Evaluation of the Influence of Tanacetum vulgare Extract on Cognitive Functions and Hippocampal BDNF Expression
Abstract
1. Introduction
2. Results
2.1. Chemical Composition of Tanacetum vulgare Extract
2.1.1. Quantification of Phenolic Compounds by HPLC-UV Analysis
2.1.2. UHPLC-HRMS Profiling
Hydroxybenzoic, Hydroxycinnamic Acids, and Their Derivatives
Acylquinic Acids
Flavonoids
2.2. Activity Cage
2.3. Avoidances—Learning and Memory Sessions in a Shuttle Box
2.4. Escapes—Learning and Memory Sessions in a Shuttle Box
2.5. Intertrial Crossings—Learning and Memory Sessions in the Shuttle Box
2.6. Latency of Reaction—Learning and Memory Sessions in the Step-Down Test
2.7. Spatial Memory Assessed in the Y-Maze Test
2.8. Recognition Memory Assessed in the Object Recognition Test
2.9. Anxiety Index Assessed in the EPM Test
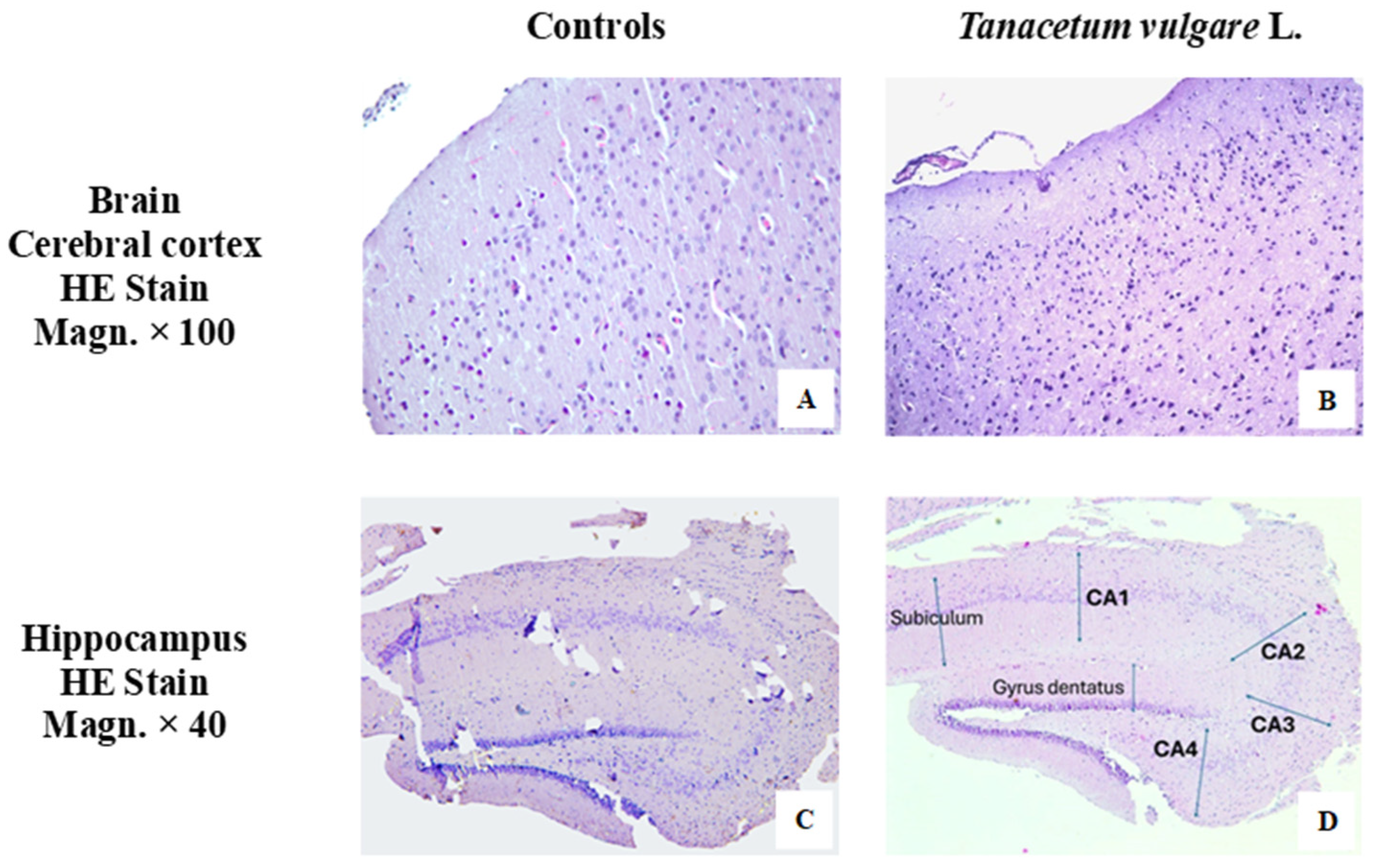
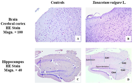
2.10. Histological Results
3. Discussion
4. Materials and Methods
4.1. Plant Material
4.2. Extract Preparation
4.3. Chemical Profile
4.4. Animals
- 1st group, C-veh, treated with saline 1 mL p.os;
- 2nd group, glycerin group, treated with glycerine 1mL p. os;
- 3rd group, T. vulgare 200, treated with 200 mg/kg extract of T. vulgare p.os;
- 4th group, T. vulgare 1000, treated with 1000 mg/kg extract of T. vulgare p.os.
4.5. Behavioral Tests
4.5.1. Activity Cage Test
4.5.2. Active Avoidance Test Shuttle Box
4.5.3. Passive Avoidance Test with Negative Reinforcement Step-Down
4.5.4. Y-Maze Test
4.5.5. Object Recognition Test
4.5.6. Elevated Plus Maze Test
4.6. Histological Analysis
4.7. Immunohistochemistry
4.8. Statistical Analysis
5. Conclusions
Supplementary Materials
Author Contributions
Funding
Institutional Review Board Statement
Informed Consent Statement
Data Availability Statement
Acknowledgments
Conflicts of Interest
Appendix A
| № | Identified/Tentatively Annotated Compound | Molecular Formula | Exact Mass [M−H]− | Fragmentation Pattern in (-) ESI-MS/MS | tR (min) | Δ ppm |
|---|---|---|---|---|---|---|
| Hydroxybenzoic, Hydroxycinnamic, and Phenylethanoid Glycosides | ||||||
| 1. | Gallic acid * | C7H6O5 | 169.0143 | 169.0132 (34.4), 125.0230 (100), 107.0124 (0.32), 97.0279 (3.04) | 1.67 | −6.015 |
| 2. | Protocatechuic acid-O-hexoside | C13H16O9 | 315.0727 | 315.0724 (100), 153.0182 (28), 152.0104 (56.4), 123.0074 (2.06), 108.0202 (81.93) | 2.39 | 0.935 |
| 3. | Protocatechuic acid-O-hexoside isomer | C13H16O9 | 315.0727 | 315.0725 (100), 153.0182 (57.12), 109.0280 (79.33) | 2.80 | 1.094 |
| 4. | Protocatechuic acid * | C7H6O4 | 153.0182 | 109.0280 (100), 91.0174 (1.5), 81.0330 (1.36) | 2.90 | −7.594 |
| 5. | Syringic acid-O-hexoside | C15H20O10 | 359.0985 | 359.0988 (8.3), 239.0564 (1.0), 197.0448 (100), 182.0212 (19.9), 166.9976 (8.3), 153.0546 (15.7), 138.0310 (27.7), 123.0072 (39.99) | 3.11 | 0.641 |
| 6. | Caffeic acid-O-hexoside | C15H18O9 | 341.0871 | 341.0880 (20.7), 281.0663 (0.9), 251.0562 (18.2), 221.0447 (0.6), 179.0341 (100), 161.0233 (43.3), 135.0437 (63.5), 133.0282 (3.8) | 3.38 | 0.424 |
| 7. | Quinic acid | C7H12O6 | 191.0549 | 191.0550 (100), 173.0443 (1.9), 155.0336 (0.2), 191.0553 (100), 173.0444 (2.04), 127.0387 (3.92), 111.0437 (1.36), 93.0330 (5.68), 85.0279 (17.37) | 4.11 | −4.404 |
| 8. | Aesculetin-O-hexoside | C15H15O9 | 339.0724 | 339.0724 (22.24), 177.0184 (100), 149.0221 (0.77), 133.0282 (9.51), 105.0331 (3.24), 89.0382 (2.21) | 3.56 | 0.609 |
| 9. | Caffeoylgluconic acid | C15H18O10 | 357.0827 | 357.0839 (12.5), 195.0503 (100), 179.0340 (47.7), 177.0396 (11.5), 135.0439 (45.5), 129.0177 (4.3), 87.6073 (7.9), 73.0279 (5.2) | 3.60 | 3.277 |
| 10. | Hydroxybenzoic acid-O-hexoside | C13H16O8 | 299.0778 | 299.0778 (1.33), 137.0231 (100), 93.0331 (49.7) | 3.60 | 1.837 |
| 11. | Caffeoyl-O-hexose | C15H18O9 | 341.0871 | 341.0880 (21.9), 281.0667 (91.3), 251.0560 (57.7), 221.0452 (45.6), 179.0342 (100), 161.0235 (65.4), 135.0438 (70.1), 133.0282 (26.9) | 3.64 | 0.688 |
| 12. | Caffeoylgluconic acid isomer | C15H18O10 | 357.0827 | 357.0828 (35.8), 195.0503 (100), 179.0342 (5.1), 177.0398 (4.6), 135.0439 (8.0), 129.0180 (12.3), 87.0072 (3.9), 59.0122 (2.6) | 3.84 | 0.280 |
| 13. | Caffeic acid-O-hexoside isomer | C15H18O9 | 341.0871 | 341.0878 (25.7), 281.0665 (9.4), 251.0561 (5.8), 221.0454 (6.0), 179.0340 (100), 161.0232 (6.9), 135.0438 (66.1) | 3.95 | 0.336 |
| 14. | p-coumaric acid | C9H8O3 | 163.0392 | In Full MS 163.0392 | 4.01 | −5.198 |
| 15. | Gentisic acid * | C7H6O4 | 153.0181 | 153.0181 (76.17), 135.0075 (33.46), 109.0280 (100), 91.0175 (6.27) | 4.36 | −7.790 |
| 16. | Caffeic acid * | C9H8O4 | 179.0339 | 179.0341 (19.62), 135.0438 (100), 117.0331 (0.8), 107.0487 (1.33) | 4.58 | −4.480 |
| 17. | Ferulic acid | C10H10O4 | 193.0506 | In Full MS 193.0501 | 5.53 | −2.549 |
| 18. | Feruloyl-(gentisyl)-dipentoside | C27H30O15 | 593.1507 | 593.1519 (100), 417.1042 (41.2), 399.0931 (19.8), 285.0634 (0.6), 153.0157 (2.8), 152.0104 (59.2), 134.0360 (17.8), 193.0500 (7.4), 108.0203 (46.1) | 7.30 | 1.124 |
| 19. | Caffeic acid O-(hydroxybensoyl)-hexoside | C22H22O11 | 461.1089 | 461.1098 (49.), 323.0776 (24.8), 299.0785 (1.1), 179.0342 (3.3), 161.0232 (22.8), 137.0231 (100), 135.0440 (6.3), 133.0284 (12.0), 93.0331 (5.3) | 7.42 | 1.816 |
| 20. | Shikimic acid | C7H10O5 | 173.0455 | 173.0445 (100), 155.0339 (3.44), 137.0229 (2.2), 127.0388 (1.76), 111.0437 (11.81), 93.0330 (80.04) | 4.10 | −6.106 |
| Mono-, diacyl-, and triacylquinic acids | ||||||
| 21. | Neochlorogenic (3-caffeoylquinic) acid * | C16H18O9 | 353.0867 | 353.0875 (3.0), 191.0553 (100), 179.0337 (1.2), 173.0442 (0.5), 161.0238 (1.8), 135.0437 (45.3), 217.0387 (2.0), 111.0436 (1.0), 93.0332 (2.9), 85.0279 (9.0) | 2.78 | −0.808 |
| 22. | Chlorogenic (5-caffeoylquinic) acid * | C16H18O9 | 353.0874 | 353.0880 (34.4), 191.0553 (100), 179.0340 (58.2), 173.0444 (3.6), 161.0234 (4.1), 135.0439 (47.8), 127.0387 (1.8), 111.0435 (0.7), 93.0331 (4.5), 85.0280 (9.2) | 3.15 | 0.495 |
| 23. | 3-p-coumaroylquinic acid | C16H18O8 | 337.0928 | 337.0936 (7.6), 191.0553 (8.7), 173.0444 (3.9), 163.0390 (100), 135.0434 (1.0), 127.0390 (0.4), 119.0489 (24.5), 111.0437 (1.1), 93.0329 (2.6), 85.0277 (1.5) | 3.84 | 2.104 |
| 24. | 4-feruloylquinic acid | C17H20O9 | 367.1034 | 367.1035 (93.5), 193.0500 (9.7), 173.0446 (69.2), 134.0360 (1.1), 111.0437 (14.5), 93.0331 (100), 85.0281 (0.7) | 5.62 | −0.015 |
| 25. | Caffeoylquinic acid dimer | C32H36O18 | 707.1829 | 353.0880 (53.2), 191.0553 (100), 173.0444 (5.7), 161.0230 (2.3), 135.0437 (4.5), 127.0388 (3.4), 111.0435 (1.7), 93.0331 (6.0), 85.0279 (12.1) | 4.12 | 0.994 |
