Edible Mushrooms as Source of Fibrin(ogen)olytic Enzymes: Comparison between Four Cultivated Species
Abstract
1. Introduction
2. Results and Discussion
2.1. Protein Content and Total Proteolytic Activity Assessment
2.2. Fibrin Plate Assay
2.3. Spectrophotometric Detection of the Fibrin(ogen)olytic Activity
2.3.1. Effect of pH and Temperature on the Fibrin(ogen)olytic Activity
2.3.2. Effect of Specific Inhibitors
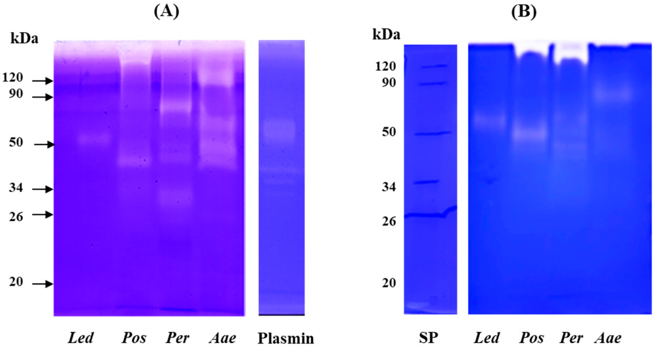
2.4. Analysis of the Degradation Pattern of Fibrinogen and Fibrin by SDS-PAGE
2.5. Zymographic Analysis of Fibrinolytic and Fibrinogenolytic Activities
3. Materials and Methods
3.1. Chemicals
3.2. Mushroom Samples
3.3. Preparation of Crude Extracts
3.4. Protein Estimation and Assessment of Total Proteolytic Activity
3.5. Fibrin Plate Assay
3.6. Spectrophotometric Detection of Fibrin(ogen)olytic Activity
3.6.1. Effect of pH and Temperature
3.6.2. Effect of Protease Inhibitors
3.7. Analysis of the Degradation Pattern of Fibrinogen and Fibrin by SDS-PAGE
3.8. Zymographic Analysis of Fibrinolytic and Fibrinogenolytic Activities
4. Conclusions
Supplementary Materials
Author Contributions
Funding
Institutional Review Board Statement
Informed Consent Statement
Data Availability Statement
Conflicts of Interest
Sample Availability
References
- Yusuf, S.; Joseph, P.; Rangarajan, S.; Islam, S.; Mente, A.; Hystad, P.; Brauer, M.; Kutty, V.R.; Gupta, R.; Wielgosz, A.; et al. Modifiable risk factors, cardiovascular disease, and mortality in 155722 individuals from 21 kigh-Income, middle-income, and low-Income countries (PURE): A prospective cohort study. Lancet 2020, 395, 795–808. [Google Scholar] [CrossRef] [PubMed]
- Napolitano, F.; Montuori, N. Role of plasminogen activation system in platelet pathophysiology: Emerging concepts for translational applications. Int. J. Mol. Sci. 2022, 23, 6065. [Google Scholar] [CrossRef] [PubMed]
- Altaf, F.; Wu, S.; Kasim, V. Role of fibrinolytic enzymes in anti-thrombosis therapy. Front. Mol. Biosci. 2021, 8, 680397. [Google Scholar] [CrossRef] [PubMed]
- Delaney, J.A.; Opatrny, L.; Brophy, J.M.; Suissa, S. Drug-drug interactions between antithrombotic medications and the risk of gastrointestinal bleeding. Can. Med. Assoc. J. 2007, 177, 347–351. [Google Scholar] [CrossRef]
- McFadyen, J.D.; Peter, K. Novel Antithrombotic drugs on the horizon the ultimate promise to prevent clotting while avoiding bleeding. Cir. Res. 2017, 121, 1133–1135. [Google Scholar] [CrossRef]
- Moula Ali, A.M.; Bavisetty, S.C.B. Purification, physicochemical properties, and statistical optimization of fibrinolytic enzymes especially from fermented foods: A comprehensive review. Int. J. Biol. Macromol. 2020, 163, 1498–1517. [Google Scholar] [CrossRef]
- Liang, X.X.; Zhou, Y.N.; Chen, J.S.; Qiu, P.X.; Chen, H.Z.; Sun, H.H.; Wu, Y.P.; Yan, G.M. Enzymological characterization of FIIa, a fibrinolytic enzyme from Agkistrodon acutus venom. Acta Pharmacol. Sin. 2005, 26, 1474–1478. [Google Scholar] [CrossRef]
- Leite, A.H.P.; da Silva, Í.H.A.; Pastrana, L.; Nascimento, T.P.; da Silva Telles, A.M.; Porto, A.L.F. Purification, biochemical characterization and fibrinolytic potential of proteases produced by bacteria of the genus Bacillus: A systematic literature review. Arch. Microbiol. 2022, 204, 503. [Google Scholar] [CrossRef]
