Evaluation and Management of Neurogenic Bladder: What Is New in China?
Abstract
:1. Introduction
2. Evaluation
2.1. Brain Magnetic Resonance Imaging (MRI)

2.2. History and Physical Examination
2.3. Urodynamics

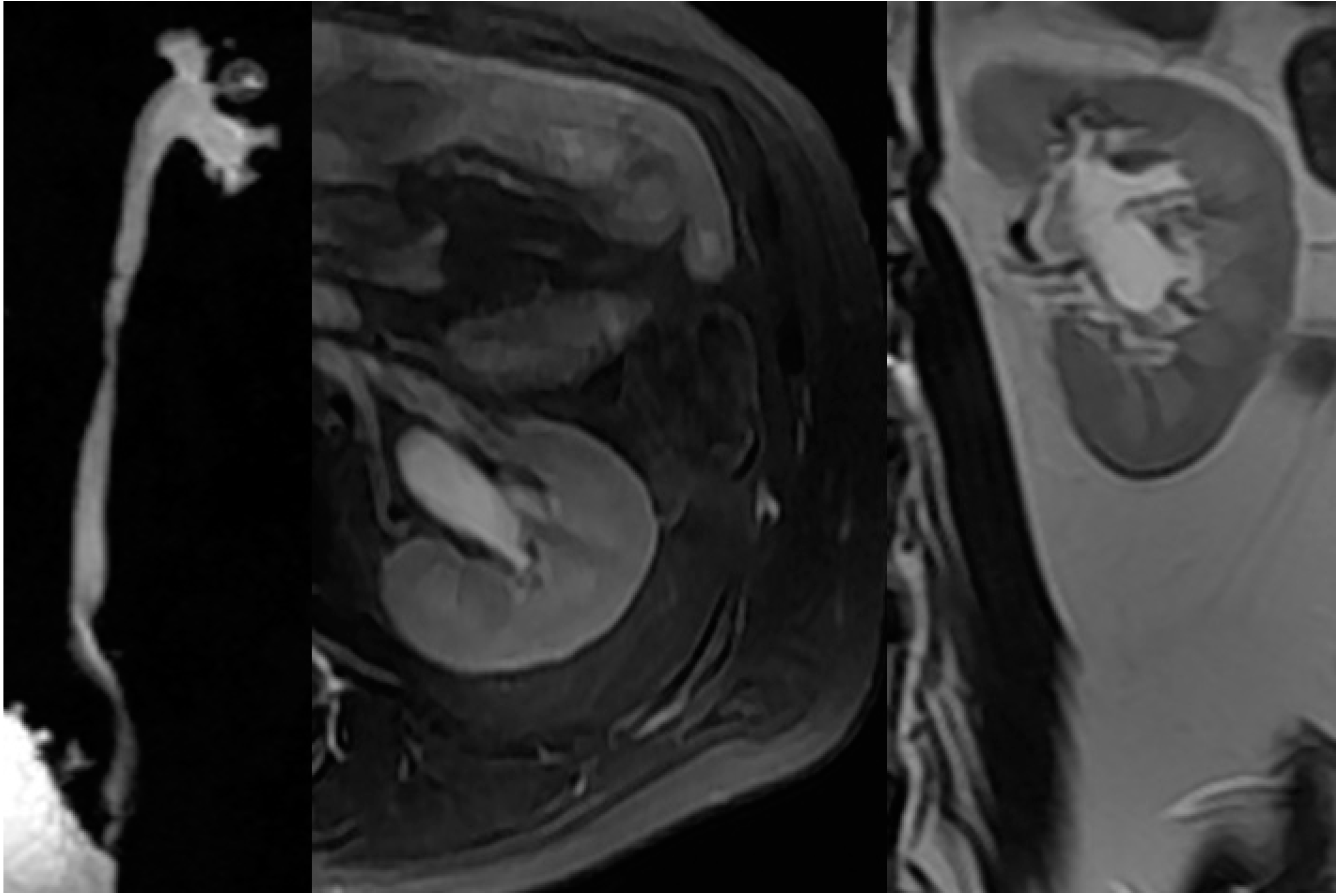
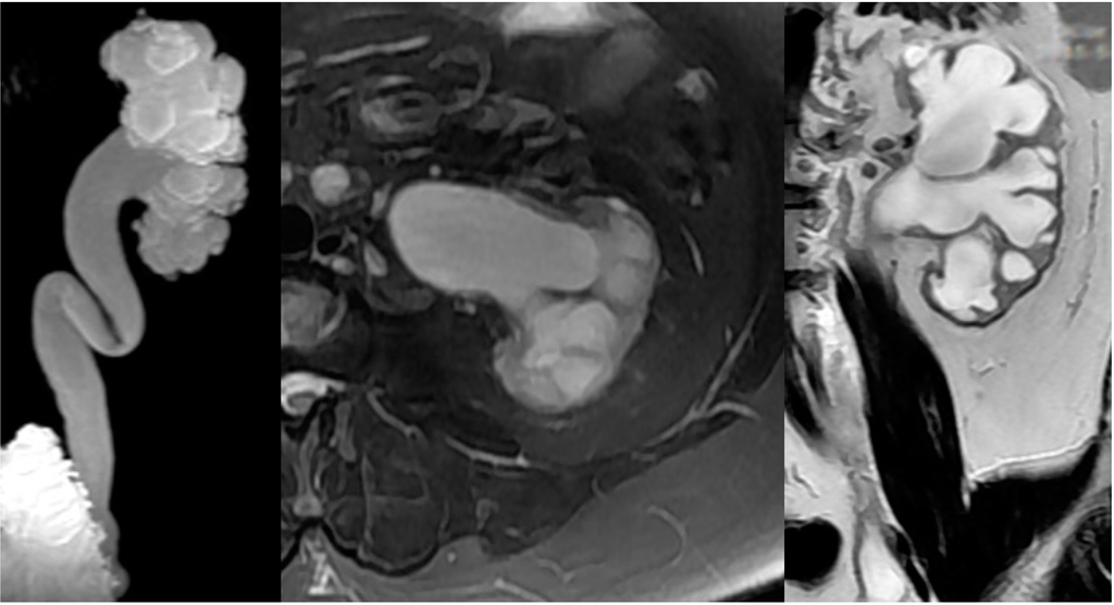
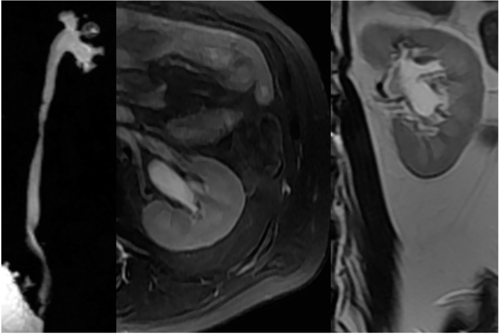
2.4. Upper Urinary Tract Imaging
2.4.1. Upper Urinary Tract Dilation (UUTD)




2.4.2. Vesicoureteral Reflux
2.5. Classification
| Lower Urinary Tract | Upper Urinary Tract | |
|---|---|---|
| Storage | Voiding | |
| 1. Bladder function | 1. Bladder function | 1. Vesico-ureteral reflux |
| (1) Detrusor activity | (1) Detrusor contractility | (1) No |
| ① Normal | ① Normal | (2) Yes: Unilateral, bilateral |
| ② Overactive | ② Underactive | Degree (left, right) |
| ③ Acontractile | I | |
| 2. Bladder sensation | II | |
| (1) Normal | 2. Urethral function | III |
| (2) Increased or hypersensitive | (1) Normal | IV |
| (3) Reduced or hyposensitive | (2) Obstruction | V |
| (4) Absent | ① Urethral overactivity | |
| 2. Upper urinary tract dilatation: hydronephrosis and ureteral dilatation | |
| 3. Bladder capacity |
| (1) No |
| (1) Normal (300–500 mL) |
| (2) Yes: Unilateral, bilateral |
| (2) High (>500 mL) |
| Grade (left, right) |
| (3) Low (<300 mL) |
| 1 |
| ② Mechanical obstruction | 2 | |
| 4. Bladder compliance | 3 | |
| (1) Normal (20–40 mL/cmH2O) | 4 | |
| (2) High (>40 mL/cmH2O) | ||
| (3) Low (<20 mL/cmH2O) | 3. Ureteral obstruction in bladder wall | |
| (1) No | ||
| 5. Urethral function | (2) Obstruction (left, right) | |
| (1) Normal | ||
| (2) Sphincter acontractility | 4. Renal function | |
| (3) Incompetent | (1) Normal | |
| ① Unilateral kidney: GRF ≥ 70 mL/min (left, right) | ||
| ② Both kidneys: Total GRF ≥ 70 mL/min | ||
| ① Bladder neck | (2) Renal insufficiency (Total GRF: 50–70 mL/min) | |
| ② External sphincter | ① Compensatory (Total GRF ≥ 50 mL/min, Scr < 178 μmol/L) | |
| ② Decompensation (Total GRF < 50 mL/min, Scr ≥ 178 μmol/L) | ||
3. Management
3.1. Intermittent Catheterization

3.2. Medication
3.2.1. Anti-Muscarinics
3.2.2. Phosphodiesterase Inhibitors (PDE5Is)
3.2.3. β3-Adrenergic Receptor Agonist
3.2.4. α-Blockers
3.3. Botulinum Toxin A (BTX-A) Injection
3.4. Neuromodulation
3.4.1. Sacral Neuromodulation (SNM)

3.4.2. Pudendal Neuromodulation (PNM)

3.4.3. Percutaneous Tibial Nerve Stimulation (PTNS)

3.4.4. Foot Stimulation
3.5. Urinary Tract Reconstruction Surgery
3.5.1. Augmentation Enterocystoplasty
3.5.2. Tissue-Engineering Bladder Augmentation
3.6. Artificial Urinary Sphincter (AUS)
3.7. New Treatments