| 26. | 3-feruloylquinic acid | C17H20O9 | 367.1034 | 367.1035 (19.8), 193.0498 (100), 191.0555 (3.6), 173.0444 (4.1), 149.0596 (3.1), 134.0360 (52.9), 127.0387 (1.8), 111.0437 (1.1), 93.0331 (1.8) | 4.26 | −0.015 |
| 27. | 3-hydroxy-dihydrocaffeoyl-5-caffeoylquinic acid | C25H26O13 | 533.1301 | 533.1302 (70.8), 371.0983 (17.0), 353.0878 (18.5), 335.0779 (4.9), 191.0553 (100), 179.0341 (43.7), 173.0446 (14.4), 161.0235 (7.6), 135.0438 (58.1), 111.0437 (1.4), 93.0330 (7.0), 85.0280 (6.5) | 4.83 | 0.236 |
| 28. | 3-caffeoyl-5-hydroxy-dihydrocaffeoylquinic acid | C25H26O13 | 533.1301 | 533.1309 (79.4), 371.1002 (14.7), 353.0883 (20.9), 335.0776 (5.1), 209.0295 (18.0), 191.0553 (100), 179.0341 (50.6), 173.0445 (16.5), 161.0233 (8.7), 135.0438 (54.9), 111.0435 (2.2), 93.0331 (7.7), 85.0280 (14.0) | 4.92 | 1.493 |
| 29. | 5-p-coumaroylquinic acid | C16H18O8 | 337.0928 | 337.0934 (8.0), 191.0553 (100), 173.0446 (6.0), 163.0389 (6.3), 145.0282 (0.6), 119.0487 (5.1), 111.0436 (1.7), 93.0331 (16.3), 85.0281 (4.4) | 4.99 | 1.511 |
| 30. | 1,3-dicaffeoylquinic acid | C25H24O12 | 515.1190 | 515.1192 (78.5), 353.0880 (32.0), 335.0777 (12.4), 191.0553 (100), 179.0341 (67.3), 161.0234 (9.8), 135.0439 (63.7), 127.0388 2.5), 111.0436 (3.3), 93.0331 (6.5), 85.0280 (8.4) | 5.04 | −0.581 |
| 31. | 3-hydroxy-dihydrocaffeoyl-4-caffeoylquinic acid | C25H26O13 | 533.1301 | 533.1300 (100), 371.098 (78.5), 353.0878 (12.9), 335.0779 (18.7), 197.0444 (6.6), 191.0552 (22.7), 173.0446 (54.3), 161.0233 (26.3), 135.0438 (86.1), 111.0436 (4.8), 93.0331 (15.9), 85.0277 (3.4) | 5.25 | −0.120 |
| 32. | 1-caffeoyl-3-hydroxy-dihydrocaffeoylquinic acid | C25H26O13 | 533.1301 | 533.1311 (15.5), 371.0986 (58.3), 353.0876 (4.2), 335.0786 (1.5), 197.0454 (1.6), 191.0554 (18.5), 179.0339 (7.0), 173.0446 (11.4), 161.0238 (2.2), 135.0439 (100), 93.0328 (2.4), 85.0276 (1.7) | 5.32 | 1.943 |
| 33. | 5-feruloylquinic acid | C17H20O9 | 367.1034 | 367.1035 (18.1), 193.0502 (3.9), 191.0553 (100), 173.0446 (9.0), 134.0359 (7.3), 111.0437 (2.8), 93.0331 (18.3), 85.0280 (4.6) | 5.40 | 0.176 |
| 34. | 5-p-coumaroylquinic acid isomer | C16H18O8 | 337.0929 | 337.0933 (7.1), 191.0553 (100), 173.0445 (2.4), 163.0387 (2.2), 127.0387 (1.6), 111.0436 (0.8), 93.0331 (4.9), 85.0279 (7.2) | 5.40 | 1.096 |
| 35. | 1-caffeoyl-3-hydroxy-dihydrocaffeoylquinic acid isomer | C25H26O13 | 533.1301 | 533.1297 (15.1), 371.0985 (65.9), 353.0875 (4.2), 335.0786 (2.0), 191.0553 (15.4), 179.0341 (9.1), 173.0440 (14.8), 161.0232 (2.4), 135.0439 (100), 111.0437 (1.5), 93.0332 (3.9), 85.0279 (2.7) | 5.41 | −0.683 |
| 36. | 4-hydroxy-dihydrocaffeoyl-5-caffeoylquinic acid | C25H26O13 | 533.1301 | 533.1248 (25.5), 371.0986 (80.6), 353.0876 (8.1), 191.0551 (10.3), 179.0342 (20.4), 173.0446 (100), 161.0233 (2.0), 135.0439 (68.0), 111.0434 (0.7), 93.0330 (22.3), 85.0282 (1.8) | 5.57 | −9.874 |
| 37. | Dicaffeoylquinic acid-hexoside 1 | C31H34O17 | 677.1723 | 677.1728 (27.7), 515.1407 (54.6), 353.0870 (5.4), 335.0794 (0.6), 179.0341 (100), 173.0445 (7.2), 161.0235 (3.9), 135.0439 (82.2), 93.0331 (4.3), 85.0277 (0.8) | 5.61 | 0.705 |
| 38. | 4-caffeoyl-5-hydroxy-dihydrocaffeoylquinic acid | C25H26O13 | 533.1301 | 533.1309 (100), 371.0998 (9.5), 353.0882 (19.9), 335.0771 (2.0), 191.0552 (77.2), 179.0341 (48.1), 173.0445 (47.6), 161.0232 (8.5), 135.0438 (48.8), 93.0331 (18.6), 85.0279 (9.7) | 5.72 | 1.606 |
| 39. | Dicaffeoylquinic acid-hexoside 2 | C31H34O17 | 677.1723 | 677.1729 (84.6), 515.1387 (57.7), 353.0877 (23.3), 341.0880 (20.1), 335.0775 (5.0), 323.0770 (15.8), 191.0553 (60.1), 179.0341 (100), 173.0447 (44.5), 161.0233 (21.4), 135.0438 (90.5), 111.0436 (4.5), 93.0329 (16.2), 85.0278 (4.7) | 5.99 | 0.867 |
| 40. | Dicaffeoylquinic acid-hexoside 3 | C31H34O17 | 677.1723 | 677.1726 (100), 515.1225 (18.7), 353.0878 (34.1), 341.0884 (3.8), 335.0791 (2.7), 323.0777 (15.9), 191.0553 (52.8), 179.0341 (65.0), 173.0446 (78.3), 161.0233 (31.0), 135.0439 (67.8), 111.0438 (4.2), 93.0330 (24.0), 85.0278 (6.9) | 6.34 | 0.424 |
| 41. | Dicaffeoylquinic acid-hexoside 4 | C31H34O17 | 677.1723 | 677.1724 (96.0), 515.1360 (52.1), 353.0885 (16.2), 341.0877 (55.3), 323.0768 (3.2), 191.0556 (16.3), 179.0341 (100), 173.0446 (53.8), 161.0236 (7.7), 135.0439 (95.0), 111.0437 (3.0), 93.0330 (23.8), 85.0275 (0.6) | 6.46 | 0.144 |
| 42. | 3,4-dicaffeoylquinic acid * | C25H24O12 | 515.1190 | 515.1197 (100), 353.0877 (15.3), 335.0784 (4.8), 191.0553 (22.9), 179.0341 (47.3), 173.0446 (55.0), 161.0232 (10.5), 135.0438 (27.0), 111.0437 (1.7), 93.0332 (7.4), 85.0277 (2.2) | 6.55 | 0.370 |
| 43. | 3,5-dicaffeoylquinic acid * | C25H24O12 | 515.1190 | 515.1204 (14.8), 353.0880 (94.3), 191.0553 (100), 179.0341 (57.0), 173.0441 (4.0), 161.0237 (4.4), 135.0439 (37.0), 111.0438 (0.7), 93.0331 (3.3), 85.0279 (8.8) | 6.80 | 1.787 |
| 44. | 4,5-dicaffeoylquinic acid | C25H24O12 | 515.1190 | 515.1196 (85.6), 353.0880 (66.0), 335.0795 (0.8), 191.0554 (36.7), 179.0341 (70.8), 173.0446 (100), 135.0439 (68.8), 111.0436 (4.3), 93.0331 (26.5), 85.0280 (5.4) | 7.13 | 0.137 |
| 45. | 3-p-coumaroyl-5-caffeoylquinic acid | C25H24O11 | 499.1251 | 499.1242 (19.0), 353.0882 (6.3), 337.0933 (74.6), 191.0553 (17.5), 173.0446 (7.3), 163.0390 (100), 135.0436 (3.9), 119.0488 (34.3), 111.0435 (1.8), 93.0333 (3.3), 85.0276 (1.9) | 7.58 | −0.691 |
| 46. | 3-caffeoyl-5-p-coumaroylquinic acid | C25H24O11 | 499.1251 | 499.1243 (23.2), 353.0883 (58.8), 337.0932 (28.5), 319.0830 (1.2), 191.0554 (100), 179.0342 (37.4), 163.0391 (10.8), 161.0233 (5.7), 135.0439 (31.5), 119.0489 (5.4), 93.0332 (10.8), 85.0280 (5.8) | 7.64 | −0.510 |
| 47. | 3-feruloyl-5-caffeoylquinic acid | C26H26O12 | 529.1356 | 529.1364 (11.4), 367.1034 (97.6), 335.0771 (1.2), 193.0499 (100), 191.0554 (2.0), 179.0331 (0.8), 173.0445 (9.2), 161.0228 (2.2), 135.0401 (3.0), 134.0360 (67.1), 93.0331 (3.0) | 7.84 | 2.269 |
| 48. | 1-caffeoyl-5-feruloylquinic acid | C26H26O12 | 529.1356 | 529.1355 (31.4), 367.1035 (51.8), 353.0877 (33.7), 335.7119 (0.5), 193.0499 (23.6), 191.0552 (100), 179.0339 (30.9), 173.0445 (13.7), 161.0233 (13.7), 135.0439 (26.0), 134.0360 (22.2), 111.0435 (2.2), 93.0330 (14.0), 85.0280 (5.7) | 7.92 | 0.663 |
| 49. | 4-p-coumaroyl-5-caffeoylquinic acid | C25H24O11 | 499.1252 | 499.1248 (27.0), 337.0932 (73.0), 173.0446 (100), 163.0388 (19.1), 135.0436 (4.4), 133.0278 (1.4), 127.0385 (1.4), 121.0279 (45.9), 119.0486 (11.2), 111.0435 (3.3), 93.0329 (24.5), 85.0279 (1.9) | 7.93 | 0.411 |
