Porin from Marine Bacterium Marinomonas primoryensis KMM 3633T: Isolation, Physico-Chemical Properties, and Functional Activity
Abstract
1. Introduction
2. Results
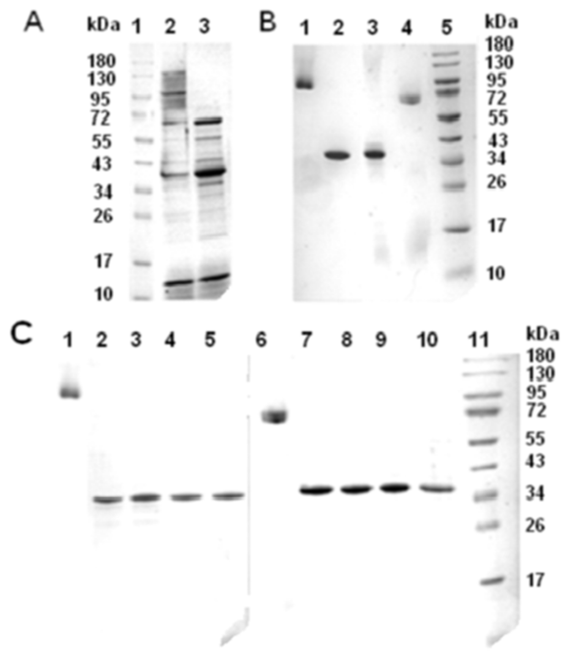
2.1. Isolation Procedure of OM Porin from M. primoryensis KMM 3633T
2.1.1. Cultivation Condition of Microbial Cells
2.1.2. Isolation of Cell Envelope of M. primoryensis KMM 3633T
2.1.3. Sarcosyl Treatment
2.1.4. Octyl-POE Extraction
2.2. Pore-Forming Activity of OM Porin from M. primoryensis KMM 3633T
2.3. Amino Acid Composition and Amino Acid Sequence of OM Porin from M. primoryensis KMM 3633T
2.4. Spatial Structure of OM Porin from M. primoryensis KMM 3633T
2.4.1. CD and Intrinsic Protein Fluorescence Spectra
2.4.2. Temperature Stability of OM Porin from M. primoryensis KMM 3633T
3. Discussion
3.1. Isolation Procedure of OM Protein from M. primoryensis KMM 3633T
3.2. Pore-Forming Activity of Porin M. primoryensis KMM 3633T
3.3. Physico-Chemical Properties of Porin from M. primoryensis KMM 3633T
4. Materials and Methods
4.1. Microorganisms
4.2. Isolation of Cell Envelope Fraction
4.3. Isolation and Purification of Porin from M. primoryensis KMM 3633T
4.3.1. Extraction with Nonionic Detergent n-Octylpolyoxyethylene (POE)
4.3.2. Extraction with N-Lauroylsarcosine (Sarcosyl)
4.4. SDS-PAGE
4.5. Spectroscopic Methods
4.6. Lipid Bilayer Experiments
4.7. Amino Acid Composition and N-Terminal Sequencing
Author Contributions
Funding
Acknowledgments
Conflicts of Interest
Abbreviations
References
- MacLeod, R.A. The question of the existence of Specific Marine Bacteria. Bacteriol. Rev. 1965, 29, 9–23. [Google Scholar] [CrossRef] [PubMed]
- Welch, T.J.; Bartlett, D.H. Identification of a regulatory protein required for pressure-responsive gene expression in the deep-sea bacterium Photobacterium profundum species strain SS9. Mol. Microbiol. 1998, 27, 977–985. [Google Scholar] [CrossRef]
- Wang, F.; Wang, J.; Jian, H.; Zhang, B.; Li, S.; Wang, F.; Zeng, X.; Gao, L.; Bartlett., D.H.; Yu, J.; et al. Environmental adaptation: Genomic analysis of the piezotolerant and psychrotolerant deep-sea iron reducing bacterium Shewanella piezotolerans WP3. PLoS ONE 2008, 3, e1937. [Google Scholar] [CrossRef]
- Benner, R.; Benitez-Nelson, B.; Kaiser, K.; Amon, R.M.W. Export of Young Terrigenous Dissolved Oganic Carbon from Rvers to the Arctic Ocean. Geophys. Res. Lett. 2004, 31, L05305. [Google Scholar] [CrossRef]
- Dong, C.; Bai, X.; Sheng, H.; Jiao, L.; Zhou, H.; Shao, Z. Distribution of PAHs and the PAH-degrading bacteria in the deep-sea sediments of the high-latitude Arctic Ocean. Biogeosciences 2015, 12, 2163–2177. [Google Scholar] [CrossRef]
- Sable, R.; Parajuli, P.; Jois, S. Peptides, Peptidomimetics, and Polypeptides from Marine Sources: A Wealth of Natural Sources for Pharmaceutical Applications. Mar. Drugs 2017, 15, 124. [Google Scholar] [CrossRef] [PubMed]
- Anwar, M.A.; Choi, S. Gram-negative marine bacteria: Structural features of lipopolysaccharides and their relevance for economically important diseases. Mar. Drugs 2014, 12, 2485–2514. [Google Scholar] [CrossRef]
