Human Skin Permeation Studies with PPARγ Agonist to Improve Its Permeability and Efficacy in Inflammatory Processes
Abstract
1. Introduction
2. Results
2.1. Validation of the Analytical Method
2.2. Permeation Studies in Human Skin
2.3. Cytotoxicity Studies and Skin Tolerance Studies
2.4. Efficacy Studies
2.4.1. Colorimetric Parameters
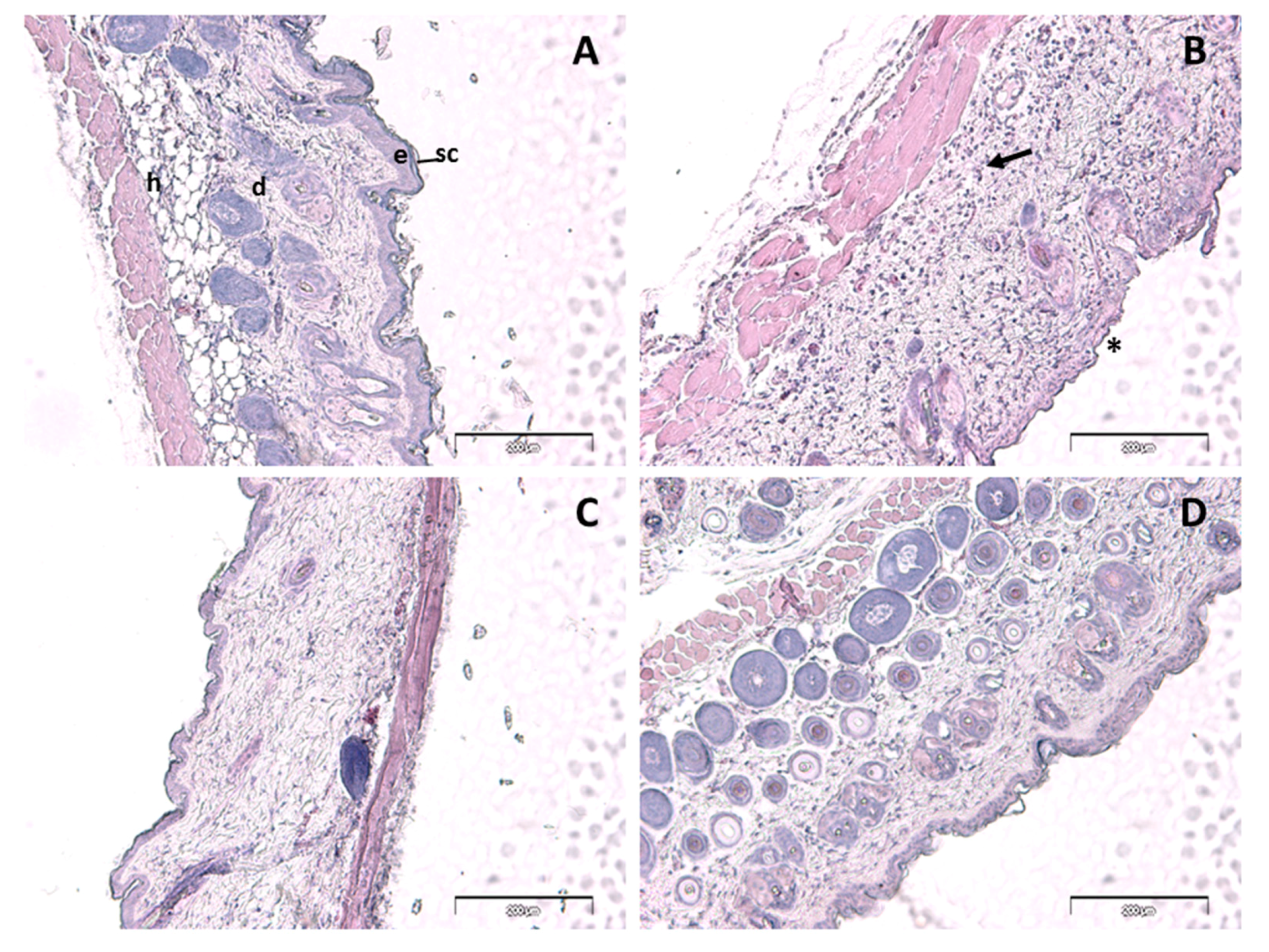
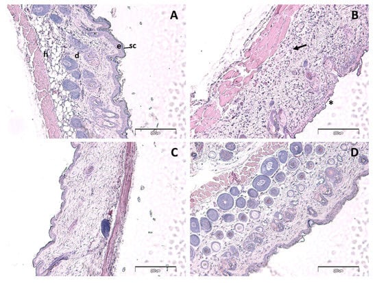
2.4.2. Histological Analysis
3. Discussion
4. Materials and Methods
4.1. Materials
4.2. Validated Analytical Method
Conditions Analyzed
- LinearityThe calibration curve was prepared from nine different concentrations of PGZ (1.5 to 110 μg/mL). Three calibration curves were prepared, evaluating the linearity according to the determination coefficient (r2) of each curve, the y-intercept, the slope of the regression line, and the residual and sum of the squares.
