Sign in to use this feature.

Years

Between: -

Subjects

remove_circle_outline
remove_circle_outline
remove_circle_outline
remove_circle_outline
remove_circle_outline
remove_circle_outline
remove_circle_outline
remove_circle_outline
remove_circle_outline

Journals

remove_circle_outline
remove_circle_outline
remove_circle_outline
remove_circle_outline
remove_circle_outline
remove_circle_outline
remove_circle_outline
remove_circle_outline
remove_circle_outline
remove_circle_outline
remove_circle_outline
remove_circle_outline
remove_circle_outline
remove_circle_outline
remove_circle_outline

Article Types

Countries / Regions

remove_circle_outline
remove_circle_outline
remove_circle_outline
remove_circle_outline
remove_circle_outline
remove_circle_outline

Search Results (1,672)

Search Parameters:
Keywords = strawberry

Order results
Result details
Results per page
Select all
Export citation of selected articles as:
12 pages, 596 KB  
Article
Chemical Characterization and Resource Utilization Potential of By-Products from Hydroponic Strawberry Cultivation
by Se Hun Ju, Young Je Kim, Eun Ji Kim, Daegi Kim, Youngseok Kwon, Jun Gu Lee, Jongseok Park, Beom Seon Lee and Haeyoung Na
Horticulturae 2026, 12(5), 514; https://doi.org/10.3390/horticulturae12050514 - 22 Apr 2026
Abstract
Strawberry cultivation generates substantial amounts of agricultural by-products, including spent substrates and plant residues, particularly in hydroponic production systems. However, information on the occurrence and management of these by-products remains limited. This study investigated the generation, disposal practices, and chemical characteristics of by-products [...] Read more.
Strawberry cultivation generates substantial amounts of agricultural by-products, including spent substrates and plant residues, particularly in hydroponic production systems. However, information on the occurrence and management of these by-products remains limited. This study investigated the generation, disposal practices, and chemical characteristics of by-products from hydroponic strawberry cultivation in two major strawberry-producing regions of Republic of Korea, Nonsan and Jinju. Based on national statistics and field surveys, annual by-product generation was estimated at 605,400 m3 of spent substrates and approximately 25,729 t fresh weight and 6003 t dry weight of plant residues. Disposal practices varied regionally: in Jinju, over 80% of by-products were recycled as compost or feed, whereas in Nonsan, recycling rates were lower and a considerable portion remained untreated or were improperly disposed of. Analyses of 463 pesticides and seven heavy metals (Zn, Cu, Ni, Pb, As, Cd, and Hg) confirmed concentrations below the permissible limits, supporting their chemical suitability for potential recycling use. Inorganic analyses revealed high levels of N, Ca, P, and K, suggesting their potential as alternative nutrient sources and as raw materials for recycled fertilizer or soil amendment. Because strawberry by-products are generated continuously throughout the cultivation cycle, their management requires decentralized and long-term strategies. These results provide the first comprehensive assessment of the generation scale, disposal practices, and chemical characteristics of strawberry by-products in Republic of Korea, suggesting their potential as alternative nutrient resources or raw materials for recycled fertilizer or soil amendment under appropriate pretreatment and management. Full article
(This article belongs to the Section Protected Culture)
24 pages, 1104 KB  
Article
Effects of Key Environmental Factors on Growth of Alternaria alternata Isolated from Strawberry Jam and Its Production of Alternariol and Alternariol Monomethyl Ether
by Ju-Yeon Kim, Sung-Yong Hong, Ji-Su Kim and Ae-Son Om
J. Fungi 2026, 12(5), 303; https://doi.org/10.3390/jof12050303 - 22 Apr 2026
Abstract
Alternariol (AOH) and alternariol monomethyl ether (AME) are major mycotoxins produced primarily by Alternaria alternata on cereal grains and fruits. A. alternata is a causative pathogen of strawberry black spot disease. However, little is known about the characteristics of A. alternata, which [...] Read more.
Alternariol (AOH) and alternariol monomethyl ether (AME) are major mycotoxins produced primarily by Alternaria alternata on cereal grains and fruits. A. alternata is a causative pathogen of strawberry black spot disease. However, little is known about the characteristics of A. alternata, which was isolated from strawberry products. In the present study, we evaluated the influence of temperature, pH, and relative humidity (RH) on the growth of A. alternata OM1 and its production of AOH and AME on different media including strawberry puree agar medium (SPAM) after its isolation from strawberry jam. The fungal strain showed the highest growth rate at 25 °C under pH 6.5 and RH 97%, while the highest amounts of AOH and AME were produced by the strain at 25 °C under pH 4.5 and RH 97%. Additionally, the strain did not produce AOH and AME on SPAM at 25 °C under RH 92% until 7 days. Moreover, RT-qPCR analysis exhibited that relative expression levels of 2 AOH or AME biosynthetic genes (pksI and omtI) in A. alternata OM1 were up-regulated in YES medium, while they were not in MEB medium. Our results demonstrated that the three key environmental parameters had a significant influence on the growth of A. alternata OM1 and its production of AOH and AME. These findings suggest that storage of strawberries below 25 °C under RH 92% could prevent the production of AOH and AME by A. alternata OM1 on them. Full article
