A Novel Ligustrazine Derivative T-VA Prevents Neurotoxicity in Differentiated PC12 Cells and Protects the Brain against Ischemia Injury in MCAO Rats
Abstract
:1. Introduction

2. Results
2.1. Cell Viability and (Hematoxylin-Eosin) HE Stains

2.2. The Expression of NF-κB/p65

2.3. The Expression of COX-2
2.4. Acute Toxic Test in Vivo

2.5. Behavioral Evaluation
2.5.1. T-VA Reduced the Neurological Deficit Score
2.5.2. Beam Walking Test
2.5.3. Bar-Grasping Test
| Groups | Dose (mg/kg) | Neurologic Deficit Score | Beam-Walking Test Score | Grasping (g) | |||
|---|---|---|---|---|---|---|---|
| Ischemia for 3 Days | Ischemia for 7 Days | Ischemia for 3 Days | Ischemia for 7 Days | Ischemia for 3 Days | Ischemia for 7 Days | ||
| Sham | – | 0 ± 0 ** | 0 ± 0 ** | 6 ± 0 ** | 6 ± 0 ** | 442.65 ± 62.84 ** | 531.44 ± 64.30 ** |
| Model | – | 2.14 ± 0.51 | 1.81 ± 0.56 | 1.47 ± 0.84 | 1.92 ± 2.02 | 317.01 ± 53.81 | 285.58 ± 80.02 |
| NMDP | 30 | 1.35 ± 0.39 * | 1.11 ± 0.48 * | 2.71 ± 1.49 ** | 3.50 ± 1.71 * | 409.08 ± 65.13 ** | 393.08 ± 59.61 * |
| T-VA | 60 | 1.46 ± 0.41 | 1.26 ± 0.35 * | 3.6 ± 1.76 ** | 3.83 ± 1.70 * | 395.50 ± 16.88 ** | 468.81 ± 78.14 ** |
| T-VA | 120 | 1.57 ± 0.37 | 1.34 ± 0.44 | 2.88 ± 1.62 ** | 3.20 ± 1.66 | 386.57 ± 42.35 ** | 421.68 ± 59.87 ** |
| TMP | 37 | 1.63 ± 0.4 | 1.45 ± 0.48 | 2.86 ± 1.79 * | 2.40 ± 2.32 | 415.19 ± 26.81 ** | 434.22 ± 50.23 ** |
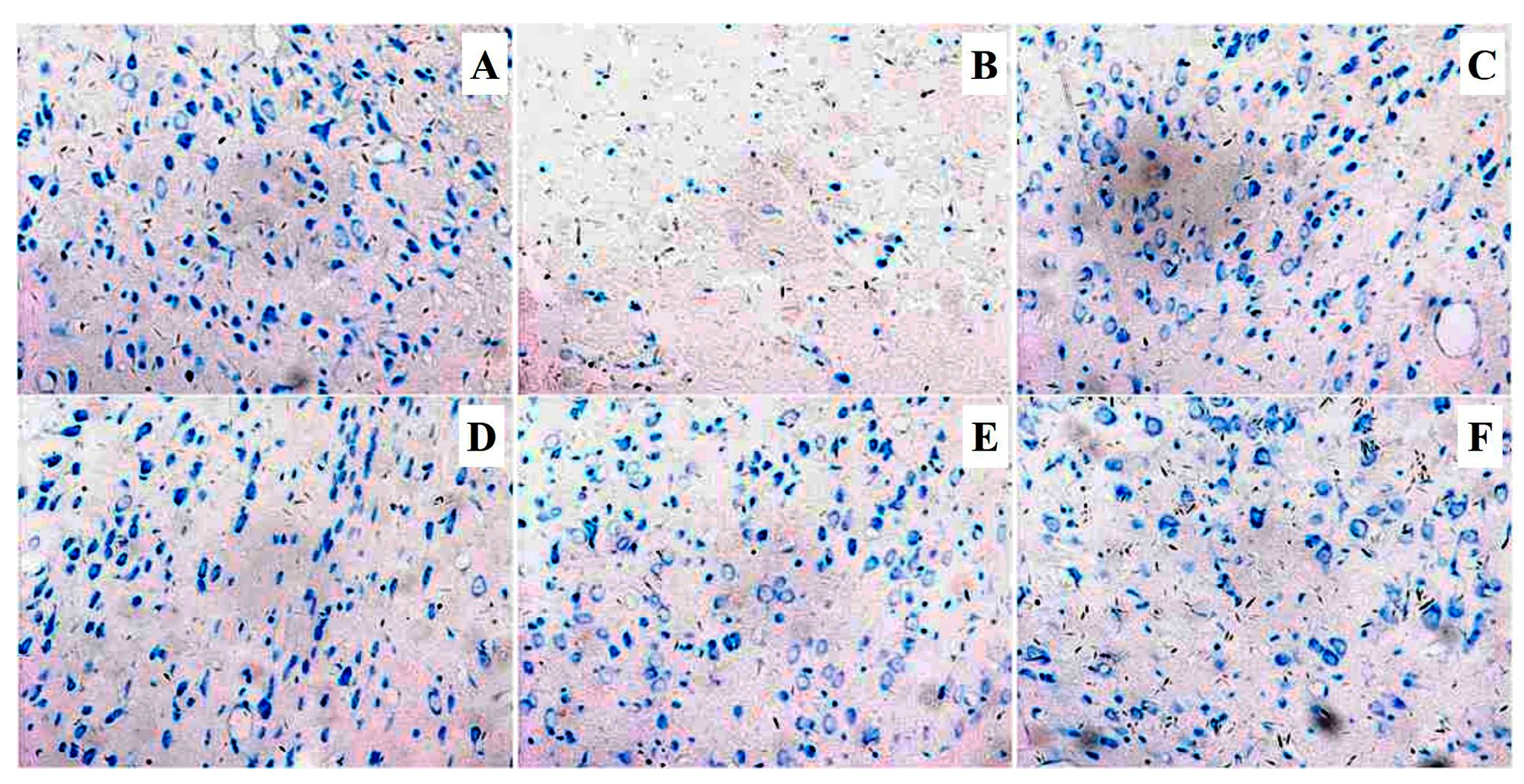
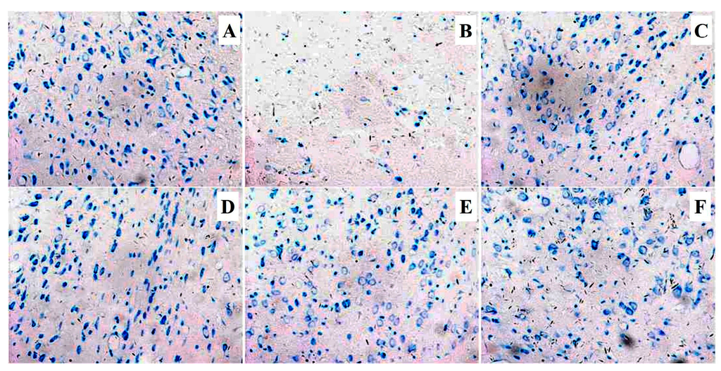
2.6. Effect of T-VA on Histological Alterations

2.7. Effect of T-VA on VEGF in MCAO Rats

2.8. Detection of Superoxide Dismutase (SOD) Activity and Ca2+–Mg2+ATP Enzyme Activity of Ischemic Brain Tissue
| Groups | Dose (mg/kg) | SOD (U/mg Protein) | Ca2+–Mg2+ ATP Enzyme (μmolPi/(mg Protein/h)) |
|---|---|---|---|
| Sham | – | 61.85 ± 12.53 ** | 3.66 ± 1.29 * |
| Model | – | 40.28 ± 7.51 | 5.32 ± 2.61 |
| NMDP | 30 | 79.85 ± 36.57 ** | 13.25 ± 5.73 ** |
| T-VA | 60 | 75.29 ± 30.08 ** | 8.91 ± 4.05 * |
| T-VA | 120 | 85.03 ± 28.03 ** | 10.07 ± 5.15 * |
| TMP | 37 | 61.58 ± 16.23 ** | 9.13 ± 4.11 * |
2.9. Statistical Analysis
3. Discussion
4. Experimental Section
4.1. General
4.2. Cell Viability Assay and HE Staining
4.3. The Expression of NF-κB/p65 and COX-2
4.4. Acute Toxicity
4.5. Animal Models for Transient Focal Cerebral Ischemia
4.6. Behavioral Evaluation
4.6.1. Neurological Deficit Score
4.6.2. Beam Walking Test
4.6.3. Bar-Grasping Test
4.7. Pharmacological Analysis: Brain Tissue Preparation for Nissl Stains
4.8. VEGF Expression in Rats with MCAO
