Sign in to use this feature.

Years

Between: -

Subjects

remove_circle_outline
remove_circle_outline
remove_circle_outline
remove_circle_outline
remove_circle_outline
remove_circle_outline
remove_circle_outline
remove_circle_outline

Journals

Article Types

Countries / Regions

Search Results (14)

Search Parameters:
Keywords = subacute aphasia

Order results
Result details
Results per page
Select all
Export citation of selected articles as:
14 pages, 378 KB  
Article
Exploring Language Recovery Pattern in Persons with Aphasia Across Acute and Sub-Acute Stages
by Deepak Puttanna, Nova Maria Saji, Mohammed F. ALHarbi, Akshaya Swamy and Darshan Hosaholalu Sarvajna
Behav. Sci. 2025, 15(10), 1339; https://doi.org/10.3390/bs15101339 - 29 Sep 2025
Viewed by 1400
Abstract
Recovery from aphasia is a complex process involving restoring language ability to a level comparable to an individual’s pre-aphasia state. This recovery extends beyond linguistic functions such as improved quality of life and functional communication. Understanding language recovery in PWAs is a key [...] Read more.
Recovery from aphasia is a complex process involving restoring language ability to a level comparable to an individual’s pre-aphasia state. This recovery extends beyond linguistic functions such as improved quality of life and functional communication. Understanding language recovery in PWAs is a key area in aphasia research. Thus, the current study aimed to understand the pattern of language recovery in the acute and sub-acute stages of persons with aphasia (PWAs). A total of 11 PWAs aged between 40 and 80 were recruited. The study was conducted in two phases. In the acute stage (within one week post-stroke), participants were assessed using the Western Aphasia Battery-Kannada (WAB-K). In the sub-acute stage (between seven and fifteen days post-stroke), a similar test battery was repeated. The findings of the study showed auditory verbal comprehension scores were pronounced in the acute and sub-acute stages of recovery. Further, language quotient (LQ) scores were higher in the sub-acute stage compared to the acute stage, though these differences failed to evince statistical differences. Correlation analysis revealed strong positive correlations between LQ and spontaneous speech, repetition, and naming, with moderate correlations for auditory verbal comprehension. The study’s findings highlight the importance of targeted therapeutic interventions for PWAs, emphasizing an early focus on auditory verbal comprehension to enhance overall language recovery. Full article
(This article belongs to the Section Experimental and Clinical Neurosciences)
Show Figures

Figure 1

29 pages, 30391 KB  
Article
Fixel-Based White Matter Correlates of Sentence Comprehension in Post-Stroke Aphasia
by Dongxiang Fang, Xiangtong Ji, Haozheng Li, Shuqi Xu, Yalan Yang, Jiayun Zhan, Anthony Pak-Hin Kong and Ruiping Hu
Brain Sci. 2025, 15(10), 1039; https://doi.org/10.3390/brainsci15101039 - 25 Sep 2025
Viewed by 1004
Abstract
Background/Objectives: Auditory sentence comprehension often remains impaired in individuals with post-stroke aphasia despite recovery in word-level comprehension. Neuroimaging studies have identified a left perisylvian network, especially temporal regions, as central to sentence comprehension, while the role of left frontal areas and specific white [...] Read more.
Background/Objectives: Auditory sentence comprehension often remains impaired in individuals with post-stroke aphasia despite recovery in word-level comprehension. Neuroimaging studies have identified a left perisylvian network, especially temporal regions, as central to sentence comprehension, while the role of left frontal areas and specific white matter tracts remains debated. This study uses advanced fixel-based analysis (FBA) of diffusion MRI to precisely map white matter alterations related to complex sentence comprehension deficits in subacute Mandarin-speaking aphasic patients, addressing gaps from prior voxel-based and English-specific research. Methods: Twenty-three right-handed native Mandarin speakers with subacute (1–6 months post-onset) single left-hemisphere strokes underwent diffusion MRI. Standard preprocessing and FBA were conducted. Whole-brain linear regression assessed associations between fiber density and cross-section (FDC) and non-canonical sentence comprehension, controlling for age, education, time post-stroke, and verb comprehension. Mean FDC was calculated for each tract containing at least one significant fixel identified by FBA. Partial Spearman’s correlations examined relationships between mean FDC values within these tracts and comprehension accuracy for each sentence type, controlling for the same covariates. Results: Canonical sentences were comprehended significantly better than non-canonical sentences. FBA identified significant positive correlations between FDC and non-canonical sentence comprehension in the left superior longitudinal fasciculus (SLF II and SLF III), arcuate fasciculus (AF), middle longitudinal fasciculus, inferior fronto-occipital fasciculus, and the isthmus and splenium of the corpus callosum. Fiber density reduction primarily drove reductions in FDC, whereas reductions in fiber cross-section were limited to dorsal tracts (SLF III and AF). Conclusions: This study highlights a distributed left perisylvian white matter network critical for complex sentence comprehension in Mandarin speakers, refining neurocognitive models by identifying specific white matter substrates and demonstrating FBA’s utility in aphasia research. Full article
(This article belongs to the Special Issue Latest Research on the Treatments of Speech and Language Disorders)
Show Figures

