The Anti-Inflammatory Effect of a γ-Lactone Isolated from Ostrich Oil of Struthio camelus (Ratite) and Its Formulated Nano-Emulsion in Formalin-Induced Paw Edema
Abstract
1. Introduction
2. Results and Discussion
2.1. Isolation and Characterization of γ-Lactone (5-hexyl-3H-furan-2one)
2.2. Nanoparticles Preparations
2.3. Fourier-Transform Infrared Spectroscopy (FTIR)
2.4. Differential Scanning Calorimetry (DSC)
2.5. Encapsulation Efficiency of γ-Lactone in Nanoparticles
2.6. Anti-Inflammatory Activity
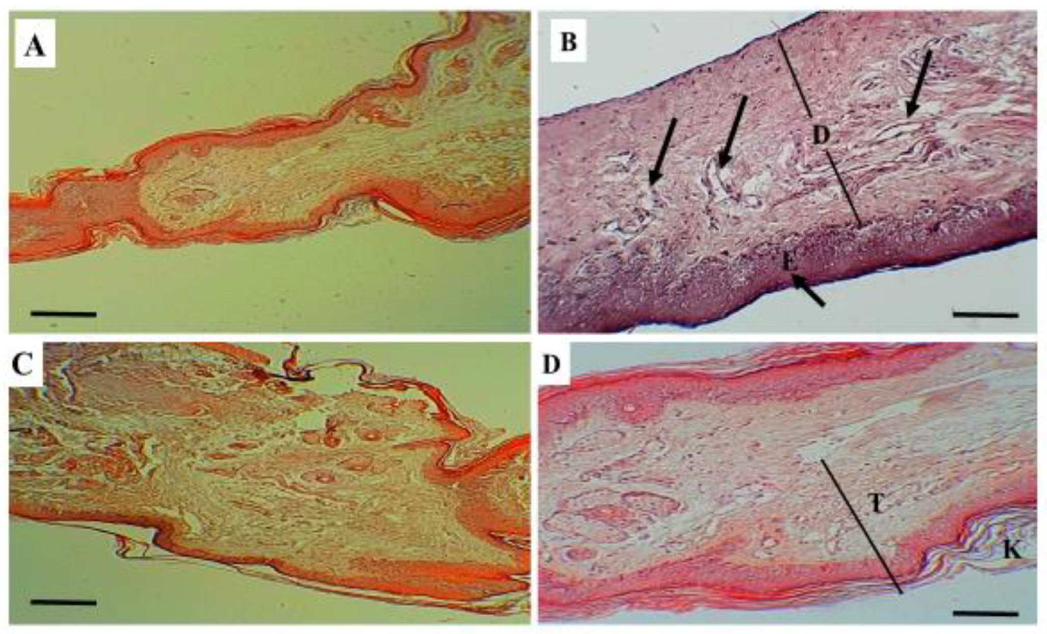
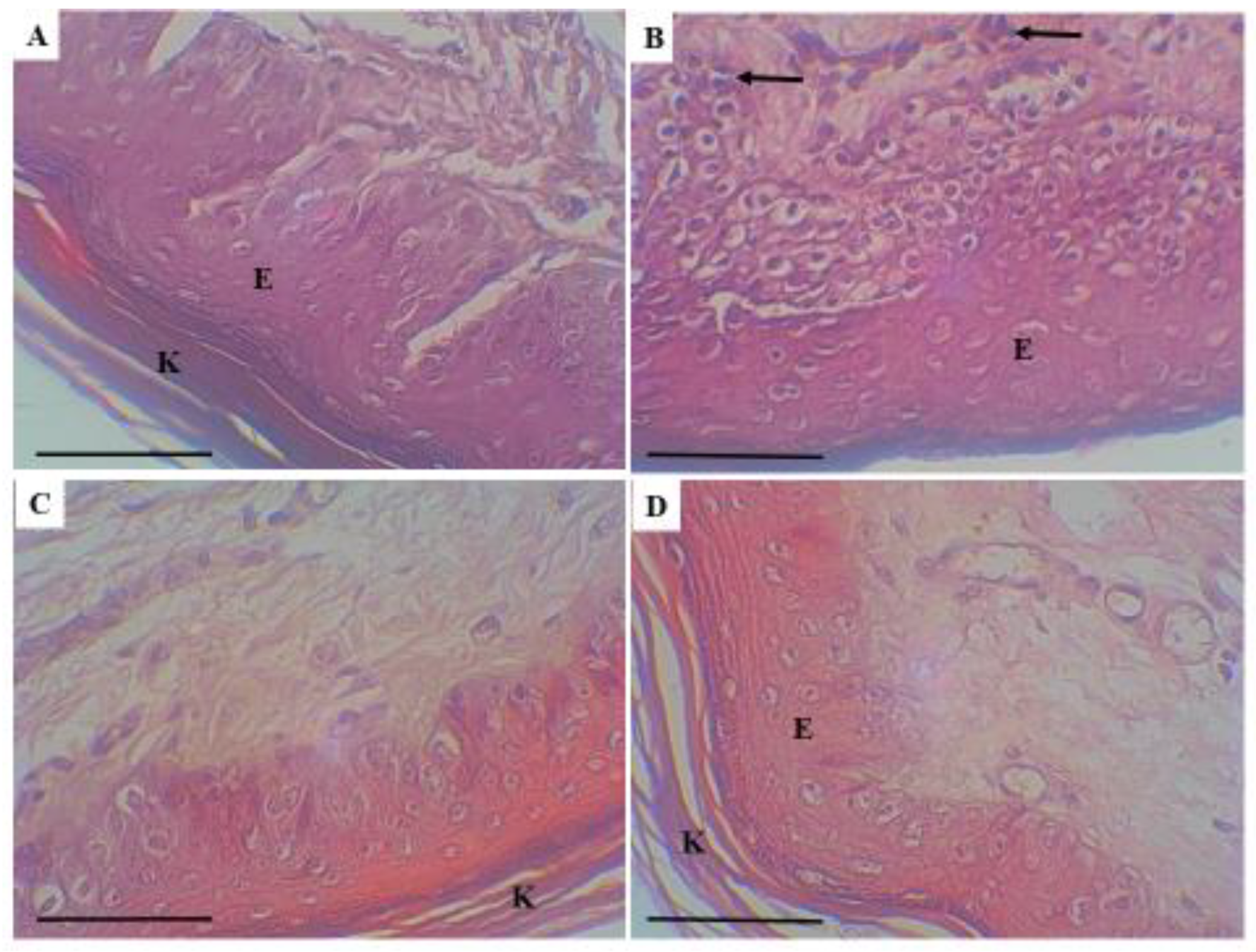
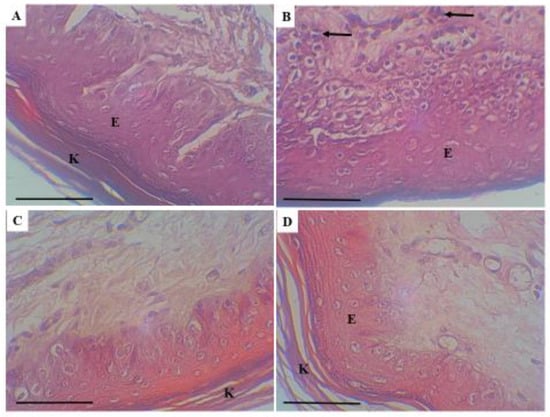
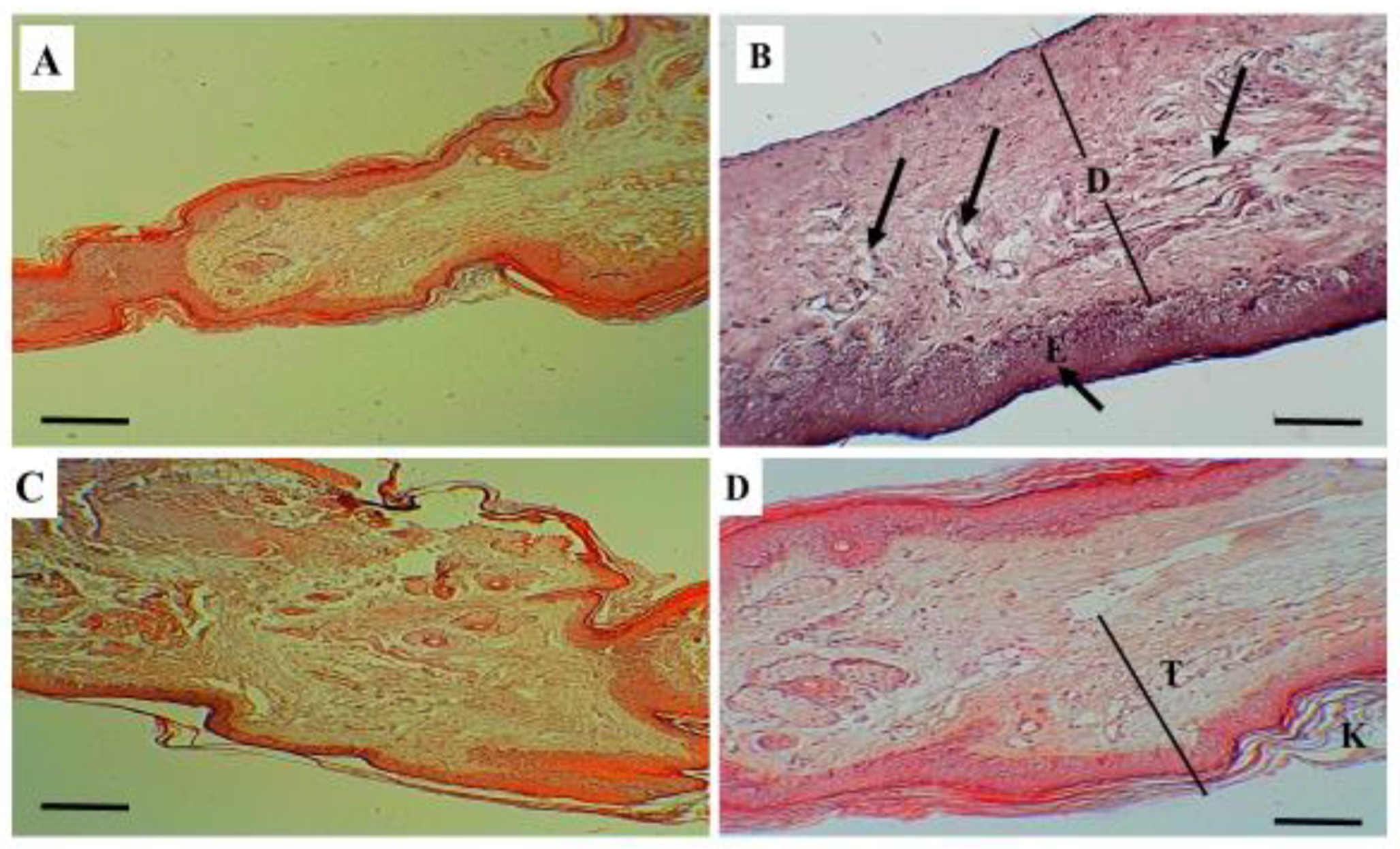
2.7. The Histological Evaluation of Skin Tissues for Topical γ-Lactone
2.8. Acute Toxicity and Weight Changes Study
2.9. The Diuretic Effect of Oral γ-Lactone-MC-NPs
3. Materials and Methods
3.1. Extraction
3.2. Separation and Characterization
3.3. Nanosuspension Preparation of γ-Lactone
3.4. Size Measurements
3.5. Determination of Surface Morphology
3.6. Fourier Transform Infrared (FTIR) Spectroscopy
3.7. Differential Scanning Calorimetry (DSC)
3.8. Determination of Entrapment Efficiency %
3.9. Animal Study
3.9.1. Anti-Inflammatory Evaluation
3.9.2. Formalin-Induced Edema in the Left Paw of Rats
3.9.3. Application of Diclofenac Gel and γ-Lactone
3.9.4. Oral of Ibuprofen Suspension and γ-Lactone-MC-NPs
3.9.5. Acute Toxicity and Weight Changes Study
3.9.6. Diuretic Activity of Oral γ-Lactone-MC-NPs
3.10. Histological Evaluation of Tissue
3.11. Statistical Analysis of Results
4. Conclusions
Supplementary Materials
Author Contributions
Funding
Institutional Review Board Statement
Informed Consent Statement
Data Availability Statement
Acknowledgments
Conflicts of Interest
Sample Availability
References
- Eldeeb, H.M.; Mohammed, H.A.; Sajid, M.S.M.; Eltom, S.E.M.; Al-Omar, M.S.; Mobark, M.A.; Ahmed, A.S. Effect of Roasted Date Palm Rich Oil Extracts in Liver Protection and Antioxidant Restoration in CCl4-induced Hepato Toxicity in Rats. Int. J. Pharmacol. 2020, 16, 367–374. [Google Scholar] [CrossRef]
