A Moderate Intake of Beer Improves Metabolic Dysfunction-Associated Steatotic Liver Disease (MASLD) in a High-Fat Diet (HFD)-Induced Mouse Model
Abstract
1. Introduction
2. Results
2.1. Bioactive Compounds and Antioxidant Capacity of Beer
2.2. Quantification of Phenolic Compounds in Beer by UHPLC-ESI-MS/MS
2.3. In Vivo Experimental Study
2.3.1. The Influence of Beer Consumption on Serum Biochemical Parameters and Body Weight
2.3.2. Assessment of Hepatic Oxidative Status
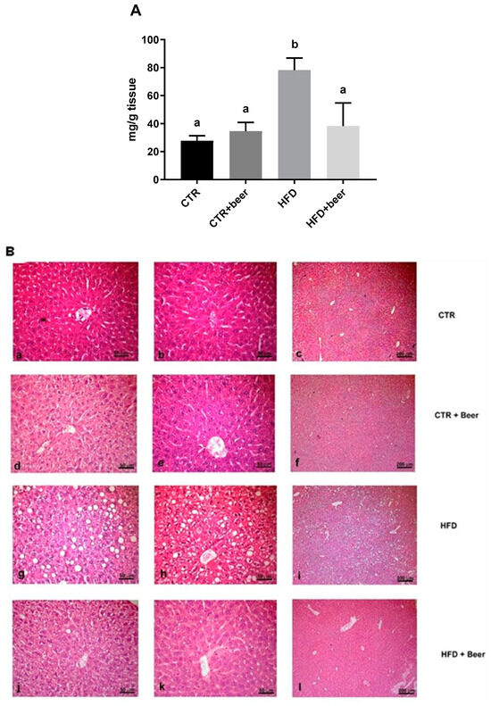
2.3.3. Antisteatotic Effect of Beer
2.3.4. Modulation of Cecal Metabolites Due to the Administration of Beer and HFD
2.3.5. Correlation Among Experimental Treatments and Biochemical Parameters
2.3.6. Assessing Liver Transcriptomic Profile
2.3.7. Assessing DNA CpG Methylation Changes in Liver
2.3.8. Comparison of Liver Transcriptomic and CpG Methylation Profile
3. Discussion
4. Materials and Methods
4.1. Beer Sample
4.2. Antioxidant Profiling of Beer
4.2.1. Bioactive Molecules Content
4.2.2. Phenolic Compounds Profiling by UHPLC-ESI-MS/MS Analysis
4.2.3. Assessment of Antioxidant Activity Through In Vitro Assays
4.3. In Vivo Experiment: Hepatoprotective Assay
4.3.1. Animal Procedure
4.3.2. Analysis of Biochemical Parameters
4.3.3. Biomarkers of Oxidative Stress in the Liver
4.3.4. Quantitation of Liver Lipids to Estimate MASLD
4.3.5. Histopathological Analysis
4.3.6. Evaluation of Cecal Metabolomic Changes
4.4. Analysis of Gene Expression and DNA Methylation
4.4.1. Nucleic Acids Isolation
4.4.2. Library Preparation and Sequencing
4.4.3. Bioinformatic Data Analysis
4.5. Statistical Analysis
Supplementary Materials
Author Contributions
Funding
Institutional Review Board Statement
Informed Consent Statement
Data Availability Statement
Conflicts of Interest
References
- WHO. Global Status Report on Alcohol and Heatlh 2018; World Health Organization: Geneva, Switzerland, 2018. [Google Scholar]
- Zugravu, C.A.; Medar, C.; Manolescu, L.S.C.; Constantin, C. Beer and microbiota: Pathways for a positive and healthy interaction. Nutrients 2023, 15, 844. [Google Scholar] [CrossRef] [PubMed]
- Marcos, A.; Serra-Majem, L.; Pérez-Jiménez, F.; Pascual, V.; Tinahones, F.J.; Estruch, R. Moderate Consumption of Beer and Its Effects on Cardiovascular and Metabolic Health: An Updated Review of Recent Scientific Evidence. Nutrients 2021, 13, 879. [Google Scholar] [CrossRef] [PubMed]
- Zhou, Y.; Hua, J.; Huang, Z. Effects of beer, wine, and baijiu consumption on non-alcoholic fatty liver disease: Potential implications of the flavor compounds in the alcoholic beverages. Front. Nutr. 2023, 9, 1022977. [Google Scholar] [CrossRef]
- Cohen, D.; Mason, K.; Farley, T. Beer consumption and premature mortality in Louisiana: An ecologic analysis. J. Stud. Alcohol. 2004, 65, 398–403. [Google Scholar] [CrossRef]
- Becker, U.; Gronbaek, M.; Johansen, D.; Sorensen, T. Lower risk for alcohol-induced cirrhosis in wine drinkers. Hepatology 2002, 35, 868–875. [Google Scholar] [CrossRef]
- Renaud, S.C.; Guéguen, R.; Siest, G.; Salamon, R. Wine, beer, and mortality in middle-aged men from eastern France. Arch. Intern. Med. 1999, 159, 1865–1870. [Google Scholar] [CrossRef]
