Molecular Routes to Specific Identification of the Lactobacillus Casei Group at the Species, Subspecies and Strain Level
Abstract
1. Introduction
2. Results and Discussion
2.1. Genus, Species and Subspecies-Specific PCR
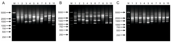
2.2. Rapid Distinguishing of Three Species Belonging to the L. casei Group Using RFLP-PCR, Multiplex PCR and HRM-PCR
2.2.1. Restriction Fragment Length Polymorphism
2.2.2. Multiplex PCR
2.2.3. High-Resolution Melting Analysis
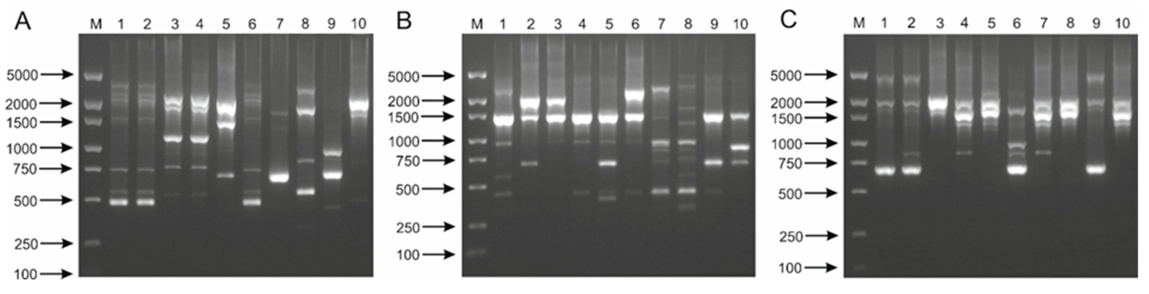
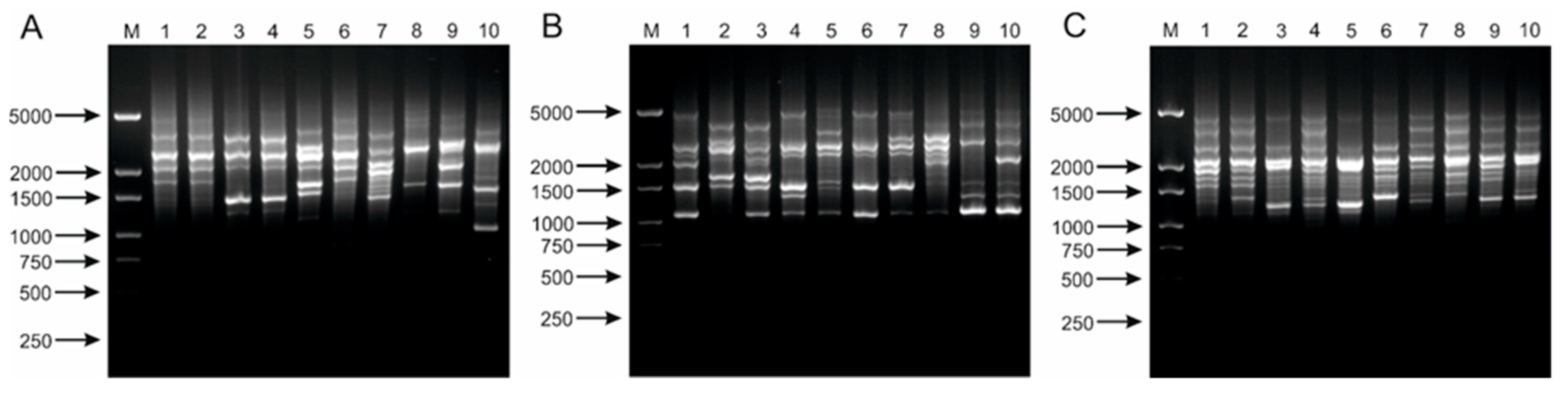
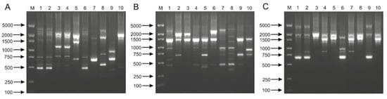
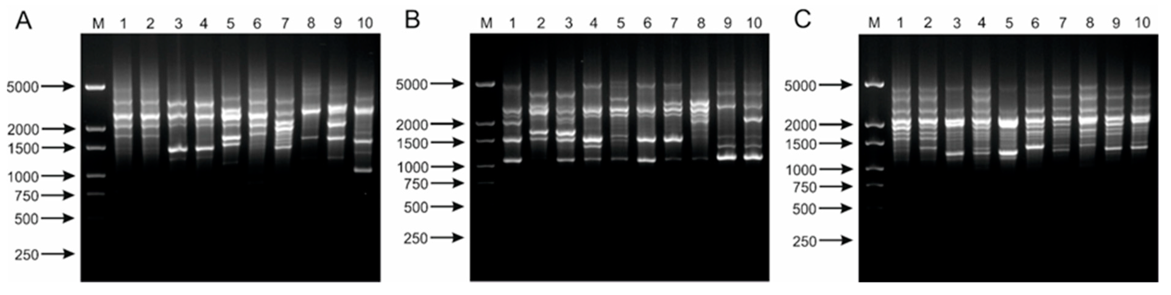
2.3. Fingerprinting Typing—RAPD, Rep-PCR, AFLP
2.3.1. Random Amplification of Polymorphic DNA
2.3.2. Rep–PCR
2.3.3. Amplified Length Polymorphism Analysis
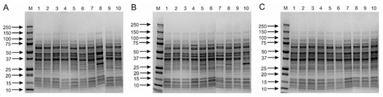
2.4. Proteomic Procedures—SDS-PAGE Profiles and MALDI-TOF MS
3. Materials and Methods
3.1. Bacterial Strains and Culture Conditions
3.2. DNA Isolation
3.3. Polymerase Chain Reaction Conditions
3.4. Electrophoretic Separation and Data Analysis
3.5. Real-time PCR and High-Resolution Melting Analysis
3.6. Amplified Fragment Length Polymorphism Analysis
3.7. SDS-PAGE Fingerprinting
3.8. MALDI-TOF Mass Spectrometry
4. Conclusions
Supplementary Materials
Author Contributions
Funding
Conflicts of Interest
References
- Von Wright, A.; Axelsson, L. Lactic Acid Bacteria: An Introduction. In Lactic Acid Bacteria: Microbiological and Functional Aspects, 5th ed.; Vinderola, G., Ouwehand, A., Salminen, S., von Wright, A., Eds.; CRC Press: Boca Raton, FL, USA, 2019; pp. 1–16. [Google Scholar]
 - Gaggìa, F.; Mattarelli, P.; Biavati, B. Probiotics and prebiotics in animal feeding for safe food production. Int. J. Food Microbiol. 2010, 141, S15–S28. [Google Scholar] [CrossRef] [PubMed]
 - Hill, D.; Sugrue, I.; Tobin, C.; Hill, C.; Stanton, C.; Ross, R.P. The Lactobacillus casei group: History and health related applications. Front. Microbiol. 2018, 9, 2107. [Google Scholar] [CrossRef]
 - Nissilä, E.; Douillard, F.P.; Ritari, J.; Paulin, L.; Järvinen, H.M.; Rasinkangas, P.; Haapasalo, K.; Meri, S.; Jarva, H.; de Vos, W.M. Genotypic and phenotypic diversity of Lactobacillus rhamnosus clinical isolates, their comparison with strain GG and their recognition by complement system. PLoS ONE 2017, 12, e0176739. [Google Scholar]
 - Wuyts, S.; Wittouck, S.; De Boeck, I.; Allonsius, C.N.; Pasolli, E.; Segata, N.; Lebeer, S. Large-scale phylogenomics of the Lactobacillus casei group highlights taxonomic inconsistencies and reveals novel clade-associated features. mSystems 2017, 2, e00061-17. [Google Scholar] [CrossRef] [PubMed]
 - Toh, H.; Oshima, K.; Nakano, A.; Takahata, M.; Murakami, M.; Takaki, T.; Nishiyama, H.; Igimi, S.; Hattori, M.; Morita, H. Genomic adaptation of the Lactobacillus casei group. PLoS ONE 2013, 8, e75073. [Google Scholar] [CrossRef]
 - Dowarah, R.; Verma, A.K.; Agarwal, N. The use of Lactobacillus as an alternative of antibiotic growth promoters in pigs: A review. Anim. Nutr. 2017, 3, 1–6. [Google Scholar] [CrossRef]
