Cell Wall Anchoring of a Bacterial Chitosanase in Lactobacillus plantarum Using a Food-Grade Expression System and Two Versions of an LP × TG Anchor
Abstract
1. Introduction
2. Results
2.1. Expression of Chitosanase (CsnA) in L. plantarum
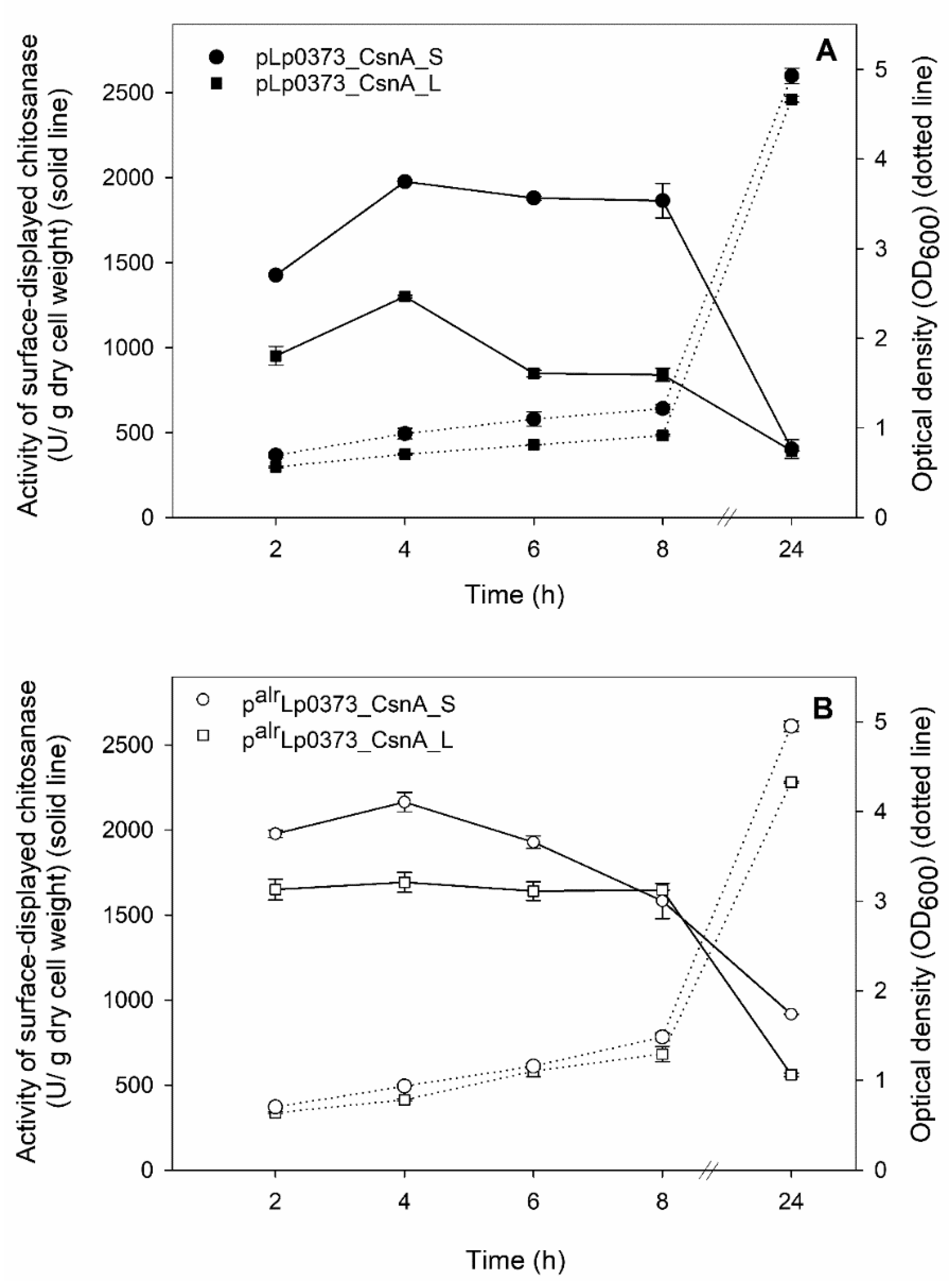
2.2. Enzymatic Activity of CsnA-Displaying Cells
2.3. Surface Localization of CsnA in L. plantarum and the Stability of CsnA-Displaying Cells
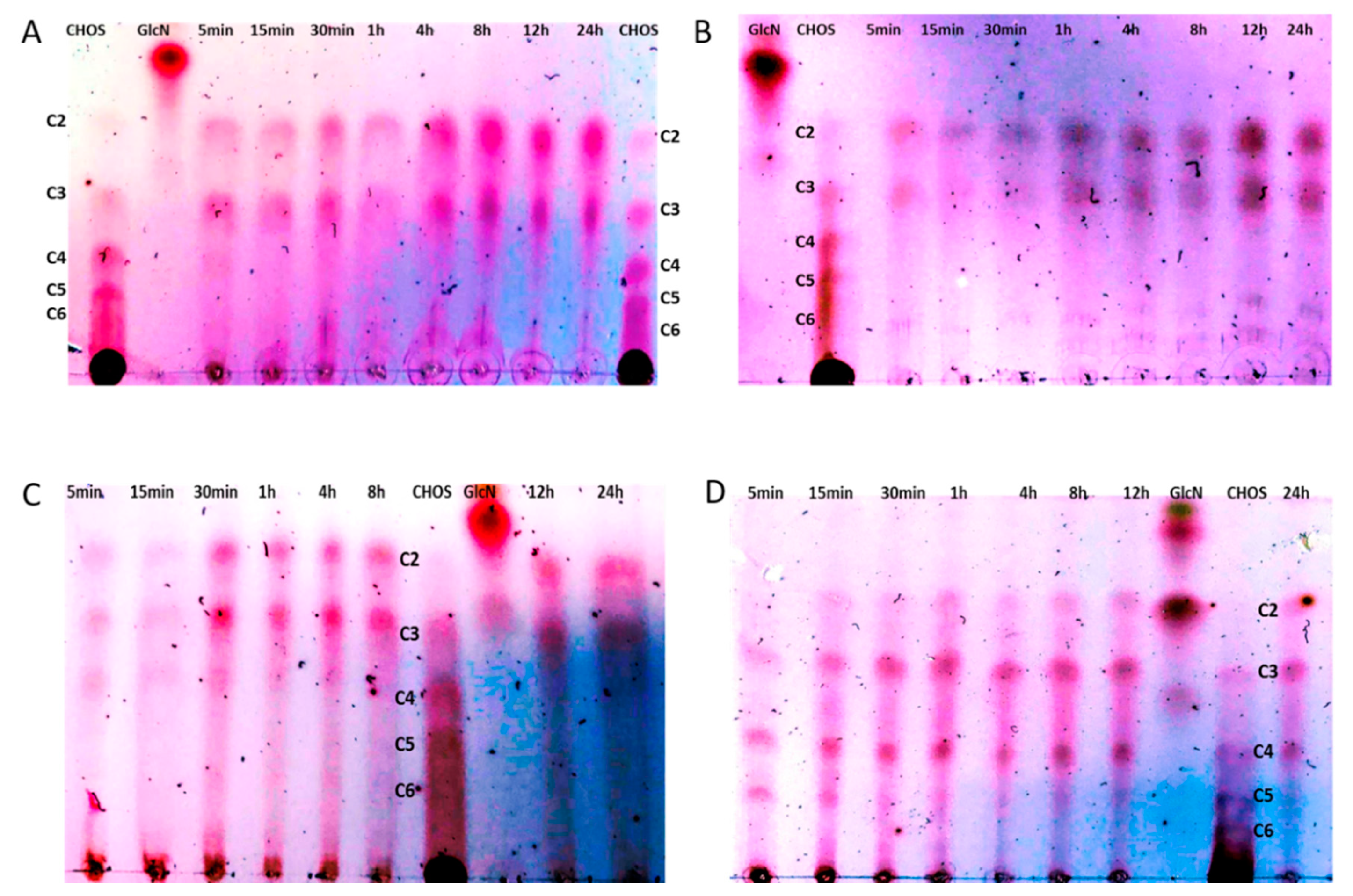
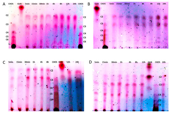
2.4. Chitosan Conversion and Products Analysis by Thin Layer Chromatography (TLC)
3. Discussion
4. Materials and Methods
4.1. Bacterial Strains and Chemicals
4.2. DNA Manipulation
4.3. Plasmid Construction
4.4. Gene Expression in L. plantarum
4.5. Enzymatic Activity Measurement
4.6. Western Blotting
4.7. Flow Cytometry Analysis
4.8. Indirect Immunofluorescence Microscopy Analysis
4.9. Catalytic Stability and Thermal Stability of Chitosanase Displaying Cells
4.10. Chitosan Conversion
4.11. Thin Layer Chromatography (TLC) Analysis
4.12. Statistical Analysis
5. Conclusions
Author Contributions
Funding
Acknowledgments
Conflicts of Interest
References
- Khoushab, F.; Yamabhai, M. Chitin research revisited. Mar. Drugs 2010, 8, 1988–2012. [Google Scholar] [CrossRef] [PubMed]
- Gooday, G.W. The ecology of chitin degradation. In Advances in Microbial Ecology; Marshall, K.C., Ed.; Springer: Boston, MA, USA, 1990; Volume 11, pp. 387–430. [Google Scholar] [CrossRef]
- Aam, B.B.; Heggset, E.B.; Norberg, A.L.; Sørlie, M.; Vårum, K.M.; Eijsink, V.G.H. Production of chitooligosaccharides and their potential applications in medicine. Mar. Drugs 2010, 8, 1482–1517. [Google Scholar] [CrossRef] [PubMed]
- Hoell, I.A.; Vaaje-Kolstad, G.; Eijsink, V.G.H. Structure and function of enzymes acting on chitin and chitosan. Biotechnol. Genet. Eng. Rev. 2010, 27, 331–366. [Google Scholar] [CrossRef] [PubMed]
- Pechsrichuang, P.; Lorentzen, S.B.; Aam, B.B.; Tuveng, T.R.; Hamre, A.G.; Eijsink, V.G.H.; Yamabhai, M. Bioconversion of chitosan into chito-oligosaccharides (CHOS) using family 46 chitosanase from Bacillus subtilis (BsCsn46A). Carbohydr. Polym. 2018, 186, 420–428. [Google Scholar] [CrossRef] [PubMed]