3.7.1. Stem Cell Transplantation
3.7.2. Gene Therapy
3.8. Guidelines on Neurogenic Bladder (NB) in China
4. Conclusions
Acknowledgments
Conflicts of Interest
References
- Stohrer, M.; Blok, B.; Castro-Diaz, D.; Chartier-Kastler, E.; del Popolo, G.; Kramer, G.; Pannek, J.; Radziszewski, P.; Wyndaele, J.J. EAU guidelines on neurogenic lower urinary tract dysfunction. Eur. Urol. 2009, 56, 81–88. [Google Scholar] [CrossRef] [PubMed]
- Blok, B.F.; Willemsen, A.T.M.; Holstege, G. A PET study on brain control of micturition in humans. Brain 1997, 120, 111–121. [Google Scholar] [CrossRef] [PubMed]
- Athwal, B.S.; Berkley, K.J.; Hussain, I.; Brennan, A.; Craggs, M.; Sakakibara, R.; Frackowiak, R.S.; Fowler, C.J. Brain responses to changes in bladder volume and urge to void in healthy men. Brain 2001, 124, 369–377. [Google Scholar] [CrossRef] [PubMed]
- Zhang, H.; Reitz, A.; Kollias, S.; Summers, P.; Curt, A.; Schurch, B. An fMRI study of the role of suprapontine brain structures in the voluntary voiding control induced by pelvic floor contraction. Neuroimage 2005, 24, 174–180. [Google Scholar] [CrossRef] [PubMed]
- Gao, Y.; Liao, L.M.; Blok, B.F. A resting-state functional MRI study on central control of storage: Brain response provoked by strong desire to void. Int. Urol. Nephrol. 2015, 47, 927–935. [Google Scholar] [CrossRef] [PubMed]
- Schaefer, W.; Abrams, P.; Liao, L.M.; Mattiasson, A.; Pesce, F.; Spangberg, A.; Sterling, A.M.; Zinner, N.R.; van Kerrebroeck, P. Good urodynamic practices: Uroflowmetry, filling cystometry, and pressure-flow studies. Neurourol. Urodyn. 2002, 21, 261–274. [Google Scholar] [CrossRef] [PubMed]
- Liao, L.M.; Schaefer, W. Quantitative quality control during urodynamic studies with TVRs for cystometry in men with lower urinary tract symptoms suggestive of benign prostatic hyperplasia. Int. Urol. Nephrol. 2014, 46, 1301–1308. [Google Scholar] [CrossRef] [PubMed]
- Liao, L.M.; Schaefer, W. Qualitative quality control during urodynamic studies with TSPs for cystometry in men with lower urinary tract symptoms suggestive of benign prostatic hyperplasia. Int. Urol. Nephrol. 2014, 46, 1073–1079. [Google Scholar] [CrossRef] [PubMed]
- Liao, L.M.; Schaefer, W. Effects of retrospective quality control on pressure-flow data with computer-based urodynamic systems from men with benign prostatic hyperplasia. Asian J. Androl. 2007, 9, 771–780. [Google Scholar] [CrossRef] [PubMed]
- Stoehrer, M.; Goepel, M.; Kondo, A.; Kramer, G.; Madersbacher, H.; Millard, R.; Rossier, A.; Wyndaele, J.J. The standardization of terminology in neurogenic lower urinary tract dysfunction: With suggestions for diagnostic procedures. International continence Society Standardization Committee. Neurourol. Urodyn. 1999, 18, 139–158. [Google Scholar] [CrossRef]