(This article belongs to the Special Issue Determination, Control Strategies, and Biosynthesis of Mycotoxins)
20 pages, 293 KB  
Article
Prototype Development of a Wine-Based Flavored Beverage with Freeze-Dried Strawberry Extract
by Pedro Fernandes, Diana Daccak, Cláudia Pessoa, Inês Carmo Luís, Fernando Lidon and Maria Manuela Silva
Beverages 2026, 12(4), 49; https://doi.org/10.3390/beverages12040049 - 21 Apr 2026
Abstract
The aim of this study was to develop and characterize a wine-based flavored beverage produced from single-varietal white Moscatel wine with the incorporation of freeze-dried strawberry extract (cv. Fortuna Original®), and to evaluate its physicochemical, chromatic, and short-term sensory stability over [...] Read more.
The aim of this study was to develop and characterize a wine-based flavored beverage produced from single-varietal white Moscatel wine with the incorporation of freeze-dried strawberry extract (cv. Fortuna Original®), and to evaluate its physicochemical, chromatic, and short-term sensory stability over 20 days. Five formulations (0, 4, 6, 8, and 12 g extract per 500 mL) were analyzed after 10 and 20 days of storage. The incorporation of strawberry extract led to increased total acidity and slight dilution of alcohol content (from ≈7.1% to 6.9% v/v), while pH and density remained stable, indicating the preservation of the physicochemical structure of the wine matrix. Chromatic parameters showed modulation associated with strawberry-derived pigments, with reduced variability over time, suggesting short-term color stabilization. Analytical results demonstrated low coefficients of variation for most parameters after 20 days, indicating system consistency during storage. Sensory evaluation revealed that the formulation containing 6 g of extract exhibited a higher aromatic intensity and enhanced red fruit perception compared to the control wine. Overall, the results demonstrate that the incorporation of freeze-dried strawberry extract into a white wine matrix is technologically feasible and enables the controlled modulation of physicochemical and sensory properties without compromising short-term stability. Full article
14 pages, 3512 KB  
Article
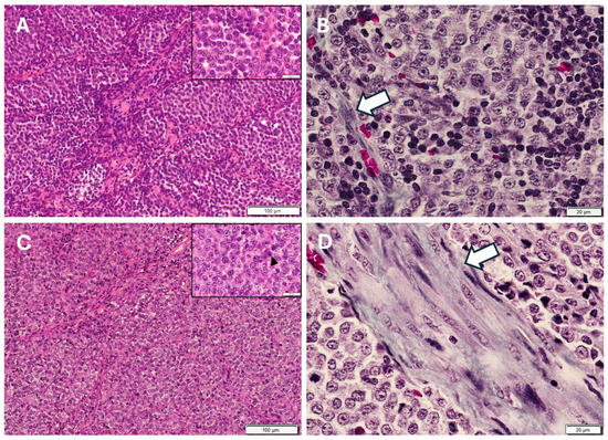
Differences in Histopathology and Local Immune Response in Steady and Progressive Natural Transmissible Venereal Tumors in Mexican Dogs
by Ileana Zorhaya Martínez-Ramos, Diego Pérez-Maroto, Natalia García-Álvarez, Patricia Barroso, Adan García Balbuena, Guadalupe Núñez-Martínez, María Benedicta Bottini Luzardo, Juan Francisco García Marín and Ana Balseiro
Animals 2026, 16(8), 1262; https://doi.org/10.3390/ani16081262 - 20 Apr 2026
Abstract
The canine transmissible venereal tumor (TVT) is a neoplasm of the external genitalia of dogs, considered one of four reported contagious tumors in animals. These tumors have different presentations, with steady, progressive, or regressive stages. In some areas of Mexico, where the prevalence [...] Read more.
The canine transmissible venereal tumor (TVT) is a neoplasm of the external genitalia of dogs, considered one of four reported contagious tumors in animals. These tumors have different presentations, with steady, progressive, or regressive stages. In some areas of Mexico, where the prevalence of TVT is high (5.15%), two morphological types are usually observed: one steady, pedunculated, strawberry-like (Type A) and one progressive, multilobulated, cauliflower-like (Type B). This study aimed to characterize the histopathological and inflammatory infiltrate patterns in eight stray dogs showing both morphological types of natural TVT (n = 4 each), to identify potential differences between tumor morphologies. Histopathological and immunohistochemical techniques were applied to tumor samples to evaluate the interaction between pathological morphology and the following cell markers: ionized calcium-binding adaptor molecule 1 (IBA1) for activated macrophages (including resident macrophages), inducible nitric oxide synthase (iNOS) for M1 macrophages, CD163 for M2 macrophages, CD3 for T lymphocytes, CD20 for B lymphocytes, and lambda light chain for plasma cells. The results showed a greater inflammatory infiltrate in Type A tumors than in Type B ones, with a parallel increase in activated macrophages and B lymphocytes. The presence of M1 and M2 macrophages was scarce in both types of tumors, and T lymphocytes were almost absent. This study reveals a stronger and more balanced local immune response in dogs with Type A TVTs compared with Type B tumors, which may underlie differences in tumor characteristics, although individual tumor heterogeneity should be considered. Full article
(This article belongs to the Section Companion Animals)
Show Figures