- Lelbach, W.K. Cirrhosis in the alcoholic and its relation to the volume of alcohol abuse. Ann. N. Y. Acad. Sci. 1975, 252, 85–105. [Google Scholar] [CrossRef] [PubMed]
- Moriya, A.; Iwasaki, Y.; Ohguchi, S.; Kayashima, E.; Mitsumune, T.; Taniguchi, H.; Ikeda, F.; Shiratori, Y.; Yamamoto, K. Alcohol consumption appears to protect against non-alcoholic fatty liver disease. Aliment. Pharmacol. Ther. 2011, 33, 378–388. [Google Scholar] [CrossRef]
- Dunn, W.; Sanyal, A.J.; Brunt, E.M.; Unalp-Arida, A.; Donohue, M.; McCullough, A.J.; Schwimmer, J.B. Modest alcohol consumption is associated with decreased prevalence of steatohepatitis in patients with non-alcoholic fatty liver disease (NAFLD). J. Hepatol. 2012, 57, 384–391. [Google Scholar] [CrossRef] [PubMed]
- White, I.R.; Altmann, D.R.; Nanchahal, K. Alcohol consumption and mortality: Modelling risks for men and women at different ages. BMJ 2002, 325, 191. [Google Scholar] [CrossRef] [PubMed]
- Hansen, N.W.; Sams, A. The Microbiotic Highway to Health—New Perspective on Food Structure, Gut Microbiota, and Host Inflammation. Nutrients 2018, 10, 1590. [Google Scholar] [CrossRef] [PubMed]
- Abenavoli, L.; Larussa, T.; Corea, A.; Procopio, A.C.; Boccuto, L.; Dallio, M.; Federico, A.; Luzza, F. Dietary Polyphenols and Non-Alcoholic Fatty Liver Disease. Nutrients 2021, 13, 494. [Google Scholar] [CrossRef] [PubMed]
- Vornoli, A.; Vizzarri, F.; Della Croce, C.M.; Grande, T.; Palazzo, M.; Árvay, J.; Pucci, L.; Gabriele, M.; Matteucci, M.; Paolini, M.; et al. The hypolipidemic, anti-inflammatory and antioxidant effect of Kavolì® aqueous extract, a mixture of Brassica oleracea leaves, in a rat model of NAFLD. Food Chem. Toxicol. 2022, 167, 113261. [Google Scholar] [CrossRef]
- Souid, A.; Giambastiani, L.; Castagna, A.; Santin, M.; Vivarelli, F.; Canistro, D.; Morosini, C.; Paolini, M.; Franchi, P.; Lucarini, M.; et al. Assessment of the Antioxidant and Hypolipidemic Properties of Salicornia europaea for the Prevention of TAFLD in Rats. Antioxidants 2024, 13, 596. [Google Scholar] [CrossRef]
- Radonjic, M.; de Haan, J.R.; van Erk, M.J.; van Dijk, K.W.; van den Berg, S.A.; de Groot, P.J.; Müller, M.; van Ommen, B. Genome-wide mRNA expression analysis of hepatic adaptation to high-fat diets reveals switch from an inflammatory to steatotic transcriptional program. PLoS ONE 2009, 4, e6646. [Google Scholar] [CrossRef]
- Do, G.M.; Oh, H.Y.; Kwon, E.Y.; Cho, Y.Y.; Shin, S.K.; Park, H.J.; Jeon, S.M.; Kim, E.; Hur, C.G.; Park, T.S.; et al. Long-term adaptation of global transcription and metabolism in the liver of high-fat diet-fed C57BL/6J mice. Mol. Nutr. Food Res. 2011, 55, S173–S185. [Google Scholar] [CrossRef] [PubMed]
- Yoon, A.; Tammen, S.A.; Park, S.; Han, S.N.; Choi, S.W. Genome-wide hepatic DNA methylation changes in high-fat diet-induced obese mice. Nutr. Res. Pract. 2017, 11, 105–113. [Google Scholar] [CrossRef]
- Wang, S.; Zha, L.; Cui, X.; Yeh, Y.T.; Liu, R.; Jing, J.; Shi, H.; Chen, W.; Hanover, J.; Yin, J.; et al. Epigenetic Regulation of Hepatic Lipid Metabolism by DNA Methylation. Adv. Sci. 2023, 10, e2206068. [Google Scholar] [CrossRef]
- Zeybel, M.; Hardy, T.; Robinson, S.M.; Fox, C.; Anstee, Q.M.; Ness, T.; Masson, S.; Mathers, J.C.; French, J.; White, S.; et al. Differential DNA methylation of genes involved in fibrosis progression in non-alcoholic fatty liver disease and alcoholic liver disease. Clin. Epigenetics. 2015, 7, 25. [Google Scholar] [CrossRef]
