Distinct Roles of Soluble and Transmembrane Adenylyl Cyclases in the Regulation of Flagellar Motility in Ciona Sperm
Abstract
:1. Introduction
2. Results and Discussion
2.1. Expression of Adenylyl Cyclase (AC) Genes in Ciona Testis


2.2. Effects of AC Inhibitors on the Motility Activation of Ciona Sperm
2.2.1. Sperm Activating and Attracting Factor (SAAF)-Induced Motility Activation

2.2.2. Valinomycin- and Theophylline-Induced Motility Activation

2.2.3. Sperm Motility Is Activated by HCO3− but not by Forskolin

2.3. Effects of sAC Inhibitors on Sperm Chemotaxis and Swimming Trajectory

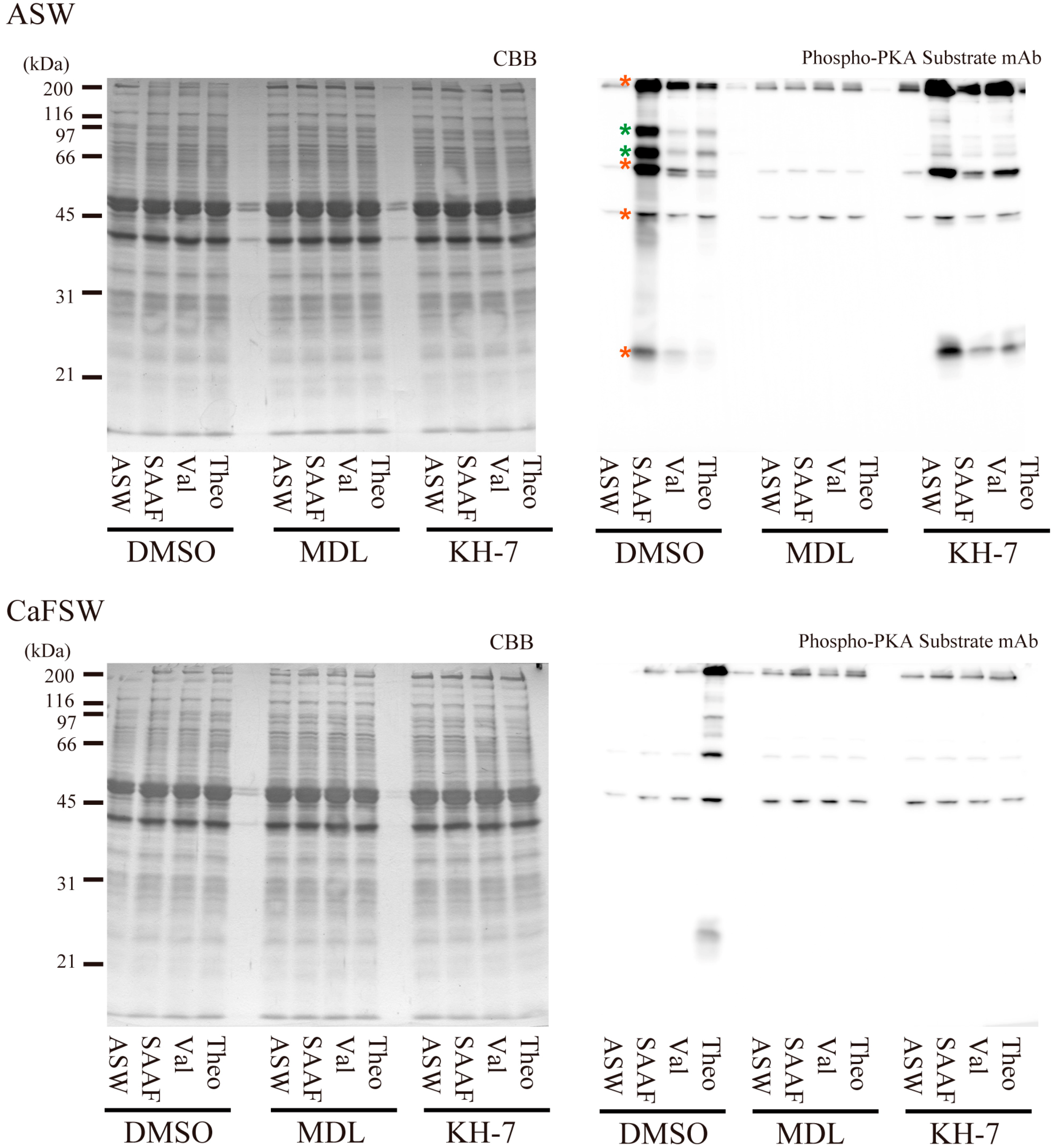
2.4. Effects of AC Inhibitors on cAMP-Dependent Protein Phosphorylation in Ciona Sperm


3. Experimental Section
3.1. Ciona Sperm
3.2. Chemicals and Solutions
3.3. Sequence Analysis
3.4. Reverse-Transcriptase (RT) PCR
3.5. Assessment of Sperm Motility
3.6. Measurement of cAMP
3.7. Immunoblotting by Anti-Phospho-PKA Substrate Antibody
4. Conclusions
Acknowledgments
Author Contributions
Conflicts of Interest
References
- Inaba, K. Molecular architecture of the sperm flagella: Molecules for motility and signaling. Zool. Sci. 2003, 20, 1043–1056. [Google Scholar] [CrossRef]
- Yoshida, M.; Murata, M.; Inaba, K.; Morisawa, M. A chemoattractant for ascidian spermatozoa is a sulfated steroid. Proc. Natl. Acad. Sci. USA 2002, 99, 14831–14836. [Google Scholar] [CrossRef]
- Nomura, M.; Inaba, K.; Morisawa, M. Cyclic AMP- and calmodulin-dependent phosphorylation of 21 and 26 kDa proteins in axoneme is a prerequisite for SAAF-induced motile activation in ascidian spermatozoa. Dev. Growth Differ. 2000, 42, 129–138. [Google Scholar] [CrossRef]
- Hozumi, A.; Padma, P.; Toda, T.; Ide, H.; Inaba, K. Molecular characterization of axonemal proteins and signaling molecules responsible for chemoattractant-induced sperm activation in Ciona intestinalis. Cell Motil. Cytoskelet. 2008, 65, 249–267. [Google Scholar] [CrossRef]
- Hanoune, J.; Pouille, Y.; Tzavara, E.; Shen, T.; Lipskaya, L.; Miyamoto, N.; Suzuki, Y.; Defer, N. Adenylyl cyclases: Structure, regulation and function in an enzyme superfamily. Mol. Cell Endocrinol. 1997, 128, 179–194. [Google Scholar] [CrossRef]
- Buck, J.; Sinclair, M.L.; Schapal, L.; Cann, M.J.; Levin, L.R. Cytosolic adenylyl cyclase defines a unique signaling molecule in mammals. Proc. Natl. Acad. Sci. USA 1999, 96, 79–84. [Google Scholar] [CrossRef]