- Ando, A.; Saito, A.; Arai, S.; Usuda, S.; Furuno, M.; Kaneko, N.; Shida, O.; Nagata, Y. Molecular characterization of a novel family-46 chitosanase from Pseudomonas sp. A-01. Biosci. Biotechnol. Biochem. 2008, 72, 2074–2081. [Google Scholar] [CrossRef] [PubMed]
- Wang, S.L.; Peng, J.H.; Liang, T.W.; Liu, K.C. Purification and characterization of a chitosanase from Serratia marcescens TKU011. Carbohyd. Res. 2008, 343, 1316–1323. [Google Scholar] [CrossRef]
- Zhang, X.Y.; Dai, A.L.; Zhang, X.K.; Kuroiwa, K.; Kodaira, R.; Shimosaka, M.; Okazaki, M. Purification and characterization of chitosanase and exo-β-D-glucosaminidase from a koji mold, Aspergillus oryzae IAM2660. Biosci. Biotechnol. Biochem. 2000, 64, 1896–1902. [Google Scholar] [CrossRef]
- Zhou, J.; Liu, X.; Yuan, F.; Deng, B.; Yu, X. Biocatalysis of heterogenously-expressed chitosanase for the preparation of desirable chitosan oligosaccharides applied against phytopathogenic fungi. ACS Sustain. Chem. Eng. 2020, 8, 4781–4791. [Google Scholar] [CrossRef]
- Pechsrichuang, P.; Yoohat, K.; Yamabhai, M. Production of recombinant Bacillus subtilis chitosanase, suitable for biosynthesis of chitosan-oligosaccharides. Bioresour. Technol. 2013, 127, 407–414. [Google Scholar] [CrossRef]
- Sak-Ubol, S.; Namvijitr, P.; Pechsrichuang, P.; Haltrich, D.; Nguyen, T.-H.; Mathiesen, G.; Eijsink, V.G.; Yamabhai, M. Secretory production of a beta-mannanase and a chitosanase using a Lactobacillus plantarum expression system. Microb. Cell Fact. 2016, 15, 81. [Google Scholar] [CrossRef]
- Fredriksen, L.; Mathiesen, G.; Sioud, M.; Eijsink, V.G. Cell wall anchoring of the 37-kilodalton oncofetal antigen by Lactobacillus plantarum for mucosal cancer vaccine delivery. Appl. Environ. Microbiol. 2010, 76, 7359–7362. [Google Scholar] [CrossRef] [PubMed]
- Fredriksen, L.; Kleiveland, C.R.; Hult, L.T.; Lea, T.; Nygaard, C.S.; Eijsink, V.G.; Mathiesen, G. Surface display of N-terminally anchored invasin by Lactobacillus plantarum activates NF-kappaB in monocytes. Appl. Environ. Microbiol. 2012, 78, 5864–5871. [Google Scholar] [CrossRef] [PubMed]
- Moraïs, S.; Shterzer, N.; Lamed, R.; Bayer, E.A.; Mizrah, I. A combined cell-consortium approach for lignocellulose degradation by specialized Lactobacillus plantarum cells. Biotechnol. Biofuels 2014, 7, 112. [Google Scholar] [CrossRef] [PubMed]
