The Appearance of 4-Hydroxy-2-Nonenal (HNE) in Squamous Cell Carcinoma of the Oropharynx
Abstract
1. Introduction
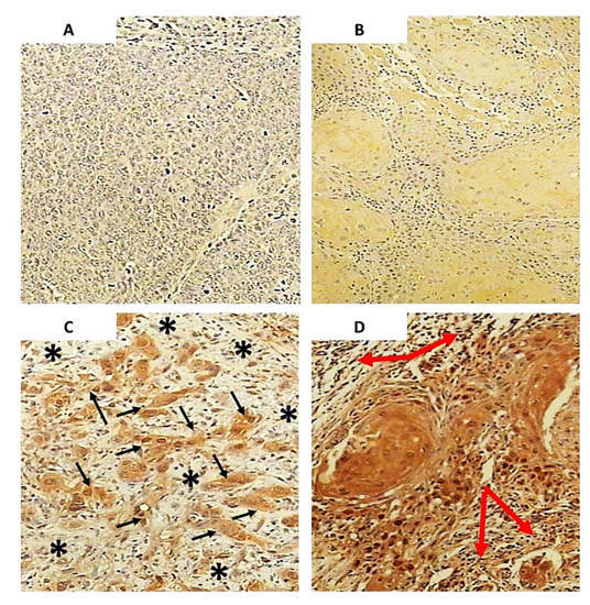
2. Results
3. Discussion
4. Materials and Methods
4.1. Tumors
4.2. Normal Oropharyngeal Tissue
4.3. Tissue Processing
4.4. Statistical Analyses
Author Contributions
Funding
Acknowledgments
Conflicts of Interest
References
- Halliwel, B. Free radicals, antioxidants and human disease: curiosity, cause or consecuence? Lancet 1994, 344, 721–723. [Google Scholar] [CrossRef]
- Esterbauer, H.; Schaur, R.J.; Zollner, H. Chemistry and biochemistry of 4-hydroxynonenal, malonaldehyde and related aldehydes. Free Radic. Biol. Med. 1991, 11, 81–128. [Google Scholar] [CrossRef]
- Uchida, K.; Kanematsu, M.; Morimitsu, Y.; Osawa, T.; Noguchi, N.; Niki, E. Acrolein Is a Product of Lipid Peroxidation Reaction: Formation of Free Acrolein and Its Conjugate with Lysine Residues in Oxidized Low Density Lipoproteins. J. Biol. Chem. 1998, 273, 16058–16066. [Google Scholar] [CrossRef] [PubMed]
- Sies, H. Oxidative stress: introduction. In Oxidative Stress: Oxidants and Antioxidants; Sies, H., Ed.; Academic Press: London, UK, 1991; pp. 15–22. [Google Scholar]
- Kreuzer, T.; Grube, R.; Wutte, A.; Zarkovic, N.; Schaur, R.J. 4-Hydroxynonenal modifies the effects of serum growth factors on the expression of the c-fos proto-oncogene and the proliferation of HeLa carcinoma cells. Free Radic. Biol. Med. 1998, 25, 42–49. [Google Scholar] [CrossRef]
- Cooke, M.S.; Evans, M.D.; Dizdaroglu, M.; Lunec, J. Oxidative DNA damage: mechanisms, mutation, and disease. FASEB J. 2003, 17, 1195–1214. [Google Scholar] [CrossRef]
- Klaunig, J.E.; Xu, Y.; Isenberg, J.S.; Bachowski, S.; Kolaja, K.L.; Jiang, J.; Stevenson, D.E.; Walborg, E.F. The role of oxidative stress in chemical carcinogenesis. Environ. Health Perspect. 1998, 106, 289–295. [Google Scholar]
- Dalleau, S.; Baradat, M.; Guéraud, F.; Huc, L. Cell death and diseases related to oxidative stress: 4-hydroxynonenal (HNE) in the balance. Cell Death Differ. 2013, 20, 1615–1630. [Google Scholar] [CrossRef]
- Stambuk, H.E.; Karimi, S.; Lee, N.; Patel, S.G. Oral cavity and oropharynx tumors. Radiol. Clin. N. Am. 2007, 45, 1–20. [Google Scholar] [CrossRef]
- Gillison, M.L.; Koch, W.M.; Capone, R.B.; Spafford, M.; Westra, W.H.; Wu, L.; Zahurak, M.L.; Daniel, R.E.; Viglione, M.; Symer, D.E.; et al. Evidence for a causal association between human papillomavirus and a subset of head and neck cancers. J. Natl. Cancer Inst. 2000, 92, 709–720. [Google Scholar] [CrossRef]
- Cohan, D.M.; Popat, S.; Kaplan, S.E.; Rigual, N.; Loree, T.; Hicks, W.L. Oropharyngeal cancer: current understanding and management. Curr. Opin. Otolaryngol Head Neck Surg. 2009, 17, 88–94. [Google Scholar] [CrossRef]
