Complex Coacervation of Soy Proteins, Isoflavones and Chitosan
Abstract
:1. Introduction
2. Results and Discussion
2.1. Effects of Chitosan on the Coacervation of Soy Proteins
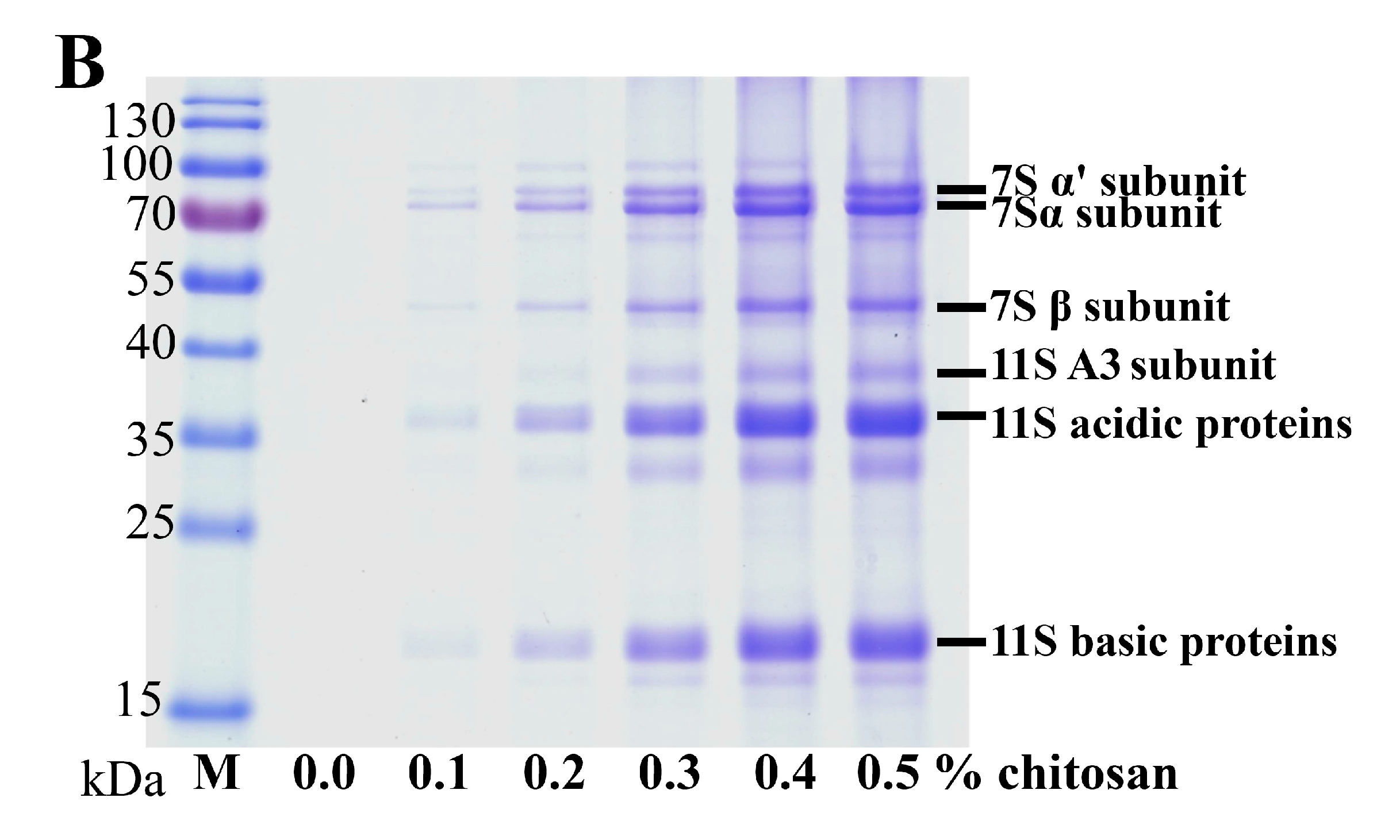
2.2. Analysis of the Effects of Chitosan on Soy Proteins Using SDS-PAGE
2.3. HPLC Analysis of Isoflavones in Soymilk
2.4. HPLC Analysis of the Effects of Chitosan on the Isoflavones
2.5. Reaction Scheme for the Effects of Chitosan on Soy Proteins and Isoflavones
3. Experimental Section
3.1. Preparation of Soymilk
3.2. Preparation of Soymilk Samples Containing Various Concentrations of Chitosan
3.3. Sodium Dodecyl Sulfate Polyacrylamide Gel Electrophoresis (SDS-PAGE)
3.4. Preparation of Isoflavone Samples
3.5. HPLC Analysis of the Isoflavone Samples
3.6. Statistical Analysis
4. Conclusions
Acknowledgments
Author Contributions
Conflicts of Interest
References
- Hattori, M.; Numamoto, K.; Kobayashi, K.; Takahashi, K. Functional changes in beta-lactoglobulin by conjugation with cationic saccharides. J. Agric. Food Chem. 2000, 48, 2050–2056. [Google Scholar] [CrossRef] [PubMed]
- Varum, K.M.; Smidsrod, O. Chitosans. In Food Polysaccharides and Their Applications, 2nd ed.; Stephen, A.M., Philips, G.O., Williams, P.A., Eds.; Taylor & Francis: Boca Raton, FL, USA, 2006; pp. 497–520. [Google Scholar]
- Dutta, P.K.; Tripathi, S.; Mehrotra, G.K.; Dutta, J. Perspectives for chitosan based antimicrobial films in food applications. Food Chem. 2009, 114, 1173–1182. [Google Scholar] [CrossRef]
- Elmer, C.; Karaca, A.C.; Low, N.H.; Nickerson, M.T. Complex coacervation in pea protein isolate-chitosan mixtures. Food Res. Int. 2011, 44, 1441–1446. [Google Scholar] [CrossRef]
- Chen, C.C.; Chen, S.T.; Hsieh, J.F. Proteomic analysis of polysaccharide-milk protein interactions induced by chitosan. Molecules 2015, 20, 7737–7749. [Google Scholar] [CrossRef] [PubMed]
- No, H.K.; Meyers, S.P. Preparation of tofu using chitosan as a coagulant for improved shelf-life. Int. J. Food Sci. Technol. 2004, 39, 133–141. [Google Scholar] [CrossRef]
- Ringgenberg, E.; Alexander, M.; Corredig, M. Effect of concentration and incubation temperature on the acid induced aggregation of soymilk. Food Hydrocoll. 2013, 30, 463–469. [Google Scholar] [CrossRef]