- Govaere, O.; Petersen, S.K.; Martinez-Lopez, N.; Wouters, J.; Van Haele, M.; Mancina, R.M.; Jamialahmadi, O.; Bilkei-Gorzo, O.; Lassen, P.B.; Darlay, R.; et al. Macrophage scavenger receptor 1 mediates lipid-induced inflammation in non-alcoholic fatty liver disease. J. Hepatol. 2022, 76, 1001–1012. [Google Scholar] [CrossRef]
- Magee, N.; Ahamed, F.; Eppler, N.; Jones, E.; Ghosh, P.; He, L.; Zhang, Y. Hepatic transcriptome profiling reveals early signatures associated with disease transition from non-alcoholic steatosis to steatohepatitis. Liver Res. 2022, 6, 238–250. [Google Scholar] [CrossRef] [PubMed]
- Siersbæk, M.; Varticovski, L.; Yang, S.; Baek, S.; Nielsen, R.; Mandrup, S.; Hager, G.L.; Chung, J.H.; Grøntved, L. High fat diet-induced changes of mouse hepatic transcription and enhancer activity can be reversed by subsequent weight loss. Sci. Rep. 2017, 7, 40220. [Google Scholar] [CrossRef] [PubMed]
- Fuster-Martínez, I.; Calatayud, S. The current landscape of antifibrotic therapy across different organs: A systematic approach. Pharmacol. Res. 2024, 205, 107245. [Google Scholar] [CrossRef] [PubMed]
- Ambra, R.; Pastore, G.; Lucchetti, S. The role of bioactive phenolic compounds on the impact of beer on health. Molecules 2021, 26, 486. [Google Scholar] [CrossRef] [PubMed]
- Zhao, H.; Chen, W.; Lu, J.; Zhao, M. Phenolic profiles and antioxidant activities of commercial beers. Food Chem. 2010, 119, 1150–1158. [Google Scholar] [CrossRef]
- Da-Silva, J.R.; Correia-Lima, L.; Fernandes, G.; Ribeiro-Filho, N.; Madruga, M.S.; dos Santos Lima, M.; Muniz, M.B. Mandacaru fruit pulp (Cereus jamacaru DC) as an adjunct and its influence on Beer properties. Food Chem. 2023, 406, 135066. [Google Scholar] [CrossRef]
- Shopska, V.; Denkova-Kostova, R.; Dzhivoderova-Zarcheva, M.; Teneva, D.; Denev, P.; Kostov, G. Comparative study on phenolic content and antioxidant activity of different malt types. Antioxidants 2021, 10, 1124. [Google Scholar] [CrossRef]
- Gonzalez-Munoz, M.; Meseguer, I.; Sanchez-Reus, M.; Schultz, A.; Olivero, R.; Benedi, J.; Sanchez-Muniz, F.J. Beer consumption reduces cerebral oxidation caused by aluminum toxicity by normalizing gene expression of tumor necrotic factor alpha and several antioxidant enzymes. Food Chem. Toxicol. 2008, 46, 1111–1118. [Google Scholar] [CrossRef]
- Arranz, S.; Chiva-Blanch, G.; Valderas-Martínez, P.; Medina-Remón, A.; Lamuela-Raventós, R.M.; Estruch, R. Wine, beer, alcohol and polyphenols on cardiovascular disease and cancer. Nutrients 2012, 4, 759–781. [Google Scholar] [CrossRef]
- Tarantino, G.; Balsano, C.; Santini, S.J.; Brienza, G.; Clemente, I.; Cosimini, B.; Sinatti, G. It is high time physicians thought of natural products for alleviating NAFLD. Is there sufficient evidence to use them? Int. J. Mol. Sci. 2021, 22, 13424. [Google Scholar] [CrossRef]
- Degrace, P.; Moindrot, B.; Mohamed, I.; Gresti, J.; Clouet, P. Moderate consumption of beer reduces liver triglycerides and aortic cholesterol deposit in LDLr−/− apoB100/100 mice. Atherosclerosis 2006, 189, 328–335. [Google Scholar] [CrossRef] [PubMed]