- Vorob’eva, E.V.; Krasikova, I.N.; Solov’eva, T.F. Influence of lipopolysaccharides and lipids A from some marine bacteria on spontaneous and Escherichia coli LPS-induced TNF-α release from peripheral human blood cells. Biochemistry (Moscow) 2006, 71, 759–766. [Google Scholar] [CrossRef]
- Machado, H.; Sonnenschein, E.C.; Melchiorsen, J.; Gram, L. Genome mining reveals unlocked bioactive potential of marine Gram-negative bacteria. BMC Genomics 2015, 16, 158. [Google Scholar] [CrossRef]
- Bartlett, D.H. Microbial adaptations to the psychrosphere/piezosphere. J. Mol. Microbiol. Biotechnol. 1999, 1, 93–100. [Google Scholar]
- Lu, S.; Wang, J.; Chitsaz, F.; Derbyshire, M.K.; Geer, R.C.; Gonzales, N.R.; Gwadz, M.; Hurwitz, D.I.; Marchler, G.H.; Song, J.S.; et al. CDD/SPARCLE: The conserved domain database in 2020. Nucleic Acids Res. 2020, 48, 265–268. [Google Scholar] [CrossRef] [PubMed]
- Nikaido, H. Molecular basis of bacterial outer membrane permeability revisited. Microbiol. Mol. Biol. Rev. 2003, 676, 593–656. [Google Scholar] [CrossRef]
- Masi, M.; Pagès, J.M. Outer Membrane Porins. In Bacterial Cell Walls and Membranes; Kuhn, A., Ed.; Springer: Cham, Switzerland, 2019; Volume 92, pp. 79–123. [Google Scholar] [CrossRef]
- Hancock, R.E. Resistance mechanisms in Pseudomonas aeruginosaand other nonfermentative Gram-negative bacteria. Clin. Infect. Dis. 1998, 27, 93–99. [Google Scholar] [CrossRef] [PubMed]
- Xu, C.; Ren, H.; Wang, S.; Peng, X. Proteomic analysis of salt-sensitive outer membrane proteins of Vibrio parahaemolyticus. Res. Microbiol. 2004, 155, 835–842. [Google Scholar] [CrossRef] [PubMed]
- Xu, C.; Wang, S.; Ren, H.; Lin, X.; Wu, L.; Peng, X. Proteomic analysis on the expression of outer membrane proteins of Vibrio alginolyticus at different sodium concentrations. Proteomics 2005, 5, 3142–3152. [Google Scholar] [CrossRef] [PubMed]
- Novikova, O.D.; Khomenko, V.A.; Frolova, G.M.; Likhatskaya, G.N.; Romanenko, L.A.; Portnyagina, O.Y.; Kuznetsova, S.M.; Solovyeva, T.F. Porins from marine bacteria of the Genus Pseudoalteromonas (Gammaproteobacteria: Pseudoalteromonadaceae). Russ. J. Mar. Biol. 2013, 39, 58–64. [Google Scholar] [CrossRef]
- Khomenko, V.A.; Likhatskaya, G.N.; Romanenko, L.A.; Portnyagina, O.Y.; Solovyeva, T.F.; Novikova, O.D. Protein composition of the cell envelope of the bacterium Shewanella frigidimarina Pi 2-35 (Gammaproteobacteria: Shewanellaceae). Russ. J. Mar. Biol. 2016, 42, 73–80. [Google Scholar] [CrossRef]
- Sanchez-Amat, A.; Solano, F. Genus III. Marinomonas. In Bergey’s Manual of Systematic Bacteriology; Brenner, D.J., Krieg, N.R., Staley, J.T., Garrity, G.M., Eds.; Springer: New York, NY, USA, 2005; pp. 284–289. [Google Scholar]
- Espinosa, E.; Marco-Noales, E.; Gómez, D.; Lucas-Elío, P.; Ordax, M.; Garcías-Bonet, N.; Duarte, C.M.; Sanchez-Amat, A. Taxonomic study of Marinomonas strains isolated from the seagrass Posidonia oceanica, with descriptions of Marinomonas balearica sp. nov. and Marinomonas pollencensis sp. nov. Int. J. Syst. Evol. Microbiol. 2010, 60, 93–98. [Google Scholar] [CrossRef]