| 50. | 4-caffeoyl-5-p-coumaroylquinic acid | C25H24O11 | 499.1252 | 499.1259 (17.6), 353.0881 (57.4), 337.0937 (10.4), 191.0554 (49.5), 179.0341 (65.9), 173.0445 (100), 135.0439 (55.0), 119.0491 (1.5), 111.0436 (3.5), 93.0331 (27.1), 85.0279 (5.2) | 8.01 | 2.635 |
| 51. | 4-feruloyl-5-caffeoylquinic acid | C26H26O12 | 529.1356 | 529.1354 (19.7), 367.1034 (67.2), 193.0500 (18.6), 173.0446 (100), 161.0234 (1.3), 135.0444 (0.9), 134.0360 (15.7), 111.0439 (4.4), 93.0330 (25.4) | 8.11 | 0.436 |
| 52. | 4-caffeoyl-5-feruloylquinic acid | C26H26O12 | 529.1356 | 529.1353 (90.3), 367.1035 (25.3), 353.0880 (61.2), 335.0771 (1.1), 193.0488 (5.0), 191.0553 (61.2), 173.0446 (100), 161.0233 (11.1), 135.0439 (56.6), 111.0435 (4.6), 93.0330 (31.2), 85.0279 (5.7) | 8.18 | 0.190 |
| 53. | 1(3)-caffeoyl-4-feruloylquinic acid | C26H26O12 | 529.1356 | 529.1351 (100), 367.1034 (37.0), 353.0905 (0.7), 335.0794 (1.1), 193.0503 (6.0), 191.0547 (2.4), 179.0341 (18.6), 173.0445 (46.6), 161.0234 (22.3), 135.0438 (21.8), 134.0361 (12.3), 111.0437 (8.7), 93.0330 (61.3), 85.0279 (0.8) | 8.32 | −0.037 |
| 54. | 3,4,5-tricaffeoylquinic acid | C34H30O15 | 677.1528 | 677.1517 (100), 515.1191 (41.3), 353.0881 (39.6), 335.0770 (10.2), 191.0554 (41.8), 179.0341 (63.6), 173.0446 (80.8), 161.0233 (25.3), 135.0438 (80.2), 111.0435 (5.0), 93.0330 (22.1), 85.0279 (5.8) | 8.80 | 0.704 |
| Flavonoids | ||||||
| 55. | Naringenin diC-hexoside | C27H32O15 | 595.1668 | 595.1672 (100), 475.1219 (3.2), 457.1156 (1.6), 415.1035 (10.7), 385.0933 (30.2), 355.0826 (36.0), 119.0488 (13.7), 151.0027 (1.8), 107.0183 (3.4) | 4.29 | 0.566 |
| 56. | Apigenin diC-hexoside | C27H29O15 | 593.1512 | 593.1516 (100), 503.1123 (4.2), 473.1091 (14.3), 413.0897 (2.8), 383.0772 (19.2), 353.0668 (34.1), 325.0730 (2.5), 297.0770 (9.6), 283.0616 (0.9), 161.0234 (1.3), | 4.80 | 0.703 |
| 57. | Eriodyctiol methyl ether O-hexuronide | C22H22O13 | 493.0988 | 493.0991 (51.4), 317.0668 (100), 299.0567 (2.2), 289.0721 (6.7), 274.0481 (1.1), 258.0525 (2.1), 175.0240 (10.8), 125.0231 (0.6), 107.0120 (0.8), 151.0026 (5.3) | 5.04 | 0.722 |
| 58. | Scutelarein O-hexoside | C21H20O11 | 463.0933 | 463.0886 (100), 301.0355 (72.5), 300.0276 (26.6), 283.0259 (0.5), 255.0291 (1.6), 243.0294 (1.3), 227.0344 (2.1), 201.0184 (2.2), 139.0023 (1.3), 136.9868 (6.4) | 5.69 | 0.779 |
| 59. | Eryodictiol O-hexoside | C21H22O11 | 449.1089 | 449.1091 (100), 287.0565 (57.2), 175.0238 (13.3), 161.0232 (3.1), 151.0025 (95.2), 135.0439 (64.8), 125.0230 (6.9), 107.0123 (16.4) | 6.03 | 0.435 |
| 60. | Rutin | C27H30O16 | 609.1461 | 609.1462 (100), 301.0349 (36.8), 300.0276 (67.1), 271.0250 (31.8), 255.0297 (14.1), 243.0296 (5.7), 178.9980 (2.8), 161.0236 (2.6), 151.0027 (7.0), 135.0082 (0.5), 121.0278 (1.1), 107.0123 (2.3) | 6.08 | 0.118 |
| 61. | Quercetin O-hexuronide | C21H18O13 | 477.0669 | 477.0674 (46.9), 373.0573 (0.7), 343.0472 (1.3), 301.0355 (100), 255.0297 (1.3), 227.0343 (1.3), 211.0399 (0.5), 178.9981 (3.1), 163.0026 (0.5), 151.0024 (11.8), 121.0283 (3.3), 107.0124 (3.7) | 6.15 | −0.050 |
| 62. | Luteolin 7-O-rutinoside | C27H30O15 | 593.1507 | 593.1577 (100), 285.0406 (98.0), 256.0394 (0.6), 241.0500 (0.7), 217.0495 (0.9), 175.0384 (0.9), 151.0020 (3.9), 133.0281 (5.0) | 6.16 | 0.905 |
| 63. | Isoquercitrin/hyperoside | C21H20O12 | 463.0885 | 463.0887 (100), 301.0348 (44.3), 300.0275 (71.3), 271.0247 (37.4), 255.0296 (16.5), 243.0296 (8.6), 227.0340 (2.8), 178.9973 (2.6), 163.0024 (2.2), 151.0023 (6.0), 121.0275 (1.5), 107.0121 (1.8) | 6.20 | 1.038 |
| 64. | Luteolin O-hexuronide1 | C21H18O12 | 461.0736 | 461.0726 (55.3), 357.0613 (0.5), 327.0516 (0.8), 285.0405 (100), 243.0287 (0.6), 175.0382 (2.8), 151.0025 (4.1), 149.0390 (2.2), 133.0025 (7.9), 107.0119 (2.4) | 6.33 | 0.175 |
| 65. | Luteolin 7-O-glucoside * | C21H20O11 | 447.0934 | 447.0934 (100), 327.0517 (1.7), 285.0406 (75.8), 256.0380 (2.3), 227.0342 (1.5), 211.0393 (0.5), 199.0391 (1.1), 175.0394 (0.5), 151.0025 (2.8), 133.0280 (3.0), 107.0121 (1.8) | 6.40 | 0.348 |
| 66. | Patuletin O-hexoside | C22H22O13 | 493.0987 | 493.0977 (100), 331.0461 (78.6), 316.0224 (11.2), 287.0196 (2.5), 271.0254 (1.7), 259.0251 (0.7), 243.0302 (1.1), 227.0370 (0.4), 215.0343 (0.3), 178.9980 (1.3), 165.9898 (9.6), 139.0024 (7.0), 136.9873 (1.0), 109.9995 (4.5) | 6.51 | −2.239 |
| 67. | Nepetin O-hexoside | C22H22O12 | 447.1038 | 477.1040 (100), 315.0508 (59.9), 314.0433 (25.4), 300.0273 (11.9), 299.1200 (19.0), 271.0247 (18.4), 255.0302 (0.9), 243.0299 (1.8), 199.0396 (5.5), 151.0023 (0.6), 136.9865 (3.4), 133.0278 (0.6) | 6.60 | 0.316 |
| 68. | Isoquercitrin/hyperoside | C21H20O12 | 463.0885 | 463.0882 (94.5), 301.0358 (100), 271.0256 (2.0), 243.0292 (0.6), 151.0025 (18.1), 107.0124 (9.4) | 6.65 | 0.002 |
| 69. | Kaempferol-methyl ether O-hexuronide/Nepetin O-hexuronide | C22H20O13 | 491.0832 | 491.0833 (100), 315.0513 (94.5), 300.0278 (40.1), 271.0249 (47.7), 255.0298 (5.3), 243.029 (1.6), 227.0350 (2.3), 175.024 (2.7), 163.0027 (2.7) | 6.68 | 0.461 |
| 70. | Naringenin O-hexuronide | C21H20O11 | 447.0932 | 447.0934 (69.3), 271.0615 (100), 175.0239 (53.0), 151.0025 (44.6), 119.0489 (35.6), 107.0124 (17.7) | 6.98 | 0.213 |
| 71. | Luteolin O-acetylhexoside | C22H20O12 | 489.1038 | 489.1024 (100), 429.0822 (7.3), 285.0405 (72.9), 267.0288 (0.6), 256.0361 (2.8), 227.0344 (2.7), 211.0397 (2.8), 151.0020 (2.5), 133.0282 (4.8), 107.0121 (0.7) | 7.06 | −2.983 |
| 72. | Luteolin O-hexuronide2 | C21H18O12 | 461.0736 | 461.0726 (25.0), 285.0405 (100), 243.0287 (0.4), 217.0502 (1.1), 199.0393 (2.3), 175.0387 (1.5), 151.0024 (5.6), 133.0281 (13.7), 107.0125 (3.0) | 7.08 | 0.175 |
| 73. | Isorhamnetin 3-O-glucoside * | C22H22O12 | 477.1038 | 477.1040 (100), 357.0620 (0.7), 315.0498 (8.8), 314.0435 (47.7), 299.0199 (4.3), 271.0251 (18.9), 257.0450 (5.3), 243.0296 (20.7), 227.0347 (3.0), 199.0392 (3.3), 178.9973 (0.5), 151.0023 (2.8) | 7.08 | 0.379 |
| 74. | Apigenin 7-O-glucoside * | C21H20O10 | 431.0984 | 431.0983 (100), 311.0562 (0.6), 269.0451 (27.3), 268.0378 (54.7), 211.0399 (2.1), 151.0025 (2.9), 117.0330 (1.8), 107.0121 (1.5) | 7.09 | −0.162 |
| 75. | Apigenin O-hexuronide | C21H18O11 | 445.0787 | 445.0775 (29.9), 269.0457 (100), 225.0551 (0.7), 175.0239 (17.6), 151.0020 (2.4), 117.0330 (1.9), 107.0122 (3.5) | 7.11 | 0.885 |
| 76. | Nepetin O-hexuronide | C22H20O13 | 491.0832 | 491.0833 52.6), 315.0514 (100), 300.0277 (24.4), 271.0243 (2.7), 255.0303 (1.6), 227.0344 (1.4), 175.0240 (11.3), 151.0025 (11.1), 148.0153 (2.2), 107.0124 (6.6) | 7.26 | 1.516 |