- De Sotillo, D.V.R.; Hadley, M. Chlorogenic acid modifies plasma and liver concentrations of: Cholesterol, triacylglycerol, and minerals in (fa/fa) Zucker rats. J. Nutr. Biochem. 2002, 13, 717–726. [Google Scholar] [CrossRef] [PubMed]
- Wan, C.W.; Wong, C.N.; Pin, W.K.; Wong, M.H.; Kwok, C.Y.; Chan, R.Y.; Yu, P.H.; Chan, S.W. Chlorogenic acid exhibits cholesterol lowering and fatty liver attenuating properties by up-regulating the gene expression of PPAR-α in hypercholesterolemic rats induced with a high-cholesterol diet. Phytother. Res. 2013, 27, 545–551. [Google Scholar] [CrossRef] [PubMed]
- Shimoda, H.; Seki, E.; Aitani, M. Inhibitory effect of green coffee bean extract on fat accumulation and body weight gain in mice. BMC Complement. Altern. 2006, 6, 9. [Google Scholar] [CrossRef] [PubMed]
- Jin, H.L.; Feng, X.Y.; Feng, S.L.; Dai, L.; Zhu, W.T.; Yuan, Z.W. Isoquercitrin attenuates the progression of non-alcoholic steatohepatitis in mice by modulating galectin-3-mediated insulin resistance and lipid metabolism. Phytomedicine 2024, 123, 155188. [Google Scholar] [CrossRef]
- Qin, G.; Ma, J.; Huang, Q.; Yin, H.; Han, J.; Li, M.; Deng, Y.; Wang, B.; Hassan, W.; Shang, J. Isoquercetin improves hepatic lipid accumulation by activating AMPK pathway and suppressing TGF-β signaling on an HFD-induced nonalcoholic fatty liver disease rat model. Int. J. Mol. Sci. 2018, 19, 4126. [Google Scholar] [CrossRef]
- Khlifi, R.; Dhaouefi, Z.; Toumia, I.B.; Lahmar, A.; Sioud, F.; Bouhajeb, R.; Ahlem, B.; Chekir-Ghedira, L. Erica multiflora extract rich in quercetin-3-O-glucoside and kaempferol-3-O-glucoside alleviates high fat and fructose diet-induced fatty liver disease by modulating metabolic and inflammatory pathways in Wistar rats. J. Nutr. Biochem. 2020, 86, 108490. [Google Scholar] [CrossRef]
- Zhang, C.; Shi, Z.; Lei, H.; Wu, F.; Chen, C.; Cao, Z.; Song, Y.; Zhang, C.; Zhou, J.; Lu, Y.; et al. Dietary Isoquercetin Reduces Hepatic Cholesterol and Triglyceride in NAFLD Mice by Modulating Bile Acid Metabolism via Intestinal FXR-FGF15 Signaling. J. Agric. Food Chem. 2023, 71, 7723–7733. [Google Scholar] [CrossRef]
- Boronat, A.; Soldevila-Domenech, N.; Mateus, J.A.; Díaz, P.; Pérez, M.; Rovira, A. Generation of the Antioxidant Hydroxytyrosol from Tyrosol Present in Beer in a Randomized Clinical Trial (P06-003-19). Curr. Dev. Nutr. 2019, 3, 3013182. [Google Scholar] [CrossRef]
- Moura-Nunes, N.; Brito, T.C.; da Fonseca, N.D.; de Aguiar, P.F.; Monteiro, M.; Perrone, D.; Torres, A.G. Phenolic compounds of Brazilian beers from different types and styles and application of chemometrics for modeling antioxidant capacity. Food Chem. 2016, 199, 105–113. [Google Scholar] [CrossRef]
- Gorinstein, S.; Zemser, M.; Weisz, M.; Halevy, S.; Martin-Belloso, O.; Trakhtenberg, S. The influence of alcohol-containing and alcohol-free beverages on lipid levels and lipid peroxides in serum of rats. J. Nutr. Biochem. 1998, 9, 682–686. [Google Scholar] [CrossRef]
- Jung, F.; Lippmann, T.; Brandt, A.; Jin, C.J.; Engstler, A.J.; Baumann, A. Moderate consumption of fermented alcoholic beverages diminishes diet-induced non-alcoholic fatty liver disease through mechanisms involving hepatic adiponectin signaling in mice. Eur. J. Nutr. 2020, 59, 787–799. [Google Scholar] [CrossRef]