- Fu, Z.; Zhang, L.; Liu, X.; Zhang, Y.; Zhang, Q.; Li, X.; Zheng, W.; Sun, L.; Tian, J. Comparative proteomic analysis of the sun-and freeze-dried earthworm Eisenia fetida with differentially thrombolytic activities. J. Proteom. 2013, 83, 1–14. [Google Scholar] [CrossRef]
- Dhamodharan, D.; Jemimah Naine, S.; Merlyn Keziah, S.; Subathra Devi, C. Novel fibrinolytic protease producing Streptomyces radiopugnans VITSD8 from marine sponges. Mar. Drugs 2019, 7, 164. [Google Scholar]
- Wang, Y.; Yan, H.; Wang, Y.; Yang, H.; Wei, L.; Xiao, Y.; Ye, H.; Lai, R.; Liu, R. Proteomics and transcriptome analysis coupled with pharmacological test reveals the diversity of anti-thrombosis proteins from the medicinal insect, Eupolyphaga sinensis. Insect Biochem. Mol. Biol. 2012, 42, 537–544. [Google Scholar] [CrossRef] [PubMed]
- Cardoso, K.B.B.; Nascimento, M.C.; Batista, A.C.; de Melo Oliveira, V.; Nascimento, T.P.; da Silva Batista, J.M.; Costa, R.M.P.B.; Pastrana, L.; Porto, A.L.F. Systematic analysis on the obtaining of fibrinolytic fungi enzymes. Res. Soc. Dev. 2022, 11, e13611225449. [Google Scholar] [CrossRef]
- Li, G.; Liu, X.; Cong, S.; Deng, Y.; Zheng, X. A novel serine protease with anticoagulant and fibrinolytic activities from the fruiting bodies of mushroom Agrocybe aegerita. Int. J. Biol. Macromol. 2021, 168, 631–639. [Google Scholar] [CrossRef]
- Choi, H.S.; Sa, Y.S. Fibrinolytic and antithrombotic protease from Ganoderma lucidum. Mycologia 2000, 92, 545–552. [Google Scholar] [CrossRef]
- Kim, J.H.; Kim, Y.S. A fibrinolytic metalloprotease from the fruiting bodies of an edible mushroom, Armillariella mellea. Biosci. Biotechnol. Biochem. 1999, 63, 2130–2136. [Google Scholar] [CrossRef] [PubMed]
- Kim, J.H.; Kim, Y.S. Characterization of a metalloenzyme from a wild mushroom, Tricholoma saponaceum. Biosci. Biotechnol. Biochem. 2001, 65, 356–362. [Google Scholar] [CrossRef]
- Liu, X.; Kopparapu, N.K.; Shi, X.; Deng, Y.; Zheng, X.; Wu, J. Purification and biochemical characterization of a novel fibrinolytic enzyme from culture supernant of Cordyceps militaris. J. Agric. Food Chem. 2015, 44, 622–631. [Google Scholar]
- Choi, H.S.; Shin, H.H. Purification and Partial Characterization of a Fibrinolytic Protease in Pleurotus ostreatus. Mycologia 1998, 90, 674–679. [Google Scholar] [CrossRef]
- Choi, J.H.; Kim, D.W.; Kim, S.; Kim, S.J. Purification and partial characterization of a fibrinolytic enzyme from the fruiting body of the medicinal and edible mushroom Pleurotus ferulae. Prep. Biochem. Biotechnol. 2017, 47, 539–546. [Google Scholar] [CrossRef]
- Cha, W.S.; Park, S.S.; Kim, S.J.; Choi, D. Biochemical and enzymatic properties of a fibrinolytic enzyme from Pleurotus eryngii cultivated under solid-state conditions using corn cob. Bioresour. Technol. 2010, 101, 6475–6481. [Google Scholar] [CrossRef]
- Choi, J.H.; Kim, K.J.; Kim, S. Purification and antithrombotic potential of a fibrinolytic enzyme from Shiitake culinary- medicinal mushroom, Lentinus edodes GNA01 (Agaricomycetes). Int. J. Med. Mushrooms 2018, 20, 47–59. [Google Scholar] [CrossRef] [PubMed]
- Chang, S.T.; Wasser, S.P. The role of culinary-medicinal mushrooms on human welfare with a pyramid model for human health. Int. J. Med. Mushrooms 2012, 14, 95–134. [Google Scholar] [CrossRef] [PubMed]
- Lindequist, U.; Niedermayer, T.H.J.; Julich, W.D. The pharmacological potential of mushrooms. Evid.-Based Complement. Altern. Med. 2005, 2, 285–299. [Google Scholar] [CrossRef]