Figure 1

13 pages, 4611 KB  
Article
Voxel-Based Lesion Analysis of Ideomotor Apraxia
by Giovanna Oliveira Santos, Analía L. Arévalo, Timothy J. Herron, Brian C. Curran, Guilherme Lepski, Nina F. Dronkers and Juliana V. Baldo
Brain Sci. 2024, 14(9), 853; https://doi.org/10.3390/brainsci14090853 - 24 Aug 2024
Viewed by 3655
Abstract
Ideomotor apraxia is a cognitive disorder most often resulting from acquired brain lesions (i.e., strokes or tumors). Neuroimaging and lesion studies have implicated several brain regions in praxis and apraxia, but most studies have described (sub)acute patients. This study aimed to extend previous [...] Read more.
Ideomotor apraxia is a cognitive disorder most often resulting from acquired brain lesions (i.e., strokes or tumors). Neuroimaging and lesion studies have implicated several brain regions in praxis and apraxia, but most studies have described (sub)acute patients. This study aimed to extend previous research by analyzing data from 115 left hemisphere chronic stroke patients using the praxis subtest of the Western Aphasia Battery, which is divided into four action types: facial, upper limb, complex, and instrumental. Lesion–symptom mapping was used to identify brain regions most critically associated with difficulties in each of the four subtests. Complex and instrumental action deficits were associated with left precentral, postcentral, and superior parietal gyri (Brodmann areas 2, 3, 4, 5, and 6), while the facial and upper limb action deficits maps were restricted to left inferior, middle, and medial temporal gyri (Brodmann areas 20, 21, 22, and 48). We discuss ideas about neuroplasticity and cortical reorganization in chronic stroke and how different methodologies can reveal different aspects of lesion and recovery networks in apraxia. Full article
(This article belongs to the Section Neurotechnology and Neuroimaging)
Show Figures