4.9. Detection of SOD Activity and Ca2+–Mg2+ATP Enzyme Activity of Ischemic Brain Tissue
5. Conclusions
Acknowledgments
Author Contributions
Conflicts of Interest
References
- Go, A.S.; Mozaffarian, D.; Roger, V.L.; Benjamin, E.J.; Berry, J.D.; Blaha, M.J.; Dai, S.; Ford, E.S.; Fox, C.S.; Franco, S.; et al. Heart disease and stroke statistics—2014 update, a report from the American Heart Association. Circulation 2014, 129, e28–e292. [Google Scholar] [CrossRef] [PubMed]
- Young, A.R.; Ali, C.; Duretête, A.; Vivien, D. Neuroprotection and stroke, time for a compromise. J. Neurochem. 2007, 103, 1302–1309. [Google Scholar] [CrossRef] [PubMed]
- Collino, M.; Aragno, M.; Mastrocola, R.; Gallicchio, M.; Rosa, A.C.; Dianzani, C.; Danni, O.; Thiemermann, C.; Fantozzi, R. Modulation of the oxidative stress and inflammatory response by PPAR-γ agonists in the hippocampus of rats exposed to cerebral ischemia/reperfusion. Eur. J. Pharmacol. 2006, 530, 70–80. [Google Scholar] [CrossRef] [PubMed]
- Rappaport, Z.H.; Young, W.; Flamm, E.S. Regional brain calcium changes in the rat middle cerebral artery occlusion model of ischemia. Stroke 1987, 18, 760–764. [Google Scholar] [CrossRef] [PubMed]
- Beck, H.; Plate, K.H. Angiogenesis after cerebral ischemia. Acta Neuropathol. 2009, 17, 481–496. [Google Scholar] [CrossRef] [PubMed]
- Fisher, M. Characterizing the target of acute stroke therapy. Stroke 1997, 28, 866–872. [Google Scholar] [CrossRef] [PubMed]
- Feigin, V.L. Herbal medicine in stroke: Does it have a future? Stroke 2007, 38, 1734–1736. [Google Scholar] [CrossRef] [PubMed]
- Wang, Y.; Xu, A. Zheng: A systems biology approach to diagnosis and treatments. Science 2014, 346, S13–S15. [Google Scholar]
- Ning, Z.; Lu, C.; Zhang, Y.; Zhao, S.; Liu, B.; Xu, X.; Liu, Y. Application of plant metabolomics in quality assessment for large-scale production of traditional Chinese medicine. Planta Med. 2013, 79, 897–908. [Google Scholar] [PubMed]
- Xu, D.; Duan, H.; Zhang, Z.; Cui, W.; Wang, L.; Sun, Y.; Lang, M.; Hoi, P.M.; Han, Y.; Wang, Y.; et al. The novel tetramethylpyrazine bis-nitrone (TN-2) protects against MPTP/MPP+-induced neurotoxicity via inhibition of mitochondrial-dependent apoptosis. J. Neuroimmun. Pharmacol. 2014, 9, 245–258. [Google Scholar] [CrossRef] [PubMed]
- Kao, T.K.; Ou, Y.C.; Kuo, J.S.; Chen, W.Y.; Liao, S.L.; Wu, C.W.; Chen, C.J.; Ling, N.N.; Zhang, Y.H.; Peng, W.H. Neuroprotection by tetramethylpyrazine against ischemic brain injury in rats. Neurochem. Int. 2006, 48, 166–176. [Google Scholar] [CrossRef] [PubMed]