- Gupta, P.; Chaturvedi, P.; Pradhan, S.; Delille, D.; Shivaji, S. Marinomonas polaris sp. nov., a psychrohalotolerant strain isolated from coastal sea water of the subantarctic Kerguelen islands. Int. J. Syst. Evol. Microbiol. 2006, 56, 361–364. [Google Scholar] [CrossRef]
- Prabagaran, S.R.; Suresh, K.; Manorama, R.; Delille, D.; Shivaji, S. Marinomonas ushuaiensis sp. nov., isolated from coastal sea water in Ushuaia, Argentina, sub-Antarctica. Int. J. Syst. Evol. Microbiol. 2005, 55, 309–313. [Google Scholar] [CrossRef]
- Romanenko, L.A.; Uchino, M.; Mikhailov, V.V.; Zhukova, N.V.; Uchimura, T. Marinomonas primoryensis sp. nov., a novel psychrophile isolated from coastal sea-ice in the Sea of Japan. Int. J. Syst. Evol. Microbiol. 2003, 53, 829–832. [Google Scholar] [CrossRef] [PubMed][Green Version]
- Hobb, R.I.; Fields, J.A.; Burns, C.M.; Thompson, S.A. Evaluation of procedures for outer membrane isolation from Campylobacter jejuni. Microbiology 2009, 155, 979–988. [Google Scholar] [CrossRef] [PubMed]
- Garavito, R.M.; Rosenbusch, J.P. Isolation and crystallization of bacterial porin. Methods Enzymol. 1986, 125, 309–328. [Google Scholar] [CrossRef] [PubMed]
- Schulte, A.; Ruamchan, S.; Khunkaewla, P.; Suginta, W. The outer membrane protein VhOmp of Vibrio harveyi: Pore-forming properties in black lipid membranes. J. Membr. Biol. 2009, 230, 101–111. [Google Scholar] [CrossRef] [PubMed]
- Nitzan, A.; Gribun, A.; Pechatnikov, I. Characterization of Porins from the Outer Membrane of Vibrio damsel. Curr. Microbiol. 1999, 38, 1–8. [Google Scholar] [CrossRef] [PubMed]
- Chen, R.; Krämer, C.; Schmidmayr, W.; Chen-Schmeisser, U.; Henning, U. Primary structure of major outer-membrane protein I (ompF protein, porin) of Escherichia coli B/r. Biochem. J. 1982, 203, 33–43. [Google Scholar] [CrossRef]
- Capaldi, R.A.; Vandercooi, G. The low polarity of many membrane proteins. Proc. Natl. Acad. Sci. USA 1972, 69, 930–932. [Google Scholar] [CrossRef]
- Hatch, F.T. Correlation of amino acid composition with certain characteristics of protein. Nature 1965, 206, 677–679. [Google Scholar] [CrossRef]
- Manavalan, P.; Johnson, W.C. Sensitivity of circular dichroism to protein tertiary structure class. Nature 1973, 305, 831–832. [Google Scholar] [CrossRef]
- Eisele, J.L.; Rosenbusch, J.P. In vitro folding and oligomerization of a membrane protein. Transition of bacterial porin from random coil to native conformation. J. Biol. Chem. 1990, 265, 10217–10220. [Google Scholar] [PubMed]
- Sreerama, N.; Woody, R.W. Estimation of protein secondary structure from circular dichroism spectra: Comparison of CONTIN, SELCON, and CDSSTR methods with an expanded reference set. Anal. Biochem. 2000, 287, 252–260. [Google Scholar] [CrossRef]
- Inouye, M. What is the outer membrane? In Bacterial Outer Membranes: Biogenesis and Functions; Inouye, M., Ed.; Wiley-Interscience: New York, NY, USA, 1979; pp. 5–12. [Google Scholar]
