A Pathological Study of Acute Pulmonary Toxicity Induced by Inhaled Kanto Loam Powder
Abstract
:1. Introduction
2. Results
2.1. Gross Findings in the Lungs
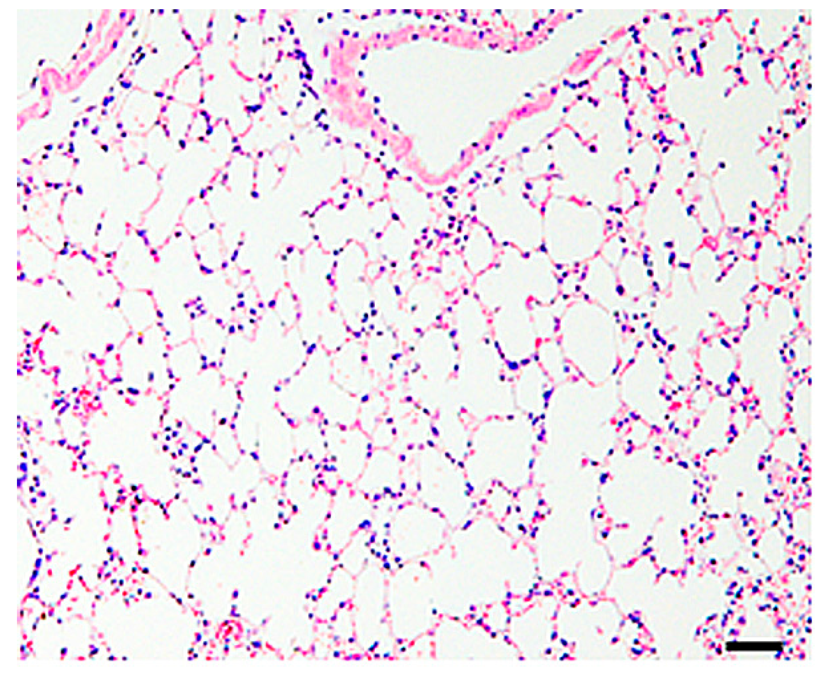
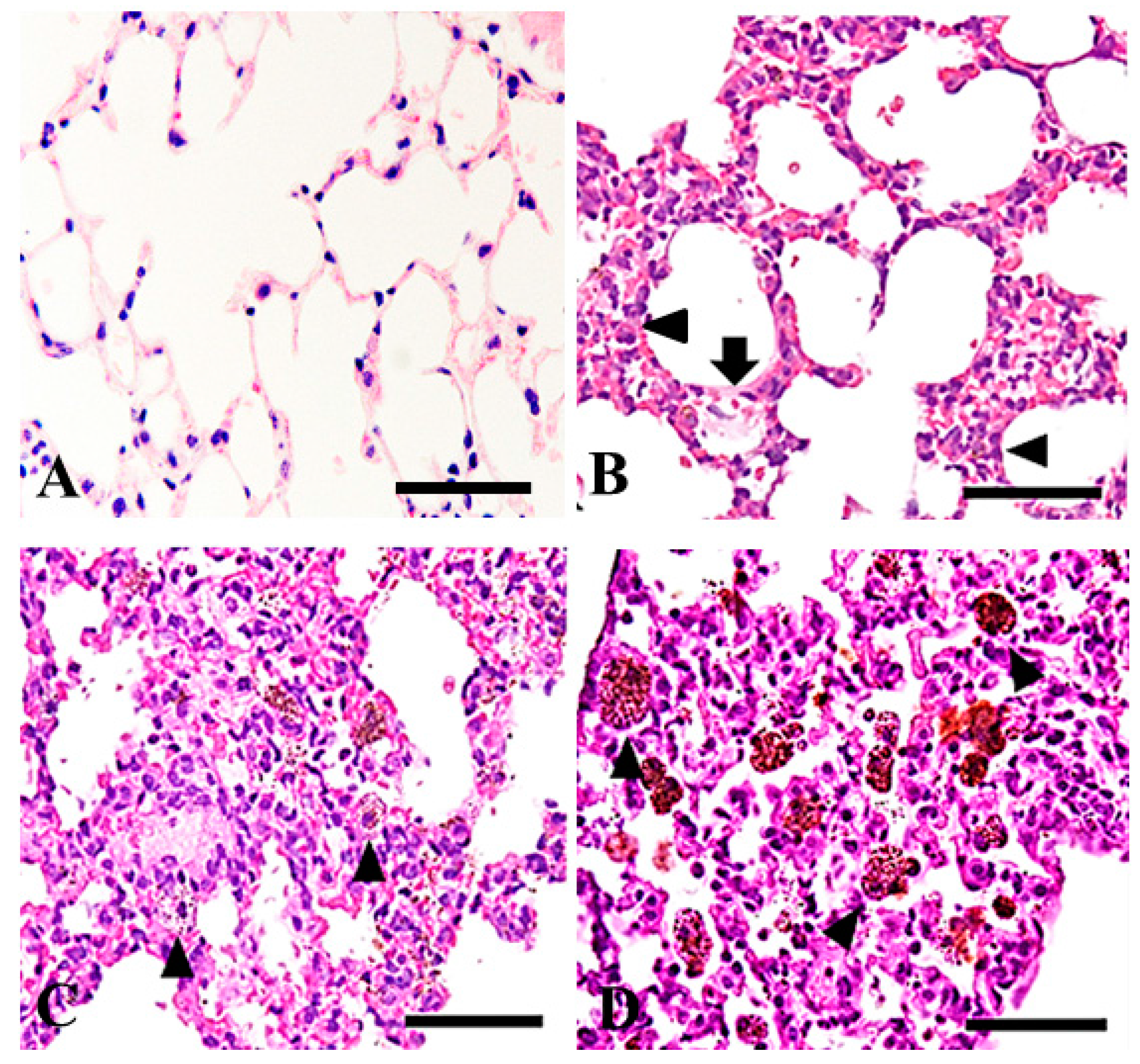
2.2. Histopathology of the Lungs
2.3. Histopathology of the Pulmonary Lymph Nodes
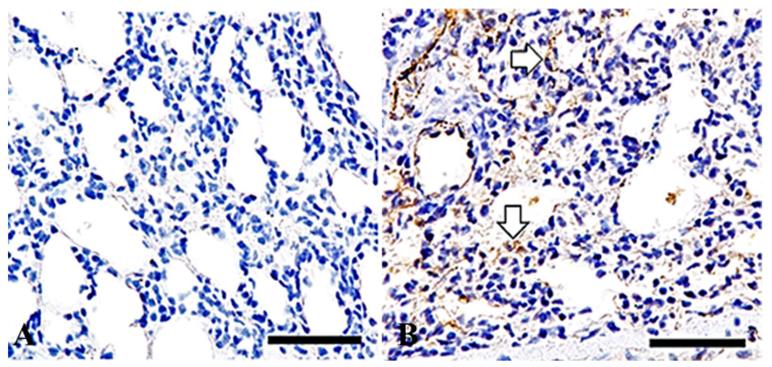
2.4. Immunohistochemistry of the Lung
2.4.1. α-SMA
2.4.2. Laminin
2.4.3. TNF-α, IL-6, and iNOS
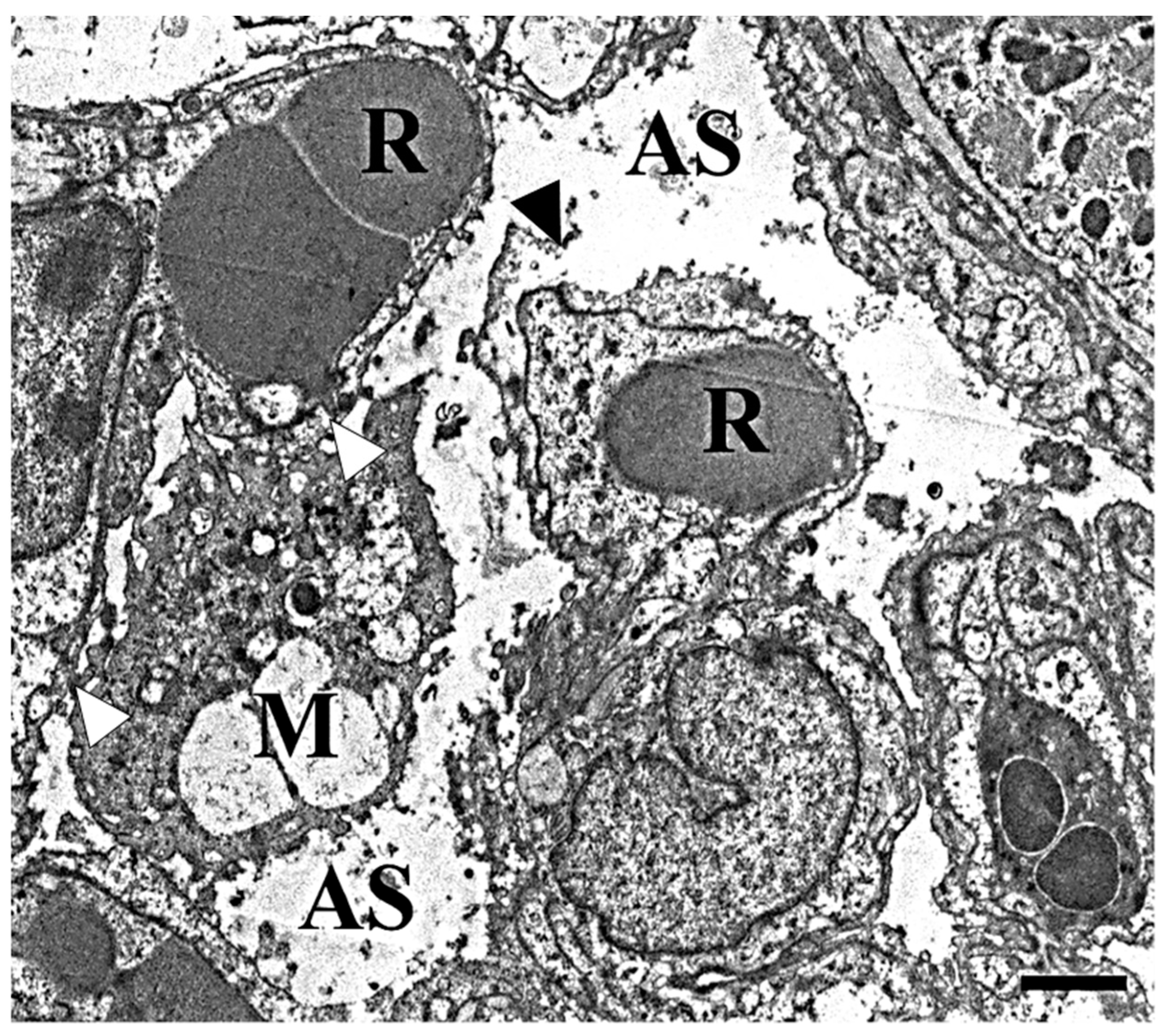
2.5. Electron Microscopy Analysis
2.6. Cytology and Measurement of NO in the BALF
3. Discussion
4. Materials and Methods
4.1. Animals
4.2. Materials
4.3. Study Protocol
4.4. Pathological Examination
4.5. Immunohistochemistry
4.6. Electron Microscopy
4.7. Analysis of Bronchoalveolar Lavage Fluid (BALF)
4.8. Statistical Analysis
5. Conclusions
Acknowledgments
Author Contributions
Conflicts of Interest
References
- Kurosaki, Y.; Shinoda, M.; Mikami, M. What caused a recent increase in dust outbreaks over East Asia? Geophys. Res. Lett. 2011, 38, L11702. [Google Scholar] [CrossRef]
- Lin, C.-Y.; Wang, Z.; Chen, W.-N.; Chang, S.-Y.; Chou, C.C.K.; Sugimoto, N.; Zhao, X. Long-range transport of Asian dust and air pollutants to Taiwan: Observed evidence and model simulation. Atmos. Chem. Phys. 2007, 7, 423–434. [Google Scholar] [CrossRef]
- Lee, H.; Kim, H.; Honda, Y.; Lim, Y.H.; Yi, S. Effect of Asian dust storms on daily mortality in seven metropolitan cities of Korea. Atmos. Environ. 2013, 79, 510–517. [Google Scholar] [CrossRef]
- Park, Y.S.; Kim, J.H.; Jang, H.J.; Tae, Y.H.; Lim, D.H. The effect of Asian dust on asthma by socioeconomic status using national health insurance claims data in Korea. Inhal. Toxicol. 2016, 28, 1–6. [Google Scholar] [CrossRef] [PubMed]