Figure 1

31 pages, 1415 KB  
Article
Safety of Commercial Fruit Yogurts Beyond the Stated Expiration Date: Physicochemical, Textural, Microbiological, and Sensory Evaluation
by Sergiu Pădureţ, Cristina Ghinea, Eufrozina Albu and Ancuta Elena Prisacaru
Appl. Sci. 2026, 16(8), 3973; https://doi.org/10.3390/app16083973 - 19 Apr 2026
Viewed by 107
Abstract
Consumers believe that expired products are unsafe, and, in most cases, misinterpreting the information on food labels often leads to large amounts of food waste. Yogurt is among the most widely eaten dairy products that can still be consumed after its expiration date, [...] Read more.
Consumers believe that expired products are unsafe, and, in most cases, misinterpreting the information on food labels often leads to large amounts of food waste. Yogurt is among the most widely eaten dairy products that can still be consumed after its expiration date, even though most consumers throw it away the very day it expires. The aim of this study was to determine whether commercial yogurts currently available on the market remain safe for consumption after their expiration date, with a view to reducing the amount of food waste generated in households. Therefore, the quality, stability, and edible safety of 10 commercial yogurts (two plain with 2% and 4% fat and the others with fruit, such as apricots, strawberries, bananas, blueberries, berries and strawberries, blackberries and raspberries, and cherries) stored at 4°C before and at the expiration date were investigated. Physicochemical, textural, microbiological, and sensory analyses were performed to evaluate changes in functionality, safety, and acceptability of these yogurts. The results showed that, prior to their expiration date, certain yogurt samples (with apricots, strawberries, and blueberries, as well as plain yogurt with 4% fat) tested positive for total coliform bacteria, with values ranging from 20 to 50 CFU/g, suggesting substandard hygiene practices and insufficient sanitary conditions during and following the production process. No Escherichia coli, Listeria, Salmonella, Enterobacter spp., or Enterococcus spp. were detected in any of the yogurt samples that were within their expiration date. Blueberry, berry, and strawberry yogurts change their physical and chemical properties less than other types of yogurts analyzed after expiration. Yogurts containing berries and strawberries, blackberries, and raspberries remain safe at the expiration date, as they do not show the presence of harmful microorganisms such as coliform bacteria, Escherichia coli, Enterobacter spp., Enterococcus spp., Listeria, or Salmonella. Yogurt with berries and strawberries appears to be the most suitable from a microbiological point of view at expiration, as it has a low total mesophilic bacteria count and lactic acid bacteria exceeding 1 × 106 CFU/g. At the time of expiration, this fruit yogurt type (with berries and strawberries) had a total solids content of 21.29%, 5.22% protein, 2.11% fat, 13.19% carbohydrates, 4.07 pH, 26.79% syneresis, 73.21% water retention capacity, 64.78% total phenolic content, and 10.55% DPPH (inhibition percentage). Nevertheless, at the time of expiration, from a sensory perspective (only appearance and consistency, odor, and color, without taste), the yogurt samples that were most appreciated contained blackberries and raspberries. The obtained results indicate that only certain types of fruit yogurts stored unopened at 4 °C may remain safe and edible after the expiration date, but further studies are needed to help the dairy industry and policymakers promote the reduction in food waste in households. Full article
(This article belongs to the Special Issue Antioxidant Compounds in Food Processing: Second Edition)
29 pages, 1891 KB  
Article
Efficacy of EPS Gel Coating and Lactic Acid Bacteria in Preserving Strawberry Postharvest Quality
by Dahiana Erazo Anacona, Daniela Neira Garzón, Anna María Polanía Rivera, Cristina Ramírez-Toro and German Bolívar Escobar
Gels 2026, 12(4), 341; https://doi.org/10.3390/gels12040341 - 19 Apr 2026
Viewed by 109
Abstract
Post-harvest economic losses in the strawberry industry are predominantly driven by disease caused by food-contaminating fungi and the loss of physicochemical quality. The gel-like matrix of the edible coating (EC) serves as a carrier for delivering lactic acid bacteria (LAB). This structured network, [...] Read more.
Post-harvest economic losses in the strawberry industry are predominantly driven by disease caused by food-contaminating fungi and the loss of physicochemical quality. The gel-like matrix of the edible coating (EC) serves as a carrier for delivering lactic acid bacteria (LAB). This structured network, characterized by its excellent adhesion and film-forming stability, maintains fruit integrity and delivers antifungal properties to control pathogens. This study tested an exopolysaccharide coating with L. plantarum A6 to assess its impact on strawberry shelf life and quality stored at 4 °C and 30 °C for eight days. Through the analysis of physicochemical properties, it was possible to observe that weight loss increased during storage time in all treatments except for strawberries coated (CF) at 4 °C, with 2.43 ± 0.2%. Regarding firmness, after 8 days of storage the greatest difference occurred in the fruit uncoated (UF) exposed to 30 °C decreased 30.93%, whereas the CF group showed a reduction of 2.04%, showing a significant difference between these treatments (p < 0.05). However, the CF at 4 °C had a value of 3.98 ± 0.3 N after eight days of storage, which is close to that of fresh fruit, indicating the effectiveness of the coating. In terms of microbiological results, the mesophilic and mold counts were lower in the treatment at 4 °C with coating (3.6 log CFU/g and 4.48 log CFU/g) than in the treatment stored at 30 °C (5.78 log CFU/g and 6.04 log CFU/g). The shelf-life estimate determined that CF stored at 4 °C could be preserved for 15 days and those stored at 30 °C for 6 days. Finally, sensory evaluation determined that CF stored at 4 °C were well-accepted in terms of attributes such as taste, sweetness, firmness, and flavor. These findings underscore the effectiveness of coating, not only in improving the storage quality of strawberries, but also in ensuring their sensory acceptance. Full article
(This article belongs to the Special Issue Functional Properties and Applications of Edible Gels)
Show Figures

