Abstract
Adipokines are the primary mediators of adipose tissue-induced and regulated systemic inflammatory diseases; however, recent findings revealed that serum levels of various adipokines correlate also with the onset and the severity of dermatological diseases. Importantly, further data confirmed that the skin serves not only as a target for adipokine signaling, but may serve as a source too. In this review, we aim to provide a complex overview on how adipokines may integrate into the (patho) physiological conditions of the skin by introducing the cell types, such as keratinocytes, fibroblasts, and sebocytes, which are known to produce adipokines as well as the signals that target them. Moreover, we discuss data from in vivo and in vitro murine and human studies as well as genetic data on how adipokines may contribute to various aspects of the homeostasis of the skin, e.g., melanogenesis, hair growth, or wound healing, just as to the pathogenesis of dermatological diseases such as psoriasis, atopic dermatitis, acne, rosacea, and melanoma.
Keywords:
adipokines; keratinocytes; fibroblasts; sebocytes; melanocytes; hair growth; psoriasis; atopic dermatitis; acne; melanoma 1. Introduction
White adipose tissue (WAT) is present throughout the human body with a pivotal role in lipid storage, thermoregulation, mechanical organ protection and regulation of energy homeostasis [1], but with remarkable anatomical, ontogenic, metabolic, cellular, molecular and physiological differences between its two forms, namely the visceral and the subcutaneous ones [2,3]. Importantly, WAT is also an active endocrine tissue due to the secretion of various hormones and bioactive molecules called adipokines [4], and has a central role in the regulation of immune responses locally and systemically; thus, it is considered as an immunometabolic system [5]. Alterations in the number of WAT cells and their dysregulated functions, therefore results in the pathogenesis of various diseases such as obesity, insulin resistance, type 2 diabetes, cardiovascular diseases [6,7] but may also be involved in “non-typical metabolic diseases” such as psoriasis [8,9].
Adipokines are small molecular weight biologically active proteins primarily produced by adipocytes, however many members are expressed and secreted also by non-adipocyte cells [10]. As opposed to protein families—which share a specific domain structure and homologous, conserved amino acid sequence—adipokines constitute a merely functional category of diverse proteins and peptides which are active in cell signaling. Interestingly, beyond the significant conformational and structural differences across the adipokines, different isoforms may exist even for individual adipokines (e.g., adiponectin or apelin) [11]. Furthermore, adipokines (such as adiponectin, the member of the serine protease inhibitor (SERPIN) gene family (SERPINE1) or apelin) may undergo further structural reorganization when involved in pathological process [11,12].
Not surprisingly, their receptors have a diverse repertoire as well, accounting for the wide range of signaling pathways which may be activated by adipokines. While some of the adipokines transmit their signals through designated receptors, others act through receptors of various cytokines and hormones [12]—for example, leptin exerts its biological effect through the leptin receptor (Ob-R), which belongs to the type I cytokine receptor family [13]; the receptors for chemerin, monocyte chemoattractant protein-1 (MCP-1) and apelin are G protein-coupled receptors (GPRs) [14,15,16], while effects of resistin, visfatin and fetuin-A are mediated through the insulin receptor and a pattern recognition receptor (Toll-like receptor [TLR] 4) [17,18,19]. Adiponectin receptors are the members of the progestin and adipoQ receptor family, while the zinc-α2-glycoprotein (ZAG) is a β2 adrenergic receptor agonist [20,21]. SERPINE1 binds to the urokinase receptor, lipocalin 2 (LCN2) is able to act through its own specific 24p3 receptor and in the case of omentin-1, no specific receptor has been identified so far [22,23,24]. Moreover, multiple isoforms of a given receptor could be present as well on various cell types, as it is in the case of Ob-R, which has multiple splice variants—but only the long isoform (Ob-Rb) contains all the intracellular motifs that are necessary to activate the Janus kinase 2/signal transducer and activator of the transcription factor 3 (JAK2/STAT3) pathway [25].
Currently, more than 600 adipokines have been described in the human body with various biological properties. The most widely used classification places their inflammatory properties in the center and distinguishes pro-and anti-inflammatory adipokines. Up-regulation of pro-inflammatory adipokines leads to the development of a chronic, low-grade inflammatory state and contributes to metabolic dysfunction. On the other hand, the adipose tissue secretes certain anti-inflammatory adipokines as well, which are under intensive investigation regarding their role in these processes [9,26]. Although adipokines are the key mediators of various adipose tissue-induced and -regulated inflammatory diseases, it has become evident that they may also be active regulators of cutaneous inflammatory processes, which promoted the identification of adipokine source and target cells in the skin [27,28,29]. Up to now, adipokine research has acquired an indisputable place in dermatology, with a growing body of information regarding the role of adipokines in skin (patho) physiology. In this review, with the limitation of not involving interleukins and the skin-associated immune cells, we summarize the adipokines produced by different human skin cell types, and demonstrate how these adipokines may contribute to the development of various skin diseases.
2. Expression of Adipokines in Skin Cells
2.1. Keratinocytes
Continuously proliferating and differentiating keratinocytes are the dominant cell type of the epidermis. Keratinocytes are able to secrete and to respond to a wide range of bioactive molecules including adipokines, thereby regulating skin homeostasis (Figure 1).
Figure 1.
Overview of adipokines expressed and secreted by different human skin cell types and their effects on these cells.
Leptin, encoded by the “obese” (Ob) gene [30], is one of the first discovered and most-studied adipokines in skin biology. Generally, leptin acts as a regulatory factor through the central nervous system, balancing food intake and energy expenditure [31]. In addition to the JAK2/STAT3 signaling, Ob-Rb is able to regulate members of the mitogen-activated protein kinase (MAPK) family (p38 MAPK), as well as, the stress activated c-Jun N-terminal kinase (JNK) and phosphatidylinositol 3-kinase/protein kinase B (PI3K/Akt) pathways [25,32,33]. The common endpoint of these signaling pathways is nuclear factor kappa-B (NF-κB), the major transcription regulator of inflammatory mediators. Therefore, it is generally accepted that in the human skin, leptin acts as a pro-inflammatory adipokine [34]. In the human epidermis, prominent leptin immunoreactivity could be observed in the basal and suprabasal layers and its biologically active receptor (Ob-Rb) was also found to be expressed by keratinocytes [35]. The leptin/STAT3 pathway is linked to the differentiation, proliferation and migration of keratinocytes and it is a potent regulatory factor of innate and adaptive immunity. In human keratinocytes in vitro, leptin is able to stimulate the expression of the antimicrobial peptide human β-defensin-2 (hBD-2) as well as the production of pro-inflammatory cytokines (interleukin [IL]-6, IL-8 and tumor necrosis factor-α [TNF-α]) via STAT1, STAT3, JAK2, p38 MAPK and NF-κB pathways. [36,37]. However, in transgenic mice overexpressing leptin in keratinocytes, although high serum leptin levels could be detected, a normal histological morphology of the epidermis and the epidermal appendages were observed with unaltered expression of differentiation and proliferation markers [38]. Whether these findings are mice specific, or highlight the importance of investigating the role of leptin in combination with other factors, calls for further studies.
Visfatin (also known as pre-B-cell colony-enhancing factor (PBEF), or nicotinamide phosphoribosyltransferase (NAMPT)) was originally identified in human peripheral blood lymphocytes and was found to enhance the maturation of B-cell precursors [39]. In human keratinocytes, the expression of visfatin could be induced by epidermal growth factor (EGF) treatment and was able to enhance the proliferation and migration of these cells via extracellular signal-regulated kinases (ERK) 1/2 and JNK1/2 pathways [40]. In vitro experiments showed that visfatin activated the NF-κB, STAT3 and CCAAT/enhancer-binding protein (C/EBP) pathways, increasing the basal and TNF-α-induced mRNA expression and secretion of chemokines (CXCL8, CXCL10) and antimicrobial peptides (cathelicidin, hBD2, hBD3) in normal human keratinocytes (NHKs) [41,42]. Although it is obvious that visfatin acts as a pro-inflammatory mediator under the conditions studied so far [43,44], further investigations are needed to understand its role in the immunobiology of keratinocytes.
Recent in vitro evidence showed that LCN2 (also known as neutrophil gelatinase–associated lipocalin (NGAL)) is another potential immunomodulatory adipokine as it was able to induce immune tolerance through modulation of regulatory T cell expansion [45]. Although both normal hair follicles and in vitro cultured keratinocytes express LCN2, its strong induction in the epidermis can only be observed in certain skin diseases suggesting an association with pathological conditions in human skin [46]. In line with this, IL-1β, IL-17 and TNF-α treatment stimulated the secretion of LCN2 in NHK and HaCaT keratinocytes, and by ERK1/2 and p38 MAPK pathways, LCN2 was found to induce neutrophil chemotaxis [47,48]. Interestingly, a characteristic high expression of LCN2 was detected in the apical layer of the epidermis in sebaceous gland (SG) rich human skin as opposed to SG poor areas suggesting that LCN2 (together with other cytokines and antimicrobial peptides) has a role in the maintenance of the specific immune milieu of SG rich skin [49].
SERPINE1 (or plasminogen activator inhibitor type-1 (PAI-1)) has a major role in the modulation of extracellular matrix degradation and tissue remodeling [50]. The mRNA and protein expression of SERPINE1 are undetectable in normal mouse epidermis. However, its strong expression could be observed after mechanical injury or topical treatment with a specific NF-κB activator [51,52].
Adipokines with chemotactic properties are also found in keratinocytes. Chemerin (also known as retinoic acid receptor responder 2 (RARRES2), or tazarotene-induced gene 2 protein (TIG2)), has been introduced as a chemokine as it is able to exert a chemotactic effect through the p38 MAPK pathway on dendritic cells (DCs) and natural killer cells (NK cells) and regulates macrophage-mediated immune responses [53]. The mRNA and protein expression of chemerin and its receptors (chemerin chemokine-like receptor 1 (CMKLR1) and (GPR1)) show a characteristic distribution in human skin. While chemerin is expressed primarily in the epidermis, CMKLR1 and GPR1 expression tends to be higher in the dermal compartment [14]. The dermal response to chemerin is most probably a result of the release from its site of synthesis in the epidermis triggered by danger signals. In human skin cultures as well as in mouse skin in vivo, microbial stimuli increase chemerin synthesis indicating that the epidermis is a functional microbe-responsive site of chemerin production [14]. In the same experimental models, psoriasis-related cytokines, IL-17 and IL-22 significantly down-regulated chemerin expression [14]. Based on in vitro experiments, chemerin facilitated the secretion of IL-1β, IL-8, TNF-α, as well as of reactive oxygen species (ROS), and consequently activated the NF-κB signaling in NHK and HaCaT cells [54]. Overexpression of bioactive chemerin by basal keratinocytes in transgenic mice revealed that chemerin is able to significantly delay tumor development and progression in a DMBA/TPA model of skin carcinogenesis [55].
In addition to chemerin, MCP-1, also known as C-C motif ligand 2 (CCL2) also has chemotactic activity with a primary function to recruit immune cells (e.g., monocytes, memory T lymphocytes and NK cells) to the site of inflammation [56]. In human keratinocytes, via p38 MAPK and NF-κB pathways, chemical stimuli or inflammatory factors (e.g., TNF-α and interferon-γ (IFN-γ)) are able to induce the mRNA and protein expression/secretion of MCP-1 but its presence is not detectable under basal conditions [57,58,59]. In vitro experiments have shown that MCP-1 treatment increased p53 and p21 protein expression in NHKs through p38 MAPK signaling, suggesting that it might be involved in keratinocyte senescence [60]. Further animal studies proved that subcutaneous injection or epidermis-specific expression of MCP-1 induced neither spontaneous cutaneous inflammation nor did it result in tissue damage, but stimulated the recruitment of DCs and Langerhans cells into the epidermis [61,62]. Thus, it can be speculated that MCP-1 alone is inefficient to induce a local inflammatory response.
Resistin is a cysteine-rich protein that influences glucose homeostasis through the regulation of the suppressor of cytokine signaling 3 (SOCS-3) [63]. With low levels of expression, resistin can be detected in the cytoplasm of the outer root sheath and epidermal keratinocytes [64], however, little is known about its effect on these cells, as monocytes and macrophages appear to be its major source and target cells [65].
Retinol-binding protein (RBP) 4 mobilizes retinol (vitamin A) from the liver to target tissues where it is taken up through the transmembrane protein stimulated by retinoic acid 6 (STRA6) [66]. Although STRA6 is constitutively expressed in NHK and HaCaT keratinocytes and down-regulation of this receptor leads to hyperproliferation in vitro and in vivo skin models [67], the role of RBP4 in human keratinocytes is not fully known and clarified.
Apelin is an endogenous ligand of the GPR called APJ [16]. Although the expression of apelin in the epidermis has not been studied, transgenic overexpression of apelin in mouse keratinocytes resulted in enlarged blood vessels in the dermis which was mainly mediated by endothelial cell aggregation [68]. This is not surprising because APJ is structurally related to the angiotensin II receptor type 1, and one of its major functions is the regulation of angiogenesis [69].
Fetuin-A can be produced primarily by hepatocytes and adipocytes, but keratinocytes and fibroblasts were also proposed to secrete it [70,71]. Low levels of fetuin-A was detected in the epidermis and in primary human keratinocytes, mainly at the cell membrane and in the cytoplasm [71]. Although fetuin-A results in morphological changes in HaCaT and primary keratinocytes and significantly promotes the migration of these cells in an EGF receptor (EGFR)-independent manner, further studies are needed to clarify its role in the homeostasis of keratinocytes.
ZAG is involved in the regulation of obesity-associated inflammatory responses in hepatocytes [72]. Normal keratinocytes express ZAG which plays an important role in the terminal differentiation of these cells and thus in the cohesion of the stratum corneum [73].
Besides pro-inflammatory adipokines, anti-inflammatory adipokines are also found in the epidermis, although in smaller amounts. Adiponectin (ACRP, AdipoQ) is predominantly involved in the regulation of insulin sensitivity and whole body energy metabolism through its cell surface receptors (ADIPOR1 and 2) and via the AMP-activated protein kinase (AMPK) pathway [74]. Based on experiments performed in mouse models, disruption of both receptors abrogated adiponectin binding and action, but the two receptors affected different pathways with opposing effects [75]. As an anti-inflammatory adipokine, adiponectin is able to inhibit TLR-mediated NF-κB signaling, thereby abrogating lipopolysaccharide (LPS) induced TNF production and stimulating the release of IL-10 and IL-1 receptor antagonists (IL-1Ra) from human monocytes/macrophages [76,77,78]. In the human epidermis, adiponectin receptors are expressed mainly in the basal cell layer [79]. In NHK and HaCaT keratinocytes adiponectin is capable of enhancing cell proliferation, differentiation and migration, of increasing lipid contents via Sirtuin 1, and of inhibiting TNF-α and IL-6 secretion [80,81,82]. Furthermore, adiponectin down-regulates ultraviolet B (UVB) induced mRNA expression of hBD2 through the suppression of p38 and JNK MAPK signaling [83] and also acts on NHK filaggrin synthesis indicating that it may also be involved in skin diseases associated with disrupted barrier functions [84].
Omentin is also present in the epidermis of normal human skin, and its decreased protein expression has been described under pathological conditions, suggesting that omentin has an anti-inflammatory effect [85]. The evaluation of the role of omentin-1 with relevance to keratinocyte function requires further experiments.
The serpin protease inhibitor vaspin (SERPINA12) is also considered to be an anti-inflammatory adipokine. Keratinocytes are the major vaspin-expressing cells in the human skin [86]. Higher vaspin levels could be measured in differentiated keratinocytes, suggesting that its expression is associated with the maturation of these cells [87]. In co-cultures with immune cells, vaspin was able to modulate the crosstalk between keratinocytes and immune cells and attenuated the production of cytokines and chemokines of the inflammatory cells [87].
2.2. Fibroblasts
The most abundant cell types in the dermis are fibroblasts, which are the major source of extracellular matrix components (collagen, elastin, and fibronectin), thus playing a fundamental role in developing the proper structure and elasticity of the skin. Given the close ontogenic relationship between fibroblasts and adipocytes, it is not surprising that fibroblasts are also able to produce adipokines [88,89] (Figure 1).
mRNA and protein expression of leptin and its full-length receptor can be observed in human skin in vivo and in cultured fibroblasts [35,90]. In addition, leptin production is also detectable under basal conditions and can be induced by various stimuli [90,91]. Based on in vitro experiments, leptin has no effect on cell proliferation; however, it up-regulates hyaluronic acid production, reduces UV-induced TNF-α release and matrix metalloproteinase (MMP) expression [92].
