Selenium Nanoparticles Based on Morinda officinalis Polysaccharides: Characterization, Anti-Cancer Activities, and Immune-Enhancing Activities Evaluation In Vitro
Abstract
1. Introduction
2. Results
2.1. Characterization of Se-MOP
2.1.1. Measurement of Size and Zeta-Potential
2.1.2. UV Spectrometry Analysis
2.1.3. ATR-FTIR Spectrometry Analysis
2.1.4. Transmission Electron Microscopy (TEM) Analysis
2.2. Selenium Content Determination
2.3. Results of Inhibitory Effect on Different Types of Cancer Cells
2.3.1. Anti-Tumor Activity of Se-MOP and MOP
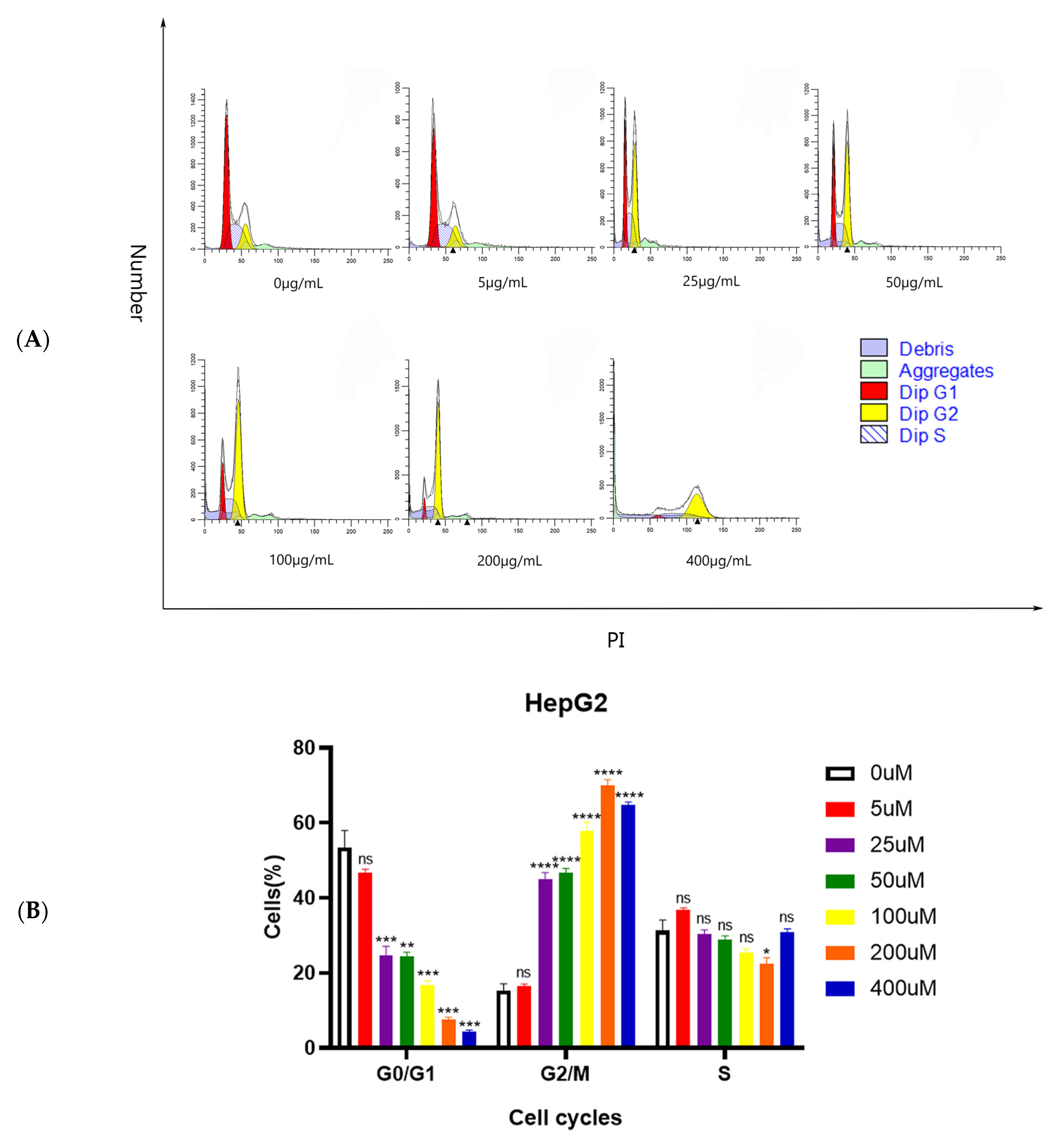
2.3.2. Cell Cycle Arrest Induced by Se-MOP
2.4. Immune Enhancing Activities Assay
2.4.1. Effects of Se-MOP and MOP on Lymphocyte Proliferation and Maximum Proliferation Rate
2.4.2. Effects of Se-MOP on Gene Expression of IL-2, IL-4, and IFN-γ in Mouse Spleen Lymphocytes
3. Discussion
4. Materials and Methods
4.1. Materials and Reagents
4.2. Apparatus
4.3. Preparation of Se-MOP
4.4. Characterization of Se-MOP
4.4.1. Measurement of Particle Size and Zeta Potential
4.4.2. UV Spectrometry Analysis
4.4.3. ATR-FTIR Spectrometry Analysis
4.4.4. TEM Analysis
4.5. Selenium Content Determination
4.5.1. Standard Curve Plotting
4.5.2. Se-MOP Digestion and Determination
4.6. Inhibitory Effect on Different Types of Cancer Cells
4.6.1. Cancer Cell Culture
4.6.2. Cell Proliferation
4.6.3. Cell Cycle Assays
4.7. Immune Enhancing Activities Assay
4.7.1. Determination of Proliferation of Mouse Spleen Lymphocytes In Vitro
4.7.2. Determination of Cytokines of Mouse Spleen lymphocytes In Vitro and Quantitative RT-PCR
5. Conclusions
Supplementary Materials
Author Contributions
Funding
Institutional Review Board Statement
Informed Consent Statement
Data Availability Statement
Acknowledgments
Conflicts of Interest
Sample Availability
References
- Rayman, M.P. Selenium and human health. Lancet 2012, 379, 1256–1268. [Google Scholar] [CrossRef] [PubMed]
- Kieliszek, M. Selenium-Fascinating Microelement, Properties and Sources in Food. Molecules 2019, 24, 1298. [Google Scholar] [CrossRef] [PubMed]
- Jin, W.; Yoon, C.; Johnston, T.V.; Ku, S.; Ji, G.E. Production of Selenomethionine-Enriched Bifidobacterium bifidum BGN4 via Sodium Selenite Biocatalysis. Molecules 2018, 23, 2860. [Google Scholar] [CrossRef] [PubMed]
- Rayman, M.P. Selenium intake, status, and health: A complex relationship. Hormones 2020, 19, 9–14. [Google Scholar] [CrossRef]