- Kuczkowska, K.; Mathiesen, G.; Eijsink, V.G.; Oynebraten, I. Lactobacillus plantarum displaying CCL3 chemokine in fusion with HIV-1 Gag derived antigen causes increased recruitment of T cells. Microb. Cell Fact. 2015, 14, 169. [Google Scholar] [CrossRef] [PubMed]
- Kuczkowska, K.; Kleiveland, C.R.; Minic, R.; Moen, L.F.; Øverland, L.; Tjåland, R.; Carlsen, H.; Lea, T.; Mathiesen, G.; Eijsink, V.G.H. Immunogenic properties of Lactobacillus plantarum producing surface-displayed Mycobacterium tuberculosis antigens. Appl. Environ. Microbiol. 2017, 83, e02782-16. [Google Scholar] [CrossRef] [PubMed]
- Kuczkowska, K.; Copland, A.; Øverland, L.; Mathiesen, G.; Tran, A.C.; Paul, M.J.; Eijsink, V.G.H.; Reljic, R. Inactivated Lactobacillus plantarum carrying a surface-displayed Ag85B-ESAT-6 fusion antigen as a booster vaccine against Mycobacterium tuberculosis infection. Front. Immunol. 2019, 10, 1588. [Google Scholar] [CrossRef]
- Kuczkowska, K.; Øverland, L.; Rocha, S.D.C.; Eijsink, V.G.H.; Mathiesen, G. Comparison of eight Lactobacillus species for delivery of surface-displayed mycobacterial antigen. Vaccine 2019, 37, 6371–6379. [Google Scholar] [CrossRef]
- Bober, J.R.; Nair, N.U. Galactose to tagatose isomerization at moderate temperatures with high conversion and productivity. Nat. Commun. 2019, 10, 4548. [Google Scholar] [CrossRef]
- Pham, M.L.; Tran, A.M.; Kittibunchakul, S.; Nguyen, T.T.; Mathiesen, G.; Nguyen, T.-H. Immobilization of β-galactosidases on the Lactobacillus cell surface using the peptidoglycan-binding motif LysM. Catalysts 2019, 9, 443. [Google Scholar] [CrossRef]
- Nguyen, H.M.; Pham, M.L.; Stelzer, E.M.; Plattner, E.; Grabherr, R.; Mathiesen, G.; Peterbauer, C.K.; Haltrich, D.; Nguyen, T.-H. Constitutive expression and cell-surface display of a bacterial β-mannanase in Lactobacillus plantarum. Microb. Cell Fact. 2019, 18, 76. [Google Scholar] [CrossRef]
- Nguyen, H.M.; Mathiesen, G.; Stelzer, E.M.; Pham, M.L.; Kuczkowska, K.; Mackenzie, A.; Agger, J.W.; Eijsink, V.G.H.; Yamabhai, M.; Peterbauer, C.K.; et al. Display of a beta-mannanase and a chitosanase on the cell surface of Lactobacillus plantarum towards the development of whole-cell biocatalysts. Microb. Cell Fact. 2016, 15, 169. [Google Scholar] [CrossRef] [PubMed]
