Multispecies Identification of Oilseed- and Meat-Specific Proteins and Heat-Stable Peptide Markers in Food Products
Abstract
1. Introduction
2. Results
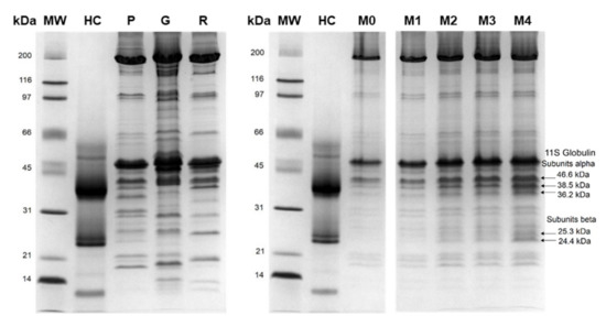
2.1. Identification of the Addition of Hemp Cake to Meatballs
2.2. Identification of Meat-Specific Peptides
2.3. Identification of Unique Proteins and Peptides of Oilseeds in Commercial Food Products
3. Materials and Methods
3.1. Reagents and Samples
3.2. Preparation of Meatballs
3.3. Sodium Dodecyl Sulphate–Polyacrylamide Gel Electrophoresis (SDS-PAGE)
3.4. In-Solution Tryptic Digestion
3.5. Protein and Peptide Identification
4. Conclusions
Supplementary Materials
Author Contributions
Funding
Data Availability Statement
Conflicts of Interest
References
- Bilek, A.E.; Turhan, S. Enhancement of the nutritional status of beef patties by adding flaxseed flour. Meat Sci. 2009, 82, 472–477. [Google Scholar] [CrossRef] [PubMed]
- Frassinetti, S.; Moccia, E.; Caltavuturo, L.; Gabriele, M.; Longo, V.; Bellani, L.; Giorgi, G.; Giorgetti, L. Nutraceutical potential of hemp (Cannabis sativa L.) seeds and sprouts. Food Chem. 2018, 262, 56–66. [Google Scholar] [CrossRef]
- Kotecka-Majchrzak, K.; Sumara, A.; Fornal, E.; Montowska, M. Oilseed proteins—Properties and application as a food ingredient. Trends Food Sci. Technol. 2020, 106, 160–170. [Google Scholar] [CrossRef]
- Novello, D.; Schiessel, D.L.; Santos, E.F.; Pollonio, M.A.R. The effect of golden flaxseed and by-product addition in beef patties: Physicochemical properties and sensory acceptance. Int. Food Res. J. 2019, 26, 1237–1248. [Google Scholar]
- Zając, M.; Guzik, P.; Kulawik, P.; Tkaczewska, J.; Florkiewicz, A.; Migdał, W. The quality of pork loaves with the addition of hemp seeds, de-hulled hemp seeds, hemp protein and hemp flour. LWT 2019, 105, 190–199. [Google Scholar] [CrossRef]
- Kumar, P.; Chatli, M.K.; Mehta, N.; Singh, P.; Malav, O.P.; Verma, A.K. Meat analogues: Health promising sustainable meat substitutes. Crit. Rev. Food Sci. Nutr. 2017, 57, 923–932. [Google Scholar] [CrossRef]
- Stephan, A.; Ahlborn, J.; Zajul, M.; Zorn, H. Edible mushroom mycelia of Pleurotus sapidus as novel protein sources in a vegan boiled sausage analog system: Functionality and sensory tests in comparison to commercial proteins and meat sausages. Eur. Food Res. Technol. 2017, 244, 913–924. [Google Scholar] [CrossRef]
- Lam, A.C.Y.; Karaca, A.C.; Tyler, R.T.; Nickerson, M.T. Pea protein isolates: Structure, extraction, and functionality. Food Rev. Int. 2018, 34, 126–147. [Google Scholar] [CrossRef]
- Ehmke, M.D.; Bonanno, A.; Boys, K.; Smith, T.G. Food fraud: Economic insights into the dark side of incentives. Aust. J. Agric. Resour. Econ. 2019, 63, 685–700. [Google Scholar] [CrossRef]
- Esteki, M.; Regueiro, J.; Simal-Gándara, J. Tackling Fraudsters with Global Strategies to Expose Fraud in the Food Chain. Compr. Rev. Food Sci. Food Saf. 2019, 18, 425–440. [Google Scholar] [CrossRef]
- Medina, S.; Perestrelo, R.; Silva, P.; Pereira, J.A.M.; Câmara, J.S. Current trends and recent advances on food authenticity technologies and chemometric approaches. Trends Food Sci. Technol. 2019, 85, 163–176. [Google Scholar] [CrossRef]
- Tibola, C.S.; Alves da Silva, S.; Dossa, A.A.; Patrício, D.I. Economically Motivated Food Fraud and Adulteration in Brazil: Incidents and Alternatives to Minimize Occurrence. Int. J. Food Sci. 2018, 83, 2028–2038. [Google Scholar] [CrossRef]
- Illicit Food and Drink Seized in Global Operation. Available online: https://www.interpol.int/News-and-Events/News/2019/Illicit-food-and-drink-seized-in-global-operation (accessed on 2 January 2020).
