Vectisol Formulation Enhances Solubility of Resveratrol and Brings Its Benefits to Kidney Transplantation in a Preclinical Porcine Model
Abstract
1. Introduction
2. Results
2.1. In Vitro Assay of Vectisol® Benefits
2.2. Static Preservation Study
2.2.1. Early Function Recovery
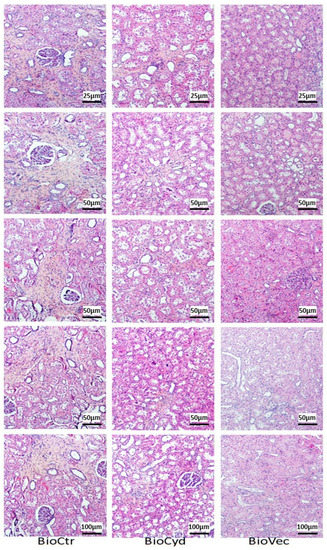
2.2.2. Chronic Outcome (Figure 3)
2.3. Machine Preservation Study
2.3.1. Post-Reperfusion Apoptosis and Oxidative Stress
2.3.2. Evaluation of Early Lesion and Function
2.3.3. Evaluation of Chronic Function and Lesions
3. Discussion
4. Materials and Methods
4.1. In Vitro Experiments
4.2. Experimental Model
4.3. Biochemistry Analysis
4.4. Histological and Histochemical Study
4.5. Statistical Analysis
5. Conclusions
Supplementary Materials
Author Contributions
Funding
Acknowledgments
Conflicts of Interest
Abbreviations
| AMPK | AMP-activated protein kinase |
| ASAT | ASparagine Amino Transferase |
| AUC | Area Under the Curve |
| DCD | Deceased after Circulatory Death |
| DGF | Delayed Graft Function |
| HES | Hematoxylin Eosin Staining |
| HTK | Histidine Tryptophane Ketoglutarate |
| MP | Machine Perfusion |
| NO | Nitrous Oxide |
| PNF | Primary graft Non-Function |
| ROS | Reactive Oxygen Species |
| SCOT15 | Solution pour la Conservation des Organes en Transplantation |
| SOD | Superoxide Dismutase |
| TUNEL | Terminal deoxynucleotidyl transferase (TdT)-mediated dUTP nick end labeling |
| UW | University of Wisconsin solution |
| WHO | World Health Organization |
References
- Garfield, S.S.; Poret, A.W.; Evans, R.W. The Cost-Effectiveness of Organ Preservation Methods in Renal Transplantation: US Projections Based on the Machine Preservation Trial. Transplant. Proc. 2009, 41, 3531–3536. [Google Scholar] [CrossRef]
- Gómez, V.; Galeano, C.; Diez, V.; Bueno, C.; Díaz, F.; Burgos, F.J. Economic Impact of the Introduction of Machine Perfusion Preservation in a Kidney Transplantation Program in the Expanded Donor Era: Cost-Effectiveness Assessment. Transplant. Proc. 2012, 44, 2521–2524. [Google Scholar] [CrossRef] [PubMed]
- Agence-de-Biomedecine Annual Report of the French Biomedicine Agency 2017. Available online: https://www.agence-biomedecine.fr/rapport-activite-2017 (accessed on 5 February 2019).