- PrecisionInstrument precision was determined by intermediate precision (inter-day). It was expressed according to the standard deviation (SD) and the % coefficient of variation (CV). The precision was evaluated to analyze sets of three standard samples of 3, 60, and 110 μg/mL within three intercalated days (inter-day). The selected concentrations correspond to the lowest, the intermediate, and the highest concentrations of the calibration curve.
- AccuracyThe accuracy was determined by measuring the degree of approach between the real value and the experimental data. Accuracy was assessed for concentrations of PGZ (3, 30, 60, and 110 μg/mL) and analyzed in triplicate. The margin of error was calculated for each concentration between the theoretical value () and the experimental value () by Equation (1):
- RobustnessRobustness was determined by changing experimental flow conditions and the composition of the mobile phase. The flow was varied at ±0.1 mL/min, and the concentration of the mobile phase was varied at ±3% acetonitrile and ±3% ammonium acetate. The effects of these variations on the experimental conditions were tested for retention time. Standard deviation (SD) was calculated.
- SpecificityThe specificity of the method was evaluated by analyzing the possible interferences due to the components of the skin that are released during the passing of the drug with the penetration enhancer. Four different samples were evaluated: blank of mobile phase, standard of 30 ppm, blank of skin as a control, and sample of skin permeated with PGZ-limonene. A volume of 10 μL of each sample was injected, and then the chromatogram profiles (wavelength 269 nm) were analyzed.
- SensitivitySensitivity was analyzed by the limit of detection (LOD) and the limit of quantification (LOQ). LOD is the lowest concentration of analyte that can be determined, and LOQ is the lowest concentration that can be quantified with adequate accuracy and precision. The signal-to-noise ratio was found by comparing signals from samples of known low concentrations of drug with the signals of blank samples and then establishing the lowest concentration of drug that can be reliably detected, in addition to being reliably quantified. A signal-to-noise ratio of 3:1 for LOD and 10:1 for LOQ were ultimately determined.