- Mohammed, H.A.; Ba, L.A.; Burkholz, T.; Schumann, E.; Diesel, B.; Zapp, J.; Kiemer, A.K.; Ries, C.; Hartmann, R.W.; Hosny, M. Facile synthesis of chrysin-derivatives with promising activities as aromatase inhibitors. Nat. Prod. Commun. 2011, 6, 31–34. [Google Scholar] [CrossRef]
- Mohammed, H.A.; Abdel-Aziz, M.M.; Hegazy, M.M. Anti-oral pathogens of tecoma stans (L.) and cassia javanica (l.) flower volatile oils in comparison with chlorhexidine in accordance with their folk medicinal uses. Medicina 2019, 55, 301. [Google Scholar] [CrossRef] [PubMed]
- Yoganathan, S.; Nicolosi, R.; Wilson, T.; Handelman, G.; Scollin, P.; Tao, R.; Binford, P.; Orthoefer, F. Antagonism of croton oil inflammation by topical emu oil in CD-1 mice. Lipids 2003, 38, 603–607. [Google Scholar] [CrossRef] [PubMed]
- Abdel-Aziz, M.M.; Al-Omar, M.S.; Mohammed, H.A.; Emam, T.M. In vitro and Ex vivo antibiofilm activity of a lipopeptide biosurfactant produced by the entomopathogenic Beauveria bassiana strain against microsporum canis. Microorganisms 2020, 8, 232. [Google Scholar] [CrossRef] [PubMed]
- Horbańczuk, O.K.; Wierzbicka, A. Technological and nutritional properties of ostrich, emu, and rhea meat quality. J. Vet. Res. 2016, 60, 279–286. [Google Scholar] [CrossRef]
- Basuny, A.; Arafat, S.; Soliman, H. Biological Evaluation of Ostrich Oil and Its Using for Production of Biscuit. Egypt. J. Chem. 2017, 60, 1091–1099. [Google Scholar]
- Abdellatif, A.A.H.; Alawadh, S.H.; Bouazzaoui, A.; Alhowail, A.H.; Mohammed, H.A. Anthocyanins rich pomegranate cream as a topical formulation with anti-aging activity. J. Dermatol. Treat. 2020, 1–8. [Google Scholar] [CrossRef]
- Abdellatif, A.A.H.; Elgayed, S.H.; Afify, E.A.; Amin, H.A. Estrogenic Effect of Salvia officinalis Extract on Reproductive Function of Female Mice and Identification of Its Phenolic Content. Comb. Chem. High Throughput Screen. 2020. [Google Scholar] [CrossRef] [PubMed]