- Taski-Ajdukovic, K.; Djordjevic, V.; Vidic, M.; Vujakovic, M. Subunit composition of seed storage proteins in high-protein soybean genotypes. Pesq. Agropec. Bras. 2010, 45, 721–729. [Google Scholar] [CrossRef]
- Blazek, V.; Caldwell, R.A. Comparison of SDS gel capillary electrophoresis with microfluidic lab-on-a-chip technology to quantify relative amounts of 7S and 11S proteins from 20 soybean cultivars. Int. J. Food Sci. Technol. 2009, 44, 2127–2134. [Google Scholar] [CrossRef]
- Adachi, M.; Kanamori, J.; Masuda, T.; Yagasaki, K.; Kitamura, K.; Mikami, B.; Utsumi, S. Crystal structure of soybean 11S globulin: Glycinin A3B4 homohexamer. Proc. Natl. Acad. Sci. USA 2003, 100, 7395–7400. [Google Scholar] [CrossRef] [PubMed]
- Prabhakaran, M.P.; Perera, C.O.; Valiyaveettil, S. Effect of different coagulants on the isoflavone levels and physical properties of prepared firm tofu. Food Chem. 2006, 99, 492–499. [Google Scholar] [CrossRef]
- Hsia, S,Y.; Hsiao, Y.H.; Li, W.T.; Hsieh, J.F. Aggregation of soy protein-isoflavone complexes and gel formation induced by glucono-δ-lactone in soymilk. Sci. Rep. 2016, 6, 35718. [Google Scholar]
- Hsiao, Y.H.; Lu, C.P.; Kuo, M.I.; Hsieh, J.F. Coacervation of β-conglycinin, glycinin and isoflavones induced by propylene glycol alginate in heated soymilk. Food Chem. 2016, 200, 55–61. [Google Scholar] [CrossRef] [PubMed]
- Singh, S.S.; Bohidar, H.B.; Bandyopadhyay, S. Study of gelatin-agar intermolecular aggregates in the supernatant of its coacervate. Colloids Surf. B Biointerfaces 2007, 57, 29–36. [Google Scholar] [CrossRef] [PubMed]
- Huang, G.Q.; Sun, Y.T.; Xiao, J.X.; Yang, J. Complex coacervation of soybean protein isolate and chitosan. Food Chem. 2012, 135, 534–539. [Google Scholar] [CrossRef] [PubMed]
- Liu, X.; Vederas, J.C.; Whittal, R.M.; Zheng, J.; Stiles, M.E.; Carlson, D.; Franz, C.M.; McMullen, L.M.; van Belkum, M.J. Identification of an N-terminal formylated, two-peptide bacteriocin from Enterococcus faecalis 710C. J. Agric. Food Chem. 2011, 59, 5602–5608. [Google Scholar] [CrossRef] [PubMed]
- Stanojevic, S.P.; Barac, M.B.; Pesic, M.B.; Vucelic-Radovic, B.V. Assessment of soy genotype and processing method on quality of soybean tofu. J. Agric. Food Chem. 2011, 59, 7368–7376. [Google Scholar] [CrossRef] [PubMed]
