Next Article in Journal
Extracellular Vesicles as Biological Shuttles for Targeted Therapies
Next Article in Special Issue
Alpha-Synuclein RNA Expression is Increased in Major Depression
Previous Article in Journal
Physiological and Metabolic Responses of Rice to Reduced Soil Moisture: Relationship of Water Stress Tolerance and Grain Production
Previous Article in Special Issue
Mechanistic Insights in NeuroD Potentiation of Mineralocorticoid Receptor Signaling
 
 
Font Type:
Arial Georgia Verdana
Font Size:
Aa Aa Aa
Line Spacing:
Column Width:
Background:
Article

The Association Between Affective Temperament Traits and Dopamine Genes in Obese Population

1
Chair and Department of Clinical Neuropsychology, Nicolaus Copernicus University in Toruń, Collegium Medicum, Bydgoszcz 85-094, Poland
2
Department of Endocrinology and Diabetology, Nicolaus Copernicus University in Toruń, Collegium Medicum, Bydgoszcz 85-094, Poland
3
Department of Biotechnology, Nicolaus Copernicus University, Toruń 87-100, Poland
*
Author to whom correspondence should be addressed.
Int. J. Mol. Sci. 2019, 20(8), 1847; https://doi.org/10.3390/ijms20081847
Submission received: 31 March 2019 / Accepted: 10 April 2019 / Published: 15 April 2019
(This article belongs to the Special Issue Molecular Psychiatry)

Abstract

Studies indicate the heritable nature of affective temperament, which shows personality traits predisposing to the development of mental disorders. Dopaminergic gene polymorphisms such as DRD4, COMTVal158Met, and DAT1 have been linked to affective disorders in obesity. Due to possible correlation between the aforementioned polymorphisms and the affective temperament, the aim of our research was to investigate this connection in an obese population. The study enrolled 245 obese patients (178 females; 67 males). The affective temperament was assessed using the Temperament Evaluation of Memphis, Pisa, Paris, and San Diego autoquestionnaire (TEMPS-A). Genetic polymorphisms of DAT1, COMTVal158Met and DRD4 were collected from peripheral blood sample and determined using a polymerase chain reaction (PCR). Only in COMT polymorphisms, the cyclothymic and irritable dimensions were significantly associated with Met/Val carriers (p = 0.04; p = 0.01). Another interesting finding was the correlation between the affective temperament and age in men and women. We assume that dopamine transmission in heterozygotes of COMT may determine the role of the affective temperament in obese persons. Dopaminergic transmission modulated by COMT may be responsible for a greater temperament expression in obese individuals. To our knowledge, this is the first study describing the role of affective temperament in the obese population, but more research is needed in this regard.

1. Introduction

Previous research devoted to eating disorders, mainly related to anorexia and bulimia, indicated the possibility of specific personality traits related to both the predisposition to the disease and those affecting the course and clinical picture of the disease [1]. The psychological aspects of predisposition to obesity are mostly: disorders of the self-regulation mechanism, beliefs and expectations of the individual, personality traits, difficulties in coping with stress and experienced emotions [2]. Recent psychiatric studies suggest that there is a link between obesity and mood disorders. The association between obesity and depression occurred in childhood. Previous research indicated that the symptoms of eating disorders are common and that patients with bipolar disorder are more obese than the control group [3,4,5]. The results indicate that the symptoms of eating disorders are common and that patients with bipolar disorder are more obese than the control group [6,7]. Along with the broadening of the limits of diagnostic criteria for bipolar disorder (BD) over the last years, research has pointed to the high prevalence of less severe forms of BDs, in particular hypomania, among obese patients [8]. Dopamine might be a factor linking obesity with mood disorders, especially given that maladaptive changes in dopaminergic transmission have been observed in obesity and [9,10,11].
Yokum et al. (2015) tested the multilocus genetic composite risk score—a proxy for dopaminergic signaling—and future changes in BMI values. The results of their study revealed that DRD4, COMTVal158Met and DAT1 polymorphisms, putatively associated with a greater DA signaling capacity, were linked to greater increases in the BMI; hence the future weight gain [12].
According to the regulatory theory, the temperament is the basic, relatively permanent character traits that manifests in the formal specifics of behavior. These features are already present in early childhood and are common to humans and animals. Being originally determined by innate physiological mechanisms, temperament may change under the influence of puberty, aging and certain environmental factors. In their work, Serafini et al. (2015) showed that unpleasant events, inter alia: sexual abuse, physical abuse, child maltreatment or domestic violence, were associated with greater depression and suicidality in adolescents. It is worth noting that the type of events, as well as the frequency and the timing of maltreatment, may influence the risk of psychiatric disorders, including suicidal behavior, due to the disruption in the brain development connected to cognitive, social or emotional functioning [13].
According to Arnold Buss and Robert Plomin (1984), temperament is a set of inherited personality traits that are revealed in early childhood. The temperament understood in this way is the basis for shaping and developing personality [14]. According to the assumptions of modern psychiatry, temperament is considered a personality aspect that takes into account the constant behavior of the individual, predicts mood changes and is strongly genetically conditioned [15,16,17].
An important researcher in the field of psychiatry, Emil Kraepelin, believed that a depressive temperament, and a manic, irritable and cyclothymic temperament is not only represented by affective predispositions, but also by subclinical variations of manic and depressive disorders. Akiskal et al. distinguished four types of affective temperament: depressive, manic, irritable and cyclothymic. In later studies, manic temperament was changed to hyperthymic temperament, and anxiety temperament was added [18,19,20]. The conceptualization of these five types of temperament has led to the creation of a TEMPS psychometric tool (Temperament Evaluation of Memphis, Pisa, Paris and San Diego). In studies utilizing this tool, obese patients showed significantly higher results in cyclothymic, irritable and anxious temperaments compared to the control group [21]. Assuming that the cyclothymic temperament is part of the mild spectrum of BD, these results are consistent with previous studies suggesting a higher incidence of bipolar symptoms in people with obesity [8].
The relationship between temperamental traits in Cloninger’s concept (Temperament and Character Inventory—TCI) and gene polymorphism for the serotonergic and dopaminergic systems was also found. Research is still under way to determine the role of genes in the regulation and emergence of bipolarity and affective temperament [22]. So far, in obesity, this type of research is scarce. Our previous study showed a significant contribution of the SERT gene in the regulation of temperament in the obese population [23].
There are few studies in the literature describing the connection between polymorphisms of the dopaminergic system genes with personality traits, character or temperament. Thus, the aim of this project is to determine the possible role of dopaminergic pathways in the regulation of the affective temperament in the obese population. In order to accomplish our objects, we formulated the following hypotheses:
1. Individuals with higher BMI values will have greater scores in cyclothymic, anxious and irritable temperaments, which are associated with the predisposition to psychiatric comorbidities.
2. A lower dopaminergic transmission modulated by the following gene polymorphisms: COMTVal158Met, DRD4 and DAT1, will be associated with a higher BMI and more pronounced cyclothymic, anxious and irritable dimensions.

2. Results

Basic demographic data and TEMPS-A dimensions in a group of women and men are shown in Table 1. There were significant differences only in terms of more depressed and irritable dimensions in the group of men.
Table 2 shows the analysis of associations between the temperamental dimensions (according to TEMPS-A) and both the age and BMI. Our results revealed, that in the group of women, a greater age significantly correlated with more expressed dimensions of depression and anxiety. Regarding the BMI, we observed its positive correlation with a greater expression of the hyperthymic temperament and a smaller cyclothymia. On the other hand, in the group of men, there was a negative correlation between age and cyclothymia. In this group, the dimensions of cyclothymia and irritability were significantly more pronounced, as the BMI values increased. A partial Kendall’s regression in the group of women showed the significance of the relationship between the age and depressive temperament, the age and anxiety temperament as well as between the BMI and cyclothymic temperament. On the other hand, in the group of men, the significance was confirmed for the BMI and cyclothymic temperament.
When analyzing the correlations of the studied COMT gene polymorphisms in the subgroups of both sexes (Table 3), no significant relationships were found. Thus, we performed an ANOVA for the entire group, and then conducted a post hoc analysis only for significant results for the ANOVA, which revealed a significantly greater expression of cyclothymia in the heterozygote subgroup. Similarly, the irritability was more pronounced in the heterozygous group.
A multiple testing procedure was then performed to confirm the validity of the relevant results. After applying the Bonferroni correction, it was confirmed that the still results for the COMT gene alleles and TEMPS-A cyclothymic (p = 0.01) and irritable (p = 0.01) dimensions are considered to be significant.
According to Table 4, the analyses carried out for the DAT1 polymorphism did not show any significant relationships of temperament dimensions according to TEMPS-A.
Due to a small group of DRD4 L/L carriers, we combined groups of individuals with L/L and L/S together, tagged them as L-carriers, and performed proper calculations. Nevertheless, as shown in Table 5, the obtained results regarding the analysis of the dependencies for DRD4 polymorphisms did not show any significant associations, in the examined group of obese subjects.
After making calculations of one-dimensional analyses on TEMPS-A (Table 6), we confirmed the significant interaction effect for the gender and following temperaments: depressive, cyclothymic and irritable; for the BMI and anxious temperament; and for COMT Val158Met and both the cyclothymic and irritable temperament. However, we did not observe any significance for the age and other examined polymorphisms (Table 6).
The Wald statistic in the logistic regression model indicated the coefficient of gender to be a significant predictor of the TEMPS-D results, and the COMT polymorphism to be a significant predictor of the TEMPS-H and TEMPS-I results (Table 7). These test results for COMT in predicting TEMPS-C and TEMPS-D, and for DAT1 in predicting TEMPS-I, remained in the trend.

