Active Substances from Callicarpa nudiflora Exert Anti-Cervicitis Effects and Regulate NLRP3-Associated Inflammation
Abstract
:1. Introduction
2. Results
2.1. The Extracts Exhibited Low Cytotoxicity to RAW264.7 Cells
2.2. Anti-Inflammatory Activity of the Extracts In Vitro
2.3. The Extracts Affected the Body Weight Gain
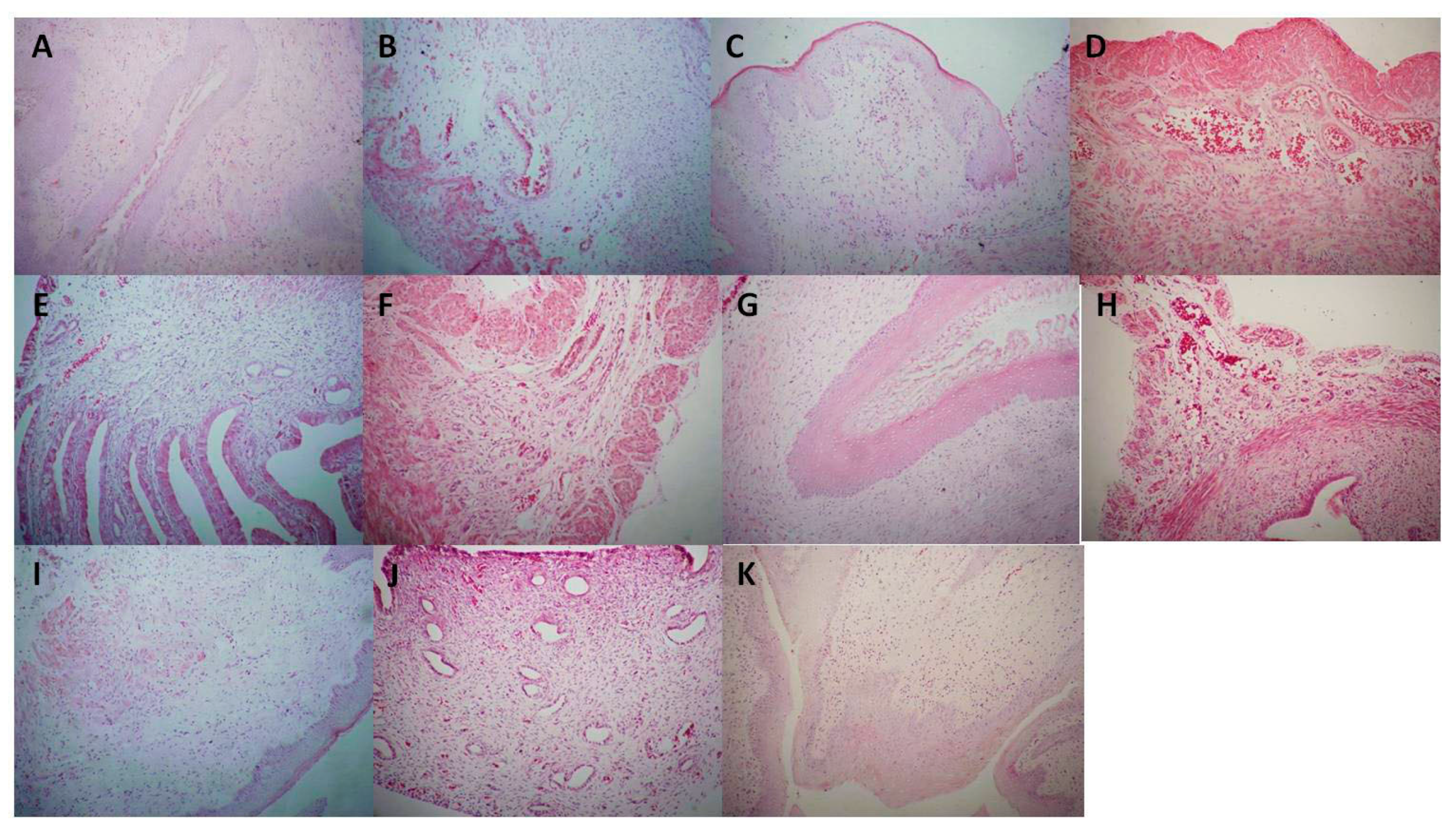
2.4. The Extracts Showed Significant Activity in Reducing Inflammation in Cervical Morphology
2.5. Changes in the Liver, Kidney, Spleen, Thymus and Other Organs Treatment with Different Extracts
2.6. Inflammatory Cytokine Changes in Cervical Tissues and Serum Treated with Different Extracts
2.7. Anti-Inflammatory Activity of Diterpenoids from CNE-p In Vitro
2.8. The Binding Energy and the Amino Acid Residue between Compounds and NLRP3
2.9. Regulating Effects of Diterpenoids on NLRP3 In Vitro
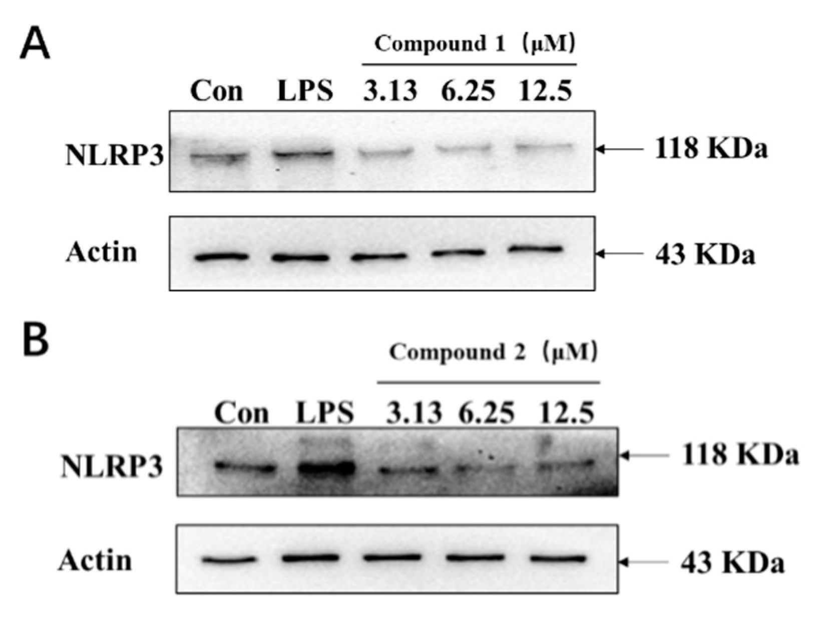
2.10. Protein Expressions Regulating Effects of Compounds 1 and 2 on NLRP3
3. Discussion
4. Experimental
4.1. Plant Materials
4.2. Extraction and Isolation
4.3. MTT Assay
4.4. Anti-Inflammatory Activity Test
4.5. Molecular Docking Studies
4.6. Western Blot Assay
4.7. Animals and Experimental Design
4.8. Statistical Analysis
5. Conclusions
Author Contributions
Funding
Institutional Review Board Statement
Data Availability Statement
Conflicts of Interest
Sample Availability
References
- Ortiz-de la Tabla, V.; Gutiérrez, F. Cervicitis: Etiology, diagnosis and treatment. Enferm. Infecc. Microbiol. Clin. 2019, 37, 661–667. [Google Scholar] [CrossRef] [PubMed]
- Hester, E.E.; Middleman, A.B. A Clinical Conundrum: Chronic Cervicitis. J. Pediatr. Adolesc. Gynecol. 2019, 32, 342–344. [Google Scholar] [CrossRef] [PubMed]
- Lusk, M.J.; Konecny, P. Cervicitis: A review. Curr. Opin. Infect. Dis. 2008, 21, 49–55. [Google Scholar] [CrossRef] [PubMed]
- Dionne-Odom, J.; Marrazzo, J. Cervicitis: Balancing the Goals of Empiric Therapy and Antimicrobial Stewardship to Improve Women’s Health. Sex Transm. Dis. 2020, 47, 387–388. [Google Scholar] [CrossRef]
- Kulkani, R.N.; Durge, P.M. Role of socio-economic factors and cytology in cervical erosion in reproductive age group women. Indian J. Med. Sci. 2002, 56, 598–601. [Google Scholar]
- Mao, L.Y.; Gao, Y.P. Advances in the experimental study of topical application of Chinese herbs in the treatment of chronic cervicitis. Hunan J. Traditional. 2006, 22, 76–77. [Google Scholar]