- Dinh, Q.T.; Cui, Z.W.; Huang, J.; Tran, T.; Wang, D.; Yang, W.X.; Zhou, F.; Wang, M.K.; Yu, D.S.; Liang, D.L. Selenium distribution in the Chinese environment and its relationship with human health: A review. Environ. Int. 2018, 112, 294–309. [Google Scholar] [CrossRef]
- Alim, I.; Caulfield, J.T.; Chen, Y.X.; Swarup, V.; Geschwind, D.H.; Ivanova, E.; Seravalli, J.; Ai, Y.X.; Sensing, L.H.; Ste Marie, E.J.; et al. Selenium Drives a Transcriptional Adaptive Program to Block Ferroptosis and Treat Stroke. Cell 2019, 177, 1262. [Google Scholar] [CrossRef]
- Amani, H.; Habibey, R.; Shokri, F.; Hajmiresmail, S.J.; Akhavans, O.; Mashaghi, A.; Pazoki-Toroudi, H. Selenium nanoparticles for targeted stroke therapy through modulation of inflammatory and metabolic signaling. Sci. Rep. 2019, 9, 6044. [Google Scholar] [CrossRef]
- Steinbrenner, H.; Duntas, L.; Rayman, M. The role of selenium in type-2 diabetes mellitus and its metabolic comorbidities. Redox Biol. 2022, 50, 102236. [Google Scholar] [CrossRef]
- Misra, S.; Boylan, M.; Selvam, A.; Spallholz, J.E.; Bjornstedt, M. Redox-Active Selenium Compounds-From Toxicity and Cell Death to Cancer Treatment. Nutrients 2015, 7, 3536–3556. [Google Scholar] [CrossRef]
- Hatfield, D.L.; Tsuji, P.A.; Carlson, B.A.; Gladyshev, V.N. Selenium and selenocysteine: Roles in cancer, health, and development. Trends Biochem. Sci. 2014, 39, 112–120. [Google Scholar] [CrossRef]
- Vinceti, M.; Filippini, T.; Del Giovane, C.; Dennert, G.; Zwahlen, M.; Brinkman, M.; Zeegers, M.; Horneber, M.; D’Amico, R.; Crespi, C.M. Selenium for preventing cancer. Cochrane Database Syst. Rev. 2018, D5195. [Google Scholar] [CrossRef]
- Li, H.; Yang, L.; Tan, J.; Wang, W.; Hou, S.; Li, Y.; Yu, J.; Wei, B. Progress on Selenium Deficiency in Geographical Environment and its Health Impacts in China. Curr. Biotechnol. 2017, 7, 381–386. [Google Scholar] [CrossRef]
- Zhu, J.; Zuo, W.; Qin, H.; Feng, Z.; Zheng, B.; Su, H. An Investigation on the Source of Soil Se in Yutangba, Enshi: Evidence from Native Selenium. Acta Mineral. Sin. 2008, 28, 397–400. [Google Scholar] [CrossRef]
- Wang, X.; Wang, L.; Yang, X.; Wan, D.; Lu, M.; Yuan, L.; Wang, X. Toxicological Studies on Different Chemical Forms of Selenium. J. Hubei Minzu Univ. (Nat. Sci. Ed.) 2022, 40, 150–156. [Google Scholar] [CrossRef]
- Cao, W.; Wang, L.; Xu, H. Selenium/tellurium containing polymer materials in nanobiotechnology. Nano Today 2015, 10, 717–736. [Google Scholar] [CrossRef]