 - Markowiak, P.; Ślizewska, K. The role of probiotics, prebiotics and synbiotics in animal nutrition. Gut Pathog. 2018, 10, 21. [Google Scholar] [CrossRef]
 - De Melo Pereira, G.V.; de Oliveira Coelho, B.; Magalhães Júnior, A.I.; Thomaz-Soccol, V.; Soccol, C.R. How to select a probiotic? A review and update of methods and criteria. Biotechnol. Adv. 2018, 36, 2060–2076. [Google Scholar] [CrossRef]
 - Ansari, J.M.; Colasacco, C.; Emmanouil, E.; Kohlhepp, S.; Harriott, O. Strain-level diversity of commercial probiotic isolates of Bacillus, Lactobacillus, and Saccharomyces species illustrated by molecular identification and phenotypic profiling. PLoS ONE 2019, 14, e0213841. [Google Scholar] [CrossRef]
 - Herbel, S.R.; Vahjen, W.; Wieler, L.H.; Guenther, S. Timely approaches to identify probiotic species of the genus Lactobacillus. Gut Pathog. 2013, 5, 27. [Google Scholar] [CrossRef]
 - Singh, S.; Goswami, P.; Singh, R.; Heller, K.J. Application of molecular identification tools for Lactobacillus, with a focus on discrimination between closely related species: A review. LWT Food Sci. Technol. 2009, 42, 448–457. [Google Scholar] [CrossRef]
 - Jarocki, P.; Podleśny, M.; Komoń-Janczara, E.; Kucharska, J.; Glibowska, A.; Targoński, Z. Comparison of various molecular methods for rapid differentiation of intestinal bifidobacteria at the species, subspecies and strain level. BMC Microbiol. 2016, 16, 159. [Google Scholar] [CrossRef] [PubMed][Green Version]
 - Huang, C.H.; Li, S.W.; Huang, L.; Watanabe, K. Identification and classification for the Lactobacillus casei group. Front. Microbiol. 2018, 9, 1974. [Google Scholar] [CrossRef] [PubMed]
 - Dubernet, S.; Desmasures, N.; Guéguen, M. A PCR-based method for identification of lactobacilli at the genus level. FEMS Microbiol. Lett. 2002, 214, 271–275. [Google Scholar] [CrossRef] [PubMed]
 - Ventura, M.; Canchaya, C.; Meylan, V.; Klaenhammer, T.R.; Zink, R. Analysis, characterization, and loci of the tuf genes in Lactobacillus and Bifidobacterium species and their direct application for species identification. Appl. Environ. Microbiol. 2003, 69, 6908–6922. [Google Scholar] [CrossRef]
 - Huang, C.H.; Chang, M.T.; Huang, M.C.; Lee, F.L. Application of the SNaPshot minisequencing assay to species identification in the Lactobacillus casei group. Mol. Cell. Probes 2011, 25, 153–157. [Google Scholar] [CrossRef]
 - Desai, A.R.; Shah, N.P.; Powell, I.B. Discrimination of dairy industry isolates of the Lactobacillus casei group. J. Dairy Sci. 2006, 89, 3345–3351. [Google Scholar] [CrossRef]
 - Ward, L.J.H.; Timmins, M.J. Differentiation of Lactobacillus casei, Lactobacillus paracasei and Lactobacillus rhamnosus by polymerase chain reaction. Lett. Appl. Microbiol. 1999, 29, 90–92. [Google Scholar] [CrossRef]
