The Role of Obesity in Renal Cell Carcinoma Patients: Clinical-Pathological Implications
Abstract
1. Introduction
2. Article Selection
3. Cancer–Obesity Link
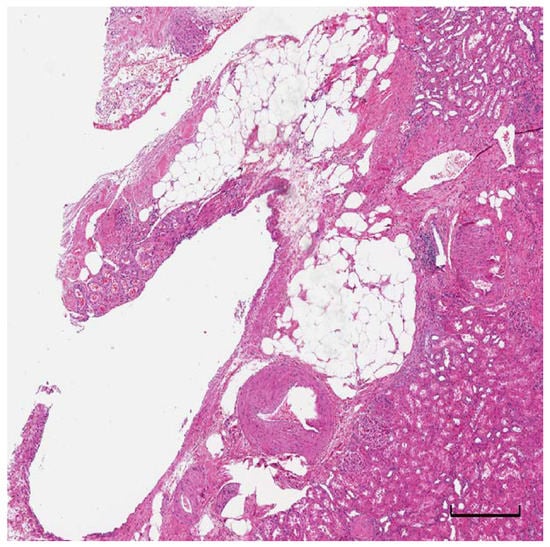
4. Pathological Assessment and Prognostic Value of Adipose Tissue in RCC
5. Obesity and RCC Risk
6. Obesity and Response of RCC to Medical Therapies
7. Concluding Remarks
Author Contributions
Funding
Acknowledgments
Conflicts of interest
References
- Arabsalmani, M.; Mohammadian-Hafshejani, A.; Ghoncheh, M.; Hadadian, F.; Towhidi, F.; Vafaee, K.; Salehiniya, H. Incidence and mortality of kidney cancers, and human development index in Asia; a matter of concern. J. Nephropathol. 2017, 6, 30–42. [Google Scholar] [CrossRef] [PubMed]
- Kabaria, R.; Klaassen, Z.; Terris, M.K. Renal cell carcinoma: Links and risks. Int. J. Nephrol. Renovasc. Dis. 2016, 9, 45–52. [Google Scholar] [PubMed]
- Lee, S.J.; Shin, S.W. Mechanisms, Pathophysiology, and Management of Obesity. N. Engl. J. Med. 2017, 376, 1491–1492. [Google Scholar] [PubMed]
- Budny, A.; Grochowski, C.; Kozłowski, P.; Kolak, A.; Kamińska, M.; Budny, B.; Abramiuk, M.; Burdan, F. Obesity as a tumour development triggering factor. Ann. Agric. Environ. Med. 2019, 26, 13–23. [Google Scholar] [CrossRef]
- Allott, E.H.; Masko, E.M.; Freedland, S.J. Obesity and prostate cancer: Weighing the evidence. Eur. Urol. 2013, 63, 800–809. [Google Scholar] [CrossRef]
- Chow, W.H.; Gridley, G.; Fraumeni, J.F., Jr.; Järvholm, B. Obesity, hypertension, and the risk of kidney cancer in men. N. Engl. J. Med. 2000, 343, 1305–1311. [Google Scholar] [CrossRef]
- Johansson, M.; Carreras-Torres, R.; Scelo, G.; Purdue, M.P.; Mariosa, D.; Muller, D.C.; Timpson, N.J.; Haycock, P.C.; Brown, K.M.; Wang, Z.; et al. The influence of obesity-related factors in the etiology of renal cell carcinoma-A mendelian randomization study. PLoS Med. 2019, 16, e1002724. [Google Scholar] [CrossRef]
- Hakimi, A.A.; Furberg, H.; Zabor, E.C.; Jacobsen, A.; Schultz, N.; Ciriello, G.; Mikklineni, N.; Fiegoli, B.; Kim, P.H.; Voss, M.H.; et al. An epidemiologic and genomic investigation into the obesity paradox in renal cell carcinoma. J. Natl. Cancer Inst. 2013, 105, 1862–1870. [Google Scholar] [CrossRef]
- Steffens, S.; Ringe, K.I.; Schroeer, K.; Lehmann, R.; Rustemeier, J.; Wegener, G.; Schrader, M.; Hofmann, R.; Kuczyk, M.A.; Schrader, A.J.; et al. Does overweight influence the prognosis of renal cell carcinoma? Results of a multicenter study. Int. J. Urol. 2013, 20, 585–592. [Google Scholar] [CrossRef]
- Steele, C.B.; Thomas, C.C.; Henley, S.J.; Massetti, G.M.; Galuska, D.A.; Agurs-Collins, T.; Puckett, M.; Richardson, L.C. Vital Signs: Trends in Incidence of Cancers Associated with Overweight and Obesity—United States, 2005–2014. MMWR Morb. Mortal. Wkly. Rep. 2017, 66, 1052–1058. [Google Scholar] [CrossRef]
- Santoni, M.; Cimadamore, A.; Massari, F.; Piva, F.; Aurilio, G.; Martignetti, A.; Scarpelli, M.; Di Nunno, V.; Gatto, L.; Battelli, N.; et al. Key Role of Obesity in Genitourinary Tumors with Emphasis on Urothelial and Prostate Cancers. Cancers 2019, 11, 1225. [Google Scholar] [CrossRef]