- Ye, X.; Chen, Z.; Zhang, Y.; Mu, J.; Chen, L.; Li, B.; Lin, X. Construction, characterization, and bioactive evaluation of nano-selenium stabilized by green tea nano-aggregates. LWT-Food Sci. Technol. 2020, 129, 109475. [Google Scholar] [CrossRef]
- Zhong, Z.; Hong, B.; Xiao, M.; Bai, K. The Preparation and Nutrition of Polysaccharide-Selenium-Nanoparticles and Their Application in Food-related Fields: A Review. Food Sci. 2022, 1–19. [Google Scholar] [CrossRef]
- Liu, Y.; Huang, W.; Han, W.; Li, C.; Zhang, Z.; Hu, B.; Chen, S.; Cui, P.; Luo, S.; Tang, Z.; et al. Structure characterization of Oudemansiella radicata polysaccharide and preparation of selenium nanoparticles to enhance the antioxidant activities. LWT-Food Sci. Technol. 2021, 146, 111469. [Google Scholar] [CrossRef]
- Zhang, H.; Li, J.; Xia, J.; Lin, S. Antioxidant activity and physicochemical properties of an acidic polysaccharide from Morinda officinalis. Int. J. Biol. Macromol. 2013, 58, 7–12. [Google Scholar] [CrossRef]
- Lee, Y.K.; Bang, H.J.; Oh, J.B.; Wan, K.W. Bioassay-Guided Isolated Compounds from Morinda officinalis Inhibit Alzheimer’s Disease Pathologies. Molecules 2017, 22, 1638. [Google Scholar] [CrossRef]
- Yan, C.; Huang, D.; Shen, X.; Qin, N.; Jiang, K.; Zhang, D.; Zhang, Q. Identification and characterization of a polysaccharide from the roots of Morinda officinalis, as an inducer of bone formation by up-regulation of target gene expression. Int. J. Biol. Macromol. 2019, 133, 446–456. [Google Scholar] [CrossRef] [PubMed]
- Jiang, K.; Huang, D.; Zhang, D.; Wang, X.; Cao, H.; Zhang, Q.; Yan, C. Investigation of inulins from the roots of Morinda officinalis for potential therapeutic application as anti-osteoporosis agent. Int. J. Biol. Macromol. 2018, 120, 170–179. [Google Scholar] [CrossRef] [PubMed]
- Zhu, Z.; Zhao, X.; Huang, F.; Wang, F.; Wang, W. Morinda officinalis Polysaccharides Attenuate Varicocele-Induced Spermatogenic Impairment through the Modulation of Angiogenesis and Relative Factors. Evid.-Based Complement. Altern. Med. 2019, 2019, 8453635. [Google Scholar] [CrossRef] [PubMed]
- Liang, X.; Wei, B.; Chen, Q.; Ma, J.; Li, K.; Huang, X. Optimization of polysaccharide extraction process from Morinda officinalis How and its biological activity in vitro and in vivo. Food Mach. 2018, 34, 158–163. [Google Scholar] [CrossRef]
- Xu, H.; Liu, L.; Chen, Y.; Ma, H.; Li, M.; Qu, W.; Yin, J.; Zhang, X.; Gao, Y.; Shan, J.; et al. The chemical character of polysaccharides from processed Morindae officinalis and their effects on anti-liver damage. Int. J. Biol. Macromol. 2019, 141, 410–421. [Google Scholar] [CrossRef]