Figure 1

36 pages, 8325 KB  
Article
Early Boost of Linguistic Skills? Individualized Non-Invasive Brain Stimulation in Early Postacute Aphasia
by Ilona Rubi-Fessen, Kathrin Gerbershagen, Prisca Stenneken and Klaus Willmes
Brain Sci. 2024, 14(8), 789; https://doi.org/10.3390/brainsci14080789 - 3 Aug 2024
Viewed by 2277
Abstract
Non-invasive brain stimulation, such as transcranial direct current stimulation (tDCS), has been shown to increase the outcome of speech and language therapy (SLT) in chronic aphasia. Only a few studies have investigated the effect of add-on tDCS on SLT in the early stage [...] Read more.
Non-invasive brain stimulation, such as transcranial direct current stimulation (tDCS), has been shown to increase the outcome of speech and language therapy (SLT) in chronic aphasia. Only a few studies have investigated the effect of add-on tDCS on SLT in the early stage of aphasia; this may be due to methodological reasons, in particular the influence of spontaneous remission and the difficulty of establishing stimulation protocols in clinical routines. Thirty-seven participants with subacute aphasia (PwA) after stroke (23 men, 14 women; mean age 62 ± 12 years; mean duration 49 ± 28 days) were included in two consecutive periods of treatment lasting two weeks each. During the first period (P1) the participants received 10 sessions of SLT, during the second period (P2) the aphasia therapy was supplemented by anodal left hemispheric 2 mA tDCS over the left hemisphere. Severity-specific language tests (Aachen Aphasia Test (AAT), n = 27 and Bielefeld Aphasia Screening-Reha (BIAS-R), n = 10) were administered before P1, between P1 and P2, and after P2. Where information was available, the results were corrected for spontaneous remission (AAT sample), and the therapy outcomes of P1 and P2 were compared. Participants’ overall language abilities improved significantly during P1 and P2. However, improvement—as measured by the AAT profile level or the BIAS-R mean percentage value—during P2 (with tDCS) was significantly higher than during P1 (p < 0.001; AAT sample and p = 0.005; BIAS-R sample). Thus, tDCS protocols can be implemented in early aphasia rehabilitation. Despite the limitations of the research design, which are also discussed from an implementation science perspective, this is preliminary evidence that an individually tailored anodal tDCS can have a significant add-on effect on the outcome of behavioral aphasia therapy in subacute aphasia. Full article
Show Figures

Figure 1

9 pages, 1841 KB  
Case Report
Diffusion MRI Fiber Tractography and Benzodiazepine SPECT Imaging for Assessing Neural Damage to the Language Centers in an Elderly Patient after Successful Reperfusion Therapy
by Tatsushi Mutoh, Yasuyuki Yoshida, Yasuko Tatewaki, Hongkun Chin, Ryota Tochinai, Junta Moroi and Tatsuya Ishikawa
Geriatrics 2024, 9(2), 30; https://doi.org/10.3390/geriatrics9020030 - 1 Mar 2024
Cited by 2 | Viewed by 3225
Abstract
Background: Intravenous thrombolysis and mechanical thrombectomy are the first-line reperfusion therapies for acute ischemic stroke. Here, we describe the utility of diffusion magnetic resonance imaging (MRI) fiber tractography and 123I-iomazenil benzodiazepine receptor single-photon emission computed tomography to estimate the prognosis of post-stroke [...] Read more.
Background: Intravenous thrombolysis and mechanical thrombectomy are the first-line reperfusion therapies for acute ischemic stroke. Here, we describe the utility of diffusion magnetic resonance imaging (MRI) fiber tractography and 123I-iomazenil benzodiazepine receptor single-photon emission computed tomography to estimate the prognosis of post-stroke aphasia after successful reperfusion therapy. Case report: An 81-year-old man was admitted to the hospital approximately 3.5 h after the onset of symptoms, including decreased consciousness, right hemiparesis, and aphasia. An MRI revealed acute cerebral infarction due to M1 segment occlusion. Intravenous alteplase thrombolysis followed by endovascular thrombectomy resulted in recanalization of the left middle cerebral artery territory. A subsequent MRI showed no new ischemic or hemorrhagic lesions. Although the patient’s motor hemiparesis gradually recovered, motor aphasia persisted. Diffusion MRI fiber tractography performed 2 weeks after admission revealed partial injury to the left arcuate fasciculus, indicated by lower fractional anisotropy values than on the contralateral side. A decreased benzodiazepine receptor density was also detected in the left perisylvian and temporoparietal cortices. The patient showed no clear signs of further improvement in the chronic stage post-stroke and was discharged to a nursing home after 3 months. Conclusions: The application of functional neuroimaging techniques to assess neuronal damage to the primary brain regions 2 weeks after reperfusion therapy for large-vessel occlusion may allow for an accurate prognosis of post-stroke aphasia. This may have a direct clinical implication for navigating subacute-to-chronic phases of rehabilitative care. Full article
(This article belongs to the Section Geriatric Neurology)
Show Figures