- Vostrikova, O.P.; Kim, N.Y.; Likhatskaya, G.N.; Guzev, K.V.; Vakorina, T.I.; Khomenko, V.A.; Novikova, O.D.; Solov’eva, T.F. Structure and function of pore-forming proteins from bacteria of the genus Yersinia: I. Isolation and a comparison of physicochemical properties and functional activity of Yersinia porins. Russ. J. Bioorg. Chem. 2006, 32, 333–344. [Google Scholar] [CrossRef] [PubMed]
- De Voe, L.W.; Oginsky, E.L. Cation interactions and biochemical composition of the cell envelope of a Marine acterium. J. Bacteriol. 1969, 98, 1368–1377. [Google Scholar] [CrossRef] [PubMed]
- Forsberg, C.W.; Costerton, J.W.; MacLeod, R.A. Separation and localization of cell wall layers of a Gram-negative bacterium. J. Bacteriol. 1970, 104, 1338–1353. [Google Scholar] [CrossRef] [PubMed]
- Nelson, J.D.; MacLeod, R.A. Distribution of lipopolysaccharide and the detection of a new subfraction in the cell envelope of a marine Pseudomonad. J. Bacteriol. 1977, 94, 1764–1777. [Google Scholar] [CrossRef]
- Chistyulin, D.K.; Novikova, O.D.; Portnyagina, O.Y.; Khomenko, V.A.; Vakorina, T.I.; Kim, N.Y.; Isaeva, M.P.; Likhatskaya, G.N.; Solov’eva, T.F. Isolation and characterization of OmpF-like porin from Yersinia ruckeri. Biochem. (Mosc.) Suppl. Ser. A Membr. Cell Biol. 2012, 6, 235–242. [Google Scholar] [CrossRef]
- Benz, R. Structure and function of porins from Gram negative bacteria. Annu. Rev. Microbiol. 1988, 42, 359–394. [Google Scholar] [CrossRef]
- Simon, M.; Mathes, A.; Blanch, A.; Engelhardt, H. Characterization of a porin from the outer membrane of Vibrio anguillarum. J. Bacteriol. 1996, 178, 4182–4188. [Google Scholar] [CrossRef] [PubMed]
- Gamage, D.G.; Gunaratne, A.; Periyannan, G.R.; Russell, T.G. Applicability of Instability Index for in vitro Protein Stability Prediction. Protein Pept. Lett. 2019, 26, 339–347. [Google Scholar] [CrossRef]
- Angus, B.L.; Hancock, R.E.W. Outer membrane porinproteins F, P, and D1 of Pseudomonas aeruginosa and PhoE of Escherichia coli: Chemical cross-linking to reveal native oligomers. J. Bacteriol. 1983, 155, 1042–1051. [Google Scholar] [CrossRef]
- Vachon, V.; Kristianson, D.N.; Coulton, J.W. Outer membrane porin protein of Haemophilus influenza type b: Pore size and subunit structure. Can. J. Microbiol. 1987, 34, 134–140. [Google Scholar] [CrossRef] [PubMed]
- Sciacca, M.F.M.; Tempra, C.; Scollo, F.; Milardi, D.; La Rosa, C. Amyloid growth and membrane damage: Current themes and emerging perspectives from theory and experiments on Aβ and hIAPP. Biochim. Biophys. Acta 2018, 1860, 1625–1638. [Google Scholar] [CrossRef]
- Cowan, S.W.; Schirmer, T.; Rummel, G.; Steiert, M.; Ghosh, R.; Pauptit, R.A.; Jansonius, J.N.; Rosenbusch, J.P. Crystal structures explain functional properties of two E. coli porins. Nature 1992, 358, 727–733. [Google Scholar] [CrossRef] [PubMed]