- Yang, C.Y.; Cheng, M.H.; Chen, C.C. Effects of Asian dust storm events on hospital admissions for congestive heart failure in Taipei, Taiwan. J. Toxicol. Environ. Health A 2009, 72, 324–328. [Google Scholar] [CrossRef] [PubMed]
- Kashima, S.; Yorifuji, T.; Suzuki, E. Asian dust and daily emergency ambulance calls among elderly people in Japan: An analysis of its double role as a direct cause and as an effect modifier. J. Occup. Environ. Med. 2014, 56, 1277–1283. [Google Scholar] [CrossRef] [PubMed]
- Onishi, K.; Otani, S.; Yoshida, A.; Mu, H.; Kurozawa, Y. Adverse health effects of Asian dust particles and heavy metals in Japan. Asia Pac. J. Public Health 2015, 27, 1719–1726. [Google Scholar] [CrossRef] [PubMed]
- Mori, I.; Nishikawa, M.; Tanimura, T.; Quan, H. Change in size distribution and chemical composition of Kosa (Asian dust) aerosol during long-range transport. Atmos. Environ. 2003, 37, 4253–4263. [Google Scholar] [CrossRef]
- Griffin, D.W. Atmospheric movement of microorganisms in clouds of desert dust and implications for human health. Clin. Microbiol. Rev. 2007, 20, 459–477. [Google Scholar] [CrossRef] [PubMed]
- Nishikawa, M.; Quan, H.; Morita, M. Preparation and evaluation of certified reference materials for Asian mineral dust. Glob. Environ. Res. 2000, 1, 103–113. [Google Scholar]
- Calvert, G.M.; Rice, F.L.; Boiano, J.M.; Sheehy, J.W.; Sanderson, W.T. Occupational silica exposure and risk of various diseases: An analysis using death certificates from 27 states of the United States. Occup. Environ. Med. 2003, 60, 122–129. [Google Scholar] [CrossRef] [PubMed]
- Kim, J.Y.; Do, S.Y.; Moon, Y.H.; Lee, C.G.; Kim, Y.S.; Choi, B.S.; Kim, E.S.; Song, H.S. Systemic sclerosis due to crystalline silica exposure among jewelry workers in Korea: Two case reports. Ann. Occup. Environ. Med. 2017, 29, 18. [Google Scholar] [CrossRef] [PubMed]