- Lopez, A.; Sims, D.E.; Ablett, R.F.; Skinner, R.E.; Léger, L.W.; Lariviere, C.M.; Jamieson, L.A.; Martínez-Burnes, J.; Zawadzka, G.G. Effect of emu oil on auricular inflammation induced with croton oil in mice. Am. J. Vet. Res. 1999, 60, 1558–1561. [Google Scholar] [PubMed]
- Gunstone, F.D.; Russell, W.C. Animal fats. 3. The component acids of ostrich fat. Biochem. J. 1954, 57, 459. [Google Scholar] [CrossRef] [PubMed]
- Zhang, Y.; Shang, Z.; Gao, C.; Du, M.; Xu, S.; Song, H.; Liu, T. Nanoemulsion for solubilization, stabilization, and in vitro release of pterostilbene for oral delivery. AAPS PharmSciTech 2014, 15, 1000–1008. [Google Scholar] [CrossRef]
- Anton, N.; Benoit, J.-P.; Saulnier, P. Design and production of nanoparticles formulated from nano-emulsion templates—A review. J. Control. Release 2008, 128, 185–199. [Google Scholar] [CrossRef]
- Lovelyn, C.; Attama, A.A. Current state of nanoemulsions in drug delivery. J. Biomater. Nanobiotechnol. 2011, 2, 626. [Google Scholar] [CrossRef]
- Jaiswal, M.; Dudhe, R.; Sharma, P.K. Nanoemulsion: An advanced mode of drug delivery system. 3 Biotech 2015, 5, 123–127. [Google Scholar] [CrossRef]
- Muratore, M.E.; Holloway, C.A.; Pilling, A.W.; Storer, R.I.; Trevitt, G.; Dixon, D.J. Enantioselective Brønsted acid-catalyzed N-acyliminium cyclization cascades. J. Am. Chem. Soc. 2009, 131, 10796–10797. [Google Scholar] [CrossRef] [PubMed]
- Abdellatif, A.A.H.; Abou-Taleb, H.A.; Abd El Ghany, A.A.; Lutz, I.; Bouazzaoui, A. Targeting of somatostatin receptors expressed in blood cells using quantum dots coated with vapreotide. Saudi Pharm. J. 2018, 26, 1162–1169. [Google Scholar] [CrossRef]
- Abdellatif, A.A.H.; Tawfeek, H.M. Development and evaluation of fluorescent gold nanoparticles. Drug Dev. Ind. Pharm. 2018, 44, 1679–1684. [Google Scholar] [CrossRef] [PubMed]
