ZafA Gene Is Important for Trichophyton mentagrophytes Growth and Pathogenicity
Abstract
1. Introduction
2. Results
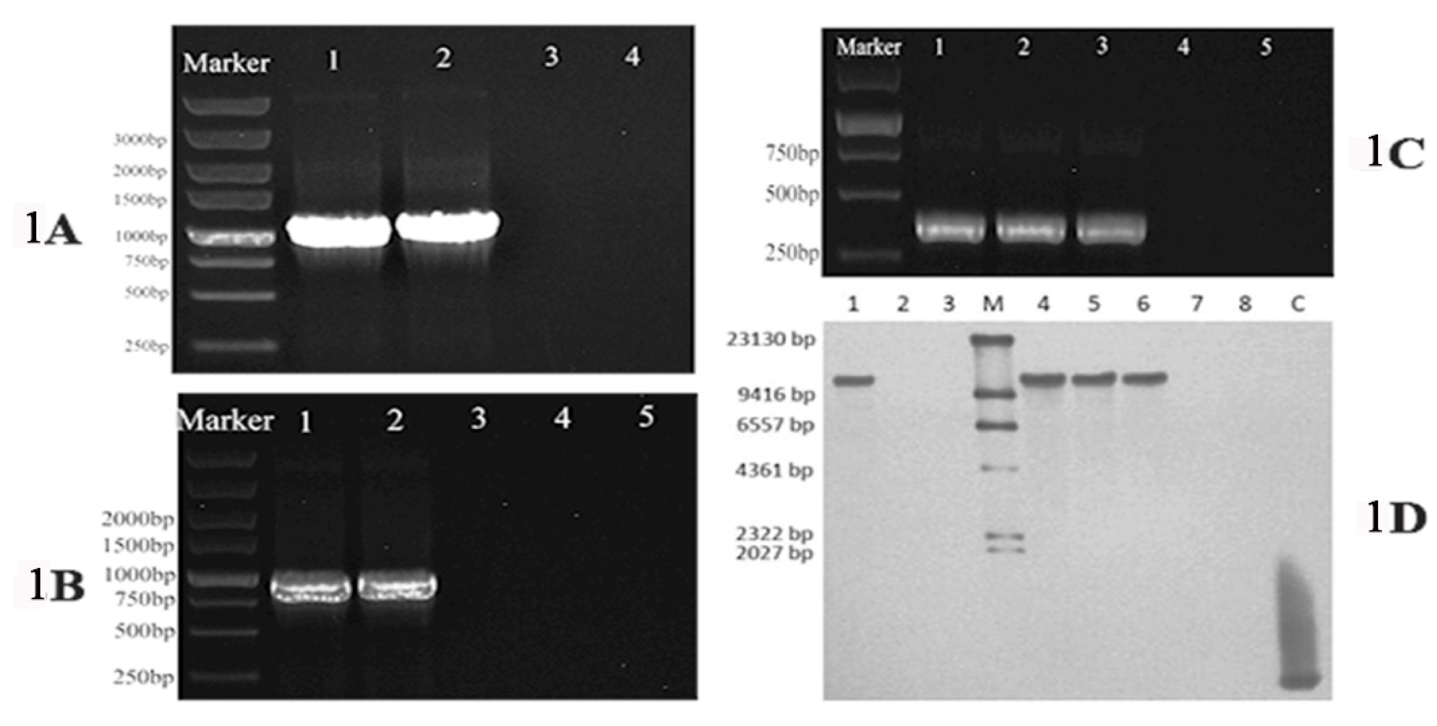
2.1. Confirmation of T. mentagrophytes’ ZafA Mutation and Restoration
2.2. Growth Abilities of the Wild-Type T. mentagrophytes Strain, ZafA-hph, and ZafA+bar
2.3. Zinc Absorption Capacities of the Wild-Type T. mentagrophytes Strain, ZafA-hph, and ZafA+bar
2.4. In Vitro Biodegradation of Hair
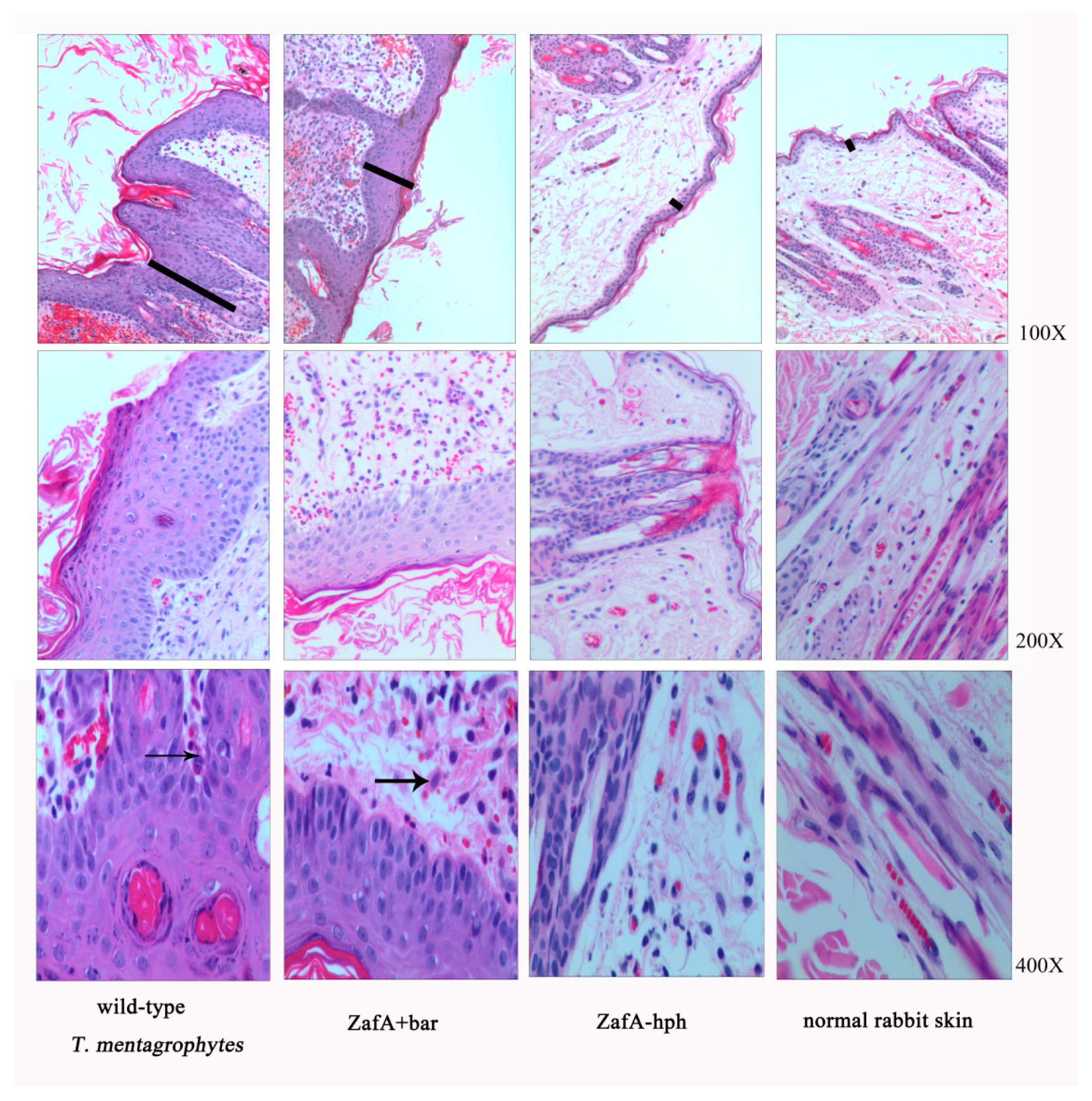
2.5. Animal Skin Inoculation Test
3. Discussion
4. Materials and Methods
4.1. Strains and Media
4.2. Constructing the Transformation Vectors
4.3. ATMT Transformation
4.4. Total DNA Isolation and Hybridization Analysis
4.5. Determining Growth Ability
4.6. Determining Zinc Absorption Capacity
4.7. In Vitro Biodegradation of Hair
4.8. Animal Inoculation Test
4.9. Statistical Analyses
Author Contributions
Funding
Acknowledgments
Conflicts of Interest
References
- Samanta, I. Veterinary Mycology; Springer: Berlin, Germany, 2015. [Google Scholar]
- Weitzman, I.; Summerbell, R.C. The dermatophytes. Clin. Microbiol. Rev. 1995, 8, 240–259. [Google Scholar] [CrossRef] [PubMed]
- Zhao, H.; Eide, D.J. Zap1p, a metalloregulatory protein involved in zinc-responsive transcriptional regulation in Saccharomyces cerevisiae. Mol. Cell. Biol. 1997, 17, 5044–5052. [Google Scholar] [CrossRef] [PubMed]
- Miyajima, Y.; Satoh, K.; Uchida, T.; Yamada, T.; Abe, M.; Watanabe, S.-i.; Makimura, M.; Makimura, K. Rapid real-time diagnostic PCR for Trichophyton rubrum and Trichophyton mentagrophytes in patients with tinea unguium and tinea pedis using specific fluorescent probes. J. Dermatol. Sci. 2013, 69, 229–235. [Google Scholar] [CrossRef] [PubMed]
- Maraki, S.; Mavromanolaki, V.E. Epidemiology of Dermatophytoses in Crete, Greece. Med. Mycol. J. 2016, 57, E69–E75. [Google Scholar] [CrossRef] [PubMed]
- Kansra, S.; Devi, P.; Sidhu, S.; Malhotra, A. Prevalence of Dermatophytoses and Their Antifungal Susceptibility in a Tertiary Care Hospital of North India. Int. J. Sci. Res. 2016, 5, 450–453. [Google Scholar]