Graphical abstract

29 pages, 24864 KB  
Article
Improving the Robustness of Odour Recognition with Odour-Image Data Fusion in Open-Air Settings
by Fanny Monori and Alin Tisan
Sensors 2026, 26(8), 2493; https://doi.org/10.3390/s26082493 - 17 Apr 2026
Viewed by 121
Abstract
Odour recognition with low-cost gas sensors is challenging in open-air settings due to the non-specificity of the sensors and environmental variability. This can be mitigated by incorporating additional information into the classification process. This paper investigates odour-image multimodality in two case-studies of increasing [...] Read more.
Odour recognition with low-cost gas sensors is challenging in open-air settings due to the non-specificity of the sensors and environmental variability. This can be mitigated by incorporating additional information into the classification process. This paper investigates odour-image multimodality in two case-studies of increasing complexity: banana ripening in open-air environment and strawberry ripening in a glasshouse environment. Data were collected using custom acquisition platforms equipped with cameras and MOX gas sensors operated with temperature modulation. For the visual modality, image classification (MobileNetV3) and object detection (YoloV5) models are trained. For the odour modality, established classical machine learning methods (Random Forest, XGBoost, SVM and Logistic Regression) and neural networks (1D-CNN, LSTM, MLP, and ELM) are employed. Each modality is analysed independently and together to critically assess scenarios in which combining modalities provides a clear advantage over using either modality alone. Results show that models trained on odour data achieve high accuracy in controlled environments but underperform in more dynamic open-air settings. Image-based models are sensitive to the image quality in all environments; however, they are more robust when deployed in different environments. Lastly, it is demonstrated that decision fusion consistently increases the accuracy, by as much as +12.36% in the banana ripening and +3.63% in the strawberry ripening scenario. Where decision fusion does not improve classification accuracy significantly, it is shown that the multimodal approach can still be leveraged to identify high-confidence predictions by selecting samples where both modalities agree on the label. Full article
(This article belongs to the Special Issue Recent Advances in Gas Sensors)
35 pages, 8415 KB  
Article
Research on Three-Dimensional Positioning Method for Automatic Strawberry Fruit Picking Based on Vision–IMU Fusion
by Bowen Liu, Chuhan Chen, Junqiu Li, Qinghui Zhang and Yinghao Meng
Agriculture 2026, 16(8), 893; https://doi.org/10.3390/agriculture16080893 - 17 Apr 2026
Viewed by 236
Abstract
Accurate fruit localization and efficient harvesting are key challenges for agricultural robots, especially in dynamic orchard environments, where platform vibration, fruit occlusion, and computational resource limitations of embedded devices significantly impact system performance. To address these issues, this paper proposes a lightweight “fruit [...] Read more.