Figure 1

18 pages, 8029 KB  
Article
Investigating Aphasia Recovery: Demographic and Clinical Factors
by Georgios Papageorgiou, Dimitrios Kasselimis, Georgia Angelopoulou, Nikolaos Laskaris, Dimitrios Tsolakopoulos, Georgios Velonakis, Argyro Tountopoulou, Sophia Vassilopoulou and Constantin Potagas
Brain Sci. 2024, 14(1), 7; https://doi.org/10.3390/brainsci14010007 - 21 Dec 2023
Cited by 3 | Viewed by 5135
Abstract
Post-stroke language recovery remains one of the main unresolved topics in the field of aphasia. In recent years, there have been efforts to identify specific factors that could potentially lead to improved language recovery. However, the exact relationship between the recovery of particular [...] Read more.
Post-stroke language recovery remains one of the main unresolved topics in the field of aphasia. In recent years, there have been efforts to identify specific factors that could potentially lead to improved language recovery. However, the exact relationship between the recovery of particular language functions and possible predictors, such as demographic or lesion variables, is yet to be fully understood. In the present study, we attempted to investigate such relationships in 42 patients with aphasia after left hemisphere stroke, focusing on three language domains: auditory comprehension, naming and speech fluency. Structural imaging data were also obtained for the identification of the lesion sites. According to our findings, patients demonstrated an overall improvement in all three language domains, while no demographic factor significantly contributed to aphasia recovery. Interestingly, specific lesion loci seemed to have a differential effect on language performance, depending on the time of testing (i.e., acute/subacute vs. chronic phase). We argue that this variability concerning lesion–deficit associations reflects the dynamic nature of aphasia and further discuss possible explanations in the framework of neuroplastic changes during aphasia recovery. Full article
(This article belongs to the Section Neurorehabilitation)
Show Figures

Figure 1

17 pages, 2855 KB  
Article
Effects of Damage to the Integrity of the Left Dual-Stream Frontotemporal Network Mediated by the Arcuate Fasciculus and Uncinate Fasciculus on Acute/Subacute Post-Stroke Aphasia
by Qiwei Yu, Yuer Jiang, Yan Sun, Xiaowen Ju, Tianfen Ye, Na Liu, Surong Qian and Kefu Liu
Brain Sci. 2023, 13(9), 1324; https://doi.org/10.3390/brainsci13091324 - 14 Sep 2023
Cited by 4 | Viewed by 2559
Abstract
(1) Background: To investigate the correlation between the integrity of the left dual-stream frontotemporal network mediated by the arcuate fasciculus (AF) and uncinate fasciculus (UF), and acute/subacute post-stroke aphasia (PSA). (2) Methods: Thirty-six patients were recruited and received both a language assessment and [...] Read more.
(1) Background: To investigate the correlation between the integrity of the left dual-stream frontotemporal network mediated by the arcuate fasciculus (AF) and uncinate fasciculus (UF), and acute/subacute post-stroke aphasia (PSA). (2) Methods: Thirty-six patients were recruited and received both a language assessment and a diffusion tensor imaging (DTI) scan. Correlations between diffusion indices in the bilateral LSAF/UF and language performance assessment were analyzed with correlation analyses. Multiple linear regression analysis was also implemented to investigate the effects of the integrity of the left LSAF/UF on language performance. (3) Results: Correlation analyses showed that the diffusion indices, including mean fractional anisotropy (FA) values and the fiber number of the left LSAF rather than the left UF was significantly positively associated with language domain scores (p < 0.05). Multiple linear regression analysis revealed an independent and positive association between the mean FA value of the left LSAF and the percentage score of language subsets. In addition, no interaction effect of the integrity of the left LSAF and UF on language performance was found (p > 0.05). (4) Conclusions: The integrity of the left LSAF, but not the UF, might play important roles in supporting residual language ability in individuals with acute/subacute PSA; simultaneous disruption of the dual-stream frontotemporal network mediated by the left LSAF and UF would not result in more severe aphasia than damage to either pathway alone. Full article
Show Figures