- Cai, W.; Lu, C.; Li, X.; Zhang, J.; Zhan, P.; Xi, L.; Sun, J.; Yu, X. Epidemiology of Superficial Fungal Infections in Guangdong, Southern China: A Retrospective Study from 2004 to 2014. Mycopathologia 2016, 181, 387–395. [Google Scholar] [CrossRef] [PubMed]
- Mitruka, B.; Gill, A.K.; Kaur, N.; Mittal, R.K.; Mahajan, A.; Kaur, A. Mycological analysis of 150 cases of dermatophytosis of skin, hair and nail attending the outpatient department of skin and venereology. Ann. Appl. Bio Sci. 2016, 3, A170–A182. [Google Scholar]
- Batabya, K.; Murmu, S.; Debnath, C.; Pramanik, A.; Mitra, T.; Jana, S.; Banerjee, S.; Isore, D. Characterization and anti-fungal susceptibility pattern of dermatophytes isolated from dogs, cats and pet owners in and around Kolkata, India. Indian J. Anim. Res. 2016. [Google Scholar] [CrossRef]
- Debnath, C.; Mitra, T.; Kumar, A.; Samanta, I. Evaluation of healthy farm and companion rabbits as carriers of dermatophytes. Vet. Arh. 2016, 86, 805–813. [Google Scholar]
- Nenoff, P.; Krüger, C.; Ginter-Hanselmayer, G.; Tietz, H.J. Mycology–an update. Part 1: Dermatomycoses: Causative agents, epidemiology and pathogenesis. JDDG 2014, 12, 188–210. [Google Scholar] [CrossRef]
- Donham, K.J.; Thelin, A. Agricultural skin diseases. In Agricultural Medicine. Rural Occupational and Environmental Health, Safety, and Prevention, 2nd ed.; Wiley-Blackwell Publishing: Hoboken, NJ, USA, 2016; pp. 155–179. [Google Scholar]
- Chmel, L.; Buchvald, J.; Valentova, M. Ringworm infection among agricultural workers. Int. J. Epidemiol. 1976, 5, 291–295. [Google Scholar] [CrossRef]
- Drouot, S.; Mignon, B.; Fratti, M.; Roosje, P.; Monod, M. Pets as the main source of two zoonotic species of the Trichophyton mentagrophytes complex in Switzerland, Arthroderma vanbreuseghemii and Arthroderma benhamiae. Vet. Dermatol. 2009, 20, 13–18. [Google Scholar] [CrossRef] [PubMed]
- Kehl-Fie, T.E.; Skaar, E.P. Nutritional immunity beyond iron: A role for manganese and zinc. Curr. Opin. Chem. Biol. 2010, 14, 218–224. [Google Scholar] [CrossRef]