Although adiponectin is not expressed at mRNA level in human dermal fibroblasts, its receptors are present in these cells and are up-regulated after UV irradiation and wounding suggesting that fibroblasts are potential adiponectin-responsive cells in the dermis [80,93,94]. In extracellular matrix regulation, adiponectin may exert a potent anti-fibrotic effect via AMPK signaling, while its impaired production is accompanied by abnormal fibroblast activation [95]. Moreover, exogenous adiponectin administration down-regulated the MMP expression and prevented UV-induced dermal matrix degradation via suppression of EGFR signaling in human foreskin fibroblasts [94].
Regarding chemoattractant proteins, although relatively high chemerin receptor expression can be observed in the dermis, chemerin itself is hardly detectable under normal conditions [14]. Its transcription and protein expression is however increased in senescent human dermal fibroblasts, enhancing the chemotaxis of tumor cells via activation of MAPK signaling [96]. Dermal fibroblasts also produce and secrete MCP-1, which is positively regulated by growth factors in both an auto- and a paracrine manner [15].
mRNA and protein expressions of apelin are also detectable in normal human fibroblasts, which can be reduced by transforming growth factor β (TGFβ) 1 stimulation. Vice versa, TGFβ1-induced fibrosis-related gene expression was inhibited by apelin treatment suggesting that apelin might have a potential role in blocking TGFβ1/Smad signaling under pathological conditions in dermal fibroblast [97].
High levels of fetuin-A were found throughout the dermal layers, with fibroblasts stained positive for fetuin-A; however, further details are needed to conclude on any of its possible biological relevance [71].
Progranulin was not detected at basal conditions in fibroblasts but its mRNA levels increased after injury [98].
2.3. Sebocytes
SGs together with the hair follicle (HF) form the pilosebaceous unit with a primary role to produce sebum to cover the hair and the skin [99]. However, studies confirmed that the role of sebocytes is not limited to the production of lipids, but may have inflammatory roles as well in which sebocytes may utilize adipokines [99,100,101] (Figure 1).
Intense leptin and leptin receptor expression was observed in the SGs under normal as well as pathological conditions [101,102]. Moreover, sebocytes were capable of increasing the secretion of leptin when activated with TLR2 and 4 activators [101]. Importantly, in response to leptin, sebocytes exerted pro-inflammatory responses such as enhanced inflammatory enzyme (5-lipoxygenase (5-LOX) and cyclooxygenase-2 (COX-2)) and cytokine production (IL-6 and IL-8) via the activation of the NF-κB and STAT3 pathways, in vitro [102]. Based on further in vitro and in vivo experiments, leptin is involved in a complex regulation of lipid production in mice sebocytes by inducing the diglyceride acyltransferase (DGAT)-regulated sebaceous lipogenesis, promoting the enlargement of the intracellular lipid bodies and increasing the ratios of the produced unsaturated/saturated fatty acids [102,103]. Activated mammalian target of rapamycin complex 1 (mTORC1) signaling, a master regulator of sebocyte differentiation, also enhances sebocyte-derived leptin production, while leptin further stimulates mTORC1 and sterol regulatory element binding protein 1 (SREBP1) expression, which may have an important role in the pathogenesis of SG-associated diseases [104].
Although immunohistochemical analysis revealed that in vivo SGs and in vitro SZ95 cells expressed resistin, visfatin, SERPINE1 and omentin-1, the role of these adipokines in the biology of SGs is not fully elucidated [64,85,101]. Resistin was predominantly localized in the basal cells of SGs—suggesting that it may play a role in the regulation of sebocyte proliferation and differentiation [64] —but with further studies needed to determine its role in SG physiology.
The high levels of visfatin and SERPINE1 in sebocytes, which were also further increased upon TLR stimulation, support that these adipokines could be involved in the pro-inflammatory potential of SGs and may contribute to a specific dermal milieu and to extracellular matrix remodeling under pathological conditions [101].
Adiponectin and its receptors are also expressed in SGs of normal human skin and primary sebocytes [79,101,105]. In addition to promoting proliferation, adiponectin efficiently activates the AMPK/Akt pathways, induces the expression of SREBP1 and significantly up-regulates the production of lipids such as cholesterols, triglycerides, wax esters and squalene in primary sebocytes [105]. Although SZ95 sebocytes were found to express adiponectin at the mRNA level under normal conditions—which was down-regulated by a TLR1/2 activator—its secretion was not detectable in the supernatants, calling for further studies to reveal the possible biological role for sebocyte derived adiponectin [101]. Omentin-1 was also found to be present in normal SGs by immunohistochemical analysis; however, its role in the SG biology was not examined in detail [85].
3. Adipokines in Physiological Processes in the Skin
3.1. Melanogenesis
Melanogenesis is a complex process under the regulation of signals from the endocrine, immune as well as the nervous system, leading to the production of the pigment melanin in the melanosomes of melanocytes [106]. Interestingly, studies have shown that certain adipokines are also able to influence directly or indirectly the process of melanogenesis (Figure 1).
In the hypothesis that obesity might be associated with the reduction of melanogenesis, leptin became a major candidate, by increasing the levels of melanocyte stimulating hormone (MSH) antagonists in the circulation, that may result in a lower activity of circulating MSH and melanocortin 1 receptor (MC1R) [107].
Adiponectin receptors were found to be expressed also in immortalized human and mouse melanocytes. In response to adiponectin, melanocytes decreased the production of melanin and expressed melanogenesis-associated genes at a lower levels via the AMPK/CREB-regulated transcription co-activators (CRTCs) pathway, suggesting that adiponectin is an anti-melanogenic factor [108]. As a biological relevance, in hyperpigmentary disorders such as melasma, the mRNA levels of adiponectin and its receptors were also down-regulated in the basal layer of the lesional skin of melasma patients compared to the non-lesional skin [108,109]. However, the serum levels of adiponectin, just as of leptin, were not significantly different between melasma and control patients [108].
ZAG was also found to act on both normal and malignant melanocytes by inhibiting the production of melanin through post-transcriptional effects on tyrosinase protein [110] and inhibiting the proliferation of melanocytes, which may even have therapeutic implications in diseases with hypopigmentation such as vitiligo [111,112].
3.2. Hair Growth
Both unwanted loss (i.e., various alopecia forms) as well as undesired overgrowth (i.e., hirsutism and hypertrichosis) of the hair can substantially impair the quality of life of patients. Hair growth disorders are usually caused by a disturbance of the strictly regulated life cycle of the HFs, i.e., the hair cycle [113]. This life-long cycling consists of growth (“anagen”), regressive (“catagen”), and quasi-quiescent (“telogen”) phases [114]. Obviously, both the hair cycle and the hair growth are under tight and quite complex neuroendocrine control [115,116,117], and, of great importance, adipokines were also shown to contribute to this regulation.
Indeed, by using immunohistochemistry, leptin expression was demonstrated in the hair matrix, in the inner root sheath, as well as in the dermal papilla (DP) fibroblasts of human HFs, while its receptor (long isoform) was only found to be expressed by DP fibroblasts [118]. Pro-inflammatory cytokines as well as the growth factors that are known to suppress hair growth significantly reduced the production of leptin, whereas those that support hair growth did not affect its production, highlighting the possibility that leptinergic signaling may be involved in the initiation and/or maintenance of the anagen phase of HFs [118]. In line with this concept, transition from the first telogen to the second postnatal anagen phase was found to be delayed in db/db (leptin receptor-deficient) mice. Moreover, via JAK2, STAT3 and ERK1 signaling, the local injection of recombinant leptin promoted hair regrowth after shaving, by stimulating telogen-to-anagen transition [119]. Careful analysis of the hair cycle-dependent expression of leptin revealed that it was expressed in DP fibroblasts and follicular epithelial cells of catagen and telogen HFs. Intriguingly, in early anagen, leptin expression could only be detected in DP fibroblasts, and no leptin expression was found in late anagen HFs of wild-type mice [119]. In line with these observations, leptin expression in human DP fibroblasts was stronger in the catagen than in early anagen phase, and chemically mimicked hypoxia also promoted leptin release of DP fibroblasts isolated from male scalp HFs [119]. Based on these findings, the authors speculated that the hypoxic stress that usually accompanies catagen and telogen might be one of the positive regulators of the leptin production of DP fibroblasts, and this hypoxia-driven local leptin release may later play a role in initiating telogen-to-anagen transition. Intriguingly, however, although administration of leptin increased the number of nestin+ progenitor cells via the STAT3 pathway in the mesenchyme of organ-cultured human skin, it failed to do so in the HF epithelium [120], indicating that leptin might be a necessary—but not sufficient—player in the ignition of the telogen-to-anagen transition. Considering that leptin mRNA expression in the dermal white adipose tissue (DWAT) of mice was the lowest in the early anagen, increased in the late anagen, and peaked in the telogen phase [121], one might speculate that DWAT-derived leptin may be involved in driving telogen-to-anagen transition.
Intriguingly, certain data point to the fascinating possibility that putative leptinergic communication between DWAT and HFs may even be bidirectional. Indeed, it has recently been shown that DWAT undergoes major morphological changes during the spontaneous and induced murine HF cycling. Specifically, the thickness of DWAT is the greatest in late anagen, and decreases in the catagen and telogen phases [122]. Considering that leptin is thought to suppress lipid accumulation of DWAT [123] and that, as mentioned above, follicular leptin production is high in the catagen, telogen, and early anagen, but low in the late anagen phase [119], one might speculate that HF-derived local leptin production may reduce lipid accumulation of dermal white adipocytes.
Intriguingly, although the above findings introduce leptin as a potent pro-anagen agent, certain data argue that the in vivo regulation might be more complex. Indeed, higher plasma leptin concentration was found to be associated with a higher risk of androgenetic alopecia (AGA) in men, and plasma leptin level was significantly higher in subjects with advanced AGA compared to subjects with mild AGA [124], suggesting that disturbed leptinergic signaling may play a role in the pathogenesis of the said disease. Moreover, leptin was found to suppress the growth of organ-cultured mouse vibrissa [121], signifying that the final effect of leptin on hair growth (i.e., promotion or suppression) may also depend on the anatomical location as well as on yet unknown other biological variables.
Importantly, leptin is not the sole hair-relevant adipokine. Indeed, adiponectin receptors were shown to be expressed in human HFs [79]. Moreover, adiponectin treatment promoted hair shaft elongation in microdissected human HFs ex vivo [79]. Similarly, SERPINE1 was also found to be a hair growth promoting adipokine. Indeed, it was shown to be expressed in HFs of female BALB/c mice [52]. Importantly, SERPINE1–/– mice were found to exhibit delayed hair growth as compared to wild-type littermates [125], highlighting the possibility that SERPINE1 may indeed be a potent auto- and paracrine pro-anagen regulator.
In contrast to adiponectin and SERPINE1, overexpression of progranulin in keratin 5 (K5)+ cells decreased hair growth as well as the diameter of the hair shaft in mice by activating the p38 MAPK pathway [126]. Although only scant data are available in the literature, the serum level of the pro-inflammatory visfatin was not significantly different in alopecia areata (AA) patients and healthy individuals, according to a case control study [127]. In contrast, serum level of LCN2 was found to be elevated in hidradenitis suppurativa (HS) patients and LCN2 was also found to be up-regulated in lesional skin of HS patients [47,128]. Intriguingly, follicular LCN2 expression is restricted to the inner root sheath, and it is thought to be a marker for dysregulated keratinocyte differentiation in the interfollicular epidermis, because it was not present in healthy human epidermis, but it became prominent in parakeratotic lesions (e.g., in psoriasis) [46].
3.3. Wound Healing
Based on experiments in leptin-deficient animal models, numerous studies have confirmed that as an autocrine/paracrine regulator, leptin has a role also in regulating wound healing. During the normal healing process, leptin was found to be expressed at the wound site. Furthermore, immunohistochemical staining revealed that Ob-Rb was strongly expressed in the highly proliferative keratinocytes at the wound margin [129]. Moreover, by activation of the STAT3 pathway, topically administered leptin promoted wound healing in mouse skin by accelerating keratinocyte function and enhancing angiogenesis around the wounded area [130,131], while injection of anti-leptin antibodies into skin wounds reduced fibroblast functions. These findings altogether suggested that leptin from the circulation as well as produced by keratinocytes and fibroblasts might be an important regulatory factor in wound healing [132]. This observation was further supported by fibroblasts cultured from db/db mice, which exhibited impaired cell migration, vascular endothelial growth factor (VEGF) production and a disrupted response to hypoxia [133].
According to in vitro and in vivo experiments, visfatin may also effectively improve wound healing by enhancing the proliferation and migration of keratinocytes and fibroblasts via ERK1/2 and JNK1/2 signaling as well as via the induction of VEGF expression through the MAPK pathway [40].
LCN2 expression was also found to be elevated at the wound edge both in animal and in human experiments, suggesting that together with transcription factor 3 (Tcf3) and transcription factor 7-like 1 (Tcf7l1), LCN2 may regulate epidermal cell differentiation, migration and may accelerate wound healing via STAT3 signaling [134,135]. During the course of a scratch wound closure, an up-regulation of SERPINE1 via mitogen-activated extracellular signal-regulated kinase (MEK)/ERK and p38 signaling could be detected suggesting that the activation of this protein is required for epithelial cell migration and the global cutaneous injury response program [136,137]. Although elevated MCP-1 protein expression could be detected in normal wound repair, this protein is not derived from keratinocytes, but rather from infiltrating immune cells at the site of inflammation, with a role yet to be clarified [138].
Adiponectin in human and mouse fibroblasts plays an important role in hyaluronic acid metabolism and collagen synthesis, which may have beneficial effects also in wound healing [139]. Moreover, in adiponectin-deficient mice, keratinocyte proliferation and migration were impaired via the ERK signaling pathway during wound repair, underpinning that adiponectin is an important regulatory factor in this process [80].
Progranulin has also been identified as a wound-related growth factor in the human skin, because its mRNA expression was highly induced in dermal fibroblasts after injury and promoted the division and migration in an ERK- and PI3K-dependent manner [98].
4. Adipokines in Skin Diseases
4.1. Psoriasis
In psoriasis, the dermal inflammation induces the hyperproliferation of keratinocytes, which leads to the appearance of its hallmark plaques on predilection sites such as elbows, knees, lower back and scalp but can be present throughout the whole body. Importantly, a growing body of evidence supports the concept that psoriasis is not limited to the skin, but that it is rather a systemic inflammation, linked to metabolic diseases [140,141,142]. Several studies are available examining the relationship between psoriasis and the plasma or the tissue expression levels of different adipokines, with no clear conclusions which may be explained with methodological differences or incomparable study populations regarding the severity of psoriasis and/or comorbidities of the patients.
While studies showed that the serum leptin levels were elevated in psoriatic patients with normal body mass index (BMI) and correlated with the psoriasis area and severity index (PASI) scores [143,144,145]—suggesting that the increased leptin concentrations in the serum might not only be derived from adipocytes but also from dermal cells—another study did not find a relationship between the circulating leptin concentrations and the PASI score [146]. Making the picture more complicated, another study showed that the levels of leptin were decreased in psoriasis [147]. Regarding histological studies, leptin and leptin receptor expression were significantly higher in the skin of severe psoriasis patients with normal BMI than in patients with mild-moderate psoriasis and controls [143]. However, in another study that found correlation between the BMI and leptin serum levels but not with the disease severity in obese psoriatic patients, there were no differences in the expression levels of leptin in the skin between the examined groups. Moreover, the epidermal layer of lesional psoriatic skin exhibited lower leptin receptor expression than the normal or the uninvolved skin [148]. Interestingly, leptin mRNA expression in the subcutaneous adipose tissue positively correlated with circulating levels of leptin, as well as with the severity of psoriasis and the BMI in obese psoriatic patients, which highlights that the subcutaneous adipose tissue (and its adipokines) may play an important regulatory role in the pathogenesis psoriasis [149].
Elevated levels of resistin were consistently observed in the circulation of psoriasis patients and positively correlated with the PASI score [145,148,150]. The serum level of progranulin was also increased in patients with psoriasis and its expression was elevated in the affected skin [151]. SERPINE1 expression was found to be higher in the biopsies of psoriatic patients’ skin, however the limited data allows only speculation on its role [152]. Although increased levels of visfatin were also observed in the psoriatic patients, it correlated with the BMI, but not with the disease severity [153,154]. Furthermore, a gene expression study showed that the expression of visfatin was increased in peripheral blood monomorphonuclear cells of patients with psoriasis [154]. Chemerin expression may also be associated with the psoriasis progression, because its lowest levels were observed in chronic plaque psoriatic skin [155]. While the circulating RBP levels were in the normal range both in uninvolved and lesional psoriatic skin, studies with fetuin-A are more contradictory; indeed, one study found elevated serum fetuin-A levels in psoriasis whereas others did not [156,157,158,159]. Unfortunately, only limited number of studies are available on ZAG, with one showing that its immunoreactivity exhibited higher intensity in the epidermal cell layers of psoriatic patients which might be responsible for the process of desquamation [73].