Accurate fruit localization and efficient harvesting are key challenges for agricultural robots, especially in dynamic orchard environments, where platform vibration, fruit occlusion, and computational resource limitations of embedded devices significantly impact system performance. To address these issues, this paper proposes a lightweight “fruit detection + harvesting” framework. First, by integrating MobileNetV4 and Triplet Attention mechanisms, an improved YOLOv8n network is designed, with the improved YOLOv8n Precision reaching 98.148% and FPS reaching 30 FPS on Jetson Nano, achieving a good balance between detection accuracy and computational efficiency suitable for edge deployment. Second, a strawberry three-dimensional coordinate reconstruction method based on weighted 3D centroid reconstruction is proposed, utilizing depth bias adjustment coefficients to improve spatial accuracy. Third, to address localization errors caused by vibration and platform motion, a dynamic compensation and temporal fusion strategy based on an Inertial Measurement Unit (IMU) is proposed. The rotation matrix estimated from IMU data is first used to correct camera pose variations. Then, an adaptive sliding window is employed to smooth the coordinate sequence. Finally, an Extended Kalman Filter (EKF) is applied to further refine the fused results by incorporating temporal dynamics, ensuring that the reconstructed three-dimensional coordinates in the robotic arm reference frame achieve higher stability and continuity. Experimental results in orchard scenarios show that compared with traditional methods, the system has higher localization accuracy, stronger robustness to dynamic disturbances, and higher harvesting efficiency. This work provides a practical and deployable solution for advancing intelligent fruit-harvesting robots. Full article
(This article belongs to the Section Artificial Intelligence and Digital Agriculture)
Show Figures

Figure 1

13 pages, 6474 KB  
Article
Emergence of Postharvest Strawberry Fruit Rot Caused by Penicillium citrinum in China and Its Whole-Genome Sequencing
by Haohao Yan, Lili Jiang, Tianyu Guo, Mikael Motelica-Heino and Chong Wu
J. Fungi 2026, 12(4), 288; https://doi.org/10.3390/jof12040288 - 17 Apr 2026
Viewed by 205
Abstract
China has the largest strawberry cultivation area worldwide and produces substantial quantities of the fruit. However, postharvest diseases of strawberries occur frequently, limiting their safe storage. In November 2025, a localized occurrence of postharvest fruit rot affecting strawberry (cv. Hongyan) was observed in [...] Read more.
China has the largest strawberry cultivation area worldwide and produces substantial quantities of the fruit. However, postharvest diseases of strawberries occur frequently, limiting their safe storage. In November 2025, a localized occurrence of postharvest fruit rot affecting strawberry (cv. Hongyan) was observed in Tai’an, China. A pathogenic fungus, designated CM-RB5, was isolated from diseased fruits and identified as Penicillium citrinum based on morphological characteristics and molecular analyses. This is the first report of P. citrinum causing postharvest fruit rot in strawberry. The genome of the pathogenic fungal strain CM-RB5 was sequenced using the Illumina MiSeq II and PacBio RS III platforms. Genome assembly analysis revealed the total sequence length of P. citrinum CM-RB5 to be 32,053,718 bp, with a GC content of 46.41%. Additionally, P. citrinum CM-RB5 was found to produce ochratoxin and citrinin. These findings provide insights that may facilitate the development of effective control strategies for postharvest fruit rot in strawberry, thereby ensuring the consumption of safe, high-quality fruit and strawberry-derived products. Full article
(This article belongs to the Special Issue Postharvest Fungi: Control of Fungal Diseases in Fruit and Vegetables)
Show Figures