- Liao, L.M.; Zhang, F.; Chen, G. New grading system for upper urinary tract dilation using magnetic resonance urography in patients with neurogenic bladder. BMC Urol. 2014, 14, 38–45. [Google Scholar] [CrossRef] [PubMed]
- Duckett, J.W.; Bellinger, M.F. A plea for standardized grading of vesicoureteral reflux. Eur. Urol. 1982, 8, 74–77. [Google Scholar] [PubMed]
- Madersbacher, H. The various types of neurogenic bladder dysfunction: An update of current therapeutic concepts. Paraplegia 1990, 28, 217–229. [Google Scholar] [CrossRef] [PubMed]
- Abrams, P.; Cardozo, L.; Fall, M.; Griffiths, D.; Rosier, P.; Ulmsten, U.; van Kerrebroeck, P.; Victor, A.; Wein, A. The standardization of terminology of lower urinary tract function. Neurourol. Urodyn. 2002, 21, 167–178. [Google Scholar] [CrossRef] [PubMed]
- Liao, L.M. A new comprehensive classification system for both lower and upper urinary tract dysfunction in patients with neurogenic bladder. Urol. Int. 2015, 94, 244–248. [Google Scholar] [CrossRef] [PubMed]
- Guttmann, L.; Frankel, H. The value of intermittent catheterisation in the early management of traumatic paraplegia and tetraplegia. Paraplegia 1966, 4, 63–84. [Google Scholar] [CrossRef] [PubMed]
- Wyndaele, J.J. Intermittent catheterization: Which is the optimal technique? Spinal Cord 2002, 40, 432–437. [Google Scholar] [CrossRef] [PubMed]
- Chen, G.; Liao, L.M.; Li, Y. The possible role of percutaneous tibial nerve stimulation using adhesive skin surface electrodes in patients with neurogenic detrusor overactivity secondary to spinal cord injury. Int. Urol. Nephrol. 2015, 47, 451–455. [Google Scholar] [CrossRef] [PubMed]
- Angulo, J.; Cuevas, P.; Fernández, A.; la Fuente, J.M.; Allona, A.; Moncada, I.; Sáenz de Tejada, I. Tadalafil enhances the inhibitory effects of tamsulosin on neurogenic contractions of human prostate and bladder neck. J. Sex Med. 2012, 9, 2293–2306. [Google Scholar] [CrossRef] [PubMed]
- Behr-Roussel, D.; Oger, S.; Caisey, S.; Sandner, P.; Bernabé, J.; Alexandre, L.; Giuliano, F. Vardenafil decreases bladder afferent nerve activity in unanesthetized, decerebrate, spinal cord-injured rats. Eur. Urol. 2011, 59, 272–279. [Google Scholar] [CrossRef] [PubMed]
- Zhang, F.; Liao, L.M.; Ju, Y.; Song, A.; Liu, Y. Neurochemical plasticity of nitric oxide synthase isoforms in neurogenic detrusor overactivity after spinal cord injury. Neurochem. Res. 2011, 36, 1903–1909. [Google Scholar] [CrossRef] [PubMed]