- La Rosa, C.; Condorelli, M.; Compagnini, G.; Lolicato, F.; Milardi, D.; Do, T.N.; Karttunen, M.; Pannuzzo, M.; Ramamoorthy, A.; Fraternali, F.; et al. Symmetry-breaking transitions in the early steps of protein self-assembly. Eur. Biophys. J. 2020, 49, 175–191. [Google Scholar] [CrossRef] [PubMed]
- Phale, P.S.; Philippsen, A.; Kiefhaber, T.; Koebnik, R.; Phale, V.P.; Schirmer, T.; Rosenbusch, J.P. Stability of trimeric OmpF porin: The contributions of the latching loop L2. Biochemistry 1998, 37, 15663–15670. [Google Scholar] [CrossRef]
- Meng, G.; Fronzes, R.; Chandran, V.; Remaut, H.; Waksman, G. Protein oligomerization in the bacterial outer membrane. Mol. Membr. Biol. 2009, 26, 136–145. [Google Scholar] [CrossRef]
- Naveed, H.; Jackups, R.; Liang, J. Predicting weakly stable regions, oligomerization state, and protein–protein interfaces in transmembrane domains of outer membrane proteins. Proc. Natl. Acad. Sci. USA 2009, 106, 12735–12740. [Google Scholar] [CrossRef] [PubMed]
- Naveed, H.; Liang, J. Weakly stable regions and protein-protein interactions in beta-barrelmembrane proteins. Curr. Pharm. Des. 2014, 20, 1268–1273. [Google Scholar] [CrossRef] [PubMed]
- Lugtenberg, B.; Meijers, J.; Peters, R.; van der Hoek, P.; van Alphen, L. Electrophoretic resolution of the major outer membrane protein of Escherichia coli K-12 into four bands. FEBS Lett. 1975, 58, 254–258. [Google Scholar] [CrossRef]
- Voulhoux, R.; Bos, M.P.; Geurtsen, J.; Mols, M.; Tommassen, J. Role of a highly conserved bacterial protein in outer membrane protein assembly. Science 2003, 299, 262–265. [Google Scholar] [CrossRef]
- Gaal, O.; Medgyesi, G.A.; Vereczkey, L. Electrophoresis in the Separation of Biological Macromolecules; Akademia Kiado: Budapest, Hungary, 1980; p. 178. [Google Scholar]
- Winder, A.F.; Gent, W.L.G. Correction of light-scattering errors in spectrophotometric protein determinations. Biopolymers 1971, 10, 1243–1251. [Google Scholar] [CrossRef] [PubMed]
- Devenyi, T.; Gergely, J. Amino Acids, Peptides and Proteins: Biochemical and Immunological Techniques in Protein Chemistry; Elsevier Scientific Pub Co.: Amsterdam, The Netherlands, 1974; p. 632. [Google Scholar] [CrossRef]
- Wilson, K. Unit 2.4 Preparation of genomic DNA from bacteria. In Current Protocols in Molecular Biology; Wiley Online Library: Hoboken, NJ, USA, 2001. [Google Scholar] [CrossRef]
- Aziz, R.K.; Bartels, D.; Best, A.A.; DeJongh, M.; Disz, T.; Edwards, R.A.; Formsma, K.; Gerdes, S.; Glass, E.M.; Kubal, M.; et al. The RAST server: Rapid annotations using subsystems technology. BMC Genomics 2008, 9, 75. [Google Scholar] [CrossRef] [PubMed]
- Overbeek, R.; Begley, T.; Butler, R.M.; Choudhuri, J.V.; Chuang, H.Y.; Cohoon, M.; de Crécy-Lagard, V.; Diaz, N.; Disz, T.; Edwards, R.; et al. The ubsystems approach to genome annotation and its use in the project to annotate 1000 genomes. Nucleic Acids Res. 2005, 33, 5691–5702. [Google Scholar] [CrossRef] [PubMed]
- Käll, L.; Krogh, A.; Sonnhammer, E.L. Advantages of combined transmembrane topology and signal peptide prediction—The Phobius web server. Nucleic Acids Res. 2007, 35 (Suppl. 2), W429–W432. [Google Scholar] [CrossRef]
