Nanoparticle Encapsidation of Flock House Virus by Auto Assembly of Tobacco Mosaic Virus Coat Protein
Abstract
:1. Introduction
2. Results and Discussion
2.1. Synthesis and Organization of FHV-GFP Expression Clones

2.2. Fluorescence of FHV-GFP Clones in Mammalian Cells

2.3. GFP Expression Kinetics

2.4. Efficiency of P2A Cleavage

2.5. Fluorescence of FHV-C2-OA Clones

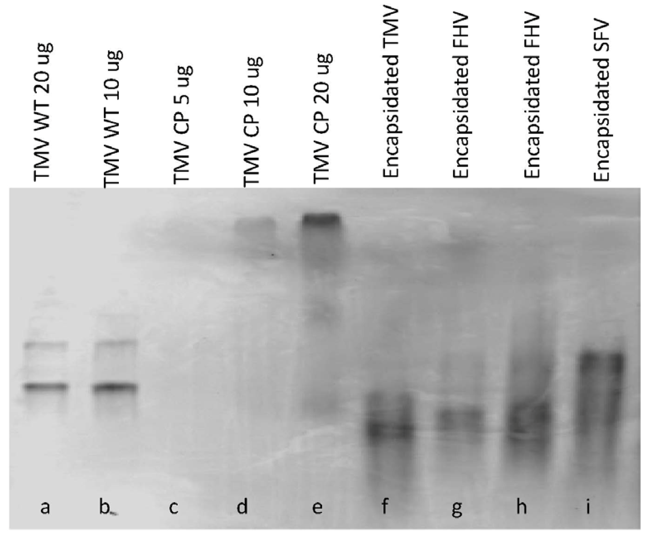
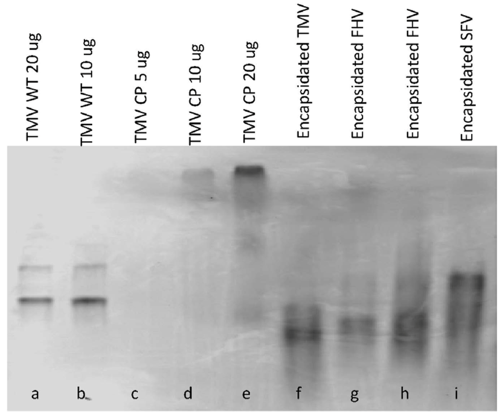
2.6. Self-Assembly of Virus-Like Nanoparticles