 - Tindall, B.J. The type strain of Lactobacillus casei is ATCC 393, ATCC 334 cannot serve as the type because it represents a different taxon, the name Lactobacillus paracasei and its subspecies names are not rejected and the revival of the name „Lactobacillus zeae” contravenes Rules 51b (1) and (2) of the International Code of Nomenclature of Bacteria. Opinion 82. Int. J. Syst. Evol. Microbiol. 2008, 58, 1764–1765. [Google Scholar]
 - Dicks, L.M.; Du Plessis, E.M.; Dellaglio, F.; Lauer, E. Reclassification of Lactobacillus casei subsp. casei ATCC 393 and Lactobacillus rhamnosus ATCC 15820 as Lactobacillus zeae nom. rev., designation of ATCC 334 as the neotype of L. casei subsp. casei, and rejection of the name Lactobacillus paracasei. Int. J. Syst. Bacteriol. 1996, 46, 337–340. [Google Scholar]
 - Huang, C.-H.; Lee, F.-L. Development of novel species-specific primers for species identification of the Lactobacillus casei group based on RAPD fingerprints. J. Sci. Food Agric. 2009, 89, 1831–1837. [Google Scholar] [CrossRef]
 - Das, S.; Dash, H.R.; Mangwani, N.; Chakraborty, J.; Kumari, S. Understanding molecular identification and polyphasic taxonomic approaches for genetic relatedness and phylogenetic relationships of microorganisms. J. Microbiol. Methods 2014, 103, 80–100. [Google Scholar] [CrossRef] [PubMed]
 - Diancourt, L.; Passet, V.; Chervaux, C.; Garault, P.; Smokvina, T.; Brisse, S. Multilocus sequence typing of Lactobacillus casei reveals a clonal population structure with low levels of homologous recombination. Appl. Environ. Microbiol. 2007, 73, 6601–6611. [Google Scholar] [CrossRef] [PubMed]
 - Podleśny, M.; Jarocki, P.; Komoń, E.; Glibowska, A.; Targoński, Z. LC-MS/MS analysis of surface layer proteins as a useful method for the identification of lactobacilli from the Lactobacillus acidophilus group. J. Microbiol. Biotechnol. 2011, 21, 421–429. [Google Scholar]
 - Heyndrickx, M.; Vauterin, L.; Vandamme, P.; Kersters, K.; De Vos, P. Applicability of combined amplified ribosomal DNA restriction analysis (ARDRA) patterns in bacterial phylogeny and taxonomy. J. Microbiol. Methods 1996, 26, 247–259. [Google Scholar] [CrossRef]
 - Dec, M.; Puchalski, A.; Urban-Chmiel, R.; Wernicki, A. 16S-ARDRA and MALDI-TOF mass spectrometry as tools for identification of Lactobacillus bacteria isolated from poultry. BMC Microbiol. 2016, 16, 105. [Google Scholar] [CrossRef]
 - Dušková, M.; Šedo, O.; Kšicová, K.; Zdráhal, Z.; Karpíšková, R. Identification of lactobacilli isolated from food by genotypic methods and MALDI-TOF MS. Int. J. Food Microbiol. 2012, 159, 107–114. [Google Scholar] [CrossRef]
 - Park, S.H.; Jung, J.H.; Seo, D.H.; Lee, H.L.; Kim, G.W.; Park, S.Y.; Shin, W.C.; Hong, S.; Park, C.S. Differentiation of lactic acid bacteria based on RFLP analysis of the tuf gene. Food Sci. Biotechnol. 2012, 21, 911–915. [Google Scholar] [CrossRef]
 - Gupta, R.S.; Bustard, K.; Falah, M.; Singh, D. Sequencing of heat shock protein 70 (DnaK) homologs from Deinococcus proteolyticus and Thermomicrobium roseum and their integration in a protein-based phylogeny of prokaryotes. J. Bacteriol. 1997, 179, 345–357. [Google Scholar] [CrossRef]