- Baxendale, R.W.; Fraser, L.R. Evidence for multiple distinctly localized adenylyl cyclase isoforms in mammalian spermatozoa. Mol. Reprod. Dev. 2003, 66, 181–189. [Google Scholar] [CrossRef]
- Hess, K.C.; Jones, B.H.; Marquez, B.; Chen, Y.; Ord, T.S.; Kamenetsky, M.; Miyamoto, C.; Zippin, J.H.; Kopf, G.S.; Suarez, S.S.; et al. The “soluble” adenylyl cyclase in sperm mediates multiple signaling events required for fertilization. Dev. Cell 2005, 9, 249–259. [Google Scholar] [CrossRef]
- Beltran, C.; Zapata, O.; Darszon, A. Membrane potential regulates sea urchin sperm adenylylcyclase. Biochemistry 1996, 35, 7591–7598. [Google Scholar] [CrossRef]
- O’Brien, E.D.; Krapf, D.; Cabada, M.O.; Visconti, P.E.; Arranz, S.E. Transmembrane adenylyl cyclase regulates amphibian sperm motility through protein kinase A activation. Dev. Biol. 2011, 350, 80–88. [Google Scholar] [CrossRef]
- Spehr, M.; Schwane, K.; Riffell, J.A.; Barbour, J.; Zimmer, R.K.; Neuhaus, E.M.; Hatt, H. Particulate adenylate cyclase plays a key role in human sperm olfactory receptor-mediated chemotaxis. J. Biol. Chem. 2004, 279, 40194–40203. [Google Scholar]
- Livera, G.; Xie, F.; Garcia, M.A.; Jaiswal, B.; Chen, J.; Law, E.; Storm, D.R.; Conti, M. Inactivation of the mouse adenylyl cyclase 3 gene disrupts male fertility and spermatozoon function. Mol. Endocrinol. 2005, 19, 1277–1290. [Google Scholar] [CrossRef]
- Wertheimer, E.; Krapf, D.; de la Vega-Beltran, J.L.; Sanchez-Cardenas, C.; Navarrete, F.; Haddad, D.; Escoffier, J.; Salicioni, A.M.; Levin, L.R.; Buck, J.; et al. Compartmentalization of distinct cAMP signaling pathways in mammalian sperm. J. Biol. Chem. 2013, 288, 35307–35320. [Google Scholar] [CrossRef]
- Nomura, M.; Beltran, C.; Darszon, A.; Vacquier, V.D. A soluble adenylyl cyclase from sea urchin spermatozoa. Gene 2005, 353, 231–238. [Google Scholar] [CrossRef]
- Yoshida, R.; Sasakura, Y. Establishment of enhancer detection lines expressing GFP in the gut of the ascidian Ciona intestinalis. Zool. Sci. 2012, 29, 11–20. [Google Scholar] [CrossRef]
- Yoshida, M.; Inaba, K.; Morisawa, M. Sperm chemotaxis during the process of fertilization in the ascidians Ciona-savignyi and Ciona-intestinalis. Dev. Biol. 1993, 157, 497–506. [Google Scholar] [CrossRef]