4.3. Permeation Studies in Human Skin
4.4. Permeation Parameters
4.5. Toxicity in HaCat Cell Line and Skin Tolerance
4.6. Efficacy Studies
4.7. Histological Analysis
4.8. Statistics
5. Conclusions
Supplementary Materials
Acknowledgments
Author Contributions
Conflicts of Interest
Abbreviations
| PGZ | Pioglitazone |
| PPARs | Peroxisome proliferator-activated receptors |
| HPLC | Liquid chromatography of high resolution |
| TLR | Toll-like receptors |
| IL-8 | Interleukin 8 |
| IL-1β | Interleukin 1 β |
| TNF-α | Tumor necrosis factor α |
| LOD | Detection limit |
| LOQ | limit of quantification |
| Jss | Permeability flow |
| kp | Permeability coefficient |
| Qret | Retained drug |
| Css | Steady-state plasma concentration |
| GRAS | Generally regarded as safe |
| ICH | International conference on harmonization |
References
- Wu, C.Y.; Chang, Y.T.; Juan, C.K.; Shieh, J.J.; Lin, Y.P.; Liu, H.N.; Lin, J.T.; Chen, Y.J. Risk of inflammatory bowel disease in patients with rosacea: Results from a nationwide cohort study in Taiwan. J. Am. Acad. Dermatol. 2017, 76, 911–917. [Google Scholar] [CrossRef] [PubMed]
- Egeberg, A.; Hansen, P.R.; Gislason, G.H.; Thyssen, J.P. Clustering of autoimmune diseases in patients with rosacea. J. Am. Acad. Dermatol. 2016, 74, 667–672. [Google Scholar] [CrossRef] [PubMed]
- Alcantara-Reifs, C.M.; Salido-Vallejo, R.; Garnacho-Saucedo, G.; Velez Garcia-Nieto, A. Otophyma: A rare variant of phymatous rosacea. Am. J. Otolaryngol. 2016, 37, 251–254. [Google Scholar] [CrossRef] [PubMed]
- Hopkinson, D.; Moradi Tuchayi, S.; Alinia, H.; Feldman, S.R. Assessment of rosacea severity: A review of evaluation methods used in clinical trials. J. Am. Acad. Dermatol. 2015, 73, 138–143. [Google Scholar] [CrossRef] [PubMed]
- Two, A.M.; Wu, W.; Gallo, R.L.; Hata, T.R. Rosacea: Part I. Introduction, categorization, histology, pathogenesis, and risk factors. J. Am. Acad. Dermatol. 2015, 72, 749–758. [Google Scholar] [CrossRef] [PubMed]
- Awais, M.; Anwar, M.I.; Iftikhar, R.; Iqbal, Z.; Shehzad, N.; Akbar, B. Rosacea-the ophthalmic perspective. Cutan. Ocul. Toxicol. 2015, 34, 161–166. [Google Scholar] [CrossRef] [PubMed]
- Di Nardo, A.; Holmes, A.D.; Muto, Y.; Huang, E.Y.; Preston, N.; Winkelman, W.J.; Gallo, R.L. Improved clinical outcome and biomarkers in adults with papulopustular rosacea treated with doxycycline modified-release capsules in a randomized trial. J. Am. Acad. Dermatol. 2016, 74, 1086–1092. [Google Scholar] [CrossRef] [PubMed]
- Egeberg, A.; Hansen, P.R.; Gislason, G.H.; Thyssen, J.P. Assessment of the risk of cardiovascular disease in patients with rosacea. J. Am. Acad. Dermatol. 2016, 75, 336–339. [Google Scholar] [CrossRef] [PubMed]
- Picardo, M.; Eichenfield, L.F.; Tan, J. Acne and Rosacea. Dermatol. Ther. 2017, 7, 43–52. [Google Scholar] [CrossRef] [PubMed]
- Margalit, A.; Kowalczyk, M.J.; Zaba, R.; Kavanagh, K. The role of altered cutaneous immune responses in the induction and persistence of rosacea. J. Dermatol. Sci. 2016, 82, 3–8. [Google Scholar] [CrossRef] [PubMed]
- Moustafa, F.; Lewallen, R.S.; Feldman, S.R. The psychological impact of rosacea and the influence of current management options. J. Am. Acad. Dermatol. 2014, 71, 973–980. [Google Scholar] [CrossRef] [PubMed]