| 77. | Hispidulin O-hexuronide | C22H20O12 | 475.0882 | 475.0881 (84.9), 299.0562 (100), 284.0317 (61.2), 256.0376 (60.7), 227.0326 (1.5), 175.0238 (15.5), 151.0025 (2.8), 107.0122 (1.1) | 7.34 | −0.209 |
| 78. | Isorhamnetin O-hexuronide | C22H20O13 | 491.0832 | 491.0836 (60.2), 315.0513 (100), 300.0277 (54.9), 271.0261 (2.4), 255.0312 (2.2), 243.0298 (0.7), 227.0349 (2.3), 175.0239 (20.1), 151.0025 (10.9), 107.0124 (6.7) | 7.39 | 0.970 |
| 79. | Hesperetin O-hexuronide | C22H22O12 | 477.1038 | 477.1039 (94.6), 301.0720 (100), 286.0490 (6.2), 175.0238 (32.9), 151.0026 (14.1), 107.0125 (7.7) | 7.45 | 0.106 |
| 80. | Chrysoeriol O-hexuronide | C23H22O12 | 475.0882 | 475.0878 (100), 299.0563 (90.4), 284.0327 (91.1), 256.0372 (6.1), 217.1775 (3.7), 175.0240 (28.2), 151.0024 (3.9), 117.0177 (3.7) | 7.55 | −0.840 |
| 81. | Chrysoeriol O-hexoside | C22H22O11 | 461.1089 | 461.1119 (16.6), 299.0561 (100), 284.0328 (55.0), 256.0377 (2.4), 227.0339 (0.4), 151.0026 (1.3), 133.0270 (0.9) | 7.73 | 6.518 |
| 82. | Jaceosidin/cirsiliol O-hexuronide | C23H22O13 | 505.0988 | 505.0990 (100), 329.0668 (76.03), 314.0435 (28.4), 299.0199 (53.4), 271.0251 (40.2), 243.0300 (0.79), 227.0341 (2.76), 199.0389 (1.48), 175.0237 (26.8), 113.0230 (48.49), 85.0279 (29.51) | 7.89 | 0.408 |
| 83. | Luteolin O-caffeoylhexoside | C30H26O14 | 609.1250 | 609.1254 (88.3), 447.0908 (2.9), 285.0406 (100), 257.0470 (0.4), 221.0442 (1.6), 199.0388 (2.4), 179.0342 (3.0), 161.0233 (14.0), 151.0024 (4.3), 135.0440 (4.8), 133.0282 (14.6), 121.0274 (0.8) | 7.98 | 0.741 |
| 84. | Luteolin * | C15H9O7 | 285.0406 | 285.0404 (100), 243.0303 (0.44), 217.0502 (1.29), 199.0390 (2.72), 175.0388 (4.56), 151.0024 (6.36), 133.0282 (35.4), 107.0124 (5.81) | 8.84 | −0.215 |
| 85. | Quercetin * | C15H10O7 | 301.0354 | 301.0355 (100), 273.0400 (2.09), 255.0313 (0.45), 229.0500 (1.07), 178.9976 (19.44), 161.0232 (0.95), 151.0875 (37.74), 121.0281 (10.21), 107.0124 (11.2) | 8.90 | 0.279 |
| 86. | Nepetin | C16H12O7 | 315.0510 | 315.0512 (78.38), 300.0276 (100), 271.0236 (0.69), 243.0297 (1.46), 227.0343 (2.07), 165.9900 (1.37), 136.9867 (10.76), 139.0023 (0.48), 133.0280 (2.28) | 9.11 | 0.553 |
| 87. | 6-methoxykaempferol | C16H12O7 | 315.0510 | 315.0513 (75.4), 300.0276 (100), 271.0249 (37.1), 255.0298 (15.46), 243.0297 (10.4), 227.0346 (1.94), 199.0396 (1.38), 148.0152 (2.46) | 9.36 | 0.775 |
| 88. | Axillarin (quercetagetin 3,6-dimethylether) | C17H14O8 | 345.0616 | 345.0616 (100), 330.0382 (90.9), 315.0148 (50.7), 287.0197 (8.2), 271.0249 (1.1), 259.0248 (1.0), 241.0155 (0.8), 231.0295 (4.7), 215.0344 (2.7), 165.9898 (2.5), 149.0236 (5.5), 121.0279 | 9.50 | −0.031 |
| 89. | Naringenin | C15H12O5 | 271.0612 | 271.0614 (100), 227.0707 (0.85), 177.0184 (10.66), 151.0025 (68.65), 145.0283 (1.54), 119.0488 (55.08), 107.0124 (15.02) | 9.80 | 0.639 |
| 90. | Apigenin * | C15H10O5 | 269.0457 | 269.0457 (100), 225.0553 (1.82), 201.0551 (0.74), 151.0025 (4.63), 117.0331 (13.56), 107.0124 (3.38) | 10.15 | 0.384 |
| 91. | Kaempferol * | C15H10O6 | 285.0405 | In (+) ESI-MS/MS:287.0545 (100), 269.0439 (0.5), 258.0513 (1.2), 241.0486 (0.7), 231.0652 (0.3), 213.0542 (1.9), 185.0590 (0.8), 165.0179 (1.8), 153.0181 (7.9), 121.0285 (4.3) | 10.29 | −1.897 |
| 92. | Isorhamnetin * | C16H12O7 | 315.0510 | 315.0514 (100), 300.0277 (96.57), 271.0239 (3.65), 255.0295 (2.75), 243.0301 (0.82), 227.0340 (1.34), 199.0397 (0.4), 163.0023 (3.83), 151.0026 (9.54), 107.0124 (9.34) | 10.62 | 1.187 |
| 93. | Cirsiliol | C17H14O7 | 329.0677 | 329.0668 (93.5), 314.0436 (100), 299.0197 (22.5), 271.0249 (32.1), 255.0285 (0.6), 243.0295 (4.9), 227.0342 (3.0), 215.0342 (2.3), 199.0394 (8.0), 163.0032 (1.1), 136.9857 (10.7), 133.0292 (4.2) | 10.72 | 0.468 |
| 94. | Jaceosidin * | C17H14O7 | 329.0667 | 329.0668 (100), 314.0435 (46.5), 299.0197 (72.1), 271.0249 (48.4), 255.0296 (0.3), 243.0297 (7.6), 227.0341(4.2), 215.0343 (3.0), 199.0393 (5.4), 175.0387 (1.3), 151.0020 (1.3), 133.0280 (0.6) | 11.00 | 0.377 |
| 95. | Quercetagetin-3,6,3′(4′)-trimethyl ether | C18H16O8 | 359.0772 | 359.0775 (100), 344.0538 (72.7), 329.0305 (46.1), 314.0063 (2.5), 301.0353 (13.00), 286.0119 (21.8), 258.0171 (14.7), 230.0219 (8.0), 214.0255 (2.1), 202.0265 (9.0), 178.9973 (0.8), 165.9896 (1.8), 163.0387 (0.8) | 11.20 | 0.750 |
| 96. | Apigenin dimethyl ether | C17H14O6 | 313.0718 | 313.0720 (100), 298.0482 (40.9),283.0249 (15.7), 269.0458 (13.5), 255.0299 (33.9), 225.0553 (0.3), 151.0022 (0.4), 117.0329 (0.5), 107.0123 (0.4) | 12.00 | 0.762 |
| 97. | Eupatilin | C18H16O7 | 343.0812 | 343.0822 (100), 328.0590 (76.6), 313.0356 (49.9), 298.0122 (19.2), 285.0409 (2.3), 270.0169 (14.1), 242.0214 (4.7), 214.0267 (3.3), 198.0312 (2.5), 163.0027 (5.5), 147.0439 (4.4), 132.0200 (5.5) | 12.30 | −0.134 |
| 98. | Casticin | C19H18O8 | 373.0929 | 373.0928 (100), 358.0697 (44.6), 343.0459 (35.1), 328.0218 (4.2), 315.0318 (12.6), 300.0284 (18.9), 285.0041 (24.9), 269.0068 (1.1), 257.0084 (8.2), 241.0143 (1.96), 213.0187 (3.5), 229.0124 (1.56), 201.0177 (1.5) | 12.86 | −0.163 |
| 99. | Galangin methyl ether | C16H12O5 | 283.0612 | 283.0612 (100), 268.0378 (67.7), 240.0427 (4.5), 239.0345 (4.5), 171.0440 (1.42), 151.0026 (3.35), 107.0121 (3.08) | 13.03 | 0.188 |
References
- Rolnik, A.; Olas, B. The Plants of the Asteraceae Family as Agents in the Protection of Human Health. Int. J. Mol. Sci. 2021, 22, 3009. [Google Scholar] [CrossRef] [PubMed]
- Sonboli, A.; Stroka, K.; Kazempour Osaloo, S.; Oberprieler, C. Molecular Phylogeny and Taxonomy of Tanacetum L. (Compositae, Anthemideae) Inferred from nrDNA ITS and cpDNA trnH–psbA Sequence Variation. Plant Syst. Evol. 2012, 298, 431–444. [Google Scholar] [CrossRef]
- Devrnja, N.; Anđelković, B.; Aranđelović, S.; Radulović, S.; Soković, M.; Krstić-Milošević, D.; Ristić, M.; Ćalić, D. Comparative Studies on the Antimicrobial and Cytotoxic Activities of Tanacetum vulgare L. Essential Oil and Methanol Extracts. S. Afr. J. Bot. 2017, 111, 212–221. [Google Scholar] [CrossRef]
- Khatib, S.; Sobeh, M.; Faraloni, C.; Bouissane, L. Tanacetum Species: Bridging Empirical Knowledge, Phytochemistry, Nutritional Value, Health Benefits and Clinical Evidence. Front. Pharmacol. 2023, 14, 1169629. [Google Scholar] [CrossRef]
- Giuliani, C.; Bottoni, M.; Milani, F.; Spada, A.; Falsini, S.; Papini, A.; Santagostini, L.; Fico, G. An Integrative Approach to Selected Species of Tanacetum L. (Asteraceae): Insights into Morphology and Phytochemistry. Plants 2024, 13, 155. [Google Scholar] [CrossRef]
- Lim, T.K. Tanacetum vulgare. In Edible Medicinal and Non-Medicinal Plants; Springer: Dordrecht, The Netherlands, 2014; pp. 501–515. ISBN 978-94-007-7394-3. [Google Scholar]