- Fan, C.Y. Genetic alterations in head and neck cancer: interactions among environmental carcinogens, cell cycle control, and host DNA repair. Curr. Oncol. Rep. 2001, 3, 66–71. [Google Scholar] [CrossRef]
- Barnes, L.; Eveson, J.W.; Reichart, P.; Sidransky, D. World Health Organization Classification of Tumors. Pathology and Genetics of Head and Neck Tumors, 4th ed.; IARC Press: Lyon, France, 2005; pp. 107–208. [Google Scholar]
- Jefferiers, S.; Foulkes, W.D. Genetic mechanisms in squamous cell carcinoma of the head and neck. Oral Oncol. 2001, 37, 115–126. [Google Scholar] [CrossRef]
- Wenig, B.M. Atlas of Head and Neck Pathology: Oropharingeal Squamous Cell Carcinoma, 3rd ed.; Elsevier: Amsterdam, The Netherlands, 2008; pp. 330–332. [Google Scholar]
- Califano, J.; van der Riet, P.; Westra, W.; Nawroz, H.; Clayman, G.; Piantadosi, S.; Corio, R.; Lee, D.; Greenberg, B.; Koch, W.; et al. Genetic progression model for head and neck cancer: implication for field cancerization. Cancer Res. 1996, 56, 2488–2492. [Google Scholar] [CrossRef]
- Shah, J.P.; Patel, S.G. Head and Neck Surgery and Oncology, 3rd ed.; Mosby: Edinburgh, UK, 2003; pp. 173–394. [Google Scholar]
- Hardisson, D. Molecular pathogenesis of head and neck squamous cell carcinoma. Eur Arch Otorhinolaryngol. 2003, 260, 502–508. [Google Scholar] [CrossRef]
- Čustović, Z.; Žarković, K.; Cindrić, M.; Čipak, A.; Jurković, I.; Sonicki, Z.; Uchida, K.; Žarković, N. Lipid peroxidation product acrolein as predictive biomarker of prostate carcinoma relapse after radical surgery. Free Radic. Res. 2010, 45, 497–504. [Google Scholar] [CrossRef]
- Jaganjac, M.; Milkovic, L.; Gegotek, A.; Cindric, M.; Zarkovic, K.; Skrzydlewska, E.; Zarkovic, N. The Relevance of Pathophysiological Alterations in Redox Signaling of 4-Hydroxynonenal for Pharmacological Therapies of Major Stress-Associated Diseases. Free Radic. Biol. Med. 2019, 19, 31639-9. [Google Scholar] [CrossRef]
- Zarkovic, K.; Jakovcevic, A.; Zarkovic, N. Contribution of the HNE-immunohistochemistry to modern pathological concepts of major human diseases. Free Radic. Biol. Med. 2017, 111, 110–126. [Google Scholar] [CrossRef]
- Žarković, K.; Juric, G.; Waeg, G.; Kolenc, D.; Žarković, N. Immunohistochemical appearance of HNE-protein conjugates in human astrocytomas. Biofactors 2005, 24, 33–40. [Google Scholar] [CrossRef]
- Jurić-Sekhar, G.; Žarković, K.; Waeg, G.; Cipak, A.; Žarković, N. Distribution of 4hydroxynonenal-protein conjugates as a marker of lipid peroxidation and parameter of malignancy in astrocytic and ependymal tumors of the brain. Tumori 2009, 95, 762–768. [Google Scholar] [CrossRef]
- Karihtala, P.; Koauppila, S.; Puistola, U.; Jukkola-Vuorinen, A. Divergent behaviour of oxidative stress markers 8-hydroxydeoxy-guanosine (8-OhdG) and 4-hidroxy-2-nonenal (HNE) in breast carcinogenesis. Histopathology 2011, 58, 854–862. [Google Scholar] [CrossRef]