- Yu, N.Y.; Wagner, J.R.; Laird, M.R.; Melli, G.; Rey, S.; Lo, R.; Dao, P.; Sahinalp, S.C.; Ester, M.; Foster, L.J.; et al. PSORTb 3.0: Improved protein subcellular localization prediction with refined localization subcategories and predictive capabilities for all prokaryotes. Bioinformatics 2010, 26, 1608–1615. [Google Scholar] [CrossRef]
- El-Gebali, S.; Mistry, J.; Bateman, A.; Eddy, S.R.; Luciani, A.; Potter, S.C.; Qureshi, M.; Richardson, L.J.; Salazar, G.A.; Smart, A.; et al. The Pfam protein families database in 2019. Nucleic Acids Res. 2019, 47, D427–D432. [Google Scholar] [CrossRef]
- Saier, M.H., Jr.; Reddy, V.S.; Tsu, B.V.; Ahmed, M.S.; Li, C.; Moreno-Hagelsieb, G. The Transporter Classification Database (TCDB): Recent advances. Nucleic Acids Res. 2016, 44, D372–D379. [Google Scholar] [CrossRef]
Sample Availability: Samples of the compounds are available by agreement with the authors and management of the organization for conducting joint research from the authors. |



| Bacteria | Marinomonas primoryensis KMM 3633T DNA Translation GenBank:QES04118.1 | Marinomonas primoryensis KMM 3633T aa Composition (Methods) | Marinomonas primoryensis strain AceL DNA Translation GenBank:WP_112140846.1 | Marinomonas sp. IMCC 4694 DNA Translation GenBank:WP_148833815.1 | Polaromonas sp. JS666 DNA Translation GenBank:WP_011485260 | Magnetospirillum magneticum AMB-1 DNA Translation GenBank:BAE48829.1 | Photobacterium damselae subsp. damselae DNA translation GenBank:KJF82573.1 | Photobacterium damselae (Vibrio damsela) aa Composition [27] | Escherichia coli DNA Translation GenBank: WP_000768382.1 | Escherichia coli aa Sequencing [28] | Basfia succiniciproducens MBEL55E DNA Translation GenBank: AAU37168.1 | Average |
|---|---|---|---|---|---|---|---|---|---|---|---|---|
| Class of Proteobacteria | Gamma | Gamma | Gamma | Gamma | Beta | Alpha | Gamma | Gamma | Gamma | Gamma | Gamma | |
| Superfamily pfam, clan | Porin_4, cl28788 | Porin_4, cl28788 | Porin_4, cl28788 | Porin_4, cl28788 | Porin_4, cl28788 | Porin_4, cl28788 | OM_channels, cl21487 | OM_channels, cl21487 | ||||
| Superfamily TCBD | Outer membrane pore-forming protein (OMPP) superfamily I | |||||||||||
| Family TCBD | The General Bacterial Porin (GBP) Family | The Rhodobacter PorCa Porin (RPP) Family | The General Bacterial Porin (GBP) Family | |||||||||
| The best match in TCBD, TCID | 1.B.1.1.9 Major outer membrane protein OmpU | 1.B.1.1.1 Outer membrane protein F precursor | 1.B.1.1.5 Outer membrane porin protein LC PR. | 1.B.1.6.1 Outer membrane porin protein 32 pr | 1.B.7.1.5 Porin 41 (Por41) OS = Rhodospirillum | 1.B.1.1.9 Major outer membrane protein OmpU | 1.B.1.1.4 Outer membrane porin protein NMPC | 1.B.1.1.14 Major outer membrane protein OS = Pa | ||||
| Query: GenBank:QES04118.1 BLAST NCBI, Query Cover | 100% | 100% | 100% | 94% | 34% | 18% | 42% | 53% | ||||
| Query: GenBank:QES04118.1 BLAST NCBI, Per. Ident | 100% | 83.59% | 77.43% | 22.42% | 24.05% | 40.62% | 33.90% | 33.33% | ||||