- Parks, C.G.; Conrad, K.; Cooper, G.S. Occupational exposure to crystalline silica and autoimmune disease. Environ. Health Perspect. 1999, 107, 793–802, PMCID PMC1566238. [Google Scholar] [CrossRef] [PubMed]
- Pollard, K.M. Silica, Silicosis, and Autoimmunity. Front. Immunol. 2016, 7, 97. [Google Scholar] [CrossRef] [PubMed]
- Langley, R.J.; Mishra, N.C.; Peña-Philippides, J.C.; Hutt, J.A.; Sopori, M.L. Granuloma formation induced by low-dose chronic silica inhalation is associated with an anti-apoptotic response in Lewis rats. J. Toxicol. Environ. Health A 2010, 73, 669–683. [Google Scholar] [CrossRef] [PubMed]
- Porter, D.W.; Hubbs, A.F.; Mercer, R.; Robinson, V.A.; Ramsey, D.; McLaurin, J.; Khan, A.; Battelli, L.; Brumbaugh, K.; Teass, A.; et al. Progression of lung inflammation and damage in rats after cessation of silica inhalation. Toxicol. Sci. 2004, 79, 370–380. [Google Scholar] [CrossRef] [PubMed]
- Porter, D.W.; Millecchia, L.L.; Willard, P.; Robinson, V.A.; Ramsey, D.; McLaurin, J.; Khan, A.; Brumbaugh, K.; Beighley, C.M.; Teass, A.; et al. Nitric oxide and reactive oxygen species production causes progressive damage in rats after cessation of silica inhalation. Toxicol. Sci. 2006, 90, 188–197. [Google Scholar] [CrossRef] [PubMed]
- Sellamuthu, R.; Umbright, C.; Roberts, J.R.; Young, S.H.; Richardson, D.; McKinney, W.; Chen, B.T.; Li, S.; Kashon, M.; Joseph, P. Molecular mechanisms of pulmonary response progression in crystalline silica exposed rats. Inhal. Toxicol. 2017, 29, 53–64. [Google Scholar] [CrossRef] [PubMed]
- Friedetzky, A.; Garn, H.; Kirchner, A.; Gemsa, D. Histopathological changes in enlarged thoracic lymph nodes during the development of silicosis in rats. Immunobiology 1998, 199, 119–132. [Google Scholar] [CrossRef]