- Herschorn, S.; Barkin, J.; Castro-Diaz, D.; Frankel, J.M.; Espuna-Pons, M.; Gousse, A.E.; Stölzel, M.; Martin, N.; Gunther, A.; van Kerrebroeck, P. A phase III, randomized, double-blind, parallel-group, placebo-controlled, multicentre study to assess the efficacy and safety of the β3 adrenoceptor agonist, mirabegron, in patients with symptoms of overactive bladder. Urology 2013, 82, 313–320. [Google Scholar] [CrossRef] [PubMed]
- Nitti, V.W.; Rosenberg, S.; Mitcheson, D.H.; He, W.; Fakhoury, A.; Martin, N.E. Urodynamics and safety of the β3-adrenoceptor agonist mirabegron in males with lower urinary tract symptoms and bladder outlet obstruction. J. Urol. 2013, 190, 1320–1327. [Google Scholar] [CrossRef] [PubMed]
- Abrams, P.; Amarenco, G.; Bakke, A.; Buczyński, A.; Castro-Diaz, D.; Harrison, S.; Kramer, G.; Marsik, R.; Prajsner, A.; Stöhrer, M.; et al. Tamsulosin: Efficacy and safety in patients with neurogenic lower urinary tract dysfunction due to suprasacral spinal cord injury. J. Urol. 2003, 170, 1242–1251. [Google Scholar] [CrossRef] [PubMed]
- Schurch, B.; de Sèze, M.; Denys, P.; Chartier-Kastler, E.; Haab, F.; Everaert, K.; Plante, P.; Perrouin-Verbe, B.; Kumar, C.; Fraczek, S.; et al. Botulinum toxin type a is a safe and effective treatment for neurogenic urinary incontinence: Results of a single treatment, randomized, placebo controlled 6-month study. J. Urol. 2005, 174, 196–200. [Google Scholar] [CrossRef] [PubMed]
- Cruz, F.; Herschorn, S.; Aliotta, P.; Brin, M.; Thompson, C.; Lam, W.; Daniell, G.; Heesakkers, J.; Haag-Molkenteller, C. Efficacy and safety of onabotulinumtoxinA in patients with urinary incontinence due to neurogenic detrusor overactivity: A randomised, double-blind, placebo-controlled trial. Eur. Urol. 2011, 60, 742–750. [Google Scholar] [CrossRef] [PubMed]
- Grosse, J.; Kramer, G.; Stöhrer, M. Success of repeat detrusor injections of botulinum a toxin in patients with severe neurogenic detrusor overactivity and incontinence. Eur. Urol. 2005, 47, 653–659. [Google Scholar] [CrossRef] [PubMed]
- Haferkamp, A.; Schurch, B.; Reitz, A.; Krengel, U.; Grosse, J.; Kramer, G.; Schumacher, S.; Bastian, P.J.; Büttner, R.; Müller, S.C.; et al. Lack of ultrastructural detrusor changes following endoscopic injection of botulinum toxin type a in overactive neurogenic bladder. Eur. Urol. 2004, 46, 784–791. [Google Scholar] [CrossRef] [PubMed]
- Chen, G.; Liao, L.M. Injections of Botulinum Toxin A into the detrusor to treat neurogenic detrusor overactivity secondary to spinal cord injury. Int. Urol. Nephrol. 2011, 43, 655–662. [Google Scholar] [CrossRef] [PubMed]