- Massari, F.; Ciccarese, C.; Santoni, M.; Iacovelli, R.; Mazzucchelli, R.; Piva, F.; Scarpelli, M.; Berardi, R.; Tortora, G.; Lopez-Beltran, A.; et al. Metabolic phenotype of bladder cancer. Cancer Treat. Rev. 2016, 45, 46–57. [Google Scholar] [CrossRef]
- Stone, T.W.; McPherson, M.; Gail Darlington, L. Obesity and Cancer: Existing and New Hypotheses for a Causal Connection. EBioMedicine 2018, 30, 14–28. [Google Scholar] [CrossRef] [PubMed]
- Ulrich, C.M.; Himbert, C.; Holowatyj, A.N.; Hursting, S.D. Energy balance and gastrointestinal cancer: Risk, interventions, outcomes and mechanisms. Nat. Rev. Gastroenterol. Hepatol. 2018, 15, 683–698. [Google Scholar] [CrossRef]
- Gao, Q.; Zheng, J.; Yao, X.; Peng, B. Adiponectin inhibits VEGF-A in prostate cancer cells. Tumour Biol. 2015, 36, 4287–4292. [Google Scholar] [CrossRef] [PubMed]
- Lengyel, E.; Makowski, L.; DiGiovanni, J.; Kolonin, M.G. Cancer as a Matter of Fat: The Crosstalk between Adipose Tissue and Tumors. Trends Cancer 2018, 4, 374–384. [Google Scholar] [CrossRef]
- Romero, I.L.; Mukherjee, A.; Kenny, H.A.; Litchfield, L.M.; Lengyel, E. Molecular pathways: Trafficking of metabolic resources in the tumor microenvironment. Clin. Cancer Res. 2015, 21, 680–686. [Google Scholar] [CrossRef]
- Hotamisligil, G.S.; Bernlohr, D.A. Metabolic functions of FABPs--mechanisms and therapeutic implications. Nat. Rev. Endocrinol. 2015, 11, 592–605. [Google Scholar] [CrossRef]
- Hancke, K.; Grubeck, D.; Hauser, N.; Kreienberg, R.; Weiss, J.M. Adipocyte fatty acid-binding protein as a novel prognostic factor in obese breast cancer patients. Breast Cancer Res. Treat. 2010, 119, 367–377. [Google Scholar] [CrossRef]
- Hao, J.; Zhang, Y.; Yan, X.; Yan, F.; Sun, Y.; Zeng, J.; Waigel, S.; Yin, Y.; Fraig, M.M.; Egilmez, N.K.; et al. Circulating Adipose Fatty Acid Binding Protein Is a New Link Underlying Obesity-Associated Breast/Mammary Tumor Development. Cell Metab. 2018, 28, 689–705. [Google Scholar] [CrossRef]
- Greenhill, C. A-FABP links obesity and breast cancer. Nat. Rev. Endocrinol. 2018, 14, 566. [Google Scholar] [CrossRef] [PubMed]
- Amin, M.B.; Greene, F.L.; Edge, S.B.; Compton, C.C.; Gershenwald, J.E.; Brookland, R.K.; Meyer, L.; Gress, D.M.; Byrd, D.R.; Winchester, D.P. The Eighth Edition AJCC Cancer Staging Manual: Continuing to build a bridge from a population-based to a more “personalized” approach to cancer staging. CA Cancer J. Clin. 2017, 67, 93–99. [Google Scholar] [CrossRef] [PubMed]
- Trpkov, K.; Grignon, D.J.; Bonsib, S.M.; Amin, M.B.; Billis, A.; Lopez-Beltran, A.; Samaratunga, H.; Tamboli, P.; Delahunt, B.; Egevad, L.; et al. Handling and staging of renal cell carcinoma. The international society of urological pathology consensus (ISUP) conference recommendations. Am. J. Surg. Pathol. 2013, 37, 1505–1517. [Google Scholar] [CrossRef] [PubMed]
- Moch, H.; Humphrey, P.A.; Ulbright, T.M.; Reuter, V.E. World Health Organization (WHO) Classification of Tumours of the Urinary System and Male Genital Organs, 4th ed.; IARC: Lyon, France, 2016. [Google Scholar]