- Cardwell, L.A.; Farhangian, M.E.; Alinia, H.; Kuo, S.; Feldman, S.R. Psychological disorders associated with rosacea: Analysis of unscripted comments. J. Dermatol. Dermatol. Surg. 2015, 19, 99–103. [Google Scholar] [CrossRef]
- Rainer, B.M.; Fischer, A.H.; Luz Felipe da Silva, D.; Kang, S.; Chien, A.L. Rosacea is associated with chronic systemic diseases in a skin severity-dependent manner: Results of a case-control study. J. Am. Acad. Dermatol. 2015, 73, 604–608. [Google Scholar] [CrossRef] [PubMed]
- Akin Belli, A.; Altun, I. Assessment of Framingham risk score and systemic coronary risk evaluation in rosacea patients. Dermatol. Sin. 2017, 35, 127–130. [Google Scholar] [CrossRef]
- Hua, T.C.; Chung, P.I.; Chen, Y.J.; Wu, L.C.; Chen, Y.D.; Hwang, C.Y.; Chu, S.Y.; Chen, C.C.; Lee, D.D.; Chang, Y.T.; et al. Cardiovascular comorbidities in patients with rosacea: A nationwide case-control study from Taiwan. J. Am. Acad. Dermatol. 2015, 73, 249–254. [Google Scholar] [CrossRef] [PubMed]
- Egeberg, A.; Fowler, J.F., Jr.; Gislason, G.H.; Thyssen, J.P. Rosacea and risk of cancer in Denmark. Cancer Epidemiol. 2017, 47, 76–80. [Google Scholar] [CrossRef] [PubMed]
- Tuzun, Y.; Wolf, R.; Kutlubay, Z.; Karakus, O.; Engin, B. Rosacea and rhinophyma. Clin. Dermatol. 2014, 32, 35–46. [Google Scholar] [CrossRef] [PubMed]
- Woo, Y.R.; Lim, J.H.; Cho, D.H.; Park, H.J. Rosacea: Molecular Mechanisms and Management of a Chronic Cutaneous Inflammatory Condition. Int. J. Mol. Sci. 2016, 17, 1562. [Google Scholar] [CrossRef] [PubMed]
- Cao, X. Self-regulation and cross-regulation of pattern-recognition receptor signalling in health and disease. Nat. Rev. Immunol. 2016, 16, 35–50. [Google Scholar] [CrossRef] [PubMed]
- Steinhoff, M.; Schauber, J.; Leyden, J.J. New insights into rosacea pathophysiology: A review of recent findings. J. Am. Acad. Dermatol. 2013, 69, S15–S26. [Google Scholar] [CrossRef] [PubMed]
- Buhl, T.; Sulk, M.; Nowak, P.; Buddenkotte, J.; McDonald, I.; Aubert, J.; Carlavan, I.; Deret, S.; Reiniche, P.; Rivier, M.; et al. Molecular and Morphological Characterization of Inflammatory Infiltrate in Rosacea Reveals Activation of Th1/Th17 Pathways. J. Investig. Dermatol. 2015, 135, 2198–2208. [Google Scholar] [CrossRef] [PubMed]
- Tan, J.; Almeida, L.M.; Bewley, A.; Cribier, B.; Dlova, N.C.; Gallo, R.; Kautz, G.; Mannis, M.; Oon, H.H.; Rajagopalan, M.; et al. Updating the diagnosis, classification and assessment of rosacea: Recommendations from the global ROSacea COnsensus (ROSCO) panel. Br. J. Dermatol. 2017, 176, 431–438. [Google Scholar] [CrossRef] [PubMed]
- Two, A.M.; Wu, W.; Gallo, R.L.; Hata, T.R. Rosacea: Part II. Topical and systemic therapies in the treatment of rosacea. J. Am. Acad. Dermatol. 2015, 72, 761–770. [Google Scholar] [CrossRef] [PubMed]
- Chang, Y.; Kurian, A. Rosacea: An Update on Medical Therapies. Skin Ther. Lett. 2014, 19, 1–4. [Google Scholar]
- Layton, A.M. Pharmacologic treatments for rosacea. Clin. Dermatol. 2017, 35, 207–212. [Google Scholar] [CrossRef] [PubMed]
