Next Article in Journal
Combinatorial Analysis of Secretory Immunoglobulin A (sIgA) Expression in Plants
Previous Article in Journal
The Lipid Transfer Protein StarD7: Structure, Function, and Regulation
 
 
Font Type:
Arial Georgia Verdana
Font Size:
Aa Aa Aa
Line Spacing:
Column Width:
Background:
Article

A Novel Moderate Constitutive Promoter Derived from Poplar (Populus tomentosa Carrière)

National Engineering Laboratory for Tree Breeding (NDRC), Key Laboratory of Genetics and Breeding in Forest Trees and Ornamental Plants (MOE), the Tree and Ornamental Plant Breeding and Biotechnology Laboratory (SFA), College of Biological Science and Biotechnology, Beijing Forestry University, Qinghua Eastern Road No.35, Haidian District, Beijing 100083, China
*
Author to whom correspondence should be addressed.
Int. J. Mol. Sci. 2013, 14(3), 6187-6204; https://doi.org/10.3390/ijms14036187
Submission received: 21 November 2012 / Revised: 5 February 2013 / Accepted: 6 March 2013 / Published: 18 March 2013

Abstract

:
A novel sequence that functions as a promoter element for moderate constitutive expression of transgenes, designated as the PtMCP promoter, was isolated from the woody perennial Populus tomentosa. The PtMCP promoter was fused to the GUS reporter gene to characterize its expression pattern in different species. In stable Arabidopsis transformants, transcripts of the GUS reporter gene could be detected by RT-PCR in the root, stem, leaf, flower and silique. Further histochemical and fluorometric GUS activity assays demonstrated that the promoter could direct transgene expression in all tissues and organs, including roots, stems, rosette leaves, cauline leaves and flowers of seedlings and maturing plants. Its constitutive expression pattern was similar to that of the CaMV35S promoter, but the level of GUS activity was significantly lower than in CaMV35S promoter::GUS plants. We also characterized the promoter through transient expression in transgenic tobacco and observed similar expression patterns. Histochemical GUS staining and quantitative analysis detected GUS activity in all tissues and organs of tobacco, including roots, stems, leaves, flower buds and flowers, but GUS activity in PtMCP promoter::GUS plants was significantly lower than in CaMV35S promoter::GUS plants. Our results suggested that the PtMCP promoter from poplar is a constitutive promoter with moderate activity and that its function is presumably conserved in different species. Therefore, the PtMCP promoter may provide a practical choice to direct moderate level constitutive expression of transgenes and could be a valuable new tool in plant genetic engineering.

1. Introduction

Constitutive promoters direct expression in most or all tissues irrespective of environmental or developmental factors. As their expression is normally not affected by endogenous factors, constitutive promoters are usually active across species or even kingdoms. The most widely used promoter for directing constitutive expression in transgenic plants is the CaMV35S promoter, which was isolated from the cauliflower mosaic virus [1]. The CaMV35S promoter and its derivatives can drive high levels of foreign gene expression in dicots [26]. Many promoters from plants are also commonly used for their ability to drive the constitutively high expression of foreign genes, including ZmUbi1[79] from maize (Zea mays), Gmubi[10,11] from soybean (Glycine max), ubi4 and ubi9[12,13] from Sugarcane (Saccharum officinarum), ubi7[14,15] from potato (Solanum tuberosum), tCUP[1618] from tobacco (Nicotiana tabacum) and Act1[19,20], GOS2[21], OsTubA1[22], OsCc1[23], RUBQ1 and 2[24], rubi3[9] and OsAct2[25] from rice (Oryza sativa).
Many constitutive promoters are used to drive ectopic gene expression in vivo and in vitro contexts [26]. Constitutive promoters are frequently introduced into basic vectors for plant transformation to promote the expression of transgenes throughout the whole plant for many purposes, such as enhancing disease resistance [27,28], abiotic stresses tolerance [29,30] and herbicide and antibiotic resistance [31] and also play an important role in vaccines [32]. To achieve these certain traits, it is essential to use a strong constitutive promoter that can drive high level expression of foreign genes in most tissues.
Among constitutive promoters, the CaMV35S promoter is a prominent example and is most widely used in transgenic plants. Although it has many advantages and is a convenient tool for genetic engineering research, there are some potential weaknesses in its application. With the CaMV35S promoter, the foreign gene is expressed in all tissues during plant growth and development. There is no effective temporal or spatial regulation of target gene expression, which requires consumption of excessive matter and energy within the cells [33].
The CaMV35S promoter was isolated from a plant virus. As such, there are potential biosafety (in agriculture and human health) and environmental hazards involved. The risks that constitutive expression of viral capsid proteins in transgenic plants fall into three classes: transcapsidation, viral recombination to generate new strains of phytopathogens and synergism [34]. For instance, the CaMV35S promoter has a recombination hotspot [35] and is active in human enterocyte-like cells [36]; a plant virus could switch hosts to infect a vertebrate and then recombine with a vertebrate-infecting virus [37]. Overuse of the CaMV 35S promoter may lead to transcriptional inactivation [38,39]. The CaMV 35S also gives rise to the gene silencing phenomenon [4045]. Because of these potential risks, research on novel plant sequences that function as promoter elements for moderate constitutive level expression of transgenes is becoming increasingly significant.
The CaMV 35S promoter is a strong promoter; not only does it affect the associated transgene, it can also affect genes thousands of base pairs up- or down-stream of the insertion site on a given chromosome or even affect the behavior of genes on other chromosomes. In Brassica napus plants containing the 35S promoter from the mosaic virus (CaMV), it has been shown that upon infection with CaMV the driven transgene is silenced [46]. CaMV is a common pathogen of Brassica sp., and oilseed rape genetically modified to be resistant to herbicide using the CaMV promoter loses that resistance when it encounters naturally CaMV, indicating that transgene phenotypes can be modified by pathogen invasion [40]. The presence of two or more chimeric genes in the same transformation vector driven by the same constitutive promoter in a single plant may result in homology-dependent gene silencing, particularly where the promoter is also highly active [47], and can involve interactions between closely linked repetitive elements on one chromosome or homologous sequences on separate chromosomes [42,45]. In this case, the reason for gene silencing is the inactivation of the CaMV 35S promoter [38,43]. In cases that introduce another gene into transgenic plants, if the resident transgene contains the CaMV 35S promoter, the introduction of additional copies of the 35S enhancer may result in methylation and silencing of unlinked homologous copies [41,44]. Thus, finding novel promoters for moderate constitutive level expression of transgene is becoming increasingly useful.
Generally, plant promoters are divided into three types: constitutive promoters, tissue-specific or development-stage-specific promoters and inducible promoters. The studies of plant constitutive promoters mainly focus on actin [19,20,25] and ubiquitin [711,24] gene promoters. The second type promoters direct the expression of gene in specific tissues or at certain development stages. For plants, promoters regulate the expression of genes in the photosynthetic tissues [48], vascular tissues [49], tubers [50,51], roots [50,52], endosperm [53], seeds [54] and reproductive organs [55,56]. Inducible promoters not conditioned to endogenous factors, but to environmental conditions, are promoters modulated by abiotic factors, such as drought [57], heat [58], cold [59,60] and wounding [61].
Poplar is a woody perennial that has been the subject of many studies focused on tissue-specific and inducible promoters [6268], but relatively few studies about poplar constitutive promoters have been reported. There is a demand for moderate constitutive promoters; for instance, a very strong promoter would not be appropriate when expressing transgenes that are toxic or otherwise inhibitory in abundance [69]. Here, we cloned and analyzed a novel sequence from P. tomentosa that functions as a promoter element for moderate constitutive expression of transgenes, designated as the PtMCP promoter. A series of functional characterizations of the PtMCP promoter in stable Arabidopsis transformants were performed using RT-PCR, histochemical staining and fluorometric assays of GUS activity. We also report the expression patterns and quantitative measurements of GUS activity of the PtMCP promoter transiently expressed in tobacco.