- Feng, H.; Zhi, H.; Hu, X.; Yang, Y.; Zhang, L.; Liu, Q.; Feng, Y.; Wu, D.; Yang, X. Immunological studies of Morinda officinalis How polysaccharides as an adjuvant. J. Carbohyd. Chem. 2021, 40, 156–178. [Google Scholar] [CrossRef]
- Zhao, Y.; Wang, M.; Li, Y.; Dong, W. Polysaccharides isolated from Morinda officinalis How roots inhibits cyclophosphamide-induced leukopenia in mice. Trop. J. Pharm. Res. 2017, 16, 2155–2160. [Google Scholar] [CrossRef]
- Chen, S. Selenium Nanoparticles Preparation Optimazation and Exploration of Its Antioxidation. Master’s Thesis, Zhejiang University, Hangzhou, China, 2015. [Google Scholar]
- Gao, X.; Li, X.; Mu, J.; Ho, C.; Su, J.; Zhang, Y.; Lin, X.; Chen, Z.; Li, B.; Xie, Y. Preparation, physicochemical characterization, and anti-proliferation of selenium nanoparticles stabilized by Polyporus umbellatus polysaccharide. Int. J. Biol. Macromol. 2020, 152, 605–615. [Google Scholar] [CrossRef]
- Ramamurthy, C.; Sampath, K.S.; Arunkumar, P.; Kumar, M.S.; Sujatha, V.; Premkumar, K.; Thirunavukkarasu, C. Green synthesis and characterization of selenium nanoparticles and its augmented cytotoxicity with doxorubicin on cancer cells. Bioproc. Biosyst. Eng. 2013, 36, 1131–1139. [Google Scholar] [CrossRef]
- Deng, Y. Surface Plasmon Resonance of Metal Nanostructures and its Application. Sci. Technol. Innov. 2019, 140–141. [Google Scholar] [CrossRef]
- Shi, M.; Ren, R.; Zheng, H.; Deng, J.; Cheng, S.; Ma, X.; Zhang, S. Research progress of synthesis, characterization and biological activity of selenium nanoparticles polysaccharides. Food Sci. Technol.-Braz. 2022, 47, 8–14. [Google Scholar] [CrossRef]
- Zhu, J.X.; Yu, C.; Han, Z.; Chen, Z.Y.; Wei, X.L.; Wang, Y.F. Comparative analysis of existence form for selenium and structural characteristics in artificial selenium-enriched and synthetic selenized green tea polysaccharides. Int. J. Biol. Macromol. 2020, 154, 1408–1418. [Google Scholar] [CrossRef]
- Hu, S.Q.; Hu, W.C.; Li, Y.R.; Li, S.J.; Tian, H.F.; Lu, A.; Wang, J.G. Construction and structure-activity mechanism of polysaccharide nano-selenium carrier. Carbohyd. Polym. 2020, 236, 116052. [Google Scholar] [CrossRef]
- World Health Organization: Chemical Fact Sheets: Selenium. Available online: https://cdn.who.int/media/docs/default-source/wash-documents/water-safety-and-quality/chemical-fact-sheets-2022/selenium-fact-sheet-2022.pdf?sfvrsn=5b4dcc7b_2&download=true (accessed on 28 February 2022).