- Holmes, A.D.; Steinhoff, M. Integrative concepts of rosacea pathophysiology, clinical presentation and new therapeutics. Exp. Dermatol. 2017, 26, 659–667. [Google Scholar] [CrossRef] [PubMed]
- Webster, G.; Schaller, M.; Tan, J.; Jackson, J.M.; Kerrouche, N.; Schafer, G. Defining treatment success in rosacea as ‘clear’ may provide multiple patient benefits: Results of a pooled analysis. J. Dermatol. Treat. 2017, 28, 469–474. [Google Scholar] [CrossRef] [PubMed]
- Zhong, S.; Sun, N.; Liu, H.; Niu, Y.; Chen, C.; Wu, Y. Topical tranexamic acid improves the permeability barrier in rosacea. Dermatol. Sin. 2015, 33, 112–117. [Google Scholar] [CrossRef]
- Sun, H.; Zhu, X.; Cai, W.; Qiu, L. Hypaphorine Attenuates Lipopolysaccharide-Induced Endothelial Inflammation via Regulation of TLR4 and PPAR-γ Dependent on PI3K/Akt/mTOR Signal Pathway. Int. J. Mol. Sci. 2017, 18, 844. [Google Scholar] [CrossRef] [PubMed]
- Park, H.J.; Park, H.S.; Lee, J.U.; Bothwell, A.L.; Choi, J.M. Sex-Based Selectivity of PPARγ Regulation in Th1, Th2, and Th17 Differentiation. Int. J. Mol. Sci. 2016, 17, 1347. [Google Scholar] [CrossRef] [PubMed]
- Jia, C.; Huan, Y.; Liu, S.; Hou, S.; Sun, S.; Li, C.; Liu, Q.; Jiang, Q.; Wang, Y.; Shen, Z. Effect of Chronic Pioglitazone Treatment on Hepatic Gene Expression Profile in Obese C57BL/6J Mice. Int. J. Mol. Sci. 2015, 16, 12213–12229. [Google Scholar] [CrossRef] [PubMed]
- Radenkovic, M. Pioglitazone and Endothelial Dysfunction: Pleiotropic Effects and Possible Therapeutic Implications. Sci. Pharm. 2014, 82, 709–721. [Google Scholar] [CrossRef] [PubMed][Green Version]
- El-Zaher, A.A.; Elkady, E.F.; Elwy, H.M.; Saleh, M. Simultaneous spectrophotometric determination of glimepiride and pioglitazone in binary mixture and combined dosage form using chemometric-assisted techniques. Spectrochim. Acta 2017, 182, 175–182. [Google Scholar] [CrossRef] [PubMed]
- Suzuki, S.; Mori, Y.; Nagano, A.; Naiki-Ito, A.; Kato, H.; Nagayasu, Y.; Kobayashi, M.; Kuno, T.; Takahashi, S. Pioglitazone, a Peroxisome Proliferator-Activated Receptor γ Agonist, Suppresses Rat Prostate Carcinogenesis. Int. J. Mol. Sci. 2016, 17, 2071. [Google Scholar] [CrossRef] [PubMed]
- Kumar, S.; Zakrewsky, M.; Chen, M.; Menegatti, S.; Muraski, J.A.; Mitragotri, S. Peptides as skin penetration enhancers: Mechanisms of action. J. Controll. Release 2015, 199, 168–178. [Google Scholar] [CrossRef] [PubMed]
- Mansour, R.S.H.; Sallam, A.A.; Hamdan, I.I.; Khalil, E.A.; Yousef, I. Elucidation of penetration enhancement mechanism of Emu oil using FTIR microspectroscopy at EMIRA laboratory of SESAME synchrotron. Spectrochim. Acta 2017, 185, 1–10. [Google Scholar] [CrossRef] [PubMed]
- Xie, F.; Chai, J.K.; Hu, Q.; Yu, Y.H.; Ma, L.; Liu, L.Y.; Zhang, X.L.; Li, B.L.; Zhang, D.H. Transdermal permeation of drugs with differing lipophilicity: Effect of penetration enhancer camphor. Int. J. Pharm. 2016, 507, 90–101. [Google Scholar] [CrossRef] [PubMed]
- Zhu, W.; Yan, H.; Li, S.; Nie, W.; Fan, F.; Zhu, J. PPAR-gamma agonist pioglitazone regulates dendritic cells immunogenicity mediated by DC-SIGN via the MAPK and NF-κB pathways. Int. Immunopharmacol. 2016, 41, 24–34. [Google Scholar] [CrossRef] [PubMed]