Figure 1

21 pages, 5064 KB  
Article
Formation Mechanism of Key Flavor Compounds During the Fermentation of Strawberry Juice with Water Kefir Grains
by Linlin Yin, Shunchang Pu, Qianqian Tong, Zhina Chen, Tao Ye and Shoubao Yan
Foods 2026, 15(8), 1312; https://doi.org/10.3390/foods15081312 - 10 Apr 2026
Viewed by 301
Abstract
Water kefir grains are complex probiotic granules that can efficiently ferment fruit and vegetable juices and significantly improve product flavor. However, the mechanisms of flavor formation remain unclear, which limits the process optimization of this technology. This study investigated the mechanisms involved in [...] Read more.
Water kefir grains are complex probiotic granules that can efficiently ferment fruit and vegetable juices and significantly improve product flavor. However, the mechanisms of flavor formation remain unclear, which limits the process optimization of this technology. This study investigated the mechanisms involved in flavor formation during the fermentation of strawberry juice with water kefir grains. The results showed that as fermentation progressed, the total acidity increased, whereas the pH value and soluble solids content decreased. Additionally, the contents of citric acid and malic acid gradually decreased with fermentation, while the contents of lactic, acetic, and succinic acid increased, and three soluble sugars showed reduced levels. A total of 218 volatile compounds were identified. Eight dominant bacterial genera and one dominant yeast species were detected. Significant correlations between some key microorganisms and flavor compounds were observed. Specifically, Lactiplantibacillus was positively correlated with hexyl acetate. Meanwhile, Gluconobacter and Acetobacter were positively correlated with methyl (Z,Z)-9,12-octadecadienoate, isoamyl acetate, etc. In contrast, LAB such as Lacticaseibacillus and Schleiferilactobacillus showed the opposite correlations with these key flavor compounds. Saccharomyces showed a positive correlation with ethyl palmitate, ethyl propionate, phenylsuccinic acid, and 1-pentanol. The main flavor compound metabolic pathways were predicted and they were significantly related with yeasts, acetic acid bacteria, and lactic acid bacteria. Overall, this study offers a theoretical basis for the directional regulation and optimization of the flavor quality of strawberry juice fermented with water kefir. Full article
(This article belongs to the Special Issue Food Brewing Technology and Brewing Microorganisms (Second Edition))
Show Figures

Figure 1

18 pages, 2707 KB  
Article
Cytokinin Oxidase/Dehydrogenase 1 (FvCKX1) Coordinates Receptacle Growth and Achene Maturation in Strawberry
by Yunhe Tian, Luyan Ren, Ziyin Zhu, Zhiyun Chen, Yue Yuan, Yahui Lv, Wei Xin, Chutian Wu, Jun Ma, Jun He, Juncheng Lin, Yanlin Liu, Tongda Xu and Wenxin Tang
Plants 2026, 15(8), 1171; https://doi.org/10.3390/plants15081171 - 10 Apr 2026
Viewed by 449
Abstract
The coordinated development of achenes and receptacles in strawberry is critical for seed dispersal and fruit quality, yet the underlying molecular mechanisms remain poorly characterized. Utilizing RNA-seq analysis during the ripening transition stage, we identified pronounced transcriptomic divergence between achenes and receptacles, with [...] Read more.
The coordinated development of achenes and receptacles in strawberry is critical for seed dispersal and fruit quality, yet the underlying molecular mechanisms remain poorly characterized. Utilizing RNA-seq analysis during the ripening transition stage, we identified pronounced transcriptomic divergence between achenes and receptacles, with receptacles exhibiting more dynamic gene expression shifts. Intriguingly, a substantial subset of differentially expressed genes (DEGs) displayed antagonistic expression patterns between these tissues, including the cytokinin degradation gene cytokinin oxidase/dehydrogenase 1 (FvCKX1), which was highly expressed in both tissues but with opposing temporal trends. Functional interrogation via transient silencing and overexpression revealed a tissue-specific regulatory role for FvCKX1. RNA interference (RNAi) suppression of FvCKX1 significantly enhanced receptacle expansion but delayed achene maturation, whereas overexpression inhibited receptacle growth while accelerating achene ripening. Abscisic acid (ABA), which positively regulates fruit enlargement, was elevated in FvCKX1 RNAi receptacles and notably reduced in overexpression fruits, indicating that FvCKX1 might negatively modulate ABA synthesis during strawberry fruit development. Our results demonstrate that FvCKX1 may function as a key regulator mediating the coordinated development between achenes and receptacles in strawberry. Full article
(This article belongs to the Section Plant Physiology and Metabolism)
Show Figures