- Abdellatif, A.A.H.; Zayed, G.; El-Bakry, A.; Zaky, A.; Saleem, I.Y.; Tawfeek, H.M. Novel gold nanoparticles coated with somatostatin as a potential delivery system for targeting somatostatin receptors. Drug Dev. Ind. Pharm. 2016, 42, 1782–1791. [Google Scholar] [CrossRef]
- Abdellatif, A.A.H.; Rasheed, Z.; Alhowail, A.H.; Alqasoumi, A.; Alsharidah, M.; Khan, R.A.; Aljohani, A.S.M.; Aldubayan, M.A.; Faisal, W. Silver citrate nanoparticles inhibit PMA-induced TNFα expression via deactivation of NF-κB activity in human cancer cell-lines, MCF-7. Int. J. Nanomed. 2020, 15, 8479. [Google Scholar] [CrossRef]
- Zheng, T.; Bott, S.; Huo, Q. Techniques for accurate sizing of gold nanoparticles using dynamic light scattering with particular application to chemical and biological sensing based on aggregate formation. ACS Appl. Mater. Interfaces 2016, 8, 21585–21594. [Google Scholar] [CrossRef]
- Zhang, H.-Y.; Xu, W.-Q.; Zheng, Y.; Omari-Siaw, E.; Zhu, Y.; Cao, X.; Tong, S.-S.; Yu, J.; Xu, X. Octreotide-periplocymarin conjugate prodrug for improving targetability and anti-tumor efficiency: Synthesis, in vitro and in vivo evaluation. Oncotarget 2016, 7, 86326. [Google Scholar] [CrossRef]
- Nagpal, M.; Singh, S.K.; Mishra, D. Synthesis characterization and in vitro drug release from acrylamide and sodium alginate based superporous hydrogel devices. Int. J. Pharm. Investig. 2013, 3, 131. [Google Scholar]
- Niemczyk-Soczynska, B.; Gradys, A.; Kolbuk, D.; Krzton-Maziopa, A.; Sajkiewicz, P. Crosslinking kinetics of methylcellulose aqueous solution and its potential as a scaffold for tissue engineering. Polymers 2019, 11, 1772. [Google Scholar] [CrossRef] [PubMed]
- Tawfeek, H.M.; Abdellatif, A.A.H.; Dennison, T.J.; Mohammed, A.R.; Sadiq, Y.; Saleem, I.Y. Colonic delivery of indometacin loaded PGA-co-PDL microparticles coated with Eudragit L100-55 from fast disintegrating tablets. Int. J. Pharm. 2017, 531, 80–89. [Google Scholar] [CrossRef]
- Pilotto, A.; Sancarlo, D.; Addante, F.; Scarcelli, C.; Franceschi, M. Non-steroidal anti-inflammatory drug use in the elderly. Surg. Oncol. 2010, 19, 167–172. [Google Scholar] [CrossRef] [PubMed]