- Porter, D.W.; Millecchia, L.; Robinson, V.A.; Hubbs, A.; Willard, P.; Pack, D.; Ramsey, D.; McLaurin, J.; Khan, A.; Landsittel, D.; et al. Enhanced nitric oxide and reactive oxygen species production and damage after inhalation of silica. Am. J. Physiol. Lung Cell. Mol. Physiol. 2002, 283, L485–L493. [Google Scholar] [CrossRef] [PubMed]
- Cox-Ganser, J.M.; Burchfiel, C.M.; Fekedulegn, D.; Andrew, M.E.; Ducatman, B.S. Silicosis in lymph nodes: The canary in the miner? J. Occup. Environ. Med. 2009, 51, 164–169. [Google Scholar] [CrossRef] [PubMed]
- Ichinose, T.; Nishikawa, M.; Takano, H.; Sera, N.; Sadakane, K.; Mori, I.; Yanagisawa, R.; Oda, T.; Tamura, H.; Hiyoshi, K.; et al. Pulmonary toxicity induced by intratracheal instillation of Asian yellow dust (Kosa) in mice. Environ. Toxicol. Pharmacol. 2005, 20, 48–56. [Google Scholar] [CrossRef] [PubMed]
- Naota, M.; Mukaiyama, T.; Shimada, A.; Yoshida, A.; Okajima, M.; Morita, T.; Inoue, K.; Takano, H. Pathological study of acute pulmonary toxicity induced by intratracheally instilled Asian sand dust (Kosa). Toxicol. Pathol. 2010, 38, 1099–1110. [Google Scholar] [CrossRef] [PubMed]
- Naota, M.; Shiotsu, S.; Shimada, A.; Kohara, Y.; Morita, T.; Inoue, K.; Takano, H. Pathological study of chronic pulmonary toxicity induced by intratracheally instilled Asian sand dust (Kosa). Toxicol. Pathol. 2013, 41, 48–62. [Google Scholar] [CrossRef] [PubMed]
- Shimada, A.; Kohara, Y.; Naota, M.; Kobayashi, Y.; Morita, T.; Inoue, K.; Takano, H. Pathological study of chronic pulmonary toxicity induced by intratracheally instilled Asian sand dust (Kosa): Possible association of fibrosis with the development of granulomatous lesions. Folia Histochem. Cytobiol. 2015, 53, 294–306. [Google Scholar] [CrossRef] [PubMed]
- Kobayashi, Y.; Shimada, A.; Nemoto, M.; Morita, T.; Adilbish, A.; Bayasgalan, M. Adverse effects of inhaled sand dust particles on the respiratory organs of sheep and goats exposed to severe sand storms in Mongolia. Folia Histochem. Cytobiol. 2014, 52, 244–249. [Google Scholar] [CrossRef] [PubMed]