2.7. Electron Microscopy Analysis of Encapsidated Products

2.8. Discussion
3. Experimental Section
3.1. Cells
3.2. Plasmid Construction
3.3. RNA Transcription and Transfection
3.4. GFP Imaging by Fluorescence Microscopy and Western Blot Analysis
3.5. Purification of TMV and TMV Coat Protein (CP)
3.6. Assembly of Nanoparticles
3.7. Electron Microscopy
4. Conclusions
Acknowledgments
Author Contributions
Conflicts of Interest
References
- Fraenkel-Conrat, H.; Williams, C.R. Reconstitution of active Tobacco Mosaic virus from its inactive protein and nucleic acid components. Proc. Natl. Acad. Sci. USA 1955, 41, 690–698. [Google Scholar]
- Butler, P.J.G. Self-assembly of Tobacco Mosaic virus: The role of an intermediate aggregate in generating both specificity and speed. Philos. Trans. R. Soc. B Biol. Sci. 1999, 354, 537–550. [Google Scholar]
- Turner, D.R.; Joyce, L.E.; Butler, P.J.G. The Tobacco Mosaic virus assembly origin RNA: Functional characteristics defined by directed mutagenesis. J. Mol. Biol. 1988, 203, 531–547. [Google Scholar]
- Gallie, D.R.; Sleat, D.E.; Watts, J.W.; Turner, P.C.; Wilson, T.M.A. In vivo uncoating and efficient expression of foreign mrnas packaged in tmv-like particles. Science 1987, 236, 1122–1124. [Google Scholar]
- Smith, M.L.; Corbo, T.; Bernales, J.; Lindbo, J.A.; Pogue, G.P.; Palmer, K.E.; McCormick, A.A. Assembly of trans-encapsidated recombinant viral vectors engineered from Tobacco Mosaic virus and semliki forest virus and their evaluation as immunogens. Virology 2007, 358, 321–333. [Google Scholar]
- Lindenbach, B.D.; Sgro, J.Y.; Ahlquist, P. Long-distance base pairing in Flock House virus rna1 regulates subgenomic RNA3 synthesis and RNA2 replication. J. Virol. 2002, 76, 3905–3919. [Google Scholar]
- Annamalai, P.; Rofail, F.; DeMason, D.A.; Rao, A.L.N. Replication-coupled packaging mechanism in positive-strand RNA viruses: Synchronized coexpression of functional multigenome rna components of an animal and a plant virus in nicotiana benthamiana cells by agroinfiltration. J. Virol. 2008, 82, 1484–1495. [Google Scholar]
- Johnson, K.L.; Ball, L.A. Induction and maintenance of autonomous Flock House virus RNA1 replication. J. Virol. 1999, 73, 7933–7942. [Google Scholar]
- Price, B.D.; Ahlquist, P.; Ball, L.A. DNA-directed expression of an animal virus RNA for replication-dependent colony formation in saccharomyces cerevisiae. J. Virol. 2002, 76, 1610–1616. [Google Scholar]
- Li, H.; Li, W.X.; Ding, S.W. Induction and suppression of rna silencing by an animal virus. Science 2002, 296, 1319–1321. [Google Scholar]
- Scotti, P.D.; Dearing, S.; Mossop, D.W. Flock House virus: A nodavirus isolated fromcostelytra zealandica (white) (coleoptera: Scarabaeida). Arch. Virol. 1983, 75, 181–189. [Google Scholar]
- Selling, B.H.; Allison, R.F.; Kaesberg, P. Genomic RNA of an insect virus directs synthesis of infectious virions in plants. Proc. Natl. Acad. Sci. USA 1990, 87, 434–438. [Google Scholar]
- Dasgupta, R.; Garcia, B.H.; Goodman, R.M. Systemic spread of an RNA insect virus in plants expressing plant viral movement protein genes. Proc. Natl. Acad. Sci. USA 2001, 98, 4910–4915. [Google Scholar]
- Dasgupta, R.; Selling, B.; Rueckert, R. Flock House virus: A simple model for studying persistent infection in cultured drosophila cells. Arch. Virol. Suppl. 1994, 9, 121–132. [Google Scholar]
- Dasgupta, R.; Free, H.M.; Zietlow, S.L.; Paskewitz, S.M.; Aksoy, S.; Shi, L.; Fuchs, J.; Hu, C.; Christensen, B.M. Replication of Flock House virus in three genera of medically important insects. J. Med. Entomol. 2007, 44, 102–110. [Google Scholar]
- Price, B.D.; Rueckert, R.R.; Ahlquist, P. Complete replication of an animal virus and maintenance of expression vectors derived from it in saccharomyces cerevisiae. Proc. Natl. Acad. Sci. USA 1996, 93, 9465–9470. [Google Scholar]
- Dasmahapatra, B.; Dasgupta, R.; Ghosh, A.; Kaesberg, P. Structure of the black beetle virus genome and its functional implications. J. Mol. Biol. 1985, 182, 183–189. [Google Scholar]
- Singh, G.; Popli, S.; Hari, Y.; Malhotra, P.; Mukherjee, S.; Bhatnagar, R.K. Suppression of RNA silencing by Flock House virus b2 protein is mediated through its interaction with the paz domain of dicer. FASEB J. 2009, 23, 1845–1857. [Google Scholar]
- Friesen, P.D.; Rueckert, R.R. Synthesis of black beetle virus proteins in cultured drosophila cells: Differential expression of RNAs 1 and 2. J. Virol. 1981, 37, 876–886. [Google Scholar]
- Zhong, W.; Rueckert, R.R. Flock House virus: Down-regulation of subgenomic RNA3 synthesis does not involve coat protein and is targeted to synthesis of its positive strand. J. Virol. 1993, 67, 2716–2722. [Google Scholar]
- Dasmahapatra, B.; Dasgupta, R.; Saunders, K.; Selling, B.H.; Gallagher, T.; Kaesberg, P. Infectious rna derived by transcription from cloned cDNA copies of the genomic RNA of an insect virus. Proc. Natl. Acad. Sci. USA 1986, 83, 63–66. [Google Scholar]
- Ball, L.A. Cellular expression of a functional nodavirus RNA replicon from vaccinia virus vectors. J. Virol. 1992, 66, 2335–2345. [Google Scholar]