- Davis, K.; Guimarães, D.D.O.; Davis, T.; Bastos Do, C.A. Ethnobotanical Study of Anti-Malarials among Communities in the Municipal of Portel-PA, Brazil. Rev. Fitos 2021, 15, 166–177. [Google Scholar] [CrossRef]
- Tribess, B.; Pintarelli, G.M.; Bini, L.A.; Camargo, A.; Funez, L.A.; De Gasper, A.L.; Zeni, A.L.B. Ethnobotanical Study of Plants Used for Therapeutic Purposes in the Atlantic Forest Region, Southern Brazil. J. Ethnopharmacol. 2015, 164, 136–146. [Google Scholar] [CrossRef]
- Elshafie, H.S.; Camele, I.; Mohamed, A.A. A Comprehensive Review on the Biological, Agricultural and Pharmaceutical Properties of Secondary Metabolites Based-Plant Origin. Int. J. Mol. Sci. 2023, 24, 3266. [Google Scholar] [CrossRef]
- Thirumurugan, D.; Cholarajan, A.; Raja, S.S.S.; Vijayakumar, R. An Introductory Chapter: Secondary Metabolites. In Secondary Metabolites—Sources and Applications; Vijayakumar, R., Raja, S.S.S., Eds.; InTech: Shinjuku City, Tokyo, 2018; ISBN 978-1-78923-642-2. [Google Scholar]
- Xie, G.; Schepetkin, I.A.; Quinn, M.T. Immunomodulatory Activity of Acidic Polysaccharides Isolated from Tanacetum vulgare L. Int. Immunopharmacol. 2007, 7, 1639–1650. [Google Scholar] [CrossRef]
- Vislobokov, A.I.; Prosheva, V.I.; Polle, A.Y. Activating Effect of Tanacetum vulgare L. Pectin Polysaccharide on Ionic Channels of Neuronal Membrane. Bull. Exp. Biol. Med. 2004, 138, 390–392. [Google Scholar] [CrossRef]
- Paderin, N.M.; Vityazev, F.V.; Saveliev, N.Y.; Markov, P.A.; Mikhaylov, V.I.; Patova, O.A.; Popov, S.V. Effect of Pectin of Tansy, Tanacetum vulgare L., on Feeding Behaviour and Food Intake in Mice. J. Funct. Foods 2018, 47, 66–71. [Google Scholar] [CrossRef]
- Nurzyńska-Wierdak, R.; Sałata, A.; Kniaziewicz, M. Tansy (Tanacetum vulgare L.)—A Wild-Growing Aromatic Medicinal Plant with a Variable Essential Oil Composition. Agronomy 2022, 12, 277. [Google Scholar] [CrossRef]
- Keskitalo, M.; Pehu, E.; Simon, J.E. Variation in Volatile Compounds from Tansy (Tanacetum vulgare L.) Related to Genetic and Morphological Differences of Genotypes. Biochem. Syst. Ecol. 2001, 29, 267–285. [Google Scholar] [CrossRef]
- Dussarrat, T.; Schweiger, R.; Ziaja, D.; Nguyen, T.T.N.; Krause, L.; Jakobs, R.; Eilers, E.J.; Müller, C. Influences of Chemotype and Parental Genotype on Metabolic Fingerprints of Tansy Plants Uncovered by Predictive Metabolomics. Sci. Rep. 2023, 13, 11645. [Google Scholar] [CrossRef] [PubMed]
- Rohloff, J.; Mordal, R.; Dragland, S. Chemotypical Variation of Tansy (Tanacetum vulgare L.) from 40 Different Locations in Norway. J. Agric. Food Chem. 2004, 52, 1742–1748. [Google Scholar] [CrossRef]
- Mockute, D.; Judzentiene, A. Composition of the Essential Oils of Tanacetum vulgare L. Growing Wild in Vilnius District (Lithuania). J. Essent. Oil Res. 2004, 16, 550–553. [Google Scholar] [CrossRef]
- Mockute, D.; Judzentiene, A. The Myrtenol Chemotype of Essential Oil of Tanacetum vulgare L. Var. Vulgare (Tansy) Growing Wild in the Vilnius Region. Chemija 2003, 14, 103–107. [Google Scholar]
- Holopainen, M.; Hiltunen, R.; Von Schantz, M. A Study on Tansy Chemotypes. Planta Med. 1987, 53, 284–287. [Google Scholar] [CrossRef]
- Pitocco, D.; Zaccardi, F.; Di Stasio, E.; Romitelli, F.; Santini, S.A.; Zuppi, C.; Ghirlanda, G. Oxidative Stress, Nitric Oxide, and Diabetes. Rev. Diabet. Stud. 2010, 7, 15–25. [Google Scholar] [CrossRef]
- Bourgognon, J.-M.; Spiers, J.G.; Robinson, S.W.; Scheiblich, H.; Glynn, P.; Ortori, C.; Bradley, S.J.; Tobin, A.B.; Steinert, J.R. Inhibition of Neuroinflammatory Nitric Oxide Signaling Suppresses Glycation and Prevents Neuronal Dysfunction in Mouse Prion Disease. Proc. Natl. Acad. Sci. USA 2021, 118, e2009579118. [Google Scholar] [CrossRef]
- Liy, P.M.; Puzi, N.N.A.; Jose, S.; Vidyadaran, S. Nitric Oxide Modulation in Neuroinflammation and the Role of Mesenchymal Stem Cells. Exp. Biol. Med. 2021, 246, 2399–2406. [Google Scholar] [CrossRef]
- Coté, H.; Boucher, M.-A.; Pichette, A.; Legault, J. Anti-Inflammatory, Antioxidant, Antibiotic, and Cytotoxic Activities of Tanacetum vulgare L. Essential Oil and Its Constituents. Medicines 2017, 4, 34. [Google Scholar] [CrossRef] [PubMed]
- Roman, H.; Niculescu, A.-G.; Lazăr, V.; Mitache, M.M. Antibacterial Efficiency of Tanacetum vulgare Essential Oil against ESKAPE Pathogens and Synergisms with Antibiotics. Antibiotics 2023, 12, 1635. [Google Scholar] [CrossRef] [PubMed]
- Kļaviņa, A.; Keidāne, D.; Ganola, K.; Lūsis, I.; Šukele, R.; Bandere, D.; Kovalcuka, L. Anthelmintic Activity of Tanacetum vulgare L. (Leaf and Flower) Extracts against Trichostrongylidae Nematodes in Sheep In Vitro. Animals 2023, 13, 2176. [Google Scholar] [CrossRef]
- Todorova, M.N.; Evstatieva, L.N. Comparative Study of Tanacetum Species Growing in Bulgaria. Z. Für Naturforschung C 2001, 56, 506–512. [Google Scholar] [CrossRef]
- Rosselli, S.; Bruno, M.; Raimondo, F.M.; Spadaro, V.; Varol, M.; Koparal, A.T.; Maggio, A. Cytotoxic Effect of Eudesmanolides Isolated from Flowers of Tanacetum vulgare ssp. siculum. Molecules 2012, 17, 8186–8195. [Google Scholar] [CrossRef]
- Onozato, T.; Nakamura, C.V.; Cortez, D.A.G.; Filho, B.P.D.; Ueda-Nakamura, T. Tanacetum vulgare: Antiherpes Virus Activity of Crude Extract and the Purified Compound Parthenolide. Phytother. Res. 2009, 23, 791–796. [Google Scholar] [CrossRef] [PubMed]
- Schinella, G.R.; Giner, R.-M.; Recio, M.D.C.; De Buschiazzo, P.M.; Ríos, J.; Máñez, S. Anti-Inflammatory Effects of South American Tanacetum vulgare. J. Pharm. Pharmacol. 2011, 50, 1069–1074. [Google Scholar] [CrossRef]
- Puvača, N. Tanacetum vulgare L.—A Systematic Review. J. Agron. Technol. Eng. Manag. 2020, 3, 416–422. [Google Scholar]
- Ivănescu, B.; Tuchilu, C.; Corciov, A.; Lungu, C.; Mihai, C.T.; Gheldiu, A.-M.; Vlase, L. Antioxidant, Antimicrobial and Cytotoxic Activity of Tanacetum vulgare, Tanacetum Corymbosum and Tanacetum macrophyllum Extracts. Farmacia 2018, 66, 282–288. [Google Scholar]
- Vasileva, A.M.; Iliev, I.A.; Lozanov, V.S.; Dimitrova, M.B.; Mitev, V.I.; Ivanov, I.P. In Vitro Study on the Antitumor Activity of Tanacetum vulgare L. Extracts. Bulg. Chem. Commun. 2019, 51, 249–255. [Google Scholar] [CrossRef]
- Babich, O.; Larina, V.; Krol, O.; Ulrikh, E.; Sukhikh, S.; Gureev, M.A.; Prosekov, A.; Ivanova, S. In Vitro Study of Biological Activity of Tanacetum vulgare Extracts. Pharmaceutics 2023, 15, 616. [Google Scholar] [CrossRef]