- Wang, K.; Liu, L.; Yang, Y.; Liu, X.; Zhang, L.; Xu, W.; Zhang, Y.; Yang, X.; Zhang, P.; Peng, K.; et al. An effective UFLC-MS/MS method used to study pharmacokinetics of major constituents of Fukeqianjin formula in rat plasma. Chin. Med. 2020, 15, 74. [Google Scholar] [CrossRef]
- Wang, Q.Y.; Chen, H.P. Treatment of chronic cervicitis with combined use of POME phototherapy and Baofukang suppository. J. Chin. Integr. Med. 2005, 3, 139–140. [Google Scholar] [CrossRef]
- Liu, S.Q. Xiaomishuan in the treatment of 542 cases of cervical erosion. Chin. J. Mod. Dev. Tradit. Med. 1987, 7, 280–281. [Google Scholar]
- Yang, Y.; Li, Z.Y.; Shao, J.J.; Wang, G.; Wen, R.; Tian, J.Z.; Hou, L. Callicarpa nudiflora Hook. & Arn.: A comprehensive review of its phytochemistry and pharmacology. J. Ethnopharmacol. 2021, 264, 113123. [Google Scholar]
- Fu, H.Z.; Ma, Y.Y.; Ma, S.C.; Zhou, Z.Q.; Luo, Y.H. Two new iridoid glycosides from Callicarpa nudiflora. J. Asian Nat. Prod. Res. 2020, 22, 264–270. [Google Scholar] [CrossRef] [PubMed]
- Tu, Y.; Sun, L.; Guo, M.; Chen, W. The medicinal uses of Callicarpa L. in traditional Chinese medicine: An ethnopharmacological, phytochemical and pharmacological review. J. Ethnopharmacol. 2013, 146, 465–481. [Google Scholar] [CrossRef]
- Wu, Y.S.; Shi, L.; Liu, X.G.; Li, W.; Wang, R.; Huang, S.; Li, Y.; Yan, D.L.; Wang, H.Y.; Tian, Y.; et al. Chemical profiling of Callicarpa nudiflora and its effective compounds identification by compound-target network analysis. J. Pharm. Biomed. Anal. 2020, 182, 113110. [Google Scholar] [CrossRef]
- Wang, H.G.; Luo, F.K.; Lei, X.; Yao, Y.D.; Liao, G.C.; Liu, Z.Q.; Jiang, Z.H.; Zhou, H.; Wu, P. 3, 4-seco-Labdane diterpenoids from the leaves of Callicarpa nudiflora with anti-inflammatory effects. Chin. J. Nat. Med. 2019, 17, 707–712. [Google Scholar] [CrossRef]
- Fu, H.Z.; Ren, Q.; Zhou, Z.Q.; Chen, W.K.; Wei, F.; Ma, S.C.; Luo, Y.H. Study on Quality Control Methods of Callicarpa Nudiflora and Related Preparations. Drug Eval. 2020, 17, 1–8. [Google Scholar]
- Ma, L.L.; Liu, P. Callicarpa nudiflora Suppository Treatment of Cervicitis. J. Chin. Phys. 2004, 6, 1144. [Google Scholar]
- Huang, G.Y. Analysis of 112 cases of cervical erosion treated with Callicarpa nudiflora tablets combined with high-frequency electric knife. Zhe Jiang Med. 2005, 27, 554–555. [Google Scholar]
- Xue, B.Y. Callicarpa nudiflora Suppository plus laser treatment of 90 cases of moderate and severe cervical erosion. J. Clin. Res. 2005, 22, 1320. [Google Scholar]
- Marrazzo, J.M.; Martin, D.H. Management of women with cervicitis. Clin. Infect Dis. 2007, 44, S102–S110. [Google Scholar] [CrossRef] [Green Version]