- Huerta, C.; Castellsague, J.; Varas-Lorenzo, C.; Rodríguez, L.A.G. Nonsteroidal anti-inflammatory drugs and risk of ARF in the general population. Am. J. Kidney Dis. 2005, 45, 531–539. [Google Scholar] [CrossRef]
- Kim, H.-D.; Cho, K.-H.; Lee, B.-W.; Kwon, Y.-S.; Lee, H.-S.; Choi, S.-H.; Ku, S.-K. Effects of Magnetic Infrared Laser Irradiation on Formalin-Induced Chronic Paw Inflammation of Mice. J. Phys. Ther. Sci. 2010, 22, 395–404. [Google Scholar] [CrossRef][Green Version]
- Ahmad, N.S.; Waheed, A.; Farman, M.; Qayyum, A. Analgesic and anti-inflammatory effects of Pistacia integerrima extracts in mice. J. Ethnopharmacol. 2010, 129, 250–253. [Google Scholar] [CrossRef]
- Chandra, S.; Chatterjee, P.; Dey, P.; Bhattacharya, S. Evaluation of anti-inflammatory effect of ashwagandha: A preliminary study in vitro. Pharmacogn. J. 2012, 4, 47–49. [Google Scholar] [CrossRef]
- Al-Baidhani, A.M.; Al-Mossawi, A.H. The study of chemical content and physicochemical properties of ostrich (Struthio camelus) fat (local). In Proceedings of the IOP Conference Series: Earth and Environmental Science; IOP Publishing: Bristol, UK, 2019; 388, p. 12055. [Google Scholar]
- Kuki, Á.; Nagy, L.; Zsuga, M.; Kéki, S. Fast identification of phthalic acid esters in poly (vinyl chloride) samples by direct analysis in real time (DART) tandem mass spectrometry. Int. J. Mass Spectrom. 2011, 303, 225–228. [Google Scholar] [CrossRef]
- Orasugh, J.T.; Saha, N.R.; Sarkar, G.; Rana, D.; Mishra, R.; Mondal, D.; Ghosh, S.K.; Chattopadhyay, D. Synthesis of methylcellulose/cellulose nano-crystals nanocomposites: Material properties and study of sustained release of ketorolac tromethamine. Carbohydr. Polym. 2018, 188, 168–180. [Google Scholar] [CrossRef] [PubMed]
- Mohammed, H.A.; Al-Omar, M.S.; El-Readi, M.Z.; Alhowail, A.H.; Aldubayan, M.A.; Abdellatif, A.A.H. Formulation of Ethyl Cellulose Microparticles Incorporated Pheophytin A Isolated from Suaeda vermiculata for Antioxidant and Cytotoxic Activities. Molecules 2019, 24, 1501. [Google Scholar] [CrossRef] [PubMed]