- Wang, F.; Liu, Y.; Bi, Z. Pioglitazone inhibits growth of human retinoblastoma cells via regulation of NF-κB inflammation signals. J. Recept. Signal Transduct. Res. 2017, 37, 94–99. [Google Scholar] [CrossRef] [PubMed]
- Mirza, A.Z.; Arayne, M.S.; Sultana, N. HPLC method development, validation and its application to investigate in vitro effect of pioglitazone on the availability of H 1 receptor antagonists. J. Assoc. Arab Univ. Basic Appl. Sci. 2017, 22, 70–75. [Google Scholar] [CrossRef]
- Satheeshkumar, N.; Shantikumar, S.; Srinivas, R. Pioglitazone: A review of analytical methods. J. Pharm. Anal. 2014, 4, 295–302. [Google Scholar] [CrossRef]
- Hagen, M.; Baker, M. Skin penetration and tissue permeation after topical administration of diclofenac. Curr. Med. Res. Opin. 2017, 33, 1623–1634. [Google Scholar] [CrossRef] [PubMed]
- Vijayakumar, A.; Baskaran, R.; Yoo, B.K. Skin permeation and retention of topical bead formulation containing tranexamic acid. J. Cosmet. Laser Ther. 2017, 19, 68–74. [Google Scholar] [CrossRef] [PubMed]
- Calpena, A.C.; Lauroba, J.; Suriol, M.; Obach, R.; Domenech, J. Effect of d-limonene on the transdermal permeation of nifedipine and domperidone. Int. J. Pharm. 1994, 103, 179–186. [Google Scholar] [CrossRef]
- Sugita, M.; Kataoka, M.; Sugihara, M.; Takeuchi, S.; Yamashita, S. Effect of excipients on the particle size of precipitated pioglitazone in the gastrointestinal tract: Impact on bioequivalence. AAPS J. 2014, 16, 1119–1127. [Google Scholar] [CrossRef] [PubMed]
- Krishnaiah, Y.S.; Raju, V.; Shiva Kumar, M.; Rama, B.; Raghumurthy, V.; Ramana Murthy, K.V. Studies on optimizing in vitro transdermal permeation of ondansetron hydrochloride using nerodilol, carvone, and limonene as penetration enhancers. Pharm. Dev. Technol. 2008, 13, 177–185. [Google Scholar] [CrossRef] [PubMed]
- Jiang, Q.; Wu, Y.; Zhang, H.; Liu, P.; Yao, J.; Yao, P.; Chen, J.; Duan, J. Development of essential oils as skin permeation enhancers: Penetration enhancement effect and mechanism of action. Pharm. Biol. 2017, 55, 1592–1600. [Google Scholar] [CrossRef] [PubMed]
- Yang, Z.; Teng, Y.; Wang, H.; Hou, H. Enhancement of skin permeation of bufalin by limonene via reservoir type transdermal patch: Formulation design and biopharmaceutical evaluation. Int. J. Pharm. 2013, 447, 231–240. [Google Scholar] [CrossRef] [PubMed]
- d’Alessio, P.; Mirshahi, M.; Bisson, J.; Béné, M. Skin Repair Properties of d-Limonene and Perillyl Alcohol in Murine Models. Anti-Inflamm. Anti-Allergy Agents Med. Chem. 2014, 13, 29–35. [Google Scholar] [CrossRef]
- Pesonen, M.; Suomela, S.; Kuuliala, O.; Henriks-Eckerman, M.L.; Aalto-Korte, K. Occupational contact dermatitis caused by d-limonene. Contact Dermat. 2014, 71, 273–279. [Google Scholar] [CrossRef] [PubMed]
- Basketter, D.; McFadden, J.; Evans, P.; Andersen, K.; Jowsey, I. Identification and classification of skin sensitizers: Identifying false positives and false negatives. Contact Dermat. 2006, 55, 268–273. [Google Scholar] [CrossRef] [PubMed]
- Kim, Y.W.; Kim, M.J.; Chung, B.Y.; Bang du, Y.; Lim, S.K.; Choi, S.M.; Lim, D.S.; Cho, M.C.; Yoon, K.; Kim, H.S.; et al. Safety evaluation and risk assessment of d-Limonene. J. Toxicol. Environ. Health Part B 2013, 16, 17–38. [Google Scholar] [CrossRef] [PubMed]