3. Discussion

To date, many studies point to the connection between obesity and mood disorders, such as depression or BD [24,25,26,27,28]. Oniszczenko et al. (2015) suggest that personality traits expressed by temperament may constitute specific risk factors for the development of obesity. Those traits might determine behaviors which hinder weight loss or cause excess eating. Moreover, mentioned temperaments may also contribute to the proneness to mood disorders associated with obesity [29].
Therefore, research on a neurobiological basis of affective temperament could convey essential details of how dopaminergic gene polymorphisms add to the pathogenesis of mood disorders in the obese population; it may, in particular, explain that changes in dopamine transmission may be a causative and a common factor in the development of obesity, as well as of affective diseases [30,31,32].
In this study, we analyzed affective temperament dimensions in an obese population using the TEMPS-A autoquestionnaire. Subsequently, we scrutinized correlations of affective temperament and dopaminergic gene polymorphisms which are involved in obesity and mood disorders. Those genes are comprised of COMT Val158Met, DAT1 and DRD4. To our knowledge, this is the first study analyzing the affective temperament in the context of dopaminergic genes in an obese population.
Table 1 and Table 2 show significant differences of affective temperament dimensions in both sexes. According to Table 1, men scored higher than women for the depressed and irritable temperament. The logistic regression model (Table 7) shows significant results for gender and TEMPS-D, but not for the irritable dimension. In our previous study, evaluating the affective temperament in an obese Polish population in the context of the serotonin transporter gene polymorphism (5-HTTLPR), we also observed a higher expression of the irritable temperament in men [23]. Studies show significant differences between temperament dimensions in patients suffering from BDs in comparison to healthy ones. Individuals with BD show greater scores in depressive, cyclothymic, irritable and anxious dimensions [33]. It has been shown that, among bipolar patients, cyclothymic and irritable temperaments may be connected with impulsivity [34]. The French study of Bénard et al. (2017) exhibits a stronger association between impulsivity and obesity in men than in women, suggesting the role of gender in weight status and eating behaviors [35]. Such results are interesting in the context of the proneness to affective disorders in this population, with a differentiation between both sexes.
The literature also shows that females may be more susceptible to depression than men [36]. This may stem from many factors, including sociocultural, psychosocial, or behavioral factors. Considering the molecular basis which connects gender, depression and obesity, the difference in sex hormones may affect a response to stressors and modulate immune responses, resulting in higher inflammation, eventually leading to depressive disorders [37,38,39]. Sex hormones affect the immune system by exerting pro-, or anti-inflammatory effects. This includes stimulating the immune cell activation, or an increased expression of cytokines which participate in the immune responses. Great evidence points to the link between elevated pro-inflammatory cytokines and depression. The data indicate that the immune system may contribute to depression pathogenesis in different ways due to sex differences. During puberty, a crucial period for depression development, the estradiol levels increase. Also, the interplay between sex hormones and the immune system may be seen in peri- and post-partum depression, where the level of estrogen is also augmented [40]. Androgens take part in the suppression of immune responses, but it has been shown that a greater activation of the immune system in males with a reduced testosterone concentration may contribute to mood disorders [41]. Even though the literature shows mixed results in this field, Byrne et al. (2015) conclude that the female sex may be the factor influencing immune responses and depression [38,42]. More research focusing on differences of affective temperament in both sexes would bring interesting data regarding the genetic and molecular basis of morbidity for mood disorders in men and women.
Affective temperament is considered a stable construct associated with genetic transmission and could serve as a phenotype to detect genes responsible for a susceptibility to affective disorders [18,43,44]. Surprisingly, we have observed the correlations between temperament dimensions and age in both men and women. A positive correlation between a depressive and anxious temperament and age may ensue from changes of a person’s experience during their lifetime. The study of Caserta et al. (2011) showed no connections between depression and the immune system in young girls, although in older girls higher depression measures were associated with increased NK cells cytotoxicity [42]. It has been shown that a positive demeanor, i.e., extraversion, agreeableness, or being optimistic, may affect the immune system, by for example lowering the IL-6 response to the stress factors [45,46]. On the other hand, pessimism contributed to augmented markers of inflammation, like IL-6 and the C reactive protein [47]. We assume, that similar associations might be responsible for our results regarding TEMPS-A, and that sex and age might constitute potential modifiers of affective temperament dimensions. Furthermore, more research should be conducted in relation to the association between anxiety and depressive disorders, in the context of hypothalamic-pituitary-adrenal (HPA) axis dysregulation [48,49].
Epigenetics is a novel field describing alterations in gene functioning without changes within the genome sequence. It provides potential mechanisms explaining the adverse effects of environmental factors on modulatory mechanisms of gene expression, which may exert long-term effects and be putatively heritable [50,51]. Recent studies connect epigenetic changes with numerous diseases including cancer, while laying emphasis on their crucial role in the pathopsychology, by explaining the association between depressive and anxiety disorders, and adverse life events, or the impact of stress in childhood [52,53,54,55,56]. Additionally, in some studies, it has been corroborated that epigenetic changes may exert dysregulations in the HPA axis, by affecting its regulatory genes, thus contributing to stress-related disorders. The upregulation of the cortocotropin-releasing hormone expression or altered transcription of the glucocorticoid receptor in the brain regions may stem from stress-induced epigenetic modifications, and thus be responsible for HPA-axis dysfunction [57,58].
Therefore, we assume that epigenetics might be a putative link connecting received TEMPS-A results and age. Due to the scarce literature regarding this topic, we encourage more research engaged in psychoneuroimmunology or the influence of environmental factors on the affective temperament. Epigenetics constitutes a challenging field which may convey essential data explaining discrepancies in affective temperament investigations.
In the current study, an increased BMI positively correlated with a greater expression of hyperthymic temperament in women and a greater cyclothymic and irritable dimension in men. We can refer to our findings from our previous study. Temperament results between morbid obese (BMI > 40) and obese individuals (BMI ≤ 40) showed that morbidly obese scored greater in hyperthymic and cyclothymic dimensions [23]. In the study of Amann et al. (2009), patients with morbid obesity displayed higher scores in cyclothymic, irritable and anxious dimensions, which is partially consistent with our results [21]. Considering that studies show associations between the cyclothymic, irritable and hyperthymic temperament, and BD, the abovementioned data imply a heightened risk of this disease with a weight gain in obese patients [59,60,61,62]. In this study, the cyclothymic temperament in women showed a negative correlation with the BMI and with the age in males, which is inconsistent with findings in the literature [63]. We presume that the heterogeneity of the results may stem from the lack of the control group. It is possible that, when comparing with non-obese individuals, the study group could exhibit a more expressed cyclothymic dimension of the affective temperament.
The association between COMT Val158Met and mood disorders has been pointed out in the literature [64,65,66]. However, many researchers still show some concerns about the exact mechanism by which dopamine transmission, determined by COMT, contributes to the origin of affective disorders [67]. Some authors propose that the polymorphisms may influence the HPA axis reactivity and thus, by causing a dysregulation of the inflammation processes, may be involved in the pathogenesis of mood disorders and obesity in a reciprocal manner [68,69,70]. The literature also shows an association between COMT polymorphisms and personality traits in patients suffering from BD [71,72,73].
Some publications exhibit connections between Met alleles and vulnerability to stress and anxiety, and thus depression [65,74]. However, Massat et al. (2011) showed that the Val allele was more common in individuals with an early stage of depression [75]. The study performed on larger population showed mixed results: The Met allele occurred less frequently among men with depression in comparison to the control group [76].
During the analysis of the connection between affective temperament and dopaminergic gene polymorphisms, we have only observed the association between COMTVal158Met polymorphisms. Considering the affective temperament, COMT heterozygotes showed significant results only in irritable and cyclothymic dimensions. Using a logistic regression model (Table 7), we also received significant results concerning the irritable temperament and COMT polymorphism. Both temperaments were overrepresented in patients with bipolar disorders [59]. The irritable temperament has been linked with anxiety and agitation and found more often in persons with bipolar disorder, in comparison to healthy controls or patients with a major depressive disorder [62,77].
Previous studies on the COMT relationship with the dimensions of the temperament in Cloninger’s concept were focused mainly on the novelty seeking dimension. These studies gave different results, the majority of which focused on the polymorphism rs4680 [78,79,80]. Golimbet et al. (2007) provided evidence that the COMT Met allele (which contributes to the reduction of enzyme activity and ultimately leads to an increase in dopamine levels) was associated with a greater severity of temperamental trait novelty seeking in women [78]. The repetition of this result was done by Tsai and co-workers (2004) on young Chinese women [81]. However, the association of the rs4680 polymorphism of the COMT gene with the novelty seeking dimension of temperament has not been confirmed. Searching in other studies conducted on the Caucasian population and the Japanese population [79,80]. In a study conducted on the Chinese population on drug addicts, the COMT gene polymorphism was shown to be related to the temperamental characteristics of novelty seeking and the tendency to addiction [82]. A decreased pre-dopaminergic activity and low control, associated with specific COMT genotypes, may increase impulsivity, which is a component of novelty seeking. Research by Kang and co-workers (2010) on the dimensions of character showed that the Val158Met COMT polymorphism may be related to a susceptibility to boredom and the need for strong sensations in women [83].
The TEMPS-A validation study showed a positive correlation between both the cyclothymic and irritable temperament and the higher novelty seeking scores; hence, our findings are consistent with the results of the abovementioned studies [84], in particular in relation to the fact that Cloninger’s novelty seeking, as well as Akiskal’s cylothymic and irritable dimension, are involved in affective disorders [85]. In their work, Parneix et al. (2014) found that patients with irritability related to major depressive episodes were characterized with atypical features like weight gain and showed greater novelty seeking. The authors suggested that such findings are indicative of a greater vulnerability to BD [86]. In another study, impulsivity seen in the bipolar spectrum was also described in the context of obesity and food addiction [87]. Thus, the affective temperament seems to be related to a susceptibility to mood disorders in obese individuals, and its evaluation might provide useful information considering treatment approaches.
Unfortunately, due to the observational design of our study and the lack of a control group, it is difficult to explain the molecular basis of the interplay between the dopaminergic transmission modulated by COMT and the affective temperament. We speculate that obese individuals, in comparison to healthy persons, show a disturbed dopamine transmission, and that dopaminergic signaling in heterozygotes gives rise to more pronounced affective temperament dimensions. This may constitute the link between COMT polymorphisms and affective disorders in the obese population. Moreover, individual changes in the dopaminergic transmission might bias the obtained results and influence the temperament expression or exert differences in one’s behavior [88,89]. We propose that future researches of affective temperament should utilize neuroimaging, along with neurogenetic studies, and compare the obtained results with a control group. This measure might elucidate what kind of dopaminergic transmission, determined by COMT, is responsible for the pathogenesis of mood disorders in the obese population.
In Table 4 and Table 5, we did not observe any statistically significant associations between the affective temperament and polymorphisms of DAT1 nor DRD4.
The literature shows mixed results about the connection between the abovementioned polymorphism and temperament analyzed with various scales. According to Cloninger’s theory, the dimension of temperament novelty seeking is, according to this concept, related to the DRD4 gene. Previous studies on the association of the VNTR polymorphism in the DRD4 gene suggested association with the dimension of novelty seeking of temperament [90]. However, further studies did not detect a similar relationship, but showed a correlation of the polymorphism (-521 C/T) of the DRD4 gene with impulsivity and novelty seeking. Other researchers have found a connection between the VNTR polymorphism and two mood temperaments: cyclothymic and irritable; however, this study was performed on a healthy volunteer of the Asian population, and therefore it may be difficult to compare the results to our group [87].
Regarding the DAT1 gene, some studies indicate that the VNTR 3’UTR polymorphism of the DAT1 gene is associated with novelty seeking; however, other researchers have not obtained similar results [91,92,93]. The research also indicates the interaction of DAT1 gene polymorphisms, DRD4 and neuroticism [94]. The literature shows little findings describing affective temperament measured with TEMPS-Am, and DRDR4 or DAT1 polymorphisms, and more studies are needed in this field.
In Table 6, the effect interaction was observed for the anxious dimension and BMI. However, by using a logistic regression we have not obtained significant results for the BMI and any temperament dimension. In the study of Amann et al. (2009), obese patients scored significantly higher in the anxious dimension, as well as for the irritable and cyclothymic factors [21]. Therefore, we assume that persons characterized by an anxious temperament might be at greater risk of further weight gain. Even though we did not find any associations between this dimension and the dopaminergic genes, it could be that an anxious temperament is related to the serotonergic transmission. It could be, in particular, that it has been linked to moderate novelty seeking and greater harm avoidance—which is connected to this type of signaling [95]. Amann et al. (2009) displayed an association between the S allele of the 5HTTLPRI polymorphism in the serotonin transporter gene and greater scores in the following TEMPS dimensions: cyclothymic, irritable and anxious [21]. Gonda et al. (2006) also obtained similar results in the group of women, which indicates the relationship between an affective temperament and the serotonergic transmission [96]. Additionally, in our previous study regarding the 5HTTLPR polymorphism, subjects homozygous to the S allele exhibited higher scores in anxious and depressive dimensions in comparison to L allele carriers. Such results indicate a stronger connection between the affective temperament measured by TEMPS-A and the serotonergic transmission, instead of dopaminergic signaling in the obese population [23].
In this study we analyzed only one neurotransmitter signaling. We must take into consideration that many factors influence behavior, including other gene polymorphisms or the complex neurotransmitter interactions in different brain areas [96,97,98,99,100,101]. For instance, functional brain imaging revealed an additive effect of COMT Met158 and 5-HTTLPR S alleles on the response of the amygdale, hippocampal and limbic cortical areas to unpleasant stimuli, suggesting that persons with those alleles may show a lowered resilience against an anxiety mood [101]. An interesting study of Ro et al. (2018) indicates the differences in the expression of glucagon-like peptide 1 and 2 receptors (GLP-!R, GLP-2R) in patients suffering from mood disorders in comparison to healthy controls, with a greater susceptibility connected to higher BMI values. Both GLP-1R and GLP-2R are implicated in neuroprotection and the antidepressant effect [102]. Moreover, it has been found that a lower expression of the leptin receptor in the hippocampus and hypothalamus may have a significant impact on obesity and comorbid depression. Researchers found that obese individuals or those exposed to chronic unpredictable mild stress showed a diminished expression of the leptin receptor [103]. Nonetheless, mood disorders are complex in their nature and constitute a hard challenge for clinicians in their practice. Due to the growing problem of obesity, there is a need for creating more effective preventing programs that tackle the occurrence of affective disorders in this population. Hence, more studies focusing on the molecular basis of the pathogenesis and interplay between both disorders could bring a better understanding, which is essential for predicting the course and nature of the diseases.