- Kanuri, G.; Landmann, M.; Priebs, J.; Spruss, A.; Löscher, M.; Ziegenhardt, D.; Röhl, C.; Degen, C.; Bergheim, I. Moderate alcohol consumption diminishes the development of non-alcoholic fatty liver disease (NAFLD) in ob/ob mice. Eur. J. Nutr. 2016, 55, 1153–1164. [Google Scholar] [CrossRef] [PubMed]
- Wang, X.; Qi, Y.; Zheng, H. Dietary polyphenol, gut microbiota, and health benefits. Antioxidants 2022, 11, 1212. [Google Scholar] [CrossRef] [PubMed]
- He, J.; Zhang, P.; Shen, L.; Niu, L.; Tan, Y.; Chen, L.; Zhao, Y.; Bai, L.; Hao, X.; Li, X.; et al. Short-chain fatty acids and their association with signalling pathways in inflammation, glucose and lipid metabolism. Int. J. Mol. Sci. 2020, 21, 6356. [Google Scholar] [CrossRef]
- Hosseini, E.; Grootaert, C.; Verstraete, W.; Van de Wiele, T. Propionate as a health-promoting microbial metabolite in the human gut. Nutr. Rev. 2011, 69, 245–258. [Google Scholar] [CrossRef]
- Miguel, G.A.; Carlsen, S.; Arneborg, N.; Saerens, S.M.; Laulund, S.; Knudsen, G.M. Non-Saccharomyces yeasts for beer production: Insights into safety aspects and considerations. Int. J. Food Microbiol. 2022, 383, 109951. [Google Scholar] [CrossRef]
- Koudoufio, M.; Desjardins, Y.; Feldman, F.; Spahis, S.; Delvin, E.; Levy, E. Insight into polyphenol and gut microbiota crosstalk: Are their metabolites the key to understand protective effects against metabolic disorders? Antioxidants 2020, 9, 982. [Google Scholar] [CrossRef]
- Li, D.; Xie, P.; Zhao, S.; Zhao, J.; Yao, Y.; Zhao, Y.; Ren, G.; Liu, X. Hepatocytes derived increased SAA1 promotes intrahepatic platelet aggregation and aggravates liver inflammation in NAFLD. Biochem. Biophys. Res. Commun. 2021, 555, 54–60. [Google Scholar] [CrossRef]
- Zhou, B.; Luo, Y.; Ji, N.; Hu, C.; Lu, Y. Orosomucoid 2 maintains hepatic lipid homeostasis through suppression of de novo lipogenesis. Nat. Metab. 2022, 4, 1185–1201. [Google Scholar] [CrossRef]
- Hayashi, Y.; Shimamura, A.; Ishikawa, T.; Fujiwara, Y.; Ichi, I. FADS2 inhibition in essential fatty acid deficiency induces hepatic lipid accumulation via impairment of very low-density lipoprotein (VLDL) secretion. Biochem. Biophys Res. Commun. 2018, 496, 549–555. [Google Scholar] [CrossRef] [PubMed]
- Xu, B.; Chen, L.; Zhan, Y.; Marquez, K.N.S.; Zhuo, L.; Qi, S.; Zhu, J.; He, Y.; Chen, X.; Zhang, H.; et al. The Biological Functions and Regulatory Mechanisms of Fatty Acid Binding Protein 5 in Various Diseases. Front. Cell Dev. Biol. 2022, 10, 857919. [Google Scholar] [CrossRef] [PubMed]
- Pei, Y.; Balogun, O.; Otieno, D.; Parks, J.S.; Kang, H.W. The effects of brewers’ spent grain on high-fat diet-induced fatty liver. Biochem. Biophys. Res. Commun. 2022, 616, 49–55. [Google Scholar] [CrossRef] [PubMed]
- Wang, J.; Zhong, M.Y.; Liu, Y.X.; Yu, J.Y.; Wang, Y.B.; Zhang, X.J.; Sun, H.-P. Branched-chain amino acids promote hepatic Cyp7a1 expression and bile acid synthesis via suppressing FGF21-ERK pathway. Acta. Pharmacol. Sin. 2024. [Google Scholar] [CrossRef] [PubMed]
- Harrison, S.A.; Rolph, T.; Knott, M.; Dubourg, J. FGF21 agonists: An emerging therapeutic for metabolic dysfunction-associated steatohepatitis and beyond. J. Hepatol. 2024, 81, 562–576. [Google Scholar] [CrossRef] [PubMed]