- Samaratunga, H.; Gianduzzo, T.; Delahunt, B. The ISUP system of staging, grading and classification of renal cell neoplasia. J. Kidney Cancer VHL 2014, 1, 26–39. [Google Scholar] [CrossRef]
- Cimadamore, A.; Palagonia, E.; Piccinni, P.; Misericordia, M.; Galosi, A.B.; Montironi, R. Inguinal bladder hernia with lipomatosis of the bladder wall: A potential clinical pitfall for cancer. Urologia 2019, 86, 35–38. [Google Scholar] [CrossRef]
- Wahal, S.P.; Mardi, K. Idiopathic renal replacement lipomatosis: A rare renal pseudo tumor. J. Cancer Res. Ther. 2014, 10, 428–430. [Google Scholar] [CrossRef]
- Bonsib, S.M. The renal sinus is the principal invasive pathway: A prospective study of 100 renal cell carcinomas. Am. J. Surg. Pathol. 2004, 28, 1594–1600. [Google Scholar] [CrossRef]
- Thompson, R.H.; Leibovich, B.C.; Cheville, J.C.; Webster, W.S.; Lohse, C.M.; Kwon, E.D.; Frank, I.; Zincke, H.; Blute, M.L. Is renal sinus fat invasion the same as perinephric fat invasion for pT3a renal cell carcinoma? J. Urol. 2005, 174, 1218–1221. [Google Scholar] [CrossRef]
- Grignon, D.; Paner, G.P. Renal cell carcinoma and the renal sinus. Adv. Anat. Pathol. 2007, 14, 63–68. [Google Scholar] [CrossRef]
- Srigley, J.R.; Delahunt, B.; Eble, J.N.; Egevad, L.; Epstein, J.I.; Grignon, D.; Hes, O.; Moch, H.; Montironi, R.; Tickoo, S.K.; et al. The International Society of Urological Pathology (ISUP) Vancouver Classification of Renal Neoplasia. Am. J. Surg. Pathol. 2013, 37, 1469–1489. [Google Scholar] [CrossRef]
- Bonsib, S.M.; Gibson, D.; Mhoon, M.; Greene, G.F. Renal sinus involvement in renal cell carcinomas. Am. J. Surg. Pathol. 2000, 24, 451–458. [Google Scholar] [CrossRef] [PubMed]
- Thompson, R.H.; Blute, M.L.; Krambeck, A.E.; Lohse, C.M.; Magera, J.S.; Leibovich, B.C.; Kwon, E.D.; Frank, I.; Cheville, J.C. Patients with pT1 renal cell carcinoma who die from disease after nephrectomy may have unrecognized renal sinus fat invasion. Am. J. Surg. Pathol. 2007, 31, 1089–1093. [Google Scholar] [CrossRef] [PubMed]
- Bertini, R.; Roscigno, M.; Freschi, M.; Strada, E.; Petralia, G.; Pasta, A.; Matloob, R.; Sozzi, F.; Da Pozzo, L.; Colombo, R.; et al. Renal sinus fat invasion in pT3a clear cell renal cell carcinoma affects outcomes of patients without nodal involvement or distant metastases. J. Urol. 2009, 181, 2027–2032. [Google Scholar] [CrossRef] [PubMed]
- Margulis, V.; Tamboli, P.; Martin, S.F.; Meisner, M.; Swanson, D.A.; Wood, C.G. Location of extrarenal tumor expression does not impact survival of patients with pT3a renal cell carcinoma. J. Urol. 2007, 178, 1878–1882. [Google Scholar] [CrossRef]
- Delahunt, B. Advances and controversies in grading and staging of renal cell carcinoma. Mod. Pathol. 2009, 22, S24–S36. [Google Scholar] [CrossRef]
- Chow, W.H.; McLaughlin, J.K.; Mandel, J.S.; Wacholder, S.; Niwa, S.; Fraumeni, J.F., Jr. Obesity and risk of renal cell cancer. Cancer Epidemiol. Prev. Biomark. 1996, 5, 17–21. [Google Scholar]
- Setiawan, V.W.; Stram, D.O.; Nomura, A.M.; Kolonel, L.N.; Henderson, B.E. Risk factors for renal cell cancer: The multiethnic cohort. Am. J. Epidemiol. 2007, 166, 932–940. [Google Scholar] [CrossRef]