Figure 1

10 pages, 515 KB  
Article
Application of an Artificial Neural Network to Identify the Factors Influencing Neurorehabilitation Outcomes of Patients with Ischemic Stroke Treated with Thrombolysis
by Marco Iosa, Stefano Paolucci, Gabriella Antonucci, Irene Ciancarelli and Giovanni Morone
Biomolecules 2023, 13(2), 334; https://doi.org/10.3390/biom13020334 - 9 Feb 2023
Cited by 6 | Viewed by 2782
Abstract
The administration of thrombolysis usually reduces the risk of death and the consequences of stroke in the acute phase. However, having received thrombolysis administration is not a prognostic factor for neurorehabilitation outcome in the subacute phase of stroke. It is conceivably due to [...] Read more.
The administration of thrombolysis usually reduces the risk of death and the consequences of stroke in the acute phase. However, having received thrombolysis administration is not a prognostic factor for neurorehabilitation outcome in the subacute phase of stroke. It is conceivably due to the complex intertwining of many clinical factors. An artificial neural network (ANN) analysis could be helpful in identifying the prognostic factors of neurorehabilitation outcomes and assigning a weight to each of the factors considered. This study hypothesizes that the prognostic factors could be different between patients who received and those who did not receive thrombolytic treatment, even if thrombolysis is not a prognostic factor per se. In a sample of 862 patients with ischemic stroke, the tested ANN identified some common factors (such as disability at admission, age, unilateral spatial neglect), some factors with higher weight in patients who received thrombolysis (hypertension, epilepsy, aphasia, obesity), and some other factors with higher weight in the other patients (dysphagia, malnutrition, total arterial circulatory infarction). Despite the fact that thrombolysis is not an independent prognostic factor for neurorehabilitation, it seems to modify the relative importance of other clinical factors in predicting which patients will better respond to neurorehabilitation. Full article
Show Figures

Figure 1

10 pages, 6989 KB  
Case Report
Poor Spontaneous Recovery of Aphemia Accompanied by Damage to the Anterior Segment of the Left Arcuate Fasciculus: A Case Report
by Qiwei Yu and Wenjun Qian
Brain Sci. 2022, 12(9), 1253; https://doi.org/10.3390/brainsci12091253 - 16 Sep 2022
Cited by 1 | Viewed by 3594
Abstract
Aphemia is a rare and special type of speech disorder, and the mechanisms underlying the occurrence and recovery remain unclear. Here, we present a clinical case of poor spontaneous recovery of aphemia, with the anterior segment of the left arcuate fasciculus server damaged [...] Read more.
Aphemia is a rare and special type of speech disorder, and the mechanisms underlying the occurrence and recovery remain unclear. Here, we present a clinical case of poor spontaneous recovery of aphemia, with the anterior segment of the left arcuate fasciculus server damaged and the posterior segment intact, as detected by diffusion tensor imaging. Aphemia could be caused by the disruption of the cortical and subcortical language circuits. In particular, our data support the view that damage to the anterior segment of the left arcuate fasciculus may result in poor spontaneous recovery from speech production deficits and that an intact posterior segment seems to be crucial for supporting residual language comprehension ability in patients with post-stroke aphasia. Collectively, these data imply the importance of the left arcuate fasciculus during recovery from the language disorder in the subacute stage of stroke. Full article
(This article belongs to the Special Issue Language and Brain: From Genes to Behavior)
Show Figures