4. Materials and Methods

4.1. Participants

The study was conducted on a population of 245 Caucasian people, who were diagnosed with primary obesity. Secondary causes of obesity were excluded in the Clinic of Endocrinology and Diabetology at the Collegium Medicum of the Nicolaus Copernicus in Bydgoszcz on the basis of a subjective and objective medical assessment, as well as on the basis of performed hormonal and metabolic tests. Significant physical diseases, addiction, substance abuse (e.g., cannabis misuse) or psychiatric and neurological illnesses were the excluding factors for participation in the study. All patients, after being given detailed information on the purpose and nature of the study, expressed written and informed consent of their participation. The study obtained the consent of the bioethical commission at the Nicolaus Copernicus University (No 533/ 2008, 15 Dec 2008).

4.2. Clinical Assessments and Measures

Building on the assessed anthropometric factors, the diagnosis of obesity was established. As a factor reflecting the amount of body fat, the BMI index was adopted. It was calculated as the ratio of weight (kg) to square of height (m).

4.3. Psychological Assessment

For the psychological assessment, we utilized the Temperament Evaluation of Memphis, Pisa, Paris and San Diego Autoquestionnaire (TEMPS-A) to perform an analysis of the dimensions of the affective temperament.

4.4. Genotyping

Genomic DNA was obtained from peripheral blood (5 mL) using the method developed by Lahiri and Schnabel (1993) [104]. The blood was collected on the EDTA medium and mixed, before being frozen in liquid nitrogen and stored at −80 °C prior to extraction. The polymorphisms of the DAT1, COMT and DRD4 genes were determined using the polymerase chain reaction (PCR). The following primers were used: DAT1 forward, 5′-TGTGGTGTAGGGAACGGCCTGAG-3′; DAT1 reverse, 5′-CTTCCTGGAGGTCACGGCTCAAGG-3′; forward, 5′-AGCTCCAAGCGCGCTCACAG-3′; COMT reverse, 5′-CAAAGTGCGCATGCCCTCCC-3′; DRD4 forward: 5′-GCGACTACGTGGTCTACTCG-3′; and DRD4 rewers: 5′-AGGACCCTCATGGCC TTGC-3′. The PCR products were then separated by agarose gel electrophoresis using O’RangeRuler™ 50 bp DNA Ladder (Fermentas) as a length marker (Figure 1, Figure 2 and Figure 3).

4.5. Statistical Analysis

Using the Shapiro-Wilk test, it was determined that the test group does not meet the normal distribution criteria. The statistical significance of the differences between the two groups was calculated using the Mann–Whitney U test, and for comparisons with three or more groups, the Kruskal–Wallis analysis of variance (ANOVA) was applied. The NIR Fisher test was used for post hoc analyses. Correlations between two quantitative variables were examined using the Spearman rank correlation test. To control for the effect of age and BMI, which both exhibit significant simple correlations with the dimensions of temperament, we analyzed the data with a partial Kendall regression (partial Kendall’s Tau), the nonparametric technique that controls for one confounding [105].
An analysis of covariance (ANCOVA) was performed to examine the interaction effects. An effect size was determined using Cohen’s d. The gathered data were analysed by means of StatSoft, Inc. (2017) using Statistica, version 13.0 software and the computer program “Utility Programs for Analysis of Genetic Linkage” (Copyright © 1988 J. Tot) was utilized to test for the goodness of fit to the Hardy–Weinberg equilibrium. The distributions of all three analyzed genotypes were against the Hardy–Weinberg equilibrium.
Bonferroni corrections were used as multiple testing procedures. A logistic regression of data was performed to predict logit on TEMPS-A temperaments subscales (The Wald statistic in Logistic regression model).

5. Conclusions

To our knowledge, this is the first study analyzing the affective temperament in an obese population in the context of dopaminergic genes polymorphisms, including COMT Val158Met, DRD4, and DAT1. The results of our study indicate the connection between the irritable and cyclothymic dimensions in COMT heterozygotes only. We presume that the dopaminergic transmission modulated by these COMT gene polymorphisms may entail a significant expression of cyclothymic and irritable temperaments. This is a very interesting finding, giving rise to more sophisticated research in the future, utilizing neuroimaging studies.