- Brockmeyer, J. Novel approaches for the MS-based detection of food allergens: High resolution, MS3, and beyond. J. AOAC Int. 2018, 101, 124–131. [Google Scholar] [CrossRef] [PubMed]
- Stoyke, M.; Becker, R.; Brockmeyer, J.; Jira, W.; Popping, B.; Uhlig, S.; Wittke, S. German Government Official Methods Board Points the Way Forward: Launch of a New Working Group for Mass Spectrometry for Protein Analysis to Detect Food Fraud and Food Allergens. J. AOAC Int. 2019, 102, 1280–1285. [Google Scholar] [CrossRef]
- Creydt, M.; Fischer, M. Omics approaches for food authentication. Electrophoresis 2018, 39, 1569–1581. [Google Scholar] [CrossRef] [PubMed]
- He, Y.; Bai, X.; Xiao, Q.; Liu, F.; Zhou, L.; Zhang, C. Detection of adulteration in food based on nondestructive analysis techniques: A review. Crit. Rev. Food Sci. Nutr. 2020, 1–21. [Google Scholar] [CrossRef] [PubMed]
- Li, Y.-C.; Liu, S.-Y.; Meng, F.-B.; Liu, D.-Y.; Zhang, Y.; Wang, W.; Zhang, J.-M. Comparative review and the recent progress in detection technologies of meat product adulteration. Compr. Rev. Food Sci. Food Saf. 2020, 19, 2256–2296. [Google Scholar] [CrossRef] [PubMed]
- Sajali, N.; Wong, S.C.; Abu Bakar, S.; Mokhtar, N.F.K.; Manaf, Y.N.; Yuswan, M.H.; Desa, M.N.M. Analytical approaches of meat authentication in food. J. Food Sci. Technol. 2020. [Google Scholar] [CrossRef]
- Valand, R.; Tanna, S.; Lawson, G.; Bengtström, L. A review of Fourier Transform Infrared (FTIR) spectroscopy used in food adulteration and authenticity investigations. Food Addit. Contam. Part A 2020, 37, 19–38. [Google Scholar] [CrossRef] [PubMed]
- Stachniuk, A.; Sumara, A.; Montowska, M.; Fornal, M. Liquid chromatography–mass spectrometry bottom-up proteomic methods in animal species analysis of processed meat for food authentication and the detection of adulterations. Mass Spectrom. Rev. 2021, 40, 3–30. [Google Scholar] [CrossRef]
- Li, Y.; Zhang, Y.; Li, H.; Zhao, W.; Guo, W.; Wang, S. Simultaneous determination of heat stable peptides for eight animal and plant species in meat products using UPLC-MS/MS method. Food Chem. 2018, 245, 125–131. [Google Scholar] [CrossRef]
- Fornal, E.; Montowska, M. Species-specific peptide-based liquid chromatography–mass spectrometry monitoring of three poultry species in processed meat products. Food Chem. 2019, 283, 489–498. [Google Scholar] [CrossRef] [PubMed]
- Zhang, Y.; Wang, S.; Ma, Y.; Li, H.; Li, Y. Identification and absolute quantification of animal blood products by peptide markers using an UPLC–MS/MS method. Eur. Food Res. Technol. 2020, 246, 581–589. [Google Scholar] [CrossRef]
- Hoffmann, B.; Münch, S.; Schwägele, F.; Neusüß, C.; Jira, W. A sensitive HPLC-MS/MS screening method for the simultaneous detection of lupine, pea, and soy proteins in meat products. Food Control 2017, 71, 200–209. [Google Scholar] [CrossRef]