- Wilson, J.F. In the clinic. Vaginitis and cervicitis. Ann. Intern. Med. 2009, 151, ITC3-1–ITC3-15; Quiz ITC3-16. [Google Scholar]
- Oliveto, J.M.; Muinov, L. Cystic Cervicitis: A Case Report and Literature Review of Cystic Cervical Lesions. J. Comput. Assist. Tomogr. 2016, 40, 564–566. [Google Scholar] [CrossRef] [PubMed]
- Wu, Z.X. Observation of curative effect of traditional Chinese medicine on gynecological chronic cervicitis. China Practical. Med. 2018, 13, 128–129. [Google Scholar]
- Yang, Y.; Wang, H.N.; Kouadir, M.; Song, H.; Shi, F. Recent advances in the mechanisms of NLRP3 inflammasome activation and its inhibitors. Cell Death Dis. 2019, 10, 128. [Google Scholar] [CrossRef] [Green Version]
- Martinon, F.; Burns, K.J. The inflammasome: A molecular platform triggering activation of inflammatory Tschopp caspases and processing of proIL-beta. Mol. Cell. 2002, 10, 417–426. [Google Scholar] [CrossRef]
- Calixto, J.B.; Otuki, M.F.; Santos, A.R. Anti-inflammatory compounds of plant origin. Part I. Action on arachidonic acid pathway, nitric oxide and nuclear factor k B (NF-kB). Planta Med. 2003, 69, 973–983. [Google Scholar] [PubMed]
- Franchi, L.; Muñoz-Planillo, R.; Núñez, G. Sensing and reacting to microbes through the inflammasomes. Nat. Immunol. 2012, 13, 325–332. [Google Scholar] [CrossRef] [PubMed]
- Zhou, Y.T.; Ye, C.Y.; Zhu, L. New advances in the activation mechanisms of NLRP3 inflammasome and its inhibitors. Basic Clin. Med. 2020, 40, 1113–1118. [Google Scholar]
- Dong, L.; Zhang, L.; Zhang, X.P.; Liu, M.S.; Wang, J.H. Two new 3,4-seco-labdane diterpenoids from Callicarpa nudiflora and their inhibitory activities against nitric oxide production. Phytochem. Lett. 2014, 10, 127–131. [Google Scholar] [CrossRef]
- Zhang, L.; Dong, L.; Huang, J.; Liu, M.; Li, G.; Zhang, C.; Zhang, K.; Wang, J. 3, 4-seco-Labdane diterpenoids from the leaves of Callicarpa nudiflora and their inhibitory effects on nitric oxide production. Fitoterapia 2013, 89, 218–223. [Google Scholar] [CrossRef]
- Dong, L.; Liu, M.S.; Wang, J.H.; Zhang, L.; Shen, S.; Zhang, X.P.; Guan, W.W. Research on chemical constituents of Chloroform Fraction from Li Nationality medicine Callicarpa nudiflora Hook. Et Arn. China Med. Herald. 2012, 9, 21–22. [Google Scholar]
- Sharif, H.; Wang, L.; Wang, W.L.; Wang, W.L.; Magupalli, V.G.; Andreeva, L.; Qiao, Q.; Hauenstein, A.V.; Wu, Z.; Nunez, G.; et al. Structural mechanism for NEK7-licensed activation of NLRP3 inflammasome. Nature 2019, 570, 338–343. [Google Scholar] [CrossRef] [PubMed]