- Wasser, S.P. Medicinal mushrooms as a source of antitumor and immunomodulating polysaccharides. Appl. Microbiol. Biotechnol. 2010, 60, 258–274. [Google Scholar]
- Feeney, M.J.; Dwyer, J.; Hasler-Lewis, C.M.; Milner, J.A.; Noakes, M.; Rowe, S.; Wach, M.; Beelman, R.B.; Caldwell, J.; Cantorna, M.T.; et al. Mushrooms and health summit proceedings. J. Nutr. 2014, 144, 1128S–1136S. [Google Scholar] [CrossRef]
- Kozarski, M.; Klaus, A.; Jakovljevic, D.; Todorovic, N.; Vunduk, J.; Petrović, P.; Niksic, M.; Vrvic, M.M.; Van Griensven, L. Antioxidants of edible mushrooms. Molecules 2015, 20, 19489–19525. [Google Scholar] [CrossRef]
- Zhu, F.; Du, B.; Bian, Z.; Xu, B. Beta-glucans from edible and medicinal mushrooms: Characteristics, physicochemical and biological activities. J. Food Compos. Anal. 2015, 41, 165–173. [Google Scholar] [CrossRef]
- Gaoxing, M.; Wenjian, Y.; Liyan, Z.; Fei, P.; Donglu, F.; Qiuhui, H. A critical review on the health promoting effects of mushrooms nutraceuticals. Food Sci. Hum. Wellness 2018, 7, 125–133. [Google Scholar]
- You, S.W.; Hoskin, R.T.; Komarnytsky, S.; Moncada, M. Mushrooms as functional and nutritious food ingredients for multiple applications. ACS Food Sci. Technol. 2022, 2, 1184–1195. [Google Scholar] [CrossRef]
- Das, A.K.; Nanda, P.K.; Dandapat, P.; Bandyopadhyay, S.; Gullón, P.; Sivaraman, G.K.; McClements, D.J.; Gullón, B.; Lorenzo, J.M. Edible mushrooms as functional ingredients for development of healthier and more sustainable muscle foods: A flexitarian approach. Molecules 2021, 26, 2463. [Google Scholar] [CrossRef]
- Reis, F.S.; Martins, A.; Vasconcelos, M.H.; Morales, P.; Ferreira, I.C.F.R. Functional foods based on extracts or compounds derived from mushrooms. Trends Food Sci. Technol. 2017, 66, 48–62. [Google Scholar] [CrossRef]
- Singhal, S.; Rasane, P.; Kaur, S.; Garba, U.; Singh, J.; Raj, N.; Gupta, N. Mushroom cultivation, processing and value-added products: A patent-based review. Recent Pat. Food Nutr. Agric. 2019, 10, 3–19. [Google Scholar] [CrossRef] [PubMed]
- Mohamed Ali, S.; Tan, Y.S.; Raman, J.; Lakshmana, H.; Ling, T.C.; Phan, C.W.; Sabaratnam, V. Do culinary mushrooms have fibrinolytic avtivities? Biomed. Rev. 2017, 28, 91–99. [Google Scholar]
- Mohamed Ali, S.; Ling, T.C.; Muniandy, S.; Tan, Y.S.; Raman, J.; Sabaratnam, V. Recovery and partial purification of fibrinolytic enzymes of Auricularia polytricha (Mont.) Sacc by an aqueous two-phase system. Sep. Purif. Technol. 2014, 122, 359–366. [Google Scholar] [CrossRef]
- Cui, L.; Dong, M.S.; Chen, X.H.; Jiang, M.; Lv, X.; Yan, G. A novel fibrinolytic enzynes from Cordyceps militaris, a Chinese traditional medicinal mushroom. World J. Microbiol. Biotechnol. 2008, 24, 483–489. [Google Scholar] [CrossRef]
- Sakovich, V.V.; Stohniy, Y.M.; Zhernosekov, D.D.; Rebriev, A.V.; Korolova, D.S.; Marunych, R.Y.; Chernyshenko, V.O. Metalloprotease from the cultural liquid of Pleurotus ostreatus. Biotechnol. Acta 2019, 12, 35–45. [Google Scholar] [CrossRef][Green Version]
- Liu, X.; Zheng, X.; Qian, P.; Kopparapu, N.; Deng, Y.; Nonaka, M.; Harada, N. Purification and characterization of a novel fibrinolytic enzyme from culture supernatant of Pleurotus ostreatus. J. Microbiol. Biotechnol. 2014, 24, 245–253. [Google Scholar] [CrossRef]
- Bradford, M.M. A rapid and sensitive method for the quantitation of microgram quantities of protein utilizing the principle of protein-dye binding. Anal. Biochem. 1976, 72, 248–254. [Google Scholar] [CrossRef]