- Šukele, R.; Lauberte, L.; Kovalcuka, L.; Logviss, K.; Bārzdiņa, A.; Brangule, A.; Horváth, Z.M.; Bandere, D. Chemical Profiling and Antioxidant Activity of Tanacetum vulgare L. Wild-Growing in Latvia. Plants 2023, 12, 1968. [Google Scholar] [CrossRef]
- Mot, C.A.; Lupitu, A.I.; Bungau, S.; Iovan, C.; Copolovici, D.M.; Purza, L.; Melinte (Frunzulica), C.E.; Copolovici, L. Composition and Antioxidant Activity of Aqueous Extracts Obtained from Herb of Tansy (Tanacetum vulgare L.). Rev. Chim. 2018, 69, 1041–1044. [Google Scholar] [CrossRef]
- Juan-Badaturuge, M.; Habtemariam, S.; Jackson, C.; Thomas, M.J. Antioxidant Principles of Tanacetum vulgare L. Aerial Parts. Nat. Prod. Commun. 2009, 4, 1934578X0900401. [Google Scholar] [CrossRef]
- Michalak, M. Plant-Derived Antioxidants: Significance in Skin Health and the Ageing Process. Int. J. Mol. Sci. 2022, 23, 585. [Google Scholar] [CrossRef]
- Akbari, B.; Baghaei-Yazdi, N.; Bahmaie, M.; Mahdavi Abhari, F. The Role of Plant-derived Natural Antioxidants in Reduction of Oxidative Stress. BioFactors 2022, 48, 611–633. [Google Scholar] [CrossRef]
- Caruso, G.; Godos, J.; Privitera, A.; Lanza, G.; Castellano, S.; Chillemi, A.; Bruni, O.; Ferri, R.; Caraci, F.; Grosso, G. Phenolic Acids and Prevention of Cognitive Decline: Polyphenols with a Neuroprotective Role in Cognitive Disorders and Alzheimer’s Disease. Nutrients 2022, 14, 819. [Google Scholar] [CrossRef]
- Narayana, D.B.A.; Joshi, H.; Tiwari, V.H.S. Overview of Approaches in Ayurveda for Neurological Health and Disorders. In Ayurvedic Herbal Preparations in Neurological Disorders; Elsevier: Amsterdam, The Netherlands, 2023; pp. 41–88. ISBN 978-0-443-19084-1. [Google Scholar]
- Teleanu, D.M.; Niculescu, A.-G.; Lungu, I.I.; Radu, C.I.; Vladâcenco, O.; Roza, E.; Costăchescu, B.; Grumezescu, A.M.; Teleanu, R.I. An Overview of Oxidative Stress, Neuroinflammation, and Neurodegenerative Diseases. Int. J. Mol. Sci. 2022, 23, 5938. [Google Scholar] [CrossRef]
- Brahmachari, G. Discovery and Development of Neuroprotective Agents from Natural Products; Elsevier: Amsterdam, The Netherlands, 2017; ISBN 978-0-12-809769-4. [Google Scholar]
- Wang, W.; Li, Y.; Ma, F.; Sheng, X.; Chen, K.; Zhuo, R.; Wang, C.; Zheng, H.; Zhang, Y.; Bu, G.; et al. Microglial Repopulation Reverses Cognitive and Synaptic Deficits in an Alzheimer’s Disease Model by Restoring BDNF Signaling. Brain. Behav. Immun. 2023, 113, 275–288. [Google Scholar] [CrossRef]
- Walsh, E.I.; Smith, L.; Northey, J.; Rattray, B.; Cherbuin, N. Towards an Understanding of the Physical Activity-BDNF-Cognition Triumvirate: A Review of Associations and Dosage. Ageing Res. Rev. 2020, 60, 101044. [Google Scholar] [CrossRef] [PubMed]
- Alkurd, R.; Mahrous, L.; Zeb, F.; Khan, M.A.; Alhaj, H.; Khraiwesh, H.M.; Faris, M.E. Effect of Calorie Restriction and Intermittent Fasting Regimens on Brain-Derived Neurotrophic Factor Levels and Cognitive Function in Humans: A Systematic Review. Medicina 2024, 60, 191. [Google Scholar] [CrossRef] [PubMed]
- Uchikov, P.; Khalid, U.; Dedaj-Salad, G.H.; Ghale, D.; Rajadurai, H.; Kraeva, M.; Kraev, K.; Hristov, B.; Doykov, M.; Mitova, V.; et al. Artificial Intelligence in Breast Cancer Diagnosis and Treatment: Advances in Imaging, Pathology, and Personalized Care. Life 2024, 14, 1451. [Google Scholar] [CrossRef] [PubMed]
- Cui, X.; Lin, Q.; Liang, Y. Plant-Derived Antioxidants Protect the Nervous System From Aging by Inhibiting Oxidative Stress. Front. Aging Neurosci. 2020, 12, 209. [Google Scholar] [CrossRef] [PubMed]
- Halder, S.; Anand, U.; Nandy, S.; Oleksak, P.; Qusti, S.; Alshammari, E.M.; El-Saber Batiha, G.; Koshy, E.P.; Dey, A. Herbal Drugs and Natural Bioactive Products as Potential Therapeutics: A Review on pro-Cognitives and Brain Boosters Perspectives. Saudi Pharm. J. 2021, 29, 879–907. [Google Scholar] [CrossRef]
- Boutoub, O.; Ghadraoui, L.E.; Miguel, M.G. Biological Properties of Latex, Aqueous Extracts and Bee Products of Euphorbia officinarum L.: A Short Review. Molecules 2022, 27, 7200. [Google Scholar] [CrossRef]
- Malík, M.; Tlustoš, P. Nootropic Herbs, Shrubs, and Trees as Potential Cognitive Enhancers. Plants 2023, 12, 1364. [Google Scholar] [CrossRef]
- Lahlou, S.; Tangi, K.C.; Lyoussi, B.; Morel, N. Vascular Effects of Tanacetum vulgare L. Leaf Extract: In Vitro Pharmacological Study. J. Ethnopharmacol. 2008, 120, 98–102. [Google Scholar] [CrossRef]
- Lahlou, S.; Tahraoui, A.; Israili, Z.; Lyoussi, B. Diuretic Activity of the Aqueous Extracts of Carum Carvi and Tanacetum vulgare in Normal Rats. J. Ethnopharmacol. 2007, 110, 458–463. [Google Scholar] [CrossRef]
- Tournier, H.; Schinella, G.; De Balsa, E.M.; Buschiazzo, H.; Mañez, S.; De Buschiazzo, P.M. Effect of the Chloroform Extract of Tanacetum vulgare and One of Its Active Principles, Parthenolide, on Experimental Gastric Ulcer in Rats. J. Pharm. Pharmacol. 2010, 51, 215–219. [Google Scholar] [CrossRef]
- Mishchenko, O.Y.; Kalko, K.O.; Zolotaikina, M.Y.; Gontova, T.M.; Mashtaler, V.V.; Yurchenko, C.Y.; Derymedvid, L.V.; Pozdniakova, A.Y. Hepatoprotective and Choleretic Activity of Tanacetum vulgare Flowers Extract. Thai J. Pharm. Sci. 2019, 43, 30–35. [Google Scholar] [CrossRef]
- Krasteva, G.; Berkov, S.; Pavlov, A.; Georgiev, V. Metabolite Profiling of Gardenia Jasminoides Ellis In Vitro Cultures with Different Levels of Differentiation. Molecules 2022, 27, 8906. [Google Scholar] [CrossRef] [PubMed]
- Mladenova, T.; Stoyanov, P.; Denev, P.; Dimitrova, S.; Katsarova, M.; Teneva, D.; Todorov, K.; Bivolarska, A. Phytochemical Composition, Antioxidant and Antimicrobial Activity of the Balkan Endemic Micromeria frivaldszkyana (Degen) Velen. (Lamiaceae). Plants 2021, 10, 710. [Google Scholar] [CrossRef]
- Andonova, T.; Muhovski, Y.; Slavov, I.; Vrancheva, R.; Georgiev, V.; Apostolova, E.; Naimov, S.; Mladenov, R.; Pavlov, A.; Dimitrova-Dyulgerova, I. Phenolic Profile, Antioxidant and DNA-Protective Capacity, and Microscopic Characters of Ailanthus altissima Aerial Substances. Plants 2023, 12, 920. [Google Scholar] [CrossRef] [PubMed]
- Andonova, T.; Muhovski, Y.; Apostolova, E.; Naimov, S.; Mladenova, S.; Slavov, I.; Dincheva, I.; Georgiev, V.; Pavlov, A.; Dimitrova-Dyulgerova, I. DNA-Protective, Antioxidant and Anti-Carcinogenic Potential of Meadowsweet (Filipendula Ulmaria) Dry Tincture. Antioxidants 2024, 13, 1200. [Google Scholar] [CrossRef]
- Clifford, M.N.; Knight, S.; Kuhnert, N. Discriminating between the Six Isomers of Dicaffeoylquinic Acid by LC-MSn. J. Agric. Food Chem. 2005, 53, 3821–3832. [Google Scholar] [CrossRef]