- Rudich, S.M.; Kaplan, B.; Magee, J.C.; Arenas, J.D.; Punch, J.D.; Kayler, L.K.; Merion, R.M.; Meier-Kriesche, H.-U. Renal transplantations performed using non-heart-beating organ donors: Going back to the future? Transplantation 2002, 74, 1715–1720. [Google Scholar] [CrossRef] [PubMed]
- Asher, J.; Wilson, C.; Gok, M.; Balupuri, S.; Bhatti, A.A.; Soomro, N.; Rix, D.; Jaques, B.; Manas, D.; Shenton, B.; et al. Factors predicting duration of delayed graft function in non-heart-beating donor kidney transplantation. Transplant. Proc. 2005, 37, 348–349. [Google Scholar] [CrossRef]
- Sellers, M.T.; Gallichio, M.H.; Hudson, S.L.; Young, C.J.; Bynon, J.S.; Eckhoff, D.E.; Deierhoi, M.H.; Diethelm, A.G.; Thompson, J.A. Improved outcomes in cadaveric renal allografts with pulsatile preservation. Clin. Transplant. 2000, 14, 543–549. [Google Scholar] [CrossRef]
- Maathuis, M.-H.J.; Manekeller, S.; van der Plaats, A.; Leuvenink, H.G.D.; ’t Hart, N.A.; Lier, A.B.; Rakhorst, G.; Ploeg, R.J.; Minor, T. Improved kidney graft function after preservation using a novel hypothermic machine perfusion device. Ann. Surg. 2007, 246, 982–988, discussion 989-991. [Google Scholar] [CrossRef]
- Moers, C.; Smits, J.M.; Maathuis, M.-H.J.; Treckmann, J.; van Gelder, F.; Napieralski, B.P.; van Kasterop-Kutz, M.; van der Heide, J.J.H.; Squifflet, J.-P.; van Heurn, E.; et al. Machine perfusion or cold storage in deceased-donor kidney transplantation. N. Engl. J. Med. 2009, 360, 7–19. [Google Scholar] [CrossRef] [PubMed]
- De Deken, J.; Kocabayoglu, P.; Moers, C. Hypothermic machine perfusion in kidney transplantation. Curr. Opin. Organ Transplant. 2016, 21, 294–300. [Google Scholar] [CrossRef]
- Chouchani, E.T.; Pell, V.R.; Gaude, E.; Aksentijević, D.; Sundier, S.Y.; Robb, E.L.; Logan, A.; Nadtochiy, S.M.; Ord, E.N.J.; Smith, A.C.; et al. Ischaemic accumulation of succinate controls reperfusion injury through mitochondrial ROS. Nature 2014, 515, 431–435. [Google Scholar] [CrossRef] [PubMed]
- Van Golen, R.F.; Reiniers, M.J.; Vrisekoop, N.; Zuurbier, C.J.; Olthof, P.B.; van Rheenen, J.; van Gulik, T.M.; Parsons, B.J.; Heger, M. The mechanisms and physiological relevance of glycocalyx degradation in hepatic ischemia/reperfusion injury. Antioxid. Redox Signal. 2014, 21, 1098–1118. [Google Scholar] [CrossRef] [PubMed]
- Shi, S.; Xue, F. Current Antioxidant Treatments in Organ Transplantation. Oxid. Med. Cell. Longev. 2016, 2016. [Google Scholar] [CrossRef] [PubMed]
- Brisdelli, F.; D’Andrea, G.; Bozzi, A. Resveratrol: A natural polyphenol with multiple chemopreventive properties. Curr. Drug Metab. 2009, 10, 530–546. [Google Scholar] [CrossRef]
- Debout, A.; Foucher, Y.; Trébern-Launay, K.; Legendre, C.; Kreis, H.; Mourad, G.; Garrigue, V.; Morelon, E.; Buron, F.; Rostaing, L.; et al. Each additional hour of cold ischemia time significantly increases the risk of graft failure and mortality following renal transplantation. Kidney Int. 2015, 87, 343–349. [Google Scholar] [CrossRef] [PubMed]
- Davies, J.M.S.; Cillard, J.; Friguet, B.; Cadenas, E.; Cadet, J.; Cayce, R.; Fishmann, A.; Liao, D.; Bulteau, A.-L.; Derbré, F.; et al. The Oxygen Paradox, the French Paradox, and age-related diseases. GeroScience 2017, 39, 499–550. [Google Scholar] [CrossRef] [PubMed]