2. Results and Discussion

2.1. Results

2.1.1. Cloning and Sequence Analysis of the PtMCP Promoter

To examine the expression mechanism of the PtMCP promoter (GenBank accession number JX569147), a 2661 bp promoter fragment was isolated from genomic DNA of P. tomentosa (Figure 1). The putative transcription start site “A” was predicted by the TSSP-TCM software [70]. To look for putative cis-acting elements related to promoter function, the fragment was analyzed using the PLACE [71,72] and PlantCARE [73] databases. A TATA-box and a CAAT-box were located at positions 19 and 74 relative to the transcription start site. We also found several other putative cis-acting regulatory elements, including one TATC-box (28), one GARE-motif (473), one BoxI (587), one MBS (601), one TC-rich repeat (620), one Box4 (737), one GAG-motif (929), one TCA-element (1008), one CAT-box (1104), one Sp1 (1466), one TCT-motif (1527), one LTR (1613), two Box-W1s (1689, 1833), three ABRE/G-boxes (543, 576, 1628) and one CCGTCC-box/A-box (1334) (Figure S1).

2.1.2. Construction and Transformation of the PtMCP Promoter::GUS Construct into Arabidopsis

To investigate the expression pattern of the PtMCP promoter, the isolated promoter fragment was fused with the GUS reporter gene in the pProtest vector to generate a PtMCP promoter::GUS construct (Figure 2). The resultant plasmid was stably introduced into Arabidopsis by the floral dip method. The binary vector pBI121, in which the GUS gene was driven by the cauliflower mosaic virus (CaMV) 35S promoter (Figure 2B), was transformed as the positive control, and wild-type Arabidopsis was used as a negative control. Consequently, we obtained 10 independent transgenic lines for PtMCP promoter::GUS. Of these, eight independent transgenic lines were used for further analysis.

2.1.3. Characterization and Analysis of Transgenic Arabidopsis

The stable integration of T-DNA into the genome of the transgenic plants was verified by genomic PCR analysis using GUS gene-specific primers. An expected 239 bp specific amplification product for the GUS gene was obtained from all eight transgenic lines tested (T2–T5, T7–T9, T11), and no amplification signal was observed in the wild-type control plants (Figure 3A). Furthermore, RT-PCR using in vitro grown plants demonstrated that the transcript of the GUS reporter gene was present in the eight transgenic lines; the GUS transcript was not detected in wild-type control plants. Notably, the GUS expression levels varied among different transgenic lines, and RT-PCR revealed that the transcript abundance of GUS in all transgenic lines was lower than that of the reference ACTIN2 gene. The GUS transcript abundance of the T7 transgenic line was the highest (Figure 3B). To determine the tissue-specificity of the PtMCP promoter in Arabidopsis, RT-PCR was performed. RT-PCR indicated that the GUS reporter gene was transcribed in the root, stem, leaf, flower and silique of Arabidopsis. The GUS transcript abundance was similar among the various tissues and organs and was lower than that of the reference ACTIN2 gene (Figure 3C).

2.1.4. Histochemical and Fluorometric GUS Assays

To understand the spatial expression pattern of the PtMCP promoter, histochemical GUS activity was analyzed in different tissues and organs of transgenic Arabidopsis seedlings and maturing plants (T2, T7) in the absence of environmental influences. Histochemical staining showed moderate GUS activity in the roots, stems and leaves of seedlings and the roots, stems, rosette leaves, cauline leaves and flowers of maturing plants, but it was weaker than in the corresponding tissues of positive controls (CaMV35S promoter::GUS). There was no GUS activity observed in these tissues in the negative controls (wild-type plants) (Figure 4A–H). Quantitative measurement of GUS activity also showed that GUS activity in the PtMCP promoter::GUS plants (T2, T4, T7, T8, T9 and T11) was significantly lower than in the CaMV35S promoter::GUS plants (Figure 4I). These results indicated that the PtMCP promoter was constitutive, but its expression intensity was significantly lower than the CaMV35S promoter.

2.1.5. Transient Expression of the PtMCP Promoter in Tobacco

To determine the spatial expression of the GUS gene under the control of the PtMCP promoter in tobacco, GUS activity following Agrobacterium-mediated transient expression was analyzed in different tissues in the absence of environmental influences. Histochemical staining showed that the PtMCP promoter directed moderate expression of the GUS reporter gene in all tobacco tissues examined, including the root (Figure 5A), stem (Figure 5D,G), leaf (Figure 5M), flower bud (Figure 5J) and flower (Figure 5P), but it was weaker than the GUS activity in the corresponding tissues and organs of positive controls (CaMV35S promoter::GUS) (Figure 5B,E,H,K,N,Q). No visible GUS activity was detected in these tissues and organs in wild-type plants (Figure 5C,F,I,L,O,R). To increase the sensitivity of GUS reporter gene detection, quantitative measurements were made (Figure 6). Moderate GUS activity was detected in the root, stem, leaf and flower, but the protein levels differed in the various tissues. The maximum amount of GUS protein was detected in the leaf, while levels were lowest in the stem (Figure 6A). GUS activity in the PtMCP promoter::GUS plants was significantly lower (p < 0.01) than in corresponding tissues of CaMV35S promoter::GUS plants. GUS activity in the negative controls (wild-type plants) was negligible (Figure 6B). These results were identical with the results in Arabidopsis (Figure 4); the PtMCP promoter was moderately constitutive. Moreover, a similar expression pattern was also observed in poplar (data not shown).

2.2. Discussion

To investigate the expression mechanism of the PtMCP promoter, a 2661 bp sequence was isolated and analyzed in this study. The spatial and temporal expression patterns of this promoter were first clarified by assaying GUS activity in transgenic Arabidopsis plants containing a PtMCP promoter::GUS fusion construct. The construct was stably transformed into Arabidopsis and transiently introduced into tobacco to examine whether the function of this promoter is conserved between different species.
Using the PLACE [71,72] and PlantCARE [73] databases, putative TATA and CAAT-boxes were located at positions 19 and 74 relative to the transcription start site “A”, and several other common cis-elements were also identified in the PtMCP promoter. The G-box motif is a light responsive cis-acting element that has been found to be essential for transcriptional activity in the Arabidopsis rbcS-1A promoter [74], the spinach ribulose bisphosphate carboxylase/oxygenase (RuBisCO) activase promoter [75] and the rice OsActin2 gene regulatory region [25]. TC-rich repeats are involved in defense and stress responses and are also found in yeast [76] and barley [77] ubiquitin extension protein promoters. The TATC-box and the GARE-motif are involved in gibberellin-responsiveness, BoxI, Box4, the GAG-motif, Sp1 and the TCT-motif are light responsive elements, MBS is an MYB binding site involved in drought-inducibility, TCA-elements are involved in salicylic acid responsiveness, the CAT-box is related to meristem expression, LTR is involved in low-temperature responsiveness, Box-W1 is a fungal elicitor responsive element and ABRE is involved in abscisic acid responsiveness.
In transgenic Arabidopsis, histochemical GUS staining showed GUS activity in all tissues and organs (roots, stems, rosette leaves, cauline leaves and flowers) of seedlings and maturing plants, but it was weaker than the GUS activity in CaMV35S promoter::GUS plants. Furthermore, quantitative measurement of GUS activity also proved that GUS activity in the PtMCP promoter::GUS plants was significantly lower than in CaMV35S promoter::GUS plants. These results were in agreement with the RT-PCR results; RT-PCR indicated that the GUS reporter gene was transcribed in the root, stem, leaf, flower and silique of Arabidopsis. The reason why different GUS expression levels among transgenic Arabidopsis lines may be the T-DNA insertion position in plant genome and different copy number.
To contrast with the expression pattern in Arabidopsis, the same PtMCP promoter::GUS construct was transformed into tobacco transiently, and a similar expression pattern was observed. Histochemical GUS staining showed GUS activity in all tissues and organs of tobacco, including the root, stem, leaf, flower bud and flower, but it was weaker than the GUS activity in CaMV35S promoter::GUS plants. Quantitative analyses showed that GUS activity in the PtMCP promoter::GUS plants was significantly lower (p < 0.01) than in the corresponding tissues and organs of CaMV35S promoter::GUS plants.