- Gevrenova, R.; Zengin, G.; Sinan, K.I.; Zheleva-Dimitrova, D.; Balabanova, V.; Kolmayer, M.; Voynikov, Y.; Joubert, O. An In-Depth Study of Metabolite Profile and Biological Potential of Tanacetum balsamita L. (Costmary). Plants 2022, 12, 22. [Google Scholar] [CrossRef]
- Gevrenova, R.; Zheleva-Dimitrova, D.; Balabanova, V.; Voynikov, Y.; Sinan, K.I.; Mahomoodally, M.F.; Zengin, G. Integrated Phytochemistry, Bio-Functional Potential and Multivariate Analysis of Tanacetum macrophyllum (Waldst. & Kit.) Sch.Bip. and Telekia speciosa (Schreb.) Baumg. (Asteraceae). Ind. Crops Prod. 2020, 155, 112817. [Google Scholar] [CrossRef]
- Gevrenova, R.; Zengin, G.; Balabanova, V.; Szakiel, A.; Zheleva-Dimitrova, D. Pelargonium Graveolens: Towards In-Depth Metabolite Profiling, Antioxidant and Enzyme-Inhibitory Potential. Plants 2024, 13, 2612. [Google Scholar] [CrossRef]
- Stepanichev, M.Y.; Kudryashova, I.V.; Yakovlev, A.A.; Onufriev, M.V.; Khaspekov, L.G.; Lyzhin, A.A.; Lazareva, N.A.; Gulyaeva, N.V. Central Administration of a Caspase Inhibitor Impairs Shuttle-Box Performance in Rats. Neuroscience 2005, 136, 579–591. [Google Scholar] [CrossRef]
- Reich, N.; Hölscher, C. Beyond Appetite: Acylated Ghrelin as a Learning, Memory and Fear Behavior-Modulating Hormone. Neurosci. Biobehav. Rev. 2022, 143, 104952. [Google Scholar] [CrossRef] [PubMed]
- Kraeuter, A.-K.; Guest, P.C.; Sarnyai, Z. The Y-Maze for Assessment of Spatial Working and Reference Memory in Mice. In Pre-Clinical Models; Guest, P.C., Ed.; Methods in Molecular Biology; Springer: New York, NY, USA, 2019; Volume 1916, pp. 105–111. ISBN 978-1-4939-8993-5. [Google Scholar]
- Sakaguchi, Y.; Sakurai, Y. Left-Right Functional Difference of the Rat Dorsal Hippocampus for Short-Term Memory and Long-Term Memory. Behav. Brain Res. 2020, 382, 112478. [Google Scholar] [CrossRef] [PubMed]
- Luo, Y.; Kuang, S.; Li, H.; Ran, D.; Yang, J. cAMP/PKA-CREB-BDNF Signaling Pathway in Hippocampus Mediates Cyclooxygenase 2-Induced Learning/Memory Deficits of Rats Subjected to Chronic Unpredictable Mild Stress. Oncotarget 2017, 8, 35558–35572. [Google Scholar] [CrossRef] [PubMed]
- Cobar, L.F.; Yuan, L.; Tashiro, A. Place Cells and Long-Term Potentiation in the Hippocampus. Neurobiol. Learn. Mem. 2017, 138, 206–214. [Google Scholar] [CrossRef]
- Ghanbari, S.; Yonessi, M.; Mohammadirad, A.; Gholami, M.; Baeeri, M.; Khorram-Khorshid, H.R.; Gharibdoost, F.; Abdollahi, M. Effects of IMODTM and AngiparsTM on Mouse D-Galactose-Induced Model of Aging. DARU J. Pharm. Sci. 2012, 20, 68. [Google Scholar] [CrossRef]
- Karcheva-Bahchevanska, D.; Benbassat, N.; Georgieva, Y.; Lechkova, B.; Ivanova, S.; Ivanov, K.; Todorova, V.; Peychev, L.; Peychev, Z.; Denev, P. A Study of the Chemical Composition, Antioxidant Potential, and Acute Toxicity of Bulgarian Tanacetum vulgare L. Essential Oil. Molecules 2023, 28, 6155. [Google Scholar] [CrossRef]
- Daneshmand, P.; Saliminejad, K.; Dehghan Shasaltaneh, M.; Kamali, K.; Riazi, G.H.; Nazari, R.; Azimzadeh, P.; Khorram Khorshid, H.R. Neuroprotective Effects of Herbal Extract (Rosa Canina, Tanacetum vulgare and Urtica dioica) on Rat Model of Sporadic Alzheimer’s Disease. Avicenna J. Med. Biotechnol. 2016, 8, 120–125. [Google Scholar]
- Vafaee, F.; Zangiabadi, N.; Pour, F.M.; Dehghanian, F.; Asadi-Shekaari, M.; Afshar, H.K. Neuroprotective Effects of the Immunomodulatory Drug Setarud on Cerebral Ischemia in Male Rats. Neural Regen. Res. 2012, 7, 2085. [Google Scholar] [PubMed]
- Boutoub, O.; El-Guendouz, S.; Matos, I.; El Ghadraoui, L.; Costa, M.C.; Carlier, J.D.; Faleiro, M.L.; Figueiredo, A.C.; Estevinho, L.M.; Miguel, M.G. Chemical Characterization and Biological Properties Assessment of Euphorbia Resinifera and Euphorbia officinarum Moroccan Propolis. Antibiotics 2024, 13, 230. [Google Scholar] [CrossRef]
- Sun, W.; Shahrajabian, M.H. Therapeutic Potential of Phenolic Compounds in Medicinal Plants—Natural Health Products for Human Health. Molecules 2023, 28, 1845. [Google Scholar] [CrossRef]
- Freitas, L.; Sousa-Dias, M.; Paula, V.B.; Dias, L.G.; Estevinho, L.M. Fermented Grapevine Leaves: Potential Preserving Agent in Yogurt. Foods 2024, 13, 2053. [Google Scholar] [CrossRef] [PubMed]
- Paula, V.B.; Sousa-Dias, M.L.; Seixas, N.L.; Combarros-Fuertes, P.; Estevinho, L.M.; Dias, L.G. Phenolic Class Analysis in Honey: Comparison of Classical and Single UV Spectrum Methodologies. Processes 2024, 12, 2297. [Google Scholar] [CrossRef]
- Godos, J.; Caraci, F.; Micek, A.; Castellano, S.; D’Amico, E.; Paladino, N.; Ferri, R.; Galvano, F.; Grosso, G. Dietary Phenolic Acids and Their Major Food Sources Are Associated with Cognitive Status in Older Italian Adults. Antioxidants 2021, 10, 700. [Google Scholar] [CrossRef]
- Melrose, J. The Potential of Flavonoids and Flavonoid Metabolites in the Treatment of Neurodegenerative Pathology in Disorders of Cognitive Decline. Antioxidants 2023, 12, 663. [Google Scholar] [CrossRef] [PubMed]
- Ramezani, M.; Meymand, A.Z.; Khodagholi, F.; Kamsorkh, H.M.; Asadi, E.; Noori, M.; Rahimian, K.; Shahrbabaki, A.S.; Talebi, A.; Parsaiyan, H.; et al. A Role for Flavonoids in the Prevention and/or Treatment of Cognitive Dysfunction, Learning, and Memory Deficits: A Review of Preclinical and Clinical Studies. Nutr. Neurosci. 2023, 26, 156–172. [Google Scholar] [CrossRef] [PubMed]
- Heitman, E.; Ingram, D.K. Cognitive and Neuroprotective Effects of Chlorogenic Acid. Nutr. Neurosci. 2017, 20, 32–39. [Google Scholar] [CrossRef]
- Kim, J.; Lee, S.; Shim, J.; Kim, H.W.; Kim, J.; Jang, Y.J.; Yang, H.; Park, J.; Choi, S.H.; Yoon, J.H.; et al. Caffeinated Coffee, Decaffeinated Coffee, and the Phenolic Phytochemical Chlorogenic Acid up-Regulate NQO1 Expression and Prevent H2O2-Induced Apoptosis in Primary Cortical Neurons. Neurochem. Int. 2012, 60, 466–474. [Google Scholar] [CrossRef]
- Cho, E.S.; Jang, Y.J.; Hwang, M.K.; Kang, N.J.; Lee, K.W.; Lee, H.J. Attenuation of Oxidative Neuronal Cell Death by Coffee Phenolic Phytochemicals. Mutat. Res. Mol. Mech. Mutagen. 2009, 661, 18–24. [Google Scholar] [CrossRef]
- Kwon, S.-H.; Lee, H.-K.; Kim, J.-A.; Hong, S.-I.; Kim, H.-C.; Jo, T.-H.; Park, Y.-I.; Lee, C.-K.; Kim, Y.-B.; Lee, S.-Y.; et al. Neuroprotective Effects of Chlorogenic Acid on Scopolamine-Induced Amnesia via Anti-Acetylcholinesterase and Anti-Oxidative Activities in Mice. Eur. J. Pharmacol. 2010, 649, 210–217. [Google Scholar] [CrossRef]
- Hermawati, E.; Arfian, N.; Mustofa, M.; Partadiredja, G. Chlorogenic Acid Ameliorates Memory Loss and Hippocampal Cell Death after Transient Global Ischemia. Eur. J. Neurosci. 2020, 51, 651–669. [Google Scholar] [CrossRef]