Regarding anti-inflammatory adipokines, serum adiponectin and omentin levels were significantly lower in psoriatic patients compared to healthy controls, and studies found a negative correlation with disease severity [147,150,160,161,162,163,164]. Notably, both adipokines showed lower mRNA and protein expressions in the skin of patients with psoriasis [85,165]. Interestingly, topical or systemic anti-psoriatic treatment was shown to increase adiponectin and omentin levels in the psoriatic patient group [150,161,166] suggesting that both adipokines may play a protective role in the development of psoriasis. Altered vaspin expression might also contribute to the maintenance of psoriasis, because its epidermal expression was also down-regulated in human lesional psoriatic skin [86,87]; however, studies reported both an unaltered as well as significantly lower serum vaspin concentrations in psoriatic patients [86,167].
The number and size of SGs are known to decrease in psoriasis [168]. Importantly, SGs were found to express leptin, resistin, visfatin and SERPINE1 in lesional skin samples of patients with psoriasis. This raises the possibility that alterations in the number amount of SGs as well as in their adipokine-release pattern might contribute to the pathogenesis of psoriasis. [101].
Single nucleotide polymorphisms (SNPs) are the most common type of genetic variations, which result from a substitution of a single nucleotide in a specific position of the genome. SNPs in pro- and anti-inflammatory adipokine genes encoding leptin, leptin receptor, adiponectin and omentin were addressed in psoriasis; however, (with the exception of one study of the rs7799039 polymorphism in the leptin gene), researchers found no correlation or increased risk of psoriasis vulgaris with these polymorphisms [85,164,169,170,171].
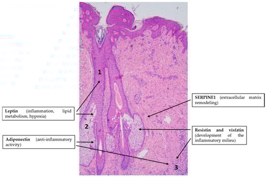
The putative role of adipokine signaling in the pathogenesis of psoriasis is overviewed in Figure 2.
Figure 2.
Adipokines might be involved in the pathogenesis of psoriasis vulgaris. Note the simplified characteristic histopathological findings in psoriasis skin: hyperproliferation of keratinocytes (1), elongation of the dermal papillae (2), dilated blood vessels (3) and immune cell infiltration in the dermis (4). Hematoxylin eosin staining; original magnification: 50×.
4.2. Atopic Dermatitis (AD)
AD is a common chronic inflammatory skin disease usually with an early onset. People with AD have a dry and itchy skin with inflammation [172].
Although there is a consensus that adipokines might have a potential role in the pathogenesis of AD, further prospective, controlled studies with larger cohorts of patients are needed to confirm whether the alterations in adipokine levels precedes or “only” accompanies the manifestation of AD.
Regarding leptin, studies showed that its serum levels were significantly elevated in children and adult patients with IgE-associated AD compared to healthy controls [173,174], whereas others found that the circulating leptin levels were decreased or had no statistically significant association in patients with AD [175,176,177].
In the case of resistin and LCN2 similar controversial observations are available. While elevated serum levels of resistin were reported in children with AD compared to healthy controls [178], studies with opposing results are also available [174,179]. Serum LCN2 levels were also significantly higher in patients with AD [180]; however, other studies reported its decreased concentrations [174,181].
ZAG, which might have a role in modulating the skin barrier functions and immune responses through influencing the Notch signaling, exhibited a reduced expression in both the serum and the skin of AD patients [182].
A decreased blood level of adiponectin has been found in AD [174,175], whereas no significant differences were detected in its serum levels when correlated with the SCORAD severity index score. Interestingly, the mean adiponectin levels in extrinsic AD were lower than in intrinsic AD [183].
In genetic studies, significant associations have been detected between the rs2167270 polymorphism of leptin gene (A19G) and the rs3745367 polymorphism of resistin gene (G > A) with the incidence and development of AD [184,185].
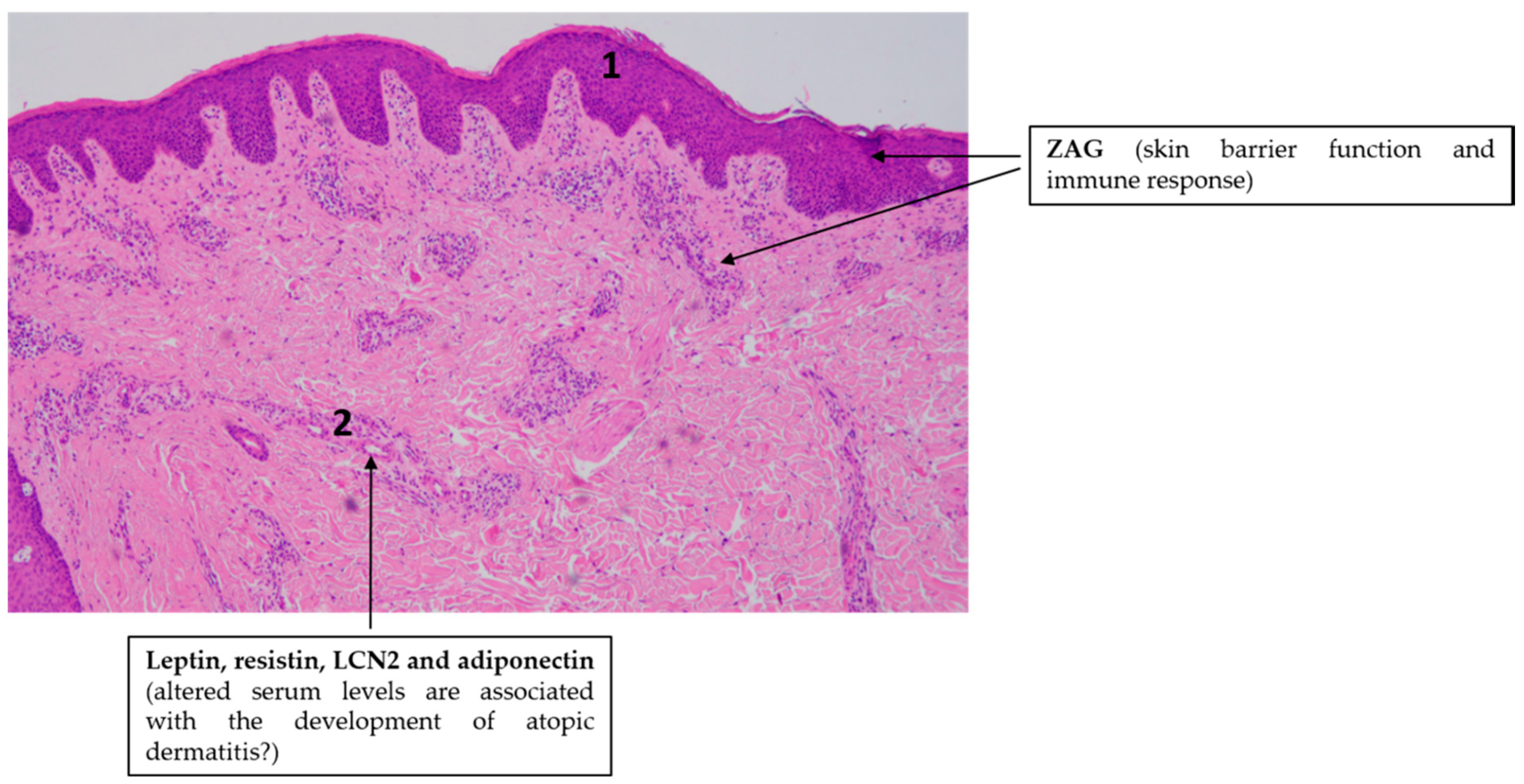
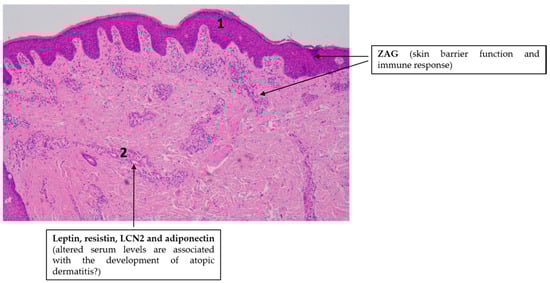
The putative role of adipokine signaling in the pathogenesis of AD is overviewed in Figure 3.
Figure 3.
Adipokines might be involved in the pathogenesis of atopic dermatitis. Note the simplified characteristic histopathological findings in AD skin: slight epidermal hyperplasia with impaired barrier function (1) and immune cell infiltration in the dermis (2). Hematoxylin eosin staining; original magnification: 50×.
4.3. Acne Vulgaris
Acne vulgaris is one of the most common inflammatory skin diseases, involving the pilosebaceous unit in SG rich areas of the body such as the face, the chest and the back [99]. Considering that sebocytes, similarly to adipocytes, are highly active in lipid metabolism, we previously performed a comprehensive analysis and revealed that SGs express a characteristic set of adipokines also in acne skin samples, and their secretion may be modulated by acne related pathogenic (TLR) and therapeutic (isotretinoin) stimuli. [101].
Among the adipokines, the effects of leptin has been studied the most. Acting in an autocrine manner, leptin may be involved in an increased lipid metabolism and pro-inflammatory cytokine/enzyme production by activating the STAT3 pathway as observed in human SZ95 sebocytes in vitro, which resembled the changes detected in the sebum of acne patients [102,186]. While through augmenting Th17/IL-17 signaling and enhancing the secretion of pro-inflammatory cytokines by immune cells, leptin may also be involved in generating the pathological immune-milieu characteristic for lesional acne skin [187,188,189,190]. Ductal hypoxia, occurring in the obstructed follicles, has been also linked to the development of acne and hypoxia-inducible factor 1-α (HIF-1α) was shown to promote leptin expression [91,191]. Because mTORC1 is a potential regulator of HIF-1α, activation of the mTORC1 pathway therefore could also alter the sebocyte-derived leptin production [104]. Interestingly, the findings that leptin and other factors from the “Western diet” may activate the mTORC1 pathway, which, in turn, further enhances leptin production, suggest a possible role for the leptin-mTORC1 axis to link nutrition with the development of acne [104,192].
Although linking the dysregulated adipokine function with acne vulgaris is an intriguing area, the available data on the serum levels can only be evaluated to a limited extent. The results are inconsistent and difficult to interpret or to compare also in the context of acne because: (1) small groups of patients were studied; (2) there are mostly insufficient data regarding acne severity; and (3) significant heterogeneity can be observed among the studies.
Although some papers demonstrated that there was no significant difference between circulating leptin, adiponectin, and RBP4 levels in patients with acne vulgaris, others found higher leptin and lower adiponectin serum concentrations [193,194,195,196]. Interestingly, isotretinoin (the most effective anti-acne agent) altered adiponectin levels and decreased leptin levels, which were significantly lower in the acne patients compared with the control group already at the basal levels [196,197].
In the available genetic studies, the resistin gene rs1862513 (+299G > A) and rs3745367 (−420C > G) polymorphisms were strongly associated with familial acne vulgaris and the severity of symptoms but not with the acne types [198,199]. Moreover, the omentin gene rs2274907 (Val109/Val109) polymorphism leading to protein dysfunction, increases the predisposition to acne vulgaris [200].
The putative role of adipokine signaling in the pathogenesis of acne is overviewed in Figure 4.
Figure 4.
Adipokines might be involved in the pathogenesis of acne vulgaris. Note the simplified characteristic histopathological findings in acne: ductal hyperkeratosis (1), altered sebum production by sebocytes (2) and immune cell infiltration in the dermis (3). Hematoxylin eosin staining; original magnification: 50×.
4.4. Rosacea
Rosacea is a chronic inflammatory skin disease with clinical features such as dry skin, teleangiectasias and papulopustular lesions primarily on the face, but it may have ocular manifestations as well. In its development, genetic and environmental factors such as colonization of Demodex folliculorum (D. folliculorum) are suggested to play roles [201]. Although pro-inflammatory cytokines and chemokines were addressed [202,203,204], little is known about how adipokines may be involved in the development and progression of rosacea. In an in vitro rosacea skin lesion model, in response to the antibacterial peptide LL-37 (cathelicidin) the production of MCP-1 was increased in HaCaT keratinocytes through the activation of JAK2/STAT3 signaling, suggesting that these pathways may play an important role in the inflammation caused by D. folliculorum [205]. Furthermore, in ex vivo skin models, as well as in NHK and HaCaT cells, anti-parasitic and anti-inflammatory agents (e.g., ivermectin or artemisinin) reduced the LL-37-induced activation of NF-κB signaling and the secretion of MCP-1 [206,207]. However, in a prospective, observational study, there were no differences in serum and tear MCP-1 levels between the rosacea patients with or without ocular involvement and the control groups [208]. As SERPINs are known to interact with kallikreins, which are important regulators of the immune barrier alteration and skin desquamation, they might be involved in modifying the physiological structures of the epidermis, which can lead to the typical clinical signs in rosacea [209,210,211]. Epidermal LCN2 levels were also significantly higher in papulopustular rosacea compared with controls and this expression level was strongly associated with the levels of permeability barrier structural components [212]. Leptin, adiponectin, resistin, SERPINE1 and visfatin were also detectable in the SGs of rosacea-involved skin, suggesting that through the secretion of these adipokines, SGs may contribute to the development of the characteristic inflammatory milieu in rosacea [101].
The putative role of adipokine signaling in the pathogenesis of rosacea is overviewed in Figure 5.
Figure 5.
Adipokines may be involved in the pathogenesis of rosacea. Note the simplified characteristic histopathological findings in rosacea: impaired barrier function (1), interfollicular inflammation in the dermis (2). Hematoxylin eosin staining; original magnification: 50×.
4.5. Malignant Melanoma
Melanoma is the most aggressive skin tumor. Its risk factors include (among others) genetic background, sun exposure, and skin type [213].
Although, a growing body of evidence suggests that obesity is also a risk factor for human melanoma incidence, the available data are controversial. Some studies found a positive association between obesity and the risk of melanoma, while others have not [214,215,216]. Thus, elucidation of the putative role of adipokines both from systemic as well as from local origin requires further studies.
Based on experiments performed by using genetically obese mice as well as mice suffering from diet-induced obesity, researchers found that adipokines might enhance the proliferation of melanoma cells and thus obesity could be considered as a tumor-promoting factor, whose presence may result in a poor prognosis of melanoma [217,218,219]. Indeed, melanoma progression was found to be partially decreased when the body weight was controlled by anti-obesity drugs or restriction of the calorie intake [219].
Leptin and its functional receptor was detected in human melanoma cell lines as well as in histological sections in melanomas. Moreover, the expression of Ob-Rb was increased in the WM793 and WM35 melanoma cell lines compared to normal melanocytes [220,221]. In line with this data, serum leptin levels correlated positively with melanoma risk; however, a reverse correlation was found in the case of tumor thickness and serum levels of leptin receptor [222,223]. In human WM793 and WM35 melanoma cell lines, leptin treatment activated the MAPK pathway and enhanced cell proliferation, suggesting that leptin may act as a melanoma growth factor, and may contribute to the uncontrolled proliferation of these cells [220]. Leptin treatment following the subcutaneous injection of melanoma cells into C57BL/6 mice resulted in larger tumor size, higher capillary density and increased plasma levels of VEGF, supporting that, as an angiogenic and mitogenic factor, leptin could promote melanoma growth [224]. Resistin, apelin and visfatin are also able to act on melanoma cells by enhancing the proliferation, accelerating the tumor growth and triggering the redox adaptation responses through an insulin receptor independent pathway [217,225,226]. Moreover, human MeWo and HMCB melanoma cells are able to produce visfatin, which can activate the MAPK, the AKT and the NF-κB pathways [227]. Providing further relevance for visfatin in the progression of melanoma, its elevated levels were found in the serum of patients with BRAF-mutated metastatic melanoma with decreasing concentrations in response to BRAF/MEK inhibitor therapy [228]. The decreased expression of chemerin in murine and human melanomas was associated with a poor prognosis, suggesting an impaired anti-tumor NK cell recruitment in the background, which can be observed in the tumor microenvironment, aggravating the disease [229,230]. SERPINE1 may be involved in the regulation of the invasion of malignant cells and the formation of metastasis with its effect on tissue matrix remodeling; thus, it may be considered as a poor prognostic biomarker in human melanomas [231].