- Häfner, L.; Kalkhof, S.; Jira, W. Authentication of nine poultry species using high-performance liquid chromatography–tandem mass spectrometry. Food Control 2021, 122, 107803. [Google Scholar] [CrossRef]
- Croote, D.; Braslavsky, I.; Quake, S.R. Addressing complex matrix interference improves multiplex food allergen detection by targeted LC-MS/MS. Anal. Chem. 2019, 91, 9760–9769. [Google Scholar] [CrossRef] [PubMed]
- Stella, R.; Sette, G.; Moressa, A.; Gallina, A.; Aloisi, A.M.; Angeletti, R.; Biancotto, G. LC-HRMS/MS for the simultaneous determination of four allergens in fish and swine food products. Food Chem. 2020, 331, 127276. [Google Scholar] [CrossRef]
- Montowska, M.; Fornal, E. Absolute quantification of targeted meat and allergenic protein additive peptide markers in meat products. Food Chem. 2019, 274, 857–864. [Google Scholar] [CrossRef]
- Stachniuk, A.; Sumara, A.; Montowska, M.; Fornal, M. LC-QTOF-MS identification of rabbit-specific peptides for authenticating the species composition of meat products. Food Chem. 2020, 329, 127185. [Google Scholar] [CrossRef]
- Stachniuk, A.; Sumara, A.; Montowska, M.; Fornal, E. Peptide markers for distinguishing guinea fowl meat from that of other species using liquid chromatography-mass spectrometry. Food Chem. 2021, 345, 128810. [Google Scholar] [CrossRef]
- Kotecka-Majchrzak, K.; Sumara, A.; Fornal, E.; Montowska, M. Identification of species-specific peptide markers in cold-pressed oils. Sci. Rep. 2020, 10, 19971. [Google Scholar] [CrossRef] [PubMed]
- Kotecka-Majchrzak, K.; Sumara, A.; Fornal, E.; Montowska, M. Proteomic analysis of oilseed cake: A comparative study of species-specific proteins and peptides extracted from ten seed species. J. Sci. Food Agric. 2021, 101, 297–306. [Google Scholar] [CrossRef] [PubMed]
- Kim, J.J.; Lee, M.Y. Isolation and characterization of edestin from Cheungsam hempseed. J. Appl. Biol. Chem. 2011, 54, 84–88. [Google Scholar] [CrossRef]
- Malomo, S.A.; Rong, H.; Aluko, R.E. Structural and functional properties of hemp seed protein products. J. Food Sci. 2014, 79, C1512–C1521. [Google Scholar] [CrossRef] [PubMed]
- Mamone, G.; Picariello, G.; Ramondo, A.; Nicolai, M.A.; Ferranti, P. Production, digestibility and allergenicity of hemp (Cannabis sativa L.) protein isolates. Food Res. Int. 2019, 115, 562–571. [Google Scholar] [CrossRef] [PubMed]
- Aiello, G.; Fasoli, E.; Boschin, G.; Lammi, C.; Zanoni, C.; Citterio, A.; Arnoldi, A. Proteomic characterization of hempseed (Cannabis sativa L.). J. Proteom. 2016, 147, 187–196. [Google Scholar] [CrossRef] [PubMed]
- Girgih, A.T.; He, R.; Malomo, S.; Offengenden, M.; Wu, J.; Aluko, R.E. Structural and functional characterization of hemp seed (Cannabis sativa L.) protein-derived antioxidant and antihypertensive peptides. J. Funct. Foods 2014, 6, 384–394. [Google Scholar] [CrossRef]