- Tawfeek, H.M.; Abdellatif, A.A.H.; Abdel-Aleem, J.A.; Hassan, Y.A.; Fathalla, D. Transfersomal gel nanocarriers for enhancement the permeation of lornoxicam. J. Drug Deliv. Sci. Technol. 2020, 56, 101540. [Google Scholar] [CrossRef]
- Soyocak, A.; Kurt, H.; Cosan, D.T.; Saydam, F.; Calis, I.U.; Kolac, U.K.; Koroglu, Z.O.; Degirmenci, I.; Mutlu, F.S.; Gunes, H.V. Tannic acid exhibits anti-inflammatory effects on formalin-induced paw edema model of inflammation in rats. Hum. Exp. Toxicol. 2019, 38, 1296–1301. [Google Scholar] [CrossRef]
- Sepehri, Z.; Fereidoni, M.; Niazmand, S. Role of C-fibers during acute and chronic stress on formalin-induced paw edema in rats. Indian J. Exp. Biol. 2012, 50, 633–637. [Google Scholar]
- Kaushik, D.; Kumar, A.; Kaushik, P.; Rana, A.C. Analgesic and Anti-Inflammatory Activity of Pinus roxburghii Sarg. Adv. Pharmacol. Sci. 2012, 2012, 245431. [Google Scholar] [PubMed]
- Melarange, R.; Gentry, C.; O’Connell, C.; Blower, P.R. Anti-inflammatory efficacy and gastrointestinal irritancy: Comparative 1 month repeat oral dose studies in the rat with nabumetone, ibuprofen and diclofenac. Agents Actions Suppl. 1991, 32, 33–37. [Google Scholar]
- Vilela, R.G.; Gjerde, K.; Frigo, L.; Junior, E.C.P.L.; Lopes-Martins, R.Á.B.; Kleine, B.M.; Prokopowitsch, I. Histomorphometric analysis of inflammatory response and necrosis in re-implanted central incisor of rats treated with low-level laser therapy. Lasers Med. Sci. 2012, 27, 551–557. [Google Scholar] [CrossRef] [PubMed]
- Lahlou, S.; Tahraoui, A.; Israili, Z.; Lyoussi, B. Diuretic activity of the aqueous extracts of Carum carvi and Tanacetum vulgare in normal rats. J. Ethnopharmacol. 2007, 110, 458–463. [Google Scholar] [CrossRef]






| Test | Anti-Inflammatory Activity and Percentage Inhibition of Edema (Mean) | ||||
|---|---|---|---|---|---|