The protective role of adiponectin in melanoma pathogenesis also calls for further investigations, as a remarkable but statistically non-significant reverse correlation of serum adiponectin levels were found in melanoma patients in a case-control study [232].
The putative role of adipokine signaling in the pathogenesis of melanoma is overviewed in Figure 6.
Figure 6.
Adipokines might be involved in the pathogenesis of malignant melanoma. Note the simplified characteristic histopathological findings in melanoma: invasion of the malignant cells (1), increased vascularization (2) and immune cell infiltration (3). Hematoxylin eosin staining; original magnification: 50×.
5. Conclusions
In this review, we attempted to summarize and highlight the complexity of the adipokines and their related signaling pathways in the skin, which may lead to proven and in some cases presumed changes in the function of various skin cell types. While adipokines, both as targets and tools, are potential candidates for therapies not only in obesity and metabolic diseases, but also in lipodystrophy, infertility and bone growth [233], there is still limited data on their possible application to treat skin diseases. Moreover, we need not only to understand their complex actions in the skin and with that the possible side effects, but their targeted delivery to the skin cells just as utilizing the mechanisms that could induce or inhibit their local expression/secretion should be revealed as well. In summary, it appears that our knowledge on the role of adipokines to regulate the (patho)physiological changes in the skin is still in an early phase, calling for further studies to reveal their biological relevance and to deliver adipokine-based therapeutic solutions.
Author Contributions
Conceptualization, D.K. and D.T.; writing—original draft preparation, D.K., F.F., A.O. and D.T.; writing—review and editing, D.K.; funding acquisition, D.T. and A.O. All authors have read and agreed to the published version of the manuscript.
Funding
This work was supported by the Hungarian National Research, Development and Innovation Office (FK-132296), the Ministry for Innovation and Technology and the Bolyai János Research Scholarship of the Hungarian Academy of Sciences to D.T., the GINOP-2.3.2-15-2016-00005 (D.K.) project and the Doctoral School of Health Sciences, University of Debrecen (F.F.). Preparation of this manuscript was also supported by the National Research, Development and Innovation Office (grant numbers: 134235, EFOP-3.6.3-VEKOP-16-2017-00009) to A.O.
Acknowledgments
The authors wish to thank Imre Veres M.D. from the University of Debrecen for providing us the histological images of the diseases presented in the figures.
Conflicts of Interest
A.O. provides consultancy services to Botanix Pharmaceuticals Ltd., a pharmaceutical company pioneering in the dermatological use of phytocannabinoids. Botanix Pharmaceuticals Ltd. or the above founding sponsors had no role in the writing of the manuscript, or in the decision to publish it. Thus, the authors declare no relevant conflict of interest.
Abbreviations
| 5-LOX | 5-lipoxygenase |
| AA | Alopecia areata |
| ACRP/AdipoQ | Adiponectin |
| AD | Atopic dermatitis |
| ADIPOR | Adiponectin receptor |
| AGA | Androgenetic alopecia |
| Akt | Protein kinase B |
| AMPK | AMP-activated protein kinase |
| APJ | Apelin receptor |
| BMI | Body mass index |
| BRAF | B-Raf proto-oncogene serine/threonine kinase |
| C/EBP | CCAAT/enhancer-binding protein |
| CCL2 | C-C motif ligand 2 |
| CMKLR1 | Chemerin chemokine-like receptor 1 |
| COX-2 | Cyclooxygenase-2 |
| CRTCs | CREB-regulated transcription co-activators |
| CXCL | (C-X-C motif) ligand |
| DC | Dendritic cell |
| DGAT | Diglyceride acyltransferase |
| DP | Dermal papilla |
| DMBPA/TPA | Dimethylbenz[a]anthracene/12-O tetradecanoylphorbol-13-acetate |
| DWAT | Dermal white adipose tissue |
| EGF | Epidermal growth factor |
| EGFR | Epidermal growth factor receptor |
| ERK | Extracellular signal-regulated kinases |
| GPR1 | G protein-coupled receptor 1 |
| hBD-2 | Human β-defensin-2 |
| HF | Hair follicle |
| HIF-1α | Hypoxia-inducible factor 1-α |
| HS | Hidradenitis suppurativa |
| IFN-γ | Interferon-γ |
| IL | Interleukin |
| JAK2 | Janus kinase 2 |
| JNK | c-Jun N-terminal kinase |
| LCN2 | Lipocalin2 |
| LPS | Lipopolysaccharide |
| MAPK | Mitogen-activated protein kinase |
| MC1R | Melanocortin 1 receptor |
| MCP-1 | Monocyte chemoattractant protein-1 |
| MEK | Mitogen-activated protein kinase kinase |
| MMP | Matrix metalloproteinase |
| MSH | Melanocyte stimulating hormone |
| mTORC1 | Mammalian target of rapamycin complex 1 |
| NAMPT | Nicotinamide phosphoribosyltransferase |
| NF-κB | Nuclear factor kappa-β |
| NGAL | Neutrophil gelatinase–associated lipocalin |
| NHK | Normal human keratinocyte |
| NK cell | Natural killer cell |
| Ob-Rb | Leptin receptor |
| PAI-1 | Plasminogen activator inhibitor type-1 |
| PASI | Psoriasis area and severity index |
| PBEF | Pre-B-cell colony-enhancing factor |
| PI3K | Phosphatidylinositol 3-kinas |
| RARRES2 | Retinoic acid receptor responder 2 |
| RBP | Retinol-binding protein |
| ROS | Reactive oxygen species |
| SCORAD | SCORing Atopic Dermatitis |
| SERPIN | Serine protease inhibitor |
| SG | Sebaceous gland |
| SNP | Single nucleotide polymorphism |
| SOCS-3 | Suppressor of cytokine signaling 3 |
| SREBP1 | Sterol regulatory element binding protein 1 |
| STAT3 | Signal transducer and activator of transcription factor 3 |
| STRA6 | Signaling receptor and transporter of retinol STRA6 |
| SZ95 | Human sebaceous gland cell line |
| Tcf | Transcription factor |
| TGFβ | Transforming growth factor β |
| Th | T helper cell |
| TIG2 | Tazarotene-induced gene 2 protein |
| TLR | Toll-like receptor |
| TNF-α | Tumor necrosis factor-α |
| UVB | Ultraviolet B |
| VEGF | Vascular endothelial growth factor; |
| WAT | White adipose tissue |
| ZAG | Zinc α2-Glycoprotein |
References
- Stolarczyk, E. Adipose tissue inflammation in obesity: A metabolic or immune response? Curr. Opin. Pharmacol. 2017, 37, 35–40. [Google Scholar] [CrossRef]
- Mittal, B. Subcutaneous adipose tissue & visceral adipose tissue. Indian J. Med. Res. 2019, 149, 571–573. [Google Scholar] [CrossRef] [PubMed]
- Ibrahim, M.M. Subcutaneous and visceral adipose tissue: Structural and functional differences. Obes. Rev. Off. J. Int. Assoc. Study Obes. 2010, 11, 11–18. [Google Scholar] [CrossRef] [PubMed]
- Fasshauer, M.; Bluher, M. Adipokines in health and disease. Trends Pharmacol. Sci. 2015, 36, 461–470. [Google Scholar] [CrossRef] [PubMed]
- Reilly, S.M.; Saltiel, A.R. Adapting to obesity with adipose tissue inflammation. Nat. Rev. Endocrinol. 2017, 13, 633–643. [Google Scholar] [CrossRef] [PubMed]
- Hotamisligil, G.S. Inflammation, metaflammation and immunometabolic disorders. Nature 2017, 542, 177–185. [Google Scholar] [CrossRef] [PubMed]
- Atawia, R.T.; Bunch, K.L.; Toque, H.A.; Caldwell, R.B.; Caldwell, R.W. Mechanisms of obesity-induced metabolic and vascular dysfunctions. Front. Biosci. (Landmark Ed.) 2019, 24, 890–934. [Google Scholar]
- Jialal, I.; Devaraj, S. Subcutaneous adipose tissue biology in metabolic syndrome. Horm. Mol. Biol. Clin. Investig. 2018, 33. [Google Scholar] [CrossRef]
- Burhans, M.S.; Hagman, D.K.; Kuzma, J.N.; Schmidt, K.A.; Kratz, M. Contribution of Adipose Tissue Inflammation to the Development of Type 2 Diabetes Mellitus. Compr. Physiol. 2018, 9, 1–58. [Google Scholar] [CrossRef]
- Giralt, M.; Cereijo, R.; Villarroya, F. Adipokines and the Endocrine Role of Adipose Tissues. Handb. Exp. Pharmacol. 2016, 233, 265–282. [Google Scholar] [CrossRef]
- Raucci, R.; Rusolo, F.; Sharma, A.; Colonna, G.; Castello, G.; Costantini, S. Functional and structural features of adipokine family. Cytokine 2013, 61, 1–14. [Google Scholar] [CrossRef] [PubMed]
- Gonçalves, N.; Falcão-Pires, I.; Leite-Moreira, A.F. Adipokines and their receptors: Potential new targets in cardiovascular diseases. Future Med. Chem. 2015, 7, 139–157. [Google Scholar] [CrossRef] [PubMed]
- Gorska, E.; Popko, K.; Stelmaszczyk-Emmel, A.; Ciepiela, O.; Kucharska, A.; Wasik, M. Leptin receptors. Eur. J. Med. Res. 2010, 15 (Suppl. 2), 50–54. [Google Scholar] [CrossRef] [PubMed]
- Banas, M.; Zegar, A.; Kwitniewski, M.; Zabieglo, K.; Marczynska, J.; Kapinska-Mrowiecka, M.; LaJevic, M.; Zabel, B.A.; Cichy, J. The expression and regulation of chemerin in the epidermis. PLoS ONE 2015, 10, e0117830. [Google Scholar] [CrossRef] [PubMed]
- Deshmane, S.L.; Kremlev, S.; Amini, S.; Sawaya, B.E. Monocyte chemoattractant protein-1 (MCP-1): An overview. J. Interferon Cytokine Res. Off. J. Int. Soc. Interferon Cytokine Res. 2009, 29, 313–326. [Google Scholar] [CrossRef] [PubMed]
- Wysocka, M.B.; Pietraszek-Gremplewicz, K.; Nowak, D. The Role of Apelin in Cardiovascular Diseases, Obesity and Cancer. Front. Physiol. 2018, 9, 557. [Google Scholar] [CrossRef] [PubMed]
- Park, H.K.; Kwak, M.K.; Kim, H.J.; Ahima, R.S. Linking resistin, inflammation, and cardiometabolic diseases. Korean J. Intern. Med. 2017, 32, 239–247. [Google Scholar] [CrossRef]
- Romacho, T.; Valencia, I.; Ramos-González, M.; Vallejo, S.; López-Esteban, M.; Lorenzo, O.; Cannata, P.; Romero, A.; San Hipólito-Luengo, A.; Gómez-Cerezo, J.F.; et al. Visfatin/eNampt induces endothelial dysfunction in vivo: A role for Toll-Like Receptor 4 and NLRP3 inflammasome. Sci. Rep. 2020, 10, 5386. [Google Scholar] [CrossRef]
- Trepanowski, J.F.; Mey, J.; Varady, K.A. Fetuin-A: A novel link between obesity and related complications. Int. J. Obes. 2015, 39, 734–741. [Google Scholar] [CrossRef]
- Tanabe, H.; Fujii, Y.; Okada-Iwabu, M.; Iwabu, M.; Nakamura, Y.; Hosaka, T.; Motoyama, K.; Ikeda, M.; Wakiyama, M.; Terada, T.; et al. Crystal structures of the human adiponectin receptors. Nature 2015, 520, 312–316. [Google Scholar] [CrossRef]
- Ceperuelo-Mallafre, V.; Ejarque, M.; Duran, X.; Pachon, G.; Vazquez-Carballo, A.; Roche, K.; Nunez-Roa, C.; Garrido-Sanchez, L.; Tinahones, F.J.; Vendrell, J.; et al. Zinc-alpha2-Glycoprotein Modulates AKT-Dependent Insulin Signaling in Human Adipocytes by Activation of the PP2A Phosphatase. PLoS ONE 2015, 10, e0129644. [Google Scholar] [CrossRef] [PubMed]
- Rahman, F.A.; Krause, M.P. PAI-1, the Plasminogen System, and Skeletal Muscle. Int. J. Mol. Sci. 2020, 21, 7066. [Google Scholar] [CrossRef] [PubMed]
- Langelueddecke, C.; Roussa, E.; Fenton, R.A.; Thévenod, F. Expression and function of the lipocalin-2 (24p3/NGAL) receptor in rodent and human intestinal epithelia. PLoS ONE 2013, 8, e71586. [Google Scholar] [CrossRef] [PubMed]
- Zhou, Y.; Zhang, B.; Hao, C.; Huang, X.; Li, X.; Huang, Y.; Luo, Z. Omentin-A Novel Adipokine in Respiratory Diseases. Int. J. Mol. Sci. 2017, 19, 73. [Google Scholar] [CrossRef]
- Zhang, Y.; Chua, S., Jr. Leptin Function and Regulation. Compr. Physiol. 2017, 8, 351–369. [Google Scholar] [CrossRef] [PubMed]
- Mancuso, P. The role of adipokines in chronic inflammation. Immunotargets Ther. 2016, 5, 47–56. [Google Scholar] [CrossRef]
- Francisco, V.; Pino, J.; Gonzalez-Gay, M.A.; Mera, A.; Lago, F.; Gómez, R.; Mobasheri, A.; Gualillo, O. Adipokines and inflammation: Is it a question of weight? Br. J. Pharmacol. 2018, 175, 1569–1579. [Google Scholar] [CrossRef]
- Wolk, K.; Sabat, R. Adipokines in psoriasis: An important link between skin inflammation and metabolic alterations. Rev. Endocr. Metab. Disord. 2016, 17, 305–317. [Google Scholar] [CrossRef]
- Lynch, M.; Ahern, T.; Sweeney, C.M.; Malara, A.; Tobin, A.M.; O’Shea, D.; Kirby, B. Adipokines, psoriasis, systemic inflammation, and endothelial dysfunction. Int. J. Dermatol. 2017, 56, 1103–1118. [Google Scholar] [CrossRef]
- Zhang, Y.; Proenca, R.; Maffei, M.; Barone, M.; Leopold, L.; Friedman, J.M. Positional cloning of the mouse obese gene and its human homologue. Nature 1994, 372, 425–432. [Google Scholar] [CrossRef]
- Pan, W.W.; Myers, M.G., Jr. Leptin and the maintenance of elevated body weight. Nat. Rev. Neurosci. 2018, 19, 95–105. [Google Scholar] [CrossRef] [PubMed]
- Triantafyllou, G.A.; Paschou, S.A.; Mantzoros, C.S. Leptin and Hormones: Energy Homeostasis. Endocrinol. Metab. Clin. 2016, 45, 633–645. [Google Scholar] [CrossRef] [PubMed]
- Tong, K.M.; Shieh, D.C.; Chen, C.P.; Tzeng, C.Y.; Wang, S.P.; Huang, K.C.; Chiu, Y.C.; Fong, Y.C.; Tang, C.H. Leptin induces IL-8 expression via leptin receptor, IRS-1, PI3K, Akt cascade and promotion of NF-kappaB/p300 binding in human synovial fibroblasts. Cell. Signal. 2008, 20, 1478–1488. [Google Scholar] [CrossRef]