- Orio, L.P.; Boschin, G.; Recca, T.; Morelli, C.F.; Ragona, L.; Francescato, P.; Arnoldi, A.; Speranza, G. New ACE-inhibitory peptides from hemp seed (Cannabis sativa L.) proteins. J. Agric. Food Chem. 2017, 65, 10482–10488. [Google Scholar] [CrossRef]
- Huschek, G.; Bönick, J.; Merkel, D.; Huschek, D.; Rewel, H. Authentication of leguminous-based products by targeted biomarkers using high resolution time of flight mass spectrometry. LWT Food Sci. Technol. 2018, 90, 164–171. [Google Scholar] [CrossRef]
- Montowska, M.; Alexander, M.R.; Tucker, G.A.; Barrett, D.A. Rapid detection of peptide markers for authentication purposes in raw and cooked meat using ambient Liquid Extraction Surface Analysis Mass Spectrometry. Anal. Chem. 2014, 86, 10257–10265. [Google Scholar] [CrossRef] [PubMed]
- Wang, G.-J.; Zhou, G.-Y.; Ren, H.-W.; Xu, Y.; Yang, Y.; Guo, L.-H.; Liu, N. Peptide biomarkers identified by LC–MS in processed meats of five animal species. J. Food Compos. Anal. 2018, 73, 47–54. [Google Scholar] [CrossRef]
- Prandi, B.; Varani, M.; Faccini, A.; Lambertini, F.; Suman, M.; Leporati, A.; Tedeschi, T.; Sforza, S. Species specific marker peptides for meat authenticity assessment: A multispecies quantitative approach applied to Bolognese sauce. Food Control 2019, 97, 15–24. [Google Scholar] [CrossRef]
- Ma, X.; Li, H.; Zhang, J.; Huang, W.; Han, J.; Ge, Y.; Sun, J.; Chen, Y. Comprehensive quantification of sesame allergens in processed food using liquid chromatography-tandem mass spectrometry. Food Control 2020, 107, 106744. [Google Scholar] [CrossRef]
- Montowska, M.; Fornal, E.; Piątek, M.; Krzywdzińska-Bartkowiak, M. Mass spectrometry detection of protein allergenic additives in emulsion-type pork sausages. Food Control 2019, 104, 122–131. [Google Scholar] [CrossRef]



| Sample | Product | Analysed Ingredient | Other Ingredients |
|---|---|---|---|
| M0 | meatballs (control) | pork (66%), rabbit meat (10.9%), guinea fowl meat (7.3%) | water (8.9%), bread crumbs (5.3%), salt (1.3%), pepper (0.2%), garlic (0.1%) |
| M1 | hemp meatballs | pork (65.4%), rabbit (10.8%), guinea fowl meat (7.2%), hemp cake (0.9%) | water (8.8%), bread crumbs (5.3%), salt (1.3%), pepper (0.2%), garlic (0.1%) |
| M2 | hemp meatballs | pork (64.3%), rabbit (10.6%), guinea fowl meat (7.1%), hemp cake (2.6%) | water (8.6%), bread crumbs (5.2%), salt (1.3%), pepper (0.2%), garlic (0.1%) |
| M3 | hemp meatballs | pork (63.2%), rabbit (10.4%), guinea fowl meat (7%), hemp cake (4.2%) | water (8.5%), bread crumbs (5.1%), salt (1.3%), pepper (0.2%), garlic (0.1%) |
| M4 | hemp meatballs | pork (61.1%), rabbit (10.1%), guinea meat (6.7%), hemp cake 7.4%) | water (8.2%), bread crumbs (4.9%), salt (1.2%), pepper (0.2%), garlic (0.1%) |
| HC | hemp cake | hemp cake (100%) | - |
| P1 | bio vegan pumpkin pâté | pumpkin seeds (49%), rapeseed oil | corn grits, buckwheat bran, onion, marjoram, garlic, nutmeg, salt |