3. Experimental Section

3.1. Plant Materials and Growth Conditions

The poplar (Populus tomentosa Carrière) clone TC1521 was used as source material for this study. Poplar plants were grown in a growth chamber under long-day conditions (16-h light/8-h dark, cool white fluorescent light, minimum illumination: 0.2 mM/s·m2) at 22 °C. Four-month-old plants with an identical growth status were then used for young leaf collection and prepared for cloning of the PtMCP promoter.
Plants of Arabidopsis thaliana L. ecotype Columbia (Col) used in plant transformation were grown and maintained in the greenhouse of the National Engineering Laboratory for Tree Breeding, Beijing Forestry University, Beijing. Arabidopsis seeds were sterilized and placed on 1/2 Murashige-Skoog (MS) solid medium [78] at 4 °C for 2–4 days. The seedlings were grown in a growth chamber under the same conditions as poplar plants for 10 day before being transplanted to artificial soil mix composed of humus, vermiculite and perlite [1:2:1 (v/v/v)].
Tissue-cultured tobacco plants (Nicotiana tabacum cv. W38) were raised and synchronized (using vegetative stem cuttings containing an axillary bud) on 1/2 Murashige-Skoog (MS) solid medium [78] supplemented with 0.4 mg/L IBA and adjusted to pH 5.8. In vitro and tissue-cultured tobacco plants were grown in a growth chamber under the same conditions as poplar plants before being used for Agrobacterium-mediated transient expression assays.

3.2. Bacterial Strains

Escherichia coli (strain DH5α) was used for the cloning and propagation of all recombinant plasmid vectors. Agrobacterium tumefaciens (strain GV3101) was used to transform A. thaliana (Col) plants via the floral dip method [79,80]. The plasmids pProtest (Obtained from the Laboratory of Professor Steven H. Strauss, Oregon State University, Corvallis, OR, USA), pMD19-T vector and pBI121 (Clontech, Mountain View, CA, USA) were used to generate promoter fragment constructs.

3.3. Construction of the PtMCP Promoter::GUS Plasmid

To construct a binary vector consisting of the GUS coding sequence driven by the PtMCP promoter, a fragment of approximately 2.6 kb was obtained by PCR amplification using P. tomentosa genomic DNA as a template. Genomic DNA was extracted from leaves (300 mg) using a modified CTAB extraction method, as previously described [81]. Primers with additional restriction sites were designed: The forward primer 5′-CTACGAGCTCTACTAAATAAATATATAA-3′ and the reverse primer 5′-ATGGTACCATCTATCTGCCCCCTTGTC-3′. The restriction enzyme sites SacI (in the forward primer) and KpnI (in the reverse primer) are underlined. PCR reactions were carried out in 20 μL volumes under the following conditions: 94 °C for 3 min; 35 cycles of 94 °C for 30 s, 57 °C for 30 s and 68 °C for 2.5 min. PCR products were subcloned into the pMD19-T vector (TaKaRa, Otsu, Japan) and then sequenced. The promoter fragment was analyzed using the PLACE [71,72] and PlantCARE [73] databases to find putative functional promoter elements. The PtMCP promoter-T construct was digested with SacI/KpnI and then cloned into the corresponding site of the expression vector pProtest. The resultant PtMCP promoter::GUS construct was transformed into A. tumefaciens strain GV3101 by electroporation [82].

3.4. Arabidopsis Transformation

A. tumefaciens strain GV 3101 containing the PtMCP promoter::GUS construct was used to transform A. thaliana (Col) plants via the floral dip method [79,80]. Kanamycin (50 μg/mL) resistant transformants (T0) were transplanted from the proliferating medium to artificial soil mix and grown in a growth chamber set at 22 °C under LD conditions. Further analyses were performed, too.

3.5. Genomic PCR and RT-PCR Assays

For preliminary verification of the presence of transgenes, putative transgenic plants were screened by PCR. Total genomic DNA was extracted from all of the kanamycin-resistant plants with a Plant Genomic DNA Kit (TIANGEN, Beijing, China). PCR was performed in a total volume of 20 μL, with 2 μL of 10× PCR buffer, 1.6 μL of 2.5 mM dNTPs, 2 μL plant genomic DNA(100 ng/L) 0.4 μL each of forward and reverse primers (10 μM), 0.2 μL Taq DNA polymerase (5000 U/mL) and 13.4 μL ddH2O. Thermal cycling was performed at 94 °C for 5 min, then 94 °C for 30 s, 61 °C for 15 s and 72 °C for 20 s, for 30 cycles, with final extension at 72 °C for 5 min and, finally, kept at 4 °C, using the GeneAmp® PCR System 9700 (ABI, Hong Kong, China). Genomic PCR was carried out using GUS gene-specific primers: forward primer 5′-GTTACGTCCTGTAGAAACCCCAACC-3′ and reverse primer 5′-CTGCCCAACCTTTC GGTATAAAGAC-3′.
Total RNA was extracted from Arabidopsis samples, according to the method described previously [83]. Total RNA was pre-treated with RQ1 DNase I (Promega, Madison, WI, USA) to eliminate residual genomic DNA. First-strand cDNA was synthesized using 1.0 μg of DNase-treated total RNA, Superscript III (Invitrogen, Carlsbad, CA, USA) and oligo d(T)20 in a total volume of 20 μL. The first-strand cDNA was diluted 1:10 with ddH2O, and 2 μL of the diluted cDNA was used as a template for RT-PCR analysis. RT-PCR was performed in a total volume of 20 μL. GUS primers: forward primer 5′-GTTACGTCCTGTAGAAACCCCAACC-3′ and reverse primer 5′-CTGCCCAACC TTTCGGTATAAAGAC-3′. The A. thaliana ACTIN2 gene (Phytozome v8.0 accession: AT3G18780) was used as an endogenous control gene with the primers: forward 5′-AAGCACA ATCCAAGAGAGGTATTC-3′ and reverse 5′-TACATAGCGGGAGAGTTAAAGGTC-3′. To detect expression patterns and transcript levels of the PtMCP promoter in Arabidopsis, total RNA was extracted from various tissues (root, stem, leaf, flower, silique). The expression pattern of PtMCP promoter in Arabidopsis was then analyzed by RT-PCR. PCR products were evaluated following agarose gel electrophoresis and spectrophotometrical analysis.

3.6. Histochemical and Fluorometric GUS Assays

The Histochemical staining of GUS activity was performed according to the method described previously [84]. Transgenic Arabidopsis samples were immersed into GUS reaction buffer [1 mM X-Gluc (5-bromo-4-chloro-3-indolyl-β-d-glucuronide), 100 mM phosphate buffer pH 7.0, 0.1% Triton X-100, 5 mM K3Fe(CN)6, 5 mM K4Fe(CN)6, 10 mM EDTA and 20% methanol]. After overnight incubation in dark at 37 °C, stained samples were bleached with 70% (v/v) ethanol and then observed.
Fluorometric assay for GUS activity was performed according to the method of Jefferson [84]. The transgenic plants were ground in liquid nitrogen and homogenized in freshly prepared GUS extraction buffer (50 mM phosphate buffer, pH 7.0, 10 mM EDTA, 0.1% Triton X-100, 0.1% (w/v) sodium lauryl sarcosine, 10 mM β-mercaptoethanol). The homogenate was then centrifuged for 10 min at 12,000 rpm at 4 °C, and the GUS activity of the supernatant was assessed using 4-methylumbelliferyl glucuronide (4-MUG) as a substrate. The fluorescence of the GUS-catalyzed hydrolysis reaction product, 4-methylumbelliferone (4-MU), was measured with the TECAN GENios system (Tecan, Shanghai, China). The protein concentration in the supernatant was determined by the procedure of Bradford [85], using bovine serum albumin (BSA) as a standard. GUS activity was normalized to the protein concentration of each supernatant extract and expressed as picomoles 4-MU per minute per milligram protein.