 - Kwon, H.-S.; Yang, E.-H.; Yeon, S.-W.; Kang, B.-H.; Kim, T.-Y. Rapid identification of probiotic Lactobacillus species by multiplex PCR using species-specific primers based on the region extending from 16S rRNA through 23S rRNA. FEMS Microbiol. Lett. 2004, 239, 267–275. [Google Scholar] [CrossRef]
 - Yan, W. Multiplex PCR primer design for simultaneous detection of multiple pathogens. Methods Mol. Biol. 2015, 1275, 91–101. [Google Scholar] [PubMed]
 - Bottari, B.; Felis, G.E.; Salvetti, E.; Castioni, A.; Campedelli, I.; Torriani, S.; Bernini, V.; Gatti, M. Effective identification of Lactobacillus casei group species: Genome-based selection of the gene mutL as the target of a novel multiplex PCR assay. Microbiology (UK) 2017, 163, 950–960. [Google Scholar] [CrossRef] [PubMed]
 - Iacumin, L.; Ginaldi, F.; Manzano, M.; Anastasi, V.; Reale, A.; Zotta, T.; Rossi, F.; Coppola, R.; Comi, G. High resolution melting analysis (HRM) as a new tool for the identification of species belonging to the Lactobacillus casei group and comparison with species-specific PCRs and multiplex PCR. Food Microbiol. 2015, 46, 357–367. [Google Scholar] [CrossRef]
 - Tong, S.Y.C.; Giffard, P.M. Microbiological applications of high-resolution melting analysis. J. Clin. Microbiol. 2012, 50, 3418–3421. [Google Scholar] [CrossRef] [PubMed]
 - Vossen, R.H.A.M.; Aten, E.; Roos, A.; den Dunnen, J.T. High-resolution melting analysis (HRMA): More than just sequence variant screening. Hum. Mutat. 2009, 30, 860–866. [Google Scholar] [CrossRef]
 - Issa, R.; Abdul, H.; Hashim, S.H.; Seradja, V.H.; Shaili, N.; Hassan, N.A. High resolution melting analysis for the differentiation of Mycobacterium species. J. Med. Microbiol. 2014, 63, 1284–1287. [Google Scholar] [CrossRef]
 - Saeidabadi, M.S.; Nili, H.; Dadras, H.; Sharifiyazdi, H.; Connolly, J.; Valcanis, M.; Raidal, S.; Ghorashi, S.A. Evaluation of PCR and high-resolution melt curve analysis for differentiation of Salmonella isolates. Avian Pathol. 2017, 46, 319–331. [Google Scholar] [CrossRef]
 - Koirala, R.; Taverniti, V.; Balzaretti, S.; Ricci, G.; Fortina, M.G.; Guglielmetti, S. Melting curve analysis of a groEL PCR fragment for the rapid genotyping of strains belonging to the Lactobacillus casei group of species. Microbiol. Res. 2015, 173, 50–58. [Google Scholar] [CrossRef]
 - Savo Sardaro, M.L.; Levante, A.; Bernini, V.; Gatti, M.; Neviani, E.; Lazzi, C. The spxB gene as a target to identify Lactobacillus casei group species in cheese. Food Microbiol. 2016, 59, 57–65. [Google Scholar] [CrossRef]
 - Donelli, G.; Vuotto, C.; Mastromarino, P. Phenotyping and genotyping are both essential to identify and classify a probiotic microorganism. Microb. Ecol. Heal. Dis. 2013, 24. [Google Scholar] [CrossRef]
 - Mahenthiralingam, E.; Marchbank, A.; Drevinek, P.; Garaiova, I.; Plummer, S. Use of colony-based bacterial strain typing for tracking the fate of Lactobacillus strains during human consumption. BMC Microbiol. 2009, 9, 251. [Google Scholar] [CrossRef] [PubMed]