6. Limitations

The main limitation of our study is the lack of a control group in order to gain more reliable results. Second, for the proper evaluation of the connection between the affective temperament and gene polymorphisms, our study group should be larger.

Author Contributions

I state that all authors have made significant contributions in regard to this research. A.B., J.P.-U. and M.B. conceived the idea for the study. J.P.-U. and M.B. contributed to the design of the research. M.B., J.P.-U., N.L. and A.K. were involved in data collection. M.B., N.L., and A.B. were involved in data analyze and interpretation. N.L. and M.B. wrote the manuscript and A.B. with A.T. and R.J. made correction and critically revised the paper. All authors agree to be accountable for all aspects of the work, as well as this manuscript was approved by all authors.

Funding

This research received no external funding.

Acknowledgments

The APC was funded by Nicolaus Copernicus University.

Conflicts of Interest

All authors declare no conflict of interests connected with this manuscript.

References

  1. Eiber, R.; Vera, L.; Mirabel-Sarron, C.; Guelfi, J.-D. Self-esteem: A comparison study between eating disorders and social phobia. L’Encéphale 2003, 29, 35–41. [Google Scholar] [PubMed]
  2. Madsen, S.A.; Grønbaek, H.; Olsen, H. Psychological aspects of obesity. Ugeskr. Laeger 2006, 168, 194–196. [Google Scholar] [PubMed]
  3. Onyike, C.U.; Crum, R.M.; Lee, H.B.; Lyketsos, C.G.; Eaton, W.W. Is obesity associated with major depression? Results from the Third National Health and Nutrition Examination Survey. Am. J. Epidemiol. 2003, 158, 1139–1147. [Google Scholar] [CrossRef] [PubMed]
  4. Pickering, R.P.; Grant, B.F.; Chou, S.P.; Compton, W.M. Are overweight, obesity, and extreme obesity associated with psychopathology? Results from the national epidemiologic survey on alcohol and related conditions. J. Clin. Psychiatry 2007, 68, 998–1009. [Google Scholar] [CrossRef] [PubMed]
  5. Quek, Y.H.; Tam, W.W.S.; Zhang, M.W.B.; Ho, R.C.M. Exploring the association between childhood and adolescent obesity and depression: A meta-analysis. Obes. Rev. 2017, 18, 742–754. [Google Scholar] [PubMed]
  6. Elmslie, J.L.; Silverstone, J.T.; Mann, J.I.; Williams, S.M.; Romans, S.E. Prevalence of overweight and obesity in bipolar patients. J. Clin. Psychiatry 2000, 61, 179–184. [Google Scholar] [CrossRef]
  7. Wildes, J.E.; Marcus, M.D.; Fagiolini, A. Prevalence and correlates of eating disorder co-morbidity in patients with bipolar disorder. Psychiatry Res. 2008, 161, 51–58. [Google Scholar] [CrossRef] [PubMed]
  8. Alciati, A.; D’Ambrosio, A.; Foschi, D.; Corsi, F.; Mellado, C.; Angst, J. Bipolar spectrum disorders in severely obese patients seeking surgical treatment. J. Affect. Disord. 2007, 101, 131–138. [Google Scholar] [CrossRef]
  9. Heshmati, M.; Russo, S.J. Anhedonia and the brain reward circuitry in depression. Curr. Behav. Neurosci. Rep. 2015, 2, 146–153. [Google Scholar] [CrossRef] [PubMed]
  10. Gatt, J.M.; Burton, K.L.; Williams, L.M.; Schofield, P.R. Specific and common genes implicated across major mental disorders: A review of meta-analysis studies. J. Psychiatr. Res. 2015, 60, 1–13. [Google Scholar] [CrossRef] [PubMed]
  11. Nestler, E.J. Role of the brain’s reward circuitry in depression: Transcriptional mechanisms. Int. Rev. Neurobiol. 2015, 124, 151–170. [Google Scholar] [PubMed]
  12. Yokum, S.; Marti, N.C.; Smolen, A.; Stice, E. Relation of the multilocus genetic composite reflecting high dopamine signaling capacity to future increases in BMI. Appetite 2015, 87, 38–45. [Google Scholar] [CrossRef] [PubMed][Green Version]
  13. Serafini, G.; Muzio, C.; Piccinini, G.; Flouri, E.; Ferrigno, G.; Pompili, M.; Girardi, P.; Amore, M. Life adversities and suicidal behavior in young individuals: A systematic review. Eur. Child Adolesc. Psychiatry 2015, 24, 1423–1446. [Google Scholar] [CrossRef] [PubMed]
  14. Buss, A.H.; Plomin, R. Temperament: Early Developing Personality Traits; Lawremce Erlbaum: Hillsdale, NJ, USA, 1984. [Google Scholar]
  15. Kagan, J. Galen’s Prophecy: Temperament in Human Nature; Basic Books: New York, NY, USA, 1994. [Google Scholar]
  16. von Zerssen, D.; Akiskal, H.S. Personality factors in affective disorders: Historical developments and current issues with special reference to the concepts of temperament and character. J. Affect. Disord. 1998, 51, 1–5. [Google Scholar] [PubMed]
  17. Cloninger, C.R.; Svrakic, D.M.; Przybeck, T.R. Can personality assessment predict future depression? A twelve-month follow-up of 631 subjects. J. Affect. Disord. 2006, 92, 35–44. [Google Scholar] [CrossRef] [PubMed]
  18. Akiskal, H.S.; Akiskal, K.K. Cyclothymic, hyperthymic and depressive temperaments as subaffective variants of mood disorders. In Annual Review; Tasman, A., Riba, M.B., Eds.; American Psychatric Press: Washington, DC, USA, 1992; Volume 11, pp. 43–62. [Google Scholar]
  19. Akiskal, H.S. The temperamental foundations of affective disorders. In Interpersonal Factors in the Origin and Course of Affective Disorders; Mundt, C., Hahlweg, K., Fiedler, P., Eds.; Gaskell: London, UK, 1996; pp. 3–30. [Google Scholar]
  20. Akiskal, H.S.; Pinto, O. Soft bipolar spectrum: Footnotes to Kraepelin on the interface of hypomania, temperament and depression. In Bipolar Disorders: 100 Years after Manic-Depressive Insanity; Marneros, A., Angst, J., Eds.; Kluwer Academic: Dordrecht, The Netherlands, 2000; pp. 37–62. [Google Scholar]
  21. Amann, B.; Mergl, R.; Torrent, C.; Perugi, G.; Padberg, F.; El-Gjamal, N.; Laakmann, G. Abnormal temperament in patients with morbid obesity seeking surgical treatment. J. Affect. Disord. 2009, 118, 155–160. [Google Scholar] [CrossRef]
  22. Greenwood, T.A.; Badner, J.A.; Byerley, W.; Keck, P.E.; McElroy, S.L.; Remick, R.A.; Sadovnick, A.D.; Akiskal, H.S.; Kelsoe, J.R. Heritability and genome-wide SNP linkage analysis of temperament in bipolar disorder. J. Affect. Disord. 2013, 150, 1031–1040. [Google Scholar] [CrossRef]
  23. Borkowska, A.; Bieliński, M.; Szczęsny, W.; Szwed, K.; Tomaszewska, M.; Kałwa, A.; Lesiewska, N.; Junik, R.; Gołębiewski, M.; Sikora, M.; et al. Effect of the 5-HTTLPR polymorphism on affective temperament, depression and body mass index in obesity. J. Affect. Disord. 2015, 184, 193–197. [Google Scholar] [CrossRef]
  24. Roberts, R.E.; Kaplan, G.A.; Shema, S.J.; Strawbridge, W.J. Are the obese at greater risk for depression? Am. J. Epidemiol. 2000, 152, 163–170. [Google Scholar] [CrossRef]
  25. Jantaratnotai, N.; Mosikanon, K.; Lee, Y.; McIntyre, R.S. The interface of depression and obesity. Obes. Res. Clin. Pract. 2017, 11, 1–10. [Google Scholar] [CrossRef]
  26. Mannan, M.; Mamun, A.; Doi, S.; Clavarino, A. Prospective Associations between Depression and Obesity for Adolescent Males and Females—A Systematic Review and Meta-Analysis of Longitudinal Studies. PLoS ONE 2016, 11, e0157240. [Google Scholar] [CrossRef]
  27. Zhao, Z.; Okusaga, O.O.; Quevedo, J.; Soares, J.C.; Teixeira, A.L. The potential association between obesity and bipolar disorder: A meta-analysis. J. Affect. Disord. 2016, 202, 120–123. [Google Scholar] [CrossRef]
  28. Łojko, D.; Buzuk, G.; Owecki, M.; Ruchała, M.; Rybakowski, J.K. Atypical features in depression: Association with obesity and bipolar disorder. J. Affect. Disord. 2015, 185, 76–80. [Google Scholar] [CrossRef]
  29. Oniszczenko, W.; Dragan, W.; Chmura, A.; Lisik, W. Temperament as a risk factor for obesity and affective disorders in obese patients in a Polish sample. Eat. Weight Disord. 2015, 20, 233–239. [Google Scholar] [CrossRef]
  30. Cameron, J.D.; Chaput, J.P.; Sjödin, A.M.; Goldfield, G.S. Brain on Fire: Incentive Salience, Hedonic Hot Spots, Dopamine, Obesity, and Other Hunger Games. Annu. Rev. Nutr. 2017, 37, 183–205. [Google Scholar] [CrossRef] [PubMed]
  31. Naef, L.; Pitman, K.A.; Borgland, S.L. Mesolimbic dopamine and its neuromodulators in obesity and binge eating. CNS Spectr. 2015, 20, 574–583. [Google Scholar] [CrossRef] [PubMed]
  32. Luo, S.X. Dopamine and Obesity: A Path for Translation? Biol. Psychiatry 2016, 79, e85–e86. [Google Scholar] [CrossRef] [PubMed]
  33. Röttig, D.; Röttig, S.; Brieger, P.; Marneros, A. Temperament and personalityin bipolar I patients with and without mixed episodes. J. Affect. Disord. 2007, 104, 97–102. [Google Scholar] [CrossRef] [PubMed]
  34. Tatlidil Yaylaci, E.; Kesebir, S.; Güngördü, Ö. The relationship between impulsivity and lipid levels in bipolar patients: Does temperament explain it? Compr. Psychiatry 2014, 55, 883–886. [Google Scholar] [CrossRef]
  35. Bénard, M.; Camilleri, G.M.; Camilleri, G.M.; Etilé, F.; Méjean, C.; Bellisle, F.; Reach, G.; Hercberg, S.; Péneau, S. Association between Impulsivity and Weight Status in a General Population. Nutrients 2017, 9, 217. [Google Scholar] [CrossRef]