3.7. Agrobacterium-Mediated Transient Expression in Tobacco

For Agrobacterium-mediated transient expression of the PtMCP promoter in tobacco, root, stem, leaf, flower bud and flower tissues were infiltrated into Agrobacterium culture (OD600 = 0.8). After 20–30 min of vacuum filtration, the infiltrated samples were blotted dry with sterile filter paper and maintained in petri-dishes containing co-cultivation medium (MS medium) at 25 °C in a dark place for 48 h. The samples were then collected and subjected to histochemical and fluorometric GUS assays.

4. Conclusions

A novel constitutive promoter with moderate activity from P. tomentosa, designated the PtMCP promoter, has one TATA-box, one CAAT-box and several other putative cis-acting regulatory elements. The expression mechanism of the PtMCP promoter is similar to that of the CaMV 35S promoter, but the levels of activity are considerably lower. The function of the PtMCP promoter from poplar is presumably conserved in different species. Therefore, the PtMCP promoter described in this paper provides a practical choice to direct moderate level constitutive expression of transgenes. The emergence of this promoter could perhaps provide a valuable new tool for scientists in plant genetic engineering.

Supplementary Information

ijms-14-06187-s001.docx

Acknowledgments

This research was supported by the Major State Basic Research Development Program (2012CB114505), the Natural Science Foundation (31170631) and the National High Technology Research and Development Program (2013AA102703, 2011AA100201) of China. We thank Steven H. Strauss (Oregon State University) for providing the plasmid pProtest. The nucleotide sequence of the PtMCP promoter has achieved a China patent (No. ZL201110439913.X).

Conflict of Interest

The authors declare no conflict of interest.