- Jia, C.; Liao, L.M.; Chen, G.; Sui, Y. Detrusor botulinum toxin A injection significantly decreased urinary tract infection in patients with traumatic spinal cord injury. Spinal Cord 2013, 51, 487–490. [Google Scholar] [CrossRef] [PubMed]
- Gao, Y.; Liao, L.M. Intravesical injection of botulinum toxin A for treatment of interstitial cystitis/bladder pain syndrome: 10 years of experience at a single center in China. Int. Urogynecol. J. 2015, 26, 1021–1026. [Google Scholar] [CrossRef] [PubMed]
- Wollner, J.; Hampel, C.; Kessler, T.M. Surgery Illustrated—Surgical atlas sacral neuromodulation. BJU Int. 2012, 110, 146–159. [Google Scholar] [CrossRef] [PubMed]
- Kessler, T.M.; La Framboise, D.; Trelle, S.; Fowler, C.J.; Kiss, G.; Pannek, J.; Schurch, B.; Sievert, K.D.; Engeler, D.S. Sacral neuromodulation for neurogenic lower urinary tract dysfunction: Systematic review and meta-analysis. Eur. Urol. 2010, 58, 865–874. [Google Scholar] [CrossRef] [PubMed]
- Chen, G.; Liao, L.M. Sacral neuromodulation for neurogenic bladder and bowel dysfunction with multiple symptoms secondary to spinal cord disease. Spinal Cord 2014. [Google Scholar] [CrossRef] [PubMed]
- Chen, G.; Liao, L.; Dong, Q.; Ju, Y. The inhibitory effects of pudendal nerve stimulation on bladder overactivity in spinal cord injury dogs: Is early stimulation necessary? Neuromodulation 2012, 15, 232–237. [Google Scholar] [CrossRef] [PubMed]
- Li, P.; Liao, L.; Chen, G.; Zhang, F.; Tian, Y. Early low-frequency stimulation of the pudendal nerve can inhibit detrusor overactivity and delay progress of bladder fibrosis in dogs with spinal cord injuries. Spinal Cord 2013, 51, 668–672. [Google Scholar] [CrossRef] [PubMed]
- Bosch, J.L. The bion device: A minimally invasive implantable ministimulator for pudendal nerve neuromodulation in patients with detrusor overactivity incontinence. Urol. Clin. N. Am. 2005, 32, 109–112. [Google Scholar] [CrossRef] [PubMed]
- Groen, J.; Amie, C.L.; Bosch, J.L.H.R. Chronic pudendal nerve neuromodulation in women with idiopathic refractory detrusor overactivity incontinence: Results of a pilot study with a novel minimally invasive implantable mini-stimulator. Neurourol. Urodyn. 2005, 24, 226–230. [Google Scholar] [CrossRef] [PubMed]
- Novara, G.; Artibani, W.; Barber, M.D.; Chapple, C.R.; Costantini, E.; Ficarra, V.; Hilton, P.; Nilsson, C.G.; Waltregny, D. Updated systematic review and meta-analysis of the comparative data on colposuspensions, pubovaginal slings, and midurethral tapes in the surgical treatment of female stress urinary incontinence. Eur. Urol. 2010, 58, 218–238. [Google Scholar] [CrossRef] [PubMed]