| P2 | four grain pâté | hulled sunflower seeds, flaxseed, coconut fat | lentils, chickpeas, potato flour, buckwheat flour, carrots, parsley, celery, leek, olive oil, soy sauce, spices, salt |
| P3 | vegetable paste | rapeseed oil (5%), sunflower seeds | chickpeas, onion (5%), celery, water, dried tomatoes, dried candied cranberries, salt, sugar, garlic, basil, black pepper, acidity regulator: citric acid |
| P4 | mini burgers | sunflower seeds, sesame | rice, zucchini (17%), tofu (17%), carrots (15%), spelled flakes, oatmeal, spelled flour, buckwheat flour, bean sprouts (2%), sesame, salt, spices, sunflower oil |
| P5 | bio sunflower pâté | sunflower seeds (25%), rapeseed oil | millet, buckwheat bran, onion, marjoram, nutmeg, pepper, salt |
| P6 | bio sandwich paste | sunflower oil (20%), sunflower seeds (14%) | tomato paste (30%), tomato puree (12%), water, lemon juice, concentrated apple juice, basil (3%), salt, potato starch |
| P7 | vege pâté | nigella seeds (1%), rapeseed oil | chickpeas (60%), millet, carrots, salt, garlic, spices |
| P8 | hemp pâté | hulled hemp seeds (9%), hulled sunflower seeds, rapeseed oil, pumpkin seeds | onion, garlic, yeast, salt, natural spices, glucose, guar gum |
| P9 | bio hemp spacebar | coconut fat, hemp seeds (2%) | seitan (86%), salt, yeast extract, spices, onion, locust bean gum, guar gum, natural beech wood smoke |
| P10 | vegetarian balls | hemp seeds (5%), sunflower oil | wheat (43%), carrots, sweet potatoes (11%), cornflour, red pepper, onion, Emmentaler (6%), arugula (1%), salt, spices |
| P11 | chicken flavored sausage | coconut oil (21%) | water, modified starch, barley starch, rice protein, salt, apple juice concentrate, chicken flavor, citric acid, olive extract, vegetable and fruit concentrate (pepper, carrot, radish, apple, black currant), vitamin B12 |
| P12 | pâté with milk thistle | chicken (37%), milk thistle (8%) | celery, chicken liver, eggs, carrots, onion, parsley, salt, bread crumbs, spices |
| Protein (Accession No.) | Sample | Sequence Coverage (%) | Matched Peptides | Unique Score | Total Intensity (n = 3) |
|---|---|---|---|---|---|
| edestin 1 (CDP79023.1) | M1 | 65.9 | 28 | 411.49 | 4.08 × 107 |
| M2 | 65.7 | 27 | 415.23 | 6.11 × 107 | |
| M3 | 69.8 | 32 | 551.19 | 2.94 × 108 | |
| M4 | 74.9 | 37 | 627.60 | 4.29 × 108 | |
| HC | 78.4 | 45 | 787.00 | 2.43 × 109 | |
| edestin 2 (CDP79028.1) | M1 | 57.4 | 23 | 344.04 | 4.70 × 107 |
| M2 | 57.4 | 23 | 359.00 | 7.42 × 107 | |
| M3 | 68.8 | 28 | 503.93 | 3.77 × 108 | |
| M4 | 72.9 | 36 | 637.90 | 3.98 × 108 | |
| HC | 66.8 | 42 | 775.24 | 1.89 × 109 | |
| edestin 3 (SNQ45160.1) | M1 | 59.4 | 23 | 321.57 | 2.84 × 107 |
| M2 | 48.4 | 21 | 320.6 | 3.74 × 107 | |
| M3 | 69.4 | 27 | 457.01 | 2.45 × 108 | |
| M4 | 72.3 | 31 | 517.93 | 6.24 × 108 | |
| HC | 82.6 | 41 | 731.50 | 2.99 × 109 | |
| albumin (SNQ45151.1) | M1 | 19.0 | 3 | 32.14 | 1.17 × 106 |
| M2 | 23.9 | 4 | 52.36 | 4.90 × 106 | |