- Auger, C.; Teissedre, P.-L.; Gérain, P.; Lequeux, N.; Bornet, A.; Serisier, S.; Besançon, P.; Caporiccio, B.; Cristol, J.-P.; Rouanet, J.-M. Dietary wine phenolics catechin, quercetin, and resveratrol efficiently protect hypercholesterolemic hamsters against aortic fatty streak accumulation. J. Agric. Food Chem. 2005, 53, 2015–2021. [Google Scholar] [CrossRef] [PubMed]
- Appeldoorn, M.M.; Venema, D.P.; Peters, T.H.F.; Koenen, M.E.; Arts, I.C.W.; Vincken, J.-P.; Gruppen, H.; Keijer, J.; Hollman, P.C.H. Some phenolic compounds increase the nitric oxide level in endothelial cells in vitro. J. Agric. Food Chem. 2009, 57, 7693–7699. [Google Scholar] [CrossRef] [PubMed]
- Yilmaz, Y.; Toledo, R.T. Major flavonoids in grape seeds and skins: Antioxidant capacity of catechin, epicatechin, and gallic acid. J. Agric. Food Chem. 2004, 52, 255–260. [Google Scholar] [CrossRef] [PubMed]
- Yoshimura, Y.; Nakazawa, H.; Yamaguchi, F. Evaluation of the NO scavenging activity of procyanidin in grape seed by use of the TMA-PTIO/NOC 7 ESR system. J. Agric. Food Chem. 2003, 51, 6409–6412. [Google Scholar] [CrossRef]
- Halliwell, B. Oxidative stress, nutrition and health. Experimental strategies for optimization of nutritional antioxidant intake in humans. Free Radic. Res. 1996, 25, 57–74. [Google Scholar] [CrossRef]
- Baur, J.A.; Sinclair, D.A. Therapeutic potential of resveratrol: The in vivo evidence. Nat. Rev. Drug Discov. 2006, 5, 493–506. [Google Scholar] [CrossRef]
- Lagouge, M.; Argmann, C.; Gerhart-Hines, Z.; Meziane, H.; Lerin, C.; Daussin, F.; Messadeq, N.; Milne, J.; Lambert, P.; Elliott, P.; et al. Resveratrol improves mitochondrial function and protects against metabolic disease by activating SIRT1 and PGC-1alpha. Cell 2006, 127, 1109–1122. [Google Scholar] [CrossRef]
- Shakibaei, M.; Harikumar, K.B.; Aggarwal, B.B. Resveratrol addiction: To die or not to die. Mol. Nutr. Food Res. 2009, 53, 115–128. [Google Scholar] [CrossRef]
- Zang, M.; Xu, S.; Maitland-Toolan, K.A.; Zuccollo, A.; Hou, X.; Jiang, B.; Wierzbicki, M.; Verbeuren, T.J.; Cohen, R.A. Polyphenols stimulate AMP-activated protein kinase, lower lipids, and inhibit accelerated atherosclerosis in diabetic LDL receptor-deficient mice. Diabetes 2006, 55, 2180–2191. [Google Scholar] [CrossRef] [PubMed]
- Jang, M.; Cai, L.; Udeani, G.O.; Slowing, K.V.; Thomas, C.F.; Beecher, C.W.; Fong, H.H.; Farnsworth, N.R.; Kinghorn, A.D.; Mehta, R.G.; et al. Cancer chemopreventive activity of resveratrol, a natural product derived from grapes. Science 1997, 275, 218–220. [Google Scholar] [CrossRef]
- Buryanovskyy, L.; Fu, Y.; Boyd, M.; Ma, Y.; Hsieh, T.; Wu, J.M.; Zhang, Z. Crystal structure of quinone reductase 2 in complex with resveratrol. Biochemistry 2004, 43, 11417–11426. [Google Scholar] [CrossRef] [PubMed]
- Gehm, B.D.; McAndrews, J.M.; Chien, P.Y.; Jameson, J.L. Resveratrol, a polyphenolic compound found in grapes and wine, is an agonist for the estrogen receptor. Proc. Natl. Acad. Sci. USA 1997, 94, 14138–14143. [Google Scholar] [CrossRef]
- Ciolino, H.P.; Daschner, P.J.; Yeh, G.C. Resveratrol inhibits transcription of CYP1A1 in vitro by preventing activation of the aryl hydrocarbon receptor. Cancer Res. 1998, 58, 5707–5712. [Google Scholar] [PubMed]
- Giraud, S.; Favreau, F.; Chatauret, N.; Thuillier, R.; Maiga, S.; Hauet, T. Contribution of large pig for renal ischemia-reperfusion and transplantation studies: The preclinical model. J. Biomed. Biotechnol. 2011, 2011, 532127. [Google Scholar] [CrossRef]