- Ajoolabady, A.; Wang, S.; Kroemer, G.; Klionsky, D.J.; Uversky, V.N.; Sowers, J.R.; Aslkhodapasandhokmabad, H.; Bi, Y.; Ge, J.; Ren, J. ER Stress in Cardiometabolic Diseases: From Molecular Mechanisms to Therapeutics. Endocr. Rev. 2021, 42, 839–871. [Google Scholar] [CrossRef]
- Schwenk, R.W.; Jonas, W.; Ernst, S.B.; Kammel, A.; Jähnert, M.; Schürmann, A. Diet-dependent alterations of hepatic Scd1 expression are accompanied by differences in promoter methylation. Horm. Metab. Res. 2013, 45, 786–794. [Google Scholar] [CrossRef]
- Zhao, Q.; Sheng, M.F.; Wang, Y.Y.; Wang, X.Y.; Liu, W.Y.; Zhang, Y.Y.; Ke, T.Y.; Chen, S.; Pang, G.Z.; Yong, L.; et al. LncRNA Gm26917 regulates inflammatory response in macrophages by enhancing Annexin A1 ubiquitination in LPS-induced acute liver injury. Front. Pharmacol. 2022, 13, 975250. [Google Scholar] [CrossRef]
- Tan, R.; Li, J.; Liu, L.; Wu, Q.; Fan, L.; Ma, N.; Yu, C.; Lu, H.; Zhang, X.; Chen, J.; et al. CSAD Ameliorates Lipid Accumulation in High-Fat Diet-Fed Mice. Int. J. Mol. Sci. 2022, 23, 15931. [Google Scholar] [CrossRef]
- Yano, K.; Yamaguchi, K.; Seko, Y.; Okishio, S.; Ishiba, H.; Tochiki, N.; Takahashi, A.; Kataoka, S.; Okuda, K.; Liu, Y.; et al. Hepatocyte-specific fibroblast growth factor 21 overexpression ameliorates high-fat diet-induced obesity and liver steatosis in mice. Lab. Investig. 2022, 102, 281–289. [Google Scholar] [CrossRef]
- Singleton, V.L.; Orthofer, R.; Lamuela-Raventos, R.M. Analysis of total phenols and other oxidation substrates and antioxidants by means of Folin-Ciocalteu reagent. Methods Enzymol. 1999, 299, 152–178. [Google Scholar]
- Kim, D.O.; Chun, O.K.; Kim, Y.J.; Moon, H.Y.; Lee, C.Y. Quantification of polyphenolics and their antioxidant capacity in fresh plums. J. Agric. Food Chem. 2003, 51, 6509–6515. [Google Scholar] [CrossRef]
- Romani, A.; Mancini, P.; Tatti, S.; Vincieri, F. Polyphenols and polysaccharides in Tuscan grapes and wines. Ital. J. Food Sci. 1996, 8, 13–24. [Google Scholar]
- Sokmen, A.; Gulluce, M.; Akpulat, H.A.; Daferera, D.; Tepe, B.; Polissiou, M. The in vitro antimicrobial and antioxidant activities of the essential oils and methanol extracts of endemic Thymus spathulifolius. Food Control 2004, 15, 627–634. [Google Scholar] [CrossRef]
- Bacchiocca, M.; Biagiotti, E.; Ninfali, P. Nutritional and technological reasons for evaluating the antioxidant capacity of vegetable products. Ital. J. Food Sci. 2006, 18, 209–217. [Google Scholar]
- Colosimo, R.; Gabriele, M.; Cifelli, M.; Longo, V.; Domenici, V.; Pucci, L. The effect of sourdough fermentation on Triticum dicoccum from Garfagnana: 1H NMR characterization and analysis of the antioxidant activity. Food Chem. 2020, 305, 125510. [Google Scholar] [CrossRef] [PubMed]
- Snetselaar, L.G.; de Jesus, J.M.; DeSilva, D.M.; Stoody, E.E. Dietary Guidelines for Americans, 2020–2025: Understanding the Scientific Process, Guidelines, and Key Recommendations. Nutr. Today 2021, 56, 287–295. [Google Scholar] [CrossRef]
- Vornoli, A.; Tibaldi, E.; Gnudi, F.; Sgargi, D.; Manservisi, F.; Belpoggi, F.; Tovoli, F.; Mandrioli, D. Evaluation of Toxicant-Associated Fatty Liver Disease and Liver Neoplastic Progress in Sprague-Dawley Rats Treated with Low Doses of Aflatoxin B1 Alone or in Combination with Extremely Low Frequency Electromagnetic Fields. Toxins 2022, 14, 325. [Google Scholar] [CrossRef]