| 0 h | 1 h | 3 h | 6 h | 24 h | |
| Control group | 0 | 0 | 0 | 0 | 0 |
| Diclofenac gel treated * | 0% | 67.8% | 74.6% | 75.2% | 26.2% |
| Oral Ibuprofen suspension ** | 0% | 81.8% | 72.3% | 71.98% | 77.5% |
| γ-lactone treated * | 0% | 56.8% | 79.3% | 95.7% | 75.6% |
| Oral γ-lactone-MC-NPs *** | 0% | 92.5% | 88.3% | 89.76% | 77.9% |
| Number | Negative Control (Right Paw) | Positive Control (Left Paw) | Diclofenac Gel Treated | γ-Lactone Treated |
|---|---|---|---|---|
| 1 | 1.0054 | 1.3361 | 0.9075 | 1.0451 |
| 2 | 0.9895 | 1.2779 | 1.1536 | 0.8281 |
| 3 | 0.8916 | 1.3758 | 1.2859 | 0.9789 |
| 4 | 0.7699 | 1.1906 | 1.0716 | 1.0477 |
| 5 | 0.9524 | 1.1986 | 1.1800 | 0.9842 |
| 6 | 0.8281 | 1.2912 | 0.9895 | 0.8043 |
| Mean ± SEM | 0.9062 ± 0.038 | 1.2784 ± 0.030 | 1.098 ± 0.056 | 0.9481 ± 0.036 |
| Groups | Weight of Rat in Grams in 0 h (Mean ± SD) | Weight of Rat in Grams in First 24 h (Mean ± SD) | p-Value | Initial Observation up to 4 h | Weight of Rat at Day 4 |
|---|---|---|---|---|---|
| Control group (n = 3) | 232.7 ± 13 | 232.7 ± 13 | - | Normal | 229.4 ± 11.2 |
| Group 1 (n = 3) | 168.7 ± 11.5 | 160.7 ± 11.4 | 0.02 * | Drowsiness, Sedation, Lethargic, and refusal of feeding | 165.1 ± 12.6 One dead (33.3%) |
| Group 2 (n = 3) | 261.0 ± 13.0 | 250 ± 13.0 | 0.041* | Drowsiness, Sedation, Lethargic, and refusal of feeding | 258.9 ± 10.8 One dead (33.3%) |
| Volume of Urine (mL) Mean ± SD | |||||||
|---|---|---|---|---|---|---|---|
| Group | 1st Hour | 2nd Hour | 3rd Hour | 4th Hour | 5th Hour | Diuretic Action | Diuretic Activity |
| Control (n = 3) | 0.61 ± 0.015 | 0.84 ± 0.025 | 0.93 ± 0.010 | 1.01 ± 0.015 | 1.05 ± 0.020 | 1 | 0.55 |
| Furosemide (n = 3) | 1.16 ± 0.03 | 1.44 ± 0.030 | 1.63 ± 0.030 | 1.77 ± 0.025 | 2.03 ± 0.015 | 1.81 | 1 |
| γ-lactone-MC-NPs (n = 3) | 0.64 ± 0.015 | 0.81 ± 0.006 | 0.95 ± 0.010 | 1.04 ± 0.006 | 1.03 ± 0.020 | 1.01 | 0.57 |
Publisher’s Note: MDPI stays neutral with regard to jurisdictional claims in published maps and institutional affiliations. |