- Zhang, H.; Sun, R.; Liu, X.Y.; Shi, X.M.; Wang, W.F.; Yu, L.G.; Guo, X.L. A tetramethylpyrazine piperazine derivate CXC137 prevents cell injury in SH-SY5Y cells and improves memory dysfunction of rats with vascular dementia. Neurochem. Res. 2014, 39, 276–286. [Google Scholar] [CrossRef] [PubMed]
- Cheng, X.R.; Zhang, L.; Hu, J.J.; Sun, L.; Du, G.H. Neuroprotective effects of tetramethylpyrazine on hydrogen peroxide-induced apoptosis in PC12 cells. Cell Biol. Int. 2007, 31, 438–443. [Google Scholar] [CrossRef] [PubMed]
- Wang, P.L.; Zhang, H.G.; Chu, F.H.; Xu, X.; Lin, J.X.; Chen, C.X.; Li, G.L.; Cheng, Y.T.; Wang, L.; Li, Q.; et al. Synthesis and protective effect of new ligustrazine-benzoic acid derivatives against CoCl2-induced neurotoxicity in differentiated PC12 cells. Molecules 2013, 18, 13027–13042. [Google Scholar] [CrossRef] [PubMed]
- Li, G.L.; Wang, P.; Xu, X.; Lin, J.; Chu, F.; Song, J.; Zhou, S.; Wang, M.; Zhang, Y.; Lei, H. Synthesis and protective effect of ligustrazine intermediates against CoCl2-induced neurotoxicity in differentiated PC12 Cell. Chin. J. Chin. Mater. Med. 2014, 39, 2679–2683. [Google Scholar]
- Li, G.; Xu, X.; Xu, K.; Chu, F.; Song, J.; Zhou, S.; Xu, B.; Gong, Y.; Zhang, H.; Zhang, Y.; et al. Ligustrazinyl amides, a novel class of ligustrazine-phenolic acid derivatives with neuroprotective effects. Chem. Cent. J. 2015, 9, 1–9. [Google Scholar] [CrossRef] [PubMed]
- Wang, L.; Yi, X.; Wang, Z.; Liu, B.; Chu, F.; Li, G.; Li, Q.; Lei, H. Preparation and evaluation of potent cardiovascular drug-loaded PLGA microspheres based on early-stage preparation discovery concept. J. Chem. Pharm. Res. 2014, 6, 1135–1141. [Google Scholar]
- Chen, J.X.; Zhao, T.; Huang, D.X. Protective effects of edaravone against cobalt chloride-induced apoptosis in PC12 cells. Neurosci. Bull. 2009, 25, 67–74. [Google Scholar] [CrossRef] [PubMed]
- Wei, X.; Liu, H.; Sun, X.; Fu, F.; Zhang, X.; Wang, J.; An, J.; Ding, H. Hydroxysafflor yellow A protects rat brains against ischemia-reperfusion injury by antioxidant action. Neurosci. Lett. 2005, 386, 58–62. [Google Scholar] [CrossRef] [PubMed]
- Yanpallewar, S.U.; Hota, D.; Rai, S.; Kumar, M.; Acharya, S.B. Nimodipine attenuates biochemical: Behavioral and histopathological alterations induced by acute transient and long-term bilateral common carotid occlusion in rats. Pharmacol. Res. 2004, 49, 143–150. [Google Scholar] [CrossRef] [PubMed]
- Boltze, J.; Nitzsche, B.; Geiger, K.D.; Schoon, H.A. Histopathological investigation of different MCAO modalities and impact of autologous bone marrow mononuclear cell administration in an ovine stroke model. Transl. Stroke Res. 2011, 2, 279–293. [Google Scholar] [CrossRef] [PubMed]