- Palhinha, L.; Liechocki, S.; Hottz, E.D.; Pereira, J.; de Almeida, C.J.; Moraes-Vieira, P.M.M.; Bozza, P.T.; Maya-Monteiro, C.M. Leptin Induces Proadipogenic and Proinflammatory Signaling in Adipocytes. Front. Endocrinol. 2019, 10, 841. [Google Scholar] [CrossRef] [PubMed]
- Poeggeler, B.; Schulz, C.; Pappolla, M.A.; Bodó, E.; Tiede, S.; Lehnert, H.; Paus, R. Leptin and the skin: A new frontier. Exp. Dermatol. 2010, 19, 12–18. [Google Scholar] [CrossRef] [PubMed]
- Lee, M.; Lee, E.; Jin, S.H.; Ahn, S.; Kim, S.O.; Kim, J.; Choi, D.; Lim, K.M.; Lee, S.T.; Noh, M. Leptin regulates the pro-inflammatory response in human epidermal keratinocytes. Arch. Dermatol. Res. 2018, 310, 351–362. [Google Scholar] [CrossRef] [PubMed]
- Kanda, N.; Watanabe, S. Leptin enhances human beta-defensin-2 production in human keratinocytes. Endocrinology 2008, 149, 5189–5198. [Google Scholar] [CrossRef]
- Rico, L.; Del Rio, M.; Bravo, A.; Ramirez, A.; Jorcano, J.L.; Page, M.A.; Larcher, F. Targeted overexpression of leptin to keratinocytes in transgenic mice results in lack of skin phenotype but induction of early leptin resistance. Endocrinology 2005, 146, 4167–4176. [Google Scholar] [CrossRef][Green Version]
- Samal, B.; Sun, Y.; Stearns, G.; Xie, C.; Suggs, S.; McNiece, I. Cloning and characterization of the cDNA encoding a novel human pre-B-cell colony-enhancing factor. Mol. Cell Biol. 1994, 14, 1431–1437. [Google Scholar] [CrossRef]
- Lee, B.C.; Song, J.; Lee, A.; Cho, D.; Kim, T.S. Visfatin Promotes Wound Healing through the Activation of ERK1/2 and JNK1/2 Pathway. Int. J. Mol. Sci. 2018, 19, 3642. [Google Scholar] [CrossRef]
- Kanda, N.; Hau, C.S.; Tada, Y.; Tatsuta, A.; Sato, S.; Watanabe, S. Visfatin enhances CXCL8, CXCL10, and CCL20 production in human keratinocytes. Endocrinology 2011, 152, 3155–3164. [Google Scholar] [CrossRef] [PubMed]
- Hau, C.S.; Kanda, N.; Noda, S.; Tatsuta, A.; Kamata, M.; Shibata, S.; Asano, Y.; Sato, S.; Watanabe, S.; Tada, Y. Visfatin enhances the production of cathelicidin antimicrobial peptide, human beta-defensin-2, human beta-defensin-3, and S100A7 in human keratinocytes and their orthologs in murine imiquimod-induced psoriatic skin. Am. J. Pathol. 2013, 182, 1705–1717. [Google Scholar] [CrossRef] [PubMed]
- Managò, A.; Audrito, V.; Mazzola, F.; Sorci, L. Extracellular nicotinate phosphoribosyltransferase binds Toll like receptor 4 and mediates inflammation. Nat. Commun. 2019, 10, 4116. [Google Scholar] [CrossRef] [PubMed]
- Travelli, C.; Colombo, G.; Mola, S.; Genazzani, A.A.; Porta, C. NAMPT: A pleiotropic modulator of monocytes and macrophages. Pharm. Res. 2018, 135, 25–36. [Google Scholar] [CrossRef] [PubMed]
- La Manna, G.; Ghinatti, G.; Tazzari, P.L.; Alviano, F.; Ricci, F.; Capelli, I.; Cuna, V.; Todeschini, P.; Brunocilla, E.; Pagliaro, P.; et al. Neutrophil gelatinase-associated lipocalin increases HLA-G(+)/FoxP3(+) T-regulatory cell population in an in vitro model of PBMC. PLoS ONE 2014, 9, e89497. [Google Scholar] [CrossRef]
- Mallbris, L.; O’Brien, K.P.; Hulthén, A.; Sandstedt, B.; Cowland, J.B.; Borregaard, N.; Ståhle-Bäckdahl, M. Neutrophil gelatinase-associated lipocalin is a marker for dysregulated keratinocyte differentiation in human skin. Exp. Dermatol. 2002, 11, 584–591. [Google Scholar] [CrossRef]
- Wolk, K.; Wenzel, J.; Tsaousi, A.; Witte-Händel, E.; Babel, N.; Zelenak, C.; Volk, H.D.; Sterry, W.; Schneider-Burrus, S.; Sabat, R. Lipocalin-2 is expressed by activated granulocytes and keratinocytes in affected skin and reflects disease activity in acne inversa/hidradenitis suppurativa. Br. J. Dermatol. 2017, 177, 1385–1393. [Google Scholar] [CrossRef]
- Shao, S.; Cao, T.; Jin, L.; Li, B.; Fang, H.; Zhang, J.; Zhang, Y.; Hu, J.; Wang, G. Increased Lipocalin-2 Contributes to the Pathogenesis of Psoriasis by Modulating Neutrophil Chemotaxis and Cytokine Secretion. J. Investig. Dermatol. 2016, 136, 1418–1428. [Google Scholar] [CrossRef]
- Béke, G.; Dajnoki, Z.; Kapitány, A.; Gáspár, K.; Medgyesi, B.; Póliska, S.; Hendrik, Z.; Péter, Z.; Törőcsik, D.; Bíró, T.; et al. Immunotopographical Differences of Human Skin. Front. Immunol. 2018, 9, 424. [Google Scholar] [CrossRef]
- Flevaris, P.; Vaughan, D. The Role of Plasminogen Activator Inhibitor Type-1 in Fibrosis. Semin. Thromb. Hemost. 2017, 43, 169–177. [Google Scholar] [CrossRef]
- Rømer, J.; Lund, L.R.; Eriksen, J.; Ralfkiaer, E.; Zeheb, R.; Gelehrter, T.D.; Danø, K.; Kristensen, P. Differential expression of urokinase-type plasminogen activator and its type-1 inhibitor during healing of mouse skin wounds. J. Investig. Dermatol. 1991, 97, 803–811. [Google Scholar] [CrossRef] [PubMed]
- Lund, L.R.; Eriksen, J.; Ralfkiaer, E.; Rømer, J. Differential expression of urokinase-type plasminogen activator, its receptor, and inhibitors in mouse skin after exposure to a tumor-promoting phorbol ester. J. Investig. Dermatol. 1996, 106, 622–630. [Google Scholar] [CrossRef] [PubMed]
- Jacenik, D.; Fichna, J. Chemerin in immune response and gastrointestinal pathophysiology. Clin. Chim. Acta Int. J. Clin. Chem. 2020, 504, 146–153. [Google Scholar] [CrossRef] [PubMed]
- Wang, Y.; Huo, J.; Zhang, D.; Hu, G.; Zhang, Y. Chemerin/ChemR23 axis triggers an inflammatory response in keratinocytes through ROS-sirt1-NF-kappaB signaling. J. Cell. Biochem. 2019, 120, 6459–6470. [Google Scholar] [CrossRef] [PubMed]
- Dubois-Vedrenne, I.; De Henau, O.; Robert, V.; Langa, F.; Javary, J.; Al Delbany, D.; Vosters, O.; Angelats-Canals, E.; Vernimmen, M.; Luangsay, S.; et al. Expression of Bioactive Chemerin by Keratinocytes Inhibits Late Stages of Tumor Development in a Chemical Model of Skin Carcinogenesis. Front. Oncol. 2019, 9, 1253. [Google Scholar] [CrossRef] [PubMed]
- Guzik, T.J.; Skiba, D.S.; Touyz, R.M.; Harrison, D.G. The role of infiltrating immune cells in dysfunctional adipose tissue. Cardiovasc. Res. 2017, 113, 1009–1023. [Google Scholar] [CrossRef] [PubMed]
- Mai, W.; Lu, D.; Liu, X.; Chen, L. MCP-1 produced by keratinocytes is associated with leucocyte recruitment during elicitation of nickel-induced occupational allergic contact dermatitis. Toxicol. Ind. Health 2018, 34, 36–43. [Google Scholar] [CrossRef]
- Li, J.; Farthing, P.M.; Thornhill, M.H. Oral and skin keratinocytes are stimulated to secrete monocyte chemoattractant protein-1 by tumour necrosis factor-alpha and interferon-gamma. J. Oral Pathol. Med. Off. Publ. Int. Assoc. Oral Pathol. Am. Acad. Oral Pathol. 2000, 29, 438–444. [Google Scholar] [CrossRef]
- Giustizieri, M.L.; Mascia, F.; Frezzolini, A.; De Pità, O.; Chinni, L.M.; Giannetti, A.; Girolomoni, G.; Pastore, S. Keratinocytes from patients with atopic dermatitis and psoriasis show a distinct chemokine production profile in response to T cell-derived cytokines. J. Allergy Clin. Immunol. 2001, 107, 871–877. [Google Scholar] [CrossRef]
- Lee, W.J.; Jo, S.Y.; Lee, M.H.; Won, C.H.; Lee, M.W.; Choi, J.H.; Chang, S.E. The Effect of MCP-1/CCR2 on the Proliferation and Senescence of Epidermal Constituent Cells in Solar Lentigo. Int. J. Mol. Sci. 2016, 17, 948. [Google Scholar] [CrossRef]
- Yamashiro, S.; Takeya, M.; Kuratsu, J.; Ushio, Y.; Takahashi, K.; Yoshimura, T. Intradermal injection of monocyte chemoattractant protein-1 induces emigration and differentiation of blood monocytes in rat skin. Int. Arch. Allergy Immunol. 1998, 115, 15–23. [Google Scholar] [CrossRef]
- Nakamura, K.; Williams, I.R.; Kupper, T.S. Keratinocyte-derived monocyte chemoattractant protein 1 (MCP-1): Analysis in a transgenic model demonstrates MCP-1 can recruit dendritic and Langerhans cells to skin. J. Investig. Dermatol. 1995, 105, 635–643. [Google Scholar] [CrossRef]
- Huang, X.; Yang, Z. Resistin’s, obesity and insulin resistance: The continuing disconnect between rodents and humans. J. Endocrinol. Investig. 2016, 39, 607–615. [Google Scholar] [CrossRef] [PubMed]
- Harrison, W.J.; Bull, J.J.; Seltmann, H.; Zouboulis, C.C.; Philpott, M.P. Expression of lipogenic factors galectin-12, resistin, SREBP-1, and SCD in human sebaceous glands and cultured sebocytes. J. Investig. Dermatol. 2007, 127, 1309–1317. [Google Scholar] [CrossRef] [PubMed]
- Kumar, D.; Lee, B.; Puan, K.J.; Lee, W.; Luis, B.S.; Yusof, N.; Andiappan, A.K.; Del Rosario, R. Resistin expression in human monocytes is controlled by two linked promoter SNPs mediating NFKB p50/p50 binding and C-methylation. Sci. Rep. 2019, 9, 15245. [Google Scholar] [CrossRef]
- Kelly, M.; Widjaja-Adhi, M.A.; Palczewski, G.; von Lintig, J. Transport of vitamin A across blood-tissue barriers is facilitated by STRA6. FASEB J. Off. Publ. Fed. Am. Soc. Exp. Biol. 2016, 30, 2985–2995. [Google Scholar] [CrossRef]
- Skazik, C.; Amann, P.M.; Heise, R.; Marquardt, Y.; Czaja, K.; Kim, A.; Rühl, R.; Kurschat, P.; Merk, H.F.; Bickers, D.R.; et al. Downregulation of STRA6 expression in epidermal keratinocytes leads to hyperproliferation-associated differentiation in both in vitro and in vivo skin models. J. Investig. Dermatol. 2014, 134, 1579–1588. [Google Scholar] [CrossRef]
- Kidoya, H.; Naito, H.; Takakura, N. Apelin induces enlarged and nonleaky blood vessels for functional recovery from ischemia. Blood 2010, 115, 3166–3174. [Google Scholar] [CrossRef]
- Lv, S.Y.; Cui, B.; Chen, W.D.; Wang, Y.D. Apelin/APJ system: A key therapeutic target for liver disease. Oncotarget 2017, 8, 112145–112151. [Google Scholar] [CrossRef] [PubMed][Green Version]
- Lee, H.J.; Lim, Y.; Yang, S.J. Involvement of resveratrol in crosstalk between adipokine adiponectin and hepatokine fetuin-A in vivo and in vitro. J. Nutr. Biochem. 2015, 26, 1254–1260. [Google Scholar] [CrossRef]
- Wang, X.Q.; Hung, B.S.; Kempf, M.; Liu, P.Y.; Dalley, A.J.; Saunders, N.A.; Kimble, R.M. Fetuin-A promotes primary keratinocyte migration: Independent of epidermal growth factor receptor signalling. Exp. Dermatol. 2010, 19, e289–e292. [Google Scholar] [CrossRef] [PubMed]
- Xiao, X.H.; Wang, Y.D.; Qi, X.Y.; Wang, Y.Y.; Li, J.Y.; Li, H.; Zhang, P.Y.; Liao, H.L.; Li, M.H.; Liao, Z.Z.; et al. Zinc alpha2 glycoprotein protects against obesity-induced hepatic steatosis. Int. J. Obes. 2018, 42, 1418–1430. [Google Scholar] [CrossRef] [PubMed]
- Chen, S.H.; Arany, I.; Apisarnthanarax, N.; Rajaraman, S.; Tyring, S.K.; Horikoshi, T.; Brysk, H.; Brysk, M.M. Response of keratinocytes from normal and psoriatic epidermis to interferon-gamma differs in the expression of zinc-alpha(2)-glycoprotein and cathepsin D. FASEB J. Off. Publ. Fed. Am. Soc. Exp. Biol. 2000, 14, 565–571. [Google Scholar] [CrossRef]
- Wang, Z.V.; Scherer, P.E. Adiponectin, the past two decades. J. Mol. Cell Biol. 2016, 8, 93–100. [Google Scholar] [CrossRef]
- Bjursell, M.; Ahnmark, A.; Bohlooly, Y.M.; William-Olsson, L.; Rhedin, M.; Peng, X.R.; Ploj, K.; Gerdin, A.K.; Arnerup, G.; Elmgren, A.; et al. Opposing effects of adiponectin receptors 1 and 2 on energy metabolism. Diabetes 2007, 56, 583–593. [Google Scholar] [CrossRef]
- Ouchi, N.; Kihara, S.; Arita, Y.; Nishida, M.; Matsuyama, A.; Okamoto, Y.; Ishigami, M.; Kuriyama, H.; Kishida, K.; Nishizawa, H.; et al. Adipocyte-derived plasma protein, adiponectin, suppresses lipid accumulation and class A scavenger receptor expression in human monocyte-derived macrophages. Circulation 2001, 103, 1057–1063. [Google Scholar] [CrossRef] [PubMed]
- Yamaguchi, N.; Argueta, J.G.; Masuhiro, Y.; Kagishita, M.; Nonaka, K.; Saito, T.; Hanazawa, S.; Yamashita, Y. Adiponectin inhibits Toll-like receptor family-induced signaling. FEBS Lett. 2005, 579, 6821–6826. [Google Scholar] [CrossRef]
- Wolf, A.M.; Wolf, D.; Rumpold, H.; Enrich, B.; Tilg, H. Adiponectin induces the anti-inflammatory cytokines IL-10 and IL-1RA in human leukocytes. Biochem. Biophys. Res. Commun. 2004, 323, 630–635. [Google Scholar] [CrossRef]
- Won, C.H.; Yoo, H.G.; Park, K.Y.; Shin, S.H.; Park, W.S.; Park, P.J.; Chung, J.H.; Kwon, O.S.; Kim, K.H. Hair growth-promoting effects of adiponectin in vitro. J. Investig. Dermatol. 2012, 132, 2849–2851. [Google Scholar] [CrossRef]
- Shibata, S.; Tada, Y.; Asano, Y.; Hau, C.S.; Kato, T.; Saeki, H.; Yamauchi, T.; Kubota, N.; Kadowaki, T.; Sato, S. Adiponectin regulates cutaneous wound healing by promoting keratinocyte proliferation and migration via the ERK signaling pathway. J. Immunol. 2012, 189, 3231–3241. [Google Scholar] [CrossRef]
- Hong, S.P.; Seo, H.S.; Shin, K.O.; Park, K.; Park, B.C.; Kim, M.H.; Park, M.; Kim, C.D.; Seo, S.J. Adiponectin Enhances Human Keratinocyte Lipid Synthesis via SIRT1 and Nuclear Hormone Receptor Signaling. J. Investig. Dermatol. 2019, 139, 573–582. [Google Scholar] [CrossRef] [PubMed]