| M3 | 34.5 | 6 | 78.89 | 1.70 × 107 | |
| M4 | 34.5 | 6 | 90.47 | 3.84 × 107 | |
| HC | 41.5 | 9 | 142.84 | 1.53 × 108 | |
| 7S vicilin-like protein (SNQ45153.2) | M3 | 7.5 | 3 | 34.37 | 5.66 × 105 |
| M4 | 25.7 | 10 | 138.97 | 2.19 × 106 | |
| HC | 45.6 | 23 | 386.04 | 6.87 × 107 |
| Protein | Peptide Sequence | M1 | M2 | M3 | M4 | HC |
|---|---|---|---|---|---|---|
| edestin 1 (CDP79023.1) | NAIYTPHWNVNAHSVMYVLR | + | + | + | + | + |
| YLEEAFNVDSETVK | + | + | + | + | + | |
| YTIQQNGLHLPSYTNTPQLVYIVK | + | + | + | + | + | |
| ISTVNSYNLPILR | + | + | + | + | + | |
| VEAEAGLIESWNPNHNQFQCAGVAVVR | + | + | + | |||
| GILGVTFPGCPETFEESQR | + | + | + | + | ||
| GQGQGQSQGSQPDR | + | + | + | |||
| QASSDGFEWVSFK | + | + | + | + | + | |
| VQVVNHMGQK | + | + | + | + | + | |
| EETVLLTSSTSSR | + | + | + | + | ||
| LQGQNDDR | + | + | ||||
| GTLDLVSPLR | + | + | + | + | ||
| QQNQCQIDR | + | + | + | + | ||
| edestin 2 (CDP79028.1) | ILAESFNVDTELAHK | + | + | + | + | + |
| AMPDDVLANAFQISR | + | + | + | + | + | |
| NGMMAPHFNLDSHSVIYVTR | + | + | + | + | + | |
| GLLLPSFLNAPMMFYVIQGR | + | + | + | + | + | |
| ASAQGFEWIAVK | + | + | + | |||
| SEGASSDEQHQK | + | + | ||||
| LNTLNNYNLPILR | + | + | + | + | + | |
| DEISVFSPSSQQTR | + | + | ||||
| WQSQCQFQR | + | + | + | |||
| LQVVDDNGR | + | + | + | + | + | |
| GEDLQIIAPSR | + | + | + | + | ||
| edestin 3 (SNQ45160.1) | VECEGGMIESWNPNHEQFQCAGVALLR | + | + | |||
| FYIAGNPHEDFPQSR | + | + | + | + | + | |
| AMPEDVIANSYQISR | + | + | + | + | ||
| GFSVNLIQEAFNVDSETAR | + | + | + | + | + | |
| LTIQPNGLHLPSYTNGPQLIHVIR | + | + | + | + | + | |
| TAVYGDQNECQLNR | + | + | + | |||
| GVLGTLFPGCAETFEEAQVSVGGGR | + | + | + | |||
| NAMYAPHYNINAHSIIYAIR | + | + | ||||
| LEACEPDHR | + | |||||
| QGQALTVPQNFAVVK | + | + | + | + | + | |
| FYIAGNPHQEFPQSMMTQQGR | + | |||||
| albumin (SNQ45151.1) | CPALEMEIQK | + | + | + | ||
| NIPSMCGMQPR | + | + | + | + | + | |
| 7S vicilin-like protein (SNQ45153.2) | GPELAAAFGLSLER | + | + | + | ||
| EILSSQQEGPIVYIPDSR | + | |||||
| NNYGWSIALDEFSYSPLR | + |
| Protein | Accession No. | Sequence Coverage (%) | Matched Peptides | Unique Score | Total Intensity (n = 3) | Peptide Sequence |
|---|---|---|---|---|---|---|
| Guinea fowl (Numida meleagris) | ||||||
| triosephosphate isomerase | XP_021251610.1 | 78.6 | 16 | 251.86 | 2.12 × 107 | LSADTEVVCGAPAIYLDFAR |
| phosphoglycerate mutase 1 | XP_021255837.1 | 47.2 | 9 | 131.51 | 1.82 × 107 | HLESMSEEAIMELNLPTGIPIVYELDK |
| Rabbit (Oryctolagus cuniculus) | ||||||
| myosin heavy chain | NP_001103286.1 | 68.1 | 186 | 3179.44 | 1.71 × 109 | TLAFLFTGTAAAEAEGGGK |
| myosin heavy chain, skeletal muscle | XP_008268944.1 | 72.5 | 180 | 2981.90 | TLAFLFSGAQTGEEGGGGGK | |
| fructose-bisphosphate aldolase A | NP_001075707.1 | 78.7 | 27 | 421.31 | 1.41 × 109 | PHSHPALTPEQK |
| ATP-dependent 6-phosphofructokinase, muscle type | XP_002723486.1 | 29.1 | 17 | 250.81 | 1.18 × 107 | ALVFQPVTELQNQTDFEHR |