- Venna, V.R.; Weston, G.; Benashski, S.E.; Tarabishy, S.; Liu, F.; Li, J.; Conti, L.H.; McCullough, L.D. NF-κB contributes to the detrimental effects of social isolation after experimental stroke. Acta Neuropathol. 2012, 124, 425–438. [Google Scholar] [CrossRef] [PubMed]
- Cheng, O.; Ostrowski, R.P.; Liu, W.; Zhang, J.H. Activation of liver X receptor reduces global ischemic brain injury by reduction of nuclear factor-κB. Neuroscience 2010, 166, 1101–1109. [Google Scholar] [CrossRef] [PubMed]
- Liao, S.L.; Kao, T.K.; Chen, W.Y.; Lin, Y.S.; Chen, S.Y.; Raung, S.L.; Wu, C.W.; Lu, H.C.; Chen, C.J. Tetramethylpyrazine reduces ischemic brain injury in rats. Neurosci. Lett. 2004, 372, 40–45. [Google Scholar] [CrossRef] [PubMed]
- Xu, D.P.; Zhang, K.; Zhang, Z.J.; Sun, Y.W.; Guo, B.J.; Wang, Y.Q.; Hoi, P.M.; Han, Y.F.; Lee, S.M. A novel tetramethylpyrazine bis-nitrone (TN-2) protects against 6-hydroxyldopamine-induced neurotoxicity viamodulation of the NF-κB and the PKCα/PI3-K/Akt pathways. Neurochem. Int. 2014, 78, 76–85. [Google Scholar] [CrossRef] [PubMed]
- Frydman-Marom, A.; Rechter, M.; Shefler, I.; Bram, Y.; Shalev, D.E.; Gazit, E. Cognitive-performance recovery of Alzheimer’s disease model mice by modulation of early soluble amyloidal assemblies. Angew. Chem. Int. Ed. 2009, 48, 1981–1986. [Google Scholar] [CrossRef] [PubMed]
- Quinn, L.P.; Perren, M.J.; Brackenborough, K.T.; Woodhams, P.L.; Vidgeon-Hart, M.; Chapman, H.; Pangalos, M.N.; Upton, N.; Virley, D.J. A beam-walking apparatus to assess behavioural impairments in MPTP-treated mice, pharmacological validation with R-(−)-deprenyl. J. Neurosci. Methods 2007, 164, 43–49. [Google Scholar] [CrossRef] [PubMed]
- Urakawa, S.; Hida, H.; Masuda, T.; Misumi, S.; Kim, T.S.; Nishino, H. Environmental enrichment brings a beneficial effect on beam walking and enhances the migration of doublecortin-positive cells following striatal lesions in rats. Neuroscience 2007, 144, 920–933. [Google Scholar] [CrossRef] [PubMed]
- Yang, J.; Guo, L.; Liu, R.; Liu, H. Neuroprotective effects of VEGF administration after focal cerebral ischemia/reperfusion, dose response and time window. Neurochem. Int. 2012, 60, 592–596. [Google Scholar] [CrossRef] [PubMed]
- Schoch, H.J.; Fischer, S.; Marti, H.H. Hypoxia-induced vascular endothelial growth factor expression causes vascular leakage in the brain. Brain 2002, 125, 2549–2557. [Google Scholar] [CrossRef] [PubMed]