- Izumi, H.; Marian, T.; Inaba, K.; Oka, Y.; Morisawa, M. Membrane hyperpolarization by sperm-activating and -attracting factor increases cAMP level and activates sperm motility in the ascidian Ciona intestinalis. Dev. Biol. 1999, 213, 246–256. [Google Scholar] [CrossRef]
- Hancock, G.J.; Gray, J. The propulsion of sea-urchin spermatozoa. J. Exp. Biol. 1955, 32, 802–814. [Google Scholar]
- Nolan, M.A.; Babcock, D.F.; Wennemuth, G.; Brown, W.; Burton, K.A.; McKnight, G.S. Sperm-specific protein kinase A catalytic subunit Calpha2 orchestrates cAMP signaling for male fertility. Proc. Natl. Acad. Sci. USA 2004, 101, 13483–13488. [Google Scholar] [CrossRef]
- Zhu, L.; Inaba, K. Lipid rafts function in Ca2+ signaling responsible for activation of sperm motility and chemotaxis in the ascidian Ciona intestinalis. Mol. Reprod. Dev. 2011, 78, 920–929. [Google Scholar] [CrossRef]
- Jaiswal, B.S.; Conti, M. Calcium regulation of the soluble adenylyl cyclase expressed in mammalian spermatozoa. Proc. Natl. Acad. Sci. USA 2003, 100, 10676–10681. [Google Scholar] [CrossRef]
- Seamon, K.B.; Daly, J.W. Forskolin: Its biological and chemical properties. Adv. Cyclic. Nucleotide Protein Phosphorylation Res. 1986, 20, 1–150. [Google Scholar]
- Tang, W.J.; Hurley, J.H. Catalytic mechanism and regulation of mammalian adenylyl cyclases. Mol. Pharmacol. 1998, 54, 231–240. [Google Scholar]
- Vijayaraghavan, S.; Hoskins, D.D. Forskolin stimulates bovine epididymal sperm motility and cyclic AMP levels. J. Cycl. Nucleotide Protein Phosphorylation Res. 1985, 10, 499–510. [Google Scholar]
- Chen, Y.; Cann, M.J.; Litvin, T.N.; Iourgenko, V.; Sinclair, M.L.; Levin, L.R.; Buck, J. Soluble adenylyl cyclase as an evolutionarily conserved bicarbonate sensor. Science 2000, 289, 625–628. [Google Scholar] [CrossRef]
- Kleinboelting, S.; Diaz, A.; Moniot, S.; van den Heuvel, J.; Weyand, M.; Levin, L.R.; Buck, J.; Steegborn, C. Crystal structures of human soluble adenylyl cyclase reveal mechanisms of catalysis and of its activation through bicarbonate. Proc. Natl. Acad. Sci. USA 2014, 111, 3727–3732. [Google Scholar] [CrossRef]
- Wennemuth, G.; Carlson, A.E.; Harper, A.J.; Babcock, D.F. Bicarbonate actions on flagellar and Ca2+-channel responses: Initial events in sperm activation. Development 2003, 130, 1317–1326. [Google Scholar] [CrossRef]
- Brokaw, C.J. CO2-inhibition of the amplitude of bending of triton-demembranated sea urcin sperm flagella. J. Exp. Biol. 1977, 71, 229–240. [Google Scholar]