 - Williams, J.G.K.; Kubelik, A.R.; Livak, K.J.; Rafalski, J.A.; Tingey, S.V. DNA polymorphisms amplified by arbitrary primers are useful as genetic markers. Nucleic Acids Res. 1990, 18, 6531–6535. [Google Scholar] [CrossRef] [PubMed]
 - Tilsala-Timisjärvi, A.; Alatossava, T. Strain-specific identification of probiotic Lactobacillus rhamnosus with randomly amplified polymorphic DNA-derived PCR primers. Appl. Environ. Microbiol. 1998, 64, 4816–4819. [Google Scholar] [CrossRef] [PubMed]
 - Satokari, R.M.; Vaughan, E.E.; Smidt, H.; Saarela, M.; Mättö, J.; De Vos, W.M. Molecular approaches for the detection and identification of bifidobacteria and lactobacilli in the human gastrointestinal tract. Syst. Appl. Microbiol. 2003, 26, 572–584. [Google Scholar] [CrossRef]
 - Rossetti, L.; Giraffa, G. Rapid identification of dairy lactic acid bacteria by M13-generated, RAPD-PCR fingerprint databases. J. Microbiol. Methods 2005, 63, 135–144. [Google Scholar] [CrossRef]
 - Daud Khaled, A.K.; Neilan, B.A.; Henriksson, A.; Conway, P.L. Identification and phylogenetic analysis of Lactobacillus using multiplex RAPD-PCR. FEMS Microbiol. Lett. 1997, 153, 191–197. [Google Scholar] [CrossRef]
 - Frye, S.R.; Healy, M. Molecular strain typing using repetitive sequence-based PCR. In Advanced Techniques in Diagnostic Microbiology; Tang, Y.-W., Stratton, C.W., Eds.; Springer Nature: London, UK, 2006; pp. 444–471. [Google Scholar]
 - Tabit, F.T. Advantages and limitations of potential methods for the analysis of bacteria in milk: A review. J. Food Sci. Technol. 2016, 53, 42–49. [Google Scholar] [CrossRef]
 - Vuylsteke, M.; Peleman, J.D.; van Eijk, M.J.T. AFLP technology for DNA fingerprinting. Nat. Protoc. 2007, 2, 1387–1398. [Google Scholar] [CrossRef]
 - Ceapa, C.; Lambert, J.; van Limpt, K.; Wels, M.; Smokvina, T.; Knol, J.; Kleerebezem, M. Correlation of Lactobacillus rhamnosus genotypes and carbohydrate utilization signatures determined by phenotype profiling. Appl. Environ. Microbiol. 2015, 81, 5458–5470. [Google Scholar] [CrossRef]
 - Jonas, D.; Spitzmüller, B.; Weist, K.; Rüden, H.; Daschner, F.D. Comparison of PCR-based methods for typing Escherichia coli. Clin. Microbiol. Infect. 2003, 9, 823–831. [Google Scholar] [CrossRef][Green Version]
 - La Rosa, G.; De Carolis, E.; Sali, M.; Papacchini, M.; Riccardi, C.; Mansi, A.; Paba, E.; Alquati, C.; Bestetti, G.; Muscillo, M. Genetic diversity of bacterial strains isolated from soils, contaminated with polycyclic aromatic hydrocarbons, by 16S rRNA gene sequencing and amplified fragment length polymorphism fingerprinting. Microbiol. Res. 2006, 161, 150–157. [Google Scholar] [CrossRef] [PubMed]
 - Savelkoul, P.H.M.; Aarts, H.J.M.; De Haas, J.; Dijkshoorn, L.; Duim, B.; Otsen, M.; Rademaker, J.L.W.; Schouls, L.; Lenstra, J.A. Amplified-fragment length polymorphism analysis: The state of an art. J. Clin. Microbiol. 1999, 37, 3083–3091. [Google Scholar] [CrossRef] [PubMed]
 - Emerson, D.; Agulto, L.; Liu, H.; Liu, L. Identifying and characterizing bacteria in an era of genomics and proteomics. Bioscience 2008, 58, 925–936. [Google Scholar] [CrossRef]