- Zhang, S.; Song, Z.; Shi, L.; Zhou, L.; Zhang, J.; Cui, J.; Li, Y.; Jin, D.; Ohizumi, Y.; Xu, J.; et al. A dandelion polysaccharide and its selenium nanoparticles: Structure features and evaluation of anti-tumor activity in zebrafish models. Carbohyd. Polym. 2021, 270, 118365. [Google Scholar] [CrossRef]
- Tang, S.; Wang, T.; Jiang, M.; Huang, C.; Lai, C.; Fan, Y.; Yong, Q. Construction of arabinogalactans/selenium nanoparticles composites for enhancement of the antitumor activity. Int. J. Biol. Macromol. 2019, 128, 444–451. [Google Scholar] [CrossRef]
- Venkateswaran, V.; Klotz, L.H.; Fleshner, N.E. Selenium modulation of cell proliferation and cell cycle biomarkers in human prostate carcinoma cell lines. Cancer Res. 2002, 62, 2540–2545. [Google Scholar]
- Liao, W. Structure Characterization and Bioactivity Evaluation of Polysaccharides from Dictyophora Indusiata and Its Application in Functionalization of Anticancer Drugs. Ph.D. Thesis, South China University of Technology, Guangzhou, China, 2015. [Google Scholar]
- Varlamova, E.G.; Goltyaev, M.V.; Simakin, A.V.; Gudkov, S.V.; Turovsky, E.A. Comparative Analysis of the Cytotoxic Effect of a Complex of Selenium Nanoparticles Doped with Sorafenib, “Naked” Selenium Nanoparticles, and Sorafenib on Human Hepatocyte Carcinoma HepG2 Cells. Int. J. Mol. Sci. 2022, 23, 6641. [Google Scholar] [CrossRef]
- Zhou, J.J.; Zhang, D.; Lv, X.Q.; Liu, X.Q.; Xu, W.; Chen, L.; Cai, J.; Din, Z.U.; Cheng, S.Y. Green Synthesis of Robust Selenium Nanoparticles via Polysaccharide-Polyphenol Interaction: Design Principles and Structure-Bioactivity Relationship. ACS Sustain. Chem. Eng. 2022, 10, 2052–2062. [Google Scholar] [CrossRef]
- Mao, G.H.; Ren, Y.; Li, Q.; Wu, H.Y.; Jin, D.; Zhao, T.; Xu, C.Q.; Zhang, D.H.; Jia, Q.D.; Bai, Y.P.; et al. Anti-tumor and immunomodulatory activity of selenium (Se)-polysaccharide from Se-enriched Grifola frondosa. Int. J. Biol. Macromol. 2016, 82, 607–613. [Google Scholar] [CrossRef]
- Niu, R.Y.; Yang, Q.L.; Dong, Y.J.; Hou, Y.R.; Liu, G.W. Selenium metabolism and regulation of immune cells in immune-associated diseases. J. Cell. Physiol. 2022, 237, 3449–3464. [Google Scholar] [CrossRef]
- Kim, D.H.; Kim, H.; Choi, Y.J.; Kim, S.Y.; Lee, J.E.; Sung, K.J.; Sung, Y.H.; Packd, C.G.; Jung, M.K.; Han, B.; et al. Exosomal PD-L1 promotes tumor growth through immune escape in non-small cell lung cancer. Exp. Mol. Med. 2019, 51, 94. [Google Scholar] [CrossRef] [PubMed]
- Shen, J.; Mei, Z.; Xu, Z.; Zhao, Z.; Yang, D.; Xu, X. Optimization of Ultrasound-assisted Enzymatic Extraction and Antioxidant Activity of Polysaccharide from Radix Morindae officinalis by Response Surface Methodology. Pharmacogn. Mag. 2020, 16, 662–669. [Google Scholar] [CrossRef]
- Chen, Q.; Xie, W.; Su, H.; Huang, Z. Determination of selenium content in Lisong hot spring water by UV-visible spectrophotometry. Mod. Chem. Ind. 2018, 38, 233–235. [Google Scholar] [CrossRef]
- Liu, Y.; Wang, X. Determination of Selenium in Rice. Guangdong Trace Elem. Sci. 2008, 15, 41–45. [Google Scholar] [CrossRef]