- Sorvig, E.; Grönqvist, S.; Naterstad, K.; Mathiesen, G.; Eijsink, V.G.H.; Axelsson, L. Construction of vectors for inducible gene expression in Lactobacillus sakei and L. plantarum. FEMS Microbiol. Lett. 2003, 229, 119–126. [Google Scholar] [CrossRef]
- Sorvig, E.; Mathiesen, G.; Naterstad, K.; Eijsink, V.G.H.; Axelsson, L. High-level, inducible gene expression in Lactobacillus sakei and Lactobacillus plantarum using versatile expression vectors. Microbiology 2005, 151, 2439–2449. [Google Scholar] [CrossRef] [PubMed]
- Remiger, A.; Eijsink, V.G.H.; Ehrmann, M.A.; Sletten, K.; Nes, I.F.; Vogel, R.F. Purification and partial amino acid sequence of plantaricin 1.25α and 1.25β, two bacteriocins produced by Lactobacillus plantarum TMW1.25. J. Appl. Microbiol. 1999, 86, 1053–1058. [Google Scholar] [CrossRef] [PubMed]
- Peterbauer, C.; Maischberger, T.; Haltrich, D. Food-grade gene expression in lactic acid bacteria. Biotechnol. J. 2011, 6, 1147–1161. [Google Scholar] [CrossRef] [PubMed]
- Nguyen, T.T.; Mathiesen, G.; Fredriksen, L.; Kittl, R.; Nguyen, T.-H.; Eijsink, V.G.; Haltrich, D.; Peterbauer, C.K. A food-grade system for inducible gene expression in Lactobacillus plantarum using an alanine racemase-encoding selection marker. J. Agric. Food Chem. 2011, 59, 5617–5624. [Google Scholar] [CrossRef]
- Pretzer, G.; Snel, J.; Molenaar, D.; Wiersma, A.; Bron, P.A.; Lambert, J.; de Vos, W.M.; van der Meer, R.; Smits, M.A.; Kleerebezem, M. Biodiversity-based identification and functional characterization of the mannose-specific adhesin of Lactobacillus plantarum. J. Bacteriol. 2005, 187, 6128–6136. [Google Scholar] [CrossRef]
- Boekhorst, J.; Helmer, Q.; Kleerebezem, M.; Siezen, R.J. Comparative analysis of proteins with a mucus-binding domain found exclusively in lactic acid bacteria. Microbiology 2006, 152, 273–280. [Google Scholar] [CrossRef]
- Cortes-Perez, N.G.; Azevedo, V.; Alcocer-González, J.M.; Rodriguez-Padilla, C.; Tamez-Guerra, R.S.; Corthier, G.; Gruss, A.; Langella, P.; Bermúdez-Humarán, L.G. Cell-surface display of E7 antigen from human papillomavirus type-16 in Lactococcus lactis and in Lactobacillus plantarum using a new cell-wall anchor from lactobacilli. J. Drug Target 2005, 13, 89–98. [Google Scholar] [CrossRef]