 - Karlsson, R.; Gonzales-Siles, L.; Boulund, F.; Svensson-Stadler, L.; Skovbjerg, S.; Karlsson, A.; Davidson, M.; Hulth, S.; Kristiansson, E.; Moore, E.R.B. Proteotyping: Proteomic characterization, classification and identification of microorganisms—A prospectus. Syst. Appl. Microbiol. 2015, 38, 246–257. [Google Scholar] [CrossRef] [PubMed]
 - Bloem, J.F.; Botha, W.J.; Law, I.J.; Steyn, P.L. Colony variation in Sinorhizobium meliloti inoculant strain U 45. Microbiol. Res. 2002, 157, 283–292. [Google Scholar] [CrossRef]
 - Chetouane, Y.; Dubourg, G.; Gallian, P.; Delerce, J.; Levasseur, A.; Flaudrops, C.; Chabrière, E.; Chiaroni, J.; Raoult, D.; Camoin-Jau, L. In vitro detection of bacterial contamination in platelet concentrates by matrix-assisted laser desorption/ionization time-of-flight mass spectrometry: A preliminary study. J. Med. Microbiol. 2017, 66, 1523–1530. [Google Scholar] [CrossRef]
 - Santos, I.; Martin, M.; Carlton, D.; Amorim, C.; Castro, P.; Hildenbrand, Z.; Schug, K. MALDI-TOF MS for the identification of cultivable organic-degrading bacteria in contaminated groundwater near unconventional natural gas extraction sites. Microorganisms 2017, 5, 47. [Google Scholar] [CrossRef]
 - Pavel, A.B.; Vasile, C.I. PyElph—A software tool for gel images analysis and phylogenetics. BMC Bioinform. 2012, 13, 9. [Google Scholar] [CrossRef]
 - Dwight, Z.L.; Palais, R.; Wittwer, C.T. Uanalyze: Web-based high-resolution DNA melting analysis with comparison to thermodynamic predictions. IEEE/ACM Trans. Comput. Biol. Bioinform. 2012, 9, 1805–1811. [Google Scholar] [CrossRef]
 





| Bacterial Strain | PCR Reaction (Primer Names) | |||||||||||||
|---|---|---|---|---|---|---|---|---|---|---|---|---|---|---|
| Genus-Specific LbLMA1-rev/R16-1  | Genus-Specific TUF-1/TUF-2  | L. casei Group-Specific LCgprpoA-F2/LCgprpoA-R2  | L. casei-Specific Y2/casei (W1)  | L. paracasei-Specific Y2/para (W2)  | L. rhamnosus-Specific Y2/rham (W3)  | L. zeae-Specific Y2/zeae (D1)  | L. zeae-Specific SpeOPT16zeae-F SpeOPT16zeae-R  | L. rhamnosus-Specific SpeOPT14rhaF SpeOPT14rha-R  | Subspecies-Specific SpeOPT11tolF SpeOPT11tol-R  | Multiplex CPR/CAS, PAR, RHA (Number of Amplicons)  | Multiplex CZfor, PC2a, RHfor/CPRrev PRODUCT Length (bp)  | HRM—spxB poxcDNAFw/poxPromRv Melting Temp. (°C)  | HRM—groEL GroHRM-F/GroHRM-R Melting Temp. (°C)  | |
| Lactobacillus casei | ||||||||||||||
| L. casei LMG 6904 | + | + | + | + | - (ns *) | - (ns) | + | - | - | - | + (4) | + (666) | 81.70 | 78.40 | 
| L. casei LMG 23516 | + | + | + | + | - (ns) | - (ns) | + | - | - | - | + (4) | + (666) | 81.60 | 78.40 | 
| L. casei LMG 24099 | + | + | + | + | - (ns) | - (ns) | + | - | - | - | + (4) | + (666) | 81.60 | 78.00 | 
| L. casei LMG 24102 | + | + | + | + | - | - (ns) | + | - | - | - | + (4) | + (666) | 81.60 | 78.10 | 
| L. casei JCM 2120 | + | + | + | - (ns) | + | - | - | - | - | - | + (2) | + (253) | 81.20 | 79.50 | 
| L. casei JCM 8129 | + | + | + | + | - | - (ns) | + | - | - | - | + (4) | + (666) | 81.60 | 78.40 | 