- Giraud, S.; Thuillier, R.; Codas, R.; Manguy, E.; Barrou, B.; Valagier, A.; Puichaud, A.; Badet, L.; Nicolas, E.; Eugene, M.; et al. The Optimal PEG for Kidney Preservation: A Preclinical Porcine Study. Int. J. Mol. Sci. 2018, 19, 454. [Google Scholar] [CrossRef]
- Hauet, T.; Eugene, M. A new approach in organ preservation: Potential role of new polymers. Kidney Int. 2008, 74, 998–1003. [Google Scholar] [CrossRef]
- Vaziri, N.; Thuillier, R.; Favreau, F.D.; Eugene, M.; Milin, S.; Chatauret, N.P.; Hauet, T.; Barrou, B. Analysis of machine perfusion benefits in kidney grafts: A preclinical study. J. Transl. Med. 2011, 9, 15. [Google Scholar] [CrossRef] [PubMed]
- Chatauret, N.; Coudroy, R.; Delpech, P.O.; Vandebrouck, C.; Hosni, S.; Scepi, M.; Hauet, T. Mechanistic analysis of nonoxygenated hypothermic machine perfusion’s protection on warm ischemic kidney uncovers greater eNOS phosphorylation and vasodilation. Am. J. Transplant. Off. J. Am. Soc. Transplant. Am. Soc. Transpl. Surg. 2014, 14, 2500–2514. [Google Scholar] [CrossRef] [PubMed]
- Rossard, L.; Favreau, F.; Demars, J.; Robert, R.; Nadeau, C.; Cau, J.; Thuillier, R.; Hauet, T. Evaluation of early regenerative processes in a preclinical pig model of acute kidney injury. Curr. Mol. Med. 2012, 12, 502–505. [Google Scholar] [PubMed]
- Delpech, P.O.; Thuillier, R.; Le Pape, S.; Rossard, L.; Jayle, C.; Billault, C.; Goujon, J.M.; Hauet, T. Effects of warm ischaemia combined with cold preservation on the hypoxia-inducible factor 1α pathway in an experimental renal autotransplantation model. Br. J. Surg. 2014, 101, 1739–1750. [Google Scholar] [CrossRef] [PubMed]
- Mishra, J.; Ma, Q.; Prada, A.; Mitsnefes, M.; Zahedi, K.; Yang, J.; Barasch, J.; Devarajan, P. Identification of neutrophil gelatinase-associated lipocalin as a novel early urinary biomarker for ischemic renal injury. J. Am. Soc. Nephrol. JASN 2003, 14, 2534–2543. [Google Scholar] [CrossRef] [PubMed]
- Ichimura, T.; Bonventre, J.V.; Bailly, V.; Wei, H.; Hession, C.A.; Cate, R.L.; Sanicola, M. Kidney injury molecule-1 (KIM-1), a putative epithelial cell adhesion molecule containing a novel immunoglobulin domain, is up-regulated in renal cells after injury. J. Biol. Chem. 1998, 273, 4135–4142. [Google Scholar] [CrossRef] [PubMed]
- Hosohata, K.; Ando, H.; Fujiwara, Y.; Fujimura, A. Vanin-1: A potential biomarker for nephrotoxicant-induced renal injury. Toxicology 2011, 290, 82–88. [Google Scholar] [CrossRef] [PubMed]
- Hosohata, K.; Ando, H.; Fujimura, A. Urinary vanin-1 as a novel biomarker for early detection of drug-induced acute kidney injury. J. Pharmacol. Exp. Ther. 2012, 341, 656–662. [Google Scholar] [CrossRef]
- Arias-Cabrales, C.; Redondo-Pachón, D.; Pérez-Sáez, M.J.; Gimeno, J.; Sánchez-Güerri, I.; Bermejo, S.; Sierra, A.; Burballa, C.; Mir, M.; Crespo, M.; et al. Renal graft survival according to Banff 2013 classification in indication biopsies. Nefrol. Publ. Soc. Espanola Nefrol. 2016, 36, 660–666. [Google Scholar] [CrossRef]
- Giraud, S.; Steichen, C.; Allain, G.; Couturier, P.; Labourdette, D.; Lamarre, S.; Ameteau, V.; Tillet, S.; Hannaert, P.; Thuillier, R.; et al. Dynamic transcriptomic analysis of Ischemic Injury in a Porcine Pre-Clinical Model mimicking Donors Deceased after Circulatory Death. Sci. Rep. 2018, 8, 5986. [Google Scholar] [CrossRef]