Figure 1

16 pages, 4359 KB  
Article
Diversity and Pathogenicity of Neopestalotiopsis Species Associated with Strawberry Leaf Spot and Fruit Rot in Nova Scotia
by Sajid Rehman and Shawkat Ali
J. Fungi 2026, 12(4), 275; https://doi.org/10.3390/jof12040275 - 10 Apr 2026
Viewed by 375
Abstract
We reported the first isolation and characterization of Neopestalotiopsis spp. from symptomatic strawberry plants in Nova Scotia, Canada. Morphological and multilocus sequence analyses confirmed that these isolates were closely related to previously identified aggressive Neopestalotiopsis spp. strains from strawberry and blueberry in the [...] Read more.
We reported the first isolation and characterization of Neopestalotiopsis spp. from symptomatic strawberry plants in Nova Scotia, Canada. Morphological and multilocus sequence analyses confirmed that these isolates were closely related to previously identified aggressive Neopestalotiopsis spp. strains from strawberry and blueberry in the southeastern United States and other countries. Five representative isolates were evaluated for pathogenicity on detached leaves, whole plants, and fruits of multiple strawberry cultivars. The results revealed significant variation in virulence, with isolate NS-1 causing the most severe necrosis across all tissue types. Statistical analysis revealed significant effects of isolate, cultivar, and their interaction on disease severity, indicating differential cultivar responses to the tested isolates. Notably, tissue-specific differences were observed, with some isolates being aggressive on leaves but less virulent on fruit or whole plants, reinforcing the importance of multi-organ phenotyping in resistance screening. Phylogenetic analysis clustered the Nova Scotia isolates within the same clade as Neopestalotiopsis isolate 17–43 L from strawberry and isolates from blueberry, suggesting a potential epidemiological link. The shared nursery propagation system of strawberries and blueberries raises the risk of cross-infection, posing a substantial challenge to disease management strategies in both crops. Collectively, these findings underscore the urgent need for continued surveillance, population-level pathogen analysis, and the development of resistant cultivars to mitigate the spread of this emerging and rapidly evolving pathogen. Full article
(This article belongs to the Section Fungal Pathogenesis and Disease Control)
Show Figures

Figure 1

19 pages, 5167 KB  
Article
Silicon Combined with Activated Carbon Enhances Salt Tolerance in Strawberry (Fragaria × ananassa) by Reinforcing Ion–Redox Homeostasis and Reshaping the Rhizosphere Microbiome
by Chendong Sun, Zhaoxin Ge, Xiaofang Yang, Xiaobo Xie, Xinyi Liang, Lan Shen, Jianjie Ren and Yuchao Zhang
Plants 2026, 15(8), 1154; https://doi.org/10.3390/plants15081154 - 9 Apr 2026
Viewed by 391
Abstract
Soil salinity severely constrains strawberry production by disrupting ion homeostasis and provoking oxidative injury. This study investigated whether soluble silicon (Si) and activated carbon (AC) act to enhance salt tolerance in strawberry (Fragaria × ananassa). Under NaCl stress, plants showed pronounced [...] Read more.
Soil salinity severely constrains strawberry production by disrupting ion homeostasis and provoking oxidative injury. This study investigated whether soluble silicon (Si) and activated carbon (AC) act to enhance salt tolerance in strawberry (Fragaria × ananassa). Under NaCl stress, plants showed pronounced growth inhibition, increased Na+ accumulation and a deteriorated K+/Na+ balance, accompanied by elevated reactive oxygen species (ROS) and lipid peroxidation. In contrast, combined AC + Si treatment consistently provided the strongest protection, improving seedling vigor and survival. Relative to NaCl alone, AC + Si increased shoot and root fresh weight by 67.5% and 78.5%, reduced shoot Na+ by 59.1%, and lowered shoot H2O2 and MDA by 62.6% and 66.5%, respectively, indicating marked improvement in ion–redox homeostasis. Beyond plant responses, AC-containing treatments alleviated salt-induced increases in soil electrical conductivity, coinciding with a clear restructuring of the rhizosphere bacterial community and enrichment of putatively beneficial taxa. Transcriptome profiling further supported coordinated reprogramming of ion transport, redox control and stress-responsive signaling pathways under the AC + Si regime. Collectively, the results indicated that Si and AC co-application enhances strawberry salt tolerance through an integrated soil–plant–microbiome mechanism that stabilizes ion homeostasis and reinforces redox homeostasis. Full article
(This article belongs to the Special Issue Nutrient Management on Soil Microbiome Dynamics and Plant Health)
Show Figures