- Kleerebezem, M.; Boekhorst, J.; van Kranenburg, R.; Molenaar, D.; Kuipers, O.P.; Leer, R.; Tarchini, R.; Peters, S.A.; Sandbrink, H.M.; Fiers, M.W.; et al. Complete genome sequence of Lactobacillus plantarum WCFS1. Proc. Natl. Acad. Sci. USA 2003, 100, 1990–1995. [Google Scholar] [CrossRef]
- Roos, S.; Jonsson, H. A high-molecular-mass cell-surface protein from Lactobacillus reuteri 1063 adheres to mucus components. Microbiology 2002, 148, 433–442. [Google Scholar] [CrossRef] [PubMed]
- Mathiesen, G.; Sveen, A.; Brurberg, M.B.; Fredriksen, L.; Axelsson, L.; Eijsink, V.G. Genome-wide analysis of signal peptide functionality in Lactobacillus plantarum WCFS1. BMC Genom. 2009, 10, 425. [Google Scholar] [CrossRef]
- Mathiesen, G.; Sveen, A.; Piard, J.C.; Axelsson, L.; Eijsink, V.G. Heterologous protein secretion by Lactobacillus plantarum using homologous signal peptides. J. Appl. Microbiol. 2008, 105, 215–226. [Google Scholar] [CrossRef] [PubMed]
- Karlskas, I.L.; Maudal, K.; Axelsson, L.; Rud, I.; Eijsink, V.G.H.; Mathiesen, G. Heterologous protein secretion in lactobacilli with modified pSIP vectors. PLoS ONE 2014, 9, e91125. [Google Scholar] [CrossRef] [PubMed]
- Williamson, M.P. The structure and function of proline-rich regions in proteins. Biochem. J. 1994, 297, 249–260. [Google Scholar] [CrossRef]
- Strych, U.; Penland, R.L.; Jimenez, M.; Krause, K.L.; Benedik, M.J. Characterization of the alanine racemases from two Mycobacteria. FEMS Microbiol. Lett. 2001, 196, 93–98. [Google Scholar] [CrossRef]
- Aukrust, T.; Blom, H. Transformation of Lactobacillus strains used in meat and vegetable fermentations. Food Res. Int. 1992, 25, 253–261. [Google Scholar] [CrossRef]
- Eijsink, V.G.; Brurberg, M.B.; Middelhoven, P.H.; Nes, I.F. Induction of bacteriocin production in Lactobacillus sake by a secreted peptide. J. Bacteriol. 1996, 178, 2232–2237. [Google Scholar] [CrossRef]
- Bradford, M.M. A rapid and sensitive method for the quantitation of microgram quantities of protein utilizing the principle of protein-dye binding. Anal. Biochem. 1976, 72, 248–254. [Google Scholar] [CrossRef]