- Eide, D.J. The molecular biology of metal ion transport in Saccharomyces cerevisiae. Annu. Rev. Nutr. 1998, 18, 441–469. [Google Scholar] [CrossRef] [PubMed]
- Ehrensberger, K.M.; Bird, A.J. Hammering out details: Regulating metal levels in eukaryotes. Trends Biochem. Sci. 2011, 36, 524–531. [Google Scholar] [CrossRef] [PubMed]
- Moreno, M.Á.; Ibrahim-Granet, O.; Vicentefranqueira, R.; Amich, J.; Ave, P.; Leal, F.; Latgé, J.P.; Calera, J.A. The regulation of zinc homeostasis by the ZafA transcriptional activator is essential for Aspergillus fumigatus virulence. Mol. Microbiol. 2007, 64, 1182–1197. [Google Scholar] [CrossRef]
- Kim, M.-J.; Kil, M.; Jung, J.-H.; Kim, J. Roles of Zinc-responsive transcription factor Csr1 in filamentous growth of the pathogenic Yeast Candida albicans. J. Microbiol. Biotechnol. 2008, 18, 242–247. [Google Scholar]
- De Oliveira Schneider, R.; Fogaça, N.d.S.S.; Kmetzsch, L.; Schrank, A.; Vainstein, M.H.; Staats, C.C. Zap1 regulates zinc homeostasis and modulates virulence in Cryptococcus gattii. PLoS ONE 2012, 7, e43773. [Google Scholar]
- Zhang, X.; Dai, P.; Gao, Y.; Gong, X.; Cui, H.; Jin, Y.; Zhang, Y. Transcriptome sequencing and analysis of zinc-uptake-related genes inTrichophyton mentagrophytes. BMC Genom. 2017, 18, 888. [Google Scholar] [CrossRef]
- Sugui, J.A.; Chang, Y.C.; Kwon-Chung, K. Agrobacterium tumefaciens-mediated transformation of Aspergillus fumigatus: An efficient tool for insertional mutagenesis and targeted gene disruption. Appl. Environ. Microbiol. 2005, 71, 1798–1802. [Google Scholar] [CrossRef]
- Frandsen, R.J.N. Agrobacterium tumefaciens-Mediated Transformation. In Genetic Transformation Systems in Fungi; van den Berg, M.A., Maruthachalam, K., Eds.; Springer: Berlin, Germany, 2015; Volume 1, pp. 143–162. [Google Scholar]
- Bundock, P.; den Dulk-Ras, A.; Beijersbergen, A.; Hooykaas, P. Trans-kingdom T-DNA transfer from Agrobacterium tumefaciens to Saccharomyces cerevisiae. EMBO J. 1995, 14, 3206. [Google Scholar] [CrossRef]
