and Tendon Healing Affect Multiscale Tendon Properties and ECM Stress Transmission. Sci. Rep. 2018, 8, 10854. [Google Scholar] [CrossRef] [PubMed]
- Kuo, C.K.; Marturano, J.E.; Tuan, R.S. Novel strategies in tendon and ligament tissue engineering: Advanced biomaterials and regeneration motifs. Sports Med. Arthrosc. Rehabil. Ther. Technol. SMARTT 2010, 2, 20. [Google Scholar] [CrossRef]
- Kopsh, R. Anatomie des Menschen; Thieme: Stuttgart, Germany, 2002. [Google Scholar]
- Ros, S.J.; Muljadi, P.M.; Flatow, E.L.; Andarawis-Puri, N. Multiscale mechanisms of tendon fatigue damage progression and severity are strain and cycle dependent. J. Biomech. 2019, 85, 148–156. [Google Scholar] [CrossRef] [PubMed]
- Connizzo, B.K.; Grodzinsky, A.J. Release of pro-inflammatory cytokines from muscle and bone causes tenocyte death in a novel rotator cuff in vitro explant culture model. Connect. Tissue Res. 2018, 59, 423–436. [Google Scholar] [CrossRef]
- Ikeda, J.; Zhao, C.; Moran, S.L.; An, K.N.; Amadio, P.C. Effects of synovial interposition on healing in a canine tendon explant culture model. J. Hand Surg. 2010, 35, 1153–1159. [Google Scholar] [CrossRef][Green Version]
- Eaton, S.L.; Cumyn, E.; King, D.; Kline, R.A.; Carpanini, S.M.; Del-Pozo, J.; Barron, R.; Wishart, T.M. Quantitative imaging of tissue sections using infrared scanning technology. J. Anat. 2016, 228, 203–213. [Google Scholar] [CrossRef]
- Rosenberg, L. Chemical basis for the histological use of safranin O in the study of articular cartilage. J. Bone Joint Surg. Am. 1971, 53, 69–82. [Google Scholar] [CrossRef]
- Rutgers, M.; van Pelt, M.J.; Dhert, W.J.; Creemers, L.B.; Saris, D.B. Evaluation of histological scoring systems for tissue-engineered, repaired and osteoarthritic cartilage. Osteoarthr. Cartil. 2010, 18, 12–23. [Google Scholar] [CrossRef] [PubMed]
- Schindelin, J.; Arganda-Carreras, I.; Frise, E.; Kaynig, V.; Longair, M.; Pietzsch, T.; Preibisch, S.; Rueden, C.; Saalfeld, S.; Schmid, B.; et al. Fiji: An open-source platform for biological-image analysis. Nat. Methods 2012, 9, 676–682. [Google Scholar] [CrossRef] [PubMed]








© 2020 by the authors. Licensee MDPI, Basel, Switzerland. This article is an open access article distributed under the terms and conditions of the Creative Commons Attribution (CC BY) license (http://creativecommons.org/licenses/by/4.0/).
Share and Cite
Tohidnezhad, M.; Zander, J.; Slowik, A.; Kubo, Y.; Dursun, G.; Willenberg, W.; Zendedel, A.; Kweider, N.; Stoffel, M.; Pufe, T. Impact of Uniaxial Stretching on Both Gliding and Traction Areas of Tendon Explants in a Novel Bioreactor. Int. J. Mol. Sci. 2020, 21, 2925. https://doi.org/10.3390/ijms21082925
Tohidnezhad M, Zander J, Slowik A, Kubo Y, Dursun G, Willenberg W, Zendedel A, Kweider N, Stoffel M, Pufe T. Impact of Uniaxial Stretching on Both Gliding and Traction Areas of Tendon Explants in a Novel Bioreactor. International Journal of Molecular Sciences. 2020; 21(8):2925. https://doi.org/10.3390/ijms21082925
Chicago/Turabian StyleTohidnezhad, Mersedeh, Johanna Zander, Alexander Slowik, Yusuke Kubo, Gözde Dursun, Wolfgang Willenberg, Adib Zendedel, Nisreen Kweider, Marcus Stoffel, and Thomas Pufe. 2020. "Impact of Uniaxial Stretching on Both Gliding and Traction Areas of Tendon Explants in a Novel Bioreactor" International Journal of Molecular Sciences 21, no. 8: 2925. https://doi.org/10.3390/ijms21082925
APA StyleTohidnezhad, M., Zander, J., Slowik, A., Kubo, Y., Dursun, G., Willenberg, W., Zendedel, A., Kweider, N., Stoffel, M., & Pufe, T. (2020). Impact of Uniaxial Stretching on Both Gliding and Traction Areas of Tendon Explants in a Novel Bioreactor. International Journal of Molecular Sciences, 21(8), 2925. https://doi.org/10.3390/ijms21082925