- Rocha, R.; Almeida, C.; Azevedo, N.F. Influence of the fixation/permeabilization step on peptide nucleic acid fluorescence in situ hybridization (PNA-FISH) for the detection of bacteria. PLoS ONE 2018, 13, e0196522. [Google Scholar] [CrossRef]
- Anzengruber, J.; Courtin, P.; Claes, I.J.J.; Debreczeny, M.; Hofbauer, S.; Obinger, C.; Chapot-Chartier, M.P.; Vanderleyden, J.; Messner, P.; Schäffer, C. Biochemical characterization of the major N-acetylmuramidase from Lactobacillus buchneri. Microbiology 2014, 160, 1807–1819. [Google Scholar] [CrossRef] [PubMed]
- Nairn, R.C. Fluorescent Protein Tracing, 3rd ed.; E. & S. Livingstone Ltd.: Teviot Place, UK, 1969; p. 503. [Google Scholar]
- Nguyen, H.A.; Nguyen, T.-H.; Nguyen, T.T.; Peterbauer, C.K.; Mathiesen, G.; Haltrich, D. Chitinase from Bacillus licheniformis DSM13: Expression in Lactobacillus plantarum WCFS1 and biochemical characterisation. Protein Expr. Purif. 2012, 81, 166–174. [Google Scholar] [CrossRef] [PubMed]







| Strain or Plasmid | Relevant Characteristic (s) | Reference Source |
|---|---|---|
| Strains | ||
| L. plantarum | ||
| WCFS1 | wild type, host strain | [31] |
| TLG02 | Δalr, D-alanine auxotroph, food-grade expression host | [27] |
| E. coli | ||
| HST08 | cloning host | Clontech |
| MB2159 | D-alanine auxotroph, cloning host | [37] |
| Plasmids | ||
| pLp0373_ManB_S | Ermr; pSIP401 derivate encoding the Lp_0373 signal peptide translationally fused to manB-myc, followed by the short cell wall anchor (S) from Lp_1229 | (unpublished) |
| pLp0373_ManB_L | Ermr; pSIP401 derivate encoding the Lp_0373 signal peptide translationally fused to manB-myc, followed by the long cell wall anchor (L) from Lp_1229 | (unpublished) |
| pSIP409-CsnA-native | Ermr; spp- based expression vector pSIP409 for expression of csnA with native signal peptide | [11] |
| pEV | Ermr; pSIP401 derivative, empty vector, no signal sequence, no csnA (negative control) | [13] |
| pSIP603-GusA | Ermr; pSIP401 derivative, gusA controlled by PsppA, alr replaced erm | [27] |
| pLp0373_CsnA_S | Ermr; pLp0373_ManB_S derivative with csnA-myc instead of manB-myc | This study |
| pLp0373_CsnA_L | Ermr; pLp0373_ManB_L derivative with csnA-myc instead of manB-myc | This study |