- Castranova, V.; Porter, D.; Millecchia, L.; Ma, J.Y.; Hubbs, A.F.; Teass, A. Effect of inhaled crystalline silica in a rat model: Time course of pulmonary reactions. Mol. Cell. Biochem. 2002, 234, 177–184. [Google Scholar] [CrossRef] [PubMed]
- Scabilloni, J.F.; Wang, L.; Antonini, J.M.; Roberts, J.R.; Castranova, V.; Mercer, R.M. Matrix metalloproteinase induction in fibrosis and fibrotic nodule formation due to silica inhalation. Am. J. Physiol. Lung Cell. Mol. Physiol. 2004, 288, 709–717. [Google Scholar] [CrossRef] [PubMed]
- Vaccaro, C.A.; Brody, J.S. Structural features of alveolar wall basement membrane in the adult rat lung. J. Cell. Biol. 1981, 91, 427–437. [Google Scholar] [CrossRef] [PubMed]
- Kaewamatawong, T.; Kawamura, N.; Okajima, M.; Sawada, M.; Morita, T.; Shimada, A. Acute pulmonary toxicity caused by exposure to colloidal silica: Particle size dependent pathological changes in mice. Toxicol. Pathol. 2005, 33, 745–751. [Google Scholar] [CrossRef] [PubMed]
- Gil, J.; Martinez-Hernandez, A. The connective tissue of the rat lung: Electron immunohistochemical studies. J. Histochem. Cytochem. 1984, 32, 230–238. [Google Scholar] [CrossRef] [PubMed]
- Darby, I.A.; Zakuan, N.; Billet, F.; Desmoulière, A. The myofibroblast, a key cell in normal and pathological tissue repair. Cell. Mol. Life Sci. 2016, 73, 1145–1157. [Google Scholar] [CrossRef] [PubMed]
- Klingberg, F.; Hinz, B.; White, E.S. The myofibroblast matrix: Implications for tissue repair and fibrosis. J. Pathol. 2013, 229, 298–309. [Google Scholar] [CrossRef] [PubMed]
- Pryhuber, G.S.; Huyck, H.L.; Baggs, R.; Oberdörster, G.; Finkelstein, J.N. Induction of chemokines by low-dose intratracheal silica is reduced in TNF I (p55) null mice. Toxicol. Sci. 2003, 72, 150–157. [Google Scholar] [CrossRef] [PubMed]