  36. Piccinelli, M.; Wilkinson, G. Gender differences in depression: Critical review. Br. J. Psychiatry 2000, 177, 486–492. [Google Scholar] [CrossRef] [PubMed]
  37. Fabricatore, A.N.; Wadden, T.A. Psychological aspects of obesity. Clin. Dermatol. 2004, 22, 332–337. [Google Scholar] [CrossRef] [PubMed]
  38. Byrne, M.L.; O’Brien-Simpson, N.M.; Mitchell, S.A.; Allen, N.B. Adolescent-Onset Depression: Are Obesity and Inflammation Developmental Mechanisms or Outcomes? Child Psychiatry Hum. Dev. 2015, 46, 839–850. [Google Scholar] [CrossRef] [PubMed]
  39. Cutolo, M.; Straub, R.H.; Bijlsma, J.W. Neuroendocrine–immune interactions in synovitis. Nat. Rev. Rheumatol. 2007, 3, 627–634. [Google Scholar] [CrossRef] [PubMed]
  40. Rainville, J.R.; Tsyglakova, M.; Hodes, G.E. Deciphering sex differences in the immune system and depression. Front. Neuroendocrinol. 2018, 50, 67–90. [Google Scholar] [CrossRef] [PubMed]
  41. Grinspoon, S.; Corcoran, C.; Stanley, T.; Baaj, A.; Basgoz, N.; Klibanski, A. Effects of hypogonadism and testosterone administration on depression indices in HIV-infected men. J. Clin. Endocrinol. Metab. 2000, 85, 60–65. [Google Scholar] [CrossRef]
  42. Caserta, M.T.; Wyman, P.A.; Wang, H.; Moynihan, J.; O’Connor, T.G. Associations among depression, perceived self-efficacy, and immune function and health in preadolescent children. Dev. Psychopathol. 2011, 23, 1139–1147. [Google Scholar] [CrossRef]
  43. Akiskal, H.S. Delineating irritable and hyperthymic variants of the cyclothymic temperament: Reassessing personality disorder constructs. J. Pers. Disord. 1992, 6, 326–342. [Google Scholar] [CrossRef]
  44. Perugi, G.; Toni, C.; Maremmani, I.; Tusini, G.; Ramacciotti, S.; Madia, A.; Fornaro, M.; Akiskal, H.S. The influence of affective temperaments and psychopathological traits on the definition of bipolar disorder subtypes: A study on bipolar I Italian national sample. J. Affect. Disord. 2012, 136, 41–49. [Google Scholar] [CrossRef]
  45. Cohen, S.; Doyle, W.J.; Turner, R.; Alper, C.M.; Skoner, D.P. Sociability and susceptibility to the common cold. Psychol. Sci. 2003, 14, 389–395. [Google Scholar] [CrossRef]
  46. Brydon, L.; Walker, C.; Wawrzyniak, A.J.; Chart, H.; Steptoe, A. Dispositional optimism and stress-induced changes in immunity and negative mood. Brain Behav. Immun. 2009, 23, 810–816. [Google Scholar] [CrossRef]
  47. Roy, B.; Diez-Roux, A.V.; Seeman, T.; Ranjit, N.; Shea, S.; Cushman, M. Association of optimism and pessimism with inflammation and hemostasis in the Multi-Ethnic Study of Atherosclerosis (MESA). Psychosom. Med. 2010, 72, 134–140. [Google Scholar] [CrossRef]
  48. Anacker, C.; O’Donnell, K.J.; Meaney, M.J. Early life adversity and the epigenetic programming of hypothalamic-pituitary-adrenal function. Dialogues Clin. Neurosci. 2014, 16, 321–333. [Google Scholar]
  49. Bartlett, A.A.; Singh, R.; Hunter, R.G. Anxiety and Epigenetics. Adv. Exp. Med. Biol. 2017, 978, 145–166. [Google Scholar]
  50. Egger, G.; Liang, G.; Aparicio, A.; Jones, P.A. Epigenetics in human disease and prospects for epigenetic therapy. Nature 2004, 429, 457–463. [Google Scholar] [CrossRef]
  51. Schroeder, M.; Hillemacher, T.; Bleich, S.; Frieling, H. The epigenetic code in depression: Implications for treatment. Clin. Pharmacol. Ther. 2012, 91, 310–314. [Google Scholar] [CrossRef]
  52. Jankowska, A.M.; Millward, C.L.; Caldwell, C.W. The potential of DNA modifications as biomarkers and therapeutic targets in oncology. Expert Rev. Mol. Diagn. 2015, 15, 1325–1337. [Google Scholar] [CrossRef]
  53. Shooshtari, P.; Huang, H.; Cotsapas, C. Integrative Genetic and Epigenetic Analysis Uncovers Regulatory Mechanisms of Autoimmune Disease. Am. J. Hum. Genet. 2017, 101, 75–86. [Google Scholar] [CrossRef]
  54. Radtke, K.M.; Schauer, M.; Gunter, H.M.; Ruf-Leuschner, M.; Sill, J.; Meyer, A.; Elbert, T. Epigenetic modifications of the glucocorticoid receptor gene are associated with the vulnerability to psychopathology in childhood maltreatment. Transl. Psychiatry 2015, 5, e571. [Google Scholar] [CrossRef]
  55. Farrell, C.; O’Keane, V. Epigenetics and the glucocorticoid receptor: A review of the implications in depression. Psychiatry Res. 2016, 242, 349–356. [Google Scholar] [CrossRef]
  56. Dalton, V.S.; Kolshus, E.; McLoughlin, D.M. Epigenetics and depression: Return of the repressed. J. Affect. Disord. 2014, 155, 1–12. [Google Scholar] [CrossRef]
  57. Dirven, B.C.J.; Homberg, J.R.; Kozicz, T.; Henckens, M.J.A.G. Epigenetic programming of the neuroendocrine stress response by adult life stress. J. Mol. Endocrinol. 2017, 59, R11–R31. [Google Scholar] [CrossRef]
  58. Ancelin, M.L.; Scali, J.; Norton, J.; Ritchie, K.; Dupuy, A.M.; Chaudieu, I.; Ryan, J. Heterogeneity in HPA axis dysregulation and serotonergic vulnerability to depression. Psychoneuroendocrinology 2017, 77, 90–94. [Google Scholar] [CrossRef]
  59. Evans, L.; Akiskal, H.S.; Keck, P.E., Jr.; McElroy, S.L.; Sadovnick, A.D.; Remick, R.A.; Kelsoe, J.R. Familiality of temperament in bipolar disorder: Support for a genetic spectrum. J. Affect. Disord. 2005, 85, 153–168. [Google Scholar] [CrossRef]
  60. Kesebir, S.; Vahip, S.; Akdeniz, F.; Yüncü, Z.; Alkan, M.; Akiskal, H. Affective temperaments as measured by TEMPS-A in patients with bipolar I disorder and their first-degree relatives: A controlled study. J. Affect. Disord. 2005, 85, 127–133. [Google Scholar] [CrossRef]
  61. Takeshima, M.; Oka, T. Comparative analysis of affective temperament in patients with difficult-to-treat and easy-to-treat major depression and bipolar disorder: Possible application in clinical settings. Compr. Psychiatry 2016, 66, 71–78. [Google Scholar] [CrossRef]
  62. Serafini, G.; Geoffroy, P.A.; Aguglia, A.; Adavastro, G.; Canepa, G.; Pompili, M.; Amore, M. Irritable temperament and lifetime psychotic symptoms as predictors of anxiety symptoms in bipolar disorder. Nord. J. Psychiatry 2018, 72, 63–71. [Google Scholar] [CrossRef]
  63. Signoretta, S.; Maremmani, I.; Liguori, A.; Perugi, G.; Akiskal, H.S. Affective temperament traits measured by TEMPS-I and emotional-behavioral problems in clinically-well children, adolescents, and young adults. J. Affect. Disord. 2005, 85, 169–180. [Google Scholar] [CrossRef]
  64. Taylor, S. Association between COMT Val158Met and psychiatric disorders: A comprehensive meta-analysis. Am. J. Med. Genet. B Neuropsychiatr. Genet. 2018, 177, 199–210. [Google Scholar] [CrossRef]
  65. Antypa, N.; Drago, A.; Serretti, A. The role of COMT gene variants in depression: Bridging neuropsychological, behavioral and clinical phenotypes. Neurosci. Biobehav. Rev. 2013, 37, 1597–1610. [Google Scholar] [CrossRef]
  66. Bieliński, M.; Jaracz, M.; Lesiewska, N.; Tomaszewska, M.; Sikora, M.; Junik, R.; Kamińska, A.; Tretyn, A.; Borkowska, A. Association between COMT Val158Met and DAT1 polymorphisms and depressive symptoms in the obese population. Neuropsychiatr. Dis. Treat. 2017, 13, 2221–2229. [Google Scholar] [CrossRef][Green Version]
  67. Opmeer, E.M.; Kortekaas, R.; van Tol, M.J.; van der Wee, N.J.; Woudstra, S.; van Buchem, M.A.; Penninx, B.W.; Veltman, D.J.; Aleman, A. Influence of COMT val158met genotype on the depressed brain during emotional processing and working memory. PLoS ONE 2013, 8, e73290. [Google Scholar] [CrossRef][Green Version]
  68. Montirosso, R.; Provenzi, L.; Tavian, D.; Missaglia, S.; Raggi, M.E.; Borgatti, R. COMT(val158met) polymorphism is associated with behavioral response and physiologic reactivity to socio-emotional stress in 4-month-old infants. Infant Behav. Dev. 2016, 45, 71–82. [Google Scholar] [CrossRef]
  69. Bornstein, S.R.; Schuppenies, A.; Wong, M.L.; Licinio, J. Approaching the shared biology of obesity and depression: The stress axis as the locus of gene-environment interactions. Mol. Psychiatry 2006, 11, 892–902. [Google Scholar] [CrossRef]
  70. Luppino, F.S.; de Wit, L.M.; Bouvy, P.F.; Stijnen, T.; Cuijpers, P.; Penninx, B.W.; Zitman, F.G. Overweight, obesity, and depression: A systematic review and meta-analysis of longitudinal studies. Arch. Gen. Psychiatry 2010, 67, 220–229. [Google Scholar] [CrossRef]
  71. Savitz, J.; van der Merwe, L.; Ramesar, R. Personality endophenotypes for bipolar affective disorder: A family-based genetic association analysis. Genes Brain Behav. 2008, 7, 869–876. [Google Scholar] [CrossRef]
  72. Dávila, W.; Basterreche, N.; Arrue, A.; Zamalloa, M.I.; Gordo, E.; Dávila, R.; González-Torres, M.A.; Zumárraga, M. The influence of the Val158Met catechol-O-methyltransferase polymorphism on the personality traits of bipolar patients. PLoS ONE 2013, 8, e62900. [Google Scholar] [CrossRef]