- Okamoto, K.; Toyokuni, S.; Uchida, K.; Ogawa, O.; Takenewa, J.; Kakehi, Y.; Kinoshita, H.; Hattori-Nakakuki, Y.; Hiai, H.; Yoshida, O. Formation of 8-hydroxy-2-deoxyguanosine and 4-hydroxy-2-nonenal-modified proteins in human renal-cell carcinoma. Int. J. Cancer 1994, 58, 825–829. [Google Scholar] [CrossRef]
- Kondo, S.; Toyokuni, S.; Iwasa, Y.; Tanaka, T.; Onodera, H.; Hiai, H.; Imamura, M. Persistent oxidative stress in human colorectal carcinoma, but not in adenoma. Free Radic. Biol. Med. 1999, 27, 401–410. [Google Scholar] [CrossRef]
- Biasi, F.; Tessitore, L.; Zanetti, D.; Cutrin, J.C.; Zingaro, B.; Chiarpotto, E.; Serviddio, G.; Poli, G. Associated changes of lipid peroxidation and transforming growth factor beta 1 levels in human colon carcinoma during tumor progression. Gut 2002, 50, 361–367. [Google Scholar] [CrossRef] [PubMed]
- Licitra, L.; Bernier, J.; Grandi, C.; Merlano, M.; Bruzzi, P.; Lefebvre, J.L. Cancer of the oropharynx. Crit. Rev. Oncol. Hematol. 2002, 41, 107–122. [Google Scholar] [CrossRef]
- Dahlstrand, H.M.; Dalianis, T. Presence and influence of human papillomaviruses (HPV) in tonsillar cancer. Adv. Cancer Res. 2005, 93, 59–89. [Google Scholar]
- Nivière, V.; Fontecave, M. Biological sources of reduced oxygen species. In Analysis of Free Radicals in Biological Systems, 2nd ed.; Favier, A.E., Cadet, J., Kalyanaraman, B., Fontecave, M., Pierre, J.L., Eds.; Birkhäuser: Basel, Switzerland, 1995; pp. 11–19. [Google Scholar]
- Toyokuni, S.; Okamoto, K.; Yodoi, J.; Hiai, H. Persistent oxidative stress in cancer. FEBS Lett. 1995, 358, 1–3. [Google Scholar] [CrossRef]
- Beloribi-Djefaflia, S.; Vasseur, S.; Guillaumond, F. Lipid metabolic reprogramming in cancer cells. Oncogenesis 2016, 5, e189. [Google Scholar] [CrossRef]
- Negre-Salvayre, A.; Auge, N.; Ayala, V.; Basaga, H.; Boada, J.; Brenke, R.; Chapple, G.; Feherr, J.; Grune, T.; Lengyel, G. Pathological aspects of lipid peroxidation. Free Rad. Res. 2010, 44, 1125–1171. [Google Scholar] [CrossRef]
- Zhong, H.; Xiao, M.; Zarkovic, K.; Zhu, M.; Sa, R.; Lu, J.; Tao, Y.; Chen, O.; Xia, L.; Cheng, S.; et al. Mitochondrial Control of Apoptosis through Modulation of Cardiolipin Oxidation in Hepatocellular Carcinoma: A Novel Link between Oxidative Stress and Cancer. Free Radic. Biol. Med. 2017, 176, 67–76. [Google Scholar] [CrossRef]
- Gray, G.M. The lipid composition of tumour cells. Biochem. J. 1963, 86, 350–357. [Google Scholar] [CrossRef]
- Marquez-Quiñones, A.; Čipak, A.; Žarković, K.; Fattel-Fazenda, S.; Villa-Treviño, S.; Waeg, G.; Žarkovic, N.; Guéraud, F. HNE-protein adducts formation in different pre-carcinogenic stages of hepatitis in LEC rats. Free Radic. Res. 2010, 44, 119–127. [Google Scholar] [CrossRef] [PubMed]
- Zarkovic, K.; Uchida, K.; Kolenc, D.; Hlupic, L.J.; Zarkovic, N. Tissue distribution of lipid peroxidation product acrolein in human colon carcinogenesis. Free Radic. Res. 2006, 40, 543–552. [Google Scholar] [CrossRef] [PubMed]