| beta globin | AAA02985.1 | 53.7 | 6 | 99.36 | 7.09 × 106 | FFESFGDLSSAHAVMSNPK |
| VLAAFSEGLNHLDNLK | ||||||
| Pig (Sus scrofa) | ||||||
| myosin-1 | NP_001098421.1 | 74.7 | 205 | 3512.06 | 2.12 × 109 | TLAFLFTGAAGADAEAGGGK |
| myosin-2 isoform X1 | XP_020921875.1 | 71.3 | 194 | 3311.78 | 1.76 × 109 | TLAFLFSGAQTGEAEAGGTK |
| myosin-4 | NP_001116613.1 | 74.0 | 190 | 3190.20 | 1.71 × 109 | TLAFLFAER |
| myosin-7 | NP_999020.2 | 71.4 | 184 | 3007.08 | 1.13 × 109 | LLSNLFANYAGADTPVEK |
| albumin, partial | CAA30970.1 | 72.3 | 43 | 676.67 | 6.21 × 107 | TVLGNFAAFVQK |
| carbonic anhydrase 3 | NP_001008688.1 | 81.1 | 17 | 272.82 | 5.96 × 107 | HDPSLLPWTASYDPGSAK |
| hemoglobin (beta subunit) | pdb|1QPW|B | 85.6 | 12 | 212.07 | 2.28 × 107 | FFESFGDLSNADAVMGNPK |
| glyceraldehyde-3-phosphate dehydrogenase | NP_001193288.1 | 90.0 | 26 | 445.78 | 3.92 × 108 | WGDAGATYVVESTGVFTTMEK |
| Chicken (Gallus gallus) | ||||||
| myosin binding protein C | NP_001038124.1 | 46.5 | 40 | 617.87 | 3.28 × 107 | TSDVDSVFFIR |
| LDVPISGEPAPTVTWK | ||||||
| VAGAALPCAPAVK | ||||||
| pyruvate kinase | NP_990800.1 | 79.2 | 35 | 588.24 | 1.16 × 108 | EPADAMAAGAVEASFK |
| beta-enolase | NP_990450.1 | 54.8 | 21 | 387.40 | 1.29 × 108 | LAMQEFMVLPVGAASFHDAMR |
| sarcoplasmic/endoplasmic reticulum calcium ATPase 1 | NP_990850.1 | 46.2 | 42 | 649.66 | 8.81 × 107 | IGIFTEDEEVSGR |
Publisher’s Note: MDPI stays neutral with regard to jurisdictional claims in published maps and institutional affiliations. |
© 2021 by the authors. Licensee MDPI, Basel, Switzerland. This article is an open access article distributed under the terms and conditions of the Creative Commons Attribution (CC BY) license (http://creativecommons.org/licenses/by/4.0/).
Share and Cite
Kotecka-Majchrzak, K.; Kasałka-Czarna, N.; Sumara, A.; Fornal, E.; Montowska, M. Multispecies Identification of Oilseed- and Meat-Specific Proteins and Heat-Stable Peptide Markers in Food Products. Molecules 2021, 26, 1577. https://doi.org/10.3390/molecules26061577
Kotecka-Majchrzak K, Kasałka-Czarna N, Sumara A, Fornal E, Montowska M. Multispecies Identification of Oilseed- and Meat-Specific Proteins and Heat-Stable Peptide Markers in Food Products. Molecules. 2021; 26(6):1577. https://doi.org/10.3390/molecules26061577
Chicago/Turabian StyleKotecka-Majchrzak, Klaudia, Natalia Kasałka-Czarna, Agata Sumara, Emilia Fornal, and Magdalena Montowska. 2021. "Multispecies Identification of Oilseed- and Meat-Specific Proteins and Heat-Stable Peptide Markers in Food Products" Molecules 26, no. 6: 1577. https://doi.org/10.3390/molecules26061577
APA StyleKotecka-Majchrzak, K., Kasałka-Czarna, N., Sumara, A., Fornal, E., & Montowska, M. (2021). Multispecies Identification of Oilseed- and Meat-Specific Proteins and Heat-Stable Peptide Markers in Food Products. Molecules, 26(6), 1577. https://doi.org/10.3390/molecules26061577