Figure 1

19 pages, 3278 KB  
Article
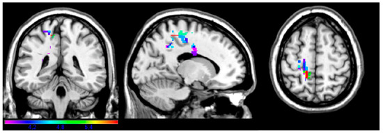
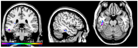
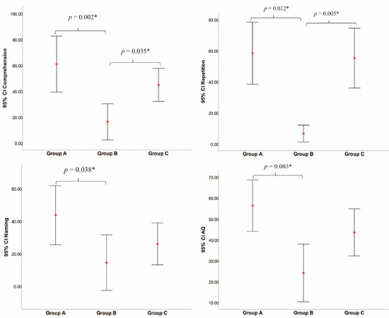
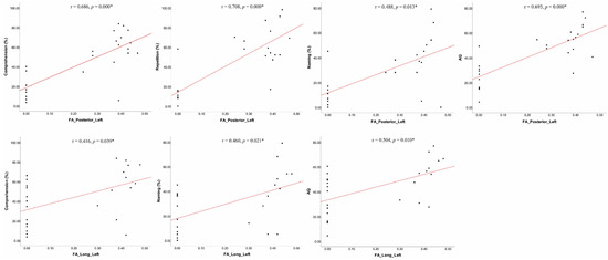
Integrity of the Left Arcuate Fasciculus Segments Significantly Affects Language Performance in Individuals with Acute/Subacute Post-Stroke Aphasia: A Cross-Sectional Diffusion Tensor Imaging Study
by Qiwei Yu, Yan Sun, Xiaoyu Liao, Wenjun Qian and Tianfen Ye
Brain Sci. 2022, 12(7), 907; https://doi.org/10.3390/brainsci12070907 - 12 Jul 2022
Cited by 11 | Viewed by 3267
Abstract
Objective: To investigate the correlation between the left arcuate fasciculus (AF) segments and acute/subacute post-stroke aphasia (PSA). Methods: Twenty-six patients underwent language assessment and MRI scanning. The integrity of the AF based on a three-segment model was evaluated using diffusion tensor imaging. All [...] Read more.
Objective: To investigate the correlation between the left arcuate fasciculus (AF) segments and acute/subacute post-stroke aphasia (PSA). Methods: Twenty-six patients underwent language assessment and MRI scanning. The integrity of the AF based on a three-segment model was evaluated using diffusion tensor imaging. All patients were classified into three groups according to the reconstruction of the left AF: completely reconstructed (group A, 8 cases), non-reconstructed (group B, 6 cases), and partially reconstructed (group C, 12 cases). The correlations and intergroup differences in language performance and diffusion indices were comprehensively estimated. Results: A correlation analyses showed that the lesion load of the language areas and diffusion indices on the left AF posterior and long segments was significantly related to some language subsets, respectively. When controlled lesion load was variable, significant correlations between diffusion indices on the posterior and long segments and comprehension, repetition, naming, and aphasia quotient were retained. Multiple comparison tests revealed intergroup differences in diffusion indices on the left AF posterior and long segments, as well as these language subsets. No significant correlation was found between the anterior segment and language performance. Conclusions: The integrity of the left AF segments, particularly the posterior segment, is crucial for the residual comprehension and repetition abilities in individuals with acute/subacute PSA, and lesion load in cortical language areas is an important factor that should be taken into account when illustrating the contributions of damage to special fiber tracts to language impairments. Full article
Show Figures