- Jaganjac, M.; Poljak-Blaži, M.; Žarković, K.; Schaur, R.J.; Žarković, N. The involvement of granulocytes in spontaneous regression of Walker 256 carcinoma. Cancer Lett. 2008, 260, 180–186. [Google Scholar] [CrossRef]
- Živković, M.; Poljak-Blaži, M.; Žarković, K.; Mihaljevic, D.; Schaur, R.J.; Žarković, N. Oxidative burst of neutrophils against melanoma B16-F10. Cancer Lett. 2007, 246, 100–108. [Google Scholar] [CrossRef]
- Žarković, N.; Tillian, M.H.; Schaur, R.J.; Waeg, G.; Jurin, M.; Esterbauer, H. Inhibition of melanoma B16-F10 growth by lipid peroxidation product 4-hydoxynonenal. Cancer Bioth. 2010, 10, 153–156. [Google Scholar] [CrossRef]
- Piskač Živković, N.; Petrovečki, M.; Tomasović Lončarić, C.; Nikolić, I.; Waeg, G.; Jaganjac, M.; Žarković, K.; Žarković, N. Positron Emission Tomography-Computed Tomography and 4-Hydroxynonenal-histidine Immunohistochemistry Reveal Differential Onset of Lipid Peroxidation in Primary Lung Cancer and in Pulmonary Metastasis of Remote Malignancies. Redox Biol. 2017, 11, 600–605. [Google Scholar] [CrossRef]
- Gęgotek, A.; Nikliński, J.; Žarković, N.; Žarković, K.; Waeg, G.; Łuczaj, W.; Charkiewicz, R.; Skrzydlewska, E. Lipid mediators involved in the oxidative stress and antioxidant defence of human lung cancer cells. Redox Biol. 2016, 9, 210–219. [Google Scholar] [CrossRef]
- Andrisic, L.; Dudzik, D.; Barbas, C.; Milkovic, L.; Grune, T.; Zarkovic, N. Short overview on metabolomics approach to study pathophysiology of oxidative stress in cancer. Redox Biol. 2018, 14, 47–58. [Google Scholar] [CrossRef]
- Wonisch, W.; Kohlwein, S.D.; Schaur, J.; Tatzber, F.; Guttenberger, H.; Zarkovi, N.; Winkler, R.; Estauber, H. Treatment of the budding yeast (Saccharomyces cerevisiae) with the lipid peroxidation product 4-HNE provokes a temporary cell cycle arrest in G1 phase. Free Radic. Biol. Med. 1998, 25, 682–687. [Google Scholar] [CrossRef]
- Čipak, A.; Hasslacher, M.; Tehlivets, O.; Collinson, E.J.; Živković, M.; Matijevic, T.; Wanisch, W.; Waeg, G.; Dawes, I.V.; Zarkovic, N.; et al. Saccharomyces cerevisiae strain expressing a plant fatty acid desaturase produces polyunsaturated fatty acids and is susceptible to oxidative stress induced by lipid peroxidation. Free Radic. Biol. Med. 2006, 40, 897–906. [Google Scholar] [CrossRef]
- Borović, S.; Čipak, A.; Meinitzer, A.; Kejla, Z.; Perovic, D.; Waeg, G.; Zarkovic, N. Differential effect of 4-hydroxynonenal on normal and malignant mesenchimal cells. Redox Report 2007, 207, 50–54. [Google Scholar] [CrossRef]
- Cipak-Gasparovic, A.; Milkovic, L.; Borovic-Sunjic, S.; Zarkovic, N. Cancer Growth Regulation by 4-Hydroxynonenal Article Type. Free Radic. Biol. Med. 2017, 111, 226–234. [Google Scholar] [CrossRef]
- Milkovic, L.; Cipak Gasparovic, A.; Zarkovic, N. Overview on major lipid peroxidation bioactive factor 4-hydroxynonenal as pluripotent growth regulating factor. Free Radic. Res. 2015, 49, 850–860. [Google Scholar] [CrossRef]