- Lu, W.C.; Chiang, B.H.; Huang, D.W.; Li, P.H. Skin permeation of d-limonene-based nanoemulsions as a transdermal carrier prepared by ultrasonic emulsification. Ultrason. Sonochem. 2014, 21, 826–832. [Google Scholar] [CrossRef] [PubMed]
- Api, A.M.; Ritacco, G.; Hawkins, D.R. The fate of dermally applied [14C]d-limonene in rats and humans. Int. J. Toxicol. 2013, 32, 130–135. [Google Scholar] [CrossRef] [PubMed]
- Schmuth, M.; Jiang, Y.J.; Dubrac, S.; Elias, P.M.; Feingold, K.R. Thematic review series: Skin lipids. Peroxisome proliferator-activated receptors and liver X receptors in epidermal biology. J. Lipid Res. 2008, 49, 499–509. [Google Scholar] [CrossRef] [PubMed]
- Thangavel, S.; Yoshitomi, T.; Sakharkar, M.K.; Nagasaki, Y. Redox nanoparticle increases the chemotherapeutic efficiency of pioglitazone and suppresses its toxic side effects. Biomaterials 2016, 99, 109–123. [Google Scholar] [CrossRef] [PubMed]
- Yoon, W.; Lee, N.; Hyun, C. Limonene suppresses lipopolysaccharide-induced production of nitric oxide, prostaglandin E2, and pro-inflammatory cytokines in RAW 264.7 macrophages. J Oleo Sci. 2010, 59, 415–421. [Google Scholar] [CrossRef] [PubMed]
- Parra, A.; Clares, B.; Rossello, A.; Garduno-Ramirez, M.L.; Abrego, G.; Garcia, M.L.; Calpena, A.C. Ex vivo permeation of carprofen from nanoparticles: A comprehensive study through human, porcine and bovine skin as anti-inflammatory agent. Int. J. Pharm. 2016, 501, 10–17. [Google Scholar] [CrossRef] [PubMed]
- Prasad, P.S.; Imam, S.S.; Aqil, M.; Sultana, Y.; Ali, A. QbD-based carbopol transgel formulation: Characterization, pharmacokinetic assessment and therapeutic efficacy in diabetes. Drug Deliv. 2016, 23, 1057–1066. [Google Scholar] [CrossRef] [PubMed]
- Rangari, N.T.; Kalyankar, T.M.; Puranik, P.K.; Chaudhari, S.R. Permeation studies of pioglitazone HCl from ficus carica fruit mucilage matrix transdermal Patches. IJPSR 2012, 3, 3927–3931. [Google Scholar]
- Mastrofrancesco, A.; Kovacs, D.; Sarra, M.; Bastonini, E.; Cardinali, G.; Aspite, N.; Camera, E.; Chavatte, P.; Desreumaux, P.; Monteleone, G.; et al. Preclinical studies of a specific PPARγ modulator in the control of skin inflammation. J. Investig. Dermatol. 2014, 134, 1001–1011. [Google Scholar] [CrossRef] [PubMed]
- Takayama, K.; Nagai, T. Limonene and Related Compounds as Potential Skin Penetration Promoters. Drug Dev. Ind. Pharm. 2008, 20, 677–684. [Google Scholar] [CrossRef]
- Kandeel, S.; Balaha, M. The possible protective effect of simvastatin and pioglitazone separately and in combination on bleomycin-induced changes in mice thin skin. Tissue Cell 2015, 47, 159–170. [Google Scholar] [CrossRef] [PubMed]
- Lappas, C.M.; Lappas, N.T. d-Limonene modulates T lymphocyte activity and viability. Cell. Immunol. 2012, 279, 30–41. [Google Scholar] [CrossRef] [PubMed]
- Wittayalertpanya, S.; Chompootaweep, S.; Thaworn, N. The Pharmacokinetics of Pioglitazone in Thai Healthy Subjects. J. Med. Assoc. Thail. 2006, 89, 2116–2122. [Google Scholar]