- Price, B.D.; Roeder, M.; Ahlquist, P. DNA-directed expression of functional Flock House virus RNA1 derivatives in saccharomyces cerevisiae, heterologous gene expression, and selective effects on subgenomic mRNA synthesis. J. Virol. 2000, 74, 11724–11733. [Google Scholar]
- Wu, S.X.; Kaesberg, P. Synthesis of template-sense, single-strand flockhouse virus RNA in a cell-free replication system. Virology 1991, 183, 392–396. [Google Scholar]
- Fournier, C.; Helle, F.; Descamps, V.; Morel, V.; Francois, C.; Dedeurwaerder, S.; Wychowski, C.; Duverlie, G.; Castelain, S. Natural selection of adaptive mutations in non-structural genes increases trans-encapsidation of hepatitis C virus replicons lacking envelope protein genes. J. Gen. Virol. 2013, 94, 996–1008. [Google Scholar]
- Zhong, W.; Dasgupta, R.; Rueckert, R. Evidence that the packaging signal for nodaviral RNA2 is a bulged stem-loop. Proc. Natl. Acad. Sci. USA 1992, 89, 11146–11150. [Google Scholar]
- Seo, J.K.; Kwon, S.J.; Rao, A.L. A physical interaction between viral replicase and capsid protein is required for genome-packaging specificity in an RNA virus. J. Virol. 2012, 86, 6210–6221. [Google Scholar]
- Schneemann, A.; Zhong, W.; Gallagher, T.M.; Rueckert, R.R. Maturation cleavage required for infectivity of a nodavirus. J. Virol. 1992, 66, 6728–6734. [Google Scholar]
- Ball, L.A. Requirements for the self-directed replication of Flock House virus RNA 1. J. Virol. 1995, 69, 720–727. [Google Scholar]
- Ball, L.A.; Li, Y. Cis-acting requirements for the replication of Flock House virus RNA2. J. Virol. 1993, 67, 3544–3551. [Google Scholar]
- Dasgupta, R.; Cheng, L.L.; Bartholomay, L.C.; Christensen, B.M. Flock House virus replicates and expresses green fluorescent protein in mosquitoes. J. Gen. Virol. 2003, 84, 1789–1797. [Google Scholar]
- Hwang, D.J.; Roberts, I.M.; Wilson, T.M. Expression of Tobacco Mosaic virus coat protein and assembly of pseudovirus particles in Escherichia coli. Proc. Natl. Acad. Sci. USA 1994, 91, 9067–9071. [Google Scholar]
- Sleat, D.E.; Gallie, D.R.; Watts, J.W.; Deom, C.M.; Turner, P.C.; Beachy, R.N.; Wilson, T.M.A. Selective recovery of foreign gene transcripts as virus-like particles in TMV-infected transgenic tobaccos. Nucleic Acids Res. 1988, 16, 3127–3140. [Google Scholar]
- Kadri, A.; Wege, C.; Jeske, H. In vivo self-assembly of TMV-like particles in yeast and bacteria for nanotechnological applications. J. Virol. Methods 2013, 189, 328–340. [Google Scholar]
- Kemnade, J.O.; Seethammagari, M.; Collinson-Pautz, M.; Kaur, H.; Spencer, D.M.; McCormick, A.A. Tobacco Mosaic virus efficiently targets DC uptake, activation and antigen-specific T cell responses in vivo. Vaccine 2014, 32, 4228–4233. [Google Scholar]
- Mallajosyula, J.K.; Hiatt, E.; Hume, S.; Johnson, A.; Jeevan, T.; Chikwamba, R.; Pogue, G.P.; Bratcher, B.; Haydon, H.; Webby, R.J.; et al. Single-dose monomeric ha subunit vaccine generates full protection from influenza challenge. Hum. Vaccines Immunother. 2014, 10, 586–595. [Google Scholar]
- Kim, J.H.; Lee, S.R.; Li, L.H.; Park, H.J.; Park, J.H.; Lee, K.Y.; Kim, M.K.; Shin, B.A.; Choi, S.Y. High cleavage efficiency of a 2A peptide derived from porcine teschovirus-1 in human cell lines, zebrafish and mice. PLoS One 2011, 6, e18556. [Google Scholar]
- McCormick, A.A.; Corbo, T.A.; Wykoff-Clary, S.; Nguyen, L.V.; Smith, M.L.; Palmer, K.E.; Pogue, G.P. Tmv-peptide fusion vaccines induce cell-mediated immune responses and tumor protection in two murine models. Vaccine 2006, 24, 6414–6423. [Google Scholar]
© 2014 by the authors; licensee MDPI, Basel, Switzerland. This article is an open access article distributed under the terms and conditions of the Creative Commons Attribution license (http://creativecommons.org/licenses/by/4.0/).
Share and Cite
Maharaj, P.D.; Mallajosyula, J.K.; Lee, G.; Thi, P.; Zhou, Y.; Kearney, C.M.; McCormick, A.A. Nanoparticle Encapsidation of Flock House Virus by Auto Assembly of Tobacco Mosaic Virus Coat Protein. Int. J. Mol. Sci. 2014, 15, 18540-18556. https://doi.org/10.3390/ijms151018540
Maharaj PD, Mallajosyula JK, Lee G, Thi P, Zhou Y, Kearney CM, McCormick AA. Nanoparticle Encapsidation of Flock House Virus by Auto Assembly of Tobacco Mosaic Virus Coat Protein. International Journal of Molecular Sciences. 2014; 15(10):18540-18556. https://doi.org/10.3390/ijms151018540
Chicago/Turabian StyleMaharaj, Payal D., Jyothi K. Mallajosyula, Gloria Lee, Phillip Thi, Yiyang Zhou, Christopher M. Kearney, and Alison A. McCormick. 2014. "Nanoparticle Encapsidation of Flock House Virus by Auto Assembly of Tobacco Mosaic Virus Coat Protein" International Journal of Molecular Sciences 15, no. 10: 18540-18556. https://doi.org/10.3390/ijms151018540
APA StyleMaharaj, P. D., Mallajosyula, J. K., Lee, G., Thi, P., Zhou, Y., Kearney, C. M., & McCormick, A. A. (2014). Nanoparticle Encapsidation of Flock House Virus by Auto Assembly of Tobacco Mosaic Virus Coat Protein. International Journal of Molecular Sciences, 15(10), 18540-18556. https://doi.org/10.3390/ijms151018540