- Wajant, H.; Pfizenmaier, K.; Scheurich, P. Tumor necrosis factor signaling. Cell Death Differ. 2003, 10, 45–65. [Google Scholar] [CrossRef] [PubMed]
- Tanaka, T.; Kishimoto, T. The biology and medical implications of interleukin-6. Cancer Immunol. Res. 2014, 2, 288–294. [Google Scholar] [CrossRef] [PubMed]
- Ichinose, T.; Hiyoshi, K.; Yoshida, S.; Takano, H.; Inoue, K.; Nishikawa, M.; Mori, I.; Kawazato, H.; Yasuda, A.; Shibamoto, T. Asian sand dust aggravates allergic rhinitis in guinea pigs induced by Japanese cedar pollen. Inhal. Toxicol. 2009, 21, 985–993. [Google Scholar] [CrossRef] [PubMed]
- Ernst, H.; Rittinghausen, S.; Bartsch, W.; Creutzenberg, O.; Dasenbrock, C.; Görlitz, B.D.; Hecht, M.; Kairies, U.; Muhle, H.; Müller, M.; et al. Pulmonary inflammation in rats after intratracheal instillation of quartz, amorphous SiO2, carbon black, and coal dust and the influence of poly-2-vinylpyridine-N-oxide (PVNO). Exp. Toxicol. Pathol. 2002, 54, 109–126. [Google Scholar] [CrossRef] [PubMed]
- Fazzi, F.; Njah, J.; Di Giuseppe, M.; Winnica, D.E.; Go, K.; Sala, E.; St Croix, C.M.; Watkins, S.C.; Tyurin, V.A.; Phinney, D.G.; et al. TNFR1/phox interaction and TNFR1 mitochondrial translocation Thwart silica-induced pulmonary fibrosis. J. Immunol. 2014, 192, 3837–3846. [Google Scholar] [CrossRef] [PubMed]
- Blackford, J.A., Jr.; Antonini, J.M.; Castranov, V.; Dey, R.D. Intratracheal instillation of silica up-regulates inducible nitric oxide synthase gene expression and increases nitric oxide production in alveolar macrophages and neutrophils. Am. J. Respir. Cell Mol. Biol. 1994, 11, 426–431. [Google Scholar] [CrossRef] [PubMed]
- Huffman, L.J.; Judy, J.; Castranova, V. Regulation of nitric oxide production by rat alveolar macrophages in response to silica exposure. J. Toxicol. Environ. Health Part A 1998, 53, 29–46. [Google Scholar] [PubMed]