- Zhang, F.; Mally, A.D.; Ogagan, P.D.; Shen, B.; Wang, J.; Roppolo, J.R.; de Groat, W.C.; Tai, C. Inhibition of bladder overactivity by a combination of tibial neuromodulation and tramadol treatment in cats. Am. J. Physiol. Ren. Physiol. 2012, 302, F1576–F1582. [Google Scholar] [CrossRef] [PubMed]
- Chen, G.; Liao, L.M.; Miao, D. Electrical stimulation of somatic afferent nerves in the foot increases bladder capacity in neurogenic bladder patients after sigmoid cystoplasty. BMC Urol. 2015, 15, 26–30. [Google Scholar] [CrossRef] [PubMed]
- Zhang, F.; Liao, L.M. Sigmoidocolocystoplasty with ureteral reimplantation for treatment of neurogenic bladder. Urology 2012, 80, 440–445. [Google Scholar] [CrossRef] [PubMed]
- Liao, L.M.; Zhang, F.; Chen, G. Midterm outcomes of protection for upper urinary tract function by augmentation enterocystoplasty in patients with neurogenic bladder. Int. Urol. Nephrol. 2014, 46, 2117–2125. [Google Scholar] [CrossRef] [PubMed]
- Wang, Y.; Liao, L.M. Histologic and functional outcomes of small intestine submucosa-regenerated bladder tissue. BMC Urol. 2014, 14, 69–74. [Google Scholar] [CrossRef] [PubMed]
- Zhang, F.; Liao, L.M. Tissue engineered cystoplasty augmentation for treatment of neurogenic bladder using small intestinal submucosa: An exploratory study. J. Urol. 2014, 192, 544–550. [Google Scholar] [CrossRef] [PubMed]
- Kajbafzadeh, A.M.; Tourchi, A.; Mousavian, A.A.; Rouhi, L.; Tavangar, S.M.; Sabetkish, N. Bladder muscular wall regeneration with autologous adipose mesenchymal stem cells on three-dimensional collagen-based tissue-engineered prepuce and biocompatible nanofibrillar scaffold. J. Pediatr. Urol. 2014, 10, 1051–1058. [Google Scholar] [CrossRef] [PubMed]
- Lai, J.Y.; Chang, P.Y.; Lin, J.N. Bladder autoaugmentation using various biodegradable scaffolds seeded with autologous smooth muscle cells in a rabbit model. J. Pediatr. Surg. 2005, 40, 1869–1873. [Google Scholar] [CrossRef] [PubMed]
- Kwon, T.G.; Yoo, J.J.; Atala, A. Local and systemic effects of a tissue engineered neobladder in a canine cystoplasty model. J. Urol. 2008, 179, 2035–2041. [Google Scholar] [CrossRef] [PubMed]
- Léon, P.; Chartier-Kastler, E.; Rouprêt, M.; Ambrogi, V.; Mozer, P.; Phé, V. Long-term functional outcomes after artificial urinary sphincter (AMS 800®) implantation in men with stress urinary incontinence. BJU Int. 2015, 115, 951–957. [Google Scholar] [CrossRef] [PubMed]
- Kim, S.P.; Sarmast, Z.; Daignault, S.; Faerber, G.J.; McGuire, E.J.; Latini, J.M. Long-term durability and functional outcomes among patients with artificial urinary sphincters: A 10-year retrospective review from the University of Michigan. J. Urol. 2008, 179, 1912–1916. [Google Scholar] [CrossRef] [PubMed]