References

  1. Odell, J.T.; Nagy, F.; Chua, N.H. Identification of DNA sequences required for activity of the cauliflower mosaic virus 35S promoter. Nature 1985, 313, 810–812. [Google Scholar]
  2. Battraw, M.J.; Hall, T.C. Histochemical analysis of CaMV 35S promoter-beta-glucuronidase gene expression in transgenic rice plants. Plant Mol. Biol 1990, 15, 527–538. [Google Scholar]
  3. Benfey, P.N.; Ren, L.; Chua, N.H. Tissue-specific expression from CaMV 35S enhancer subdomains in early stages of plant development. EMBO J 1990, 9, 1677–1684. [Google Scholar]
  4. Datla, R.S.S.; Bekkaoui, F.; Hammerlindl, J.K.; Pilate, G.; Dunstan, D.I.; Crosby, W.L. Improved high-level constitutive foreign gene expression in plants using an AMV RNA4 untranslated leader sequence. Plant Sci 1993, 94, 139–149. [Google Scholar]
  5. Holtorf, S.; Apel, K.; Bohlmann, H. Comparison of different constitutive and inducible promoters for the overexpression of transgenes in Arabidopsis thaliana. Plant Mol. Biol 1995, 29, 637–646. [Google Scholar]
  6. Wilmink, A.; van de Ven, B.C.; Dons, J.J. Activity of constitutive promoters in various species from the Liliaceae. Plant Mol. Biol 1995, 28, 949–955. [Google Scholar]
  7. Christensen, A.H.; Sharrock, R.A.; Quail, P.H. Maize polyubiquitin genes: Structure, thermal perturbation of expression and transcript splicing, and promoter activity following transfer to protoplasts by electroporation. Plant Mol. Biol 1992, 18, 675–689. [Google Scholar]
  8. Cornejo, M.J.; Luth, D.; Blankenship, K.M.; Anderson, O.D.; Blechl, A.E. Activity of a maize ubiquitin promoter in transgenic rice. Plant Mol. Biol 1993, 23, 567–581. [Google Scholar]
  9. Lu, J.; Sivamani, E.; Li, X.; Qu, R. Activity of the 5′ regulatory regions of the rice polyubiquitin rubi3 gene in transgenic rice plants as analyzed by both GUS and GFP reporter genes. Plant Cell Rep 2008, 27, 1587–1600. [Google Scholar]
  10. Chiera, J.M.; Bouchard, R.A.; Dorsey, S.L.; Park, E.; Buenrostro-Nava, M.T.; Ling, P.P.; Finer, J.J. Isolation of two highly active soybean (Glycine max (L.) Merr.) promoters and their characterization using a new automated image collection and analysis system. Plant Cell Rep 2007, 26, 1501–1509. [Google Scholar]
  11. Hernandez-Garcia, C.M.; Martinelli, A.P.; Bouchard, R.A.; Finer, J.J. A soybean (Glycine max) polyubiquitin promoter gives strong constitutive expression in transgenic soybean. Plant Cell Rep 2009, 28, 837–849. [Google Scholar]
  12. Wei, H.; Albert, H.; Moore, P. Differential expression of sugarcane polyubiquitin genes and isolation of promoters from two highly-expressed members of the gene family. J. Plant Physiol 1999, 155, 513–519. [Google Scholar]
  13. Wei, H.; Wang, M.L.; Moore, P.H.; Albert, H.H. Comparative expression analysis of two sugarcane polyubiquitin promoters and flanking sequences in transgenic plants. J. Plant Physiol 2003, 160, 1241–1251. [Google Scholar]
  14. Garbarino, J.E.; Oosumi, T.; Belknap, W.R. Isolation of a polyubiquitin promoter and its expression in transgenic potato plants. Plant Physiol 1995, 109, 1371–1378. [Google Scholar]
  15. Rockhold, D.R.; Chang, S.; Taylor, N.; Allen, P.V.; McCue, K.F.; Belknap, W.R. Structure of two Solanum bulbocastanum polyubiquitin genes and expression of their promoters in transgenic potatoes. Am. J. Potato Res 2008, 85, 219–226. [Google Scholar]
  16. Foster, E.; Hattori, J.; Labbe, H.; Ouellet, T.; Fobert, P.R.; James, L.E.; Iyer, V.N.; Miki, B.L. A tobacco cryptic constitutive promoter, tCUP, revealed by T-DNA tagging. Plant Mol. Biol 1999, 41, 45–55. [Google Scholar]
  17. Malik, K.; Wu, K.; Li, X.Q.; Martin-Heller, T.; Hu, M.; Foster, E.; Tian, L.; Wang, C.; Ward, K.; Jordan, M.; et al. A constitutive gene expression system derived from the tCUP cryptic promoter elements. Theor. Appl. Genet 2002, 105, 505–514. [Google Scholar]
  18. Wu, K.; Malik, K.; Tian, L.; Hu, M.; Martin, T.; Foster, E.; Brown, D.; Miki, B. Enhancers and core promoter elements are essential for the activity of a cryptic gene activation sequence from tobacco, tCUP. Mol. Genet. Genomics 2001, 265, 763–770. [Google Scholar]
  19. McElroy, D.; Blowers, A.D.; Jenes, B.; Wu, R. Construction of expression vectors based on the rice actin 1 (Act1) 5′ region for use in monocot transformation. Mol. Gen. Genet 1991, 231, 150–160. [Google Scholar]
  20. McElroy, D.; Zhang, W.; Cao, J.; Wu, R. Isolation of an efficient actin promoter for use in rice transformation. Plant Cell 1990, 2, 163–171. [Google Scholar]
  21. Pater, B.S.; Mark, F.; Rueb, S.; Katagiri, F.; Chua, N.H.; Schilperoort, R.A.; Hensgens, L.A.M. The promoter of the rice gene GOS2 is active in various different monocot tissues and binds rice nuclear factor ASF-1. Plant J 1992, 2, 837–844. [Google Scholar]
  22. Jeon, J.S.; Lee, S.; Jung, K.H.; Jun, S.H.; Kim, C.; An, G. Tissue-preferential expression of a rice alpha-tubulin gene, OsTubA1, mediated by the first intron. Plant Physiol 2000, 123, 1005–1014. [Google Scholar]
  23. Jang, I.C.; Choi, W.B.; Lee, K.H.; Song, S.I.; Nahm, B.H.; Kim, J.K. High-level and ubiquitous expression of the rice cytochrome c gene OsCc1 and its promoter activity in transgenic plants provides a useful promoter for transgenesis of monocots. Plant Physiol 2002, 129, 1473–1481. [Google Scholar]
  24. Wang, J.; Oard, J.H. Rice ubiquitin promoters: Deletion analysis and potential usefulness in plant transformation systems. Plant Cell Rep 2003, 22, 129–134. [Google Scholar]
  25. He, C.; Lin, Z.; McElroy, D.; Wu, R. Identification of a rice actin2 gene regulatory region for high-level expression of transgenes in monocots. Plant Biotechnol. J 2009, 7, 227–239. [Google Scholar]
  26. Qin, J.Y.; Zhang, L.; Clift, K.L.; Hulur, I.; Xiang, A.P.; Ren, B.Z.; Lahn, B.T. Systematic comparison of constitutive promoters and the doxycycline-inducible promoter. PLoS One 2010, 5, e10611. [Google Scholar]
  27. Cheng, X.; Sardana, R.; Kaplan, H.; Altosaar, I. Agrobacterium-transformed rice plants expressing synthetic cryIA(b) and cryIA(c) genes are highly toxic to striped stem borer and yellow stem borer. Proc. Natl. Acad. Sci. USA 1998, 95, 2767–2772. [Google Scholar]
  28. Van der Salm, T.; Bosch, D.; Honee, G.; Feng, L.; Munsterman, E.; Bakker, P.; Stiekema, W.J.; Visser, B. Insect resistance of transgenic plants that express modified Bacillus thuringiensis cryIA(b) and cryIC genes: A resistance management strategy. Plant Mol. Biol 1994, 26, 51–59. [Google Scholar]
  29. Chen, L.H.; Zhang, B.; Xu, Z.Q. Salt tolerance conferred by overexpression of Arabidopsis vacuolar Na(+)/H(+) antiporter gene AtNHX1 in common buckwheat (Fagopyrum esculentum). Transgenic Res 2008, 17, 121–132. [Google Scholar]
  30. Xu, D.; Duan, X.; Wang, B.; Hong, B.; Ho, T.; Wu, R. Expression of a late embryogenesis abundant protein gene, HVA1, from barley confers tolerance to water deficit and salt stress in transgenic rice. Plant Physiol 1996, 110, 249–257. [Google Scholar]
  31. Botterman, J.; Leemans, J. Discovery, transfer to crops, expression and biological significance of a bialaphos resistance gene. Monogr.-Br. Crop Prot. Counc 1989, 42, 63–68. [Google Scholar]
  32. Korban, S.S. Targeting and expression of antigenic proteins in transgenic plants for production of edible oral vaccines. In Vitro Cell Dev. Biol. -Plant 2002, 38, 231–236. [Google Scholar]
  33. Gittins, J.R.; Pellny, T.K.; Hiles, E.R.; Rosa, C.; Biricolti, S.; James, D.J. Transgene expression driven by heterologous ribulose-1,5-bisphosphate carboxylase/oxygenase small-subunit gene promoters in the vegetative tissues of apple (Malus pumila Mill.). Planta 2000, 210, 232–240. [Google Scholar]
  34. Robinson, D.J. Environmental risk assessment of releases of transgenic plants containing virus-derived inserts. Transgenic Res 1996, 5, 359–362. [Google Scholar]
  35. Kohli, A.; Griffiths, S.; Palacios, N.; Twyman, R.M.; Vain, P.; Laurie, D.A.; Christou, P. Molecular characterization of transforming plasmid rearrangements in transgenic rice reveals a recombination hotspot in the CaMV 35S promoter and confirms the predominance of microhomology mediated recombination. Plant J 1999, 17, 591–601. [Google Scholar]
  36. Myhre, M.R.; Fenton, K.A.; Eggert, J.; Nielsen, K.M.; Traavik, T. The 35S CaMV plant virus promoter is active in human enterocyte-like cells. Eur. Food Res. Technol 2006, 222, 185–193. [Google Scholar]
  37. Gibbs, M.J.; Weiller, G.F. Evidence that a plant virus switched hosts to infect a vertebrate and then recombined with a vertebrate-infecting virus. Proc. Natl. Acad. Sci. USA 1999, 96, 8022. [Google Scholar]
  38. Matzke, M.A.; Matzke, A. How and why do plants inactivate homologous (trans)genes? Plant Physiol 1995, 107, 679–685. [Google Scholar]
  39. Stam, M.; Mol, J.N.M.; Kooter, J.M. The Silence of genes in transgenic plants. Ann. Bot.-Lond 1997, 79, 3–12. [Google Scholar]