  73. Burdick, K.E.; Funke, B.; Goldberg, J.F.; Bates, J.A.; Jaeger, J.; Kucherlapati, R.; Malhotra, A.K. COMT genotype increases risk for bipolar I disorder and influences neurocognitive performance. Bipolar Disord. 2007, 9, 370–376. [Google Scholar] [CrossRef]
  74. Enoch, M.A.; Xu, K.; Ferro, E.; Harris, C.R.; Goldman, D. Genetic origins of anxiety in women: A role for a functional catechol-O-methyltransferase polymorphism. Psychiatr. Genet. 2003, 13, 33–41. [Google Scholar] [CrossRef]
  75. Massat, I.; Kocabas, N.A.; Crisafulli, C.; Chiesa, A.; Calati, R.; Linotte, S.; Kasper, S.; Fink, M.; Antonijevic, I.; Forray, C.; et al. COMT and age at onset in mood disorders: A replication and extension study. Neurosci. Lett. 2011, 498, 218–221. [Google Scholar] [CrossRef]
  76. Baekken, P.M.; Skorpen, F.; Stordal, E.; Zwart, J.A.; Hagen, K. Depression and anxiety in relation to catechol-O-methyltransferase Val158Met genotype in the general population: The Nord-Trøndelag Health Study (HUNT). BMC Psychiatry 2008, 8, 48. [Google Scholar] [CrossRef]
  77. Strakowski, S.M.; Sax, K.W.; McElroy, S.L.; Keck, P.E., Jr.; Hawkins, J.M.; West, S.A. Course of psychiatric and substance abuse syndromes co-occurring with bipolar disorder after a first psychiatric hospitalization. J. Clin. Psychiatry 1998, 59, 465–471. [Google Scholar] [CrossRef]
  78. Golimbet, V.E.; Alfimova, M.V.; Gritsenko, I.K.; Ebstein, R.P. Relationship between dopamine system genes and extraversion and novelty seeking. Neurosci. Behav. Physiol. 2007, 37, 601–606. [Google Scholar] [CrossRef]
  79. Hashimoto, R.; Noguchi, H.; Hori, H.; Ohi, K.; Yasuda, Y.; Takeda, M.; Kunugi, H.A. A possible association between the Val158Met polymorphism of the catechol-O-methyl transferase gene and the personality trait of harm avoidance in Japanese healthy subjects. Neurosci. Lett. 2007, 428, 17–20. [Google Scholar] [CrossRef]
  80. Heck, A.; Lieb, R.; Ellgas, A.; Pfister, H.; Lucae, S.; Roeske, D.; Pütz, B.; Müller-Myhsok, B.; Uhr, M.; Holsboer, F.; et al. Investigation of 17 candidate genes for personality traits confirms effects of the HTR2A gene on novelty seeking. Genes Brain Behav. 2009, 8, 464–472. [Google Scholar] [CrossRef]
  81. Tsai, S.J.; Hong, C.J.; Yu, Y.W.; Chen, T.J. Association study of catechol-O-methyltransferase gene and dopamine D4 receptor gene polymorphisms and personality traits in healthy young Chinese females. Neuropsychobiology 2004, 50, 153–156. [Google Scholar] [CrossRef]
  82. Li, T.; Yu, S.; Du, J.; Chen, H.; Jiang, H.; Xu, K.; Fu, Y.; Wang, D.; Zhao, M. Role of novelty seeking personality traits as mediator of the association between COMT and onset age of drug use in Chinese heroin dependent patients. PLoS ONE 2011, 6, e22923. [Google Scholar] [CrossRef]
  83. Kang, J.I.; Namkoong, K.; Kim, S.J. The association of 5-HTTLPR and DRD4 VNTR polymorphisms with affective temperamental traits in healthy volunteers. J. Affect. Disord. 2008, 109, 157–163. [Google Scholar] [CrossRef]
  84. Akiskal, H.S.; Mendlowicz, M.V.; Jean-Louis, G.; Rapaport, M.H.; Kelsoe, J.R.; Gillin, J.C.; Smith, T.L. TEMPS-A: Validation of a short version of a self-rated instrument designed to measure variations in temperament. J. Affect. Disord. 2005, 85, 45–52. [Google Scholar] [CrossRef]
  85. Erić, A.P.; Erić, I.; Ćurković, M.; Dodig-Ćurković, K.; Kralik, K.; Kovač, V.; Filaković, P. The temperament and character traits in patients with major depressive disorder and bipolar affective disorder with and without suicide attempt. Psychiatr. Danub. 2017, 29, 171–178. [Google Scholar] [CrossRef]
  86. Parneix, M.; Pericaud, M.; Clement, J.P. Irritability associated with major depressive episodes: Its relationship with mood disorders and temperament. Turk Psikiyatr. Derg. 2014, 25, 106–113. [Google Scholar]
  87. VanderBroek-Stice, L.; Stojek, M.K.; Beach, S.R.; vanDellen, M.R.; MacKillop, J. Multidimensional assessment of impulsivity in relation to obesity and food addiction. Appetite 2017, 112, 59–68. [Google Scholar] [CrossRef] [PubMed]
  88. Gordon, J.A.; Hen, R. Genetic approaches to the study of anxiety. Annu. Rev. Neurosci. 2004, 27, 193–222. [Google Scholar] [CrossRef] [PubMed]
  89. Depue, R.A.; Collins, P.F. Neurobiology of the structure of personality: Dopamine, facilitation of incentive motivation, and extraversion. Behav. Brain Sci. 1999, 22, 491–517. [Google Scholar] [CrossRef] [PubMed]
  90. Ebstein, R.P.; Segman, R.; Benjamin, J.; Osher, Y.; Nemanov, L.; Belmaker, R.H. 5-HT2C (HTR2C) serotonin receptor gene polymorphism associated with the human personality trait of reward dependence: Interaction with dopamine D4 receptor (D4DR) and dopamine D3 receptor (D3DR) polymorphisms. Am. J. Med. Genet. 1997, 74, 65–72. [Google Scholar] [CrossRef]
  91. Van Gestel, S.; Forsgren, T.; Claes, S.; Del-Favero, J.; Van Duijn, C.M.; Sluijs, S.; Nilsson, L.G.; Adolfsson, R.; Van Broeckhoven, C. Epistatic effect of genes from the dopamine and serotonin systems on the temperament traits of novelty seeking and harm avoidance. Mol. Psychiatry 2002, 7, 448–450. [Google Scholar] [CrossRef] [PubMed]
  92. Jorm, A.F.; Prior, M.; Sanson, A.; Smart, D.; Zhang, Y.; Easteal, S. Association of a functional polymorphism of the serotonin transporter gene with anxiety-related temperament and behavior problems in children: A longitudinal study from infancy to the mid-teens. Mol. Psychiatry 2000, 5, 542–547. [Google Scholar] [CrossRef][Green Version]
  93. Kim, S.J.; Kim, Y.S.; Kim, C.H.; Lee, H.S. Lack of association between polymorphisms of the dopamine receptor D4 and dopamine transporter genes and personality traits in a Korean population. Yonsei Med. J. 2006, 47, 787–792. [Google Scholar] [CrossRef]
  94. Congdon, E.; Lesch, K.P.; Canli, T. Analysis of DRD4 and DAT polymorphisms and behavioral inhibition in healthy adults: Implications for impulsivity. Am. J. Med. Genet. B Neuropsychiatr. Genet. 2008, 147B, 27–32. [Google Scholar] [CrossRef]
  95. Maremmani, I.; Akiskal, H.; Signoretta, S.; Liguori, A.; Perugi, G.; Cloninger, C. The relationship of Kraepelian affective temperaments (asmeasured by TEMPS-I) to the tridimensional personality questionnaire (TPQ). J. Affect. Disord. 2005, 85, 17–27. [Google Scholar] [CrossRef]
  96. Gonda, X.; Rihmer, Z.; Zsombok, T.; Bagdy, G.; Akiskal, K.K.; Akiskal, H.S. The 5HTTLPR polymorphism of the serotonin transporter gene is associated with affective temperaments as measured by TEMPS-A. J. Affect. Disord. 2006, 91, 125–131. [Google Scholar] [CrossRef] [PubMed]
  97. Alexander, G.E.; DeLong, M.R.; Strick, P.L. Parallel organization of functionally segregated circuits linking basal ganglia and cortex. Annu. Rev. Neurosci. 1986, 9, 357–381. [Google Scholar] [CrossRef] [PubMed]
  98. Benjamin, J.; Osher, Y.; Kotler, M.; Gritsenko, I.; Nemanov, L.; Belmaker, R.H.; Ebstein, R.P. Association between tridimensional personality questionnaire (TPQ) traits and three functional polymorphisms: Dopamine receptor D4 (DRD4), serotonin transporter promoter region (5-HTTLPR) and catechol O-methyltransferase (COMT). Mol. Psychiatry 2000, 5, 96–100. [Google Scholar] [CrossRef] [PubMed]
  99. Smolka, M.N.; Bühler, M.; Schumann, G.; Klein, S.; Hu, X.Z.; Moayer, M.; Zimmer, A.; Wrase, J.; Flor, H.; Mann, K.; et al. Gene-gene effects on central processing of aversive stimuli. Mol. Psychiatry 2007, 12, 307–317. [Google Scholar] [CrossRef] [PubMed]
  100. Drabant, E.M.; Hariri, A.R.; Meyer-Lindenberg, A.; Munoz, K.E.; Mattay, V.S.; Kolachana, B.S.; Egan, M.F.; Weinberger, D.R. Catechol O-methyltransferase val158met genotype and neural mechanisms related to affective arousal and regulation. Arch. Gen. Psychiatry 2006, 63, 1396–1406. [Google Scholar] [CrossRef] [PubMed]
  101. Bagdy, G.; Juhasz, G.; Gonda, X. A new clinical evidence-based gene-environment interaction model of depression. Neuropsychopharmacol. Hung. 2012, 14, 213–220. [Google Scholar] [PubMed]
  102. Mansur, R.B.; Fries, G.R.; Trevizol, A.P.; Subramaniapillai, M.; Lovshin, J.; Lin, K.; Vinberg, M.; Ho, R.C.; Brietzke, E.; McIntyre, R.S. The effect of body mass index on glucagon-like peptide receptor gene expression in the post mortem brain from individuals with mood and psychotic disorders. Eur. Neuropsychopharmacol. 2019, 29, 137–146. [Google Scholar] [CrossRef]
  103. Yang, J.L.; Liu, X.; Jiang, H.; Pan, F.; Ho, C.S.; Ho, R.C. The Effects of High-fat-diet Combined with Chronic Unpredictable Mild Stress on Depression-like Behavior and Leptin/LepRb in Male Rats. Sci. Rep. 2016, 6, 35239. [Google Scholar] [CrossRef]
  104. Lahiri, D.K.; Schnable, B. DNA isolation by a rapid method from human blood samples: Effects of MgCl2, EDTA, storage time, and temperature on DNA yield and quality. Biochem. Genet. 1993, 1, 321–328. [Google Scholar] [CrossRef]