© 2021 by the authors. Licensee MDPI, Basel, Switzerland. This article is an open access article distributed under the terms and conditions of the Creative Commons Attribution (CC BY) license (https://creativecommons.org/licenses/by/4.0/).
Share and Cite
Eltom, S.E.M.; Abdellatif, A.A.H.; Maswadeh, H.; Al-Omar, M.S.; Abdel-Hafez, A.A.; Mohammed, H.A.; Agabein, E.M.; Alqasoomi, I.; Alrashidi, S.A.; Sajid, M.S.M.; et al. The Anti-Inflammatory Effect of a γ-Lactone Isolated from Ostrich Oil of Struthio camelus (Ratite) and Its Formulated Nano-Emulsion in Formalin-Induced Paw Edema. Molecules 2021, 26, 3701. https://doi.org/10.3390/molecules26123701
Eltom SEM, Abdellatif AAH, Maswadeh H, Al-Omar MS, Abdel-Hafez AA, Mohammed HA, Agabein EM, Alqasoomi I, Alrashidi SA, Sajid MSM, et al. The Anti-Inflammatory Effect of a γ-Lactone Isolated from Ostrich Oil of Struthio camelus (Ratite) and Its Formulated Nano-Emulsion in Formalin-Induced Paw Edema. Molecules. 2021; 26(12):3701. https://doi.org/10.3390/molecules26123701
Chicago/Turabian StyleEltom, Salah E. M., Ahmed A. H. Abdellatif, Hamzah Maswadeh, Mohsen S. Al-Omar, Atef A. Abdel-Hafez, Hamdoon A. Mohammed, Eiman ME. Agabein, Ibrahim Alqasoomi, Salem A. Alrashidi, Mohammed S. M. Sajid, and et al. 2021. "The Anti-Inflammatory Effect of a γ-Lactone Isolated from Ostrich Oil of Struthio camelus (Ratite) and Its Formulated Nano-Emulsion in Formalin-Induced Paw Edema" Molecules 26, no. 12: 3701. https://doi.org/10.3390/molecules26123701
APA StyleEltom, S. E. M., Abdellatif, A. A. H., Maswadeh, H., Al-Omar, M. S., Abdel-Hafez, A. A., Mohammed, H. A., Agabein, E. M., Alqasoomi, I., Alrashidi, S. A., Sajid, M. S. M., & Mobark, M. A. (2021). The Anti-Inflammatory Effect of a γ-Lactone Isolated from Ostrich Oil of Struthio camelus (Ratite) and Its Formulated Nano-Emulsion in Formalin-Induced Paw Edema. Molecules, 26(12), 3701. https://doi.org/10.3390/molecules26123701