- Piers, K.L.; Heath, J.D.; Liang, X.; Stephens, K.M.; Nester, E.W. Agrobacterium tumefaciens-mediated transformation of yeast. Proc. Natl. Acad. Sci. USA 1996, 93, 1613–1618. [Google Scholar] [CrossRef]
- De Groot, M.J.; Bundock, P.; Hooykaas, P.; Beijersbergen, A. Agrobacterium tumefaciens-mediated transformation of filamentous fungi. Nat. Biotechnol. 1998, 16. [Google Scholar] [CrossRef] [PubMed]
- Yamada, T.; Makimura, K.; Satoh, K.; Umeda, Y.; Ishihara, Y.; Abe, S. Agrobacterium tumefaciens-mediated transformation of the dermatophyte, Trichophyton mentagrophytes: An efficient tool for gene transfer. Med. Mycol. 2009, 47, 485–494. [Google Scholar] [CrossRef] [PubMed]
- Zhang, X.; Wang, Y.; Chi, W.; Shi, Y.; Chen, S.; Lin, D.; Jin, Y. Metalloprotease genes of Trichophyton mentagrophytes are important for pathogenicity. Med. Mycol. 2014, 52, 36–45. [Google Scholar] [PubMed]
- Schoberle, T.J.; Nguyen-Coleman, C.K.; May, G.S. Plasmids for increased efficiency of vector construction and genetic engineering in filamentous fungi. Fungal Genet. Biol. 2013, 58–59, 1–9. [Google Scholar]
- Jiang, D.; Zhu, W.; Wang, Y.; Sun, C.; Zhang, K.-Q.; Yang, J. Molecular tools for functional genomics in filamentous fungi: Recent advances and new strategies. Biotechnol. Adv. 2013, 31, 1562–1574. [Google Scholar] [CrossRef]
- Hellens, R.P.; Edwards, E.A.; Leyland, N.R.; Bean, S.; Mullineaux, P.M. pGreen: A versatile and flexible binary Ti vector for Agrobacterium-mediated plant transformation. Plant Mol. Biol. 2000, 42, 819–832. [Google Scholar] [CrossRef] [PubMed]
- Mullins, E.D.; Chen, X.; Romaine, P.; Raina, R.; Geiser, D.; Kang, S. Agrobacterium-mediated transformation of Fusarium oxysporum: An efficient tool for insertional mutagenesis and gene transfer. Phytopathology 2001, 91, 173–180. [Google Scholar] [CrossRef] [PubMed]
- Shi, Y.; Niu, Q.; Yu, X.; Jia, X.; Wang, J.; Lin, D.; Jin, Y. Assessment of the function of SUB6 in the pathogenic dermatophyte Trichophyton mentagrophytes. Med. Mycol. 2015, 54, 59–71. [Google Scholar]