| Number of amino acids without signal peptide | 290 | 299 | 296 | 336 | 412 | 317 | 345 | 345 | 330 | |||
| Molecular weight, kDa | 31.23 | 31.79 | 31.73 | 34.70 | 42.30 | 34.94 | 38.93 | 38.93 | 35.57 | |||
| Theoretical pI | 3.99 | 4.17 | 3.83 | 9.49 | 5.73 | 4.32 | 4.71 | 4.71 | ||||
| Total number of negatively charged residues (Asp + Glu) | 48 | 44 | 50 | 21 | 30 | 54 | 48 | 48 | ||||
| Total number of positively charged residues (Arg + Lys) | 18 | 21 | 15 | 27 | 26 | 31 | 35 | 35 | ||||
| Aliphatic index: | 63.17 | 68.49 | 62.94 | 60.51 | 69.88 | 64.45 | 61.16 | 61.16 | ||||
| Grand average of hydropathicity (GRAVY) | −0.491 | −0.383 | −0.461 | −0.362 | −0.201 | −0.61 | −0.624 | −0.624 | ||||
| Instability index | −0.01 | 1.40 | 10.21 | 24.19 | 7.74 | 15.04 | 16.18 | 24.22 | ||||
| Bacteria | Marinomonas primoryensis KMM 3633T DNA Translation GenBank:QES04118.1 | Marinomonas primoryensis KMM 3633T aa Composition (Methods) | Marinomonas primoryensis strain AceL DNA Translation GenBank:WP_112140846.1 | Marinomonas sp. IMCC 4694 DNA Translation GenBank:WP_148833815.1 | Polaromonas sp. JS666 DNA Translation GenBank:WP_011485260 | Magnetospirillum magneticum AMB-1 DNA Translation GenBank:BAE48829.1 | Photobacterium damselae Subsp. Damselae DNA Translation GenBank:KJF82573.1 | Photobacterium damselae (Vibrio damsela) aa Composition [27] | Escherichia coli DNA Translation GenBank: WP_000768382.1 | Escherichia coli aa Sequencing [28] | Basfia succiniciproducens MBEL55E DNA Translation GenBank: AAU37168.1 | Average |
|---|---|---|---|---|---|---|---|---|---|---|---|---|
| Neutral aliphatic, mol % | 52.1 | 59.8 | 55.5 | 53.7 | 62.6 | 62 | 46.7 | 51.9 | 46 | 50.3 | 46.6 | 53.4 |
| Gly, mol % | 10.3 | 13 | 11 | 10.5 | 17.6 | 18 | 9.8 | 10.3 | 11 | 14.4 | 11.5 | |
| Ala, mol % | 8.3 | 12.3 | 10 | 8.8 | 10.1 | 10.2 | 11.4 | 10.6 | 8.4 | 8.5 | 7.5 | |
| Val, mol % | 9.7 | 8.3 | 9.4 | 7.8 | 4.2 | 7.5 | 4.7 | 6.9 | 3.8 | 6.8 | 5.6 | |
| Leu, mol % | 4.5 | 5.9 | 5.7 | 4.7 | 5.7 | 6.6 | 6 | 7.9 | 5.5 | 6.2 | 7.1 | |
| Ile, mol % | 2.4 | 3.1 | 2.3 | 3.4 | 4.2 | 3.2 | 4.1 | 4.8 | 5.2 | 3.5 | 4 | |
| Ser, mol % | 6.2 | 8.6 | 7.4 | 8.4 | 11.3 | 8.7 | 5 | 6.2 | 4.6 | 4.7 | 5 | |
| Thr, mol % | 10.7 | 8.6 | 9.7 | 10.1 | 9.5 | 7.8 | 5.7 | 5.2 | 7.5 | 6.2 | 5.9 | |
| Aromatic, mol % | 11.4 | 7.3 | 11.3 | 11.5 | 10.2 | 10.0 | 13.6 | 9.7 | 16.3 | 14.2 | 13 | 11.4 |
| Phe, mol % | 4.5 | 3.4 | 4.3 | 4.4 | 4.5 | 2.7 | 6.3 | 5 | 5.8 | 5.6 | 7.1 | |
| Tyr, mol % | 6.9 | 3.9 | 7 | 7.1 | 4.8 | 5.1 | 7.3 | 4.7 | 9.3 | 8.5 | 5.9 | |
| Trp, mol % | 0 | - * | 0 | 0 | 0.9 | 2.2 | 0 | - | 0.6 | 1.2 | 1.2 | |
| Sulphur-containing, mol % | 1.7 | 0 | 0.7 | 1.7 | 0.9 | 1.9 | 0.9 | 2.8 | 1.7 | 0.9 | 1.2 | 1.3 |
| Met, mol % | 1.7 | 0 | 0.7 | 1.7 | 0.9 | 1.9 | 0.9 | 2.8 | 1.7 | 0.9 | 1.2 | |
| Cys, mol % | 0 | 0 | 0 | 0 | 0 | 0 | 0 | 0 | 0 | 0 | 0 | |
| Imino, mol % | 1.0 | 3.5 | 1.0 | 1.4 | 1.5 | 1.7 | 0.3 | 2.2 | 0.9 | 1.2 | 0.3 | 1.6 |
| Pro, mol % | 1.0 | 3.5 | 1.0 | 1.4 | 1.5 | 1.7 | 0.3 | 2.2 | 0.9 | 1.2 | 0.3 | |