Graphical abstract

13 pages, 2221 KB  
Article
Resting-State Neural-Activity Alterations in Subacute Aphasia after Stroke
by Xiaohui Xie, Ting Zhang, Tongjian Bai, Chen Chen, Gong-Jun Ji, Yanghua Tian, Jinying Yang and Kai Wang
Brain Sci. 2022, 12(5), 678; https://doi.org/10.3390/brainsci12050678 - 22 May 2022
Cited by 8 | Viewed by 3646
Abstract
Linguistic deficits are frequent symptoms among stroke survivors. The neural mechanism of post-stroke aphasia (PSA) was incompletely understood. Recently, resting-state functional magnetic resonance imaging (rs-fMRI) was widely used among several neuropsychological disorders. However, previous rs-fMRI studies of PSA were limited to very small [...] Read more.
Linguistic deficits are frequent symptoms among stroke survivors. The neural mechanism of post-stroke aphasia (PSA) was incompletely understood. Recently, resting-state functional magnetic resonance imaging (rs-fMRI) was widely used among several neuropsychological disorders. However, previous rs-fMRI studies of PSA were limited to very small sample size and the absence of reproducibility with different neuroimaging indexes. The present study performed comparisons with static and dynamic amplitude of low-frequency fluctuations (ALFF) and functional connectivity (FC) based on modest sample size (40 PSA and 37 healthy controls). Compared with controls, PSA showed significantly increased static ALFF predominantly in the bilateral supplementary motor area (SMA) and right hippocampus-parahippocampus (R HIP-ParaHip) and decreased static ALFF in right cerebellum. The increased dynamic ALFF in SMA and decreased dynamic ALFF in right cerebellum were also found in PSA. The static and dynamic ALFF in right cerebellum was positively correlated with spontaneous speech. The FC between the SMA and R HIP-ParaHip was significantly stronger in patients than controls and positively correlated with ALFF in bilateral SMA. In addition, the FC between the R HIP-ParaHip and the right temporal was also enhanced in patients and negatively correlated with repetition, naming, and comprehension score. These findings revealed consistently abnormal intrinsic neural activity in SMA and cerebellum, which may underlie linguistic deficits in PSA. Full article
(This article belongs to the Section Neurodegenerative Diseases)
Show Figures

Graphical abstract

16 pages, 4387 KB  
Article
Effects of tDCS on Language Recovery in Post-Stroke Aphasia: A Pilot Study Investigating Clinical Parameters and White Matter Change with Diffusion Imaging
by Radwa K. Soliman, Chantal M. W. Tax, Noha Abo-Elfetoh, Ahmed A. Karim, Ayda Youssef, Doaa Kamal and Eman M. Khedr
Brain Sci. 2021, 11(10), 1277; https://doi.org/10.3390/brainsci11101277 - 26 Sep 2021
Cited by 9 | Viewed by 3715
Abstract
Objectives: In this pilot study we investigated the effects of transcranial direct current stimulation (tDCS) on language recovery in the subacute stage of post-stroke aphasia using clinical parameters and diffusion imaging with constrained spherical deconvolution-based tractography. Methods: The study included 21 patients with [...] Read more.
Objectives: In this pilot study we investigated the effects of transcranial direct current stimulation (tDCS) on language recovery in the subacute stage of post-stroke aphasia using clinical parameters and diffusion imaging with constrained spherical deconvolution-based tractography. Methods: The study included 21 patients with subacute post-stroke aphasia. Patients were randomly classified into two groups with a ratio of 2:1 to receive real tDCS or sham tDCS as placebo control. Patients received 10 sessions (5/week) bi-hemispheric tDCS treatments over the left affected Broca’s area (anodal electrode) and over the right unaffected Broca’s area (cathodal stimulation). Aphasia score was assessed clinically using the language section of the Hemispheric Stroke Scale (HSS) before and after treatment sessions. Diffusion imaging and tractography were performed for seven patients of the real group, both before and after the 10th session. Dissection of language-related white matter tracts was achieved, and diffusion measures were extracted. A paired Student’s t-test was used to compare the clinical recovery and diffusion measures of the dissected tracts both pre- and post- treatment. The partial correlation between changes in diffusion measures and the language improvements was calculated. Results: At baseline assessment, there were no significant differences between groups in demographic and clinical HSS language score. No significant clinical recovery in HSS was evident in the sham group. However, significant improvements in the different components of HSS were only observed in patients receiving real tDCS. Associated significant increase in the fractional anisotropy of the right uncinate fasciculus and a significant reduction in the mean diffusivity of the right frontal aslant tract were reported. A significant positive correlation was found between the changes in the right uncinate fasciculus and fluency improvement. Conclusions: Aphasia recovery after bi-hemispheric transcranial direct current stimulation was associated with contralesional right-sided white matter changes at the subacute stage. These changes probably reflect neuroplasticity that could contribute to the recovery. Both the right uncinate fasciculus and right frontal aslant tract seem to be involved in aphasia recovery. Full article
(This article belongs to the Section Neurorehabilitation)
Show Figures