- Zhang, L.; Li, H.; Xiao, S.; Lu, Y.; Li, G.; Xue, C.; Chen, J. Efficient Agrobacterium tumefaciens -mediated target gene disruption in the maize pathogen Curvularia lunata. Eur. J. Plant Pathol. 2016, 145, 155–165. [Google Scholar] [CrossRef]
- Zeilinger, S. Gene disruption in Trichoderma atroviride via Agrobacterium-mediated transformation. Curr. Genet. 2004, 45, 54–60. [Google Scholar] [CrossRef] [PubMed]
- Bird, D.; Bradshaw, R. Gene targeting is locus dependent in the filamentous fungus Aspergillus nidulans. MGG 1997, 255, 219–225. [Google Scholar] [CrossRef] [PubMed]
- Hooykaas, P.; Roobol, C.; Schilperoort, R. Regulation of the transfer of Ti plasmids of Agrobacterium tumefaciens. Microbiology 1979, 110, 99–109. [Google Scholar] [CrossRef]
- Sleight, S.C.; Bartley, B.A.; Lieviant, J.A.; Sauro, H.M. In-Fusion BioBrick assembly and re-engineering. Nucleic Acids Res. 2010, 38, 2624–2636. [Google Scholar] [CrossRef] [PubMed]
- Willer, D.O.; Yao, X.-D.; Mann, M.J.; Evans, D.H. In vitro concatemer formation catalyzed by vaccinia virus DNA polymerase. Virology 2000, 278, 562–569. [Google Scholar] [CrossRef] [PubMed]
- Mora-Lugo, R.; Zimmermann, J.; Rizk, A.M.; Fernandez-Lahore, M. Development of a transformation system for Aspergillus sojae based on the Agrobacterium tumefaciens-mediated approach. BMC Microbiol. 2014, 14, 247. [Google Scholar] [CrossRef] [PubMed]
- Yamada, Y.; Makimura, K.; Merhendi, H.; Ueda, K.; Nishiyama, Y.; Yamaguchi, H.; Osumi, M. Comparison of different methods for extraction of mitochondrial DNA from human pathogenic yeasts. Jpn. J. Infect. Dis. 2002, 55, 122–125. [Google Scholar]
- Katiyar, S.; Kushwaha, R.K.S. Invasion and biodegradation of hair by house dust fungi. Int. Biodeterior. Biodegrad. 2002, 50, 89–93. [Google Scholar] [CrossRef]
- Burmester, A.; Shelest, E.; Glöckner, G.; Heddergott, C.; Schindler, S.; Staib, P.; Heidel, A.; Felder, M.; Petzold, A.; Szafranski, K. Comparative and functional genomics provide insights into the pathogenicity of dermatophytic fungi. Genome Biol. 2011, 12, R7. [Google Scholar] [CrossRef]






| Name | Sequence (5′–3′) |
|---|---|
| HphF | CTTAATCACCTTCACAAGCGAAGGAGAATGTGAAGCC |