- Seljeskog, E.; Hervig, T.; Mansoor, M.A. A novel HPLC method for the measurement of thiobarbituric acid reactive substances (TBARS). A comparison with a commercially available kit. Clin. Biochem. 2006, 39, 947–954. [Google Scholar] [CrossRef]
- Pozzo, L.; Russo, R.; Frassinetti, S.; Vizzarri, F.; Arvay, J.; Vornoli, A.; Casamassima, D.; Palazzo, M.; Della Croce, C.; Longo, V. Wild Italian Prunus spinosa L. fruit exerts in vitro antimicrobial activity and protects against in vitro and in vivo oxidative stress. Foods 2019, 9, 5. [Google Scholar] [CrossRef]
- Terevinto, A.; Ramos, A.; Castroman, G.; Cabrera, M.C.; Saadoun, A. Oxidative status, in vitro iron-induced lipid oxidation and superoxide dismutase, catalase and glutathione peroxidase activities in rhea meat. Meat Sci. 2010, 84, 706–710. [Google Scholar] [CrossRef] [PubMed]
- Folch, J.; Lees, M.; Sloane Stanley, J.H. A simple method for the isolation and purification of total lipids from animal tissues. J. Biol. Chem. 1957, 226, 497–509. [Google Scholar] [CrossRef] [PubMed]
- Kleiner, D.E.; Brunt, E.M.; Van Natta, M.; Behling, C.; Contos, M.J.; Cummings, O.W.; Ferrel, L.D.; Liu, Y.-C.; Torbenson, M.S.; Unalp-Arida, A.; et al. Nonalcoholic Steatohepatitis Clinical Research Network. Design and validation of a histological scoring system for nonalcoholic fatty liver disease. Hepatology 2005, 41, 1313–1321. [Google Scholar] [CrossRef] [PubMed]
- Pozzo, L.; Pucci, L.; Buonamici, G.; Giorgetti, L.; Maltinti, M.; Longo, V. Effect of white wheat bread and white wheat bread added with bioactive compounds on hypercholesterolemic and steatotic mice fed a high-fat diet. J. Sci. Food Agric. 2015, 95, 2454–2461. [Google Scholar] [CrossRef]
- Campanella, B.; Lomonaco, T.; Benedetti, E.; Onor, M.; Nieri, R.; Bramanti, E. Validation and Application of a Derivatization-Free RP-HPLC-DAD Method for the Determination of Low Molecular Weight Salivary Metabolites. Int. J. Environ. Res. Public Health 2020, 17, 6158. [Google Scholar] [CrossRef] [PubMed]
- Dobin, A.; Davis, C.A.; Schlesinger, F.; Drenkow, J.; Zaleski, C.; Jha, S.; Batut, P.; Chaisson, M.; Gingeras, T.R. STAR: Ultrafast universal RNA-seq aligner. Bioinformatics 2013, 29, 15–21. [Google Scholar] [CrossRef] [PubMed]






| Beer | ||
|---|---|---|
| Bioactive compounds | Total polyphenols (mg GAE/100 mL) | 25.01 ± 1.27 |
| Flavonoids (mg CE/100 mL) | 3.17 ± 0.17 | |
| Flavonols (mg QE/100 mL) | 3.07 ± 0.23 | |
| Antioxidant activity | ORAC (mg TE/100 mL) | 103.10 ± 7.01 |
| FRAP (mg TE/100 mL) | 39.11 ± 0.42 | |
| DPPH (mg TE/100 mL) | 154.77 ± 13.05 |
| Compound Name | µg/100 mL |
|---|---|
| Gallic Acid | 62.70 ± 2.00 |
| 3-O-Caffeoylquinic acid (Chlorogenic acid) | 88.26 ± 3.17 |
| Protocatechuic acid | 14.68 ± 1.99 |
| Caffeic Acid | 11.91 ± 1.40 |
| Vanillic Acid | 69.29 ± 3.20 |
| p-Coumaric Acid | 2.38 ± 0.20 |
| trans-Ferulic Acid | 29.87 ± 2.28 |
| Rosmarinic Acid | 0.09 ± 0.03 |
| ∑ Phenolic acids | 279.17 |
| Quercetin | 0.54 ± 0.24 |
| Quercetin 3-O-glucoside | 14,684.60 ± 2678.60 |
| Quercetin 3,4-O-diglucoside | 10.56 ± 1.35 |