- Zeidler, P.; Hubbs, A.; Battelli, L.; Castranova, V. Role of inducible nitric oxide synthase-derived nitric oxide in silica-induced pulmonary inflammation and fibrosis. J. Toxicol. Environ. Health A 2004, 67, 1001–1026. [Google Scholar] [CrossRef] [PubMed]
- Jeong, G.Y.; Kim, J.Y.; Seo, J.; Kim, G.M.; Jin, H.C.; Chun, Y. Long-range transport of giant particles in Asian dust identified by physical, mineralogical, and meteorological analysis. Atmos. Chem. Phys. 2014, 14, 505–521. [Google Scholar] [CrossRef]











© 2018 by the authors. Licensee MDPI, Basel, Switzerland. This article is an open access article distributed under the terms and conditions of the Creative Commons Attribution (CC BY) license (http://creativecommons.org/licenses/by/4.0/).
Share and Cite
Kobayashi, Y.; Shimada, A.; Morita, T.; Inoue, K.; Takano, H. A Pathological Study of Acute Pulmonary Toxicity Induced by Inhaled Kanto Loam Powder. Int. J. Mol. Sci. 2018, 19, 416. https://doi.org/10.3390/ijms19020416
Kobayashi Y, Shimada A, Morita T, Inoue K, Takano H. A Pathological Study of Acute Pulmonary Toxicity Induced by Inhaled Kanto Loam Powder. International Journal of Molecular Sciences. 2018; 19(2):416. https://doi.org/10.3390/ijms19020416
Chicago/Turabian StyleKobayashi, Yoshimi, Akinori Shimada, Takehito Morita, Kenichiro Inoue, and Hirohisa Takano. 2018. "A Pathological Study of Acute Pulmonary Toxicity Induced by Inhaled Kanto Loam Powder" International Journal of Molecular Sciences 19, no. 2: 416. https://doi.org/10.3390/ijms19020416
APA StyleKobayashi, Y., Shimada, A., Morita, T., Inoue, K., & Takano, H. (2018). A Pathological Study of Acute Pulmonary Toxicity Induced by Inhaled Kanto Loam Powder. International Journal of Molecular Sciences, 19(2), 416. https://doi.org/10.3390/ijms19020416