- Yan, Y.P.; Lang, B.T.; Vemuganti, R.; Dempsey, R.J. Galectin-3 mediates post-ischemic tissue remodeling. Brain Res. 2009, 1288, 116–124. [Google Scholar] [CrossRef] [PubMed]
- Cherubini, A.; Ruggiero, C.; Polidori, M.C.; Mecocci, P. Potential markers of oxidative stress in stroke. Free Radic. Biol. Med. 2005, 39, 841–852. [Google Scholar] [CrossRef] [PubMed]
- Cuzzocrea, S.; Riley, D.P.; Caputi, A.P.; Salvemini, D. Antioxidant therapy, a new pharmacological approach in shock; inflammation, and ischemia/reperfusion injury. Pharmacol. Rev. 2001, 53, 135–159. [Google Scholar] [PubMed]
- Feng, L.; Ke, N.; Cheng, F.; Guo, Y.; Li, S.; Li, Q.; Li, Y. The protective mechanism of ligustrazine against renal ischemia/reperfusion injury. J. Surg. Res. 2011, 166, 298–305. [Google Scholar] [CrossRef] [PubMed]
- Bruehl, C.; Neumann-Haefelin, T.; Witte, O.W. Enhancement of whole cell calcium currents following transient MCAO. Brain Res. 2000, 884, 129–138. [Google Scholar] [CrossRef]
- Furukawa, Y.; Kasai, N.; Torimitsu, K. Effect of Mg2+ on neural activity of rat cortical and hippocampal neurons in vitro. Magnes. Res. 2009, 22, 174S–181S. [Google Scholar] [PubMed]
- Chang-Mu, C.; Jen-Kun, L.; Shing-Hwa, L.; Shoei-Yn, L.S. Characterization of neurotoxic effects of NMDA and the novel neuroprotection by phytopolyphenols in mice. Behav. Neurosci. 2010, 124, 541–553. [Google Scholar] [CrossRef] [PubMed]
- Sans, N.; Wang, P.Y.; Du, Q.; Petralia, R.S.; Wang, Y.X.; Nakka, S.; Blumer, J.B.; Macara, I.G.; Wenthold, R.J. mPins modulates PSD-95 and SAP102 trafficking and influences NMDA receptor surface expression. Nat. Cell Biol. 2005, 7, 1179–1190. [Google Scholar] [CrossRef] [PubMed]
- Sauter, A.; Rudin, M. Calcium antagonists for reduction of brain damage in stroke. J. Cardiovasc. Pharmacol. 1990, 15, S43–S47. [Google Scholar] [CrossRef] [PubMed]
- Liu, X.; Yue, R.; Zhang, J.; Shan, L.; Wang, R.; Zhang, W. Neuroprotective effects of bacopaside I in ischemic brain injury. Restor. Neurol. Neurosci. 2013, 31, 109–123. [Google Scholar] [PubMed]
- Xu, K.; Wang, P.L.; Xu, X.; Chu, F.H.; Lin, J.X.; Zhang, Y.Z.; Lei, H.M. An overview on structural modifications of ligustrazine and biological evaluation of its synthetic derivatives. Res. Chem. Intermed. 2013, 39. [Google Scholar] [CrossRef]
- Kidwell, C.S.; Liebeskind, D.S.; Starkman, S.; Saver, J.L. Trends in acute ischemic stroke trials through the 20th century. Stroke 2001, 32, 1349–1359. [Google Scholar] [CrossRef] [PubMed]