Figure 1

25 pages, 7549 KB  
Article
Unseen-Crop Plant Disease Classification via Disentangled Representation Learning
by Zhenzhen Wu, Jianli Guo, Wei Hou, Kun Zhou, Kerang Cao and Hoekyung Jung
Electronics 2026, 15(8), 1553; https://doi.org/10.3390/electronics15081553 - 8 Apr 2026
Viewed by 282
Abstract
Deep learning has accelerated progress in plant disease recognition, providing strong technical support for early diagnosis and precision management. However, models often lack robustness and generalization when confronted with novel crops absent from the training set, leading to a marked performance drop in [...] Read more.
Deep learning has accelerated progress in plant disease recognition, providing strong technical support for early diagnosis and precision management. However, models often lack robustness and generalization when confronted with novel crops absent from the training set, leading to a marked performance drop in cross-unseen-crop scenarios. Cross-crop generalization for plant disease recognition requires models to identify known disease categories in crop domains never observed during training. A central challenge is that disease symptoms are strongly coupled with crop-specific appearance cues, which severely degrades generalization. Here, TDC (Text-guided feature Disentanglement Contrast) is introduced as a feature-disentanglement framework for cross-crop plant disease recognition. The proposed method employs a dual-branch visual encoder to separately capture disease semantic representations and crop-domain representations, and it leverages a frozen CLIP text encoder to use disease and crop prompts for text-guided semantic anchoring. A semantic-anchor-only contrastive disentanglement strategy is further formulated under a hybrid label space, where crop-branch features are incorporated as stop-gradient hard negatives to suppress semantic–domain information leakage and strengthen the intra-class aggregation of the same disease across crops. Residual domain-discriminative cues are mitigated via domain-adversarial learning. During inference, only the disease branch is retained for classification, improving generalization while reducing deployment overhead. Experiments demonstrate that under the PlantVillage cross-crop setting, the method achieves 98.04% and 74.29% Top-1 accuracy on seen and unseen crop domains, respectively. Moreover, it attains 81.99% on a real-world field dataset of strawberry powdery mildew and 76.31% on a low-illumination degradation set, validating robustness under realistic imaging distribution shifts. Full article
(This article belongs to the Special Issue Advances in Data-Driven Artificial Intelligence, 2nd Edition)
Show Figures

Figure 1

22 pages, 745 KB  
Article
Quality Expectations and Willingness to Pay of German, Italian, and Turkish Strawberry Consumers
by Eda Yaşa Özeltürkay, Stefano Predieri, Chiara Medoro, Edoardo Gatti, Marta Cianciabella, Giulia Maria Daniele, Luca Mazzoni, Saila Karhu, Terhi Latvala, Ebru Kafkas, Duygu Ayvaz Sönmez, Klaus Olbricht and Bruno Mezzetti
Horticulturae 2026, 12(4), 451; https://doi.org/10.3390/horticulturae12040451 - 5 Apr 2026
Viewed by 362
Abstract
This study investigated consumer expectations and perceived quality of strawberries across different geographical contexts to identify the main drivers of purchasing behavior within a cross-country framework. An online survey was conducted among consumers in Italy, Germany, and Turkey to explore consumption habits, purchasing [...] Read more.
This study investigated consumer expectations and perceived quality of strawberries across different geographical contexts to identify the main drivers of purchasing behavior within a cross-country framework. An online survey was conducted among consumers in Italy, Germany, and Turkey to explore consumption habits, purchasing channels, sensory expectations, product perceptions, and willingness to pay (WTP) for specific product attributes. Results confirmed a high level of consumer appreciation for strawberries across all countries, primarily driven by their sensory characteristics. However, purchasing behavior and consumption patterns were strongly influenced by cultural and market-related factors. Visual attributes were confirmed to be key cues guiding product choice; however, label indications related to sensory traits and functional properties exerted a greater influence. Flavor, firmness, and overall taste balance represented critical determinants of consumer satisfaction. Differences across demographic groups were also observed, with younger and male consumers reporting lower levels of satisfaction with key sensory attributes, including juiciness, aroma, and freshness. Cross-country comparisons revealed heterogeneous WTP patterns, with Turkish consumers showing a greater propensity to pay premium prices for quality-related, local, organic, and environmentally friendly attributes compared with German and Italian consumers. Overall, the findings highlight the combined influence of sensory quality, cultural context, and sociodemographic characteristics in shaping strawberry perception and purchasing behavior. These insights may support breeders, producers, and retailers in developing targeted product strategies and market positioning across different geographical areas and consumer segments. Full article
(This article belongs to the Special Issue Consumer Preferences for Horticultural Products)
Show Figures

Figure 1

Back to TopTop