- Kawai, K.; Kageyama, A.; Tsumano, T.; Nishimoto, S.; Fukuda, K.; Yokoyama, S.; Oguma, T.; Fujita, K.; Yoshimoto, S.; Yanai, A.; et al. Effects of adiponectin on growth and differentiation of human keratinocytes--implication of impaired wound healing in diabetes. Biochem. Biophys. Res. Commun. 2008, 374, 269–273. [Google Scholar] [CrossRef] [PubMed]
- Kim, M.; Park, K.Y.; Lee, M.K.; Jin, T.; Seo, S.J. Adiponectin Suppresses UVB-Induced Premature Senescence and hBD2 Overexpression in Human Keratinocytes. PLoS ONE 2016, 11, e0161247. [Google Scholar] [CrossRef] [PubMed]
- Jin, T.; Park, K.Y.; Seo, S.J. Adiponectin Upregulates Filaggrin Expression via SIRT1-Mediated Signaling in Human Normal Keratinocytes. Ann. Dermatol. 2017, 29, 407–413. [Google Scholar] [CrossRef] [PubMed]
- Zhang, C.; Zhu, K.J.; Liu, J.L.; Xu, G.X.; Liu, W.; Jiang, F.X.; Zheng, H.F.; Quan, C. Omentin-1 plasma levels and omentin-1 expression are decreased in psoriatic lesions of psoriasis patients. Arch. Dermatol. Res. 2015, 307, 455–459. [Google Scholar] [CrossRef]
- Saalbach, A.; Vester, K.; Rall, K.; Tremel, J.; Anderegg, U.; Beck-Sickinger, A.G.; Blüher, M.; Simon, J.C. Vaspin--a link of obesity and psoriasis? Exp. Dermatol. 2012, 21, 309–312. [Google Scholar] [CrossRef]
- Saalbach, A.; Tremel, J.; Herbert, D.; Schwede, K.; Wandel, E.; Schirmer, C.; Anderegg, U.; Beck-Sickinger, A.G.; Heiker, J.T.; Schultz, S.; et al. Anti-Inflammatory Action of Keratinocyte-Derived Vaspin: Relevance for the Pathogenesis of Psoriasis. Am. J. Pathol. 2016, 186, 639–651. [Google Scholar] [CrossRef]
- Di Carlo, S.E.; Peduto, L. The perivascular origin of pathological fibroblasts. J. Clin. Investig. 2018, 128, 54–63. [Google Scholar] [CrossRef]
- Chen, J.H.; Goh, K.J.; Rocha, N.; Groeneveld, M.P. Evaluation of human dermal fibroblasts directly reprogrammed to adipocyte-like cells as a metabolic disease model. Dis. Models Mech. 2017, 10, 1411–1420. [Google Scholar] [CrossRef]
- Glasow, A.; Kiess, W.; Anderegg, U.; Berthold, A.; Bottner, A.; Kratzsch, J. Expression of leptin (Ob) and leptin receptor (Ob-R) in human fibroblasts: Regulation of leptin secretion by insulin. J. Clin. Endocrinol. Metab. 2001, 86, 4472–4479. [Google Scholar] [CrossRef]
- Ambrosini, G.; Nath, A.K.; Sierra-Honigmann, M.R.; Flores-Riveros, J. Transcriptional activation of the human leptin gene in response to hypoxia. Involvement of hypoxia-inducible factor 1. J. Biol. Chem. 2002, 277, 34601–34609. [Google Scholar] [CrossRef] [PubMed]
- Ezure, T.; Amano, S. Adiponectin and leptin up-regulate extracellular matrix production by dermal fibroblasts. Biofactors 2007, 31, 229–236. [Google Scholar] [CrossRef] [PubMed]
- Luo, L.; Li, J.; Liu, H.; Jian, X.; Zou, Q.; Zhao, Q.; Le, Q.; Chen, H.; Gao, X.; He, C. Adiponectin Is Involved in Connective Tissue Growth Factor-Induced Proliferation, Migration and Overproduction of the Extracellular Matrix in Keloid Fibroblasts. Int. J. Mol. Sci. 2017, 18, 1044. [Google Scholar] [CrossRef] [PubMed]
- Fang, C.L.; Huang, L.H.; Tsai, H.Y.; Chang, H.I. Dermal Lipogenesis Inhibits Adiponectin Production in Human Dermal Fibroblasts while Exogenous Adiponectin Administration Prevents against UVA-Induced Dermal Matrix Degradation in Human Skin. Int. J. Mol. Sci. 2016, 17, 1129. [Google Scholar] [CrossRef] [PubMed]
- Fang, F.; Liu, L.; Yang, Y.; Tamaki, Z.; Wei, J.; Marangoni, R.G.; Bhattacharyya, S.; Summer, R.S.; Ye, B.; Varga, J. The adipokine adiponectin has potent anti-fibrotic effects mediated via adenosine monophosphate-activated protein kinase: Novel target for fibrosis therapy. Arthritis Res. Ther. 2012, 14, R229. [Google Scholar] [CrossRef] [PubMed]
- Farsam, V.; Basu, A.; Gatzka, M.; Treiber, N.; Schneider, L.A.; Mulaw, M.A.; Lucas, T.; Kochanek, S.; Dummer, R.; Levesque, M.P.; et al. Senescent fibroblast-derived Chemerin promotes squamous cell carcinoma migration. Oncotarget 2016, 7, 83554–83569. [Google Scholar] [CrossRef] [PubMed]
- Yokoyama, Y.; Sekiguchi, A.; Fujiwara, C.; Uchiyama, A.; Uehara, A.; Ogino, S.; Torii, R.; Ishikawa, O.; Motegi, S.I. Inhibitory Regulation of Skin Fibrosis in Systemic Sclerosis by Apelin/APJ Signaling. Arthritis Rheumatol. 2018, 70, 1661–1672. [Google Scholar] [CrossRef]
- He, Z.; Ong, C.H.; Halper, J.; Bateman, A. Progranulin is a mediator of the wound response. Nat. Med. 2003, 9, 225–229. [Google Scholar] [CrossRef]
- Zouboulis, C.C.; Picardo, M.; Ju, Q.; Kurokawa, I.; Törőcsik, D.; Bíró, T.; Schneider, M.R. Beyond acne: Current aspects of sebaceous gland biology and function. Rev. Endocr. Metab. Disord. 2016, 17, 319–334. [Google Scholar] [CrossRef]
- Nagy, I.; Pivarcsi, A.; Kis, K.; Koreck, A.; Bodai, L.; McDowell, A.; Seltmann, H.; Patrick, S.; Zouboulis, C.C.; Kemény, L. Propionibacterium acnes and lipopolysaccharide induce the expression of antimicrobial peptides and proinflammatory cytokines/chemokines in human sebocytes. Microbes Infect. 2006, 8, 2195–2205. [Google Scholar] [CrossRef]
- Kovács, D.; Lovászi, M.; Póliska, S.; Oláh, A. Sebocytes differentially express and secrete adipokines. Exp. Dermatol. 2016, 25, 194–199. [Google Scholar] [CrossRef] [PubMed]
- Törőcsik, D.; Kovács, D.; Camera, E.; Lovászi, M.; Cseri, K.; Nagy, G.G.; Molinaro, R.; Rühl, R.; Tax, G.; Szabó, K.; et al. Leptin promotes a proinflammatory lipid profile and induces inflammatory pathways in human SZ95 sebocytes. Br. J. Dermatol. 2014, 171, 1326–1335. [Google Scholar] [CrossRef] [PubMed]
- Chen, H.C.; Smith, S.J.; Tow, B.; Elias, P.M.; Farese, R.V., Jr. Leptin modulates the effects of acyl CoA:diacylglycerol acyltransferase deficiency on murine fur and sebaceous glands. J. Clin. Investig. 2002, 109, 175–181. [Google Scholar] [CrossRef] [PubMed]
- Melnik, B.C. Is sebocyte-derived leptin the missing link between hyperseborrhea, ductal hypoxia, inflammation and comedogenesis in acne vulgaris? Exp. Dermatol. 2016, 25, 181–182. [Google Scholar] [CrossRef] [PubMed]
- Jung, Y.R.; Lee, J.H.; Sohn, K.C.; Lee, Y.; Seo, Y.J.; Kim, C.D.; Lee, J.H.; Hong, S.P.; Seo, S.J.; Kim, S.J.; et al. Adiponectin Signaling Regulates Lipid Production in Human Sebocytes. PLoS ONE 2017, 12, e0169824. [Google Scholar] [CrossRef]
- D’Mello, S.A.; Finlay, G.J.; Baguley, B.C.; Askarian-Amiri, M.E. Signaling Pathways in Melanogenesis. Int. J. Mol. Sci. 2016, 17, 1144. [Google Scholar] [CrossRef]
- Morpurgo, G.; Fioretti, B.; Catacuzzeno, L. The increased incidence of malignant melanoma in obese individuals is due to impaired melanogenesis and melanocyte DNA repair. Med. Hypotheses 2012, 78, 533–535. [Google Scholar] [CrossRef]
- Bang, S.; Won, K.H.; Moon, H.R.; Yoo, H.; Hong, A.; Song, Y. Novel regulation of melanogenesis by adiponectin via the AMPK/CRTC pathway. Pigment Cell Melanoma Res. 2017, 30, 553–557. [Google Scholar] [CrossRef]
- Chung, B.Y.; Noh, T.K.; Yang, S.H.; Kim, I.H.; Lee, M.W.; Yoon, T.J.; Chang, S.E. Gene expression profiling in melasma in Korean women. Dermatology 2014, 229, 333–342. [Google Scholar] [CrossRef]
- Hale, L.P. Zinc alpha-2-glycoprotein regulates melanin production by normal and malignant melanocytes. J. Investig. Dermatol. 2002, 119, 464–470. [Google Scholar] [CrossRef]
- Bagherani, N. The Newest Hypothesis about Vitiligo: Most of the Suggested Pathogeneses of Vitiligo Can Be Attributed to Lack of One Factor, Zinc-alpha2-Glycoprotein. ISRN Dermatol. 2012, 2012, 405268. [Google Scholar] [CrossRef] [PubMed]
- El-Rifaie, A.; Gohary, Y.M.; Abd-El Aziz, G.M.; Owies, F.O. Zinc-alpha2-Glycoprotein (ZAG): A New Deficiency in Vitiligo Patients. Skinmed 2019, 17, 248–253. [Google Scholar] [PubMed]
- Saxena, N.; Mok, K.W.; Rendl, M. An updated classification of hair follicle morphogenesis. Exp. Dermatol. 2019, 28, 332–344. [Google Scholar] [CrossRef] [PubMed]
- Oh, J.W.; Kloepper, J.; Langan, E.A.; Kim, Y.; Yeo, J.; Kim, M.J.; Hsi, T.C.; Rose, C.; Yoon, G.S.; Lee, S.J.; et al. A Guide to Studying Human Hair Follicle Cycling In Vivo. J. Investig. Dermatol. 2016, 136, 34–44. [Google Scholar] [CrossRef] [PubMed]
- Paus, R.; Langan, E.A.; Vidali, S.; Ramot, Y.; Andersen, B. Neuroendocrinology of the hair follicle: Principles and clinical perspectives. Trends Mol. Med. 2014, 20, 559–570. [Google Scholar] [CrossRef] [PubMed]
- Grymowicz, M.; Rudnicka, E. Hormonal Effects on Hair Follicles. Int. J. Mol. Sci. 2020, 21, 5342. [Google Scholar] [CrossRef] [PubMed]
- Tóth, K.F.; Ádám, D. Cannabinoid Signaling in the Skin: Therapeutic Potential of the “C(ut)annabinoid” System. Molecules 2019, 24, 918. [Google Scholar] [CrossRef]
- Iguchi, M.; Aiba, S.; Yoshino, Y.; Tagami, H. Human follicular papilla cells carry out nonadipose tissue production of leptin. J. Investig. Dermatol. 2001, 117, 1349–1356. [Google Scholar] [CrossRef]
- Sumikawa, Y.; Inui, S.; Nakajima, T.; Itami, S. Hair cycle control by leptin as a new anagen inducer. Exp. Dermatol. 2014, 23, 27–32. [Google Scholar] [CrossRef]
- Tiede, S.; Kloepper, J.E.; Ernst, N.; Poeggeler, B.; Kruse, C.; Paus, R. Nestin in human skin: Exclusive expression in intramesenchymal skin compartments and regulation by leptin. J. Investig. Dermatol. 2009, 129, 2711–2720. [Google Scholar] [CrossRef]
- Yang, C.C.; Sheu, H.M.; Chung, P.L.; Chang, C.H.; Tsai, Y.S.; Hughes, M.W.; Tuan, T.L.; Huang, L.L. Leptin of dermal adipose tissue is differentially expressed during the hair cycle and contributes to adipocyte-mediated growth inhibition of anagen-phase vibrissa hair. Exp. Dermatol. 2015, 24, 57–60. [Google Scholar] [CrossRef] [PubMed]
- Foster, A.R.; Nicu, C.; Schneider, M.R.; Hinde, E.; Paus, R. Dermal white adipose tissue undergoes major morphological changes during the spontaneous and induced murine hair follicle cycling: A reappraisal. Arch. Dermatol. Res. 2018, 310, 453–462. [Google Scholar] [CrossRef] [PubMed]
- Harris, R.B. Direct and indirect effects of leptin on adipocyte metabolism. Biochim. Biophys. Acta 2014, 1842, 414–423. [Google Scholar] [CrossRef]
- Yang, C.C.; Chung, P.L.; Lin, L.Y.; Hughes, M.W.; Tsai, Y.S. Higher plasma leptin is associated with higher risk of androgenetic alopecia in men. Exp. Dermatol. 2017, 26, 524–526. [Google Scholar] [CrossRef] [PubMed]
- Lyons-Giordano, B.; Lazarus, G.S. Skin abnormalities in mice transgenic for plasminogen activator inhibitor 1: Implications for the regulation of desquamation and follicular neogenesis by plasminogen activator enzymes. Dev. Biol. 1995, 170, 289–298. [Google Scholar] [CrossRef] [PubMed][Green Version]
- Kato, M.; Hasunuma, N.; Nakayama, R.; Takeda, J.; Itami, S.; Taira, M.; Manabe, M.; Osada, S. Progranulin, a secreted tumorigenesis and dementia-related factor, regulates mouse hair growth. J. Dermatol. Sci. 2009, 53, 234–236. [Google Scholar] [CrossRef]
- Incel-Uysal, P.; Akdogan, N.; Alli, N.; Oktem, A.; Candar, T.; Topcuoglu, C.; Turhan, T. Assessment of Metabolic Profile and Ischemia-modified Albumin Level in Patients with Alopecia Areata: A Case-Control Study. Indian J. Dermatol. 2019, 64, 12–18. [Google Scholar] [CrossRef]
- Narla, S.; Azzam, M.; Townsend, S.; Vellaichamy, G.; Marzano, A.V. Identifying key components and therapeutic targets of the immune system in hidradenitis suppurativa with an emphasis on neutrophils. Br. J. Dermatol. 2020. [Google Scholar] [CrossRef]
- Stallmeyer, B.; Kämpfer, H.; Podda, M.; Kaufmann, R.; Pfeilschifter, J.; Frank, S. A novel keratinocyte mitogen: Regulation of leptin and its functional receptor in skin repair. J. Investig. Dermatol. 2001, 117, 98–105. [Google Scholar] [CrossRef]
- Tadokoro, S.; Ide, S.; Tokuyama, R.; Umeki, H.; Tatehara, S.; Kataoka, S.; Satomura, K. Leptin promotes wound healing in the skin. PLoS ONE 2015, 10, e0121242. [Google Scholar] [CrossRef]
- Frank, S.; Stallmeyer, B.; Kämpfer, H.; Kolb, N.; Pfeilschifter, J. Leptin enhances wound re-epithelialization and constitutes a direct function of leptin in skin repair. J. Clin. Investig. 2000, 106, 501–509. [Google Scholar] [CrossRef] [PubMed]
- Murad, A.; Nath, A.K.; Cha, S.T.; Demir, E.; Flores-Riveros, J.; Sierra-Honigmann, M.R. Leptin is an autocrine/paracrine regulator of wound healing. FASEB J. Off. Publ. Fed. Am. Soc. Exp. Biol. 2003, 17, 1895–1897. [Google Scholar] [CrossRef] [PubMed]
- Lerman, O.Z.; Galiano, R.D.; Armour, M.; Levine, J.P.; Gurtner, G.C. Cellular dysfunction in the diabetic fibroblast: Impairment in migration, vascular endothelial growth factor production, and response to hypoxia. Am. J. Pathol. 2003, 162, 303–312. [Google Scholar] [CrossRef]
- Miao, Q.; Ku, A.T.; Nishino, Y.; Howard, J.M.; Rao, A.S.; Shaver, T.M.; Garcia, G.E.; Le, D.N.; Karlin, K.L.; Westbrook, T.F.; et al. Tcf3 promotes cell migration and wound repair through regulation of lipocalin 2. Nat. Commun. 2014, 5, 4088. [Google Scholar] [CrossRef]