- Yuan, Y.; Wan, Z.L.; Yin, S.W.; Yang, X.Q.; Qi, J.R.; Liu, G.Q.; Zhang, Y. Characterization of complexes of soy protein and chitosan heated at low pH. LWT Food Sci. Technol. 2013, 50, 657–664. [Google Scholar] [CrossRef]
- Yuan, Y.; Wan, Z.L.; Yang, X.Q.; Yin, S.W. Associative interactions between chitosan and soy protein fractions: Effects of pH, mixing ratio, heat treatment and ionic strength. Food Res. Int. 2014, 55, 207–214. [Google Scholar] [CrossRef]
- Wang, H.J.; Murphy, P.A. Mass balance study of isoflavones during soybean processing. J. Agric. Food Chem. 1996, 44, 2377–2383. [Google Scholar] [CrossRef]
- Silva, S.S.; Goodfellow, B.J.; Benesch, J.; Rocha, J.; Mano, J.F.; Reis, R.L. Morphology and miscibility of chitosan/soy protein blended membranes. Carbohydr. Polym. 2007, 70, 25–31. [Google Scholar] [CrossRef]
- Tipkanon, S.; Chompreeda, P.; Haruthaithanasan, V.; Prinyawiwatkul, W.; No, H.K.; Xu, Z. Isoflavone content in soy germ flours prepared from two drying methods. Int. J. Food Sci. Technol. 2011, 46, 2240–2247. [Google Scholar] [CrossRef]
Sample Availability: Samples of the compounds are not available. |








© 2017 by the authors. Licensee MDPI, Basel, Switzerland. This article is an open access article distributed under the terms and conditions of the Creative Commons Attribution (CC BY) license (http://creativecommons.org/licenses/by/4.0/).
Share and Cite
Hsiao, Y.-H.; Hsia, S.-Y.; Chan, Y.-C.; Hsieh, J.-F. Complex Coacervation of Soy Proteins, Isoflavones and Chitosan. Molecules 2017, 22, 1022. https://doi.org/10.3390/molecules22061022
Hsiao Y-H, Hsia S-Y, Chan Y-C, Hsieh J-F. Complex Coacervation of Soy Proteins, Isoflavones and Chitosan. Molecules. 2017; 22(6):1022. https://doi.org/10.3390/molecules22061022
Chicago/Turabian StyleHsiao, Yu-Hsuan, Sheng-Yang Hsia, Yin-Ching Chan, and Jung-Feng Hsieh. 2017. "Complex Coacervation of Soy Proteins, Isoflavones and Chitosan" Molecules 22, no. 6: 1022. https://doi.org/10.3390/molecules22061022
APA StyleHsiao, Y.-H., Hsia, S.-Y., Chan, Y.-C., & Hsieh, J.-F. (2017). Complex Coacervation of Soy Proteins, Isoflavones and Chitosan. Molecules, 22(6), 1022. https://doi.org/10.3390/molecules22061022