- Adams, K.F.; Leitzmann, M.F.; Albanes, D.; Kipnis, V.; Moore, S.C.; Schatzkin, A.; Chow, W.H. Body size and renal cell cancer incidence in a large US cohort study. Am. J. Epidemiol. 2008, 168, 268–277. [Google Scholar] [CrossRef]
- Dobbins, M.; Decorby, K.; Choi, B.C. The Association between Obesity and Cancer Risk: A Meta-Analysis of Observational Studies from 1985 to 2011. ISRN Prev. Med. 2013, 2013, 680536. [Google Scholar] [CrossRef]
- Samanic, C.; Chow, W.H.; Gridley, G.; Jarvholm, B.; Fraumeni, J.F., Jr. Relation of body mass index to cancer risk in 362,552 Swedish men. Cancer Causes Control 2006, 17, 901–909. [Google Scholar] [CrossRef]
- Martini, D.J.; Liu, Y.; Shabto, J.M.; Carthon, B.C.; Russler, G.; Hitron, E.; Caulfield, S.; Kissick, H.; Harris, W.; Kucuk, O.; et al. Novel risk stratification criteria of metastatic renal cell carcinoma (mRCC) patients (pts) treated with immune checkpoint inhibitors (ICI). ASCO Genitourin. Cancer 2019, 37, e16068. [Google Scholar] [CrossRef]
- Sidaway, P. Kidney cancer: Methylation of obesity-related genes is associated with prognosis. Nat. Rev. Urol. 2017, 14, 452. [Google Scholar] [CrossRef]
- Wang, Q.; Tu, H.; Zhu, M.; Liang, D.; Ye, Y.; Chang, D.W.; Long, Y.; Wu, X. Circulating obesity-driven biomarkers are associated with risk of clear cell renal cell carcinoma: A two-stage, case-control study. Carcinogenesis 2019, 40, 1191–1197. [Google Scholar] [CrossRef]
- Horiguchi, A.; Asano, T.; Asano, T.; Ito, K.; Sumitomo, M.; Hayakawa, M. Fatty acid synthase over expression is an indicator of tumor aggressiveness and poor prognosis in renal cell carcinoma. J. Urol. 2008, 180, 1137–1140. [Google Scholar] [CrossRef]
- Menendez, J.A.; Lupu, R. Fatty acid synthase and the lipogenic phenotype in cancer pathogenesis. Nat. Rev. Cancer 2007, 7, 763–777. [Google Scholar] [CrossRef]
- Albiges, L.; Hakimi, A.A.; Xie, W.; McKay, R.R.; Simantov, R.; Lin, X.; Lee, J.L.; Rini, B.I.; Srinivas, S.; Bjarnason, G.A.; et al. Body mass index and metastatic renal cell carcinoma: Clinical and biological correlations. J. Clin. Oncol. 2016, 34, 3655–3663. [Google Scholar] [CrossRef]
- Häggström, C.; Rapp, K.; Stocks, T.; Manjer, J.; Bjørge, T.; Ulmer, H.; Engeland, A.; Almqvist, M.; Concin, H.; Selmer, R. Metabolic factors associated with risk of renal cell carcinoma. PLoS ONE 2013, 8, e57475. [Google Scholar] [CrossRef]
- Steffens, S.; Grünwald, V.; Ringe, K.I.; Seidel, C.; Eggers, H.; Schrader, M.; Wacker, F.; Kuczyk, M.A.; Schrader, A.J. Does obesity influence the prognosis of metastatic renal cell carcinoma in patients treated with vascular endothelial growth factor-targeted therapy? Oncologist 2011, 16, 1565–1571. [Google Scholar] [CrossRef]
- Ladoire, S.; Bonnetain, F.; Gauthier, M.; Zanetta, S.; Petit, J.M.; Guiu, S.; Kermarrec, I.; Mourey, E.; Michel, F.; Krause, D.; et al. Visceral fat area as a new independent predictive factor of survival in patients with metastatic renal cell carcinoma treated with antiangiogenic agents. Oncologist 2011, 16, 71–81. [Google Scholar] [CrossRef]
- Mizuno, R.; Miyajima, A.; Hibi, T.; Masuda, A.; Shinojima, T.; Kikuchi, E.; Jinzaki, M.; Oya, M. Impact of baseline visceral fat accumulation on prognosis in patients with metastatic renal cell carcinoma treated with systemic therapy. Med. Oncol. 2017, 34, 47. [Google Scholar] [CrossRef]