  40. Al-Kaff, N.S.; Kreike, M.M.; Covey, S.N.; Pitcher, R.; Page, A.M.; Dale, P.J. Plants rendered herbicide-susceptible by cauliflower mosaic virus-elicited suppression of a 35S promoter-regulated transgene. Nat. Biotechnol 2000, 18, 995–999. [Google Scholar]
  41. Dong, Y.; von Arnim, A.G. Novel plant activation-tagging vectors designed to minimize 35S enhancer-mediated gene silencing. Plant Mol. Biol. Rep 2003, 21, 349–358. [Google Scholar]
  42. Jakowitsch, J.; Papp, I.; Moscone, E.A.; van der Winden, J.; Matzke, M.; Matzke, A.J. Molecular and cytogenetic characterization of a transgene locus that induces silencing and methylation of homologous promoters in trans. Plant J 1999, 17, 131–140. [Google Scholar]
  43. McCabe, M.S.; Schepers, F.; van der Arend, A.; Mohapatra, U.; de Laat, A.M.; Power, J.B.; Davey, M.R. Increased stable inheritance of herbicide resistance in transgenic lettuce carrying a petE promoter-bar gene compared with a CaMV 35S-bar gene. TAG Theor. Appl. Genet 1999, 99, 587–592. [Google Scholar]
  44. Mette, M.F.; Aufsatz, W.; van der Winden, J.; Matzke, M.A.; Matzke, A.J. Transcriptional silencing and promoter methylation triggered by double-stranded RNA. EMBO J 2000, 19, 5194–5201. [Google Scholar]
  45. Park, Y.D.; Papp, I.; Moscone, E.A.; Iglesias, V.A.; Vaucheret, H.; Matzke, A.J.; Matzke, M.A. Gene silencing mediated by promoter homology occurs at the level of transcription and results in meiotically heritable alterations in methylation and gene activity. Plant J 1996, 9, 183–194. [Google Scholar]
  46. Al-Kaff, N.S.; Covey, S.N.; Kreike, M.M.; Page, A.M.; Pinder, R.; Dale, P.J. Transcriptional and posttranscriptional plant gene silencing in response to a pathogen. Science 1998, 279, 2113–2115. [Google Scholar]
  47. Vaucheret, H.; Beclin, C.; Elmayan, T.; Feuerbach, F.; Godon, C.; Morel, J.B.; Mourrain, P.; Palauqui, J.C.; Vernhettes, S. Transgene-induced gene silencing in plants. Plant J 1998, 16, 651–659. [Google Scholar]
  48. Wang, L.; Li, L.; Xu, L.; Zhou, J.; Zhuang, H.; Gong, X.; Wang, M.; Sun, S.S.M.; Zhuge, Q. Isolation and functional analysis of the Poplar RbcS gene promoter. Plant Mol. Biol. Rep 2013, 31, 120–127. [Google Scholar]
  49. Yang, Y.; Yang, G.; Liu, S.; Guo, X.; Zheng, C. Isolation and functional analysis of a strong specific promoter in photosynthetic tissues. Sci. China Ser. C: Life Sci 2003, 46, 651–660. [Google Scholar]
  50. Noh, S.A.; Lee, H.S.; Huh, G.H.; Oh, M.J.; Paek, K.H.; Shin, J.S.; Bae, J.M. A sweetpotato SRD1 promoter confers strong root-, taproot-, and tuber-specific expression in Arabidopsis, carrot, and potato. Transgenic Res 2012, 21, 265–278. [Google Scholar]
  51. Chawla, R.; Shakya, R.; Rommens, C.M. Tuber-specific silencing of asparagine synthetase-1 reduces the acrylamide-forming potential of potatoes grown in the field without affecting tuber shape and yield. Plant Biotechnol. J 2012, 10, 913–924. [Google Scholar]
  52. Arango, J.; Salazar, B.; Welsch, R.; Sarmiento, F.; Beyer, P.; Al-Babili, S. Putative storage root specific promoters from cassava and yam: Cloning and evaluation in transgenic carrots as a model system. Plant Cell Rep 2010, 29, 651–659. [Google Scholar]
  53. Xu, L.; Ye, R.; Zheng, Y.; Wang, Z.; Zhou, P.; Lin, Y.; Li, D. Isolation of the endosperm-specific LPAAT gene promoter from coconut (Cocos nucifera L.) and its functional analysis in transgenic rice plants. Plant Cell Rep 2010, 29, 1061–1068. [Google Scholar]
  54. Zavallo, D.; Lopez Bilbao, M.; Hopp, H.E.; Heinz, R. Isolation and functional characterization of two novel seed-specific promoters from sunflower (Helianthus annuus L.). Plant Cell Rep 2010, 29, 239–248. [Google Scholar]
  55. Kato, H.; Xie, G.; Sato, Y.; Imai, R. Isolation of anther-specific gene promoters suitable for transgene expression in rice. Plant Mol. Biol. Rep 2010, 28, 381–387. [Google Scholar]
  56. Huang, Z.; Gan, Z.; He, Y.; Li, Y.; Liu, X.; Mu, H. Functional analysis of a rice late pollen-abundant UDP-glucose pyrophosphorylase (OsUgp2) promoter. Mol. Biol. Rep 2011, 38, 4291–4302. [Google Scholar]
  57. Yi, N.; Kim, Y.S.; Jeong, M.H.; Oh, S.J.; Jeong, J.S.; Park, S.H.; Jung, H.; Choi, Y.D.; Kim, J.K. Functional analysis of six drought-inducible promoters in transgenic rice plants throughout all stages of plant growth. Planta 2010, 232, 743–754. [Google Scholar]
  58. Freeman, J.; Sparks, C.A.; West, J.; Shewry, P.R.; Jones, H.D. Temporal and spatial control of transgene expression using a heat-inducible promoter in transgenic wheat. Plant Biotechnol. J 2011, 9, 788–796. [Google Scholar] [Green Version]
  59. Tittarelli, A.; Santiago, M.; Morales, A.; Meisel, L.A.; Silva, H. Isolation and functional characterization of cold-regulated promoters, by digitally identifying peach fruit cold-induced genes from a large EST dataset. BMC Plant Biol 2009, 9, 121. [Google Scholar]
  60. Su, C.F.; Wang, Y.C.; Hsieh, T.H.; Lu, C.A.; Tseng, T.H.; Yu, S.M. A novel MYBS3-dependent pathway confers cold tolerance in rice. Plant Physiol 2010, 153, 145–158. [Google Scholar]
  61. Kovalchuk, N.; Li, M.; Wittek, F.; Reid, N.; Singh, R.; Shirley, N.; Ismagul, A.; Eliby, S.; Johnson, A.; Milligan, A.S. Defensin promoters as potential tools for engineering disease resistance in cereal grains. Plant Biotechnol. J 2010, 8, 47–64. [Google Scholar]
  62. Feuillet, C.; Lauvergeat, V.; Deswarte, C.; Pilate, G.; Boudet, A.; Grima-Pettenati, J. Tissue- and cell-specific expression of a cinnamyl alcohol dehydrogenase promoter in transgenic poplar plants. Plant Mol. Biol 1995, 27, 651–667. [Google Scholar]
  63. Hollick, J.B.; Gordon, M.P. Transgenic analysis of a hybrid poplar wound-inducible promoter reveals developmental patterns of expression similar to that of storage protein genes. Plant Physiol 1995, 109, 73–85. [Google Scholar]
  64. Wei, H.; Meilan, R.; Brunner, A.M.; Skinner, J.S.; Ma, C.; Gandhi, H.T.; Strauss, S.H. Field trial detects incomplete barstar attenuation of vegetative cytotoxicity in Populus trees containing a poplar LEAFY promoter::barnase sterility transgene. Mol. Breed 2007, 19, 69–85. [Google Scholar]
  65. Yevtushenko, D.P.; Sidorov, V.A.; Romero, R.; Kay, W.W.; Misra, S. Wound-inducible promoter from poplar is responsive to fungal infection in transgenic potato. Plant Sci 2004, 167, 715–724. [Google Scholar]
  66. Zheng, H.; Lei, Y.; Zhang, Z.; Lin, S.; Zhang, Q.; Liu, W.; Du, J.; An, X.; Zhao, X. Analysis of promoter activity of PtDrl02 gene in white poplars. J. Plant Biochem. Biot 2012, 21, 88–97. [Google Scholar]
  67. Zheng, H.; Lin, S.; Zhang, Q.; Lei, Y.; Hou, L.; Zhang, Z. Functional identification and regulation of the PtDrl02 gene promoter from triploid white poplar. Plant Cell Rep 2010, 29, 449–460. [Google Scholar]
  68. Zhong, R.; Lee, C.; Ye, Z.H. Functional characterization of poplar wood-associated NAC domain transcription factors. Plant Physiol 2010, 152, 1044–1055. [Google Scholar]
  69. Park, S.H.; Yi, N.; Kim, Y.S.; Jeong, M.H.; Bang, S.W.; Choi, Y.D.; Kim, J.K. Analysis of five novel putative constitutive gene promoters in transgenic rice plants. J. Exp. Bot 2010, 61, 2459–2467. [Google Scholar]
  70. Shahmuradov, I.A.; Solovyev, V.V.; Gammerman, A.J. Plant promoter prediction with confidence estimation. Nucleic Acids Res 2005, 33, 1069–1076. [Google Scholar]
  71. Higo, K.; Ugawa, Y.; Iwamoto, M.; Korenaga, T. Plant cis-acting regulatory DNA elements (PLACE) database: 1999. Nucleic Acids Res 1999, 27, 297–300. [Google Scholar]
  72. Prestridge, D.S. SIGNAL SCAN: A computer program that scans DNA sequences for eukaryotic transcriptional elements. Comput. Appl. Biosci 1991, 7, 203–206. [Google Scholar]
  73. Lescot, M.; Dehais, P.; Thijs, G.; Marchal, K.; Moreau, Y.; van de Peer, Y.; Rouze, P.; Rombauts, S. PlantCARE, a database of plant cis-acting regulatory elements and a portal to tools for in silico analysis of promoter sequences. Nucleic Acids Res 2002, 30, 325–327. [Google Scholar]
  74. Donald, R.G.; Cashmore, A.R. Mutation of either G box or I box sequences profoundly affects expression from the Arabidopsis rbcS-1A promoter. EMBO J 1990, 9, 1717–1726. [Google Scholar]
  75. Orozco, B.M.; Ogren, W.L. Localization of light-inducible and tissue-specific regions of the spinach ribulose bisphosphate carboxylase/oxygenase (rubisco) activase promoter in transgenic tobacco plants. Plant Mol. Biol 1993, 23, 1129–1138. [Google Scholar]
  76. Ozkaynak, E.; Finley, D.; Solomon, M.J.; Varshavsky, A. The yeast ubiquitin genes: A family of natural gene fusions. EMBO J 1987, 6, 1429–1439. [Google Scholar]
  77. Gausing, K.; Jensen, C.B. Two ubiquitin-long-tail fusion genes arranged as closely spaced direct repeats in barley. Gene 1990, 94, 165–171. [Google Scholar]
  78. Murashige, T.; Skoog, F. A revised medium for rapid growth and bio assays with tobacco tissue cultures. Physiol. Plant 1962, 15, 473–497. [Google Scholar]