- Draize, J.; Woodard, G.; Calvery, H. Methods for the study of irritation and toxcicity of substances applied topically to the skin and mucous membranes. J. Pharmacol. Exp. Ther. 1994, 82, 377–390. [Google Scholar]
- Limón, D.; Jiménez-Newman, C.; Rodrigues, M.; González-Campo, A.; Amabilino, D.; Calpena, A.; Pérez-García, L. Cationic Supramolecular Hydrogels for Overcoming the Skin Barrier in Drug Delivery. ChemistryOpen 2017, 6, 585–598. [Google Scholar] [CrossRef] [PubMed]





| Permeation and Prediction Parameters | Free-PGZ | Azona | Squaleno | Linoleic Acid | Menthol | Pyrrolidone | Limonene | Cineol |
|---|---|---|---|---|---|---|---|---|
| Jss (µg/(h/cm2)) × 104 | 8.42 a,c,d,f,g | 19.40 b,c,d,e | 6.56 f,g | 5.38 f,g | 3.83 e,f,g | 6.89 f,g | 21.90 g | 18.00 |
| (7.68–9.36) | (17.4–23.3) | (5.81–7.22) | (4.74–6.02) | (3.44–4.31) | (6.30–7.58) | (19.7–25.1) | (15.2–20.8) | |
| Kp (cm/h) × 105 | 4.92 a,c,d,f,g | 12.10 b,c,d,e | 3.62 f,g | 3.21 f,g | 2.33 e,f,g | 4.21 f,g | 13.20 g | 2.53 |
| (4.33–5.41) | (11.90–14.30) | (3.16–3.98) | (2.69–3.53) | (2.20–2.66) | (3.69–4.53) | (12.90–16.50) | (2.38–2.78) | |
| Qret (µg/g skin/cm2) | 42.61 a,c,d,e,f,g (38.34–46.86) | 8.42 b,d,f,g (7.67–9.36) | 53.61 c,d,e,f,g (47.24–57.97) | 14.84 d,f,g (14.35–16.32) | 101.82 e,f (90.63–112.00) | 18.04 f,g (15.23–20.84) | 207.65 g (186.88–229.41) | 94.74 (85.26–105.21) |
| Css (ng/mL) × 104 | 3.73 a,c,d,f,g | 8.57 b,c,d,e,g | 2.90 f,g | 2.38 f,g | 1.69 e,f,g | 3.05 f,g | 9.68 | 9.60 |
| (3.45–4.20) | (7.71–9.52) | (2.41–3.29) | (2.04–2.62) | (1.44–1.96) | (2.84–3.35) | (8.81–10.50) | (8.54–11.60) |
© 2017 by the authors. Licensee MDPI, Basel, Switzerland. This article is an open access article distributed under the terms and conditions of the Creative Commons Attribution (CC BY) license (http://creativecommons.org/licenses/by/4.0/).
Share and Cite
Silva-Abreu, M.; Espinoza, L.C.; Rodríguez-Lagunas, M.J.; Fábrega, M.-J.; Espina, M.; García, M.L.; Calpena, A.C. Human Skin Permeation Studies with PPARγ Agonist to Improve Its Permeability and Efficacy in Inflammatory Processes. Int. J. Mol. Sci. 2017, 18, 2548. https://doi.org/10.3390/ijms18122548
Silva-Abreu M, Espinoza LC, Rodríguez-Lagunas MJ, Fábrega M-J, Espina M, García ML, Calpena AC. Human Skin Permeation Studies with PPARγ Agonist to Improve Its Permeability and Efficacy in Inflammatory Processes. International Journal of Molecular Sciences. 2017; 18(12):2548. https://doi.org/10.3390/ijms18122548
Chicago/Turabian StyleSilva-Abreu, Marcelle, Lupe Carolina Espinoza, María José Rodríguez-Lagunas, María-José Fábrega, Marta Espina, María Luisa García, and Ana Cristina Calpena. 2017. "Human Skin Permeation Studies with PPARγ Agonist to Improve Its Permeability and Efficacy in Inflammatory Processes" International Journal of Molecular Sciences 18, no. 12: 2548. https://doi.org/10.3390/ijms18122548
APA StyleSilva-Abreu, M., Espinoza, L. C., Rodríguez-Lagunas, M. J., Fábrega, M.-J., Espina, M., García, M. L., & Calpena, A. C. (2017). Human Skin Permeation Studies with PPARγ Agonist to Improve Its Permeability and Efficacy in Inflammatory Processes. International Journal of Molecular Sciences, 18(12), 2548. https://doi.org/10.3390/ijms18122548