- Xu, M.; Zhang, Y.; Cheng, H.; Liu, Y.; Zou, X.; Zhan, N.; Xiao, S.; Xia, Y. Transcription factor 7-like 1 dysregulates keratinocyte differentiation through upregulating lipocalin 2. Cell Death Discov. 2016, 2, 16028. [Google Scholar] [CrossRef]
- Fitsialos, G.; Chassot, A.A.; Turchi, L.; Dayem, M.A.; LeBrigand, K.; Moreilhon, C.; Meneguzzi, G.; Buscà, R.; Mari, B.; Barbry, P.; et al. Transcriptional signature of epidermal keratinocytes subjected to in vitro scratch wounding reveals selective roles for ERK1/2, p38, and phosphatidylinositol 3-kinase signaling pathways. J. Biol. Chem. 2007, 282, 15090–15102. [Google Scholar] [CrossRef]
- Providence, K.M.; Higgins, P.J. PAI-1 expression is required for epithelial cell migration in two distinct phases of in vitro wound repair. J. Cell. Physiol. 2004, 200, 297–308. [Google Scholar] [CrossRef]
- Dipietro, L.A.; Reintjes, M.G.; Low, Q.E.; Levi, B.; Gamelli, R.L. Modulation of macrophage recruitment into wounds by monocyte chemoattractant protein-1. Wound Repair Regen. Off. Publ. Wound Heal. Soc. Eur. Tissue Repair Soc. 2001, 9, 28–33. [Google Scholar] [CrossRef]
- Akazawa, Y.; Sayo, T.; Sugiyama, Y.; Sato, T.; Akimoto, N.; Ito, A.; Inoue, S. Adiponectin resides in mouse skin and upregulates hyaluronan synthesis in dermal fibroblasts. Connect. Tissue Res. 2011, 52, 322–328. [Google Scholar] [CrossRef]
- Herédi, E.; Csordás, A.; Clemens, M.; Adám, B.; Gáspár, K.; Törőcsik, D.; Nagy, G.; Adány, R.; Gaál, J.; Remenyik, E.; et al. The prevalence of obesity is increased in patients with late compared with early onset psoriasis. Ann. Epidemiol. 2013, 23, 688–692. [Google Scholar] [CrossRef]
- Wong, Y.; Nakamizo, S.; Tan, K.J.; Kabashima, K. An Update on the Role of Adipose Tissues in Psoriasis. Front. Immunol. 2019, 10, 1507. [Google Scholar] [CrossRef] [PubMed]
- Kong, Y.; Zhang, S.; Wu, R.; Su, X.; Peng, D.; Zhao, M.; Su, Y. New insights into different adipokines in linking the pathophysiology of obesity and psoriasis. Lipids Health Dis. 2019, 18, 171. [Google Scholar] [CrossRef] [PubMed]
- Cerman, A.A.; Bozkurt, S.; Sav, A.; Tulunay, A.; Elbaşi, M.O.; Ergun, T. Serum leptin levels, skin leptin and leptin receptor expression in psoriasis. Br. J. Dermatol. 2008, 159, 820–826. [Google Scholar] [CrossRef] [PubMed]
- Aly, D.G.; Abdallah, I.Y.; Hanafy, N.S.; Elsaie, M.L.; Hafiz, N.A. Elevated serum leptin levels in nonobese patients with psoriasis. J. Drugs Dermatol. JDD 2013, 12, e25-9. [Google Scholar]
- Kyriakou, A.; Patsatsi, A.; Sotiriadis, D.; Goulis, D.G. Serum Leptin, Resistin, and Adiponectin Concentrations in Psoriasis: A Meta-Analysis of Observational Studies. Dermatology 2017, 233, 378–389. [Google Scholar] [CrossRef]
- Wang, Y.; Chen, J.; Zhao, Y.; Geng, L.; Song, F.; Chen, H.D. Psoriasis is associated with increased levels of serum leptin. Br. J. Dermatol. 2008, 158, 1134–1135. [Google Scholar] [CrossRef]
- Baran, A.; Flisiak, I.; Jaroszewicz, J.; Świderska, M. Serum adiponectin and leptin levels in psoriatic patients according to topical treatment. J. Dermatol. Treat. 2015, 26, 134–138. [Google Scholar] [CrossRef]
- Johnston, A.; Arnadottir, S.; Gudjonsson, J.E.; Aphale, A.; Sigmarsdottir, A.A.; Gunnarsson, S.I.; Steinsson, J.T.; Elder, J.T.; Valdimarsson, H. Obesity in psoriasis: Leptin and resistin as mediators of cutaneous inflammation. Br. J. Dermatol. 2008, 159, 342–350. [Google Scholar] [CrossRef]
- Mitsuyama, S.; Abe, F.; Kimura, M.; Yoshida, M.; Higuchi, T. Association between leptin gene expression in subcutaneous adipose tissue and circulating leptin levels in obese patients with psoriasis. Arch. Dermatol. Res. 2015, 307, 539–544. [Google Scholar] [CrossRef]
- Takahashi, H.; Tsuji, H.; Honma, M.; Ishida-Yamamoto, A.; Iizuka, H. Increased plasma resistin and decreased omentin levels in Japanese patients with psoriasis. Arch. Dermatol. Res. 2013, 305, 113–116. [Google Scholar] [CrossRef]
- Huang, K.; Chen, A.; Zhang, X.; Song, Z.; Xu, H.; Cao, J.; Yin, Y. Progranulin is preferentially expressed in patients with psoriasis vulgaris and protects mice from psoriasis-like skin inflammation. Immunology 2015, 145, 279–287. [Google Scholar] [CrossRef] [PubMed]
- Rubina, K.A.; Sysoeva, V.Y.; Zagorujko, E.I.; Tsokolaeva, Z.I.; Kurdina, M.I.; Parfyonova, Y.V.; Tkachuk, V.A. Increased expression of uPA, uPAR, and PAI-1 in psoriatic skin and in basal cell carcinomas. Arch. Dermatol. Res. 2017, 309, 433–442. [Google Scholar] [CrossRef] [PubMed]
- Ismail, S.A.; Mohamed, S.A. Serum levels of visfatin and omentin-1 in patients with psoriasis and their relation to disease severity. Br. J. Dermatol. 2012, 167, 436–439. [Google Scholar] [CrossRef] [PubMed]
- Sereflican, B.; Goksugur, N.; Bugdayci, G.; Polat, M.; Haydar Parlak, A. Serum Visfatin, adiponectin, and tumor necrosis factor alpha (TNF-alpha) levels in patients with psoriasis and their correlation with disease severity. Acta Dermatovenerol. Croat. 2016, 24, 13–19. [Google Scholar]
- Albanesi, C.; Scarponi, C.; Pallotta, S.; Daniele, R.; Bosisio, D.; Madonna, S.; Fortugno, P.; Gonzalvo-Feo, S.; Franssen, J.D.; Parmentier, M.; et al. Chemerin expression marks early psoriatic skin lesions and correlates with plasmacytoid dendritic cell recruitment. J. Exp. Med. 2009, 206, 249–258. [Google Scholar] [CrossRef]
- Rollman, O.; Vahlquist, A. Psoriasis and vitamin A. Plasma transport and skin content of retinol, dehydroretinol and carotenoids in adult patients versus healthy controls. Arch. Dermatol. Res. 1985, 278, 17–24. [Google Scholar] [CrossRef]
- Uysal, S.; Yılmaz, F.M.; Karatoprak, K.; Artüz, F.; Cumbul, N.U. The levels of serum pentraxin3, CRP, fetuin-A, and insulin in patients with psoriasis. Eur. Rev. Med. Pharmacol. Sci. 2014, 18, 3453–3458. [Google Scholar]
- Gerdes, S.; Osadtschy, S.; Buhles, N.; Baurecht, H.; Mrowietz, U. Cardiovascular biomarkers in patients with psoriasis. Exp. Dermatol. 2014, 23, 322–325. [Google Scholar] [CrossRef]
- Uyar, B.; Akyildiz, M.; Solak, A.; Genc, B.; Saklamaz, A. Relationship Between Serum Fetuin-A Levels and Carotid Intima-media Thickness in Turkish Patients with Mild to Moderate Psoriasis. A Case-control Study. Acta Dermatovenerol. Croat. 2015, 23, 171–177. [Google Scholar]
- Li, R.C.; Krishnamoorthy, P.; DerOhannessian, S.; Doveikis, J.; Wilcox, M.; Thomas, P.; Rader, D.J.; Reilly, M.P.; Van Voorhees, A.; Gelfand, J.M.; et al. Psoriasis is associated with decreased plasma adiponectin levels independently of cardiometabolic risk factors. Clin. Exp. Dermatol. 2014, 39, 19–24. [Google Scholar] [CrossRef]
- Coimbra, S.; Oliveira, H.; Reis, F.; Belo, L.; Rocha, S.; Quintanilha, A.; Figueiredo, A.; Teixeira, F.; Castro, E.; Rocha-Pereira, P.; et al. Circulating adipokine levels in Portuguese patients with psoriasis vulgaris according to body mass index, severity and therapy. J. Eur. Acad. Dermatol. Venereol 2010, 24, 1386–1394. [Google Scholar] [CrossRef] [PubMed]
- Shibata, S.; Saeki, H.; Tada, Y.; Karakawa, M.; Komine, M.; Tamaki, K. Serum high molecular weight adiponectin levels are decreased in psoriasis patients. J. Dermatol. Sci. 2009, 55, 62–63. [Google Scholar] [CrossRef] [PubMed]
- Gerdes, S.; Pinter, A.; Biermann, M.; Papavassilis, C.; Reinhardt, M. Adiponectin levels in a large pooled plaque psoriasis study population. J. Dermatol. Treat. 2020, 31, 531–534. [Google Scholar] [CrossRef] [PubMed]
- Turan, H.; Yaykasli, K.O.; Soguktas, H.; Yaykasli, E.; Aliagaoglu, C.; Erdem, T.; Karkucak, M.; Kaya, E.; Ucgun, T.; Bahadir, A. Omentin serum levels and omentin gene Val109Asp polymorphism in patients with psoriasis. Int. J. Dermatol. 2014, 53, 601–605. [Google Scholar] [CrossRef] [PubMed]
- Shibata, S.; Tada, Y.; Hau, C.S.; Mitsui, A.; Kamata, M.; Asano, Y.; Sugaya, M.; Kadono, T.; Masamoto, Y.; Kurokawa, M.; et al. Adiponectin regulates psoriasiform skin inflammation by suppressing IL-17 production from gammadelta-T cells. Nat. Commun. 2015, 6, 7687. [Google Scholar] [CrossRef] [PubMed]
- Shibata, S.; Tada, Y.; Hau, C.; Tatsuta, A.; Yamamoto, M.; Kamata, M.; Karakawa, M.; Asano, Y.; Mitsui, H.; Sugaya, M.; et al. Adiponectin as an anti-inflammatory factor in the pathogenesis of psoriasis: Induction of elevated serum adiponectin levels following therapy. Br. J. Dermatol. 2011, 164, 667–670. [Google Scholar] [CrossRef] [PubMed]
- Ataseven, A.; Kesli, R. Novel inflammatory markers in psoriasis vulgaris: Vaspin, vascular adhesion protein-1 (VAP-1), and YKL-40. G. Ital. Dermatol. Venereol. Organo Uff. Soc. Ital. Dermatol. Sifilogr. 2016, 151, 244–250. [Google Scholar]
- Rittié, L.; Tejasvi, T.; Harms, P.W.; Xing, X.; Nair, R.P.; Gudjonsson, J.E.; Swindell, W.R.; Elder, J.T. Sebaceous Gland Atrophy in Psoriasis: An Explanation for Psoriatic Alopecia? J. Investig. Dermatol. 2016, 136, 1792–1800. [Google Scholar] [CrossRef]
- Karpouzis, A.; Tripsianis, G.; Gatzidou, E. Assessment of Leptin Gene Polymorphism rs2060713 in Psoriasis Vulgaris. Int. Sch. Res. Not. 2014, 2014, 845272. [Google Scholar] [CrossRef]
- Abdel Hay, R.M.; Rashed, L.A. Association between the leptin gene 2548G/A polymorphism, the plasma leptin and the metabolic syndrome with psoriasis. Exp. Dermatol. 2011, 20, 715–719. [Google Scholar] [CrossRef]
- Torres, T.; Bettencourt, N.; Ferreira, J.; Carvalho, C.; Mendonça, D.; Vasconcelos, C.; Selores, M.; Silva, B. Lack of association between leptin, leptin receptor, adiponectin gene polymorphisms and epicardial adipose tissue, abdominal visceral fat volume and atherosclerotic burden in psoriasis patients. Arch. Physiol. Biochem. 2015, 121, 103–108. [Google Scholar] [CrossRef] [PubMed]
- Werfel, T.; Allam, J.P.; Biedermann, T.; Eyerich, K.; Gilles, S.; Guttman-Yassky, E.; Hoetzenecker, W.; Knol, E.; Simon, H.U.; Wollenberg, A.; et al. Cellular and molecular immunologic mechanisms in patients with atopic dermatitis. J. Allergy Clin. Immunol. 2016, 138, 336–349. [Google Scholar] [CrossRef] [PubMed]
- Kimata, H. Elevated serum leptin in AEDS. Allergy 2002, 57, 179. [Google Scholar] [CrossRef]
- Jaworek, A.K.; Szepietowski, J.C. Adipokines as biomarkers of atopic dermatitis in adults. J. Clin. Med. 2020, 9, 2858. [Google Scholar] [CrossRef]
- Nagel, G.; Koenig, W.; Rapp, K.; Wabitsch, M.; Zoellner, I.; Weiland, S.K. Associations of adipokines with asthma, rhinoconjunctivitis, and eczema in German schoolchildren. Pediatr. Allergy Immunol. Off. Publ. Eur. Soc. Pediatr. Allergy Immunol. 2009, 20, 81–88. [Google Scholar] [CrossRef] [PubMed]
- Bostanci, I.; Atli, O.; Celebi, N.; Taşar, A.; Alpkarakoç, E.; Dallar, Y. Serum leptin level in children with atopic dermatitis-treated topical steroids. Pediatr. Allergy Immunol. Off. Publ. Eur. Soc. Pediatr. Allergy Immunol. 2004, 15, 267–269. [Google Scholar] [CrossRef] [PubMed]
- Balato, N.; Nino, M.; Patruno, C.; Matarese, G.; Ayala, F. “Eczemas” and leptin. Dermatitis 2011, 22, 320–323. [Google Scholar] [CrossRef]
- Machura, E.; Szczepanska, M.; Ziora, K.; Ziora, D.; Swietochowska, E.; Barc-Czarnecka, M.; Kasperska-Zajac, A. Evaluation of adipokines: Apelin, visfatin, and resistin in children with atopic dermatitis. Mediat. Inflamm. 2013, 2013, 760691. [Google Scholar] [CrossRef]
- Farag, A.G.A.; Hammam, M.A.; Khaled, H.N.; Soliman, S.; Tayel, N.R.; El-Shamendy, A.A.; Shehata, W.A. Resistin adipokin in atopic dermatitis patients: A clinical, biochemical, and genetic study. J. Cosmet. Dermatol. 2020. [Google Scholar] [CrossRef]
- Aizawa, N.; Ishiuji, Y.; Tominaga, M.; Sakata, S.; Takahashi, N.; Yanaba, K. Relationship between the Degrees of Itch and Serum Lipocalin-2 Levels in Patients with Psoriasis. J. Immunol. Res. 2019, 2019, 8171373. [Google Scholar] [CrossRef]
- Kamata, M.; Tada, Y.; Tatsuta, A.; Kawashima, T.; Shibata, S.; Mitsui, H.; Asano, Y.; Sugaya, M.; Kadono, T.; Kanda, N.; et al. Serum lipocalin-2 levels are increased in patients with psoriasis. Clin. Exp. Dermatol. 2012, 37, 296–299. [Google Scholar] [CrossRef] [PubMed]
- Noh, J.Y.; Shin, J.U.; Kim, J.H.; Kim, S.H.; Kim, B.M.; Kim, Y.H.; Park, S.; Kim, T.G.; Shin, K.O.; Park, K.; et al. ZAG Regulates the Skin Barrier and Immunity in Atopic Dermatitis. J. Investig. Dermatol. 2019, 139, 1648–1657.e1647. [Google Scholar] [CrossRef] [PubMed]
- Han, B.; Wu, W.H.; Bae, J.M.; Son, S.J.; Lee, J.H.; Han, T.Y. Serum leptin and adiponectin levels in atopic dermatitis (AD) and their relation to disease severity. J. Am. Acad. Dermatol. 2016, 75, 629–631. [Google Scholar] [CrossRef] [PubMed][Green Version]