Figure 1

7 pages, 1383 KB  
Case Report
Cerebral Toxoplasmosis, CMV and Bacterial Pneumonia with Decreasing CD4+ T-Cell Count as Results of Antiretroviral Therapy Discontinuation—A Case Report
by Marta Piwowarek, Katarzyna Siennicka, Tomasz Mikuła and Alicja Wiercińska-Drapało
Pathogens 2021, 10(4), 497; https://doi.org/10.3390/pathogens10040497 - 20 Apr 2021
Cited by 1 | Viewed by 4145
Abstract
Cerebral toxoplasmosis occurs mainly in immunocompromised hosts as a reactivation of latent Toxoplasma gondii infection. In the diagnostic process, magnetic resonance imaging (MRI), serum testing, and biopsy are used. We describe a case of a 43-year-old HIV-positive patient presenting with altered levels of [...] Read more.
Cerebral toxoplasmosis occurs mainly in immunocompromised hosts as a reactivation of latent Toxoplasma gondii infection. In the diagnostic process, magnetic resonance imaging (MRI), serum testing, and biopsy are used. We describe a case of a 43-year-old HIV-positive patient presenting with altered levels of consciousness, aphasia, and hemiparesis. The patient had a history of antiretroviral therapy discontinuation for about 3 years. MRI revealed lesions, suggesting cerebral toxoplasmosis and subacute hemorrhage, serum tests for Toxoplasma gondii were positive. Antiparasitics and glycocorticosteroids were administered. A decline in viral load and clinical improvement were observed, however CD4+ T-cell count continued to decrease. The patient’s state worsened, he developed CMV and bacterial pneumonia, which led to his death. What is crucial in the management of an HIV-infected patient is effective and continuous antiretroviral therapy. Discontinuation of the treatment may result in AIDS and lead to poor recovery of the CD4+ T-cell population, even after reimplementation of antiretroviral therapy and a decrease in viral load. Full article
(This article belongs to the Section Immunological Responses and Immune Defense Mechanisms)
Show Figures

Figure 1

6 pages, 666 KB  
Case Report
Cortical Reorganization after Rehabilitation in a Patient with Conduction Aphasia Using High-Density EEG
by Caterina Formica, Simona De Salvo, Katia Micchìa, Fabio La Foresta, Serena Dattola, Nadia Mammone, Francesco Corallo, Adriana Ciavola, Francesca Antonia Arcadi, Silvia Marino, Alessia Bramanti and Lilla Bonanno
Appl. Sci. 2020, 10(15), 5281; https://doi.org/10.3390/app10155281 - 30 Jul 2020
Cited by 7 | Viewed by 4321
Abstract
Conduction aphasia is a language disorder occurred after a left-brain injury. It is characterized by fluent speech production, reading, writing and normal comprehension, while speech repetition is impaired. The aim of this study is to investigate the cortical responses, induced by language activities, [...] Read more.
Conduction aphasia is a language disorder occurred after a left-brain injury. It is characterized by fluent speech production, reading, writing and normal comprehension, while speech repetition is impaired. The aim of this study is to investigate the cortical responses, induced by language activities, in a sub-acute stroke patient affected by conduction aphasia before and after an intensive speech therapy training. The patient was examined by using High-Density Electroencephalogram (HD-EEG) examination, while was performing language tasks. the patient was evaluated at baseline and after two months after rehabilitative treatment. Our results showed that an intensive rehabilitative process, in sub-acute stroke, could be useful for a good outcome of language deficits. HD-EEG results showed that left parieto-temporol-frontal areas were more activated after 2 months of rehabilitation training compared with baseline. Our results provided evidence that an intensive rehabilitation process could contribute to an inter- and intra-hemispheric reorganization. Full article
(This article belongs to the Special Issue Advances in Biomedical Signal Processing)
Show Figures

Figure 1

Back to TopTop