- Sovic, A.; Borović, S.; Lončarić, I.; Kreuzer, T.; Žarković, K.; Vukovic, T.; Wäg, G.; Hrascan, R.; Wintersteiger, R.; Klinger, R.; et al. The carcinostatic and proapoptotic potential of 4-Hydroxynonenal in HeLa cells is associated with its conjugation to cellular proteins. Anticancer. Res. 2001, 21, 1997–2004. [Google Scholar]
- Bauer, G.; Zarkovic, N. Revealing mechanisms of selective, concentration-dependent potentials of 4-hydroxy-2-nonenal to induce apoptosis in cancer cells through inactivation of membrane-associated catalase. Free Radic. Biol. Med. 2015, 81, 128–144. [Google Scholar] [CrossRef]
- Waeg, G.; Dimsy, G.; Esterbauer, H. Monoclonal antibodies for detection of 4-hydroxynonenal modified proteins. Free Rad. Res. 1996, 25, 149–159. [Google Scholar] [CrossRef]
Sample Availability: Samples are not available. |




| HNE-Immunopositivity | Cytoplasm of Tumor Cell | Nuclei of Tumor Cell | ||
|---|---|---|---|---|
| No. of Specimens/Patients | Intensity of Immunostaining * | No. of Specimens/patients | Intensity of Immunostaining* | |
| 0 | 3 | - | 69 | - |
| 1 | 5 | 50 | 17 | 9 |
| 2 | 8 | 40 | 4 | 16 |
| 3 | 86 | 8 | 12 | 8 |
| HNE-Positivity | N * |
|---|---|
| Stromal cells | |
| Positive | 41 |
| Negative | 56 |
| Blood vessel wall | |
| Positive | 58 |
| Negative | 39 |
| Endothelium | |
| Positive | 10 |
| Negative | 87 |
| Inflammatory cells | |
| Positive | 66 |
| Negative | 13 |
© 2020 by the authors. Licensee MDPI, Basel, Switzerland. This article is an open access article distributed under the terms and conditions of the Creative Commons Attribution (CC BY) license (http://creativecommons.org/licenses/by/4.0/).
Share and Cite
Jakovčević, A.; Žarković, K.; Jakovčević, D.; Rakušić, Z.; Prgomet, D.; Waeg, G.; Šunjić, S.B.; Žarković, N. The Appearance of 4-Hydroxy-2-Nonenal (HNE) in Squamous Cell Carcinoma of the Oropharynx. Molecules 2020, 25, 868. https://doi.org/10.3390/molecules25040868
Jakovčević A, Žarković K, Jakovčević D, Rakušić Z, Prgomet D, Waeg G, Šunjić SB, Žarković N. The Appearance of 4-Hydroxy-2-Nonenal (HNE) in Squamous Cell Carcinoma of the Oropharynx. Molecules. 2020; 25(4):868. https://doi.org/10.3390/molecules25040868
Chicago/Turabian StyleJakovčević, Antonia, Kamelija Žarković, Danica Jakovčević, Zoran Rakušić, Drago Prgomet, Georg Waeg, Suzana Borović Šunjić, and Neven Žarković. 2020. "The Appearance of 4-Hydroxy-2-Nonenal (HNE) in Squamous Cell Carcinoma of the Oropharynx" Molecules 25, no. 4: 868. https://doi.org/10.3390/molecules25040868
APA StyleJakovčević, A., Žarković, K., Jakovčević, D., Rakušić, Z., Prgomet, D., Waeg, G., Šunjić, S. B., & Žarković, N. (2020). The Appearance of 4-Hydroxy-2-Nonenal (HNE) in Squamous Cell Carcinoma of the Oropharynx. Molecules, 25(4), 868. https://doi.org/10.3390/molecules25040868