- Lai, H.H.; Hsu, E.I.; The, B.S.; Butler, E.B.; Boone, T.B. 13 years of experience with artificial urinary sphincter implantation at Baylor College of Medicine. J. Urol. 2007, 177, 1021–1025. [Google Scholar] [CrossRef] [PubMed]
- Neuhuber, B.; Barshinger, A.L.; Paul, C.; Shumsky, J.S.; Mitsui, T.; Fischer, I. Stem cell delivery by lumbar puncture as a therapeutic alternative to direct injection into injured spinal cord. J. Neurosurg. Spine 2008, 9, 390–399. [Google Scholar] [CrossRef] [PubMed]
- Hu, Y.; Liao, L.M.; Ju, Y.H.; Fu, G.; Zhang, H.Y.; Wu, H.X. Intravenously transplanted bone marrow stromal cells promote recovery of lower urinary tract function in rats with complete spinal cord injury. Spinal Cord 2012, 50, 202–207. [Google Scholar] [CrossRef] [PubMed]
- Jia, C.; Yoshimura, N.; Liao, L. Herpes simplex virus vector-mediated gene transfer of kynurenine aminotransferase improves detrusor overactivity in spinal cord-injured rats. Gene Ther. 2014, 21, 484–489. [Google Scholar] [CrossRef] [PubMed]
- Liao, L.M.; Song, B. Guidelines on neurogenic bladder. In Chinese Guidelines on Urologic Diseases; Na, Y.Q., Ye, Z.Q., Sun, G., Eds.; People’s Medical Publishing House: Beijing, China, 2011; pp. 177–208. [Google Scholar]
- Liao, L.M. Guidelines on neurogenic bladder. In Chinese Guidelines on Urologic Diseases, 2nd ed.; Na, Y.Q., Ye, Z.Q., Sun, Y.H., Sun, G., Eds.; People’s Medical Publishing House: Beijing, China, 2014; pp. 267–329. (In Chinese) [Google Scholar]
© 2015 by the authors; licensee MDPI, Basel, Switzerland. This article is an open access article distributed under the terms and conditions of the Creative Commons Attribution license (http://creativecommons.org/licenses/by/4.0/).
Share and Cite
Liao, L. Evaluation and Management of Neurogenic Bladder: What Is New in China? Int. J. Mol. Sci. 2015, 16, 18580-18600. https://doi.org/10.3390/ijms160818580
Liao L. Evaluation and Management of Neurogenic Bladder: What Is New in China? International Journal of Molecular Sciences. 2015; 16(8):18580-18600. https://doi.org/10.3390/ijms160818580
Chicago/Turabian StyleLiao, Limin. 2015. "Evaluation and Management of Neurogenic Bladder: What Is New in China?" International Journal of Molecular Sciences 16, no. 8: 18580-18600. https://doi.org/10.3390/ijms160818580
APA StyleLiao, L. (2015). Evaluation and Management of Neurogenic Bladder: What Is New in China? International Journal of Molecular Sciences, 16(8), 18580-18600. https://doi.org/10.3390/ijms160818580