- Cohn, E.J. Studies in the physiology of spermatozoa. Biol. Bull. 1918, 34, 167–218. [Google Scholar] [CrossRef]
- Inaba, K.; Dreanno, C.; Cosson, J. Control of flatfish sperm motility by CO2 and carbonic anhydrase. Cell Motil. Cytoskelet. 2003, 55, 174–187. [Google Scholar] [CrossRef]
- Wang, D.; King, S.M.; Quill, T.A.; Doolittle, L.K.; Garbers, D.L. A new sperm-specific Na+/H+ exchanger required for sperm motility and fertility. Nat. Cell Biol. 2003, 5, 1117–1122. [Google Scholar] [CrossRef]
- Wang, D.; Hu, J.; Bobulescu, I.A.; Quill, T.A.; McLeroy, P.; Moe, O.W.; Garbers, D.L. A sperm-specific Na+/H+ exchanger (sNHE) is critical for expression and in vivo bicarbonate regulation of the soluble adenylyl cyclase (sAC). Proc. Natl. Acad. Sci. USA 2007, 104, 9325–9330. [Google Scholar] [CrossRef]
- Darszon, A.; Beltran, C.; Felix, R.; Nishigaki, T.; Trevino, C.L. Ion transport in sperm signaling. Dev. Biol. 2001, 240, 1–14. [Google Scholar] [CrossRef]
- Shiba, K.; Baba, S.A.; Inoue, T.; Yoshida, M. Ca2+ bursts occur around a local minimal concentration of attractant and trigger sperm chemotactic response. Proc. Natl. Acad. Sci. USA 2008, 105, 19312–19317. [Google Scholar] [CrossRef]
- Mizuno, K.; Shiba, K.; Okai, M.; Takahashi, Y.; Shitaka, Y.; Oiwa, K.; Tanokura, M.; Inaba, K. Calaxin drives sperm chemotaxis by Ca2+-mediated direct modulation of a dynein motor. Proc. Nat. Acad. Sci. USA 2012, 109, 20497–20502. [Google Scholar]
- Shiba, K.; Marian, T.; Krasznai, Z.; Baba, S.A.; Morisawa, M.; Yoshida, M. Na+/Ca2+ exchanger modulates the flagellar wave pattern for the regulation of motility activation and chemotaxis in the ascidian spermatozoa. Cell Motil. Cytoskelet. 2006, 63, 623–632. [Google Scholar] [CrossRef]
- Inaba, K.; Morisawa, S.; Morisawa, M. Proteasomes regulate the motility of salmonid fish sperm through modulation of cAMP-dependent phosphorylation of an outer arm dynein light chain. J. Cell Sci. 1998, 111, 1105–1115. [Google Scholar]
- Inaba, K.; Kagami, O.; Ogawa, K. Tctex2-related outer arm dynein light chain is phosphorylated at activation of sperm motility. Biochem. Biophys. Res. Commun. 1999, 256, 177–183. [Google Scholar] [CrossRef]
- Hayashi, H.; Yamamoto, K.; Yonekawa, H.; Morisawa, M. Involvement of tyrosine protein kinase in the initiation of flagellar movement in rainbow trout spermatozoa. J. Biol. Chem. 1987, 262, 16692–16698. [Google Scholar]