| HphR | TTAGTGACGAGCAGCGCTGTATCTGGAAGAGGTAAAC |
| ZafAI-F | GTACCGGGCCCCCCCTCGAGTATCTGCGAGACACTGGACGAT |
| ZafAI-R | CATTCTCCTTCGCTTGTGAAGGTGATTAAGGTAAGGG |
| ZafAII-F | TCTTCCAGATACAGCGCTGCTCGTCACTAACATTGTT |
| ZafAII-R | AGGAATTCGATATCAAGCTTGGAGATAGAGAATGCGGTTAAA |
| BarF | GCATTCTCTATCTCCCTCATCAGATAACAGCAATACC |
| BarR | TTAGTGACGAGCAGCCGCCACATAGCAGAACTTTAAA |
| ZafA-F | GTACCGGGCCCCCCCTCGAGTATCTGCGAGACACTGGACGAT |
| ZafA-R | CTGTTATCTGATGAGGGAGATAGAGAATGCGGTTAAA |
| ZafAR-F | TTCTGCTATGTGGCGGCTGCTCGTCACTAACATTGTT |
| ZafAR-R | AGGAATTCGATATCAAGCTTGGAGATAGAGAATGCGGTTAAA |
| hph-F | TACATCCATACTCCATCCTTC |
| hph-R | CGGCATCTACTCTATTCCTT |
| bar-F | AGTTATTAGGTCTGAAGAGGAG |
| bar-R | CCATCGTCAACCACTACAT |
| ZafAq-F | CCAGACTGAAGGTGCTAAG |
| ZafAq-R | CCTGTTAGTATCGTCGTGTT |
| probe-1F | GCTCCATCCTTTCATTCG |
| probe-1R | TTCCCTTAGCACCTTCAGT |
© 2019 by the authors. Licensee MDPI, Basel, Switzerland. This article is an open access article distributed under the terms and conditions of the Creative Commons Attribution (CC BY) license (http://creativecommons.org/licenses/by/4.0/).
Share and Cite
Dai, P.; Lv, Y.; Gao, Y.; Gong, X.; Zhang, Y.; Zhang, X. ZafA Gene Is Important for Trichophyton mentagrophytes Growth and Pathogenicity. Int. J. Mol. Sci. 2019, 20, 848. https://doi.org/10.3390/ijms20040848
Dai P, Lv Y, Gao Y, Gong X, Zhang Y, Zhang X. ZafA Gene Is Important for Trichophyton mentagrophytes Growth and Pathogenicity. International Journal of Molecular Sciences. 2019; 20(4):848. https://doi.org/10.3390/ijms20040848
Chicago/Turabian StyleDai, Pengxiu, Yangou Lv, Yongping Gao, Xiaowen Gong, Yihua Zhang, and Xinke Zhang. 2019. "ZafA Gene Is Important for Trichophyton mentagrophytes Growth and Pathogenicity" International Journal of Molecular Sciences 20, no. 4: 848. https://doi.org/10.3390/ijms20040848
APA StyleDai, P., Lv, Y., Gao, Y., Gong, X., Zhang, Y., & Zhang, X. (2019). ZafA Gene Is Important for Trichophyton mentagrophytes Growth and Pathogenicity. International Journal of Molecular Sciences, 20(4), 848. https://doi.org/10.3390/ijms20040848