- Banihani, S.A.; Elmadhoun, R.A.; Khabour, O.F.; Alzoubi, K.H. The rs2167270 polymorphism of leptin gene is associated with atopic dermatitis. Derm. Endocrinol. 2018, 10, e1454191. [Google Scholar] [CrossRef]
- Banihani, S.A.; Abu-Alia, K.F.; Khabour, O.F. Association between resistin gene polymorphisms and atopic dermatitis. Biomolecules 2018, 8, 17. [Google Scholar] [CrossRef]
- Zouboulis, C.C.; Jourdan, E.; Picardo, M. Acne is an inflammatory disease and alterations of sebum composition initiate acne lesions. J. Eur. Acad. Dermatol. Venereol 2014, 28, 527–532. [Google Scholar] [CrossRef]
- Pérez-Pérez, A.; Vilariño-García, T.; Fernández-Riejos, P.; Martín-González, J.; Segura-Egea, J.J.; Sánchez-Margalet, V. Role of leptin as a link between metabolism and the immune system. Cytokine Growth Factor Rev. 2017, 35, 71–84. [Google Scholar] [CrossRef]
- Ingham, E.; Eady, E.A.; Goodwin, C.E.; Cove, J.H.; Cunliffe, W.J. Pro-inflammatory levels of interleukin-1 alpha-like bioactivity are present in the majority of open comedones in acne vulgaris. J. Investig. Dermatol. 1992, 98, 895–901. [Google Scholar] [CrossRef]
- Reis, B.S.; Lee, K.; Fanok, M.H.; Mascaraque, C.; Amoury, M.; Cohn, L.B.; Rogoz, A.; Dallner, O.S.; Moraes-Vieira, P.M.; Domingos, A.I.; et al. Leptin receptor signaling in T cells is required for Th17 differentiation. J. Immunol. 2015, 194, 5253–5260. [Google Scholar] [CrossRef]
- Kelhälä, H.L.; Palatsi, R.; Fyhrquist, N.; Lehtimäki, S.; Väyrynen, J.P.; Kallioinen, M.; Kubin, M.E.; Greco, D.; Tasanen, K.; Alenius, H.; et al. IL-17/Th17 pathway is activated in acne lesions. PLoS ONE 2014, 9, e105238. [Google Scholar] [CrossRef]
- Danby, F.W. Ductal hypoxia in acne: Is it the missing link between comedogenesis and inflammation? J. Am. Acad. Dermatol. 2014, 70, 948–949. [Google Scholar] [CrossRef] [PubMed]
- Dodd, K.M.; Yang, J.; Shen, M.H.; Sampson, J.R.; Tee, A.R. mTORC1 drives HIF-1alpha and VEGF-A signalling via multiple mechanisms involving 4E-BP1, S6K1 and STAT3. Oncogene 2015, 34, 2239–2250. [Google Scholar] [CrossRef] [PubMed]
- Kaymak, Y.; Adisen, E.; Ilter, N.; Bideci, A.; Gurler, D.; Celik, B. Dietary glycemic index and glucose, insulin, insulin-like growth factor-I, insulin-like growth factor binding protein 3, and leptin levels in patients with acne. J. Am. Acad. Dermatol. 2007, 57, 819–823. [Google Scholar] [CrossRef] [PubMed]
- Chang, H.C.; Lin, M.H.; Huang, Y.C. Association between circulating adipokines and acne vulgaris: A systematic review and meta-analysis. Australas J. Dermatol. 2019, 60, e361–e364. [Google Scholar] [CrossRef] [PubMed]
- Çerman, A.A.; Aktaş, E.; Altunay, İ.K.; Arıcı, J.E.; Tulunay, A.; Ozturk, F.Y. Dietary glycemic factors, insulin resistance, and adiponectin levels in acne vulgaris. J. Am. Acad. Dermatol. 2016, 75, 155–162. [Google Scholar] [CrossRef]
- Aydin, K.; Çetinözman, F.; Elcin, G.; Aksoy, D.Y.; Ucar, F.; Yildiz, B.O. Suppressed Adiponectin Levels and Increased Adiponectin Response to Oral Glucose Load in Lean Women with Severe Acne Normalizes after Isotretinoin Treatment. Dermatology 2017, 233, 314–319. [Google Scholar] [CrossRef]
- Karadag, A.S.; Ertugrul, D.T.; Takci, Z.; Bilgili, S.G.; Namuslu, M.; Ata, N.; Sekeroglu, R. The effect of isotretinoin on retinol-binding protein 4, leptin, adiponectin and insulin resistance in acne vulgaris patients. Dermatology 2015, 230, 70–74. [Google Scholar] [CrossRef]
- Hussain, S.; Faraz, A.; Iqbal, T. The RETN gene rs1862513 polymorphism as a novel predisposing marker for familial Acne vulgaris in a Pakistani population. Iran. J. Basic Med. Sci. 2015, 18, 526–528. [Google Scholar]
- Younis, S.; Blumenberg, M.; Javed, Q. Resistin gene polymorphisms are associated with acne and serum lipid levels, providing a potential nexus between lipid metabolism and inflammation. Arch. Dermatol. Res. 2016, 308, 229–237. [Google Scholar] [CrossRef]
- Soguktas, H.; Yaykasli, K.O.; Turan, H.; Kaya, E.; Yaykasli, E. Omentin Val/Val genotype increases predisposition to acne vulgaris without changing omentin serum level. Cell. Mol. Biol. 2018, 64, 81–86. [Google Scholar] [CrossRef]
- Ahn, C.S.; Huang, W.W. Rosacea Pathogenesis. Dermatol. Clin. 2018, 36, 81–86. [Google Scholar] [CrossRef] [PubMed]
- Gerber, P.A.; Buhren, B.A.; Steinhoff, M.; Homey, B. Rosacea: The cytokine and chemokine network. J. Investig. Dermatology. Symp. Proc. 2011, 15, 40–47. [Google Scholar] [CrossRef] [PubMed]
- Rainer, B.M.; Kang, S.; Chien, A.L. Rosacea: Epidemiology, pathogenesis, and treatment. Derm. Endocrinol. 2017, 9, e1361574. [Google Scholar] [CrossRef] [PubMed]
- Amir Ali, A.; Vender, R.; Vender, R. The Role of IL-17 in Papulopustular Rosacea and Future Directions. J. Cutan. Med. Surg. 2019, 23, 635–641. [Google Scholar] [CrossRef] [PubMed]
- Li, T.; Zeng, Q.; Chen, X.; Wang, G.; Zhang, H.; Yu, A.; Wang, H.; Hu, Y. The therapeutic effect of artesunate on rosacea through the inhibition of the JAK/STAT signaling pathway. Mol. Med. Rep. 2018, 17, 8385–8390. [Google Scholar] [CrossRef]
- Thibaut de Ménonville, S.; Rosignoli, C.; Soares, E.; Roquet, M.; Bertino, B.; Chappuis, J.P.; Defoin-Platel/Chaussade, C.; Piwnica, D. Topical Treatment of Rosacea with Ivermectin Inhibits Gene Expression of Cathelicidin Innate Immune Mediators, LL-37 and KLK5, in Reconstructed and Ex Vivo Skin Models. Dermatol. Ther. 2017, 7, 213–225. [Google Scholar] [CrossRef]
- Yuan, X.; Li, J.; Li, Y.; Deng, Z.; Zhou, L.; Long, J.; Tang, Y.; Zuo, Z.; Zhang, Y.; Xie, H. Artemisinin, a potential option to inhibit inflammation and angiogenesis in rosacea. Biomed. Pharmacother. Biomed. Pharmacother. 2019, 117, 109181. [Google Scholar] [CrossRef]
- Topcu-Yilmaz, P.; Atakan, N.; Bozkurt, B.; Irkec, M.; Aban, D.; Mesci, L.; Tezcan, I. Determination of tear and serum inflammatory cytokines in patients with rosacea using multiplex bead technology. Ocul. Immunol. Inflamm. 2013, 21, 351–359. [Google Scholar] [CrossRef]
- Fischer, J.; Meyer-Hoffert, U. Regulation of kallikrein-related peptidases in the skin—From physiology to diseases to therapeutic options. Thromb. Haemost. 2013, 110, 442–449. [Google Scholar] [CrossRef]
- Di Paolo, C.T.; Diamandis, E.P.; Prassas, I. The role of kallikreins in inflammatory skin disorders and their potential as therapeutic targets. Crit. Rev. Clin. Lab. Sci. 2020, 1–16. [Google Scholar] [CrossRef]
- Meyer-Hoffert, U. Reddish, scaly, and itchy: How proteases and their inhibitors contribute to inflammatory skin diseases. Arch. Immunol. Ther. Exp. 2009, 57, 345–354. [Google Scholar] [CrossRef] [PubMed]
- Medgyesi, B.; Dajnoki, Z.; Béke, G.; Gáspár, K.; Szabó, I.L.; Janka, E.A.; Póliska, S.; Hendrik, Z.; Méhes, G.; Törőcsik, D.; et al. Rosacea Is Characterized by a Profoundly Diminished Skin Barrier. J. Investig. Dermatol. 2020, 140, 1938–1950.e1935. [Google Scholar] [CrossRef] [PubMed]
- Tímár, J.; Vizkeleti, L.; Doma, V.; Barbai, T.; Rásó, E. Genetic progression of malignant melanoma. Cancer Metastasis Rev. 2016, 35, 93–107. [Google Scholar] [CrossRef] [PubMed]
- Sergentanis, T.N.; Antoniadis, A.G.; Gogas, H.J.; Antonopoulos, C.N.; Adami, H.O.; Ekbom, A.; Petridou, E.T. Obesity and risk of malignant melanoma: A meta-analysis of cohort and case-control studies. Eur. J. Cancer 2013, 49, 642–657. [Google Scholar] [CrossRef] [PubMed]
- Renehan, A.G.; Tyson, M.; Egger, M.; Heller, R.F.; Zwahlen, M. Body-mass index and incidence of cancer: A systematic review and meta-analysis of prospective observational studies. Lancet 2008, 371, 569–578. [Google Scholar] [CrossRef]
- Præstegaard, C.; Kjær, S.K.; Christensen, J.; Tjønneland, A.; Halkjær, J.; Jensen, A. Obesity and risks for malignant melanoma and non-melanoma skin cancer: Results from a large Danish prospective cohort study. J. Investig. Dermatol. 2015, 135, 901–904. [Google Scholar] [CrossRef] [PubMed]
- Malvi, P.; Chaube, B.; Singh, S.V.; Mohammad, N.; Vijayakumar, M.V.; Singh, S.; Chouhan, S.; Bhat, M.K. Elevated circulatory levels of leptin and resistin impair therapeutic efficacy of dacarbazine in melanoma under obese state. Cancer Metab. 2018, 6, 2. [Google Scholar] [CrossRef]
- Brandon, E.L.; Gu, J.W.; Cantwell, L.; He, Z.; Wallace, G.; Hall, J.E. Obesity promotes melanoma tumor growth: Role of leptin. Cancer Biol. Ther. 2009, 8, 1871–1879. [Google Scholar] [CrossRef]
- Malvi, P.; Chaube, B.; Pandey, V.; Vijayakumar, M.V.; Boreddy, P.R.; Mohammad, N.; Singh, S.V.; Bhat, M.K. Obesity induced rapid melanoma progression is reversed by orlistat treatment and dietary intervention: Role of adipokines. Mol. Oncol. 2015, 9, 689–703. [Google Scholar] [CrossRef]
- Ellerhorst, J.A.; Diwan, A.H.; Dang, S.M.; Uffort, D.G.; Johnson, M.K.; Cooke, C.P.; Grimm, E.A. Promotion of melanoma growth by the metabolic hormone leptin. Oncol. Rep. 2010, 23, 901–907. [Google Scholar] [CrossRef]
- Chi, M.; Chen, J.; Ye, Y.; Tseng, H.Y.; Lai, F.; Tay, K.H.; Jin, L.; Guo, S.T.; Jiang, C.C.; Zhang, X.D. Adipocytes contribute to resistance of human melanoma cells to chemotherapy and targeted therapy. Curr. Med. Chem. 2014, 21, 1255–1267. [Google Scholar] [CrossRef] [PubMed]
- Gogas, H.; Trakatelli, M.; Dessypris, N.; Terzidis, A.; Katsambas, A.; Chrousos, G.P.; Petridou, E.T. Melanoma risk in association with serum leptin levels and lifestyle parameters: A case-control study. Ann. Oncol. Off. J. Eur. Soc. Med. Oncol. 2008, 19, 384–389. [Google Scholar] [CrossRef] [PubMed]
- Mizutani, H.; Fukushima, S.; Masuguchi, S.; Yamashita, J.; Miyashita, A.; Nakahara, S.; Aoi, J.; Inoue, Y.; Jinnin, M.; Ihn, H. Serum levels of leptin receptor in patients with malignant melanoma as a new tumor marker. Exp. Dermatol. 2013, 22, 748–749. [Google Scholar] [CrossRef] [PubMed]
- Amjadi, F.; Mehdipoor, R.; Zarkesh-Esfahani, H.; Javanmard, S.H. Leptin serves as angiogenic/mitogenic factor in melanoma tumor growth. Adv. Biomed. Res. 2016, 5, 127. [Google Scholar] [CrossRef]
- Berta, J.; Hoda, M.A.; Laszlo, V.; Rozsas, A.; Garay, T.; Torok, S.; Grusch, M.; Berger, W.; Paku, S.; Renyi-Vamos, F.; et al. Apelin promotes lymphangiogenesis and lymph node metastasis. Oncotarget 2014, 5, 4426–4437. [Google Scholar] [CrossRef] [PubMed]
- Bułdak, R.J.; Bułdak, Ł.; Polaniak, R.; Kukla, M.; Birkner, E.; Kubina, R.; Kabała-Dzik, A.; Duława-Bułdak, A.; Żwirska-Korczala, K. Visfatin affects redox adaptative responses and proliferation in Me45 human malignant melanoma cells: An in vitro study. Oncol. Rep. 2013, 29, 771–778. [Google Scholar] [CrossRef]
- Grolla, A.A.; Torretta, S.; Gnemmi, I.; Amoruso, A.; Orsomando, G.; Gatti, M.; Caldarelli, A.; Lim, D.; Penengo, L.; Brunelleschi, S.; et al. Nicotinamide phosphoribosyltransferase (NAMPT/PBEF/visfatin) is a tumoural cytokine released from melanoma. Pigment. Cell Melanoma Res. 2015, 28, 718–729. [Google Scholar] [CrossRef]
- Audrito, V.; Managò, A.; Zamporlini, F.; Rulli, E.; Gaudino, F.; Madonna, G.; D’Atri, S.; Antonini Cappellini, G.C.; Ascierto, P.A.; Massi, D.; et al. Extracellular nicotinamide phosphoribosyltransferase (eNAMPT) is a novel marker for patients with BRAF-mutated metastatic melanoma. Oncotarget 2018, 9, 18997–19005. [Google Scholar] [CrossRef]
- Pachynski, R.K.; Zabel, B.A.; Kohrt, H.E.; Tejeda, N.M.; Monnier, J.; Swanson, C.D.; Holzer, A.K.; Gentles, A.J.; Sperinde, G.V.; Edalati, A.; et al. The chemoattractant chemerin suppresses melanoma by recruiting natural killer cell antitumor defenses. J. Exp. Med. 2012, 209, 1427–1435. [Google Scholar] [CrossRef]
- Song, Y.; Yin, W.; Dan, Y.; Sheng, J.; Zeng, Y.; He, R. Chemerin partly mediates tumor-inhibitory effect of all-trans retinoic acid via CMKLR1-dependent natural killer cell recruitment. Immunology 2019, 157, 248–256. [Google Scholar] [CrossRef]
- Klein, R.M.; Bernstein, D.; Higgins, S.P.; Higgins, C.E.; Higgins, P.J. SERPINE1 expression discriminates site-specific metastasis in human melanoma. Exp. Dermatol. 2012, 21, 551–554. [Google Scholar] [CrossRef] [PubMed]
- Mantzoros, C.S.; Trakatelli, M.; Gogas, H.; Dessypris, N.; Stratigos, A.; Chrousos, G.P.; Petridou, E.T. Circulating adiponectin levels in relation to melanoma: A case-control study. Eur. J. Cancer 2007, 43, 1430–1436. [Google Scholar] [CrossRef] [PubMed]
- Blüher, M. Adipokines—Removing road blocks to obesity and diabetes therapy. Mol. Metab. 2014, 3, 230–240. [Google Scholar] [CrossRef] [PubMed]
Publisher’s Note: MDPI stays neutral with regard to jurisdictional claims in published maps and institutional affiliations. |
© 2020 by the authors. Licensee MDPI, Basel, Switzerland. This article is an open access article distributed under the terms and conditions of the Creative Commons Attribution (CC BY) license (http://creativecommons.org/licenses/by/4.0/).