- Choueiri, T.K.; Xie, W.; Kollmannsberger, C.K.; Rini, B.I.; McDermott, D.F.; Knox, J.J.; Heng, D.Y. The impact of body mass index (BMI) and body surface area (BSA) on treatment outcome to vascular endothelial growth factor (VEGF)-targeted therapy in metastatic renal cell carcinoma: Results from a large international collaboration. J. Clin. Oncol. 2019, 28, 4524. [Google Scholar] [CrossRef]
- Ishihara, H.; Kondo, T.; Omae, K.; Takagi, T.; Iizuka, J.; Kobayashi, H.; Tanabe, K. Sarcopenia and the Modified Glasgow Prognostic Score are Significant Predictors of Survival Among Patients with Metastatic Renal Cell Carcinoma Who are Receiving First-Line Sunitinib Treatment. Target. Oncol. 2016, 11, 605–617. [Google Scholar] [CrossRef]
- Martini, D.J.; Shabto, J.M.; Liu, Y.; Carthon, B.C.; Speak, A.; Hitron, E.; Russler, G.; Caulfield, S.; Ogan, K.; Harris, W.; et al. Body mass index (BMI) and toxicities and association with clinical outcomes (CO) in metastatic renal cell carcinoma (mRCC) patients (pts) treated with cabozantinib (cabo). J. Clin. Oncol. 2019, 37, 613. [Google Scholar] [CrossRef]
- Lalani, A.A.; Xie, W.; Flippot, R.; Steinharter, J.A.; Harshman, L.C.; McGregor, B.A.; Heng, D.Y.C.; Choueiri, T.K. Impact of body mass index (BMI) on treatment outcomes to immune checkpoint blockade (ICB) in metastatic renal cell carcinoma (mRCC). J. Clin. Oncol. 2019, 37, 566. [Google Scholar] [CrossRef]
- De Giorgi, U.; Procopio, G.; Giannarelli, D.; Sabbatini, R.; Bearz, A.; Buti, S.; Basso, U.; Mitterer, M.; Ortega, C.; Bidoli, P.; et al. Association of Systemic Inflammation Index and Body Mass Index with Survival in Patients with Renal Cell Cancer Treated with Nivolumab. Clin. Cancer Res. 2019, 25, 3839–3846. [Google Scholar] [CrossRef]
- Motzer, R.J.; Penkov, K.; Haanen, J.; Rini, B.; Albiges, L.; Campbell, M.T.; Venugopal, B.; Kollmannsberger, C.; Negrier, S.; Uemura, M.; et al. Avelumab plus Axitinib versus Sunitinib for Advanced Renal-Cell Carcinoma. N. Engl. J. Med. 2019, 380, 1103–1115. [Google Scholar] [CrossRef]
- Renfro, L.A.; Loupakis, F.; Adams, R.A.; Seymour, M.T.; Heinemann, V.; Schmoll, H.J.; Douillard, J.Y.; Hurwitz, H.; Fuchs, C.S.; Diaz-Rubio, E.; et al. Body mass index is prognostic in metastatic colorectal Cancer: pooled analysis of patients from first-line clinical trials in the ARCAD database. J. Clin. Oncol. 2016, 34, 144–150. [Google Scholar] [CrossRef]
- Routy, B.; Le Chatelier, E.; Derosa, L.; Duong, C.P.M.; Alou, M.T.; Daillère, R.; Fluckiger, A.; Messaoudene, M.; Rauber, C.; Roberti, M.P.; et al. Gut microbiome influences efficacy of PD-1-based immunotherapy against epithelial tumors. Science 2018, 359, 91–97. [Google Scholar] [CrossRef]
- Dao, M.C.; Clément, K. Gut microbiota and obesity: Concepts relevant to clinical care. Eur. J. Int. Med. 2018, 48, 18–24. [Google Scholar] [CrossRef]
- Daquinag, A.C.; Dadbin, A.; Snyder, B.; Wang, X.; Sahin, A.A.; Ueno, N.T.; Kolonin, M. Non-glycanated Decorin Is a Drug Target on Human Adipose Stromal Cells. Mol. Ther. Oncolytics 2017, 6, 1–9. [Google Scholar] [CrossRef]