| L. casei JCM 8608 | + | + | + | - (ns) | - | + | - | - | + | - | + (1) | - | 82.80 | 79.80 | 
| L. casei JCM 8677 | + | + | - | - (ns) | - | - | - | - | - | - | - | - | - | - | 
| L. casei JCM 20024 | + | + | + | - (ns) | + | - | - (ns) | - | - | - | + (2) | + (253) | 81.20 | 79.10 | 
| L. casei LMG 17315 | + | + | + | + | - | - (ns) | + | + | - | - | + (4) | + (666) | 81.60 | 78.30 | 
| Lactobacillus paracasei | ||||||||||||||
| L. paracasei LMG 13087 | + | + | + | - (ns) | + | - | - (ns) | - | - | - | + (2) | + (253) | 81.60 | 79.50 | 
| L. paracasei LMG 9193 | + | + | + | - (ns) | + | - (ns) | - (ns) | - | - | - | + (2) | + (253) | 81.30 | 79.50 | 
| L. paracasei LMG 9438 | + | + | + | - (ns) | + | - (ns) | - (ns) | - | - | - | + (2) | + (253) | 81.20 | 79.50 | 
| L. paracasei LMG 11459 | + | + | + | - (ns) | + | - (ns) | - (ns) | - | - | - | + (2) | + (253) | 81.30 | 79.40 | 
| L. paracasei LMG 11961 | + | + | + | - (ns) | + | - (ns) | - (ns) | - | - | - | + (2) | + (253) | 81.50 | 79.20 | 
| L. paracasei LMG 12164 | + | + | + | - (ns) | + | - (ns) | - (ns) | - | - | - | + (2) | + (253) | 81.30 | 79.50 | 
| L. paracasei LMG 19719 | + | + | + | - (ns) | + | - (ns) | - (ns) | - | - | - | + (2) | + (253) | 81.50 | 79.50 | 
| L. paracasei JCM 1163 | + | + | + | - (ns) | + | - (ns) | - | - | - | - | + (2) | + (253) | 81.50 | 79.20 | 
| L. paracasei LMG 9191 | + | + | + | - (ns) | + | - (ns) | - (ns) | - | - | - | + (2) | + (253) | 81.20 | 79.20 | 
| L. paracasei JCM 20315 | + | + | + | - (ns) | + | - (ns) | - (ns) | - | - | + | + (2) | + (253) | 81.20 | 79.20 | 
| Lactobacillus rhamnosus | ||||||||||||||
| L. rhamnosus LMG 6400 | + | + | + | - | - | + | - | - | + | - | + (1) | + (800) | 83.40 | 79.80 | 
| L. rhamnosus LMG 8153 | + | + | + | - | - | + | - | - | + | - | + (1) | + (800) | 83.20 | 79.80 | 
| L. rhamnosus LMG 10768 | + | + | + | - | - | + | - | - | + | - | + (1) | + (800) | 82.70 | 79.80 | 
| L. rhamnosus LMG 10772 | + | + | + | - | - (ns) | + | - | - | + | - | + (1) | + (800) | 82.70 | 79.70 | 
| L. rhamnosus LMG 12166 | + | + | + | - | - | + | - | - | + | - | + (1) | + (800) | 82.80 | 79.80 | 
| L. rhamnosus LMG 18030 | + | + | + | - | - | + | - | - | + | - | + (1) | + (800) | 83.30 | 79.00 | 
| L. rhamnosus LMG 23304 | + | + | + | - | - (ns) | + | - | - | + | - | + (1) | + (800) | 82.80 | 79.80 | 
| L. rhamnosus LMG 23536 | + | + | + | - | - | + | - | - | + | - | + (1) | + (800) | 83.30 | 79.50 | 
| L. rhamnosus LMG 23550 | + | + | + | - | - | + | - | - | + | - | + (1) | + (800) | 83.20 | 79.80 | 
| L. rhamnosus LMG 25881 | + | + | + | - | - | + | - | - | + | - | + (1) | + (800) | 82.80 | 79.70 | 
| No. | Species | Strain | Highest Biotyper log(score) | MALDI-TOF MS | 
|---|---|---|---|---|
| 1 | L. casei | LMG 6904 | 1.922 | L. casei | 
| 2 | L. casei | LMG 23516 | 2.06 | L. casei | 
| 3 | L. casei | LMG 24099 | 2.024 | L. casei | 
| 4 | L. casei | LMG 24102 | 2.199 | L. casei | 
| 5 | L. casei | JCM 2120 | 2.462 | L. paracasei | 
| 6 | L. casei | JCM 8129 | 2.014 | L. casei | 