  105. Kaňková, Š.; Kodym, P.; Flegr, J. Direct evidence of Toxoplasma-induced changes in serum testosterone in mice. Exp. Parasitol. 2011, 128, 181–183. [Google Scholar] [CrossRef]
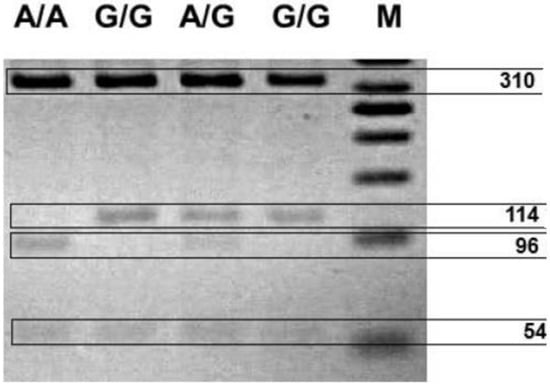
Figure 1. Photo of the digested COMT PCR products. The results are labeled by genotype: Met/Met (A/A), 96 bp only; Val/Met (A/G) 114 and 96 bp; and Val/Val (G/G), 114 bp only.
Figure 1. Photo of the digested COMT PCR products. The results are labeled by genotype: Met/Met (A/A), 96 bp only; Val/Met (A/G) 114 and 96 bp; and Val/Val (G/G), 114 bp only.
Ijms 20 01847 g001
Figure 2. Photo of digested DAT1 PCR products. The results are labeled by genotype: 10/10 (L/L) 483 bp only; 10/9 (L/S) 483 and 443 bp; and 9/9 (S/S) 443 bp only.
Figure 2. Photo of digested DAT1 PCR products. The results are labeled by genotype: 10/10 (L/L) 483 bp only; 10/9 (L/S) 483 and 443 bp; and 9/9 (S/S) 443 bp only.
Ijms 20 01847 g002
Figure 3. Photo of digested DRD4 PCR products. Representative photo of separated DRD4 PCR products depending on the genotype: LL—only 619 bp band (7R); S/S 379 bd (2R) or/and 427 bp (3R) or/and 523 bp (5R) band; L/S – 379 bd (2R) or 427 bp (3R) or 523 bp (5R) and 619 bp (7R) bands.
Figure 3. Photo of digested DRD4 PCR products. Representative photo of separated DRD4 PCR products depending on the genotype: LL—only 619 bp band (7R); S/S 379 bd (2R) or/and 427 bp (3R) or/and 523 bp (5R) band; L/S – 379 bd (2R) or 427 bp (3R) or 523 bp (5R) and 619 bp (7R) bands.
Ijms 20 01847 g003
Table 1. Age, body mass index (BMI) and results on the TEMPS-A scale in study participants. Data are presented as medians, and 25th and 75th quartiles.
Table 1. Age, body mass index (BMI) and results on the TEMPS-A scale in study participants. Data are presented as medians, and 25th and 75th quartiles.
FemaleMalePCohen’s d
(n = 178)(n = 67)
Age41420.110.24
(36.0–47.0)(34.0–48.5)
BMI40.741.40.80.03
(36.3–47.0)(35.2–48.5)
TEMPS_D0.380.430.040.36
(0.28–0.52)(0.24–0.43)
TEMPS_C0.360.470.090.29
(0.24–0.52)(0.23–0.62)
TEMPS_H0.520.520.530.1
(0.35–0.62)(0.38–0.64)
TEMPS_I0.140.230.0010.42
(0.05–0.28)(0.09–0.33)
TEMPS_A0.330.350.120.18
(0.24–0.55)(0.17–0.51)
BMI, body mass index; TEMPS_D—depressive subscale of TEMPS-A; TEMPS_C—cyclothymic subscale of TEMPS-A; hyperthymic subscale of TEMPS-A; TEMPS_I—irritable subscale of TEMPS-A; TEMPS_A—anxious subscale of TEMPS-A. Significance of differences between sexes was determined by the Mann—Whitney U test. Size effect was measured by Cohen’s d method.
Table 2. R-Spearman correlations of the age and BMI result with the TEMPS scores in women and men. Partial Kendall regression for significant correlations.
Table 2. R-Spearman correlations of the age and BMI result with the TEMPS scores in women and men. Partial Kendall regression for significant correlations.
FemaleMale
(n = 178)(n = 67)
AgeBMIAgeBMI
TEMPS_Dr = 0.21
p = 0.004r = −0.14r = −0.05r = 0.06
Par. Kendall’s taup = 0.06p = 0.68p = 0.63
Tau = -2.74; p = 0.006
TEMPS_C r = −0.16r = −0.26r = 0.33
r = −0.06p = 0.03p = 0.03p = 0.006
p = 0.42Par. Kendall’s tauPar. Kendall’s tauPar. Kendall’s tau
Tau = −0.15; p = 0.002Tau = −0.01; p = 0.44Tau = −0,24; p = 0.003
TEMPS_H r = 0.16
r = −0.09p = 0.03r = 0.09r = −0.09
p = 0.23Par. Kendall’s taup = 0.46p = 0.47
Tau = 0.01; p = 0.37
TEMPS_I r = 0.31
r = 0.004r = −0.07r = −0.12p = 0.01
p = 0.95p = 0.35p = 0.33Par. Kendall’s tau
Tau = −0.13; p = 0.05
TEMPS_Ar = 0.16
p = 0.03r = −0.11r = −0.11r = 0.07
Par. Kendall’s taup = 0.14p = 0.37p = 0.57
Tau = −0.09; p = 0.03
BMI, body mass index; TEMPS_D—depressive subscale of TEMPS-A; TEMPS_C—cyclothymic subscale of TEMPS-A; TEMPS_H—hyperthymic subscale of TEMPS-A; TEMPS_I—irritable subscale of TEMPS-A; TEMPS_A—anxious subscale of TEMPS-A. Par. Kendall’s tau—partial Kendall’s tau. Bold values indicate statistical significance.
Table 3. COMT polymorphisms and TEMPS results in study group.
Table 3. COMT polymorphisms and TEMPS results in study group.
All Group
(n = 245)
G/GG/AA/Ap
(n = 64)(n = 120)(n = 61)
BMI40.942,542,40.52
(36.7–44.3)(36.5–49.0)(37.0–48.1)
TEMPS_D0.360.420.380.36
(0.28–0.42)(0.28–0.52)(0.28–0.43)
TEMPS_C 0.04Post-hoc
0.280.470.38G/G vs G/A p = 0.014
(0.16–0.47)(0.24–0.64)(0.23–0.52)G/A vs A/A ns
G/Avs AA na
TEMPS_H0.570.470.570.07
(0.50–0.67)(0.28–0.61)(0.38–0.57)
TEMPS_I 0.01Post-hoc
0.090.260.09G/G vs G/A p = 0.01
(0.04–0.16)(0.09–0.33)(0.05–0.24)G/A vs A/A ns
G/Avs AA ns
TEMPS_A0,320,350.320.52
(0.20–0.52)(0.22–0.59)(0.24–0.52)
BMI, body mass index; TEMPS_D—depressive subscale of TEMPS-A; TEMPS_C—cyclothymic subscale of TEMPS-A; TEMPS_H—hyperthymic subscale of TEMPS-A; TEMPS_I—irritable subscale of TEMPS-A; TEMPS_A—anxious subscale of TEMPS-A. Significance of differences between subgroups was determined by the Kruskal-Wallis ANOVA. Post-hoc analysis was conducted with Fisher’s NIR test.
Table 4. DAT polymorphisms and TEMPS-A scale results in study group.
Table 4. DAT polymorphisms and TEMPS-A scale results in study group.
All Group
(n =245)
L/LL/SS/Sp
(n = 117)(n = 103)(n = 25)
BMI41.241.640.70.9
(36.2–48.9)(35.8–48.5)(39.9–46.8)
TEMPS_D0.420.380.380.71
(0.28–0.52)(0.28–0.47)(0.28–0.47)
TEMPS_C0.380.380.330.86
(0.24–0.62)(0.23–0.57)(0.29–0.48)
TEMPS_H0.520.520.570.87
(0.36–0.61)(0.38–0.62)(0.38–0.62)
TEMPS_I0.190.140.090.23
(0.07–0.33)(0.05–0.28)(0.04–0.29)
TEMPS_A0.320.330.440.41
(0.21–0.52)(0.24–0.52)(0.28–0.59)
BMI, body mass index; TEMPS_D—depressive subscale of TEMPS-A; TEMPS_C—cyclothymic subscale of TEMPS-A; TEMPS_H—hyperthymic subscale of TEMPS-A; TEMPS_I—irritable subscale of TEMPS-A; TEMPS_A—anxious subscale of TEMPS-A. Significance of differences between subgroups was determined by the Kruskal-Wallis ANOVA.
Table 5. DRD4 polymorphisms and TEMPS-A results in subgroups of women and men.
Table 5. DRD4 polymorphisms and TEMPS-A results in subgroups of women and men.
All Group
(n = 245)
L/L; L/SS/S 114p
(n = 84)(n = 161)
BMI42.941.80.21
(38.5–49.0)(37.2–47.1)
TEMPS_D0.40.330.25
(0.28–0.47)(0.28–0.47)
TEMPS_C0.380.470.64
(0.24–0.61)(0.23–0.57)
TEMPS_H0.470.190.15
(0.35–0.59)(0.05–0.28)
TEMPS_I0.160.190.27
(0.05–0.33)(0.20–0.55)
TEMPS_A0.320.350.75
(0.24–0.47)(0.20–0.54)
BMI, body mass index; TEMPS_D—depressive subscale of TEMPS-A; TEMPS_C—cyclothymic subscale of TEMPS-A; TEMPS_H—hyperthymic subscale of TEMPS-A; TEMPS_I—irritable subscale of TEMPS-A; TEMPS_A—anxious subscale of TEMPS-A. Significance of differences between subgroups was determined by the Kruskal-Wallis ANOVA.
Table 6. Analyses of unidimensional interaction effects for TEMPS-A temperaments subscales.
Table 6. Analyses of unidimensional interaction effects for TEMPS-A temperaments subscales.
TEMPS-DTEMPS-CTEMPS-HTEMPS-ITEMPS-A
SSFpSSFpSSFpSSFpSSFp
Gender0.155.30.020.234.60.030.010.360.540.186.10.010.040.940.33
Age2.081.380.062.070.680.942.071.010.461.891.190.203.031.170.22
BMI0.110.780.650.354.70.110.060.200.960.374.90.100.2417.10.01
DAT10.020.380.680.220.220.790.0070.10.900.091.530.210.050.520.59
COMT0.071.490.220.323.20.040.222.90.050.203.40.030.101.070.34
DRD40.020.490.610.040.390.670.071.080.340.071.360.350.010.110.89
One-dimensional analysis of significance (ANOVA) F-test based on SS.
Table 7. Logistic regression model coefficients on TEMPS-A temperaments subscales.
Table 7. Logistic regression model coefficients on TEMPS-A temperaments subscales.
TEMPS-D
BS.E.Walddfp95%C.I.95%C.I.
LowerUpper
Gender0.1640.0578.0510.0040.2780.05
Age0.0030.0040.6910.40.011−0.004
BMI0.000080.0060.0110.890.013−0.11
DAT10.0360.060.3720.820.157−0.085
COMT−0.1260.075.720.0570.018−0.272
DRD4−0.1000.1960.2720.860.284−0.485
TEMPS-C
BS.E.Walddfp95%C.I.95%C.I.
LowerUpper
Gender−0.130.0663.9510.04−0.001−0.262
Age−0.00070.0050.0110.90.01−0.012
BMI0.0080.0081.0910.290.296−0.007
DAT1−0.0450.080.320.850.12−0.21
COMT−0.1770.1112.9920.0550.04−0.39
DRD40.1370.1680.8320.650.3660.117
TEMPS-H
BS.E.Walddfp95%C.I.95%C.I.
LowerUpper
Gender−0.070.052.3310.120.021−0.175
Age0.00080.0030.0510.810.008−0.006
BMI0.0020.0060.210.640.014−0.009
DAT1−0.0190.060.2720.870.098−0.137
COMT0.120.066.0520.040.241−0.002
DRD4−0.070.182.4520.290.282−0.239
TEMPS-I
BS.E.Walddfp95%C.I.95%C.I.
LowerUpper
Gender0.0320.0940.1110.730.217−0.152
Age0.0030.0080.1710.670.021−0.013
BMI0.0050.0140.1310.710.033−0.023
DAT10.2990.1435.4420.0650.580.019
COMT−0.350.2115.9220.040.074−0.756
DRD40.3220.2073.1320.2−0.0840.12
TEMPS-A
BS.E.Walddfp95%C.I.95%C.I.
LowerUpper
Gender0.0850.0781.1810.270.238−0.068
Age0.0050.0050.810.370.016−0.005
BMI−0.0080.0080.9510.320.008−0.026
DAT1−0.080.0861.0520.590.3490.088
COMT−0.2190.14.220.120.04−0.009
DRD4−0.110.2570.2120.890.386−0.623
BMI, body mass index; TEMPS_D—depressive subscale of TEMPS-A; TEMPS_C—cyclothymic subscale of TEMPS-A; TEMPS_H—hyperthymic subscale of TEMPS-A; TEMPS_I—irritable subscale of TEMPS-A; TEMPS_A—anxious subscale of TEMPS-A.