- Wang, P.; Zhang, Y.; Xu, K.; Li, Q.; Zhang, H.; Guo, J.; Pang, D.; Cheng, Y.; Lei, H. A new ligustrazine derivative-pharmacokinetic evaluation and antitumor activity by suppression of NF-κB/p65 and COX-2 expression in S180 mice. Pharmazie 2013, 68, 782–789. [Google Scholar] [PubMed]
- Koizumi, J.; Yoshida, Y.; Nakaqaw, A.T.; Ooneda, G. Experimental studies of ischemic brain edema I, a new experimental model of cerebral embolism in rats in which recirculation can be introduced in the ischemic area. Stroke 1986, 8, 1–8. [Google Scholar] [CrossRef]
- Longa, E.Z.; Weinstein, P.R.; Carlson, S.; Cummins, R. Reversible middle cerebral artery occlusion without craniectomy in rats. Stroke 1989, 20, 84–91. [Google Scholar] [CrossRef] [PubMed]
- Kim, Y.; Wang, W.Z.; Comte, I.; Pastrana, E.; Tran, P.B.; Brown, J.; Miller, R.J.; Doetsch, F.; Molnár, Z.; Szele, F.G. Dopamine stimulation of postnatal murine subventricular zone neurogenesis via the D3 receptor. J. Neurochem. 2010, 114, 750–760. [Google Scholar] [CrossRef] [PubMed]
© 2015 by the authors; licensee MDPI, Basel, Switzerland. This article is an open access article distributed under the terms and conditions of the Creative Commons Attribution license (http://creativecommons.org/licenses/by/4.0/).
Share and Cite
Li, G.; Tian, Y.; Zhang, Y.; Hong, Y.; Hao, Y.; Chen, C.; Wang, P.; Lei, H. A Novel Ligustrazine Derivative T-VA Prevents Neurotoxicity in Differentiated PC12 Cells and Protects the Brain against Ischemia Injury in MCAO Rats. Int. J. Mol. Sci. 2015, 16, 21759-21774. https://doi.org/10.3390/ijms160921759
Li G, Tian Y, Zhang Y, Hong Y, Hao Y, Chen C, Wang P, Lei H. A Novel Ligustrazine Derivative T-VA Prevents Neurotoxicity in Differentiated PC12 Cells and Protects the Brain against Ischemia Injury in MCAO Rats. International Journal of Molecular Sciences. 2015; 16(9):21759-21774. https://doi.org/10.3390/ijms160921759
Chicago/Turabian StyleLi, Guoliang, Yufei Tian, Yuzhong Zhang, Ying Hong, Yingzhi Hao, Chunxiao Chen, Penglong Wang, and Haimin Lei. 2015. "A Novel Ligustrazine Derivative T-VA Prevents Neurotoxicity in Differentiated PC12 Cells and Protects the Brain against Ischemia Injury in MCAO Rats" International Journal of Molecular Sciences 16, no. 9: 21759-21774. https://doi.org/10.3390/ijms160921759
APA StyleLi, G., Tian, Y., Zhang, Y., Hong, Y., Hao, Y., Chen, C., Wang, P., & Lei, H. (2015). A Novel Ligustrazine Derivative T-VA Prevents Neurotoxicity in Differentiated PC12 Cells and Protects the Brain against Ischemia Injury in MCAO Rats. International Journal of Molecular Sciences, 16(9), 21759-21774. https://doi.org/10.3390/ijms160921759