- Kim, C.; MacKellar, W.C.; Cho, N.M.; Byrn, S.R.; Morré, D.J. Impermeant antitumor sulfonylurea conjugates that inhibit plasma membrane NADH oxidase and growth of HeLa cells in culture. Identification of binding proteins from sera of cancer patients. Biochim. Biophys. Acta 1997, 1324, 171–181. [Google Scholar] [CrossRef]
- Taylor, A.M.; Liu, B.; Mari, Y.; Liu, B.; Repa, J.J. Cyclodextrin mediates rapid changes in lipid balance in Npc1-/- mice without carrying cholesterol through the bloodstream. J. Lipid Res. 2012, 53, 2331–2342. [Google Scholar] [CrossRef]
- Giraud, S.; Thuillier, R.; Belliard, A.; Hebrard, W.; Nadeau, C.; Milin, S.; Goujon, J.M.; Manguy, E.; Mauco, G.; Hauet, T.; et al. Direct thrombin inhibitor prevents delayed graft function in a porcine model of renal transplantation. Transplantation 2009, 87, 1636–1644. [Google Scholar] [CrossRef]
- Thuillier, R.; Giraud, S.; Favreau, F.; Goujon, J.-M.; Desurmont, T.; Eugene, M.; Barrou, B.; Hauet, T. Improving long-term outcome in allograft transplantation: Role of ionic composition and polyethylene glycol. Transplantation 2011, 91, 605–614. [Google Scholar] [CrossRef]







| Solution | Celsior | UW | Custodiol | SCOT | ||||
|---|---|---|---|---|---|---|---|---|
| Treatment | Ctr | Vect | Ctr | Vect | Ctr | Vect | Ctr | Vect |
| Brush Border Loss | 2.5 ± 0.1 | 3.3 ± 0.2 † | 3.1 ± 0.1 | 3.9 ± 0.1 † | 2.7 ± 0.3 | 3.6 ± 0.1 | 2.2 ± 0.3 | 3.0 ± 0.1 |
| Endoluminal detachment | 2.5 ± 0.1 | 1.6 ± 0.1 † | 1.9 ± 0.2 | 1.3 ± 0.1 † | 1.9 ± 0.2 | 1.3 ± 0.1 | 2.2 ± 0.1 | 1.5 ± 0.1 |
© 2019 by the authors. Licensee MDPI, Basel, Switzerland. This article is an open access article distributed under the terms and conditions of the Creative Commons Attribution (CC BY) license (http://creativecommons.org/licenses/by/4.0/).
Share and Cite
Soussi, D.; Danion, J.; Baulier, E.; Favreau, F.; Sauvageon, Y.; Bossard, V.; Matillon, X.; Turpin, F.; Belgsir, E.M.; Thuillier, R.; et al. Vectisol Formulation Enhances Solubility of Resveratrol and Brings Its Benefits to Kidney Transplantation in a Preclinical Porcine Model. Int. J. Mol. Sci. 2019, 20, 2268. https://doi.org/10.3390/ijms20092268
Soussi D, Danion J, Baulier E, Favreau F, Sauvageon Y, Bossard V, Matillon X, Turpin F, Belgsir EM, Thuillier R, et al. Vectisol Formulation Enhances Solubility of Resveratrol and Brings Its Benefits to Kidney Transplantation in a Preclinical Porcine Model. International Journal of Molecular Sciences. 2019; 20(9):2268. https://doi.org/10.3390/ijms20092268
Chicago/Turabian StyleSoussi, David, Jérôme Danion, Edouard Baulier, Frédéric Favreau, Ysé Sauvageon, Valentin Bossard, Xavier Matillon, Frédéric Turpin, El Mustapha Belgsir, Raphaël Thuillier, and et al. 2019. "Vectisol Formulation Enhances Solubility of Resveratrol and Brings Its Benefits to Kidney Transplantation in a Preclinical Porcine Model" International Journal of Molecular Sciences 20, no. 9: 2268. https://doi.org/10.3390/ijms20092268
APA StyleSoussi, D., Danion, J., Baulier, E., Favreau, F., Sauvageon, Y., Bossard, V., Matillon, X., Turpin, F., Belgsir, E. M., Thuillier, R., & Hauet, T. (2019). Vectisol Formulation Enhances Solubility of Resveratrol and Brings Its Benefits to Kidney Transplantation in a Preclinical Porcine Model. International Journal of Molecular Sciences, 20(9), 2268. https://doi.org/10.3390/ijms20092268