| Quercetin 3-O-rutinoside (Rutin) | 169.43 ± 30.25 |
| Kaempferol 3-O-glucoside (Astragalin) | 99.59 ± 10.30 |
| Kaempferol 3-O-rutinoside | 87.99 ± 3.90 |
| ∑ Flavonols | 15,052.71 |
| (+)-Catechin | 415.29 ± 37.40 |
| (−)-Epicatechin | 85.88 ± 2.40 |
| Apigenin | 0.09 ± 0.03 |
| ∑ Flavan-3-ols | 501.27 |
| Tyrosol | 2245.90 ± 56.00 |
| Hydroxytyrosol | 8.93 ± 0.41 |
| Naringenin | 3.56 ± 0.45 |
| Erodictyol | 0.73 ± 0.25 |
| Luteolin | 0.51 ± 0.20 |
| Phloridzin | 0.28 ± 0.05 |
| Resveratrol | 0.19 ± 0.09 |
| Oleuropein | 0.14 ± 0.11 |
| Verbascoside | 0.08 ± 0.05 |
| Phloretin | 0.02 ± 0.00 |
| ∑ Others | 2259.84 |
| Class Description | Ingredient | Grams |
|---|---|---|
| Protein | Casein, Lactic, 30 Mesh | 200.00 |
| Protein | Cystine, L | 3.00 |
| Carbohydrate | Lodex 10 | 125.00 |
| Carbohydrate | Sucrose, Fine Granulated | 72.80 |
| Fiber | Solka Floc, FCC200 | 50.00 |
| Fat | Lard | 245.00 |
| Fat | Soybean Oil, USP | 25.00 |
| Mineral | S10026B | 50.00 |
| Vitamin | Choline Bitartrate | 2.00 |
| Vitamin | V10001C | 1.00 |
| Dye | Dye, Blue FD&C #1, Alum. Lake 35–42% | 0.05 |
| Total: | 773.85 |
Disclaimer/Publisher’s Note: The statements, opinions and data contained in all publications are solely those of the individual author(s) and contributor(s) and not of MDPI and/or the editor(s). MDPI and/or the editor(s) disclaim responsibility for any injury to people or property resulting from any ideas, methods, instructions or products referred to in the content. |
© 2024 by the authors. Licensee MDPI, Basel, Switzerland. This article is an open access article distributed under the terms and conditions of the Creative Commons Attribution (CC BY) license (https://creativecommons.org/licenses/by/4.0/).
Share and Cite
Vornoli, A.; Souid, A.; Lazzari, B.; Turri, F.; Pizzi, F.; Bramanti, E.; Campanella, B.; Trouki, C.; Raffaelli, A.; Wójcik, M.; et al. A Moderate Intake of Beer Improves Metabolic Dysfunction-Associated Steatotic Liver Disease (MASLD) in a High-Fat Diet (HFD)-Induced Mouse Model. Molecules 2024, 29, 5954. https://doi.org/10.3390/molecules29245954
Vornoli A, Souid A, Lazzari B, Turri F, Pizzi F, Bramanti E, Campanella B, Trouki C, Raffaelli A, Wójcik M, et al. A Moderate Intake of Beer Improves Metabolic Dysfunction-Associated Steatotic Liver Disease (MASLD) in a High-Fat Diet (HFD)-Induced Mouse Model. Molecules. 2024; 29(24):5954. https://doi.org/10.3390/molecules29245954
Chicago/Turabian StyleVornoli, Andrea, Aymen Souid, Barbara Lazzari, Federica Turri, Flavia Pizzi, Emilia Bramanti, Beatrice Campanella, Cheherazade Trouki, Andrea Raffaelli, Marta Wójcik, and et al. 2024. "A Moderate Intake of Beer Improves Metabolic Dysfunction-Associated Steatotic Liver Disease (MASLD) in a High-Fat Diet (HFD)-Induced Mouse Model" Molecules 29, no. 24: 5954. https://doi.org/10.3390/molecules29245954
APA StyleVornoli, A., Souid, A., Lazzari, B., Turri, F., Pizzi, F., Bramanti, E., Campanella, B., Trouki, C., Raffaelli, A., Wójcik, M., Della Croce, C. M., Giorgetti, L., Longo, V., Capra, E., & Pozzo, L. (2024). A Moderate Intake of Beer Improves Metabolic Dysfunction-Associated Steatotic Liver Disease (MASLD) in a High-Fat Diet (HFD)-Induced Mouse Model. Molecules, 29(24), 5954. https://doi.org/10.3390/molecules29245954