  79. Clough, S.J.; Bent, A.F. Floral dip: A simplified method for Agrobacterium-mediated transformation of Arabidopsis thaliana. Plant J 1998, 16, 735–743. [Google Scholar]
  80. Zhang, X.; Henriques, R.; Lin, S.S.; Niu, Q.W.; Chua, N.H. Agrobacterium-mediated transformation of Arabidopsis thaliana using the floral dip method. Nat. Protoc 2006, 1, 641–646. [Google Scholar]
  81. Jia, Z.; Gou, J.; Sun, Y.; Yuan, L.; Tang, Q.; Yang, X.; Pei, Y.; Luo, K. Enhanced resistance to fungal pathogens in transgenic Populus tomentosa Carr. by overexpression of an nsLTP-like antimicrobial protein gene from motherwort (Leonurus japonicus). Tree Physiol 2010, 30, 1599–1605. [Google Scholar]
  82. Hofgen, R.; Willmitzer, L. Storage of competent cells for Agrobacterium transformation. Nucleic Acids Res 1988, 16, 9877. [Google Scholar]
  83. Chang, S.; Puryear, J.; Cairney, J. A simple and efficient method for isolating RNA from pine trees. Plant Mol. Biol. Rep 1993, 11, 113–116. [Google Scholar]
  84. Jefferson, R.A.; Bevan, M.; Kavanagh, T. The use of the Escherichia coli beta-glucuronidase as a gene fusion marker for studies of gene expression in higher plants. Biochem. Soc. Trans 1987, 15, 17–18. [Google Scholar]
  85. Bradford, M.M. A rapid and sensitive method for the quantitation of microgram quantities of protein utilizing the principle of protein-dye binding. Anal. Biochem 1976, 72, 248–254. [Google Scholar]
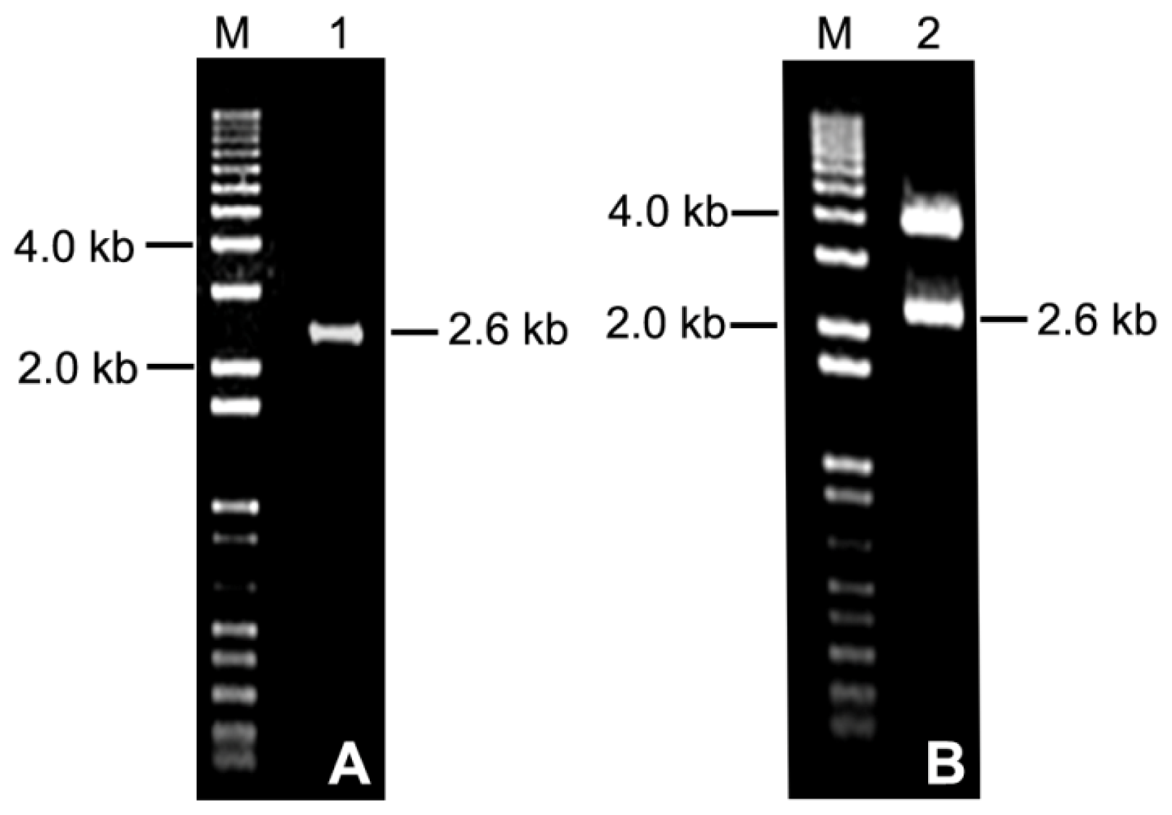
Figure 1. Cloning of the PtMCP promoter from P. tomentosa. (A) PCR product amplified from genomic DNA of poplar; (B) identification of the recombinant (PtMCP promoter-T construct) by enzyme digestion.
Figure 1. Cloning of the PtMCP promoter from P. tomentosa. (A) PCR product amplified from genomic DNA of poplar; (B) identification of the recombinant (PtMCP promoter-T construct) by enzyme digestion.
Ijms 14 06187f1
Figure 2. Construction of the PtMCP promoter::GUS construct. (A) Identification of recombinants (PtMCP promoter::GUS construct) by enzyme digestion; (B) Schematic diagrams of the PtMCP promoter::GUS and CaMV35S promoter::GUS construct. RB, right border; LB, left border; NOSpro, nopaline synthase promoter; NPT-II, neomycin phosphotransferase (II) coding region; NOS-T, nopaline synthase terminator; GUS, β-glucuronidase gene; PtMCPpro, PtMCP promoter; CaMV35Spro, cauliflower mosaic virus (CaMV) 35S promoter. The insertion position of the PtMCP promoter in the vector is indicated by the restriction enzyme sites SacI and KpnI.
Figure 2. Construction of the PtMCP promoter::GUS construct. (A) Identification of recombinants (PtMCP promoter::GUS construct) by enzyme digestion; (B) Schematic diagrams of the PtMCP promoter::GUS and CaMV35S promoter::GUS construct. RB, right border; LB, left border; NOSpro, nopaline synthase promoter; NPT-II, neomycin phosphotransferase (II) coding region; NOS-T, nopaline synthase terminator; GUS, β-glucuronidase gene; PtMCPpro, PtMCP promoter; CaMV35Spro, cauliflower mosaic virus (CaMV) 35S promoter. The insertion position of the PtMCP promoter in the vector is indicated by the restriction enzyme sites SacI and KpnI.
Ijms 14 06187f2
Figure 3. Characterization and analysis of transgenic Arabidopsis. Analysis of the different transgenic Arabidopsis lines (T2–T5, T7–T9, T11) by targeting the GUS reporter gene in (A) genomic PCR, (B) RT-PCR and (C) GUS transcript abundance in different tissues (root, stem, leaf, flower, silique) of transgenic Arabidopsis plants by RT-PCR. WT, wild-type plants serving as negative controls; P, positive control (PtMCP promoter::GUS plasmid). The Arabidopsis ACTIN2 gene was used as an endogenous reference gene for the RT-PCR assay and also amplified to verify that similar amounts of cDNA were used. The RT-PCR data are representative of at least three experiments. Numbers on the left represent the size of the amplified cDNA fragments in base pairs.
Figure 3. Characterization and analysis of transgenic Arabidopsis. Analysis of the different transgenic Arabidopsis lines (T2–T5, T7–T9, T11) by targeting the GUS reporter gene in (A) genomic PCR, (B) RT-PCR and (C) GUS transcript abundance in different tissues (root, stem, leaf, flower, silique) of transgenic Arabidopsis plants by RT-PCR. WT, wild-type plants serving as negative controls; P, positive control (PtMCP promoter::GUS plasmid). The Arabidopsis ACTIN2 gene was used as an endogenous reference gene for the RT-PCR assay and also amplified to verify that similar amounts of cDNA were used. The RT-PCR data are representative of at least three experiments. Numbers on the left represent the size of the amplified cDNA fragments in base pairs.
Ijms 14 06187f3
Figure 4. Histochemical and fluorometric GUS activity assays. Histochemical GUS staining of transgenic lines (T2 and T7) containing the PtMCP promoter::GUS construct in Arabidopsis seedlings (AD) and maturing plants (EH). GUS activity was visible in all tissues, including roots, stems, rosette leaves, cauline leaves and flowers, but was weaker than in CaMV35S promoter::GUS plants. (A and E), transgenic line 2 (T2); (B and F), transgenic line 7 (T7); (C and G), positive controls (CaMV35S promoter::GUS plants); (D and H), negative controls (wild-type plants); (I) Quantitative measurement of GUS activity in different transgenic lines (T2, T4, T7, T8, T9 and T11) and positive control (CaMV35S promoter::GUS plants). Error bars represent the standard deviation (SD). Data are the mean values of triplicate tests ± SD (n = 3).
Figure 4. Histochemical and fluorometric GUS activity assays. Histochemical GUS staining of transgenic lines (T2 and T7) containing the PtMCP promoter::GUS construct in Arabidopsis seedlings (AD) and maturing plants (EH). GUS activity was visible in all tissues, including roots, stems, rosette leaves, cauline leaves and flowers, but was weaker than in CaMV35S promoter::GUS plants. (A and E), transgenic line 2 (T2); (B and F), transgenic line 7 (T7); (C and G), positive controls (CaMV35S promoter::GUS plants); (D and H), negative controls (wild-type plants); (I) Quantitative measurement of GUS activity in different transgenic lines (T2, T4, T7, T8, T9 and T11) and positive control (CaMV35S promoter::GUS plants). Error bars represent the standard deviation (SD). Data are the mean values of triplicate tests ± SD (n = 3).
Ijms 14 06187f4
Figure 5. Histochemical GUS staining of different tissues of tobacco transiently transformed with an Agrobacterium suspension. First and fourth panels (A, G, M, D, J, P), PtMCP promoter::GUS tobacco; second and fifth panels (B, H, N, E, K, Q), positive controls (CaMV35S promoter::GUS tobacco); third and sixth panels (C, I, O, F, L, R), negative controls (wild-type tobacco). (AC) roots; (DF) stems; (GI) cross-section of stems; (JL) flower buds; (MN) leaves; (PR) flowers. Regions positive for GUS appear blue.
Figure 5. Histochemical GUS staining of different tissues of tobacco transiently transformed with an Agrobacterium suspension. First and fourth panels (A, G, M, D, J, P), PtMCP promoter::GUS tobacco; second and fifth panels (B, H, N, E, K, Q), positive controls (CaMV35S promoter::GUS tobacco); third and sixth panels (C, I, O, F, L, R), negative controls (wild-type tobacco). (AC) roots; (DF) stems; (GI) cross-section of stems; (JL) flower buds; (MN) leaves; (PR) flowers. Regions positive for GUS appear blue.
Ijms 14 06187f5
Figure 6. Quantitative measurement of GUS activity in different tissues of PtMCP promoter::GUS tobacco and positive controls (CaMV35S promoter::GUS plants). GUS activity was determined using protein extracts from different tissues. (A) Quantitative analyses of GUS activity in different tissues and organs of PtMCP promoter::GUS plants. Letters above the columns indicate statistically significant differences (*p < 0.05) according to the ANOVA Fisher’s LSD test. Error bars represent the standard deviation (SD). Data are the mean values of triplicate tests ± SD (n = 3); (B) Quantitative measurement of GUS activity in different tissues of PtMCP promoter::GUS and CaMV35S promoter::GUS tobacco. Significance was assessed using Student’s t-tests (**p < 0.01).
Figure 6. Quantitative measurement of GUS activity in different tissues of PtMCP promoter::GUS tobacco and positive controls (CaMV35S promoter::GUS plants). GUS activity was determined using protein extracts from different tissues. (A) Quantitative analyses of GUS activity in different tissues and organs of PtMCP promoter::GUS plants. Letters above the columns indicate statistically significant differences (*p < 0.05) according to the ANOVA Fisher’s LSD test. Error bars represent the standard deviation (SD). Data are the mean values of triplicate tests ± SD (n = 3); (B) Quantitative measurement of GUS activity in different tissues of PtMCP promoter::GUS and CaMV35S promoter::GUS tobacco. Significance was assessed using Student’s t-tests (**p < 0.01).
Ijms 14 06187f6