- Luo, L.; Zheng, S.; Huang, Y.; Qin, T.; Xing, J.; Niu, Y.; Bo, R.; Liu, Z.; Huang, Y.; Hu, Y.; et al. Preparation and characterization of Chinese yam polysaccharide PLGA nanoparticles and their immunological activity. Int. J. Pharm. 2016, 511, 140–150. [Google Scholar] [CrossRef]









| Particles | Size (nm) | PDI | Zeta Potential (mV) |
|---|---|---|---|
| Se-MOP | 67.25 ± 0.99 | 0.10 ± 0.02 | −21.17 ± 0.47 |
| MOP | 153.97 ± 10.65 | 0.26 ± 0.01 | −13.80 ± 0.26 |
| Se-MOP μg/mL vs. PHA | IFN-γ | IL-2 | IL-4 | |||
|---|---|---|---|---|---|---|
| Mean ± SD | p-Value | Mean ± SD | p-Value | Mean ± SD | p-Value | |
| 0.195 vs. PHA | 2.40 ± 0.07 | 0.0754 | 1.49 ± 0.01 | 0.0489 | 1.03 ± 0.07 | 0.9938 |
| 0.39 vs. PHA | 2.40 ± 0.11 | 0.0751 | 1.68 ± 0.07 | 0.0047 | 1.72 ± 0.06 | <0.0001 |
| 0.78 vs. PHA | 3.93 ± 1.66 | 0.0002 | 2.54 ± 0.16 | <0.0001 | 7.42 ± 0.14 | <0.0001 |
| 1.56 vs. PHA | 5.31 ± 0.10 | <0.0001 | 3.75 ± 0.57 | <0.0001 | 2.09 ± 0.08 | <0.0001 |
| 3.125 vs. PHA | 3.87 ± 0.84 | 0.0002 | 2.21 ± 0.06 | <0.0001 | 1.95 ± 0.07 | <0.0001 |
| 6.25 vs. PHA | 2.68 ± 0.14 | 0.0249 | 1.85 ± 0.10 | 0.0005 | 1.76 ± 0.04 | <0.0001 |
| 12.5 vs. PHA | 2.29 ± 0.06 | 0.1131 | 1.62 ± 0.10 | 0.0093 | 1.16 ± 0.04 | 0.0909 |
| 25 vs. PHA | 1.41 ± 0.07 | 0.9552 | 1.50 ± 0.01 | 0.0463 | 1.04 ± 0.05 | 0.9740 |
Disclaimer/Publisher’s Note: The statements, opinions and data contained in all publications are solely those of the individual author(s) and contributor(s) and not of MDPI and/or the editor(s). MDPI and/or the editor(s) disclaim responsibility for any injury to people or property resulting from any ideas, methods, instructions or products referred to in the content. |
© 2023 by the authors. Licensee MDPI, Basel, Switzerland. This article is an open access article distributed under the terms and conditions of the Creative Commons Attribution (CC BY) license (https://creativecommons.org/licenses/by/4.0/).
Share and Cite
Yao, M.; Deng, Y.; Zhao, Z.; Yang, D.; Wan, G.; Xu, X. Selenium Nanoparticles Based on Morinda officinalis Polysaccharides: Characterization, Anti-Cancer Activities, and Immune-Enhancing Activities Evaluation In Vitro. Molecules 2023, 28, 2426. https://doi.org/10.3390/molecules28062426
Yao M, Deng Y, Zhao Z, Yang D, Wan G, Xu X. Selenium Nanoparticles Based on Morinda officinalis Polysaccharides: Characterization, Anti-Cancer Activities, and Immune-Enhancing Activities Evaluation In Vitro. Molecules. 2023; 28(6):2426. https://doi.org/10.3390/molecules28062426
Chicago/Turabian StyleYao, Mengxin, Yuan Deng, Zhimin Zhao, Depo Yang, Guohui Wan, and Xinjun Xu. 2023. "Selenium Nanoparticles Based on Morinda officinalis Polysaccharides: Characterization, Anti-Cancer Activities, and Immune-Enhancing Activities Evaluation In Vitro" Molecules 28, no. 6: 2426. https://doi.org/10.3390/molecules28062426
APA StyleYao, M., Deng, Y., Zhao, Z., Yang, D., Wan, G., & Xu, X. (2023). Selenium Nanoparticles Based on Morinda officinalis Polysaccharides: Characterization, Anti-Cancer Activities, and Immune-Enhancing Activities Evaluation In Vitro. Molecules, 28(6), 2426. https://doi.org/10.3390/molecules28062426