Share and Cite

MDPI and ACS Style

Lesiewska, N.; Borkowska, A.; Junik, R.; Kamińska, A.; Pulkowska-Ulfig, J.; Tretyn, A.; Bieliński, M. The Association Between Affective Temperament Traits and Dopamine Genes in Obese Population. Int. J. Mol. Sci. 2019, 20, 1847. https://doi.org/10.3390/ijms20081847

AMA Style

Lesiewska N, Borkowska A, Junik R, Kamińska A, Pulkowska-Ulfig J, Tretyn A, Bieliński M. The Association Between Affective Temperament Traits and Dopamine Genes in Obese Population. International Journal of Molecular Sciences. 2019; 20(8):1847. https://doi.org/10.3390/ijms20081847

Chicago/Turabian Style

Lesiewska, Natalia, Alina Borkowska, Roman Junik, Anna Kamińska, Joanna Pulkowska-Ulfig, Andrzej Tretyn, and Maciej Bieliński. 2019. "The Association Between Affective Temperament Traits and Dopamine Genes in Obese Population" International Journal of Molecular Sciences 20, no. 8: 1847. https://doi.org/10.3390/ijms20081847

APA Style

Lesiewska, N., Borkowska, A., Junik, R., Kamińska, A., Pulkowska-Ulfig, J., Tretyn, A., & Bieliński, M. (2019). The Association Between Affective Temperament Traits and Dopamine Genes in Obese Population. International Journal of Molecular Sciences, 20(8), 1847. https://doi.org/10.3390/ijms20081847

Note that from the first issue of 2016, this journal uses article numbers instead of page numbers. See further details here.

Article Metrics

Back to TopTop