- Han, J.; Miyamae, Y.; Shigemori, H.; Isoda, H. Neuroprotective Effect of 3,5-Di-O-Caffeoylquinic Acid on SH-SY5Y Cells and Senescence-Accelerated-Prone Mice 8 through the up-Regulation of Phosphoglycerate Kinase-1. Neuroscience 2010, 169, 1039–1045. [Google Scholar] [CrossRef] [PubMed]
- Saitou, K.; Ochiai, R.; Kozuma, K.; Sato, H.; Koikeda, T.; Osaki, N.; Katsuragi, Y. Effect of Chlorogenic Acids on Cognitive Function: A Randomized, Double-Blind, Placebo-Controlled Trial. Nutrients 2018, 10, 1337. [Google Scholar] [CrossRef] [PubMed]
- Bezerra, J.R.; De Souza Nascimento, T.; Tavares, J.; De Aguiar, M.S.S.; Maia, M.V.V.; De Andrade, G.M. Neuroprotective Effect of Chlorogenic Acid in an Animal Model of Sporadic Alzheimer’s Disease Induced by Streptozotocin. Mol. Neurobiol. 2024, 61, 1–19. [Google Scholar] [CrossRef] [PubMed]
- Enogieru, A.B.; Haylett, W.; Hiss, D.C.; Bardien, S.; Ekpo, O.E. Rutin as a Potent Antioxidant: Implications for Neurodegenerative Disorders. Oxid. Med. Cell. Longev. 2018, 2018, 6241017. [Google Scholar] [CrossRef]
- Moghbelinejad, S.; Nassiri-Asl, M.; Naserpour Farivar, T.; Abbasi, E.; Sheikhi, M.; Taghiloo, M.; Farsad, F.; Samimi, A.; Hajiali, F. Rutin Activates the MAPK Pathway and BDNF Gene Expression on Beta-Amyloid Induced Neurotoxicity in Rats. Toxicol. Lett. 2014, 224, 108–113. [Google Scholar] [CrossRef]
- Çelik, H.; Kandemir, F.M.; Caglayan, C.; Özdemir, S.; Çomaklı, S.; Kucukler, S.; Yardım, A. Neuroprotective Effect of Rutin against Colistin-Induced Oxidative Stress, Inflammation and Apoptosis in Rat Brain Associated with the CREB/BDNF Expressions. Mol. Biol. Rep. 2020, 47, 2023–2034. [Google Scholar] [CrossRef]
- Asgharian, S.; Hojjati, M.R.; Ahrari, M.; Bijad, E.; Deris, F.; Lorigooini, Z. Ruta graveolens and Rutin, as Its Major Compound: Investigating Their Effect on Spatial Memory and Passive Avoidance Memory in Rats. Pharm. Biol. 2020, 58, 447–453. [Google Scholar] [CrossRef]
- Sun, X.; Li, L.; Dong, Q.-X.; Zhu, J.; Huang, Y.; Hou, S.; Yu, X.; Liu, R. Rutin Prevents Tau Pathology and Neuroinflammation in a Mouse Model of Alzheimer’s Disease. J. Neuroinflamm. 2021, 18, 131. [Google Scholar] [CrossRef]
- Oboh, G.; Adebayo, A.A.; Ademosun, A.O.; Olowokere, O.G. Rutin Restores Neurobehavioral Deficits via Alterations in Cadmium Bioavailability in the Brain of Rats Exposed to Cadmium. NeuroToxicology 2020, 77, 12–19. [Google Scholar] [CrossRef]
- Lahlou, S.; Israili, Z.H.; Lyoussi, B. Acute and Chronic Toxicity of a Lyophilised Aqueous Extract of Tanacetum vulgare Leaves in Rodents. J. Ethnopharmacol. 2008, 117, 221–227. [Google Scholar] [CrossRef]
- Kozhuharov, S.; Anchev, M. Flora of the Republic of Bulgaria, 11th ed.; Academic Publishing House “Prof. Marin Drinov”: Sofia, Bulgaria, 2012. [Google Scholar]
- Council of Europe. European Pharmacopoeia; Council of Europe: Strasbourg, France, 2019. [Google Scholar]
- Ak, G.; Gevrenova, R.; Sinan, K.I.; Zengin, G.; Zheleva, D.; Mahomoodally, M.F.; Senkardes, I.; Brunetti, L.; Leone, S.; Di Simone, S.C.; et al. Tanacetum vulgare L. (Tansy) as an Effective Bioresource with Promising Pharmacological Effects from Natural Arsenal. Food Chem. Toxicol. 2021, 153, 112268. [Google Scholar] [CrossRef] [PubMed]
- Miedel, C.J.; Patton, J.M.; Miedel, A.N.; Miedel, E.S.; Levenson, J.M. Assessment of Spontaneous Alternation, Novel Object Recognition and Limb Clasping in Transgenic Mouse Models of Amyloid-β and Tau Neuropathology. J. Vis. Exp. 2017, 123, e55523. [Google Scholar] [CrossRef]
- Shishmanova-Doseva, M.; Atanasova, D.; Uzunova, Y.; Yoanidu, L.; Peychev, L.; Marinov, P.; Tchekalarova, J. Effects of Lacosamide Treatment on Epileptogenesis, Neuronal Damage and Behavioral Comorbidities in a Rat Model of Temporal Lobe Epilepsy. Int. J. Mol. Sci. 2021, 22, 4667. [Google Scholar] [CrossRef] [PubMed]
- Shishmanova-Doseva, M.; Atanasova, D.; Ioanidu, L.; Uzunova, Y.; Atanasova, M.; Peychev, L.; Tchekalarova, J. The Anticonvulsant Effect of Chronic Treatment with Topiramate after Pilocarpine-Induced Status Epilepticus Is Accompanied by a Suppression of Comorbid Behavioral Impairments and Robust Neuroprotection in Limbic Regions in Rats. Epilepsy Behav. 2022, 134, 108802. [Google Scholar] [CrossRef]













| Compound | Concentration, mg/g |
|---|---|
| Chlorogenic acid | 6.886 |
| p-Coumaric acid | 0.041 |
| Ferulic acid | 3.585 |
| Salicylic acid | 7.519 |
| Rutin | 4.311 |
| Quercetin | 0.623 |
| Kaempferol | 2.265 |
Disclaimer/Publisher’s Note: The statements, opinions and data contained in all publications are solely those of the individual author(s) and contributor(s) and not of MDPI and/or the editor(s). MDPI and/or the editor(s) disclaim responsibility for any injury to people or property resulting from any ideas, methods, instructions or products referred to in the content. |
© 2024 by the authors. Licensee MDPI, Basel, Switzerland. This article is an open access article distributed under the terms and conditions of the Creative Commons Attribution (CC BY) license (https://creativecommons.org/licenses/by/4.0/).
Share and Cite
Lechkova, B.; Shishmanova-Doseva, M.; Benbassat, N.; Gevrenova, R.; Atanassova, P.; Penkova, N.; Peychev, L.; Hrischev, P.; Peychev, Z.; Ivanova, S. Evaluation of the Influence of Tanacetum vulgare Extract on Cognitive Functions and Hippocampal BDNF Expression. Molecules 2024, 29, 5723. https://doi.org/10.3390/molecules29235723
Lechkova B, Shishmanova-Doseva M, Benbassat N, Gevrenova R, Atanassova P, Penkova N, Peychev L, Hrischev P, Peychev Z, Ivanova S. Evaluation of the Influence of Tanacetum vulgare Extract on Cognitive Functions and Hippocampal BDNF Expression. Molecules. 2024; 29(23):5723. https://doi.org/10.3390/molecules29235723
Chicago/Turabian StyleLechkova, Borislava, Michaela Shishmanova-Doseva, Niko Benbassat, Reneta Gevrenova, Pepa Atanassova, Nadya Penkova, Lyudmil Peychev, Petar Hrischev, Zhivko Peychev, and Stanislava Ivanova. 2024. "Evaluation of the Influence of Tanacetum vulgare Extract on Cognitive Functions and Hippocampal BDNF Expression" Molecules 29, no. 23: 5723. https://doi.org/10.3390/molecules29235723
APA StyleLechkova, B., Shishmanova-Doseva, M., Benbassat, N., Gevrenova, R., Atanassova, P., Penkova, N., Peychev, L., Hrischev, P., Peychev, Z., & Ivanova, S. (2024). Evaluation of the Influence of Tanacetum vulgare Extract on Cognitive Functions and Hippocampal BDNF Expression. Molecules, 29(23), 5723. https://doi.org/10.3390/molecules29235723