- Baxendale, R.W.; Fraser, L.R. Immunolocalization of multiple Ga subunits in mammalian spermatozoa and additional evidence for Galphas. Mol. Reprod. Dev. 2003, 65, 104–113. [Google Scholar] [CrossRef]
- Beltran, C.; Vacquier, V.D.; Moy, G.; Chen, Y.; Buck, J.; Levin, L.R.; Darszon, A. Particulate and soluble adenylyl cyclases participate in the sperm acrosome reaction. Biochem. Biophys. Res. Commun. 2007, 358, 1128–1135. [Google Scholar] [CrossRef]
- Wade, M.A.; Roman, S.D.; Jones, R.C.; Aitken, R.J. Adenylyl cyclase isoforms in rat testis and spermatozoa from the cauda epididymidis. Cell Tissue Res. 2003, 314, 411–419. [Google Scholar] [CrossRef]
- Yoshida, M.; Inaba, K.; Ishida, K.; Morisawa, M. Calcium and cyclic-AMP mediate sperm activation, but Ca2+ alone contributes sperm chemotaxis in the ascidian, Ciona savignyi. Dev. Growth Differ. 1994, 36, 589–595. [Google Scholar]
- Tamura, K.; Peterson, D.; Peterson, N.; Stecher, G.; Nei, M.; Kumar, S. MEGA5: Molecular evolutionary genetics analysis using maximum likelihood, evolutionary distance, and maximum parsimony methods. Mol. Biol. Evol. 2011, 28, 2731–2739. [Google Scholar] [CrossRef]
© 2014 by the authors; licensee MDPI, Basel, Switzerland. This article is an open access article distributed under the terms and conditions of the Creative Commons Attribution license (http://creativecommons.org/licenses/by/3.0/).
Share and Cite
Shiba, K.; Inaba, K. Distinct Roles of Soluble and Transmembrane Adenylyl Cyclases in the Regulation of Flagellar Motility in Ciona Sperm. Int. J. Mol. Sci. 2014, 15, 13192-13208. https://doi.org/10.3390/ijms150813192
Shiba K, Inaba K. Distinct Roles of Soluble and Transmembrane Adenylyl Cyclases in the Regulation of Flagellar Motility in Ciona Sperm. International Journal of Molecular Sciences. 2014; 15(8):13192-13208. https://doi.org/10.3390/ijms150813192
Chicago/Turabian StyleShiba, Kogiku, and Kazuo Inaba. 2014. "Distinct Roles of Soluble and Transmembrane Adenylyl Cyclases in the Regulation of Flagellar Motility in Ciona Sperm" International Journal of Molecular Sciences 15, no. 8: 13192-13208. https://doi.org/10.3390/ijms150813192
APA StyleShiba, K., & Inaba, K. (2014). Distinct Roles of Soluble and Transmembrane Adenylyl Cyclases in the Regulation of Flagellar Motility in Ciona Sperm. International Journal of Molecular Sciences, 15(8), 13192-13208. https://doi.org/10.3390/ijms150813192