| 7 | L. casei | JCM 8608 | 2.142 | L. rhamnosus | 
| 8 | L. casei | JCM 8677 | 1.83 | L. crispatus | 
| 9 | L. casei | JCM 20024 | 2.338 | L. paracasei | 
| 10 | L. casei | LMG 17315 | 2.18 | L. casei | 
| 11 | L. paracasei | LMG 13087 | 2.252 | L. paracasei | 
| 12 | L. paracasei | LMG 9193 | 2.308 | L. paracasei | 
| 13 | L. paracasei | LMG 9438 | 2.186 | L. paracasei | 
| 14 | L. paracasei | LMG 11459 | 2.453 | L. paracasei | 
| 15 | L. paracasei | LMG 11961 | 2.404 | L. paracasei | 
| 16 | L. paracasei | LMG 12164 | 2.381 | L. paracasei | 
| 17 | L. paracasei | LMG 19719 | 2.394 | L. paracasei | 
| 18 | L. paracasei | JCM 1163 | 2.384 | L. paracasei | 
| 19 | L. paracasei | LMG 9191 | 2.473 | L. paracasei | 
| 20 | L. paracasei | JCM 20315 | 2.369 | L. paracasei | 
| 21 | L. rhamnosus | LMG 6400 | 2.205 | L. rhamnosus | 
| 22 | L. rhamnosus | LMG 8153 | 2.223 | L. rhamnosus | 
| 23 | L. rhamnosus | LMG 10768 | 2.183 | L. rhamnosus | 
| 24 | L. rhamnosus | LMG 10772 | 2.052 | L. rhamnosus | 
| 25 | L. rhamnosus | LMG 12166 | 1.541 | - | 
| 26 | L. rhamnosus | LMG 18030 | 2.065 | L. rhamnosus | 
| 27 | L. rhamnosus | LMG 23304 | 2.282 | L. rhamnosus | 
| 28 | L. rhamnosus | LMG 23536 | 2.061 | L. rhamnosus | 
| 29 | L. rhamnosus | LMG 23550 | 2.166 | L. rhamnosus | 
| 30 | L. rhamnosus | LMG 25881 | 2.24 | L. rhamnosus | 
© 2020 by the authors. Licensee MDPI, Basel, Switzerland. This article is an open access article distributed under the terms and conditions of the Creative Commons Attribution (CC BY) license (http://creativecommons.org/licenses/by/4.0/).
Share and Cite
Jarocki, P.; Komoń-Janczara, E.; Glibowska, A.; Dworniczak, M.; Pytka, M.; Korzeniowska-Kowal, A.; Wzorek, A.; Kordowska-Wiater, M. Molecular Routes to Specific Identification of the Lactobacillus Casei Group at the Species, Subspecies and Strain Level. Int. J. Mol. Sci. 2020, 21, 2694. https://doi.org/10.3390/ijms21082694
Jarocki P, Komoń-Janczara E, Glibowska A, Dworniczak M, Pytka M, Korzeniowska-Kowal A, Wzorek A, Kordowska-Wiater M. Molecular Routes to Specific Identification of the Lactobacillus Casei Group at the Species, Subspecies and Strain Level. International Journal of Molecular Sciences. 2020; 21(8):2694. https://doi.org/10.3390/ijms21082694
Chicago/Turabian StyleJarocki, Piotr, Elwira Komoń-Janczara, Agnieszka Glibowska, Michał Dworniczak, Monika Pytka, Agnieszka Korzeniowska-Kowal, Anna Wzorek, and Monika Kordowska-Wiater. 2020. "Molecular Routes to Specific Identification of the Lactobacillus Casei Group at the Species, Subspecies and Strain Level" International Journal of Molecular Sciences 21, no. 8: 2694. https://doi.org/10.3390/ijms21082694
APA StyleJarocki, P., Komoń-Janczara, E., Glibowska, A., Dworniczak, M., Pytka, M., Korzeniowska-Kowal, A., Wzorek, A., & Kordowska-Wiater, M. (2020). Molecular Routes to Specific Identification of the Lactobacillus Casei Group at the Species, Subspecies and Strain Level. International Journal of Molecular Sciences, 21(8), 2694. https://doi.org/10.3390/ijms21082694
        