| Dicarboxylic, mol % | 27.3 | 20.3 | 24.4 | 26.9 | 15.9 | 17 | 28.8 | 21.8 | 24.4 | 24 | 21.2 | 22.9 |
| Asx, mol % | 18.3 | 12 | 15.4 | 16.2 | 9.9 | 11.2 | 18.7 | 14.4 | 17.1 | 16.7 | 12.5 | |
| Glx, mol % | 9 | 8.3 | 9 | 10.7 | 6 | 5.8 | 10.1 | 7.4 | 7.3 | 7.3 | 8.7 | |
| Basic, mol % | 6.5 | 7.4 | 7 | 5.1 | 7.7 | 7.5 | 9.8 | 11.5 | 10.7 | 8.8 | 16.4 | 8.9 |
| His, mol % | 0.3 | 1 | 0 | 0 | 1.2 | 1.2 | 0 | 1.6 | 0.6 | 0.3 | 0.9 | |
| Arg, mol % | 0.7 | 2.1 | 1 | 1 | 6.5 | 2.4 | 2.5 | 4.2 | 4.6 | 3.2 | 5.3 | |
| Lys, mol % | 5.5 | 4.3 | 6 | 4.1 | 1.5 | 3.9 | 7.3 | 5.7 | 5.5 | 5.3 | 10.2 | |
| Polarity index (Hatch) | 1.95 | 1.81 | 2.07 | 2.16 | 2.13 | 1.69 | 2.21 | 1.46 | 2.03 | 1.79 | 1.88 | 1.93 |
| Polarity (Nitzan) | 50.7 | 44.25 | 48.95 | 50.05 | 46.1 | 43.7 | 52.5 | 45.7 | 51 | 49.55 | 51.3 | 48.5 |
| № | Sample | α-Helix | β-Structure | β-Turn | Random Coil | ||||
|---|---|---|---|---|---|---|---|---|---|
| I | II | III | I | II | III | ||||
| 1 | MpOmp | 2.8 | 1.5 | 4.3 | 32.5 | 17.4 | 49.9 | 20.3 | 25.5 |
| 2 | MpOmp, 0.5% POE | 0.8 | 4.1 | 4.9 | 34.7 | 14.4 | 49.1 | 20.9 | 25.1 |
| 3 | MpOmp, 0.25% SDS | 7.6 | 10.4 | 18.0 | 18.1 | 10.2 | 28.3 | 22.7 | 31.0 |
© 2020 by the authors. Licensee MDPI, Basel, Switzerland. This article is an open access article distributed under the terms and conditions of the Creative Commons Attribution (CC BY) license (http://creativecommons.org/licenses/by/4.0/).
Share and Cite
Novikova, O.D.; Khomenko, V.A.; Kim, N.Y.; Likhatskaya, G.N.; Romanenko, L.A.; Aksenova, E.I.; Kunda, M.S.; Ryzhova, N.N.; Portnyagina, O.Y.; Solov’eva, T.F.; et al. Porin from Marine Bacterium Marinomonas primoryensis KMM 3633T: Isolation, Physico-Chemical Properties, and Functional Activity. Molecules 2020, 25, 3131. https://doi.org/10.3390/molecules25143131
Novikova OD, Khomenko VA, Kim NY, Likhatskaya GN, Romanenko LA, Aksenova EI, Kunda MS, Ryzhova NN, Portnyagina OY, Solov’eva TF, et al. Porin from Marine Bacterium Marinomonas primoryensis KMM 3633T: Isolation, Physico-Chemical Properties, and Functional Activity. Molecules. 2020; 25(14):3131. https://doi.org/10.3390/molecules25143131
Chicago/Turabian StyleNovikova, Olga D., Valentina A. Khomenko, Natalia Yu. Kim, Galina N. Likhatskaya, Lyudmila A. Romanenko, Ekaterina I. Aksenova, Marina S. Kunda, Natalia N. Ryzhova, Olga Yu. Portnyagina, Tamara F. Solov’eva, and et al. 2020. "Porin from Marine Bacterium Marinomonas primoryensis KMM 3633T: Isolation, Physico-Chemical Properties, and Functional Activity" Molecules 25, no. 14: 3131. https://doi.org/10.3390/molecules25143131
APA StyleNovikova, O. D., Khomenko, V. A., Kim, N. Y., Likhatskaya, G. N., Romanenko, L. A., Aksenova, E. I., Kunda, M. S., Ryzhova, N. N., Portnyagina, O. Y., Solov’eva, T. F., & Voronina, O. L. (2020). Porin from Marine Bacterium Marinomonas primoryensis KMM 3633T: Isolation, Physico-Chemical Properties, and Functional Activity. Molecules, 25(14), 3131. https://doi.org/10.3390/molecules25143131