Share and Cite

MDPI and ACS Style

Chen, Z.; Wang, J.; Ye, M.-X.; Li, H.; Ji, L.-X.; Li, Y.; Cui, D.-Q.; Liu, J.-M.; An, X.-M. A Novel Moderate Constitutive Promoter Derived from Poplar (Populus tomentosa Carrière). Int. J. Mol. Sci. 2013, 14, 6187-6204. https://doi.org/10.3390/ijms14036187

AMA Style

Chen Z, Wang J, Ye M-X, Li H, Ji L-X, Li Y, Cui D-Q, Liu J-M, An X-M. A Novel Moderate Constitutive Promoter Derived from Poplar (Populus tomentosa Carrière). International Journal of Molecular Sciences. 2013; 14(3):6187-6204. https://doi.org/10.3390/ijms14036187

Chicago/Turabian Style

Chen, Zhong, Jia Wang, Mei-Xia Ye, Hao Li, Le-Xiang Ji, Ying Li, Dong-Qing Cui, Jun-Mei Liu, and Xin-Min An. 2013. "A Novel Moderate Constitutive Promoter Derived from Poplar (Populus tomentosa Carrière)" International Journal of Molecular Sciences 14, no. 3: 6187-6204. https://doi.org/10.3390/ijms14036187

APA Style

Chen, Z., Wang, J., Ye, M.-X., Li, H., Ji, L.-X., Li, Y., Cui, D.-Q., Liu, J.-M., & An, X.-M. (2013). A Novel Moderate Constitutive Promoter Derived from Poplar (Populus tomentosa Carrière). International Journal of Molecular Sciences, 14(3), 6187-6204. https://doi.org/10.3390/ijms14036187

Article Metrics

Back to TopTop