- Daquinag, A.C.; Tseng, C.; Zhang, Y.; Amaya-Manzanares, F.; Florez, F.; Dadbin, A.; Zhang, T.; Kolonin, M.G. Targeted Proapoptotic Peptides Depleting Adipose Stromal Cells Inhibit Tumor Growth. Mol. Ther. 2016, 24, 34–40. [Google Scholar] [CrossRef] [PubMed]
- Cozzo, A.J.; Sundaram, S.; Zattra, O.; Qin, Y.; Freemerman, A.J.; Essaid, L.; Darr, D.B.; Montgomery, S.A.; McNaughton, K.K.; Ezzell, J.A.; et al. cMET inhibitor crizotinib impairs angiogenesis and reduces tumor burden in the C3(1)-Tag model of basal-like breast cancer. Springerplus 2016, 5, 348. [Google Scholar] [CrossRef] [PubMed]


| First Author (Year) | Trial Design | SS | Drugs Class | Obesity Biomarkers | Outcome |
|---|---|---|---|---|---|
| Albiges (2016) [47] | R | 6632 | TKIs | BMI | BMI ↑ = improved OS |
| Steffens (2011) [49] | R | 116 | TKIs | VFA and SFA | improved PFS/OS |
| Ladoire (2011) [50] | R | 113 | TKIs or ICI | VFA and SFA | shorter PFS/OS |
| Mizuno (2017) [51] | R | 114 | TKIs | BMI and VFA | VFA: improved PFS/OS |
| Choueiri (2019) [52] | R | 475 | TKIs | BMI | Obese patients = improved OS |
| Ishihara (2016) [53] | R | 71 | TKIs | Sarcopenia and mGPS | shorter PFS/OS |
| Martini (2019) [54] | R | 65 | TKIs | BMI | BMI ↑ = improved OS |
| Lalani (2019) [55] | R | 147 | TKIs + ICI | BMI | BMI ↑ = improved OS |
| De Giorgi (2019) [56] | R | 313 | ICI | BMI | normal BMI = shorter OS |
| Motzer (2019) [57] | R | 886 | ICI + TKIs | BMI | no interference on survival |
© 2019 by the authors. Licensee MDPI, Basel, Switzerland. This article is an open access article distributed under the terms and conditions of the Creative Commons Attribution (CC BY) license (http://creativecommons.org/licenses/by/4.0/).
Share and Cite
Aurilio, G.; Piva, F.; Santoni, M.; Cimadamore, A.; Sorgentoni, G.; Lopez-Beltran, A.; Cheng, L.; Battelli, N.; Nolè, F.; Montironi, R. The Role of Obesity in Renal Cell Carcinoma Patients: Clinical-Pathological Implications. Int. J. Mol. Sci. 2019, 20, 5683. https://doi.org/10.3390/ijms20225683
Aurilio G, Piva F, Santoni M, Cimadamore A, Sorgentoni G, Lopez-Beltran A, Cheng L, Battelli N, Nolè F, Montironi R. The Role of Obesity in Renal Cell Carcinoma Patients: Clinical-Pathological Implications. International Journal of Molecular Sciences. 2019; 20(22):5683. https://doi.org/10.3390/ijms20225683
Chicago/Turabian StyleAurilio, Gaetano, Francesco Piva, Matteo Santoni, Alessia Cimadamore, Giulia Sorgentoni, Antonio Lopez-Beltran, Liang Cheng, Nicola Battelli, Franco Nolè, and Rodolfo Montironi. 2019. "The Role of Obesity in Renal Cell Carcinoma Patients: Clinical-Pathological Implications" International Journal of Molecular Sciences 20, no. 22: 5683. https://doi.org/10.3390/ijms20225683
APA StyleAurilio, G., Piva, F., Santoni, M., Cimadamore, A., Sorgentoni, G., Lopez-Beltran, A., Cheng, L., Battelli, N., Nolè, F., & Montironi, R. (2019). The Role of Obesity in Renal Cell Carcinoma Patients: Clinical-Pathological Implications. International Journal of Molecular Sciences, 20(22), 5683. https://doi.org/10.3390/ijms20225683