- Morris, G.M.; Huey, R.; Olson, A.J. Using autodock for ligand receptor docking. Curr. Protoc. Bioinform. 2008, 24, 8.14. 1–8.14. 40. [Google Scholar] [CrossRef] [PubMed]
- Huang, Y.Z.; Zhang, B.; Li, J.M.; Liu, H.; Zhang, Y.; Zhang, Y.; Liu, W. Design, synthesis, biological evaluation and docking study of novel indole-2-amide as antiinflammatory agents with dual inhibition of COX and 5-LOX. Eur. J. Med. Chem. 2019, 180, 41–50. [Google Scholar] [CrossRef] [PubMed]
- Seeliger, D.; de Groot, B.L. Ligand docking and binding site analysis with PyMOL and Autodock/Vina. J. Comput.-Aided Mol. Des. 2010, 24, 417–422. [Google Scholar] [CrossRef] [Green Version]











| Group | Concentration | NLRP3 (pg/mL) | Group | Concentration | NLRP3 (pg/mL) |
|---|---|---|---|---|---|
| Control | —— | 344.58 | Compound 1 | 3.125 μM | 297.71 **## |
| LPS (1 mg/L) | —— | 517.50 ** | 6.25 μM | 231.56 **## | |
| 12.5 μM | 202.40 **## | ||||
| CNE-p | 12.5 μg/mL | 387.81 **## | Compound 2 | 6.25 μM | 432.08 **## |
| 25 μg/mL | 363.85 ## | 12.5 μM | 416.46 **## | ||
| 50 μg/mL | 357.60 ## | 25 μM | 383.13 **## |
Publisher’s Note: MDPI stays neutral with regard to jurisdictional claims in published maps and institutional affiliations. |
© 2021 by the authors. Licensee MDPI, Basel, Switzerland. This article is an open access article distributed under the terms and conditions of the Creative Commons Attribution (CC BY) license (https://creativecommons.org/licenses/by/4.0/).
Share and Cite
Liu, T.; Wang, R.; Liu, C.; Lu, J.; Wang, Y.; Dong, L.; Zhang, X. Active Substances from Callicarpa nudiflora Exert Anti-Cervicitis Effects and Regulate NLRP3-Associated Inflammation. Molecules 2021, 26, 6217. https://doi.org/10.3390/molecules26206217
Liu T, Wang R, Liu C, Lu J, Wang Y, Dong L, Zhang X. Active Substances from Callicarpa nudiflora Exert Anti-Cervicitis Effects and Regulate NLRP3-Associated Inflammation. Molecules. 2021; 26(20):6217. https://doi.org/10.3390/molecules26206217
Chicago/Turabian StyleLiu, Tianchi, Ruiqi Wang, Chenpeng Liu, Jiahong Lu, Yitao Wang, Lin Dong, and Xiaopo Zhang. 2021. "Active Substances from Callicarpa nudiflora Exert Anti-Cervicitis Effects and Regulate NLRP3-Associated Inflammation" Molecules 26, no. 20: 6217. https://doi.org/10.3390/molecules26206217
APA StyleLiu, T., Wang, R., Liu, C., Lu, J., Wang, Y., Dong, L., & Zhang, X. (2021). Active Substances from Callicarpa nudiflora Exert Anti-Cervicitis Effects and Regulate NLRP3-Associated Inflammation. Molecules, 26(20), 6217. https://doi.org/10.3390/molecules26206217