| palrLp0373_CsnA_S | pSIP603 derivative with SPLp0373-csnA-myc-S instead of gusA | This study |
| palrLp0373_CsnA_L | pSIP603 derivative with SPLp0373-csnA-myc-L instead of gusA | This study |
| Primer | Sequence a 5′ → 3′ | Restriction Site Underlined |
|---|---|---|
| Fwd1_CsnA_SalI | TGCTTCATCAGTCGACGCGGGACTGAATAAAGATC | SalI |
| Fwd2_CsnA-BglII | ATTACAGCTCCAGATCTACCGGTGGGCC | BglII |
| Rev1_CsnA | TGAGATGAGTTTTTGTTCGTCGACAGATCCTTTGATTAC | |
| Rev2_CsnA | CAGATCCTCTTCTGAGATGAGTTTTTGTTCGTCGACAGA | |
| Rev3_ CsnA_MluI_S | CTGGTTTAACACGCGTCAGATCCTCTTCTGAGATG | MluI |
| Rev4_CsnA_MluI_L | GAGCATTCTTGGTACGCGTCAGATCCTCTTC | MluI |
| Rev5_CsnA_S/L_EcoRI | GGGGTACCGAATTCAAGCTTCTACTCTTTGTGCTGTC | EcoRI |
© 2020 by the authors. Licensee MDPI, Basel, Switzerland. This article is an open access article distributed under the terms and conditions of the Creative Commons Attribution (CC BY) license (http://creativecommons.org/licenses/by/4.0/).
Share and Cite
Pham, M.-L.; Tran, A.-M.; Mathiesen, G.; Nguyen, H.-M.; Nguyen, T.-H. Cell Wall Anchoring of a Bacterial Chitosanase in Lactobacillus plantarum Using a Food-Grade Expression System and Two Versions of an LP × TG Anchor. Int. J. Mol. Sci. 2020, 21, 3773. https://doi.org/10.3390/ijms21113773
Pham M-L, Tran A-M, Mathiesen G, Nguyen H-M, Nguyen T-H. Cell Wall Anchoring of a Bacterial Chitosanase in Lactobacillus plantarum Using a Food-Grade Expression System and Two Versions of an LP × TG Anchor. International Journal of Molecular Sciences. 2020; 21(11):3773. https://doi.org/10.3390/ijms21113773
Chicago/Turabian StylePham, Mai-Lan, Anh-Minh Tran, Geir Mathiesen, Hoang-Minh Nguyen, and Thu-Ha Nguyen. 2020. "Cell Wall Anchoring of a Bacterial Chitosanase in Lactobacillus plantarum Using a Food-Grade Expression System and Two Versions of an LP × TG Anchor" International Journal of Molecular Sciences 21, no. 11: 3773. https://doi.org/10.3390/ijms21113773
APA StylePham, M.-L., Tran, A.-M., Mathiesen, G., Nguyen, H.-M., & Nguyen, T.-H. (2020). Cell Wall Anchoring of a Bacterial Chitosanase in Lactobacillus plantarum Using a Food-Grade Expression System and Two Versions of an LP × TG Anchor. International Journal of Molecular Sciences, 21(11), 3773. https://doi.org/10.3390/ijms21113773