- Rossano, R.; Larocca, M.; Riccio, P. 2-D zymographic analysis of Broccoli (Brassica oleracea L. var. Italica) florets proteases: Follow up of cysteine protease isotypes in the course of post-harvest senescence. J. Plant Physiol. 2011, 168, 1517–1525. [Google Scholar] [CrossRef]
- Astrup, S.; Mullertz, S. The fibrin plate method for estimating of fibrinolytic activity. Arch. Biochem. Biophys. 1952, 40, 346–351. [Google Scholar] [CrossRef]
- Laemmli, U.K. Cleavage of structural proteins during the assembly of the head of bacteriophage T4. Nature 1970, 227, 680–685. [Google Scholar] [CrossRef] [PubMed]





| Proteins | Total Proteolytic Activity | Fibrin(ogen)olytic Activity | Specific Fibrin(ogen)olytic Index | |
|---|---|---|---|---|
| Samples | (mg/g DW) | Specific Activity (U/mg prot) | Specific Activity (µg PE/mg prot) | SFI: µg PE/U |
| Led | 7.67 ± 0.25 a | 85.03 ± 2.32 a | 23.25 ± 0.16 a | 0.27 ± 0.01 a |
| Pos | 8.32 ± 0.15 b | 107.65 ± 6.24 b | 39.14 ± 1.01 b | 0.36 ± 0.02 b |
| Per | 9.02 ± 0.20 c | 92.89 ± 3.26 c | 35.09 ± 0.40 c | 0.38 ± 0.02 b |
| Aae | 9.81 ± 0.39 d | 84.69 ± 1.91 a | 22.11 ± 0.13 d | 0.26 ± 0.03 a |
| Samples | Area of Lytic Zone (cm2) | Diameter (cm) | Plasmin Equivalent (PE) (μg) |
|---|---|---|---|
| Lentinula edodes | 4.15 ± 0.18 a | 2.30 ± 0.10 a | 2.89 ± 0.12 a |
| Pleurotus ostreatus | 6.15 ± 0.28 b | 2.80 ± 0.13 b | 4.25 ± 0.19 b |
| Pleurotus eryngii | 4.91 ± 0.21 c | 2.50 ± 0.11 c | 3.41 ± 0.15 c |
| Agrocybe aegerita | 3.46 ± 0.19 d | 2.10 ± 0.07 d | 2.42 ± 0.13 d |
| Residual Enzymatic Activity (%) | ||||
|---|---|---|---|---|
| Inhibitor | Lentinula edodes | Pleurotus ostreatus | Pleurotus eryngii | Agrocybe aegerita |
| Control | 100 a | 100 a | 100 a | 100 a |
| PMSF | 100 a | 79.8 ± 4.4 b | 54.1 ± 3.3 b | 29.9 ± 1.8 b |
| PA | 4.5 ± 0.2 b | 25.0 ± 3.8 c | 49.1 ± 5.2 a | 79.6 ± 5.3 c |
| IAA | 100 a | 100 a | 100 a | 100 a |
| PEP | 100 a | 100 a | 100 a | 100 a |
Publisher’s Note: MDPI stays neutral with regard to jurisdictional claims in published maps and institutional affiliations. |
© 2022 by the authors. Licensee MDPI, Basel, Switzerland. This article is an open access article distributed under the terms and conditions of the Creative Commons Attribution (CC BY) license (https://creativecommons.org/licenses/by/4.0/).
Share and Cite
Petraglia, T.; Latronico, T.; Liuzzi, G.M.; Fanigliulo, A.; Crescenzi, A.; Rossano, R. Edible Mushrooms as Source of Fibrin(ogen)olytic Enzymes: Comparison between Four Cultivated Species. Molecules 2022, 27, 8145. https://doi.org/10.3390/molecules27238145
Petraglia T, Latronico T, Liuzzi GM, Fanigliulo A, Crescenzi A, Rossano R. Edible Mushrooms as Source of Fibrin(ogen)olytic Enzymes: Comparison between Four Cultivated Species. Molecules. 2022; 27(23):8145. https://doi.org/10.3390/molecules27238145
Chicago/Turabian StylePetraglia, Tania, Tiziana Latronico, Grazia Maria Liuzzi, Angela Fanigliulo, Aniello Crescenzi, and Rocco Rossano. 2022. "Edible Mushrooms as Source of Fibrin(ogen)olytic Enzymes: Comparison between Four Cultivated Species" Molecules 27, no. 23: 8145. https://doi.org/10.3390/molecules27238145
APA StylePetraglia, T., Latronico, T., Liuzzi, G. M., Fanigliulo, A., Crescenzi, A., & Rossano, R. (2022). Edible Mushrooms as Source of Fibrin(ogen)olytic Enzymes: Comparison between Four Cultivated Species. Molecules, 27(23), 8145. https://doi.org/10.3390/molecules27238145

